Riñón Flashcards

(16 cards)

1
Q

¿De qué parte del riñón se debe obtener la biopsia para diagnosticar nefropatías?

A

De la corteza renal

How well did you know this?
1
Not at all
2
3
4
5
Perfectly
2
Q

¿Qué partes de la corteza renal se necesitam para hacer el diagnóstico de nefropatías? (4)

A
  • 10 glomérulos
  • 10 túbulos
  • Vasos
  • Intersticio
How well did you know this?
1
Not at all
2
3
4
5
Perfectly
3
Q

¿Cómo se denominan las lesiones que están en un glomérulo específico que está dañado completamente?

A

Lesiones globales

How well did you know this?
1
Not at all
2
3
4
5
Perfectly
4
Q

¿Cómo se denominan las lesiones que están en un glomérulo específico que está dañado parcialmente?

A

Lesiones segmentarias

How well did you know this?
1
Not at all
2
3
4
5
Perfectly
5
Q

¿Cómo se denominan las lesiones en donde más del 50% de los 10 glomérulos seleccionados están dañados?

A

Lesiones difusas

How well did you know this?
1
Not at all
2
3
4
5
Perfectly
6
Q

¿Cómo se denominan las lesiones en donde menos del 50% de los 10 glomérulos seleccionados están dañados?

A

Lesiones focales

How well did you know this?
1
Not at all
2
3
4
5
Perfectly
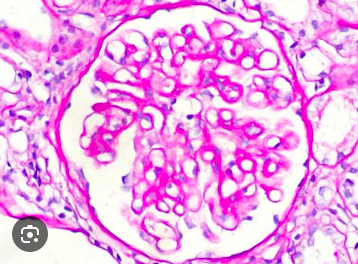
7
Q

¿Qué es esto?

A

Glomérulo normal

How well did you know this?
1
Not at all
2
3
4
5
Perfectly
8
Q

Tinciones (3) y técnicas (2) básicas para ver los glomérulos

A
  • Masson
  • PAS
  • Plata
  • IF (inmunofluoresencia)
  • ME (microscopía electrónica)
How well did you know this?
1
Not at all
2
3
4
5
Perfectly
9
Q

Para definir si es difuso y/o local, se debe evaluar:

A

Bajo aumento

How well did you know this?
1
Not at all
2
3
4
5
Perfectly
10
Q

Para definir si es segmentado o global, se debe evaluar:

A

Cada glomérulo

How well did you know this?
1
Not at all
2
3
4
5
Perfectly
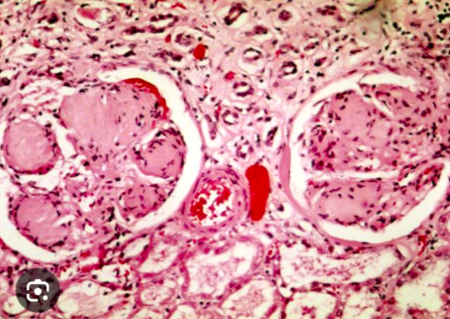
11
Q

¿Qué es esto?

A

Nefropatía diabética

How well did you know this?
1
Not at all
2
3
4
5
Perfectly
12
Q

La enfermedad nodular y glomerular es igual a:

A

Nefropatía diabética

How well did you know this?
1
Not at all
2
3
4
5
Perfectly
13
Q

Nódulos característicos de la nefropatía diabética

A

Nódulos de Kimmelstiel-Wilson

How well did you know this?
1
Not at all
2
3
4
5
Perfectly
14
Q

¿Cuál es otra lesión que da nefropatía nodular?

A

Amiloidosis

How well did you know this?
1
Not at all
2
3
4
5
Perfectly
15
Q

PAS de amiloidosis en pacientes diabéticos

A

PAS+

Amiloidosis normal es PAS-

How well did you know this?
1
Not at all
2
3
4
5
Perfectly
16
Q

¿Cómo se sabe que una persona tiene nefropatía diabética?

A
  • PAS+
  • Nódulos K-W
  • DM2