You help a plaster technician to apply a cast to a patient’s leg. He complains initially of some skin irritation but when you see him in fracture clinic the following day he states he feel comfortable, with no irritation.
What is the neurophysiological mechanism for this phenomenon?
Rapidly adapting receptors of cutaneous mechanoreceptors.
After initial stimulus the APs will diminish and body will get used to the cast.
Can you think of any everyday phenomena that can be explained by this concept?
Clothes
Sitting down
You are assisting in theatre with a resection of a brain tumour arising from the cerebral cortex. The neurosurgeon states that the patient’s sensory function in their right hand is likely to be impaired.
Ascertain as precisely as possible where in the brain the tumour is likely to be.
Left lateral primary sensory cortex of post central gyrus.
Why is the hand particularly vulnerable?
It is very big on the homonculus.
Assuming the neurosurgeon’s prognosis is accurate, which modalities will be affected?
All of them
Speculate on what other functions might be affected by the tumour or following operation.
Sensory of face or arm.
Motor function of arm.
Speech (Broca’s and Wernicke’s area)
Broca’s = frontal lobe and is involved in articulation.
Wernicke’s = parietal lobe and is involved in understanding speech.
A patient with diabetic neuropathy is found to have bilateral glove and stocking paraesthesia in both hands.
Can this pattern be explained by a single lesion affecting the sensory homonculus in the PSC?
If not, why?
No.
They are far apart on the homonculus and would need a large lesion where areas in between would also be affected like arms.
Further examination shows complete sensory loss of S1 dermatome on right side as well as weakness in plantarflexion.
Where is the S1 dermatome?
Lateral side of the foot
Sole of foot
Heel and back of inferior leg
Which structures might have been damaged to cause this isolated dermatomal loss and accompanying weakness?
S1 spinal nerve root
Ventral horn
Dorsal horn
White atter
Nerve or rami
Which region of the cord has been affected?

Posterior dorsal column
The man is vegan.
Why is his dietary history important?
B12 deficiency leading to demyelination of nerves.
Which cord levels have been affected?

C2/C3
C3/C4
He initially presented with sensory ataxia. What is this?
Loss of proprioception
What might be found during clinical examination of the sensory system in this man?
What might a full blood count show?
No proprioception
Low Hb and macrocytic anaemia
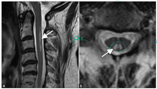
A 30 year old woman presents to the neurology clinic with numbness affecting both of her upper limbs and the upper half of her chest.
Sensory examination reveals she has bilateral loss of pinprick and temperatue sensation in the totality of her C4-T2 dermatomes.
Vibration, light touch and two-point discrimination are preserved.
Which sensory system is affected?
Spinothalamic
A 30 year old woman presents to the neurology clinic with numbness affecting both of her upper limbs and the upper half of her chest.
Sensory examination reveals she has bilateral loss of pinprick and temperatue sensation in the totality of her C4-T2 dermatomes.
Vibration, light touch and two-point discrimination are preserved.
Can you explain the bilateral nature of her symptoms and signs?
The lesion is found at the ventral white commissure where the spinothalamic system decussate.
A 30 year old woman presents to the neurology clinic with numbness affecting both of her upper limbs and the upper half of her chest.
Sensory examination reveals she has bilateral loss of pinprick and temperatue sensation in the totality of her C4-T2 dermatomes.
Vibration, light touch and two-point discrimination are preserved.
Why are there no signs at levels below T2?
Because the lesion don’t extend that lateral and all axons inferiorly will pass laterally.
If the lesion continues to expand, how might her clinical picture change? Think about the location of the somatotopic organisation of the sensory tract.
Might go to lower limbs
Spinocerebellar tracts can be affected.
Motor functions might be affected.
A soldier has been shot in the back, completely destroying the right half of his C5 cord segment.
Predict the sensory disturbance that he is likely to suffer from. Make sure you consider the effects of Lissauer’s tract.
Dorsal column modalities loss below lesion ipsilaterally
Spinothalamic modalities loss below lesion contralaterally
At level of lesion the spinothalamic modality loss might be ipsilateral as well due to Lissauer’s tract.
Speculate about any other consequences that the lesion might have.
Ipsilateral motor loss.