What is interstitial lung disease?
Disease in the interstitial space around alveolar capillary units
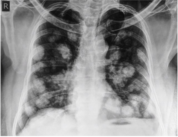
This shows diffuse pulmonary metastases, which _____ DPLD
This shows diffuse pulmonary metastases, which are not DPLD

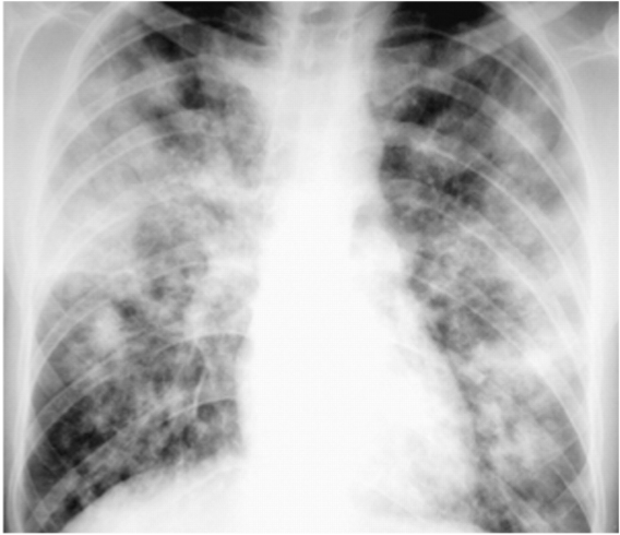
This is multifocal pneumonia, which _____ DPLD
This is multifocal pneumonia, which is not DPLD

What are the 6 questions for suspected IIP?

If there is an _________ for a patient’s ILD, they do not have idiopathic ILD regardless of CT or pathology findings
If there is an identifiable trigger for a patient’s ILD, they do not have idiopathic ILD regardless of CT or pathology findings
Why is a detailed occupational and exposure history important for evaluating a person with lung problems?
Can tell whether lund disease is idiopathic or not
If a patient with connective tissue disease (autoimmune disease) comes in with lung problems, think that the patient might have ______

If a patient with connective tissue disease (autoimmune disease) comes in with lung problems, think that the patient might have ILD

What is the basic lab work for a patient with lung issues?
This is DPLD in a patient on amiodarine, which ____ an IIP

This is DPLD in a patient on amiodarine, which is not an IIP
(this is drug-induced ILD)
This is DPLD in a 75 yo female w/ 3 cockatiels, which ____ an IIP

This is DPLD in a 75 yo female w/ 3 cockatiels, which is not an IIP
(this is hypersensitivity pneumonitis - see ground glass)
This is progressive fibrosis in a patient with an occupational silica exposure, which _____ an IIP

This is progressive fibrosis in a patient with an occupational silica exposure, which is not an IIP
(this is silicosis)
This is fibrosis in a 65 yo female w/ rheumatoid arthritis, which ____ an IIP

This is fibrosis in a 65 yo female w/ rheumatoid arthritis, which is not an IIP
(this is RA-ILD)
What is sarcoidosis?
Sarcoidosis is a multi-system idiopathic granulomatous disease
Sarcoidosis manifests as ________ on HRCT
Sarcoidosis manifests as bilateral hilar adenopathy and upper lobe parenchymal disease (often nodules) on HRCT

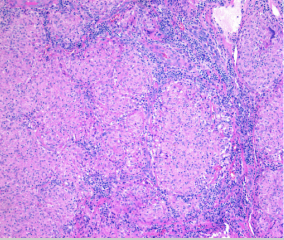
Sarcoidosis manifests as _______ on pathology
Sarcoidosis manifests as well-formed non-caseating granulomas on pathology

Outcomes are _____ with IPF versus other IIPs
Outcomes are notably worse with IPF versus other IIPs
(median survival of 3.5 years)
Therapy for IPF involves ______, while ______ is harmful
Therapy for IPF involves antifibrotic therapy (pirfenidone or nintedanib), while immunosuppresion is harmful
Therapy for HP, CT-ILD, sarcoidosis, AEP/CEP, COP, and NSIP involves ______
Therapy for HP, CT-ILD, sarcoidosis, AEP/CEP, COP, and NSIP involves immunosuppression (steroids +/- steroid-sparing agents)
Describe the clinical and radiographic features consistent with IPF

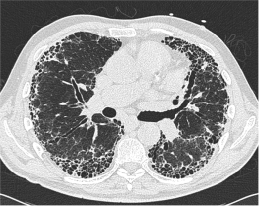
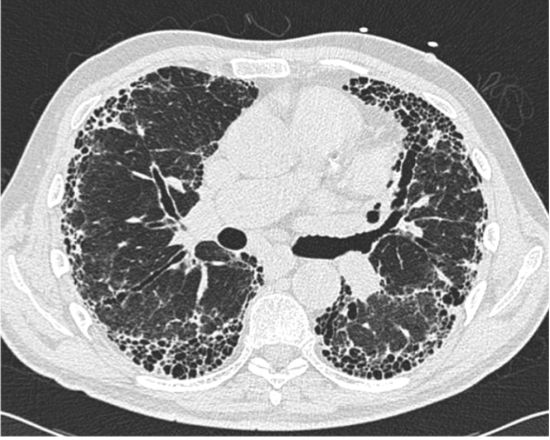
The UIP pattern of IPF on HRCT consists of ______, ______, ______, and ______
The UIP pattern of IPF on HRCT consists of sub-pleural basilar-predominant fibrosis, reticulation, honeycombing, traction bronchiectasis (not mandatory)

What do you information need to be sure that someone has IPF?
Consistent story + consistent imaging + consensus at multidisciplinary conference = IPF
No further testing required
Strongly discordant HRCT features mean the patient _____ IPF
Strongly discordant HRCT features mean the patient does not have IPF
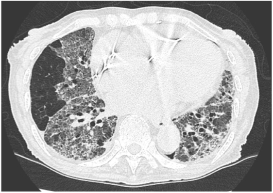
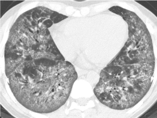
Is this UIP?

This is not UIP because there too much ground glass (too hazy)
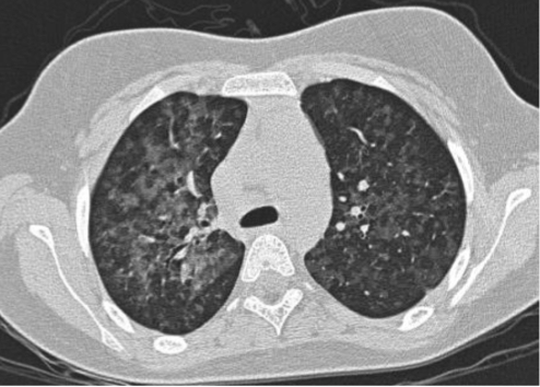
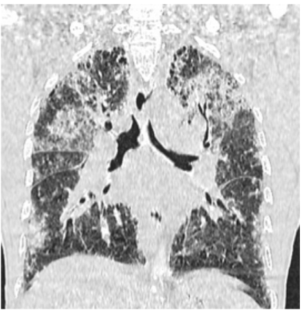
Is this UIP?

No, this is not UIP because this is upper-lobe predominant fibrosis