Socrative Final Flashcards

(40 cards)

1
Q

Which is not a cause of functional tricuspid regurgitation?

  1. Atrial fibrillation
  2. Dilated cardiomyopathy
  3. Infective endocarditis
  4. Pulmonary hypertension
A
  1. Infective endocarditis

Infective endocarditis causes TR by changing the valve itself, so it falls into the organic causes category. The other three choices cause TR by means of dilated TV annulus, putting them into the functional causes category

How well did you know this?
1
Not at all
2
3
4
5
Perfectly
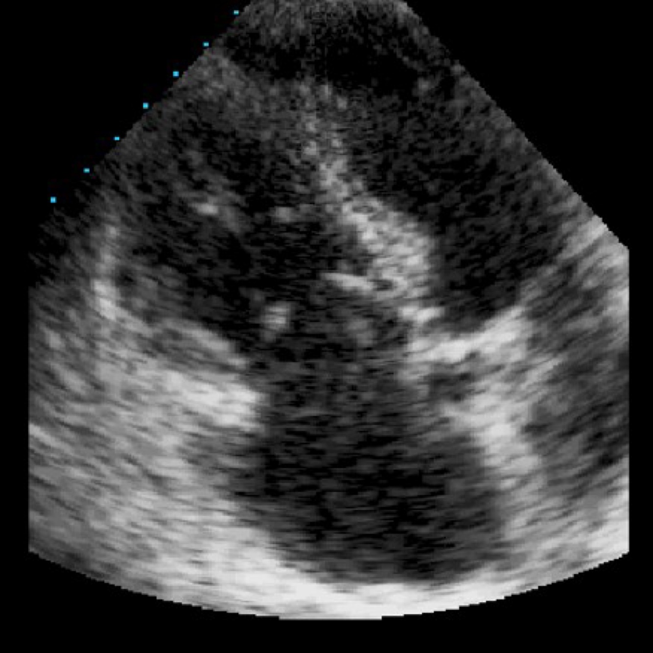
2
Q

Your patients TV is shown here during systole. The Mitral valve appears normal. What is the most likely pathology shown?

A

Carcinoid TV

Carcinoid heart affects RT heart, particularly the TV. It causes the valve to become retracted and immobile. Rheumatic TV has a similar appearance, but would also affect the MV.

How well did you know this?
1
Not at all
2
3
4
5
Perfectly
3
Q

Your Patients TR het has a vena contracta of 2.5mm and a PISA radius of 4mm. What is the severity of the TR?

A

Mild

MIld TR VC <3mm
Mild PISA radius <5mm

How well did you know this?
1
Not at all
2
3
4
5
Perfectly
4
Q

Grade the PR severity in this image based on the pressure half time

A

Moderate

Mod >100 mesic
Sever <100msec

How well did you know this?
1
Not at all
2
3
4
5
Perfectly
5
Q

What causes a A dip in the PR waveform?

A

A rise in RVEDP caused by the RA contraction

When the right atrial kick occurs, pressure rises in the RV at end diastole causing a lower pressure gradient between RV/PA

How well did you know this?
1
Not at all
2
3
4
5
Perfectly
6
Q

It can be hard to assess the PV from the parasternal window on patients with lung conditions such as COPD because the lung obscures the window. Which other view is the best option to assess the PV and PA?

  1. Apical
  2. Subcostal
  3. SSN
  4. RPS
A

Subcostal

How well did you know this?
1
Not at all
2
3
4
5
Perfectly
7
Q

Choose the parameter which is incorrect when indicating significant TS?

  1. Mean gradient > 5mmHg
  2. TV inflow VTI > 60
  3. Pressure half time >190
  4. TVA <2.0 cm2
A

TVA <2.0 cm2

Sig to by TVA >1cm2

How well did you know this?
1
Not at all
2
3
4
5
Perfectly
8
Q

What is the most common cause of tricuspid and pulmonary stenosis?

A

TS - Rheumatic
PS- Congenital

How well did you know this?
1
Not at all
2
3
4
5
Perfectly
9
Q

Other than parasternal, name another echo window which is useful in assessing the pulmonic valve

A
  1. Apical
  2. Subcostal
How well did you know this?
1
Not at all
2
3
4
5
Perfectly
10
Q

The mean PG should be used when calculating the PASP with a mild/ mod RVOT obstruction.

T/F?

A

True

How well did you know this?
1
Not at all
2
3
4
5
Perfectly
11
Q

Which of the following is easily altered depending on preload?

  1. TDI
  2. Dp/DT
  3. MV inflow
A

MV inflow

How well did you know this?
1
Not at all
2
3
4
5
Perfectly
12
Q

Which type of Doppler should you use two measure blood flow velocity at a site that is <2.0m/s

  1. Colour doppler
  2. Pulsed wave doppler
  3. Tissue doppler
  4. Continuous wave doppler
A

Pulsed wave doppler

How well did you know this?
1
Not at all
2
3
4
5
Perfectly
13
Q

When measuring time on spectral signal, such as Accel time or Dp/DT, how should you optimize your spectral waveform?

A

Increase sweep speed

How well did you know this?
1
Not at all
2
3
4
5
Perfectly
14
Q

When does systole occur?

  1. From AV opening to AV closure
  2. From MV closure to AV closure
  3. From MV closure to MV opening
  4. From AV closure to AV opening
A

From MV closure to AV closure

How well did you know this?
1
Not at all
2
3
4
5
Perfectly
15
Q

Which of the following is false regarding RV dysfunctional pathophysiology?

  1. With high afterload, the RV will hypertrophy first
  2. With high preload the RV will dilate
  3. The RV dilation tends to exacerbate tricuspid regurg
  4. With severe progression on RV dysfunction, th RV will take over the apex from the LV?
A

With high high afterload the RV will hypertrophy first

How well did you know this?
1
Not at all
2
3
4
5
Perfectly
16
Q

This is a normal TAPSE? T/F?

A

True

Normal TAPSE >1.7cm

How well did you know this?
1
Not at all
2
3
4
5
Perfectly
17
Q

Which is true regarding this image?

  1. Normal. Normal FAC >20%
  2. Abnormal. Normal FAC >25%
  3. Normal. Normal FAC <25%
  4. Abnormal. Normal FAC >35%
A

Abnormal. Normal FAC >35%

18
Q

During which grade of diastolic dysfunction does the LA pressure begin to increase?

A

Grade 2 psudonormalization

during grade one, we have normal LA. LV pressure begins normally, but progresses to increased (LVEDP) during grade one.

19
Q

Which of the following parameters is not essential for DD according to ASE flow charts

  1. RVSP
  2. LA volume index
  3. e’ velocity
  4. E/A ratio
  5. IVRT
20
Q

Which of the following will not affect how we measure diastolic parameters?

  1. MR
  2. LVH
  3. AI
  4. Arrhythmias
A

LVH

MR- increased preload increases MV E velocity, AI tends to blood across AMVL, which makes assessment impossible. Arrhythmias- change the flow

21
Q

Grade the diastolic dysfunction

E/A = 1/2
E/e’ = 15
LA volume index = 37ml/m2

22
Q

What is the function of a diuretic?

A

Decreases preload and afterload

A diuretic is a water pill, which makes patients have to pee, decreasing the volume of blood

23
Q

Which of the following is not a cause for forward heart failure

  1. Diastolic dysfunction
  2. Aortic stenosis
  3. Hypertension
  4. Infiltrative disease
A

Diastolic dysfunction

24
Q

Classify the patients LAVI. Patient BSA = 1.8

  1. Normal LAVI
  2. Mildly dilated
  3. Moderately dilated
  4. Severely dilated
A

Mildly dilated

LA vol index = 65/ 1.8 BSA = 26ml/m
Normal LAVI = 16-34 ml/m2- this is just over that = mild
Severely enlarged is >48ml/m2

25
Grade the AS based only on the mean pressure gradient
Severe *severe AS gradient >40mmhg* *Mild <20mmHg* *Mod 20-40mmHg*
26
Why is the VTI ratio method more accurate than the peak velocity ratio method when grading AS? 1. The peak velocity method is the more accurate method 2. The VTI incorporates all the velocities throughout the ejection period 3. The peak velocity method does not overestimate the degree of stenosis
The VTI incorporates all the velocities throughout the ejection period
27
Rheumatic AS begins at the commissures of the leaflets and progresses to the tips of the leaflets? T/F?
True
28
What will happen to the AS gradient win a patient with HFrEF?
The gradient will be artificially low because there isn;t as much blood being forced out HFrEF = reduced EF, which causes less punch out
29
What degree of AR is seen in this image?
Mild
30
Which of the following etiologies of AI does not also cause AS? 1. Rheumatic disease 2. Bicuspid AV 3. Degenerative disease 4. Aortic root dilatation
Aortic root dilation
31
Prolapse of which leaflet is causing this MR jet and why?
PMVL. The the streams away from the affected side.
32
Grade the severity of MR by vena contracta
Moderate *Vena contracta width* *Mild 0.3* *0.3- 0.69* *>0.7cm*
33
Which of the following MV disease states will have normal LA pressure? 1. Acute MR 2. Chronic compensated MR 3. Chronic decompensated MR 4. Ruptured Chordae
Chronic compensated MR *ruptured chordae (type of acute MR), Acute and decompensated all have increased LAP*
34
What is the MVA given the pressure have time in this image. What is the grade of stenosis does this correspond to?
1.58 cm2 and this is mild *Mild >1.5*
35
Which pathology has a “hockey stick” appearance?
Rheumatic mitral stenosis *AMVL develops a dome like, hockey stick*
36
Which is not indicative of severe TR? 1. Systolic hepatic vein reversal 2. Parabolic shaped TR waveform 3. PISA radius of 1cm 4. TV peal E wave 1.1m/s
Parabolic shaped TR waveform
37
Ebstein anomaly is defined by the TV leaflet being displaced by how much?
>20mm
38
Which of the following is not an organic cause of TR? 1. Pulmonary hypertension 2. Carcinoid heart disease 3. Infective endocarditis 4. Ebstein anomaly
Pulmonary hypertension Organic is things that affect the valves
39
How might you differentiate rheumatic TV disease from carcinoid TV disease?
1. Rheumatic heart disease will almost certainly affect the MV as well 2. By asking the patient if the have Rheumatic fever
40
Which of the following is not a cause of mimic of TS? 1. Infundibulum narrowing 2. TV vegetation 3. RA thrombus 4. Cor triatriatum Dexter
Infundibular narrowing *The infundibulum is in the RVOT and does not cause or mimic tricuspid stenosis*