Skull image pack Flashcards

(30 cards)

1
Q

Label 5,6,10,11,12

A

5-Rt masseter muscle
6-Rt ramus of mandible
10=Median suture (hard palate)
11=Rt maxillary sinus
12=Rt Maxilla

How well did you know this?
1
Not at all
2
3
4
5
Perfectly
2
Q

Label 13-18

A

13=Lt lateral pterygoid process (Sphenoid)
14=Lt. medial pterygoid process (Sphenoid)
15=Horizontal plate (Rt palatine)
16=Nasopharynx
18=Odontoid process of C2

How well did you know this?
1
Not at all
2
3
4
5
Perfectly
3
Q

Label 2,5,6,7,8,9

A

2=Alveolar process of maxilla
5=Rt. Masseter muscle
6=Rt. Ramus of mandible
7=Oropharynx
8=Body (C2)
9=Styloid process (Lt Temporal bone)

How well did you know this?
1
Not at all
2
3
4
5
Perfectly
4
Q

Label 1-10

A

1=Coronoid process of mandible
2=Mandibular condyle/condyloid process of mandible
3=Temporomandibular joint/mandibular fossa
4=Angle of mandible/Gonion
5-Ramus of mandible
6=Mandibular notch
7=Zygoma
8-Frontal bone
9=Articular eminence (Temporal bone)
10=Mastoid antrum

How well did you know this?
1
Not at all
2
3
4
5
Perfectly
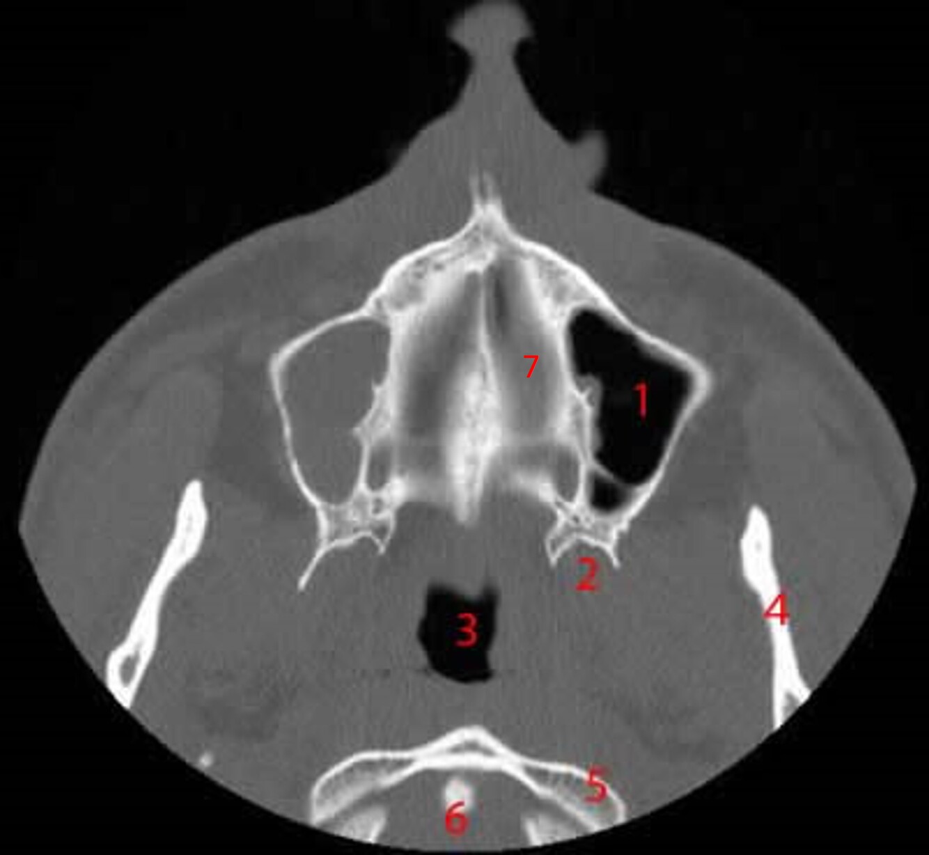
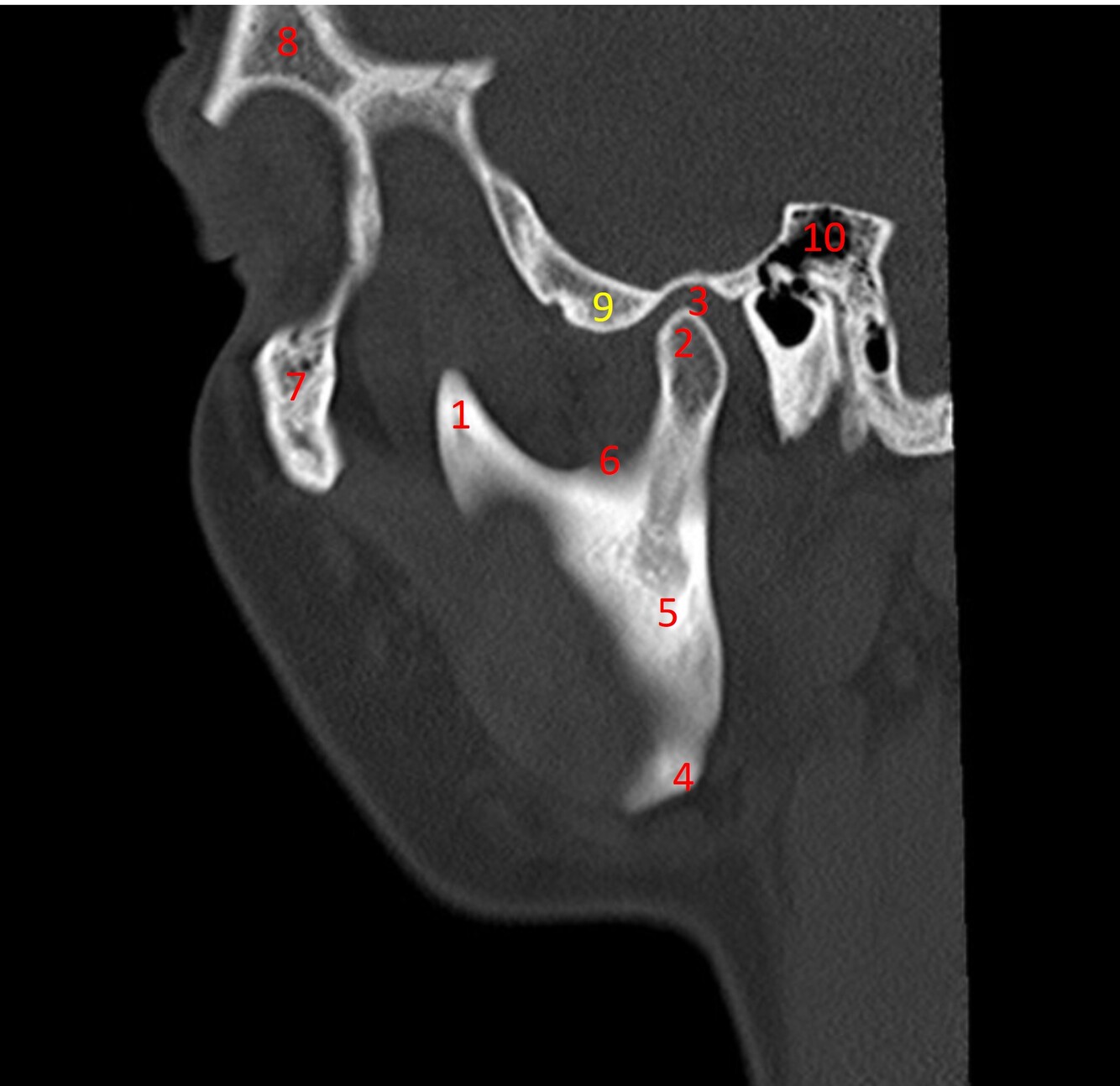
5
Q

Label 1,4,5,6,7

A

1=Lt maxillary sinus
4=Lt mandibular ramus
5=Anterior arch of C1
6=Odontoid process of C2
7=Palatine process of left maxilla

How well did you know this?
1
Not at all
2
3
4
5
Perfectly
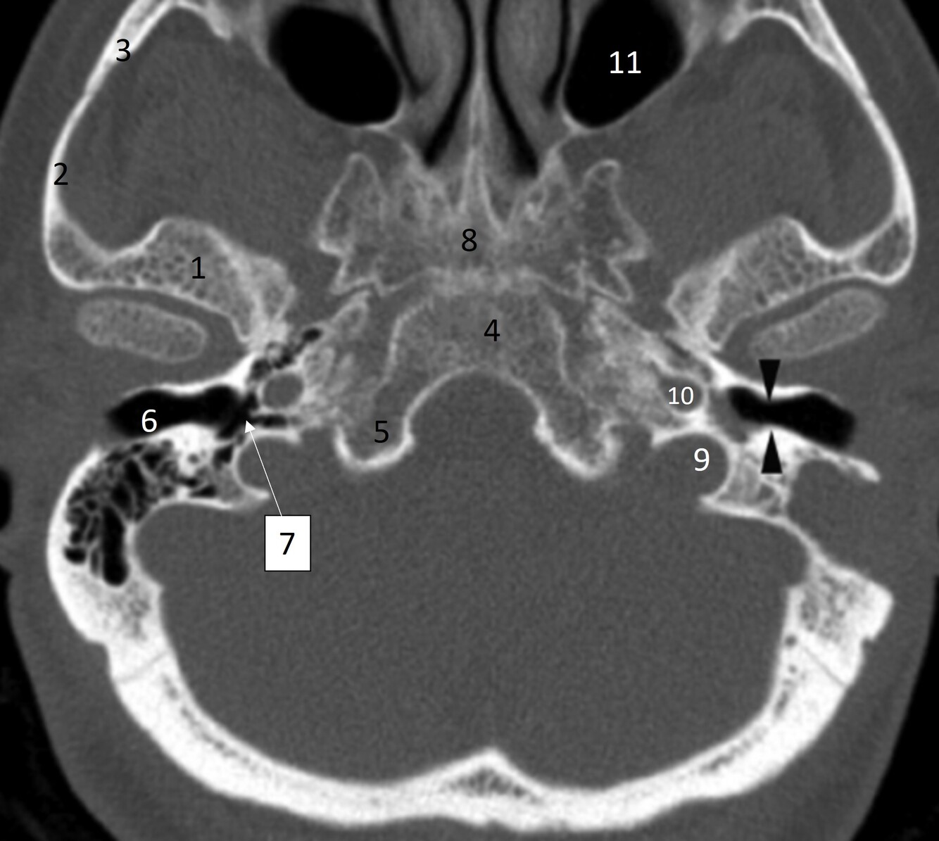
6
Q

Label 7-12

A

7=Crista Galli (Ethmoid)
8.=Hard palate (Maxilla)
9=Rt. Maxillary sinus
10=Nasal septum
11=Rt. Inferior nasal concha
12=Rt. Middle nasal concha

How well did you know this?
1
Not at all
2
3
4
5
Perfectly
7
Q

Label 14,15,17,25,26

A

14=Rt. Inferior nasal meatus
15=Rt. Lamina papyracea (Ethmoid)
17=Rt infraorbital foramen (Maxilla)
25=Rt Orbital roof (frontal bone)
26=Rt Cribriform plate (Ethmoid)

How well did you know this?
1
Not at all
2
3
4
5
Perfectly
8
Q

Label 27-29

A

27=Lt Zygoma
28=Zygomatic process (Lt Maxilla)
29=Alveolar process (Rt Maxilla)

How well did you know this?
1
Not at all
2
3
4
5
Perfectly
9
Q

Label 8,9,10,12,13,18

A

8=Hard palate (Maxilla)
9=Lt maxillary sinus
10=Nasal septum
12= Rt. Middle nasal concha
13=Rt. Superior nasal concha
18=Rt. Ethmoid air cells

How well did you know this?
1
Not at all
2
3
4
5
Perfectly
10
Q

Label 20,22,23,24,27,30,31

A

20-Lt. Superior nasal meatus
22=Rt maxilla (zygomatic process)
23=Rt zygoma
24=Lateral wall of Rt maxillary sinus
27=Perpendicular plate (ethmoid)
30=Rt. Lateral orbital wall (zygoma)
31=Rt. Orbital floor (maxilla)

How well did you know this?
1
Not at all
2
3
4
5
Perfectly
11
Q

Label 32-36

A

32=Lt superior rectus muscle
33=Rt medial rectus muscle
34-Lt Optic nerve
35=Lt lateral rectus muscle
36=Lt inferior rectus muscle

How well did you know this?
1
Not at all
2
3
4
5
Perfectly
12
Q

Label 1-7

A

1=Rt Maxilla (orbital plate)
2=Rt Lacrimal
3=Rt Ethmoid (lamina papyracea)
4= Rt Palatine (orbital plate)
5=Rt Frontal
6=Rt Sphenoid (greater wing)
7=Rt Zygoma

How well did you know this?
1
Not at all
2
3
4
5
Perfectly
13
Q

Label 8-11

A

8-Rt Superior orbital fissure
9-Rt Optic canal
10= Rt Nasal bone
11=Rt frontal process (maxilla)

How well did you know this?
1
Not at all
2
3
4
5
Perfectly
14
Q

Label 1-6

A

1=Lt Frontal bone
2=Lt Sphenoid bone (greater wing)
3=Lt Zygomatic bone
4=Lt Ethmoid bone (lamina papyracea)
5=Lt Lacrimal bone
6=Lt Maxilla (orbital plate)

How well did you know this?
1
Not at all
2
3
4
5
Perfectly
15
Q

Label 18,19,21,23,33,34

A

18=Palatine process (Maxilla)
19=Soft palate
21=Nasopharynx
23=Sphenoid sinus
33=Anterior arch (C1)
34=Odontoid process (C2)

How well did you know this?
1
Not at all
2
3
4
5
Perfectly
16
Q

Label 35,37,38,39,48

A

35=Posterior arch (C1)
37=Acanthion
38=Nasal bone
39=Cribriform plate (Ethmoid)
48=Clivus

17
Q

Label 49-52

A

49=Vomer
50=Pharyngeal tonsils
51=Frontal bone
52=Horizontal plate (palatine bone

18
Q

Label 1-6

A

1=Right pterygoid process
2=Occipital bone
3=Foramen magnum
4=Clivus (Sphenoid)
5=Rt Maxilla
6=Rt Zygoma

19
Q

Label 7,20,32,33,34

A

7=Rt Zygomatic arch
20=Nasal septum (Vomer)
32=Right Temporalis muscle
33=Lt condyloid process (mandible)
34=Left Mastoid air cells

20
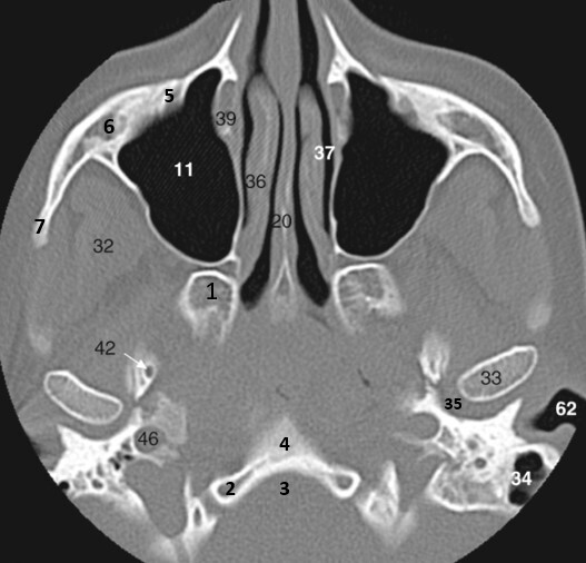
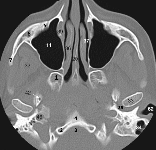
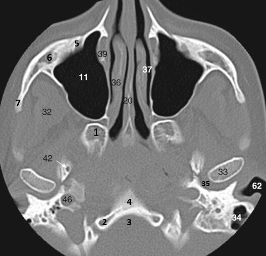
Q

Label 36,37,46,62

A

36=Rt. Inferior nasal concha
37=Lt. Inferior nasal meatus
46=Lt. carotid canal
62= Lt. EAM

21
Q

Label 1-9

A

1=Lt uncinate process
2=Lt infundibulum
3=Lt hiatus semilunaris
4=Lt ostium (mandible)
5=Lt middle nasal meatus
6=Lt maxillary sinus
7=Lt Zygoma
8=Lt medial rectus muscle
9=Rt globe of eye

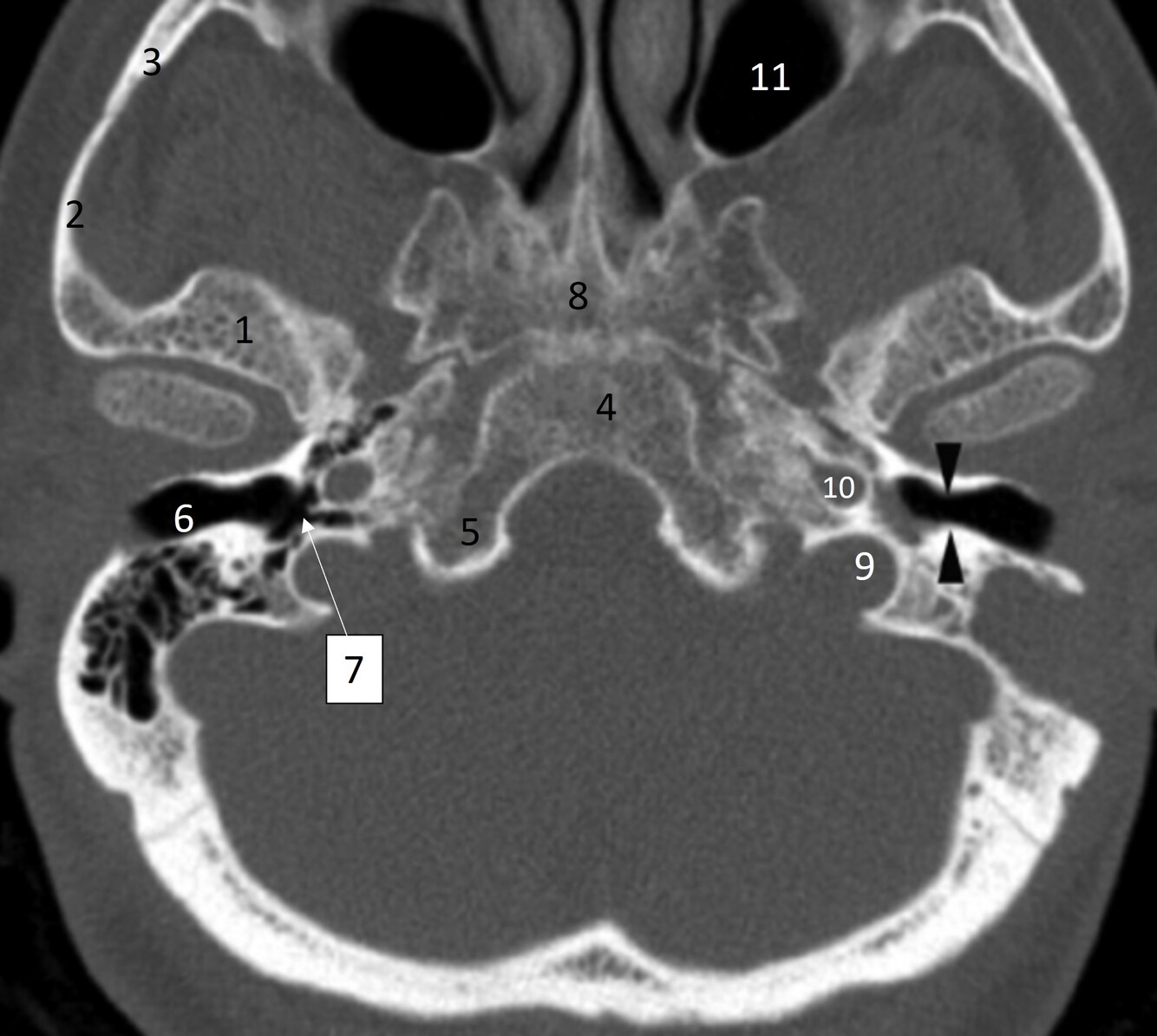
22
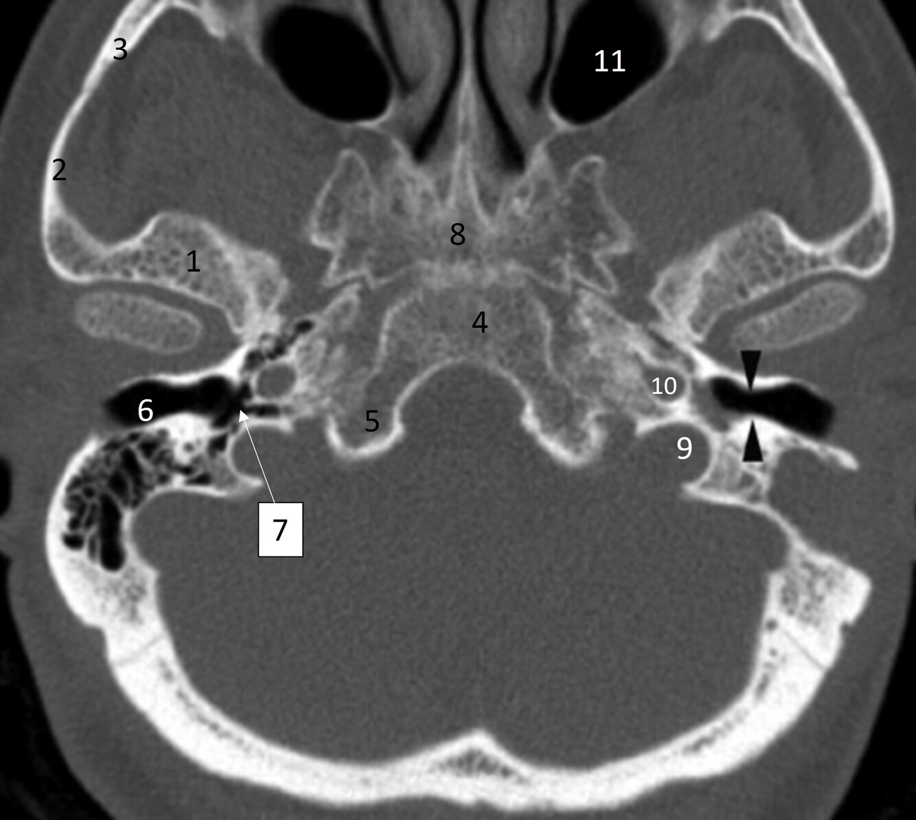
Q

What narrowing are the black arrowheads pointing at?

A

Isthmus of Rt EAC

23
Q

Label 1-6

A

1=Rt temporal bone
2=Rt Zygomatic process (temporal bone)
3=Rt Temporal process (zygoma)
4=Clivus
5=Occipital bone
6=Rt EAC

24
Q

Label 7-11

A

7-Rt middle ear/tympanic cavity
8=Sphenoid
9=Lt jugular foramen
10.=Lt carotid canal
11=Lt maxillary sinus

25
Label 1-4,56
1=Lt styloid process (temporal bone) 2=Rt mandibular condyle 3=Nasopharynx 4=Rt Masseter muscle 56=Rt coronoid process (mandible
26
Label 1-5
1=Frontal bone 2= Frontal sinus 3= Nasal bone 4=Perpendicular plate (ethmoid) 5=Frontal process (lt maxilla)
27
Label 1-5
1=Nasopharynx 2=Sphenoid sinus 3=Posterior Ethmoid air cells 4=Sphenoethmoidal recess 5=Superior nasal meatus
28
Label 6-9
6=Dorsum sella 7=Tuberculum sella 8=Anterior arch (C1) 9=Inferior nasal concha
29
Label 1-6
1=Rt scutum 2= Rt tympanic membrane 3=Rt tympanic annulus 4=Rt tympanic cavity 5=Rt EAC 6=Rt mastoid air cells
30
Label 1,3,4,5
1=Rt Mastoid air cells 3=Rt IAC 4=Rt tympanic cavity 5=Petrous ridge (Rt temporal bone)