What is a stroke?
A neurological deficit attributed to an acute focal injury of the CNS by a vascular cause, this includes a cerebral infarction, intracerebral haemorrhage, and subarachnoid haemorrhage.
The symptoms and signs persist for more than 24 hours
What is a transischaemic attack?
TIA sometimes called in lay terms mini-stroke.
Similar clinical features of a stroke but completely resolve within 24 hours.
It is a transiet episode of neurological dysfunction caused by focal brain, spinal cord, or retinal ischaemia, without acute infarction.
Types of stroke.
Ischaemic (85%) E.g. thromboembolic
Haemorrhagic (10%)
Other (5%)
Haemorrhagic strokes.
Intracerebral (rupture of a vessel in brain parenchyma)
Subarachnoid haemorrhage
Give other types of stroke.
Dissection (separation of walls of artery)
Venous sinus thrombosis
Hypoxic brain injury e.g. after cardiac arrest.
Two principles of management of stroke.
Are they within the window for thrombolysis (<4 hours)?
Always do a CT head.
Why do we do a CT head?
If there is a bleed or not.
We do not want a bleed.
We try to exclude the 10% of haemorrhagic strokes
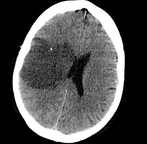
Features of an acute CT head.
Ischaemic area of brain is not visible early on however a bleed will show up.
Features of an acute MRI.
Is sometimes performed and will show ischaemia.
What will a late stroke look like on a CT?
WIll show the ischaemic area

Clinical presentation of anterior cerebral artery infarct.
Motor loss
Sensory loss
Urinary incontinence
Apraxia
Dysarthria
Aphasia
Split brain syndrome / alien hand syndrome

Explain the motor loss in ACA stroke.
Contralateral weakness in lower limb.
This lower limb will be affected much worse than upper limb and face.
Explain the sensory losses of an ACA stroke.
Similar to motor loss.
Contralateral of mostly lower limb.
Urinary incontinence in ACA stroke?
Paracentral lobules being affects which are the most medial parts of the motor/sensory cortices and supply the perineal area.
What is apraxia and why can that be a sign of ACA stroke?
Inability to complete motor planning where the patient might have difficulties dressing themselves.
Often caused by damage to the left frontal lobe (dominant hemisphere)
What does split brain syndrome / alien hand syndrome involve?
The corpus callosum (ACA)
Mortality of MCA stroke.
80%.
Why is there such a high risk of mortality of MCA stroke?
Can cause cerebral oedema
Can also cause haemorrhagic transformation if the vessels in the infarcted area break down.
Why might MCA strokes differ in presentation?
Because the MCA can be occluded at three main points.
What three main points might the MCA be occluded at?
Proximal (before lenticulostriate arteries)
Lenticulostriate arteries occluded
Distal (after lenticulostriate arteries)
Clinical presentation of a proximal MCA stroke.
Contralateral full hemiparesis
Contralateral sensory loss
Visual field defects
Aphasia
Contralateral neglect

What motor losses are associated with proximal MCA stroke?
Face arm and leg all affected contralaterally.
Why is there full motor loss in proximal MCA stroke?
Because the lenticulostriate arteries supply the internal capsule and will affect the posterior limb of the IC.
This means that even though MCA supplies the face and arm area of the homonculus that is irrelevant if the internal capsule is damaged.
Sensory loss of proximal MCA stroke.
Usually arms and face (supplied by MCA) but can also involve larger areas if sensory fibres in the internal capsule are affected.