Dura mater

appreciate that shit
subdural vs epidural spaces
Appreciate that shit

Subarachnoid vs Subdural space
Appreciate everything!!!

What is responsible for draining CSF in the meningeal layers of brain?
arachnoid granulations

Be able to recognize the Falx and Tentorium cerebri and sinuses
know these

Be able to identify Uncus

And uncal herniation

Appreciate anatomy around tonsil of cerebellum

see image
“Blood-brain neurovascular unit”
brain capillary endothelium
pinocytotic rate
astrocytes & pericytes
What diffuses freely and what requires active transport to get across teh BBB?
Defined as an accumulation of excess fluid in intracellular or extracellular spaces of the brain
Cerebral edema
*see increased intracranial pressure d/t variety of processes & associated with significant
morbidity/mortality
What are the two types of cerebral edema?
What does it look like grossly?
vasogenic and cytotoxic edema
flattened, widened gyri with narrowed sulci

See disruption and increased permeability of BBB: see a shift of fluid form the INTRAvascular –> Extravascular compartment
Vasogenic edema = Extracellular edema
What part of brain is effected by vasogenic edema? What are causes?
White matter affected
primary or secondary brain tumors, abscesses, contusions, intracerebral hematomas
What are the three mechanism for Vasogenic (extracellular) edema
What features are typical of vasogenic edema?
What therapy does vasogenic edema usually respond to?
Flattened gyri/narrow sulci with compressed ventricles and soft brain
will respond to coticosteroids and anti-VEGF!!!
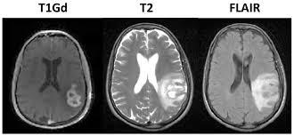
(picture is glioblastoma with vasogenic edema)

Explain how a brain tumor like glioblastoma results in vasogenic edema
Have extensive angiogenesis w/ microvascular proliferation, poorly formed BBB
end up with extensive vasogenic edema and mass effect
How can we get a clear idea of the extent of cerebral edema in a pt through imaging?
T1 will give us good idea of location of lesion
T2 really highlights extent of edema

What are some consequences of vasogenic edema as it’s responding to insult?
can see right to left or left to right shifts
get mass effect
get herniations
Cytotoxic edema “intracellular”
Where in brain do we see Cytotoxic edema and what causes the intracellular swelling?
GRAY matter
ntracellular swelling - large amounts of sodium enter cells, water follows
Most common causes of cytotoxic edema and mechanism
Most common causes: ischemia/infarct, meningitis, trauma, seizures, hepatic encephalopathy
• Mechanisms: dysfunction of neuronal and astrocytic membrane pumps (caused by excess glutamate, extracellular potassium, inflammatory cytokines, etc.),
Increased intracranial pressure
The brain is in a closed rigid box
Brain volume =
Increased volume =
Brain volume = Brain + blood + CSF (+ lesion)
Increased volume = increased pressure
Increased pressure leads to :
_______ dictate what type of herniation
decreased perfusion and/or herniation syndromes
Rigid dural folds (falx, tentorium)
The cingulate gyrus herniates under the falx d/t an ASYMMETRIC expansion of hemisphere lesions
Subfalcine Hernation
