Label 1,2,9,15,36,40
1=Rt. AC joint
2=Rt. Acromion of scapula
9=Rt. Clavicle (acromial end)
15=Rt. deltoid muscle
36-Rt. supraspinatous muscle
40=Rt. trapezius muscle
Label 31,13,15,36
31=Spine of rt. scapula
13=Coracoid process of right scapula
15=Rt. deltoid muscle
36=Rt. supraspinatus muscle
Label 16,18,19,23
16=Glenoid process of Rt. scapula
18=Greater tubercle of Rt. humerus
19=Head of rt. humerus
23=Rt. infraspinatus muscle
Label 13,15,16,18,19,23,32
13=Rt. coracoid process
15=Rt. deltoid muscle
16=Glenoid process of Rt. scapula
18=Greater tubercle of Rt. humerus
19=Head of Rt. humerus
23= Rt. infraspinatus muscle
32=Rt. subscapularis muscle
Label 1,2,9,15,16,19
1=Rt. AC joint
2=Acromion of rt. scapula
9=Rt. clavicle (acromial end)
15=Rt. deltoid muscle
16=Glenoid process of rt. scapula
19=Head of rt. humerus
Label 23, 31,36,39,40
23=Rt. infraspinatus muscle
31=Spine of rt. scapula
36-Rt. supraspinatus muscle
39=Rt. teres minor
40=Rt. trapezius muscle
Label a
Supraspinous fossa
Label 1,4,6,16,32,33
1-Lt. Basilic vein
4=-Lt. Brachialis muscle
6-Capitulum of Lt. humerus
16=Head of Lt. radius
32-Trochlea of lt. humerus
33= Tuberosity of lt. radius
Label 6,16,17,18,22,25,32
6=Capitulum of lt. humerus
16=Head of lt. radius
17=Lt. Humerus
18=Lateral condyle (lt. humerus)
22=Medial condyle (rt. humerus)
25=Olecranon fossa of lt. humerus
32=Trochlea of lt. humerus
Label 19 and 26
19-Lt. Triceps brachii muscle
26-Olecranon process of lt. ulna
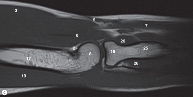
Label 3,6,8,8,16,17,19,25
3=Biceps brachii muscle
6=Brachialis muscle
8=Capitulum of humerus
9=Cephalic vein
16=Radial head
17=Humerus
19=Triceps brachii
25=Radius
Label 3,6,9,17,21,23,28
3=Biceps brachii muscle
6-Brachialis muscle
9=Coronoid process
17=Humerus
21=Triceps brachii
23=Olecranon process of ulna
28-Trochlea of humerus
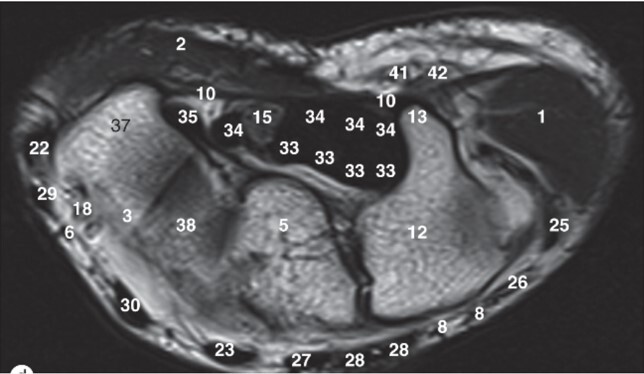
Label 5,12,13,37,38
5=Capitate
12-Hamate
13=Hook of Hamate
37=Trapezium
38=Trapezoid