Define stroke
Focal neurological deficit of sudden onset due to ischaemia or haemorrhage
Lasts >24hrs/ death
Define Transient ischaemic attack (TIA)
Brief neurological dysfunction due to temporary focal ischaemia
No infarction
Define acute neurovascular syndrome
Neurological deficit due to vascular issue but unsure if TIA or stroke
What are the causes of stroke?
Ischaemia
Haemorrhage
What are risk factors for stroke?
HEADS
Past TIA obv..
Draw the Circle of Willis
Draw the vertebral-basilar/ posterior system
Draw the carotid/ anterior system
Outline the vessel present
Draw the areas of supply in the brain
What are the branches of the external carotid?
Some assholes like freaking out potential medical students!!
Outline the Bamford (oxford) classification of stroke
**TACS **(total ant, circulation stroke) All;
**PACS **(partial ant. circulation stroke) 2/3
POCS (posterior circulation stroke)
LACS (lacunar syndrome) 1;
What is amourosis fugax?
TIA syndrome
Emboli through retinal arteries, sudden 1 eye vision loss
1st clinical sign of ICA stenosis
How would you calculate the risk of stroke after a TIA?
ABCD2 score - chance of stroke with 7 days!
>4 or crescendo or AF = high risk
C has 2 points!
Theres 2 D’s, and the first D has 2 points!
What is lateral medullar syndrome?
aka PICA or Wallenberg syndrome
Injury of lateral part of medulla in the brain
Outline the acute investigations & management of an ischaemic stroke
How would you calculate the risk of stroke with somone with AF?
CHA2DS2-VASc
Max 9.
How would you assess the bleeding risk in oral anticoagulation therapy?
HASBLED
Max 9
When would you decide to/ not to give a patient oral anticoagulation?
CHADSVASc > HASBLED = OAC
HASBLED > CHADSVASc = no, risk outweights benefit
CHADSVASc = HASBLED = clinicians discretion
Outline the types of intracranial haemorrhages and their common presentations
Outline the common areas of intracranial aneurysms (diagram)

Outline the diagnostic investigation for SA haemorrhage & management
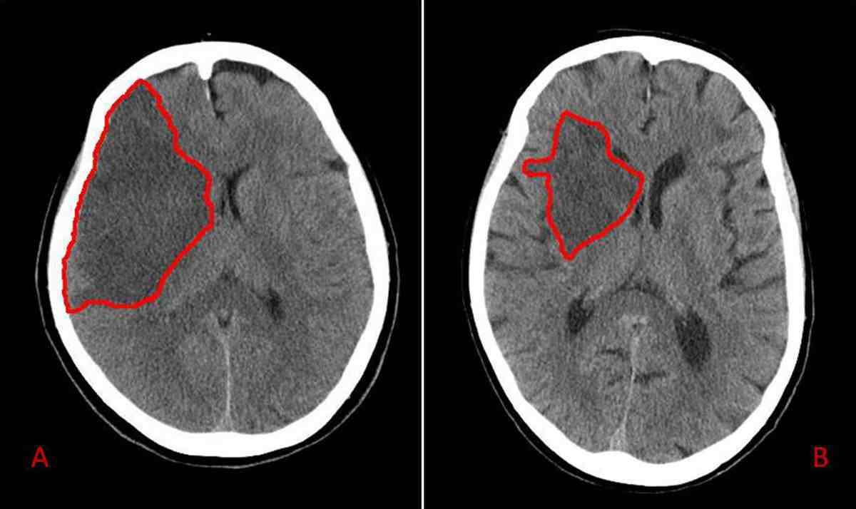
Outline the artery & pathology involved in A & B

MCA Ischaemia
A - total ischaemia
B - partial ischaemia
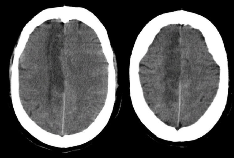
Outline the artery & pathology involved

ACA occlusion → Ischaemia