Anatomy of the Spinal Column

ASIA classification of spinal injury

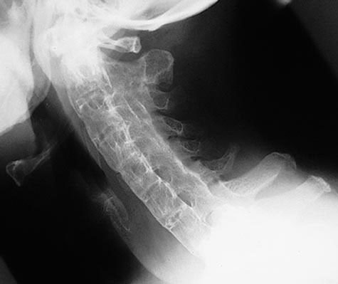
Elderly patient with hyperextension injury and UE weakness. Pathology? Diagnosis? Treatement?
Central Cord syndrome
Prognosis of central cord syndrome
Patient with a flexion/compression injury and motor deficiet LE>UE. Diagnosis? Treatment? Outcome?
Anterior Cord Syndrome
Patient was minding his own buisness, and was stabbed in the back with a knife! What spinal cord syndrome would you see? What are the expected findings and prognosis?
Brown-Segard Syndrome
What are the ASIA dermatomes and myotomes
Random Myotomes
C2 – Flex/Ext C-spine
C3 – Lateral Flexion C-spine
C4 – Shoulder Elevation (shrug)
Random Dermatomes
C2 – Posterolateral Skull
C3 – Just above SC joint and lateral
C4 – Just below AC joint and medial (coracoid)

What is the ASIA classification of spinal injury?
Motor level is the lowest level with > 3 motor
sensory level is the lowest functioning
Can often get some recovery around the zone of injury

When do you not need c-spine imaging in trauma?
low energy trauma
no distracting injuries
no midline tenderness
no neuro symptoms
can rotate head in both directions
How can you minimize the secondary zone of injury in spinal trauma
aggressive fluid resussitation
MAP >85 (prevent hypotensin)
pressors
both in ICU and intra-op
At what levels do you worry about respiratory and cardiovascular comprimise in SCI?
What is your approach to a patient with a c-spine injury in the emerg and in the OR
C-spine precautions
Complications associated with SCI post-op
What are the levels associated patient function?
C1-C3
C3-C4
C5
- Ventilator independent
C6
C7
C8-T1
T2-T6
T7-T12
L1-L5
S1-S5
What are surgical indications for stabilization in SCI
Diagnosis? Epidemiology? Orthopedic and Non-orthopedic manifestations?

Ankylosing Spondylitis
What are the orthopedic and systemic manifestions of ankylosing spondylitis
Systemic manifestations
acute anterior uveitis & iritis
heart disease (cardiac conduction abnormalities)
pulmonary fibrosis
renal amyloidosis
ascending aortic conditions (aortitis, stenosis, regurgitation)
Klebsilella pneumoniae synovitis
Orthopaedic manifestations
bilateral sacroiliitis
progressive spinal kyphotic deformity
cervical spine fractures
large-joint arthritis (hip and shoulder)
Note: the atlanto-occipital joint is the last to fuse which can lead to atlantoaxial instability

What does this patient have? What does your work-up include?

Ankylosing Spondylitis

What are the pertient physical exam findings in ank spond
What are the radiographic findings you are looking for in ank spond
What is more specific than HLA-B27 for making diagnosis of ank spond
limitation of chest wall expansion
< 2cm of expansion is more specific than HLA-B27 for making diagnosis
What is the number one procedure performed on patients with ank spond
THA
What is the earliest sign of sacroilitis in ank spond
Ferguson pelvic tilt view
allows for improved visualization of anterior SI joint
xray beam directed 10 to 15 degrees cephalad
findings
bilateral symmetric sacroiliac erosion
earliest radiographic sign is erosion of iliac side of sacroiliac joint
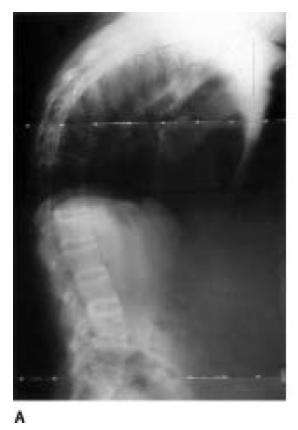
Diagnosis? Treatment?

Kyphotic Deformity from ank spond
