Slides Flashcards

(60 cards)

1
Q

What is this

A

Masquerade syndromes
Conditions mimicing uveitis

How well did you know this?
1
Not at all
2
3
4
5
Perfectly
2
Q
A

Serpiginous choroidopathy:
* Idiopathic, HLA-B7, Retinal S antigen
DDX TB/HSV

How well did you know this?
1
Not at all
2
3
4
5
Perfectly
2
Q
A

Birdshot choroidopathy
* Idiopathic, women, HLA-A29 positive
* AAD to retinal S antigen
* Chronic bilateral blurring of vision
Common recurrances

How well did you know this?
1
Not at all
2
3
4
5
Perfectly
2
Q
A

Multiple evanescent white dot syndrome (MEWDS)
* Idiopathic, female, viral prodrome 50%
* Unilateral loss of vision
Transient with good visual outcome

How well did you know this?
1
Not at all
2
3
4
5
Perfectly
3
Q
A

Punctate inner choroidopathy (PIC)
* Idiopathic, women, myopic
* Never has vitritis
* No treatment
Good visual outcome

How well did you know this?
1
Not at all
2
3
4
5
Perfectly
3
Q
A

Busacca and Koppe nodules from anterior uveitis

How well did you know this?
1
Not at all
2
3
4
5
Perfectly
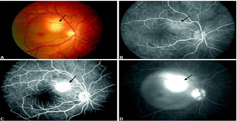
3
Q
A

FFA of a TB granuloma

How well did you know this?
1
Not at all
2
3
4
5
Perfectly
3
Q
A

1/2: Acutre retinal necrosis
3: Progressive outer retinal necrosis

Viral retinitis:

* HSV/HZO/CMV
* Acute retinal necrosis (ARN)
	○ Triad of: Vitritis, Arteritis, Periphlebitis
	○ Confluent peripheral retinal necrosis
* Progressive outer retinal necrosis
	○ Cracked mud appearance
* IV acyclovir 2w + steroids
How well did you know this?
1
Not at all
2
3
4
5
Perfectly
3
Q
A

Acute posterior multifocal placoid pigment epitheliopathy (APMPPE)
* Idiopathic, HLA B7/DR2
* Sudden bilateral loss of vision
Can cause disc edema, KP’s, RD, Venous occlusions

How well did you know this?
1
Not at all
2
3
4
5
Perfectly
4
Q
A

CMV retinitis
* AIDS and organ transplant
* Frosted bushfire
IV acyclovir

How well did you know this?
1
Not at all
2
3
4
5
Perfectly
4
Q
A

Papillary OSSN

How well did you know this?
1
Not at all
2
3
4
5
Perfectly
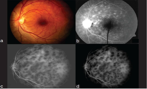
4
Q
A

ICG of MEWDS
Multiple evanescent white dot syndrome (MEWDS)
* Idiopathic, female, viral prodrome 50%
* Unilateral loss of vision
* Transient with good visual outcome

How well did you know this?
1
Not at all
2
3
4
5
Perfectly
4
Q
A

Chronic anterior uveitis:
* Duration > 3 months
* Bilateral
Asymptomatic W/Posterior synechiae

How well did you know this?
1
Not at all
2
3
4
5
Perfectly
4
Q
A

Acute anterior uveitis
* Most common form of uveitis
* Idiopathic
* Unilateral
* Pain, redness, watering, photophibia, blur
* Good prognoisis
Non-infectious causes:
* Immune mediated (Ankylosing spondylitis)
* Juvenile idiopathic arthritis
* SLE
* Sarcoidosis
* Behcet’s disease
* Vogt-Koyanagi - Harada disease
* Fuch’s heterpchromic iridocyclitis
Infective causes:
* Lyme disease
* Syphilis
* TB
* Herpes
* Toxo
Signs:
* Conj. Injection
* Corneal edema
○ KP’s (non-granulomatous)
○ Mutton fat KP’s (granulomatous)
○ Stellate KP’s (Fuch’s uveitis syndrome)
* AC cells/flare, Hypopyon, hyphaema
* Iris nodules (Busacca/Koeppe’s), Atrophy, PAS, Neovasc.
* Lens pigment ring, cataract
* IOP fluctuations
○ Low > CB inflammation
○ High > angle closure
* Vitritis
Complications:
* Corneal edema, band keratopathy
* Iris synechae (Pos/Ant)
* Angle PAS
* Lens cataract
* CB membrane
* Secondary glaucoma
Retinitis, optic neuritis

How well did you know this?
1
Not at all
2
3
4
5
Perfectly
4
Q
A

Toxoplasmosis
* Most common
○ Immunocompetent, pets, tropical countries
* Headlight in a fog
* Risk secondary glaucoma
Pyrimethamine + Sulfadiazine + corticosteroids + folic acid

How well did you know this?
1
Not at all
2
3
4
5
Perfectly
4
Q
A

Toxocariasis
* Injestion of pet roundworm
* Granuloma on fundus with TRD
Systemic steroids

How well did you know this?
1
Not at all
2
3
4
5
Perfectly
4
Q
A

Moorens ulcer
6th 7th decade , common in men
Treatment:
topical steroids, conjunctival resection, systemic
immunosuppressive , topical cyclosporin

How well did you know this?
1
Not at all
2
3
4
5
Perfectly
4
Q
A

Terriens marginal degeneration

How well did you know this?
1
Not at all
2
3
4
5
Perfectly
4
Q
A

FFA of CME

How well did you know this?
1
Not at all
2
3
4
5
Perfectly
4
Q
A

Band keratopathy and lenticular cataracts following anterior uveitis

How well did you know this?
1
Not at all
2
3
4
5
Perfectly
4
Q

Grade this

A

Cells
Grade 0 = <1 cells in the field
Grade 0.5 = 1 to 5 cells in the field
Grade 1+ = 6 to 15 cells
Grade 2+ = 16 to 25 cells
Grade 3+ = 25 to 50 cells
Grade 4+ = > 50 + cells

Flare
Grade 0 = none
Grade 1+ = faint
Grade 2+ = moderate (iris & lens detail clear)
Grade 3+ = marked (iris & lens detail hazy)
Grade 4 = intense (fibrin/plastic aqueous)

How well did you know this?
1
Not at all
2
3
4
5
Perfectly
4
Q
A

Nodular | Leukoplakic OSSC

How well did you know this?
1
Not at all
2
3
4
5
Perfectly
4
Q
A

Corneal Farinata
No treatment needed

How well did you know this?
1
Not at all
2
3
4
5
Perfectly
4
Q
A

Lipid keratopathies
Ca in epithelium
Secondary
occurs after injury or infection
vascularisation (herpes simplex & zoster)

Treatment: Argon laser photocoagulation of
feeder vessels, PKP

How well did you know this?
1
Not at all
2
3
4
5
Perfectly
4
Crocodile shagreen No-treatment needed
4
5
5
6
7
Port-wine stain
8
Pyogenic granuloma
9
9
Xanthelasma * Common in middle age & elderly * Women * Multiple bilateral subcutaneous yellow plaques * Site: Inner canthus & UL * Younger hyperlipedemia * Treatment: Excision
10
11
11
VFT of papilledema progression enlarged blind spot, inferonasal step, constriction
11
Diffuse and nodular anterior Scleritis DDX: Instil 2.5% or 10% topical phenylephrine > vessels will not blanch
12
Papilledema atrophic stage
13
FFA of AION > Delayed choroidal filling
14
Optic disc drusen in papilledema
15
AAION * GCA / SLE Altitudinal VFD CRP, ESR, Platelet count
16
Diffuse and nodular episcleritis DDX: Instil 2.5% or 10% topical phenylephrine > vessels will blanch
16
NAION and disc at risk (small, crowded)
17
Posterior scleritis (scleral thickening)
18
18
TED * Genetic – CTLA4, TCR beta chain * Family history * Smoking – strongest risk factor
18
Orbital cellulitis
19
19
ERM
19
Preseptal cellulitis ➢ Etiology – trauma, insect bites, sinusitis, stye, chalazion, dacryocystitis, erysipelas, hematogenous ➢ Organism – bacteria – staphylococcus aureus, strep pneumoniae ➢ Clinical features – low grade fever, pain & redness ➢ Management – oral antibiotics, drain abscess
20
20
FFA Stargardts disease
21
Macular hole Trauma/Idiopathic
22
FFA of CSR (smokestack) * Spontaneousresolution occursinthemajorityofcasesin3-6months * Discontinuesteroids * Lifestylechange * Laserphotocoagulation * PDT
22
Dry and Wet AMD
23
Calcifications of retinoblastoma
24
Microaneurysms in DR
24
Left CN4 palsy Hypermetropia worse on gaze to opposite side Worse on head tilt to same side
24
PDR
25
severe DR