A sudden failure of brain function due to diminished blood flow to a part of the brain, or due to bleeding inside the brain.
Stroke
Common signs/Symptoms of stroke
Neglect, Numbness/weaknes on one side, vision loss, loss of speech/comprehension/
Causes of stroke
often thrombotic or embolic
Three key P’s in stroke
Pumps (heart)
Pipes (vessels)
Passengers
Pump = Heart and can cause stroke via:
Cardioembolism – 20-30% of strokes, What are the two causes?
A-fib
valvular defects
In stokes caused by the heart, where in the vasculature do we see these located? what specific vessel is most often affected?

Located in large vessels or at the end branches (grey-white border)
MCA is most common site
In strokes caused by the heart we see:
• Hypoperfusion
– No flow=
– Low flow =
cortical laminar necrosis
– watershed injury
What LARGE VESSEL vascular (pipe) issues do we see that cause stroke?
– Carotid plaque
– Vertebral artery stenosis
– Intracranial stenosis
**pipes function; but are blocked
What happens when there is a plaque rupture within a vessel?
Leads to arter to artery embolism
**vessels will FLEX but have a stiff plaque in them; the plaque can then rupture and you will get a thrombis with potential to break off leading to occlusions

• Anatomically appear embolic (end vessels and bifurcations) but the lesions are restricted to the territory of the vessel involved
limited to area where it originated from

Other ‘PIPE’ issues in brain leading to stroke
• Small vessel disease – Lipohyalinosis
– Intravascular plaque
• In-situ thrombosis – Lacunar strokes
• Vessel rupture
– Intracerebral hemorrhage
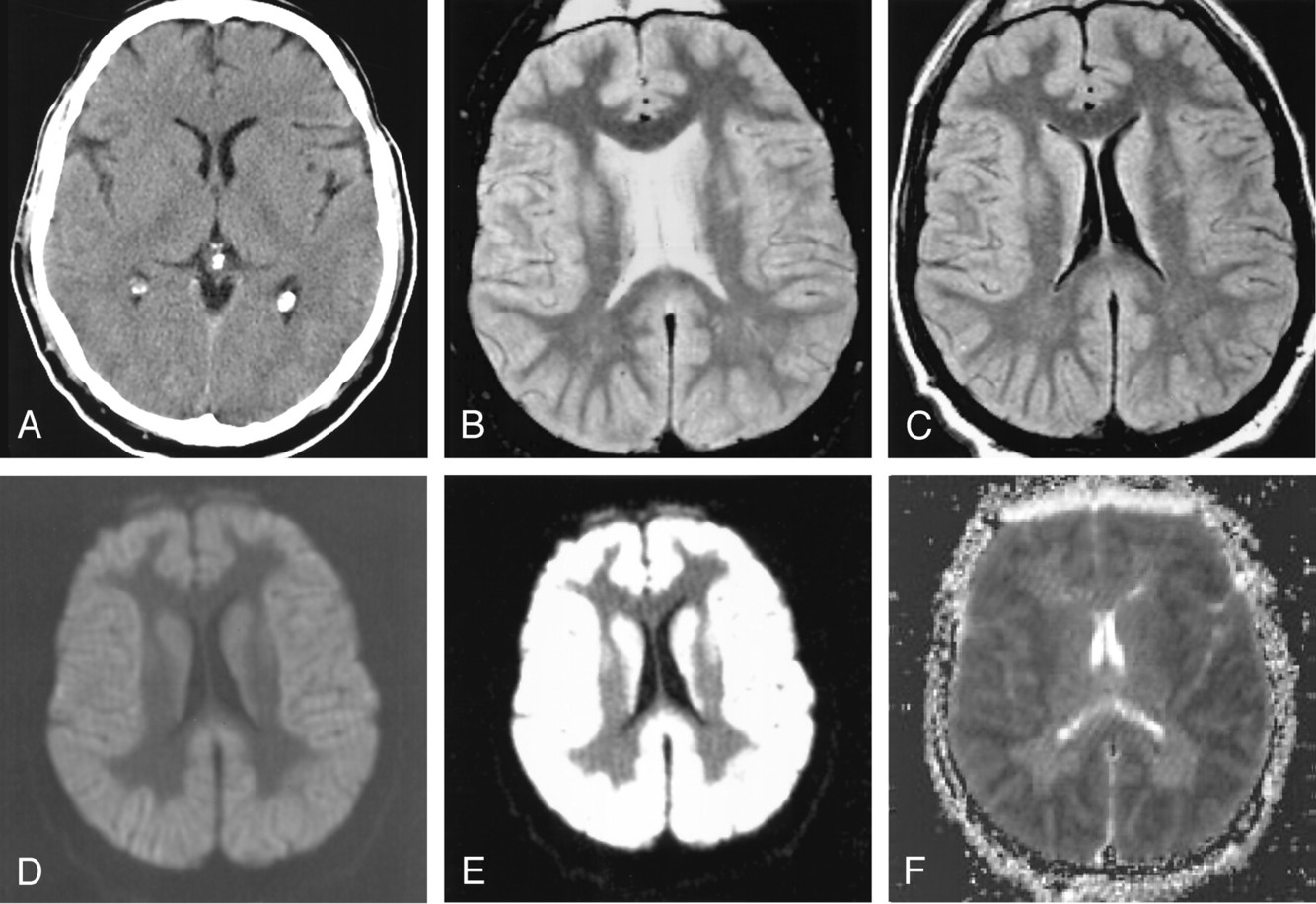
Common sites for lacunes and hemorrhages
Areas of small vessel penetration

Rare causes of stokes are anuerysms: located at:
bifurcation sites: pts present with subarachnoid hemorrhage: blood is outside brain parenchyma thus doesn’t bleed into the brain
Looks like a STAR on MRI

Presentes with hemorrhage or focal syptoms like seizures or headaches and possibly no symtpoms
Arterovenous malformation

“Passengers” disorders causing stroke
• Clotting can be caused by blood disorders
– This is rare
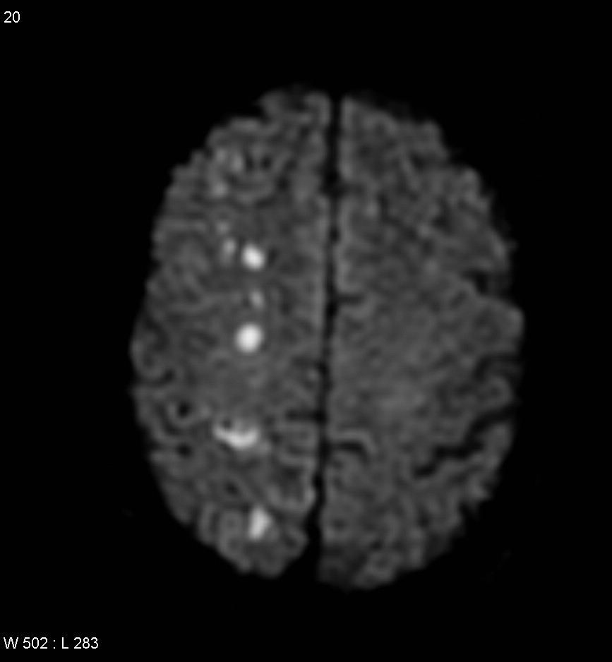
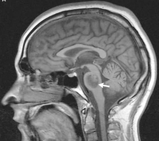
45 y/o woman with hypertension is resuscitated after a cardiac arrest. On day three she is not moving her limbs. An MRI looks like this.

There are multiple areas of watershed in the brain
MCA is most affected in global hypotension
Posterior circulation is rarer
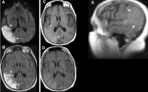
A 20 year old man tries to commit suicide by hanging himself. He is cut down after several minutes and is pulseless. He is resuscitated and regains a heartbeat and respiratory drive and cough to suctioning. Three days later, his exam has not changed.
Where is the lesion?

cortical lamniar necrosis
Neurons survive 6-10 mins w/out oxygen and glial cells last up to mins
glial cells liver 30 mins
astrocytyes live longer
61 year old man
Presents with right arm and leg numbness and weakness and slurred speech. Symptoms lasted about 20 minutes and resolved
PMHx: type I diabetes, hypertension, and hyperlipidemia
Exam on presentation is normal

Had embolism from carotid artery let loose
microembolism from severe atherosclerotic carotid stenosis
***
Why isn’t cardioembolism as likely? – Doesn’t as easily get better (fewer TIA’s more
large strokes)
– With a shower of emboli, would expect to see in ALL territories (left and right, anterior and posterior)

Stroke in right pons
• Hyaline arteriolosclerosis of pontine perforator
– LDL 139 – HDL 66
– TRIGLYCERIDE 127
How does cardioembolism present?
Wh Doesn’t as easily get better (fewer TIA’s more large strokes)
– With a shower of emboli, would expect to see in ALL territories (left and right, anterior and posterior)
61 y/o man with history of poorly controlled HTN did not show up for work. His son found him on the floor, confused, speaking with slurred speech and unable to get up.
Exam showed dysarthria, moderate right sided weakness, and right sided sensory loss
• Vitals: 230/135, HR 104, RR 27
whats the etiology?
Hyaline aretherosclerosis
Infarct in the parietal cortex is likely to be due from:

an embolism
80 year old woman who presented to a partner hospital.
2 hours of right side weakness and trouble talking
Exam: Afebrile, 220/120, Alert, aphasic, right face,
arm, and leg hemiplegia.
NIHSS = 22
Likely cause of stroke:
AVM, Afib, hylaine arteriolosclerosis, vasculitis
Afib:
(hyaline affects small vessels)
(vasculiltis causes lacunar strokes)
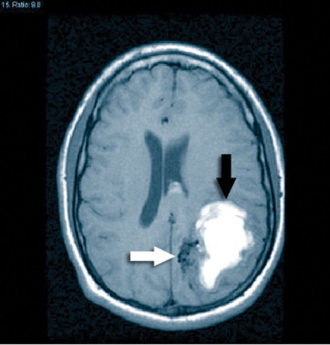
This is damage to the left MCA
19 y/o man collapsed playing basketball. He was noted to have a seizure consisting of right arm shaking and then fell to the ground without protecting himself.
On arrival noted to have weakness on his right side, reactive pupils, positive corneals and cough. Not following commands or moving spontaneously.
Vitals: 220/120, HR 45, RR 12 (intubated)

AVM rupture presenting with seizure
(most present with seizure. if you have young pt that has seizures and looks like large stroke in brain; think AVM)