IN1-742 Utiliser une approche systématique à l’évaluation d’une radiographie pulmonaire.
Préparation à la lecture
Vérifier les identifications
Vérifier si la gauche/droite est bonne et que les structures sont du bon côté
Évaluer la qualité de la radio
1 - Si film bien installé, Si film trop blanc, Si film trop noir
2- Si la position du patient est adéquate
3 - Si le patient est en inspiration maximale: apex de la coupole diaphragmatique la plus haute, habituellement la droite, devrait être à la hauteur de l’arc postérieur de la 10e côte
Évaluation des structures
Tissus mous, Os, Médiastin, Hiles, Poumons, Plèvres, Structures abdo
IN1-742 Utiliser une approche systématique à l’évaluation d’une radiographie pulmonaire.
Évaluation des tissus mous
Ceci modifie la transparence relative des deux bases pulmonaires et peut simuler une anomalie du côté du sein restant dont la base apparaîtra plus dense.
Il faut rechercher attentivement les signes de métastase
Recherchez :
Air (emphysème sous-cutané) habituellement associé à un pneumomédiastin.
IN1-742 Utiliser une approche systématique à l’évaluation d’une radiographie pulmonaire.
Évaluation des structures osseuses
Recherchez :
Fractures
Écrasements vertébraux
Tumeur
IN1-742 Utiliser une approche systématique à l’évaluation d’une radiographie pulmonaire.
Médiastin
Déplacement/compression
Corps étranger
Tumeur
Mesurez la taille du cœur = Index cardio-thoracique : normal ≤ 50%. L’index cardio-thoracique ou ICT se mesure en divisant le diamètre du cœur par le plus grand diamètre du thorax. Cette mesure est valable seulement sur une incidence PA, à cause de la magnification du coeur en AP.
IN1-742 Utiliser une approche systématique à l’évaluation d’une radiographie pulmonaire.
Hiles
Recherchez :
Position anormale
Asymétrie de taille
Asymétrie de densité
Voussures anormales
IN1-742 Utiliser une approche systématique à l’évaluation d’une radiographie pulmonaire.
Poumons & PLèvres
Asymétrie de transparence des deux poumons
Densités anormales (trop blanc ou trop noir)
Distribution vasculaire anormale
Position anormale des scissures
Décollement pleural (pneumothorax)
Émoussement des culs-de-sac costo-diaphragmatiques (épanchement pleural)
Épaississement/masse
IN1-742 Utiliser une approche systématique à l’évaluation d’une radiographie pulmonaire.
Structures abdominales
Position anormale de la bulle à air gastrique
Air libre sous les coupoles diaphragmatiques (pneumopéritoine)
Décrire la silouhette cardio-médiastinale sur une radio

Où sont les hiles pulmonaires sur la radio?

Où sont situées les coupoles diaphragmatiques ainsi que les scissures sur une radio?

IN1-744 Savoir prescrire les incidences standards et les incidences complémentaires au besoin pour la radiographie pulmonaire
3 incidences standards + avantages/désavantages
IN1-744 Savoir prescrire les incidences standards et les incidences complémentaires au besoin pour la radiographie pulmonaire
3 incidences complémentaires + Objectifs
Approche générale: Comment peut se manifester une anomalie pulmonaire/pleurale sur une radio?
Une anomalie pulmonaire ou pleurale se manifestera sur la radiographie par un aspect soit trop blanc, soit trop noir.
Trop blanc : on parlera d’une hypotransparence, d’une hyperdensité ou d’une opacité.
Trop noir : on parlera d’une hypertransparence, d’une hypodensité ou d’une clarté.
Approche générale: Causes de trop blanc

Approche générale: Causes de trop noir

Méthode de lecture systématique proposée par le radiologue
De l’extérieur vers l’intérieur
1) Plèves et diaphragme:
2) Poumons:
3) Médiastin:
IN1-743 Reconnaitre les pathologies suivantes sur une radiographie pulmonaire: épanchement pleural, insuffisance cardiaque, pneumonie (localisation), pneumothorax, cardiomégalie
Cardiomégalie

IN1-743 Reconnaitre les pathologies suivantes sur une radiographie pulmonaire: épanchement pleural, insuffisance cardiaque, pneumonie (localisation), pneumothorax, cardiomégalie
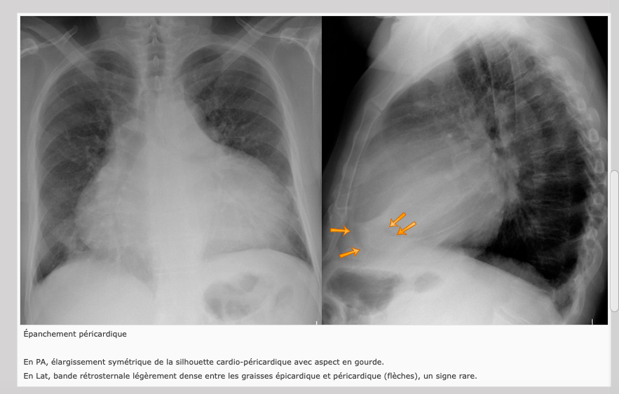
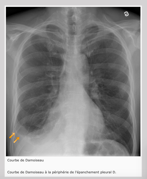
Épanchement pleural

IN1-743 Reconnaitre les pathologies suivantes sur une radiographie pulmonaire: épanchement pleural, insuffisance cardiaque, pneumonie (localisation), pneumothorax, cardiomégalie
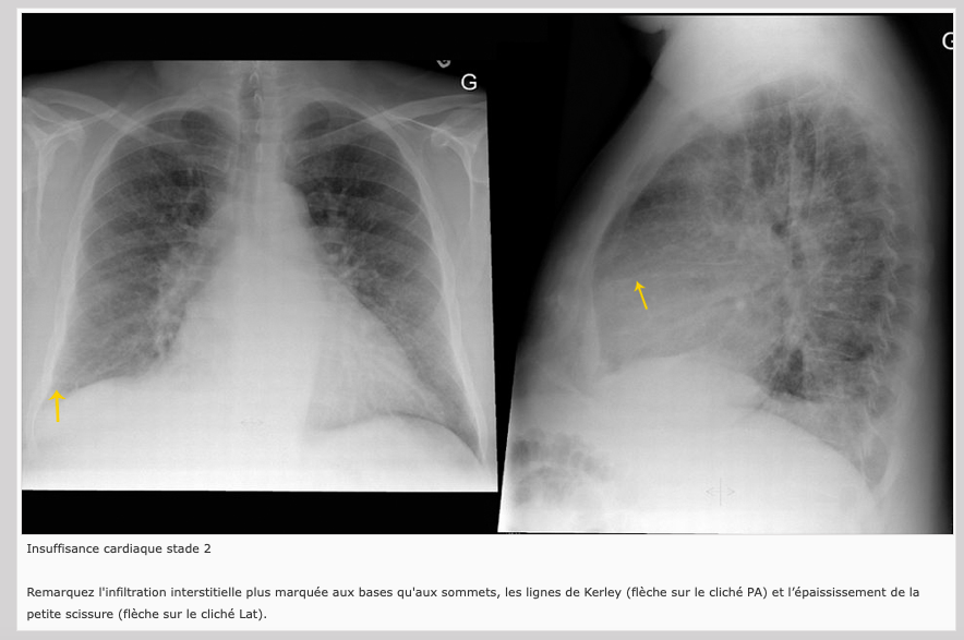
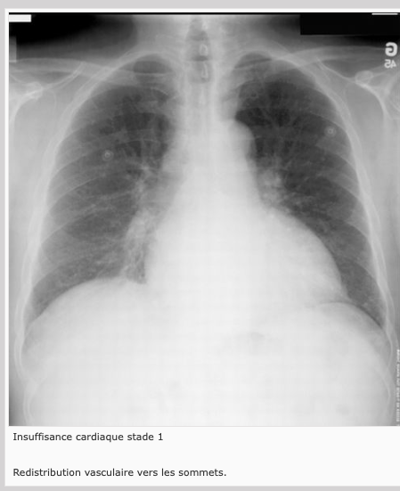
Insuffisance cardiaque
3 stades:
1) Redistribution vasculaire: vaisseaux des sommets apparaissent aussi ou plus proéminents qu’aux bases, ce qui est le contraire de la normale.
2) Odème interstitiel:
Infiltration interstitielle plus marquée aux bases (Lignes de Kerley)
Épaississement péri-bronchique
Épaississement des scissures
3) Oedème alvéolaire:
Infiltration alvéolaire; elle prédomine souvent aux bases et/ou en périhilaire

IN1-743 Reconnaitre les pathologies suivantes sur une radiographie pulmonaire: épanchement pleural, insuffisance cardiaque, pneumonie (localisation), pneumothorax, cardiomégalie
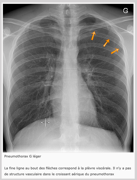
Pneumothorax

**Air s’accumule d’abord dans l’apex pulmonaire donc important de bien regarder là
Pneumonie: 3 signes radio
**Petit truc: En Lat, regarder la colonne ⇒ supposée être de plus blanc à plus foncé sinon pneumonie possible
Pneumonie: comment la situer?
Si côté droit
Si côté gauche
Reconnaitre l’IC: Nommer les 3 stades radiologiques
IC: Signes radiologiques de la redistribution vasculaire
les vaisseaux des sommets apparaissent aussi ou plus proéminents qu’aux bases, ce qui est le contraire de la normale.
