COPD is a _____ and _____ disease
COPD is a preventable and treatable disease
(has extrapulmonary effects as well)
The pulmonary component of COPD is _____ but rather is _____ and associated with _____
The pulmonary component of COPD is airflow limitation that is not fully reversible but rather is usually progressive and associated with an abnormal inflammatory response of lung to noxious particles or gases
_____ is the major risk factor for COPD
Cumulative exposure to noxious particles is the major risk factor for COPD
(cigarette smoke, indoor air pollution, occupation dusts, outdoor air pollution)

_____ deficiency is associated with COPD
Alpha-1-antitrypsin deficiency is associated with COPD
The cells most heavily involved in COPD are _____, _____, and _____
The cells most heavily involved in COPD are alveolar macrophages, neutrophils, and CD8+ lymphocytes
Describe the pathogenesis of COPD

The main pathological changes in COPD are _____, _____, and _____
The main pathological changes in COPD are fibrosis (obstructive bronchiolitis), alveolar wall destruction (emphysema), and mucus hypersecretion
Describe the role of alveolar macrophages in COPD
Alveolar macrophages orchestrate much of inflammatory process underlying COPD and release elastolytic enzymes and ROS
(increased in COPD lungs)

Describe the role of neutrophils in COPD
Neutrophils

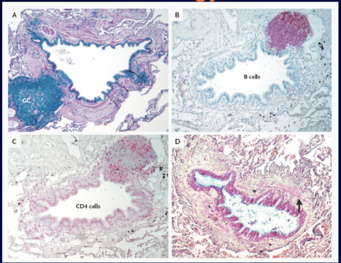
Describe the role of CD8+ lymphocytes in COPD
CD8+ lymphocytes perpetuate inflammatory response by releasing chemoattractants and are found in the airway walls, vessels, and lymph nodes of smokers with COPD
Describe the effects of inflammation in COPD
Inflammation leads to
Both lead to airflow limitation
Changes occur in the _____ in the chronic bronchitis portion of COPD
Changes occur in the large airways in the chronic bronchitis portion of COPD
_____ occurs in the small airways during COPD
Small airway remodeling occurs in the small airways during COPD
Changes occur in the _____ in the emphysema portion of COPD
Changes occur in the lung parenchyma in the emphysema portion of COPD
What changes occur in the large airways in the chronic bronchitis portion of COPD?
Large airways
(note that there is no subepithelial basement membrane thickening or smooth muscle hypertrophy)

What changes occur in the small airways in COPD?
Small airway remodeling

What changes occur in the lung parenchyma in the emphysema portion of COPD?
Lung parenchyma

This pathology represents the ______ portion of COPD

This pathology represents the chronic bronchitis portion of COPD

This pathology represents the ______ portion of COPD

This pathology represents the small airway remodeling portion of COPD

Emphysema leads to permanent ________

Emphysema leads to permanent distal acinar enlargement

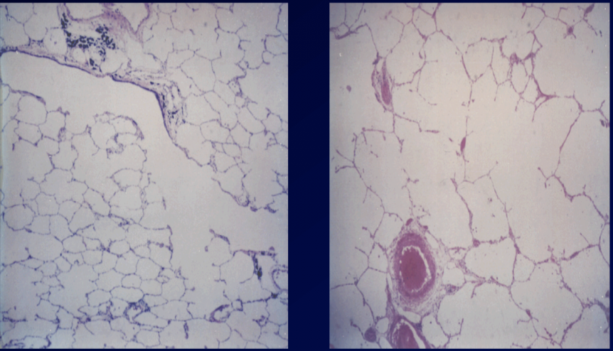
This pathology represents the ______ portion of COPD
Which side is normal? Which is COPD?

This pathology represents the emphysema portion of COPD
Left is normal, right is emphysema

Diagnosis of COPD is made by ______
Diagnosis of COPD made by spirometry after looking at symptoms and exposure to risk factors
(FEV1 / FVC < 0.70 and not reversible)
(misdiagnosed in women)
Describe the flow-volume and volume-time curves in COPD

Mechanisms of airflow limitation in COPD are _____, _____, and _____
Mechanisms of airflow limitation in COPD are mucus hypersecretion (luminal obstruction), disrupted alveolar attachments (emphysema), and mucosal and peribronchial inflammation and fibrosis (obliterative bronchiolitis)
