Stroke/ICU Flashcards

(366 cards)

1
Q

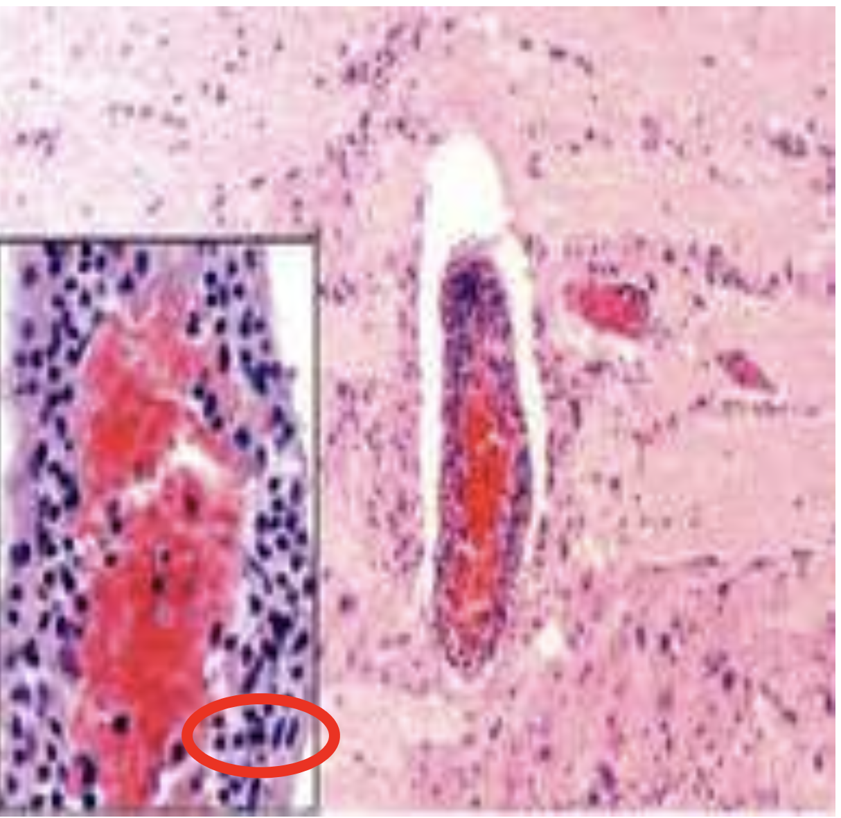
Acute ischemic stroke histopathology

A

Neurons become brightly eosinophilic with loss of the Nisl substance within 6-24 hours of ischemia (“Red neurons”). (circle)
After 12-36 hours of ischemia, astrocytes increase in size and develop well-defined cytoplasm (“Reactive”). (arrow)

How well did you know this?
1
Not at all
2
3
4
5
Perfectly
2
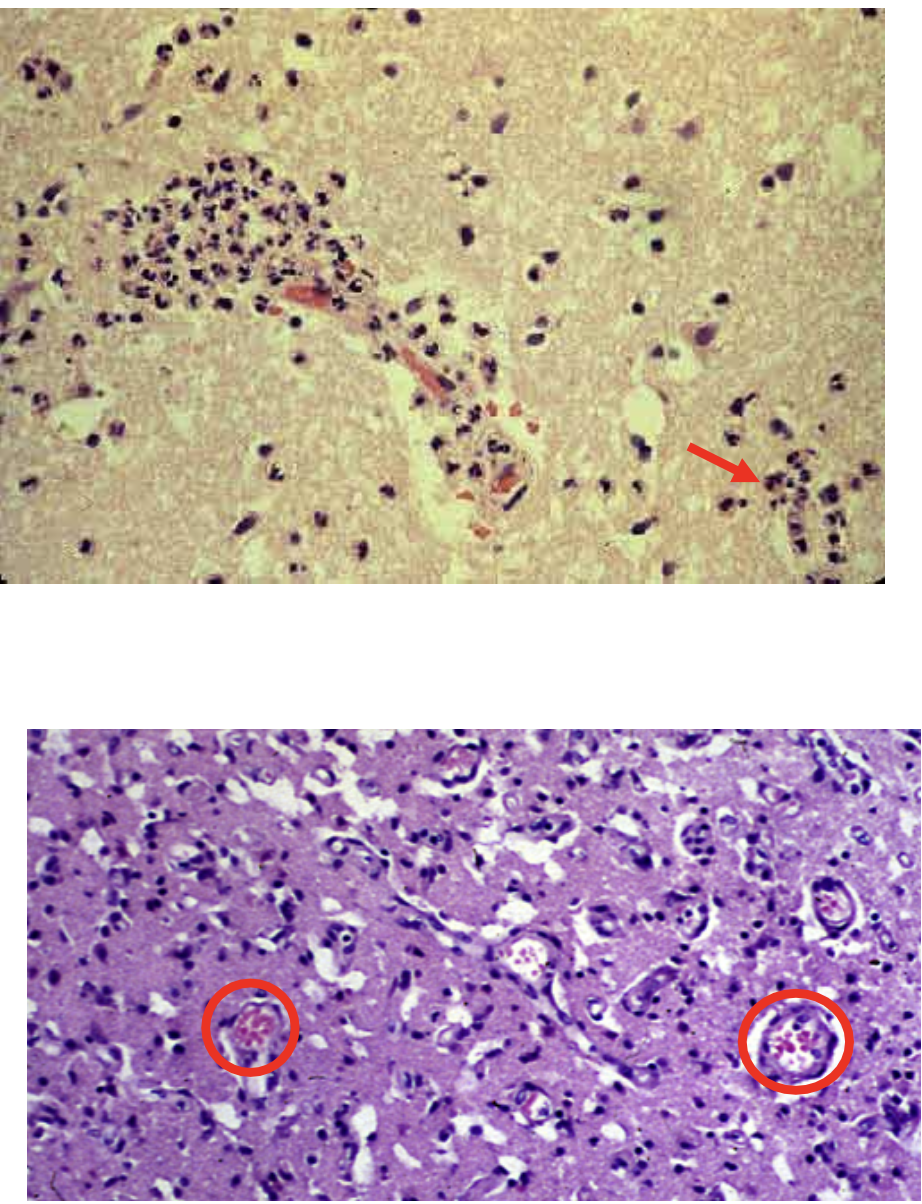
Q

Subacute ischemic stroke - histopathology

A

Polymorphonuclear cells invade the ischemic territory within hours and peak at 48- 72 hours. (arrow)
Macrophages appear within 48 hours and last for months.
Vascular proliferation begins after 48 hours (circles)
-The blood-brain barrier is absent.

How well did you know this?
1
Not at all
2
3
4
5
Perfectly
3
Q

Chronic cortical ischemic stroke

A

Aftermonths,allthat remains is a cystic cavity surrounded by gliotic tissue with glial strands (circle)
-There is compensatory (ex- vacuo) ventricular enlargement (open arrow)
Wallerian degeneration of the cerebral peduncle and corticospinal tract in the pons. (arrows)

How well did you know this?
1
Not at all
2
3
4
5
Perfectly
4
Q

Lacunar infarcts

A

Infarctions ranging in size from 1 mm to 1.5 cm (arrow)
Classically, the walls of small arteries become thickened from the formation of hyaline membranes (lipohyalinosis) (circle)
-Caused by chronic hypertension.
-These arteries may also rupture.

How well did you know this?
1
Not at all
2
3
4
5
Perfectly
5
Q

Watershed infarcts

A

Are wedge shaped over the convexity
The depths of the sulci are most affected by ischemia (circles).
– In contrast, the crests of the gyri are most affected in traumatic injury.

How well did you know this?
1
Not at all
2
3
4
5
Perfectly
6
Q

Transient global hypoperfusion - gross

A

Transient shock or cardiopulmonary arrest causes focal ischemic injury to neurons with high metabolic rates:
– Layer 3 and 5 of cortex (laminar necrosis) (arrow)
– Hippocampus (circle)
– Purkinje cells in Purkinje layer of cerebellum
– Basal ganglia

How well did you know this?
1
Not at all
2
3
4
5
Perfectly
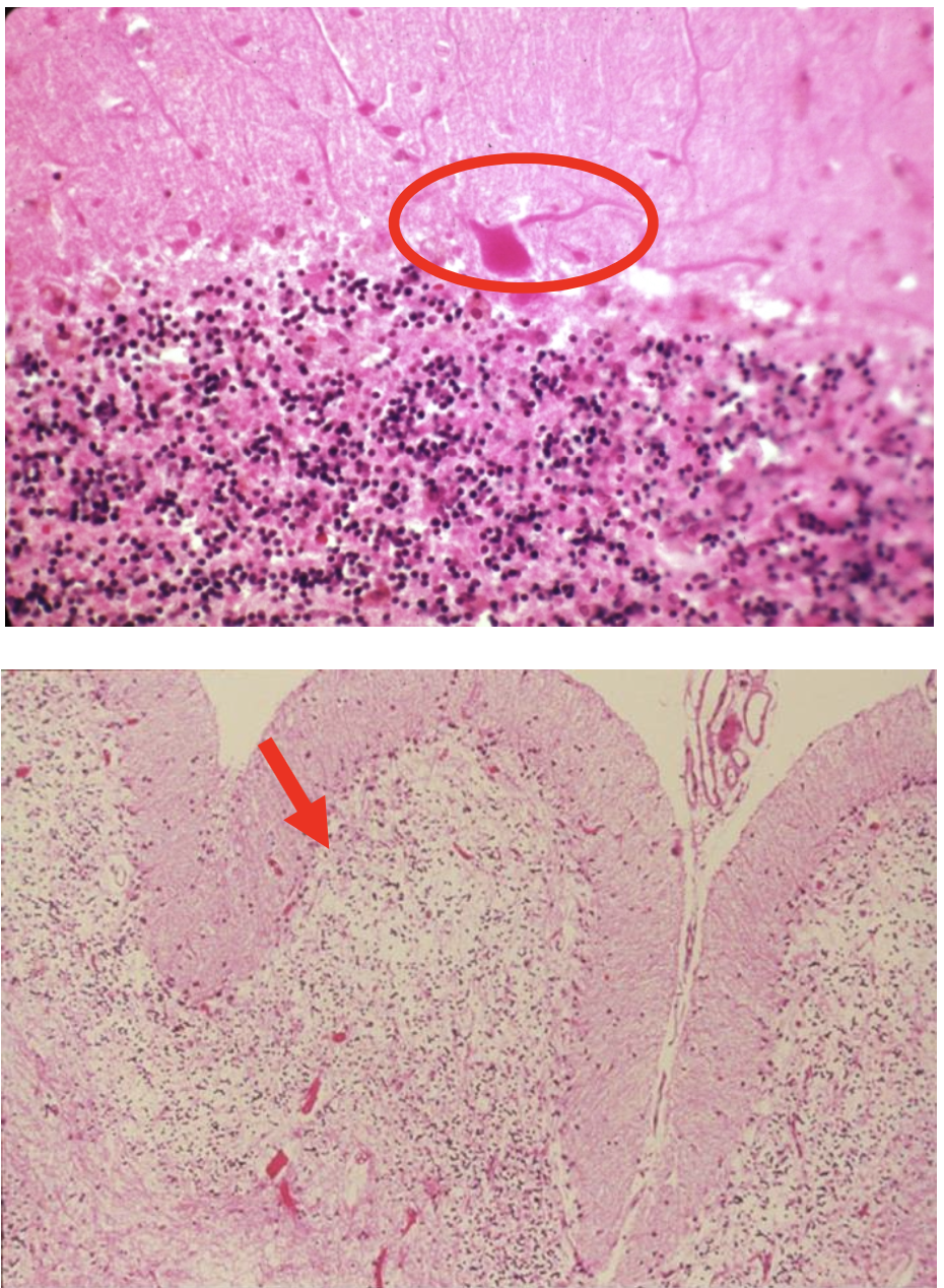
7
Q

Transient global hypoperfusion - acute histopathology

A

Acute ischemia of the Purkinje cells. (circle)
Chronically, there is loss of neurons and proliferation of the surviving astrocytes (gliosis).
– In the cerebellum, this is called Bergmann gliosis. (arrow)

How well did you know this?
1
Not at all
2
3
4
5
Perfectly
8
Q

Transient global hypoperfusion - chronic histopathology

A

Chronically, there is loss of neurons (circle and (arrow)
Chronically, there is proliferation of the surviving astrocytes (gliosis).

How well did you know this?
1
Not at all
2
3
4
5
Perfectly
9
Q

Arterial dissection

A

Tearing of the endothelial lining of the blood vessel with extravasation of blood into the vessel wall (arrow).
Seen in:
– Marfan’s syndrome
– Fibromuscular dysplasia,
– Ehlers-Danlos type IV – Trauma

How well did you know this?
1
Not at all
2
3
4
5
Perfectly
10
Q

Vasculitis

A

May be part of a systemic vasculitis or isolated to the CNS.
Requires transmural vessel wall inflammation (circle).

How well did you know this?
1
Not at all
2
3
4
5
Perfectly
11
Q

Venous sinus thrombosis

A

Venous congestion over the convexities (yellow arrowheads) with parietal petechial hemorrhages (circle).
Associated with: Post-partum, dehydration, hypercoagulable states, adjacent inflammation (e.g., mastoiditis).

How well did you know this?
1
Not at all
2
3
4
5
Perfectly
12
Q

Parenchymal hemorrhage - pathology

A

The blood products are absorbed by macrophages and walled off by gliosis.
Months later, the cystic cavity appears tan - brown from hemosiderin-laden macrophages.

How well did you know this?
1
Not at all
2
3
4
5
Perfectly
13
Q

Lobar Hemorrhages

A

Classically caused by amyloid angiopathy
- Amyloid accumulates in the blood vessel wall. It appears green on Congo Red stain (circle).
Other causes include: hypertension, vascular malformations

How well did you know this?
1
Not at all
2
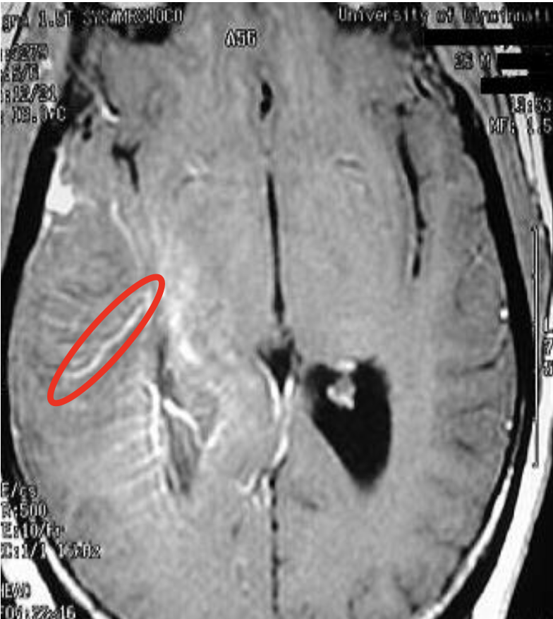
3
4
5
Perfectly
14
Q

AVMs

A

Located in cortex
Composed of both large arteries (open arrow) and veins (solid arrow) without intervening capillaries.
Between vessels there is gliotic nonfunctional hemosiderin stained tissue (circle).

How well did you know this?
1
Not at all
2
3
4
5
Perfectly
15
Q

Cavernous malformation

A

Located in cortex or less frequently in the brainstem.
Composed of thin-walled vessels (arrow).
– These tend to bleed repeatedly.
There is no intervening parenchyma between the vessels (circle).

How well did you know this?
1
Not at all
2
3
4
5
Perfectly
16
Q

Developmental venous angioma

A

Most common vascular malformation
- Located in cortex
- Composed of dilated medullary veins
- One enlarged vein drains the blood into the normal venous circulation (circle).
Between vessels ,there is normal brain parenchyma.

How well did you know this?
1
Not at all
2
3
4
5
Perfectly
17
Q

Capillary Telangectasia

A

Commonly located in the pons
Composed of dilated capillaries (circle).
Between vessels, there is normal brain parenchyma.

How well did you know this?
1
Not at all
2
3
4
5
Perfectly
18
Q

Vascular malformations table

A
How well did you know this?
1
Not at all
2
3
4
5
Perfectly
19
Q

Hypertensive hemorrhage

A

Commonly occur in the: putamen (65%) (circle), pons (10%) (arrow), cerebellum (10%), thalamus
These are the same locations of lacunar infarctions.

How well did you know this?
1
Not at all
2
3
4
5
Perfectly
20
Q

Aneurysms

A

Appear as balloon-like out-pouching (Berry) (circle)
Commonly occur at bifurcations, where there is a defect of the elastic media (arrow)
– Carotid termination including PCOM
– Junction of the ACA and anterior communicating artery

How well did you know this?
1
Not at all
2
3
4
5
Perfectly
21
Q

Subarachnoid Hemorrhage

A

Caused by aneurysmal rupture or trauma
Overlying the blood is the arachnoid membrane (arrow).

How well did you know this?
1
Not at all
2
3
4
5
Perfectly
22
Q

Epidural Hematoma

A

Usually caused by laceration of the middle meningeal artery.
The blood is between the inner table of the skull and the outer surface of the dura (arrow).
– The blood does not cross suture lines

How well did you know this?
1
Not at all
2
3
4
5
Perfectly
23
Q

Subdural Hematoma

A

Usually caused by tearing of veins that connect venous sinuses and the cortical surface (bridging).
– In atrophied brains, these veins are stretched further making them more vulnerable.
Chronic subdural hematomas are encased by a membrane.
– Immature blood vessels develop in these membranes causing further bleeding.

How well did you know this?
1
Not at all
2
3
4
5
Perfectly
24
Q

Cerebral Contusion

A

Area of hemorrhagic necrosis
– Usually affects the crest of gyri.
– Frequently seen in subfrontal and anterior temporal lobes as the base of the brain slides over the irregular skull base (arrows).
Blood is removed by macrophages leaving an irregular tan discoloration. (circle)

How well did you know this?
1
Not at all
2
3
4
5
Perfectly
25
Widespread ruptured axons from trauma. – Neuroimaging is normal but patients are comatose. On gross examination, there is white matter atrophy. (circle) The injured axons dilate (“axon retraction balls”) (arrow).
26
Type of herniation?
Subfalcine: an edematous cingulate gyrus (arrow) compresses the ipsilateral anterior cerebral artery as it runs in the falx cerebri.
27
Type of herniation?
Uncal: The medial temporal lobe (uncus) (arrow) herniates across the tentorium cerebelli compressing: – the ipsilateral 3rd nerve – the midbrain resulting in compression of the contralateral cerebral peduncle on Kernohan’s notch (top): a hemiparesis ipsilateral to the herniation (secondary to expanding mass in some cases) is known as Kernohan phenomenon, which is a false localizing sign – the posterior cerebral arteries resulting in occipital lobe infarcts. (circle)
28
What type of herniation?
Tonsillar With elevated posterior fossa pressure, the cerebellar tonsils (arrows) are forced downward into the foramen magnum causing hemorrhage and compression of the medulla. Since the blood vessels are fixed by the dura, downward displacement of the brainstem causes rupture of the penetrating arteries resulting in multiple linear hemorrhages (Duret). (circles)
29
Atretic great vessels Aortic aneurysm Takayasu arteritis
30
Branches of the ICA
* Ophthalmic - “Amaurosis Fugax - Transient monocular visual loss” * Posterior communicating Artery * Anterior choroidal artery * Anterior cerebral artery (ACA) * Middle cerebral artery (MCA)
31
Figure 1 - Schematic diagram of the brain blood circulation: 1, Aortic Arch; 2, brachiocephalic artery; 3, common carotid artery; 4, posterior inferior cerebellar artery (PICA); 5, pontine arteries; 6, anterior choroidal artery; 7, anterior communicating artery; 8, anterior cerebral artery (ACA); 9, posterior communicating artery; 10, posterior cerebral artery (PCA); 11, superior cerebellar artery (SCA); 12, anterior inferior cerebellar artery (AICA); 13, anterior spinal artery; 14, arches of vertebral arteries; 15, internal carotid arteries
32
Segments of the internal carotid
The Internal Carotid Artery (ICA) is commonly divided into segments (Gibo classification) (1) The Cervical segment runs from above the carotid bulb through the neck to the base of the skull; (2) the Petrous segment runs from the base of the skull through the petrous bone; (3) the Cavernous segment runs through the cavernous sinus (note the prominent bends) (4) the Supraclinoid segment runs above the clinoid process through the dura into the subarachnoid space; several important branches arise from the supraclinoid carotid, among them the ophthalmic, posterior communicating, and anterior choroidal arteries. Bouthillier et al. C1: cervical segment C2: petrous (horizontal) segment C3: lacerum segment C4: cavernous segment C5: clinoid segment C6: ophthalmic (supraclinoid) segment: ophthalmic artery C7: communicating (terminal) segment: posterior communicating artery, anterior choroidal artery anterior cerebral artery, middle cerebral artery
33
Anterior choroidal artery stroke
HHH: Hemiplegia, Hemisensory loss, and sometimes Hemianopia
34
MCA stroke
CONTRALATERAL: FACE AND ARM \> LEG WEAKNESS, SENSORY LOSS, VISUAL FIELD DEFICITS, APHASIA (if dominant hemisphere) or NEGLECT (if non-dominant hemisphere)
35
Anterior Cerebral Artery - ACA
contralateral LEG LEG LEG\> FACE AND ARM
36
PCA stroke
Basilar artery splits into the POSTERIOR CEREBRAL ARTERIES (PCAs) ~25% of patients have a “fetal” PCA from the PCOM PCA strokes cause VISUAL FIELD DEFICITS: Contralateral homonymous hemianopsia
37
Vertebral-basilar system
VERTEBRAL ARTERIES typically arise from the subclavian arteries • Run through the foramen in the transverse processes of the vertebrae at C-6 and exit at C-1 • Enter the skull through the foramen magnum • Join to form the BASILAR ARTERY
38
Thalamic stroke
Pure motor hemiplegia: Medial medullary pyramid, cerebral peduncle, or posterior limb of internal capsule Pure sensory stroke: Ventral posterolateral and ventral posterior medial nuclei of the thalamus Sensorimotor stroke: Both thalamic nuclei and posterior limb of the internal capsule Dysarthria-clumsy hand syndrome: Severe dysarthria, cortical bulbar weakness of lower face and tongue, and slowness of fine movements of one hand. Small infarct in the dorsal basis pontis just below the medial lemniscus or internal capsule. Ataxic hemiparesis: Slight hemiparesis with cerebellar ataxia occurs with lesions of rostral pons
39
Thalamic stroke
Pure motor hemiplegia: Medial medullary pyramid, cerebral peduncle, or posterior limb of internal capsule Pure sensory stroke: Ventral posterolateral and ventral posterior medial nuclei of the thalamus Sensorimotor stroke: Both thalamic nuclei and posterior limb of the internal capsule Dysarthria-clumsy hand syndrome: Severe dysarthria, cortical bulbar weakness of lower face and tongue, and slowness of fine movements of one hand. Small infarct in the dorsal basis pontis just below the medial lemniscus or internal capsule. Ataxic hemiparesis: Slight hemiparesis with cerebellar ataxia occurs with lesions of rostral pons
40
41
Top of the basilar occlusion
Bilateral infarction of midbrain, thalamus, occipital, and medial temporal lobes causing cortical blindness, agitated delirium or even transient coma, amnestic state, third nerve palsy, fixed dilated pupils, loss of vertical gaze, loss of convergence Hallucinations and confabulation may occur
42
Weber's syndrome
Midbrain stroke syndrome Ipsilateral third nerve palsy Contralateral hemiplegia
43
Claude's syndrome
Midbrain syndrome Ipsilateral third nerve palsy Contralateral limb dysmetria and tremor (red nucleus)
44
Benedikt’ syndrome
Midbrain syndrome Ipsilateral third nerve palsy Contralateral movement disorder (upper red nucleus) Contralateral weakness (pyramidal tract)
45
Millard–Gubler or Foville syndrome
Pontine syndrome Infarct of ventrocaudal pons resulting in: • Contralateral hemiplegia (sparing the face) due to pyramidal tract involvement • Ipsilateral CN VI palsy • Ipsilateral peripheral facial paresis, due to cranial nerve VII involvement.
46
Lateral medullary syndrome
Medullary syndrome Caused by PICA or vertebral disease most commonly Vertigo, ataxia, loss of sensation on ipsilateral face (corneal) and contralateral body, ipsilateral Horner's, nystagmus horizontal and rotary, ipsilateral vocal cord and palate weakness, ipsilateral facial weakness, face pain and hiccups may occur
47
SCA stroke
Dysarthria and ataxia with ispilateral axial lateralpulsion, ipsilateral Horner’s, contralateral loss of temp and pain
48
AICA syndrome
Pure vestibular syndrome, unilateral hearing loss
49
PICA
Vertigo, vomiting, ataxia, dysarthria and with medullary and lower pons - you get Wallenberg's!
50
CADASIL
Autosomal dominant mutation in notch 3 gene results in progressive recurrent small vessel infarcts
51
Fabry’s disease
X-linked recessive lysosomal alpha-galactosidase A deficiency
52
Hyperhomocysteinuria
Impaired cystathionine B-synthase, autosomal recessive
53
Sickle cell disease
Can cause strokes in children, stroke rate lowered in high risk patients with exchange transfusions, associated with moyamoya
54
Fibromuscular dysplasia
Arterial dissection can be familial in 10-20% of cases
55
Polycystic kidney disease
Polycystic kidney disease is associated with berry aneurysms and SAH
56
Marfan’s and Ehlers-Danlos type IV
Associated with dissection
57
MELAS
Mitochondrial disease with metabolic stroke-like brain lesions
58
Bilateral fetal PCAs
Associated with relatively diminutive distal basilar
59
Unilateral absent ACA
May be associated with: Anterior communicating artery aneurysm, relatively smaller contralateral ICA, bilateral A2 infarcts
60
61
Moya moya
Progressive obliteration of anterior circulation intracranial vessels – ICA, MCA, ACA Women:men - 2:1 More common in Asia Can lead to ischemia \> hemorrhage Etiologically diverse: Accelerated atherosclerosis, infection (meningitis, VZV, HIV, leptospirosis), genetics (up to 10% have a first degree relative in Japan) Associated with trisomy 21, neurofibromatosis I, sickle cell disease, tuberous sclerosis, and Marfan’s
62
MC aneurysm location
Anterior communicating–Anterior cerebral Posterior communicating–Internal carotid Middle cerebral artery bifurcation (M1–M2) Internal carotid bifurcation (ACA–MCA) Basilar (PCA–PCA)
63
Aneurysm treatment
Requires intervention if symptomatic (SAH, cranial neuropathies, etc), large (\>5-7mm in anterior circulation, 4-5mm in posterior circulation), enlarging over time, high risk morphology: elongated axis, daughter blebs
64
Risk factors for aneurysm
Other risk factors include family history of SAH, smoking, uncontrolled HTN
65
Early infarct signs
Loss of grey-white junction - Any lobe including insula Obscuration of the deep grey structures - Caudate - Putamen - Thalamus Obscuration of the sylvian fissure Sulcal effacement Hyperdensebloodvessel
66
Stroke on MRI
DWI is bright in acute stroke due to cytotoxic edema and restricted diffusion - Can be seen as early as 15 minutes into a stroke and remains bright for up to 10-14 days - Should have corresponding area of decreased signal on ADC map Enhancement begins at around day 3 and can remain for weeks
67
68
tPA criteria
Clinical diagnosis of ischemic stroke within 3-4.5 hours of last seen normal No recent: 1) Trauma, major surgery (2 weeks) 2) GI or UT bleed (3 weeks) 3) Serious head trauma, brain surgery, stroke (3 months) No rapidly improving symptoms (?TIA) No seizure at onset (?Todd’s paralysis) BP \< 185/110 without major interventions CT without ICH or major early infarct signs Normal glucose (50-400) and platelets (\>100k) Normal PT or PTT if patient is on warfarin or heparin: Re: this, tPA c/I'd if: - Patient has received heparin within 48 hours and has an elevated aPTT (greater than upper limit of normal for laboratory) - Current use of oral anticoagulants (ex: warfarin) and INR \>1.7 - 3urrent use of direct thrombin inhibitors or direct factor Xa inhibitors
69
Increased risk for hemorrhagic transformation in:
Stroke severity (NIHSS) Early CT findings of significant acute hypodensity, edema, or mass effect Elevated serum glucose Possibly age of patient and lower platelets These patients were still more likely to have an excellent outcome with t-PA than with placebo
70
71
AFib and stroke
72
DOACs
Dabigatran (Pradaxa,adirectthrombininhibitor), rivaroxaban (Xarelto, a factor Xa inhibitor), and apixaban (Equilis, a factor Xa inhibitor), edoxaban (Savaysa, a factor Xa inhibitor) are all FDA approved
73
Antiplatelets mechanism of action
74
Timing of appearance of blood on MRI
75
Timing of stroke on MRI
76
Consciousness components
Arousal+awareness
77
Pathophysiology of consciousness
Requires an interaction between the Reticular Activating System (RAS) of the brain stem, thalamus and the cerebral cortex The RAS is responsible for arousal RAS projects to thalamus and cortex: asserts direct and indirect influences on the cortex The cerebral cortex is responsible for the awareness of self and environment
78
Brain death
Death by neurologic criteria
79
Coma
State of unarousable unresponsiveness
80
Vegetative state
Describes patients who recover the arousal component of consciousness but not awareness
81
Minimally conscious state
Severely altered consciousness in which minimal but definite behavioral evidence of self or environmental awareness is demonstrated
82
Locked-in state
Describes a condition of total paralysis below the third nerve nuclei. Patients can open their eyes and can move their eyes up and down to command. The diagnosis depends on identifying that the patient can open his eyes voluntarily. Neuropathological basis for this condition is usually an infarction of the ventral pons and efferent motor tracts. Other conditions include central pontine myelinolysis, pontine hemorrhage, and tumors.
83
Psychogenic coma
Patients typical have tightly closed eyes and resist opening. They have intact normal caloric responses. They have normal or inconsistent motor exams. EEG is normal. (Hand drop test, Nose hair tickling)
84
Akinetic mutisms
Characterized by abulia, lack of spontaneous movement and eye closure. They have eye tracking, facial grimace, and blinking to threat. Sleep-Wake cycles can be seen based on eye opening. Upper motor neuron signs do not develop ( no spasticity). Caused by lesions of the cingulate gyri
85
Stupor
Patient appears to be asleep but when vigorously stimulated will become alert, manifested by eye opening and ocular movements. Speech and other movements are limited..
86
Obtundation
Patient has a mild to moderate reduction of alertness with a decrease in interest in the environment. Patients are “slow” in their response and have increased number of hours where they sleep
87
Clouding of Consciousness
State of reduced wakefulness or alertness characterized by hyper-excitability and irritability alternating with drowsiness. The patient is easily distracted and startled. Characterized by misjudgement of sensory perceptions
88
Somnolent and Lethargic
Sleepy
89
GCS
An objective measure of arousal. It uses three markers of consciousness - eye opening, motor function, verbal function
90
Coma neuroanatomy
A direct injury to the brainstem at or above the level of the pons may result in coma, but requires that the injury occur rapidly and is of sufficient size. Bilateral Thalamic or Hypothalamic Injury Extensive bilateral disturbance of the hemisphere function is required to produce coma -Drugs, metabolic disease produce coma by a depression of both cortex and RAS -Trauma-\>diffuse axonal injury
91
Herniation syndromes
92
Pupils and structural lesion
93
Breathing pattern
Cheyenne Stokes - bilateral injury (to respiratory centers), physiological abnormalities in congestive heart failure, and is also seen in newborns with immature respiratory systems and in visitors new to high altitudes. One example is the breathing pattern in Joubert (molar tooth) syndrome and related disorders. characterized by progressively deeper, and sometimes faster, breathing followed by a gradual decrease that results in a temporary stop in breathing called an apnea. The pattern repeats, with each cycle usually taking 30 seconds to 2 minutes.[1] It is an oscillation of ventilation between apnea and hyperpnea with a crescendo-diminuendo pattern, and is associated with changing serum partial pressures of oxygen and carbon dioxide.[2]
94
Breathing pattern
Biot's - medulla An abnormal pattern of breathing characterized by groups of quick, shallow inspirations followed by regular or irregular periods of apnea. It is distinguished from ataxic respiration by having more regularity and similar-sized inspirations, whereas ataxic respirations are characterized by completely irregular breaths and pauses. As the breathing pattern deteriorates, it merges with ataxic respirations. Biot's respiration is caused by damage to the medulla oblongata due to strokes or trauma or by pressure on the medulla due to uncal or tentorial herniation. It generally indicates a poor prognosis.
95
Breathing pattern
Kussmaul breathing - DKA A deep and labored breathing pattern often associated with severe metabolic acidosis, particularly diabetic ketoacidosis (DKA) but also kidney failure. It is a form of hyperventilation, which is any breathing pattern that reduces carbon dioxide in the blood due to increased rate or depth of respiration.
96
Breathing pattern
Apneustic - pontine An abnormal pattern of breathing characterized by deep, gasping inspiration with a pause at full inspiration followed by a brief, insufficient release.
97
Breathing pattern
Ataxic - medulla Ataxic respiration is an abnormal pattern of breathing characterized by complete irregularity of breathing, with irregular pauses and increasing periods of apnea. As the breathing pattern deteriorates, it merges with agonal respiration.
98
Good and bad prognostic signs in coma
99
Therapeutic hypothermia
100
Adult declaration of brain death
In most states 1 confirmatory exam by a physician is adequate The declaration of brain death requires: series of careful neurologic tests, the establishment of the cause of coma, the recognition of possible confounding factors, the resolution of any misleading clinical neurologic signs ( ie dilated pupil due to atropine), the ascertainment of irreversibility: CT imaging demonstrating massive brain destruction - mimics: acute severe hydrocephalus and cerebellar hematoma Exam (T\>36, SBP\>100) Patients must lack all evidence of responsiveness - based on evaluation for motor response to noxious stimulation - Key is to distinguish spinal reflexes from true response - things that hint at spinal reflexes: 1) They may occur with neck flexion and nail bed compression but are absent with supraorbital nerve compression 2) These responses are not classifiable as decorticate or extensor responses 3) These responses are uncommon, but include triple flexion responses, finger flexion or extension, head turning, and slow arm lifting 4) May be upsetting to family or caregivers -\> critical to explain that these come from the spinal cord Absence of all brainstem reflexes - Pupils should be mid-position (4-6mm) and unreactive - Absent corneal reflex - Absent ocular-cephalic reflex (fast head turning) - Absent ocular-vestibular reflex: The head should be elevated 30 degrees -\> 50 cc of ice water is then infused in the external auditory canal -\> No eye movement should be observed after 2 minutes of observation. Absent Gag and Cough reflex Apnea Apnea test Before performing the apnea test, the physician must determine that the patient meets the following conditions: • Core temperature \> 36°C or 96.8°F. • PaCO2 35-45 mm Hg. • Normal PaO2. Option: pre-oxygenation for at least 10 minutes with 100% oxygen to PaO2 \> 200 mm Hg. • Normotension. Adjust fluids and (if necessary) vasopressors to a systolic blood pressure ≥ 100 mm Hg (option: mean arterial pressure ≥ 65 mm Hg). After determining that the patient meets the prerequisites above, the physician should conduct the apnea test as follows: • Connect a pulse oximeter. • Disconnect the ventilator. o Apnea can be assessed reliably only by disconnecting the ventilator, as the ventilator can sense small changes in tubing pressure and provide a breath that could suggest breathing effort by the patient where none exists. • Deliver 100% O2, 6 L/min by placing a catheter through the endotracheal tube and close to the level of the carina. Option: use a T-piece with 10 cm H20 CPAP and deliver 100% O2, 12 L/min. • Draw a baseline arterial blood gas. • Look closely for respiratory movements (abdominal or chest excursions that produce adequate tidal volumes) for 8-10 minutes. • Measure PaO2, PaCO2, and pH after approximately 8-10 minutes and reconnect the ventilator. • If respiratory movements are absent and PaCO2 is ≥ 60 mm Hg (option: 20 mm Hg increase in PaCO2 over a baseline normal PaCO2), the apnea test supports the diagnosis of brain death. • If respiratory movements are observed, the apnea test result is negative (i.e., does not support the diagnosis of brain death). • Connect the ventilator if, during testing, the systolic blood pressure becomes \< 90 mm Hg (or below age-appropriate thresholds in children less than 18 years of age) or the pulse oximeter indicates significant oxygen desaturation (\< 85% for \> 30 seconds), or cardiac arrhythmias develop; immediately draw an arterial blood sample and analyzearterial blood gas. If PaCO2 is ≥ 60 mm Hg or PaCO2 increase is ≥ 20 mm Hg over baseline normal PaCO2, the apnea test result supports the diagnosis of brain death; if PaCO2 is \< 60 mm Hg and PaCO2 increase is \< 20 mm Hg over baseline normal PaCO2, the result is indeterminate. If adequate blood pressure and oxygenation can be maintained, the apnea test can be repeated for a longer period of time (10-15 minutes) or an ancillary test can be considered if the result is indeterminate.
101
Pediatric declaration of brain death
Two examinations including apnea tests performed by different attending physicians 24 hour waiting period prior to first exam is suggested after the insult Observation intervals between exams: 24 hours in 37 week gestation to 30 day olds, 12 hours in 30 day to 18 year olds Ancillary tests not required May assist examiner when apnea test or part of exam can not be performed, uncertainty regarding neurologic exam, medication effect, or to shorten observation interval.
102
Ancillary testing for brain death
Electroencephalography: an absence of brain electrical activity Cerebral Angiogram: a catheter dye study of brain showing absence of blood flow Transcranial Doppler ultrasound: absence of blood flow detected by sound Cerebral scintigraphy: radionuclide study showing absence of blood flow All have limitations
103
ABCD2 score
Age of 60 years or more (1 point); Blood pressure of 140/90 mm Hg or greater (1 point); Clinical symptoms (1 point for speech impairment without weakness and 2 points for focal weakness); Duration of symptoms (1 point for 10 to 59 minutes and 2 points for 60 minutes or more); Diabetes (1 point).
104
Field cuts in LGN
Anterior choroidal Lateral choroidal from posterior choroidal of posterior circulation
105
What causes thalamic dementia?
Infarct of paramedian artery or other lesion of DM nucleus
106
Bilateral thalamic infarcts from single occlusive event?
Artery of Percheron
107
Blood supply to spinal cord
The spinal cord is supplied by a single anterior spinal artery and a pair of posterior spinal arteries. These arteries arise from the vertebral arteries. The anterior spinal artery supplies the anterior 2/3 of the cord, which includes the anterior horn, ALS, and corticospinal tracts. The posterior spinal arteries supply the dorsal columns. The spinal arteries narrow in the thoracic cord (may even be noncontiguous). As a result, the spinal arteries can be divided into 3 longitudinal segments based on their blood supply – C1-T2: supplied by radicular arteries from the vertebral and ascending cervical arteries – T3-T7: spinalarteriesfromT3-T7aresuppliedby radicular arteries from intercostal arteries – T8-conus: suppliedby radicular arteries from the artery of Adamkiewicz Blood flow to these segments is reconstituted by radiculomedullary arteries. The radiculomedullary arteries originate from radicular arteries.
108
Radicular arteries
Radicular arteries originate from segmental arteries, which include the ascending cervical, intercostal, lumbar, and sacral arteries. There are thirty-one pairs of radicular arteries, each passing through the neural foramina to supply each spinal nerve, the vertebral body and the dura via a small dural branch. Only 6 to 10 radicular arteries have radiculomedullary branches – Their exact number and anatomic location is quite variable.
109
Spinal AVMs
110
Oculosympathetics
111
Aniscoria
Physiologic (same in dark/light) Small pupil (greater in dark) - Horner's Large pupil (greater in light) - CN III None in PURE afferent disease! This has APD
112
Testing for Horner's - confirming the dx
Topical cocaine is used to confirm the clinical diagnosis of ocular sympathetic denervation, or Horner Syndrome (HS). Cocaine blocks re-uptake of norepinephrine (NE) by sympathetic nerve terminals in the iris dilator muscle, transiently increasing its concentration in the synaptic junction. Norepinephrine activates alpha1 receptors in the iris dilator to cause pupil dilation. In HS, cocaine fails to dilate the affected pupil as much as the unaffected pupil, but its indirect action makes it a weak dilator, and the test can give equivocal results. Cocaine is also a controlled substance and therefore difficult to obtain. A practical and reliable alternative to cocaine is apraclonidine, an ocular hypotensive agent that has a weak direct action on alpha1 receptors and therefore minimal to no clinical effect on the pupils of normal eyes. Patients with HS have denervation supersensitivity of the alpha1 receptors in the iris stroma of the affected eye, making the pupil dilator responsive to apraclonidine. In patients with HS, reversal of anisocoria occurs after bilateral instillation of apraclonidine 1% or 0.5%. Urine drug test for cocaine will be positive for a few days after testing (5) Apraclonidine Denervation must be present long enough for receptor upregulation to have occurred (14) Positive tests have been noted within hours of a carotid dissection but the onset of denervation sensitivity are variable (15) False negatives can occur in the setting of acute Horner syndrome or in long-standing cases if strict “reversal of anisocoria” criteria used (16, 17) Apraclonidine has limited use in pediatric Horner syndrome due to the risk of CNS and respiratory depression (18) https: //www.ophthalmologyreview.org/articles/horner-syndrome-pharmacologic-diagnosis
113
Horner's localization
HYDROXYAMPHETAMINE Hydroxyamphetamine remains a useful tool for localization of the lesion once a diagnosis of Horner syndrome has been confirmed (20). However, it is limited by accessibility and some considerations detailed below. Since it’s still tested (and important to understand from a mechanistic and historical perspective), you still need to know how it works and what it does. Mechanism of action: increases the release of norepinephrine from the presynaptic neuron (21). In intact presynaptic (3rd order, postganglionic) neurons, this results in pupil dilation; if this neuron is not intact, the pupil does not dilate. Note anisocoria (which pupil is small, which pupil is larger) Instill 1 drop of hydroxyamphetamine (1%) in each eye Wait 45-60 minutes Re-evaluate anisocoria Results: In patients with normal pupils, there is a symmetric 2 mm dilation of each pupil (anisocoria remains) (22). In patients with Horner syndrome, the reaction is based on whether or not there is an intact 3rd-order (postganglionic) neuron (23): Both pupils dilate: intact 3rd-order neuron (localizes to 1st- or 2nd-order neuron) Only non-Horner pupil dilates: not intact 3rd-order neuron (localizes to 3rd-order neuron) https://www.ophthalmologyreview.org/articles/horner-syndrome-pharmacologic-diagnosis
114
Tonic pupil
Adie tonic's pupil denotes a pupil with parasympathetic denervation that constricts poorly to light but reacts better to accommodation (near response)
115
Light-near dissociation causes
116
Pupils in coma
Metabolic - small, reactive Midbrain - mid position, fixed Pons - pinpoint Third nerve (uncal) - dilated, fixed
117
Pupils in coma
Metabolic - small, reactive Midbrain - mid position, fixed Pons - pinpoint Third nerve (uncal) - dilated, fixed
118
CN IV
Innervates superior oblique - acts to depress, best in ADduction
119
Inferior oblique
CN III Action elevation, best in ADduction
120
Actions of extraocular muscles
121
Fourth nerve palsy signs
If nerve - ipsilateral eye, if nucleus/fascicle before decussation- contralateral eye Bincoular, vertical/oblique diplopia, worse in contralateral and down gaze. Fourth nerve palsy often presents with a head tilt away from the affected eye. With ipsilateral head tilt, the medial utricle is excited.The medial utricle projects to the contralateral trochlear and oculomotor nucleus through the MLF. With ipsilateral head tilt, the ipsilateral eye elevates (sup rectus) and intorts (sup rectus and sup oblique) while the contralateral eye depresses (inf rectus) and extorts (inf rectus and inf oblique). The ocular counterrolling reflex (top) causes a compensatory cyclorotation of both eyes to maintain the subjective visual vertical. On left head tilt, the right eye infraducts and excyclotorts and the left eye supraducts and incyclotorts relative to the position of the head and true vertical. Head velocity signals are encoded by the semicircular canals. The eyes maintain this position tonically because of otolithic inputs from the utricle and saccule on the side of the lower ear. In a right superior oblique palsy (middle right), the right eye is extorted because of the lack of intorsion from the paretic superior oblique. Increased activity to the other intorter—the right superior rectus—causes a hypertropia that worsens when more intorsion is demanded by tilting the head to the right (middle left). A left ocular tilt reaction caused by abnormalities in the vertical vestibulo-ocular reflex projections from the left vestibular system causes a left hypotropia with bilateral torsion in the direction of head tilt (lower right). For each eye, the line through the cornea represents the torsional vertical axis.
122
Sixth neve palsy
Binocular, horizontal diplopia Increased in ipsilateral gaze Worse at distance
123
Acute papilledema
124
Nonarteric ischemic optic neuropathy
125
Nonarteric ischemic optic neuropathy
126
Ischemic optic neuropathy
127
Aniscoria
Pathologic Anisocoria is always an Efferent Problem
128
Midbrain syndromes
129
CN III: nerve vs. nucleus
Ptosis and superior rectus are bilateral in lesions of the nucleus
130
CN IV palsy
Innervates the superior oblique that intorts the eye and depresses the adducted eye. Superior oblique dysfunction results in an elevated eye (hypertropia) in primary gaze, which increases with eye adduction. The axons from the trochlear nucleus decussate to form the contralateral trochlear nerve. A nuclear lesion causes a contralateral hypertropia (vs nerve, which causes ipsilateral)
131
Foville syndrome
Foville Syndrome: Infarction of the dorsal pontine tegmentum involving: 6th nerve nucleus: Ipsilateral horizontal gaze palsy (“nuclear” 6th nerve palsy) 7th nerve branchial nucleus (or fascicle): ipsilateral facial weakness with forehead involvement. +medial lemniscus and corticospinal tracts -\>contralateral hemisensory loss, hemiparesis
132
CN VI: Lesion of peripheral nerve vs nucleus
Peripheral nerve - atrophy of ipsilateral LR, ipsilateral eye deviated medially, diplopia Nucleus - inability to move moves both eyes past midline to look ipsilateral to the lesion, atrophy of ipsilateral LR, but not contralateral medical rectus
133
Nuclear VI vs 1 and 1/2 syndrome
Nuclear VI affects both the ipsilateral lateral rectus muscle and the contralateral MLF 1 and ½ syndrome affects the ipsilateral abducens nucleus or PPRF (thereby affecting the ipsilateral later rectus and contralateral MLF) and the ipsilateral MLF
134
Pontine syndromes involving the 6th nerve
135
Cavernouos sinus
ICA, III, IV, Vi, V1, V2
136
Cavernous sinus vs superior orbital fissure vs orbital apex
137
Lesions involving 3rd, 4th, 6th nerves and V1 (2)
==
138
Trochlear head tilt
Occurs contralateral to the affected eye With ipsilateral head tilt, the medial utricle is excited. The medial utricle projects to the contralateral trochlear and oculomotor nucleus through the MLF. With ipsilateral head tilt, the ipsilateral eye elevates (sup rectus) and intorts (sup rectus and sup oblique) while the contralateral eye depresses (inf rectus) and extorts (inf rectus and inf oblique) The ocular counterrolling reflex (top) causes a compensatory cyclorotation of both eyes to maintain the subjective visual vertical. On left head tilt, the right eye infraducts and excyclotorts and the left eye supraducts and incyclotorts relative to the position of the head and true vertical. Head velocity signals are encoded by the semicircular canals. The eyes maintain this position tonically because of otolithic inputs from the utricle and saccule on the side of the lower ear. In a right superior oblique palsy (middle right), the right eye is extorted because of the lack of intorsion from the paretic superior oblique. Increased activity to the other intorter—the right superior rectus—causes a hypertropia that worsens when more intorsion is demanded by tilting the head to the right (middle left). A left ocular tilt reaction caused by abnormalities in the vertical vestibulo-ocular reflex projections from the left vestibular system causes a left hypotropia with bilateral torsion in the direction of head tilt (lower right). For each eye, the line through the cornea represents the torsional vertical axis.
139
Skew deviation
Low-Low: Disruption of the medial utricle fibers prior to decussation in the pontomedullary junction, results in an imbalance of tonic signal from the utricles simulating a contralateral head tilt. The ipsilateral eye is depressed and extorted (“hypotropia”) High-High: Disruption of the medial utricle fibers after decussation as they ascend in the MLF, also results in an imbalance of tonic signal from the utricles. However, since the fibers have already crossed, this simulates an ipsilateral head tilt. \< The ipsilateral eye is elevated and intorted (hypertropia). With ipsilateral head tilt, the medial utricle is excited. The medial utricle projects to the contralateral trochlear and oculomotor nucleus through the MLF. With ipsilateral head tilt, the ipsilateral eye elevates (sup rectus) and intorts (sup rectus and sup oblique) while the contralateral eye depresses (inf rectus) and extorts (inf rectus and inf oblique). The ocular counterrolling reflex (top) causes a compensatory cyclorotation of both eyes to maintain the subjective visual vertical. On left head tilt, the right eye infraducts and excyclotorts and the left eye supraducts and incyclotorts relative to the position of the head and true vertical. Head velocity signals are encoded by the semicircular canals. The eyes maintain this position tonically because of otolithic inputs from the utricle and saccule on the side of the lower ear. In a right superior oblique palsy (middle right), the right eye is extorted because of the lack of intorsion from the paretic superior oblique. Increased activity to the other intorter—the right superior rectus—causes a hypertropia that worsens when more intorsion is demanded by tilting the head to the right (middle left). A left ocular tilt reaction caused by abnormalities in the vertical vestibulo-ocular reflex projections from the left vestibular system causes a left hypotropia with bilateral torsion in the direction of head tilt (lower right). For each eye, the line through the cornea represents the torsional vertical axis.
140
Brainstem lesions and CN deficits - laterality
Localized in the vertical plane by the cranial nerve nuclei or cranial nerve axons that are affected. With the exception of the 4th cranial nerve, the lesion is ipsilateral to the cranial nerve deficit.
141
EOMI
Primary and secondary action Superior oblique: Depression/intorsion - CN IV Inferior oblique: Elevation/extorsion Superior rectus: Elevation/intorsion Inferior rectus: Depression/extorsion Only act in the horizontal plane no secondary action Medial rectus: Adduction Lateral rectus: Abduction - CN VI Others all CN III
142
Horner's syndrome - clinical
Horner’s syndrome is characterized by: 1. Ptosis of the upper eyelid (due to impaired superior tarsal and Müller’s muscles, which normally contribute to upper eyelid elevation). 2. Slight elevation of the lower eyelid (due to impaired inferior tarsal muscle function, which normally contributes to lower eyelid depression). 3. Pupillary miosis (impaired pupillodilator function). 4. Facial anhidrosis (if dissection or other lesion extends proximal to the region of the carotid bifurcation, because sweating fibers travel primarily with the ECA and would not be involved in an ICA dissection). 5. Enophthalmos (appearance of enophthalmos from decrease in palpebral fissure).
143
Horner's syndrome - sympathetic pathway
3 neuron pathway 1) 1st order: central - originate in the posterior hypothalamus and descend through brainstem to the first synapse located in the lower cervical and upper thoracic spinal cord (C8 to T2, aka clilospinal center of Budge) 2) Second order neurons exist spinal cord, travel near apex of lung, under subclavian artery, and ascend the neck and synapse in the superior cervical ganglion, near the bifurcation of the carotid artery at the level of the angle of the mandilbe 3) The third order neurons travel with the carotid artery - vasomotor and sweat fibers branch off at the superior cervical ganglion near the level of the carotid bifurcation and travel to the face with the ECA. The oclumosympathetic fibers continue with the ICA through the cavernous sinus to the orbit, where they travel with V1 division of the trigeminal nerve to their destinations.
144
Differentiation and localization in Horner's syndrome
Differentiation between causes of Horner’s syndrome can be difficult and depends on the location along the pathway. - In general, a lesion to the first-order neurons (central neurons) will be associated to brainstem or other focal neurologic findings from a central lesion. - A second-order (preganglionic) lesion is often associated with lesions of the neck, mediastinum, or lung apex. - A third-order (postganglionic) lesion is often associated with pain or headache, caused by conditions such as a skull base tumor, or carotid dissection. Cocaine 4% or 10% eye drops are sometimes used for confirmation of a Horner’s syndrome. Cocaine blocks the reuptake of norepinephrine released at the neuromuscular junction of the iris dilator muscle, allowing more local availability of norepinephrine. Following instillation of cocaine, the sympathetically denervated eye will not respond and the anisocoria will become more pronounced. (The Horner’s pupil will not change, but the unaffected pupil will become more dilated). Hydroxyamphetamine 1% eye drops will differentiate between a lesion affecting the first- or second- order neurons from a third-order neuron. There is no pharmacologic test to distinguish between a first-and second-order lesion. Hydroxyamphetamine causes release of stored norepinephrine in the third-order neurons. Following instillation, if the Horner’s pupil dilates, the lesion is either involving the first- or second-order neurons. If the Horner’s pupil does not dilate, there is a third-order neuron lesion.
145
Complete pupil-sparing oculomotor nerve palsy
Most often caused by ischemia to the oculomotor nerve. This is frequently associated with diabetes, especially in the setting of other vascular risk factors. The pupillomotor fibers travel along the peripheral aspects of the oculomotor nerve, whereas the somatic fibers to the muscles innervated by the oculomotor nerve travel centrally. The terminal branches of the arterial supply to the nerve are most affected by microvascular changes from diabetes and other risk factors as the vessels decrease in diameter from the periphery of the nerve to the central regions. Therefore, the supply to the periphery of the nerve (where the pupillomotor fibers reside) is spared, whereas the central fibers are affected. Compressive lesions (such as posterior communicating artery aneurysms) typically affect the peripheral pupillomotor fibers, leading to pupil dilatation with poor response to light (although rarely there may be some pupil sparing).
146
Nuclei of CN III
At the level of the superior colliculus in the dorsal midbrain There are paired and separate oculomotor subnuclei for the inferior rectus, medial rectus, and inferior oblique—all providing ipsilateral innervation. The superior rectus subnucleus is also paired but provides contralateral innervation. It is rare for these subnuclei to be affected in isolation from central lesions without also affecting nearby subnuclei and nuclei. The paired midline Edinger–Westphal subnuclei provides parasympathetic innervation to the iris sphincters and ciliary muscles. There is also a midline subnucleus providing innervation to both levator palpebrae superioris muscles. Therefore, a lesion to this single midline nucleus can cause bilateral ptosis, but it would be rare to affect only this nucleus without affecting nearby structures, and other clinical findings are expected to be present.
147
Trochlear nerve pathway
Of note, the trochlear nerve fibers decussate just before they exit dorsally at the level of the inferior colliculi of the midbrain. Therefore, motor neurons from each trochlear nucleus innervate the superior oblique muscle contralateral from its nucleus After exiting, the trochlear nerve curves ventrally around the cerebral peduncle and passes between the posterior cerebral and superior cerebellar arteries, lateral to the oculomotor nerve. Although it is the smallest nerve, the trochlear nerve has the longest intracranial course due to this dorsal exit, making it more prone to injury, as seen in this patient. The trochlear nerve innervates the superior oblique muscle, which allows for depression and intorsion of the eye, especially when the eye is adducted. Lesions of the trochlear nerve can either involve the nucleus or the nerve, but both virtually present with similar symptoms. The only difference is that a unilateral trochlear nuclear lesion affects the contralateral nerve and superior oblique muscle, while a fascicular lesion (after the decussatinon) affects the ipsilateral nerve and muscle.
148
Trochlear nerve palsy
Patients with trochlear nerve palsies may complain of vertical diplopia and/or tilting of objects (torsional diplopia). Because of loss of intorsion and depression from the superior oblique muscle, the affected eye is usually extorted and elevated due to unopposed action of its antagonist, the inferior oblique. Objects viewed in primary position or downgaze may appear double (classically, when going down a flight of stairs). Symptoms of diplopia often improve with head tilting to the contralateral side of the affected eye, and the patient adapts to this primary head position to avoid the diplopia.
149
MC aneurysm location for CN III palsy
PComm But can also be seen in aneurysms of the basilar tip, PCA, SCA
150
Uncal herniation and CN III
Uncal herniation also is a classic cause of third nerve palsy, although the patient is often comatose by the time this would occur.
151
Anterior ischemic optic neuropathy (vs PION)
AION is considered to be the most common optic nerve disorder in patients older than age 50. It can also affect the retrobulbar optic nerve in isolation, in which case it is termed posterior ischemic optic neuropathy (diagnosis of exclusion). AION is a result of ischemic insult to the optic nerve head. Clinically, it presents with acute, unilateral, usually painless visual loss, although 10% of patients may have pain that can be confused with optic neuritis. Fundoscopic examination shows optic disc edema (unless retrobulbar), hyperemia with splinter hemorrhages, and crowded and cupless disc.The painless vision loss is one key feature in differentiating AION from optic neuritis, which is often associated with painful eye movements.
152
Cold caloric testing
Cold caloric testing is helpful to assess brainstem integrity (which helps define whether brain death is present or not) and this is a passive way to evaluate the VOR. It should be done using cold water at 30°C and by bringing the head of the bed to 30 degrees from the horizontal position in order to bring the horizontal canals into a more vertical plane for optimal testing. The temperature difference between the body and the infused water creates a convective current in the endolymph of the nearby horizontal semicircular canal. Warm and cold water would produce currents in opposite directions and therefore a horizontal nystagmus in opposite directions. With cold water infusion, the endolymph falls within the semicircular canal, decreasing the rate of vestibular afferent firing and both eyes then slowly deviate toward the ipsilateral ear. Therefore, if cold water is infused into the left ear, the following will occur; excitatory signals are sent to the left lateral rectus and right medial rectus, as well as inhibitory signals to the left medial rectus and right lateral rectus. This results in tonic deviation of the eyes to the left. In a healthy person with normal functioning cortex, following a latency of about 20 seconds, nystagmus appears and may persist up to 2 minutes. The fast phase of nystagmus reflects the cortical correcting response and is directed away from the side of the cold water stimulus. If the cortical circuits are impaired (e.g., comatose state, as in this patient), the nystagmus will be suppressed and not present, and only the tonic deviation will be evident (with intact brainstem).
153
Central nystagmus
Nonfatiguing, absent latency, not suppressed by visual fixation, duration \> 1 minute, any direction but purely vertical/torsional is classic (though pure torsional BPPV may mimic)
154
Central vertigo
Subjectively less severe vertigo than peripheral, more prominent gait impairment, other neurological signs coexist, absent hearing changes and tinnitus
155
Pupil sparing CN III palsy
Diabetic pupil/diabetic cranial nerve palsy
156
Ptosis, miosis, anhidrosis (when proximal to carotid bifurcation)
Horner's syndrome
157
Fourth nerve palsy
Contralateral head tilt to affected eye
158
“Down and out pupil"
CN III palsy
159
Painless vision loss
Anterior ischemic optic neuropathy
160
Cocaine 4% or 10% eye drops
Confirmation of Horner's pupil: no change in size of Horner's pupil; unaffected side dilates
161
Hydroxyamphetamine 1% eye drops
Horner's pupil dilates: first or second-order neuron Horner's pupil Horner's pupil does not dilate: Third-order Horner's neuron
162
Locked in syndrome
Infarct involving the pons: can be seen in basilar infarcts causing bilateral infarcts at the base of the pons (but not tip of the basilar because this is too high up) Quadriplegia and impaired horizontal gaze
163
Vertical gaze impairment
Midbrai lesions
164
Additional tPA exclusion criteria between 3 and 4.5 hours
Age \>80 years, NIHSS \>25, use of oral anticoagulants and a combined history of stroke and diabetes mellitus.
165
Top of the basilar syndrome
Results from occlusion at the top of the basilar artery causing infarcts of various structures including the midbrain, thalamus, and temporal and occipital lobes. The manifestations are complex and varied, including combinations of behavioral abnormalities, alteration of consciousness, pupillary manifestations, disorders of ocular movements, visual field defects, and motor and/or sensory deficits.
166
VST clinical manifestations
Headache - 90% of patients Seizures - 40% of patients, higher than in arterial thrombus
167
Lateral medullary syndrome
Typically caused by PICA occlusion and occlusion of the vertebral artery Vestibular nuclei, causing vertigo, nystagmus, nausea, and vomiting. Descending tract and nucleus of the fifth cranial nerve, producing impaired sensation on the ipsilateral hemiface. Spinothalamic tract, producing loss of sensation to pain and temperature in the contralateral hemibody. Sympathetic tract, manifesting with ipsilateral Horner’s syndrome with ptosis, miosis, and anhidrosis. Fibers of the ninth and tenth cranial nerves, presenting with hoarseness, dysphagia, ipsilateral paralysis of the palate and vocal cord, and decreased gag reflex. Cerebellum and cerebellar tracts, causing ipsilateral ataxia and lateropulsion. Nucleus of the tractus solitarius, causing loss of taste.
168
MC site of a vertebral dissection
C1-C2 where the artery is mobile as it is leaving the traverse foramina to enter the foramina
169
Imaging for dissection
The gold standard diagnostic test for an arterial dissection is a catheter angiogram to evaluate the cervicocerebral arteries, which will demonstrate the narrowing of the vessel, the extension of the dissection with an intimal flap, or double lumen. However, a catheter angiogram is an invasive test with potential risks, including the risk of causing or worsening an existing dissection. CT angiogram and MRA with contrast are helpful for the diagnosis of an arterial dissection, and have replaced a catheter angiogram for the diagnosis of dissection of the cervical arteries. MRA with a time-of-flight sequence may also be helpful to assess the flow at the site of the dissection; however, it does not provide information about the vessel wall. When evaluating a possible vertebral artery dissection, limiting the evaluation to the circle of Willis may miss a potential dissection in the cervical portions of the vessel. An MRI with fat-suppression technique is helpful to assess the vessel wall and surrounding tissues, and very useful in nonocclusive dissections, when conventional angiogram will not give information about the vessel wall.
170
Amarousis fugax
Amaurosis fugax is often described as a painless visual loss: a “shade” or “curtain” moving in the vertical plane, with a rapid onset and brief duration of a few minutes. Vision is most commonly recovered completely; however, the presentation of amaurosis fugax in a patient with an underlying ICA stenosis, may herald the occurrence of a stroke. May be caused by atherosclerotic stenosis of the ipsilateral ICA The retinal artery originates from the ophthalmic artery, which is a branch of the ICA. Transient occlusion of the retinal or ophthalmic arteries may manifest as amaurosis fugax.
171
AICA infarcts vs PICA
The clinical presentation of AICA infarct is variable, but may be very similar to that of a posterior inferior cerebellar artery (PICA) stroke or Wallenberg’s syndrome; however, the difference is the ipsilateral deafness that occurs with AICA infarcts. With AICA infarcts, hearing loss has been attributed to involvement of the lateral pontomedullary tegmentum. However, studies with audiologic evaluations have also suggested an inner ear and cochlear injury, which could be explained by involvement of the labyrinthine artery, which is a branch of the AICA. By imaging, AICA infarcts affect the cerebellum more ventrally as compared with PICA infarcts. Infarcts in the other locations will not produce the clinical manifestations depicted in this case.
172
Anatomic landmarks for posterior circulation
173
Posterior circulation vascular territories
The SCA supplies most of the superior half of the cerebellar hemisphere, including the superior vermis, the superior cerebellar peduncle, and part of the upper lateral pons. The anterior inferior cerebellar artery (AICA) supplies the inferolateral pons, middle cerebellar peduncle, and a strip of the ventral cerebellum between the posterior inferior cerebellar and superior cerebellar territories. The posterior inferior cerebellar artery (PICA) supplies the lateral medulla, most of the inferior half of the cerebellum and the inferior vermis.
174
ICA branches
175
Bilateral thalamic infarct
Occlusion of the artery of Percheron The P1 segment of the PCA gives rise to interpeduncular branches that will provide vascularization to the medial thalamus. Most frequently, these branches arise from each PCA separately and will give perfusion to the thalamus on their respective side. In some cases, a single artery called the artery of Percheron will arise from the P1 segment on one side and will supply the medial thalami bilaterally. This is a normal variant. If an occlusion of the artery of Percheron occurs, the result will be an infarct in the medial thalamic structures bilaterally.
176
The recurrent artery of Heubner
The recurrent artery of Heubner is a branch of the ACA that supplies the anterior limb of the internal capsule, the inferior part of the head of the caudate, and the anterior part of the globus pallidus.
177
Pericallosal artery
The pericallosal artery is one of the subdivisions of the ACA, running along the corpus callosum, and does not supply the thalamus.
178
Pathophysiology of small vessel ischemic disease
A lacunar stroke occurs from occlusion of a small penetrating artery, as a consequence of chronic hypertension. Diabetes and hyperlipidemia also play a role but to a lesser degree. These small vessels develop lipohyalinosis with vessel wall degeneration and luminal occlusion. Atherosclerosis of the parent vessel may occlude the opening of these small penetrating branches, or predispose to the entry of embolic
179
Lacunar infarcts presentations
Pure motor, usually involving face, arm, and leg equally, and the most frequent location is in the territory of the lenticulostriate branches, affecting the posterior limb of the internal capsule, but has also been described with lacunes in the ventral pons. Pure sensory, with hemisensory deficit involving the contralateral face, arm, trunk, and leg from a lacune in the thalamus. Clumsy-hand dysarthria occurs more frequently from a lacune in the paramedian pons contralateral to the clumsy hand, but it may also occur from a lacune in the posterior limb of the internal capsule. Ataxic hemiparesis, in which the ataxia is on the same side of the weakness, but out of proportion to the weakness, and this occurs from lacunes in the pons, midbrain, internal capsule, or parietal white matter The clinical manifestations of these lacunar infarcts may have a sudden onset; however, it is not infrequent to see a stepwise “stuttering” progression of the neurologic deficits over minutes, and sometimes over hours to even days.
180
Posterior limbs of internal capsule stroke
Pure motor stroke From occlusion of one or many of the lenticulostriate branches of the MCA. These lenticulostriate branches provide vascular supply to the putamen, part of the head and body of the caudate nucleus, the outer globus pallidus, the posterior limb of the internal capsule, and the corona radiata.
181
Stroke in the superior division of the left MCA
There is hemiparesis affecting mainly arm and face, probably from ischemia to the lateral hemispheric surface. Eye deviation toward the left occurs from unopposed action originating from the right frontal eye fields, given that the left frontal eye fields are dysfunctional in this case. This patient has Broca’s or motor aphasia, in which she is able to understand and follow commands but cannot verbalize. It is common for these patients to seem frustrated since they can understand and know what they want to say but cannot speak. Broca’s aphasia occurs from ischemia in the territory of the superior division of the MCA affecting the dominant inferior frontal gyrus. Vs stroke in territory of the MCA in the dominant hemisphere-\>Wernickes and not Broca's aphasia
182
Left MCA trunk stroke
A left MCA trunk occlusion will likely produce a global aphasia, and will also produce ischemia in the lenticulostriate arteries’ territory, therefore presenting with hemiparesis or hemiplegia affecting face, arm, and leg.
183
Anterior cerebral artery stroke proximal vs distal to
This patient has ischemia in the territory of the right ACA. Given that both ACAs communicate via the anterior communicating artery, an occlusion proximal to the anterior communicating artery may not produce significant clinical manifestations in the setting of a normal complete circle of Willis. Therefore, to produce symptoms, the occlusion most likely will be in the segment distal to the anterior communicating artery. An infarction occurring from an ACA occlusion distal to the anterior communicating artery presents with contralateral sensorimotor deficits of the lower extremity, sparing the arm and face. There may be urinary incontinence due to involvement of the medial micturition center in the paracentral lobule; sometimes deviation of the eyes to side of the lesion and paratonic rigidity occur.
183
Anterior cerebral artery stroke proximal vs distal to
This patient has ischemia in the territory of the right ACA. Given that both ACAs communicate via the anterior communicating artery, an occlusion proximal to the anterior communicating artery may not produce significant clinical manifestations in the setting of a normal complete circle of Willis. Therefore, to produce symptoms, the occlusion most likely will be in the segment distal to the anterior communicating artery. An infarction occurring from an ACA occlusion distal to the anterior communicating artery presents with contralateral sensorimotor deficits of the lower extremity, sparing the arm and face. There may be urinary incontinence due to involvement of the medial micturition center in the paracentral lobule; sometimes deviation of the eyes to side of the lesion and paratonic rigidity occur.
184
ACA deep penetrating arteries
The ACA supplies the anterior three-quarters of the medial surface of the frontal lobe. Deep penetrating branches originate from the anterior cerebral artery (proximal and distal to the anterior communicating artery), and the recurrent artery of Heubner is the largest of these deep branches. These penetrating vessels supply the anterior limb of the internal capsule, the inferior part of the head of the caudate nucleus, and the anterior part of the globus pallidus.
185
MCA superficial and deep branches
The MCA has superficial and deep branches. The deep penetrating or lenticulostriate branches supply the putamen, part of the head and body of the caudate nucleus, the external part of the globus pallidus, the posterior limb of the internal capsule, and the corona radiata. The superficial branches of the MCA supply the lateral convexity, including the lateral and inferior parts of the frontal lobe, parietal lobe, superior parts of the temporal lobe, and insula.
186
Thalamic vascular supply
The thalamus is supplied by branches of the posterior cerebral artery and posterior communicating artery. 1. The tuberothalamic artery, also known as polar artery, originates from the posterior communicating artery and supplies the anterior portion of the thalamus, especially the ventral anterior nucleus. 2. The thalamoperforating or paramedian artery originates from the P1 segment of the PCA and supplies the medial aspect of the thalamus, especially the dorsomedial nucleus. 3. The thalamogeniculate artery originates from the P2 segment of the PCA and supplies the lateral aspect of the thalamus, including the ventral lateral group of nuclei. 4. The posterior choroidal artery arises from the P2 segment of the PCA and provides vascularization to the posterior aspect of the thalamus, where the pulvinar is located.
187
SCA vascular territory
Supplies most of the superior half of the cerebellar hemisphere, including the superior vermis, the superior cerebellar peduncle, and part of the upper lateral pons.
188
Inferior division of MCA occlusion
This patient most likely has an infarct in the inferior division of the MCA, which supplies the inferior parietal and lateral temporal lobe regions. The patient has clinical findings suggestive of Wernicke’s (receptive) aphasia, in which the patient may speak fluently but what she says does not make sense, and she is not able to understand spoken language or follow commands. This occurs from ischemia of the posterior aspect of the superior temporal gyrus. Patients with ischemia in the territory of the inferior division of the MCA may also present with agitation and confusion, cortical sensory deficits in the face and arm, as well as visual defects in the contralateral hemifield.
189
Basilar occlusion
Basilar occlusion may occur from local thrombosis of the basilar artery itself, thrombosis of both vertebral arteries, or thrombosis of a single vertebral artery when it is the dominant vessel. Embolism can occur as well, frequently lodging distally in the vessel.
190
Parinaud's syndrome
Parinaud’s syndrome is characterized by supranuclear paralysis of eye elevation, defect in convergence, convergence-retraction nystagmus, light-near dissociation, lid retraction, and skew deviation of the eyes. The lesion is localized in the dorsal midbrain and is classically seen with pineal tumors compressing the quadrigeminal plate; however, it can occur from midbrain infarcts. Quadrigeminal plate = dorsal midbrain
191
Anterior choroidal blood supply
The anterior choroidal artery arises from the ICA just above the origin of the posterior communicating artery, and supplies the internal segment of the globus pallidus (external: lenticulostriate from MCA), part of the posterior limb of the internal capsule, and part of the geniculocalcarine tract. As it penetrates the temporal horn of the lateral ventricle, it supplies the choroid plexus and then joins the posterior choroidal artery from the posterior circulation.
191
Anterior choroidal blood supply
The anterior choroidal artery arises from the ICA just above the origin of the posterior communicating artery, and supplies the internal segment of the globus pallidus (external: lenticulostriate from MCA), part of the posterior limb of the internal capsule, and part of the geniculocalcarine tract. As it penetrates the temporal horn of the lateral ventricle, it supplies the choroid plexus and then joins the posterior choroidal artery from the posterior circulation.
192
ACA segments
The ACA is also visualized and the A1 segment is patent. The A1 segment extends from the ICA terminus to the anterior communicating artery. The A2 segment extends from the anterior communicating artery to the bifurcation into pericallosal and callosomarginal arteries. The A3 segment includes the distal branches after this bifurcation.
193
Early signs of stroke on CT
The hyperdense MCA sign has good specificity and positive predictive value for atheroembolic occlusions of the affected vessel, and it is associated with poor prognosis. This sign lacks sensitivity but is helpful when a strong clinical suspicion exists. Mimics of hyperdense MCA sign, also known as pseudohyperdense sign, include vascular calcification, increased hematocrit, and intravenous contrast. Other early signs (within 6 hours) of ischemic stroke on CT scan include loss of the insular ribbon, attenuation of the lentiform nucleus, and hemispheric sulcal effacement.
194
Watershed infarcts clinical presentation
Watershed infarcts manifest clinically with proximal weakness, affecting the proximal upper and proximal lower extremities, with weakness at the shoulder and at the hip. This occurs because the watershed regions correlate with the homuncular representation of the proximal limbs and trunk. In severe cases of bilateral watershed infarcts, a “person-in-a-barrel” syndrome occurs, in which the patient can only move the distal part of the extremities.
195
Medial medullary syndrome
This patient has a medial medullary syndrome with a lesion on the left side. This syndrome is caused by occlusion of the vertebral artery or one of its medial branches, producing an infarct affecting the pyramid, medial lemniscus, and emerging hypoglossal fibers. The patient will have contralateral arm and leg weakness sparing the face (from corticospinal tract involvement prior to its decussation), contralateral loss of sensation to position and vibration, and ipsilateral tongue weakness.
196
GCA
Giant cell arteritis is a disease seen in older adults, typically older than 50 years of age. It is characterized by inflammation of the temporal artery predominantly but may also affect other branches of the ECA. These patients complain of headaches, associated with generalized constitutional symptoms, jaw claudication, and tenderness of the scalp around the temporal artery. This condition may overlap with polymyalgia rheumatica, and patients will also present with proximal muscle pain and achiness. Laboratory studies demonstrate leukocytosis and very elevated sedimentation rates and C-reactive protein levels. The diagnosis is based on a biopsy of the temporal artery demonstrating granulomatous inflammation. Blindness may occur from ocular ischemia, and these patients should be treated as soon as possible with steroids while arranging for a temporal artery biopsy.
197
Miller-Gubler syndrome
This patient has a Millard–Gubler syndrome, which is manifested by contralateral hemiplegia with ipsilateral facial palsy. The lesion is localized in the pons and affects the corticospinal tract before its decussation (which occurs at the level of the pyramids), as well as the VII cranial nerve nucleus and/or fibers. When there is also conjugate gaze paralysis toward the side of the brainstem lesion, it is called Foville syndrome.
198
Aneurysms
Anterior circulation aneurysms have a lower risk of rupture when compared with posterior circulation aneurysms. Intracranial aneurysms are most often acquired and sporadic; however, there are associations with various conditions, including AVMs, autosomal dominant polycystic kidney disease, aortic coarctation, fibromuscular dysplasia, Marfan’s syndrome, and Ehlers–Danlos syndrome. Aneurysms can also be familial, and screening with CTA or MRA is recommended in patients with two or more family members with an intracranial aneurysm or history of subarachnoid hemorrhage. Cerebral aneurysmal rupture leads to SAH, which is a serious, sometimes fatal event. Risk for rupture and SAH: Size (\>7 mm), growth, location (posterior higher risk than anterior) Smoking and uncontrolled hypertension are also risk factors for aneurysmal rupture, and these conditions should be treated. Patients with previous aneurysmal rupture are at higher risk for SAH.
198
Aneurysms
Anterior circulation aneurysms have a lower risk of rupture when compared with posterior circulation aneurysms. Intracranial aneurysms are most often acquired and sporadic; however, there are associations with various conditions, including AVMs, autosomal dominant polycystic kidney disease, aortic coarctation, fibromuscular dysplasia, Marfan’s syndrome, and Ehlers–Danlos syndrome. Aneurysms can also be familial, and screening with CTA or MRA is recommended in patients with two or more family members with an intracranial aneurysm or history of subarachnoid hemorrhage. Cerebral aneurysmal rupture leads to SAH, which is a serious, sometimes fatal event. Risk for rupture and SAH: Size (\>7 mm), growth, location (posterior higher risk than anterior) Smoking and uncontrolled hypertension are also risk factors for aneurysmal rupture, and these conditions should be treated. Patients with previous aneurysmal rupture are at higher risk for SAH.
199
Occipital strokes
Occipital strokes in the dominant hemisphere may manifest with alexia (inability to read), anomia, achromatopsia (color anomia), and other visual agnosias. Patients with left occipital infarcts involving the splenium of the corpus callosum may present with the classical alexia without agraphia. This syndrome occurs because the patient cannot see what is placed in the right visual hemifield, and whatever can be seen in the left visual hemifield will be represented in the right occipital cortex, but due to corpus callosum involvement this information cannot be connected with language centers in the left hemisphere.
200
Benedikt's syndrome
Secondary to an infarction in the right mesencephalic tegmentum in its ventral portion, involving the ventral part of the red nucleus, the brachium conjunctivum, and the fascicle of the third cranial nerve. This lesion produces a constellation of findings including ipsilateral third nerve palsy with contralateral involuntary movements such as tremor and choreoathetosis. The combination of these manifestations has been called Benedikt’s syndrome.
201
Weakness in MCA strokes
Patients with MCA strokes present with contralateral hemiparesis. If the stroke predominantly involves the cortex, the weakness will be more prominent in the face and arm than in the leg, as the cortical leg area is supplied by the ACA. If the infarct extends to the subcortical region affecting the corona radiata or internal capsule, the patient could have a dense hemiplegia involving face, arm, and leg equally. Weakness that involves the leg more than the face and arm is characteristic of anterior cerebral infarctions, and is not typically seen with MCA infarctions.
202
Warfarin for stroke
In general, oral anticoagulation with warfarin should target an INR between 2.0 and 3.0, except in the setting of mechanical valves, in which the target INR is 2.5 to 3.5.
203
When do the lenticulostriate arteries arise from the MCA?
The lenticulostriate arteries arise from the trunk of the MCA before its bifurcation, not from the PCA.
204
Contraindications for tPA
Major exclusion criteria • Significant head trauma or prior stroke in the previous 3 months • Symptoms suggestive of SAH • Arterial puncture at a noncompressible site within 7 days • History of previous intracranial hemorrhage • Intracranial neoplasm, arteriovenous malformation, or aneurysm • Recent intracranial or intraspinal surgery • Blood pressure above 185/110 mm Hg • Glucose \<50 mg/dL • CT with infarction involving \>1/3 of the cerebral hemisphere • Active internal bleeding • Acute bleeding diathesis • Platelet count \<100,000/mm3 • Heparin received within 48 hours, with elevated aPTT greater than the upper limit of normal • Current anticoagulant use with INR \>1.7 or PT \>15 seconds Relative c/i's • Major surgery or serious trauma within 14 days • Rapidly improving or minor symptoms • Pregnancy • Gastrointestinal or urinary tract hemorrhage within 21 days • Seizure at the onset of the stroke • Recent myocardial infarction (within 3 months) • Current use of direct thrombin inhibitors or direct factor Xa inhibitors within the previous 48 hours • Current use of direct thrombin inhibitors or direct factor Xa inhibitors with elevated sensitive laboratory tests (aPTT, INR, platelet count, ecarin clotting time, or appropriate factor Xa activity assays) ``` C/i's in patients arriving between 3 and 4.5 hours The ECASS3 (discussed in question 3) showed that intravenous tPA, when given between 3 and 4.5 hours after the onset of symptoms, can improve clinical outcomes in patients with acute ischemic stroke. Additional exclusion criteria for this group of patients include National Institutes of Health Stroke Scale (NIHSS) score of \>25, age \>80, any anticoagulant use regardless of INR or prothrombin time, and history of prior stroke and diabetes. ```
205
ASPECTs
To obtain the ASPECT score, two axial cuts are obtained on the CT, one at the level of the basal ganglia and thalamus, and another more cranial cut where these structures are not appreciated. On these slice cuts, there are 10 regions of interest, of which 4 are deep and defined as the caudate, the internal capsule, the lentiform nucleus, and the insular region, and 6 regions are cortical. These regions are assigned a point, which is subtracted if there is early ischemic change in that specific region. A normal looking CT scan will obtain a maximum of 10 points, and a score of 0 is consistent with diffuse ischemic injury of the entire MCA territory. The lower the number of points the larger the infarct that is already being seen on CT. The ASPECTS correlates inversely with the severity of the stroke, and patients with low scores should not be treated with thrombolytic agents. An ASPECTS score of 7 or less correlates with increased dependence and death.
206
Segments of the ICA
``` The cervical (C1) segment of the ICA, beginning at the level of the common carotid artery and ending where the ICA enters the carotid canal in the petrous bone. It has no branches. The petrous (C2) segment of the ICA runs within the carotid canal in the petrous bone. Vidian and caroticotympanic branches arise from this segment. The lacerum (C3) segment of the ICA runs between where the carotid canal ends and the superior margin of the petrolingual ligament. This ligament runs between the lingula of the sphenoid bone and the petrous apex and is a continuation of the periosteum of the carotid canal. The cavernous (C4) segment begins at the superior margin of the petrolingual ligament, runs within the cavernous sinus, and ends at the proximal dural ring formed by the junction of the medial and inferior periosteum of the anterior clinoid process. Meningohypophyseal trunk, inferolateral trunk, and capsular arteries arise from this segment. The clinoid (C5) segment runs between the proximal dural ring and the distal dural ring where the ICA becomes intradural. This small segment has no branches. The ophthalmic (C6) segment begins at the distal dural ring ending proximal to the origin of the posterior communicating artery. Two major branches originate at this level, the ophthalmic artery and the superior hypophyseal artery. The communicating (C7) segment begins proximal to the origin of the posterior communicating artery extending to the ICA bifurcation. This segment gives off the posterior communicating artery and the anterior choroidal artery. ```
207
Extracranial ICA disease
A symptomatic carotid stenosis of 70% to 99% should be revascularized. Patients with symptomatic stenosis of 50% to 69% may also benefit from CEA, with greater impact in men versus women, in those with previous strokes versus TIAs, and with hemispheric versus retinal symptoms. In patients with stenosis of less than 50%, there is no evidence to support that surgical treatment is better than medical therapy. The same applies for carotid occlusions, in which the treatment should be medical management Regarding asymptomatic carotid disease, CEA has proven benefits over medical treatment in patients with more than 60% stenosis as demonstrated in the Asymptomatic Carotid Atherosclerosis Study (ACAS), and in the Asymptomatic Carotid Surgery Trial (ACST), however, the numbers needed to treat were high, and the benefit may not be significant in the real world, depending also on the experience of the surgeon. In ACAS, the absolute risk reduction was 1.2% per year with a number needed to treat of 85 favoring the surgical group. In the ACST, the absolute risk reduction was 1.1% with a number needed to treat of 93 favoring surgery over medical therapy.
208
Hypertensive ICH
Hypertensive ICH commonly originates in deep subcortical structures such as the putamen, caudate, and thalamus, as well as in the pons, cerebellum, and periventricular deep white matter. This occurs from rupture of deep perforating arteries, which suffer changes caused by chronic hypertension, leading to lipohyalinosis, making these vessels susceptible to sudden closure (causing lacunar infarctions) or rupture (causing hemorrhage). Charcot Bouchard microaneurysms have been classically associated with hypertensive ICH; however, they are not found consistently and are described only in a small number of patients.
209
CAA
Cerebral amyloid angiopathy results from the deposition of amyloid protein (congophilic material) in the media and adventitia of cerebral vessels, especially in cortical and leptomeningeal vessels. This causes weakness of the vessel was, and this process is associated with cortical and lobar hemorrhages, which may be recurrent. Cerebral amyloid angiopathy is seen more commonly in the elderly. MRI with gradient echo sequences will show multiple small areas of hypointensity suggesting prior hemosiderin deposition from prior microhemorrhages. There are associations of amyloid angiopathy with apolipoprotein E4 and E2, as well as with Alzheimer’s disease.
210
Moya moya
Moyamoya is a noninflammatory, nonatherosclerotic vasculopathy that affects the intracranial circulation, leading to arterial occlusions and prominent arterial collateral circulation. It presents most commonly in children and adolescents, with a second peak in the fourth decade of life, but with a much lower frequency. Clinical manifestations include TIAs and strokes, as well as intracranial hemorrhages (ICHs). In childhood the presentation is predominantly ischemic, with strokes and TIAs, which may be precipitated by hyperventilation. In adults, the presentation is most frequently ICH. Other manifestations seen in Moyamoya disease include headaches, seizures, movement disorders, and cognitive deterioration. The diagnosis is based on the angiographic findings, characterized by progressive bilateral stenosis of the distal internal carotid arteries, extending to proximal ACAs and MCAs, and the development of extensive collateral circulation at the base of the brain, with the “puff of smoke” appearance. Histopathologically, there is intimal thickening by fibrous tissue of the affected arteries, with no inflammatory cells or atheromas. There is no curative treatment for this condition. Revascularization procedures may improve perfusion, angiographic appearance, and ischemic manifestations; however, they may not impact the frequency of hemorrhagic events. Medications such as antiplatelets, vasodilators, calcium-channel blockers, and steroids have been used with equivocal results. Anticoagulation is not helpful and usually avoided given the hemorrhagic complications.
211
Dejerine-Roussy syndrome
This patient has Dejerine–Roussy syndrome, caused by a thalamic infarct, in which the lesion affects the sensory relay nuclei. These patients present with severe deep and cutaneous sensory loss of the contralateral hemibody, usually the entire hemibody and up to the midline. In some cases, there may be dissociation of sensory loss, often affecting position sense more than other sensory functions. With time, some sensation returns, but the patient may develop severe pain, allodynia, and paresthesias of the affected body part.
212
Dejerine-Roussy syndrome
This patient has Dejerine–Roussy syndrome, caused by a thalamic infarct, in which the lesion affects the sensory relay nuclei. These patients present with severe deep and cutaneous sensory loss of the contralateral hemibody, usually the entire hemibody and up to the midline. In some cases, there may be dissociation of sensory loss, often affecting position sense more than other sensory functions. With time, some sensation returns, but the patient may develop severe pain, allodynia, and paresthesias of the affected body part.
213
Origination of vertebral arteries
The vertebral arteries originate from the subclavian arteries on their respective sides. The V1 segment extends from the subclavian artery to the transverse foramen of C5-C6. The V2 segment runs within the transverse foramina of the cervical vertebra from C5-C6 to C2. The V3 segment extends from the transverse foramen of C2 and turns posterolaterally around the arch of C1, between the atlas and the occiput. This segment is extracranial. The V4 segment begins where the vertebral artery enters the dura at the foramen magnum and joins the contralateral vertebral artery to form the basilar artery. The vertebral artery, at the V4 segment gives off the posterior inferior cerebellar artery (PICA) and the anterior spinal artery. Both vertebral arteries will join to form the basilar artery.
214
Dural VST
Based on the history, risk factors, and MRI findings in Figure 2.15, this patient most likely has a hemorrhagic infarct from venous sinus thrombosis, in this case, a left transverse sinus thrombosis. Occlusion of the venous sinuses will lead to venous infarction and localized edema. The affected tissue becomes engorged, swollen, and the parenchyma will suffer ischemia, leading to infarct and hemorrhage, which is also influenced by the impaired venous drainage. Given the occlusion of venous drainage and in the setting of parenchymal edema, the content of the intracranial volume will tend to rise, leading to intracranial hypertension. Clinical presentation is characterized by the presence of headache, and depending on the extent of the disease, focal neurologic deficits, altered mental status, seizures, and coma will be present, in severe cases progressing to herniation and death. Risk factors are often encountered including prothrombotic states, either genetic or acquired, such as antiphospholipid antibody syndrome, pregnancy, and the use of oral contraceptives. Other causes include infections (otitis, mastoiditis, sinusitis, meningitis), inflammatory conditions, trauma, dehydration, and neoplastic processes. The diagnosis should be considered in young patients with prothrombotic risk factors presenting with clinical manifestations suggestive of this condition. CT scan and MRI of the brain will show hemorrhagic infarcts that are not in a strictly arterial distribution (as in Figure 2.15, in which the infarct seems to involve both the left MCA and PCA territories). MRV will demonstrate the absence of signal in the thrombosed venous sinus. Treatment involves stabilization of the patient and anticoagulation to stop the thrombotic process. Treatment of intracranial hypertension may be needed, sometimes requiring surgical decompression. In some cases, endovascular intervention for thrombolysis and clot removal is required.
215
Claude syndrome
This patient has Claude’s syndrome, manifested by ipsilateral third nerve palsy, and contralateral ataxia and tremor. The lesion affects the dorsal red nucleus and the third nerve fascicle, and is in the midbrain tegmentum more dorsally located than the lesion seen in Benedikt’s syndrome, which is caused by a ventral mesencephalic tegmental lesion. Patients with Claude’s syndrome, as compared to Benedikt’s syndrome, have more ataxia but no involuntary choreoathetotic movements.
216
Risk factors for VST
In patients with venous sinus thrombosis, an etiologic factor should be investigated, since it may be a treatable condition. Possible causes include oral contraceptives, pregnancy and puerperium, cancer, nephrotic syndrome, antiphospholipid syndrome, connective tissue disorders, hematologic conditions, trauma, and genetic prothrombotic conditions such as protein C and S deficiency, antithrombin deficiency, factor V Leiden mutation, prothrombin mutation, and homocysteinemia. Infectious causes may also lead to thrombosis in nearby venous structures, and middle ear infections as well as mastoiditis have been associated with transverse sinus thrombosis. Diabetes and hypertension are typical risk factors for arterial strokes, but further search for prothrombotic risk factors should be done in cases of venous thrombosis. Since this is a venous thrombosis and not an arterial stroke, an embolic source does not need to be investigated, and therefore, an echocardiogram with bubble study and Holter monitor are not required.
217
CHADS2 score and HAS-BLED
The CHADS2 score is a simple score in which 1 point is assigned for the presence of each of the following: Congestive heart failure, history of hypertension, age of 75 years or older, diabetes mellitus. Two points are given for a history of stroke or TIA. The total score ranges from 0 to 6 and correlates with an expected stroke rate per 100 patient-years, with higher CHADS2 scores correlating with higher stroke rates. CHADS2 has limitations and does not include several commonly accepted stroke risk factors. The CHA2DS2VASc score includes risk factors that are omitted in the CHADS2 score, has been validated in various independent cohorts, and currently recommended for risk stratification by the guidelines. In CHA2DS2VASc score, points are assigned as follows: Congestive heart failure (1 point), hypertension (1 point), age ≥75 years (2 points), diabetes mellitus (1 point), stroke/TIA/thromboembolism (2 points), vascular disease (previous myocardial infarction, peripheral arterial disease or aortic plaque) (1 point), age 65 to 74 years (1 point), sex category (female) (1 point). The maximum score is 9 points. According to the guidelines, a patient with CHA2DS2VASc score of 2 or more should be offered anticoagulation. In a patient with a CHA2DS2VASc score of 0, it is reasonable not to treat with anticoagulation. In a patient with a score of 1, based on individual characteristics, could consider either anticoagulation, antiplatelet therapy, or no antithrombotics. When starting a patient on oral anticoagulants, the risk of bleeding should be assessed carefully, and the decision to start anticoagulation or not should be made on each individual patient taking into account the risk of stroke and the risk of bleeding. HAS- BLED score has been used for the assessment of risk of hemorrhage. In the HAS-BLED score, 1 point is assigned each for hypertension, abnormal renal or liver function (1 point each), stroke, bleeding history or predisposition to bleeding, labile INRs, elderly (age \>65 years), and drug use (1 point for antiplatelets or NSAIDs, and 1 point for excessive alcohol intake). A HAS-BLED score of \>2 is considered high and associated with risk of major bleeding. However, a high HAS-BLED score should not be the reason to withhold oral anticoagulation, and treatment decisions regarding anticoagulation should be individualized.
218
In the brain, drainage of venous blood occurs through veins into dural venous sinuses, which eventually drain into the internal jugular veins. The dural venous sinuses are venous channels enclosed between dural layers, and they have no valves. The major venous sinuses are the superior sagittal sinus, the inferior sagittal sinus, the straight sinus, the transverse sinuses, sigmoid sinuses, and the cavernous sinuses. The superior sagittal sinus runs along the superior margin of the falx cerebri in the interhemispheric fissure, toward the confluence of the sinuses where it encounters the straight sinus and the transverse sinuses, which will continue as the sigmoid sinuses, draining into the internal jugular veins. The inferior sagittal sinus runs above the corpus callosum in the interhemispheric fissure, connecting with the vein of Galen to form the straight sinus. The deep venous system drains the periventricular white matter, basal ganglia, and thalamic regions and is composed of deep veins that drain toward the straight sinus. The internal cerebral vein is formed by the junction of the thalamostriate and septal veins, run posteriorly encountering the contralateral internal cerebral vein and emptying into the great cerebral vein of Galen. The basal vein of Rosenthal is a deep vein that drains the base of the forebrain, travels posteriorly between the midbrain and the temporal lobe on each side, and also empties into the great cerebral vein of Galen, located beneath the splenium of the corpus callosum. The great cerebral vein of Galen joins the inferior sagittal sinus forming the straight sinus, which will then run toward the confluence of the sinuses. The cavernous sinuses are on both sides of the sella turcica and receive blood from facial and orbital structures, including the ophthalmic veins. The cavernous sinuses drain into the superior and inferior petrosal sinuses. The superior petrosal sinus connects the cavernous sinus with the transverse sinus on each side. The inferior petrosal sinus connects the cavernous sinus with the sigmoid sinus or the jugular bulb on each side, but this sinus may be hypoplastic or absent in some cases. The convexity of the brain has multiple superficial veins that drain into the superior sagittal sinus, the transverse sinus, or the middle cerebral vein, which runs along the Sylvian fissure. Between these structures there are anastomotic veins: the superior anastomotic vein of Trolard and the inferior anastomotic vein of Labbe. The vein of Trolard is a large anastomotic vein that connects the Sylvian vein to the superior sagittal sinus. The vein of Labbe is a large vein traveling over the temporal lobe convexity connecting the Sylvian vein to the transverse sinus. Emissary veins connect scalp veins with the dural venous sinuses.
219
CADASIL
Cerebral autosomal dominant arteriopathy with subcortical infarcts and leukoencephalopathy (CADASIL): can be suspected based on the history of multiple strokes without traditional vascular risk factors, a history of migraines, subsequent development of dementia, and a family history of strokes and dementia suggesting a hereditary condition. The diagnosis is confirmed with pathology demonstrating a blood vessel with a thick wall, which contains a basophilic granular material. This pathologic finding is characteristic of CADASIL. This condition is associated with a missense mutation in the gene NOTCH3 on chromosome 19. The gene product is a transmembrane receptor expressed mainly in vascular smooth muscle, and the mutation leads to accumulation of this protein in the vascular walls, especially in small arteries and capillaries. CADASIL is inherited in an autosomal dominant fashion, and patients present with migraines with aura, stroke episodes, seizures, pseudobulbar palsy, and progressive cognitive decline leading to the development of dementia. The strokes are recurrent and predominantly lacunes, caused by small vessel disease. Some patients present with psychiatric manifestations, especially depression and emotional lability. Parkinsonism is not a typical feature of CADASIL. The MRI typically shows T2 hyperintensities in the subcortical white matter and basal ganglia. The diagnosis could be made based on detection of the NOTCH3 mutation, or with skin biopsy demonstrating pathologic changes. Currently, there is no specific treatment for this condition.
220
CADASIL
Cerebral autosomal dominant arteriopathy with subcortical infarcts and leukoencephalopathy (CADASIL): can be suspected based on the history of multiple strokes without traditional vascular risk factors, a history of migraines, subsequent development of dementia, and a family history of strokes and dementia suggesting a hereditary condition. The diagnosis is confirmed with pathology demonstrating a blood vessel with a thick wall, which contains a basophilic granular material. This pathologic finding is characteristic of CADASIL. This condition is associated with a missense mutation in the gene NOTCH3 on chromosome 19. The gene product is a transmembrane receptor expressed mainly in vascular smooth muscle, and the mutation leads to accumulation of this protein in the vascular walls, especially in small arteries and capillaries. CADASIL is inherited in an autosomal dominant fashion, and patients present with migraines with aura, stroke episodes, seizures, pseudobulbar palsy, and progressive cognitive decline leading to the development of dementia. The strokes are recurrent and predominantly lacunes, caused by small vessel disease. Some patients present with psychiatric manifestations, especially depression and emotional lability. Parkinsonism is not a typical feature of CADASIL. The MRI typically shows T2 hyperintensities in the subcortical white matter and basal ganglia. The diagnosis could be made based on detection of the NOTCH3 mutation, or with skin biopsy demonstrating pathologic changes. Currently, there is no specific treatment for this condition.
221
Weber's syndrome
This patient has Weber’s syndrome, which is a combination of an ipsilateral third nerve palsy with contralateral hemiplegia. This is caused by a midbrain lesion, in this case a left midbrain infarct. Brainstem infarcts manifest with crossed syndromes, in which there are ipsilateral cranial nerve abnormalities and contralateral long tract signs. This patient has a left third nerve palsy, manifested by limited adduction and upward movements of the left eye, therefore presenting with diplopia on upward gaze and when looking to the right side. The contralateral hemiplegia is caused by the lesion affecting the corticospinal tract before its decussation at the level of the pyramids, in this case the corticospinal tract is involved at the level of the cerebral peduncle. An ipsilateral third nerve palsy with contralateral hemiplegia localizes the lesion to the midbrain.
222
Cavernous malformation
Cavernous malformations are clusters of vascular channels, composed of dilated thin-walled vessels, with no smooth muscle or elastic fibers, and with no intervening brain parenchyma separating the vascular structures. On MRI, they have the typical “popcorn- like” appearance, with a dark rim on T2 consistent with hemosiderin; gradient echo images may show evidence of cavernous malformations when not evident on T2- weighted images. Cavernous malformations are typically incidental and found in asymptomatic patients; however, they may present with seizures and occasionally with hemorrhage, with manifestations depending on the location of the lesion. Hemorrhage from cavernous malformation is of lesser severity and lower pressure as compared to hemorrhage from AVMs.
223
AVMs
AVMs are congenital vascular lesions consisting of a tangle of dilated vessels (nidus) in which arteries and veins communicate without an intervening normal capillary bed in between. This lesion can be seen on CT, and CT angiogram (CTA) provides better vascular visualization. MRI demonstrates the vascular lesion with flow voids and regions of previous hemorrhage, as well as its relationship with the parenchyma. Catheter angiography is the gold standard diagnostic study to evaluate the vascular structure, pattern of vascular feeders, and drainage. AVMs present most commonly with intracerebral hemorrhage, with other typical presentations including seizures and headache
224
dAVF
Dural arteriovenous fistulae (DAVF) are acquired vascular lesions in which there is arteriovenous shunting typically supplied from meningeal or dural arterial branches, with drainage toward a dural venous sinus. These lesions are associated with increased venous pressure and arterialization of the draining veins. DAVF may present with pulsatile tinnitus, headaches, seizures, and focal neurologic deficits from increased venous pressure and abnormal vascular hemodynamics. Intracranial hemorrhage can also occur.
225
Venous angiomas or developmental venous anomalies
Venous angiomas or developmental venous anomalies are thin- walled venous structures with normal intervening brain tissue. These are asymptomatic with a very low risk of hemorrhage. MRI demonstrates a conglomerate of vessels in a “caput medusa” pattern.
226
Venous angiomas or developmental venous anomalies
Venous angiomas or developmental venous anomalies are thin- walled venous structures with normal intervening brain tissue. These are asymptomatic with a very low risk of hemorrhage. MRI demonstrates a conglomerate of vessels in a “caput medusa” pattern.
227
Capillary telangiectasias
Capillary telangiectasias are abnormally dilated capillaries that are separated by normal brain tissue. They are typically found incidentally and rarely become symptomatic.
228
Division of common carotid
The common carotid artery ascends in the neck and divides into external and internal carotid arteries, typically at the level of C4, below the angle of the jaw.
229
Division of common carotid
The common carotid artery ascends in the neck and divides into external and internal carotid arteries, typically at the level of C4, below the angle of the jaw.
230
Origins of brain vasculature
The arterial supply to the brain is divided into two main territories, the anterior and the posterior circulation. The two internal carotid arteries provide blood flow to the anterior circulation, and the two vertebral arteries provide blood flow to the posterior circulation. There are three main arteries originating from the aortic arch, the innominate (brachiocephalic) artery, the left common carotid artery, and the left subclavian artery. Several normal variants exist in both the extracranial and the intracranial circulation; the most common anatomy is described below. The right common carotid artery arises from the innominate artery that originates from the aortic arch. The right common carotid artery bifurcates in the neck into the right internal and right external carotid arteries. The internal carotid arteries supply the intracranial anterior circulation. The right vertebral artery originates from the right subclavian artery, which arises from the innominate artery. Intracranially the right vertebral artery joins the left vertebral artery to form the basilar artery. The left common carotid artery originates directly from the aortic arch, and divides into left internal and left external carotid arteries. A small percentage of the population have what is called a “bovine aortic arch,” in which the left common carotid has the same origin with the innominate artery, and in some cases the left common carotid will originate from the innominate artery. The left subclavian artery originates from the aortic arch. The left vertebral artery arises from the left subclavian artery and ascends in the neck to join the right vertebral artery intracranially, forming the basilar artery.
231
spinal dAVF
his patient has a spinal dural arteriovenous fistula (DAVF), which is the most common type of spinal vascular malformation. This lesion is considered an acquired condition, and the arteriovenous shunting site is located within the dura mater near a spinal nerve root, where a radiculomeningeal artery connects with a radicular vein. This arterialization leads to increased venous pressure, venous congestion, and intramedullary edema, manifesting as a progressive myelopathy. DAVF is more frequently encountered in men and above 50 years of age. The typical location is in the lower thoracic and lumbar regions, and this type of lesion rarely produces hemorrhage. Patients present with pain, weakness, and sensory symptoms below the level of the lesion, as well as gait disturbance. The myelopathic syndrome is usually gradually progressive with occasional intermittent exacerbations and/or remissions. Some patients may have acute worsening of symptoms. MRI of the spine may show enlargement of the cord with hyperintensity on T2 seen over several levels, with perimedullary flow voids suggesting this vascular abnormality (as shown in Figure 2.19). Spinal angiogram is the gold standard diagnostic test to detect this abnormality, and localize the level of the feeding artery. Treatment involves endovascular embolization with liquid embolic agents and/or surgical disconnection of the lesion. Surgical treatment has a higher success rate with low recurrence, as compared to endovascular embolization. A common approach is a combined treatment with endovascular embolization followed by surgical resection. The treatment goal is to stop the progression of the condition, and the prognosis depends on the degree of disability and duration of the symptoms prior to the treatment.
232
Timing of blood on imaging
* Hyperacute (\<12 hours): The predominant blood product is oxyhemoglobin and is seen on MRI as isointense on T1 sequences, and hyperintense on T2 sequences. I/B * Acute (12 hours to 2 days): Deoxyhemoglobin is the predominant blood product, seen as isointense on T1 and hypointense on T2. I/D * Early subacute (2 to 7 days): Intracellular methemoglobin, seen as hyperintense on T1 and hypointense on T2. B/D * Late subacute (8 days to 1 month): There is extracellular methemoglobin, seen as hyperintense on T1 and T2 sequences. B/B * Chronic (\>1 month, and probably for years): There is hemosiderin, seen as isointense or hypointense on T1, and hypointense on T2 sequences. D/D
233
Saccular aneurysms
Saccular intracranial aneurysms are acquired lesions which are found in approximately 3.2% of the general population. The majority of intracranial aneurysms do not rupture, and only approximately 1 in 200 to 400 will rupture. However, it is the most common cause of nontraumatic subarachnoid hemorrhage (80% to 85% of cases). The majority of intracranial aneurysms are solitary; however, 15% to 30% of patients have multiple aneurysms. The most frequent locations of intracranial aneurysms are: anterior communicating artery (30%), posterior communicating artery (25%), middle cerebral artery bifurcation (20%), internal carotid artery bifurcation (7.5%), basilar apex (7%), pericallosal artery (4%), and posterior inferior cerebellar artery origin (3%). Other locations include the ophthalmic artery origin, anterior choroidal artery origin, superior cerebellar artery, anterior inferior cerebellar artery, and cavernous internal carotid artery.
234
Carotid-cavernous fistula (CCF)
A tear in the cavernous segment of the ICA allows arteriovenous shunting to the cavernous sinus, causing increased pressure within this sinus, with drainage toward a superior ophthalmic vein and impairing the venous drainage of the eye. External carotid artery feeders are not involved in the CCF of this patient. CCFs can be classified according to etiology (traumatic vs. spontaneous), hemodynamic factors (high flow vs. low flow) and anatomic factors (direct vs. indirect). Traumatic CCFs are the most common, associated with head or facial trauma, and most frequent in young males. In general, most traumatic CCFs are direct and high flow. Spontaneous CCFs are typically encountered in older female patients, and may be caused by either feeders to from the ICA or external carotid artery to the cavernous sinus, or spontaneous tear within the cavernous ICA segment, occasionally from rupture of a cavernous ICA aneurysm. With direct CCFs the shunt is of high flow, causing an acute presentation with rapid progression of symptoms. Indirect CCFs are low flow, with insidious onset and gradual progression of symptoms. In indirect CCFs, the feeders may be from either the internal or the external carotid artery. Cerebral angiography is the gold standard for diagnosis, demonstrating arteriovenous shunting at the cavernous sinus, with drainage to the superior ophthalmic vein or to other venous structures. The goal of treatment is to occlude the fistula, and hopefully preserve flow in the internal carotid artery. Endovascular embolization is the treatment of choice, and can be performed transarterially through the tear in the ICA (in a direct fistula) or the feeders (in an indirect fistula), or transvenously using a transfemoral venous approach with navigation through the inferior petrosal sinus or the facial and superior ophthalmic veins to reach the cavernous sinus. Coils and liquid embolics are used through either endovascular route to occlude the shunting site. After successful embolization, chemosis and proptosis improve rapidly, and cranial nerve impairment may improve over days to weeks. Improvement of visual deficits depends on the duration and severity of pre-existing deficits prior to treatment. A last resort endovascular approach is the sacrifice of the involved internal carotid artery after making sure that the patient can tolerate permanent occlusion of this vessel. Surgical treatment is only indicated if endovascular approach is not possible or not successful, and may involve ligation of the involved carotid artery. Conservative management (external manual compression of the involved carotid artery at the neck several times per day for 4 to 6 weeks) may be useful in certain indirect CCFs, but is generally not effective.
235
dAVF (brain)
Dural arteriovenous fistulae (DAVF) are acquired vascular lesions in which there is arteriovenous shunting supplied by meningeal or dural arterial branches, with drainage toward a dural venous sinus. This meningeal arterial supply (not pial arterial supply) as well as the absence of a parenchymal nidus distinguishes DAVFs from AVMs. DAVFs are associated with increased venous pressure and arterialization of the draining veins, and the etiopathogenesis may be related to a venous sinus occlusion (from venous sinus thrombosis, trauma, or previous craniotomy), leading to increased venous pressure and eventual formation of the arteriovenous shunt. DAVF may present with pulsatile tinnitus, headaches, seizures, and focal neurologic deficits from increased venous pressure and abnormal vascular hemodynamics. Intracranial hemorrhage can also occur. DAVFs have been classified according to the pattern of venous drainage, and the presence of cortical venous drainage is associated with increased risk of intracranial hemorrhage and nonhemorrhagic neurologic complications. According to the Borden classification: • Type I lesions have direct drainage from meningeal arteries to a dural venous sinus which has normal antegrade flow. These are the most benign. • Type II lesions have shunts between meningeal arteries and a dural venous sinus, with retrograde flow into subarachnoid or cortical veins. • Type III lesions have drainage from meningeal arteries to subarachnoid or cortical veins. Types II and III have cortical venous drainage, and are “aggressive” DAVFs associated with risk of neurologic symptoms including hemorrhage. CTA and MRI/MRA may suggest the presence of a DAVF, by detecting abnormal flow voids, vascular dilatations, and/or cluster of vascular channels near a dural venous sinus. Cerebral angiography is the gold standard for the diagnosis, and provides information on arterial supply and venous drainage. Endovascular embolization is the most widely used therapy for DAVFs, and can be performed transarterially or transvenously, typically with liquid embolic materials, with occasional adjunct use of coils. Given the efficacy of endovascular embolization, surgery is reserved for cases in which endovascular approach is not feasible or not successful.
236
Indications for MT
Based on available data, the guidelines for the early management of patients with acute ischemic stroke were updated in 2015, with the recommendation of endovascular therapy with a stent-retriever device in patients meeting the following criteria: • Modified Rankin score of 0 to 1 prior to the stroke • Acute ischemic stroke with intravenous tPA therapy within 4.5 hours from onset • Occlusion causing the stroke involving the internal carotid artery or proximal MCA (M1 segment) • Age 18 or older • NIHSS score of 6 or higher • ASPECTS of 6 or higher • Treatment can be initiated within 6 hours from the onset of symptoms Even though the data is uncertain, it may be reasonable to consider endovascular thrombectomy for selected patients not meeting the listed criteria, including those who do not qualify for intravenous tPA, occlusion of other intracranial vessels (M2, M3, basilar artery, vertebral artery, posterior cerebral arteries), age \<18 years, NIHSS \<6 or ASPECTS \<6. The use of other mechanical thrombectomy devices other than stent-retrievers may also be reasonable in some circumstances.\*\*\* Outdated, now 24 hours
236
Indications for MT
Based on available data, the guidelines for the early management of patients with acute ischemic stroke were updated in 2015, with the recommendation of endovascular therapy with a stent-retriever device in patients meeting the following criteria: • Modified Rankin score of 0 to 1 prior to the stroke • Acute ischemic stroke with intravenous tPA therapy within 4.5 hours from onset • Occlusion causing the stroke involving the internal carotid artery or proximal MCA (M1 segment) • Age 18 or older • NIHSS score of 6 or higher • ASPECTS of 6 or higher • Treatment can be initiated within 6 hours from the onset of symptoms Even though the data is uncertain, it may be reasonable to consider endovascular thrombectomy for selected patients not meeting the listed criteria, including those who do not qualify for intravenous tPA, occlusion of other intracranial vessels (M2, M3, basilar artery, vertebral artery, posterior cerebral arteries), age \<18 years, NIHSS \<6 or ASPECTS \<6. The use of other mechanical thrombectomy devices other than stent-retrievers may also be reasonable in some circumstances.\*\*\* Outdated, now 24 hours
237
DOACs
Dabigatran is a direct thrombin inhibitor (DTI), available as a prodrug which is metabolized to its active form. It has poor oral bioavailability, and the medication is coated with tartaric acid to improve absorption. Once absorbed, the peak level is reached in 1 to 2 hours and the half-life is 14 to 17 hours. The drug is 80% cleared renally, with the rest being metabolized in the liver. Therefore patients with low creatinine clearance require dose adjustments. In the RE-LY study, Dabigatran 110 mg twice a day was noninferior to warfarin for prevention of strokes and systemic embolism in nonvalvular atrial fibrillation, with lower rates of major hemorrhage; and Dabigatran 150 mg twice daily was superior to warfarin with similar rates of major hemorrhage. This medication can however cause dyspepsia and may be associated with the risk of gastrointestinal hemorrhage. The FDA approved Dabigatran 150 mg twice daily, with a 75 mg twice daily dose for patients with creatinine clearance of 15 to 30 mL/min. Rivaroxaban is a factor Xa inhibitor which is easily absorbed preferably with food, with peak levels at 2 to 4 hours and half-life of 5 to 9 hours. It is 95% protein bound, allowing once daily dosing. Two-thirds are metabolized in the liver with one-third excreted unchanged in the urine. In ROCKET AF trial, Rivaroxaban was noninferior to warfarin for preventing stroke and systemic embolism in nonvalvular atrial fibrillation, with similar risks of bleeding, but lower risks of intracranial and fatal hemorrhages. Rivaroxaban is administered in a dose of 20 mg once daily with a meal, or 15 mg daily in case of creatinine clearance 15 to 50 mL/min. Apixaban is a factor Xa inhibitor, with peak levels at 3 to 4 hours, and half-life of 8 to 15 hours. It is metabolized in the liver by CYP450 3A4, and 25% is renally excreted. In ARISTOTLE trial, Apixaban 2.5 mg or 5 mg twice daily was superior to warfarin for preventing stroke and systemic embolism in nonvalvular atrial fibrillation. Apixaban also was associated with lower risk of major bleeding including intracranial hemorrhage, and lower mortality rates. For Dabigatran, the reversal agent Idarucizumab has been approved. Idarucizumab is a monoclonal antibody fragment that binds free and thrombin-bound Dabigatran neutralizing its activity. At the time this chapter was written there are no available specific reversal agents for Rivaroxaban and Apixaban. Most recent guidelines suggest that prothrombin complex concentrates (PCCs), factor VIII inhibitor bypassing activity or recombinant factor VIIa might be considered in individual cases with ICH secondary to these new agents. Activated charcoal can be considered within 2 hours of the intake of Dabigatran, Rivaroxaban or Apixaban. Hemodialysis has also been considered with Dabigatran.\*\*\* Also outdated
238
CNS vasculitis
Central nervous system vasculitis (CNSV) can be classified into two main categories, (1) primary angiitis of the central nervous system (PACNS), and (2) secondary CNSV. Secondary CNSV includes: (a) idiopathic systemic vasculitides, (b) systemic vasculitides associated with autoimmune diseases, and (c) systemic vasculitis secondary to nonautoimmune conditions, such as infections, drugs, or cancer. When evaluating a patient with vasculitis involving the central nervous system it is important to exclude secondary causes, since the treatment may be completely different, including antibiotic therapy for infections, disease modifying agents or chemotherapy for systemic inflammatory conditions or cancer, and as simple as removing an offending drug in drug induced vasculitis. It is also important to evaluate for mimics, in which there is no inflammation but the vessels may appear abnormal on angiographic studies. Mimics include atherosclerosis or conditions such as reversible cerebral vasoconstriction syndrome (RCVS), CADASIL, and antiphospholipid syndrome. PACNS is an inflammation of small- and medium-sized parenchymal and leptomeningeal arteries involving the brain and/or spinal cord. It is present similarly in males and females, with presentation at a median age of 50 years. Headache is the most common symptom, usually insidious and/or chronic; however, thunderclap headache is very rare in PACNS, distinguishing it from RCVS in which thunderclap headache is a classic presentation. Ischemic strokes and altered cognition are also common presentations in PACNS. The following three criteria have to be met to make the diagnosis of PACNS: 1. Acquired otherwise unexplained neurologic or psychiatric deficit 2. Classic angiographic or histopathologic features of CNS angiitis 3. No evidence of systemic vasculitis or any disorder that could mimic the angiographic or pathologic features A probable diagnosis is made in those with high probability cerebral angiogram with abnormal MRA and abnormal CSF analysis but without biopsy confirmation. A definite diagnosis requires biopsy confirmation of vessel wall inflammation. Three main histopathologic patterns have been found: Granulomatous angiitis of the CNS, lymphocytic PACNS, and necrotizing CNSV. CSF analysis is required in the work up of PACNS, showing abnormalities in the majority of cases, including elevated WBCs and protein. CSF is also important to exclude other diagnoses including infections and cancer. In RCVS the CSF is usually normal but may be slightly abnormal. n PACNS, MRI of the brain may demonstrate ischemic infarcts, areas of gadolinium enhancement in the parenchyma or meninges, and nonspecific hyperintensities in the deep gray and white matter. Cerebral angiogram is helpful, demonstrating the characteristics “beading” which represents areas of narrowing and dilatation. However, cerebral angiogram is not the gold standard for diagnosis and the “beading” pattern is nonspecific, seen also in atherosclerosis, vasospasm and infectious or radiation vasculopathy. Similar angiographic findings are seen in RCVS; however, these resolve within 3 months. Brain biopsy is the gold standard for the diagnosis of PACNS, demonstrating vessel wall inflammation. However, the sensitivity of brain biopsy is low, and this could be secondary to various factors, including sampling error and frequent inability to obtain involved brain. The yield of the biopsy may increase by obtaining tissue from an identified lesion on MRI. Treatment of PACNS includes high-dose steroids with or without cyclophosphamide. Once remission is achieved, azathioprine or mycophenolate mofetil can be utilized for maintenance. The evidence to guide treatment is limited, and mostly based on retrospective observational data and expert opinion recommendations.
239
RCVS
This condition is more common in women than in men, and is characterized by headaches with or without other neurologic symptoms, with vasoconstriction of cerebral arteries that resolve spontaneously within 12 weeks. Patients typically present with headache, most commonly an acute headache or thunderclap headache, which usually resolves but may recur within 1 to 4 weeks. Nausea and vomiting as well as photo and phonophobia are not uncommon. After the acute headache or in between episodes of acute headache the patient may have a moderate degree of persistent headache which also tends to resolve within a month. Patients may develop focal neurologic symptoms and seizures, which are usually transient. However, RCVS may be complicated by cortical subarachnoid hemorrhage, ischemic stroke, or intraparenchymal hemorrhage, in which case neurologic deficits may be persistent and the severity correlates with the area involved and severity of the parenchymal damage. Brain imaging including CT and MRI may be completely normal, or demonstrate small cortical subarachnoid hemorrhage, ischemic stroke and/or intraparenchymal hemorrhage. RCVS has been found in association with posterior reversible encephalopathy syndrome (PRES) and it is possible that both overlap or represent different manifestations in the spectrum of the same condition. RCVS has also been associated with preeclampsia and eclampsia. RCVS can occur spontaneously, but precipitant factors are commonly associated with this condition, especially vasoactive drugs including amphetamines, cocaine, cold medicines with decongestants, triptans, ergot alkaloid derivatives, and other adrenergic and serotoninergic drugs. Patients also may report triggers such as strenuous activity, sexual activity, Valsalva, and/or stressful or emotional situations. Noninvasive or cerebral angiography may demonstrate “beading” pattern with areas of narrowing and dilatation representing vasoconstriction, which is typically dynamic and may change over the course of the illness. The diagnosis of RCVS is confirmed with the reversibility of these angiographic findings, which occur at some point within 12 weeks. These findings can be assessed and followed up with noninvasive imaging, including transcranial Doppler. CSF findings may be completely normal, or may demonstrate findings consistent with subarachnoid hemorrhage, or slight elevations in protein and white blood cells, which resolve spontaneously. Brain biopsy is not indicated, and only obtained when suspecting central nervous system vasculitis. In RCVS the biopsy should not demonstrate vessel wall inflammation. The management of these patients is symptomatic, with supportive care as necessary. Vasodilators such as calcium-channel blockers and magnesium sulfate are typically used. Inciting factors and drugs should be avoided. Steroids are not indicated, and actually have been reported to worsen the clinical course. Prognosis is good with complete resolution of symptoms; however, residual deficits may persist in cases of ischemic stroke or intraparenchymal hemorrhage.
240
CAS vs CEA
CAS - in patients\<70, in patients with poor neck anatomy for CEA, in patients at high risk of surgical complications related to comorbidities, contralateral carotid occlusion (because longer clamp time with CEA than CAS), previous radical neck surgery or radiation, and contralateral laryngeal nerve palsy; has lower rates of peri procedure MI; afterwards DAPT CEA - patients\>70, in patients with poor vascular anatomy for CAS; lower rates of periprocedural stroke; afterwards single anti-platelet agent Long-term benefit in terms of stroke prevention appear to be similar in patients undergoing CAS and CEA.
241
Ipsilateral third nerve palsy and contralateral hemiplegia
Weber's syndrome
242
Ipsilateral third nerve palsy and contralateral involuntary movements
Benedikt's syndrome 2/2 lesion in the ventral portion of the mesencephalic tegmentum
243
Ipsilateral third nerve palsy and contralateral ataxia and tremor
Claude's syndrome: lesion in the dorsal portion of the mesencephalic tegmentum
244
Ipsilateral seventh nerve palsy with contralateral hemiplegia
Millard-Gubler syndrome (lesion the pons)
245
Limited upward gaze, convergence retraction nystagmus, light-near dissociation, lid retraction, skew deviation of the eyes
Parinaud's syndrome: lesion affecting the quadrigeminal plate
246
Quadriplegia, inability to speak, limited horizontal gaze, with preserved consciousness, vertical gaze, and blinking
Locked-in syndrome
247
247
248
AICA infarct
249
Dejerine-Roussy syndrome
250
Finger agnosia, right-left disorientation, agraphia, and acalculia
Gerstmann's syndrome
251
Normal variant with vascular supply to both medial thalami
Artery of Percheron
252
Recurrent artery of Heubener
253
Caused by chronic hypertension, associated with the pathogenesis of lacunar strokes
Lipohyalinosis
254
Watershed infarcts
255
Top of the basilar syndrome
256
Right hemiparesis, right HH, and aphasia
Left MCA syndrome
257
Left hemiparesis, left HH, and left hemineglect
Right MCA syndrome
258
Thalamus, contralateral hemisensory loss
Pure sensory lacunar syndrome
259
Pure motor lacunar stroke
260
Paramedian pons, "clumsy hand," and dysarthria
Clumsy-hand dysarthria lacunar syndrome
261
Pon, midbrain, or internal capsule, with weakness out of proportion to weakness
Ataxic hemiparesis lacunar syndrome
262
NOTCH3
263
Cavernous malformation
264
Thin-walled venous structure with normal intervening brain tissue
Venous angioma
265
Abnormally dilated capillaries, normal intervening brain tissue
Capillary telangiectasia
266
Nidus with arteries and vein communicating without an intervening normal capillary bed in between
Arteriovenous malformation
267
Hypertensive intracranial hemorrhage
268
CAA
269
"Puff of smoke"
270
What type of edema is associated with hydrocephalus?
Interstitial edema The CSF is forced by hydrostatic pressure to move from the ventricular spaces to the interstitium of the parenchyma. Transependymal edema is another term used for this type of edema.
271
Vasogenic edema
Represents an extracellular accumulation of fluid that is usually associated with a disruption in the blood–brain barrier, leading to the extravasation of fluid out of the intravascular space. Multiple factors play a role in extravasation of fluid, including hydrostatic forces, inflammatory mediators, and endothelial permeability, leading to the opening of the endothelial tight junctions and subsequent formation of the edema. Vasogenic edema is usually seen surrounding neoplastic lesions.
272
Cytotoxic edema
In cytotoxic edema there is intracellular accumulation of fluid. This type of edema is most commonly seen in hypoxic-ischemic insult, in which there is a lack of energy to the cells, leading to depletion of adenosine triphosphate (ATP) and subsequent failure of the Na+ K+ ATPase, causing an alteration in the selective permeability of cellular membranes. Cytotoxic edema may also be seen with alterations in systemic osmolality, leading to intracellular edema.
273
TTM
Hypothermia targeting a T of 32° to 34°C for 12 to 24 hours. This is specifically indicated for out-of-hospital cardiac arrest where the initial rhythm is VFib, but this therapy may also be beneficial for patients with other types of cardiac arrest, such as pulseless electrical activity or asystole; however, the existing data is not strong in these cases. Complications include coagulopathy, arrhythmias, electrolyte abnormalities, and risk of infections. Temperatures lower than 32°C may not provide additional benefit and may be harmful. Regarding higher temperature targets, a study comparing a target temperature of 33°C and 36°C in unconscious survivors after cardiac arrest irrespective of initial rhythm demonstrated no significant differences in these two groups, suggesting that temperature control up to 36°C may also be effective in these patients.
274
Uncal herniation
Uncal herniation produces mass effect and pressure over the ipsilateral midbrain, affecting the ipsilateral cranial nerve III nucleus and nerve. The mass effect compresses parasympathetic fibers that mediate miosis, resulting in mydriasis. A fixed dilated pupil localizes the side of the uncal herniation. These patients have impaired consciousness secondary to distortion of the ascending arousal system in the brainstem. Hemiparesis also occurs secondary to compromise of the corticospinal tract. Since the corticospinal tract has not decussated at the level of the midbrain, if the uncus compresses the ipsilateral cerebral peduncle, the patient will have a contralateral hemiparesis. Occasionally, the uncal herniation will lead to displacement of the midbrain against the contralateral Kernohan’s notch, resulting in a contralateral compression of the corticospinal tract, and therefore an ipsilateral hemiparesis. Uncal herniation may also cause compression of the posterior cerebral artery in the tentorial notch, causing infarction in this territory.
274
Uncal herniation
Uncal herniation produces mass effect and pressure over the ipsilateral midbrain, affecting the ipsilateral cranial nerve III nucleus and nerve. The mass effect compresses parasympathetic fibers that mediate miosis, resulting in mydriasis. A fixed dilated pupil localizes the side of the uncal herniation. These patients have impaired consciousness secondary to distortion of the ascending arousal system in the brainstem. Hemiparesis also occurs secondary to compromise of the corticospinal tract. Since the corticospinal tract has not decussated at the level of the midbrain, if the uncus compresses the ipsilateral cerebral peduncle, the patient will have a contralateral hemiparesis. Occasionally, the uncal herniation will lead to displacement of the midbrain against the contralateral Kernohan’s notch, resulting in a contralateral compression of the corticospinal tract, and therefore an ipsilateral hemiparesis. Uncal herniation may also cause compression of the posterior cerebral artery in the tentorial notch, causing infarction in this territory.
275
Hyponatremia and cerebral edema
In hyponatremia, there is a decrease in the osmolarity of the extracellular fluid, and by osmotic gradient there is entry of water into the cells, especially when hyponatremia develops rapidly. On the other hand, in hypernatremia water moves from the intracellular space to the extracellular space. To that end, hypertonic saline and other hyperosmolar agents are used for the treatment of cerebral edema.
276
Conditions associated with cerebral edema
Rapid ascent into high altitude, lead intoxication, and liver failure are other conditions associated with cerebral edema.
277
When should an ICP measuring device be placed?
Patients with head injury and a CSF of 7 or less If there is a need for ventricular CSF drainage, an intraventricular catheter is preferred. The patient in this case has hydrocephalus with intraventricular hemorrhage and needs an intraventricular catheter. This device is inserted through a burr hole, through brain parenchyma, and into the ventricular system, providing the capability to transduce the ICP and allowing the possibility of CSF drainage, which can help decrease the ICP. Intraventricular catheters have up to 6% risk of hemorrhage and up to 22% risk of infection. In the setting of subarachnoid hemorrhage with hydrocephalus, an intraventricular catheter is indicated. Parenchymal devices are inserted into the brain parenchyma and provide pressure measurements. However, these do not allow CSF drainage and may be susceptible to pressure gradients across the parenchyma. Epidural devices are placed between the dura and the calvarium and have lower rates of hemorrhage and infection, but their accuracy is low. Subarachnoid bolts are placed through a burr hole and in communication with the subarachnoid space. Their placement may be easier and the risks of infection and hemorrhage are not as high as with intraventricular devices, however, the accuracy is not optimal, it does not allow CSF drainage, and the device tends to get occluded.
278
Hyperventilation and ICP
Hyperventilation is a short-lived therapy, and a rebound increase in the ICP may occur.
279
Increased ICP
This patient has increased ICP, which normally ranges between 5 and 15 mm Hg (7.5 to 20 cm H2O). Intracranial hypertension is deleterious since it produces a decrease in the cerebral perfusion pressure and therefore reduced cerebral blood flow, resulting in cerebral ischemia. The general measures are used in every patient and include head position (the head should be elevated above 30 degrees), maintenance of normothermia (avoid fever), glucose control, blood pressure control, adequate nutrition, and prevention of complications. Specific interventions to reduce ICP include hyperventilation, use of osmotic agents, use of hypertonic solutions, use of corticosteroids in select cases, CSF drainage, surgical decompression in select cases, and in refractory cases, barbiturate coma, pharmacologic paralysis, and hypothermia. Some of these therapies are controversial. Hyperventilation has a rapid effect; however, it lasts for 10 to 20 hours and subsequently a rebound phase with increased ICP may be seen. Hyperventilation produces a reduction in partial pressure of CO2 (pCO2), and this hypocapnia leads to cerebral vasoconstriction, reducing cerebral blood volume and therefore reducing ICP. This therapy should be used to target a reduction of pCO2 by 10 mm Hg, and/or to a target of approximately 30 mm Hg, and should be reversed slowly. Hyperventilation does not act by changing the CSF osmolarity. Mannitol is an osmotic agent and acts by raising the serum osmolarity and producing an osmotic gradient, driving water from the interstitium to the intravascular compartment. It is usually given in boluses of 0.5 to 1.5 g/kg and not as a continuous infusion. While on this medication, serum osmolarity should be checked at regular intervals targeting a level no higher than 320 mOsm/L. Mannitol as an osmotic agent will also produce diuresis, and may also lead to hypotension and hypovolemia. It is associated with depletion of potassium, magnesium, and phosphorus. If there is damage to the blood–brain barrier, mannitol can leak into the interstitium, worsening vasogenic edema.
280
How does barbiturates reduce the ICP?
Barbiturates decrease the ICP by reducing cerebral metabolic activity and thereby reducing cerebral blood flow and blood volume. Barbiturates may be used when the ICP is elevated and refractory to other measures. These agents reduce the ICP by lowering cerebral metabolic activity, leading to a decrease in cerebral blood flow and blood volume. Patients on barbiturate coma should have continuous EEG monitoring to titrate to burst suppression. Continuous β activity is seen with benzodiazepines and is not a treatment goal. Pentobarbital is the barbiturate of choice and is usually started with a bolus followed by a continuous infusion. Its discontinuation should be gradual. Unfortunately, barbiturate coma has multiple complications, including hypotension, myocardial depression, predisposition to infections, and hypothermia.
281
Propofol
Propofol is a commonly used sedative agent in the neurocritical care unit since it has a short half-life permitting prompt neurologic examinations soon after it is discontinued. It produces sedation within a few minutes, it has a drug effect that lasts between 5 and 10 minutes, and awakening may occur 10 to 15 minutes after discontinuation (depending on the baseline neurologic function). Propofol also has been shown to reduce the ICP in patients with normal intracranial dynamics and preserved cerebral perfusion pressure, which makes this attractive in the care of patients with increased ICP. Unfortunately, Propofol is not free of side effects, and a prominent hypotensive effect as well as respiratory depression are frequently encountered. Propofol infusion is recommended for patients on mechanical ventilation. Other complications include hypertriglyceridemia and infections. Propofol infusion syndrome is a lethal complication seen rarely, mainly in patients on high doses for long periods of time, and manifests with hypotension, bradycardia, lactic acidosis, hyperlipidemia, and rhabdomyolysis.
282
Hypertonic saline and ICP
Hypertonic saline reduces the ICP by drawing water out from brain cells via an osmotic gradient. It can be used as a continuous infusion targeting a serum sodium concentration of 150 mmol/L. Serum sodium concentration should be monitored closely during administration of hypertonic saline, and changes should occur very gradually.
283
Stupor
tate of pathologically reduced consciousness from which the patient can be aroused only with strong and continuous stimulation. Even after being aroused, the cognitive function may be impaired. When not disturbed, the patient goes back to the poorly responsive state.
284
Coma
State of unresponsiveness, in which the patient cannot be aroused even with vigorous stimulation. There may be a grimace response or stereotyped withdrawal movement of the limbs to noxious stimulation, but the patient does not localize to the stimulus.
285
Locked-in state
State of unresponsiveness, in which the patient cannot be aroused even with vigorous stimulation. There may be a grimace response or stereotyped withdrawal movement of the limbs to noxious stimulation, but the patient does not localize to the stimulus.
286
Unresponsive wakefulness
New name for “vegetative state” which avoids the negative connotations of the prior terminology. It is characterized by return of sleep–wake cycles in an unresponsive patient (usually previously comatose), with lack of cognitive neurologic function. These patients have no awareness of themselves or the environment, do not interact with others, and do not have purposeful or voluntary behavioral responses.
287
Cerebral edema in ischemic stroke
Cerebral edema in ischemic stroke may start to develop within hours of stroke onset, with a peak of maximal swelling on days 2 to 5 post-stroke. Malignant cerebral edema, which occurs in complete MCA infarctions, is associated with up to 80% mortality with conservative therapy. It is most commonly seen in strokes with occlusions at the ICA terminus and most proximal (M1) segment of the MCA. Other predictors of malignant cerebral edema include high National Institute of Health Stroke Scale (NIHSS) score (greater than 15 in nondominant hemisphere infarcts, or greater than 20 in dominant hemisphere infarcts), early hypodensity of more than 50% of the MCA territory on CT, and younger age. The initial management of these patients is based on supportive care, along with tight control of blood glucose, blood pressure, and temperature. General measures for the treatment of increased ICP, such as hyperventilation, hypertonic saline, and mannitol, are also used. In the appropriate patient (see discussion in question 42), the plan for early hemicraniectomy (\<48 hours from symptom onset) should be discussed soon with the family, since this intervention improves survival. Larger hemicraniectomies have a better outcome than more limited surgeries.
288
PRES
The diagnosis of PRES is usually based on neuroimaging demonstrating a characteristic pattern of vasogenic edema predominantly in the posterior cerebral region, especially in the occipital and parietal lobes (though more anterior areas can also be involved in PRES). Risk factors and causative factors associated with PRES include hypertension, renal failure, organ transplantation, autoimmune diseases, immunosuppressive drugs (particularly cyclosporine), cancer chemotherapy, septic shock, preeclampsia, and eclampsia. Hyperlipidemia is not associated with PRES. Clinical manifestations include headache, nausea, visual changes, focal neurologic symptoms, altered mental status, coma, and seizures. Most patients present with severe hypertension and some theories suggest that PRES is a manifestation in the spectrum of hypertensive encephalopathy. The pathophysiology is not well understood, but it is thought to be related to a disruption in autoregulation of the posterior circulation, which associated with hypertension and hyperperfusion may result in alteration of the blood–brain barrier and vasogenic edema. Endothelial injury and dysfunction also may play a role. The treatment of this condition consists of aggressive blood pressure control. Supportive care is part of the treatment, and many times these patients need intensive care observation. Treating the underlying condition and/or withdrawing the offending drug or etiologic factor is a central part of the treatment.
289
Sodium nitroprusside
Sodium nitroprusside is a vasodilator that produces arterial and venous dilation and reduces blood pressure rapidly. It is used in a continuous infusion; while it is not the first line of treatment for hypertension, it may be indicated in severe hypertension. When sodium nitroprusside enters the circulation, nitric oxideand cyanide are produced. Nitrous oxide then acts through the guanylate cyclase pathway, increasing cyclic guanosine monophosphate (cGMP) and producing vasodilation. The vasodilation occurs in both cerebral and systemic vessels, causing an increase in cerebral blood flow and volume, and increasing the ICP, which along with a decrease in the mean arterial pressures can compromise cerebral perfusion pressure. Therefore, sodium nitroprusside should be used cautiously in patients with increased ICP. With continuous and prolonged infusion of sodium nitroprusside, cyanide and thiocyanate toxicity can occur. Cyanide originates from the nitroprusside molecule and can be cleared by binding to methemoglobin, or when thiosulfate donates a sulfur group, transforming the cyanide into thiocyanate. Cyanide toxicity should be suspected when tachyphylaxis occurs. The accumulation of cyanide can be treated with sodium thiosulfate, which provides sulfur groups favoring the conversion to thiocyanate, which can be cleared by the kidneys. However, thiocyanate is also toxic. Risk of thiocyanate intoxication is increased in patients with renal disease; therefore, sodium nitroprusside should not be used in this patient population. Manifestations of thiocyanate toxicity include anxiety, confusion, pupillary constriction, tinnitus, hallucinations, and seizures. This intoxication can be treated with dialysis.
290
When are corticosteroids used for ICH?
Corticosteroids are used for the treatment of intracranial hypertension associated with primary brain tumors and metastasis to the brain. Corticosteroids are beneficial in vasogenic cerebral edema as is seen with intracranial tumors, either primary or metastatic. However, the exact mechanism of action of steroids in vasogenic edema is not well understood. Available evidence suggests that corticosteroids are not useful in the management of other conditions commonly associated with cerebral edema such as traumatic brain injury, intracerebral hemorrhage, or ischemic stroke. This is explained in part by the difference in the type of edema seen in the latter conditions (see questions 1 and 2). Acute obstructive hydrocephalus requires a neurosurgical intervention.
291
Subdural hematoma
The CT scan in Figure 3.6 shows a subdural hematoma, in which blood accumulates in the subdural space adopting a crescentic or concave shape over the cerebral convexity. The most common cause is trauma, by producing an acceleration force, thereby tearing and causing rupture of the cerebral surface bridging veins that drain into the dural venous sinuses. Patients usually present with headache, change in mental status, and focal neurologic deficits. Surgical evacuation is indicated if the subdural hematoma is more than 1 cm or if there is midline shift. If the subdural hematoma is small it may be observed without the need for surgical evacuation.
292
Vasospasm in SAH
Vasospasm causing ischemia and delayed infarcts is the leading cause of morbidity and mortality in patients who survive initial SAH. Vasospasm can occur between 3 and 15 days from the onset of the bleeding, with a peak between days 6 and 8. The pathophysiology is not well understood, but there is evidence to suggest an inflammatory basis. Symptoms of vasospasm include headache, nausea, vomiting, altered mental status, and focal neurologic deficits. Transcranial Doppler ultrasonography provides information by detecting the velocity of the flow in the intracranial vessels and should be performed daily to follow the trends of these velocities. CT angiogram and catheter angiogram are helpful in the diagnosis of vasospasm.
293
Complications of SAH
Acute hydrocephalus, rebleeding, and vasospasm are complications of SAH. Acute hydrocephalus occurs from obstruction of the cerebral aqueduct associated with intraventricular extension of blood. Clinical manifestations include worsening headache, change in mental status, and coma. Treatment of hydrocephalus includes the placement of an intraventricular catheter. Rebleeding usually occurs early on, when the aneurysm has not been secured. If a hematoma forms, it can produce mass effect and lead to uncal herniation. Even though these are potential complications of subarachnoid hemorrhage, the timing and clinical presentation in this case suggest that vasospasm is the most likely explanation for this patient’s symptoms.
294
Epidural hematoma
Epidural hematoma is most commonly caused by head trauma, leading to rupture of the middle meningeal artery, which passes through the foramen spinosum. Rupture of this artery results in accumulation of blood in the epidural space. The appearance of this hematoma on CT is lenticular shaped or biconvex. Clinically, patients may present with a brief loss of consciousness followed by a lucid interval and subsequent deterioration hours later.
295
Diffuse axonal injury
Diffuse axonal injury occurs from disruption of intracerebral axons and is caused by the effect of angular forces and shear injury, but not from direct contusion or penetrating trauma. iffuse axonal injury is most commonly seen in severe head injuries, such as motor vehicle accidents, and in which the brain is subject to rotational or stretching forces within the confines of the skull, or in which the head suffers severe and rapid acceleration and deceleration. These patients tend to have alteration of consciousness or loss of consciousness, progress to coma, and if they survive, they may remain unconscious, in unresponsive wakefulness (see question 9), or severely disabled. In diffuse axonal injury there is widespread damage of axons involving cerebral hemispheres (gray–white junction), corpus callosum, brainstem, and cerebellum. Macroscopically, there are small hemorrhages in the corpus callosum, superior cerebellar peduncle, deep nuclei, and throughout the hemispheric white matter. Microscopically, there is evidence of swollen (“bulb like”), disconnected and injured axons throughout the brain. These dystrophic axons are seen on hematoxylin–eosin after 18 to 24 hours of survival, but can be seen as early as 2 hours after the injury with beta-amyloid precursor protein immunostaining. At the time of the injury, the axons may not be transected, but the microtubules and neurofilaments may be disrupted, leading to axonal transport impairment, with subsequent swelling of the axons appearing as bulb like or balloon like, subsequently separating and becoming disconnected.
296
ICP waveforms
Lundberg A waves or “plateau waves” are pathologic and associated with decreased intracranial compliance and intracranial hypertension, with the risk of cerebral ischemia. These waves are sustained with duration between 5 and 20 minutes. Their amplitude is high, in the range of 50 to 100 mm Hg. B waves are normal, with duration of 1 to 2 minutes and amplitudes in the range of 20 to 50 mm Hg. C waves are of no pathologic consequence, and last for 4 to 5 minutes with less than 20 mm Hg of amplitude. Along with the above-mentioned waves, the cardiac cycle and respirations also influence ICP monitor tracings.
297
Signs of skull fracture
Signs of skull fracture include periorbital ecchymoses or hematoma (raccoon eyes), postauricular ecchymosis (Battle’s sign), CSF rhinorrhea, and otorrhea. Patients with head trauma may have a broad variety of injuries, including scalp injury, cervical injury, linear or depressed skull fractures, basal skull fractures, epidural hemorrhage, subdural hemorrhage, intraparenchymal hemorrhages, cerebral contusions, and SAH. All these can be potentially present in the patient depicted in this case; however, given the clinical findings, skull fracture is most likely to be present. Patients with head trauma should be initially stabilized at the scene, with subsequent ICU care for adequate management, and to prevent secondary injuries from hypoxia, increased ICP, and brain edema. ICU care includes not only management of increased ICP but also blood glucose control, blood pressure control, temperature control, prevention of deep venous thrombosis and infections, nutrition, and ventilatory and hemodynamic support. Surgery may be needed in some cases. In the case of basal skull fracture, nasogastric tubes should be avoided, and antibiotics should be used prophylactically since there may be an external access to the CSF.
298
Fat emboli to brain
This patient has had fat embolism, which results from fat droplets entering the circulation usually in the setting of surgery or trauma, and especially after fractures of long bones such as the femur. Fat microparticles from the bone marrow can travel in the venous system to the lungs and may be compliant to access the arterial circulation and spread systemically. Patients will present with hypoxia and respiratory distress, followed by agitation, delirium, and/or coma. A petechial rash is characteristic, often seen over the thorax, axillary region, and conjunctiva. Multiple petechial hemorrhages can be seen in the gray and white matter of the brain on autopsy.
299
Need for intubation in GBS
Hypercapnia on arterial blood gas is not a sensitive indicator of the need for intubation in this setting. This patient has a progressive ascending paralysis after a diarrheal illness and albuminocytologic dissociation evidence on CSF analysis, which is consistent with Guillain–Barré syndrome (GBS), an acute inflammatory demyelinating polyneuropathy. Patients with this disorder should be hospitalized and may need intensive care unit admission, since they may develop respiratory failure, inability to protect the airway, and autonomic dysfunction, with labile blood pressure and cardiac arrhythmias. Therefore, these patients should have close cardiac and ventilatory monitoring with frequent evaluations of negative inspiratory force and vital capacity. Arterial blood gases are not accurate predictors of the need for intubation and mechanical ventilation, since hypoxia and hypercapnia occur late in the course of respiratory failure, once the patient is decompensating. The care of these patients include general supportive care, prevention of complications, rehabilitation, and specific therapies for the inflammatory process, which include plasmapheresis and intravenous immunoglobulin. Steroids play no role in the treatment of GBS.
300
Nontraumatic SAH
The most common cause of nontraumatic subarachnoid hemorrhage is rupture of an intracranial aneurysm. Hypertension and smoking are the most important risk factors for aneurysmal SAH. Patients with family history of a first degree relative with subarachnoid hemorrhage are also at increased risk. Heavy alcohol use and cocaine use are other potential risk factors for this condition. The diagnosis of SAH can be suspected based on a clinical presentation of sudden onset severe headache (thunderclap headache, the “worst headache of my life”), sometimes accompanied by nausea, vomiting, photophobia, and neck stiffness. Altered mental status, coma, and focal neurologic findings may also occur. Whenever SAH is suspected, a brain CT should be performed, demonstrating the hemorrhage in more than 95% of the cases when the scan is performed within 48 hours. If the CT scan is negative, a lumbar puncture should be performed in order to detect blood in the subarachnoid space, evidenced by elevated RBC count and xanthochromia. A negative CT scan does not rule out SAH.
301
Grading for SAH
Clinical and radiologic grading systems have been developed for SAH and include the Hunt and Hess Grading Scale, World Federation of Neurological Surgeons Grading Scale, and the Fisher Scale. Hunt and Hess scale is a clinical grading scale widely used in practice, and characterized as follows: 1. Asymptomatic or minimal headache and slight nuchal rigidity; 2. Moderate–severe headache, nuchal rigidity, no neurologic deficit other than cranial nerve palsy; 3. Drowsiness, confusion, or mild focal neurologic deficit; 4. Stupor, moderate–severe hemiparesis, possible early decerebrate rigidity and vegetative disturbances; 5. Deep coma, decerebrate rigidity, moribund appearance. The World Federation of Neurological Surgeons Scale is a clinical scale based on the Glasgow Coma Scale (GCS) and the presence of neurologic deficits, and characterized as follows: 1. GCS of 15 with no motor deficit; 2. GCS 13–14 with no motor deficit; 3. GCS 13– 14 with motor deficit; 4. GCS 7–12 with or without motor deficit; 5. GCS 3–6 with or without motor deficit. The Fisher grading scale is also widely used, based on admission CT scan, and characterized according to the presence of blood: 1. No SAH on CT; 2. Diffuse or thin vertical layer of blood \<1 mm thick; 3. Localized clot and/or vertical layer of blood ≥1 mm thick; 4. Intracerebral or intraventricular clots with diffuse or no SAH.
302
Central pontine myelinolysis
The history and images are consistent with central pontine myelinolysis (CPM), which is a disorder seen after rapid and aggressive correction of hyponatremia. This condition is not limited to the pons and could affect other areas of the central nervous system. Because of the risk of CPM, the rate of correction of hyponatremia should be no more than 12 mEq/L per day, or 0.5 mEq/L per hour. Patients may develop CPM after rapid correction of hyponatremia, and the manifestations are evident within 3 to 10 days, with progressive paraparesis or quadriparesis, pseudobulbar palsy, dysphagia, dysarthria, and altered mental status. Progressive extension of the demyelination may lead to locked-in syndrome. Most patients who survive will have clinical disabilities. Pathologically, there is bilateral symmetric focal destruction of myelin in the ventral pons, sparing axons and neuronal cell bodies. The myelin disruption is not limited to the pons, and extrapontine myelinolysis has been observed in the cerebellum, thalamus, external and extreme capsules, basal ganglia, deep layers of the cerebral cortex and adjacent white matter, and sometimes even in the fornix, subthalamic nucleus, amygdala, optic tract, and spinal cord. Other conditions associated with CPM are severe alcoholism, chronic liver disease and liver transplantation, and extensive burns.
303
Cholinergic crisis
The following include manifestations of a cholinergic crisis: small and even pinpoint pupils, excessive secretions, diarrhea, sweating, bradycardia, muscle weakness, and fasciculations. The symptoms will subside with cessation of the acetylcholinesterase inhibitor. The presence of pinpoint pupils and increased cholinergic activity suggest a cholinergic crisis and not a myasthenic crisis. A patient with adrenergic crisis or thyrotoxicosis may have similar manifestations but will have mydriasis and tachycardia.
304
Na status in SAH
Hyponatremia is a potential complication seen in SAH, either by cerebral salt wasting or SIADH.
305
CCB in SAH
Nimodipine (not Nifedipine) is a calcium channel blocker that is utilized in a dose of 60 mg every 4 hours for 21 days following aneurysmal SAH and has been shown to improve outcomes from vasospasm.
306
Triple H therapy in treatment of SAH-related vasospasm after aneurysm is secured
Specific aneurysmal treatment includes isolation of the aneurysm from the circulation, either by surgical clips or endovascular coils. Once the aneurysm is secured, blood pressure can be liberalized, and hypertensive therapy can be used in case of vasospasm. “Triple H therapy” has been recommended for the treatment of vasospasm, and it consists of hypervolemia, hypertension, and hemodilution. This is achieved by expanding the intravascular volume using isotonic fluids, and sometimes colloids such as albumin. Vasopressors can also be utilized. The risk of triple H therapy includes rebleeding from an unsecured aneurysm, pulmonary edema, congestive heart failure, and cerebral edema. A systematic review of the various components of triple H therapy has suggested that inducing hypertension is more effective in increasing cerebral blood flow than hemodilution or hypervolemia. If vasospasm is refractory, endovascular therapies may play a role, including intra-arterial infusion of vasodilators such as nicardipine, or balloon angioplasty of the affected vessels. The use of external ventricular drain catheters is reserved for acute hydrocephalus, or intraventricular extension of blood (Fisher grade
307
Apneustic breathing
Seen in patients with pontine lesions (also have pinpoint pupils) Apneusis is a respiratory pause at full inspiration and occurs from bilateral pontine lesions. In apneustic breathing, there is respiratory pause after inspiration alternating with end-expiratory pause. Since pinpoint pupils are seen in pontine lesions, it is most likely that this patient will have an apneustic breathing pattern, and likely decerebrate posture.
308
Ataxic breathing
Medullary lesion Ataxic breathing is an irregular respiratory pattern (gasping respiration) seen with lesions damaging the respiratory rhythm generator in the upper medulla.
309
Breathing
Breathing is a complex action that is integrated by circuits in the brainstem, with connections at different neural levels in the brain and upper cervical cord, and under the influence of chemical and mechanical input that enter via the vagus and the glossopharyngeal nerves. Respiratory rhythm is an intrinsic function of a group of neurons in the ventrolateral medulla, but under the control of a pontine cell group that integrates breathing with other functions, reflexes, and metabolic input.
310
Breathing
Breathing is a complex action that is integrated by circuits in the brainstem, with connections at different neural levels in the brain and upper cervical cord, and under the influence of chemical and mechanical input that enter via the vagus and the glossopharyngeal nerves. Respiratory rhythm is an intrinsic function of a group of neurons in the ventrolateral medulla, but under the control of a pontine cell group that integrates breathing with other functions, reflexes, and metabolic input.
311
Cheyene-stokes breathing
Cheyne–Stokes respiration is a pattern of periodic breathing in which hyperpnea alternates with apnea and the depth of breathing increases and decreases gradually. It is seen in patients with forebrain impairment in the setting of intact brainstem respiratory reflexes, but it is also present in patients with severe cardiopulmonary disease.
312
Type of breathing in metabolic disorders
Hyperventilation Also seen in midbrain lesions
313
Imaging for SAH
All patients with suspected SAH should have a brain CT scan, which will detect hemorrhage in 95% of the cases within 48 hours of the bleed. As days pass, the sensitivity of the CT will drop, being approximately 50% by day 7 posthemorrhage. If the CT does not show the hemorrhage, but there is high clinical suspicion, a lumbar puncture should be performed. CSF RBC count that does not decrease in subsequent tubes and the presence of xanthochromia are findings consistent with SAH. The appearance of xanthochromia requires the presence of RBCs in the CSF for some time; therefore, it may not be present in the first few hours following the hemorrhage. A lumbar puncture is not required in all cases, and actually is rarely performed if the CT scan shows the hemorrhage. The leading cause of nontraumatic SAH is rupture of an intracranial aneurysm. To determine the presence of aneurysm, a CT angiogram or MR angiogram can be performed; however, conventional cerebral angiography is the gold standard, and a four- vessel angiogram should be performed in all cases of nontraumatic SAH. CTA is very helpful for detecting intracranial aneurysms in acute SAH, with comparable sensitivity and specificity to a conventional cerebral angiography. Approximately 15% of the patients have multiple aneurysms in different territories.
314
Correction of INR
Coagulation factors II, VII, IX, and X and the anticoagulant proteins C and S require γ-carboxylation in the liver for their activation, and this process requires the reduced form of vitamin K. Warfarin is a vitamin K antagonist. Warfarin is rapidly absorbed in the gastrointestinal tract, highly bound to proteins, and metabolized in the liver. The use of this medication causes a prolongation in the prothrombin time (PT). However, to standardize the measure, the INR is used for this purpose. Patients presenting with warfarin-related intracranial hemorrhage and a high INR need various therapies to reverse the anticoagulation and arrest the bleeding process. Administration of vitamin K is effective in reversing the effects of warfarin, but this requires new synthesis of coagulation factors, which takes time. There are oral, subcutaneous, and intravenous formulations of vitamin K. The intravenous route is preferred for urgent reversal of anticoagulation, with the rare risk of anaphylaxis. However, even with intravenous vitamin K, it may take between 6 hours and sometimes more than 24 hours to reverse the coagulopathy. Oral and subcutaneous formulations take even longer for coagulopathy reversal, and are not indicated in the setting of an emergency such as ICH related to warfarin. Prothrombin complex concentrates (PCC) are plasma derived factor concentrates which can provide high concentration of coagulation factors in small volumes, allowing for rapid administration and rapid normalization of the INR. PCCs correct warfarin-related coagulopathy faster than FFP. There are several formulations of PCCs with various concentrations of the required factors II, VII, IX, and X.
315
How to reduce anticoagulation related to heparin?
Protamine sulfate
316
How to reduce anticoagulation related to heparin?
Protamine sulfate
317
FFP in correcting INR
Fresh frozen plasma (FFP) provides many coagulation factors, including those depleted by warfarin, and is a relatively fast way to reverse coagulopathy from warfarin as compared to vitamin K. However, the use of FFP may result in delays from the process of compatibility testing and administration, and it may lead to fluid overload, allergic reactions, and transfusion-related complications. Furthermore, the reversal of anticoagulation from warfarin with FFP may be only transient.
318
Best way to evaluate ventilation in GBS
Maximal inspiratory pressure and vital capacity are the best methods of assessing the ventilation of patients with Guillain–Barré syndrome (GBS) (discussed in Chapter 9) to assess for potential need for intubation. Indications for intubation in GBS include the following: clinical evidence of fatigue; severe oropharyngeal weakness; vital capacity less than 15 to 20 mL/kg, or less than 1 L, or a reduction of more than 30% from the baseline; maximal inspiratory pressure of less 40 cm H2O; hypoxemia with pO2 of \<70 mm Hg on room air. However, arterial partial pressure of oxygen (pO2) and partial pressure of carbon dioxide (pCO2) are not sensitive, and are not good predictors of the need for early intubation, since abnormalities in these parameters occur late and when the patient is already decompensating. Other parameters associated with the possible need for intubation include bulbar weakness or the presence of cranial nerve palsies, autonomic dysfunction, short period from onset to peak of symptoms, and the presence of abnormalities on chest X-ray, such as infiltrates or atelectasis.
319
Critical illness polyneuropathy
Critical illness polyneuropathy is an axonal sensory–motor polyneuropathy that affects the limbs and respiratory muscles. On nerve conduction studies there is reduction of CMAPs and SNAPs, with normal or mildly reduced conduction velocities. Histopathologically there may be findings of axonal degeneration of motor and sensory fibers, and denervation atrophy.
320
Critical illness myopathy
A primary myopathy not secondary to to denervation. Electrophysiologic studies show SNAP \>80% of the lower limit of normal and low amplitude CMAPs, as well as myopathic findings on needle EMG. Fibrillation potentials and positive sharp waves are seen in both critical illness polyneuropathy and myopathy. _Histopathologically, in critical illness myopathy there is loss of thick myosin filaments and varying degrees of necrosis._
321
Definition of status epileptics
Status epilepticus is a neurologic emergency. Classically, it has been defined as seizures lasting more than 30 minutes, or recurrent seizures without recovery in between. This definition is outdated and may not be useful in clinical practice, since patients presenting with ongoing seizures should be treated rapidly without waiting for a 30-minute time limit. An operational definition has been proposed suggesting treatment of convulsive status epilepticus within 5 minutes of seizure onset. It is known that the efficacy of medications to stop the seizures decrease with seizure duration, so early treatment is mandatory. The goal of treatment is to stabilize the patient, abolish the seizures, and treat the underlying cause. Initial therapy should always begin with “ABC” (airway, breathing, circulation). Benzodiazepines are the first line of therapy to stop ongoing seizures, and lorazepam is the most commonly used, based on its rapid onset of action, and preferred to diazepam based on its relative longer half-life. It is given intravenously at a dose of 0.1 mg/kg (2 to 4 mg). Following benzodiazepines, the second line of treatment is fosphenytoin (or phenytoin if fosphenytoin is not available), for which maximal effects peak at around 15 to 20 minutes. Fosphenytoin is preferred over phenytoin since it can be infused faster, with fewer infusion-related side effects and cardiovascular reactions. The usual loading dose is 20 mg/kg intravenously. If the patient continues seizing, a second dose of fosphenytoin (or phenytoin) can be given (5 to 10 mg/kg). *Alternative second line medications have been used instead of phenytoin or fosphenytoin, and these include valproic acid (20 to 30 mg/kg intravenously), phenobarbital (20 mg/kg intravenously), levetiracetam (20 to 60 mg/kg intravenously), or lacosamide (200 to 400 mg intravenously). However, there are no class 1, blinded, head-to-head comparisons of these antiepileptic drugs in the treatment of status epilepticus.* If status does not terminate with benzodiazepines and second line antiepileptic drug. These patients should be intubated (if it has not already been done) and treated with propofol or midazolam infusion to control the seizures. If after continuous infusion of propofol or midazolam the patient continues to seize, barbiturate coma is the next step, usually with pentobarbital, with titration of the dose to burst suppression on the EEG.
322
From the options listed, bilateral absence of the N20 response on somatosensory-evoked potentials with median nerve stimulation is the best predictor of outcome after cardiac arrest. A low percentage of patients survive after cardiac arrest, and of those who survive, a large number will have long-term cognitive and neurologic deficits. Prediction of outcome after cardiac arrest is important to guide treatment for these patients, as well as to provide useful information to the family. In general, the circumstances surrounding the cardiac arrest and CPR do not have good predictive value and should not be used alone for this purpose. * Physical examination findings are helpful, and there is good predictive value for poor outcome if there is no pupillary response at 24 to 72 hours from the cardiac arrest, or no corneal reflexes and eye movements at 72 hours after the cardiac arrest. Before these time frames, the predictive values of physical examination findings are not accurate. Ancillary tests are useful in the prediction of outcome of patients after cardiac arrest. * Brain edema on CT scan may occur, but its predictive value is poor for prognostication. * EEG showing burst suppression or generalized suppression is associated with poor outcome. * Somatosensory-evoked potentials with median nerve stimulation showing bilaterally absent N20 responses at days 1 to 3 accurately predict poor outcome. * Certain biomarkers have been used, especially neuron-specific enolase, which, if elevated, will also help predict a poor outcome. Creatine kinase BB isoenzyme in the CSF can also be utilized; however the false-positive rate of this test limits its utility.
323
Death by neurological criteria
Death by neurologic criteria or brain death is defined as the irreversible cessation of function of the brain, including the brainstem. This diagnosis requires the presence of a catastrophic CNS condition leading to irreversible damage, examination findings of absent brainstem reflexes, and the presence of apnea on the apnea test. To perform the apnea test, the patient should be preoxygenated for 10 minutes with a fraction of inspired oxygen (FiO2) of 100%. A baseline arterial blood gas is obtained, and pCO2 should be between 35 and 45 mm Hg. The patient is then disconnected from the ventilator but should receive oxygenation at a rate of 6 L/minute. The patient is then observed for 10 minutes for any chest or abdominal rise suggesting an inspiratory attempt. After this time, an arterial blood gas is obtained. If the patient had not demonstrated any respiratory movements and the pCO2 has risen to at least 60 mm Hg, then the test is positive, supporting a diagnosis of brain death. To perform the apnea test, the patient should not be hypotensive (systolic blood pressure should be 90 mm Hg or above), and the patient’s core temperature should be 36.5°C or above. The following is required for the diagnosis of brain death: 1) Absence of intoxication, neuromuscular blockade, pharmacologic sedation, or a medical condition that may obscure the clinical picture 2) A normal or near-normal core body temperature (\>36°C). 3) Systolic blood pressure of more than 90 mm Hg, or mean arterial pressure of more than 60 mm Hg. Ancillary testing can be used if there is doubt: 1) Electroencephalography showing electrocerebral silence in a recording of at least 30 minutes. 2) Transcranial Doppler showing no flow signals, or abnormal signals including oscillating flow or short and low amplitude spikes in systole without diastolic flow. 3) Nuclear medicine scan showing no isotope uptake in the brain parenchyma or no intracranial flow. 4) Angiography demonstrating no flow in the circle of Willis.
324
Decorticate posturing
Red nucleus - midbrain Decorticate rigidity is associated with hemispheric dysfunction or a lesion above the red nuclei resulting in disinhibition of the red nuclei, with facilitation of the rubrospinal tracts (which are thought to enhance flexor tone in the upper extremities). Decorticate posture is characterized by flexion of the upper extremities at the elbows and extension of the lower extremities, and is seen in lesions involving the forebrain down to the level of the rostral midbrain, and above the red nuclei sparing the rubrospinal tract.
325
Decerebrate posturing
Decerebrate posture is characterized by extension and hyperpronation of the upper extremities with extension of the lower extremities. Decerebrate posture is caused by a lesion in the brainstem at or below the superior colliculi and the red nuclei, but above the vestibular nuclei. In decerebrate posture, the vestibular nuclei are intact, enhancing extensor tone, and without the influence from the red nuclei. Lesions below the vestibular nucleus will abolish a posture response, and are generally associated with flaccid limbs.
326
Pinpoint pupils
Pontine lesions
327
Uncal herniation
Uncal herniation occurs from expansion of a lesion in a cerebral hemisphere, pushing the medial temporal lobe to herniate medially and downward over the tentorial edge. The medial temporal lobe will push against the midbrain and manifest with a fixed dilated pupil. Along with this finding, patients have altered level of consciousness, and a hemiparesis, which is most often contralateral; however, the hemiparesis may be ipsilateral if the temporal lobe pushes the midbrain against Kernohan’s notch on the contralateral side, therefore affecting the contralateral corticospinal tract. Uncal herniation may also produce a posterior cerebral artery compression resulting in an infarct in this territory. .
328
Central transtentorial herniation
Central transtentorial herniation occurs from an expanding lesion in the diencephalon, leading to a downward displacement, which may put pressure on the midbrain.
329
Tonsillar herniation
Tonsillar herniation occurs when the cerebellar tonsils are displaced through the foramen magnum, compressing the medulla and occluding the fourth ventricle outflow. A transcalvarial herniation occurs when a patient with brain edema undergoes hemicraniectomy, and brain tissue herniates through the skull defect
330
Transcalvarial herniation
A transcalvarial herniation occurs when a patient with brain edema undergoes hemicraniectomy, and brain tissue herniates through the skull defect
331
The relationship between ICP and intracranial volume
The relationship between intracranial volume and ICP is not linear.
332
Cerebral blood flow, ICP, and MAP
Cerebral blood flow is determined by multiple factors, including perfusion, mean arterial and intracranial pressures, as well as cerebral autoregulation and rheologic and metabolic factors. The cerebral perfusion pressure (CPP, ideally \>70 mm Hg, lower limit of 50 mm Hg) is obtained by subtracting the ICP (normal 5 to 15 mm Hg) from the mean arterial pressure (MAP) (CPP = MAP − ICP). Therefore, MAP and ICP are major determinants of perfusion pressure and cerebral blood flow, and are targets for therapies in the neurocritical care unit. Vascular autoregulation permits optimal cerebral blood flow and is effective at MAP ranges between 60 and 150 mm Hg; however, this range is variable and may be altered in patients with chronic hypertension. Pressure responses and metabolic factors govern autoregulation by producing cerebral vasodilatation or vasoconstriction. CO2 is an important factor, and increases in pCO2 cause vasodilatation resulting in increased ICP. Blood rheologic factors are also important for cerebral blood flow. Lower hematocrit and lower blood viscosity are associated with increased cerebral blood flow.
333
Factors effecting outcomes in hemicraniectomies
The age of the patient, timing of the surgery, and the hemispheric dominance are factors to take into account when making the decision to intervene. Patients older than 60 years of age have lower survival rates and poorer functional outcomes than those younger than 60 after this procedure. The optimal timing of surgery is unknown, but earlier hemicraniectomy is associated with better outcomes. Most decompressive hemicraniectomies are performed for nondominant hemispheric infarctions, and it is thought that functional outcome will be worse if performed for dominant hemispheres, since language has been already disrupted. However, patients with dominant hemispheric infarctions also benefit from this surgical procedure. All these aspects should be discussed clearly with the family, making sure that they understand that this surgery is a life-saving measure, with the potential of survival with significant disability. Larger and wider bone windows may be required for better clinical results as compared with smaller bone windows.
334
Malignant hyperthermia
It is an autosomal dominant disorder, in which there is an excessive release of calcium from the sarcoplasmic reticulum in the skeletal muscle in response to halogenated inhaled anesthetics and depolarizing muscle relaxants (more commonly succinylcholine). A mutation in the ryanodine receptor gene has been found, and patients with central core disease (a myopathy resulting from a mutation in the ryanodine receptor gene) are at increased risk of malignant hyperthermia. Malignant hyperthermia presents with an initial rise in the end- tidal partial pressure of carbon dioxide (PCO2) during anesthesia, muscle rigidity, increased body temperature, altered consciousness, and autonomic instability. Rhabdomyolysis occurs, leading to myoglobinuric renal failure. In patients developing malignant hyperthermia, the culprit anesthetics should be stopped and alternative anesthetics not associated with malignant hyperthermia should be used instead, ventilatory support and oxygenation should be optimized, intravenous fluids should be increased, and physical measures to reduce the temperature should be attempted. Dantrolene is a specific treatment that blocks release of calcium from the sarcoplasmic reticulum and should be administered early on. \*Vs NMS, treatment with dantrolene and bromocriptine
335
ICH score
ICH score is the sum of points in five variables: Glasgow Coma Scale (2 points for GCS 3–4, 1 point for GCS 5–12, 0 points for GCS 13–15), ICH volume (1 point if ≥30 cc), Intraventricular hemorrhage (1 point), Infratentorial origin of the hemorrhage (1point), Age (1 point for ≥80 years of age). In the study performed to define the ICH score, this grading scale was an accurate predictor of 30-day mortality, and each additional point was associated with increase in 30-day mortality. No patient with ICH score of 0 died, and all patients with an ICH score of 5 died. In this study, there was no patient with an ICH score of 6
336
Precedex
Dexmedetomidine is an alpha-2 receptor agonist which causes sedation, amnesia, and mild analgesia without respiratory depression. This medication causes sedation, however, patients can be aroused without the need for discontinuation of drug infusion, and after arousal, patients can be allowed to return to the prior level of sedation. Therefore this medication can be helpful in the treatment of delirium and during the transition from mechanical ventilation to spontaneous breathing. This medication can cause bradycardia and hypotension.
337
Propofol
Propofol is a strong sedative that also has amnestic effects without analgesia. It binds to GABA receptors and is very lipophilic. This medication has a rapid onset of action over a couple of minutes, with short-lived sedation effect, allowing arousal within 10 to 15 minutes of stopping the infusion. This is very helpful in neurocritical care patients in whom frequent neurologic examination is required. Propofol causes hypotension and respiratory depression. Propofol infusion syndrome occurs in cases of prolonged use of high doses of propofol, and characterized by bradycardia, rhabdomyolysis, renal failure, and lactic acidosis.
338
Benzodiazepines
Lorazepam is a benzodiazepine with rapid onset of action (in status epilepticus onset of action is within 2 minutes, and effect can last 12 hours). The onset of action for sedation is approximately 15–20 minutes with a duration of 2 to 6 hours. Benzodiazepines such as lorazepam are the first-line drugs in the treatment of status epilepticus. Benzodiazepines are sedatives with amnestic properties, which is helpful in the setting of periprocedural sedation. These medications have anticonvulsant effects and are useful in the treatment of drug withdrawal syndromes.
339
Midazolam
Midazolam is a rapid onset and short-acting benzodiazepine, causing sedation within 2 minutes, and lasting 1 to 2 hours.
340
Midazolam
Midazolam is a rapid onset and short-acting benzodiazepine, causing sedation within 2 minutes, and lasting 1 to 2 hours.
341
Vasogenic edema
Extracellular edema. Blood-brain barrier damage: brain tumor
342
Cytotoxic edema
Intracellular edema, associated with cellular membrane damage: ischemia
343
Plateau waves or Lundberg A waves
Increased ICP
344
Crescentic hematoma
Subdural hematoma, rupture of bridging veins
345
Angular acceleration and shear injury
DAI
346
CSF with xanthochronia
SAH
347
Neurological worsening in SAH with secured aneurysm, between 3-15 days
Suspect vasospasm
348
Neurological worsening in SAH with unsecured aneurysm
Suspect rebreeding
349
Hydrocephalus and intraventricular hemorrhage
Consider EVD if ICP needs to be mounted or treated
350
Pinpoint pupils, apneustic breathing pattern
Pontine lesion
351
Ataxic breathing pattern
Medullary lesion
352
Decorticate posturing
Lesion above the red nucleus in the midbrain
353
Decerebrate posturing
Lesion between the red nucleus and the vestibular nucleus
354
Petechial hemorrhages in the brain after trauma with brain fractures
Consider fat embolism
355
Brain injury and aniscoria
Consider uncal herniation
356
Stupor
357
Coma
358
Locked-in state
359
Unresponsive wakefulness
360
Delirium