Upper versus lower lobe fibrosis
Basal crackles are caused by CIAD
- CTDs (other than AS)
- IPF
- Asbestosis
- Drugs
Think: basal predominance more likely to be UIP pattern (IPF, RA)
Predominant upper zone causes (SCHARTS):
Predominant lower zone causes (DRASID)
ILD findings on exam
No trachea displacement
Symmetrical, reduced lung expansion
Resonant percussion note
Vesicular breath sounds
Added fine late inspiratory crackles (or pan if more severe)
Exam findings of COPD
Midline trachea
Symmetrical, reduced chest expansion
Resonant percussion note
Reduced vesicular breath sounds
+/- added wheeze
Euqal vocal resonance
Pleural effusion exam findings
Trachea displaced away if severe
Asymmetrical reduced chest expansion on side of effusion if severe
Stony dull percussion note
Absent / reduced breath sounds over effusion, may be bronchial at border
No added sounds, maybe pleural rub
Exam findings in consolidation?
Midline trachea (or displaced toward pathology if associated collapse)
Chest wall movement (may be asym reduced if severe area of consolidation)
Dull percussion note
Bronchial breath sounds (coarse and pan-inspiratory)
Increased vocal resonance
What are the causes of crackles?
What other signs would be in keeping with each?
ABC-I
Causes of clubbing
Cardiac
Respiratory
Other
What are the causes of ILD?
DR COVID
Drugs (MTX, amiodarone)
Radiation
CTDs (RA, systemic sclerosis, poly/dermatomyositis)
Occupational (asbestos, sillicosis)
Vasculitis (PAN, eGPA, MPA)
IPF
Don’t forget drugs
How to investigate causes of ILD?
The diagnostic test for ILD would be HRCT, however more basic investigations (and investigation to explore aetiology) include:
How do you diagnose obstruction on PFTs?
How would you diagnose restrictive lung disease on PFTs?

What does a BLSTx scar look like?
Clamshell
(joined in the middle)

What are the causes of clubbing?
What does systemic sclerosis cause?
Causes of clubbing:
Systemic sclerosis can cause pseudo clubbing due to loss of pulp / finger atroptht
What are the types of quality of breath sounds?
Vesicular = normal
Think: vesicular = alveoli
Normal to hear this over most of the lung
Insp > expiration
Gap between inspiration and expiration (because alveoli are filled)
Soft
Bronchial
Making the sound it would through the bronchi, but if heard through the lungs it means the alveoli are clogged up
Expiration > inspiration, with no gap between (think: going through a tube)
Loud
Often he

What is normal chest expansion?
What causes reduced asymmetrical or symmetrical lung expansion?
Normal expansion
Asymmetrical expansion:
Symmetrical but reduced:
How can you tell the difference between lung consolidation / collapse and pleural effusion on examination?
Lung consolidation / collapse:
Pleural effusion
What alters the intensity of breath sounds?
Reduced intensity of breath sounds (don’t say ‘reduced air entry’)
What are the causes of bronchiectasis?
Think makes II and O shapes on radiology
F I I I C C C O
Fibrosis
Idiopathic
Infection (recurrent)
Immunosupression (hypogamma, HIV)
Congenital
CF
CTDs (RA, Sjogrens)
Obstruction
Scar of single lung transplant
Anterior thoracotamy scar
(also used for lobectomy, pneumoectomy, LVRS –> or a posterolateral thoracotomy scar)

Scar of double lung transplant
clamshell
or bilateral anterior thoracotomies

Lung transplant spiel
look for scar
may be tracheal deviation
asymmetrical chest expansion
different breath sounds / added sounds
complications of immunosupression
infection
malignancy - skin lesions
metabolic complications
specific to theerapy…
Who gets bilateral LTx over unilateral?
Younger patients
CF
PAH
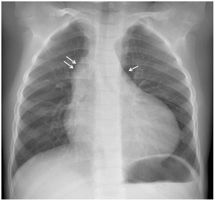
Heart borders on a CXR


How to identify pulmonary trunk on CXR?

ABove the left main bronchus but below the aortic knuckle
