Rizartrose

Anatomopatologia

Exame Físico na Rizartrose

Imaginologia na Rizartrose

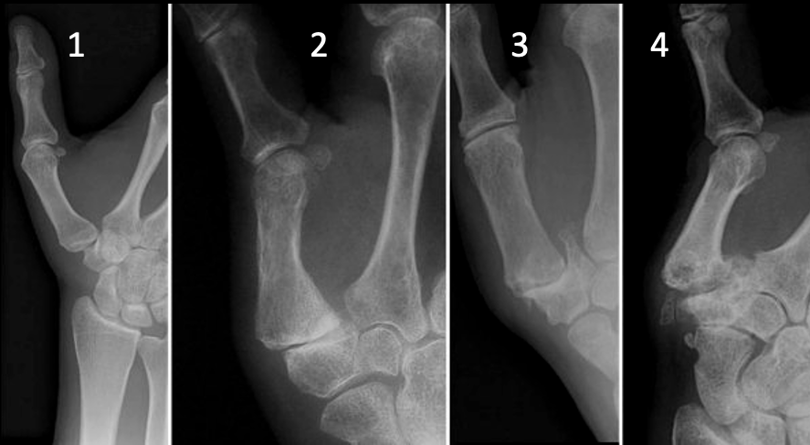
Classificação de Eaton Littler
Eaton Littler Radiográfica (perfil absoluto da TM) = sesamóides superpostos

Tratamento da Rizartrose
Tratamento

Tratamento Cirúrgico na Rizartrose
