Trauma Flashcards

(207 cards)

1
Q

What are the factors associated with poor outcome in calcaneus fractures

A

age > 60
obesity
manual labor
workers comp
smokers
bilateral calcaneal fxs
vasculopathies
men

How well did you know this?
1
Not at all
2
3
4
5
Perfectly
2
Q

What are the factors that increase risk of requiring subtalar fusion

A

Workers comp
Heavy labour
Bohler’s <20

How well did you know this?
1
Not at all
2
3
4
5
Perfectly
3
Q

what is the most frequent tarsal fracture

A

calcaneus

How well did you know this?
1
Not at all
2
3
4
5
Perfectly
4
Q

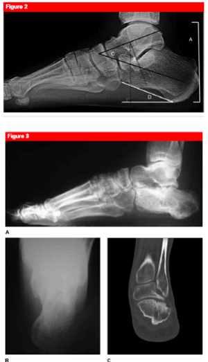
What are the typical radiographic measurements of a calcaneus fracture

A
  • Bohler angle (normal is 25-40 degrees)
    • flattening represents collapse of the posterior facet
    • drawn by connecting
      • anterior process
      • highest point on posterior articular surface
      • superior tuberosity
  • Gissane angle (normal is 130-145 degrees)
    • an increase represents collapse of posterior facet
  • Harris view
    • allows visualization of subtalar joint
    • comminution, degree of varus
    • l_oss of height_, widening, and impingement on peroneal space
    • take with foot maximally dorsiflexed and beam angled at 45 degrees
  • Broden views
    • allows visualization of posterior facet
    • ankle internally rotated 40 degrees and ankle in neutral dorsiflexion. Views taken at 10, 20, 30, 40 degrees
    • largely replaced by CT scan
How well did you know this?
1
Not at all
2
3
4
5
Perfectly
5
Q

What is the sander’s classification of calcaneus fractures

A
How well did you know this?
1
Not at all
2
3
4
5
Perfectly
6
Q

What are indications for non-surgical treatment of a calcaenus fracture

A

Cast immobilization with NWB for 10-12 weeks

Early ROM once swelling decreases, can start partial WB at 6 weeks if going well

  • extra-articular fx with intact Achilles tendon and < 2mm displacement
  • Sanders Type I (nondisplaced)
  • comorbidities that preclude good surgical outcome (smoker, diabetes, PVD)
  • Worker’s compensation (poorer outcomes)
How well did you know this?
1
Not at all
2
3
4
5
Perfectly
7
Q

What are options of surgical fixation of calcaneus fractures

A
  • Goals of surgery
    • Return to function
    • Heel width/height
      • Can cause irritation on the peroneals
    • Ability to fit into shoe​
  • CRPP
    • in tongue-type fxs or those with mild shortening
  • ORIF after 5-10 days (when swelling gone)
    • indications
      • extra-articular fx with detachment of Achilles tendon and/or > 2mm displacement
      • Sanders Type II and III
    • techniques
      • no benefit to early surgery due to significant soft tissue swelling
      • wait until swelling/blisters resolves and wrinkle sign present (10-14 days )
      • Nothing to show that you need to use bone graft
      • Nothing to show that you need to lock it…nonunion rates are low
  • primary subtalar arthrodesis
    • indicated in Sanders Type IV
    • technique
      • combined with ORIF to restore height
      • keep in mind that you can’t get compression across the joint
How well did you know this?
1
Not at all
2
3
4
5
Perfectly
8
Q

What are the common complications with calcaneus ORIF?

A
  • Wound complications (10-25%)
    • increased risk in smokers, diabetics, and open injuries
    • Keep hardware away from the corner of the incision
    • Initial treatment
      • Wound care, antibiotics, debridement as needed
    • Deep infect without union
      • Requires hardware removal
  • Subtalar post-traumatic arthritis
    • 5% of patients post-op will require subtalar fusion
    • 20% of patients non-op will reqire subtalar fusion
    • Can try orthotics, supportive footware and cortisone injections first
  • Compartment syndrome (10%)
    • results in clawing of the toes
    • insensate foot, chronic pain syndrome
How well did you know this?
1
Not at all
2
3
4
5
Perfectly
9
Q

What deformity can you get with calcaneal malunion?

A
  • Heel widening
  • Loss of height
  • Calcaneocuboid impingement
  • Varus Heel
  • Post-traumatic Arthrosis
How well did you know this?
1
Not at all
2
3
4
5
Perfectly
10
Q

What is the classification system for calcaneus malunion

A

Stevenson and saunders

  • A, Type I malunion demonstrating a large lateral wall exostosis, no malalignment, and little or no subtalar arthrosis.
  • B, Type II malunion demonstrating lateral wall exostosis, significant subtalar arthrosis, and varus malalignment ≤10°.
  • C, Type III malunion is similar to type II but with varus malalignment >10°.
  • D, Coronal CT scan demonstrating type III malunion
How well did you know this?
1
Not at all
2
3
4
5
Perfectly
11
Q

What are associated with subtalar dislocations

A
  • associated dislocations
    • talonavicular
    • talocalcaneal
  • associated fractures
    • with medial dislocation
      • dorsomedial talar head fx
      • posterior tubercles of talus fx
      • navicular fx
    • with lateral dislocation
      • cuboid fx
      • anterior calcaneus fx
      • lateral process of talus fx
      • fibula fx
How well did you know this?
1
Not at all
2
3
4
5
Perfectly
12
Q

What are the blocks to reduction of a subtalar dislocation

A

medial dislocation - reduction blocked by

peroneal tendons
extensor digitorum brevis
talonavicular joint capsule

lateral dislocation - reduction blocked by

posterior tibialis tendon
flexor hallucis longus
flexor digitorum longus

How well did you know this?
1
Not at all
2
3
4
5
Perfectly
13
Q

What is the treatment of a subtalar dislocation?

A

Closed reduction

Open if unable to get closed

Cast/NWB for 4-6 weeks

How well did you know this?
1
Not at all
2
3
4
5
Perfectly
14
Q

What is the long term risk of OA for subtalar dislocation

A

ankle joint 89% (31% symptomatic)
subtalar joint 89% (63% symptomatic)
midfoot 72% (15% symptomatic)

How well did you know this?
1
Not at all
2
3
4
5
Perfectly
15
Q

What is the blood supply to the talus

A
  • posterior tibial artery
    • via artery of tarsal canal (dominant supply)
    • supplies majority of talar body
  • deltoid branch of posterior tibial artery
    • supplies medial portion of talar body
    • may be only remaining blood supply with a displaced fracture - a posteromedial appraoch would disrupt this, so if you need to, do a med mall osteotomy
  • anterior tibial artery
    • suplies head and neck
  • perforating peroneal arteries via artery of tarsal sinus
    • suplies head and neck
How well did you know this?
1
Not at all
2
3
4
5
Perfectly
16
Q

What is the best view to assess the talar neck

A

canale view

  • equinus
  • 15 deg pro
  • 75 deg cephalic tilt of image intensifier
  • Don’t forget to also get a CT to assess comminution or other associated foot fractures
How well did you know this?
1
Not at all
2
3
4
5
Perfectly
17
Q

What is the hawkins classification

A
  • Hawkins I
    • Nondisplaced
    • 0-13% AVN
  • Hawkins II
    • Subtalar dislocation
    • 20-50%
  • Hawkins III
    • Subtalar and tibiotalar dislocation
    • 20-100%
  • Hawkins IV
    • Subtalar, tibiotalar, and talonavicular dislocation
    • 70-100%
How well did you know this?
1
Not at all
2
3
4
5
Perfectly
18
Q

What are the approaches and fixation generally used for a talar neck fracture

A
  • can put a bump under the knee to help with flouro
  • anteromedial
    • between tibialis anterior and posterior tibialis
    • preserve soft tissue attachments, especially deltoid
    • Can use a medial malleolar osteotomy if you need to get access without disrupting the deltoid artery
  • anterolateral
    • between tibia and fibula proximally, in line with 4th ray
    • sharply incise the inferior retinaculum
    • elevate EDB
    • debride sinus tarsi and elevate extensor digitorum brevis - this is important to get your reduction, need an antomical reduction to prevent AVN
  • Fixation
    • provisional anatomic reduction with k-wires
    • two lateral lag screws with a lateral minifrag plate is most common
      • can use a tricortical graft if there is medial comminution
    • retrograde fixation is biomechanicially stronger, but can’t get reduction, use posterolateral approach
    • medial plate can help with prevention of varus, but is hard to get access to, need to do osteotomy and keep plate low
  • Post-op
    • ​NWB 10-12 week
How well did you know this?
1
Not at all
2
3
4
5
Perfectly
19
Q

What is Hawkin’s sign

A
  • subchondarl lucency in the talar dome best seen on AP
  • 6-8 weeks
  • evidence that there is vascularity, good sign
  • Bad sign if you get relative sclerosis
How well did you know this?
1
Not at all
2
3
4
5
Perfectly
20
Q

What are complications associated with talar neck fractures?

A
  • Osteonecrosis
    • hawkins sign
      • subchondral lucency best seen on mortise Xray at 6-8 weeks
      • indicates intact vascularity with resorption of subchondral bone
    • associated with talar neck comminution and open fractures
  • Posttraumatic arthritis
    • subtalar arthritis (50%)
      • most common complication
    • tibiotalar arthritis (33%)
  • Varus malunion (25-30%)
    • can be prevented by anatomic reduction
    • treatment includes medial opening wedge osteotomy of talar neck
    • leads to
      • decreased subtalar eversion
      • decreased motion with locked midfoot and hindfoot
      • weight bearing on the lateral border of the foot
How well did you know this?
1
Not at all
2
3
4
5
Perfectly
21
Q

What is the option for exposure if there is comminution of the talar body

A

Medial malleolus osteotomy

How well did you know this?
1
Not at all
2
3
4
5
Perfectly
22
Q

What is your landmark to determine talar neck or talar body

A

lateral process

How well did you know this?
1
Not at all
2
3
4
5
Perfectly
23
Q

What is your approach to lateral process fractures

A
  • Snowboarder’s fracture
  • Mechanism
    • dorsiflexion, axial loading, inversion, and external rotation
    • often misdiagnosed as ankle sprain
    • presents as ankle sprain that is not improving after 6 week
  • Imaging
    • Radiographs - may be falsely negative
    • CT scan
      • should be performed when suspicion is high (snowboarder) and radiographs are negative
  • Treatment
    • SLC for 6 weeks (NWB first 4 weeks)
      • indicated if nondisplaced (< 2mm)
    • ORIF/Kirshner wires via lateral approach
      • indicated if displaced (> 2mm)
    • Fragment excision
      • indicated if comminuted
      • incompetence of the lateral talocalcaneal ligament is expected with excision of a 1 cm fragment; no ankle or subtalar joint instability is created, however
How well did you know this?
1
Not at all
2
3
4
5
Perfectly
24
Q

What is your approach to a posterior process fracture

A
  • Often confused with os trigonum
  • Radiographs or CT
  • Treatment
    • Nondisplaced (< 2mm)
      • SLC for 6 weeks (NWB first 4 weeks)
    • Displaced (> 2mm)
      • Kirshner wires via posterolateral approach
    • Comminuted
      • excise
How well did you know this?
1
Not at all
2
3
4
5
Perfectly
25
What is your appraoch to AVN of the talus
* highly controversial * You can usually WB them as soon as you get fracture healing * Just because there is AVN doesn't mean you won't get healing * Treat symptomatically with pain control * explain this may not help with ANV * Then follow with serial XR * **Blair fusion** * Uses the remaining neck of the talus * Others have described filling the void with graft and doing a **TTC**
26
What is your approach to ARDS
* **Causes include** * trauma * shock * infection * fat emboli * thromboembolism * multi-system organ failure * **Presentation** * tachypmea, dyspnea, hypoxemia * decreased lung compliance * **Labs** * diagosis after long bone fracture made with ABGs * **Imaging** * diffuse infiltrative changes on CXR * **Treatment** * ex-fix femur fracture and consult ICU for supportive care until clincial improvement * PEEP ventilation and steroids
27
What is your approach to fat emboli syndrome
* **Etiology** * Caused by release of fat and inflammatory mediators from the marrow of long bone fractures * **Presentation** * Skin Rash * Confusion * Respiratory Distress * **Treatment** * Fixation of long bone - or stabilizaiton with ex-fix * supportive care with positive pressure ventilation in ICU * In the acute situation the trauma of the guide wire can make them worse * Sometimes it's better to put an ex-fix on, they will do better in the short term ICU stay, but requires another surgery * Can consider pelvic Ex-fix for femoral neck fractures
28
Diagnosis? Classification?
* AVN of the talus with associated sclerosis (taken 6-8 weeks post-op) * Ficat classification
29
Diagnosis?
Lisfranc injury - stress views can help make the diagnosis if the injury is low energy and subtle Instability test - just for motion along this joint dorsal and volar, if volar ligaments are still intact and no dorsal dislocation can treat non-op
30
This healthy patient had a fall from height onto a plantar-flexed foot. What are the key things you need to look for on XR?
**five critical radiographic signs that indicate presence of midfoot instability** 1. disruption of the continuity of a line drawn from the medial base of the second metatarsal to the medial side of the middle cuneiform (diagnostic of lisfranc) 2. widening of the interval between the first and second ray (may see a _fleck sign_ diagnosic of lisfranc) 3. medial side of the base of the fourth metatarsal does not line up with medial side of cuboid on oblique view 4. metatarsal base dorsal subluxation on lateral view 5. disruption of the medial column line (line tangential to the medial aspect of the navicular and the medial cuneiform) *Don't forget WB or stress veiws if you have concerns and there is nothing obvious on XR*
31
Inidcations for non-op treatment of Lisfranc?
**nonambulatory patients presence of serious vascular disease severe peripheral neuropathy instability in only the transverse plane** *If there is just boney invovlement with no evidence of ligamentous disruption or instaiblity you can treat it in a cast with start WB at 6 weeks (like any #)*
32
What are the indications and surgical option for a lisfranc injury?
**timing** * ​usually wait 2 weeks to allow tissues to settle unless otherwise indicated * ex-fix if very unstable * **open reduction and rigid internal fixation** * indications * any evidence of instability (_\> 2mm shift_) * favored in _fracture-dislocations_ as opposed to purely ligamentous injuries * outcomes * anatomic reduction required for a good result * **primary arthrodesis of the first, second and third tarsometatarsal joints** * indications * _purely ligamentous_ arch injuries * **midfoot arthrodesis** * indications * destabilization of the midfoot's architecture with _progressive arch collapse_ and forefoot abduction * _chronic Lisfranc injuries_ that have led to advanced midfoot arthrosis and have failed conservative therapy
33
What is true about primary fusion in a lisfranc injury?
* level 1 evidence of arthrodesis over ORIF for purely liagmentous injury * equivalent functional outcomes * decreased rate of hardware removal * decreased rate of revision surger * primary arthodesis is an alternative to ORIF in patients with any evidence of instability with possible benefits * medial column tarsometatarsal fusion shown to be superior to combined medial and lateral column tarsometatarsal arthrodesis
34
Complications associated with this injury?
* Arthritis * most common, treat with arthrodesis * Nonuion * uncommon
35
Post-op care for a lisfranc injury
* early midfoot ROM, protected weight bearing, and hardware removal (k-wires in 6-8 weeks, screws in 3-6 months) * gradually advance to full weight bearing at 8-10 weeks * if patient is asymptomatic and screws transfix only first through third TMT joints, they may be left in place * preclude return to vigorous athletic activities for 9 to 12 months
36
Diagnosis and Treatment?
* **Chopart joint dislocation** * ​get stress views if worried (MVA/brake) * **​Treatment****​** * ​pins TN 6-8 weeks * pins CC 12 weeks * NWB 12 weeks
37
Ways to assess length of fibula
* _Shenton's line_ - should be equal space around talus on mortis * _Dime Sign_ - assess's length of fibula * _Talocrural Angle_ - 81 degrees, short lateral malleloi will increase talocrural angle * need an XR of the contralateral ankle to do this
38
Radiological features to assess the syndesmosis
* Most important in OR is to visualize the syndesmosis * Assess 1cm above joint line * Should be overlap of tib-fib on mortis * Overlap \> 10mm on AP * has been reported that this has no correlation * ER/abduction stress test with dorsiflexion * better than other medial mall tenderness or ecchymosisis * Should be done in OR * Manual=stress
39
Lauge-Hansen Classficiation
* **SAD (Supination-Adduction)** * ATFL sprain or distal fibular avulsion * Verticle medial malleolus * **SER (Supination-External Rotation)** * ATFL Sprain * A-P oblique fibula fracture * PTFL or posterior malleolus avulsion * Medial Mall transverse fracture (or deltoid) * **PAD (Pronation-Abduction)** * Medial Mall transverse fracture (or deltoid) * ATFL sprain * Comminuted fibula fracture (above syndesmosis) * **PER (Pronation-External Rotation)** * Medial Mall transverse fracture (or deltoid) * ATFL * Oblique or spiral fibular fracture (above joint) * PTFL or posterior malleolus
40
Approach to this injury
* **Nonoperative** * short-leg walking cast/boot * indications * isolated nondisplaced medial malleolus fracture or tip avulsions * isolated lateral malleolus fracture with \< 3mm displacement and no talar shift * posterior malleolar fracture with \< 25% joint involvement or \< 2mm step-off * **Operative** * open reduction internal fixation * indications * any talar displacement * displaced isolated medial malleolar fracture * displaced isolated lateral malleolar fracture * bimalleolar fracture and bimalleolar-equivalent fracture * posterior malleolar fracture with \> 25% or \> 2mm step-off [q] * Bosworth fracture-dislocations * open fractures * technique * goal of treatment is stable anatomic reduction of talus in the ankle mortise * **1 mm shift of talus leads to 42% decrease in tibiotalar contact area** * overall success rate of 90% * prolonged recovery expected (2 years to obtain final functional result) * significant functional impairment often noted * **ORIF superior to closed treatment of bimalleolar fractures**
41
Braking time after injury
* returns to baseline at **nine weeks** for operatively treated **ankle fractures** * braking travel time is significantly reduced until _6 weeks after initiation of weight bearing in both long bone and periarticular fractures_ of the lower extremity
42
Prognositc factors in ankle fractures
**worse outcomes with:** smoking decreased education alcohol use increased age presence of medial malleolar fracture
43
Injury type? Outcomes?
**supination-adduction fractures** restoration of marginal impaction of the anteromedial tibial plafond leads to optimal functional results after surgery *Use a lag screw on the fibular and an antiglide plate on the tibia*
44
Indications for surgery and plate choices and reasons for this fracture
* **Indications for surgery** * ​\>3mm displacement * talar shift * syndesmosis injury * **lateral** * lag screw fixation with neutralization plating * **bridge plate technique** * **​comminution** * **posterior antiglide technique** * peroneal irritation (distal plate) * biomechanically superior * **lag screw fixation with neutralization plating**
45
Approach to posteior malleolus fracture
* **indications for fixation** * \> 25% of articular surface involved * \> 2 mm articular stepoff * syndesmosis injury * **approach** * _posterolateral approach_ * _posteromedial approach_ * decision of approach will depend on fracture lines and need for fibular fixation * **fixation** * _anterior to posterior lag screws to capture fragment_ (if nondisplaced) * _posterior to anterior lag screw and buttress plate_ * _antiglide plate_ * **syndesmosis injury** * stiffness of syndesmosis ***70% versus 40%*** with isolated syndesmosis fixation * stress examination of syndesmosis still required after posterior malleolar fixation
46
Approach to syndesmosis injury
* **Overview** * suspect injury in all ankle fractures * most common in _Weber C_ fracture patterns * fixation usually not required when fibula fracture _within 4.5 cm of plafond_ * up to **25% of tibial shaft fractures will have ankle injury** * **Evaluation** * measure clear space 1 cm above joint * it has also been reported that there is no actual correlation between syndesmotic injury and tibiofibular clear space or overlap measurements * lateral stress radiograph has more interobserver reliability than an AP/mortise stress film - _best to do in OR_ * instability of the syndesmosis is greatest in the _anterior-posterior direction_ * **Treatment** * operative * syndesmotic screw fixation * indications * widening of medial clear space * tibiofibular clear space (AP) greater than 5 mm * tibiofibular overlap (mortise) narrowed * any postoperative malalignment or widening should be treated with open debridement, reduction, and fixation * technique * length and rotation of fibula must be accurately restored. * "Dime sign"/Shentons line to determine length of fibula * open reduction required if closed reduction unsuccessful or questionable * _one or two cortical screw_(s) _2-4 cm_ above joint, angled _posterior to anterior 20-30_ degrees * maximum dorsiflexion of ankle not required during screw placement (can't overtighten a properly reduced syndesmosis) * **postoperative** * screws should be maintained in place for at least 8-12 weeks * must remain non-weight bearing, as screws are not biomechanically strong enough to withstand forces of ambulation * **controversies** * _number of screws_ * 1 or 2 most commonly reported * _number of cortices_ * 3 or 4 most commonly reported * _size of screws_ * 3.5 mm or 4.5 mm screws * _implant material_ (stainless steel screws, titanium screws, suture, bioabsorbable materials) * _need for hardware removal_ * no difference in outcomes seen with hardware maintenance (breakage or loosening) or removal at 1 year
47
You perform this procedure. What are the complications?
* **Wound problems (4-5%)** * **Deep infections (1-2%)** * up to 20% in diabetic patients * largest risk factor for diabetic patients is presence of peripheral neuropathy * **Post-traumatic arthritis** * rare with anatomic reduction and fixation * corrective osteotomy requires anatomic fibular and mortise correction for optimal outcomes
48
Measures of adequate resusitation
* MAP \> 60 * HR \< 100 * urine output 0.5-1.0 ml/kg/hr (30 cc/hr) * **serum lactate levels** * most sensitive indicator as to whether some circulatory beds remain inadequately perfused (normal \< 2 mmol/L) * gastric mucosal ph * base deficit * normal -2 to +2 * pH \< 7.24
49
Classes of shock
50
Diagnosis? Classification? Indications/Options for surgery?
**Radial Head Fracture** * Physical * _check ROM_ * 30-130 flex-ex * 45-45 sup-pro * check the pin * **Imaging** * ​can get a _greenspan view_ to help assess * 45 deg oblique center over the RC joint * CT * **Classification - Mason Allen** * Type 1 - nondisplaced * Type II - partial head fx * Type III - complete head * Type IV - radial head fx with elbow dislocatoin * **short period of immobilization followed by early ROM** * Nondisplaced, stable (30-130) * no mechanical block * complications * nonunion * new studies have shown a higher rate of nonunion in nonoperative managmeent than previously expected * **ORIF** * _Indications_ * _Simple fracture_ * _\< 3 fragments_ * _Mechanical block_ * technique * plate in safe zone * countersink screws in articular surface * **Fragment Excision (partial excision)** * indicated if fragment \< 1/3 of head * Cannot be a part of the PRUJ * complications * even small fragment excision may lead to instability * **radial head replacement** * indications * for _comminuted fracture with 3 or more fragments_ * complications * overstuffing of joint that leads to capitellar wear problems and malalignment instability * **radial head resection** * _indications_ * older patients with limited demands * in a delayed setting for continued pain of an isolated radial head fracture * _contraindications_ * forearm ligament injury (identify with radius pull test) * coronoid fracture * MCL deficiency * _complications_ * muscle weakness * wrist pain * valgus elbow instability * heterotopic ossification * arthritis
51
When would you consider radial head excision? What are the complications?
* **indications** * older patients with limited demands * in a delayed setting for continued pain of an isolated radial head fracture * **contraindications** * forearm ligament injury (identify with radius pull test) * coronoid fracture * MCL deficiency * **complications** * muscle weakness * wrist pain * proximal migration of radius leads to ulanr positive variance and ulnocarpal abutment * valgus elbow instability * heterotopic ossification * arthritis
52
Other indications for radial head arthroplasty? How can you size the head?
* Indications * comminuted radial head fracture * nonunion/maluion * instabilty (essex-lopraseti) * rheumatoid or osteoarthritis * tumour * **​Modular metallic head** * ​allows you to size the canal * then size the radial head * **​Sizing the radial head****​** * _Size the contralateral joint_ * _Size to original radial head_ - thickness and cup * Trial reduction * Proximally should line up with less sigmoid notch * Lateral UH joint are opposed * Flouro * Medial and lateral UH joint lines (can't see this until \>6mm) * Look for _congruency of the medial UH_ joint
53
Approach to radial head arthroplasty
* **Approach for Surgery** * ​kocher will allow you to see LUCL * EDC split will all you to see more anterior * Arm held in pronation to protect the PIN, 2.6cm distal to the RC joint * **indications** * for comminuted fracture with 3 or more fragments * technique include two type of metal prosthesis, both are in use * loose stemmed prosthesis that acts as a stiff spacer * bipolar prosthesis that is cemented into the neck of the radius * silicon replacements are no longer used * **Sizing radial head** * Size the contralateral head pre-op * Size to original radial head - thickness and cup * Trial reduction * Proximally should line up with less sigmoid notch * Lateral UH joint are opposed * Flouro * Medial and lateral UH joint lines (can't see this until \>6mm) * Look for congruency of the medial UH joint * **complications** * overstuffing of joint that leads to capitellar wear problems and malalignment instability
54
What are the forces acting on this fracture? What is the classification? Options for treatment?
Subtrochanteric fracture * 5cm distal to LT * high non-union rate * Deforming forces * ​**abduction (abductors)** * **flexion (iliopsoas)** * **external rotation (short ERs)** * **Russel-Taylor** * **Type I - no extension into piriformis fossa** * **Type II - extension into greater trochanter with involvement of piriformis fossa** * **look on lateral xray to identify piriformis fossa extension** * **​​Treatment** * **​intramedullary nailing (usually cephalomedullary)** * **historically Russel-Taylor type I fractures** * **newer design of intramedullary nails has expanded indications** * **most subtrochanteric fractures treated with IM nail** * **Techniques** * **1st generation nail (rarely used)** * **2nd generation reconstruction nail** * **cephalomedullary nail** * **trochanteric or piriformis entry portal** * **piriformis nail may mitigate risk of iatrogenic malreduction from proximal valgus bend of trochanteric entry nail** * **pros** * **preserves vascularity** * **load-sharing implant** * **stronger construct in unstable fracture patterns** * **cons** * **reduction technically difficult** * **nail can not be used to aid reduction** * **fracture must be reduced prior to and during passage of nail** * **may require percutaneous reduction aids or open clamp placement to achieve and maintain reduction** * **mismatch of the radius of curvature** * **nails with a larger radius of curvature (straighter) can lead to perforation of the anterior cortex of the distal femur** * **fixed angle plate** * **surgeon preference** * **associated femoral neck fracture** * **narrow medullary canal** * **pre-existing femoral shaft deformity** * approach * lateral approach to proximal femur * may split or elevate vastus lateralis off later intermuscular septum * dangers include perforating branches of profunda femoris * technique * 95 degree blade plate or condylar screw * sliding hip screw is contraindicated due to high rate of malunion and failure * blade plate may function as a tension band construct * femur eccentrically loaded with tensile force on the lateral cortex converted to compressive force on medial cortex * cons * compromise vascularity of fragments * inferior strength in unstable fracture patterns
55
Diagnosis?
**Bisphosphanate fracture** ## Footnote lateral cortical thickening transverse fracture orientation medial beaking lack of comminution stenotic canal
56
What are the options for positioning of this fracture?
* **lateral positioning** * _advantages_ * allows for easier reduction of the distal fragment to the flexed proximal fragment * allows for easier access to entry portal, especially for piriformis nail * **Fracture tablw** * _advantages_ * protective to the injured spine * address other injuries in polytrauma patients * easier to assess rotation
57
How to get reduction and assess reduction in a subtroch fracture
* **Acceptable reduction** * ​strive for perfect * _\<10 deg varus_ * _1cm shortening_ * _\<15 deg of rotation_ * **​Reduction techniques** * Ensure start point is at the tip of the GT or slightly medial (NOT LATERAL) * piriformis start site might be better * _**​**Closed_ * ​traction, bumps and towels * sharp reduction forcep, spikes, pushers, bone clamps * ER of the leg * _​Open_ * ​clamps, cirlage wires * Stimen pins/joystick
58
Complications associated with subtroch fractures
**Varus/ procurvatum malunion** the most frequent intraoperative complication with antegrade nailing of a subtrochanteric femur fracture is varus and procurvatum (or flexion) malreduction **Nonunion** can be treated with plating
59
4 long term complications of radial head fracture in adults
* Elbow stiffness * reasons to transpose the nerve when you do your release * \< 90 deg arc * if releasing \> 30 deg arc * Heterotopic Ossification * Concurrent injury * Recurrent surgery * Delay to surgery * Prolonged immobilization * PIN Palsy * Ulnar nerve injury * Infection * Instability * Elbow OA * Fracture displacement
60
What is the triad of death?
blood loss coagulopathy hypothermia
61
What are clinical parameters to help determine a borderline patient?
* **Clinical parameters of a borderline patient** * _ISS \>40_ * _Multiple injuries (ISS \>20) in association with thoracic trauma (AIS \>2)_ * Multiple injuries in association with severe abdominal or pelvic injury and hemorrhagic shock at presentation (_systolic blood pressure \<90 mm Hg_) * _Bilateral femoral fractures_ * Radiographic evidence of _pulmonary contusion_ * Hypothermia _(temperature \<35°C [95°F])_ * Additional moderate or _severe head injuries_ (AIS ≥3)
62
What are the parameters that are looked at when deciding DCO vs ETO
Blood pressure (mm Hg) Blood units given in a 2-hr period Lactate levels (mg/dL) Base deficit level (mmol/L) ATLS classification Platelet count Factor II and V (%) Fibrinogen (g/L) D-dimer (μg/mL) Temperature °C (°F) Lung function (Pao2/Fio2 [mm Hg]) Chest trauma scores (AIS) Chest trauma score (thoracic trauma severity score) Abdominal trauma (Moore classifi- cation) Pelvic trauma (AO classification) External Injury (abraision, crush, burn)
63
Approach to ATLS
* **2 large bore IV's, O2, monitors, c-collar and spinal precautions** * **​call for imaging** * Airway * includes cervical spine control * Introduce yourself, ask their name * Assess for any obvious facial trauma * Breathing * O2 sats, resp rate * Look for bruising, chest movement * Listen to the lungs * Things that can kill them * Hemothorax - decreased sounds on one side * Tension Penumo - decreased sounds, tachy, low BP, trach deviation * Circulation * BP, listen to chest * includes hemorrhage control and resuscitation (below) * pregnant women should be placed in the left lateral decubitus position to limit positional hypotension * Things that can kill them * Hemorrahage * Cover bleeding wounds, give antibiotics * Cardiac Tamponade * Muffled heart sounds, low BP, JVP distension (Beck's triade) * assess stability of the pevlis in the rotational and vertical plane * Disability - GCS * Exposure * exposue while preventing hypothermia * **Once they are stable, reassess vitals** * **Ask for initial blood work** * **Foley, NG tube** * **CXR, Pelvic XR, C-spine XR** * Then proceed to _secondary survery_ * Examine head, eyes, facial trauma * Examine c-spine while maintaining precations, logroll the patient to assess back and do a rectal * Examine all upper extremity joints * Chest for trauma, abdo exam, **FAST** * Pelvis - put on a binder if unstable * Examine lower extremity joints * Log roll, rectal exam * Reduce fractures as needed, keep patient warm * **Check imaging, repeat blood work** * **Make sure imaging is adequate** * **​CT chest, abdo pelvis** * **​spine, head** * **Call appropriate services**
64
What are indications for ampuation
*Number one indication is the degree of ispsilateral soft tissue injury* * Indications for amputation (LEAP) * Warm ischemia \> 6 hours * Tibial nerve disruption with crush * OR two of the following * serious poly- trauma * severe injury of the ipsilateral foot * anticipation of a protracted course to obtain soft-tissue coverage and tibial reconstruction * 7 considerations * Severe Open Tibia with a Mangled Foot (foot not salvageable) * Massive Non-reconstructable soft tissue loss * Warm Ischemia Time \> 6-8 hours * Patient with multiple medical comorbities – elderly, renal failure, DM – unable to undergo multiple surgeries * Medically unstable patient * Rapid progressive infection of the limb in a septic patient * IIIB or IIIC with confirmation of lacerated Tibial Nerve * LEAP * No difference in outcomes comparing amputation to reconstruction * Higher risk of re-admission, complications and longer time to recovery with reconstruction * If the patient is at high risk for amputation it's better to do it earlier
65
What is the complete gustilo classification
* **Grade 1** * skin lesion \< 1 cm * clean * simple bone fracture with minimal comminution * **Grade 2** * skin lesion \> 1 cm * no extensive soft tissue damage * minimal crushing * moderate comminution and contamination * **Grade 3** * Extensive skin damage with muscle and neurovascular involvement AND/OR * High-speed crush injury * Segmental or highly comminuted fracture * Segmental diaphyseal loss * Wound from high velocity weapon * Extensive contamination of the wound bed * Any size open injury with farm contamination * **A** * Extensive laceration of soft tissues with bone fragments covered * usually high-speed traumas with severe comminution or segmental fractures * **B** * Extensive lesion of soft tissues with periosteal stripping and contamination * severe comminution due to high-speed traumas * usually requires replacement of exposed bone with a local or free flap as a cover * **C** * Exposed fracture with arterial damage that requires repair
66
What is the criteria of SIRS
* Heart rate \> 90 beats/min * WBC count less than 4000 cells/mm³ OR greater than 12,000 cells/mm³ * Respiratory rate \> 20 or PaCO2 \< 32mm (4.3kPa) * Temperature less than 36 degrees or greater than 38 degrees
67
Approach to an irreducible talus
* Attempt in emerg * Stimen pin in the calcaneus * femoral distractor * two small pins in each segment * medial malleolar osteotomy is your open approach
68
What are the risk factors for radioulnar synostosis
* **trauma related** * Monteggia fracture * both bone forearm fractures at the same level * open fracture, * significant soft-tissue lesion * comminuted fracture * high energy fracture * associated head trauma * bone fragments on the interosseous membrane * **treatment related** * use of one incision for both radius and ulna * delayed surgery \> 2 weeks * screws that penetrate interosseous membrane * bone grafting into interosseous membrane * prolonged immobilization
69
Diagnosis? Management?
**Radioulnar Synostosis** * **History** * previous trauma or surgery in forearm * Take a complete history of the circumstances of the break and associated risk factors * Pain * pain with incomplete synostosis * no pain with complete synostosis * **Physical exam** * pronation and supination blocked both actively and passively * Limited supnation is more limiting * Usually ned 45/45 * **Radiographs** * recommended views * AP and lateral of forearm, elbow, and wrist * bony bridge between radius and ulna * **CT to help clarify location** * Historically people would get bone scan, but this is no longer recommended * **No longer need to wait until maturation, this only causes further atrophy and weakness** * **_surgical resection of synostosis_** * _indications_ * post-traumatic synostosis that impairs function * excision indicated at _4-6 months_ * Approaches * Distal - ECU/FCU, watch for ulnar nerve * Middle - Henry approach * Proximal - boyd * _Interposition_ * fascia lata is best * Fat not recommended, but should be used other than nothing * If not comfortable can use bone wax or gelfoam * _Adjunt_ * Proximal radial head excision * Darrach, sauve kapanji * Some authors have tried TEA with variable success, but this is not routinely recommended due to limited function and complications * Small cases series o**f proximal radius resection distal to synostosis** - rehab with brace * Contraindicated with essex-lopreseti lesion * **Post-op** * Nighttime splinting alternating sup/pro * Aggressive PT, strength starting at 6 weeks * **Recurrence/Prevention** * No good evidence to show prophlaxis following hip surgery * No good evidence for radiation post-excision of synostosis except in TBI * Some people use indomethecin, but this is not well established * _Recurrence is treated with repeat excision after disucssion with the patient_ * May require a more aggressive procedure * Beware risk of nerve injury and infection, especially around the elbow * **results** * results of resection are poor except for midshaft synostosis
70
Work-up for this fracture?
* Full PMHx, smoker, amulatory status * Physical exam * 10% open * neurovascular * may need to do ABI * **Plain XR** * 30% will miss a hoffa's fracture * **CT** * obtain with frontal and sagittal reconstructions * useful for * establish intra-articular involvement * identify separate osteochondral fragments in the area of the intercondylar notch * identify coronal plane fx (Hoffa fx) * **38% incidence of Hoffa fx's in Type C fractures** * preoperative planning * **Angiography** * indicated when diminished distal pulses after gross alignment restored​
71
Benefits of a fixed angle locking construct over DCS
* Locks to plate - better varus control * Better control of comminution with multiple points of fixation * Lock or compress as needed * Less invasive insertion, less tissue disruption * Has the versatility to use around TKA
72
Pros and cons of treating a distal femur fracture non-operatively
* **indications (rare)** * nondisplaced fractures * nonambulatory patient * patient with significant comorbidities * Severe osteoporosis * **Significant complications associated with immobility** * Decubitus ulcers * Thromboelmbolic disease * Loss of knee function * Recent evidence supports fixation of these fractures to avoid complications
73
Options for fixation and post-op plan for this fracture (include approaches)
* **ORIF Approaches** * _anterolateral_ * fxs without or with simple articular extension * incision from tibial tubercle to anterior 1/3 of distal femoral condyle * _lateral parapatellar_ * fxs with complex articular extension * extend incision into quad tendon to evert patella * _medial parapatellar_ * typical TKA approach * used for complex medial femoral condyle fractures * Can also use a subvastus approach for a less comlicated fracture pattern * _medial/lateral posterior_ * used for very posterior Hoffa fragment fixation * patient placed in prone position * midline incision over popliteal fossa * develop plane between medial and lateral gastrocnemius m. * capsulotomy to visualize fracture * **Blade Plate Fixation** * _indications_ * not commonly used, technically difficult * contraindicated in type C3 fractures * _technique_ * placed 1.5cm from articular surface * **Dynamic Condylar Screw Placement** * _indications_ * identical to 95 degree angled blade plate * _technique_ * precise sagittal plane alignment is not necessary * placed 2.0cm from articular surface * _cons_ * large amount of bone removed with DCS * Not good fixation in porotic bone * **Locked Plate Fixation** * indications * fixed-angle locked screws provide improved fixation in short distal femoral block * _Benefits_ * Locks to plate - better varus control * Better control of comminution with multiple points of fixation * Lock or compress as needed * Less invasive insertion, less tissue disruption * Less bone remove for central lag screw * Has the versatility to use around TKA * _Technique_ * lag screws with locked screws (hybrid construct) * useful for intercondylar fractures (usually in conjunction with locked plate) * useful for coronal plane fractures * helps obtain anatomic reduction of joint * required in displaced articular fractures * **Retrograde interlocked IM nail** * _indications_ * good for supracondylar fx without significant comminution * preferred implant in osteoporotic bone * _approach_ * medial parapatellar * no articular extension present * 2.5cm incision parallel to medial aspect of patellar tendon * stay inferior to patella * no attempt to visualize articular surface * articular extension present * continue approach 2-8cm cephalad * incise extensor mechanism 10mm medial to patella * eversion of patella not typically necessary * _pros_ * requires minimal dissection of soft tissue * Greater stiffness * Trend toward fewer infections and nonunions when used appropriately * _cons_ * Can fail with loss of fixation of distal construction * Nail can migrate into the knee * less axial and rotational stability * postoperative knee pain * _Causes for malalignment_ * Insufficient fracture reduction * Poor starting point * Eccentric reaming * **Post-op** * Immediate ROM with quads and hamstring strengthening * WB at 12 weeks when evidence of union * Can start PWB prior to this
74
Complications of distal femur fracture
* **Failed hardware (in varus)** * Causes of failure * Extensive metaphyseal comminution * Poor reduction * Poor plate position * Early weight bearing * **Symptomatic hardware** * lateral plate * pain with knee flexion/extension due to IT band contact with plate * medial screw irritation * excessively long screws can irritate medial soft tissues * determine appropriate intercondylar screw length by obtaining an AP radiograph of the knee with the leg internally rotated 30 degrees * **Malunions** * most commonly associated with plating * functional results satisfactory if malalignment is within 5 degrees in any plane * **Nonunions** * treatment with revision ORIF and autograft indicated * consider changing fixation technique to improve biomechanics
75
What are the recommendations for safe tourniquette use
* **Pressure** * Anticipated inflation time \<2.5 h * Upper extremity ≤250 mm Hg * Lower extremity ≤300 mm Hg * Anticipated inflation time \>2.5 h * Consider measuring limb occlusion pressure and using a safety margin of 50–75 mm Hg * Consider using a wide, shaped cuff * **Inflation time** * Assess the operative situation at 2 h * Anticipated duration \>2.5 h * 10-min deflation interval at that point * and at subsequent 1-h intervals.
76
What is the leading cause of death in pelvic fractures?
hemorrhage
77
What are factors associated with poor prognosis following a pelvic fracture (mortality)
* systolic BP \<90 on presentation * age \>60 years * increased Injury Severity Score (ISS) or Revised Trauma Score (RTS) * need for transfusion \> 4 units
78
What are the risks of injuries associated with pelvis fractures; what are you looking for on physical exam
* **hemmorage is the leading cause of death** * chest injury in up to 63% * long bone fractures in 50% * head and abdominal injury in 40% * spine fractures in 25% * urogenital injuries in 12-20% * **inspection** * test stability by placing gentle rotational force on each iliac crest; then gently pull axial traction on the legs to assess for vertical instability * low sensitivity for detecting instability * perform only once * look for abnormal lower extremity positioning * external rotation of one or both extremities * limb-length discrepancy * skin * scrotal, labial or perineal hematoma, swelling or ecchymosis * flank hematoma * lacerations of perineum * degloving injuries (morel-lavelle) * **neurologic exam** * rule out lumbosacral plexus injuries (L5 and S1 are most common) * rectal exam to evaluate sphincter tone and perirectal sensation * **urogenital exam** * most common finding is gross hematuria * more common in males (21% in males, 8% in females) * **vaginal and rectal examinations** * mandatory to rule out occult open fracture
79
What are the ligaments of the pelvis?
* **anterior** * _symphyseal ligaments_ * resist external rotation * **pelvic floor** * _sacrospinous ligaments_ * resist external rotation * _sacrotuberous ligaments_ * resist shear and flexion * **posterior sacroiliac complex (posterior tension band)** * *strongest ligaments in the body* * more important than anterior structures for pelvic ring stability * _anterior sacroiliac ligaments_ * resist external rotation after failure of pelvic floor and anterior structures * _interosseous sacroiliac_ * resist anterior-posterior translation of pelvis * _posterior sacroiliac_ * resist cephalad-caudad displacement of pelvis * _iliolumbar_ * resist rotation and augment posterior SI ligaments
80
What are adequate inlet/outlet views and what are they used for?
* **inlet view** * X-ray beam angled ~45 degrees caudad (may be as little as 25 degrees) * adequate image when S1 overlaps S2 body * _ideal for visualizing:_ * anterior or posterior translation of the hemipelvis * internal or external rotation of the hemipelvis * widening of the SI joint * sacral ala impaction * **outlet view** * X-ray beam angled ~45 degrees cephalad (may be as much as 60 degrees) * adequate image when pubic symphysis overlies S2 body * _ideal for visualizing:_ * vertical translation of the hemipelvis * flexion/extension of the hemipelvis * disruption of sacral foramina and location of sacral fractures
81
What on a pelvic XR would make you think it is unstable? What further imaging can you do?
* \> 5 mm displacement of posterior sacroiliac complex * presence of posterior sacral fracture gap * avulsion fractures * CT * can help you determine if there is occult posterior invovlement * Analysis under anesthesia * IR for LC * overlaps 1-2cm then fix front * \>2cm fix front and back * ER in frog leg for APC1 * if opens \>2.5cm fix front * pull legs for vertical instability APC2 * fix back if presence of saggital instability * windswept can apply different stress to each side * Single leg standing views can help determine in clinic instability
82
What it the tile classification?
* **A - stable** * A1-fracture not involving the ring (avulsion or iliac wing fracture) * A2-stable or minimally displaced fracture of the ring * **B - rotationally unstable, vertically stable** * B1-open book * B2-lateral compression, ipsilateral * B3-lateral compression, contralateral (bucket-handle injury) * **C - rotationally and vertically unstable** * C1-unilateral * C2-bilateral * C3-associated acetabular fracture
83
What is the young-burgess classification?
* **Anterior Posterior Compression (APC)** * _APC I_ * Symphysis diastasis \< 2 cm * Non-operative. Protected weight bearing * _APC II_ * Anterior SI joint diastasis * Posterior SI ligaments remain intact. * Anterior symphyseal plate or external fixator * _APC III_ * Disruption of anterior and posterior SI ligaments (SI dislocation). * APCIII injuries associated with vascular injury * Anterior symphyseal plate or external fixator and posterior stabilization with SI screws * **Lateral Compression (LC)** * _LC Type I_ * Oblique ramus fracture and ipsilateral anterior sacral ala compression fracture. * Non-operative. Protected weight bearing * _LC Type II_ * Ramii fracture and ipsilateral posterior ilium fracture dislocation (Crescent fracture). * Open reduction and internal fixation of ilium * _LC Type III_ * Ipsilateral lateral compression and contralateral APC (windswept pelvis). * Common mechanism is rollover vehicle accident or pedestrian vs auto. * Posterior stabilization with plate or SI screws as needed. Percutaneous or open based on injury pattern and surgeon preference. * **Vertical Shear (VS)** * Posterior and superior directed force. * *Associated with the highest risk of hypovolemic shock (63%); mortality rate up to 25%* * Posterior stabilization with plate or SI screws as needed. Percutaneous or open based on injury pattern and surgeon preference.
84
Which pelvic injury is associated with the highest chance of hypovolemic shock
vertical shear
85
What is the appropriate technique for placing a pelvic binder
* centered over greater trochanters to effect indirect reduction * do not place over iliac crest/abdomen * ineffective and precludes assessment of abdomen * may augment with internal rotation of lower extremities and taping at ankles * transition to alternative fixation as soon as possible * prolonged pressure from binder or sheet may cause skin necrosis * working portals may be cut in sheet to place percuatneous fixation
86
Technique for pelvic ex-fix
* **required if you need to do angio or stabilize the pelvis for positioning/packig** * **​**definative if * open injury * bladder rupture requiring surgical repair * theoretically works by decreasing pelvic volume * stability of bleeding bone surfaces and venous plexus in order to form clot * Don't reduce with the pins because you can open in the back, push from behind as well * _pins inserted into ilium_ * **Supra-acetabular** * single pin in column of supracetabular bone from AIIS towards PSIS * obturator outlet or "teepee" view to visualize start point * iliac oblique - trajectory * obturator oblique inlet - path of wire * Risk - hip capsule, LFCN * **Iliac Crest** * multiple half pins in the superior iliac crest * place in thickest portion of anterior ilium, gluteus medius tubercle or gluteal pillar * faster in a more urgent situation * **should be placed before emergent laparatomy**
87
Indications for pelvic fixation
* Definative Ex-fix * contaminated open pelvis * extraperitoneal bladder rupture * ORIF * symphysis diastasis \> 2.5 cm * SI joint displacement \> 1 cm * sacral fracture with displacement \> 1 cm * displacement or rotation of hemipelvis * open fracture * Can do assessment under anesthesia to rule out instabilty * *diverting colostomy may be requried in an open fracture* * *start posterior and work anterior*
88
Options for anterior stabilization of the pelvis
* **single superior plate** - pubic symphyis widening * supine, make sure you can get all the necessary views before starting * apply through rectus-splitting Pfannenstiel approach (Modified stoppa) * may perform in conjunction with laparotomy or GU procedure * _technique_ * confirm reduction with flouro * contour plate or use pre-contoured plates * two medial screws adjacent to the syphysis are placed first and eccentrically * use finger feel for proper screw placement * _Controversy_ * 2 plates - better for rotational stability * 4 or 6 holes - better to use a 6 hole plate and can tailor your construct * **Ex-fix** * inferior, but can be used if needed * can also be used if the patient becomes unstable * **Retrograde Screw vs plate** * Ramii fractures can be often be treated non-op, but may need stabilization * Sometimes won't heal
89
Pfannsteil approach
* transverse incision 2 cm above the pubis * develop subcutenous plane, incise the linea alba longitudianlly * inspect the bladder, use a blunt malleable retractor to protect the space of reitz * be cautionous for the corona mortise * homans over the superior pubic ramii to retract the retus, then subperiosteial disection * some will remove the cartilage in the pubis to promote fusion * Options for reduction * use a large tenaculum to reduce the symphysis * jugabluth clamp * c-clamp * ex-fix pins
90
What are your options for posterior ring stabilization of the pelvis
* **anterior SI plating** * risk of L4 and L5 injury with placement of anterior sacral retractors * **iliosacral screws (percutaneous)** * good for sacral fractures and SI dislocations * safe zone is in S1 vertebral body * _outlet radiograph_ * superior-inferior screw placement * _inlet radiograph_ * anterior-posterior screw placement * L5 nerve root injury complication with errors in screw placement * entry point best viewed on lateral sacral view and pelvic outlet views * risk of loss of reduction highest in vertical sacral fracture patterns * **posterior SI "tension" plating** * can have prominent HW complications
91
What are poor prognostic factors for pelvic fractures?
SI joint incongruity of \> 1 cm high degree initial displacement malunion or residual displacement leg length discrepancy \> 2 cm nonunion neurologic injury urethral injury
92
How do pediatric pevlic fractures differ from adult fractures?
* if triradiate cartilage is open the iliac wing is weaker than the elastic pelvic ligaments, resulting in bone failure before pelvic ring disruption * for this reason fractures usually involve the pubic rami and iliac wings and rarely require surgical treatment
93
Long term complications associated with pelvic fractures
* Dyspyruneia * exctretory dysfuction * sexual/erectile dysfunction * decreased quality of life * chronic pelvic pain * **Neurologic injury** * _L5 nerve root_ runs over sacral ala joint * may be injured if SI screw is placed to anterior * **DVT and PE** * DVT in ~ 60%, PE in ~ 27% * prophylaxis essential * mechanical compression * pharmacologic prevention (LMWH or Lovenox) * vena caval filters (closed head injury) * **Chronic instability** * rare complication; can be seen in nonoperative cases * presents with subjective instability and mechanical symptoms * _diagnosed with alternating single-leg-stance pelvic radiographs_
94
What are bladder injuries associated with pelvis injuries
* Present in 12-20% of patients with pelvic fractures * higher incidence in males (21%) * **posterior urethral tear** * _most common_ urogenital injury with pelvic ring fracture * retrograde urethrogram * **bladder rupture** * may see extravasation around the pubic symphysis * associated with mortality of 22-34% * diagnosis * retrograde cystogram * CT retrograde cystogram * can be done more quickly and gives more information * **Diagnosis** * made with _retrograde urethrocystogram_ * _indications_ * blood at meatus * high riding or excesively mobile prostate * hematuria * _technique_ * supine, flouro * flush 16/18 french foley with radioopaque dye * insert foley and dilate balloon at distal penis (don't overfill, 2-3cc) * take a scout film, inject the dye through the foley and take static films as the dyes move through the urethra
95
What are the complications and treatment of urogential injuries
* **Treatment** * _suprapubic catheter placement_ * suprapubic catheter is a relative contraindication to anterior ring plating * _surgical repair_ * rupture should be repaired at the same time or prior to definitive fixation in order to minimize infection risk * **Complications - 35%** * urethral stricture - most common * impotence * anterior pelvic ring infection * incontinence
96
What are the safe zones for SI screws
anterior - iliac cortical densities on lateral posterior - upper nerve root canal
97
What is the most important prognostic factor associated with Sacral fracture?
neurologic injury
98
Neurological injuries associated with sacral fractures
* **Structures at risk** * Cauda, filem terminale * Sarcal plexus * Sciatic nerve * **L5/S1** * L5 - EHL * S1 - plantarflexion/achilles * **Lower sacral nerve root function (S2-S5)** * S1/2 are 1/3 of the foramina and carry higher risk than S3/4 which are 1/6 diameter of foramina * _Sympathetic_ * Inferior hypogastric plexus * _Parasympathetic_ * Sexual function * anal sphincter tone / voluntary contracture * bulbocavernosus reflex * perianal sensation * *Unilateral sacral nerve root preservation is adequate for bowel and bladder control* * *preservation of at least one S3 root in bilateral resection preserves bowel and bladder function in the majority of patients*
99
What is your order of fixation for combined pelvis/acetabulum?
* posterior ring * acetabulum * anterior ring
100
What are indicators on plain radiographs that there might be a sacral fracture?
* AP(sacrum at 45 degree)/Inlet/Outlet views * Low yeild on AP pelvis and plain radiology alone * **Signs concerning for sacral fracture** * L4/5 TP fracture * Anterior pelvic ring disruption * Stepladder sign * Foraminal and lumbar facet disruption * sacral arcuate lines * asymmetric foramina
101
What is the dennis classification?
* **Zone I** * _a sacral alar fracture lateral to foramina 50%_ * 97% undiagnosed * often minimally displaced with APC and LC types * can be more displaced with vertical shear fractures * nerve injury rare (6%) and are usually L5 nerve root * **Zone II - transforaminal** * 97% undiagnosed * 28% neuro deficits usually involving L5, S1 and S2 * **Zone III (spinal canal)** * 57% neuro deficits with cauda equina syndrome (bowel, bladder, sexual dysfunction) being the most common
102
What are the classification systems for sacral fractures?
* Associated with pelvis ring * Tile/Young-Burgess * Isler classification - Lumbar-sarcral junction * A - lateral to facet * B - L5/1 facet * C - medial to facet * Very unstable * ​Denis - best to classifiy risk of neuro * Descriptive classification * H pattern = lumbopelvic dissociation * transverse = higher neuro complications * lambda * verticle
103
What are 4 principles that will guide your treatment of sacral fractures
1) those with an associated stable or unstable pelvic ring injury, 2) those with associated lumbosacral facet injury 3) those with associated lumbosacral dislocation 4) those with neurologic injury and persistent cauda equina or spinal cord compression.
104
What are options for surgical fixation of the sacrum
* **Indications** * **​**\>1 cm displacement * unstable pelvic ring * comprimised soft tissues * persistent pain with non-op * displacement following non-op * neurological damage * requires _decompression_ * **Percutaneous screw fixation** * screws may be placed as sacroiliac, trans-sacral or trans-iliac trans-sacral * useful for sagittal plane fractures * _technique_ * screws placed percutaneously under fluoroscopy * beware of L5 nerve root * avoid overcompression of fracture * may cause iatrogenic nerve dysfunction * _cons_ * may result in loss of fixation or malreduction * does not allow for removal of loose bone fragments * do not use in osteoporotic bone * **Posterior tension band plating** * _approach_ * posterior two-incision approach * _technique_ * may use in addition to iliosacral screws * _pros_ * allows for direct visualization of fracture * _cons_ * wound healing complications * **Iliosacral and lumbopelvic fixation** * _approach_ * posterior approach to lower lumbar spine and sacrum * _technique_ * pedicle screw fixation in lumbar spine * iliac screws parallel to the inclination angle of outer table of ilium * longitudinal and transverse rods * _pros_ * shown to have greatest stiffness when used for an unstable sacral fracture * _cons_ * invasive * **Decompression of neural elements** * _indirect_ * reduction through axial traction * _​direct_ * posterior approach followed by laminectomy or foraminotomy
105
What are the indications for non-op or operative fixation of sacral fracture
* **Non-op** * \<1cm * no neuro * insufficiency * **Operative** * ​\>1 cm displacement * unstable pelvic ring * comprimised soft tissues * persistent pain with non-op * displacement following non-op * neurological damage * requires decompression
106
What is the definition of a cresent fracture
* combination of vertical iliac fx and SI dislocation * posterior superior spine (sometimes iliac crest) remain attached to sacrum by posterior SI ligaments * lateral ilium dislocates from sacrum as anterior SI ligament rupture * When large ilium fragment remains with sacrum and a vertical fracture pattern is seen it is termed a crescent fracture
107
What are the view necessary for SI fixation? What nerve root is at risk?
* **inlet view** * shows anterior-posterior position of SI joint(s) for screw placement * **outlet view** * shows cephalad-caudad position of SI joint(s) for screw placement * **lateral sacral view** * ensures safe placement of SI or sacral screws relative to the anterior cortex of the sacral ala and the nerve root tunnel
108
Options for treatment of an ilium fracture
* **Wound Management** * evaluation * soft tissue disruption or internal degloving injury * possible soft tissue or bowel entrapment in the fracture site * prophylactic antibiotics as appropriate * serial debridements as necessary * **Open Reduction Internal Fixation** * _approach_ * posterior approach * ilioinguinal approach * Stoppa approach (lateral window) * _recommend early reconstruction_ * single pelvic reconstruction plate or lag screw along the iliac crest * supplemented with a second reconstruction plate or lag screw at the level of the pelvic brim or sciatic buttress * _coordination with trauma team_ * injury to bowel may require diversion procedures * plan surgical intervention with trauma team to minimize recurrent trips to the operating room
109
What are complications and injuries associated with ilium fractures
* Iliac wing fractures have high incidence of associated injuries * open injuries * bowel entrapment * soft tissue degloving * **Complications** * Malunion with deformity of the iliac wing * Internal iliac artery injury * Bowel perforation * Lumbosacral plexus injury
110
Complications associated with fracture table use
* Difficult to assess length and reduction * Difficult to get reduction * posterior translation distal fragment * Significant perineal soft tissue injury * Pudendal nerve palsy * erectile dysfunction * reduced by intraoperative muscle relaxants * Hemilithotomy * sciatic nerve in well leg * compartment syndrome in well leg * direct compression on calf * low SBP intra-op * Lateral decubitus * crush syndrome
111
Causes of complications associated with misuse of the fracture table
* Prolonged duration of traction * release when no longer needed * periodic release during long procedures * Excessive traction * more important than prolonged traction * adequate muscle relaxants * Excessive adduction * reduced with abduction of affected limb * Small post * hemilithotomy position
112
Recommendations to decrease risk of complications with traction table
* obese patient use flat-top * place post between genitals and contralateral leg * well-padded post (\>10cm) * do not adduct past neutral * surgery \>120min should release traction periodically * avoidance of hemilithotomy when possible
113
When can you not nail an open tibia at time of initial surgery
* Open segmental fracture, irrespective of the size of the wound * Gunshot wounds -high velocity and short-range shotgun injuries * Open fracture with neurovascular injury * Farm injuries, with soil contamination, irrespective of the size of the wound * Traumatic amputations * Open fractures over 8 hours old * Mass casualties; eg, war and tornado victims
114
Acceptable alignment for humeral shaft fracture and contraindications to coaptation splinting
* \< 20° anterior angulation * \< 30° varus/valgus angulation * \< 3 cm shortening * **contraindications to functional bracing** * severe soft tissue injury or bone loss * unreliable patient * polytrauma * brachial plexus injury * proximal one-third humeral fracture * inability to maintain reduction (segmental fracture) * radial nerve palsy is NOT a contraindication to functional bracing
115
Relative indication for operative fixation of humeral shaft fractures
* Open fracture * Associated articular fracture Neurovascular injury * Floating elbow * Impending pathologic fracture Polytrauma * Failure of closed management
116
Prevelance of nonunion and risk factors in humeral shaft fracture treatment
* **Nonunion** * ​no evidence of interval healing of serial XR taken 6-8 weeks apart * **defined as lack of union after 6 months** * 2 to 10% in nonoperative managment * proximal * medial comminution * medial displacement * 2 part fracture * 15% with primary ORIF * **risk factors** * axial distraction on injury films represents high level of soft tissue injury and increase chance of nonunion * open fx * unstable or segmental fx * infection * initial treatment with hanging cast * shoulder or elbow stiffness (motion directed to fracture site) * patient factors (smoking, obesity, alcoholism, malnutrition, noncompliance) * **treatment** * _compression plating with bone grafting_ * shown to be superior to both IM nailing with bone grafting and compression plating alone * use anterolateral approach (allows exploration of radial nerve) * _vascularized fibula bone graft and compression plating_ * indicated if \> 6 cm bone defect * technique * use bone graft as an intramedullary dowel (1-2 cm inside each end) * stabilize with 4.5 dynamic compression plate * peroneal artery (fibula) is anastomosed to brachial artery * peroaneal vein anastomosed with basilic or cephalic vein
117
Indications for exploration of the radial nerve
* Open fracture * High-velocity gunshot or penetrating injury * Vascular injury * Nerve deficit after closed reductiona Distal third (Holstein-Lewis) fractures
118
Compare Humeral shaft IM nail and plates
* Nerve injury same risk * Reports of higher rates of nonunion with IM nail * reports of better function with plate
119
What is the blood supply to the patella?
anterior to quads, posterior to the patellar tendon form a ring around the patellar and penetrate anteriorly avoid anterior soft tissue stripping 25% necrosis rate with fracture
120
Indications for patellar fracture fixation
* \>4mm distraction * \>2mm stepoff * intra-articular fragments * osteochondral fragment * lose of extensor mechanism ## Footnote *no data exist on post-op rehab protocols*
121
What is the strongest construct for a patella fracture
figure of 8 wires with cannulated screws ## Footnote *interfrag screws for comminution*
122
What is the most appropriate treatment for a comminuted inferior pole patellar fracture
* debridement with tendon re-attachement to the extra-articular surface * don't take more than 40% of the patella * +/- circlage wire re-inforcement
123
What are indications for total patellectomy
* failed ORIF * infection * tumor * PF OA * *47% of the strength of the quads is lost* * *should reinforce with VMO over the defect (shown to have better outcomes)*
124
complications of patellar ORIF
* hardware irritation * hardware migration is rare * stiffness * strength * pain * not associated with immobilization * Nonunion * deep infection * association with OA is unclear
125
What is the appropriate dosing for tetanus
* Clean wound/G1 * update vaccine (Toxoid) if no hx or if \> 10yrs * Dirty wound/G2/G3 * Unknown * Toxoid (vaccine) * TIG (immunoglobulin) * \> 5 yrs * Toxoid (vaccine)
126
What are options for segmental bone defects
* Acute shortening: 1-3 cm * problems with function after * Autologous bone graft \< 5cm * more than that gets resobed * has no structural capacity * Induced membrane 5-24 cm * can use a RIA to fill the void * don't exceed 3:1 allograft:autograft * Requires more than one procedure * Bone transport 5-10cm * long time * can correct alignment and used with comprimised tissues * Vascularized fib graft 10-20 cm * donor site morbidity * Allograft bone is not useful due to unknown issues with incorperation * BMP unknown...interfere with membrane formation
127
What is the ladder of soft tissue reconstruction
* secondary closure * primary closure * delayed closure * STSG * FTSG * Random flap * Axial Flap * Free muscle flap * Perforator flap
128
What are the pros and cons of various bone augmentation
* Autologous (\<5cm) * One-stage reconstruction; no disease transmission; no immunologic rejection; low cost; standard of care with osteoinductive, osteoconductive, and osteogenic properties * Donor site morbidity, limited volume available, no structural capability * Induced membrane (5-24cm) * adequate volume, internal or external fixation can be used, reconstruction time is independent of length of defect, low cost * Donor site morbidity, two-stage technique, long reconstructive period (average, 9 mo), described using external fixation, ratio of allograft to autograft cannot exceed 3:1 with theoretic defect limits * Distraction osteogenesis (5-10cm) * No donor site morbidity, no restrictions on defect length, reliable technique, can be used with a compromised soft-tissue envelope (STSG or free tissue flap), can decrease reconstructive time with multiple osteotomies and transport segments * Long reconstructive period, reconstructive period is length- dependent, high rate of complications with prolonged external fixation, cost of ring or spatial external fixation frame * Acute shortening (1-3cm) * Simplest and fastest method, allows early primary closure of soft-tissue wounds, well tolerated in upper extremity, well tolerated in single bone extremity segment, no donor site morbidity, low cost * Limb dysfunction especially in lower extremities, defect length is limited, may require secondary lengthening procedures to correct limb-length discrepancy * Vascularized fibular graft (10-20cm) * Substantially shorter reconstruction time for large defect compared with Masquelet and Ilizarov techniques, fibular hypertrophy to support weight-bearing, low cost * Donor site morbidity, requires specialized microsurgical capability, high rate of regenerated bone fracture, typically limited to tibial defects
129
What is considered a critical segmental bone loss
* bone loss requiring augmentation * \>50% * \>2cm * depends on bone and patient
130
What are not acceptable bone augments for critical deficiets
* **Allograft alone** * Limited graft incorporation/ remodeling, potential disease transmission, no osteoinductive or osteogenic properties, cost/expense * **Demineralized bone matrix** * No structural property, no evidence for segmental bone defect reconstruction, cost/expense * **BMP** * Interferes with Masquelet technique, no structural capability, cost/expense
131
What are common marine organisms
* The most common infections are still staph aureus and strep pyogenes * but need extra coverage for the strange bugs * A hydrophilia - fresh * pseudomonas * mycobacterium marinum - swimming pool * chronic or occult * Vibrio - salt water
132
What are approapriate antibiotics for open wounds
* Gustilo 1 * cefazolin * clinda if allergy * Gustilo 2/3 * cefazolin * gentamycin * Farm wounds - penicillin or flagyl * Freshwater (A hydrophilia) * cipro or ceftazidime * Salt water (vibrio) * Doxycycline * ceftaxidime or cipro
133
What are the 4 C's of muscle viability
contracility colour consistency capacity to bleed
134
What is the best stictch for primary closure of an open fracture
* Donati allgower * *No difference in infection rates with primary or delayed closure* * *primary closure is recommended for Gustilo I-IIIa**​*
135
Indications for delayed closure with VAC or bead pouch
* limited soft tissue viability * lack of soft tissue coverage * severe contamination * *Note - bead pouch or abx PMMA can significantly decreased risk of infection with delayed closure*
136
What are options for local antibiotic delivery
bead pouch PMMA calcium sulfate demineralized bone matrix fibrin clot
137
What is the most important determinant for prevention of infection of \>gustilo 3b
soft tissue coverage \< 7 days
138
What is the algorythim for treament of open tibia fractures
* Abx, tetanus * Abx as soon as possible * IM Nailing * has been shown to be safe initially for treatment gustilo I-IIIb * no consensus reamed vs unreamed * Ex-fix * If ex-fix required change to IM nail as soon as possible * Plates not recommended * Indications for Ex-fix * gross conatmination
139
Compare IM nail to plate fixation for distal tibia fractures
* **Plates** have _lower malunion rate_ * better for a very distal fracture * use anterolateral and MIPO * cause hardware irritation * **Nails** better for elderly patients with thin skin and _poor soft tissues_ * fracture blisters, diabetes, open * cause knee pain * How to increase nail stability * locked screws * more screws * multi-planar screws
140
How does treatment of the fibula affect the outcome of distal tibia fractures
* With IM nails * improved stiffness * improved alignment * increased risk of nonunion * avoid if causes tibial fracture gapping * Absolute indications * evidence of syndesmotic injury * medial tibial plating * to avoid valgus
141
Techniques to reduce a proximal tibia fracture
* Blocking screws * Schantz pins/Femoral distractor * unicortical plate * more proximal/lateral start point * suprapatellar nailing * reduced herzog bend * reduction clamp
142
How can you avoid malreduction when nailing a distal tibial fracture
* *improved outcomes with reaming* * *​may even be better than plates* * *no difference with weight bearing early* * avoid eccentric reaming * stabilize posterior malleolus first * blocking screws * bone reduction forceps * distal locking screw first with appropriate technique * femoral distractor * unicortical plates * multiple screws * multiple planes * use of a VAC can decrese edema
143
What are your anatomical landmarks for positioning your humoral hemiarthroplasty
* Normal alignment * 140 deg Neck shaft angle * 30 deg retroversion * humeral head is 5.6cm above pec major * \>10mm proud = increased tuberosity failure * 15mm shortening tolerated * Use bicipetal groove or long head biceps to access version compared to fin * 20-30 deg retroversion * Tuberosity placement 1-1.5cm distal to superior margin * wire or sutures can augment fixation
144
What factors predict survival of humeral head following fracture displacement
* *primarily anterior circumflex, although head debate becasue arcuate artery has significant anastomosis with the posterior circumflex* * \>2mm metaphyseal segment * valgus impaction * intact medial hinge
145
Indications for hemiarthroplasty in proximal humerus fracture
* varus malalignment \>20° in whom anatomic reduction cannot be achieved intraoperatively * moderate or severe osteopenia * aged \>55 years with Neer three or four-part fracture dislocations * malunion * nonunion * hardware failure * osteonecrosis of the humeral head fol- lowing osteosynthesis
146
What is the unhappy shoulder triad
prosthesis too proud too retroverted GT positioned too low
147
complications of humeral head arthroplasty
tuberosity nonunion deep infection HO proxmial migration humeral head
148
What are the common injuries associated with a tibial plateau fracture
* **meniscal tears** * lateral meniscal tear * more common than medial * associated with Schatzker II fracture pattern * medial meniscal tear * most commonly associated with Schatzker IV fractures * **ACL injuries** * more common in type V and VI fractures (25%) * **compartment syndrome**
149
What are the complications associated with TEA
prosthetic loosening polyethylene wear of the bushing periprosthetic fracture infection
150
Compare TEA and ORIF for distal humerus fractures
* No difference in complication rate * Negligable data to suggest TEA decreases reoperation * **Main difference is that TEA has improved functional outcomes (Level 1 evidence)**
151
Classification of distal humerus fractures
AO classification Jupiter Classficiation High T Low T Y H Lambda - medial and lateral
152
What imaging can help you assess distal humerus fractures
Medial column - 45deg Lateral column - 20 deg Single arch sign - capitellum alone Double arch sign - both capitellum and trochlea invovled
153
Complications associated with distal humerus fractures
* **Watch for wound break down** * Medial flap is more tenuous than the lateral flap, so tend your incision medially * If there is wound breakdown the most robust flap is the radial forearm rotational flap * **Heterotopic ossification** * Rads vs indomethecin * **Ulnar neuropathy** * Usually resolves * No evidence for transposition * **Elbow stiffness** * Infection
154
Options for approaches for distal humerus fractures
* **use posterior approach - workhorse of the elbow** * Consider nerve transposition (don't need to do it) * Identify proximally and release 6cm proximal and 6cm distal * Release osborne's ligament * **olecranon osteotomy** * provides the best exposure of the articular surface * chevron vs transvers - (pollock says transverse is better because you can come threw the bare area) * use a plate to close this back up (the screw tends to have a nonunion) * still preferable for posterior trochlea fx and medial epiconyle fx * **bryan-morray** * Release the triceps off the olecranon without doing the osteomty * **triceps split for higher fractures** * lateral muscles interval * is an alternative to visualize the articular * elevate ECRB and part of ECRL of supracondylar ridge * usually able to work anterior to and sacrifice LCL * if fx of lateral column, utilize and mobilize * sublux joint to assist in articular visualization
155
technical pearls of fixing distal humerus fractures
* Every screw in the distal fragments should pass through a plate * Engage a fragment on the opposite side that is also fixed to a plate * As many screws as possible should be placed in the distal fragments * Each screw should be as long as possible * Each screw should engage as many articular fragments as possible * The screws in the distal fragments should lock together by interdigitation, creating a fixed-angle structure * Plates should be applied such that compression is achieved at the supracondylar level for both columns * The plates must be strong enough and stiff enough to resist breaking or bending before union occurs at the supracondylar level
156
Options for fixation of a distal humerus fracture
* **Bag of bones** * **ORIF** * olecranon osteotomy best but don't use if considering TEA * parallel or orthoganol no awsner * **TEA** * elderly, low demand * Maximum 10 lbs * Better functional outcomes with no increase in complications for revision surgery compared to ORIF * **Arthrodesis** * **​**severe post-traumatic OA * severe soft tissue/bone loss * persistent/chronic infection * neurlogical comprimise * failed TEA
157
Rehab following distal humerus fixation
* **depends on nature of fracture ORIF** * if secure fixation begin early passive motion 7-10 days * Don't immobilize for longer than 3 weeks * Restrict lifting for 12 weeks * **TEA** * Limit ROM for 1 week to allow healing and then AROM * Permanent restriction of 5lb limit
158
Options for coverage around the ankle
* Dorsalis pedis flap * covers medial and lateral ankle * campbells says can cover heel as well * EDB - cover lateral ankle * Heel * supramalleolar * sural flap * FHB or abductor hallucis * Peroneal flap is also a good option for distal coverage
159
What is the best reason for poor prognosis following clubfoot treatment
gastroc weakness from repeated heelcord lengthening
160
Where is the corona mortis and what are the vessels
4-6 cm lateral to the symphesis along the superior pubic ramus external iliac/inferior epigastric obturatot
161
What is the emergent management of pelvic ring fractures
* **resuscitation** * superior gluteal injury most common (APC, vertical shear) * internal pudental or obturator (lateral compression) * 80% from venous bleeding * 10% bone * 10% from arterial bleeding * _transfusion_ * PRBC:FFP:Platelets ideally should be transfused 1:1:1 * _pelvic binder/sheet_ * flat sheet around GT, don't tie a knot and keep away from the belly * IR the lower extremity and can tape the ankles * remove as soon as possible * *contraindications* * hypothetical risk of over-rotation of hemipelvis and hollow viscus injury (bladder) in pelvic fractures with internal rotation component (LC) * **external fixation** * _indications_ * pelvic ring injuries with an external rotation component (APC, VS, CM) * unstable ring injury with ongoing blood loss * _contraindications_ * ilium fracture that precludes safe application * acetabular fracture * _technique_ * theoretically works by decreasing pelvic volume * stability of bleeding bone surfaces and venous plexus in order to form clot * should be placed before emergent laparotomy * **angiography / embolization** * controversial and based on multiple variables including: * protocol of institution, stability of patient, proximity of angiography suite , availability and experience of IR staff * CT angiography useful for determining presence or absence of ongoing arterial hemorrhage (98-100% negative predictive value) * _complications_ * _​_gluteal necrosis * impotence
162
Henry Approach
* Supine, tourniquette, flouro * Mark the fracture site * Incision centered over fracture in line with biceps tendon and radial styloid * Be cautious of lateral antebrachial cutanous nerve * Ulnar border of BR is identified and fascia is divided * pronator teres proximally * FCR distally * identify the radial nerve and vessels * plane is between the nerve and vessels * ligate perforators * Subperiosteal disection * supnator proximally - supinate to protect the PIN * Pronator mid shaft - need to pronate to see the insertion * FPL and PQ distally
163
Thompson approach
* Planes * Proximally between * ECRB (radial nerve) * EDC (pin nerve) * Distally between * ECRB (radial nerve) * EPL (pin nerve) * Incision from listers tubercle to lateral epicondyle * superficial radial nerve and cephalic vien
164
Indications for fixation of clavicle fractures
* absolute * unstable Group II fractures (Type IIA, Type IIB, Type V) * open fxs * displaced fracture with skin tenting * subclavian artery or vein injury * floating shoulder (clavicle and scapula neck fx) * symptomatic nonunion * posteriorly displaced Group III fxs * displaced Group I (middle third) with \>2cm shortening * relative and controversial indications * brachial plexus injury (questionable b/c 66% have spontaneous return) * closed head injury * seizure disorder * polytrauma patient
165
Outcomes with operative fixation of clavicle fractures
* improved functional outcome / less pain with overhead activity * faster time to union * decreased symptomatic malunion rate * improved cosmetic satisfaction * improved overall shoulder satisfaction * increased shoulder strength and endurance * increased risk of need for future procedures * implant removal * debridement for infection
166
Options for fixation of a clavicle fracture
* plate and screw fixation * superior vs anterior plating * superior plating biomechanically higher load to failure and bending * superior plating better for inferior bony comminution * superior plating has higher risk of neurovascular injury during drilling * limited contact dynamic compression plate * 3.5mm reconstruction plate * locking plates * precontoured anatomic plates * lower profile needing less chance for removal surgery * intramedullary screw or nail fixation * higher complication rate including hardware migration * hook plate * AC joint spanning fixation
167
Post-operative course of clavicle fracture
sling for 7-10 days followed by active motion strengthening at ~ 6 weeks when pain free motion and radiographic evidence of union full activity including sports at ~ 3 months
168
Complications of clavicle ORIF
* **hardware complications** * ~30% of patient request plate removal * superior plates associated with increased irritation * **neurovascular injury (3%)** * superior plates associated with increased risk of subclavian artery or vein penetration * compression can cause brachial plexus injury * examples * psuedoanyrsm * hematoma * **brachial plexus injury** * **adhesive capsulitis** * 4% in surgical group develop adhesive capsulitis requiring surgical intervention nonunion (1-5%) * **infection (~4.8%)** * **mechanical failure (~1.4%)**
169
Approach to neurvascular comprimise following clavicle ORIF
* repeat history and physical * inspect wound drainage * hematoma in axilla * differential BP * Post-op XR * AP * Zanca view * CT angio * Differential * hematoma * pseudoanuerysm * direct injury to brachial plexus * traction injury from positioning * Operative treatment * call vascular, prep the other leg * open incision * remove hardware * osteotomize for access if need be then secure with larger plate ensureing your screws aren't too long
170
complications of monteggia fracture
* **PIN neuropathy** * up to 10% in acute injuries * _treatment_ * observation for 2-3 months * spontaneously resolves in most cases * if no improvement obtain nerve conduction studies * **Stiffness** * **HO** * **Infection** * **PLRI** * **Malunion with radial head dislocation** * usually caused by failure to obtain anatomic alignment of ulna * _treatment_ * ulnar osteotomy and open reduction of the radial head
171
Blocks to reduction of monteggia fracture
poor reduction ulna annulus PIN osteochondral fragement
172
Acceptable alignment for tibial shaft fracture
\< 5 degrees varus-valgus angulation \< 10 degrees anterior/posterior angulation \> 50% cortical apposition \< 1 cm shortening \< 10 degrees rotational alignment if displaced perform closed reduction under general anesthesia
173
Benefits of IM nail for a tibial shaft fracture
* IM nailing leads to (versus external fixation) * decreased malalignment * IM nailing leads to (versus closed treatment) * decrease time to union * decreased time to weight bearing * reamed vs. unreamed nails * reamed possibly superior to unreamed nails for treatment of closed tibia fxs for decrease in future bone grafting or implant exchange (SPRINT trial) * recent studies show no adverse effects of reaming (infection, nonunion) * reaming with use of a tourniquet is not associated with thermal necrosis of the tibial shaft * reamed nails associated with * decreased hardware failure * superior union rate * decrease time to union
174
Indications for amputation following lower extremity injury
significant soft tissue trauma (most important - LEAP) warm ischemia \> 6 hrs severe ipsilateral foot trauma not stable enough for long reconstructive surgery for dysvascular limb
175
Complications associated with tibial nailing
* Knee pain * \>50% anterior knee pain with IM nailing * occurs with patellar tendon splitting and paratendon approach * pain relief unpredictable with nail removal * lateral radiograph is best radiographic views to make sure nail is not too proud proximally * **Malunion** * high incidence of valgus and procurvatum (apex anterior) malalignment in proximal third fractures * varus malunion leads to ipsilateral ankle pain and stiffness * chronic angular deformity is defined by the proximal and distal anatomical/mechanical axis of each segment * center of rotation of angulation is intersection of proximal and distal axes * treatment * reason to treat * arthritis * pain * cosmesis * treated with osteotomy and nailing * **Nonunion** * definition * delayed union if union at 6-9 mos. * nonunion if no healing after 9 mos. * treatment * nail dynamization if axially stable * exchange nailing if not axially stable * reamed exchange nailing most appropriate for aseptic, diaphyseal tibial nonunions with less than 30% cortical bone loss. * posterolateral bone grafting if significant bone loss * non-invasive techniques (electrical stimulation, US) * BMP-7 (OP-1) has been shown equivalent to autograft * compression plating has been shown to have 92-96% union rate after open tibial fractures initially treated with external fixation * **Malrotation** * most commonly occurs after IM nailing of distal 1/3 fractures * can assess tibial rotation by obtaining perfect lateral fluoroscopic image of knee, then rotating c-arm 105-110 degrees to obtain mortise view of ipsilateral ankle * **Compartment syndrome** * incidence 1-9% * can occur in both closed and open tibia shaft fxs * diagnosis * high incidence of clinical suspicion * pain out of proportion * pain with passive stretch * compartment pressure within 30mm Hg of diastolic BP is most sensitive diagnostic test * treatment * emergent four compartment fasciotomy * outcome * failure to recognize and treat compartment syndrome is most common reason for successful malpractice litigation against orthopaedic surgeons * prevention * increased compartment pressure found with * traction (calcaneal) * leg positioning * **Nerve injury** * LISS plate application without opening for distal screw fixation near plate holes 11-13 put superficial peroneal nerve at risk of injury due to close proximity * transient peroneal nerve palsy can be seen after closed nailing * EHL weakness and 1st dorsal webspace decreased sensation * treated nonoperatively; variable recovery is expected
176
Indications for operative correction of tibial malunion
* valgus \> 10-12 deg * varus \> 6-10 deg; * external rotation \> 15-20 deg; * internal rotation \> 10-15 deg; * shortening of more than 2 cm;
177
Risk factors for femoral neck nonunion
Non-anatomic Reduction – especially VARUS Posterior Comminution High Shear Angle(pauwel’s angle) iv. Poor Implant positioning – TAD v. High Energy Injury with significant fracture displacement smoker BMI
178
What is the cruciate anastomosis
* medial circumflex artery * lateral circumflex artery * inferior gluteal artery * first branch of femoris profundis
179
Poor prognostic factors of amputation according to LEAP
Smoking Non- white race Poverty lack of private health insurance poor social support involvement in disability litigation Self-efficacy
180
Complications of femoral head fracture
* **Heterotopic ossification** * overall incidence is 6-64% * anterior approach has increased heterotopic ossification compared with posterior approach * treatment * administer radiation therapy if there is concern for HO * especially if there is associated head injury * **AVN** * 23% * risk is greater with delayed reduction of dislocated hip * the impact of anterior incision on AVN is unknown * **Sciatic nerve neuropraxia** * incidence is 10-23% * usually peroneal division of sciatic nerve * spontaneous recovery of function in 60-70% * **DJD** * incidence 8-75% * due to joint incongruity or initial cartilage damage * **Decreased internal rotation** * may not be clinically problematic or cause disability
181
Risk of nonunion
motion vascularity gap infection
182
Treatment of a femoral nonunion
Exchange nailing * sequential reaming * stimulates bone graft * allows insertion of a larger, stiffer nail * Ream 1-1.5mm larger than implant * Larger, stiffer implant * No need to bone graft unless atrophic * dynamize the construct to try and get compression * Reasons for plating * metaphyseal fractures * don't get benefit of reaming * atrophic * becasue will consider compression and grafting * allows better debridement with presence of infection
183
What is the treatment of an adult galeazzi fracture?
* Usually operative, requires operative fixation as it requires anatomic fixation of the DRUJ * volar approach to the radius * dorsal approach to the DRUJ * make sure to examine TFCC if does not reduce with the radius * Treatment of the ulna * **immobilization in supination (6 weeks)** * indicated if DRUJ stable following ORIF of radius * **percutaneous pin fixation** * indicated if DRUJ reducible but unstable following ORIF of radius * cross-pin ulna to radius * _examine the TFCC_ * leave pins in place for 4-6 weeks * **open surgical reduction** * indicated if _reduction is blocked_ * suspect interposition of ECU Tendon * _Examine and repair TFCC_ if still unstable * **open reduction internal fixation** * indicated if a large ulnar styloid fragment exists * fix styloid and immobilize in supination
184
Incidence of DRUJ instability in a galeazzi fracture? What are signs of this on XR
* if radial fracture is * unstable in 55% * if radial fracture is \>7.5 cm from articular surface * unstable in 6% * Signs of DRUJ injury * ulnar styloid fx * widening of joint on AP view * dorsal or volar displacement on lateral view * radial shortening (≥5mm)
185
Complications associated with galeazzi fractures
* **Compartment syndrome** * increased risk with * high energy crush injury * open fractures * vascular injuries or coagulopathies * **Neurovascular injury** * uncommon except type III open fractures * **Refracture** * usually occurs following plate removal * increased risk with * removing plate too early * large plates (4.5mm) * comminuted fractures * persistent radiographic lucency * prevention * do not remove plates before 18 months after insertion * amount of time needed for complete primary bone healing * **Nonunion** * **Malunion** * **​**difficult to treat * if early enough can treat with osteotomy * later will require sauve-kapanji or darrach * **DRUJ subluxation** * displaced by gravity, pronator quadratus, or brachioradialis
186
Increased risk of galeazzi refracture with...
removing plate too early large plates (4.5mm) comminuted fractures persistent radiographic lucency
187
How to use a RIA
* Pre-op AP and lateral to measure canal size to determine what size of reamer to use * Warn anesthesia of blood loss and 45 min additional OR time * Supine on the OR table with adequate flouro access * GT start point, careful reaming, severeal passes; change position of guide wire to harvest the entire canal * Complications * blood loss * don't suction when not reaming * perforation of canal with guide wire or reamer * Iatrogenic fracture
188
Approach to proximal humerus malunion
* decide whether pain is due to soft tissue or boney * assess ROM, NV * CT - boney * MRI - soft tissues, RC * Arthroscopy * release capsule, rotator internal with subscap tenolysis * \<15mm GT * soft tissue release with acromioplasty * \>15mm GT * release RC, debride then reattach * acromioplasty * Open Osteotomy * varus malunion * Hemiarthroplasty * no OA present * can use an undersized, nonanatomic component so you don't have to do a GT osteotomy * mixed results * Reverse * RC tear with OA present * good results but technically very demanding
189
Indications for Surgery in Scapula Fracture
Most (90%) treated non-op with no functional deficits Glenohumeral instability: \>25% glenoid involvement with subluxation of humerus \>5mm of glenoid articular surface step off or major gap Excessive medialization of glenoid Displaced scapular neck fracture \>2.5cm medialization (1cm in the tests) 30-40o angulation on Y-view Glenopolar angle \<22o : controversial Open fracture Coracoid fracture with \>1cm displacement Loss of rotator cuff function
190
Classification Systems for Scapula Fracture
Coracoid: Type I: proximal to CC ligaments Type II: Distal to CC ligaments (Tip) Acromion: Type I: avulsion Type II: fracture not compormising subacromial space Type III: fracutre compromises subacromial space Body fractures: Ideberg classificationType I: Rim fractures (Like a Bankart) Ia: anterior rim Ib: posterior rim Type II: Through the glenoid exiting laterally Type III: Through the glenoid exiting superiorly Type IV: Through the glenoid exiting medially Type V: combination type injuries Va: Combination of II & IV Vb: Combination of III & IV Vc: Combination of II, III & IV Type VI: Severe comminution
191
Describe Glenopolar angle and the normal value
Angle between: Line connecting top and bottom of glenoid Line connecting top of glenoid and most caudal part of scapula N = 30-45o
192
Internervous Plane Judet Approach to Scapula
Judet = posterior approach to glenohumeral joint Infraspinatus (suprascapular nerve) Teres Minor (Lower subscapular nerve)
193
Associations of Scapula Fractures
2-5% mortality rate Usually pulmonary or head injury Associated with Increased ISS score No difference in: - Mortality - ICU stay - Overall hospiital stay - Head or abdominal injuries Lower rate of extremity fractures Orthopaedic injuries (90%) - Rib 52% - Ipsilateral clavicle fracture 25% - Spine fracture 29% - Brachial plexus injury 5% - 75% of brachial plexus injuries resolve Medical Injuries - Pumonary injury - Pneumothorax - Pulmonary contusion - Head injury - Vascular injury
194
X-ray Finding of Scapulothoracic Dissociation. What MUST you do on exam?
\>1cm lateralization from SP of spine vs. other side Must do neurovascular exam & generally a CT angio is warranted as neurovascular compromise common
195
Most common vascular injury in scapulothoracic dissociation?
Subclavian artery injury
196
Single most important factor in determining outcome in scapulothoracic injury
Neurologic compromise (esp Flail extremity) --\> poor outcomes
197
Treatment for Scapulothoraic dissociation
Early forequearter amputation for complete brachial plexus injury (flail chest) High lateral thoracoctomy or Median sternotomy for vascular injury ORIF of any other shoulder girlde injuries (SSSC)
198
Outcomes in Scapulothoracic injury
Flail extremity: 52% Early amputation: 21% Death: 10%
199
Most important risks for nonunion of PHF
Smoking: increases 5.5x Age
200
What are the risks and protective factors for AVN of the humeral head post PHF
Protective \>8mm calcar fragment on neck Maintenance of the medial hinge Simple fracture pattern Risks: 4-part fractures Angular displaceent \>45o Displacement of tuberosities \>10mm GH fracture dislocation Head split
201
Indications for ORIF of PHF
Indications: GT \> 5mm displaced 2, 3, 4part fractures in young patients Head splitting fractures in young
202
Common risks post PHF
Axillary nerve injury: most common Screw penetration following ORIF with locked plates
203
Acceptable alignment humeral shaft fracture
\<20o anterior angulation \<30o varus/valgus angulation \<3cm shortening
204
Risk factors for nonunion humeral shaft fracture (treated nonop)
Motion Avascularity Gap Transverse fracture Infection Opern fracture Smoking Obesity Metabolic abnormalities: Vitamin D most common
205
Indications for Operative Management humeral shaft fracture
_Absolute:_ Open fracture Severe soft tissue injury or bone loss Vascular injury requiring repair Brachial plexus injury Ipsilateral forearm fracture (floating elbow) Compartment syndrome _Relative:_ Bilateral humerus fractures Polytrauma or associated lower extremity fracture Allows early weight bearing through humerus Pathologic fractures Burns or soft tissue injury that precludes bracing _Fracture characteristics:_ Distraction at fracture site Short oblique or transverse pattern Intraarticular extension
206
IM Nail vs. ORIF Outcomes in Humeral shaft fracture
IM Nail has: Higher rate of reoperation Higher rate of impingement/shoulder pain Higher rate of neurologic injury when locking distally Higher rate of nonunion
207