Sinusitis Flashcards

(35 cards)

1
Q

Inflamación de la mucosa de los senos paranasales con presciencia de moco, con la consecuente obliteración de las áreas de paso y drenaje dentro del laberinto anatómico sinusal.

A

Sinusitis

How well did you know this?
1
Not at all
2
3
4
5
Perfectly
2
Q

Fisiopatología de sinusitis

A

La rinitis provoca inflamación de la mucosa nasal, lo que altera el drenaje normal de los senos paranasales. Esta obstrucción genera estasis de moco, creando un ambiente húmedo y rico en nutrientes que favorece la proliferación bacteriana y, eventualmente, el desarrollo de sinusitis.

How well did you know this?
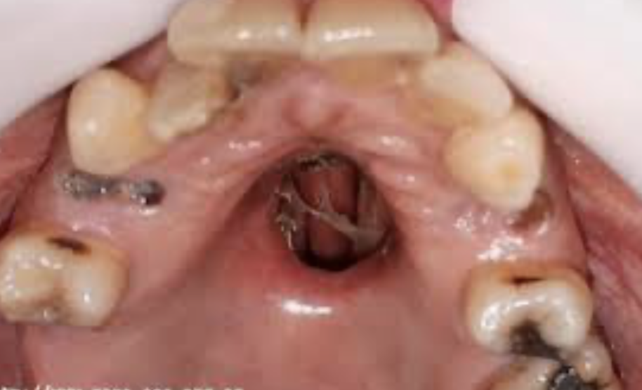
1
Not at all
2
3
4
5
Perfectly
3
Q

Observa el Fenómeno de re circulación:

A

:)

How well did you know this?
1
Not at all
2
3
4
5
Perfectly
4
Q

Clasificación de sinusitis según la evolución
Aguda:
Subaguada:
Crónica:

A

Aguda: <1 mes
Subaguada: 1-3 meses
Crónica: + 3 meses

How well did you know this?
1
Not at all
2
3
4
5
Perfectly
5
Q

Clasificación de sinusitis según su etiología: (3)

A

Viral (catarral), bacteriana y fúngica

How well did you know this?
1
Not at all
2
3
4
5
Perfectly
6
Q

Clinica de sinusitis aguda:

Clinica de sinusitis crónica

A

Dolor facial, fiebre, rinorrea anterior (secreción nasal que drena por la nariz.)

Halitosis, NO DOLOR, Rinorrea posterior (secreción que cae por la parte posterior de la nasofaringe hacia la garganta)

How well did you know this?
1
Not at all
2
3
4
5
Perfectly
7
Q

El diagnostico de sinusitis es:

A

CLÍNICO

How well did you know this?
1
Not at all
2
3
4
5
Perfectly
8
Q

Estudio de imagen que se solicita para sinusitis (Gold standard)

A

Tomografía de senos paranasales y nariz

How well did you know this?
1
Not at all
2
3
4
5
Perfectly
9
Q

Que es la discinesia ciliar?

A

Enf hereditaria que afecta los cilios que recubren los pulmones, senos paranasales, oídos, trompas de Falopio y la cola de los espermatozoides. Debido al mal funcionamiento de estos cilios, el moco se acumula en las vías respiratorias, causando infecciones crónicas y problemas como sinusitis y bronquitis.

How well did you know this?
1
Not at all
2
3
4
5
Perfectly
10
Q

Factores que favorecen la sinusitis: (6)

A
  • Desviación septal
  • Escasa vascularización
  • Inflamación
  • Alteraciones anatómica
  • Inmunosupresión
  • Enf genetica (discinesia ciliar)
How well did you know this?
1
Not at all
2
3
4
5
Perfectly
11
Q

Agentes bacterianos más común de sinusitis: (5)

A

Moraxella catarrhalis, H.influenzae,
S. pneumoniae, S. pyogenes, Mycoplasma Pneumoniae.

How well did you know this?
1
Not at all
2
3
4
5
Perfectly
12
Q

Indicaciones de TC de senos paranasales en sinusitis: (3)

(Se solicita principalmente en pacientes con mayor riesgo o enfermedad complicada)

A

Oncológicos (riesgo de complicaciones o infecciones oportunistas.)

Inmunosuprimidos (riesgo de infecciones graves o atípicas.)

Sinusitis crónica (evaluar la extensión, anatomía y posibles complicaciones.)

How well did you know this?
1
Not at all
2
3
4
5
Perfectly
13
Q

Hongos que hacen sinusitis (3)

A

Aspergillus fumigatus, niger, flavus

How well did you know this?
1
Not at all
2
3
4
5
Perfectly
14
Q

Patogeno que provoca mucormicosis

A

Rizopus orizae

How well did you know this?
1
Not at all
2
3
4
5
Perfectly
15
Q

La sinusitis más común en jovenes inmunocomprometidos es por:

A

Aspergillus

How well did you know this?
1
Not at all
2
3
4
5
Perfectly
16
Q

Factores propiciantes de sinusitis

A
  • Desviación del septum
  • Hipertrofia de cornetes
  • Concha media bulosa
  • Cornete medio paradójico
17
Q

Concha bulosa significa:

A

Cornetes medios llenos de aire + compartamentalizado

18
Q

Como determinar el tx de sinusitis

A
  1. Determinar los factores susceptibles de tx médico
  2. Definir tiempo de evolución y comorbilidades
  3. Precisar los factores anatómicos para establecer el plan quirúrgico
19
Q

Tx medico para sinusitis

A
  • Antibiótico
  • Antifúngico (anfotericina B)
  • Anti-inflamatorio
20
Q

Tratamiento del componente alérgico tras resolver la infección:

Después de que la sinusitis infecciosa ha sido controlada, si queda inflamación por alergia, no se recomienda usar antihistamínicos de primera generación. Por que?

A

Razón: estos medicamentos pueden deprimir la función ciliar de la mucosa nasal, lo que retrasa el aclaramiento del moco y la recuperación.

21
Q

¿Cuál es la complicación más común post-extracción de molares superiores relacionada con el seno maxilar?

A

Comunicación oro-antral: conexión entre la cavidad oral y el seno maxilar, que puede causar sinusitis (infección) si no se cierra adecuadamente.

22
Q

Antibiótico usado en mycoplasma

A

Claritromicina

23
Q

Antibióticos usados en sinusitis

A

Amoxicilina mas clavulanato, claritromicina, cefalosporinas 1 y 2 generación, fluoroquinolonas.

24
Q

Antibióticos usados en casos crónicos de sinusitis y/ recurrente

A

Antibiótico anti-estafilocócico, no por periodos de menos de 10 días.

25
La oximetazolina está prohibida en px…
Hipertensos
26
ATB anti-estafilocócico nunca deben de ser administrados al mismo tiempo con
Anti-histamínico
27
Procedimientos qx posibles para sinusitis
- Rinoseptoplastia, o septoplastia - Procedimientos en cornetes (cauterización, tripsia, medialización) Antrostomía, etmoidectomía, polipectomía - Ampliaciones del complejo osteomeatal - Frontotomias, esfenoidectomia.
28
Dx
Hipertrofia de cornetes
29
Dx
Cornete medio paradójico Nota: Un cornete medio paradójico es una variante anatómica de los cornetes nasales donde el cornete medio se curva hacia el exterior, en lugar de hacia el interior (hacia el tabique nasal), lo cual es la orientación normal.
30
Dx
Sinusitis
31
Dx
Sinusitis
32
Dx
Sinusitis
33
Dx
Mucocele con papiloma nasal invertido
34
Dx
Sinusitis
35
Dx
Comunicación oro-antral