SASP Flashcards

(28 cards)

1
Q

Alpha-mercaptopropionylglycine prevents cystine stones by:

A. Promoting diuresis

B. Alkalinizing the urine

C. Decreasing cystine excretion

D. Forming drug-cystine complexes

E. Increasing available urinary citrate

A

D. Forming drug-cystine complexes

Alpha-mercaptopropionylglycine (Thiola®) is a second-line therapy for prevention of cystine stones after starting alkalinization therapy. This drug can increase cystine solubility in urine by formation of a more soluble mixed-disulfide bond (i.e., drug to cystine complex rather than cystine to cystine complex). It does not promote diuresis, alkalinize the urine, decrease cystine excretion or increase available urine citrate.

How well did you know this?
1
Not at all
2
3
4
5
Perfectly
2
Q

A 54-year-old woman who underwent intestinal bypass surgery 15 years ago for obesity has passed 15 calcium oxalate stones. A 24-hour urine collection reveals a volume of 850 mL, PH 5.2, decreased calcium, sodium, citrate, and magnesium, and markedly elevated oxalate levels. Medical management should consist of increased fluid intake and:

A. Calcium citrate

B. Magnesium citrate

C. Potassium citrate and calcium citrate

D. Calcium carbonate and magnesium citrate

E. Sodium bicarbonate and magnesium citrate

A

C. Potassium citrate and calcium citrate

Intestinal bypass surgery results in a urine profile similar to that of chronic diarrheal syndrome, characterized by low urine volume, acidic urine, hypocitraturia, hyperoxaluria and low serum sodium, magnesium and calcium levels. Correction of the acidosis with potassium citrate will additionally correct the hypocitraturia since calcium citrate alone is typically not enough to correct the hypocitraturia and acidosis. A liquid formulation of potassium citrate may be needed if tablet formulation is poorly absorbed due to rapid intestinal transit. Calcium supplementation will not only raise urine calcium but will also complex intestinal oxalate that is typically over absorbed in states of bowel disease or intestinal resection. Although magnesium is poorly absorbed (similarly to calcium and sodium), magnesium supplementation is generally not advised because of the tendency of magnesium compounds to cause diarrhea. Any formulation of calcium supplementation is acceptable, although calcium citrate has been shown to have superior gastrointestinal absorption.

How well did you know this?
1
Not at all
2
3
4
5
Perfectly
3
Q

Stabilization of the myocardium during life threatening Hyperkalemia associated with loss of P waves and widening of the QRS complex on the EKG is best accomplished using:

A. IV calcium gluconate

B. IV sodium bicarbonate

C. 10% glucose with regular insulin

D. Potassium exchange resin with sorbitol

E. Hemodialysis

A

A. IV calcium gluconate

Severe hyperkalemic cardiotoxicity must be treated immediately, not by lowering serum potassium concentration alone, but by preventing cardiac excitability and antagonizing the cardiotoxic effects of hyperkalemia. Thus, I.V. calcium gluconate is the initial treatment of choice. This must be followed by measures to immediately lower serum potassium since the duration of calcium effects are brief. Bicarbonate and glucose should be given next, but they are short-acting and exchange resins or dialysis should be planned for more long-term treatment.

How well did you know this?
1
Not at all
2
3
4
5
Perfectly
4
Q

When performing fluoroscopy, the action that will most effectively lower the patient’s radiation exposure is to:

A. Move the image intesifier closer to the patient

B. Move the x-ray tube closer to the patient

C. Use electronic magnification

D. Use tight collimation

E. Increase kVp

A

A. Move the image intensifier closer to the patient

The source of the radiation exposure is the x-ray tube. The closer the patient is to the x-ray tube, the higher the rate of exposure to radiation. The image intensifier should be kept as close to the patient as practical to limit radiation dose. Tight collimation will not change the entrance dose rate but does limit the scatter of x- ray (limits exposure for others in the room besides the patient). Electronic magnification has no effect on entrance dose rate. Increased kVp will increase both the penetrability and intensity of radiation at the skin entrance, thus increasing patient exposure.

How well did you know this?
1
Not at all
2
3
4
5
Perfectly
5
Q

A 38-year-old woman with a history of stones is taking topiramate for migraine headaches. A 24-hour urine collection will most likely demonstrate:

A. Hypercalciuria
B. Hyperuricosuria
C. Hypocitrituria
D. Hyperoxaluria
E. Hypomagnesuria

A

C. Hypocitrituria

Patients started on topiramate (used for migraines, seizure disorder, weight loss and many other indications) develop hypocitraturia and should be counseled on the inherent risks of stone formation, particularly prior stone formers. Treatment options include potassium citrate or stopping topiramate and finding an alternative treatment. Hypercalciuria, hyperuricosuria, hyperoxaluria, and hypomagnesuria are not specific to topiramate therapy.

How well did you know this?
1
Not at all
2
3
4
5
Perfectly
6
Q

When using an omental flap for repair of a vesicovaginal fistula, the artery on which the vascular pedicle of the omentum is based is the:

A. Right gastroepiploic

B. Left gastroepiploic

C. Superior mesenteric

D. Gastric

E. Splenic

A

A. Right gastroepiploic

The right and left gastroepiploic arteries provide the sole blood supply to the omentum. An omental flap should be preferentially based on the right gastroepiploic artery. The pedicle is mobilized off the stomach from the left. This will result in a well vascularized and sufficiently long flap. The right gastroepiploic is a larger vessel than the left gastroepiploic, and its origin is somewhat caudal as compared to the left, allowing a shorter course into the deep pelvis. The superior mesenteric, gastric, and splenic arteries do not supply the omentum.

How well did you know this?
1
Not at all
2
3
4
5
Perfectly
7
Q

A 22-year-old woman is evaluated for microscopic hematuria. Abdominal films demonstrate bilateral nephrocalcinosis with fine flecks of calcium appearing in most papillae. Renal function is normal. The most likely diagnosis is:

A. Distal RTA

B. Idiopathic hypercalciuria

C. Fanconi syndrome

D. Proximal RTA

E. Hyperparathyroidism

A

A. Distal RTA

Nephrocalcinosis occurs primarily in children and young adults with distal RTA. This is characterized by impaired hydrogen ion excretion in the distal collecting duct. It rarely occurs in proximal RTA which results from an impairment in proximal tubular bicarbonate reabsorption or in Fanconi syndrome where excessive amounts of amino acids are excreted along with organic anions, such as citrate, which tend to prevent calcium precipitation. Idiopathic hypercalciuria and primary hyperparathyroidism rarely cause nephrocalcinosis, but when present, the acidification defect found in distal RTA usually coexists.

How well did you know this?
1
Not at all
2
3
4
5
Perfectly
8
Q

A 76-year-old asymptomatic woman has a urine culture showing >100,000 Klebsiella CFU/mL. Treatment with amoxicillin may:

A. Reduce mortality

B. Reduce morbidity

C. Increase mortality

D. Increase morbidity

E. Increase risk of stone formation

A

D. Increase morbidity

Prospective randomized trials comparing antimicrobial versus no therapy in elderly male and female nursing home residents with asymptomatic bacteriuria consistently document no benefit of antimicrobial therapy. There was no decrease in symptomatic episodes and no change in survival. In fact, treatment with antimicrobial therapy was associated with increased morbidity including increased occurrence of adverse drug effects, reinfection with resistant organisms, and increased cost of treatment. Therefore, asymptomatic bacteriuria in elderly patients should not be treated with antimicrobial agents. There is no increased risk of stone formation when treating with amoxicillin.

How well did you know this?
1
Not at all
2
3
4
5
Perfectly
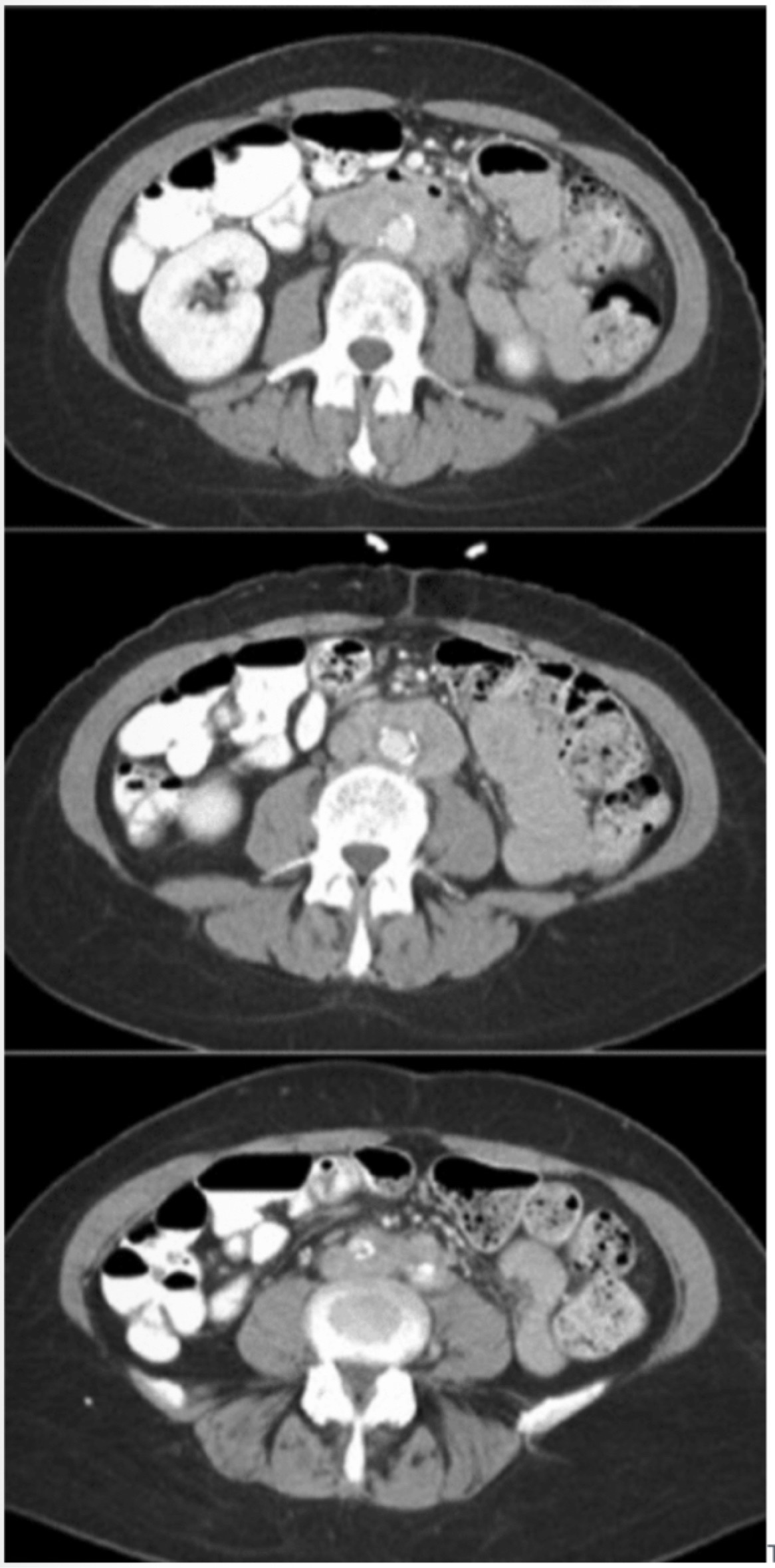
9
Q

One month after endovascular aortic repair (EVAR) for an aortic aneurysm, a 62-year-old man has the CT scan shown. Serum creatinine is 0.8 mg/dL

The next step is:

A. Surveillance

B. MRI scan of the abdomen and pelvis

C. Percutaneous biopsy of the periureteral fibrosis

D. Corticosteroids and tamoxifen

E. Bilateral ureterolysis

A

A. Surveillance

The case illustrates the ureteral involvement in patients with chronic peri-aortitis. There is a time-dependent regression of peri- aortic fibrosis after aneurysm exclusion, usually requiring at least four to six months, and the regression rate may be slow but persistent. To what extent the use of corticosteroids in some patients contributed to outcomes of interest is unclear. Tamoxifen has been used with some success as an alternative to steroids for peri-ureteral fibrosis but is not indicated here. A systematic review of the literature indicates that in terms of regression of peri-aortic fibrosis, surgical aneurysm repair is superior to EVAR. Persistent peri-aortic fibrosis occurs in 14% of patients treated with open surgical aneurysm repair. After EVAR, up to 40% of patients will not have resolution of peri aortic fibrosis. In this case, diagnostic testing (MRI scan or biopsy) to exclude malignancy is not indicated because of the presence of the aneurysm. Bilateral ureterolysis is not indicated this early in the disease course.

How well did you know this?
1
Not at all
2
3
4
5
Perfectly
10
Q

A three-week-old circumcised boy has a normal renal ultrasound and VCUG after a febrile UTI. Six months later, he develops another febrile UTI. A repeat renal ultrasound is normal. The next step is:

A. Observation

B. Diuretic MAG3 renal scan

C. Nuclear VCUG

D. Prophylactic antibiotics

E. Cystoscopy

A

C. Nuclear VCUG

For the initial evaluation of febrile UTIs in infants, a fluoroscopic VCUG should be performed, especially in boys. This will not only reveal VUR but also may delineate any bladder or urethral pathology. Upper tract imaging (most commonly using a renal and bladder ultrasound) can define any obstructive etiology causing hydronephrosis. A normal renal ultrasound, however, does not rule out VUR. Up to 30% of initial VCUGs can miss VUR. If an infant has another febrile UTI after the first negative evaluation, a repeat VCUG is warranted. A nuclear VCUG is associated with less radiation and may be more sensitive in detecting low-grade VUR. It is controversial whether prophylactic antibiotics in the absence of an anatomically defined problem is beneficial or harmful. An aggressive evaluation of infants with recurrent febrile UTIs is important to minimize the risk of renal scarring, thus observation is not recommended. Given two normal renal ultrasound studies, diuretic MAG-3 scan is unlikely to reveal any useful information. Cystoscopy is unwarranted.

How well did you know this?
1
Not at all
2
3
4
5
Perfectly
11
Q

A 54-year-old man suffers a complete spinal cord injury at vertebral level L2. Once the spinal shock phase has ended, videourodynamics would most likely show:

A. Normal detrusor activity

B. Volitional control of the external urethral sphincter

C. Detrusor external sphincter dyssnergia

D. A competent bladder neck

E. Detrusor overactivity

A

D. Competent bladder neck

An injury below vertebral level L1 would result in a sacral spinal cord injury. At this level, injury would be expected to leave the patient with detrusor hypocontractility related to loss of parasympathetic innervation of the detrusor smooth muscle, lack of volitional control of the external sphincter, and potential development of stress urinary incontinence or overflow incontinence related to sphincteric weakness. However, the bladder neck would be expected to remain competent. Complete lesions above the sacral cord usually result in detrusor overactivity, smooth sphincter synergy, and striated sphincter dyssynergia.

How well did you know this?
1
Not at all
2
3
4
5
Perfectly
12
Q

A 53-year-old woman has urine leakage with sneezing and exercise despite pelvic floor muscle training. On physical examination, after voiding, she has no significant prolapse and no leakage with cough or Valsalva. The next step is:

A. Full bladder stress test

B. Urodynamics

C. Antimuscarinic therapy

D. Periurethral injection

E. Midurethral sling

A

A. Full bladder stress test

This patient has symptomatic stress urinary incontinence (SUI), though none is noted on examination. She should not be treated invasively without documentation of SUI on examination. She should return for a full bladder stress test done supine and repeated standing if necessary. If that remains negative, urodynamics could be offered to try to better delineate her leakage. Antimuscarinics should not be offered in the presence of primarily SUI symptoms.

How well did you know this?
1
Not at all
2
3
4
5
Perfectly
13
Q

A 30-year-old calcium stone former reports fatigue one month after starting hydrochlorothiazide for hypercalciuria secondary to renal calcium leak. The next step is:

A. Check serum calcium and phosphorus

B. Check serum sodium and potassium

C. Liberalize intake of sodium chloride

D. Increase fluid intake

E. Switch from hydrochlorothiazide to indapamide

A

B. Check serum sodium and potassium

Weakness, muscle cramps and fatigue are common side effects of thiazide therapy, and often can be avoided simply by starting at a low dose and gradually increasing it. These symptoms may be due to diuretic-induced hypokalemia or hyponatremia. In this clinical scenario, potassium and sodium levels should always be checked. If there is hypokalemia, treatment may be with potassium supplements or switching to a combined thiazide - potassium sparing diuretic preparation. If there is hyponatremia, treatment includes cessation of thiazide use, cation repletion, and oral fluid restriction. If severely symptomatic hyponatremia occurs, 3% IV. saline solution may be indicated. It is unlikely that serum calcium and phosphorous will reveal new information in the setting of previously diagnosed renal calcium leak. Liberalization of sodium chloride and increasing fluid intake will reduce the effectiveness of the thiazide diuretic. Indapamide is not an improvement over hydrochlorothiazide in terms of hypokalemia risk.

How well did you know this?
1
Not at all
2
3
4
5
Perfectly
14
Q

A 55-year-old woman with breast cancer has a 3.5 cm right adrenal nodule. The nodule has an attenuation of 25 Hounsfield units on non-contrast CT scan, with 80% washout on contrast-enhanced CT scan. The lesion is most likely a:

A. Lipid rich adenoma

B. Lipid poor adenoma

C. Myelolipoma

D. Breast cancer metastasis

E. Primary adrenal cancer

A

B. Lipid poor adenoma

The majority (approximately 70%) of adrenal adenomas contain high intracellular lipid content (lipid rich adenomas) and as such are characterized on non-contrast CT scan by Hounsfield units < 10. Similarly, myelolipomas contain macroscopic fat and are, thereby, associated with low, and even negative, Hounsfield units. Approximately 30% of adenomas have a lower lipid content, and are known as lipid poor, or atypical adenomas. Consistent with the low lipid content, the Hounsfield units of these lesions on non-contrast CT scan is > 10. However, lipid poor adenomas can usually be distinguished from malignant lesions (i.e., primary adrenal cancers, adrenal metastases) on imaging by assessing the washout of contrast on CT scan with delayed imaging. In particular, an absolute percent washout (enhanced delayed/ enhanced-unenhanced) of > 60% - as in the case here – is indicative of an adenoma. On the other hand, the majority of malignant lesions, including most primary adrenal and metastases, typically have a < 60% washout on CT scan.

How well did you know this?
1
Not at all
2
3
4
5
Perfectly
15
Q

The renal toxicity of IV. Iodinated contrast material is due to:glomerular injury.

A. Glomerular injury

B. Afferent arteriolar constriction

C. Efferent arteriolar constriction

D. Intrarenal vasoconstriction and tubular necrosis

E. Efferent arteriolar dilation and tubular necrosis

A

D. Intrarenal vasoconstriction and tubular necrosis

Three key risk factors that may provoke iodinated contrast- induced renal injury include pre-existing renal dysfunction (serum creatinine > 1.6 mg/dL or estimated GFR < 60 mL/min/1.73m2), pre-existing diabetes, and reduced intravascular blood volume. Contrast agents evoke renal injury by two mechanisms: first, by acting as an intrarenal vasoconstricting agent resulting in decreased intrarenal blood flow and hypoxemia; second, by a direct toxic effect of the contrast agent on tubular epithelial cells. The combination of renal medullary ischemia and direct cellular toxicity leads to increased renal epithelial cell apoptosis and acute tubular necrosis. The osmolality of the contrast agent once believed to be of paramount importance in the induction of contrast-induced nephropathy has been shown to play a minimal role in contrast-induced nephropathy. Indeed, recent studies have found that viscosity of the contrast agent is more important than osmolality. These findings resulted in the recommendation that periprocedural hydration along with limiting the amount of contrast agent are the key to preventing contrast-induced renal damage. A recent meta-analysis to evaluate the various interventions employed for prevention of this complication (assessing sodium bicarbonate solutions, adenosine antagonists [theophylline], N-acetylcysteine, and ascorbic acid) noted mixed results with no definitive proof that these agents could prevent the complication. Randomized control studies have, however, shown that in patients with a creatinine of > 3.5 mg/dL, prophylactic hemodialysis prior to and following the study can reduce the risk of this complication.

How well did you know this?
1
Not at all
2
3
4
5
Perfectly
16
Q

25-year-old woman has recurrent pan-sensitive E. coli UTIs with urgency and frequency but no fever. The next step is:

A. Post coital voiding

B. Cranberry supplement

C. Daily Ciprofloxacin

D. Abdominal ultrasound

E. Cystoscopy

A

B. Cranberry supplement

In women with recurrent uncomplicated symptomatic UTIs, prophylactic options include cranberry supplements or antibiotic prophylaxis. If the recurrent UTIs are related to intercourse, post- coital antibiotics are indicated. Appropriate antibiotics include trimethoprim/sulfamethoxazole, nitrofurantoin, and cephalexin. Fluoroquinolones should be reserved for instances of bacterial resistance or allergy and should be avoided if possible due to the black box warning. Strategies such as post-coital voiding, changing to cotton underwear, wiping away from the urethra, and avoidance of hot tubs have not been shown to decrease the rate of infections. Cystoscopy and imaging (i.e., abdominal ultrasound) should not be routinely obtained in women with uncomplicated recurrent UTIs.

17
Q

A 48-year-old man has a two-week history of low back pain and difficulty voiding. Physical examination reveals an absent bulbocavernosus reflex and loss of perineal sensation. Imaging reveals a L4-L5 disc protrusion. The most likely distribution of his neural injury is:

A. Parasympathetic alone

B. Sympathetic alone

C. Pudendal alone

D. Parasympathetic and pudendal

E. Sympathetic and pudendal

A

D. Parasympathetic and pudendal

18
Q

A random urine culture in a 70-year-old asymptomatic woman after cystectomy and ileal conduit diversion reveals >100,000 Proteus species. The next step is:

A. Observation

B. Repeat urine culture

C. Antibiotic therapy

D. Loopogram

E. Non-contrast CT scan

A

C. Antibiotic therapy

Approximately three quarters of urine specimens from ileal conduits are culture positive; nevertheless, most adults show no ill effects when exposed to chronic bacteriuria. Deterioration of the upper tracts is more likely when the culture becomes dominant for Proteus or Pseudomonas, and thus, these patients should receive antibiotic therapy to reduce the incidence of stone formation. Those patients with mixed cultures may generally be observed, provided they are not symptomatic. Another urine culture would not provide additional information nor alter the treatment plan. Further imaging in this asymptomatic patient, with either loopogram or CT scan, is not indicated.

19
Q

A 27-year-old pregnant woman in her third trimester has urinary frequency and dysuria. Physical examination demonstrates suprapubic tenderness but no flank discomfort. Urine culture is positive for pan-sensitive E. coli. She should be treated with:

A. Tetracycline

B. Trimethoprime/Sulfamethoxazole

C. Amoxicillin

D. Ciprofloxacin

E. Nitrofurtantoin

A

C. Amoxicillin

Penicillin and penicillin derivatives have been proven to be the safest antibiotics for use during pregnancy. Aside from allergy, there are no other known contraindications.
Nitrofurantoin is usually safe but there is a risk of maternal neuropathy and hemolysis in a fetus with relative G6PD deficiency. Nitrofurantoin should only be used during the first two trimesters of pregnancy due to the risks of hemolytic anemia in the neonate.
Trimethoprim/sulfamethoxazole should be avoided during pregnancy, as folic acid antagonists are known teratogens. Tetracycline is contraindicated due to adverse effect on the fetus (tooth discoloration and dysplasia).
Ciprofloxacin should not be used during pregnancy due to its effects on developing cartilage.

20
Q

A 25-year-old man hears a snap during intercourse, without loss of erection. He awakens the next morning with penile pain and on examination has penile shaft and scrotal ecchymosis. He has a normal stream and no hematuria. The next step is:

A. Observation

B. Penile MRI scan

C. Penile duplex Doppler ultrasound

D. Urethrography

E. Penile exploration

A

A. Observation

A genuine penile fracture involves a tear in the tunica albuginea. The injury will invariably result in acute loss of erection due to blood rapidly exiting the affected corpus cavernosum. This will in turn lead to the classically described eggplant deformity as well as frequently observed deviation of the phallus to the side opposite the tunical tear because of the resultant hematoma and mass effect. The fact that he was able to complete intercourse suggests that the clinical scenario in this case is not a penile fracture. The described ecchymosis indicates blood trapped beneath Colles’ fascia, again suggesting that no penile fracture has occurred. It is likely that the patient tore a subcutaneous penile vein from excessive torquing of his penis while erect. There was no evidence of hematuria or LUTS; therefore, there is no indication for urethral evaluation with urethrography or cystoscopy. MRI scan and penile exploration are unnecessary as the described clinical scenario will resolve spontaneously.

21
Q

A pregnant woman underwent low dose non-contrast CT scan at six weeks post-conception for left flank pain. The risk to the fetus is:

A) unchanged

B) fetal demise

C) intrauterine growth restriction

D) intellectual disability

E) childhood cancer

A

E. Childhood cancer

The radiation dose from a low dose non-contrast CT scan is well below 0.05 Gy (5 rads). Below this limit, non-cancer health effects of radiation such as fetal demise, intrauterine growth retardation, and intellectual disability are not observed at any embryonic/fetal developmental stage. These effects, however, are seen at higher doses. Stochastic effects, such as cancer risk, do not require a threshold dose and are thought to be possible at even low doses of radiation. In general, increased radiation correlates with increased cancer risk. Childhood cancer risk and lifetime cancer risk is slightly increased with this low level of exposure.

22
Q

Two months following closure of a traumatic bladder rupture associated with a pelvic fracture, a 20-year-old man is now voiding but has persistent leakage through his prior suprapubic tube site. The next step is:

A. CT Urogram
B. Pelvic MRI
C. Fistulogram
D. Cystourethroscopy
E. UDS

A

D. Cystourethroscopy

When faced with a patient with a persistent urinary fistula, the acronym FETID will aid the physician in determining its etiology and management plans: F- Foreign Body,
E- Epithelization of the fistula tract,
T- Tumor or chronic trauma causing persistence,
I-Infection, or chronic inflammation arising from inflammatory bowel disease, XRT, etc.,
D- Distal obstruction.

In this young patient with a history of persistent fistula following closure of a bladder rupture after a pelvic fracture, persistent drainage from a suprapubic tube site is most likely from either a foreign body within the bladder (i.e., bony spicule or bladder calculi formed as a nidus from the prior indwelling suprapubic tube) or bladder outlet obstruction arising from either a bladder neck contracture or urethral stricture. The single best diagnostic study is cystourethroscopy. Pressure flow UDS could demonstrate findings consistent with high-pressure voiding and outlet obstruction. But the source of the obstruction, which is likely a urethral stricture or a bladder neck contracture, would not be able to be determined by this test and this test does not rule-out the possibility of a foreign body within the bladder. A CT scan may allow one to visualize either a foreign body (bone or hardware) or bladder calculi but would not be able to assess the urinary outlet. Similarly, a fistulogram or pelvic MRI scan are unlikely to yield adequate diagnostic information in this situation to result in definitive operative plans.

23
Q

A 65-year-old man uses 20 mg of tadalafil as needed for erectile dysfunction. His primary care provider would like to initiate doxazosin for hypertension. The next step is:

A. Continue Tadalafil 20mg as needed
B. Decrease Tadalafil 10mg as needed
C. Start Tadalafil 5mg daily
D. Stop Tadalafil
E. Switch to intracorporal alprostadil

A

B. Decrease Tadalafil to 10mg as needed

Concomitant use of alpha-blockers and PDE-5 inhibitors can cause hypotension. When tadalafil is coadministered with an alpha-blocker, patients should be stable on alpha-blocker therapy prior to initiating treatment with tadalafil, and tadalafil should be initiated at the lowest recommended dose. Conversely, when starting an alpha-blocker, the lowest dose of either agent should be used, and they should not be taken at the same time. There is no need to stop tadalafil in this patient or switch to intracorporal injections if he has been successful on oral therapy. Of all the choices, decreasing to the lowest effective dose of tadalafil (10 mg for use as needed or 2.5 mg/day for once daily use) would be recommended for this man.

24
Q

Regarding family members of a child with VUR, VCUG screening should be performed in:

A. All siblings
B. All offspring
C. Any non-toilet trained sibling
D. Any sibling with prenatal hydroureteronephrosis
E. Any sibling with prenatal bilateral pelviectasis

A

D. Any sibling with prenatal hydroureteronephrosos

VCUG is recommended if there is evidence of renal scarring on ultrasound or a history of UTI in the sibling who has not been tested. VCUG is recommended for children with high-grade (Society of Fetal Urology grade 3 and 4) hydronephrosis (not just pelviectasis), hydroureter, an abnormal bladder on ultrasound (late-term prenatal or postnatal), or who develop a UTI. VCUG is not routinely recommended for all siblings of a child with VUR or for the offspring of a former patient with VUR.

25
A 28-year-old woman is 30 weeks pregnant and develops left flank pain requiring parenteral analgesics. Renal ultrasound demonstrates left hydronephrosis and no ureteral jet, but no stone is seen. The next step is: A. KUB B. Low dose CT scan C. Ureteral stent D. Ureteroscopy E. PONT
**B. Low dose CT scan** Renal ultrasound is the initial imaging choice for pregnant women, as it does not expose them to ionizing radiation. In the present scenario, where a stone is suspected but cannot be confirmed on ultrasound, further imaging is recommended. The radiation exposure of a low dose CT scan is similar to that achieved with a limited IVP and does not expose the patient to I.V. contrast material. Furthermore, the American College of Obstetricians and Gynecologists state that an indicated imaging study should not be withheld on the basis of pregnancy. KUB can provide limited data and will not be as useful as a low dose CT scan in this clinical scenario. Ureteral stent, ureteroscopy, and PCNT are all reasonable treatments for patients with obstructing stones; however, in the present scenario, the diagnosis of a stone has not yet been confirmed.
26
When performing a nerve-sparing radical prostatectomy, the surgeon must not injure nerves within the: A. Endopelvic fascia B. Lateral prostatic fascia C. Levator ani fascia D. Denonviller’s fascia E. Obturator fascia
**B. Lateral pelvic fascia** The *cavernosal nerves, branches of the parasympathetic plexus, travel within the lateral prostatic fascia*, also known as the **parietal pelvic fascia**, and are located *posterolateral to the prostate*. Nerve bundles are noted traveling along the prostate laterally and anteriorly as well. The endopelvic fascia blends with the prostatic capsule and also connects with the levator ani fascia, but neither carries the cavernosal nerves. Denonvilliers' fascia lies between the posterior wall of the prostate and rectum, and nerves do not course through this plane. The obturator fascia is the fascia of the internal obturator muscle and is not associated with the cavernosal nerves.
27
As compared with conventional laparoscopic donor nephrectomy, the hand-assisted approach is associated with: A. increased incidence of ureteral strictures B. shorter warm ischemia times C. decreased blood loss D. longer hospitalizations E. delayed allograft function
**B. Shorter warm ischemia times** The outcomes of hand-assisted laparoscopic donor nephrectomy are, in general, comparable to the pure laparoscopic approach with regards to acute and long-term allograft function, operative times, length of hospital stay, estimated blood loss, and overall complication rates. However, the most consistent advantage appears to be a shorter warm ischemia time due to more direct means of specimen extraction as a result of the hand-port device. Nevertheless, the true clinical benefit of this advantage remains uncertain. Nevertheless, the true clinical benefit of this advantage remains uncertain
28
A pregnant woman underwent low dose non contrast CT scan at six week post conception for left flank pain. The risk to the fetus is: A. Unchanged B. Fetal demise C. IUGR D. Intellectual disability E. Childhood cancer
**E. Childhood cancer**