Slides Flashcards

(3 cards)

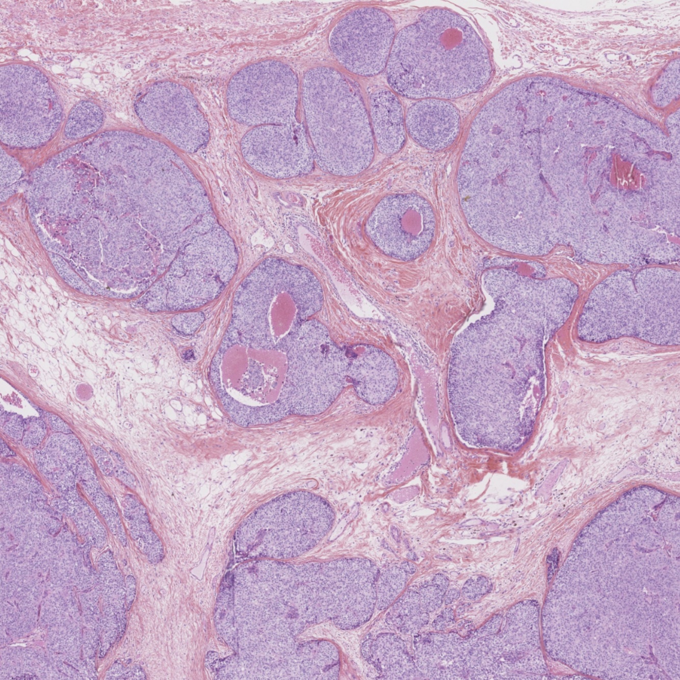
1
Q

57F breast

A

Solid papillary CA

How well did you know this?
1
Not at all
2
3
4
5
Perfectly
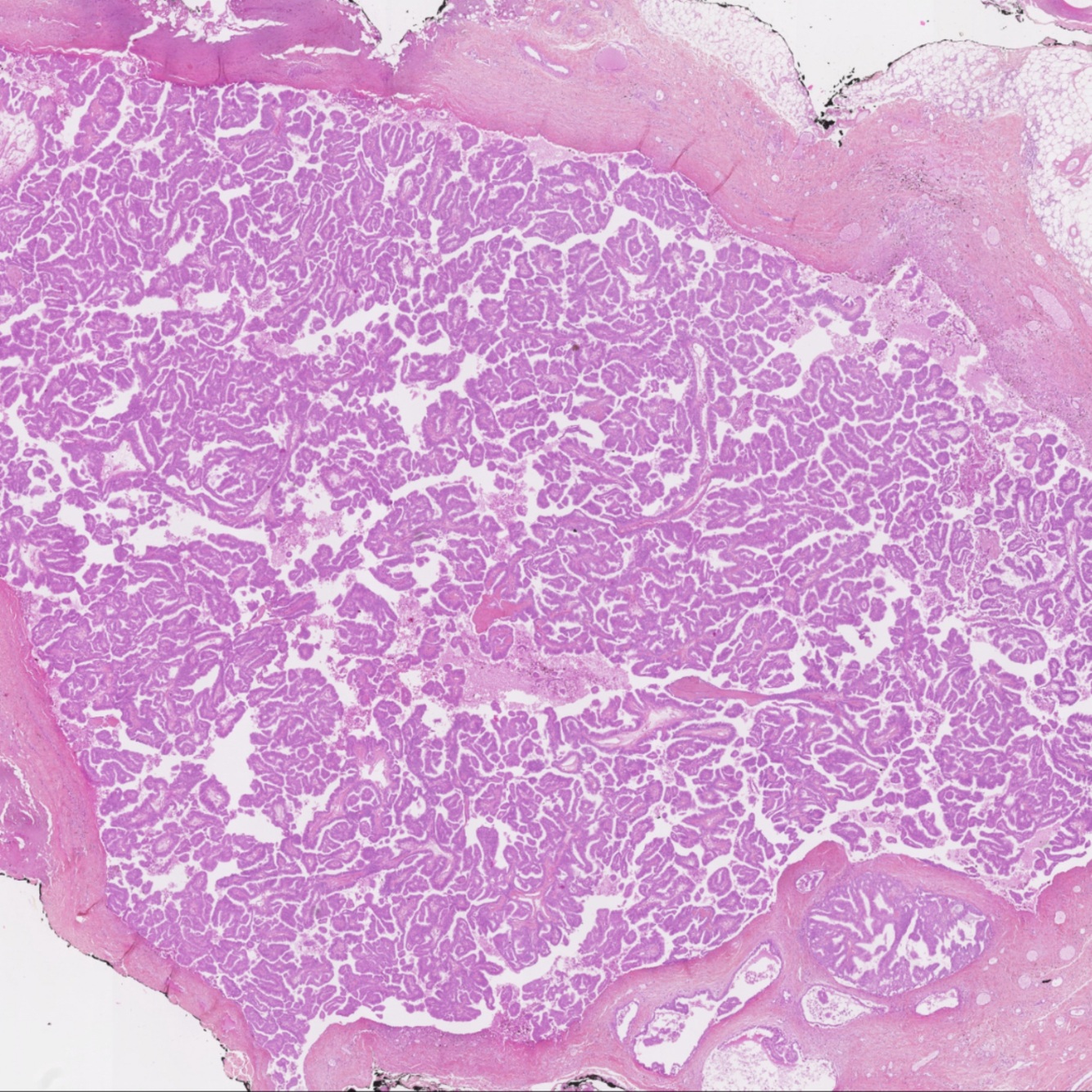
2
Q

62F breast

A

Encapsulated papillary CA

How well did you know this?
1
Not at all
2
3
4
5
Perfectly
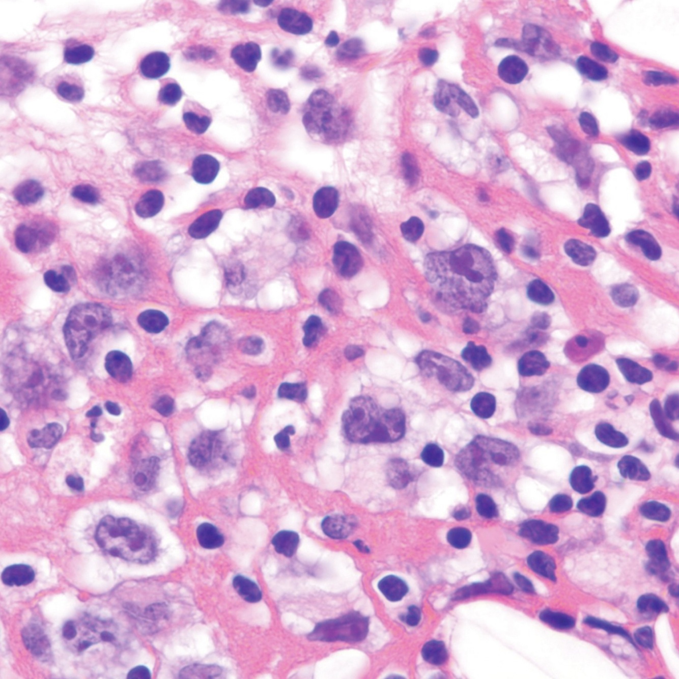
3
Q

53F breast effusion cell block
Hx breast CA and reconstruction

A

Breast implant associated anaplastic large cell lymphoma

How well did you know this?
1
Not at all
2
3
4
5
Perfectly