Study deck (25.2, 24, 23, 22, 21) Flashcards

(1311 cards)

1
Q

**

22.2 Non-anaesthetist practitioners wishing to provide procedural sedation should have training in sedation and/or anaesthesia for a minimum of

a) 6 weeks
b) 3 months
c) 6 months
d) 12 months

A

b) 3 months

ANZCA PS09 2014

NB: PG09 was updated in 2022 and no longer states a minimum timeframe, so this is unlikley to return as an MCQ

How well did you know this?
1
Not at all
2
3
4
5
Perfectly
2
Q

22.2 A woman experiences a postpartum haemorrhage associated with uterine atony that is unresponsive to oxytocin and ergometrine. The recommended intramuscular dose of carboprost (15-methyl prostaglandin F2 alpha) to be administered is

a) 250mcg IM once
b) 250mcg IM q15mins, up to 2mg
c) 500mcg IM
d) 250mcg IV
e) 500mcg IV

A

b) 250mcg IM q15mins, up to 2mg

Carpoprost 250mcg IM
Repeat every 15-90min as required

Carboprost IM 250mg q15min up to 2mg

1) Oxytocin 5 unit bolus (AUS guideline, internationally 1 unit elective, 3 unit emergent CS) then 5-10units/hr (elective-emergent), or carbetocin 100mg over 30 sec
2) Ergometrine 250mcmg IM q5min up to 1mg
2) Misoprostal 500mcg PR q15min up to 1mg
2) Carboprost 250mcg q15min up to 1mg

PPH pharm and 5 T’s

QLD maternity guidelines

How well did you know this?
1
Not at all
2
3
4
5
Perfectly
3
Q

22.2 A 25-year-old male has continued postoperative bleeding after an extraction of an impacted third molar tooth under a general anaesthetic. The patient mentions that his father bruises quite easily. His coagulation screen reveals: (provided). The most likely diagnosis is
(APTT raised, PT normal?)

a. Factor V leiden
b. haemophilia A
C. Von willebrand’s disease
D. Haemophilia B

A

b. von willebrand’s disease

  • autosomal dominant inheritance
  • may have normal or prolonged APTT, PT is normal

*Haem A: X-linked recessive disorder; would expect prolonged aPTT, and normal PT
*Haem B: X-linked recessive disorder; would expect normal aPTT and normal PT

REPEAT

vWD can have prolonged APTT or normal APTT. Haemophilias are X-linked

How well did you know this?
1
Not at all
2
3
4
5
Perfectly
4
Q

22.2 The nerve labelled by the arrow marked H in the diagram is the

  1. Ulnar Nerve
  2. Axillary Nerve
  3. Median Nerve
  4. Medial Cutaneous nerve of the forearm
  5. Long Thoracic Nerve
  6. Dorsal Scapular Nerve
  7. Radial Nerve
  8. Suprascapular nerve
  9. Musculocutaneous Nerve
A
  1. Median Nerve
How well did you know this?
1
Not at all
2
3
4
5
Perfectly
5
Q

22.2 Adverse effects of the use of sodium-glucose co-transporter 2 inhibitors in the perioperative period do NOT include

a) UTI
b) Hyperglycaemic DKA
c) Hypovolaemia
d) Hypercalcaemia

A

D) Hypercalcaemia

SGLT2 inhibitors are relatively new and have several side effects that warrant caution, including the unique risks of diabetic ketoacidosis (DKA), mycotic genital infections and possibly lower limb amputations. Also polyuria, volume depletion, hypoT

Hypoglycaemia
As the glucose-lowering mechanism of SGLT2 inhibitors is glycaemia-dependent, hypoglycaemia risk is low. However, hypoglycaemia may occur when SGLT2 inhibitors are used in conjunction with sulphonylurea or insulin therapy.

https://www1.racgp.org.au/ajgp/2021/april/use-of-sodium-glucose-co-transporter-2-inhibitors#:~:text=Safety%20and%20tolerability,and%20possibly%20lower%20limb%20amputations.

How well did you know this?
1
Not at all
2
3
4
5
Perfectly
6
Q

22.2 A drug that is contraindicated for a patient with a history of heparin-induced thrombocytopaenia is

a) Bivalirudin
b) Danaparoid
c) Prothrombinex
d) Fib conc

A

c) Prothrombinex

Prothrombinex - contains heparin and can cause HITS
Bivalirudin - can be used in treatment of HITS
3 anticoagulants not contraindicated - Danaparoid, Lepirudin, Argatroban

Fibrinogen concentrate just has fibrinogen (LITFL)

Has factors 2, 9, 10, heparin, ATIII

How well did you know this?
1
Not at all
2
3
4
5
Perfectly
7
Q

22.2 The nerve labelled by the arrow marked F in the diagram is the

  1. Ulnar Nerve
  2. Axillary Nerve
  3. Median Nerve
  4. Medial Cutaneous nerve of the forearm
  5. Long Thoracic Nerve
  6. Dorsal Scapular Nerve
  7. Radial Nerve
  8. Suprascapular nerve
  9. Musculocutaneous Nerve
A
  1. Axillary Nerve
How well did you know this?
1
Not at all
2
3
4
5
Perfectly
8
Q

22.2 The antiemetic that interferes with the effectiveness of oral hormonal contraception is
a) Aprepitant
b) Ondansetron
c) Metoclopramide

A

Apprepitant - 28 days

Aprepitant PI:
“Alternative or “back-up” measures of contraception should be used during treatment with this medicine and for one month following the last dose of this medicine.”

Pharmacokinetics:
- aprepitant is a CYP3A4 inhibitor
- caution is also advised with warfarin and phenytoin use

How well did you know this?
1
Not at all
2
3
4
5
Perfectly
9
Q

22.2 During an infraclavicular approach to the brachial plexus, the tip of the needle is positioned closest to the
a. roots
b. trunks
c. divisions
d. cords
e. branches

A

d. cords

Cords

Axillary artery? - want LA posterior to axillary artery
- takes 30 mins to work
Posterior cord listed by Lilly

Supraclav > Infraclav > axillary in terms of success AND complication rate (pneumothorax 5-0-0%, phrenic nerve palsy 50-25-0%)
- Supraclav between subclavian artery and first rib
- Axillary block is around axillary artery; need separate injection around musculocutaneous nerve

How well did you know this?
1
Not at all
2
3
4
5
Perfectly
10
Q

22.2 A 72-year-old patient is undergoing resection of an anterior skull based tumour using a combined endoscopic and frontal craniotomy approach. Seven hours into the procedure she has a large diuresis of pale urine and you suspect she may have developed diabetes insipidus. The most appropriate test result to confirm your diagnosis in this setting is a

a. Low serum ADH levels
b. Sequentially increasing Na levels
c. Serum osmolality <260
d. Urine Na >40
e. Urine specific gravity > something

A

b. Sequentially increasing Na levels

Paired urine and serum osmolality (expect low and high respectively)
Low urine SG
Na levels sequentially increase

BJA dx = high urine output, hypernatraemia and low urine SG

Diabetes Insipidus/hypernatraemia

Rx = fluid balance correction (preferably PO free water, 2nd line IV dextrose) +/- DDAVP

How well did you know this?
1
Not at all
2
3
4
5
Perfectly
11
Q

22.2 A 54-year-old woman has a laryngeal mask airway (LMA) inserted for a surgical procedure. The following day she complains of tongue numbness and abnormal taste over the anterior two-thirds of the tongue. The most likely site of the nerve injury is the

a) Glossopharyngeal nerve
b) Lingual nerve
c) Facial nerve
d) Vagus nerve
e) Hypoglossal nerve

A

b) Lingual nerve

general sensation to the anterior two-thirds of the tongue is by innervation from the lingual nerve, a branch of the mandibular branch of the trigeminal nerve (CN V3)

Has fibres from both mandibular branch of CN V3 and CN VII

How well did you know this?
1
Not at all
2
3
4
5
Perfectly
12
Q

22.2 The modified Aldrete scoring system is used for determining the

a. Predicts difficulty of bag mask ventilation
b. Safety of day surgery
c. Discharge from recovery
d. Discharge from hospital

A

c. Discharge from recovery (PACU)
- Discharge from immediate recovery area to a ward or home

Aldrete score, which includes five elements (activity, respiration, circulation, consciousness, oxygen saturation) [16]. The Modified Aldrete system includes five additional elements that are particularly useful during the Phase II recovery period prior to discharge to home (dressing, pain, ambulation, feeding, urine output)

UTD

How well did you know this?
1
Not at all
2
3
4
5
Perfectly
13
Q

22.2 A 72-year-old woman on aspirin presents to her ophthalmologist for follow-up three days after you performed a transconjunctival peribulbar block for cataract surgery on her left eye. She complains of painless periorbital swelling, erythema, and mild chemosis which started the day after surgery but is improving. She had a peribulbar block three weeks ago for surgery on the other eye. The most likely diagnosis is

a. Retrobulbar bleeding?
b. Residual swelling from peribulbar block
c. Infection
d. hyalase reaction/allergy

A

D) hyalase reaction

How well did you know this?
1
Not at all
2
3
4
5
Perfectly
14
Q

22.2 A 47-year-old man is anaesthetised for an elective laparoscopic cholecystectomy. Three minutes after induction, he is noted to have a heart rate of 130 bpm and systolic blood pressure of 60 mmHg. The most appropriate initial dose of adrenaline is
a) 100mcg IM Adr
b) 200mcg IM Adr
c) 20mcg Adr IV
d) 100mcg Adr IV
e) 50mcg Adr IV

A

e) 50mcg Adr IV

ANZCA
Grade 1: no adrenaline required.
Grade 2: 10-20mcg IV adrenaline. Escalate to 50mcg if insufficient response to initial dose. Consider initial IM adrenaline as a safe and effective alternative.
Grade 3: 50-100mcg IV adrenaline. Escalate to 200mcg if insufficient response to initial dose.
Grade 4: As discussed earlier, in PEA arrest 1000mcg (1mg) IV adrenaline immediately and then repeated every 1-2 minutes. For shockable rhythms follow ALS guidelines.

ANZAAG use Ring and Mesmer scale for anaphylactic reactions as a base for classifying anaphylaxis grade (see image)

From sunny coast QH document
With PAGS ‘Life Threatening Anaphylaxis’ can be distinguished from
‘Moderate Anaphylaxis’ in an adult by the presence of any
one of these signs:
* systolic blood pressure of <60 mmHg
* life-threatening tachy- or bradyarrhythmia
* oxygen saturation <90%
* inspiratory pressures of >40 cmH2

Life-threatening anaphylaxis

How well did you know this?
1
Not at all
2
3
4
5
Perfectly
15
Q

22.2 A four-year-old boy is in refractory ventricular fibrillation. The recommended dose of amiodarone is

a) 40mg
b) 80mg
c) 120mg

A

80mg

According to:
ANZCOR Guideline 12.5 (Paediatric Advanced Life Support, 2021)
AHA Paediatric ALS Guidelines, 2020
Amiodarone dose (for shock-refractory VF/pulseless VT):
5 mg/kg IV/IO bolus, may be repeated twice (total up to 15 mg/kg) during arrest if VF/VT persists.
Each dose should be followed by a flush.
Can be diluted in 5% dextrose if given via peripheral line.
Maximum single dose: 300 mg.

For a 4-year-old, approximate weight = 16 kg (using APLS formula: 2 × age + 8).

16kg x 5mg/kg = 80mg

How well did you know this?
1
Not at all
2
3
4
5
Perfectly
16
Q

22.2 Large doses of sugammadex can potentially lead to
a) hypoglycaemia
b) hyperglycaemia
c) bradycardia
d) Prolonged QT

A

c) bradycardia

from PI

How well did you know this?
1
Not at all
2
3
4
5
Perfectly
17
Q

22.2 The nerve labelled by the arrow marked E in the diagram is the

  1. Ulnar Nerve
  2. Axillary Nerve
  3. Median Nerve
  4. Medial Cutaneous nerve of the forearm
  5. Long Thoracic Nerve
  6. Dorsal Scapular Nerve
  7. Radial Nerve
  8. Suprascapular nerve
  9. Musculocutaneous Nerve
A
  1. Musculocutaneous Nerve
How well did you know this?
1
Not at all
2
3
4
5
Perfectly
18
Q

22.2 You are involved in the care of a two-year-old child who has ingested a button battery in the last four hours. You would consider giving

a) Milk
b) Bicarbonate
c) Chewing gum
d) Activated charcoal
e) Sucralfate

A

e) Sucralfate
administration of two teaspoons (10 mL) of honey or sucralfate at 10-minute intervals (up to six doses) if fewer than 12 hours have passed since ingestion; this may reduce severity of injury. Sucralfate in Australia is currently available as a tablet form only. It can be crushed with 10–20 mL of water for 1–2 minutes to be dispersed and is preferred for children aged <12 months as honey can carry the risk of botulism

https://www1.racgp.org.au/ajgp/2022/july/button-battery-injury

How well did you know this?
1
Not at all
2
3
4
5
Perfectly
19
Q

22.2 A patient presents with sepsis-induced hypoperfusion or septic shock. The minimum suggested volume of intravenous crystalloid to be administered over the first three hours as outlined in the Surviving Sepsis Guideline is

a) 10ml/kg
b) 20ml/kg
c) 30ml/kg
d) 40ml/kg
e) 50ml/kg

A

30ml/kg

For patients with sepsis-induced hypoperfusion or septic shock, we suggest that at least 30 mL/kg of IV crystalloid fluid be given within the first 3 hours of resuscitation.
Quality of evidence: Low

How well did you know this?
1
Not at all
2
3
4
5
Perfectly
20
Q

22.2 Of the following, all are useful for the treatment of status epilepticus EXCEPT

a. Calcium
b. isoflurane
c. ketamine
d. propofol
e. phenytoin

A

a. Calcium
(unless hyppocalcaemia is causing your seizures)

Deranged Physiology:
First line agents
- Benzodiazepines: boluses every 2-5 minutes
- Phenytoin: 20mg/kg loading dose
Phenytoin on its own is useless. Or rather, it is inferior to benzodiazepines as a solitary agent. Always, both must be used simultaneously.

Second line agents
- Midazolam infusion
- Phenytoin (well, rather, the American study recommends fosphenytoin)
- Phenobarbital and levetiracetam are also in this second line of attack

Third line agents: for refractory status epilepticus
- Propofol infusion, or midazolam infusion, or thiopentone infusion.
- At this stage, continuous EEG monitoring becomes mandatory
- The role of traditional antiepileptic drugs is also exhausted at this stage, as there will probably be no benefit from adding them into a situation where a constantly observed burst suppression is already achieved by high dose anaesthetic infusion.

Fourth line agents: for these, there is little evidence.
- Volatile anaesthetic agents
- Desflurane and Isoflurane
- Ketamine
- Lignocaine
- Magnesium
- Pyridoxine

Fifth line therapies:
- Hypothermia
- Ketogenic diet
- Deep brain stimulation
- Surgical management

How well did you know this?
1
Not at all
2
3
4
5
Perfectly
21
Q

22.2 The nerve labelled by the arrow marked A in the diagram is the

  1. Ulnar Nerve
  2. Axillary Nerve
  3. Median Nerve
  4. Medial Cutaneous nerve of the forearm
  5. Long Thoracic Nerve
  6. Dorsal Scapular Nerve
  7. Radial Nerve
  8. Suprascapular nerve
  9. Musculocutaneous Nerve
A
  1. Dorsal Scapular Nerve
How well did you know this?
1
Not at all
2
3
4
5
Perfectly
22
Q

22.2 A 25-year-old ASA (American Society of Anesthesiologists) physical status classification I patient develops seizures five minutes after receiving a brachial plexus block with ropivacaine. Of the following, the most suitable initial intravenous treatment is

A) Midazolam
B) phenytoin
C) levetiracetam
D propofol (has been thiopentone previously)
E) intralipid

A

A) Midazolam

Seizures:
1) benzos (drug of choice - small incremental so midaz 0.1mg/kg)
2) propofol/thiopentone (beware -ve intoropy)
3) NMB if seizures uncontrolled

https://anaesthetists.org/Portals/0/PDFs/Guidelines%20PDFs/Guideline_management_severe_local_anaesthetic_toxicity_v2_2010_final.pdf?ver=2018-07-11-163755-240&ver=2018-07-11-163755-240

How well did you know this?
1
Not at all
2
3
4
5
Perfectly
23
Q

22.2 A 45-year-old man is ventilated in the intensive care unit and is in a critical state. His pulmonary artery wedge pressure is 26 mmHg, cardiac index is 1.7 L/minute/m2 and his PaO2/FiO2 ratio is 200 mmHg. A decision is made to place him on extracorporeal membrane oxygenation. The most appropriate mode is

a) VV ECMO
b) VA ECMO
c) Atrio-aorto ECMO
d) Ventriculo-atrial ECMO

A

b) VA ECMO

Mild-mod ARDS + LV failure + poor CO
Reduced CI
https://academic.oup.com/bjaed/article/12/2/57/251128#2980949

Increase PAWP/PCWP (6-12mmHg) - estimates LA pressure. >18 suggests LH failure
Reduced CI (2.5-4.2L/min/m^2) -> suggests hypoperfusion
Low P/F ratio (400-500mmHg) - hypoxaemia (e.g ARDS if <300 mild, <200 = mod, <100 = severe)
Heart and lungs need support VA ECMO

PaO2/FiO2 ratio
Mild: 200-300 = mortality 27%
Moderate = 100-200 mortality 32%
Severe < 100 = Mortality 45%

Cardiac Index
Normal: 2.5-4.2l/min

PAWP:
Normal 4-12mmHg

CI is low, PaO2/FiO2 ratio is mild, PAWP is high

How well did you know this?
1
Not at all
2
3
4
5
Perfectly
24
Q

22.2 A patient is bleeding and her ROTEM displays a Fibtem A5 of 2 mm (normal > 4 mm). The most appropriate treatment is

a. FFP
b. fib conc
c. cryoprecipitate
d. TXA

A

b) fibrinogen concentrate

bleeding and low fib = concentrate
not bleding and low = cryo

Fibrinogen concentrate is small volume (~50–100 mL total) → safer in:

Massive transfusion
Cardiac surgery
Obstetric haemorrhage (risk of pulmonary oedema)
Cryoprecipitate involves multiple donor exposures (often pooled from 5–10 donors) →

Higher risk of transfusion reactions, TRALI, TACO, and infection transmission.

How well did you know this?
1
Not at all
2
3
4
5
Perfectly
25
22.2 The piece of airway equipment shown is a a. bullard laryngoscope b. CMAC video stylet c. lightwand d. flexible bougie
CMAC video stylet bullard laryngoscope - looks rigid torture device with a fibreoptic source lightwand - literally a light on a stylet for blind intubation Flexible bougie - the one Adrian showed me
26
22.2 The curve labelled ‘b’ is most likely to represent the flow–volume loop of a patient with (looked like a fixed obstruction but away from normal curve) a) Asthma b) Post lung transplant c) Pulmonary fibrosis d) Tracheal stenosis e) VC palsy
Tracheal stenosis ?post lung transplant - looks like obstructive pattern - degree of bronchial strictures, stenosis) - bronchial stenoses in lung transplant -> biconcave loop
27
22.2 You are performing femoral venous cannulation in an obese man under ultrasound guidance. The image quality is suboptimal as the vein is deep. The best way to improve the image quality is to a. Increase USS speed of transmission b. Decrease USS speed of transmission c. Use higher frequency probe d. Use lower frequency probe e. Increase wavelength
d. Use lower frequency probe low frequency/curvilinear probe low-frequency transducer used to scan deeper structures, however at expense of reduced image resolution Conduction velocity = frequency x wavelength ↑Frequency (=↓ wavelength) -> ↑resolution but ↓tissue penetration (from ↑attenuation)
28
22.2 Of the following, the procedure that is most commonly associated with chronic pain after surgery is a) Amputation b) Mastectomy c) Thoracotomy d) TKR e) Hernia repair
a) Amputation Top 10 Rank order: 1. Amputation 30-85% 2. Thoracotomy 5-67% 3. Mastectomy 11-57% 4. Inguinal hernia repair 0-63% 5. Sternotomy 28-56% 6. Cholecystectomy 3-56% 7. Knee arthroplasty 19-43% 8. Breast Augmentation 13-38% 9. Vasectomy 0-37% 10. Radical prostatectomy 35%
29
22.2 Suxamethonium may be safely given to patients with (list of neuromuscular diseases given) a. Becker muscular dystrophy b. Myaesthenia gravis (new option) c. Guillain Barre d. Hypokalaemic periodic paralysis (new option) e. Duchenne muscular dystrophy
b. Myaesthenia gravis In contrast to other neuromuscular disorders, succinylcholine may be used in myasthenia gravis. The required dose may need to be increased by up to two-fold, as those with the disease show a relative resistance to the drug. Sux is not recommended in patients with neuromuscular disease due to: 1. presence of extrajunctional receptors and risk of hyperkalaemia and rhabodmyolysis 2. fasiculations causing temperomandibular muscle spasm preventing intubation | ED95 is 0.8mg/kg in a MG patient
30
22.2 A patient with an acute subarachnoid haemorrhage arrives in the emergency department. Her Glasgow Coma Scale score is 10 and she has no motor deficit. A CT brain shows diffuse subarachnoid haemorrhage with no localised areas of blood > 1 mm thick, and no intracerebral nor intraventricular blood. Her World Federation of Neurosurgical Societies (WFNS) grade of subarachnoid haemorrhage is a) 1 b) 2 c) 3 d) 4 e) 5
d) 4 - WFNS is 4 * alternatively her Fisher score is: grade 2 (​diffuse thin (<1 mm) SAH, no clots; which estimates an incidence of symptomatic vasospasm of 25%) Note the new modified Fischer scale. G0 No SAH or IVH (0%) G1 Focal or diffuse thin SAH but no IVH (6-24%) G2 Focal or diffuse thin SAH with IVH (15-33%) G3 Thick SAH no IVH (33-35%) G4 Thicc SAH with IVH (34-40%) The main differences between the Fisher scale and modified Fisher scale are: 1) Fisher scale, no SAH is grade 1, but 0 in modified Fisher scale 2) Fisher scale, thin SAH & no IVH is grade 2, but 1 in modified Fisher scale 3) Fisher scale, thick SAH with no IVH is grade 3 and the same 3 in modified Fisher scale 4) Fisher scale, any IVH is grade 4, irrespective of the presence of SAH but in modified Fisher scale it is either 2 if thin or no SAH, or grade 4 if thick SAH | GCS 7-12
31
22.2 A 60-year-old man remains unconscious after an isolated head injury. The systolic blood pressure (in mmHg) should be kept above a) 90 b) 100 c) 110 d) 120 e) 140
b) 100 Brain trauma foundation Level III recommendation. To decrease mortality and improve outcomes: Maintain SBP at >100mmHg for patients 50 - 69 Maintain SBP at >110 for patients 15 - 49 Maintain SBP at >110 for patients 70 or older
32
22.2 Which is least likely to cause inaccuracies in pulse oximetry a) Anaemia b) Vasoconstriction c) AF d) Methaemoglobin e) Carboxyhaemoglobin
Anaemia Causes of inaccuracies: - nail polish - Indocyanin green - AF - Methaemoglobin etc
33
22.2 AFE incidence highest in a) b) LSCS c) Instrumental delivery d) Preeclampsia e)
LUCS
34
22.2 A 56-year-old patient presents with exertional syncope. The most likely diagnosis is (previously this was a 26yo) a) HOCM b) Aortic stenosis c) Long QT syndrome
Ans: B) AS - particularly with bicsupid valve is more prevalent than HOCM and presents in this age group MOST COMMON unknown 39% aha has a table of prevalence for syncope arrhythmias and vasovagal 14% orthostatic hypotension 11% - neurological being the main (7%; meds 3% psychiatric 1%) others (carotid sinus syncope, hypoglycemia, hyperventilation) situation and organic heart disease 3% for exersional syncope Syncope after exercise may be due to left ventricular outflow tract obstruction from aortic stenosis or hypertrophic obstructive cardiomyopathy but can also suggest the diagnosis of postexercise hypotension in which an abnormality in autonomic regulation of vascular tone or heart rate results in vasodilation or bradycardia after moderate-intensity aerobic activity. | https://www.ahajournals.org/doi/full/10.1161/01.CIR.0000031168.96232.BA#
35
22.2 The normal axial length of the globe of an adult eye is a. 20mm b. 23mm c. 26mm d. 29mm e. 32mm
23mm mean adult value 22-25mm mean newborn 16-18mm tends to grow up to 16-18yo
36
22.2 Cyclooxygenase type 2 inhibitors (COX-2) in pregnancy are considered a. Not safe b. safe c. safe only in 1st trimester d. safe only in 1st and 3rd trimester e. not safe for 3rd trimester and 48 hours post delivery
Ans: C While relatively safe in early and mid pregnancy, NSAIDs can precipitate fetal cardiac and renal complications in late pregnancy, as well as interfere with fetal brain development and the production of amniotic fluid; they should be discontinued in gestational wk 32 APMSE
37
22.2 Predictors of difficult sedation (agitation or inability to complete the procedure) of patients undergoing gastroscopy do NOT include
Unknown options but… Factors associated WITH difficulty during Gastroscopy were younger age, procedure indication, male sex, presence of a trainee, psychiatric history and benzodiazepine and opioid use. Factors associated with difficulty during COLONOSCOPY were younger age, female sex, BMI <25, procedure indication, tobacco, benzodiazepine, opioid and other psychoactive medication use
38
22.2 You are reviewing a primigravida at 32 weeks gestation with a Fontan circulation in the anaesthetic preassessment clinic. Peripartum care should avoid the use of a. Terbutaline b. Nitrous oxide c. Ergometrine d. Lignocaine 2% with adrenaline 1:200 000 e.
Ergometrin increases PVR and SVR
39
22.2 The nerve labelled by the arrow marked J in the diagram is the 1. Ulnar Nerve 2. Axillary Nerve 3. Median Nerve 4. Medial Cutaneous nerve of the forearm 5. Long Thoracic Nerve 6. Dorsal Scapular Nerve 7. Radial Nerve 8. Suprascapular nerve 9. Musculocutaneous Nerve
4. Medial Cutaneous nerve of the forearm
40
22.2 The smallest recommended endotracheal tube that should be railroaded over an Aintree catheter has an internal diameter of a) 4.0 mm b) 5.0 mm c) 6.0 mm c) 7.0 mm e) 8.0mm
c) 7.0 mm Aintree - OD 19Fr = 19/3 = 6.33mm OD ID - 4.7mm - largest FOB = 4.2mm (paediatric fibreoptic bronchoscope) length 56cm Manufacture recommend smallest ETT to be 7.0mm https://www.cookmedical.com/products/cc_caeaic_webds/ In practice you can probably get away with 6.5mm
41
22.2 You are giving IPPV via a mapleson D (bain) circuit. Minimum FGF to maintain normocapnia is a) 50ml/kg/min b) 70ml/kg/min c) 100ml/kg/min d) 150ml/kg/min e) 200ml/kg/min
70-80ml/ kg/ min Controlled ventilation https://www.frca.co.uk/article.aspx?articleid=100141 A fresh gas flow of only 70 ml/kg is required to produce normocarbia. Bain and Spoerel have recommended the following: 2 L/min fresh gas flow in patients <10 kg 3.5 L/min fresh gas flow in patients 10-50 kg 70 ml/kg fresh gas flow in patients >60 kg The recommended tidal volume is 10 ml/kg and respiratory rate is 12-16 breaths/minute.
42
22.2 1 MAC of sevoflurane affects the sensory evoked potential signal for spinal surgery by a) increased latency, increased conduction speed, increased amplitude b) increased latency, decreased conduction speed, decreased amplitude c) other variations of above
Increased latency, decreased conduction speed, decreased amplitude
43
22.2 Based on this ECG tracing, the mode in which this pacemaker is operating is a) VAI with intermittent failure to capture b) AAI with intermittent failure to sense c) DDD d) VVI with intermittent failure to capture e) VVI with intermittent failure to sense
Ans: D - failure to capture. There are regular pacing spikes, but no regular broad QRS (i.e. capture). The pacing spikes are not happening in a repolarising segment, therefore this does not explain why there is no ventricular response. C will be the only one with atrial and ventricular pacing spikes B only other one with atrial pacing spikes but no ventricular A would have pacing spike before ventrilcle when no p-wave occurs + some normal p then QRS Failure to capture if there’s no P wave or QRS after an atrial or ventricular pacing spike Failure to sense – the spike is going off at the wrong time, might change morphology Spike on T-wave
44
22.2 You have diagnosed anaphylaxis in an eight-year-old girl having an appendicectomy. She weighs 20 kg and has refractory bronchospasm despite an adrenaline (epinephrine) infusion running at 15 mcg/min. The recommended initial dose of salbutamol (100 mcg/puff) via metered dose inhaler is a) 1 puff b) 3 puffs c) 6 puffs d) 10 puffs e) 12 puffs
E) 12 puffs 6puffs< 6yrs 12 puffs> 6 yrs Continue adrenaline 0.1-2 mcg/kg/min Magnesium 50mg/kg to max 2g over 20minutes Aminophylline 10mg/kg over 1hr (max 500mg) Hydrocortisone 2-4mg/kg (max 200mg)
45
22.2 For a skewed distribution of data the best measure of dispersion of data is the a) range b) mode c) standard deviation d) variance e) Interquartile Range f) median
e) Interquartile Range Unlike range and interquartile range, variance is a measure of dispersion that takes into account the spread of all data points in a data set. It’s the measure of dispersion the most often used, along with the standard deviation, which is simply the square root of the variance. The variance is mean squared difference between each data point and the centre of the distribution measured by the mean. Standard deviation (SD) is the most commonly used measure of dispersion. It is a measure of spread of data about the mean. SD is the square root of sum of squared deviation from the mean divided by the number of observations. The other advantage of SD is that along with mean it can be used to detect skewness. The disadvantage of SD is that it is an inappropriate measure of dispersion for skewed data. SD is used as a measure of dispersion when mean is used as measure of central tendency (ie, for symmetric numerical data). For ordinal data or skewed numerical data, median and interquartile range are used
46
22.2 A 21-year-old patient with a history of schizophrenia on quetiapine develops tremor, restlessness, hyperreflexia, nausea and vomiting in the post-anaesthesia care unit following an emergency laparoscopic cholecystectomy. Her heart rate is 80 / minute, blood pressure 130/90 mmHg, and her temperature is 37.0°C. The most likely diagnosis is a. MH b. NMS c. serotonin syndrome d. rhabdomyolysis e. anticholinergic crisis
Serotonin Syndrome Hyper reflexia Usually has hypertension and hyperthermia https://static1.squarespace.com/static/5e6d5df1ff954d5b7b139463/t/617242e2ab18df2dee31f417/1634878179720/ICU_one_pager_hyperthermic_toxidromes.png
47
22.2 During spinal surgery, the anaesthetic agent that is least likely to decrease motor evoked potentials is a Ketamine b Precedex c Propofol d Volatiles e Remifentanil
Ans: A) Ketamine A. Non-depolarising muscle relaxants - false - NMBDs abolish MEPs B. Nitrous oxide - false - N2O can completely abolish MEPs D. Propofol - false - PPF has less of an effect than volatiles, but still affects MEPs E. Volatiles - false - volatiles are the most likely NMBDs > volatiles > N2O > PPF > opioids Decrease MEP amplitude - volatiles, N2O, propofol, barbituates, high dose etomidate, dexmedetomidine at high doses, high dose benzo Increase MEP - low dose etomidate, low dose ketamine Minimal effect - low dose dexmedetomidine, opioids, lidocaine, low dose benzo https://www.uptodate.com/contents/neuromonitoring-in-surgery-and-anesthesia?search=SSEP&usage_type=default&source=search_result&selectedTitle=2~51&display_rank=2#H19658702 https://www.uptodate.com/contents/anesthesia-for-elective-spine-surgery-in-adults While neurologic injury can cause changes in recorded potentials, other factors can interfere with interpretation. Confounding factors that can occur during surgery include inhalational anesthetics, hypothermia, hypotension, hypoxia, anemia, and preexisting neurologic lesions. Inhaled anesthetics such as isoflurane, sevoflurane, and nitrous oxide can reduce the amplitude and prolong the latency of SSEP and can completely abolish MEP. Neuromuscular blocking agents (NMBAs) also abolish motor evoked potentials and cannot be used when monitoring. Intravenous anesthetics such as propofol, barbiturates, and opioids have less of an effect on monitoring, though very deep anesthesia, even with propofol, can affect waveforms. https://www.uptodate.com/contents/neuromonitoring-in-surgery-and-anesthesia Evoked potentials — Evoked potential monitoring is used to assess the integrity of the tested neural pathway. Somatosensory, visual, and brainstem auditory evoked potentials monitor neurologic structures between peripheral sites where specific stimulations are applied, and responses are recorded from central locations. Motor evoked potentials monitor such structures by stimulating the motor cortex and recording from the epidural space (D-wave) or, more commonly, from distal muscles. Changes in evoked responses can result from technical, positional, pharmacologic, physiologic, or surgical causes. For spine surgery, both MEPs and SSEPs are used to monitor spinal cord function to increase sensitivity. Motor and sensory tracts are anatomically distinct and have different vascular supply in areas of the cortex, brainstem, and spinal cord. Motor evoked potentials (MEPs) – MEP responses are affected by even very low concentrations of volatile anesthetic agents. In general, total intravenous anesthesia (TIVA) facilitates MEP monitoring. However, inhalation agents at 0.5 MAC or less can be used in many patients, especially during intracranial surgery Opioids – IV opioids cause small, dose-dependent depression of SSEP and MEP responses, though even at very high doses of opioids, evoked potentials can be recorded [76-78]. Infusions of remifentanil, fentanyl, or sufentanil are commonly used as part of TIVA during neuromonitoring. Opioids tend to produce high-amplitude slow waves in the EEG. Balanced anesthetic approach — When SSEPs and MEPs are monitored, a balanced anesthetic using both a low-dose inhalation anesthetic (up to 0.5-MAC isoflurane, sevoflurane, or desflurane) and low- to medium-dose propofol (eg, propofol, 40 to 75 mcg/kg/min IV) with a relatively high-dose opioid (eg, remifentanil 0.1 to 0.4 mcg/kg/min) offers several advantages: ●Movement with motor stimulation is reduced, which is particularly important during intracranial aneurysm surgery. ●The addition of a 0.3 to 0.5 MAC inhalation agent may reduce the chance of awareness under anesthesia. ●Compared with TIVA, the addition of a 0.5 MAC inhalation agent allows reduction of the dose of propofol infusion, facilitating more rapid wakeup and earlier neurologic examination. ●Compared with TIVA, the chance of accidental interruption of the anesthetic for mechanical reasons (ie, kinked or infiltrated IV catheter or tubing such that IV agents no longer infuse) is reduced.
48
22.2 The nerve labelled by the arrow marked G in the diagram is the 1. Ulnar Nerve 2. Axillary Nerve 3. Median Nerve 4. Medial Cutaneous nerve of the forearm 5. Long Thoracic Nerve 6. Dorsal Scapular Nerve 7. Radial Nerve 8. Suprascapular nerve 9. Musculocutaneous Nerve
7. Radial Nerve
49
22.2 Drug classes demonstrated to reduce mortality in chronic heart failure with reduced ejection fraction include all of the following EXCEPT A. ACE inhibitors B. Beta blockers C. Angiotensin receptor blockers D. Spironolactone E. Digoxin
Digoxin
50
22.2 This ultrasound image is acquired in preparation for a thoracic erector spinae plane block. The structure indicated by the arrow is the
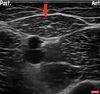
51
22.2 Anterior spinal artery syndrome would NOT result in a. Motor b. Proprioception c. Pain sensation d. Temperature
B) Proprioception b - posterior columns (proprioception/vibraion/fine touch not affected) Anterior spinal artery syndrome - injury to anterior 2/3 of spinal cord - loss of bilateral motor function, pain and temperature sensation below level of injury. Preserved proprioception and light touch Brown Sequard - lateral damage to the cord with ipsilateral loss of motor function, proprioception, light touch and contralateral loss of pain and temperature below level of injury Central cord syndrome - secondary to haemorrhage, ischaemia or oedema of central grey matter. Commonly in cervical region. Disproportionately greater impairment of motor function in the upper vs lower extremeties, with bladder dysfunction and variable degree of sensory loss below level of injury. Posterior cord syndrome -injury to post 1/3 of spinal cord - loss of light touch and proprioception OHA (5th) p305
52
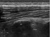
22.2 This lung ultrasound image is consistent with a. pulmonary oedema b. pneumonia c. pneumothorax d. pleural effusion e. Normal lung
c. pneumothorax
53
22.2 A 50-year-old man is admitted with a stroke and undergoes cerebral angiography. The artery marked on angiography with the arrow is the (left AICA)
Repeat
54
22.2 A patient has return of spontaneous circulation (ROSC) but remains unresponsive after cardiac arrest. ANZCOR Guidelines recommend all the following measures EXCEPT a) Titrating FiO2 for SpO2 94-98% b) Treating hyperglycaemia >10mmol/L c) Targeted temp management at 32-36 degrees d) Maintaining MAP >70
Both C) and D) Guidelines changed in 2023 (ie this is an old question). Now C and D are wrong. Term used now is "temperature control" which means don't actively warm, and cool if >37.5. MAP target is at least 60-65mmHg or systolic >100mmHg ANZCOR give specific targets for SpO2 (94-98%), Hyperglycaemia (treat>10mmol/L). Temp: unclear if 32-34 degrees beneficial. Prevent hyperthermia - don't cool immediately; can lower up to 1.5 degrees BP: Suggest target mAP >60-65, or sBP >100 in arrest CO2: Normocapnoea https://www.resus.org.nz/assets/Uploads/ANZCOR-Guideline-11.7-Jan16.pdf
55
22.2 You have been managing a case of malignant hyperthermia in an 80 kg man and have given a total of 400 mg of dantrolene (Dantrium). The amount of mannitol you have also administered is a. None b. 1.6g c. 12g d. 40g e. 60g
e. 60g Each 20mg dantrolene contains 3g mannitol
56
22.2 A woman is diagnosed with preeclampsia and fetal growth restriction at 30 weeks gestation. Her haemodynamics are most likely to show a) Increased CO, Decreased SVR b) Decreased CO, Decreased SVR c) Decreased CO, Increased SVR d) No change CO, Increased SVR
c) Decreased CO, Increased SVR It is plausible that a case of pre-eclampsia that occurs earlier in gestation and is associated with fetal growth restriction is related to low cardiac output and high peripheral vascular resistance with a much similar profile as observed in women with fetal growth restriction without HDP. In cases of later and term gestation pre-eclampsia, babies tend to be larger and there is a predominantly high cardiac output, low peripheral vascular resistance and raised intravascular volume state. Certainly, the clinical phenotype of a very ‘dry’, intravascularly depleted woman at 26 weeks with a growth restricted baby and conversely of a well-perfused oedematous woman with a bounding pulse and large baby at 38 weeks rings true: both have hypertension, but the mechanisms may be diametrically opposite. https://www.ncbi.nlm.nih.gov/pmc/articles/PMC5569150/ Our findings of a relatively hypodynamic circulation with a lower CO and higher TPR in women who develop preeclampsia/FGR lend credence to reports of hemodynamic dysfunction observed in the subclinical and clinical stage of preeclampsia and FGR. https://www.ahajournals.org/doi/full/10.1161/HYPERTENSIONAHA.118.11092#d1e1667
57
22.2 A 6-year-old patient (140 cm, 24 kg, BSA 0.97m2) is on hydrocortisone 15 mg/day. Perioperative glucocorticoid supplementation is (considered if) A. Taking >1week B. Taking >1 month C. Taking >2 months D. Taking >4 months
B) Taking > 1 month Duration: >3–4 weeks of therapy is generally sufficient to suppress the axis. Shorter courses (<1–2 weeks) do not cause suppression. Dose threshold (in children): Approx. ≥10 mg/m²/day of hydrocortisone equivalent for >1 month is enough to risk suppression. The child in the question is receiving 15 mg/day ÷ 0.97 m² ≈ 15 mg/m²/day, i.e. physiologic replacement range, not supraphysiologic — but still, >1 month duration triggers the need to consider stress dosing. Steroid potency equivalence: 15 mg hydrocortisone ≈ 3.75 mg prednisolone ≈ 0.75 mg dexamethasone. Perioperative supplementation (“stress dosing”) When to consider: Any patient with potential HPA suppression (i.e. corticosteroid use >1 month) facing moderate or major surgical stress. Elective surgery requiring general anaesthesia is a typical trigger for supplementation. When not required: <3 weeks of therapy Alternate-day dosing Low-dose topical or inhaled steroids only Low-dose physiological replacement in known Addison’s (these are continued, not doubled). https://associationofanaesthetists-publications.onlinelibrary.wiley.com/doi/full/10.1111/anae.14963 Daily doses of prednisolone of 5 mg or greater in adults and 10–15 mg.m−2 hydrocortisone equivalent or greater in children may result in hypothalamo–pituitary–adrenal axis suppression if administered for 1 month or more by oral, inhaled, intranasal, intra-articular or topical routes; this chronic administration of glucocorticoids is the most common cause of secondary adrenal suppression, sometimes referred to as tertiary adrenal insufficiency All children who have known glucocorticoid deficiency (primary or secondary), or who are at risk of glucocorticoid deficiency (on significant exogenous dose of glucocorticoid >10–15 mg.m-2 per day) 38, should receive an i.v. dose of hydrocortisone at induction (2 mg.kg−1 for minor or major surgery under general anaesthesia).
58
22.2 Recirculation is a cannula position complication specific to the use of a) ECCO2R b) VV ECMO c) VA ECMO d) dialysis e) AV ECVO
b) VV ECMO VV ECMO Disadvantages - no cardiac support - local recirculation though oxygenator at high flows - reverse gas exchange in lung if FiO2 low - limited power to create high systemic arterial oxygen tension
59
22.2 A 50-year-old man has the following pulmonary function test result: (provided). The most consistent diagnosis is FEV1 68%, FVC 68%, DLCO 91% a. Pulmonary hypertension b. pulmonary fibrosis c. myasthenia gravis d. sarcoidosis
c. myasthenia gravis a) Pul HTN: ↓DLCO (<0.8 predicted); FEV1:FVC often normal (<0.7) b) IPF: ↓DLCO, ↓FVC, normal/high FEV1:FVC (restrictive) c) MG: ↓FEV1, ↓FVC, normal FEV1:FVC. Normal DLCO d) Obesity: mild ↓FVC, normal/high FEV1:FVC, normal/high DLCO e) Sarcoidosis: ↓DLCO, restrictive pattern (sometimes obstructive or mixed) DLCO decreased in pulmonary HTN, IPF, sarcoidosis.
60
22.2 A thoracic regional technique that will NOT provide analgesia for sternal fractures is a a. PECS I b. PECS II c. Parasternal intercostal nerve block? d. Transfascial muscle block (can't remember wording) e. transverse thoracic plane block
A. PECS I (PECS II Covers SA and will extend to the sternum) - between pecs major and pecs minor - blocks lateral and medial pectoral nerves Stenum innervated by interocostal nerves. All 3 options belwo can be used for sternal fracture PECS 2 - between pecs minor and serratous ant - blocks intercostal brachial, long throacic, intercostal III - VI nerve Subpectoral interfascial plane block - between pec major and interocstal Transverus thoracic plane block = parasternal plane block
61
22.2 For a 70-year-old patient on rivaroxaban with normal renal function a major guideline recommends proceeding with hip fracture surgery after two half-lives of the drug. This equates to a. 12 hours b. 24 hours c. 48 hours d. 72 hours e.
b. 24 hours ASA guidelines -If creatinine clearance >=30 ml.min-1 (Cockcroft-Gault), proceed with surgery after two half lives (24 h) since the last dose, under general anaesthesia (or spinal anaesthesia if indicated) - If creatinine clearance < 30 ml.min-1, proceed with surgery after four half lives (48 h) since the last dose, under general anaesthesia (or spinal anaesthesia if indicated)
62
22.2 A patient in ICU 1 hour post CABG is in VF. What is the least suitable management a) Atropine b) Adrenaline c) d) Amiodarone e) 3 stacked shocks
Atropine Reduce dose adrenaline with senior clinician advice ANZ CALS guideline
63
22.2 An analgesic which is a category A drug using the Australian and New Zealand categories for prescribing medicines in pregnancy is a. codeine b. morphine c. fentanyl d. tramadol e. oxycodone
A codeine Oxycodone B Morphine C Tramadol C Fentanyl C
64
22.2 An absolute contraindication to transoesophageal echocardiography is A. Dysphagia B. GORD C. Oesophageal stricture D. oesophageal webbing E. oesophageal varices
C. Oesophageal stricture "4 conditions that are absolute contraindications: esophageal stricture, tracheoesophageal fistula, post esophageal surgery, and esophageal trauma 2010 guidelines ## Footnote https://www.asecho.org/wp-content/uploads/2014/05/2013_Performing-Comprehensive-TEE.pdf
65
22.2 A patient with acute right heart failure secondary to acute myocardial infarction is likely to have a/an a. Increased PA pulsatility index b. Increased tricuspid annular plane systolic excursion c. Decreased PAP d. Raised JVP E. Decreased PA pulsatility index
Ans: E decreased PA pulsatility index You will get a raised JVP but the question seems to be asking about PA catheter investigation. Low PA pulsatility is specific to right sided infarct PAPi goes down in acute RVF - actually designed to prognosticate in acute MI https://www.ahajournals.org/doi/10.1161/CIRCHEARTFAILURE.121.009085#:~:text=The%20pulmonary%20artery%20pulsatility%20index,left%20ventricular%20assist%20device%20implantation.
66
22.2 The image below shows a normal central venous pressure (CVP) trace on the left. The CVP trace shown on the right is most consistent with (actual image on exam! found on deranged physiology) a. Cardiac tamponade b. Constrictive pericarditis c. Restrictive cardiomyopathy d. Tricuspid regurg e. Complete heart block
A . Cardiac tamponade Deranged physiology In summary The CVP is raised All CVP waveform components are elevated a and v waves are tall x descent is steep y descent is (usually) absent ----- Normal CVP trace a wave: atrial contraction c wave: tricuspid bulge during ventricular systole x descent: atrial relaxation v wave: atrial filling y descent: tricuspid opening and early ventricular filling Loss of a-wave = AFib Cannon a-waves 1) Retrograde conduction of ventricular depol - VTach - Ventricular pacing - Junctional rhythm 2) Asynchronous atrial activity - complete HB - accidental reversing of pacing wires Prominent a wave w/ attenuated y wave (lower amplitude, longer duration) - tricuspid stenosis - reduced RV compliance: pulmonary stenosis or pulmonary HTN Cannon waves - fused C &V waves = tricuspid regurg (prior MCQ) Bifid CVP (x and y descent steep and abrupt) = pericardial constriction CVP raised, x descent steep but absent y = tamponade
67
22.2 Created by the Global Initiative for Chronic Obstructive Lung Disease (GOLD 2017), the numerical GOLD classes 1 to 4 are classes of severity for chronic obstructive pulmonary disease (COPD). These classes are based on an assessment of the A. Exertional dyspnoea B. Exertional dyspnoea and FEV1 C. Exertional dyspnoea and number of exacerbations per year D. Spirometry FEV1 only E. Number of exacerbations per year only
ALTERED 22.1 QUESTION D Spirometry FEV1 only GOLD 1 > 80% Pred GOLD 2 50-79% Pred GOLD 3 30-49% Pred GOLD 4 < 30% Pred
68
22.2 An open Ivor-Lewis oesophagectomy is performed via a a. Laparotomy then left thoracotomy b. Laparotomy, left neck incision c. Laparotomy, Right thoracotomy d. Left thoracotomy, left neck incision e. Right thoracotomy, Laparotomy
C https://academic.oup.com/bjaed/article/17/2/68/2907833
69
22.2 All of the following conditions are associated with acromegaly EXCEPT a) cardiac arrhythmias b) cardiac failure c) OSA d) aortic dilation
e. AAA acromegaly - excess GH (middle age) Airway - ^difficult of intubation due to macgnathia, macroglossia and expansion of upper airway soft tisssues Resp - ^OSA (up to 70%), kyphoscoliosis, proximal myopathy CVS - refractory HTN, LV hypertrophy, IHD, arrythmia, heart block, cardiomyopathy (^deposition of tissue -->fibrosis), bi-ventricular dysfunction CNS - ^ soft tissue --> ^ nerve entrapment syndromes Metabolic - *diabetes and other endocrine Osteoarthritis nerve compression syndrome due to bony overgrowth, and carpal tunnel syndrome Hypertension Diabetes mellitus Cardiomyopathy/HF Colorectal cancer Sleep Apnea Thyroid nodules and thyroid cancer Hypogonadism Compression of the optic chiasm Source: BJA
70
22.2 In preschool-aged children having tonsillectomy under general anaesthesia, delirium is more likely with the use of a) Remifentanil at end of case b) Dexamethasone c) IN something? ketamine? d) Inhalational anaesthetic
D Inhalational anaesthetic https://academic.oup.com/bja/article/118/3/335/2999642?login=false inhalational anaesthesia Occurs in 9-18% paeds - eye and ENT surgery at higher risk - higher incidence in preschool 2-5years (male), anxious patients, negative behaviour on induction TIVA better than Sevo in decreasing PoD
71
22.2 You are performing a focused cardiac ultrasound in the postanaesthesia care unit on a patient who is hypotensive for unclear reasons. His heart rate is 100 beats/min. The left ventricular velocity time integral is 10 cm. The left ventricular outflow area is 3 cm2. The left ventricular ejection fraction is 25%. The right ventricular systolic pressure is 40 mmHg. The inferior vena cava diameter is 20 mm. The estimated cardiac output is a. 1L/min b. 2L/min c. 3L/min d. 4L/min e. 5L/min
C 3L/min LVOT area x VTI = SV 3cm2 x 10cm = 30ml SV x HR = CO 30 x 100 = 3000 Calculation (using LVOT method): Stroke volume (SV) = VTI × LVOT area = 10 cm × 3 cm² = 30 cm³ = 30 mL Cardiac output (CO) = SV × HR = 30 mL × 100 beats/min = 3000 mL/min ≈ 3.0 L/min Notes: EF, RVSP, and IVC diameter aren’t required for this CO calculation. The low VTI (10 cm) with tachycardia fits a low-output state (~3 L/min).
72
22.2 The 2012 Berlin definition of the acute respiratory distress syndrome (ARDS) defines moderate disease as one with a PaO2 / FiO2 ratio (in mmHg) of a) 100-200 b) 200-300 c) < 100 d) > 100
a) 100-200 2012 BERLIN DEFINITION OF ARDS ARDS is an acute diffuse, inflammatory lung injury, leading to increased pulmonary vascular permeability, increased lung weight, and loss of aerated lung tissue…[with] hypoxemia and bilateral radiographic opacities, associated with increased venous admixture, increased physiological dead space and decreased lung compliance. Key components - acute, meaning onset over 1 week or less - bilateral opacities consistent with pulmonary edema must be present and may be detected on CT or chest radiograph - PF ratio <300mmHg with a minimum of 5 cmH20 PEEP (or CPAP) - “must not be fully explained by cardiac failure or fluid overload,” in the physician’s best estimation using available information — an “objective assessment“ (e.g. echocardiogram) should be performed in most cases if there is no clear cause such as trauma or sepsis. Severity - ARDS is categorized as being mild, moderate, or severe:
73
22.2 Which of the following risk factors for preeclampsia in isolation would be sufficient to recommend commencing low-dose aspirin? a. Age >40 b. >10 years since last pregnancy c. Family hx of pre eclampsia d. autoimmune disease e. BMI >35
d. autoimmune disease (with potential vascular complications) RANZCOG Maternal characteristics that are associated with an increased likelihood of pre-eclampsia include: - previous pre-eclampsia, particularly when more serious or early onset before 34 weeks - pre-existing medical conditions (including chronic hypertension, underlying renal disease, or pre-gestational diabetes mellitus), - underlying antiphospholipid antibody syndrome, - multiple pregnancy UTD: Preeclampsia: Prevention https://www.uptodate.com/contents/preeclampsia-prevention Based on the available data (see 'Evidence of efficacy' above), we recommend low-dose aspirin prophylaxis for women at high risk for preeclampsia. There is no consensus on the exact criteria that confer high risk. It is reasonable to use the US Preventive Services Task Force (USPSTF) high-risk criteria, which are also endorsed by the American College of Obstetricians and Gynecologists (ACOG). The incidence of preeclampsia is estimated to be at least 8 percent for pregnant women with any one of these high risk factors: ●Previous pregnancy with preeclampsia, especially early onset and with an adverse outcome ●Multifetal gestation ●Chronic hypertension ●Type 1 or 2 diabetes mellitus ●Chronic kidney disease ●Autoimmune disease with potential vascular complications (antiphospholipid syndrome, systemic lupus erythematosus)
74
22.2 In a burns patient, the blood concentration of propofol is a) Increased due to reduced cardiac output b) Increased due to dehydration and reduced circulating volume c) Reduced due to increased volume of distribution and clearance d) Increased due to reduced renal clearance e) Reduced due to increased inflammatory cytokines
C Reduced due to increased volume of distribution and clearance 2010 Paper on major burns The pharmacokinetic characteristics of a propofol bolus administered in patients with major burns were enhanced clearance and expanded volume of distribution. BURN and WT were the important covariates. For sedation or anesthesia induction, a higher than recommended dose of propofol may be required to maintain therapeutic plasma drug concentrations in patients with severe burns. Vigilance regarding the burned individual and careful titration of hypnotics to the desired effect cannot be overemphasized. https://pubmed.ncbi.nlm.nih.gov/20510522/
75
22.2 A patient under general anaesthesia monitored with transcranial cerebral oximetry has a decrease in their cerebral oxygen saturation. This is likely to be improved by an increase in all of the following EXCEPT A. Increasing blood pressure B. Deepening anaesthesia C. Increased minute ventilation D. Transfusion
C. Increased minute ventilation Cerebral oximetry (NIRS rSO₂) reflects the balance between cerebral oxygen delivery (CBF × CaO₂) and cerebral metabolic rate (CMRO₂). Interventions that raise CBF, raise CaO₂, or lower CMRO₂ tend to increase rSO₂. Hyperventilation (↑ minute ventilation) usually lowers PaCO₂, causing cerebral vasoconstriction → ↓ CBF → ↓ rSO₂, Cerebral blood flow Cardiac output Acid–base status Major haemorrhage Arterial inflow/venous outflow obstruction Oxygen content Haemoglobin concentration Haemoglobin saturation Pulmonary function Inspired oxygen concentration Inspired oxygen concentration
76
22.2 A patient requiring an elective major joint replacement has had a recent stroke. The minimum recommended duration between the stroke and surgery is a) 3 months b) 6 months c) 9 months d) 12 months
A) 3 months (see 2023.1 for reasoning)
77
22.2 When using the ECG to time intra-aortic balloon counterpulsation, balloon inflation should occur at the a. start of T wave b. peak of T wave c. end of T wave d. end of R wave e. start of R wave
B peak of T wave Triggering of the IABP is usually set according to the patient’s ECG tracing. When an R wave is detected the balloon is triggered to automatically start inflating in the middle of the T wave. Triggering can be impaired if the patient develops an arrhythmia, is paced or has a poor ECG trace. LITFL
78
22.2 Normal (0.9%) saline has the physical properties of a. Na 140, 280 mOsm/L b. Na 148, 296 mOsm/L c. Na 150, 300 mOsm/L d. Na 154, 308 mOsm/L
D Na 154, 308 mOsm/L (Osmolality is 290 if measured) CSL: Na 131, Cl 111, osmlolality 280, pH 6.5 - HCO3- 29, K+ 5, Ca2+ 2 (same in plasma) - no Mg2+/glucose Albumin 4%: Na 140, Cl 128, osmolality 300, pH 7. Oncotic P = 25 (isotonic) Plasma: Na 140, Cl 100, osmolality 290, pH 7.4, glucose 5. - HCO3 24, K 4.
79
22.2 The most likely side effect observed in the post anaesthetic care unit after the use of dexmedetomidine is a. Bradycardia b. hypotension c. shivering d. cough e. sedation
b. hypotension The use of dexmedetomidine did not increase the duration of PACU LOS but was associated with reduced emergence agitation, cough, pain, postoperative nausea and vomiting, and shivering in PACU. There was an increased incidence of hypotension but not residual sedation or bradycardia in PACU. Intaop dexmed associated with PACU: ↓ PONV, shivering, cough, emergence agitation, pain scores Decreased BP (hypotension) No change bradycardia and sedation and PACU LOS No change - BSL - bradycardia/sedation/LoS PACU Decreased everything else incl. BP (PONV, shivering, cough, agitation, pain) Loading infusion: Transient HTN (α2B receptors agonism) , bradycardia, hypotension https://pubmed.ncbi.nlm.nih.gov/35085107/#:~:text=Conclusions%3A%20The%20use%20of%20dexmedetomidine,sedation%20or%20bradycardia%20in%20PACU
80
A patient in the intensive care unit has ventricular fibrillation two hours after her coronary artery bypass graft procedure. Recommended immediate management does NOT include a) Atropine b) Adrenaline c) 3 stacked shocks d) Amiodarone
A) Atropine VF immediate management per that EACTS protocol (on right) 1) 3 stacked shocks (150J) 2) start CPR 3) amiodarone 300mg +/- 150mg bolus. (IV lignocaine 1mg/kg alternative) 4) continue CPR Q2min DC shock until repeat sternotomy within 5 mins (repeat sternotomy for internal cardiac massage or defib at 20J) DO NOT give adrenaline unless a senior doctor advises (usually smaller doses) ECMO <30 mins ideal IABP: 1:1 ratio (i.e. with compressions), intrinsic rate 100bpm https://www.bjaed.org/article/S2058-5349(17)30182-8/pdf Atropine not recommended in 2018 BJA guidelines (were in 2009 for non-shockable rhythm) -You do not use full dose adrenaline (rather, give smaller doses) -You do three "stacked shocks" -You try pacing (rate of 90, DDD) in asystole if pacing wires are available -If they are already paced and in PEA, you turn off the pacing to "unmask" VF. -These shocks and attempted pacing are all measures you take before starting CPR, which is a departure from the ACLS norms. -If you can't control a shockable rhythm with three stacked shocks, you give amiodarone immediately rather than after three cycles. -Amiodarone is the only drug in the protocol, which makes it easy to remember. -After five minutes of unsuccessful resuscitation the chest should be re-opened. -External CPR is pointless in all of the common causes of arrest in this scenario. Therefore, CPR is something you do while waiting to re-open the chest. -Non-surgical staff are encouraged to re-open the chest in an emergency ## Footnote https://derangedphysiology.com/main/required-reading/cardiac-arrest-and-resuscitation/Chapter%20221/cardiac-arrest-following-cardiac-surgery
81
22.2 A patient has blunt chest trauma. A thoracotomy is indicated if the immediate blood drainage after closed thoracostomy is greater than a) 500mL b) 750mL c) 1L d) 1.2L e) 1.5L
e) 1.5L or >200ml/hr over the next 2-4hrs - blood loss > 20ml/kg OR >1.5L (at first) - blood loss >200ml/hr in first 2-4hrs from chest tube placement - endobronchial blood loss - tracheobronchial or heart/great vessel injury (recent review suggests thoracotomy if penetrating trauma w/ or w/o vitals, and NO thoracotomy if blunt trauma without vital signs) (ATLS guidelines) Thoracotomy anterolaterally in 4-6th intercostal space - 20% of time will need to go clamshell or hemi-clamshell
82
22.2 Analysis of variance (ANOVA) is a statistical test to determine a) The validity between an expected and observed outcome in a population b) The difference between the means of more than two populations c) The difference between two populations with non-parametric data d) The degree of similarity of the median between two or more populations e) If the variance within a population is likely to be abnormally or normally distributed
Ans: B) analyse the difference between the means of more than two groupsc) comparisons of means between three groups in normally distributed data One sample t-test: compares mean or median of one sample group against a known value Unpaired or paired t-test: compares means or medians of two sample groups (unpaired or paired data
83
22.2 A child with well controlled dysrhythmias has an ASA (American Society of Anesthesiologists) Physical Status classification of at least a) I b) II c) III d) IV e) V
B II ASA II Paediatric examples: Asymptomatic congenital cardiac disease, well controlled dysrhythmias, asthma without exacerbation, well controlled epilepsy, non-insulin dependent diabetes mellitus, abnormal BMI percentile for age, mild/moderate OSA, oncologic state in remission, autism with mild limitations
84
22.2 A five-month-old child is to undergo routine elective morning surgery. Current ANZCA guidelines advise minimum fasting intervals prior to anaesthesia of A. 4 hours for breast milk, 2 hours clear fluids B. 4 hours for formula, 1 hour clear fluids C. 3 hours for breast milk, 1 hour for clear fluids D. 6 hours for formula, 2 hours clear fluids E. 8 hours for solids, 4 hours for all fluids
b. 4/3/1 (<6mo) or c. 6/4/1 (>6mo) Solids: 6hrs Clear liquids: 1hr (at 3mL/kg/hr) Breast milk: 3hr Non-breast milk (formula/cow): 4hrs - 200mL or 20mL/kg - Same in >12 months EXCEPT non-breast milk is considered solid (6hrs i. For adults having an elective procedure, limited solid food may be taken up to six hours prior to anaesthesia and clear fluids may be taken up to two hours prior to anaesthesia. ii. For children over six months of age having an elective procedure, limited solid food or formula may be given up to six hours, breast milk up to four hours and clear fluids (no more than 3ml/kg/hr) up to one hour prior to anaesthesia. iii. For infants under six months of age having an elective procedure, formula may be given up to four hours, breast milk up to three hours and clear fluids (no more than 3ml/kg/hr) up to one hour prior to anaesthesia. iv. Prescribed medications may be taken with a sip of water less than two hours prior to anaesthesia unless otherwise directed (for example oral hypoglycaemics and anticoagulants). v. An H2-antagonist, proton pump inhibitor or other agent that decreases gastric secretion and acidity should be considered for patients with an increased risk of gastric regurgitation.
85
22.2 A six-year-old child weighing 20 kg presents to hospital two hours after sustaining a burn to 25% of her body. Appropriate fluid management should include 1000 mL Hartmann’s solution in the next a. 4 hours b. 6 hours c. 8 hours d. 12 hours e. 24 hours
B 6 hours 6hrs using standard Parkland formula, which BJA advocates for (use standard unless modified Parklands specified): - maths easier if original Parkland 4 x 25 x 20 = 2L/24hrs - 1L over 8 hrs (but 2hrs since burn, so over 6 hrs) Parkland formula does NOT add maintenance fluid to resus fluids. Modified Parkland: fluid loss replacement in first 24hrs from burn 3 x TBSA x weight = 1500 / 24 hrs 750ml / 8hrs (so 750mL in first 6hrs = 150mL/hr) Maintenance = 40 + 20 = 60mL/hr Initial fluid rate = 210mL/hr (which would reach 1L at ~5hrs?) Hartmanns preferred! Paeds IV fluids incl. burns 20 x 25 x 4 = 2000 L (Parklands) In first 8 hours 50% 1 L in 8 hours FROM TIME OF BURN So in 6 hours.
86
22.2 You will anaesthetise a 39-year-old woman for a laparoscopic cholecystectomy. She has a history of mastocytosis and has never had an anaesthetic in the past. A drug which you should avoid is a. fentanyl b. morphine c. remifentanil d. tramadol
B Morphine Histamine-releasing
87
22.2 A 30-year-old previously healthy woman is four days post-caesarean section. You are asked to see her to manage her abdominal pain. Over the last two days she has had increasing abdominal pain, increasing abdominal distension, tachycardia and nausea. An abdominal x-ray shows a caecal diameter of 9 cm. After excluding mechanical obstruction, an appropriate management option is a) Movicol b) Fleet enema c) Neostigmine infusion d) 20ml/kg crystalloid fluid bolus other options - all wrong - morphine PCA -Nalaxone -Lactulose
C Neostigmine Acute colonic pseudo-obstruction (ACPO) — also known as Ogilvie’s syndrome — occurring postpartum (4 days post-caesarean) is a recognised clinical scenario. Typical setting: Postoperative, post-caesarean, orthopaedic, or trauma patients. Pathophysiology: Functional obstruction from autonomic imbalance (↓ parasympathetic tone → colonic hypomotility, sympathetic overactivity). Radiology: Marked caecal dilation (>9 cm significant; >12 cm risk of perforation). Mechanical obstruction must be excluded first (as per question). If > 9cm dilation, would need surgical management. https://www.ncbi.nlm.nih.gov/pmc/articles/PMC3168359/#!po=17.5000 UTD refers to diameters over 12cm as being cut off
88
22.2 The influence of end-stage renal disease on the plasma clearance and dose of sugammadex is that the a) Increased clearance – increased dose b) Decreased clearance – reduced dose c) Decreased clearance – same dose d) No change in clearance or dose
c) Decreased clearance – same dose Elimination: Excreted unchanged by the kidneys (>90%) via glomerular filtration. No metabolism occurs; clearance is directly proportional to GFR. → Plasma clearance is decreased. → However, recommended dose is unchanged because: Recovery of neuromuscular function after sugammadex is determined by binding kinetics, not renal clearance. Once rocuronium is encapsulated, it is effectively inactivated, regardless of delayed excretion. Dose reduction risks incomplete reversal and recurarisation. The dose recommendations for mild and moderate renal impairment (creatinine clearance between 30 and 80 mL/min) are the same as for adults without renal impairment. Sugammadex is not recommended for use in patients with severe renal impairment (including patients requiring dialyses) 8.6 Renal Impairment This drug is known to be substantially excreted by the kidney. Effect of mild or moderate renal impairment on sugammadex PK and PD was obtained from a study in elderly patients [see Use in Specific Populations (8.5)]. Although clearance of drug decreased in elderly subjects with mild and moderate renal impairment, there was no significant difference in the ability of sugammadex to reverse the pharmacodynamic effect of rocuronium. Hence, no dosage adjustment is necessary for mild and moderate renal impairment. BRIDION is not recommended for use in patients with severe renal impairment due to insufficient safety information combined with the prolonged and increased overall exposure in these patients [see Warnings and Precautions (5.11), Clinical Pharmacology (12.3)]. ## Footnote PI
89
22.2 According to the RELIEF study, in major abdominal surgery a liberal fluid strategy (10 mL/kg of crystalloid at induction followed by 8 mL/kg/hour during the case) compared to a restrictive fluid strategy, results in A. Increased bowel anastomosis breakdown B. Increased mortality C. Decreased mortality D. No difference in wound infection E. Decreased acute kidney injury
E. Decreased acute kidney injury Restrictive had more AKI Otherwise no outcome significant statistically https://www.thebottomline.org.uk/summaries/relief/
90
22.2 The amount of fresh frozen plasma that needs to be administered (in mL/kg) to increase plasma fibrinogen levels by 1 g/L is a) 10ml/kg b) 20ml/kg c) 30ml/kg d) 40ml/kg e) 50ml/kg
c) 30ml/kg To raise fibrinogen by 1g/L, give: - FFP 30mL/kg (i.e. 2.1L for 70kg pt) - Fibrinogen concentrate 3g (each vial 1g) - Cryoprecipitate (whole blood) 1 unit per 5kg BW (note 1 unit/5-10kg BW increases fibrinogen by 0.5-1g/L); -> typical adult dose is 10 units = ~3-4g fibrinogen -> if cryoprecipitate apheresis, 1 unit per 10kg (1 unit per 10-20kg increases fibrinogen by 0.5-1g/L) Cryo values are derived mathematically After a dose of 10 to 15 mL/kg of FFP, plasma clotting factors rise about 15%, and the fibrinogen level rises by 40 mg/dL (0.4g/l) https://www.sciencedirect.com/topics/medicine-and-dentistry/fresh-frozen-plasma 1g/0.4g= 2.5 2.5 x 10ml/kg= 25ml/kg 2.5 x 15ml/kg= 37.5ml/kg 30ml/kg best answer For cryoprecipitate: One unit of Cryo is 15-20 mL in volume and contains 150-250 mg of fibrinogen. Cryo is generally transfused in pools of 10 units, which should increase an adult recipient's fibrinogen level by 50-100 mg/dL. (0.5-1g/l) 10 units of cryo= 200-300ml 200ml/70kg= 2.8ml/kg 200ml/70kg= 4.2ml/kg Typically 1 bag of whole blood cryoprecipitate given per 5–10 kg body weight would be expected to increase the patient’s fibrinogen concentration by 0.5–1.0 g/L.1 Typically 1 bag of cryoprecipitate apheresis given per 10–20 kg body weight would be expected to increase the patient’s fibrinogen concentration by 0.5–1.0 g/L.1 A standard adult dose of cryoprecipitate (3-4g of fibrinogen for a 70kg adult) is equivalent to: y 10 bags of whole blood cryoprecipitate or y 5 bags of apheresis cryoprecipitate Paediatric dosing is not established however common practise is 5mL/kg or 1-2 whole blood cryoprecipitate units per 10kg.
91
22.2 The rate of drainage of cerebrospinal fluid via a lumbar drain is NOT influenced by the a. Height of bed b. Height of drainage chamber c. Height of highest part of drainage system d. Position of patient e. Spinal level of drain
e. Spinal level of drain According to AANN2 and SNACC4 Guidelines: * Patient positioning and leveling is crucial to prevent complications from lumbar drainage * The head of the bed, height of drainage chamber, and changes in patient positioning must be monitored closely to prevent sudden overdrainage * While making changes to the patient’s positioning, the lumbar drainage device should be clamped so that overdrainage does not occur https://www.integralife.com/file/general/1604065981.pdf (manufacturer's instructions)
92
22.2 Blockade of the superficial cervical plexus includes the a. C1 dermatome b. C5 c. phrenic nerve d. transverse cervical e. greater occipital
d. transverse cervical SGLT Supraclavicular Great-auricular Lesser occipital Transverse cervical Skin over anterior and lateral regions of neck (plane block as per Anso - difficult to identify nerves. Sometimes adjunct to interscalane as supraclavicular nerve innervates 'cape' of shoulder ----- Supraclavicular nerve block. An initial injection of 3 mL local anesthetic is deposited at the midpoint of the sternocleidomastoid muscle, followed by 7 mL injected subcutaneously in a caudad and cephalad direction along the posterior border of the muscle. complications: 1.Infection 2.Hematoma 3.Phrenic nerve block 4.Local anesthetic toxicity 5.Nerve injury https://www.nysora.com/techniques/head-and-neck-blocks/cervical/cervical-plexus-block/
93
22.2 You are called to recovery to review an 80-year-old woman post neck of femur fracture fixation performed under general anaesthesia with a fascia iliaca block. She has a history of mild dementia. She has become confused and agitated after initially being cooperative and pain-free. The most appropriate drug therapy to manage her is intravenous a. Clonidine b. dexmedetomidine c. propofol d. midazolam e. haloperidol
e. haloperidol Mx - treat underlying cause - infection, pain, dehydration, metabolic derangement, constipation, urinary retention - antipsychotics (e.g. haloperidol 0.5mg-1 PO/IM/IV, risperidone 0.5mg PO, olanzapine 2.5mg PO, quetiapine 25mg PO STAT = preferred w/ PD or demential w/ Lewy bodies) is first line for agitation but does not alter time course of delirium nor modify its prognosis - avoid benzo - may worsen symptoms NOF surgery - 70% risk of post op delirium Post-op (usually days 2-5) - non pharm mx - re-orientation, sleep optimisation, mobilisation, nutrition - prophylactic antipsychotic (risperidone, olanzapine), melatonin/ramelteon (melatonin agonist) Clonidine-> no mention in the evidence dexmedetomidine-> as an infusion seems to reduce risk of post-op delerium and could be used to treat but not necessarily practical in combative patient Propofol-> not mentioned Midazolam-> avoid benzos as can worsen delerium If pharmacological approaches are required to reduce risk of harm to the person with agitated delirium, then haloperidol can be administered in incremental 0.5-mg doses. Benzodiazepines should be used for people with alcohol-related cognitive disorders or in people with Parkinsonian dementia. There is no evidence to support the use of prophylactic pharmacological measures (cholinesterase inhibitors, antipsychotics, melatonin) in routine peri-operative care for patients at risk of POD https://anaesthetists.org/Portals/0/PDFs/Guidelines%20PDFs/Guideline_Perioperative_care_of_people_with_dementia_2019.pdf?ver=2019-02-11-121238-777×tamp=1549888049165&ver=2019-02-11-121238-777×tamp=1549888049165 Duan and colleagues conducted a meta-analysis of 18 clinical trials and found that intraoperative and postoperative dexmedetomidine administration significantly reduces the risk postoperative delirium (odds ratio 0.35). -> https://www.bjanaesthesia.org/article/S0007-0912(20)30566-3/fulltext
94
22.2 A 34-year-old for a diagnostic laparoscopy has a height of 158 cm and a weight of 120 kg (BMI 48 kg/m2). For induction of anaesthesia, appropriate drug dosing includes a) Fentanyl based on TBW b) Rocuronium based on LBW c) Propofol induction based on ABW d) Propofol infusion based on LBW e) Suxamethonium based on IBW
b) Propofol based on LBW
95
Of the following, the condition that is an absolute contraindication to administration of electroconvulsive therapy is A. Cochlear implant B. PPM C. Elevated ICP D. Epilepsy E. Pregnancy
C. Elevated ICP - No Absolute contraindications - Relative contraindications 1. Raised ICP or space occupying lesion 2. MI within the last 3 months 3. Severe arterial hypertension 4. Acute Glacoma 5. Changes in the cerebral arteries e.g. aneurysm Pregnancy and Pacemakers are not contraindications to ECT Indications: 1. Depression (most common) 2. MDD with psychotic features 3. Schizoaffective disorder 4. Schizophrenia with catatonia 5. Highly suicidal or depressed pregnant patients (not first line) 6. Bipolar affective disorder 7. Neuroleptic malignant syndrome BJA: Relative CI: ↑ICP, recent (3 months) MI/CVA, untreated cerebral aneurysm/myocardial ischaemia/CCF. Unstable major # and severe OP i.e. bad brain, heart, bones. Non-coagulated DVT, phaeochromocytoma, retinal detachment or glaucoma. High-risk pregnancy, cardiovascular conduction deffects, aortic aneurysm. Resp: TB, pneumonia, asthma - Cochlear implants also CI, although unilateral ECT possible
96
22.2 The nerve labelled by the arrow marked I in the diagram is the 1. Ulnar Nerve 2. Axillary Nerve 3. Median Nerve 4. Medial Cutaneous nerve of the forearm 5. Long Thoracic Nerve 6. Dorsal Scapular Nerve 7. Radial Nerve 8. Suprascapular nerve 9. Musculocutaneous Nerve
1. Ulnar Nerve
97
22.2 According to National Audit Project (NAP) 5, the incidence of awareness during general anaesthesia is a) 1:800 b) 1:1600 c) 1:8000 d) 1:19000 e) 1:30000
d) 1:19000 repeat The estimated incidence of patient reports of AAGA was ~1:19,000 anaesthetics. However, this incidence varied considerably in different settings. The incidence was ~1:8,000 when neuromuscular blockade was used and ~1:136,000 without it. Two high risk surgical specialties were Cardiothoracic anaesthesia (1:8,600) and Caesarean section (~1:670). with NMBD (MC RF) 1: 8000 (136 000 without lol). cardiothoracic surgery 1:8600 GA C/S 1:670 1:60 000 paeds Higher risk: emergencies, cardiac, unexpected difficult airway, NMB, TIVA (two-fold)
98
22.2 The analgesic drug with the most favourable Number Needed to Treat (NNT) for neuropathic pain is A) Amitriptyline B) Gabapentin C) Tramadol D) Pregabalin
A) Amitriptyline repeat 20.1 By order of favourable NNT: 1. TCAs (amitriptyline) NNT: 3.6, NNH: 9 2. Strong opioids NNT 4.3 NNH 11.7 3. Tramadol NNT: 4.7, NNH 12.6 4. SNRIs (duloxetine and venlafaxine) NNT 6.4, NNH 11.8 5. Gabapentin NNT: 7.2 NNH 25.6 6. Pregabalin NNT:7.7, NNH 13.9 ANZCA Pain book Treatment of chronic neuropathic pain after SCI (Guy 2016 GL). These guidelines recommend: * First line: pregabalin, gabapentin and amitriptyline; * Second line: tramadol and lamotrigine (in incomplete SCI); * Third line: Transcranial direct current stimulation (tDCS) alone and combined with visual illusion; * Fourth line: TENS, oxycodone and dorsal root entry zone lesions.
99
22.2 An eight-year-old-child with sickle cell disease is scheduled for emergency fixation of a fractured radius. Her haemoglobin is 80 g/L. The most appropriate management is a. blood type and screen B. exchange tranfusion for < 30% HbSS C. Transfuse for Hb >100 D. Careful haemostasis and monitor Hb
C. transfuse for Hb >100 emergency fixation = no time for exahnge transfusion Hb 80 g/L → significant anaemia. Emergency fixation → moderate surgical stress and risk of hypoxia. The perioperative aim is to reduce sickling risk while optimising oxygen delivery, but avoiding hyperviscosity. perioperative goals: - planning and optimisation - ensuring adequate O2 delivery - hydration - analgesia - performed at a centre with a multidisciplinary sickle cell team Vichinsky et al., NEJM 1995 compared two transfusion strategies in SCD: Aggressive (exchange to HbS < 30%). Conservative (simple transfusion to Hb ≈ 100 g/L). Findings: No difference in perioperative complications (vaso-occlusive crises, ACS, infections). Aggressive transfusion caused more alloimmunisation and hyperviscosity. Hence, simple transfusion is now preferred for most moderate-risk surgery. 3. Guidelines BCSH (2016) and BJA Education 2020 recommend: Simple transfusion to Hb ~100 g/L for moderate-risk surgery (orthopaedic, abdominal). Exchange transfusion only for major or high-risk procedures (cardiac, thoracic, neurosurgical). Low to medium risk surgery - - If Hb <90 -> transfuse to Hb>100 - If Hb >90 -> exchange transfusion to HbSS<60% High risk surgery (neurosurg/CTS/ complex ortho) or high-risk pts (prior CVA, acute CS, end-organ damage) - Hb>100 and HbSS<30% Results from TAPS study (transfusion alternatives preop in sickle cell disease) reports less periop complications with these targets. Not transfused group had greater incidence of blood transfusion intra or post op with common indication being acute chest syndrome ---------------------- Exchange transfusion vs. top-up transfusion Exchange Transfusion: - slowly removing the person’s blood and replacing with fresh donor blood or plasma - Performed in cycles lasting a few minutes with slow removal of 5-20ml of blood and an equal amount of fresh pre-warmed blood or plasma flows into the person’s body - in sickle cell disease blood is removed and replaced with donor blood to achieve a specific concentration of HbSS blood with a usual target of <30% - Exchange transfusion removes HbS and increases HBA Top-up transfusion: - standard transfusion process of giving donor blood - advantages of simple top-up include: 1. Increase oxygen carrying capacity 2. Decrease proportion of sickle haemoglobin HbS relative to Haemoglobin A (HBA) 3. Prevent or reverse complications of vast-occlusion 4. Can be given acutely - disadvantages include: 1. Hyperviscosity if the Hb is increased to significantly over the patients baseline (target Hb should be 100g/l) 2. HbS is not removed, only diluted 3. Prevent or reverse complications of vast-occlusion 4. Can be given acutely - disadvantages include: 1. Hyperviscosity if the Hb is increased to significantly over the patients baseline (target Hb should be 100g/l) 2. HbS is not removed, only diluted
100
22.2 When used for prolonged analgesia in a healthy adult, the recommended maximum dose of ropivacaine via continuous infusion or bolus dosing in a 24-hour period is a) 450mg b) 600mg c) 770mg d) 1200mg
c) 770mg Product info: Fresenius-Kabi When prolonged epidural blocks are used, either by continuous infusion or repeated bolus administration, the risks of reaching a toxic plasma concentration or inducing local neural injury must be considered. Cumulative doses of up to 800 mg ropivacaine for surgery and postoperative analgesiaadministered over 24 hours were well tolerated in adults, as were postoperative continuous epidural infusions at rates up to 28 mg/hour for 72 hours. product info: pfizer When prolonged blocks are used, either through continuous infusion or through repeated bolus administration, the risks of reaching a toxic plasma concentration or inducing local neural injury must be considered. Experience to date indicates that a cumulative dose of up to 770 mg ropivacaine hydrochloride administered over 24 hours is well tolerated in adults when used for postoperative pain management: i.e., 2016 mg. Caution should be exercised when administering ropivacaine for prolonged periods of time, e.g., > 70 hours in debilitated patients
101
22.2 The initial management for a seizure during an awake craniotomy is a. GA and tube b. Cold saline irrigation of brain c. IV keppra d. IV propofol e. IV midazolam
b. Cold saline irrigation of brain Seizures, either focal or generalized, are most likely to occur during cortical mapping. They are treated by irrigating the brain tissue with ice-cold saline. They usually cease with this treatment alone, but occasionally benzodiazepines, anti-epileptic drugs, or re-sedation with airway control are required. An emergency plan for airway control has to be in place at all times and this can be challenging as the patient's head is fixed in head pins and often away from the ventilator. The options include the insertion of an LMA which may be easier than oro-tracheal intubation. Awake craniotomy is generally a well-tolerated procedure with a low rate of conversion to general anaesthesia and a low rate of complications. One of the most frequent complications is patient intolerance of the procedure, often because of the urinary catheter or prolonged positioning and intra-operative seizures.
102
22.2 When using cardioversion to revert a patient in atrial fibrillation to sinus rhythm, the direct current shock is synchronised with the ECG to coincide with the a) Start of R wave b) Start of Q wave c) Middle of T wave d) Peak of R wave
d) Peak of R wave The appropriate energy level is then selected, and the discharge/shock button is pressed and held. The defibrillator does not release the shock immediately. Instead, it waits for the next R-wave to appear and delivers the shock at the time of the R-wave. This allows the shock to be provided safely away from the T wave, avoiding the R-on-T phenomenon. Synchronised cardioversion: (must hit sync button) - low energy shock - to peak of QRS (peak of R wave) - via delay - avoids shock during cardiac repolarisation (T-wave); ?R on T phenomena precipitates VFib) - indications: unstable (or medically refractory) AFib, flutter, atrial tachycardia, SVT
103
22.2 A 72-year-old man with peripheral vascular disease presents for a femoral angioplasty and is currently taking aspirin. Regarding the perioperative management of his aspirin, a) Cessation leads to increased risk of stroke b) Cessation leads to increased risk of MI c) Continuation leads to increased risk of major bleeding d) Continuation leads to reduced rate of MI e) Continuation leads to reduced rate of perioperative mortality
c) Continuation leads to increased risk of major bleeding Aspirin in patients undergoing non cardiac surgery https://www.nejm.org/doi/full/10.1056/nejmoa1401105 Conclusions Administration of aspirin before surgery and throughout the early postsurgical period had no significant effect on the rate of a composite of death or nonfatal myocardial infarction but increased the risk of major bleeding. (Funded by the Canadian Institutes of Health Research and others; POISE-2 ClinicalTrials.gov number
104
22.2 The prevention of microbial contamination of living tissues or sterile materials is known as a. disinfection b. antisepsis c. decontamination d. asepsis e. sterilisation
d. asepsis Asepsis: the prevention of microbial contamination of living tissues or sterile materials. Disinfection: the inactivation of non-sporing organisms using either thermal or chemical means. Sterilisation: complete destruction of all micro-organisms, including spores. https://www.anzca.edu.au/getattachment/e4e601e6-d344-42ce-9849-7ae9bfa19f15/PG28(A)-Guideline-on-infection-control-in-anaesthesia
105
22.2 All patients over 70 years of age having received either spinal or general anaesthesia at Hospital X are reviewed 3 years later to assess cognitive function. The aim of the study is to determine whether exposure to general anaesthesia or spinal anaesthesia impacts cognitive function. This trial design is best described as a a) RCT b) cohort study c) case-control study d) case series e) cross-sectional study
b) cohort study What is a Cohort Study design? - Cohort studies are longitudinal, observational studies, which investigate predictive risk factors and health outcomes. - They differ from clinical trials, in that no intervention, treatment, or exposure is administered to the participants. - The factors of interest to researchers already exist in the study group under investigation. - Study participants are observed over a period of time. The incidence of disease in the exposed group is compared with the incidence of disease in the unexposed group. - Because of the observational nature of cohort studies they can only find correlation between a risk factor and disease rather than the cause. Cohort studies are useful if: - There is a persuasive hypothesis linking an exposure to an outcome. - The time between exposure and outcome is not too long (adding to the study costs and increasing the risk of participant attrition). - The outcome is not too rare.
106
22.2 Regarding healthcare research, the SQUIRE guidelines describe a. Forming a research question b. Reports for quality improvement c. Appraising a systematic review
e) Standards of quality improvement Quality Improvement (Standards for QUality Imporvement and Reporting Excellence) CONSORT: randomised trials PRISMA: systematic reviews and meta-analysis (Preferred Reporting Items for Systematic reviews and meta-analysis). STROBE: observational studies
107
22.2 According to ANZCA PS54(A), an anaesthetic machine requiring electrical power must, in the event of mains power failure, be able to operate under battery backup power for a minimum of a) 30 min b) 60 min c) 120 min d) 240 min
a) 30 min If the anaesthesia machine requires electrical power for normal operation, a backup power supply must be a part of the machine and permit normal operation for at least 30 minutes after a mains power supply failure. An alarm must be activated at the time of the mains failure and the state of the reserve power supply must be indicated while it is in use. https://www.anzca.edu.au/getattachment/f05e02ec-2023-4c50-b57f-9549ea0c4183/PS54(A)-Position-statement-on-the-minimum-safety-requirements-for-anaesthesia-machines-and-workstations-for-clinical-practice-2021#page=
108
The amount of intravenous potassium chloride required to raise the plasma potassium level from 2.8 mmol/L to 3.8 mmol/L in a normal adult is approximately a. 10mmol b. 20mmol c. 30mmol d. 100mmol e. 200mmol
e. 200mmol * K+ < 3.0 mmol/L: 200-400 mmol of potassium are required to raise it by 1 mmol/L * K+ > 3.0 mmol/L: 100-200 mmol of potassium are required to raise it by 1 mmol/L Hypokalaemia P. GLOVER https://www.cicm.org.au/CICM_Media/CICMSite/CICM-Website/Resources/Publications/CCR Journal/Previous Editions/September 1999/05-Sept_1999_Hypokalaemia.pdf If the serum potassium level is greater than 3 mmol/L, 100-200 mmol of potassium are required to raise it by 1 mmol/L; 200 - 400 mmol are required to raise the serum potassium level by 1 mmol/L when the potassium concentration is less than 3mmol/L, assuming a normal distribution between cells and the intracellular space, and a linear relationship between plasma potassium and body deficit (which has been described, i.e. 0.27 mmol/L/100 mmol deficit/70 kg), exists. The rate of administration of potassium will be influenced by the presence and seriousness of the pathophysiological changes caused by hypokalaemia. The underlying disorder should also be treated simultaneously.
109
22.2 Of the following, the substance LEAST likely to cause lactic acidosis is a. methanol b. propofol c. metformin d. acetazolamide
d. acetazolamide acetazolamdie has been known to cause lactic acidosis but is less common than the other drugs listed unless there is a 5th option not remembered
110
22.2 Compared to a normothermic patient, a patient with mild intraoperative hypothermia (35.0 oC) will have ?no remembered options but if repeat of 20.1-> a. Decreased bleeding b. increased bleeding and normal aptt and inr c. Increased bleeding and decreased inr d. Increased bleeding and decreased aptt
b. increased bleeding and normal aptt and inr Bleeding because cold = we know this Haemtology analyzer in labs warms blood to 37.2 degrees (fixes hypothermia on sample)
111
22.2 Regarding cardiopulmonary exercise testing before major surgery, oxygen pulse is the a. Arterial oxygen content at peak HR b. Arterial oxygen saturation at mean HR? c. Arterial oxygen saturation at peak HR d. PaO2 at peak HR e. Oxygen consumption/min divided by HR
e. Oxygen consumption/min divided by HR VO2/HR: oxygen consumption divided by HR, known as the ‘oxygen pulse’ (ml beat–1) Surrogate marker for stroke volume (product of SV and A-v O2 difference). Should increase with exercise. https://www.bjaed.org/article/S2058-5349(19)30021-6/fulltext The objective of CPET is to determine functional capacity in an individual. Deficiencies in CPET-derived variables—specifically: 1. ventilatory anaerobic threshold (AT) 2. peak O2 consumption (VO2peak) 3. ventilatory efficiency for carbon dioxide (VE/VCO2) —are associated with poor postoperative outcomes (mortality, morbidity, admission to intensive care, and length of hospital stay) after intra-abdominal surgery. 7. Does the oxygen pulse increase with exercise? The oxygen pulse is the VO2 divided by HR, and represents the product of the stroke volume and the arterial-venous oxygen difference. It can be seen in panel 2 and can be viewed as a surrogate for stroke volume, and as such should increase at the start of exercise before slowly reaching a plateau at its highest predicted value.
112
22.2 The Glasgow Coma Score of a patient whose best responses are: opening eyes to pain, making incomprehensible sounds, and withdrawing from pain is a) 6 b) 8 c) 9 d) 10 e) 12
c) 8 E=2 V=2 M=4 Total= 8
113
22.2 The sensor on a NIM (Nerve Integrity Monitor) endotracheal tube used for thyroid surgery directly records a. Electromyography of internal laryngeal muscles b. Recurrent laryngeal nerve action potential c. Movement of the vocal cords on the endotracheal tube d. Pressure of the vocal cords on the endotracheal tube e. Recurrent laryngeal nerve action potential
a. Electromyography of internal laryngeal muscles 0.5-2mA stimulating current given by surgeon's probe --> if laryngeal nerve located --> motion of vocal cords --> converts laryngeal muscle action potential into EMG signal Monitored via NIM tube - adjunctive tool (nerve exposure and direct visualisation are gold standards for RLN location) - converts laryngeal muscle APs into electromyography signals when RLN stimulated - ETT has integrated surface electrodes that contact true VC to monitor EMG activity -> assess position via direct laryngoscopy or respiratory EMG waveform
114
22.2 The nerve labelled by the arrow marked P in the diagram is the 1. Ulnar Nerve 2. Axillary Nerve 3. Median Nerve 4. Medial Cutaneous nerve of the forearm 5. Long Thoracic Nerve 6. Dorsal Scapular Nerve 7. Radial Nerve 8. Suprascapular nerve 9. Musculocutaneous Nerve
5. Long Thoracic Nerve
115
22.2 In critically ill patients undergoing mechanical ventilation, energy dense enteral nutrition (1.5 kcal/mL/kg) compared to routine (1 kcal/mL/kg) enteral feeding provides a) Higher incidence of VAP b) Lower incidence of AKI c) Lower all cause 90-day mortality d) No difference
d) No difference Repeat Conclusions In patients undergoing mechanical ventilation, the rate of survival at 90 days associated with the use of an energy-dense formulation for enteral delivery of nutrition was not higher than that with routine enteral nutrition. (Funded by National Health and Medical Research Institute of Australia and the Health Research Council of New Zealand; TARGET ClinicalTrials.gov number, NCT02306746. opens in new tab.) https://www.nejm.org/doi/full/10.1056/NEJMoa1811687 Study details: Population: 3,957 mechanically ventilated ICU patients. Intervention: Energy-dense EN (1.5 kcal/mL) at 100% target rate. Comparator: Standard EN (1.0 kcal/mL) at 100% target rate. Duration: Until ICU discharge or cessation of EN. Primary outcome: 90-day all-cause mortality. Findings: 90-day mortality: No significant difference (26.8% vs 25.7%; p=0.58). Ventilator-free days: No significant difference. Incidence of VAP, AKI, or other complications: No significantdifference. Energy delivery: Higher in the energy-dense group (29 vs 21 kcal/kg/day). Protein delivery: Similar between groups (≈1.1 g/kg/day).
116
22.2 A 45-year-old male received a heart transplant one month ago. He develops a new supraventricular tachyarrhythmia without hypotension during a gastroscopy. The most appropriate therapy is a) Adenosine b) Amiodarone c) Digoxin d) Esmolol e) Verapamil
d) Esmolol Management of Arrhythmias After Heart Transplant https://www.ahajournals.org/doi/10.1161/CIRCEP.120.007954 In asymptomatic patients, additional cardiac monitoring such as 24-Holter or an event monitor can be useful to assess the SVT burden, and a trial of atrioventricular nodal blockers (β-blockers preferably) can be attempted with caution in view of potential risk of bradycardia. Calcium channel blockers such as diltiazem and verapamil are contraindicated in patients taking immunosuppression such as tacrolimus and cyclosporine as it can impair the metabolism CYP3A, which increases the levels of these drugs potentially causing renal toxicity. The use of adenosine in the management of SVT has remained a subject of controversy for over a quarter century. In the past, adenosine was contraindicated in patients post-OHT due to its supersensitivity and presumed risk of prolonged atrioventricular block. Thus, based on the aforementioned data, in patients with OHT, adenosine is feasible and safe at reduced doses (starting at 1.5 mg for patients ≥60 kg) as long as patients are closely monitored, with dose escalation as needed. Furthermore, the 2010 American Heart Association guidelines on advanced cardiovascular life support also recommended lowering the initial dose of adenosine to 3 mg for the acute management of SVT in patients with OHT.
117
22.2 Dabigatran differs from rivaroxaban and apixaban because it inhibits a. prothrombin b. thrombin c. factor X d. fibrin e. fibrinogen
B) Thrombin rivaroxiban 10 dabigatran thrombin direct thrombin inhibitor (2a) reversal = idarucizumab Normal TT (thrombin time) = no dabigatran effect Rivaroxaban & apixaban are direct F10a inhibitors Reversal = Andexanate alpha
118
22.2 A test for a condition which has a prevalence of 1 in 1,000 has a sensitivity of 100% and a specificity of 90%. The probability of a patient who receives a positive result actually having the condition is –50% was not an option a. 1% b. 10% c. 90% d. 100%
a. 1% PPV = TP / TP + FP NPV = TN/ (TN + FN) Sensitivity = TP / (TP+FN) Specificity = TN / (TN+FP) i.e. what is the positive predictive value (PPV) for this test PPV= TP/ TP +FP Negative Predictive Value = TN / TN + FN Prevalence of 1/1000 Sensitivity of 100% Specificity of 90% Of patients that are disease positive in population of 1000 TP = 1 FN = 0 -> 100% sensitivity Of patients that are disease negative in population of 1000 FP = 99 TN = 900 -> 90% Specificity PPV= TP/ TP + FP = 1/ 1 + 99 = 1/100 =1% NPV= TN/ TN + FN =900/ 900 + 0 = 1/1 = 100%
119
22.2 The drug of choice for the treatment of duct-dependent congenital heart disease is a) Sildenafil b) Prostacyclin c) Carboprost d) Alprostadil e) NSAID
d) Alprostadil https://www.rch.org.au/piper/neonatal_medication_guidelines/Alprostadil_(Prostin_VR)_%E2%80%93_(Prostaglandin_E1)/ Alprostadil (PROSTAGLANDIN E1) is a synthetic prostaglandin used to relax the ductus arteriosus in early post-natal life, where a patent ductus is critical for survival, including Tetralogy of Fallot, pulmonary atresia, pulmonary stenosis, tricuspid atresia and transposition of the great arteries. Dose To open a closed ductus arteriosus: 0.1 micrograms/kg/minute (100 nanograms/kg/min). An effect is usually seen within 30-60 minutes. Reduce the dose once an effect is seen or as directed by a Consultant.1 Doses > 0.1 micrograms/kg/minute are rarely more effective and may cause serious adverse effects.3 To maintain patency of ductus arteriosus: 0.01 to 0.02 micrograms/kg/minute (10-20 nanograms/kg/min).1, 2 For persistent pulmonary hypertension of the newborn (PPHN): 0.01 to 0.05 micrograms/kg/minute (10-50 nanograms/kg/min).2
120
Your patient underwent a stellate ganglion block two hours ago. Prior to discharge you are asked to review the patient in recovery because of a droopy upper eyelid. The patient would also be expected to have ipsilateral a) Pupillary constriction and reaction to light b) Pupillary constriction and no response to light c) Pupillary dilation and response to light d) Pupillary dilation and no response to light
a) Pupillary constriction and reaction to light Stellate ganglion block causes ipsilateral Horner's Syndrome: Ptosis (eyelid droop) Miosis (constricted pupils) Anhydrosis (loss of sweating) Enophthalmos (sinking of eyeball into the bony cavity that protects the eye) *Pupillary constriction in response to light is controlled by the Edinger-Westphal nucleus of CN3, which will remain intact.
121
22.2 You are inserting a pulmonary artery catheter in an intubated patient prior to cardiac surgery and a significant amount of blood appears in the endotracheal tube. The most appropriate specific initial management is to a. Remove PAC and insert DLT b. Wedge PAC and insert BB c. Wedge PAC and insert DLT d. Withdraw PAC 2cm and insert DLT
B. Wedge PAC and insert BB Pulmonary rupture Miller: - Position pt with bleeding lung dependent - Perform endotracheal intubation, oxygenation, airway toilet - Isolate lung by endobronchial DLT or SLT or bronchial blocker - Withdraw PAC several centimetres, leaving it in the main PA. Do not inflate the balloon (except with fluoroscopic guidance) - Position pt with isolated bleeding lung nondependent. Administer PEEP to the bleeding lung if possible - Transport the patient to medical imaging for diagnosis and embolisation if feasible
122
22.2 A 55-year-old man with no past history of ischaemic heart disease is three days post-total hip replacement surgery. He has an episode of chest pain that sounds ischaemic, began at rest and lasts 30 minutes before resolving fully. There are no ECG changes nor troponin rise. The diagnosis is a. No diagnosis made b. Unstable angina c. STEMI d. NSTEMI e. MINS
REPEAT 20.2 b. Unstable angina UTD: Unstable angina (UA) and acute non-ST elevation myocardial infarction (NSTEMI) differ primarily in whether the ischemia is severe enough to cause sufficient myocardial damage to release detectable quantities of a marker of myocardial injury (troponins): ●UA is considered to be present in patients with ischemic symptoms suggestive of an ACS and no elevation in troponins, with or without electrocardiogram changes indicative of ischemia (eg, ST segment depression or transient elevation or new T wave inversion). ●NSTEMI is considered to be present in patients having the same manifestations as those in UA, but in whom an elevation in troponins is present. MINS: Myocardial injury after non-cardiac surgery (up to 30 days post-op): 1. Elevated postop troponin 2. Resulting from myocardial ischaemia (i.e. no evidence of a non-ischaemic aetiology), not requiring an ischaemic feature (i.e. no chest pain, no ECG change) VISION studies (Vascular Events in Noncardiac Surgery Patients Cohort Evaluation) demonstrated that severity of MINS strongly associated with 30-day mortality after NCS. hs-cTnT <20ng/L ~ 0.5% 30 day mortality 20-64ng/L ~3% 30 day mortality 65-999 ng/L ~9% 30 day mortality >1000ng/L ~30% 30 day mortality Whilst VISION trial identified MINS in at risk patients, the question now becomes what interventions are available to prevent this complication?
123
22.2 The composition of blood returned to the patient from intraoperative cell salvage shows a) Normal plasma proteins b) Normal platelets c) Normal 23 DPG d) Absence of fat emboli e) Absence of haemolysed RBC
c) Normal 23 DPG https://www.bjaed.org/article/S2058-5349(20)30157-8/fulltext Intraoperative cell salvage (ICS) collects, washes, and reinfuses autologous red blood cells lost during surgery. The washing process removes plasma, platelets, white cells, and debris — leaving packed red cells suspended in saline. The composition of this salvaged blood is therefore quite different from whole blood. Advantages of Cell salvage: 1. reduction in need for donor blood transfusion 2. no restrictive transfusion triggers 3. superior oxygen delivery compared to donor blood -> red cells retain elliptical profiles and retain deformability -> increased concentrations of 2,3 DPG and ATP -> evidence supports early transfusion as oxygen carriage and deformability degrade over time 4. lack of adverse immunolgical effects -> no sensitisation to antigens; Kell, duffy or Lutheran -> donor blood transfusion causes dose-dependant transfusion related immunosupression (TRIM) this can lead to increased risk of post-op infection and posible increased risk of tumour growth in patients undergoing cancer surgery 5. Fulfills criteria for certain cultural groups to receive blood transfusion (JW) 6. Financial benefits despite equipment and staffing costs Disadvantages: 1. The salvaged blood contains clinically insignificant concentrations of clotting factors and platelets, and when large volumes of blood are processed, the use of clotting factors, platelets, and calcium may be necessary. 2. High initial cost of equipment and training 3. Processing of blood requires a few minutes, blood may not be immediately available in time critical scenariois 4. REinfusion hypotension can occur and can be very marked requiring vasopressors 5. More labor intensive than donor blood, increased diligence required when collecting blood 6. May not be appropriate for all situations of operative blood loss ->Malignancy: use is controversial but supported in some instances (cystectomy radical prostatectomy, nephrectomy) ->Sepsis: not absolute contraindication but colume of contaminated material and pus must be limited ->Haemaglobonpathy: relative contraindication in sickle cell trait/disease and thalassaemia due to red cell fragility and potential for haemolysis
124
22.2 A patient is anaesthetised from the awake state to a state of surgical anaesthesia with propofol or a volatile anaesthetic. As the depth of anaesthesia increases, the patient’s electroencephalogram (EEG) will show oscillations that are of a. low frequency low amplitude b. low frequency high amplitude c. high frequency low amplitude d. high frequency high amplitude
b. low frequency high amplitude Changes in the electroencephalogram during anaesthesia and their physiological basis https://academic.oup.com/bja/article/115/suppl_1/i27/234261 Figure 1 shows raw EEG waveforms during isoflurane anaesthesia. During light anaesthesia: -amplitude is shallow and frequency is high. When a higher concentration is administered: -amplitude deepens and EEG frequency slows. During deep anaesthesia: - a ‘burst and suppression’ pattern becomes apparent, characterized by extreme activity, represented by high-frequency, large-amplitude waves (bursts), alternating with flat traces (suppression). - This pattern, excluding brain ischaemia or other factors, indicates that anaesthesia is too deep. Beyond this, flat traces become dominant and, eventually waveforms are no longer apparent. During isoflurane, sevoflurane or propofol anaesthesia, this sequence of changes in pattern is almost identical. The major difference in EEG between the volatile agents (isoflurane or sevoflurane) and propofol is apparent in power in the theta range. During propofol anaesthesia, theta power remains low regardless of concentration, but during isoflurane or sevoflurane anaesthesia, it increases at surgical concentrations of anaesthesia.
125
22.2 The nerve labelled by the arrow marked B in the diagram is the 1. Ulnar Nerve 2. Axillary Nerve 3. Median Nerve 4. Medial Cutaneous nerve of the forearm 5. Long Thoracic Nerve 6. Dorsal Scapular Nerve 7. Radial Nerve 8. Suprascapular nerve 9. Musculocutaneous Nerve
8. Suprascapular nerve
126
22.2 Intraoperative lung protective ventilation strategies include all of the following EXCEPT a. Alveolar recruitment manouevres b. Individualised PEEP c. I:E ratio 1:3 d. TV 6ml/kg e. Minimising ventilatory driving pressure
c. I:E ratio 1:3 SUMMARY: * The ventilator should initially be set to deliver VT ≤6–8 ml kg–1 PBW and PEEP=5 cm H2O. * Individualised PEEP can prevent progressive alveolar collapse. Recruitment manoeuvres can reverse alveolar collapse, but have limited benefit without sufficient PEEP * An I:E ratio of 1:1, which has been characterised as providing a ‘balanced stress to time product’, was associated with attenuation of lung damage. Evidence for specific I:E ratio lacking -> no recommendation. (^ mean airway P but reduces peak airway P) * high ventilator driving pressure (ΔP=plateau pressure [Pplat]–PEEP) has been recognised as a significant determinant of lung injury and is linked to PPCs -------------- BJA Lung-protective ventilation for the surgical patient: international expert panel-based consensus recommendations: An expert consensus was reached for 22 recommendations and four statements. The following are the highlights: (i) a dedicated score should be used for preoperative pulmonary risk evaluation; and (ii) an individualised mechanical ventilation may improve the mechanics of breathing and respiratory function, and prevent PPCs. The ventilator should initially be set to a tidal volume of 6–8 ml kg−1 predicted body weight and positive end-expiratory pressure (PEEP) 5 cm H2O. PEEP should be individualised thereafter. When recruitment manoeuvres are performed, the lowest effective pressure and shortest effective time or fewest number of breaths should be used. Inspiratory/expiratory ratio: Several studies have compared prolonged inspiratory-to-expiratory (I:E) ratios to the 1:2 ratio commonly used during mechanical ventilation. An I:E ratio of 1:1, which has been characterised as providing a ‘balanced stress to time product’, was associated with attenuation of lung damage. Prolonged I:E ratio increases mean airway pressure and concomitantly reduces peak airway pressure. Studies using prolonged inspiratory times have described beneficial effects, including increased CRS and PaO2, lower alveolar–arterial gradient, and reduced inflammatory markers. Given the lack of evidence for a clear benefit of a specific I:E ratio, no recommendation was offered by the panel. However, the panel noted that optimisation of inspiratory time for individual patients can be achieved by monitoring parameters, such as oxygenation, CRS, and ΔP. Intraoperative FIO2 Increased FIO2 during mechanical ventilation is administered to prevent or correct hypoxaemia, but may result in hyperoxia. The negative effects of hyperoxia are not clear, but it has been suggested that it may increase oxidative stress, peripheral vascular and coronary artery vasoconstriction, decrease cardiac output, increase resorption atelectasis, and increase the rate of PPCs. Recommendations for optimal use of oxygen and current evidence regarding the association between hyperoxaemia and clinically relevant outcomes during intraoperative mechanical ventilation are lacking. Few studies have revealed a protective effect of hyperoxaemia, some report an association with mortality, whilst others show no association with clinically relevant outcomes. Therefore, in the absence of evidence, the most prudent course of action during mechanical ventilation is to maintain normoxaemia. SpO2 monitoring can assist in the detection of hypoxaemia, but during oxygen therapy SpO2 cannot detect hyperoxia. Whilst SpO2 monitoring reduces the incidence of hypoxaemia, it does not improve the overall patient outcomes and does not reduce morbidity and mortality. Therefore, once the airway is secured, FIO2 should be set to ≤0.4 with the goal of using the lowest possible FIO2 to achieve normoxia (or SpO2 ≥94%) Unnecessarily high FIO2 should be avoided. Administering lower FIO2 will not only decrease the risk of hyperoxia, but will also reduce the masking effect of oxygen therapy and allow for earlier diagnosis of gas-exchange impairment.
127
22.2 A 76-year-old man requires an emergency thoracotomy to treat an expanding haemothorax. He is mildly hypotensive and is not fasted. His plasma electrolytes and haemoglobin are below. The most appropriate strategy to employ to intubate him with a double lumen endotracheal tube is to (use) K 6.3 Ur 7-ish Cr 174 a. Cisatracurium 0.5mg/kg b. Rocuronium 1.2mg/kg c. Suxamethonium 1mg/kg d. Suxamethonium 0.5mg/kg (?was this an option)
b. Rocuronium 1.2mg/kg Cis not appropriate for intubation Sux with K 6.3 is risky. (I've never heard of reduced dose)
128
22.2 In Australia and New Zealand, the proportion of blood donors who are cytomegalovirus (CMV) seropositive is (rough numbers in the options, can't remember exactly) a. 65 to 85 per million b. 650 to 850 per million c. 6.5 to 8.5 per hundred d. 65 to 85 per hundred
d. 65 to 85 per hundred 85% of australians are CMV positive by the age of 40 https://www.blood.gov.au/system/files/documents/cmv-blood-components.pdf
129
22.2 A 48-year-old man is day two post-laparoscopic high anterior resection. He has used 42 mg of intravenous morphine in the past 24 hours. You wish to start him on oral tapentadol immediate release. The most appropriate equianalgesic dosage would be a) 50mg six times a day b) 100mg six times a day c) 200mg six times a day d) 300 mg six times a day
a) 50mg six times a day 42mg IV Morphine = 126mg Oral Morphine 126/8= 15.75 15.75 x 25 = 393.75 (*400mg/day Tapentadol) Oral Tapentadol 25mg = 8mg Oral Morphine Oral Oxycodone 5mg = 8mg Oral Morphine Oral Tramadol 25mg = Oral Morphine 5mg Oral Hydromorphone 4mg = Oral Morphine 20mg S/L Buprenorphine 200mcg = 8mg Oral Morphine IV Oxycodone 5mg = Oral Morphine 15mg IV Morphine 5mg = Oral Morphine 15mg IV Hydromorphone 1mg = Oral Morphine 15mg
130
22.2 The diabetic medication that, as part of its therapeutic effect, significantly prolongs gastric emptying is a) dulaglutide b) sitagliptin c) metformin d) gliclazide e) acarbose
a) dulaglutide The primary mechanism of action of dulaglutide, as an incretin mimetic hormone or an analogue of human glucagon-like peptide-1, is to increase insulin secretion when glucose levels are elevated, decrease glucagon secretion, and **delay gastric emptying** in an effort to lower postprandial glucose level. Acarbose: Acarbose is a complex oligosaccharide that acts as a competitive, reversible inhibitor of pancreatic alpha-amylase and membrane-bound intestinal alpha-glucoside hydrolase. Pancreatic alpha-amylase hydrolyzes complex carbohydrates to oligosaccharides in the small intestine By delaying the digestion of carbohydrates, acarbose slows glucose absorption, resulting in a reduction of postprandial glucose blood concentrations. -> causes delayed gastric emptying but is not necessarily a part of its therapeutic effect
131
22.2 Unsupported ventilation in a non-anaesthetised patient with long-standing tetraplegia is improved when a) Left lateral b) Right lateral c) Supine d) Trendelenberg e) Reverse Trendelenberg
c) Supine Moving from upright to supine affects the respiratory function of the tetraplegic and high paraplegic individual differently to the able-bodied person. The increase in abdominal girth when sitting in tetraplegia is secondary to decreased abdominal muscle strength and the associated increased abdominal wall compliance. In the seated position, the abdominal contents are less supported by the decreased abdominal wall muscle tone and fall forward, increasing the waist size and lowering the diaphragm. In able-bodied subjects, the FVC is reduced in the supine position, whereas in tetraplegia it is increased. Postural changes are associated with symptoms; patients with an acute, high SCI report less breathlessness when supine compared to sitting. In the supine position, the weight of the abdominal contents forces the diaphragm to a higher resting level so that contraction produces greater absolute excursion of the diaphragm; an effect that can be increased when the person with tetraplegia is tipped 15° head down from supine such that the vital capacity rises by a further 6%
132
22.2 The most common complication of extracorporeal membrane oxygenation (ECMO) in adults is a. Bleeding b. Thrombosis c. infection d. gas embolism
a. Bleeding ECMO complications: - patient complications: bleeding & coagulopathy most common - mechanical complications: access insufficiency common Blue book 2017
133
22.2 The estimated proportion of human induced climate change attributable to nitrous oxide is a) 0.01% b) 0.06% c) 1% d) 6% e) 10%
d) >6 Medical emissions of N2O account for <4% of all emissions of N2O, the majority originating from microbial action on nitrogenous fertilizers N2O is responsible for majority of ongoing ozone depletion and ~6% of anthropogenic global warming Worldwide anaesthetic N2O use is estimated to contribute 1-3% of N2O global emissions.
134
22.2 The correct blood collection tube for a mast cell tryptase test is a a. Potassium EDTA b. serum separating tube c. sodium citrate d. sodium oxalate something
b. serum separating tube (gold top tube or red) Potassium EDTA (purple) -> FBC sodium citrate (blue) -> clotting screen/Rotem sodium oxalate (green) -> heavy metals (lead copper zinc) -> glucose, blood alcohol
135
22.2 When using an endotracheal tube in an adult, the highest recommended cuff pressure to avoid mucosal ischaemia is a. 10cmH2O b. 20 c. 30 d. 40 e. 50
c. 30cmH2O paeds 20 cmH2O
136
22.2 According to the ANZICS Statement on Death and Organ Donation 2021, circulatory determination of death in the context of organ donation requires the absence of evidence of circulation for at least a. 2min b. 3min c. 5 min d. 10 min
c. 5 min Circulatory determination of death in the context of organ donation 12 Circulatory determination of death in the context of organ donation requires the absence of spontaneous movement, breathing and circulation. Absence of circulation is evidenced by absent arterial pulsatility for 5 minutes, using intra-arterial pressure monitoring and confirmed by clinical examination (absent heart sounds and/or absent central pulse). In cases without an arterial line, electrical asystole should be observed for 5 minutes on the electrocardiogram and confirmed by clinical examination. 13 For the purposes of organ donation, circulatory determination of death should be documented using a specific form (see Appendix E) to demonstrate explicitly that all criteria set out in this Statement are met. The same criteria should be listed in local hospital forms
137
22.2 A raised (> 140% predicted) single-breath diffusing capacity of the lung for carbon monoxide (DLCO) can be caused by a. Emphysema b. COPD c. interstitial lung disease d. Asthma e. Sarcoidosis
d. Asthma What are the causes of an elevated DL CO ? The causes of an elevated DLCO are numerous, but is most commonly caused by asthma and obesity (increased pulmonary blood flow). Pulmonary hemorrhage is an additional important cause. Other causes of ^DLCO: asthma (^pulmonary BV), polycythemia, pulmonary haemorrhage (false elevation), large lung volumes, high altitude, left to right cardiac shunt, exercise prior to test (^CO) Emphsema, ILD --> decreased DLCO w/ obstruction Sarcoid -> decreased DLCO w/ restriction Obesity: normal DLCO w/ restriction https://www.atsjournals.org/doi/pdf/10.1513/AnnalsATS.201605-355CC
138
22.2 The medication most strongly associated with an acute primary hypotensive reaction following transfusion of blood products is a. aspirin b. celecoxib c. hydralazine d. metoprolol e. labetalol f. perindopril
f. perindopril Hypotensive transfusion reactions, which account for almost 3% of all transfusion reactions, are associated with patients treated with angiotensin-converting enzyme inhibitors. The current hypothesis suggests that they are caused by bradykinin-induced vasodilation in the absence of allergic, hemolytic, or septic mechanisms. The hypotension observed frequently is unresponsive to conventional therapy with catecholamines. The suggested intraoperative management includes cessation of transfusion and washing red blood cells before blood replacement. Hypotensive reactions to transfusion may not always be recognized. To prevent these reactions, clinicians have several options: they may discontinue the ACE inhibitor (elective transfusion), not use a leukoreduction filter (if the patient has no absolute requirement for leukoreduced blood components), use washed cellular components, or use components that have undergone leukoreduction at the collection facility or the hospital blood bank before transfusion (since bradykinin is degraded during storage).
139
22.2 After ceasing smoking, a patient’s immune function has effectively recovered to normal after a) 1 day b) 3 weeks c) 6-8 weeks d) 6 months e) 6 years
d) 6 months ANZCA PS 12 perioperative smoking https://www.anzca.edu.au/getattachment/5deb6800-e8f9-453f-b9a6-a151a9323249/PG12(POM)-Guideline-on-smoking-as-related-to-the-perioperative-period-(PS12) Effects of quitting 1 day - Reduced HbCO3-> increased O2 content - Reduced nicotine/ SNS stimulation 3 weeks - Increased wound healing 6-8 weeks - Reduced sputum volume - Increased lung function 6 months - Increased immune function
140
22.2 A non-obese adult patient is administered a target-controlled propofol infusion for more than 15 minutes, with a constant target plasma concentration of 4 μg/ml propofol. Compared to the Marsh model, the propofol dose given by the Schnider model will be a a) Smaller bolus smaller total dose b) Smaller bolus larger total dose c) Larger bolus smaller total dose d) Larger bolus larger total dose e) Smaller bolus same total dose
a) Smaller bolus smaller total dose Marsh = more, Schnider = sparing Marsh based on mass alone = MMA Schnider includes senescence, sex = SSS
141
22.2 Despite an interscalene block being performed preoperatively for arthroscopic rotator cuff repair, a patient wakes up with posterior shoulder pain. The most appropriate procedure to consider would be a nerve block of the a. Supraclavicular nerve b. Suprascapular nerve c. Medial pectoral? d. Vagus nerve
b. Suprascapular nerve involves the posterior shoulder joint more. NB: If having shoulder surgery and cant do interscalene do suprascap and axillary block Suprascapula nerve (C5,6) - innervates supra and infraspinatus - comes off superior trunk of the brachial plexus, and is usually anaesthetised by an interscalene block - sensory innervation to 70% posterior-superior shoulders and portion of the anterior axilla and the ACJ Supraclavicular nerve (C3,4) - provides sensory to the 'cape' of the shoulder - component of the cervical plexus block - lies outside the brachial plexus - commonly missed during supraclavicular brachial plexus blocks Subscapular nerve: - subscapularis - medial rotation shoulder Dorsal scapular nerve: - branch of the brachial plexus - supplies rhomboid major muscle, rhomboid minor muscle, and levator scapulae muscle - causes the scapula to be moved medially towards the vertebral column - Dorsal scapular nerve syndrome can cause a winged scapula, with pain and limited motion Thoracodorsal nerve: - thoracodorsal nerve also branches from the posterior division of the brachial plexus - this nerve innervates the latissimus dorsi muscle. Interscalene block reliably anaesthetises the roots/trunks of C5–C7, thus covering: Suprascapular Axillary Lateral pectoral Musculocutaneous Partially long thoracic nerve However, coverage can be incomplete, especially for the suprascapular nerve, if the local anaesthetic spread does not reach the posterior division of the upper trunk. The posterior shoulder capsule and supraspinatus/infraspinatus tendons (common pain sources after rotator cuff surgery) are primarily innervated by the suprascapular nerve. - innerates osseous scapula and posterior humerus head - should have been effectively blocked with BP-ISB (but would cause posterior shoulder pain and can be blocked separately) OR supraclavicular C3/4 - Not part of brachial plexus; posterior cutaneous supply The shoulder receives sensory innervation from the cervical (C3,4) and brachial plexuses (C5,6). Shoulder nerve supply: (SA-SLaM the scapula) - Major sensation (motor & sensory) = suprascapular nerve (upper trunk of the brachial plexus) and axillary nerve (posterior cord of the brachial plexus). - Minor sensation = SLaM: subscapular, lateral pectoral, musculocutaneous ## Footnote https://resources.wfsahq.org/atotw/the-shoulder-block/
142
22.2 The use of intraoperative dexamethasone for tonsillectomy a) Increased oedema b) Increased post tonsillectomy bleed c) Increased Analgesic requirement d) Reduced time to resumption of oral intake
d) Reduced time to resumption of oral intake Intraoperative dexamethasone administration reduces postoperative pain, nausea and vomiting and time to resumption of oral intake after tonsillectomy (S) (Level I [Cochrane Review]), with no increase in adverse effects (U) (Level I [Cochrane Review]). https://www.anzca.edu.au/resources/college-publications/acute-pain-management/apmse5.pdf
143
22.2 The most likely diagnosis for the following electrocardiograph is (comment that this was like a 2015A repeat - ECG below is from that paper + 2022 recalled options) a. AF with BBB b. sinus tachy with BBB c. ventricular tachycardia d. torsades
b. sinus tachy with BBB The most correct answer would be Trifasicular block: RBBB with LAD (RBBB with left anterior hemiblock) and 1st degree heart block Barash 8E 2017: The term bifascicular block often refers to block in the right bundle and one of the two major fascicles of the left bundle. RBBB with left anterior hemiblock is present when the ECG shows an RBBB with a left axis deviation (usually greater than −60 degrees) in the absence of an inferior myocardial infarction. Complete RBBB with right axis deviation (greater than 90 degrees) is indicative of RBBB and left posterior hemiblock in the absence of a lateral myocardial infarction or evidence of right-sided heart failure. The term trifascicular block is used to describe first-degree AV block in the presence of bifascicular block. Is it necessary to insert a temporary pacemaker before general anesthesia for an asymptomatic patient with bifascicular or trifascicular block? The risk for progression to complete heart block in asymptomatic patients with bifascicular block is low. Further, no clinical characteristics have been identified that accurately predict the risk of development of complete heart block. Therefore, routine PPM implantation in patients with asymptomatic bifascicular block is not recommended. Observations made in the perioperative period have suggested that development of complete heart block during general anesthesia is also rare; therefore, it is generally not recommended that patients undergo temporary pacemaker insertion before general anesthesia. However, it is advisable to have an external pacemaker available in the operating room.
144
22.2 The electrolyte abnormality most associated with an increased risk of laryngospasm is a. Hypokalaemia b. Hyponatraemia c. Hypocalcaemia d. Hypercalcaemia e. Hypernatraemia
c. Hypocalcaemia Laryngospasm is a rare, but serious and potentially lethal, complication of hypocalcemia in adults. In every adult presenting with acute dyspnea and stridor, the possibility of hypocalcemia should be considered. Hypocalcemia should be treated promptly. Hypomagnesaemia less so (but also RF) ↑risk laryngospasm in thyroid surgery from: - superior laryngeal nerve injury - hypocalcaemia secondary to accidental parathyroidectomy
145
22.2 In a previously normal patient with cardiac failure secondary to acute pulmonary embolism, the best choice of vasoactive agent for initial treatment is a. Dobutamine b. Milrinone c. Isoprenaline d. Noradrenaline
d. Noradrenaline Acute PE --> likely acute RHF Milrinone/dobutamine will decrease PVR but will also decrease SVR Isoprenaline = non-selective B agonist (^inotropy/chronotropy) but decreases SVR. Used in bradycardia and AV block Norad may ^RV inotropy by improving coronary perfusion so should be considered in setting of obstructive shock secondary to PE Supportive Management of Massive PE Coexisting left ventricular systolic dysfunction and diastolic dysfunction complicate the management of heart failure patients with massive PE. Although a common strategy in response to systemic arterial hypotension is to prescribe a fluid bolus, volume loading may worsen biventricular failure, pulmonary edema, and hypoxemia. An initial trial of volume expansion, limited to 250 to 500 mL, may be attempted in those heart failure patients without evidence of increased right-sided filling pressures or pulmonary edema.6 Although non–heart failure patients generally respond well to pure vasopressors for hemodynamic support in massive PE, many heart failure patients will not tolerate the isolated increase in systemic vascular resistance. PE patients with heart failure may require an agent with mixed vasopressor and inotropic properties such as norepinephrine, epinephrine, or dopamine. Whereas LV function often becomes hyperdynamic to compensate for RV failure, the presence of underlying LV systolic dysfunction in heart failure patients may limit the patient’s ability to maintain normal systemic cardiac output and may necessitate the addition of inotropes. https://www.ahajournals.org/doi/10.1161/CIRCULATIONAHA.108.803965
146
22.2 AA 15-year-old patient with a known prolonged QT interval has a ventricular tachyarrhythmia while being monitored postoperatively in the postanaesthesia care unit. The patient is alert, orientated and without chest pain but feels unwell. The best initial management is A. Magnesium B. Synchronised shock C. Amiodarone D. Adenosine E. Metoprolol
A. Magnesium TdP For all patients with congenital LQTS and a history of syncope, seizures, or resuscitated SCA, we recommend treatment with a beta blocker [8]. In general, we suggest propranolol or nadolol, given their superior efficacy in this patient population. The use of atenolol and metoprolol has been associated with an increased rate of recurrences [25]. In addition, if the symptom was resuscitated SCA, then an ICD as secondary prevention is indicated as well in most circumstances | double check UTD bb ## Footnote https://www.uptodate.com/contents/congenital-long-qt-syndrome-treatment Statpearls Acute - mag Long term prevention of TDP - BB Treatment / Management The goal of management is the prevention of lethal arrhythmias such as torsade de pointes (TdP). As described earlier, the longer the QT interval, the higher the risk is for torsade de pointes. A patient who is hemodynamically unstable should receive non-synchronized electrical defibrillation. Also, first-line treatment is magnesium sulfate, and the benefit is seen independent of serum magnesium level. In those who do not respond to magnesium sulfate, temporary transvenous overdrive pacing should be considered. Isoproterenol and Class IB antiarrhythmic drugs, such as lidocaine and phenytoin may also be used. [5][11][12][13] For long-term management in congenital Long QT syndrome, beta-blockers are the first line choice, and they help prevent ventricular arrhythmias by stabilizing ventricular action potential and helping block sympathetic surges associated with arrhythmias. An implantable cardioverter defibrillator (ICD) is recommended in patients with Long QT syndrome who were resuscitated from a cardiac arrest. It is also indicated in those whom have beta-blocker resistant symptoms or have contraindications to beta-blockers. It also may be indicated in asymptomatic individuals who are suspected to be at high risk for ventricular arrhythmias.
147
22.2 Most consistent risk factor for PONV in children (not on report) a. Use of N2O b. Patient anxiety c. Use of short acting opioids d. Age >3 E.
d. Age >3 Can also be strabimus sugery if Age >3 not there. Key risk factors for paeds: - age ≥3 - postpubertal females - certain surgeries (mainly tonsillectomy and eyes) Other risk factors - FHx PONV, Hx PONV/travel sickness, surgery >30mins, volatile, anticholinesterases (hence use sugammadex), long acting opioids Bolded RFs from Eberhart: 10/10/30/50/70% PONV risk
148
22.2 You are asked to review a 65-year-old man in the emergency department who has presented with hypoxia and confusion. The chest x-ray shows a left-sided a. Pneumothorax b. pneumonia c. one sided pulmonary oedema d. pleural effusion e. haemothorax
b. pneumonia Air bronchogram
149
22.2 The recommended antibiotic prophylaxis for surgical termination of pregnancy is a. Clindamycin 600 mg b. Cephalexin 500 mg c. Doxycycline 400 mg d. Cephazolin 2g e. Cephazolin 2g and metronidazole
c. Doxycycline 400mg Insertion of Mirena-> no antibiotics exception is acute PID-> clindamycin Prophylaxis w/o STI Ix before surgical TOP: - doxycyline 100mg PO prior to and 200mg after surgery OR doxycycline 400mg PO 10-12hrs prior to procedure (with food) - alternative = metronidazole 2g PO + 1g azithromycin PO prior to procedure for high-risk pts (covers chlamydia?) https://ranzcog.edu.au/wp-content/uploads/2022/05/Prophylactic-Antibiotics-in-Obstetrics-and-Gynaecology.pdf
150
22.2 The Pin Index System positions on a C size cylinder of medical oxygen are a) 1,5 b) 2,5 c) 3,5 d) 1,6 e) these options are made up
b) 2,5 Air: 1, 5 Oxygen: 2, 5 N2O: 3,5 CO2: 2, 6 He: 2, 4 Cyclopropane 3, 6 Entonox 7 (1 pin) ACONE for order ACE for 1 C has 6, everything else is 5
151
22.2 The knee is NOT innervated by the a) Common peroneal b) Saphenous c) Obturator d) Posterior cutaneous nerve of the thigh e) Posterior tibial
D) POSTERIOR CUTANOUS NERVE OF THE THIGH - purely cutaneous - skin of posterior thigh, popliteal fossa and proximal leg lat / int and medial cutaneous of the thigh femoral nerve (posterior division) saphenous obturator (post branch) tibial nerve - articulates to the knee sciatic (common perineal nerve) L3/4 = extensors of knee L5/S1 = flexors of the knee ## Footnote Anatomy for Anaesthetists
152
22.2 A patient presents for endoscopic retrograde cholangiopancreatography (ERCP) with a history of previous post-ERCP pancreatitis. The management most likely to reduce the likelihood of pancreatitis is a) Gentamicin b) PR indomethacin c) Creon post op d) Preop smoking cessation
b) PR indomethacin APMSE 5th ed 8.6.1.3: Only rectal NSAIDs are effective for reducing post ERCP pancreatitis, particularly indomethacin. A Randomized Trial of Rectal Indomethacin to Prevent Post-ERCP Pancreatitis https://www.nejm.org/doi/full/10.1056/NEJMoa1111103 Nonsteroidal antiinflammatory drugs (NSAIDs) are potent inhibitors of phospholipase A2, cyclooxygenase, and neutrophil–endothelial interactions, all believed to play an important role in the pathogenesis of acute pancreatitis. NSAIDs are inexpensive and easily administered and have a favorable risk profile when given as a single dose, making them an attractive option in the prevention of post-ERCP pancreatitis. Preliminary studies evaluating the protective effects of single-dose rectal indomethacin or diclofenac in post-ERCP pancreatitis have been conducted, and a meta-analysis suggests benefit. Results A total of 602 patients were enrolled and completed follow-up. The majority of patients (82%) had a clinical suspicion of sphincter of Oddi dysfunction. Post-ERCP pancreatitis developed in 27 of 295 patients (9.2%) in the indomethacin group and in 52 of 307 patients (16.9%) in the placebo group (P=0.005). Moderate-to-severe pancreatitis developed in 13 patients (4.4%) in the indomethacin group and in 27 patients (8.8%) in the placebo group (P=0.03). Conclusions Among patients at high risk for post-ERCP pancreatitis, rectal indomethacin significantly reduced the incidence of the condition.
153
22.2 Of the following, the congenital condition LEAST commonly associated with obstructive sleep apnoea in children is
Hypoplastic mandible (micrognathia) – difficult intubation § Pierre Robin sequence § Treacher Collins § Hemifacial microsomia (Goldenhar syndrome) Midface hypoplasia – difficult bag-mask ventilation § Apert syndrome § Crouzon syndrome § Pfeiffer syndrome § Saethre-Chotzen syndrome Macroglossia – difficult bag-mask ventilation AND difficult intubation § Hurler’s/Hunter’s syndrome (mucopolysaccharidoses) § Beckwith-Wiedemann syndrome § Down’s syndrome https://www.frca.co.uk/Documents/250%20The%20Difficult%20Paediatric%20Ai Mucopolysaccharidoses, Down syndrome, muscular dystrophies, and other neurologic disorders have been associated with obstructive sleep apnea Prevalence of OSAS. Genetic Disorder Prevalence of OSAS Neuromuscular diseases 69.2% Prader–Willi syndrome 94.7% Arnold–Chiari syndrome 80% Achondroplasia 100% Crouzon syndrome 100% https://www.ncbi.nlm.nih.gov/pmc/articles/PMC8156845/ | https://www.frca.co.uk/Documents/250%20The%20Difficult%20Paediatric%20Ai
154
A patient who underwent a thoracotomy 6 months ago reports ongoing pain caused by light brushing of clothes against the skin on the chest wall. This is known as a) Hyperalgesia b) Allodynia c) Hyperaesthesia d) dysasthesia
Mechanical allodynia Allodynia IASP definition: pain due to a stimulus that does not normally provoke pain “The term allodynia was originally introduced to separate from hyperalgesia and hyperesthesia, the conditions seen in patients with lesions of the nervous system where touch, light pressure, or moderate cold or warmth evoke pain when applied to apparently normal skin.” References IASP https://www.iasp-pain.org/resources/terminology/?ItemNumber=1698 And APMSE 5th Ed pg64. "Ans = allodynia – normal touch = painful Dysaesthesia = normal touch or even just spontaneous pain. Unpleasant, abnormal sense of touch (e.g. burning, wetness, can be pain) Paraesthesia = abnormal sensation (or loss of sensation) Hyperalgesia = pain out of proportion"
155
According to Australian and New Zealand Committee on Resuscitation (ANZCOR) guidelines, during advanced life support for ventricular fibrillation, adrenaline 1mg should be administered a) As soon as possible b) Before shock c) After 2nd shock d) After 3rd shock
C. Shockable: Adrenaline 1mg after 2nd shock Then every second cycle Amioderone 300mg after 3 shocks Non-shockable Adrenaline 1mg immediately (then every second cycle)
156
The Sequential Organ Failure Assessment (SOFA) score is used in intensive care for the assesment of sepsis. This score does NOT include the: a) MAP b) FiO2/PaO2 c) INR d) GCS e) Plts
INR Has been asked before where hypoglycaemia was wrong answer SOFA - MAP/vasopressors, GCS, PaO2/FiO2 ratio +/- mechanical ventilation, PLT, bili, creat +/- U/O (Pretty Busy Cells) i.e. CVS/CNS/Resp/Liver/Renal SOFA <9 - <33.3% chance mortality SOFA 10-11 - 50% chance mortality SOFA >12 - 95.2% chance mortality
157
In an adult patient with reduced mouth opening, insertion of a classic design LMA may be easier than with other supraglottic airways because of its a) Bite block b) Gastric port c) Low profile d) Preformed curve
a) low profile Resource: ANZCA PG56(A)BP Difficult airway equipment BP 2021 First generation SADs (page 19) “classic design LMAs (cLMAs) with their low profile and lack of preformed curve have several advantages.”
158
You are asked to assess a patient in the intensive care unit who has a tracheostomy that may have become dislodged. To assess if the tracheostomy is patent you should NOT a) Put in a bougie b) Suction cath c) Deflate cuff d) Remove speaking valve e) Remove inner cannula
A High risk of creating a false passage Blue book 2017 page 21 O2 CISCO O2 → apply 100% O2 to trache site and face C → check cuff is still up, remove caps and check CO2 trace I → remove inner tube +/- replace with new one S → attempt to pass suction catheter down trache C → take cuff down O → consider oral airway
159
Albumin is contraindicated in
No remembered options. Answer could be: Traumatic Brain injury Direct allergy Cardiac Failure SAFE trial
160
A bleeding patient has ROTEM results including (ROTEM results shown). The most appropriate treatment is a) Plts b) FFP c) Cryo d) TXA
c) Cryo ?fibconc first line choice when bleeding?
161
A 56 year old patient presents with exertional syncope. The most likely diagnosis is a) HOCM b) Long QT c) CCF d) Myocardial ischaemia
HOCM if these remembered options are correct Alternative is Aortic Stenosis which is more common than HOCM in this age group As per Cardiology
162
The shoulder joint receives sensory innervation from all of the following nerves EXCEPT the a) Axillary b) Long thoracic c) Lateral pectoral nerve d) Supra scapular e) Sub scapularis
b) Long thoracic The shoulder receives sensory innervation from the cervical (C3,4) and brachial plexuses (C5,6). Shoulder nerve supply: - Major sensation (motor & sensory) = suprascapular nerve (upper trunk of the brachial plexus) and axillary nerve (posterior cord of the brachial plexus). - Minor sensation = SLaM: Subscapular, LAteral pectoral, Musculocutaneous - Rotator cuffs are supplied by: axillary, suprascapular & subscapular nerves - SAX -SLaM Long thoracic innervates serratus anterior"
163
The most likely diagnosis for the following electrocardiograph is a) VF b) AF w bundle branch block c) SVT w BBB d) VT e) Sinus w BBB
d) VT https://litfl.com/ventricular-tachycardia-monomorphic-ecg-library/
164
The nerve labelled with an arrow in the diagram below (diagram of lumbar plexus shown) is the a) Obturator b) Accessory obturator c) Genitofemoral d) Ilioinguinal e) Iliohypogastric
C - genitofemoral "I twice get laid on Fridays” Iliohypogastric, Ilioinguinal, Genitofermoral, Lateral cutaneous nerve of the thigh, Obturator, Femoral
165
A pregnant woman requires a caesarean section delivery within 30 minutes for fetal distress. Her body mass index (BMI) is 26 kg/m2. She has multiple sclerosis with lesions in her brain and spinal cord and receives monthly injections of the disease-modifying drug ofatumumab. The most appropriate plan for her delivery is a) Spinal b) GA c) CSE d) Epi
a) Spinal all are safe in MS The MAB I think is to signify advanced MS (Really there isn’t heaps of evidence) - epidural / regionals - safe - spinal - probably safe - conflicting evidence that it might cause a MS flare - however Cat A and sounds like at least mod MS and still on DMARDS during pregnancy - triggers for MS - stress, sleep deperivation, hyperthermia, infection https://www.openanesthesia.org/keywords/multiple-sclerosis/#:~:text=MS%20is%20not%20a%20contraindication,relapse%20rate%20using%20epidural%20anesthesia "
166
The needle whose tip is pictured is a a) Sprotte b) Quinke c) Touhy d) Whitacre
c) Touhy
167
Patients with rheumatoid arthritis and the most common form of atlantoaxial instability have a widened atlantodental interval. This is measured between the A. distance from posterior surface of dens to anterior surface of posterior arch of atlas B. distance from anterior surface of dens to anterior surface of posterior arch of atlas C. distance from posterior surface of dens to anterior surface of anterior arch of atlas D. distance from posterior surface of dens to posterior surface of posterior arch of atlas E. distance from anterior surface of dens to posterior surface of anterior arch of atlas
Repeat 23.1 E. distance from anterior surface of dens to posterior surface of anterior arch of atlas The atlantodental interval is used in the diagnosis of atlanto-occipital dissociation injuries and injuries of the atlas and axis. The anterior atlantodental interval is the horizontal distance between the posterior cortex of the anterior arch of the atlas (C1) and the anterior cortex of the dens in the median (midsagittal) plane Normal values for anterior atlantodental interval are: radiographs: adults: males: <3 mm females: <2.5 mm 1 (although most authors describe <3 mm ref) children: <5 mm ref CT: adults: <2 mm
168
Pulmonary hypertension is defined as a mean pulmonary arterial pressure greater than a) 15mmHg b) 20mmHg c) 25mmHg d) 30mmHg
b) 20mmHg Mild: 20-40mmHg (ESC & AHA) Moderate: 40-55mmHg Severe: >55mmHg
169
An inappropriate irrigation solution when using monopolar diathermy during transurethral resection of prostate would be a) 1.5% Glycine b) 5% dextrose c) 3% Mannitol d) 0.9% Saline e) Sorbitol
d) 0.9% Saline Other fluids are all electrolyte free except 0.9% Saline ""Electrolyte-free hypotonic solutions such as glycine, mannitol, and sorbitol solutions are used as distending media to enable monopolar electrical systems to be used for coagulation and tissue resection. However, with the low viscosities, these irrigation fluids bear potential risks of rapid fluid absorption resulting in fluid overload, dilutional hyponatremia, and subsequent side effects. Nowadays, with the advancement in technology, bipolar electrical systems can be used in new operative arthroscopic and hysteroscopic equipment. T his enables electrolyte-containing isotonic solutions, for example, normal saline and lactated Ringer solution, to be used as irrigation media. This reduces complications of electrolytes disturbance by irrigation fluids. However, the risks of fluid overload or surrounding tissue oedema remain."" Monopolar Examples – electrolyte free hypotonic solution (which are less conductive) - sorbitol 3.5%, glycine 1.5%, mannitol 3% Bipolar Examples - saline, lactated Ringer Glycine toxicity – inhibitory CNS GABA/NMDA potentiation, cardiodepressant, nephrotoxicity
170
The technique of airway pressure release ventilation a. Has a prolonged expiratory time b. Augments cardiac output in hypovolaemic patients c. Results in reduced mean airway pressures
none of the remembered options Airway pressure release ventilation (APRV) is an open-lung mode of invasive mechanical ventilation mode, in which **spontaneous breathing is encouraged**. APRV uses **longer inspiratory times**; this results in **increased mean airway pressures**, which aim to improve oxygenation. Brief releases at a lower pressure facilitate carbon dioxide clearance. The terminology and methods of initiation, titration, and weaning are distinct from other modes of mechanical ventilation. The use of APRV is increasing in the UK despite a current paucity of high-quality evidence high intrathoracic pressure decreases the transmural left ventricular pressure, reducing the work of contraction and increasing cardiac output. In the context of hypoxaemia, a mode of mechanical ventilation that improves arterial oxygenation will improve myocardial oxygen delivery, myocardial function and cardiac output. As APRV is a spontaneous breathing mode, in addition to the benefits of spontaneous ventilation, reduced doses of sedative drugs can often be used, with subsequent reduction of requirement for vasoactive drugs and improvement in haemodynamic state. Airway pressure release ventilation (APRV) is an open-lung mode of invasive mechanical ventilation mode, in which spontaneous breathing is encouraged. APRV uses longer inspiratory times; this results in increased mean airway pressures, which aim to improve oxygenation https://www.bjaed.org/article/S2058-5349(19)30178-7/fulltext https://derangedphysiology.com/main/required-reading/respiratory-medicine-and-ventilation/Chapter%20518/airway-pressure-release-ventilation-aprv-ards
171
The modified Aldrete scoring system uses all of the following EXCEPT the a) BP b) Pain score c) Resp rate d) sedation level
b) Pain score Aldrete score, which includes five elements (activity, respiration, circulation, consciousness, oxygen saturation) [16]. The original scoring system was developed before the invention of pulse oximetry and used the patient's colouration as a surrogate marker of their oxygenation status. A modified Aldrete scoring system was described in 1995 which replaces the assessment of skin colouration with the use of pulse oximetry to measure SpO2. The Modified Aldrete system includes five additional elements that are particularly useful during the Phase II recovery period prior to discharge to home (dressing, pain, ambulation, feeding, urine output)
172
The ventilator waveforms shown represent (actual image from exam) a) Triggered breaths b) Bronchospasm c) Obstructive pattern d) Gas trapping
C) Obstructive Pattern https://thoracickey.com/ventilator-graphics/ Image 9.6
173
An absolute contraindication to transoesophageal echocardiography is A. Dysphagia B. GORD C. Oesophageal stricture D. oesophageal webbing E. oesophageal varices
"a) oesophageal stricture Absolute CI: perforated viscus, active GI bleed Oesophageal stricture/tumor/perforation/laceration/diverticulum, https://www.asecho.org/wp-content/uploads/2014/05/2013_Performing-Comprehensive-TEE.pdf " "Relative CI: Weak: post radiation therapy, dysphagia, prior GI surgery, neck restriction Bleeding: oesophageal varices, coaguopathy/thrombocytopenia, recent GI bleed Reflux: active PUD, hiatal hernia, active oesophagitis, Barret's oesophagus, "
174
According to the ATACAS trial, the continuation of low-dose aspirin prior to cardiac surgery is associated, in the postoperative period, with a) No increased risk of bleeding b) Decreased risk of MI c) Increased risk of Thrombotic events d) Increased risk of seizures
a) No increased risk of bleeding There is no evidence that pre-operative aspirin administration resulted in a lower risk of death or thrombotic complications, or a higher risk of haemorrhage. The study aim (and title) was to compare stopping vs continuing aspirin, however the design insisted on all patients stopping aspirin and then being given a single dose of aspirin or placebo prior to surgery (and presumably all patients were given aspirin after surgery) – this method hasn’t really investigated the theory TheBottomLine.org.uk See Poise 2 trial results- increased bleeding
175
A 43-year-old man is undergoing an elective endovascular coiling procedure for an 8 mm middle cerebral artery aneurysm. Midway through the procedure the interventionalist tells you they have ruptured the aneurysm. All of the following are appropriate initial interventions EXCEPT A. Decrease BP B. Give protamine C. Urgent transfer to theatre D. Continue coiling E. Mild hyperventilation
REPEAT Answer: c. Urgent transfer to theatre "Mx of rupture (GA preferred) - induce hypotension - deepen anaesthesia, IV antihypertensives eg labetol to MAP prior to bleed - reverse heparin with protamine (1mg per 100units heparin) - if high extravastated blood load --> may require CT + EVD (external ventricular drain; drains CSF) - usually treated by packing of defect with coils -- emergency craniotormy and clipping if coiling fails If vascular occlusion secondary to arterial thrombus/emboli/misplaced coil/vasospasm – ↑ collataral flow by ↑ MAP to 30-40% above baseline +/- thrombolysis " BJA Anaesthesia for interventional neuroradiology https://academic.oup.com/bjaed/article/8/3/86/293346 Clinical signs of a rise in ICP or a sudden rise in blood pressure with or without a fall in heart rate should alert the anaesthetist to this possibility. Extravasation of contrast may also be seen. The goals are to increase coagulability by reversing heparin, decrease bleeding by lowering blood pressure (to the level before the bleed), control ICP with hyperventilation, head elevation, steroids and osmotic agents, control seizures, and initiate cerebral protection. Once the bleeding is controlled, the pressure may be raised to check for leaks. Usually, the coiling continues; rarely, a ventriculostomy may be required. If the coiling is unsuccessful, a rescue craniotomy and clipping will be required. Management may also involve performance of CT scans and subsequent transfer to ICU.
176
A patient will open her eyes in response to voice, speak with inappropriate words and withdraw to a painful stimulus. Her Glascow Coma Scale score is
E3 V3 M4 = GCS 10
177
Intravenous dexmedetomidine use does NOT result in a) hypotension b) Unchanged PACU length of Stay c) residual sedation 4) Reduced in pain
c) residual sedation https://pubmed.ncbi.nlm.nih.gov/35085107/#:~:text=Conclusions%3A%20The%20use%20of%20dexmedetomidine,sedation%20or%20bradycardia%20in%20PACU
178
The risk of developing postherpetic neuralgia may be reduced by treating acute herpes zoster (shingles) with A. Ibuprofen B. Gabapentin C. Aciclovir D. Amitriptyline E. Oxycodone
D. Amitriptyline Amitriptyline (used in low doses for 90 days from onset of the herpes zoster rash) reduces the incidence of postherpetic neuralgia N.B Antiviral agents started within 72 hours of onset of the herpes zoster rash accelerate the resolution of acute pain (U) (Level I) but **do not reduce** the incidence, severity and duration of postherpetic neuralgia UTD Both Gabapentinoids and TCAs are effective at TREATING postherpetic neuralgia. The former have lower risk of discontinuation due to adverse side effects. For moderate or severe pain, use gabapentinoids.
179
Rapid reversal of the anticoagulant effect of dabigatran can be achieved with a) Andexenet Alfa b) rotuzimab c) Idarucizumab (Praxbind) d) Infliximab
Idarucizumab (Praxbind) is a monoclonal antibody to dabigatran Dabigatran bleeding may be treated with: - idarucizumab - haemodialysis -PCC 25-50IU/kg - TXA will decrease fibrinolysis and has some effect - FFP also has some effect Humanized monoclonal antibody fragment (Fab) indicated in patients treated with dabigatran (Pradaxa) when reversal of the anticoagulant effects are needed for emergency surgery or urgent procedures, or in the event of life-threatening or uncontrolled bleeding - very high affinity for dabigatran (300x vs affinity for thrombin) - 5 g IV, provided as 2 separate vials each containing 2.5 g/50 mL (see Administration) - RE-VERSE-AD trial: undetectable levels <20ng/ml within minutes and for 24 hours - Limited data support administration of an additional 5 g depending on clinical situation Dosage Modifications Renal impairment: Renal impairment did not impact the reversal effect of idarucizumab; no dosage adjustment required Hepatic impairment: Dosing Considerations This indication is approved under accelerated approval based on a reduction in unbound dabigatran and normalization of coagulation parameters in healthy volunteers; continued approval for this indication may be contingent upon the results of an ongoing cohort case series study
180
The muscle or muscle group with the greatest sensitivity to the action of non-depolarising neuromuscular blocking agents is/are the a. Abdominal muscles b. Adductor pollicis c. Pharyngeal muscles d. Diaphragm
c. Pharyngeal muscles Millers Anaesthesia: Reference artyicle from Millers: https://pubs.asahq.org/anesthesiology/article/92/4/977/710/The-Incidence-and-Mechanisms-of-Pharyngeal-and An adductor pollicis TOF ratio of 0.90 or less was associated with impaired pharyngeal function and airway protection, resulting in a four- to fivefold increase in the incidence of pharyngeal dysfunction causing misdirected swallowing. Moreover, pharyngeal function and airway protection may be impaired, even if the adductor pollicis muscle has recovered to a TOF ratio of more than 0.90.
181
A patient under general anaesthesia monitored with transcranial cerebral oximetry has a decrease in their cerebral oxygen saturation. This is likely to be improved by an increase in all of the following EXCEPT A. Increasing blood pressure B. Deepening anaesthesia C. Increased minute ventilation D. Transfusion
C. Increased minute ventilation Cerebral blood flow Cardiac output Acid–base status Major haemorrhage Arterial inflow/venous outflow obstruction Oxygen content Haemoglobin concentration Haemoglobin saturation Pulmonary function Inspired oxygen concentration Inspired oxygen concentration
182
Elimination of remifentanil occurs following breakdown mainly by a Plasma cholinesterase b RBC esterases c Hoffman degradation d Hepatic Metabolism e Plasma esterases
e Plasma esterases Remi = non-specific tissue and plasma esterases Esmolol = RBC esterases (not inhibited by cholinesterase inhibitors) Suxamethonium/mivacurium = plasma/pseudo/butyrylcholinesterase (same thing) Cisatracurium = Hoffman elimination (Atracurium =1/3 hoffman, 2/3 ester hydrolysis). "
183
A patient who has had a previous axillary nodal dissection and who does not have lymphoedema of the affected arm presents for surgery. On the affected arm contraindicated to place "A) NIBP B) IV cannulation C) Arterial line insertion D) None of the above"
D "Axilllary nodal dissection without lymphoedema: everything safe; NIBP, IAL, PIVC safe with lymphoedema – no absolute contraindication to using affected limb for monitoring and IV access - alternative site should be contemplated where practicable " "PG 18 (A) https://www.anzca.edu.au/resources/professional-documents/professional-document-appendix-topics/appendix-1-pg18(a).pdf"
184
Synchronised direct current cardioversion is NOT indicated when the arrhythmia is a) AF b) Flutter with rate <100 c) Multifocal atrial tachy d) SVT with e) Conscious torsades
C- Multifocal Atrial Tachycardia Cardioversion is contraindicated in MAT. Due to the multiple atrial foci, direct current (DC) cardioversion is not effective in restoring normal sinus rhythm and can precipitate more dangerous arrhythmias. - https://emedicine.medscape.com/article/155825-overview#a10 DCCV is indicated for 1. Any haemodynamically unstable narrow or wide QRS complex tachycardia 2. AF <48hrs 3. AF >48hrs with adequate anticoag/TOE to exclude thrombus 4. SVTs and monomorphic TVs not responding to trial of IV medical therapy DCCV is CONTRAindicated in: a. Digitalis toxicity and associated tachycardia b. AF >48hrs without adequate anticoagulation/TOE -BJAEducation 2017 https://academic.oup.com/bjaed/article/17/5/166/2669966 NB unlikely to synch in torsades but would still aim to
185
In a 20-year-old with cystic fibrosis, the most likely finding on pulmonary function tests is a. Mixed obstruction and restrictive pattern b. Restrictive with normal DLCO c. Restrictive with low DLCO d. Obstruction with reduced RV e. Obstructive with reduced FEV1
REPEAT 23.1 e. Obstructive w/ reduced FEV1 Mucous narrowing airways = obstructive Parenchymal damage = restrictive Obstructive PFP remains the most common pulmonary function pattern in adult CF and is associated with -decrease FEV1 & FVC/FEV1 For patients with CF, an obstructive pattern is generally seen, with a decrease in forced expiratory volume in 1 s (FEV1), and forced vital capacity (FVC) to FEV1 ratio. https://academic.oup.com/bjaed/article/11/6/204/263786 Can get mixed picture but ?at 20
186
Dulaglutide reduces blood glucose by A - Binding Glucagon-like peptide 1 receptors and causing activation B - Binding Glucagon-like peptide 1 receptors and competitively inhibiting GLP1 binding C - Binding Glucagon-like peptide 1 receptors and causing conformational change leading to cell death D - Binding L cells of the gastrointestinal mucosa leading to GLP-1 secretion E - Binding L cells of the gastrointestinal mucosa leading to GLP-1 sequestration
A - GLP1 receptor agonist GLP1 agonists aka incretin mimetics (GLP1 is an endogenous incretin) - Slow gastric emptying - Inhibit glucagon release - Stimulate insulin production - Also reduce food intake
187
Ongoing cerebral seizure activity induced by electroconvulsive therapy should be medically terminated after a) 30 seconds b) 1 minute c) 2 minutes d) 3 minutes e) 5 minutes
c) 2 minutes Optimal seizure duration somewhere between 10-120seconds. https://academic.oup.com/bjaed/article/10/6/192/299664 QLD health ECT guideline https://www.health.qld.gov.au/__data/assets/pdf_file/0028/444763/guideline-administration-electroconvulsive-therapy.pdf
188
The odds ratio is the measure of choice for a a. Case control b. Cohort c. RCT d. Epidemiological study
a) case control https://www.cdc.gov/csels/dsepd/ss1978/lesson3/section5.html OR is measure of association between an exposure and an outcome. OR represents the odds an outcome will occur given a particular expsoure compare to the odds of the outcome occuring in absence of the exposure. Most commonly used in case control studies, can also be used in cross-sectional and cohort study designs (with some modification /assumptions) OR = 1 exposure does not affect odds of outcome OR >1 exposure assoicated with higher odds of outcome OR <1 exposure associated with lower odds of outcome"
189
The diagnostic criterion for severe obstructive sleep apnoea in adults is an apnoea/hypopnoea index of at least A) 10 B) 20 C) 30 D) 40 E) 50
C) 30 "ADULT: normal <5 mild 5 - < 15 moderate >/=15 - 30 severe >/= 30 Apnoea = breathing stop or reduce to 10% of normal levels for 10 secs Hypopnea (i.e. shallow breathing) = airflow decreases by more than 30% for 10 seconds AHI = total apnoea+hypopnoea / total no. of hours asleep"
190
When used for prolonged analgesia in a healthy adult, the recommended maximum dose of ropivacaine via continuous infusion or bolus dosing in a 24-hour period is a) 450mg b) 600mg c) 770mg d) 1200mg
c) 770mg Product info: Fresenius-Kabi When prolonged epidural blocks are used, either by continuous infusion or repeated bolus administration, the risks of reaching a toxic plasma concentration or inducing local neural injury must be considered. Cumulative doses of up to 800 mg ropivacaine for surgery and postoperative analgesiaadministered over 24 hours were well tolerated in adults, as were postoperative continuous epidural infusions at rates up to 28 mg/hour for 72 hours. product info: pfizer When prolonged blocks are used, either through continuous infusion or through repeated bolus administration, the risks of reaching a toxic plasma concentration or inducing local neural injury must be considered. Experience to date indicates that a cumulative dose of up to 770 mg ropivacaine hydrochloride administered over 24 hours is well tolerated in adults when used for postoperative pain management: i.e., 2016 mg. Caution should be exercised when administering ropivacaine for prolonged periods of time, e.g., > 70 hours in debilitated patients
191
In a cardiac transplant recipient, hypotension due to general anaesthesia is least likely to respond to a) noradrenaline b) Ephedrine c) adrenaline d) Atropine
d) Atropine Blue book 2019 Denervated heart. Only drugs that act directly on the heart will be effective. Loss of predominant parasympathetic outflow - so SA node rate now 90-100. Preload dependent - frank starling mechanism. alpha and beta receptors remain intact but attenuated response to catecholamines. - Dopamine/isoprenaline - effective - Norad/adrenaline, dobutamine - exaggerated effect due to ↑adrenoceptor density↑ - depends on intrinsic stores of catecholamines and degree of reinnervation - Phenylephrine/metaraminol (latter mostly direct) - effective but no reflex brady - Ephedrine - less effective (indirect mechanism > direct) digoxin - inotropy OK, but conduction effects at AV node absent (PSNS dennervation)"
192
When the infraclavicular approach is used, the brachial plexus is blocked at the level of the a. roots b. trunks c. divisions d. cords e. branches
d. cords "Roots - Interscalene Trunks - Superior trunk Divisions - Supraclav Cords - Infraclav Branches - Axillary https://teachmeanatomy.info/upper-limb/nerves/brachial-plexus/ "
193
A patient’s glomerular filtration rate is estimated at 35 mL/min/1.73m2. The patient’s chronic kidney disease can be classified as Stage a) 2 b) 3a c) 3b d) 4 e) 5
c) 3b 1>90 2 60-89 3a 45-59 3b 30-44 4 15-29 5 < 15"
194
The National Audit Project 6 found that the most common early clinical feature of perioperative anaphylaxis was a) Arrest b) Urticaria c) Bronchospasm d) Hypotension e) CO2 down
d) Hypotension The commonest presenting feature of perioperative anaphylaxis by far was hypotension (accounting for 46%), followed by bronchospasm/high airway pressure (18%), tachycardia (9.8%), flushing/non-urticarial rash 6.6% and cyanosis/oxygen desaturation (4.7%).
195
You are inducing anaesthesia in a 20-year-old female through a cannula which was inserted in the right antecubital fossa while she was in the emergency department. After 10 ml of propofol has been injected, she complains of severe pain and it becomes clear that the cannula is intra-arterial. The most appropriate management is a) aspirate b) flush with N.Saline c) flush with lignocaine d) observe e) flush with Heparin
D/ pbserve (Protocol at base of resource just above summary) 1 - stop injection 2 - keep catheter insitu initially (remove within 48hrs) 3 - maintain patency of arterial catheter (e.g. ?1mL/kg/hr saline) 4 - symptomatic relief - elevation, massage, passive mobilisation, analgesia, consider regional block 5 - calculate tissue ischaemia score (skin colour - cyanotic, CRT>3 sec, cold, sensory deficity - 1 point each) – if tissue iscaemia score 3 or 4 or high risk drug (benzo, penicillin, clindamycin, thiopental, phenytoin, diclofenac) --> consider heparin and d/w vascuar/IR + ensure follow up – if tissue ischaemia score 1 or 2 AND low risk drug --> monitor " https://www.anztadc.net/Publications/Images/ANZCA/Unintended%20Intraarterial%20injection%20WebAIRS%20news%20ANZCA%20Bulletin%20September%202019.pdf
196
A man with a history of obesity and obstructive sleep apnoea has just had a transsphenoidal pituitary resection. Soon after extubation he is semi-conscious and is making a respiratory effort but has near complete upper airway obstruction with stridor. His arterial oxygen saturation is 93% and starting to fall. Your first actions should be to a) Deepen with propofol and insert LMA b) Insert Oropharyngeal airway and provided positive pressure ventilation c) Insert Nasopharyngeal airway and provided positive pressure ventilation d) Insert Nasopharyngeal airway and provide CPAP
a) Deepen with propofol and insert LMA Nasal continuous positive airway pressure (CPAP) is contraindicated after transsphenoidal surgery due to the risk of tension pneumocephalous. The level of consciousness, eye movements, visual fields, and acuity should be tested frequently and any deterioration discussed with the surgeon, and radiological investigation and/or re-exploration considered. https://academic.oup.com/bjaed/article/11/4/133/266875#3195876
197
Measures to avoid venous air embolism when inserting an internal jugular central venous catheter in an awake patient include all of the following EXCEPT a) Trendelenburg position b) Occlude needle hub with thumb c) Insert during inspiration d) Pre-insertion IV fluid bolus
New question Measures to avoid venous air embolism when inserting an internal jugular central venous catheter in an awake patient include all of the following EXCEPT c) Insert during inspiration Negative pressure generated by inspiration in an AWAKE patient https://www.ncbi.nlm.nih.gov/pmc/articles/PMC5126790/ Measures to stop air embolus - Valsalva ↑ITP (helps prevent air from entering) - supine/head down (+ve venous P) - flush/infusion system stops air exposure - occlude catheter hubs at all times"
198
Diffusing capacity of the lungs for carbon monoxide (DLCO) is decreased in all of the following EXCEPT made up potential answers: a) Pulmonary Fibrosis b) Interstitial Lung disease c) Obesity d) Pulmonary haemorrhage
d) Pulmonary haemorrhage Rewording of 21.2 Question Won't increase in Myasthenia Gravis Causes of HIGH value include: Asthma Left-right intracardiac shunt polycythaemia Pulmonary haemorrhage Obesity - Dlco will increase but kco will not
199
The recommended dose of IV adrenaline in a 15 kg, 5 year old child with grade 2 (moderate) perioperative anaphylaxis is a) 15mcg b) 30mcg c) 50mcg d) 100mcg e) 150mcg
b) 30mcg Moderate = 2mcg/kg Life threatening = 4-10mcg/kg file:///Users/jbjon/Downloads/Australian_and_New_Zealand_Anaesthetic_Allergy_Gro.pdf Draw up 1mg in 50ml = 20mcg/mL Grade 2 (mod) anaphylaxis = 2mcg/kg = 0.1ml/kg Grade 3 (life-threatening) = 4-10mcg/kg = 0.2-0.5ml/kg Cardiac arrest = 10mcg/kg IM adrenaline (1:1000): < 6yo = 150mcg = 0.15ml 6-12yo = 300mcg = 0.3mL "
200
A 21-year-old patient with a history of schizophrenia on quetiapine develops tremor, restlessness, hyperreflexia, nausea and vomiting in the post-anaesthesia care unit following an emergency laparoscopic cholecystectomy. Her heart rate is 80 / minute, blood pressure 130/90 mmHg, and her temperature is 37.0°C. The most likely diagnosis is a) Serotonin Syndrome b) NMS c) MH d) Rhabdomyolysis e) anticholinergic crisis
Repeat 22.2 Serotonin syndrome Hyperreflexia differentiates Usually has hypertension and hyperthermia
201
The success rate of stopping smoking before surgery is NOT improved by a) Bupropion b) Clonidine c) Nortroptyline d) Varencicline e) SSRI
Repeat SSRI Clonidine has limited efficacy ANZCA PG12 Background Paper ANZCA PERIOP CESSATION OF SMOKING GUIDELINE: "Effective pharmacotherapy options include nicotine replacement therapy, nicotine partial agonists such as varenicline (Champix), bupropion (Zyban), nortryptilline and clonidine" Up to Date Pharmacotherapy for Smoking Cessation in Adults - First-line pharmacotherapies for smoking cessation include nicotine replacement therapy (NRT), varenicline, and bupropion - Clonidine: despite promising initial studies, clonidine is now generally regarded as having limited efficacy for smoking cessation. - Selective serotonin reuptake inhibitors/anxiolytics – Selective serotonin reuptake inhibitors (SSRIs) and anxiolytic drugs generally have not been shown to be effective for smoking cessation
202
In the thigh, the adductor canal is bordered by all of the following EXCEPT a) Adductor Longus b) Adductor Magnus c) Sartorius d) Vastus Lateralis e) Vastus Medialis
d) Vastus Lateralis Anteromedial: sartorius Lateral: vastus medialis Posterior: adductor longest and magnus
203
When performing cannulation of the median cubital vein the structure that is LEAST likely to be inadvertently punctured or damaged is the A) Radial artery B) Median nerve C) Brachial artery D) Ulnar artery E) Ulnar nerve
Repeat e) Ulnar nerve The cubital fossa is triangular in shape and consists of three borders, a roof, and a floor: Lateral border – medial border of the brachioradialis muscle. Medial border – lateral border of the pronator teres muscle. Superior border – horizontal line drawn between the epicondyles of the humerus. Roof – bicipital aponeurosis, fascia, subcutaneous fat and skin. Floor – brachialis (proximally) and supinator (distally). Contents: - radial nerve - biceps tendon - brachial artery - median nerve My Brother Throws Rad Parties (cub fossa contents medial to lat) Median nerve, brachial artery (branches into radial and ulnar artery), tendon of biceps, radial nerve, posterior interosseous branch of radial N. https://radiopaedia.org/articles/contents-of-the-cubital-fossa-mnemonic#:~:text=A%20useful%20mnemonic%20to%20remember,My%20Brother%20Throws%20Rad%20Parties"
204
A patient has severe hypokalaemia and is in cardiac arrest. The Australian Resuscitation Council and the New Zealand Resuscitation Council recommend intravenous potassium should be given as a) 5mmol bolus KCl b) 5mmol KCl over 5min c) 5 mmol KCl over 10min d) 10mmol bolus KCl e) 20mmol KCl over 10min
REPEAT a) 5mmol bolus KCl https://www.anzcor.org/home/adult-advanced-life-support/guideline-11-5-medications-in-adult-cardiac-arrest/ Potassium is an electrolyte essential for membrane stability. Low serum potassium, especially in conjunction with digoxin therapy and hypomagnesaemia, may lead to life threatening ventricular arrhythmias. Consider administration for: Persistent VF due to documented or suspected hypokalaemia. [Class A; Expert consensus opinion] Adverse effects: Inappropriate or excessive use will produce hyperkalaemia with bradycardia, hypotension and possible asystole Extravasation may lead to tissue necrosis. Dosage: A bolus of 5 mmol of potassium chloride is given intravenously.
205
In the POISE study the use of beta blockers on the day of surgery as a cardio protective strategy in high risk patients has been associated with a) Increased heart rate b) Decreased hypotension c) Increased mortality d) Increased myocardial infarction
REPEAT c) Increased mortality Use of perioperative metoprolol was associated with: * Decreased rate of myocardial infarction * Decreased rate of revascularisation * Decreased rate of developing new atrial fibrillation * INCREASED rate of death * INCREASED rate of stroke * INCREASED rate of significant hypotension INCREASED rate of significant bradycardia
206
Following denervation injury to muscles, critical hyperkalaemia associated with suxamethonium administration can occur as early as a) 12hrs b) 18hrs c) 24hrs d) 48hrs
d) 48hrs Extrajunctional receptors are not found in normal active muscle but appear very rapidly whenever muscle activity has ended or after injury has been sustained. They can appear within 18 h of injury and an altered response to neuromuscu- lar blocking drugs can be detected within 24 h of the insult. They disappear when muscle activity returns to normal. BJA 2002 This up-regulation is not high enough to cause hyperkalemia with succinylcholine even at 24 – 48 h of immobilization/denervation https://citeseerx.ist.psu.edu/document?repid=rep1&type=pdf&doi=846b7ea4159b4dfa57bb12d77a91ec8d78927faf
207
A 25-year-old man suffers a burn involving 30% of his total body surface area. A cardiovascular physiological change expected within the first twenty-four hours is a. Decreased PVR b. Increased SVR c. Decreased SVR d. Reduced PA pressure e. Increased hepatic blood flow
REPEAT increased SVR EMSB handbook CO is reduced after Burn injury 2ry to: - myocardial depressant mediators - decreased blood volume - reduced venous return - increased pulmonary and systemic vascular resistance due to increased levels of catecholamines "Early CVS changes - shock phase first 24-48hrs -> mimics hypovolamic shock - low CO (halved): hypovolaemia, ↓SV, ↓CI, ↑HR. ↑SVR in response, ↑ADH, ↓BF to organs, ↑Hct - ↓oxygen delivery, (APO/bronchospasm/ARDS - particularly in inhalational injury), ↑PVR - resistance to NDMB Late CVS changes (hyperdynamic circulation 72-96hrs post burn) - driven by catecholamine surge - ↑CO proportional to size of burn (part of hypermetabolic response, most commonly seen in patients with>40% burn) - ↑HR, ↓SVR, ↑CI - ↑VO2, ↑VCO2 - ↑↑nAChR (sux ↑↑↑K+)"
208
For an adult patient with septic shock, the 2021 Surviving Sepsis Guidelines suggest using procalcitonin to guide a) Start/stop steroids b) Stop antibiotics c) Start CRRT d) Source control
b) Stop antibiotics For adults with suspected sepsis or septic shock, we suggest AGAINST using procalcitonin plus clinical evaluation to decide when to start antimicrobials, as compared to clinical evaluation alone. Weak, very low quality of evidence For adults with an initial diagnosis of sepsis or septic shock and adequate source control where optimal duration of therapy is unclear, we suggest using procalcitonin AND clinical evaluation to decide when to discontinue antimicrobials over clinical evaluation alone. Weak, low quality of evidence
209
ANZCA guidelines recommend that under general anaesthesia, blood pressure should be measured no less frequently than every a) 2 mins b) 3 mins c) 5 mins d) 10 mins
10mins PG18A Ventilation - continually monitored Oxygenation - adequate lighting for ax of colour of pt O2 analyser - alarm for low oxygen concentration Pulse ox - every pt under GA or sedation with variable pulse tone and low threshold alarm Ventilation - disconnection and failure alarm CO2 montior - for all pts under GA and immediately available for sedation ECG - available for all. Should be used for all undergoing general and major regional anaeshthesia as indicated. NIBP - available for every pt and range of cuff sizes available IABP - available BIS - available End tidal anaesthetic - all using volatiles Temp monitor - available each GA and used whenever warming device used Neuromuscular - used whenver extubating after using NDMB
210
Suxamethonium is safe to use for muscle relaxation in a patient with a. Becker muscular dystrophy b. Myaesthenia gravis (new option) c. Guillain Barre d. Hypokalaemic periodic paralysis (new option) e. Duchenne muscular dystrophy or a. Becker muscular dystrophy b. Cerebral palsy c. Guillain Barre d. Frederich’s ataxia e. Duchenne muscular dystrophy
b. Myaesthenia gravis or b. Cerebral palsy ED95 is 0.8mg/kg in a MG patient b. Cerebral palsy ->sux and volatiles are not contraindicated -> presence of extrajunctional receptors may cause hyperkalaemia a. Becker muscular dystrophy -> essentially milder Duchenne's (see duchenne response to Sux) b. Cerebral palsy -> Sux and volatiles not contraindicated -> reduced MAC requirement -> increased sensitivity to muscle relaxants c. Guillain Barre -> sux contraindicated due to risk of hyperkalaemia -> increased sensitivity to Non depolarising NB d. Frederich’s ataxia -> sux should be avoided due to risk of hyperkalaemia e. Duchenne muscular dystrophy -> sux and volatiles contraindicated due to rick of hyperkalaemia and rhabdomyolysis
211
The changes in oximetry seen after intravenous injection of indocyanine green are
REPEAT Increases NIRS , decreases peripheral spo2 SctO2 up, SpO2 down. ↑SctO2 from: ↑BF (↑[oxygenated blood] to previously underperfused) Dose-dependent relationship - note the time to peak/nadir SctO2/SpO2 was the same https://www.ncbi.nlm.nih.gov/pmc/articles/PMC4384398/ https://www.bjaed.org/article/S2058-5349(22)00076-2/pdf - used in liver resection to estimate minimum liver volume required" Source: Korean Journal Anaesthesia https://www.researchgate.net/publication/274570990_Effects_of_intravenously_administered_indocyanine_green_on_near-infrared_cerebral_oximetry_and_pulse_oximetry_readings
212
Appropriate surgical anaesthesia with sevoflurane is characterized by a frontal EEG showing a) Decreased alpha and delta waves b) Increased alpha waves c) anteriorisation alpha waves d) Increased gamma and epsilon e) increased spectral edge frequency
C "https://www.bjanaesthesia.org.uk/article/S0007-0912(17)31007-3/fulltext#seccestitle40 Anteriorisation of alpha rhythm predominates when anaesthesia adequate for surgery Not clearly apparent just after loss of responsiveness Common with iso/sevo/propofol anaesthesia - usually alpha waves are ~10Hz in occipital regions when pt awake w/ eyes closed; these migrate to frontal regions under anaesthetic (or sleep) Difference between volatile and propofol anaesthesia: – in propofol theta power remains low regardless of concentration but iso/sevo anaesthesia theta power increases at surgical concentration of anaesthesia
213
The medical laser LEAST likely to cause eye injury is a) CO2 b) Nd:YAG c) Argon d) Green light
REPEAT CO2 Laser danger is proportional to penetration. Penetration inversely proportional to the laser wavelength. CO2 laser has very little penetration (~ 10micrometres), as it has a wavelength of 10 600nm. Helium-Neon laser also has very little penetration. Nd:YAG is the most powerful, with a penetration of 2-6mm, as it has a wavelength of 1064nm.
214
The smallest endotracheal tube that can be railroaded over an Aintree Intubation Catheter has an internal diameter of A. 4.0 B. 5.0 C. 6.0 D. 7.0 E. 8.0
Size 7.0 The Tube The endotracheal tube has a length and diameter. The endotracheal tubes size (“give me a 6.0 tube”) refers to its internal diameter in millimeters (mm). The ETT will typically list both the inner diameter and outer diameter on the tube (for example, a 6.0 endotracheal tube will list both the internal diameter, ID 6.0, and outer diameter, OD 8.8).
215
When performing an erector spinae block in the lumbar region local anaesthetic should be placed a. Between the fascial plane of erector spinae and rhomboids b. Posterior to both erector spinae and spinous process c. Anterior to erector spinae and posterior to transverse process 5th rib d. Superficial to the infraspinatus fossa e .Superficial to the lamina or A) At the mid point of the transverse process B) At the tip of the transverse process C) Superficial to Erector Spinae D) Superficial to the infraspinatus fossa E) Superficial to the lamina
Repeat c. Anterior to erector spinae and posterior to transverse process 5th rib or B) at the tip of the transverse process Midpoint between T5-6 (Usual Incision T4-5, ICC T6)
216
A randomised control trial is performed on a new antiemetic medication. The rate of nausea in the placebo group is 20% and in the treatment group the rate is 5%. The number needed to treat to prevent nausea with this new drug is
NNT = 6 to 7 NNT=1/ARR. (Absolute Risk Reduction) ARR = 0.2-0.05 = 0.15 1/0.15 = 6.66 With respect to previous variation of this question: (base rate is 10%, experimental group is 8% (20% below 10%) therefore 100/ 2 = 50 or 1 divided by risk reduction population risk = 10/100 patients get PONV population risk + new antiemetic = 8/100 patients get PONV (8/100 as reduction by 20% with new drug) RR= 0.10-0.08=0.02 NNT= 1/RR =1/0.02 =50 https://bestpractice.bmj.com/info/us/toolkit/learn-ebm/how-to-calculate-risk/
217
The cardiac arrhythmia most commonly associated with the chronic use of methadone is: a) Torsades b) VF c) Tachycardia
a) Torsades 2ry to prolonged QT leading to R on T PETKOV
218
A patient is dyspnoeic in the post anaesthesia care unit with oxygen saturations of 94% on 10 litres/min oxygen via face mask. A focused lung ultrasound is performed. The structures labelled with the white arrows represent
See combined deck for multiple Qs on lung ultrasound "A lines horizontal - may be normal or pneumothorax B lines vertical - can be interstitial fluid e.g. pulmonary oedema -> (After Hours, Batman is Vigilant) Pneumothorax features: - abscence of B lines & sliding (on highest point of anterior chest) - absence of lung pulse - presence of lung point
219
Cryoprecipitate is a concentrated source of all the following EXCEPT a) Factor I b) Factor VII c) Factor VIII d) VWF e) Fibronectin
b) Factor VII Redcross: Cryoprecipitate contains most of the following found in fresh frozen plasma: 1. factor VIII 2. fibrinogen 3. factor XIII 4. von Willebrand factor 5. fibronectin Prothrombinex-VF® is a lyophilised concentrate of human coagulation factors it contains: Factors: II IX X small amount of factor VII. Also contains: plasma proteins (human) Antithrombin III (human) Heparin sodium (porcine) Sodium Phosphate Citrate Chloride https://litfl.com/cryoprecipitate/ Fractionated plasma product consisting of Fibrinogen (Factor I), von Willebrand Factor, Factor VIII, and small amounts of Factor XIII and Fibronectin https://www.anzca.edu.au/getattachment/9ec71c61-8a66-4f81-b0f8-c87d65e36298/Australasian-Anaesthesia-2023
220
With regard to Donation after Circulatory Determination of Death (DCDD), the maximum acceptable time from withdrawal of cardio-respiratory support to cold perfusion for liver donation is a) 30mins b) 45 mins c) 60 mins d) 90 mins
A. 30min All have cold perfusion as end point (but differ on withdrawal of life support vs sBP as the starting point) - heart - <30mins from sBP <90mmHg - liver and pancreas - <30mins from withdrawal of cardiorespiratory support - Kidney - Different between Aus and NZ. <60 mins from sBP<50mmHg (Aus). < 90 mins NZ - lungs - <90mins from sBP<50mmHg" Warm ischaemia time: - Time from treatment withdrawal to the start of cold perfusion of the donated organs - Significance is the impact on graft function - Most important phase of WIT begins when the systolic BP is < 60mmHg - This includes the waiting period from the absence of circulation to the declaration of death and the time before initiating the flow of cold perfusate through the cannula Maximum WARM Ischaemia time - Heart 30 mins - Liver 30 mins - Pancreas 30 mins - Kidney 60 mins - Lungs 90 mins Maximum COLD Ischaemia time: - Heart = 4 hrs - Lungs = 6-8hrs - Liver/Pancreas = 12hrs (DBD)/6 hrs (DCD) - Kidneys = 18hrs (DBD)/ 12 hrs (DCD)
221
When commencing treatment of proximal deep vein thrombosis or pulmonary embolus, factor Xa inhibitors (apixaban, rivaroxaban) are preferred to dabigatran or warfarin because they do not require a. A need to dose reduce in pregnancy b. No need to dose reduce in renal failure c. No need to bridge d. Need for monitoring e. Once daily dosing
c. No need to bridge Dabigatran needs 5 days parenteral first See ETG recommendations https://www.ahajournals.org/doi/full/10.1161/JAHA.120.017559
222
A patient with a history of hereditary angioedema presents to the emergency department with difficulty with breathing, abdominal pain and swelling of the face, hands and feet. The most effective therapy for managing this is a) C1-esterase inhibitor b) Danazole c) Cetirizine d) FFP
a) C1-esterase inhibitor Treatment options: Plasma derived C1-esterase inhibitor = Berinert/Cinryze, Androgens = Danazol B2 Bradykinin Receptor antagonist = Icatibant FFP. Danazol (an androgen) is recommended as first line PROPHYLAXIS for planned procedures (need to give for 5-10 days prior and 2-5 days post) For emergency or high risk procedures C1 esterase inhibitor concentrate (Berinert or Cinryze) is recommended - give 1 hour before procedure - more effective than danazol but more expensive Berinert: - 20units/kg IV over 10 min - Symptoms usually stabilise in 30 mins - 2nd dose uncommon, but may be given 30mins to 2hrs after 1st dose Icatibant: - 30mg slow subcut infusion in abdominal area Due to the risk of precipitating laryngeal oedema, oropharyngeal procedures should usually involve general anaesthesia with endotracheal intubation Short answer: - if you have days before surgery increase danazole, if complex surgery increase danazole and give C1Inh - If you have acute emergency surgery give C1Inh Concentrate (Berinert/Cinryze) before and after - if you have an acute attack use C1Inh or Bradykinin antagonist (Icatibant) - If C1 Inh and Bradykinin antagonoist are not available then use FFP but this may worsen the attack due to the presence of C4 in the FFP - Has Cetirizine been misremembered instead of Cinryze as an option in this question? No it wasn't -> adrenaline, steroids, antihistamines have no role in treatment of HAE acute attack
223
Drug classes demonstrated to reduce mortality in chronic heart failure with reduced ejection fraction include all of the following EXCEPT A. ACE inhibitors B. Beta blockers C. Angiotensin receptor blockers D. Spironolactone E. Digoxin
Digoxin SGLT2 inhibitors (1st) ACEi (2nd), b-blocker (2nd), aldosterone antagonists (2nd?) have mortality benefits in HFrEF. Also, sacubitril with valsartan (aka Entresto), ivabradine, ACEI /ARB - LVEF <40% - reduce sodium reabsorption, reduce aldosterone, reduces remodelling - ARBs don't consistently reduce mortality! B-blocker (e.g. bisoprolol) - LVEF <40% - reduces SNS activity, antiarrythmic, reverses remodelling Aldosterone antagonist (e.g. spironolactone) - if symptomatic despite ACEI and b-blocker and LVEF <40% - weak diuretic, reduces effects of aldosterone Sacubitril with valsartan (neprolysin inhibitor + ARB) - LVEF <35% - in place of ACEI/ARB - causes vasodilation, reduces SNS activity, diuresis ISMN + hydralazine -> if no ARNi -> decreased M+M Vericiguat (Guanlyate cyclase inhibitor) - severe HF -> decr M+M"
224
In the three-bottle chest drainage system set up shown, the maximum suction pressure (cmH2O) generated inside the underwater seal bottle would be minus
distance below water is equal to -ve pressure generated when suction applied
225
Despite two separate 300 IU/kg doses of heparin, you have failed to attain your target activated clotting time prior to instituting cardiopulmonary bypass. An appropriate option now would be to give a. More heparin b. FFP c. Dalteparin d. bivalirudin
b. FFP REPEAT recombinant ATIII concentrates or FFP (second line) >600IU/kg heparin = heparin resistance (if cannot achieve ACT >480s) - may be due to ATIII deficiency or ^protein binding of heparin - aquired defiiciency can be due to recent heparin administration 1) AT3 concentrate = treatment of choice (better than FFP); 1000u (1 amp) given (500-5000 units possible) 2) FFP - contains AT3 and cheaper but risks of transfusions (volume overload, lung injury, haemodilution) 3) Other possbile but limited experience - argatroban, bivalirudin - shorter acting, need to monitor using ecarin time
226
During a thyroidectomy, the surgeon is concerned the parathyroid glands have been devascularised. From the time of potential damage, a serum calcium level should be checked in a) 6hrs b) 12hrs c) 24 hrs d) 36hrs
checked from 6hrs and up to 24hrs BJA 2007 Anaesthesia for thyroid and parathyroid surgery
227
A patient with a perioperative troponin rise above the upper limit of normal, chest pain, left ventricular anterior regional wall motion abnormality, and atheroma with a partially occluding thrombus of the left anterior descending coronary artery has had a/an A) Type 1 MI B) Type 2 MI C) NSTEMI D) MINS
A) Type 1 MI Not MINS as meets criteria for pre-existing definition of T1MI Clinical classification based on the assumed proximate cause of the MI: - Type 1 ○ MI caused by atherothrombotic coronary artery disease ○ And usually precipitated by atherosclerotic plaque disruption ( rupture or erosion) - Type 2 ○ MI consequent to a mismatch between oxygen supply and demand ○ Multiple potentional mechanisms: § Coronary dissection § Vasospasm § Emboli § Microvascular dysfunction § Increases in demand without underlying coronary artery disease - Type 3 ○ Patient with typical presentation of MI (ECG changes or VF) with unexpected death before blood samples for biomarkers could be drawn - Type 4a ○ MI associated with Percutaneous Coronary intervion (PCI) - Type 4b ○ Subcategory of PCI related MI related to stent/scaffold thrombosis - Type 5 CABG related MI
228
A patient requires elective surgery under general anaesthesia with neuromuscular relaxation. The recommended preoperative management of donepezil is to a) cease day before b) cease 2 weeks before c) Cease day of surgery d) continue
d) continue to avoid cognitive decline post-op Donepezil is in a class of medications called cholinesterase inhibitors. It improves mental function https://www.ukcpa-periophandbook.co.uk/medicine-monographs/donepezil donepezil = don't stop - Acetylcholinesterase inhibitor (prolongs sux, antagonises NDMB) - long half life 70hrs - effective washout will need it to be stopped for 3 weeks prior if sux will be used -- can cause phase 2 block - if non-depolarising neuromuscular blocker needed - neogstigmine may not be effective with reversal - use sugammadex OR cisatrcurium; Use neuromuscular monitoring stopping donepezil can --> decline in cognitive function that won't be regained. so need to decide carefully also ^ risk of delirium in dementia patients (59% vs 13% in controls) ^dementia risk doubles q5years aging"
229
Cyclooxygenase type 2 inhibitors (COX-2) in pregnancy are considered a. Not safe b. safe c. safe only in 1st trimester d. safe only in 1st and 3rd trimester e. not safe for 3rd trimester and 48 hours post delivery
a. Not safe or c. safe only in 1st trimester While relatively safe in early and mid pregnancy, NSAIDs can precipitate fetal cardiac and renal complications in late pregnancy, as well as interfere with fetal brain development and the production of amniotic fluid; they should be discontinued in gestational wk 32 APMSE
230
A 75 year-old patient is given a Fleet® sodium phosphate enema prior to a colonoscopy. The hyperphosphataemia from the laxative can directly cause a) renal failure b) cardiac failure c) Arrhythmia d) severe sleep apnoea
a) renal failure '...phosphate containing laxatives can lead to acute phosphate nephropathy' https://academic.oup.com/bjaed/article/16/9/305/1743822#35669023 - BJA Ed article Phosphate binds to calcium leading to crystal calcium phosphate deposition in tubules. Old repeat 2020 https://academic.oup.com/bjaed/article/16/9/305/1743822#35669023
231
The electrolyte abnormality most associated with an increased risk of laryngospasm is a. Hypokalaemia b. Hyponatraemia c. Hypocalcaemia d. Hypercalcaemia e. Hypernatraemia
c. Hypocalcaemia Laryngospasm is a rare, but serious and potentially lethal, complication of hypocalcemia in adults. In every adult presenting with acute dyspnea and stridor, the possibility of hypocalcemia should be considered. Hypocalcemia should be treated promptly.
232
A patient has received high dose hydroxycobalamin for refractory vasoplegia post cardiac surgery. Observed effects include all of the following EXCEPT a) leukopenia b) red urine c) falsly low SpO2 d) thrombocytosis
c) falsly low SpO2 Effects of hihg dose hydroxycobalamin: - red urine - thrombocytosis - leukopenia
233
A venturi mask delivers a fraction of inspired oxygen of 0.28 at the recommended fresh gas flow rate of 6 litres per minute. Increasing the flow rate to 12 litres per minute will deliver a fraction of inspired oxygen of a) 0.24 b) 0.28 c) 0.36 d) 0.40
b) 0.28 Given it's already the recommended FGF -> increasing flow won't increase FiO2 Fixed orifices to deliver fixed oxygen supply - entrains more air if flow rate is higher - constant FiO2 regardless of RR and flow pattern - if flow rate < recommended amount for specific Venturi mask -> mask won't deliver stated FiO2 - if flow rate > rate recommended -> FiO2 won't continue to increase" https://geekymedics.com/oxygen-delivery-devices/"
234
An inverted u wave is an electrocardiographic sign of a) Hypokalaemia b) Raised ICP c) Digoxin treatment d) Myocardial ischaemia
D> Myocardial ischaemia An inverted U wave may represent myocardial ischemia (and especially appears to have a high positive predictive accuracy for left anterior descending coronary artery disease[7] ) or left ventricular volume overload. ^Wikipedia -------- U-wave inversion is abnormal (in leads with upright T waves) A negative U wave is highly specific for the presence of heart disease Common causes of inverted U waves Coronary artery disease Hypertension Valvular heart disease Congenital heart disease Cardiomyopathy Hyperthyroidism In patients presenting with chest pain, inverted U waves: Are a very specific sign of myocardial ischaemia May be the earliest marker of unstable angina and evolving myocardial infarction Have been shown to predict a ≥ 75% stenosis of the LAD / LMCA and the presence of left ventricular dysfunction ^LITFL: https://litfl.com/u-wave-ecg-library/
235
The use of direct oral anticoagulants [DOAC] in atrial fibrillation is contraindicated in the presence of a) Bioprosthetic Heart Valve b) Mitral Regurgitation c) mild hepatorenal impairment d) Mitral Stenosis, moderate to severe
D) Mitral Stenosis (Rheumatic, moderate to severe) DOAC use is contraindicated in certain clinical conditions, notably, in patients who have a mechanical heart valve and those with rheumatic mitral stenosis. Moderate to severe renal impairment or significant hepatic disease is also a contraindication to DOAC treatment Bioprosthetic valves are less thrombogenic thus DOAC use is acceptable. https://www.ahajournals.org/doi/epdf/10.1161/JAHA.120.017559 C/I - Mechanical valves - moderate to severe (rheumatic) mitral stenosis - pregnancy / breastfeeding (can use clexane) - moderate-severe renal disease - CYP3A4/P-glycoprotein inducers: carbamazepine, phenytoin DOACs cf. warfarin: better prevention thromboembolism, lower risk major bleeding (incl. ICH) (although ^risk GI bleed) Relative CI to DOACs- significant hepatic disease, GI bleeds (note aspirin not useful)"
236
A 30 year old parturient presents in labour. She has a history of Addison's disease from autoimmune adrenalitis and has been taking prednisolone 6 mg daily for ten years. On presentation the patient is given hydrocortisone 100 mg intravenously. The most appropriate steroid replacement regime the patient should receive during labour is a. 25mg TDS hydrocortisone b. 8mg/hr hydrocortisone c. 6mg PO prednisone
8mg/hr Guidelines for mx of glucocorticoids during the perioperative period for patients with adrenal insufficiency https://associationofanaesthetists-publications.onlinelibrary.wiley.com/doi/10.1111/anae.14963 "Dex:pred:hydrocort conversion 4:25:100 8:50:200 CSection/surgery: 100mg IV at induction, then 8mg/hr IV infusion; 6-8mg dexamethasone IV will suffice for 24hrs (as alternative) CSection: normal morning dose, then 100mg bolus IV just before anaesthesia. Postpartum for both: double PO glucocorticoid for 48hrs (or use 50mg q6h hydrocort until E+D) If pt unwell (e.g. hypotensive, drowsy, peripherally shut down, IV/IM hydrocortisone 100mg STAT) https://rightdecisions.scot.nhs.uk/maternity-gynaecology-guidelines/maternity/antenatal-general/adrenal-crisis-avoidance-in-pregnant-women-at-risk-520/ 2020 AAGBI Periop steroid guidelines: "
237
One metabolic equivalent (MET) is equal to a. O2 consumption walking 4km/h b. O2 consumption when sitting c. Energy expenditure walking 4km/h d. Energy expenditure when sitting.
b) O2 consumption when sitting One metabolic equivalent (MET) is defined as the amount of oxygen consumed while sitting at rest and is equal to 3.5 ml O2 per kg body weight x min.
238
A 42-year-old female is admitted with subarachnoid haemorrhage. She has a severe headache, has eyes open spontaneously, and is confused but is obeying commands. She is unable to move her left side. The World Federation of Neurological Surgeons grade is a) 1 b) 2 c) 3 d) 4 e) 5
C:3 (Pt is GCS 14 E4V4M6, with motor deficit) The WFNS scale: Grade 1: GCS 15, no motor deficit. Grade 2: GCS 13-14 without deficit Grade 3: GCS 13-14 with focal neurological deficit Grade 4: GCS 7-12, with or without deficit. Grade 5: GCS <7 , with or without deficit. (BJA Education, Deranged Physiology)
239
Hepatopulmonary syndrome can be treated with a) Methylene blue b) Inhaled nitric oxide c) Nitric oxide inhibitors d) Oxygen therapy e) Liver transplantation
e) Liver transplantation - Oxygen therapy for symptom relief - Liver transplant provides long term survival benefit - All other therapies tried but no conclusive evidence of benefit/nil are FDA approved Hepatopulmonary Syndrome Article https://www.ncbi.nlm.nih.gov/books/NBK562169/ Hepatopulmonary syndrome (BJA) - Prevalence up to 20% (end stage liver disease) - Characterised by: disordered pulmonary capillary vasodilation and VQ mismatch - Present with hypoxia, ortheodeoxia (decrease in PaO2 when standing) - Diagnosis w/bubble echocardiography - Risk factor for early post-transplant mortality - If transplant successful, will resolve over time
240
A 30-year-old previously healthy woman is four days post-caesarean section. You are asked to see her to manage her abdominal pain. Over the last two days she has had increasing abdominal pain, increasing abdominal distension, tachycardia and nausea. An abdominal x-ray shows a caecal diameter of 9 cm. After excluding mechanical obstruction, an appropriate management option is: a) Neostigmine b) Lactulose c) Fibre d) Antispasmotic oral or a) neostigmine infusion b) morphine PCA c) Naloxone d) Lactulose
a) neostigmine infusion Consider this Ogilve's Syndrome Psuedo-obstruction. If > 9cm dilation, would need surgical management. https://www.ncbi.nlm.nih.gov/pmc/articles/PMC3168359/#!po=17.5000 Ogilvie syndrome - colonic pseudo-obstruction (i.e. obstruction w/o mechanical cause): needs >9cm colon for dx - MUST exclude toxic megacolon/mechanical obstruction '>3, 6, 9 ' rule. Bowel is dilated -> consider obstruction or paralytic ileus small bowel >/=3cm, large bowel >/=6cm (and appendix) caecum >/=9cm (>12cm -> ^ risk of perforation) Sx: abdo distension, pain, vomiting, fever, constipation/diarrhoe"
241
The most effective treatment for pain following wisdom teeth extraction as a single oral dose is a) Paracetamol 1000mg b) Tramadol 100mg c) Parecoxib 40mg d) Ibuprofen 400mg e) Codeine 30mg
d) Ibuprofen 400mg - Ibuprofen (because of the single oral dose statement) APMSE 5th edition Acute pain after third molar extraction is the most extensively studied model for testing postoperative analgesics in single-dose investigations. Nonselective NSAIDs or coxibs are recommended as “first-line” analgesics following third molar extraction (Derry 2011 Level I, 155 RCTs, n=16,104), however paracetamol is also safe and effective with a dose of 1,000 mg providing better pain relief than lower doses (Weil 2007 Level I [Cochrane], 21 RCTs, n=1,968). The best available evidence suggests the use of NSAIDs either with or without paracetamol is effective and well-tolerated (Moore 2018 Level I, 5 SRs, n unspecified). Nonselective NSAIDs are more effective than paracetamol or codeine (either alone or in combination) (Ahmad 1997 Level I, 33 RCTs, n=5,171). Ibuprofen (200–512 mg) specifically is superior to paracetamol (600–1,000 mg) in this setting and combining these two drugs improves analgesia further (Bailey 2014 Level I [Cochrane], 7 RCTs, n=2,241) Coxibs are of similar efficacy to nsNSAIDs in acute postoperative dental pain. Single-dose celecoxib 200 mg is less effective than ibuprofen 400 mg; while celecoxib 400 mg provided similar analgesia to ibuprofen 400 mg with increased time to rescue analgesia following dental surgery . In a comparison of PO celecoxib (400 mg, then 200 mg every 12 h), ibuprofen (400 mg every 8 h) and tramadol (100 mg PO every 8 h), celecoxib was the most effective analgesic
242
The maximum recommended cuff inflation pressure for the classic LMA is a 15 cm H20 b 30 cm H20 c 40 cm H20 d 60cm H2O
d 60cm H2O
243
When using the ECG to time intra-aortic balloon counterpulsation, balloon deflation should occur at the a. start of T wave b. peak of T wave c. end of T wave d. end of R wave e. peak of R wave
e. peak of R wave https://derangedphysiology.com/main/required-reading/cardiothoracic-intensive-care/Chapter%20634/normal-iabp-waveform https://litfl.com/intra-aortic-balloon-pump-trouble-shooting/ With ECG trigger - Balloon inflates with onset of diastole = peak/middle of t wave -> ↑coronary perfusion - Balloon deflates at onset of LV systole = peak of R wave -> ↓afterload ∴↑stroke volume
244
Individuals with Prader-Willi syndrome having an anaesthetic are at most risk of a) Hypocalcaemia b) Hypoglycaemia c) Neuroleptic malignant syndrome d) Malignant hyperthermia e) Hypothermia
e) hypothermia Prader Willi - severe hyptonia, hyperphagia, risks of morbid obesity, learning and behavioural difficulties, severe psychiatric problems, short stature due to GH deficiency, incomplete pubertal development, decreased bone density, cardiac conduction defect, convulsions Temperature instability may be exacerbated under anesthesia. Other causes of temperature instability, including infection or hypothyroidism, should be ruled out. https://www.openanesthesia.org/keywords/prader-willi-syndrome/?search_term=prader%20w Stoelting: Prader-Willi syndrome is a rare genetic disorder characterized by hypothalamic-pituitary abnormalities with severe hypotonia during the neonatal period and during the first two years of life, hyperphagia with a risk of morbid obesity during infancy and adulthood, learning difficulties and behavioural problems or severe psychiatric problems. The disease affects 1/25,000 births.
245
Cross clamping of the descending aorta is NOT expected to cause (MADE UP ANSWERS) a) Bacterial translocation b) Decreased Renal perfusion c) Abdominal compartment syndrome d) Organ ischaemia e) Decreased afterload
e) decreased afterload https://academic.oup.com/bjaed/article/13/6/208/246828#2904603 Aortic cross-clamping and physiological considerations Clamp application increases the afterload of the heart and a sudden increase in arterial pressure proximal to the clamp; this can be attenuated with vasodilators [e.g. glyceryl trinitrate (GTN), sodium nitroprusside], opioids, or deepening of anaesthesia. These measures may also allow fluid loading in preparation for clamp release; however, the effect of vasoactive drugs is unpredictable; they may change haemodynamics without improving cardiac output and tissue perfusion due to blood redistribution.10 Increased afterload and left ventricular end-diastolic volume both increase myocardial contractility and oxygen demand. This increase in myocardial oxygen demand is usually met by an increase in coronary blood flow and oxygen supply, but can cause myocardial ischaemia. After aortic cross-clamp release, peripheral vascular resistance decreases by 70–80%, causing a decrease in arterial pressure. Hypotension can also be caused by blood sequestration in the lower half of the body, ischaemia–reperfusion injury, and the washout of anaerobic metabolites causing metabolic (lactic) acidosis. This can cause direct myocardial suppression and profound peripheral vasodilatation. Coronary blood flow and left ventricular end-diastolic volume also decrease (almost 50% from pre-clamp levels) after clamp release. Strategies to manage hypotension after aortic cross-clamp release include gradual release of the clamp, volume loading, vasoconstrictors, or positive inotropic drugs (e.g. ephedrine, meteraminol, phenylephrine, epinephrine, and norepinephrine). It is important to be aware that vasoactive drugs should only be used after adequate volume repletion.10 Management of aortic cross-clamp application and release requires excellent communication with the surgeon in order to anticipate and manage the physiological effects. Bacterial translocation: hypoxic insult immeidately after clamping -> visceral/mesenteric ischaemia -> ↑intestinal permeability -> ↑bacterial translocation https://www.ncbi.nlm.nih.gov/pmc/articles/PMC4698535/ Abdo compartment syndrome - POSTOP and can be due to capillary leak, ischaemia-reperfusion injury and massive transfusion - but not due to clamp itself ARF - 5-13% risk, due to decreased RBF (can cause renal tubular necrosis) and reperfusion injury. ^risk with cross clamp>30mins (and particularly supra-renal) https://applications.emro.who.int/imemrf/Esculapio/Esculapio_2014_10_3_114_117.pdf"
246
Refeeding syndrome following the commencement of total parenteral nutrition is associated with the development of
Most likely answer will be related to hypophosphataemia Refeeding syndrome is a constellation of biochemical abnormalities which occurs when normal intake is resumed after a period of starvation. Its characteristic features are **low levels of phosphate, potassium, magnesium and sodium**. Its major complications include **cardiac arrhythmias, heart failure (due to hypophosphataemia), muscle weakness, rhabdomyolysis, seizures and an altered sensorium.** The major risk factors are calorie malnutrition of any cause, alcohol or drug use, low BMI (18-16) and starvation for 5-10 days. Pathophysiology With the restoration of glucose as a substrate, insulin levels rise and cause cellular uptake of these ions. **Depletion of adenosine triphosphate (ATP) and 2,3-diphosphoglyceric acid (2,3-DPG)** results in **tissue hypoxia** and **failure of cellular energy metabolism.** This may manifest as **cardiac and respiratory failure**, with **paraesthesiae** and **seizures** also reported. Thiamine deficiency may also play a part. - Exogenous sources of phosphate are inadequate to supplement the daily phosphate requirements - Intracellular phosphate stores are used to synthesise ATP (using protein and fat as fuel) - Homeostatic mechanisms maintain serum concentrations of these ions at the expense of intracellular stores Reference: https://derangedphysiology.com/main/required-reading/endocrinology-metabolism-and-nutrition/Chapter%20315/refeeding-syndrome "
247
The peak effect of intravenous insulin on serum potassium when treating hyperkalaemia occurs at approximately A. 2 mins B. 4 mins C. 10 mins D. 20 mins E. 30 mins
"d) 60mins Calcium (if ecg changes) - onset <3mins, duration - 30mins (wont affect K level itself but to stabilise cardiac membrane) Insulin/dextrose - onset 15mins, peak 60mins, duration 2-3hrs Salbutamol - onset 30 mins, peak 120mins duration 2-3hrs Bicarb (in acidosis) - onset 30-60mins, duration 2-3hrs Resonium - onset 60mins (PR) and 4hrs (PO), duration variable
248
A relative contraindication to a peribulbar needle technique for cataract surgery is: a) Axial length of 24mm b) INR 2.5 for mechanical aortic valve c) Staphyloma d) Scleral buckle e) Pterygium
c) Staphyloma https://eyewiki.aao.org/Ocular_Anesthesia#cite_note-:2-3 **Contraindications** **Absolute** Confirmed allergy to a necessary anesthetic, and nystagmus. Other contraindications are just those of the particular surgery that is to be performed. **Relative** Long eye (in the anterior to posterior axis, evidenced by high myopia), staphyloma (abnormal protrusion at a weak spot in the wall of the eye), enophthalmos (posteriorly or deep set eyes), and extended surgery duration are relative contraindications to retrobulbar and peribulbar anesthesia. In an uncooperative patient, patients deemed to be unable to follow commands during surgery, children and those with uncontrollable neurological movements, general anesthesia may be considered.
249
Assuming a blood volume of 70 ml/kg, a massive transfusion in a 20 kg, 5-year-old child is defined as a three-hour packed red blood cell (PRBC) transfusion volume of a) 250ml b) 500ml c) 700ml d) 1000ml
700ml 50% of blood volume in 3 hours S Blaine. BJAE Paediatric massive transfusion. https://www.bjaed.org/article/S2058-5349(17)30099-9/fulltext Children- (pRBC) transfusion i.e. replacement of: >1 blood volume in 24hours OR >50% TBV in <3-4hours OR >10% TBV over 10 minutes (OR 40mL/kg blood) Adults - replacement of >1 blood volume in 24hours OR >50% blood volume in 4hrs 10mL/kg pRBC increases Hb 20g/L; 1 unit pRBC ~300mL
250
According to the Association of Anaesthetists of Great Britain and Ireland (AAGBI) guidelines, an acceptable reason to delay surgery in a patient with a fractured neck of femur is
Now we just crack on hoping that their Hb/electrolytes/LV function has been optimised within 36hrs https://associationofanaesthetists-publications.onlinelibrary.wiley.com/doi/10.1111/anae.15291 The 2011 guidelines list seven ‘acceptable’ reasons for delaying surgery: 1 Haemoglobin < 80 g.l−1 2 Plasma sodium concentration < 120 or > 150 mmol.l−1 and potassium concentration < 2.8 or > 6.0 mmol−1 3 Uncontrolled diabetes 4 Uncontrolled or acute onset left ventricular failure. 5 Correctable cardiac arrhythmia with a ventricular rate > 120.min−1 6 Chest infection with sepsis 7 Reversible coagulopathy Rather than cancelling surgery on the day of operation in reaction to one of the seven abnormalities listed, the Working Party considers that 36 h (or less) provides sufficient time for the proactive involvement of anaesthetists in correcting medical obstacles to surgery. In the (rare) event of cancellation for medical reasons, patients should be kept under 12-hourly assessment by anaesthetic teams "HIP ATTACK RCT 2020: accelerated surgery (<6hrs post diagnosis) vs standard care (median time 24hrs from dx) - no differences in mortality or major complications (e.g. MI/CVA/VTE/sepsis/pneumonia/bleeding) - no harm to pts - signficant ↓in postop delerium, LoS and better mobilisation; note no recommendations due to increased costs of expediting surg ECHO - don't delay (unlikely to treat anyway); invasive monitoring intraop +/- ICU postop 2020 UPDATE - target Hb>90 for frailer patients or ~100 for patients with hx of IHD or who are symptomatic POD1 (fatigue/dizziness -> failure to mobilise) from anaemia (KPI = day 0 or day 1 mobilisation); as opposed to ALL pts in 2011. Anticipate 25g/L drop in Hb periop
251
Local anaesthetic blockade of the musculocutaneous nerve in the upper limb will result in weakness of
All muscles in the anterior compartment of the arm are innervated by the musculocutaneous nerve. - biceps brachii: forearm flexion and supination. Accessory shoulder flexor - coracobrachialis: shoulder flexion, arm adduction. - Brachialis: forearm flexion The musculocutaneous nerve innervates skin on the anterolateral side of the forearm.
252
In patients with symptomatic carotid stenosis, carotid endarterectomy can be performed within two weeks of initial symptoms if there is/are a) large stroke area b) crescendo TIA symptoms c) haemodynamic instability d) Tandem Stenosis e) contralateral occlusion
b) crescendo TIA symptoms https://academic.oup.com/bja/article/99/1/119/269458 Symptomatic Ideally, patients presenting with a suspected TIA should have undergone investigation and, if appropriate, surgery within 2 weeks of presentation. crescendo TIA symptoms (variable definitions: 2 TIAs within 24hrs, or 3 within 3 days. Also read 2+ in 1 week) – all others are suggesting to defer CEA Highest risk of recurrent stroke from symptomatic ICA plaque is within first 2 weeks from initial event with risk remaining high for 6 weeks. - CEA within 2 week symptom onset: NNT 5. NNT = 125 if >2 weeks or if CVA - symptomatic stenosis 50-99% (i.e. TIA or stroke) - Can be deferred if large stroke area (risk of cerebral oedema), contalateral carotid occlusion, haemodynamic instability, contralateral laryngeal palsy" (Tandem lesion, or tandem occlusion, is a term used in cerebrovascular imaging and intervention to refer to the simultaneous presence of high-grade stenosis or occlusion of the cervical internal carotid artery and thromboembolic occlusion of the intracranial terminal internal carotid artery) Asymptomatic High-grade carotid stenosis was evaluated in three high-quality randomized controlled trials performed from the late 1980s through the early 2000s. These were the VA trial [47], ACAS [48], and ACST [49]. In a meta-analysis of these three trials, including 5268 subjects with a mean follow-up of 3.3 years per subject, CEA was associated with a 2.9 percent risk of perioperative stroke or death. CEA reduced the risk of any stroke, but the benefit was small with an overall absolute risk reduction of approximately one percent per year [50]; the corresponding NNT to prevent one stroke at three years was approximately 33. The outcome of any stroke or death was not significantly lower with CEA compared with medical therapy alone (20.5 versus 22.6 percent, relative risk [RR] 0.92, 95% CI 0.83-1.02). UTD suggests - <69% stenosis medical mx >70 - 99% medically stable and life expectancy at least 5yrs consider medical verse surgical mx. Some will only operate if >80-99% stenosis https://www.uptodate.com/contents/management-of-asymptomatic-extracranial-carotid-atherosclerotic-disease?sectionName=Carotid%20endarterectomy&search=carotid%20endarterectomy%20indications&topicRef=8193&anchor=H2&source=see_link#H1585579663
253
Complications of hyperbaric oxygen therapy do NOT include a) Myopia b) Central retinal occlusion c) Seizures d) Hypoglycaemia e) Bradycardia
b) Central retinal occlusion Complications of HBOT: - claustrophobia - hypoglycaemia - middle ear barotruama - sinus squeeze - seizure (secondary to oxygen toxicity) - progressive myopia (typically reverses completely in days to weeks) - cataracts with very long exposure - cumulative pulmnoary oxygen toxicity - pulmonary barotrauma +/- air embolism - worsens CCF in pts with severe disease due to reduced HR (incr vagal tone from hyperbaric pressures) and systemic vasoconstriction Blue book 2019 pg 55 Absolute CI: - untreated pneumothorax (↑↑pleural air on decompression) - premature infants -> blindness risk - Bleomycin (O2 -> interstitial pneumonitis -> pulmonary fibrosis) - Cisplatin (↑cytotoxicity impedes wound healing) - disulfiram (Antabuse) Relative: pregnancy, asthma, COPD, URTI, thoracic surg, seizures, fevers, optic neuritis"
254
Of the following, the drug most likely to cause pulmonary arterial vasodilation with systemic arterial vasoconstriction when used in low doses is a) Adrenaline b) Noradrenaline c) Vasopressin d) Dopamine e) Dobutamine
c) Vasopressin - =/↓ PVR Dobutamine: ↓SVR (β2)/PVR https://www.bjaed.org/action/showPdf?pii=S2058-5349%2821%2900031-7 - From UP TO DATE: > At low doses of 1 to 3 mcg/kg per min, dopamine acts primarily on dopamine-1 receptors to dilate the renal and mesenteric artery beds > At 3 to 10 mcg/kg per min (and perhaps also at lower doses), dopamine also stimulates beta-1 adrenergic receptors and increases cardiac output, predominantly by increasing stroke volume with variable effects on heart rate. > At medium-to-high doses, dopamine also stimulates alpha-adrenergic receptors, although a small study suggested that renal arterial vasodilation and improvement in cardiac output may persist as the dopamine dose is titrated up to 10 mcg/kg per min *clinically, the haemodynamic effects of dopamine demonstrate individual variability Dobutamine (inodilator): - selective β1-agonist that increases cardiac contractility and reduces pulmonary vascular and systemic vascular resistances Vasopressin: - vasopressin may have pulmonary vasodilatory effects in addition to a systemic vasoconstrictive effect Milrinone (inodilator): - the phosphodiesterase-3 inhibitors, milrinone and enxoimone, have positive inotropic effects combined with the capacity to reduce RV afterload (‘inodilators’) without significant chronotropic effect, but they can be associated with significant systemic hypotension
255
A patient taking tranylcypromine, a monoamine oxidase inhibitor, requires elective surgery. The best management is to (made up answers) a) Cease 1 month before surgery b) Do not Cease c) Cease day of surgery d) Cease 2 weeks before surgery e) stop 2 weeks before, start moclobemide and omit Moclobemide day of surgery
d) cease 2 weeks before or e) stop 2 weeks before, start moclobemide and omit Moclobemide day of surgery Probably won't be making any major drug changes without the prescribing doctors OK. But acknowledging withdrawal risk +/- risk to mental health e) is also a reasonable option. Tranylcypromine, sold under the brand name Parnate among others, is a monoamine oxidase inhibitor. More specifically, tranylcypromine acts as nonselective and irreversible inhibitor of the enzyme monoamine oxidase. In the elective setting, there is some debate regarding the management of patients on MAOI. Although the risks associated with anaesthesia in those taking this group of drugs are significant, abrupt withdrawal may precipitate serious psychiatric relapse. Traditionally, irreversible MAOIs have been stopped 2 weeks before operation; however, omitting the dose of moclobemide on the day of surgery is acceptable. It has been suggested that in the elective situation, patients could be switched from an irreversible MAOI to moclobemide to avoid a prolonged period of discontinuation.
256
A 25-year-old woman is administered two doses of aprepitant for postoperative nausea and vomiting after a sleeve gastrectomy. She normally takes the oral contraceptive pill. You should advise her to use alternative contraception for the next a) 3 days b) 7 days c) 14 days d) 28 days
28 days Aprepitant PI: "Alternative or "back-up" measures of contraception should be used during treatment with this medicine and for one month following the last dose of this medicine." Pharmacokinetics: - aprepitant is a CYP3A4 inhibitor - caution is also advised with warfarin and phenytoin use https://www.merck.com/product/usa/pi_circulars/e/emend/emend_pi.pdf https://www.ncbi.nlm.nih.gov/pmc/articles/PMC5809356/ Works as a centrally acting NK1 receptor antagonist by blocking actions of Substance P - also ↑activity of dexamethasone & ondansetron (in chemo)"
257
A four-year-old boy with a history of waddling gait, larger than normal calves and frequent falls receives a spontaneously breathing volatile-based anaesthetic with sevoflurane. One hour into the case he develops peaked T waves and then the end-tidal CO2 begins to rise. The most appropriate immediate treatment is to a. Temp probe, and go from there b. Cool + dantrolene c. Stop volatile, cool + dantrolene d. Stop volatile, calcium e. Stop volatile
d. Stop volatile, calcium ?Duchenne muscular dystrophy? This patient most likely has Anaesthesia Induced Rhabdomyolysis (AIR) given the peaked Twaves and slow rise in ETCO2 Calcium dose: 50mg/kg calcium gluc, or 20mg/kg of calcium chloride Duchenne muscular dystrophy (presents earlier 2-3yo than Becker 5-15yo) -> AIR rhabdomyolysis -> hyperkalemia (avoid sux/volatiles). Calcium for cardiac stabilization - prior uneventful volatile does NOT mean future ones safe https://academic.oup.com/bjaed/article/10/5/143/274799#3357763 In absence of precise diagnosis, undiagnosed neuromucular disease should not have elective surgery/anaesthesia (unless for diagnosis), as specific dx so important in risk assessment and anaes mx
258
Jet ventilation for shared airway surgery is traditionally delivered at pressures in atmospheres (atm) of a) 1 ATM b) 2 ATM c) 3 ATM d) 4 ATM has also been asked as a. 0.4-0.8 atm b. 0.4 -1.4 atm c. 1-4 atm
b) 2 ATM or c) 1-4ATM https://academic.oup.com/bjaed/article/7/1/2/509371 **A typical parameter-set for HFJV via a subglottic catheter is DP, 2 atm; f, 150 min−1; Fio2, 1.0; I-time, 50%. ** Driving pressure 1-2 atm (250-500ml/s) RR 8-10 Automated jet ventilator – typical starting jet pressure for an adult is 1.5 bar (~1.5 atm). Manual jet ventilators deliver up to 3.5-4 bar.
259
A 46-year-old woman with menorrhagia is booked for abdominal hysterectomy. Her preoperative bloods show creatinine 55 Ca2+ 2.2 PO43- 0.34. The most likely reason for these findings is a) Diuretic use b) Fanconi syndrome c) Hyperparathyrodisim d) Vit D deficiency a) Iron transfusion
a) Iron transfusion Iron infusion (ferric carboxymaltose) – can cause renal wasting of phosphate resulting in severe hypophosphataemia Vitamin D deficiency and hyperparathyroidism can also cause hypophosphataemia. Vitamin D deficiency would result in low calcium whereas hyperparathyroidism would result in hypercalcaemia. Fanconi syndrome: rare defect of proximal tubule leading to decreased reabsorption -> results in hypokalaemia, hypophosphataemia, hyperchloraemic metabolic acidosis. https://www.ncbi.nlm.nih.gov/pmc/articles/PMC6689119/
260
The BALANCED Anaesthesia Study compared older patients having deep anaesthesia (bispectral index target of 35) to lighter anaesthesia (bispectral index target of 50). It assessed postoperative mortality and a substudy assessed postoperative delirium. These showed that, compared to light anaesthesia, deep anaesthesia causes a) Decreased mortality, no change in post op delirium (POD) b) No change mortality, reduced POD c) Decreased mortality, reduced POD d) No change in Mortality, no change in POD e) No change in mortality, increased POD
e) Deep anaesthesia ↑ POD and no change in mortality/serious complications (e.g. MI, sepsis) - Inclusion criteria: age>60, ASA 3/4, >2hr duration of surgery, hospital stay>2days - volatile only (NO TIVA/N2O/ketamine) - delirium assessed for 5 days - light anaesthesia prevented 1 in 10 cases of POD (i.e. lower incidence of poor cognitive screen scores at 1 year) Study reviewed by research FANZCA who thinks powered sufficiently and reasonable level of evidence. substudy = https://www.bjanaesthesia.org/article/S0007-0912(21)00493-1/fulltext
261
A 58-year-old man with ischaemic cardiomyopathy is undergoing a ventricular tachycardia ablation procedure in the catheter laboratory. Partway through the procedure his systolic blood pressure abruptly falls from 110 mmHg to 50 mmHg. The most likely cause for his hypotension is a) Tamponade b) RV failure c) Arrhythmia d) Anaphylaxis e) Oesophageal aortic fistula
a) Tamponade Oesophageal fistula more likely in left atrial ablation Cardiac tamponade occurs ~1%. Can usually be managed with reversal of anticoagulation and percutaneous drainage. Vascular complications most common followed by tamponade. https://www.ahajournals.org/doi/10.1161/circep.113.000768 https://academic.oup.com/bjaed/article/12/5/230/289246#3659733
262
The coronary artery most likely occluded in this ECG of an acute ST-elevation myocardial infarction is the a) RCA b) L Cx c) LAD d) Left Main CA e) Posterior Descending CA
c) LAD
263
According to the Fourth Consensus Guidelines for the Management of Post-operative Nausea and Vomiting (PONV) published in 2020, multimodal PONV prophylaxis should be implemented in adult patients a. For everyone b. 1 or more RF c. 2 or more RF d. 3 or more RF e. 4 or more RF
b) 1 or more RF Risk factors - female (MC), age<50, post-op opioids, hx PONV, non-smoker recommendation from new consensus guideline - 2 forms of prophylaxis for patients with 1-2 risk factors and 3-4 for more risk factors Fourth consensus guidelines Cochrane meta-analysis – NK1 receptor antagonist most effective prevention (aprepitant 40mg PO pre induction)."
264
The most appropriate initial diagnostic test for a suspected phaeochromocytoma is a/an Not sure on actual options a. Blood pressure b. 24 hour urinary metenephrines c. plasma metanephrines OR a. CT abdo b. Urine 24 hr catecholamines c. Metanephrines
"c) plasma metanephrines Traditional biochemical diagnosis of phaeochromocytomas relied upon 24 h collections of urinary catecholamines and vanillylmandelic acid (24 h due to diurnal variation in levels), and also blood sampling for plasma catecholamines. The short half-life of plasma catecholamines makes it difficult to differentiate pathological over-production from a transient stress response to venesection. Modern techniques measure levels of metanephrine and normetanephrine which are breakdown products of epinephrine and norepinephrine, respectively (Fig. 1). Sampling of these can be performed from either urine or plasma and there is no agreement over which is superior. Plasma tests are slightly more sensitive and more convenient to collect, while urine tests have a greater specificity. Both modern and traditional methods have numerous potential causes of false-positive results, including recent exercise, venous sampling in the sitting position, dietary factors, renal impairment, and many common medications. Examples of these medications include: * norepinephrine re-uptake inhibitors (amitriptyline, olanzapine, venlafaxine), * adrenergic receptor blockers (atenolol, phenoxybenzamine), * monoamine oxidase inhibitors (moclobemide, phenelzine), * recreational drugs (cocaine, amphetamine, caffeine), * sympathomimetics (salbutamol, terbutaline), * others (paracetamol). Phaeo - adrenal medulla tumor that secretes catecholamines HTN present in 90%, paroxysmal in 30-50% of cases; + palpitations, sweating (classic triad). Also Paraganglioma - neuro endocrine tumor for extra-medulla paraganglia - some produce catecholamine (Mx same) ## Footnote https://www1.racgp.org.au/ajgp/2021/january-february/adrenal-disease-an-update
265
You are inserting a pulmonary artery catheter in an intubated patient prior to cardiac surgery, and a significant amount of blood appears in the endotracheal tube. The most appropriate specific initial management is to A. Remove PAC and insert DLT B. Wedge PAC and insert DLT C. Wedge PAC and insert bronchial blocker D. Withdraw PAC 2 cm and insert DLT E. Withdraw PAC and insert bronchial blocker F. Inflate balloon
C. Wedge PAC and insert bronchial blocker according to legend cardiac anaesthetist --> see explanation below LITFL: Pulmonary haemorrhage after PAOP measurement Specific therapy - Lay the patient ruptured side down - withdraw pulmonary catheter 2-3 cm with balloon down then refloat PAC with balloon inflated to occlude pulmonary artery (to try to tamponade bleeding) --> this is wedging (options D and E don't specify to withdraw and inflate balloon) -stop antiplatelet agents and anticoagulants give reversal agents: — protamine for heparin — platelets for anti-platelet agents - give blood products as indicated by FBC, coags and clinical state - interventions — angiogram or bronchoscopy to isolate pulmonary vessel involved — if bleeding doesn’t settle will require lobectomy As the pt is already intubated probably easier/safer just to chuck down a BB rather than do a tube exchange for a DLT
266
A baby is brought to the emergency department three days after a term home birth. It has not been feeding well and has had few wet nappies. The child is grey in appearance and femoral pulses are difficult to palpate. You note an enlarged liver and marked tachycardia. Pulse oximetry reveals saturations of 75% despite oxygen being administered. You suspect a duct- dependent circulation. The best initial management is: a) Adrenaline b) Noradrenaline c) IV Fluid 20ml/kg d) Alprostadil (PGE1) infusion e) Intubation and controlled ventillation
Alprostadil (PGE1) From Paediatric BASIC on CHD: - Resuscitation of an infant or newborn in shock should follow a standard approach regardless of the aetiology. - Any patient with a duct dependent lesion either for pulmonary blood flow, or systemic output, will require PGE1. The problem is that whether or not a duct dependent lesion is present is unclear in most cases. If CHD has been diagnosed antenatally, PGE1 should be started. - The cyanosed neonate presenting with severe cyanosis (O2 <75) and/or in extremis should be started on PGE1; the assumption being that the duct has closed and needs to be reopened. https://www.bjaed.org/article/S2058-5349%2818%2930062-3/fulltext - suggests 10ml/kg boluses for collapsed neonate - Possible adverse effects of prostaglandin infusions include apnoeic periods, hyperthermia, and hypotension. Usually start slow and increase but in collapse and CHD suspected start higher (20-200ng/kg/min) - Aim to balance ciruclation by A increasing pulmonary vascular resistance or decreasing systemic vascular resistance.
267
The CRASH-2 trial showed tranexamic acid administration to trauma victims results in a reduction in a. Decreased mortality b. Increased mortality c. Decreased blood product use d. No change mortality e. Increased bleeding
a. Decreased mortality Death in bleeding trauma patients Early administration of TXA safely reduced the risk of death in bleeding trauma patients and is highly cost-effective. Treatment beyond 3 hours of injury is unlikely to be effective. - Reduced death due to bleeding x 0.85 - Equivocal blood transfusion - Equivocal thromboembolism ARR 1.5% (NNT 68) - https://www.thebottomline.org.uk/summaries/icm/crash-2/
268
Of the following, the lowest level at which neurogenic shock is likely if an acute spinal cord injury were to occur at that level is a) C2 b) C6 b) T4 c) T6 d) T10
c) T6 LITFL: https://litfl.com/trauma-spinal-injury/ **Neurogenic shock** is classically characterised by hypotension, bradycardia and peripheral vasodilatation. Neurogenic shock is due to loss of sympathetic vascular tone and happens only after a significant proportion of the sympathetic nervous system has been damaged – as may occur with lesions at the T6 level or higher. **Spinal shock** is not a true form of shock. It refers to the flaccid areflexia that may occur after spinal cord injury, and may last hours to weeks. It may be thought of as ‘concussion’ of the spinal cord and resolves as soft tissue swelling improves. Priapism may be present. "b) T5 https://docs.google.com/document/d/1uvuCJkvV3v53ViT0M1SXJUr9TSYraYm44W3dkhcw9Fc/edit?usp=sharing Summary SCI mx 4 phases: phase 1 - areflexia days 0-1 phase 2 - initial reflex return days 1-3 phase 3 - early hyperreflexia days 4-28 phase 4 - later hyperreflexia 1-12mth
269
A woman with atrial fibrillation has no valvular heart disease. According to AHA guidelines, oral anticoagulants are definitely recommended if her CHA2DS2-VASc score is greater than or equal to A. 1 B. 2 C. 3 D. 4 E. 5
C. 3 - if male CHA2DS2-VASc score ≥2 to be recommended chronic OAC (Grade 1A). - if female CHA2DS2-VASc score ≥3 to be recommended chronic OAC (Grade 1A). * non-sex risk factor also holds bearing: - For patients with CHA2DS2-VASc score of 1 in males and 2 in females based on age 65 to 74 years, we recommend chronic OAC (Grade 1A). Up to date: Our approach to deciding whether to prescribe anticoagulant therapy for patients with AF (excluding those with rheumatic mitral stenosis that is severe or clinically significant [mitral valve area ≤1.5 cm2], a bioprosthetic valve [surgical or bioprosthetic] within the first three to six months after implantation, or a mechanical heart valve) is as follows: *For a CHA2DS2-VASc score ≥2 in males or ≥3 in females, we recommend chronic OAC (Grade 1A). *For a CHA2DS2-VASc score of 1 in males and 2 in females: -For patients with CHA2DS2-VASc score of 1 in males and 2 in females based on age 65 to 74 years, we recommend chronic OAC (Grade 1A). Age 65 to 74 years is a stronger risk factor than the other factors conferring one CHA2DS2-VASc score point. -For patients with other risk factors, the decision to anticoagulate is based upon the specific nonsex risk factor and the burden of AF. For patients with very low burden of AF (eg, AF that is well documented as limited to an isolated episode that may have been due to a reversible cause such as recent surgery, heavy alcohol ingestion, or sleep deprivation), it may be reasonable to forgo chronic OAC and institute close surveillance for recurrent AF, although it may not be possible to reliably estimate AF burden from surveying symptoms or infrequent monitoring. The frequency and duration of AF episodes vary widely over time, and episodes are often asymptomatic. *For patients with a CHA2DS2-VASc of 0 in males or 1 in females, we suggest against OAC (Grade 2C). Patient values and preferences may impact the decision. For example, a patient who is particularly stroke averse and is not at increased risk for bleeding may reasonably choose anticoagulation, particularly if the patient is a candidate for treatment with a direct oral anticoagulant (DOAC). 2019 AHA/ACC/HRS Focused Update of the 2014 AHA/ACC/HRS Guideline
270
The antiemetic least likely to precipitate an arrhythmia in a patient with this ECG is a) Droperidol b) Metoclopramide c) Promethazine d) Dexamethasone e) Ondansetron
d) Dexamethasone The ECG shows LONG QT https://litfl.com/qt-interval-ecg-library/
271
This patient has been requested to look straight ahead. He is suffering from a right a) Horner's Syndrome b) 3rd nerve palsy c) 4th nerve palsy d) 6th nerve palsy
b) 3rd nerve palsy https://derangedphysiology.com/main/required-reading/neurology-and-neurosurgery/Chapter%204631/lesions-oculomotor-nerve-cn-iii This is the "down and out" eye syndrome. It is characterised by ptosis, a down-and-out pupil, mydriasis, absent light reflex with intact consensual constriction of the opposite eye, and failure of accommodation. Classically, this is the lesion which develops during uncal herneation, due to an ipsilateral cerebral injury. Causes of unilateral CN III lesions: - Uncal herneation: Pressure from herniating uncus on nerve - Fracture involving ipsilateral cavernous sinus - Cavernous sinus thrombosis (ipsilateral) - Aneurysm (ipsilateral) - Midbrain lesion (see Question 26.2 from the second paper of 2011) Causes of bilateral CN III lesions: - Cavernous sinus thrombosis - Aneurysm - Contralateral brainstem lesion (midbrain) Exclusion of a 4th nerve lesion - Tilt the head to the same side as the lesion - The affected eye will intort if the fourth nerve is intact.
272
A 4 week old full term neonate with an inguinal hernia, who is otherwise healthy, has an ASA (American Society of Anesthesiologists) classification of at least a) 1 b) 2 c) 3 d) 4
ASA 3
273
An adult patient is administered a target controlled propofol infusion for more than 30 minutes with a constant effect-site target of 4 mcg/ml propofol plasma concentration. Compared to the Schnider model, the propofol dose given by the Eleveld model will be a a) Smaller bolus lower infusion rate b) Smaller bolus hihger infusion rate c) Larger bolus lower infusion rate d) Larger bolus highier infusion rate e) Smaller bolus same infusion rate
c) Larger bolus lower infusion rate https://associationofanaesthetists-publications.onlinelibrary.wiley.com/doi/10.1111/anae.13345 https://journals.lww.com/anesthesia-analgesia/fulltext/2014/06000/a_general_purpose_pharmacokinetic_model_for.12.aspx Eleveld Effect site - bolus 2.33mg/kg and infusion of 76.5ml/hr (for 70kg male with opioid Ce 4.0) Eleveld plasma - bolus 0.36mg/kg, infusion 102ml/hr Schnider effect - bolus 1.01mg/kg, infusion 90.6ml/hr Marsh plasma - bolus 1mg/kg, infusion 103ml/hr
274
A 25-year-old male has continued post operative bleeding after an extraction of an impacted third molar tooth under a general anaesthetic. The patient mentions that his father bruises quite easily. His coagulation screen reveals (test results shown). The most likely diagnosis is His coagulation screen reveals: Prolonged APTT, Normal PT. a) Factor V Leiden b) Haemophilia A c) Haemophilia B d) Von willebrand disease
d) Von willebrand disease - autosomal dominant inheritance - may have normal or prolonged APTT, PT is normal - haemophilia A/B canNOT have been passed down from father to son (as father passes on Y chromosome) and Haemophilia A/B is X-linked. - APTT prolonged. Normal PLT/bleeding time/PT. Factor 8 low in Haem A. Factor 9 low in Haem B Factor 11 low in Haem C vWD (type 1 quantitative, type 2 qualitiative, type 3 complete absence; note vWF is carrier for VIII) - normal or prolonged APTT - normal or reduced PLT - normal or prolonged bleeding time - normal PT" Up to date: Inheritance patterns — Most cases of VWD are transmitted as an autosomal dominant trait; this includes types 1 and 2B, and most types 2A and 2M. Up to date: ●Hemophilia A – Inherited deficiency of factor VIII (factor 8 [F8]); an X-linked recessive disorder. ●Hemophilia B – Inherited deficiency of factor IX (factor 9 [F9]); also called Christmas disease; an X-linked recessive disorder.
275
The option below which ranks these pressures from highest to lowest is (atm = atmosphere, cmH2O = centimetres of water, kPa = kilopascals, mmHg = millimetres of mercury, psi = pounds per square inch) 10 atm, 10 cmH2O, 10kPa, 10mmHg, 10PSI
All People Kick My Cat Atm> PSI > KPA > mmHg > cmH2O 1ATM = 14.69 PSI = 101.325 kPa = 760mmHg = 1033 cmH20
276
This arterial blood gas is consistent with a diagnosis of * low bicarb(18), resp compensation, BE -15, pH 7.2, O2 normal* likely wide anion gap
Metabolic acidosis Anion gap = (Na + K) - (Cl + HCO3); <12 w/o K, <16 w/ K included MUDPILES = HAGMA Methanol/EtOH Uraemia DKA (or ketoacidosis) Pyroglutamic acidosis Iron (OD) Lactic acidosis Ethylene glyclol Salicylates NAGMA = PANDA RUSH Pancreatic secretion loss Acetazolamide Normal saline intoxication (hyperchloraemic MA) Diarrhoea Aldosterone antagonists/Addison's (insufficient cortisol/aldosterone = adrenal insufficiency; aldosterone secretes H+ in distal tubule) Renal tubular acidosis Ureteric diversion Small bowel fistula Hyperalimentation (TPN)
277
Of the following, the LEAST likely to occur during one-lung ventilation in the lateral decubitus position is a. Intrapulmonary shunt b. V/Q mismatch c. Hypercarbia d. Hypoxia e. Hypoxic pulmonary vasoconstriction
c. Hypercarbia Single-lung ventilation leads to a **right-to-left intrapulmonary shunt** as the nondependent lung continues to undergo perfusion with no ventilation, leading to a widened alveolar-to-arterial (A-a) oxygen gradient, which may contribute further to **hypoxemia**. Factors leading to decreased blood flow to the ventilated lung also lead to hypoxemia. Such factors include: Low Fio2 leads to **hypoxic pulmonary vasoconstriction** in the dependent ventilated lung High mean airway pressures in the dependent ventilated lung Vasoconstrictor agents Intrinsic PEEP The lateral decubitus position under anesthesia: Under anesthesia, there is a decrease in functional residual capacity. The upper lobe moves under anesthesia to a more favorable portion of the compliance curve versus the lower lung, which lies now on a less favorable portion of the compliance curve. Neuromuscular blockade contributes to abdominal contents pressing against the dependent hemidiaphragm, thereby restricting ventilation. Open non-dependent lung leads to variation in compliance and thus **worsens ventilation-perfusion (V/Q) mismatch** - thereby leading to hypoxemia. **Carbon dioxide elimination is usually unaffected **in using single-lung ventilation with adequate maintenance of minute ventilation. Both lungs may be affected independently by single-lung ventilation. The ventilated-dependent lung is prone to ventilator-induced lung injury due to higher tidal volumes used. The nondependent nonventilated lung is prone to injury by surgical trauma and ischemia-reperfusion injuries. Considering these physiological changes in single-lung ventilation is vital to safely performing the anesthetic technique and airway management. Reference: StatPearls Single-Lung Ventilation https://www.ncbi.nlm.nih.gov/books/NBK538314/"
278
You have induced a 20-year-old male for appendicectomy with propofol, fentanyl and suxamethonium. You are maintaining anaesthesia with oxygen, air and sevoflurane. His heart rate has climbed to 150 /minute, the ETCO2 is 50 mmHg and his temperature is 40°C. After turning off the sevoflurane, you should a) Commence TIVA b) Give dantrolene 2.5mg/kg c) Allocate task cards d) Start active cooling e) Remove vaporiser
a) commence TIVA (if high flow O2 is option that would be next) Immediate management as per MHANZ (probably the ones they want us to use) Give dantrolene as priority (2.5mg/kg TBW) - 20mg/vial; 1 amp w/ 60mL H2O Stop trigger 1. declare emergency and if possible stop surgery 2.Turn off Volatile and hyperventilate with high flows (15L/min) of 100% O2 Do not waste time changing circuit or anaesthetic machine 3. Start non triggering anaestethetic 4. Give dantrolene 5. Simultaneously treat life threatening effects https://malignanthyperthermia.org.au/malignant-hyperthermia-resource-kit https://anaesthetists.org/Portals/0/PDFs/Guidelines%20PDFs/Guideline%20Malignant%20hyperthermia%202020.pdf?ver=2021-01-13-144236-793 as per guidelines are different: As per anaesthetic crisis manual 1. Call for help, communicate and delegate 2. Stop any volatile and remove vaporiser 3. Allocated task cards 4. Give dantrolene 5. Hyperventilate with 100% high flow oxygen 6. Use activated charcoal filters on both limbs 7. Maintain anaesthesia with TIVA 8. Insert IAL +/- CVC 9. Actively cool if temperature > 38.5 10. Treat associated hyperkalaemia, acidosis, arrhythmias Hyperk - CaCl 10% 10ml, Insulin 10u / 50mL 50% dextrose - 10mL Hyperthermia - cool if T>38.5, IV saline 4deg, surface cooling (ice), peritoneal lavage if open already Acidosis - hyperventilate (normocapnoea), consider sodium bicarb 0.5mmol/kg IV to aim pH >7.2 Arrythmia - lignoacaine 1-2mg/kg, amiodarone 2-3mg/kg over 15mins Additonal monitoring - core temp, IAL, UO aim >2ml/kg/hr, CVL, urgent bloods - ABG/FBC/U+E/CK/ COAG Charcoal filter- may assist in reducing volatile load Once stabilised -monitor for at least 24hrs in ICU - recurrence may occur -> more dantrolene
279
A 64 year old man presenting for elective surgery is on thyroxine 100 mcg daily. His thyroid function tests are: (test results shown) These results are most consistent with: TFTs thryoxine TSH < .05 T4 and T3 completely normal a) Hypophysectomy b) Subclinical Hyperthyoirdism c) Sick euthyroid d) Toxic Multinodular goitre or a) Overtreatment b) Subclin hypo c) Sick euthyroid d) Falconi syndrome
b) Subclinical Hyperthyoirdism Subclinical hyperthyroidism: low TSH, normal T3 + T4 (probably secondary to over treatment with thyroxine) Clinical hyperthyroidism: low TSH, high T3, high/normal T4 Subclinical hypothyroidism: high TSH, normal T3 + T4 Clinical hypothyroidism: high TSH, low/normal T3, i T4 Amiodarone: high/normal TSH, low T3 (2o to inhibition of pituitary T4 to T3 conversion) Sick euthyroid: low TSH, low T3 Hypophysectomy (central hypothyroidism): low/normal TSH/T3/T4 Compliant on thyroxine: normal TSH, high/normal T3, low T4 Non-compliant w thyroxine (pt taking several tabs prior to Dr’s appointment): high TSH, normal T4
280
The bioavailability of an oral dose of ketamine is approximately A. 10% B. 20% C. 40% D. 70% E. 80%
B. 20% 25% (a few studies have higher ranges but typically around 20-25%) https://doi.org/10.1192/bjp.bp.115.165498 Oral - 20% Subling - 30% IN - 40-50% IM - 93%
281
An anaesthetic drug that is safe to use for a patient with porphyria is a) propofol b) ketamine c) thiopentone d) etomidate
a) propofol https://academic.oup.com/bjaed/article/12/3/128/258959#3092690 Unsafe: thiopentone, ketamine, sevoflurane, oxycodone, diclofenac, ephedrine, erythromycine Undetermined: ropivacaine, vasopressin, metarminol, dexamethasone, etomidate Safe: Propofol, desflurane, N2O, midaz (low-dose) lignocaine, bupivacaine, all NMBs, fentanyl family, morphine, tramadol, other NSAIDs, benzos, phenyl/Ad/NAd, uterotonics, TXA. Porphyria - probably the disease behind the myths of vampires (make sure to drop this in your medical viva) --> sensitive to sunlight, gum recessiong (fangs), urine is red so they are obviously drinking blood, garlic can cause an attack due to its sulfur content... I digress - group of disease where there is an enzyme defect in the synthesis of haem --> accumlation of precursors that are oxidised into porphyrins - can have porphyric crises -- attacks most frequent in women in 3rd - 4th decades. Precipitated by drugs, stress, infection, alcohol, menstruation, pregnancy, starvation, dehydration --- symptoms: abdo pain, vomiting, motor/sensory neuropathy, autonomic dysfunction, CN palsies, mental distrubances, convulsions, pyrexia Before anaesthetic, particularly neuraxial: careful neurological assessment - peripheral neuropathy - autonomic instability; -> + hypovolaemia + neuraxial = circulatory collapse (note regional ok) - active disease = ^risk acute crises Oxford handbook pg 202"
282
The QRS axis of the attached electrocardiograph is closest to
https://litfl.com/ecg-axis-interpretation/
283
A 35-year-old woman is brought to the emergency department following a suspected amitriptyline overdose. She has a Glasgow Coma Scale score of 6 and her blood pressure is 90/46 mmHg. Her electrocardiogram is most likely to show A. AF B. CHB C. Sinus tachy with prolonged QRS D. Sinus brady with prolonged QRS E. VT
"c) sinus tachy with widened QRS; cocaine also TCA overdose - toxicity develops 30mins post overdose, peaks 2-6hrs post. - 4 receptors antagonsim invovled - central and peripheral Ach receptors, alpha adrenergic receptors, norad and serotonin reuptake, fast sodium channels in myocardial cells - anticholinergic symptoms - agitation, restless, delirium, mydriasis (big pupils), warm skin, tachycardia, ileus, urinary retention (SLUDGE) - CVS toxicity - tachycardia, arrythmia, HTN, Hypotension (due to alpha blockade), broad complex tachy but can also develop bradycardia pre arrest) - CNS toxcicity - delirium, agitation, sedation, seizures, coma (often precedes CVS signs) - metabolic acidosis https://litfl.com/another-tca-overdose/"
284
Somatic pain in the second stage of labour is NOT transmitted via the a) Pudendal nerve b) Illioinguinal c) pelvic splanchnic d) genitofemoral
c) pelvic splanchnic -> visceral not somatic nerve other option is inferior gluteal (motor, no sensory)
285
A thoracic regional technique that will NOT provide analgesia for sternal fractures is a a. PECS I b. PECS II c. Parasternal intercostal nerve block? d. Transfascial muscle block (can't remember wording) e. transverse thoracic plane block
a. PECS I (PECS II Covers SA and will extend to the sternum)
286
According to ANZCA PS54(A), an anaesthetic machine requiring electrical power must, in the event of mains power failure, be able to operate under battery backup power for a minimum of a) 30 min b) 60 min c) 120 min d) 240 min
REPEAT a) 30 min If the anaesthesia machine requires electrical power for normal operation, a backup power supply must be a part of the machine and permit normal operation for at least 30 minutes after a mains power supply failure. An alarm must be activated at the time of the mains failure and the state of the reserve power supply must be indicated while it is in use. https://www.anzca.edu.au/getattachment/f05e02ec-2023-4c50-b57f-9549ea0c4183/PS54(A)-Position-statement-on-the-minimum-safety-requirements-for-anaesthesia-machines-and-workstations-for-clinical-practice-2021#page=
287
The maintenance anaesthetic technique that has the lowest environmental impact from greenhouse gas is a) sevoflurane b) desflurane c) Halothane d) Ketamine e) Propofol
e) Propofol https://www.bjanaesthesia.org/article/S0007-0912(20)30547-X/pdf
288
The drug that is LEAST likely to decrease blood flow to the splanchnic circulation is: a) Noradrenaline b) Adrenaline c) Vasopressin d) Dopamine e) Phenylephrine
d) Dopamine Dobutamine (β1 and β2), dopexamine (DA1, some β2) and low-dose dopamine (DA1 and DA2, β1 and β2, α1 in high dose) all have vasodilatory effects on the splanchnic circulation, and have been shown to improve markers of perfusion. For many years, low-dose infusions of dopamine were used as a prophylactic and therapy for acute renal failure, using the logic that DA1- and DA2-mediated vasodilation in renal and splanchnic beds would be protective. https://pubmed.ncbi.nlm.nih.gov/12794401/
289
Regarding cardiopulmonary exercise testing before major surgery, oxygen pulse is the a. Arterial oxygen content at peak HR b. Arterial oxygen saturation at mean HR? c. Arterial oxygen saturation at peak HR d. PaO2 at peak HR e. Oxygen consumption/min divided by HR
REPEAT e. Oxygen consumption/min divided by HR VO2/HR: oxygen consumption divided by HR, known as the ‘oxygen pulse’ (ml beat–1) https://www.bjaed.org/article/S2058-5349(19)30021-6/fulltext The objective of CPET is to determine functional capacity in an individual. Deficiencies in CPET-derived variables—specifically: 1. ventilatory anaerobic threshold (AT) 2. peak O2 consumption (VO2peak) 3. ventilatory efficiency for carbon dioxide (VE/VCO2) —are associated with poor postoperative outcomes (mortality, morbidity, admission to intensive care, and length of hospital stay) after intra-abdominal surgery. 7. Does the oxygen pulse increase with exercise? The oxygen pulse is the VO2 divided by HR, and represents the product of the stroke volume and the arterial-venous oxygen difference. It can be seen in panel 2 and can be viewed as a surrogate for stroke volume, and as such should increase at the start of exercise before slowly reaching a plateau at its highest predicted value.
290
You wish to place the tip of a central venous line at the cavo-atrial junction in an adult, which on a chest X-ray is at a level "A. at level of the carina - mid SVC B. one vertebrae below the carina, lower SVC C. two vertebrae below carina"
C. two vertebrae below carina https://academic.oup.com/bja/article-abstract/115/2/252/323905?redirectedFrom=fulltext
291
The condition for which you would have a lower arterial oxygen saturation target is Made up responses a) Carbon monoxide poisoning b) Bronchopulmonary Pneumonia c) Bleomycin toxicity d) Pulmonary Fibrosis
Answers could also possibly be COPD, Acute stroke or Neonates c) Bleomycin toxicity Bleomycin is a particularly important chemotherapy drug for the anaesthetist to be aware of. Bleomycin is often used to treat germ cell tumours and Hodgkin's disease in a curative setting. The major limitation of bleomycin therapy is the potential for subacute pulmonary damage that can progress to life-threatening pulmonary fibrosis. Pulmonary toxicity occurs in 6–10% patients and can be fatal.2 Exposure to high-inspired concentration oxygen therapy, even for short periods, as experienced during anaesthesia, is often implicated in causing rapidly progressive pulmonary toxicity in patients previously treated with bleomycin.3 These claims have been considered controversial by some, but it is the authors' recommendation that any patient previously exposed to bleomycin therapy should be treated as high risk, and summary guidance regarding oxygen therapy is shown in Table 4. Summary guidance—oxygen therapy for patients who have received bleomycin > Patients have a life-long risk of bleomycin-induced lung injury > Oxygen therapy should be avoided if at all possible > Clinical procedures (and leisure activities) involving a high should be avoided If a patient is hypoxic > O2 therapy should be minimized to maintain O2 saturation of 88–92% > High oxygen concentrations should be used with extreme caution for immediate life-saving indications only (to maintain O2 saturation of 88–92%)
292
A patient who is day 3 post laparotomy has used 30 mg oxycodone intravenously via patient controlled analgesia in the last 24 hours. The approximate oral morphine equivalent daily dose is a) 30mg b) 45mg c) 60mg d) 90mg
90mg PO morphine Oral Tapentadol 25mg = 8mg Oral Morphine Oral Oxycodone 5mg = 8mg Oral Morphine Oral Tramadol 25mg = Oral Morphine 5mg Oral Hydromorphone 4mg = Oral Morphine 20mg S/L Buprenorphine 200mcg = 8mg Oral Morphine IV Oxycodone 5mg = Oral Morphine 15mg IV Morphine 5mg = Oral Morphine 15mg IV Hydromorphone 1mg = Oral Morphine 15mg
293
A patient with a history of restless leg syndrome is agitated in the post-anaesthesia care unit. After excluding other causes, the best treatment of the agitation in this patient is a) Pethidine b) Clonidine c) Droperidol d) Haloperidol e) Midazolam
midazolam (blue book 2019) Postoperative agitation due to akathisia may be misinterpreted as delirium. This may be mistakenly treated with haloperidol (a dopamine antagonist), exacerbating the akathisia and agitation45. Benzodiazepines should be used as treatment for akathisia instead7. - Opioids, benzodiazepines and pregabalin may also be used to alleviate symptoms. Perioperative treatment of symptoms If RLS symptoms occur perioperatively, patients should be allowed to walk or move their legs in bed as soon as possible. If prolonged bed rest is required, the frequency of RLS medications may be increased to three times a day. If oral intake is feasible, a patient’s usual oral medication may be given. Levodopa (a dopamine agonist) may be administered by nasogastric tube. Alternatively, parenteral apomorphine or a rotigotine patch may be used. Apomorphine (1 milligram) may be injected subcutaneously on an hourly basis. Nausea is a common side effect so it may need to be given with an antiemetic. Rotigotine patches may be used every 24 hours. Opioids, benzodiazepines and pregabalin may also be used to alleviate symptoms. Patients should be proactively investigated and treated for iron deficiency, targeting ferritin level greater than 300 micrograms/ litre in adults, and 50 micrograms/litre in children.
294
The Myocardial Injury after Non Cardiac Surgery study showed elevated troponin in the first three post-operative days was strongly associated with a) 30 day mortality b) 30 day MI
New question. a) 30 day mortality Postoperative myocardial injury was associated with an increased risk of death. Twenty-seven of the 315 patients (8.6%; 95% CI, 6.0–12.2%) with myocardial injury died within 30 days compared with 29 of the 1312 patients (2.2%; 95% CI, 1.5–3.2%) with normal troponin I levels (P<0.01) Reference: Myocardial Injury After Noncardiac Surgery and its Association With Short-Term Mortality (Circulation 2013)
295
Maintaining a CO2 pneumoperitoneum at a pressure of 15 mmHg is most likely to lead to a) Lactic acidosis b) Decreased arterial blood pressure c) Decreased heart rate d) Increased CVP e) Increased renal blood flow f) Increased SVR
REPEAT f) Increased SVR IAP<10mmHg - ↑ VR/CO (from splanchnic/GI cirulcation) IAP 10-20mmHg (MC) - ↓VR/CO, ↑SVR (also ↑catecholamines), <->or ↑BP IAP>20mmHg - ↓↓ VR/CO --> ↓ BP (starts to impede VR seriously) https://academic.oup.com/bjaed/article/4/4/107/308013 2004 Resp: ↓ FRC, ↑AWR + ↓compliance. Barotrauma risk"
296
Characteristics of post-operative visual loss due to vertebrobasilar ischaemia include a) inattention b) Vision returns in 24hrs c) relevant afferent pupillary defect d) diplopia
d) diplopia Bilateral visual loss associated with insufficiency to posterior circulation so: parieto-occipital ischaemia, signs of stroke, visual agnosia, ophthalmoplegia or diplopia.
297
Based on this tracing (single ECG lead shown), the mode in which this pacemaker is operating is: a) VVI with intermittent failure to capture b AVI with failure to captue c) AVI with failure to sense d) VVI with failure to sense e) VVD
Ans: a - failure to capture. There are regular pacing spikes, but no regular broad QRS (i.e. capture). The pacing spikes are not happening in a repolarising segment, therefore this does not explain why there is no ventricular response. C will be the only one with atrial and ventricular pacing spikes B only other one with atrial pacing spikes but no ventricular A would have pacing spike before ventrilcle when no p-wave occurs + some normal p then QRS Failure to capture if there’s no P wave or QRS after an atrial or ventricular pacing spike Failure to sense – the spike is going off at the wrong time, might change morphology Spike on T-wave
298
Of the following, the patient characteristic associated with an increased risk of developing severe bone cement implantation syndrome is a) Female b) Diuretics c) Young age d) Previous orthopaedic instrumentation e) B blocker
b) Diuretics Grade 1: moderate hypoxia (Spo2<94%) or hypotension [fall in systolic blood pressure (SBP) >20%]. Grade 2: severe hypoxia (Spo2<88%) or hypotension (fall in SBP >40%) or unexpected loss of consciousness. Grade 3: cardiovascular collapse requiring CPR. Patient Risk factors: 1. old age 2. poor pre-existing physical reserve 3. impaired cardiopulmonary function -> NYHA 3 or 4 4. pre-existing pulmonary htn 5. Male Sex 6. Diuretics 7. ASA grade 3 or 4 8. osteoporosis 9. bony metastases 10. concomitant hip fractures (particularly pathological and intertrochanteric) (latter due to abnormal vascular channels through which marrow contents can enter the circulation) Surgical Risk factors 1. patients with previously un-instrumented femoral canal > revision surgery 2. Use of long-stem femoral component Anaesthetic Risk reduction: - discussion between surgeons and anaesthetists over uncemented vs. cemented based on patient Hx particularly if lon-stem prosthesis, femoral fracture or patients with cardiorespiratory disease - no clear evidence regarding the impact of anaesthetic technique - increase inspired O2 considered in all patients at time of cementation - avoid intravascular volume depletion - Higher level of haemodynamic monitoring in high risk patients Factors NOT predictive of severe BCIS include: Arteriosclerosis Angina pectoris Congestive heart failure Beta-blockers Angiotensin-converting enzyme inhibitors.
299
Abdominal compartment syndrome is defined by the presence of end-organ dysfunction with a lower limit of abdominal pressure measured at A. 10mmHg B. 16mmHg C. 20mmHg D. 24mmHg
repeat 23.1 c) 20mmHg Intra-abdominal hypertension is defined as a sustained intra-abdominal pressure of >12 mm Hg, and abdominal compartment syndrome occurs at a pressure >20 mm Hg in association with new organ dysfunction. Intra-abdominal hypertension is graded as follows: Grade 1=12–15 mm Hg; Grade 2=16–20 mm Hg; Grade 3=21–25 mm Hg; and Grade 4 >25 mm Hg.
300
A medication that would be acceptable to a patient who refuses all products derived from human plasma is: a) Prothrombinex b) Activated factor 7 c) Fibrinogen concentrate d) Albumin e) anti-d
Factor 7 - Recombinant, made from baby hamster kidney cells Albumin - Alburex® 5 AU (Human Albumin 50 g/L) is an Australian manufactured albumin product Fib conc - Lyophilised precipitate. manufactired from cryoprecipitate. PCC - Prothrombinex-VF® is a lyophilised concentrate of human coagulation factors containing factors II, IX and X and a small amount of factor VII. Red cross lifeblood. Correct answer is rVIIa
301
An adult patient undergoing cardiac surgery exhibits excessive bleeding following cardiopulmonary bypass. A thromboelastogram performed on their blood is shown below. The most likely cause of the bleeding is (ROTEM with low Extem A10 and normal Fibtem A10) example from deranged: a) Platelets b)Fibrinogen c) FFP d) TXA
Plateltes Fibrinogen if low Fibtem TXA if curves tail off early FFP if MCF low
302
A term neonate is undergoing closure of gastroschisis under general anaesthesia with pressure control ventilation via an endotracheal tube. The estimated blood loss is 10 mL. Fluid therapy has been 4% albumin 40 mL/kg in addition to maintenance 10% dextrose 4 mL/kg/h. During closure of the defect, the oxygen saturation falls to 80%. The most likely cause of the desaturation is: a) Pulmonary oedema/excessive fluids b) Reduced Lung compliance c) Undiagnosed congenital heart disease 4) Return to foetal circulation
b) Reduced Lung compliance - Closure of abdominal wall post gastroschisis repair leads to significantly increased abdominal compartment pressures and can splint diaphragm. May need staged closure. Term neonate = ~3.5 kg 40ml/kg = ~140mls in Normal blood volume 90 x 3.5 = 315ml 10ml blood loss + added environmental losses from exposed bowel The key is the timing with closure, and to be aware that staged closures are frequently done. Most likely answer is lung complicance, and PCV which would result in a reduction in volumes on closing.
303
Phaeochromocytoma commonly presents with all of the following EXCEPT: a) RV Hypertrophy b) Pulmonary HTN c) long QT d) ST changes e) Cardiomyopathy
b) Pulmonary HTN Long QT + ST changes common Cardiomyopathy less common but well documented RVH possible, although more commonly LVH
304
REview Duchenne muscular dystrophy is NOT associated with: a) Increased CK b) Cardiomyopathy in female carriers c) decreased Sensitivity to non-depolarising NMBs Alternative remembered answers: a) Reisistant to NDNMB b) Premature death c) Aspiration d) Conduction abnomality in females
Increased sensitivity to non depolarisers Ck -> Anaesthesia induced rhabdo Cardio- All at-risk females, regardless of their carrier status, should be monitored for development of cardiomyopathy
305
When administered in combination with tramadol, the agent considered highest risk for the development of serotonin syndrome is: a) Moclobemide b) Escitalopram c) Desvenlafaxine d) Tapentadol
Moclobemide - Reversible MAOI SSRIs and SNRIs are lower risk Tapentadol - no serotonin effect Tranylcypromine or phenylzine are irreversible blockers and would be the highest risk
306
The action of methylene blue in treating vasoplegia is mediated by: a) Inhibits inducible NO b) Inhibits constitutive NO c) Inhibits guanylate cyclase d) Agonises angiotensin II receptors e) Something about V1 Receptors?
c) Inhibits guanylate cyclase Methylene Blue acts by inhibiting guanylate cyclase, thus decreasing C-GMP and vascular smooth muscle relaxation
307
A stellate ganglion block is NOT indicated in the management of: a) AV block b) Resistant ventricular arrhythmia c) PTSD d) Scleroderma e) Hyperhidrosis
AV block CI in - cardiac conduction block - Glaucoma - Anticoagulation Indications Complex regional pain syndrome of the head and upper limbs Peripheral vascular disease Upper extremity embolism Postherpetic neuralgia Chronic post-surgical pain Hyperhidrosis Raynaud disease Scleroderma Orofacial pain Phantom limb Atypical chest pain A cluster or a vascular headache Post-traumatic stress disorder Meniere syndrome Intractable angina Refractory cardiac arrhythmias
308
Obstructive sleep apnoea in children is diagnosed with an apnoea-hypopnoea index (AHI) of at least: a) >1 b) >5 c) >10
a) >1 0 normal Mild/mod/severe 1-5 5-10 >10
309
Neostigmine should be avoided in patients with: a) Familial periodic paralysis b) Myotonia congenita c) Duchennes d) Beckers e) Friedrichs ataxia
b) Myotonia congenita Myotonia congenita is a condition characterized by delayed relaxation of the muscles after voluntary contraction. Neostigmine can exacerbate this delayed relaxation, potentially worsening symptoms
310
A transjugular intrahepatic portosystemic shunt procedure is contraindicated in patients with: a) Hepatorenal syndrome b) Refractory ascites c) Severe TR d) Variceal bleeding e) Budd chiari
c) Severe tricuspid regurgitation (TR) Severe TR can lead to increased right atrial pressure, which may impede the proper function of the TIPS and worsen outcomes. Contraindications: Severe Hepatic encephalopathy Severe Pulmonary Htn Severe TR Multiple Hepatic Cysts Coagulopathy (relative contraindication)
311
When confirming correct placement of an endotracheal tube, verifying the presence of sustained exhaled carbon dioxide requires all the following EXCEPT: a) CO2 rises with expiration and falls with inspiration b) Consistent square waveform c) Consistent or increasing amplitude of the capnogram over 7 breaths d) Peak amplitude more than 7.5mmHg above baseline e) Capnogram is clinically appropriate
Preventing unrecognised oesophageal intubation: a consensus guideline from the Project for Universal Management of Airways and international airway societies Suggests b) is most correct answer Verifying the presence of sustained exhaled carbon dioxide requires all the following criteria to be met (Fig. 2; [93]): - Amplitude rises during exhalation and falls during inspiration. - Consistent or increasing amplitude over at least seven breaths [74, 91]. - Peak amplitude more than 1 kPa (7.5 mmHg) above baseline [74, 94]. - Reading is clinically appropriate.
312
The dataset that was used to create the Eleveld TCI model did NOT include patients who are / have: a) Neonates b) Elderly c) Cirrhotic liver disease d) End stage renal disease
D) End-stage renal disease. Why: The Eleveld propofol model was built from a very broad, mixed dataset including children, older adults, obesity and liver cirrhosis; it has since been clinically validated across children→elderly and obese adults, and is used from ~3 kg upwards (i.e., neonates in later reports). None of the primary descriptions indicate inclusion of ESRD cohorts in development. https://www.researchgate.net/publication/347597148_Prospective_clinical_validation_of_the_Eleveld_propofol_pharmacokinetic-pharmacodynamic_model_in_general_anaesthesia This second generation model3 was developed using PK-PD data from different studies from a broad, diverse, population, including data from neonates, children, adults, and older subjects, and including both volunteers and patients with conditions such as obesity, alcoholism, liver cirrhosis, and cancer, along with varying approaches to concomitant drug administration, such as opioids. https://www.bjanaesthesia.org/article/S0007-0912(20)30894-1/fulltext
313
The blood product that contains the highest concentration of citrate is: a) FFP b) RBCs c) Platelets d) Cryoprecipitate e) Fibrinogen concentrate
a) FFP FFP - 20mmol/l (associated with highest rate of Citrate toxicity) - cannot find a great reference but is quoted in Citrate Toxicity During CRRT After Massive Transfusion (they then reference 1992 guidelines from Transfusion Med, 1994 article about plasma exchage, and Miller's 2009) Lifeblood - additive for plasmapheresis is highest concentration of 4% - could also argue that even if derived from whole blood donation, most of the citrate likely to be in the plasma anyway and when cellular components separated from plasma it will remain (no evidence for that) These numbers unclear source material Platelets - 15-20mmol/L Plasma - 13-15mmol/L Red cells 5-7.5mm/L Cryo 13-15mmol/L Fib conc - nil
314
During a new pandemic, an anaesthetist refuses to provide sedation for an elective operation due to concern that the procedure may hasten community spread of the disease. This is the ethical principle of: a) Beneficence b) Non-maleficence c) Justice d) Conscientious objection e) Professional autonomy
Primum non nocere: First, do no harm - Non maleficence
315
The anaesthetic technique associated with the highest rate of postprocedure patency of a newly-created arteriovenous fistula is a) Propofol TIVA b) Brachial plexus block c) Sedation + LA d) Volatile
Regional -ie Brachial plexus Anaesthesia Choice for Creation of Arteriovenous Fistula (ACCess) study protocol : a randomised controlled trial comparing primary unassisted patency at 1 year of primary arteriovenous fistulae created under regional compared to local anaesthesia supraclavicular or Axillary block
316
The image below shows the arterial pressure (red, upper line) and balloon pressure (blue, lower line) from an intra-aortic balloon pump set at 1:2 augmentation. The point of the waveform indicated by the large green arrow is called: a) Assisted end diastolic b) Assisted systolic c) Unassisted end diastolic d) Assisted systolic
Assisted end diastolic
317
A patient’s true arterial oxygen saturation will be lower than a pulse oximeter reading in the presence of: a) Carboxy Hb b) Sickle cell c) Methylene blue
CarboxyHb - Probe cannot differentiate between HbO and COHb The others cause false readings
318
Organ procurement after circulatory death is generally stood down if the time from cessation of cardiorespiratory support to circulatory death extends beyond: a) 60min b) 90min c) 120min
90 mins 30mins Liver Pancreas Heart 60mins Kidneys 90mins Lungs Page 35 ANZICS statement 2.4.3 Warm ischemia time Donate life
319
The rank of volatile anaesthetic agents from highest to lowest derived global warming potential over 100 years (GWP100) is: a) Nitrous, des, iso, sevo b) Des, iso, nitrous, sevo c) Des, nitrous, iso, sevo d) Nitrous, des, sevo, iso
B Desflurane (Des): GWP100 around 2,500-3,000 Isoflurane (Iso): GWP100 around 1,000-1,100 Nitrous oxide (Nitrous): GWP100 around 298 Sevoflurane (Sevo): GWP100 around 130-210
320
A characteristic feature of postoperative visual loss due to posterior ischaemic optic neuropathy is: a) Painful b) Normal light reflexes c) Normal fundoscopy d) Visual inattention
c) Normal fundoscopy
321
The bipolar leads of a 12-lead electrocardiogram are: a) All b) V1-V6 c) aVL, aVR, aVF d) I, II, III e) None
D) I, II, III 3-electrode system - Uses 3 electrodes (RA, LA and LL) - Monitor displays the bipolar leads (I, II and III) Life in the Fast Lane
322
The local anaesthetic with the lowest CCCNS ratio (ratio of the drug dose required to cause cardiac collapse to the drug dose required to cause seizure) is: a) Levobupivacaine b) Bupivacaine c) Lignocaine d) Ropivacaine
B) Bupivacaine CC/CNS Ratio: the ratio of the dose required to cause CVS collapse and the dose required to cause CNS toxicity (indicates the CNS is more vulnerable than CVS) Lignocaine: 7.1 Ropivacaine: 5.0 Bupivacaine: 3.7 Levobupivacaine: **not listed Petkov Ropivacaine and levobupivacaine, for example, have higher CC/CNS ratios than racemic bupivacaine; therefore, it seems logical to preferentially use these drugs when long-acting LAs are desired. Pubmed
323
The time for reversal of therapeutic dabigatran after administration of idarucizumab 5 g is: a) 5 mins b) 15 mins c) 30 mins d) 60 mins e) 120 mins
5 mins - Essentially one circulation time Intravenously administer the dose of 5 g (2 vials, each contains 2.5 g) as o Two consecutive infusions or o Bolus injection by injecting both vials consecutively one after another via syringe Idarucizumab was administered as one 5 g intravenous infusion over five minutes Among the 90 patients with available data, the median maximum reversal of the pharmacodynamic anticoagulant effect of dabigatran as measured by ECT or dTT in the first 4 hours after administration of 5 g idarucizumab was 100%, with most patients (>89%) achieving complete reversal. Reversal of the pharmacodynamics effects was evident immediately after administration. FDA Product Guide See blue book article
324
The intrinsic muscles of the larynx do NOT include: a) Cricothyroid b) Suprahyoid c) Transverse arytenoid d) Cricoarytenoid
b) Suprahyoid Suprahyoid muscles are extrinsic muscles of the larynx that attach outside the laryngeal framework and assist in swallowing and other movements. **Not in anatomy for anaesthetists!** The intrinsic muscles of the larynx have a threefold func- tion: they open the cords in inspiration, they close the cords and the laryngeal inlet during deglutition, and they alter the tension of the cords during speech. They comprise the posterior and lateral cricoarytenoids, the interarytenoids and the aryepiglottic, the thyroarytenoid, the thyroepiglottic, the vocalis and the cricothyroid muscles. Anatomy for Anaesthetists
325
When interpreting an arterial blood gas, a high serum anion gap is consistent with: a) lithium toxicity b) Salicylate toxiticy c) Hypercholeraemia d) Hypoalbuminaemia e) Hypercalcaemia
b) Salicylate toxicity Salicylate toxicity can cause an elevated serum anion gap due to the production of organic acids (salicylic acid and its metabolites) that are not measured by the standard anion gap calculation. This leads to an increased anion gap metabolic acidosis. HAGMA results from accumulation of organic acids or impaired H+ excretion Causes (LTKR) Lactate Toxins Ketones Renal Causes (CATMUDPILES) CO, CN Alcoholic ketoacidosis and starvation ketoacidosis Toluene Metformin, Methanol Uremia DKA Pyroglutamic acidosis, paracetamol, phenformin, propylene glycol, paraladehyde Iron, Isoniazid Lactic acidosis Ethylene glycol Salicylates NAGMA results from loss of HCO3- from ECF Causes (CAGE) Chloride excess Acetazolamide/Addisons GI causes – diarrhea/vomiting, fistulae (pancreatic, ureters, billary, small bowel, ileostomy) Extra – RTA Causes (ABCD) Addisons (adrenal insufficiency) Bicarbonate loss (GI or Renal) Chloride excess Diuretics (Acetazolamide) LITFL
326
The Glasgow Blatchford score is used to risk stratify: a) Pulmonary haemorrhage b) Traumatic intraperitoneal haemorrhage c) PPH d) SAH e) UGI bleed
e) UGI bleed Stratifies upper GI bleeding patients who are "low-risk" and candidates for outpatient management. Use for adult patients being considered for hospital admission due to upper GI bleeding. Components: haemoglobin, BUN, initial systolic BP, heart rate > 100, melena present, recent syncope, hepatic disease history, cardiac failure present. Med-Calc
327
In a male patient with quadriplegia undergoing a rigid cystoscopy, the optimal choice of anaesthesia to prevent autonomic dysreflexia is a) Spinal b) Epidural c) GA with volatile at 1 MAC d) Topical only
a) Spinal Elective surgery.Urological. Recurrent urinary tract infections and long-term catheterization increase the risk of bladder cancer. Cystoscopy is a common procedure as is insertion of suprapubic catheters and botox injections for the management of neuro- pathic bladders. Spinal anaesthesia is safe in patients with CSCI and is an effect- ive way of abolishing ADR15 and spasms. Spinal anaesthesia is becoming a widely accepted technique in patients with pre-exist- ing spinal cord pathology and is routinely used in Stoke Mande- ville Hospital, with a low dose (1.5–2 ml) hyperbaric bupivacaine 0.5%, for most procedures. Spinals can be challenging to site because of poor positioning as a result of spasms and contractures, the presence of spinal metal work, and bony deformities. The effectiveness and the level of the block are difficult to ascertain. The loss of the Babinski reflex and a change in tone from spasticity to flaccid paralysis indicate an established block; although the height of the block remains difficult to assess. The anaesthetist must be vigilant for the signs and symptoms of a total spinal block. Epidural anaesthesia has been demonstrated to be effective in reducing ADR in labouring women; however, it is less reliable for general and urological surgical procedures. I asked a boss about this - he said if previous autonomic dysreflexia definitely needs an anaesthetic! Perioperative management for patients with a chronic spinal cord injury. BJA 2015
328
Interference with pacemaker function can result from all of the following EXCEPT: a) RF ablation b) High volume ventilation c) Peripheral nerve stimulator d) CT e) Diathermy
d) CT British Heart Rhythm Societies guidelines
329
A neonate with a postmenstrual age of 34 weeks (born at 26 weeks) and weighing 2 kg is undergoing retinal laser therapy under general anaesthesia. The oxygen saturation is 92% on the following ventilator settings: FiO2 0.4; inspiratory pressure 15 cmH2O; PEEP 5 cmH2O; rate 24 breaths per minute. The most appropriate course of action is to: a) Increase FiO2 to 100 b) Suction tube c) Increase PEEP to 7 d) Recruitment breath at 30cmh2o e) Do nothing
C: increase PEEP to 7 as per paeds anaesthetist - rationale that 92% leaves no reserve and is on lower end of target. Brainscape says E Targets for premature babies: * Volume-targeted or pressure-limited mode targeting tidal volumes of 5 ml kg1 * Ventilatory frequency: 30-60 bpm * PEEP: 6-8 cmH2O * Titrate above to maintain normocapnia or mild hypercapnia * Titrate FIO2 to achieve SpO2 90-95%.
330
When auscultating the heart the Valsalva manoeuvre will increase the murmur intensity of: a) AS b) MS c) MR d) MVP e) VSD
Mitral valve prolapse Valsalva increases the strength of murmurs due to hypertrophic obstructive cardiomyopathy and mitral valve prolapse. It decreases the intensity of aortic stenosis, mitral stenosis, aortic regurgitation, mitral regurgitation, and ventricular septal defects. OPPOSITE IS TRUE FOR SQUATTING (Increases preload)
331
The most appropriate order of blood products transfused sequentially through the same blood administration set is: A) RBC - plasma - plts B) RBC - plts - plasma C) Plasma - RBC - plts D) Plts- RBC -plasma
D) Plts- RBC -plasma according to Lifeblood guidelines, platelets MUST be given before RBC if in the same line, as red cell debris will trap platelets; platelets and plasma can be sequential through the same set; as platelets take a long time to transfuse, it makes sense to first transfuse plasma (fast), then platelets, then red cells
332
The breathing system shown in the accompanying picture is an example of Mapleson: a) A b) B c) C d) D e) F
c
333
In an anaesthetised patient with anaphylaxis, cardiac compression should be initiated at a systolic blood pressure of less than: a) 40 b) 60 c) 80 d) 100 e) 120
a) 40 40; if 50 was there the answer would be 50 NAP 6 says CPR if SBP<50mmHg ANZAAG says 50mmHg
334
The muscle recommended for neuromuscular monitoring by the 2023 American Society of Anesthesiologists practice guidelines is the: a) Adductor Pollicis b) Flexor pollicis longus c) Flexor hallucis brevis d) Corrugator supercilii e) Orbicularis oculi
A - Adductor Pollicis - Usual site for NMT Correct on ASA website
335
A single intraoperative dose of 8 mg dexamethasone compared to 4 mg results in: a) No difference in analgesia b) No difference in PONV c) No difference in BSL d) Increased surgical site infection
B is the answer Check 4th consensus guidelines Does show better analgesia PADDI Trial (Monash and ANZCA) 2021 No difference in infection with dex 8 vs placebo Anaesthesiology Nov 2021, Vol 135, issue 5 - article by Aus anaesthesiologists A higher dose - Will cause more hyperglycaemia in DM patients but not clinically/statiscally significant - Will improve PONV for 72 hours = possibly - Some studies show this can improve analgesia - ortho, ent cases particularly 8mg dose recommended Was the question related to addition of dex in block - Korean study compared 4vs8 in 2018
336
You are undertaking an ultrasound guided pericapsular nerve group (PENG) block for hip surgery. In the accompanying image, the structure labelled with the star is the: a) Psoas Tendon (This) b) Iliacus c) Sartorius
a) Psoas Tendon
337
The tooth most commonly damaged during direct laryngoscopy is the: a) Right maxillary central incisor b) Left maxillary lateral incisor c) Left maxillary Central incisor d) Right maxillary lateral incisor
c) Left maxillary Central incisor BJA education article - 2016 and Aagbi Left max central incisor most common from blade (fulcrum) 32% Right max central - 19% Right third molar if posterior injury Periodontitis and cvs risk link Reminder to link poor dentition with other risk factors - meth/smoking/poor diet/autoimmune conditions and their anaesthetic impact 1:4500 risk (Rcoa)
338
In the event of an electrical fire in the operating room, the correct fire extinguisher type to use is: a) Dry powder b) Wet c) Chemical d) CO2
CO2 Pull/Aim/Squeeze/Sweep Don’t use fire blankets - concentrated heat on patient Saline or water for body cavity fire Dry powder and chemical can leave residues that could damage equipment
339
According to the ISO colour code for medical gas cylinders, Entonox is indicated by a) Blue/ White b) Yellow c) Black d) Grey
a) Blue/ White Blue and white shoulder White bottle Pre 2004 made cylinder is blue
340
During resuscitation of a newborn, the heart rate is noted to be 50 beats per minute despite optimal ventilation and chest compressions. The next step in management is to give intravenous adrenaline: a) 0.1-0.3ml/kg 1:1000 b) 0.5-1ml/kg 1:10000 c) 0.1-0.3ml/kg 1:10000 d) 0.1-0.3ml/kg 1:100000
C Neoresus 10-30mcg/kg
341
An adult weighing 80 kg has sustained full-thickness burns to 40% of their body. The recommended volume of fluid resuscitation in the first 24: a) 9600ml b) 16000ml c) 6400ml Actual exam options gave 3ml/kg/bsa to 4ml/kg/bsa range
3 * 40 * 80 = 9600 Parkland seems to be trending toward 3ml these days rather than 4 Deranged physiology key points Urine output as end goal - risk of fluid creep with same Albumin reduces total volume of resus but not difference to survival Hypertonic fluids - increased mortality and AKI Other formula Brooke Evan’s Monafo Shriner’s -paeds Galvestons - paeds
342
In a can’t intubate, can’t oxygenate (CICO) scenario when using a 14G cannula and a Rapid-O2 oxygen delivery device, the initial rescue breath should be: a) 2 seconds, 10L O2 b) 4 seconds, 10L O2 c) 2 secs 15L d) 4 secs 15L
d) 4 secs 15L Initial breath 4 seconds @ 15L (rate is 250ml/s i.e. total delivered in 4 seconds = 1L) If no improvement in SpO2 after 30 seconds give another 2 second breath Subsequent breaths once sats fall by 5% from maximum Spo2 achieved with initial jet ventilation breath = 2 secs (I.e. 500ml)
343
The maximum recommended cumulative dose of Intralipid 20% for the treatment of local anaesthesia systemic toxicity is: a) 8ml/kg b) 9ml/kg c) 12ml/kg
c) 12ml/kg Intralipid 20% treatment Initial bolus 1.5ml/kg (repeat up to Max 3 times 5 mins apart Infusion 15ml/kg /hr Max cumulative dose = 12 ml/kg
344
The minimum age in years for in vitro contracture testing for suspected malignant hyperthermia is a) 6 b) 8 c) 10 d) 12
10 All current Australian and New Zealand laboratories follow the guidelines of the European Malignant Hyperthermia Group for In Vitro Contracture Testing. The EMHG guidelines are summarised as follows: Age and Weight The minimum weight limit for Australian and New Zealand laboratories is 30 kg and the minimum age for IVCT is 10 years. (Emhg actually says min age for muscle biopsy is 4 yrs but lab's should not test children under 10 yrs without relevant control data) IVCT details The biopsy should be performed on the quadriceps muscle (either vastus medialis or vastus lateralis), using local (avoiding local anaesthetic infiltration of muscle tissue), regional, or trigger-free general anaesthetic techniques. The muscle samples can be dissected in vivo or removed as a block for dissection in the laboratory within 15 minutes. The time from biopsy to completion of the tests should not exceed 5 hours. Muscle specimens should measure 20-25 mm in length and at least four tests should be performed each one using a fresh specimen. The tests should include a static cumulative caffeine test and a dynamic or static halothane test. The results should be reported as the threshold concentration, which is the lowest concentration of caffeine or halothane that produces a sustained increase of at least 2 mN (0.2 grams) in baseline force from the lowest force reached.
345
A medication that should be avoided in a patient with thyroid storm is: a) Aspirin b) Propranolol c) Potassium Iodide d) PTU
NSAIDS/aspirin should be avoided as it displaces thyroxine from protein and subsequently increases free T3 and T4 levels. Thyroid storm General measures Cooling IVF +/- glucose Paracetamol Propranolol Specific Hydrocortisone 200 mg QID IV PTU after PTU sodium iodide/lugols iodine
346
A patient with a perioperative troponin rise above normal, chest pain, left ventricular anterior regional wall motion abnormality, and atheroma without thrombus occluding 70% of the left anterior descending coronary artery has had a/an NSTEMI STEMI Unstable angina Acute myocardial injury Chronic myocardial injury Type 1 MI Type 2 MI
Type 2 MI MI: Myocardial injury with rise/fall cTn above 99th percentile of upper ref limit within 30 days post op plus at least one of: Ischemic symptoms New ischemic ECG changes New path Q waves on ECG Imaging evidence of myocardial ischemia Angiographic/autopsy evidence of coronary thrombus T1MI - usually precipitated by atherosclerotic plaque disruption (rupture or erosion. Identified by coronary thrombus. Plaque rupture may not only be complicated by intraluminal thrombosis but also by hemorrhage into the plaque through the disrupted surface T2MI -Coronary atherosclerosis is a common finding in type 2 MI patients selected for coronary angiography. Vasospasm, cornary dissection and supply/demand imbalance also in this categeory
347
Regarding sex differences in the incidence of connected consciousness (ability to respond to command during general anaesthesia) in adults after tracheal intubation as measured by the isolated forearm technique: a) Higher in females due to lower propofol ml/kg dose b) Higher in females despite same dose propofol c) Higher in males due to lower propofol ml/kg dose d) Higher in males despite same propofol dose e) No sex difference
B) higher in females despite same dose propofol BJA Feb 2023 https://www.bjanaesthesia.org/article/S0007-0912(22)00192-1/fulltext Females (13%, 31/232) responded more often than males (6%, 6/106). In logistic regression, the risk of responsiveness was increased with female sex (odds ratio [ORadjusted]=2.7; 95% confidence interval [CI], 1.1–7.6; P=0.022) and was decreased with continuous anaesthesia before laryngoscopy *supplementary table shows dosing between female and male responders vs non responders and dosing is the same
348
A patient who underwent a thoracotomy six months ago reports shooting pain on the chest wall occurring without any trigger. This is known as: Post thoracotomy pain syndrome
IASP Post-thoracotomy pain syndrome: "Pain that recurs or persists along a thoracotomy incision at least two months following the surgical procedure" in general it is burning or stabbing pain with dysesthesia thus shares many features of neuropathic pain. Dysesthesia: unpleasant abnormal sensation spontaneous or evoked
349
In Australia and New Zealand, a return to practice program is recommended after an absence from consultant anaesthetic practice for more than: a) 3 months b) 6 months c) 9 months d) 12 months
12 months
350
In this ultrasound image, the cricothyroid membrane is at the position marked A B C D E
C
351
A superficial cervical plexus block will block all of the following nerves EXCEPT the: a) Lesser occipital b) Greater occipital c) Greater auricular d) Transverse cervical e) Supraclavicular
Greater occipital
352
A drug which is unlikely to interfere with skin testing is oral: a) Diphenhydramine b) Amitriptyline c) Prednisolone d) Risperidone e) Ranitidine
Prednisolone https://media.anzaag.com/2022/09/26104018/testing-guidelines.pdf
353
According to the ANZCA guideline on fatigue risk management in anaesthesia practice the duration of an ideal nap is: a) 10-20 b) 20-30 c) 30-40 d) 40-50
10-20 min https://www.anzca.edu.au/getContentAsset/e2700653-ea93-4926-9e0a-129a7226e0f8/80feb437-d24d-46b8-a858-4a2a28b9b970/PG43(A)BP-Fatigue-BP-2020.pdf?language=en
354
A 39-year-old requires anaesthesia for a laparoscopic cholecystectomy. They have a history of mastocytosis and have never had an anaesthetic in the past. The non-depolarising muscle relaxant to avoid using is: a) Atracurium b) Cisatracurium c) Pancuronium d) Rocuronium e) Vecuronium
Atrac - histamine release is bad. more Mastocytosis Info would be good
355
A healthy woman with an uncomplicated pregnancy has an American Society of Anesthesiologists (ASA) Physical Status classification of: a) 1 b) 2 c) 3 d) 4
2
356
NP: The antibiotic considered safest to be administered to a patient with myasthenia gravis in the perioperative period is: a) Vancomycin b) Gentamycin c) Erythromycin d) Flucloxacillin e) Ciprofloxacin
d) Flucloxacillin Black box warning for fluoroquinolones (ciprofloxacin) Probably also avoid Aminoglycosides (Amikacins/gentamicin/streptomycin) and tobramycin although TOBRAMYCIN probably least problematic of these. Macrolides (erythromycin) These antibiotics have not been shown to cause many problems for MG patients Tetracycline (doxycycline, minocycline) – this may worsen MG Sulfonamides (Bactrim), Penicillin – causes rare cases, usually not a problem for majority of MG patients https://myastheniagravis.org/mg-and-drug-interactions/#:~:text=These%20antibiotics%20have%20black%20box,Ketek%20(telithromycin) https://myasthenia.org/Portals/0/Cautionary%20Drugs.pdf
357
The clinical laser type with the greatest tissue penetration is: a) Argon b) Nd:yag c) Er:yag d) Co2 e) Holmium
b) Nd:yag Modified Question: this question asks Greatest, old asks least Least = Er:yag Most = Nd:Yag Er:yag (Erbrium-Yag) used in dermatology which is the least penetrative CO2 laser has very little penetration (~ 10micrometres), as it has a wavelength of 10 600nm. Helium-Neon laser also has very little penetration. Nd:YAG is the most powerful, with a penetration of 2-6mm, as it has a wavelength of 1064nm. Argon penetration of 0.5mm
358
The accompanying image is obtained while doing an ultrasound guided erector spinae plane block at the level of the transverse process of the fourth thoracic vertebra. The muscle marked by the arrow is the: a) Traps b) Rhomboids c) Erector spinae d) Latissimus Dorsi
c) Erector spinae
359
Risk factors for delirium after hip fracture surgery include all EXCEPT a) Frailty b) Age c) GA vs Neuraxial technique d) Male Sex
c) GA vs Neuraxial Neuraxial versus general anesthesia in elderly patients undergoing hip fracture surgery and the incidence of postoperative delirium: a systematic review and stratified meta-analysis: This meta-analysis did not find any statistically significant difference in POD incidence between NA and GA groups or in any subgroup analyses. There was no difference in delirium incidence regardless of inclusion or exclusion of patients with pre-existing dementia or preoperative delirium a) Frailty, b) Age -> risk factors Most notably, neck of femur fracture repair is associated with up to 70% risk of postoperative delirium. There are several explanations: a neck of femur fracture is commonly associated with frail older patients; perioperative pain is a significant issue; and the surgery is usually done in an emergency setting with limited opportunity for preoperative optimisation BJA d) Male sex -> risk factor Male sex associated with increased risk of delirium, multiple studies on Google
360
The effects of empagliflozin include a decrease in: a) Ketone production b) Intravascular volume c) Serum creatinine d) Glycosuria
b) Intravascular Volume Common Adverse Effects - genital infections (eg vulvovaginal candidiasis, balanitis) - polyuria - dysuria - UTI - dyslipidaemia - hypoglycaemia (when used with a sulfonylurea or insulin) - increased haematocrit - constipation - nausea - thirst - renal impairment, eg increased serum creatinine (related to volume depletion, generally occurs early in treatment and is reversible) Australian Medicines Handbook
361
Oral naltrexone should be ceased preoperatively for: a) 24 hours b) 48 hours c) 72 hours d) 96 hours
NAOMI 72 hours ANZCA Blue Book 2023 Oral naltrexone should be stopped at least 24 hours and ideally 72 hours prior to elective surgery. And there is a lack of instruction re Contrave- so best to stop 72 hours prior. And limited evidence re low dose naltrexone for chronic pain - so for consistency blue book says 72 hours. Caution increased opioid sensitivity in patients using perioperative naltrexone.
362
A medication that has NOT been associated with arrhythmogenic potential in patients with Brugada syndrome is: a) Propofol b) Thiopentone c) Amiodarone d) Ketamine
B Thiopentone BJA article 2018 Propofol infusions have been associated with a brugada like ECG. https://www.brugadadrugs.org/avoid/
363
Borders of the anterior triangle of the neck DO NOT include the: a) Inferior angle of mandible b) Middle third of clavicle c) Sternocleidomastoid muscle d) Midline neck
b) Middle third of clavicle Anterior triangle **contains IJ** Superiorly: inferior border of the mandible. Laterally: anterior border of the sternocleidomastoid. Medially: sagittal line down the midline of the neck. Posterior triangle **contains EJ** Anterior: posterior border SCM Posterior: anterior border trapezius Inferior: middle third clavicle StatPearls Anatomy, Head and Neck, Neck Triangle
364
In a patient presenting with an Addisonian crisis, the electrolyte disturbances MOST LIKELY to be seen are: a) Hypocalcaemia, hyperkalaemia, hyponatraemia b) High BSL, hyperkalaemia, hyponatraemia c) Low BSL, hyperkalaemia, hyponatraemia d) Hypercalcaemia, hyperkalaemia, hyponatraemia
c) Low BSL, hyperkaelamia, hyponatraemia Adrenal crisis is a medical emergency and should be considered in any patient presenting with one or more of the following symptoms: * altered consciousness * circulatory collapse * hypoglycaemia * hyponatraemia * hyperkalaemia * seizures * history of steroid use/withdrawal * any clinical features of Addison disease Adrenal crisis may be precipitated by stress, sepsis, dehydration or trauma; clinical features may be modified accordingly. In patients with known adrenal insufficiency, nonadherence with therapy, inappropriate cortisol dose reduction or lack of stress related cortisol dose adjustment can cause adrenal crisis. Aus Family Physician - RACGP
365
A local anaesthetic agent that is considered safe to use in a patient with glucose-6-phosphate dehydrogenase deficiency is: a) Articaine b) Bupivacaine c) Lignocaine d) Prilocaine e) Benzocaine
Bupivicaine Avoid - Lignocaine/lidocaine - Prilocaine Considering the specificity of patients with G6PD deficiency, attention should be given to the choice of local anesthetic, because for instance lidocaine and prilocaine are not recommended, while bupivacaine is shown to be safe to use. Management of Anesthesia and Perioperative Procedures in a Child with Glucose-6-Phosphate Dehydrogenase Deficiency J Clin Med. 2022 Nov Also avoid methylene blue (prev Q) Could only find - don't give lignocaine - can give bupivacaine Also found don't give articaine, prilocaine or benzocaine https://cdho.org/factsheets/glucose-6-phosphate-dehydrogenase/#:~:text=Local%20anaesthetic%20agents%20(e.g.%2C%20prilocaine,9%20in%20G6PD%20deficient%20persons.
366
Steph The ANZAAG-ANZCA guideline for management of resistant hypotension during perioperative refractory anaphylaxis in an adult includes all of the following EXCEPT: a) Fluid bolus 20ml/kg b) Continue adrenaline c) Noradrenaline infusion d) Vasopressin bolus e) Glucagon
a) its 50ml/kg bolus Also remembered as - meteraminol - glucagon - promethazine - vasopressin where answer is promethazine Resistant Hypotension * Additional IV fluid bolus 50 mL/kg * Continue Adrenaline Infusion * Add second vasopressor * Consider CVC * TOE/TTE * Cardiac bypass/ECMO if available Adult Recommendations - Additional IV fluid bolus 50 mL/kg - Noradrenaline Infusion 3 – 40 mcg/min (0.05 - 0.5 microg/kg/min) and/or - Vasopressin bolus 1– 2 units then 2 units per hour - If neither available use either Metaraminol or Phenylephrine - Infusion Glucagon 1– 2 mg IV every 5 min until response: draw up and administer IV (Counteract β blockers) Anaphylaxis during Anaesthesia Refractory Management ANZAAG-ANZCA guideline Also useful; resistant bronchospasm * Consider: - Oesophageal intubation - Circuit malfunction - Airway device malfunction - Tension pneumothorax * Continue Adrenaline Infusion * Add alternative bronchodilators Adult Recommendations Salbutamol * Metered Dose Inhaler 12 puffs (1200 microg) * IV bolus 100-200microg +/- infusion 5-25microg/min Magnesium 2 g (8 mmol) over 20 minutes Consider Inhalational Anaesthetics and Ketamine
367
The abnormalities seen in the electrocardiogram below are consistent with: a) Hypercalcaemia b) Hypermagnasaemia c) Hyperphosphataemia d) Hypokalaemia e) Hyperkalaemia
NAOMI ECG features of hypokalemia: Increased P wave amplitude Prolongation of PR interval Widespread ST depression and T wave flattening/inversion Prominent U waves (best seen in the precordial leads V2-V3) Apparent long QT interval due to fusion of T and U waves (= long QU interval)
368
The following supraglottic airway devices allow direct intubation EXCEPT for the: a) Classic b) iGel c) Auragain d) Supreme e) Proseal
d) Supreme D - "The Supreme LMA™ does not seem to be suitable for this purpose as the angle of exit of the AIC from the device is unpredictable due to the epiglottic fins in its bowl.7" https://www.ccam.net.au/handbook/plan-b/
369
The MELD-Na (Model for End-Stage Liver Disease-Sodium) score includes all of the following parameters EXCEPT: a) Bilirubin b) INR c) Albumin d) Creatinine
Albumin MELD uses the following parameters: - Bilirubin - INR - Creatinine - [Hyponatraemia] ○ Part of the MELD-Na score update in 2016 ○ Sodium (Na) Values < 125 are set to 125 and values >137 are set to 137 4 MELD levels are: - >/=25 (gravely ill) - 24-19 - 18-11 - 15 should avoid elective surgery Calculation: MELD = 3.8*loge(serum bilirubin [mg/dL]) + 11.2*loge(INR) + 9.6*loge(serum creatinine [mg/dL]) + 6.4 MELD-Na = MELD + 1.32 * (137-Na) - [0.033*MELD * (137-Na)]
370
Postdural puncture headache in obstetric anaesthesia is associated with a greater likelihood of all of the following EXCEPT: a) Sheehan’s b) Cortical vein thrombosis c) Bacterial meningitis d) Postpartum depression
repeat: Sheehans https://www.uptodate.com/contents/post-dural-puncture-headache Complications of PDPH 1. Chronic Back pain 2. Hearing loss 3. Acute onset headache consider pneumopcephalus headache 4. Persistent headache 5. Increased risk of subdural haematoma 6. postpartum depression 7. bacterial meningitis 8. Reversible cerebral vasoconstriction syndrome (RCVS) 9. Posterior reversible encephalopathy syndrome (PRES)
371
Cyclooxygenase-2 (COX-2) inhibitors in pregnancy are considered: a) Not safe b) Safe c) Safe only in 3rd trimester d) Safe after 1st trimester up to 48hrs prior to delivery
REPEAT with slightly reworded answers A is safest answer. Previous iterations of this Q have been controversial. NSAIDs technically safe in first trimester, but not in third (post 32 weeks) as can cause premature duct closure. a. Not safe or safe only in 1st trimester While relatively safe in early and mid pregnancy, NSAIDs can precipitate fetal cardiac and renal complications in late pregnancy, as well as interfere with fetal brain development and the production of amniotic fluid; they should be discontinued in gestational wk 32 APMSE
372
A healthy woman is admitted to the obstetric unit with threatened preterm labour at 29 weeks gestation. Her blood pressure is 140/80 mmHg. A magnesium sulfate infusion is indicated for the purpose of: a) Foetal neuroprotection b) Treat BP c) eclampsia prevention d) Tocolysis
A - Foetal neuroprotection https://www.kemh.health.wa.gov.au/~/media/HSPs/NMHS/Hospitals/WNHS/Documents/Clinical-guidelines/Obs-Gyn-Guidelines/Preterm-Labour-Magnesium-Sulphate-for-Neuroprotection-of-the-Fetus.pdf?thn=0#:~:text=MgSO4%20is%20only%20given%20to,4%20hours%20prior%20to%20delivery.
373
The commonest symptom or sign of uterine rupture during attempted vaginal birth after caesarean is: a) Pain between contractions b) CTG persistent foetal bradycardia c) Variable decels on CTG d) PV Bleeding
Fetal bradycardia No idea - commonest sign is pv bleeding and fetal brady (non specific) and both answers are there! Mentioned on MELB course that foetal Brady
374
A 50-year-old has had a headache for the last month which is relieved by lying flat. They have had no medical procedure to their spine such as epidural, spinal or lumbar puncture. Their brain magnetic resonance (MR) imaging scan shows diffuse meningeal enhancement and brain sagging. The neurologist suspects spontaneous intracranial hypotension and asks you to do an epidural blood patch. No spinal imaging has been performed to confirm a cerebrospinal fluid (CSF) leak. You should A do LP to measure pressure if low do lumbar patch B do blood patch at lumbar level with no further investigation C do spine imaging if CSF leak present do blood patch at level D do spine imaging if CSF leak present do lumbar blood patch E refuse to do blood patch
B Diagnostic criteria has been met. Consensus guidelines do not mandate spine imaging being prefomed prior to a patch https://jnnp.bmj.com/content/94/10/835 (acknowleding UTD has a "practice" of doing an MRI spine for all)
375
Following scoliosis surgery, a patient exhibits neurological changes in both legs. There is loss of power and reduced pain and temperature sensation. Proprioception and vibration sense are intact. The most likely mechanism of injury is: a) Misplaced pedicle screw b) Anterior spinal artery syndrome c) Posterior spinal artery syndrome d) Brown-Sequard syndrome
STEPH a) Anterior spinal artery syndrome Anterior spinal artery syndrome usually includes tracts in the anterior two-thirds of the spinal cord, which include the CSTs, the spinothalamic tracts, and descending autonomic tracts to the sacral centers for bladder control. CST involvements produce weakness and reflex changes. A spinothalamic tract deficit produces the bilateral loss of pain and temperature sensation. Tactile, position, and vibratory sensation are normal. Urinary incontinence is usually present. Dorsal cord syndrome results from the bilateral involvement of the dorsal columns, the corticospinal tracts, and descending central autonomic tracts to bladder control centers in the sacral cor. Dorsal column symptoms include gait ataxia and paresthesias. CST dysfunction produces weakness that, if acute, is accompanied by muscle flaccidity and hyporeflexia and, if chronic, by muscle hypertonia and hyperreflexia. Extensor plantar responses and urinary incontinence may be present. A single anterior and two posterior spinal arteries supply the spinal cord. The anterior spinal artery supplies the anterior two-thirds of the cord. The posterior spinal arteries primarily supply the dorsal columns. The anterior and posterior spinal arteries arise from the vertebral arteries in the neck and descend from the base of the skull. Various radicular arteries branch off the thoracic and abdominal aorta to provide additional blood supply to the spinal arteries.The largest and most consistently present of these radicular branches is the great ventral radicular artery or the artery of Adamkiewicz, which supplies the anterior spinal artery. Up To Date
376
A seven-year-old child is ventilated in the intensive care unit after an isolated closed head injury. Their serum sodium concentration is 142 mmol/L. The most appropriate intravenous maintenance fluid is: a) 0.45% saline + 5% dextrose b) 0.9% saline c) CSL + 5% dextrose d) CSL e) 0.3% saline + 3% dextrose
STEPH b) 0.9% Normal Saline Hypernatraemia is classified as: Mild (146-149 mmol/L) Moderate (150-169 mmol/L) Severe (≥170 mmol/L) --> stem not hypernatraemia Head Injury - Isotonic fluids (eg NaCl 0.9% recommended) IV Fluids Glucose 5% should be given in maintenance fluids for children with no other source of glucose --> likely enteral fed in this setting **Also note: do not give hypotonic fluid - Do NOT give glucose 4% with sodium chloride 0.18% - Sodium chloride 0.45% solutions are only rarely indicated RCH Guidelines - Hypernatraemia - Head Injury - IV fluids
377
You are anaesthetising an 18-year-old who has a Fontan circulation for exploratory laparotomy. They are intubated and ventilated with a ventilator that has been brought from the Intensive Care Unit. Their current arterial oxygen saturation is 70%. To improve oxygenation, you should INCREASE the: a) Increase PIP b) Increase PEEP c) Increase inspiratory time d) Increase expiratory time
D) increase expiratory time Reworded repeat, but prev options don't directly align with these Low respiratory rates - Short inspiratory time, long expiratory time (decreases time in which there is a high intrathoracic pressure) - Low PEEP - Tidal volumes: 5-6mL/kg --> allows adequate pulmonary blood flow, normocarbia, low PVR Avoid CHAOS (hypercarbia, hypothermia, acidosis, hypoxia, SVR drop) Ideally spontaneous ventilation Patients who have undergone the Fontan procedure depend on blood flow through the pulmonary circulation without the assistance of the right ventricle. The difference between central venous pressure and systemic ventricular end-diastolic pressure (termed the “transpulmonary gradient”) is the primary force promoting pulmonary blood flow and, more importantly, cardiac output. Circulation in the Fontan patient is promoted by low pulmonary vascular resistance. Positive-pressure ventilation with increased tidal volumes, as described above, can result in excessive intrathoracic pressures, leading to decreased venous return to the heart and increased pulmonary vascular resistance. In periods of low oxygen saturation, 100% inspiratory oxygen is appropriate. The addition of PEEP will increase intrathoracic pressure, reducing venous return. Trendelenberg positioning would increase CVP and therefore bloodflow through pulmonary circulation. BJA: fontan circulation: For relatively short procedures, Fontan patients are probably better off breathing spontaneously, as long as severe hypercarbia is avoided. For major surgery, or when prolonged anaesthesia is required, control of ventilation and active prevention of atelectasis is usually advisable. Potential disadvantages of mechanical ventilation in Fontan patients relate to the inevitable increase in mean intrathoracic pressure. This causes decreased venous return, decreased pulmonary blood flow, and hence, decreased cardiac output. Low respiratory rates, short inspiratory times, low PEEP, and tidal volumes of 5–6 ml kg−1 usually allow adequate pulmonary blood flow, normocarbia, and a low PVR. Hyperventilation tends to impair pulmonary blood flow, despite the induced respiratory alkalosis, because of the increased mean intrathoracic pressure. https://academic.oup.com/bjaed/article/8/1/26/277637
378
A 6-year-old child with a history of asthma is intubated and ventilated for tonsillectomy. During surgery, the SpO2 falls. You increase the FiO2 to 1.0 and hand-ventilate, and note that ventilation is difficult. The next step in the management is to: a) Deepen anaesthesia b) Give salbutamol c) Ask surgeon to release gag d) Suction ETT e) Increase relaxant
STEPH c) Ask surgeon to release gag Summary of Management of Lost Ventilation During Pediatric Tonsillectomy * Manual ventilation with 100% oxygen, assessing compliance and leaks * Ask surgeon to release mouth gag * Bolus of propofol 2–3 mg/kg * Consider LMA malposition, bronchospasm, circuit or filter problem, laryngospasm * If no other cause apparent, assume laryngospasm and give suxamethonium 1–2 mg/kg as soon as SaO2 falls * Lung recruitment breaths as SaO2 improves * Deepen anesthesia, continue surgery SIMS A Guide to Paediatric Anaesthesia
379
You are called to assist with a patient in the intensive care unit who has had cardiac surgery three days ago and is now in cardiac arrest. External cardiac massage should aim for a systolic blood pressure of a. 40 b. 60 c. 80 d. 100 e. 120
REPEAT b. 60 BJA Article - ​Management of cardiac arrest following cardiac surgery - BJA Education In the CICU, the effectiveness of ECC is confirmed by monitoring the arterial pressure trace with a target compression rate and depth to achieve a systolic impulse of > 60 mm Hg to maintain a mean perfusion pressure, preventing ventricular distension, LV wall stress, and ischaemia.
380
A 65-year-old man is undergoing coronary artery bypass grafting. Immediately upon commencing cardiopulmonary bypass and prior to administering cardioplegia, the aortic line blood appears the same colour as the blood in the venous cannulae, and the low venous saturation alarm is activated on the bypass machine. The most appropriate management at this point is to: a) Attach another oxygen tubing to oxygenator b) Increase the oxygen mix with air:oxygen blender c) Wean from bypass and ventilate lungs d) Ventillate with 100% and continue
c) Ventilate and wean bypass *Failure of oxygenation I think wean bypass and ventilate - thoughts? Asked about this at the Melbourne course - indicates failure of the oxygenator so agree ventilate and wean bypass, replace oxygenator. Steph.
381
During rewarming on cardiopulmonary bypass, the most reliable surrogate for cerebral temperature measurement is: A) Nasopharynx B) Oxygenator arterial outlet C) Oxygenator venous inflow D) Bladder temp E) PA Cath
A) Nasopharyngeal Proximity to brain Consistent correlation with core and brain temperature changes Accessibility Oxygenator blood temp represents temp of blood leaving circuit and doesnt reflect blood perfusing the brain Clinical Techniques in Cardiovascular and Thoracic Surgery: This textbook discusses the monitoring of cerebral temperature during CPB and often cites nasopharyngeal temperature as a standard method due to its proximity to the brain. Reference: Sabik, Joseph F., et al. "Temperature management and monitoring during cardiopulmonary bypass." In: Clinical Techniques in Cardiovascular and Thoracic Surgery, edited by Little Brown and Company, 1998. Perfusion: This journal article discusses various techniques for monitoring cerebral temperature during CPB, emphasizing the use of nasopharyngeal temperature probes. Reference: Zollinger, Andreas, et al. "Temperature Management and Monitoring During Cardiopulmonary Bypass." Perfusion, vol. 18, no. 1, 2003, pp. 3-9. doi:10.1191/0267659103pf582oa.
382
The image below is from the transoesophageal echocardiogram of an adult patient who is about to undergo cardiac surgery. The structure labelled with the arrow is the: TOE image - four chamber, with arrow pointing to leaflet closest to septum A) Anterior mitral leaflet B) Posterior mitral leaflet C) Tricuspid septal leaflet D) Tricuspud anterior leaflet E) Tricuspid posterior leaflet
A) Anterior mitral leaflet RV is an anterior structure hence anterior leaflet
383
A patient presents for a trans-urethral resection of the prostate (TURP). He had a single drug-eluting coronary stent for angina pectoris inserted six months ago and is taking clopidogrel and aspirin. The most appropriate preoperative management of his medications is to: a) Cease aspirin, continue clopidogrel b) Cease aspirin for 10 days, cease clopidogrel for 5 days c) Cease clopidogrel for 5 days, continue aspirin d) Cease clopidogrel for 10 days, continue aspirin e) Continue both aspirin and clopidogrel
REPEAT c) Cease clopidogrel for 5 days, continue aspirin - prostatic surgery, the risk of major bleeding may be greater than the risk of stent thrombosis - For clopidogrel, we stop five days before surgery - Clopidogrel, if stopped, should be restarted with a loading dose of 300 mg as soon as possible after surgery, perhaps later in the day if postoperative bleeding has stopped. Some experts recommend a higher loading dose of 600 mg to decrease time to effectiveness in the higher-risk postoperative setting - suggest that surgery be performed in centers with 24-hour interventional cardiology coverage UP TO DATE: Noncardiac surgery after PCI Nonemergency noncardiac surgery — For patients who have undergone previous stenting with either BMS or DES and who will need cessation of one or both antiplatelet agents, we prefer to defer planned nonemergency, nonurgent noncardiac surgery until at least six months after stent implantation. The risks of noncardiac surgery before six months are increased after both BMS and DES. For patients whose surgery requires cessation of one or both antiplatelet agents and cannot wait six months, and where the risks of delaying surgery outweigh the benefits, our recommended minimal duration of DAPT is four to six weeks, depending on the urgency of surgery and risk of thrombotic complication. This is based in part on evidence suggesting that the increased risk of MI and cardiac death is highest within the first month after stent placement and no clear difference in risk between BMS and DES. Although we prefer to wait at least six weeks when possible, in patients for whom earlier surgery is in their best interest after weighing risks and benefits, we sometimes refer patients as early as four weeks after stent placement. The proinflammatory and prothrombotic risks of surgery may increase the baseline risk of stent thrombosis even in the presence of DAPT and regardless of stent type during this early period after stenting. We believe this risk to be higher prior to the minimum duration of DAPT recommended above, but the final decision to continue or discontinue antiplatelet therapy in the perioperative period should be made only after an informed discussion among the surgeon, managing cardiologist (and other health care providers), and patient has taken place. In many cases, DAPT can be continued in the perioperative period, although for some surgeries, such as neurosurgery, posterior eye surgery, or prostatic surgery, the risk of major bleeding may be greater than the risk of stent thrombosis. In these patients who undergo noncardiac surgery before the recommended minimum duration of DAPT, a platelet P2Y12 receptor blocker should be discontinued for as brief a period as possible. Aspirin should be continued through the perioperative period, since the risk of stent thrombosis is further increased with the cessation of both aspirin and clopidogrel and surgery can usually be safely performed on aspirin. The rationale to continue aspirin comes in part from the POISE-2 trial (PCI subgroup analysis), which is discussed separately. However, as many neurosurgical patients, for whom bleeding might be life threatening or lead to severe adverse outcomes, were not enrolled in POISE-2, the optimal strategy is not known. ●Minor surgical and dental procedures usually do not require cessation of antiplatelet therapy. ●With regard to stopping P2Y12 inhibitor prior to noncardiac surgery, we generally follow recommendations found in the manufacturer's package insert for each drug. - For clopidogrel, we stop five days before surgery; that is, the last dose is taken on the sixth day before surgery. - For prasugrel, we stop seven days before surgery. - For ticagrelor, we stop three to five days before surgery. - Some experts are willing to recommend shorter discontinuation periods for procedures less likely to be associated with major bleeding. ●Clopidogrel, if stopped, should be restarted with a loading dose of 300 mg as soon as possible after surgery, perhaps later in the day if postoperative bleeding has stopped. Some experts recommend a higher loading dose of 600 mg to decrease time to effectiveness in the higher-risk postoperative setting. ●We suggest that surgery be performed in centers with 24-hour interventional cardiology coverage
384
A 45-year-old received a heart transplant one month ago. They develop a new supraventricular tachyarrhythmia without hypotension during gastroscopy. The most appropriate therapy is: a) Adenosine b) Amiodarone c) Esmolol d) Verapamil e) Digoxin
REPEAT d) Esmolol Management of Arrhythmias After Heart Transplant https://www.ahajournals.org/doi/10.1161/CIRCEP.120.007954 In asymptomatic patients, additional cardiac monitoring such as 24-Holter or an event monitor can be useful to assess the SVT burden, and a trial of atrioventricular nodal blockers (β-blockers preferably) can be attempted with caution in view of potential risk of bradycardia. Calcium channel blockers such as diltiazem and verapamil are contraindicated in patients taking immunosuppression such as tacrolimus and cyclosporine as it can impair the metabolism CYP3A, which increases the levels of these drugs potentially causing renal toxicity. The use of adenosine in the management of SVT has remained a subject of controversy for over a quarter century. In the past, adenosine was contraindicated in patients post-OHT due to its supersensitivity and presumed risk of prolonged atrioventricular block. Thus, based on the aforementioned data, in patients with OHT, adenosine is feasible and safe at reduced doses (starting at 1.5 mg for patients ≥60 kg) as long as patients are closely monitored, with dose escalation as needed. Furthermore, the 2010 American Heart Association guidelines on advanced cardiovascular life support also recommended lowering the initial dose of adenosine to 3 mg for the acute management of SVT in patients with OHT.
385
According to the 5th National Audit Project (NAP5), the incidence of awareness during general anaesthesia using a non-relaxant technique with a volatile agent is approximately: a. 1:700 b. 1:8000 c. 1:10000 d. 1:19000 e. 1:136,000
REPEAT e. 1:136,000 https://www.bjanaesthesia.org/article/S0007-0912%2817%2930746-8/fulltext 1/670 E-LSCS 1/8000 with muscle relaxation 1/8600 CTS 1/8200 Volatile + neuromuscular blocking Overall 1:19000
386
An open Ivor-Lewis oesophagectomy is performed via a: a Laparotomy then left thoracotomy b Laparotomy, left neck incision c Laparotomy, Right thoracotomy d Left thoracotomy, left neck incision
REPEAT C Transhiatal - laparotomy & cervical anastomosis Ivor-Lewis - laparotomy & R thoracotomy (tumour upper ⅔) Thoracoabdominal - L throacotomy crossing costal margin & diaphragm (tumour lower ⅔) Minimally invasive - thorascopic oesophageal mobilisation, laparoscopic gastric mobilisation & cervical anastomosis
387
A 69-year-old patient is dyspnoeic and complains of right shoulder tip pain while in the post-anaesthesia care unit after a laparoscopic-assisted anterior resection. A focused thoracic ultrasound is performed and an image of the right lung is shown below. This represents: a) Pneumothorax b) Pulmonary Oedema c) Normal Lung d) Consolidated Lung
REPEAT c) Normal Lung Normal lung = A lines (pleura) + batwing appearance + sliding
388
According to the RELIEF study, in major abdominal surgery a liberal fluid strategy (10 mL/kg of crystalloid at induction followed by 8 mL/kg/hour during the case) compared to a restrictive fluid strategy, results in: A. Increased bowel anastomosis breakdown B. Increased mortality C. Decreased mortality D. No difference in wound infection E. Decreased acute kidney injury
REPEAT E. Decreased acute kidney injury Restrictive had more AKI Otherwise no outcome significant statistically https://www.thebottomline.org.uk/summaries/relief/
389
Soon after a peribulbar block, the patient’s eye rapidly becomes proptosed and tense, and the visual acuity is markedly decreased. A lateral canthotomy is indicated to: a) Allow globe to continue to swell b) Drain blood from behind eyeball c) Allow the eye to proptose d) Reduce pressure on the optic nerve
REPEAT c) Allow the eye to proptose Orbital Compartment Syndrome The orbital compartment is a fixed space with limited capacity for expansion. If something like blood fills part of that space the pressure increases and may result in ischaemia of the optic nerve or the retina. A lateral canthotomy is a way of releasing this pressure. You have up to approximately 2 hours before irreversible visual loss occurs. It may occur in less than 2 hours however, so speed is of the essence. use local anesthetic but warn the patient that they may feel pain Perform the canthotomy: place the scissors across the lateral canthus and incise the canthus full thickness Perform cantholysis: Grasp the lateral lower eyelid with toothed forcepsPull the lower eyelid anteriorlyPoint the scissors toward the patient’s nose, place the blades either side of the lateral canthal tendon, and cut. By cutting the canthal tendon,the counter pressure of the eyelid on the is relieved and the eye is allowed to proptose and pressure is relieved. LITFL Goal of procedure: to release pressure on the globe & to decrease intraocular pressure enough to reinstitute retinal artery blood flow. The canthotomy allows trhe eye to move forward and open up the space, reducing pressure. The globe itself should not swell.
390
An 85-year-old is scheduled for open reduction and internal fixation of a fractured neck of femur today. They have no significant past medical history. Preoperative review including physical examination, full blood count, electrolyte profile and electrocardiogram performed yesterday were normal. In the anaesthetic bay, the monitor shows the patient to be in atrial fibrillation with a ventricular rate of 110 to 145 beats per minute. The blood pressure is 130/80 mmHg. The best initial treatment for the atrial fibrillation is: A) Amiodarone B) Metoprolol C) Digoxin D) Induce then cardiovert E) Calcium Channel Blocker
B) Metoprolol Guidelines from the American College of Cardiology/American Heart Association (ACC/AHA) and the European Society of Cardiology (ESC) recommend beta-blockers as a first-line therapy for rate control in atrial fibrillation. Reference: January CT, Wann LS, Calkins H, et al. 2019 AHA/ACC/HRS focused update of the 2014 AHA/ACC/HRS guideline for the management of patients with atrial fibrillation: a report of the American College of Cardiology/American Heart Association Task Force on Clinical Practice Guidelines and the Heart Rhythm Society. Circulation. 2019;140(2)
391
A ten-year-old boy (weight 30 kg) has a displaced distal forearm fracture that requires manipulation and application of plaster. The volume of 0.5% lidocaine that should be used for intravenous regional anaesthesia (Bier block) is: a) 9ml b) 12ml c) 15ml d) 18ml e) 36ml
REPEAT 0.5% lidocaine = 5mg/ml Max dose - 3mg/kg 30kg = 90mg max dose for this pt. 90/5=18mls of 0.5% solution Therefore D.
392
A patient for elective general anaesthesia has been noted to be chewing gum in the pre-operative area. The most appropriate course of action is to: a) Delay 1 hour b) Delay 2 hours c) Delay 6 hours d) Proceed e) Cancel
d) Proceed ANZCA PG07 appendix 1 - Chewing gum and boiled sweets should be discarded prior to inducing anaesthesia to avoid them being Inhaled as a foreign body but do not constitute an indication for delaying any procedure unless they have been ingested. Therefore D
393
An eight-year-old child with sickle cell disease is scheduled for emergency fixation of a fractured radius. Their preoperative haemoglobin (Hb) is 80 g/L. The most appropriate management is: a) Proceed with careful haemostasis and check post op Hb b) Transfuse to Hb >100 c) Blood type and screen d) Exchange transfusion for HbSS <30%
REPEAT b) transfuse for Hb >100 Emergency fixation means there is no time for an exchange transfusion perioperative goals: - planning and optimisation - ensuring adequate O2 delivery - hydration - analgesia - performed at a centre with a multidisciplinary sickle cell team Children presenting for high-risk surgery (for example neurosurgical, cardiothoracic, or complex orthopaedic surgery) or high-risk children (previous stroke, acute CS, or end-organ damage), who were not included in this study, commonly receive an exchange transfusion or top-up transfusion, aiming for a preoperative haemoglobin concentration of 10 g dl−1 and Hb SS <30%. There is less evidence available for the role of transfusion in children with other forms of SCD. Exchange transfusion vs. top-up transfusion Exchange Transfusion: - slowly removing the person’s blood and replacing with fresh donor blood or plasma - Performed in cycles lasting a few minutes with slow removal of 5-20ml of blood and an equal amount of fresh pre-warmed blood or plasma flows into the person’s body - in sickle cell disease blood is removed and replaced with donor blood to achieve a specific concentration of HbSS blood with a usual target of <30% - Exchange transfusion removes HbS and increases HBA Top-up transfusion: - standard transfusion process of giving donor blood - advantages of simple top-up include: 1. Increase oxygen carrying capacity 2. Decrease proportion of sickle haemoglobin HbS relative to Haemoglobin A (HBA) 3. Prevent or reverse complications of vast-occlusion 4. Can be given acutely - disadvantages include: 1. Hyperviscosity if the Hb is increased to significantly over the patients baseline (target Hb should be 100g/l) 2. HbS is not removed, only diluted
394
In neonates, an imaginary line joining the most superior points of the iliac crests will cross the spinal interspace of: a) L3-4 b) L4-5 c) L5-S1 d) S1-S2
c) L5-S1 https://www.nysora.com/pediatric-atlas-of-ultrasound-and-nerve-stimulation-guided-regional-anesthesia/chapter34-spinal-anesthesia-preview/
395
A normal systolic arterial blood pressure in the awake term neonate is approximately: a) 60 b) 70 c) 85 d) 90
REPEAT 70 Term 1 hr - 70 Term 12 hr - 66 Day 1 asleep - 70 Day 1 awake - 71 Week 2 - 78 Week 4 - 85 According to RCH term 3.5kg SBP normal range is 60-95. https://www.safercare.vic.gov.au/best-practice-improvement/clinical-guidance/neonatal/blood-pressure-disorders#goto-noninvasive-bp-measuring
396
A 10-year-old child (weight 30 kg) presents to the emergency department in status epilepticus. They have received one dose of 15 mg midazolam buccally prior to arrival to hospital. According to Advanced Paediatric Life Support Australia guidelines the next drug treatment should be intravenous: a) Ketamine 15mg IV b) Midazolam 4.5mg IV c) Propofol RSI and burst suppression d) Levetiracetam 1.2g IV
REPEAT b) Midazolam 4.5mg IV Status epilepticus is defined as: - Continuous seizure activity for 5 minutes or more without return of consciousness, - recurrent seizures (2 or more) without an intervening period of neurological recovery So needs urgent treatment. APLS (in order) Midaz dose is 0.15/kg IV/IM or 0.3mg buccal/IN After first dose, if still seizing, repeat midaz, IV/IO Levetiracetam of phenytoin Lev = 40-60mg/kg, phen = 20mg/kg) RSI 1st line: Midazolam IV/IO/IM --> 0.15mg/kg 2nd line: Midazolam IV/IO/IM --> 0.15mg/kg 3rd line: Keppra 40mg/kg (max 3g) 4th line: Phenytoin 20mg/kg or phenobarbitone 5th line: Intubation and deep sedation with midazolam, propofol +/- phenobarbitone
397
A 5-year-old child with severe life-threatening anaphylaxis and no intravenous access, the recommended initial dose of intramuscular adrenaline is: a. 100mcg b. 150mcg c. 300mcg d. 500mcg e. 600mcg
Repeat b. 150mcg Up to 6 years 150 IM Over 6 years 300 IM (ideally 10microg/kg) Then commence adrenaline infusion 0.1mcg/kg/min to 2mcg/kg/min Refractory management: Additional IV fluid 20-40ml/kg, Noradrenaline infusion 0.1- 2mcg/kg/min Vasopressin infusion 0.02-0.06 units/kg/hr, glucagon 40mcg/kg IV
398
A four-year-old child weighing 15 kg develops severe laryngospasm during an inhalational induction. Intravenous access is unobtainable. The recommended dose of intramuscular suxamethonium is: a) 15mg b) 30mg c) 60mg
4 x 15 = 60mg
399
In a patient who sustained significant burn injury, the blood concentration of propofol is: a) Increased due to reduced cardiac output b) Increased due to dehydration and reduced circulating volume c) Reduced due to increased volume of distribution and clearance d) Increased due to reduced renal clearance e) Reduced due to increased inflammatory cytokines
REPEAT c) Reduced due to increased volume of distribution and clearance 2010 Paper on major burns The pharmacokinetic characteristics of a propofol bolus administered in patients with major burns were enhanced clearance and expanded volume of distribution. BURN and WT were the important covariates. For sedation or anesthesia induction, a higher than recommended dose of propofol may be required to maintain therapeutic plasma drug concentrations in patients with severe burns. Vigilance regarding the burned individual and careful titration of hypnotics to the desired effect cannot be overemphasized. https://pubmed.ncbi.nlm.nih.gov/20510522/
400
The following is a chest X-ray from a patient with dyspnoea after thoracic surgery. The diagnosis is: A. Dextracardia B. Cardiac herniation C. LLL collapse D. Tension Pneumohorax
B. herniation
401
A patient has blunt chest trauma. A thoracotomy is indicated if the immediate blood drainage after closed thoracostomy is greater than: a) 500mL b) 750mL c) 1L d) 1.2L e) 1.5L
REPEAT 1,500 mL immediately OR 200 mL/hr in the first 2-4 hours
402
NP B lines (comet tails) in lung ultrasound are NOT observed in: a) ARDS b) Interstitial c) Normal lung d) Pneumothorax
D) pneumothorax From BJA 2016 lung US article The features of a pneumothorax are abolished sliding, absence of B lines, absence of the lung pulse, and presence of the lung point Extra info from BJA The US feature of Intersititial syndrome is B lines. These are artifacts generated by the juxtaposition of alveolar air and septal thickening (from fluid or fibrosis). Their characteristics are Occasional B lines can be seen in normal lungs (especially at the bases). Up to two between two adjacent ribs can be considered normal. Three or more between rib spaces (or close together in a transverse image) are pathological
403
You have been asked to provide general anaesthesia for a complex thoracic endovascular aortic aneurysm repair. After the placement of a lumbar drain the recommended safe time before the administration of intravenous heparin is a) 1 hour b) 4 hours c) 6 hours d) 12 hours
AT - 1 hour 1.2.3 Time of lumbar drain placement to systemic intravenous heparinization should be greater than 60 minutes Perioperative Management of Adult Patients with External Ventricular and Lumbar Drains Guidelines from the Society for Neuroscience in Anesthesiology and Critical Care ASRA: 1 hour Although the occurrence of a bloody or difficult neuraxial needle placement may increase risk, there are no data to support mandatory cancellation of a case. Direct communication with the surgeon and a specific risk-benefit decision about proceeding in each case are warranted. Currently, insufficient data and experience are available to determine if the risk of neuraxial haematoma is increased when combining neuraxial techniques with the full anticoagulation of cardiac surgery. We suggest postoperative monitoring of neurologic function and selection of neuraxial solutions that minimise sensory and motor block to facilitate detection of new/progressive neurodeficits. NYSORA: Administration of intravenous heparin intraoperatively should be delayed for at least 1 hour after epidural placement; a delay before administration of subcutaneous heparin is not required. In cases of full heparinization for CPB, additional precautions include delaying surgery for 24 hours in the event of a traumatic tap, tightly controlling the heparin effect and reversal, and removing catheters when normal coagulation is restored.
404
NP A 74-year-old presents for a femoral popliteal artery bypass procedure for peripheral limb ischaemia. Regarding its role in modifying their perioperative cardiovascular risk, clonidine: a. Increased stroke b. No change in complications c. Increased death d. Increased non fatal MI e. Increased risk of non fatal cardiac arrest
REPEAT e. Increased risk of non fatal cardiac arrest POISE II * clonidine 200mcg per day - did not reduce the rate of composite outcome of death or nonfatal MI - but it increased the risk of clinically important hypotension and nonfatal cardiac arrest * aspirin initiation or continuation – no significant effect on rate of composite of death or non fatal MI but increased risk of major bleeding Clonidine, as compared with placebo, was associated with an increased rate of nonfatal cardiac arrest POISE 2 TRIAL
405
NP A 65-year-old presents with an acute dissection of their thoracic aorta. Their blood pressure is 150/90 mmHg. The best medication to reduce the blood pressure is: a) Esmolol b) SNP c) GTN d) Hydralazine
A) esmolol They get anti impulse therapy which usually starts off with beta blockade before alpha blockade. Up to date: Patients often present with severe hypertension and are initially stabilized with fast-acting, intravenous beta blockers (eg, esmolol or labetalol) or calcium channel blockers. Anti-impulse therapy lowers blood pressure
406
The strongest independent preoperative predictor of chronic postsurgical pain after knee arthroplasty is: a) Anxiety b) Depression c) Catastrophising d) Female
KATE Catastrophizing Page 24 APMSE In children 8-18 yrs old "parent pain catastrophising" was main risk factor for development of CPSP Significance of each risk factor varies with operation but pre existing psych factors (high state anxiety and pain magnification as a component of catastrophising) increases the risk across two types of surgery (TKR+Breast CA surgery)
407
The analgesic drug with the most favourable Number Needed to Treat (NNT) for neuropathic pain is: a) Amitriptyline b) Gabapentin c) Tramadol d) Pregabalin e) Carbamazepine
REPEAT reconsidered as Amitriptyline a) Amitriptyline https://www.bjaed.org/article/S2058-5349(18)30073-8/fulltext#tbl1 APMSE 5th edition: Tramadol is an effective treatment for neuropathic pain with NNT of 4.4 (95%CI 2.9 to 8.8) Alpha-2-delta ligands (gabapentinoids) are the only anticonvulsants with proven efficacy in the treatment of chronic neuropathic pain. At doses of 1,800 mg to 3,600 mg/d, gabapentin is effective in treating neuropathic pain, in particular caused by postherpetic neuralgia (NNT 6.7; 95%CI 5.4 to 8.7) Pregabalin Postherpetic neuralgia: 300 mg/d pregabalin (NNT 5.3; 95%CI 3.9 to 8.1) (4 RCTs, n=713) and 600 mg/d (NNT 3.9; 95%CI 3.1 to 5.5) (4 RCTs, n=732); * Painful diabetic neuropathy: 600 mg/d pregabalin (NNT 7.8; 95% CI 5.4 to 14) (5 RCTs, n=1,015); * Mixed or unclassified post-traumatic neuropathic pain: 600 mg/d pregabalin (NNT 7.2; 95%CI 5.4 to 11) (4 RCTs, n=1,367); * Central neuropathic pain (mainly SCI): 600 mg/d pregabalin (NNT 9.8; 95%CI 6.0 to 28) (3 RCTs, n=562). Amitriptyline NNT 4.6 (TCAs are effective in treatment of neuropathic pain (amitrip NNT 4.6)) Amitriptyline By order of favourable NNT: 1. TCAs (amitriptyline) NNT: 3.6, NNH: 9 2. Strong opioids NNT 4.3 NNH 11.7 3. Tramadol NNT: 4.7, NNH 12.6 4. SNRIs (duloxetine and venlafaxine) NNT 6.4, NNH 11.8 5. Gabapentin NNT: 7.2 NNH 25.6 6. Pregabalin NNT:7.7, NNH 13.9 ANZCA Pain book Treatment of chronic neuropathic pain after SCI (Guy 2016 GL). These guidelines recommend: * First line: pregabalin, gabapentin and amitriptyline; * Second line: tramadol and lamotrigine (in incomplete SCI); * Third line: Transcranial direct current stimulation (tDCS) alone and combined with visual illusion; * Fourth line: TENS, oxycodone and dorsal root entry zone lesions.
408
NP Self-report of pain in children is usually possible by the age of: a. 2 yo b. 4 yo c. 6 yo d. 8 yo
REPEAT A) 4 4 yo = wong baker faces score 3-18. 8 yo = Visual analogue scale. https://www.rch.org.au/rchcpg/hospital_clinical_guideline_index/Pain_assessment_and_measur ement/ APMSE 5 also
409
A 30-year-old has had a free-flap operation of eight hours duration. They received an intraoperative remifentanil infusion and 10 mg morphine 30 minutes before the end of the operation. During recovery their pain score increased from 6/10 on arrival to 9/10 despite a further 10 mg of intravenous morphine. The most likely diagnosis is: a. Acute behavioural change b. OIH c. Inadequate analgesia D. Physical dependence
Nikki: B) Opioid induced hyperalgesia; The key features are long case with Remi running, as well as increased pain following additional opioids. https://associationofanaesthetists-publications.onlinelibrary.wiley.com/doi/full/10.1111/anae.13602
410
NP Tranexamic acid is NOT useful in the management of: A. Post cardiac bypass B. Neurotrauma C. PPH D. Trauma E. Upper GI bleed
REPEAT E. Upper GI bleed Incompressible sites, large volume blood loss and mortality risk are a few of the things that made GI bleeds seem like a natural fit for TXA administration. Early research seemed promising, but trials were small. The HALT-IT trial examined over 15,000 patients to see if TXA reduced death [14]. Not only did TXA have no effect on mortality, it increased the risk of seizure and thromboembolic events. Take home: No demonstrated benefit with TXA in GI bleeding
411
NP A drug that is contraindicated for a patient with a history of heparin induced thrombocytopaenia is: a) Bivalirudin b) Danaparoid c) Prothrombinex d) Fib conc
B) prothrombinex. Prothrombinex product information states don’t give if hx of HITS PROTHROMBINEX CONTAINS HEPARIN
412
NP The use of intraoperative dexamethasone for tonsillectomy: a) Increased oedema b) Increased post tonsillectomy bleed c) Increased Analgesic requirement d) Reduced time to resumption of oral intake
REPEAT d) Reduced time to resumption of oral intake The effect of preoperative dexamethasone on early oral intake, vomiting and pain after tonsillectomy https://pubmed.ncbi.nlm.nih.gov/15979735/ Conclusion: Preoperative dexamethasone use significantly reduces early posttonsillectomy pain, improves oral intake and facilitates meeting the discharge criteria while using standard anesthesia technique and sharp dissection tonsillectomy without any significant side effects.
413
A patient experiences a postpartum haemorrhage associated with uterine atony that is unresponsive to oxytocin and ergometrine. The recommended intramuscular dose of carboprost (15-methyl prostaglandin F2 alpha) to be administered is: a) 250mcg IM once b) 250mcg IM q15mins, up to 2mg c) 500mcg IM d) 250mcg IV e) 500mcg IV
REPEAT b) 250mcg IM q15mins, up to 2mg 15-methyl-PGF2α (carboprost; Prostinfenem) which may be administered in one of two ways: Intra-muscular injection of 0.25mg, in repeated doses as required at intervals of not less than 15 minutes to a maximum total cumulative dose of 2.0mg (ie up to 8 doses) Source RANZCOG PPH Guideline 2021
414
NP The oral morphine equivalent of tapentadol 50 mg (immediate release) is: a) 5mg b) 10mg c) 15mg d) 20mg e) 25mg
B) 15mg 50mg x0.3 Tapentadol Conversion at 0.3 Tramadol conversion at 0.2 Oxycodone 1.5 Hydromorphone 5 Buprenorphine patch mcg/hr@2 Fentanyl patch mcg/hr @3 Oral Tapentadol 25mg = 8mg Oral Morphine Oral Oxycodone 5mg = 8mg Oral Morphine Oral Tramadol 25mg = Oral Morphine 5mg Oral Hydromorphone 4mg = Oral Morphine 20mg S/L Buprenorphine 200mcg = 8mg Oral Morphine IV Oxycodone 5mg = Oral Morphine 15mg IV Morphine 5mg = Oral Morphine 15mg IV Hydromorphone 1mg = Oral Morphine 15mg
415
A patient with known suxamethonium allergy is most likely to demonstrate cross reactivity with: a. Mivacurium b. Cisatracurium c. Atracurium d. Rocuronium e. Cephazolin
REPEAT AT - Rocuronium Anaphylaxis to neuromuscular blocking drugs: incidence and cross-reactivity in Western Australia from 2002 to 2011 by Sadleir et al (This paper was referenced in NAP 6 "Cross-sensitivity, based on skin testing and specific IgE, is common, with suxamethonium being the most commonly crossreacting drug (Sadleir 2013).") Fig 4 shows Rates of cross-reactivity for patients diagnosed with anaphylaxis according to the triggering NMBD. - for sux anaphylaxis: highest cross-reactivity was roc (24%), then interestingly vec and cis were both tied at 12%, as were panc and atrac at 6% PREVIOUS NOTES: BJA Anaphylaxis to neuromuscular blocking drugs: incidence and cross-reactivity in Western Australia from 2002 to 2011 https://academic.oup.com/bja/article/110/6/981/245571 Rocuronium has a higher rate of IgE-mediated anaphylaxis compared with vecuronium, a result that is statistically significant and clinically important. Cisatracurium had the lowest rate of cross-reactivity in patients who had previously suffered anaphylaxis to rocuronium or vecuronium. Anaphylaxis rates (highest to lowest) Primary anaphylaxis: rocuronium > atracurium > vecuronium > pancuronium = cisatracurium Cross-reactivity: suxamethonium > rocuronium > vecuronium > pancuronium > atracurium > cisatracurium
416
The correct blood collection tube for a mast cell tryptase test is a: a. Potassium EDTA b. serum separating tube c. sodium citrate d. sodium oxalate something
REPEAT b. serum separating tube (gold top tube or red) Potassium EDTA (purple) -> FBC sodium citrate (blue) -> clotting screen/Rotem sodium oxalate (green) -> heavy metals (lead copper zinc)
417
NP Once a unit of fresh packed red blood cells has been removed from controlled refrigeration the transfusion should be completed within a) 2.5 hours b) 3 hours c) 3.5 hours d) 4 hours
REPEAT 4 hours As per Lifeblood Start the transfusion as soon as possible after removing the blood component from approved temperature-controlled storage. Transfusion of each pack should be completed prior to the labelled expiry or within four hours, whichever is sooner. Redcross: "Transfusion of each pack should be completed prior to the labelled expiry or within four hours, whichever is sooner. " Shelf life of platelets: 5 days (Stored at 20-24 degrees, must be agitated gently and continuously) FFP: Once FFP is thawed, must use within 24 hours. Albumin administration: At RCH we allow the product to be administered within 6 hours of piercing the bottle. (from RCH.org) Cryoprecipitate Thawed cryoprecipitate should be maintained at 20°C to 24°C until transfused. Once thawed, should be used within six hours if it is a closed single unit, or within four hours if it is an open system or units have been pooled.
418
A previously healthy 22-year-old man is involved in an altercation and sustains a ruptured spleen. During splenectomy he is transfused with packed red blood cells. One hour into the transfusion his SpO2 rapidly decreases, his ventilator pressures increase, frothy sputum appears in the endotracheal tube and he is febrile. The likely cause is: a) TRALI b) TACO c) Rhesus incompatability d) Anaphylaxis
AT a) TRALI Both TACO and TRALI are characterised by: - hypoxia - acute dyspnoea - diffuse bilateral infiltrates However, presence of fever is more in keeping with TRALI. Reference: Distinguishing between transfusion related acute lung injury and transfusion associated circulatory overload Robert C. Skeatea and Ted Eastlund
419
The main difference between a size 5 microlaryngeal tube (MLT) and a standard size 5 endotracheal tube is that the size 5 MLT: A. Smaller cuff B. Longer length C. Larger external diameter
Longer length Different cuff size/ length: The MLT® has a cuff size/ length that would be typical for an adult-sized 'standard' ETT. A 'standard' pediatric 5.0 enndotracheal tube has a smaller cuff made for a pediatric-sized trachea (see picture below). Distance of cuff from tube tip: In an MLT® the cuff is further away from the tube tip which is acceptable as the adult trachea is obviously longer than the pediatric one (see picture below).
420
When using an endotracheal tube in an adult, the highest recommended cuff pressure to avoid mucosal ischaemia is a. 10cmH2O b. 20 c. 30 d. 40 e. 50
AT REPEAT C. 30cmH2O (c.f. 60cmH20 for same question but for LMA cuff pressure) References (a bit old now): "Guidelines1,2 recommend a cuff pressure of 20 to 30 cm H2O. Inflation of the cuff in excess of 30 cm H2O damages the tracheal mucosa by compromising capillary perfusion. When pressures are greater than 50 cm H2O, total obstruction of tracheal blood flow occurs.3 In rare instances, massive overinflation of the cuff may lead to acute complications such as tracheal bleeding or rupture.4 " - from Cuff Pressure of Endotracheal Tubes After Changes in Body Position in Critically Ill Patients Treated With Mechanical Ventilation by Lizy et al 2014 Whereby: 1 American Thoracic Society; Infectious Diseases Society of America. Guidelines for the management of adults with hospital-acquired, ventilator-associated, and healthcare-associated pneumonia. Am J Respir Crit Care Med. 2005; 171(4):388–416. 2 Lorente L, Blot S, Rello J. Evidence on measures for the prevention of ventilator-associated pneumonia. Eur Respir J. 2007;30(6):1193–1207. https://link.springer.com/article/10.1007/s10877-020-00501-2
421
The sensor on a NIM (Nerve Integrity Monitor) endotracheal tube used for thyroid surgery directly records a. Electromyography of internal laryngeal muscles b. Recurrent laryngeal nerve action potential c. Movement of the vocal cords on the endotracheal tube d. Pressure of the vocal cords on the endotracheal tube e. Recurrent laryngeal nerve action potential
AT - REPEAT a. Electromyography of internal laryngeal muscles True - the NIM-EMG tube tests RLN function via EMG of the muscles wiki: Notably, the only muscle capable of separating the vocal cords for normal breathing is the posterior cricoarytenoid. If this muscle is incapacitated on both sides, the inability to pull the vocal folds apart (abduct) will cause difficulty breathing. Bilateral injury to the recurrent laryngeal nerve would cause this condition. It is also worth noting that all muscles are innervated by the recurrent laryngeal branch of the vagus except the cricothyroid muscle, which is innervated by the external laryngeal branch of the superior laryngeal nerve (a branch of the vagus). Anaesthesia: Nerve Integrity Monitor tubes for thyroid surgery (2014) Recurrent laryngeal nerve function should be monitored during thyroid surgery [1], either by direct observation of vocal cord function during surgery [2], which can be difficult, or by electromyography (EMG), during which electrodes are placed adjacent to the vocal cords to detect motion when the laryngeal nerves are stimulated. Electrodes can be secured to the outside of a tracheal tube so that they come into contact with the vocal cords during intubation [3]. Indeed, electrodes have been embedded into the material of the tracheal tube (Medtronic Nerve Integrity Monitor (NIM) Standard Reinforced EMG Endotracheal Tube, Medtronic Xomed Inc., Jacksonville, FL, USA), albeit leading to an increase in bulk and external diameter in comparison with equivalent internal diameter tubes (Fig. 2). The size and rigidity of the NIM tubes mandate oral tracheal intubation rather than nasal intubation, which itself is further inhibited by the positioning of cable attachments for the electrodes along the tube's length. http://smpp.northwestern.edu/bmec66/weightlifting/emgback.html An electromyography (EMG) is a measurement of the electrical activity in muscles as a by product of contraction. An EMG is the summation of action potentials from the muscle fibers under the electrodes placed on the skin. The more muscles that fire, the greater the amount of action potentials recorded and the greater the EMG reading. http://www.shanahq.com/main/content/reliable-technique-make-nim-tube-work-preview The specialized endotracheal tubes (ETT), such as Xomed and TriVantage Nerve Integrity Monitoring (NIM) ETTs (Medtronic Xomed Inc., Jacksonville, FL USA) allow for RLN identification through continuous intraoperative EMG monitoring of the laryngeal muscles. https://www.aana.com/newsandjournal/Documents/jcourse1_0410_p151-160_rev2.pdf The Medtronic NIM electromyographic (EMG) endotracheal tube (Medtronic Xomed) is constructed of a flexible silicone elastomer and has a distal inflatable cuff. The tube is fitted with 4 stainless steel wire electrodes (2 pairs) that are embedded in the silicone of the main shaft distance, slightly superior to the cuff. The electrodes are designed to make contact with the patient’s vocal cords to facilitate EMG monitoring of the RLN when connected to a multichannel EMG monitoring device. If monitoring correctly, the EMG monitor should show a consistent sound signal and an action potential tracing. J Anaesthesiol Clin Pharmacol: The neural integrity monitor electromyogram tracheal tube: Anesthetic considerations (2013) When attempting to identify LNs, a stimulating electrical current of 0.5-2.0 mA is used by the surgeon. This current is administered via a sterile probe, which is placed directly on the anatomical site in question. Additionally, return electrodes are positioned in the skin above the sternum. When a LN is located, an electrical signal is subsequently generated by the motion of the vocal cords. An audibly recognizable “machine gun click” is then produced from the device's associated monitor. This sound has a set frequency of 4 times/s (4 Hz). Simultaneously, an oscilloscope-like screen displays an identifiable sinusoidal response.
422
Double sequential external defibrillation is performed by applying two shocks from: a. Single set of pads, <1 second apart b. Single set of pads, <5 seconds apart c. Two sets of pads, <1 second apart d. Two sets of pads, <5 seconds apart e. Two sets of pads, simultaneously
AT - Two sets of pads, <1 second apart (OR - Two sets of pads, <5 seconds apart) Following 3 standard shocks for refractory VF Two defibrillators are used to provide sequential defibrillation with pads oriented in anterio-lateral and anterior posterior The shocks are delivered near-simultaneously - Anteriolateral first - Then Anterioposterior DOuble SEquential External Defibrillation for Refractory Ventricular Fibrillation (DOSE VF): study protocol for a randomized controlled trial DSED: For paramedic services randomized to DSED, paramedics will apply a second set of defibrillation pads in the anterior-posterior configuration (Fig. 1) Application of the second set of defibrillation pads for the second defibrillator will occur during the 2-min cycle of CPR following the third defibrillation attempt, minimizing any interruptions in CPR. All subsequent defibrillation attempts will be carried out by sequential defibrillation shocks provided by two defibrillators. To ensure that shocks are not administered at the exact same moment, we will employ a short (less than 1 s) delay to provision of the second defibrillator shock. This will be accomplished by having a single paramedic pressing the “shock” button on each defibrillator in rapid succession as opposed to simultaneously. This technique will be performed across all sites when randomized to the DSED arm to maintain consistency in application within the trial. NOTES ON PREVIOUS QUESTION 23.1 For DSED, to avoid possible defibrillator damage caused by shocks applied at the same instant, a short delay (<1 second) between shocks was created by having a single paramedic depress the “shock button” on each defibrillator in rapid sequence (anterior–lateral followed by anterior–posterior) Among patients with refractory ventricular fibrillation, survival to hospital discharge occurred more frequently among those who received DSED or VC defibrillation than among those who received standard defibrillation. https://www.nejm.org/doi/full/10.1056/NEJMoa2207304
423
The initial management for a seizure during an awake craniotomy is: a. Cold saline irrigation b. Midazolam c. Propofol
Nikki A) cold saline irrigation Intraoperative seizures have a higher incidence of transient motor deterioration and longer hospital stays.[10] First-line treatment should be irrigation of the brain with sterile iced saline. Propofol bolus (10 to 20 mg IV) or midazolam (1 to 2 mg IV) should be administered to terminate the seizure if iced saline is ineffective. https://www.ncbi.nlm.nih.gov/books/NBK572053/
424
A new antiemetic reduces the risk of post-operative vomiting by 20%. In a population with a baseline risk of post-operative vomiting of 10%, the number needed to treat is: a. 2 b. 5 c. 10 d. 20 e. 50
AT REPEAT (base rate is 10%, experimental group is 8% (20% below 10%) therefore 100/ 2 = 50 or 1 divided by risk reduction population risk = 10/100 patients get PONV population risk + new antiemetic = 8/100 patients get PONV (8/100 as reduction by 20% with new drug) RR= 0.10-0.08=0.02 NNT= 1/RR =1/0.02 =50
425
A risk factor which increases the likelihood of developing local anaesthetic systemic toxicity is: a) Hypoxia b) Alkalaemia c) High alpha1-acid glycoprotein d) Hypocarbia e) Increased carnitine levels
AT REPEAT b) Hypoxia Hypoxia Local anaesthetics are bases with pKa above physiological pH. The more alkalaemic the environment the more unionionised (B) form there is – which will speed diffusion across plasma membrane = can exert Na+ channel blockade. https://www.bjanaesthesia.org/article/S0007-0912(17)38238-7/pdf https://academic.oup.com/bjaed/article/15/3/136/279390 https://www.ncbi.nlm.nih.gov/pmc/articles/PMC6087022/ Hypoxia – metabolic acidosis = ion trapping = increased toxicity Alkalaemia = prevents ion trapping in tissues (intralipid can work) = reduced toxicity High a1GP = reduced free fraction (a1gp high affinity, low capacity) = reduced toxicity Low CO2 = alkalosis = prevents ion trapping in tissues (intralipid can work) = reduced toxicity Carnitine deficiency = increased toxicity, therefore increased carnitine will reduce toxicity https://pubmed.ncbi.nlm.nih.gov/19849674/ a. Hypoxia - Yes b. Alkalemia - No - acidosis causes increased ionised fraction due to its weak base properties c. High α1-acid glycoprotein - No, normally bound to alpha-1 acid glycoprotein d. Hypocarbia < (decreased seizure threshold) - No - hypercarbia increases CNS blood flow and increases risk of seizures due to more LA delivered to CNS e. Increased carnitine levels -s - Never heard of it
426
The image below shows results from non-inferiority trials. The trial labelled 'D' is best described as:
If the confidence interval lies between the noninferiority margin and the line of no difference (Fig. 1D), the intervention is non-inferior to standard care.
427
A 30-year-old athlete undergoing a knee arthroscopy under general anaesthesia develops intraoperative tachycardia. A 12-lead electrocardiogram is obtained and shown below. The most likely diagnosis is: a) AF b) Flutter c) AVNRT d) Multifocal atrial tachycardia
AT Repeat Delta waves present, therefore WPW = AVRT WPW + delta wave = AVRT → anatomical re-entry circuit (Bundle of Kent) AVNRT is a functional re-entry circuit within the AV node ECG features of AVNRT ● Regular tachycardia ~140-280 bpm ● Narrow QRS complexes (< 120ms) unless there is co-existing bundle branch block, accessory pathway, or rate-related aberrant conduction ● P waves if visible exhibit retrograde conduction with P-wave inversion in leads II, III, aVF. They may be buried within, visible after, or very rarely visible before the QRS complex https://litfl.com/supraventricular-tachycardia-svt-ecg-library/
428
Analysis of variance (ANOVA) is a statistical test to determine: a) The validity between an expected and observed outcome in a population b) The difference between the means of more than two populations c) The difference between two populations with non-parametric data d) The degree of similarity of the median between two or more populations e) If the variance within a population is likely to be abnormally or normally distributed
REPEAT B) analyse the difference between the means of more than two groups
429
When performing a brachial plexus block at the level of the axilla, the structure indicated by the arrow is the: a) Musculocutaneous b) Radial c) Ulnar
musculocutaneous previously
430
A third heart sound at the apex may be heard in: a) Healthy people aged less than 40 b) Mitral prolapse c) HTN 23.1 OPTIONS: a) pulmonary stenosis b) pulmonary hypertension c) pericarditis d) pregnancy
AT Repeat Can occur in healthy young people The third heart sound is mainly created by the early-diastolic rapid distension of the left ventricle that accompanies rapid ventricular filling and abrupt deceleration of the atrioventricular blood flow S3 may be normal in people under 40 years of age and some trained athletes but should disappear before middle age. Re-emergence of this sound late in life is abnormal[5] and may indicate serious problems such as heart failure. 'Sounds like Ken-tu-cky'
431
In pulmonary function testing the presence of airflow limitation is defined by a post- bronchodilator FEV1/FVC ratio less than: a) 0.5 b) 0.6 c) 0.7 d) 0.8
c) 0.7
432
Local anaesthetic-induced myotoxicity is most likely to be associated with: A. Biers B. Interscalene C. Sciatic D. Adductor Canal
REPEAT D. Adductor Canal unclear phenomonenon prolonged exposure and high concentrations of local anaesthetic
433
Regarding healthcare research, the PICO framework describes: a) Critical appraisal b) Meta-analysis c) Observational study d) Systematic review
REPEAT a) Critical appraisal PICO is a mnemonic used to describe the four elements of a good clinical foreground question: P = Population/Patient/Problem - How would I describe the problem or a group of patients similar to mine? I = Intervention - What main intervention, prognostic factor or exposure am I considering? C = Comparison - Is there an alternative to compare with the intervention? O = Outcome - What do I hope to accomplish, measure, improve or affect?
434
The 12-lead electrocardiogram shown is most consistent with acute total occlusion of the: a) LAD b) PDA c) OM d) RCA
a) LAD Wellens syndrome- Lad https://litfl.com/wellens-syndrome-ecg-library/
435
A 70-year-old patient booked for a revision total hip replacement is reviewed in preadmission clinic ten days before surgery. The following blood test results are noted: haemoglobin 110 g/L ferritin 51 mcg/L CRP (c-reactive protein) 10 mg/L The most appropriate management for this patient should be to: a Transfuse 2u pRBC b Give oral iron therapy and continue with surgery c Give oral iron therapy and defer surgery for 6 weeks d Give IV iron e Do nothing
c Give oral iron therapy and defer surgery for 6 weeks IV Iron is probably best, however all in agreement that surgery should be delayed making C the correc t choice based on guidlines accepting the flaws in oral iron therapy https://www.blood.gov.au/module-2-perioperative-patient-blood-management-guidelines Iron therapy Oral iron in divided daily doses. Evaluate response after 1 month. Provide patient information material. IV iron if oral iron contraindicated, is not tolerated or effective; and consider if rapid iron repletion is clinically important (e.g. <2 months to non deferrable surgery). NOTE: 1 mcg/L of ferritin is equivalent to 8–10 mg of storage iron. It will take approximately 165 mg of storage iron to reconstitute 10 g/L of Hb in a 70 kg adult. If preoperative ferritin is <100 mcg/L, blood loss resulting in a postoperative Hb drop of ≥30 g/L would deplete iron stores. In patients not receiving preoperative iron therapy, if unanticipated blood loss is encountered, 150 mg IV iron per 10g/L Hb drop may be given to compensate for bleeding related iron loss (1 ml blood contains ~0.5 mg elemental iron Footnotes 1 Anaemia may be multifactorial, especially in the elderly or in those with chronic disease, renal impairment, nutritional deficiencies or malabsorption. 2 In an anaemic adult, a ferritin level <15 mcg/L is diagnostic of iron deficiency, and levels between 15–30 mcg/L are highly suggestive. However, ferritin is elevated in inflammation, infection, liver disease and malignancy. This can result in misleadingly elevated ferritin levels in iron-deficient patients with coexisting systemic illness. In the elderly or in patients with inflammation, iron deficiency may still be present with ferritin values up to 60–100 mcg/L. 3 Patients without a clear physiological explanation for iron deficiency (especially men and postmenopausal women) should be evaluated by gastroscopy/colonoscopy to exclude a source of GI bleeding, particularly a malignant lesion. Determine possible causes based on history and examination; initiate iron therapy; screen for coeliac disease; discuss timing of scopes with a gastroenterologist. 4 CRP may be normal in the presence of chronic disease and inflammation. 5 Consider thalassaemia if MCH or MCV is low and not explained by iron deficiency, or if long standing. Check B12/folate if macrocytic or if there are risk factors for deficiency (e.g. decreased intake or absorption), or if anaemia is unexplained. Consider blood loss or haemolysis if reticulocyte count is increased. Seek haematology advice or, in presence of chronic kidney disease, nephrology advice
436
A 55-year-old with no past history of ischaemic heart disease is three days post-total hip replacement surgery. They have an episode of chest pain at rest with features typical of angina that lasts 30 minutes before fully resolving. There are no electrocardiogram changes and no troponin rise. The diagnosis is a. No diagnosis made b. Unstable angina c. STEMI d. NSTEMI e. MINS
REPEAT b. Unstable angina UTD: Unstable angina (UA) and acute non-ST elevation myocardial infarction (NSTEMI) differ primarily in whether the ischemia is severe enough to cause sufficient myocardial damage to release detectable quantities of a marker of myocardial injury (troponins): ●UA is considered to be present in patients with ischemic symptoms suggestive of an ACS and no elevation in troponins, with or without electrocardiogram changes indicative of ischemia (eg, ST segment depression or transient elevation or new T wave inversion). ●NSTEMI is considered to be present in patients having the same manifestations as those in UA, but in whom an elevation in troponins is present. MINS: Myocardial injury after non-cardiac surgery (up to 30 days post-op): 1. Elevated postop troponin 2. Resulting from myocardial ischaemia (i.e. no evidence of a non-ischaemic aetiology), not requiring an ischaemic feature (i.e. no chest pain, no ECG change) VISION studies (Vascular Events in Noncardiac Surgery Patients Cohort Evaluation) demonstrated that severity of MINS strongly associated with 30-day mortality after NCS. hs-cTnT <20ng/L ~ 0.5% 30 day mortality 20-64ng/L ~3% 30 day mortality 65-999 ng/L ~9% 30 day mortality >1000ng/L ~30% 30 day mortality Whilst VISION trial identified MINS in at risk patients, the question now becomes what interventions are available to prevent this complication?
437
The QRS axis of the attached electrocardiograph is closest to: a) -90 b) -45 c) +45 d) +90
B https://litfl.com/super-axis-man-sam/
438
In septic shock, the recommended target mean arterial pressure in an adult is: a) 50 mmHg b) 55 mmHg c) 60 mmHg d) 65 mmHg
VICTORIA Surviving Sepsis 2021 guidelines D
439
Kate A 50-year-old patient with carcinoid syndrome undergoing resection of a peripheral hepatic metastasis develops a sudden fall in blood pressure from 110/70 mmHg to 85/50 mmHg without significant bleeding. The most appropriate management is: a. Normal saline bolus b. Octreotide 50mcg bolus c. Metaraminol 0.5mg d. Noradrenaline 5mcg bolus e. Calcium 6.8mmol
REPEAT b. Octreotide 50mcg bolus Vasoactive hormone release intra-operatively is best treated with intravenous boluses of 20–50 µg of octreotide, titrated to haemodynamic response. Vasopressin as an alternative vasoconstrictor that may be useful if prolonged vasoconstriction is required; however, the evidence base is small. It must be borne in mind that concomitant fluid losses, especially bleeding, may be responsible for intra-operative instability rather than hormone excess and that fluid resuscitation may be the answer rather than further octreotide therapy https://academic.oup.com/bjaed/article/11/1/9/285683
440
Kate In cardiac surgery a low-normal central venous pressure and a low blood pressure with a hyperdynamic heart is suggestive of: a) Vasoplegia b) Hypovolaemia
A) vasoplegia Vasoplegia is characterized by a normal or augmented cardiac output with low systemic vascular resistance (SVR) causing organ hypoperfusion. The exact definition has varied but typically is considered when shock occurs within 24 h of CPB in the setting of a cardiac index (CI) is greater than 2.2 L/kg/m2 and SVR less than 800 dyne s/cm5
441
Kate One metabolic equivalent (1MET) is defined as the: a) O2 consumption during walking 4km/h b) O2 consumption at rest c) Energy consumption while walking at 4km/h d) Energy consumption during rest
REPEAT B) 02 consumptiom at rest One metabolic equivalent (MET) is the amount of oxygen consumed while sitting at rest, equal to 3.5 mL O2 per kg body weight × min
442
Kate According to the Australian and New Zealand Committee on Resuscitation guidelines, the minimum distance a defibrillation pad should be placed away from a pacemaker or implantable cardiac defibrillator generator is: a) 8cm b) 12cm c) 16cm
A) 8cm ANZCOR: In patients with an ICD or a permanent pacemaker the defibrillator pad/paddle is placed on the chest wall ideally at least 8 cm from the generator position
443
Kate A 25-year-old sustains a burn to 30% of their total body surface area. A physiological change expected within the first 24 hours is: a) Increased CI b) Decreased SVR c) Increased PVR d) Increased hepatic blood Flow
REPEAT C) Increased PVR Initial - may lead to burns shock Increased SVR (by 200%) Increased PVR Increased capillary permeability- loss of intravascular volume/Increased interstitial oedema Reduced CO SIRS By day 5 hyperdynamic circulation Tachycardia Increased CO (remains for at least 2 years maybe longer)
444
When inadvertent total spinal anaesthesia occurs in an awake neonate, the first sign is most likely to be a) Decreased HR b) Decreased BP c) Desaturation d) Loss of consciousness
c) Desaturation Total spinal anesthesia has been reported in neonates. It is most commonly manifested by apnea with no change in systemic blood pressure or heart rate, although should pronounced bradycardia occur, a reduction in cardiac output is likely and should be treated aggressively. It can occur after a dose of as little as 0.6 mg/kg of tetracaine. Alteration in position, particularly by raising the lower body above the level of the head or thorax, may be the most common cause of a high spinal block. Although the rate of administration of the local anesthetic does not appear to affect the level of spinal anesthesia in adults, similar studies have not been conducted in neonates or infants. It is possible that factors, such as the use of a relatively large-bore needle (22-gauge) and a tuberculin syringe providing the means for injecting with high pressure, along with the small distance between vertebrae, combines to make the rate of injection an important consideration in neonates and infants by producing unintended barbotage. We have observed this complication with rapid drug administration. Management consists of assisted or controlled ventilation until the return of spontaneous respiratory function. Cote. Practice of Anesthesia for Infants and Children, A, Seventh Edition - confirmed by QCH consultant
445
A bleeding patient has ROTEM results including: [table attached]. The most appropriate treatment is:
a) TXA
446
A 54-year-old has a laryngeal mask airway inserted for a surgical procedure. The following day it is noted that the tongue is deviated to the right. The most likely site of nerve injury is the right: a) Glossopharyngeal nerve b) Lingual nerve c) Facial nerve d) Vagus nerve e) Hypoglossal nerve
REPEAT Hypoglossal (deviates to the affected side) Nerve injuries : (pressure neuropraxia) Lingual nerve injury (most common) RLN (most serious) Hypoglossal Glossopharyngeal Inferior alveolar Infra orbital Usually self resolve except for RLN
447
The nerve marked by the arrow is the:
REPEAT Axillary Nerve
448
In an adult weighing 70 kg, a bedside assessment of haemodynamic status shows a left ventricular end-diastolic diameter of 2.4 cm. This finding suggests: a) Hypovolaemia b) Normal c) Hypervolaemia
Hypovolaemia Normal for end diastole is 3.5 to 5.6cm Image https://thoracickey.com/cardiac-chambers/ PSAX End diastolic AREA: Hypovolemia <8cm2 Normal 8-14cm 2 Hypervolemia > 14cm2 IVSd and IVSs – Interventricular septal end diastole and end systole. The normal range is 0.6-1.1 cm. LVIDd and LVIDs – Left ventricular internal diameter end diastole and end systole. The normal range for LVIDd is 3.5-5.6 cm, and the normal range for LVIDs is 2.0-4.0 cm. LVPWd and LVPWs – Left ventricular posterior wall end diastole and end systole. The normal range is 0.6-1.1 cm. RVDd – Right ventricular end diastole. The normal range is 0.7-2.3 cm. Ao Root Diam – Aortic root diameter. The normal range is 2.0-4.0 cm. LA Diameter – Left atrium diameter. The normal range is 2.0-4.0 cm. The IVSd and IVPWd measurements are used to determine left ventricular hypertrophy, which is the thickening of the muscle of the left ventricle. LV hypertrophy is a marker for heart disease. In general, a measurement of 1.1-1.3 cm indicates mild hypertrophy, 1.4-1.6 cm indicates moderate hypertrophy, and 1.7 cm or more indicates severe hypertrophy. Hypovolaemia Normal for end diastole is 3.5 to 5.6cm
449
Kate For driving pressure guided ventilation, driving pressure is the: a) Pplat-peep b) Peak pressure-peep c) Other formulas
Pplat-PEEP driving pressure is defined as distending pressure above the applied Peep Required to generate Vt - key variable for optimisation when performing mechanical ventilation in ARDS - also Vt/CRS (Ratio of Tidal volume to static resp system compliance)
450
During paediatric gas induction, the gas flow recommended by SPANZA for least environmental impact is: a) 1L/min b) 2L/min c) 3L/min d) 4L/min e) 5L/min
Ans: 3L/min (0.15L/kg/min) * 1 L/min: Well below the 0.15 L/kg guideline for most children—under-delivery of anesthetic, risk of inadequate induction or hypoxia. * 2 L/min: Still falls short for an average-weight child around 13–14 kg or more. Many kids are heavier. * 4 L/min: Excessive for environmental stewardship—it surpasses the minimum needed and produces needless gas waste. * 5 L/min: Even more wasteful—far above the efficient threshold—and unnecessary per the SPA weight-based recommendation.
451
The Mapleson circuit to best achieve normocarbia with mechanical ventilation is: a) Mapleson A b) Mapleson B c) Mapleson C d) Mapleson D e) Mapleson E
Ans: Mapleson D A - best for spontaneous ventilation B, C - both crap D, E, F - best for mechanical ventilation | https://epomedicine.com/medical-students/mapleson-breathing-circuit-made
452
SQUIRE guidelines a) Provide a framework for reporting new knowledge about healthcare improvement b) How to conduct a systematic review
Ans: A) Quality improvement SQUIRE → Quality Improvement PRISMA → Systematic Reviews CONSORT → Randomised Controlled Trials STROBE → Observational studies
453
What is the five number summary on a box and whisker plot?
Ans: Minimum – the smallest observation (not counting outliers, if they’re shown separately). First quartile (Q1) – the 25th percentile, below which 25% of the data lie. Median (Q2) – the 50th percentile, the midpoint of the data. Third quartile (Q3) – the 75th percentile, below which 75% of the data lie. Maximum – the largest observation (again, excluding flagged outliers). How it looks on the plot The box spans from Q1 to Q3 (the interquartile range). The line inside the box marks the median. The whiskers extend to the minimum and maximum (unless outliers are plotted separately, in which case whiskers stop at the last non-outlier).
454
Axis of ECG- left axis deviation (aVR was isoelectric, AVF negative, I positive) a) -45 degrees b) -75 degrees c) +15 degrees
Ans: -45 AVF negative - must be between 0 and -180 I positive - must be between 0 and -90 AVR isoelectric - must be 90 degrees to -150 therefore answer is -60 (if the remembered leads are correct)
455
What does a green colour on the laryngoscope blade mean a) Reusable b) Recyclable c) Single use d) Disposable e) Fibreoptic light source
Ans: fibreoptic light source (in handle), lamp in the blade, electrical connection versus black (?) handle which has light source in the blade not the handle. The green colour coding on laryngoscope blades and handles is part of the ISO 7376 standard. It does not indicate reuse/disposability — it tells you the type of light connector: Green line/blade = Fibreoptic (FO) system → light is transmitted via fibreoptic bundle to the distal tip, with connection to an external light source (in modern blades, often LED). Black line/blade = Conventional bulb system (light bulb in the blade itself). Reusable vs single-use is a different labelling convention, typically written explicitly on packaging/blade (“Single Use Only” or manufacturer’s symbols).
456
Arndt blocker attachment point for the breathing circuit (just a schematic drawing provided in the exam)
457
Vivasight components (arrow to the red bit in the exam) a) Flush port b) Light source c) Aspiration port
Flush port
458
Semaglutide half life a) 3 days b) 7 days c)14 days
6-7 days From ANZCA clinical practice recommendation on periprocedural use of GLP-1/GIP receptor agonists Exenatide 3.3-4 hours Liraglutide 12.6-14.3 hours Dulaglutide 4.7-5.5 days Semaglutide 5.7-6.7 days Tirzapatide 4.2-6.1 days
459
Gastric USS image a) Empty stomach
https://www.bjaed.org/article/S2058-5349%2819%2930047-2/fulltext
460
Preoperative intravenous iron to treat anaemic before major abdominal surgery (PREVENTT) trial showed: a) Reduced allogenic red cell transfusion b) Reduced mortality c) Reduced readmission rates within 30 days d) Reduced infection rates
Ans: C) reduced readmission rates in 30 days The PREVENTT (Preoperative Intravenous Iron to Treat Anemia before Major Abdominal Surgery) trial was a well‑designed, double‑blind, randomized controlled study comparing IV ferric carboxymaltose (1,000 mg) with placebo in anaemic patients scheduled for major abdominal surgery. Published in the Lancet October 2020 Found that preoperative intravenous iron was not superior to placebo to reduce need for blood transfusion when administered to patients with anaemia 10-42 days before elective major abdominal surgery. Readmissions to the hospital following surgery were significantly lower in the intravenous iron group in the first 8 weeks after the index operation.
461
Compared to UFH, enoxaparin preferences: a) Thrombin b) Xa
B) Xa Unfractionated heparin (UFH) Binds to antithrombin (AT) → inhibits both Factor Xa and Thrombin (Factor IIa) equally well (anti-Xa : anti-IIa ratio ≈ 1:1). Needs a longer chain length of heparin to bridge AT to thrombin — UFH has plenty of long chains. Low molecular weight heparin (LMWH, e.g. enoxaparin) Still works via AT, but because the chains are shorter, most molecules are too short to bind both AT and thrombin simultaneously. Therefore, LMWH preferentially inhibits Factor Xa (anti-Xa : anti-IIa ratio ≈ 3–5:1). Less effect on thrombin compared to UFH.
462
Child on 15mcg/kg steroids, when to give hydrocortisone (stress dosing) a) > 2 weeks b) > 1 month c) > 2 months
Stress dose if >15mg/m^2 daily for > 1 month Stress dose is 2mg/kg hydrocortisone. Iatrogenic adrenal suppression depends on dose, duration, and potency. Hydrocortisone equivalence: Prednisolone 1 mg ≈ Hydrocortisone 4 mg A child on 15 mcg/kg/day prednisolone = 0.015 mg/kg/day. In a 20 kg child → 0.3 mg/day pred. Equivalent to ~1.2 mg hydrocortisone/day. This is a physiological dose (normal cortisol output is ~8–10 mg/m²/day hydrocortisone equivalent). Thus, we’re talking about a child on replacement therapy, not supraphysiological “immunosuppressive” doses. The concern is duration of therapy → when is adrenal suppression likely? Evidence / Guidelines (ANZCA, RCH Melbourne, SPANZA) > 2 weeks of supraphysiological steroids is enough to risk HPA suppression. If only physiological replacement → no stress dosing needed. But the way this MCQ is written, they probably assume the child is on a “chronic course of steroids” and are testing the 2-week rule (a common exam trap).
463
DCD - last acceptable organ a) Lungs b) Kidney c) Liver d) Pancreas e) Heart
Ans: lungs (90 minutes) Liver and pancreas - 30 minutes from withdrawal of support Heart - 30 minutes from systolic <90 Kidneys - 60 minutes from systolic <50 Liver - 90 minutes from systolic <50
464
DCD criteria, what doesn’t include a) Immobility b) Apnoea c) Absent skin perfusion d) Absence of circulation (no arterial pulsatility for 2 min) Cannot recall other option, which was the answer (maybe absence of sedation?)
Ans: d Should be absence of pulsatility for 5 minutes not 2 minutes. Donatelife best practice guideline: - Arterial blood pressure monitoring is recommended - Absence of arterial pulsatility for 5 minutes is observed prior to confirmation of death - Electrical asystole is not required, noting that electrical (ECG) activity may persist beyond circulatory arrest - Death is confirmed by clinical examination (e.g. absence of spontaneous movement, breathing, heart sounds and central pulse) - Post-mortem interventions that may restart the circulation should not be undertaken e.g. mechanical ventilation, chest compression
465
Post herpetic neuralgia, feels like insects crawling across head, what is it? a) Allodynia b) Dysaesthesia c) Formication d) Pruritis e) Hyperpathia
Ans: Formication Dysaesthesia "spontaneous or evoked unpleasant abnormal sensations" Hyperalgesia "increased response to a normally painful stimulus" Allodynia "pain due to a stimulus that does not normally evoke pain such as light touch"
466
What drug to avoid in congenital long QT a) Propofol b) Thiopentone c) Ketamine
Ans: C) Ketamine Uptodate: = Droperidol, haloperidol, volatile, ondansetron, amiodarone. methadone Propofol has least effect. Prop/remi TIVA is safe "ketamine should be avoided because of its sympathomimetic effects" Glyco and atropine can prolong QTc and precipitate torsades. Thiopental can be used in patients with prolonged QT (prolongs the QTc but reduces TDP - transmural dispersion of depolarization) Long QT syndrome | BJA Education | Oxford Academic (oup.com)
467
Recurrent torsades treatment, acceptable a) Flecainide b) Lignocaine c) Procainamide d) Amiodarone e) Sotalol
Ans: B) Lignocaine (dose is 1mg/kg bolus - ANZCOR) - Overdrive pacing - Lignocaine decreases the QTc - Beta blockers - Isoprenaline Uptodate: - If baseline QTc is normal then less likely to respond to Mg and IV amiodarone may prevent recurrence. "polymorphic VT" = without QT prolongation "torsades" = a form of polymorphic VT with QT prolongation
468
19. Acceptable tryptase to diagnose anaphylaxis a) (1.2 times normal) + 2 b) (1.8 times normal) + 2 c) Normal + 2 d) 10/mL e) 15/mL
Ans: 2+ (1.2 x baseline) Uptodate
469
ANZAAG refractory anaphylaxis a) Glucagon IV 10min b) Glucagon IV 5 min c) Glucagon IM 5 min d) Glucagon IM 10 min Other remembered "refractory anaphylaxis in someone on beta blocker" a) Glucagon 1-2mg every 5 minutes until response b) Once c) Every 10 minutes
Ans: Glucagon 1-2mg every 5 minutes
470
21. Fem-fem VA ECMO, where is best representative of coronary PaO2? A) Right radial B) Either radial C) Left radial D) Pre-oxygenator E) Post oxygenator
Ans: A) right radial Right radial artery: samples blood from the innominate artery, which comes directly off the aortic arch and is perfused by whatever the LV ejects. → Best reflection of coronary and cerebral oxygen delivery. Left radial artery: may also reflect LV output, but due to arch vessel anatomy, the right radial is preferred as the most reliable “surrogate” of coronary oxygenation. Either radial: not correct — only the right gives the best correlation. Pre-oxygenator blood: reflects patient’s venous return, not coronary perfusion. Post-oxygenator blood: reflects ECMO circuit output, not what reaches coronaries.
471
22. Post op cognitive decline has an onset within: A) Immediate post B) Within one day, lasting one week C) From ?3 weeks ?10 days post op for a year D) From 1 month to 1 year
Ans: D Delirium = 24-72hrs post-op Immediate (minutes–hours after emergence). Acute confusional state, fluctuating attention, disorientation. Delayed neurocognitive recovery Within days–weeks post-op (up to 30 days). Typically resolves within weeks. Postoperative cognitive dysfunction (POCD) → now termed “postoperative neurocognitive disorder” >30 days up to 12 months post-op. Can be detected FROM 7 days after surgery Subtle decline in memory, attention, executive function. Diagnosed by neuropsychological testing, not bedside confusion screens. Bluebook: “The time frame of onset of POCD remains undefined, but it can be detectable from 7 days after surgery... It is our belief that changes in cognition earlier than 7 days after surgery cannot be accurately tested and attributed to POCD. BJA: The incidence of POCD in elderly patients at 1 week is 30%, at 3 months is 10–13% and at 1 yr is 1%”
472
23. Pre-eclampsia at 30 weeks with IUGR A) Low CO, low SVR B) Low CO, high SVR C) High CO, low SVR D) High CO, high SVR
B) Low CO, high SVR Haemodynamics in preeclampsia (especially with IUGR) Preeclampsia is driven by abnormal placentation → failure of spiral artery remodelling → high resistance uteroplacental circulation. Leads to: High afterload (↑ SVR) Impaired ventricular filling, sometimes ↓ contractility → low or normal CO. Subgroups exist: “High output / low resistance” phenotype → more common with maternal features (hypertension, proteinuria, less IUGR). “Low output / high resistance” phenotype → associated with early onset preeclampsia and IUGR (placental-driven).
473
24. Burns - expected physiological changes within the first 24 hours A) High cardiac index B) Increased PVR C) Decreased SVR D) High stroke volume
Ans: B) increased PVR First 48 hours depressed myocardium, hypovolaemia (hypovolaemic shock) - Increased Hct - Increased PVR and SVR - Decreased stroke volume - Decreased cardiac index - Decrease venous saturation - Tachycardia After 48 hours hypermetabolic state - Decreased SVR, subclinical myocardial dysfunction
474
25. Which increases the risk of blood product related graft vs. host disease A) Genetic variability between donor and recipient B) Irradiated C) Leukodepleted D) Immunodeficiency E) Transfusion of non-cellular product
Ans: D) Immunodeficiency Pathophysiology recap Caused by donor T-lymphocytes engrafting in the immunocompromised recipient and attacking host tissues. Prevention: irradiation of cellular blood products (which inactivates T lymphocytes). Leukodepletion is not sufficient (removes most WBCs but not all viable T-cells). Plasma or non-cellular products (FFP, cryoprecipitate) do not cause GVHD, because they contain no viable lymphocytes.
475
26. When reconstituted, fibrinogen concentrate should be transfused within: A) 30 min B) 4h C) 6hrs
Ans: 6hrs Several answers depending on source. Stable for 6 hours after reconstitution if kept between 20-25 degrees ^^ Australian PI is different to American PI. Australian PI states 6 hours. LITFL - 6hrs Fibryga - 24hrs Riastap - 8 hrs
476
27. A man has this device put in because he isn't suitable for anticoagulation with AF. What is a WATCHMAN device / where is it? A) Left atrial appendage B) SVC C) IVC D) Right atrium E) Ascending aorta
ANS: A) LAA WATCHMAN device A percutaneous left atrial appendage (LAA) occlusion device. The LAA is the main site where thrombi form in non-valvular AF (~90% of cases). By sealing off the LAA, the WATCHMAN prevents clot formation there, reducing stroke risk.
477
28. Aortic mechanical On-X valve has an inguinal hernia repair in 48 hours and INR is 1.5, what should you do? A) Bridge with enoxaparin B) Bridge with heparin C) Cease warfarin D) Cease aspirin
ANS: C On-X valve is mechanical bileaflet valve with approval for low INR target 1.5-2.0. The guidelines advise that patients with low thromboembolic risk, particularly those with On-X valves, may be safely managed without bridging if their INR is below 2.0 before surgery. However, if there are other thromboembolic risks (e.g., prior stroke, atrial fibrillation), bridging with heparin is advised. 2019 ACC guidelines On-X have lower target INR 1.5-2: For mechanical On-X AVR and no thromboembolic risk factors: A lower INR of 1.5-2.0, starting 3 months after surgery with addition of aspirin (ASA) 75-100 mg daily (Class 2b). 2020 AHA guidelines - low-mod bleeding risk procedure - low-mod thromboembolic risk (in absence of additional risk factors??) - On-X/cryolife product info suggests don't bridge https://www.heartvalvechoice.com/wp-content/uploads/2021/05/On-X-Valve-Patient-FAQs.pdf as does the NSW health guideline: https://www.cec.health.nsw.gov.au/__data/assets/pdf_file/0006/458988/Guidelines-on-perioperative-management-of-anticoagulant-and-antiplatelet-agents.pdf if there was some other risk factor in the stem, I would say bridge, and use UFH if CrCl <15ml/min
478
The transthoracic echo demonstrates:
Tricuspid regurgitation
479
30. TTE echo parasternal long axis which chamber? - RV RA
480
Non-inferiority trial (repeat, line crossed 0 and non-inferior line)
481
32. APRV ventilation A) Spont breathing B) Restrictive lung disease C) Short bursts of high pressure to aid recruitment D) Long expiratory for clearance of CO2
2023A repeat Ans: A) Inverse ratio, pressure-controlled mode: patient spends most of the cycle at a high continuous pressure (P high) to recruit alveoli and maintain oxygenation. At regular intervals, there’s a brief “release” to a low pressure (P low) → this allows CO₂ elimination. Patients are allowed (and encouraged) to breathe spontaneously throughout the cycle Spontaneously breathing patient Longer inspiratory times (prolonged high pressure maximises recruitment) = better oxygenation brief releases at lower pressure facilitate CO2 clearance Similar to constant recruitment method
482
33. Best TOE view for detecting myocardial ischaemia A) Mid-oesophageal 4-chamber B) Long axis C) 2 chamber D) Transgastric 2 chamber
D) transgastric 2 chamber Myocardial ischaemia is detected by regional wall motion abnormalities (RWMA). You want to see as many left ventricular (LV) wall segments as possible in one view. ASE/SCA guidelines recommend the transgastric mid-short axis view as the most sensitive single view (shows all circumferential LV segments).
483
34. CXR with 3 lead pacemaker arrow pointing to: A) LV B) RV C) Coronary sinus
484
35. Avulsed tooth, what fluid to place it in A) Chlorhexidine B) Saline C) Balanced salt solution D) Fresh bovine milk E) Water
Ans: C) International Association of Dental Traumatology (IADT) guidelines: Best medium: Hank’s Balanced Salt Solution (HBSS), if available (rare outside hospitals/dental offices). Practical recommendation: If HBSS not available, the best alternative is cold fresh milk. Saline is “okay,” but doesn’t preserve periodontal ligament (PDL) cells as long as milk. Milk vs saline: Milk is closer to physiologic pH and osmolality, contains nutrients, and preserves viability for up to 6–24 h. Saline is isotonic but has no nutrients → poorer long-term survival. Chlorhexidine & water: both damaging to PDL cells. So in exam context If Balanced Salt Solution (HBSS) is listed → that is the scientifically best answer. If HBSS is not an option, then the best practical answer is milk.
485
36. Pregnant MS (multiple sclerosis?) lady, cat 1 CS within 30 minutes, what method A) Spinal B) CSE C) Epidural D) GA E) Methylpred then GA
Ans: GA if mitral stenosis, spinal if multiple sclerosis GA ^top end article (if this means mitral stenosis) - Cat 2 CSE intrathecal morphine in spinal and slowly titrated epidural - Cat 1 then GA If this means multiple sclerosis then just do a spinal if there is time Avoid hyperthermia It has been suggested in the past that neuraxial techniques, specifically spinal anaesthesia, may contribute to increasing relapses after delivery because the demyelinated spinal cord is exposed to neurotoxic local anaesthetic agents. However, the Pregnancy in Multiple Sclerosis study (PRIMS) found no correlation between the use of neuraxial techniques and relapses of MS in the postpartum period. Numerous subsequent reports support these findings.
486
37. Classic LMA cuff recommended maximum pressure A) 30 B) 40 C) 50 D) 60
Ans: D) 60 cmH2O for both classic LMA as well as a Supreme
487
38. Narrow complex tachycardia ECG in young person post op PACU SBP 90 what treatment A) Modified valsalva B) Adenosine C) DCCV
Ans: A) Modified Valsalva Management of narrow complex tachycardia (SVT) Stable SVT (good BP, no chest pain, no pulmonary oedema, no altered GCS): Step 1: Vagal manoeuvres (best = modified Valsalva). Step 2: IV adenosine. Step 3: DCCV if refractory. Unstable SVT (hypotension, chest pain, acute heart failure, altered GCS, shock): Immediate synchronised DC cardioversion. Pt right on cusp of "unstable, which is SBP < 90mmHg. Given fit/well, likely can err on side of caution and go down the "stable pathway" Valsava --> Adenosine 6mg, 12mg, 12mg.
488
39. Prilocaine Bier's block, which condition it shouldn't be used in A) G6PD B) Porphyria
Ans: A) G6PD deficiency - risk of methaemoglobinemia Porphyria: Not specifically contraindicated; lidocaine and prilocaine are considered safe local anaesthetics in porphyria. Absolute contraindications Allergy to local anaesthetic (amide or ester, depending on drug used). Severe peripheral vascular disease (risk of ischaemia and poor drug washout). Sickle cell disease or trait (risk of sickling in ischaemic limb under tourniquet). Infection at the site (risk of spreading infection into circulation). Severe trauma or crush injury to the limb (compartment syndrome risk, poor distribution of LA). Inability to use a tourniquet (e.g. burns, severe scarring, limb malformation). Relative contraindications G6PD deficiency → if using prilocaine (risk of methaemoglobinaemia). Children → higher risk of tourniquet pain, cooperation issues, and LA toxicity. Raynaud’s disease or severe vascular spasm syndromes → risk of ischaemia. Extremes of age or frailty → poor tolerance of tourniquet pain. Patients with poor cardiovascular reserve → in case of LA toxicity on tourniquet release.
489
40. Anaphylactic to MMR vaccine. What is contraindicated? A. Gelofusine B. Sulphonamides
Ans: A Gelofusine and gelatin is associated with anaphylaxis to MMR
490
65yo M presented with confusion and hypoxia. CXR left chest whiteout and tracheal deviation A) Left pleural effusion B) Left pneumonia C) Unilateral pulmonary oedema D) Pneumonectomy
Left pleural effusion or pneumonectomy Whiteout left lung. Tracheal deviation present (but we need direction): If deviation towards white side → collapse or pneumonectomy. If deviation away from white side → pleural effusion. The stem didn’t explicitly say which way, but in exams: “Pleural effusion” is the classic cause of whiteout + deviation away. “Pneumonectomy” would usually be hinted (scar, history of surgery). Pneumonia/oedema → whiteout but typically no major tracheal deviation.
491
42. Post heart transplant recipient, expected sensitivity to: A) Adenosine B) Ephedrine - less effect C) Atropine D) Glycopyrrolate
Adenosine - use 1.5 mg or 3 mg A) Adenosine ✅ Sensitivity is increased. Because of denervation, there’s no vagal buffering. Adenosine has a more profound and prolonged AV nodal block in transplant patients. Can cause prolonged asystole → must be given cautiously. B) Ephedrine – less effect ✅ true statement but not the best answer here. Reduced effect because the transplanted heart has no sympathetic nerve terminals. C) Atropine ❌ No effect on HR (denervated heart). D) Glycopyrrolate ❌ Same as atropine — little or no chronotropic effect.
492
43. What nerve does not innervate the breast/for breast surgery? A) Long thoracic B) Anterior intercostal C) Posterior intercostal D) Supraclavicular
Ans: long thoracic A) Long thoracic ✅ not a sensory supply to the breast. B) Anterior intercostal ❌ yes, contributes to sensory innervation. C) Posterior intercostal ❌ contributes too, via lateral cutaneous branches. D) Supraclavicular ❌ supplies upper portion of breast skin.
493
44. Post prem baby, having surgery. The minimum time before considered for day surgery is. A) Postmenstrual age 54 weeks B) 60 weeks
Ans) A - 54 weeks postmenstrual Ex-preterm infants are at risk of apnoea, bradycardia, desaturation after GA. Risk is highest in the first weeks after birth, and decreases with increasing postmenstrual age (PMA). PMA = gestational age at birth + chronological age. ANZCA PG29 - Healthy ex-premature infants who have reached a PMA of 60 weeks can be sent home with standard discharge criteria. The risk of postoperative apnoea did not fall to 1% or less until the infants reach a PMA of 54 weeks. In the ex-premature infant born at 32 weeks, the risk of apnoea did not fall to 1% or less until the infants reach 56 weeks24 PMA. Apnoea in otherwise well ex-premature infants has been reported as late as 54 weeks postmenstrual age. ANZCA PG29A - Ex-preterm infants at risk of postoperative apnoea should not be considered for same day discharge unless they are medically fit and have reached a postmenstrual age of 54 weeks.
494
45. Fontan woman, pregnant, what drug to avoid in labour? A) Ergometrine B) N2O
Ans) Ergometrine or carboprost - both increase PVRs If giving oxytocin - give it slowly Ergometrine Potent vasoconstrictor → ↑ SVR, ↑ PVR, ↑ afterload. Can cause acute pulmonary hypertension → catastrophic in Fontan. Contraindicated. Nitrous oxide (N₂O) Can ↑ PVR slightly, but generally tolerated. Avoid if patient has severe pulmonary hypertension, but not specifically contraindicated in all Fontan patients. Note: Oxytocin infusion = safe uterotonic in Fontan/PH. Ergometrine, carboprost (PGF2α) = avoid (↑ PVR/SVR). Misoprostol = safer alternative.
495
46. Dental surgery to bottom molar (38) with weird chin sensation post op. Which nerve damaged? A) Lingual B ) Mental C) Inferior alveolar D) Infratrochlear
ANS: B or C - likely C (mental nerve is the nerve supply but inferior alveolar is most likely to be damaged) Inferior alveolar nerve (IAN) (branch of mandibular division, CN V3): Runs in the mandibular canal. Gives sensation to mandibular teeth. Emerges at the mental foramen as the mental nerve → sensation to lower lip, chin, and gingiva. Lingual nerve (also branch of V3): Runs near the lingual plate of molar roots. Provides sensation to anterior 2/3 tongue, lingual gingiva, floor of mouth. Injury → tongue numbness, not chin. Infratrochlear nerve: Branch of nasociliary nerve (ophthalmic V1). Supplies medial canthus of eye, nasal bridge → irrelevant here.
496
47. Child with status epilepticus, weight 20kg which is NOT a recommended treatment? A) Midaz IM 3mg B) Intranasal 6mg C) Intraosseous 3mg D) Buccal 6mg E) IV 1.5mg
Ans: E IM is 0.2mg/kg Nasal is 0.3mg/kg Buccal 0.3-0.5 mg/kg IV 0.15mg/kg IO 0.15mg/kg
497
48. Highest rate of mortality is BMI in category of: A) <18.5 B) 18.5-24.9 C) 25-29.9 D) 30-34.9 E) 35-39.9
ANS: A) Mortality higher in <18.5 Above BMI 40 is almost the same as <18.5, then BMI 50-60 is higher than in 18.5 group.
498
49. Major burns patient, pharmacologic effects in relation to non-depolarising NMBDs Dose expected higher because of up-regulation of acetylcholine receptors
499
50. Class 2 obesity has an ASA score of: A) 1 B) 2 C) 3 D) 4
Class 1 30-35 Class 2 35-40 Class 3 40+ ASA II for class II (and class I) ASA III for class III
500
53. Obese patient, giving a dose of propofol for INDUCTION, what weight do you use? A) LBW B) IBW C) ABW D) TBW
LBW - NMBD - lean (non-depol) - Sux - total body weight - Prop induction - lean - Prop infusion - adjusted body weight - Reversal - adjusted body weight - Local anaesthetic - lean body weight - All Abx TBW except gentamicin which is LBW (SOBA)
501
54. Myasthenia gravis patients and NMBD: A) Sensitive to non-depolarizing, resistant to depolarising… B) Variants of above
Sensitive to non-depol (use a 1/10 - 1/5 dose) Resistant to suxamethonium (2.5 times dose)
502
55. Magnesium 20mmol given intraop is NOT associated with A) Reduced pain scores in PACU B) Reduced PONV C) Reduced MAC requirements D) Prolonged neuromuscular blockade E) Respiratory depression postop
Ans: B - ANZCA position statement no association with reduced PONV. No mention of respiratory depression. Low-quality evidence related top periop Mg shows: Statistically significant but small reduction in postop opioid requirements. No reduction in post op pain scores or PONV. (PS41) APMSE 2020: IV magnesium as an adjunct to morphine analgesia has an opioid sparing effect and improves pain scores. ---- Magnesium’s proven effects: Reduces postoperative pain scores. Lowers opioid consumption → less PONV. Reduces volatile anaesthetic requirements (MAC-sparing). Potentiates non-depolarising muscle relaxants → can prolong NMB. Respiratory depression: Not listed as a recognised effect in ANZCA PS41 (2023 update). Only occurs at toxic serum concentrations (e.g. > 4–5 mmol/L) At clinical doses, magnesium actually reduces the risk of opioid-related respiratory depression by sparing opioids.
503
56. Severe hypokalaemia and cardiac arrest, ANZCOR recommends: - 5mmol bolus IV - 5mmol bolus IV over 5 mins - 5mmol bolus IV over 10 mins - 10mmol bolus IV over 5 mins 10mmol bolus IV over 10 mins
5mmol bolus IV
504
57. Child and laparotomy, 23kg, what fluid will you give for maintenance? A) 45ml/hr 0.45% saline + 5% dextrose B) 65ml/hr 0.45% saline + 5% dextrose C) 65ml/hr 0.9% saline + 5% dextrose D) 45ml/hr 0.9% saline + 2.5% dextrose E) 45ml/hr 0.9% saline + 5% dextrose
Ans E) 45ml/hr 0.9% N/S + 5% dextrose (2/3 maintenance for any patient that is sick) Maintenance fluid = 4,2,1 rule (4mL/kg/hr for 1st 10kg, 2mL/kg/hr for 2nd 10kg, then 1mL/kg/hr after that; max 100mL/hr) = 65ml/hr - in all unwell children (acute CNS/pulmonary conditions, post op & trauma) - 2/3 maintenaince rate due to ^ADH secretion (risk fluid overload/hyponatraemia) https://www.rch.org.au/clinicalguide/guideline_index/intravenous_fluids/
505
58. Child with uncorrected TOF, having a tet spell. Management includes all except: A) Prostaglandin B) Sedation C) Fluid bolus D) Vasopressor E) Beta blocker
ANS: A) TOF: - VSD - Overriding aorta - Pulmonary artery stenosis/atresia - RV hypertrophy Pathophysiology of a Tet spell Triggered by ↓SVR or ↑PVR → worsens right-to-left shunting across VSD. Child becomes cyanotic, hypoxic, tachypnoeic, irritable → spirals into acidosis, more PVR rise → vicious cycle. Standard acute management Positioning: Knee–chest → ↑SVR, ↓R→L shunt. Sedation: Morphine or ketamine → decreases agitation and catecholamine-driven PVR rise. Oxygen: Pulmonary vasodilator, reduces PVR. Fluid bolus: Augments preload → improves RV output. Vasopressors: Phenylephrine (pure α-agonist) → ↑SVR, reduces R→L shunt. Beta-blocker (propranolol, esmolol) → relaxes infundibular spasm. What about Prostaglandin E1? Indication: To maintain ductus arteriosus patency in duct-dependent congenital heart disease.
506
59. Someone is on moclobemide, what drug is most likely to cause serotonin syndrome? A) Pethidine B) Tapentadol C) Methadone D) suxamethonium E) Fentanyl
Pethidine --> precipitates serotonergic crisis. A) Pethidine ✅ Classically notorious interaction with MAOIs → can cause severe serotonin syndrome. B) Tapentadol → yes, risk, but less “classic” than pethidine. C) Methadone → possible, but less commonly tested. D) Suxamethonium ❌ no serotonergic effect. E) Fentanyl ❌ possible case reports, but far lower risk.
507
52. Young man collapsed, ECG depicting brugada, what is the recommendation: A) ICD B) Flecainide
ANS A) ICD Genetic sodium channelopathy (SCN5A mutation most common). ECG: coved ST elevation in V1–V3 ± RBBB pattern. Risk: sudden cardiac death from VF/VT, often in young men. Precipitated by fever, sodium channel blockers, alcohol. ICD = only proven therapy for prevention of sudden cardiac death in symptomatic patients (syncope, documented VT/VF, aborted cardiac arrest). Flecainide is contraindicated — it’s a sodium channel blocker, can unmask or worsen.
508
60. Parkinsons patient on apomorphine infusion, what drug to given for nausea? A) Cyclizine B) Ondansetron C) Droperidol D) Metoclopramide E) Prochlorperazine
ANS A) Cyclizine Metoclopramide, prochlorperazine, droperidol ❌ All are dopamine antagonists → worsen Parkinsonian symptoms. Contraindicated. Ondansetron. Safe in Parkinson’s. Sometimes used, but can cause QT prolongation with apomorphine — caution. Cyclizine (H₁ antagonist, anticholinergic) Frequently recommended alongside apomorphine to manage nausea. Safe, doesn’t worsen Parkinsonism.
509
61. Deep brain/vagal stimulator for refractory epilepsy, what can cause autostimulation? A) Hypertension B) Tachycardia C) Bradycardia D) Hypotension E Hypothermia F) Hyperthermia
ANS B) Tachycardia Many epileptic seizures are preceded by tachycardia (ictal tachycardia). Some modern VNS devices (with closed-loop technology) detect sudden HR rises as a proxy for seizure onset. This can then trigger extra stimulation in an attempt to abort the seizure.
510
62. The most consistent risk factor for postoperative vomiting in children is A) Age 3 years or older B) Pre-pubertal Female C) Intraop opioids D) Nitrous oxide E) Strabismus surgery
E) Strabismus (or age >3) - If consistent = E, if most common/frequency related then A. Uptodate: - Preop: ○ Age >/= 3 ○ History of PONV/POV ○ Hx motion sickness ○ FHx PONV/POV ○ Post puberty females - Intraop: ○ Surgery: § Strabismus, adenotonsillectomy, otoplasty, surgery >30 min ○ Volatile anaesthetics - Postop: Long acting opioids N2O depends on duration (ENIGMA 2): NNH 9 if >2hr procedure, 128 if <1hr procedure
511
63. Which muscle does not elevate the larynx? A) Sternohyoid B) Glenohyroid C) Thyrohyoid D) Myelohyoid
Sternothyroid --> depresses the larynx Sternohyoid, omohyoid --> indirect depressor Thyrohyoid --> elevates the larynx Myelohyoid, stylehyoid, geniohyoid --> indirect elevators of the larynx Suprahyoid muscles (elevate hyoid & larynx): Mylohyoid Geniohyoid Stylohyoid Digastric Infrahyoid muscles (“strap muscles”, mostly depress larynx): Sternohyoid → depresses hyoid Omohyoid → depresses hyoid Sternothyroid → depresses thyroid cartilage Thyrohyoid → brings thyroid cartilage towards hyoid (effectively elevates larynx relative to hyoid)
512
64. What is not a good indicator for neonate being ready for extubation? A) Grimace B) RR>16 C) conjugate gaze D) TV >5ml/kg E) Eye opening
Ans B) RR>16 Criteria for awake extubation: - Conjugate gaze - Facial grimace - Eye opening - Purposeful movement - TV>5ml/kg Deep extubation: - No cough /confirm deep anaesthesia (cuff deflation) - Adequate TV Normal ventilatory pattern
513
65. What nerve is not related to the trigeminal? A) Auriculotemporal B) Supratrochlear C) Infratrochlear D) Greater auricular E) Lingual Infraorbital
Ans D) Greater auricular Branches & relations of the trigeminal nerve (CN V) Ophthalmic division (V1): Supratrochlear Infratrochlear Maxillary division (V2): Infraorbital Mandibular division (V3): Auriculotemporal Lingual
514
66. Right homonomous hemianopia and right hemisensory loss - affected region A) Left posterior cerebral B) Left anterior cerebral C) Superior cerebellar D) Left anterior inferior cerebellar
Symptoms of posterior cerebral artery stroke include contralateral homonymous hemianopia (due to occipital infarction), hemisensory loss (due to thalamic infarction) and hemi-body pain (usually burning in nature and due to thalamic infarction) 3. If bilateral, often there is reduced visual-motor coordination 3. It is generally considered that sensory loss and hemianopia unilaterally without paralysis, is diagnostic of PCA territory stroke 4.
515
67. What is not a features of TURP syndrome? - Hyperglycinaemia - Hyponatraemia - Hypervolaemia - Hypokalaemia - Hypo-osmolar Alternate options: - Hyperglycinaemia - Hyponatraemia - Hypervolaemia - Hypoglycaemia
Ans: Hypokalaemia, hypogylcaemia Worrying signs = Hyponatraemia (<120mmol), Hyperkalaemia (>6mmol), hypo-osmolarity, high glycine. - hyponatraemia (dilutional effect of a large volume of absorbed irrigation fluid, but later due to natriuresis) - iso-osmolar (or mildly hypo-osmolar) - increased osmolar gap from absorbed glycine - hyperglycinaemia (up to 20 mM; normal is 0.15-0.3mmol/L) - hyperserinaemia (major metabolite of glycine) - hyperammonaemia (due to deamination of glycine and serine) - hyperoxaluria and hypocalcaemia (glycine is metabolised to glycoxylic acid and oxalic acid, the latter forms calclium oxalate crystals in the urinary tracts and may contribute to renal failure) - metabolic acidosis - haemodilution and haemolysis
516
68. Equation for pulse pressure variation A) 100x PPmax-PPmin / PPmean B) 100 x PPmax-PPmin/ PPmin C) Other
B) 100 x (ppmax-Ppmin)/Ppmean PPV >13% (on controlled ventilation, sinus rhythm) --> suggests patient is fluid responsive. Not valid if arrythmia, spontaneous breathing, low tidal volume (<8ml/kg), open chest
517
69. Oxygen pulse in CPET is surrogate for A) Stroke volume B) Anaerobic threshold
A) SV Oxygen pulse = VO2/HR - Amount of oxygen consumed per heart beat. VO2 = HR x SV x (CaO2 - CVO2) VO2/HR = SV x (CaO2 - CVO2) So oxygen pulse reflects SV and arteriovenous O2 difference. CaO2-CVO2 often not change much, therefore ~SV.
518
70. What increases DLCO? A) Pulmonary haemorrhage B) Pulmonary hypertension C) COPD
A) Pulmonary haemorrhage Pulmonary haemorrhage -> extra Hb in alveolar space -> CO uptake artifically increases DLCO Pulm HTN -> decrease capillary blood volume -> decrease DLCO COPD esp emphysema -> destruction of alveolar walls -> decrease SA -> decrease DLCO (asthma can incrase DLCO due to increase pulm blood volume)
519
71. What is an acceptable reason to defer #NOF? A) K+ 2.7 B) HR 110, atrial fibrillation C) Hb 86 D) Na 126 E) Clopidogrel taken within 3 days
K 2.7 Reasons to defer * Haemoglobin < 80 g.l−1 * Plasma sodium concentration < 120 or > 150 mmol.l−1 and potassium concentration < 2.8 or > 6.0 mmol−1 * Uncontrolled diabetes * Uncontrolled or acute onset left ventricular failure. * Correctable cardiac arrhythmia with a ventricular rate > 120.min−1 * Chest infection with sepsis Reversible coagulopathy
520
72. Image of ROTEM, EXTEM "in this bleeding patient" what to give (shows hyperfibrinolysis) A) Plt B) Fibrinogen C) TXA
Wine glass shape --> hyperfibrinolysis, give TXA
521
73. V5 lead position for an ECG? A) Mid clavicular line 5th IC space B) Mid clavicular line 4th IC space C) Anterior axillary line 5th IC space D) Anterior axillary line 4th IC space
Anterior axillary line 5th IC space Chest lead (precordial) positions V1: 4th intercostal space (ICS), right sternal edge V2: 4th ICS, left sternal edge V3: midway between V2 and V4 V4: 5th ICS, mid-clavicular lineV5: same horizontal level as V4 (5th ICS), anterior axillary line V6: same horizontal level as V4, mid-axillary line
522
74. What is the most sensitive predictor of 30 day mortality and MACE? A) DASI score 55 B) AT<11 C) proBNP >300 D) 6MWT< 400 E) VO2 <11
C) ProBNP VISION study (Devereaux et al., JAMA 2012; Anesthesiology 2017) → Pre-op BNP/NT-proBNP is the most sensitive and consistent predictor of 30-day death and non-fatal MI after major non-cardiac surgery. CPET variables (AT, VO₂) are useful for peri-op planning but not as sensitive as BNP for hard endpoints like MACE. METs trial: - Subjective assesssment of functional capacity if poor predictor - DASI improved prediction - ProBNP independently predicted both 30-day and 1-year mortality or MI
523
75. VO2 max and DASI questionnaire relationship. Score of 40 on DASI equals what VO2? A) 20L/min or ml/kg/min B) 30 C) 40 D) 50 Other: DASI 48 = 48 VO2 max?
B) 30 Predicted VO2 max = 0.43 x DASI +9.8 i.e. 0.4 x DASI +10 DASI 34 = 7 METS DASI 10 = ~4 METS To simplify it you can make it 40/2 + 10 = 30 If divide that by 3.5 you get METS -> 8.5 METS
524
76. Drug that will not raise pulmonary vascular resistance at low doses? A) Dopamine B) Vasopressin C) Noradrenaline D) Milrinone E) Dobutamine OR Which is most likely to cause pulmonary hypertension? A) Dopamine B) Dobutamine C) Vasopressin D) Milrinone E) Prostacycline
ANS: Likely D - milrinone (will not raise PVR). Likely A - dopamine for most likely to cause - Vasopressin also attenuates pulmonary hypertension Uptodate: Pulmonary vasoconstriction --> phenylephrine, adrenaline, Milrinone and dobutamine inodilators. Milrinone also reduces PVR.
525
77. Sepsis guidelines, which measure is NOT recommended to assess fluid status? A) Urine output B) Passive leg raise response C) PPV D) Response to fluid bolus E) Echocardiogram
Ans: A) Urine output Urine output is an end-organ perfusion marker, not a reliable or dynamic measure of fluid responsiveness. CVP is also a static marker. For adults with sepsis or septic shock, we suggest using dynamic measures to guide fluid resuscitation, over physical examination or static parameters alone Weak recommendation, very low-quality evidence Remarks Dynamic parameters include response to a passive leg raise or a fluid bolus, using stroke volume (SV), stroke volume variation (SVV), pulse pressure variation (PPV), or echocardiography, where available.
526
78. Newborn at 1 minute, sats 75%, grimacing, pulse 120, RR 40, what do you do? - Observe - CPAP - Intubate CPR
A) Observe HR >100 → no chest compressions, no PPV required. RR 40, HR normal, grimacing = breathing spontaneously and perfusing adequately. SpO₂ appropriate for 1 min of life. Management at this point: supportive observation (dry, warm, clear airway, monitor) NRP target saturations (pre-ductal, right hand): 1 min: 60–65% 2 min: 65–70% 3 min: 70–75% 4 min: 75–80% 5 min: 80–85% 10 min: 85–95%
527
79. Patient has arrested day 10 post cardiac surgery, what do you NOT do: A) Give adrenaline 1mg B) Give amiodarone C) 3 sequential shocks D) Atropine 3mg E) 1L fluid bolus
A) Give adrenaline CALS protocol 10 days is the cutoff - borderline question Avoid routine 1 mg adrenaline IV boluses. Reason: in the postcardiotomy setting, the problem is often surgical/mechanical (tamponade, graft occlusion, massive bleeding) or refractory VF/VT. Giving large-dose adrenaline can increase myocardial oxygen demand, worsen ischaemia, impair graft flow, and make defibrillation less effective. If vasoactive support is needed, use small doses of adrenaline (10–100 mcg), noradrenaline, vasopressin, or pacing, depending on the cause. B) Amiodarone For refractory VF/VT, amiodarone is recommended and safe C) 3 sequential shocks If VF/VT occurs within 10 days of surgery, up to 3 sequential shocks are recommended before chest compressions (to minimise sternal disruption and because re-entry arrhythmias often revert with shocks alone). D) Atropine 3 mg Used in severe bradycardia/asystole. Still appropriate in this context. E) 1L fluid bolus Hypovolaemia and tamponade are common reversible causes after cardiac surgery. Giving fluids empirically is reasonable and recommended early.
528
80. Diagnosis for TRALI not based on: A) Hypoxaemia B) Onset within 6 hours of transfusion C) PCWP high (??or low based on which remembered answer) D) Bilateral infiltrates on CXR E) Raised BNP (may be an alternative answer)
ANS C) PCWP high or E) Raised BNP CLINICAL FEATURES * dyspnoea * hypoxia * fever * hypotension or hypertension DIAGNOSIS * acute onset ALI(within 6 hours of a transfusion) * hypoxia (PaO2/FiO2 <= 300mmHg regardless of PEEP or SpO2) * bilateral pulmonary infiltrates not cardiogenic in origin pr left atrial hypertension (PAWP < 18mmHg) BNP and PCWP are not elevated in TRALI (they would be in TACO – transfusion-associated circulatory overload).
529
Diagnosis of HITS based on 4Ts score, which are: A) Thrombocytopaenia B) Timing of plt drop C) History of thrombus D) Other cause thrombocytopaenia E) Plt serotonin release assay
MDCalc: --> diagnostic probability score 4 Ts Thrombocytopaenia (A) – how much the platelets have dropped (e.g. >50% fall = 2 points). Timing (B) – typically 5–10 days after heparin start, or <1 day if prior heparin in last 30 days. Thrombosis (C) – new thrombosis, skin necrosis, anaphylactoid reaction = 2 points. oTher cause (D) – if no alternative cause is likely, 2 points. Plt serotonin release assay --> diagnostic of HIT
530
IABP trace, green arrow pointing to unassisted diastolic pressure
531
To confirm ETT, need ETCO2 more than how much from baseline? A) 7.5mmhg B) Other number
As per Chrimes paper 7.5mmHg
532
Third heart sound due to: A) health person less than 40y B) HTN C) Mitral prolapse
Ans: A) Healthy persion <40 yo Talley and O'Connor: - 3rd heart sound sounds like "Kentucky' - Diastolic sound heard best with the bell - Normal to hear in states of states of increased cardiac output ○ Pregnancy, thyrotoxicosis, some children The third heart sound (S₃) is a low-pitched, early diastolic sound just after S₂, produced by rapid passive ventricular filling. It occurs when the ventricle is compliant and fills quickly – which is normal in children, young adults, and pregnant women. After age 40, it’s usually pathological, indicating volume overload (heart failure, MR, AR, high-output states). Why the others are wrong: B) Hypertension Chronic HTN leads to a stiff, non-compliant ventricle (LVH). This produces an S₄ (atrial kick against stiff ventricle), not S₃. C) Mitral valve prolapse Classic finding = mid-systolic click ± late systolic murmur. Not associated with an S₃.
533
Patient presents for a trans-urethral resection of the prostate (TURP). He had a single drug-eluting coronary stent for angina pectoris inserted six months ago and is taking clopidogrel and aspirin. The most appropriate preoperative management of his medications is to A) Cease clopidogrel for 5 days B) Cease clopidogrel for 10 days C) Continue both D) Cease clopidogrel for 7 days and aspirin for 20 days
Ans A) Cease for 5-7 days - Flow chart from AHA 2024 Modern guidelines (ESC, AHA, ANZCA periop) recommend at least 6 months of dual antiplatelet therapy (DAPT) after elective DES insertion for stable ischaemic heart disease. Beyond 6 months, if bleeding risk is high, clopidogrel can be stopped and aspirin continued. Clopidogrel pharmacology Platelet inhibition is irreversible; new platelets must be generated. Half-life ≈ 8 hours, but clinically relevant effect lasts 7 days. Standard pre-op guidance = cease 5–7 days before high-risk surgery.
534
Painless visual loss, with preserved pupilliary reflex A) AION B) PION C) Vertebrobasilar (?stroke) D) Corneal abrasion E) Cerebral infarct
Ans E) Cerebral infarct. AION → optic disc swelling, RAPD, loss of pupillary reflex. PION → retrobulbar optic nerve infarct, also RAPD, no pupillary reflex preservation. Vertebrobasilar stroke → may cause visual symptoms, but usually not isolated painless monocular visual loss with preserved reflex. Corneal abrasion → painful, tearing, photophobia, not painless. Won't be preserved reflex in AION or PION
535
Woman complaining of persistent shortness of breath 3 days post prolonged knee operation. v/q scan showing patchy, non segmental areas of equal non ventilation and perfusion. Cause A) PE B) Pulm infarct C) COPD D) Atelectasis
ANS: D) Atelectasis PE: classically shows mismatched, segmental perfusion defects → ↓perfusion but preserved ventilation. Pulmonary infarct: essentially a complication of PE → also produces wedge-shaped, mismatched perfusion defect. COPD: can produce matched defects, but tends to be diffuse/chronic and usually described as “heterogeneous ventilation with matched perfusion defects,” not an acute peri-op finding. Atelectasis: collapse of alveoli → both ventilation and perfusion ↓ in the same regions due to hypoxic pulmonary vasoconstriction → gives matched defects (equal ↓ ventilation and ↓ perfusion).
536
What is the half life of a 100u/kg heparin dose? A) 30mins B) 1 hour C) 2 hours D) 3 hours E) 4 hours
Ans: B) 1 hour Cleared by both rapid, saturable reticuloendothelial system uptake and slower renal clearance. Hence: Low doses (25 U/kg) → half-life ≈ 30 min. Moderate doses (100 U/kg) → half-life ≈ 60 min (1 hour). Higher doses (400 U/kg) → half-life ≈ 150 min (2.5 hours). Reference: BJA Education 2016;16(7):242–248; Goodman & Gilman’s Pharmacology.
537
What does not innervate the knee? - Posterior cutaneous nerve of the thigh - Obturator nerve - Peroneal nerve - Tibial nerve Other options from other remembered document: - Common peroneal - Tibial - Saphenous - Obturator Posterior cutaneous nerve of the thigh
Ans: A) posterior cutaenous nerve of the thigh The knee has a rich articular nerve supply, following Hilton’s law (joints are innervated by branches of the nerves that supply the muscles moving them). Femoral nerve → via branches from vastus medialis, lateralis, intermedius, rectus femoris. Obturator nerve → posterior division contributes to posterior capsule. Sciatic nerve branches: Tibial nerve → posterior capsule and cruciates. Common peroneal (fibular) nerve → lateral capsule and anterolateral joint. Posterior cutaneous nerve of the thigh → purely sensory to skin of posterior thigh; does not supply the knee joint. Obturator nerve → yes, contributes posterior articular branches. Peroneal nerve → yes, supplies lateral knee capsule. Tibial nerve → yes, supplies posterior and intra-articular structures.
538
What DOESN’T the sciatic nerve do? A) Foot plantar flexion B) Toe extension C) Knee flexion D) Knee extension
Ans D) knee extension Origin: L4–S3. Splits into: Tibial nerve → posterior leg compartment (plantarflexion, toe flexion, inversion, intrinsic foot muscles). Common peroneal (fibular) nerve → anterior/lateral leg (dorsiflexion, toe extension, eversion). Also gives motor branches in thigh: Hamstrings → knee flexion.
539
What nerve is not potentially damaged by insertion of supraglottic airway? A) Facial B) Trigeminal C) Glossopharyngeal D) Vagus E) Lingual
Ans A) Facial nerve Branches of the trigeminal, glossopharyngeal, vagus and the hypoglossal nerve may all be injured. Order of most common: - lingual - RLN - hypoglossal - glossopharyngeal - inferior alveolar - infraorbital Lingual nerve (branch of V3, trigeminal) Most common → paraesthesia of anterior 2/3 tongue, taste disturbance. Glossopharyngeal nerve (CN IX) Can be compressed by cuff in oropharynx → loss of sensation posterior tongue, dysphagia. Vagus nerve (CN X) Branches affected: Recurrent laryngeal nerve → hoarseness, vocal cord palsy. Superior laryngeal nerve → impaired pitch control. Hypoglossal nerve (CN XII) Sometimes reported → tongue weakness.
540
Somatic innervation in the second stage of labour includes the following nerves EXCEPT A) Genitofemoral nerve B) Posterior cutaneous nerve of the thigh C) Inferior gluteal nerve D) Pudendal nerve
Ans C) inferior gluteal nerve - → motor to gluteus maximus. No perineal or genital sensory contribution. First stage: Pain from uterine contractions and cervical dilatation. Visceral afferents travel with sympathetic nerves → T10–L1 (hypogastric plexus). Second stage: Pain from distension of vagina, pelvic floor, perineum. Somatic innervation via pudendal nerve (S2–4) and contributions from perineal branches of posterior femoral cutaneous and ilioinguinal/genitofemoral nerves. Nerves involved in second stage (somatic) Pudendal nerve (S2–S4) → perineum, pelvic floor, vulva. Posterior cutaneous nerve of thigh (S2–S3) → perineal branches contribute to posterior perineum. Genitofemoral nerve (L1–L2) → genital branch supplies mons pubis and anterior labia.
541
Dental extraction 3rd molar, now numbness over lower chin, which nerve has been damaged? A) Inferior alveolar B) Mental C) Infraorbital
Ans: A) inferior alveolar nerve The inferior alveolar nerve is a branch of V3, located close to 3rd molar nerve). The mental nerve is terminal branch but would not be injured directly. Depends on wording of question. The nerve that supplies region affected is mental. but most likely to be damaged in inferior alveolar. If lower incisors -> mental nerve
542
Cryoprecipitate does NOT contain A) Factor IX B) Factor XIII C) Fibronectin D) Von Willebrand Factor
Ans A) Factor IX Contents of Cryoprecipitate Fibrinogen (high concentration) Factor VIII Factor XIII Von Willebrand Factor (vWF) Fibronectin
543
Tibial fracture, Posterior tibial nerve injury, which compartment - Superficial posterior - Deep posterior - Anterior Other remembered: what compartment? Pain, toe flexion, plantar sensory loss. - Deep posterior - Superficial posterior - Anteral - Lateral Medial
Ans: Deep posterior Anterior: deep peroneal nerve, anterior tibial artery, tibialis anterior, EHL, EDL. Lateral: superficial peroneal nerve, fibularis longus & brevis. Superficial posterior: gastrocnemius, soleus, plantaris; innervated by branches of tibial nerve, but the nerve itself runs deeper. Deep posterior: tibial nerve proper, tibialis posterior, FDL, FHL.
544
Hyalase increases the following: A) Speed of muscle akinesis B) Chemosis C) Rate of allergic reactions
Ans A) Speed of muscle akinesis Mechanism Hyaluronidase hydrolyses hyaluronic acid in connective tissue → increases tissue permeability and spread of local anaesthetic. Clinical effects Faster onset of akinesia and anaesthesia (because the LA spreads more readily). Reduced chemosis & orbital pressure (better LA distribution, less fluid pooling). Possible increased risk of allergic reaction, particularly if bovine-derived hyaluronidase is used.
545
Use of methylene blue rather than patent blue A) Reduced rate of anaphylaxis B) More expensive C) Easier to see sentinel nodes D) Reduced O2 saturations
Ans A) reduced rate of anaphylaxis Fourth most common cause of anaphylaxis in NAP6 The use of methylene blue in the UK has largely been superseded by Patent Blue because of concerns about the adequacy of lymphatic uptake and fat necrosis at the injection site. - Methylene blue is less expensive - Methylene blue has a lower rate of anaphylaxis Easier to see sentinel nodes with patent blue Patent blue V Widely used for sentinel lymph node biopsy. Significant risk of anaphylaxis (up to 2%). Can also cause skin tattooing. Methylene blue Much lower rate of anaphylaxis compared with patent blue. Readily available, cheap. Does not reduce SpO₂ Some reports suggest less vivid staining of sentinel nodes compared with patent blue, but still acceptable.
546
Best method to reduce post ERCP pancreatitis? A. Rectal indomethacin B. Gentamicin C. Creon post op D. Preop smoking cessation
Ans A) rectal NSAID (indomethacin or diclofenac) Strongest proven intervention Rectal NSAIDs (indomethacin or diclofenac, 100 mg) Given immediately before or after ERCP. Substantial reduction in incidence and severity of PEP. Now standard of care in high-risk and even average-risk patients. Other adjuncts (secondary measures) Prophylactic pancreatic duct stent: Effective in high-risk cases (difficult cannulation, sphincter of Oddi dysfunction). More technically demanding, not universal. Aggressive periprocedural IV hydration with Ringer’s lactate: Some evidence of reduced PEP. Avoiding high-risk techniques (e.g. pancreatic duct injection, excessive cannulation attempts). Not effective / not recommended Routine use of nitroglycerin, somatostatin analogues, or corticosteroids. Antibiotics do not reduce PEP risk.
547
Epipen dose compared to normal 1:1000 IM adrenaline dose in adult anaphylaxis? A. Higher dose B. Same dose lower volume C. Same dose and normal volume D. Same dose higher volume E. Lower dose same concentration
Ans: E) lower dose same concn IM adrenaline 0.5mg IM (1:1000) in 0.5ml Epipen 300mcg in 0.3mL (1:1000, 1mg/ml) Anapen 500mcg in 0.3mL
548
How to clean laryngoscope handle? A. Soap and water B. sterilisation C. Disinfection D. clean and sterilise E. clean and disinfect
PG28 Infection control - Handle clean with soap and water (non-critical) Critical - penetrates mucosa (blade) Semi-critical - contact with intact mucous membranes Laryngoscope blade → contacts mucous membranes → classified as a semi-critical device → must be cleaned AND sterilised (or high-level disinfected). Laryngoscope handle → usually only contacts the provider’s hands (not mucous membranes). Classified as a non-critical device → requires cleaning and low/intermediate-level disinfection.
549
What additive prolongs block best? A. Clonidine B. Dexamethasone C. Bicarbonate D. Adrenaline
ANS: B. Dexamethasone Clonidine (α2-agonist): Prolongs sensory and motor block. Side effects: hypotension, sedation, bradycardia. Less effective than dexamethasone. Dexamethasone (corticosteroid): Strongest and most consistent evidence for prolonging peripheral nerve blocks. Extends block duration by several hours (especially perineural use; IV also effective but slightly less so). Mechanism: unclear; thought to reduce local perineural inflammation, alter nociceptive fibre activity. Bicarbonate: Alkalinises solution, speeds onset (not duration). Adrenaline: Vasoconstriction → reduces systemic absorption → modest prolongation. Effect less than dexamethasone. Also provides intravascular marker for test dose.
550
What is not acceptable for ARDS? /What is not a suggested management of ARDS? A. Recruitment manoeuvres B. Proning C. High PEEP D. Neuromuscular blockade E. Negative fluid balance
ANS: A. recruitment manoeuvres Proning * Strong evidence (PROSEVA trial, NEJM 2013). * Mortality benefit when used early and for ≥16 h/day. ✅ Acceptable. High PEEP strategies Used to improve oxygenation, especially in moderate–severe ARDS. Supported by ARDSNet protocols. ✅ Acceptable. Neuromuscular blockade Short course (≤48 h, cisatracurium) in severe ARDS can improve oxygenation and ventilator synchrony. ACURASYS trial suggested mortality benefit; ROSE trial less convincing, but still acceptable practice. ✅ Acceptable. Negative fluid balance Conservative fluid management after initial resuscitation improves oxygenation and ventilator-free days (FACTT trial). Not harmful, widely recommended. ✅ Acceptable. Recruitment manoeuvres Once promoted, but recent large RCT (ART trial, NEJM 2017) showed ↑ mortality and barotrauma with aggressive recruitment manoeuvres. Now not recommended as routine therapy in ARDS. ❌ Not acceptable.
551
The recommended skin preparation for a neuraxial: A. 0.5% chlorhex/ 70% alcohol. B. 2% cholhex/ alcohol c. 70% alcohol D. Iodine E. Chlorhexidine gluconate
ANS: 0.5% chlorhex/ 70% alcohol. A. 0.5% chlorhex / 70% alcohol — accepted option B. 2% chlorhex / alcohol — higher concentration; some concern about neurotoxicity with 2% for neuraxial use. C. 70% alcohol — less effective than chlorhexidine + alcohol combination. D. Iodine — OK alternative if chlorhexidine is contraindicated, but not the preferred in many guidelines. E. Chlorhexidine gluconate (without specifying concentration or alcohol) — incomplete; concentration/alcohol component matters.
552
Expected blood volume in pregnant lady A. 60 ml/kg B. 70 ml/kg C. 80 ml/kg D. 90 ml/kg E. 100 ml/kg
ANS: 100ml/kg Total blood volume increase: about 30–50% above baseline. Plasma volume: increases by ~40–50%. Red cell mass: increases by ~20–30% (greater if iron supplementation is adequate). Leads to physiological anaemia of pregnancy (haemodilution).
553
What is the 4th pacemaker letter meaning A. chamber sensed B. Chamber paced C. Rate modulation D. Multi chamber pacing
ANS: Rate modulation Breakdown of the positions: 1st letter – Chamber paced (A = atrium, V = ventricle, D = dual). 2nd letter – Chamber sensed. 3rd letter – Response to sensing (I = inhibited, T = triggered, D = dual). 4th letter – Rate modulation (R = rate responsive). 5th letter – Multisite pacing (e.g. CRT devices).
554
Time for reversal of therapeutic dabigatran after administration of Idarucizumab 5 g is A. 5mins B. 15mins C. 30mins
ANS: 5 mins (maximum) Dose: 5 g IV (given as two 2.5 g boluses no more than 15 min apart). Onset: Immediate, with complete reversal of anticoagulant effect within minutes. Clinical studies (RE-VERSE AD trial) showed normalisation of dilute thrombin time and ecarin clotting time within 5–15 minutes in almost all patient
555
The accompanying image is obtained while doing an ultrasound guided erector spinae plane block at the level of the transverse process of the fourth thoracic vertebra. The muscle marked by the arrow is the - Trapezius - Rhomboid - Deltoid Erector spinae
Rhomboid "TRE"- trap, rhomboid, erector spinae
556
Max dose topicalisation airway in mg/kg A. 7 B. 9 C. 11
Ans: 9mg/kg Intravenous / infiltration / nerve block: Without adrenaline: 3–5 mg/kg With adrenaline: 7 mg/kg Topical application (airway, mucosa): Absorption is less predictable, but the accepted ceiling is 9 mg/kg (some texts quote up to 8–9 mg/kg as safe). Beyond this, risk of systemic toxicity (seizures, arrhythmias) rises.
557
BD morphine, bowel obstruction, showing signs of withdrawal. What is this? A. opioid dependence B. Physical dependence C. Tolerance D. Opioid use disorder
Ans: Physical dependence Opioid dependence (older term, often misused): Historically used broadly, but in modern usage should be avoided unless you mean opioid use disorder. Physical dependence: A physiological state where abrupt cessation or an antagonist → withdrawal syndrome. This can occur in anyone on chronic opioids, even if used appropriately (e.g. for cancer pain). Tolerance: Diminished effect over time → need higher doses for same analgesia. Not the same as withdrawal. Opioid use disorder (DSM-5): A pathological pattern of opioid use leading to clinically significant impairment/distress (craving, compulsive use, loss of control, continued use despite harm). Not the same as simple physical dependence.
558
NAP 5 - cardiac anaesthesia awareness A.1/8000 B. 1/700 C. 1:19,000 D. 1:1600
1/8000 (answer) GA LSCS = 1/670 Overall GA = 1/19,000 GA no muscle relaxant = 1/130,000
559
NAP7 - most common cause perioperative arrest A. Major haemorrhage B. Anaphylaxis C. Airway issues
Ans: major haemorrhage (17%) bradyarrhythmia 9% cardiac ischaemia 7%
560
DDAVP not used for: A. nocturnal enuresis B. Haemophillia B C. Von Wil disease 2A D. Uraemic bleeding E. Central diabetes insipidus
Ans: Haemophilia B How DDAVP works Synthetic analogue of vasopressin (V₂-selective). Increases release of von Willebrand factor (vWF) and factor VIII from endothelial stores. Also increases water reabsorption in renal collecting ducts. Clinical uses Central diabetes insipidus → ↓ urine output via V₂ action.Nocturnal enuresis → ↓ nocturnal urine production. Mild haemophilia A (factor VIII deficiency) → raises factor VIII. vWD type 1 and some type 2 (esp. 2A) → raises vWF. Uraemic bleeding → improves platelet function. Not useful in Haemophilia B (factor IX deficiency) → DDAVP does not increase factor IX levels.
561
Noradrenaline has tissued into skin from peripheral cannula, most appropriate first step is: A. remove cannula B. Flush with saline C. Heparin? D. Hyalase? E. Cold compress F. Subcut phentolamine
Ans: subcut phentolamine - Stop infusion - Do not remove IV line - Elevate limb if possible, do not apply pressure - Do not flush the line - Attempt aspiration of remaining drug from IV line with small syringe - Do not use ice/cold compress (causes further vasoconstriction) See below reference, phentolamine and hyaluronidase mentioned. We are going with phentolamine as answer.
562
What is not associated with POTS (postural orthostatic tachycardia syndrome)? A. COVID-19 B. Hypermobility disorder C. Normal resting LV function D. ECG changes
Ans: ECG changes Definition: Sustained HR increase ≥30 bpm (≥40 bpm if <20 y/o) within 10 min of standing, without orthostatic hypotension. Typical patient: Young women, often with overlapping syndromes. Pathophysiology: Dysautonomia, hypovolaemia, hyperadrenergic states, small fibre neuropathy. Associations COVID-19 → clear association, especially post-acute COVID (“long COVID”) triggering dysautonomia. Hypermobility disorders (Ehlers–Danlos, joint hypermobility syndrome) → strongly associated, due to abnormal connective tissue and vascular compliance. Normal resting LV function → yes, cardiac structure is normal; POTS is not due to cardiomyopathy or systolic dysfunction.
563
Pregnancy highest risk A. bicuspid valve with dilated aortic root B. HOCM with hypertrophied septum C. Severe MR D. PDA
Ans: Biscuspid valve with dilated aortic root Bicuspid valve with dilated aortic root Major concern = risk of aortic dissection/rupture, especially if aortic root >4.5–5.0 cm. Pregnancy increases blood volume and cardiac output, and hormonal changes weaken aortic wall connective tissue → highest risk scenario. Classified as WHO risk class IV if significantly dilated — pregnancy contraindicated. HOCM (hypertrophic obstructive cardiomyopathy) Risk of arrhythmias, obstruction, maternal cardiac events. Usually WHO class II–III; can often tolerate pregnancy with close monitoring. Severe MR (mitral regurgitation) Chronic MR often well tolerated in pregnancy because reduced SVR decreases regurgitant fraction. WHO class II generally. Patent ductus arteriosus (PDA) If small and uncomplicated, usually well tolerated. Risk increases only if pulmonary hypertension develops.
564
Aortic dissection, which is NOT a bad sign A. RWMA B. Right dilated ventricle C. Dilated aortic root D. AR
Ans: Right dilated ventricle A) Regional wall motion abnormality (RWMA) Bad sign → means coronary malperfusion, most often RCA, leading to infarction. Strongly linked with mortality. B) Right ventricular dilatation This is not a classic feature of aortic dissection. RV dilatation suggests pulmonary embolism or pulmonary hypertension, but is not a recognised poor prognostic marker for dissection. C) Dilated aortic root Important risk factor for developing dissection (esp. bicuspid valve, Marfan, connective tissue disease). Once dissection has happened, a dilated root predisposes to aortic regurgitation and rupture — so it is a bad prognostic sign. D) Aortic regurgitation (AR) Definitely a bad sign → causes acute LV failure, pulmonary oedema, cardiogenic shock. NB: pericardial effusion most high risk - present of pericardial effusion in an ascending aorta dissectioon is an indicator of poor prognosis and suggests supture of the false lumen in the pericardium.
565
PFT in dude, detect nitric oxide >70ppm number ppm. Meaning A. Smoker B. COPD C. Exacerbation of asthma
Ans: exacerbation of asthma Fractional exhaled nitric oxide - helps to diagnose asthma Measures amount of nitric oxide exhaled from a breath Produced by cells involved in inflammatory process * Marker of airway eosinophilic inflammation. * High levels = eosinophilic asthma / Th2-driven inflammation. Adults: <25 ppb → low 25–50 ppb → intermediate 50 ppb → high (eosinophilic inflammation very likely) Children: <20 ppb low; >35 ppb high Smoking inhibits NO -> decrease FeNO COPD increase FeNO but not as much as asthma
566
118. Compared to a continuous infusion, PCEA does NOT reduce A. Incidence instrumental delivery B. Incidence of C-section rates C. Clinical workload D. Motor weakness
Ans: Incidence of C-section rates Epidural does NOT affect c/s rate (with either type of epidural, compared to those without) ANZCA blue book 2021 pg 195 PCEA vs continuous epidural infusion: - Decreased motor blockade - decreased total LA consumption - decreased workload - similar obstetric outcomes and analgesia Assoc/ decrease in instrumental deliveries in nulliparous females with intermittent bolus with no difference in C-section rate Lower concentration LA decreased rate of instrumental delivery (w/ less motor blockade & improved fetal outcomes) with similar levels of analgesia Blue book article Harriet Wood
567
119. A 70-year-old man undergoes a stress echocardiogram as part of his preoperative preparation before a total hip replacement. If he has clinically significant coronary artery disease, the earliest indicator during his test is most likely to be A. ECG changes B. RWMA C. diastolic dysfunction D. Angina E. Hypotension
Ans: C. diastolic dysfunction - unless C isnt an option, then B Metabolic alterations -> inducible changes of perfusion -> diastolic dysfunction -> RWMA-> ischaemic ECG changes -> angina Diastolic dysfunction (impaired relaxation) → earliest change. Regional wall motion abnormalities (RWMA) → detected by echo, precede ECG or symptoms. ECG changes (ST depression/elevation, T-wave changes). Angina (pain) → subjective, comes later. Hypotension, haemodynamic instability → very late, ominous sign.
568
Return to practice A. 2 weeks for every year of absence B. 4 weeks for every year of absence C. 6 weeks for every year of absence D. 8 weeks for every year of absence
Ans: B - 4 weeks for every year of absence "the total duration of a formal return to practice program will be determined by the learning needs analysis. The starting point for calculating the total duration is one month per year of absence from anaesthesia practice."
569
CPET Borg’s scale, what is it for? A. VO2 max B. oxygen consumption C. Lactate threshold D. Subjective effort E. CO2 production
Ans: D - Rating of perceived exertion 12 on Borg scale corresponds to 60% 'Very hard' = 16 = 80% VO2 max Scale is from 6-20 Borg’s Scale A subjective rating of perceived exertion (RPE). Scale typically runs 6–20, designed so that multiplying by 10 ≈ heart rate at that effort (e.g. 13 → HR ~130). Patient points to the number that corresponds to how hard they feel they are working. Used to correlate symptoms with physiological measurements (VO₂, VCO₂, workload). Option analysis A. VO₂ max → objectively measured via gas exchange, not by Borg. B. Oxygen consumption → measured directly with spirometry during CPET, not Borg. C. Lactate threshold → inferred from ventilatory equivalents / gas analysis, not Borg. D. Subjective effort → ✅ exactly what Borg scale measures. E. CO₂ production → measured objectively during CPET.
570
ANZCOR recommendations on minimum time from cardiac arrest to post arrest prognostication? A. 12 hr B. 24 hours C. 48hr D. 72 hrs E. 96hrs
C. 72 hours CT within 48 hours also mentioned by anzcor
571
Spinal, 3ml, patient supine and horizontal, hyperbaric qualities vs normal bupivacaine A. Lesser block height, shorted duration of action B. Lesser block height, longer DOA C. Greater block height, shorter DOA D. Greater block height, longer DOA E. No difference in block height, longer DOA
Ans: C - Greater block height, shorter duration Baricity recap Isobaric solution = same density as CSF. Spread depends mainly on dose/volume and patient characteristics, not position. Hyperbaric solution = heavier than CSF (e.g. bupivacaine + dextrose). Spread depends on gravity + patient position. In this scenario 3 ml hyperbaric bupivacaine given with patient supine, horizontal (flat). Compared to plain/isobaric bupivacaine: Spread: Hyperbaric solution will sink in CSF; in supine, it gravitates to dependent thoracic kyphosis → produces a higher block height. Duration: Addition of dextrose doesn’t shorten LA pharmacokinetics. If anything, block duration is similar or slightly shorter than isobaric (but not longer).
572
Epilepsy surgery, some sort brain monitoring and which drugs affect it the least A. Remifentanil B. Ketamine C. Sevoflurane
Ans: A - Remifentanil BZDs should not be given - suppress EEG. Ketamine - non-specific activation Sevo- non-specific dose-dependent activation Opioids, metohexital increase IEAs (stimulate seizure), alfentanil often used to stimulate IEA https://www.bjaed.org/article/S2058-5349(19)30123-4/fulltext
573
Giving indocyanine green a) Increases NIRS, Decreased peripheral saturations b) decrease NIRS, decrease peripheral c) no change NIRS, decrease peripheral d) increases NIRS AND periph e) decrease NIRS, increases peripheral
Ans: Increases NIRS but decreased peripheral sats ICG = a dye used for cardiac output, hepatic function, retinal angiography. Peak absorption: ~805 nm. NIRS (cerebral oximetry) and pulse oximetry (SpO₂) both use light in the near-infrared range (~660 and 940 nm). Because of spectral overlap, ICG transiently affects readings: NIRS: falsely ↑ readings (due to strong absorption, misinterpreted as higher HbO₂). Pulse oximetry (SpO₂): falsely ↓ readings (SpO₂ under-reads after ICG injection).
574
Accuracy of pulse ox, which does NOT affect A. Anaemia B. AF C. Carboxyhaemoglobin D. Poor peripheral perfusion
Ans: Anaemia MetHb - brings sats towards 85% CarboxyHb - falsely high reading Carboxyhaemoglobin → absorbs at 660 nm, read as oxyhaemoglobin → SpO₂ falsely high. Anaemia → the absolute Hb doesn’t affect the ratio measurement, but severe anaemia (low signal, poor perfusion) can reduce accuracy in practice. Still, classic teaching: anaemia alone does not affect SpO₂ accuracy if perfusion is adequate. Atrial fibrillation (AF) → irregular pulse can reduce plethysmograph quality, but oximeter still works (averaging may fluctuate, but not systematically inaccurate). Poor peripheral perfusion (shock, hypothermia, vasoconstriction) → poor signal, unreliable reading
575
Best post-op analgesia after wisdom tooth removal A. Ibuprofen B. Celexocib C. Tramadol D. Paracetamol
Ans: Ibuprofen 400mg better than celecoxib 200mg, but celecoxib 400mg and ibuprofen 200mg is equivalent but celecoxib has a longer time to rescue. However APMSE scientific evidence says similar efficacy between non-selective NSAIDs and celexocib NSAIDs (ibuprofen, diclofenac) are the most effective single agents — they target prostaglandin-mediated inflammatory pain from surgical trauma in bone and gingiva. Paracetamol is helpful but weaker on its own; best in combination with NSAIDs. Tramadol (weak opioid + monoaminergic) is less effective than NSAIDs for this type of pain, with more side effects (nausea, sedation). Celecoxib (selective COX-2 inhibitor) can be effective, but not superior to non-selective NSAIDs like ibuprofen in this context, and is not first-line.
576
What is NOT a feature of thyroid storm? A. Jaundice B. Bronchospasm C. Seizures
Ans: Bronchospasm Clinical features of thyroid storm Cardiovascular: tachycardia, AF, high-output heart failure, shock. CNS: agitation, delirium, psychosis, seizures, coma. GI/hepatic: nausea, vomiting, diarrhoea, abdominal pain, jaundice (can occur due to hepatic dysfunction and congestive hepatopathy). Other: hyperthermia, sweating, goitre, ophthalmopathy.
577
Expected physiological change in hyperthyroidism: A. Decreased diastolic relaxation B. reduced SVR C. Decreased PVR D. Increased diastolic BP
Ans: Reduced SVR Key haemodynamic changes in hyperthyroidism Cardiac output: ↑ (due to ↑ heart rate, ↑ contractility, ↑ blood volume). Systemic vascular resistance (SVR): ↓ (thyroid hormones → peripheral vasodilation). Pulse pressure: widened (↑ systolic BP, ↓ diastolic BP). Diastolic relaxation: actually enhanced, not decreased — thyroid hormone accelerates myocardial relaxation (↑ SERCA activity, faster Ca²⁺ reuptake). Pulmonary vascular resistance (PVR): generally unchanged. Diastolic BP: tends to fall (so it does not increase).
578
Somatic pain in the second stage of labour is NOT transmitted via the A Pudendal B Ilioinguinal C Genitofemoral (L1/2) D Inferior gluteal E Posterior cutaneous nerve of thigh
Ans: Inferior gluteal (L5-S2) First stage → visceral pain from uterine contractions and cervical dilatation. Transmitted via sympathetic afferents (T10–L1). Second stage → somatic pain from stretching of vagina, pelvic floor, perineum. Transmitted via: Pudendal nerve (S2–S4) – main supply to perineum. Posterior cutaneous nerve of thigh (S2–S3) – perineal branches to posterior perineum. Ilioinguinal nerve (L1) – anterior perineum/labia. Genitofemoral nerve (L1–L2) – mons pubis, labia majora.
579
Which drug NOT to give with cocaine toxicity? A. phentolamine B. Metoprolol C. GTN D. Propofol bolus
Ans: Metoprolol Giving B blockade may lead to reduced myocardial contractility and HR in the setting of unopposed alpha effects (peripheral vasoconstriction etc.) --> failure
580
SGLT-2i use for diabetes, what do they NOT cause? A. Glycosuria B. Reduced eGFR C. Euglycaemic ketosis D.Hypoglycaemia
Ans: D - Hypoglycaemia * Can cause hypoglycaemia if used in combination with insulin or sulfonylurea * As monotherapy do not cause hypoglycaemia However they definitely DON'T reduce eGFR as they are used to prevent progression of chronic kidney disease? RACGP - Sodium glucose cotransporter 2 inhibitors for chronic kidney disease A. Glycosuria → Yes, mechanism of action. B. Reduced eGFR → True. They cause an initial small dip in eGFR (afferent arteriole vasoconstriction) but long-term renoprotection. C. Euglycaemic ketoacidosis → Recognised adverse effect (rare but important). D. Hypoglycaemia → Not a direct effect, because they don’t stimulate insulin. Hypoglycaemia risk is low unless combined with insulin or sulfonylurea
581
Buprenorphine patch stopped, when will plasma levels drop by 50% A. 12 hours B. 24 hours C. 48 hours D.72 hours
Ans: A - 12hrs Norspan product info “After removal of a NORSPAN patch buprenorphine concentrations initially decline at a rate of approximately 50% in 12 hours. Thereafter, mean elimination half-lives have been reported to be between 30 and 45 hours.”
582
Autonomic dysreflexia is more likely seen in spinal lesions at the level of: A. T5 incomplete injury B. T5 complete injury C. T10 incomplete injury D. T10 complete injury
T5 complete injury
583
5 kPa is approximately equivalent to A. 37 mmHg B. 45 mmHg
Ans: A - 37 mmHg Conversion factor 1 kPa = 7.50062 mmHg
584
Baby swallows battery, what to give: A. mild B. bicarb C. sucralfate D. chewing gum E. activated charcoal
Ans: Sucralfate (or honey) Key pathophysiology Button battery lodged in the oesophagus can cause alkaline burns and liquefaction necrosis within 2 hours. The mechanism: hydrolysis at the negative pole → generation of hydroxide ions → caustic injury. Immediate management = urgent endoscopic removal if in oesophagus. While waiting, some adjuncts can neutralise the alkali and reduce tissue damage. Evidence-based adjuncts Honey (in children >12 months) or sucralfate suspension: Both can coat the mucosa and neutralise hydroxide ions. Shown to reduce depth of oesophageal injury in animal studies and human case series. Recommended by NASPGHAN/ESPGHAN guidelines (2019). Activated charcoal: not useful (does not neutralise alkali, interferes with endoscopy). Bicarbonate: wrong direction (would worsen alkali). Chewing gum: no role. Milk: previously used historically, but not effective/recommended.
585
Risk of AFE is highest in: A. Caesarean B. Induction of labour C. Labour augmented by oxytocin infusion
Ans B - Induction of labour. Age>35, multiple pregnancy, induction of labour all associated UKOSS study (Knight et al., BJOG 2010;117:1417–25) — the largest population-based study of AFE risk factors: Induction of labour: OR ~2.9 (significant risk factor). Caesarean section: OR ~3.86 (even stronger risk factor). Instrumental delivery: also increased risk. Advanced maternal age, multiple pregnancy, placenta praevia/abruption: also associated. Other registries (US, Australia, Japan): Consistently show both induction and operative delivery increase risk. But operative delivery (esp. caesarean) usually carries the highest odds ratio. https://www.npeu.ox.ac.uk/research/projects/97-ukoss-afe
586
You have induced a patient (I forget this part) and ten minutes later- reduced air entry left side, sats 85%, hypotensive. Lung USS on the left side shows no sliding and a lung point sign. A. Left needle decompression 2nd IC space B. Left chest drain insertion C. Left finger thoracostomy D. Pull the ETT back 2cm E. Get a CXR
Ans: C- left finger thoracostomy A. Left needle decompression 2nd ICS → acceptable immediate management. B. Left chest drain insertion → definitive, but too slow in peri-arrest unstable situation (you need immediate decompression first). C. Left finger thoracostomy → best in an intubated/anaesthetised patient; faster and more reliable than needle. D. Pull the ETT back 2 cm → not appropriate; USS showed lung point = pneumothorax, not endobronchial intubation. E. Get a CXR → inappropriate; unstable patient, don’t delay.
587
Compared with open mechanical aortic valve repair, TAVI has: A. Reduced mean gradient B. Reduced vascular injury C. Reduced arrhythmia D. Reduced paravalvular leaks Alternative options: - Paravalvular leak - Reintervention rates - Vascular complications - Heart block - Transvalvular gradient
Ans: reduced mean gradient TAVI disadvantages (higher risk than SAVR): Paravalvular leak → more common in TAVI. Reintervention rates → higher long-term in TAVI (valve durability less than mechanical or surgical bioprosthesis). Vascular complications → more common in TAVI (large-bore femoral access). Heart block / pacemaker requirement → more common in TAVI (valve compresses conduction tissue). TAVI advantages (lower risk than SAVR): New-onset atrial fibrillation → lower in TAVI. Bleeding and transfusion requirement → lower in TAVI. Transvalvular gradient → lower or similar with TAVI, because self-expanding prostheses often achieve larger effective orifice area. Consider choosing reduced arrhytmias/AF if reduced mean gradient is not an option https://www.ahajournals.org/doi/10.1161/CIRCINTERVENTIONS.115.003326?doi=10.1161/CIRCINTERVENTIONS.115.003326
588
The number of segments in the left lower lobe of the lung is: A. 3 B. 4 C. 2
Ans: 4 Bronchopulmonary segments of the lungs Right lung (10 segments total): Upper lobe: apical, posterior, anterior (3) Middle lobe: lateral, medial (2) Lower lobe: superior, medial basal, anterior basal, lateral basal, posterior basal (5) Left lung (8–10 segments, depending on source): Upper lobe: apicoposterior, anterior, superior lingular, inferior lingular (4) Lower lobe: superior, anteromedial basal, lateral basal, posterior basal (4) (In some texts the anteromedial basal is split into anterior + medial basal = 5, but usually counted as 4.)
589
Current ANZCA recommendations for a child 7 months old fasting prior to surgery are: A Clear fluids one hour, breast milk 3 hours B Clear fluids two hours, breast milk 3 hours C Clear fluids one hour, breast milk 4 hours D. clear fluids two hours, breast milk 4 hours
Ans: Clear fluids 1 hour, breast milk 3 hours From ANZCA’s Pre-anaesthesia consultation BP 2024 guidance: For infants < 6 months, breast milk is permitted up to 3 hours pre-anaesthesia. Clear fluids allowed until 1 hour prior to anaesthesia in paediatric patients (in many centres). These are minimum fasting times — practice acknowledges risk balancing, reducing unnecessary prolonged fasting. So summarised for a child ~7 months old (which is >6 months): Clear fluids: up to 1 hour pre-op Breast milk: likely same as infants, but some guidelines extend breast milk 3 hours pre-op for children under 6 months, but for those ≥6 months, breast milk rules may adjust. But in ANZCA / RCH guidelines, breast milk up to 3 hours appears consistent.
590
In relation to ECHO, TAPSE refers to: A. Right ventricular contraction B. Tricuspid valve something
Ans: A TAPSE = Tricuspid Annular Plane Systolic Excursion Measured on echo using M-mode at the lateral tricuspid annulus. It tracks the longitudinal displacement of the tricuspid annulus towards the RV apex during systole. Surrogate for RV longitudinal systolic function. Used to estimate RV ejection fraction TAPSE < 17 mm indicates RV systolic dysfunction (ASE guidelines). Quick and reproducible, but only measures longitudinal contraction, not radial/overall RV performance.
591
143. EPO given perioperatively A. decreased transfusion and increased thrombosis risk B. decreased transfusion and decreased thrombosis risk C. same transfusion, decreased thrombosis D. decreased transfusion, similar thrombosis risk
Ans: A - decreased transfusion and increased thrombosis risk Erythropoietin (EPO) perioperatively Use: given preoperatively (often with iron) to increase red cell mass in patients at risk of transfusion (e.g. cardiac, orthopaedic, Jehovah’s Witness). Effect on transfusion: multiple RCTs and meta-analyses show EPO reduces allogeneic blood transfusion requirements. Effect on thrombosis risk: Concern: EPO increases Hb and haematocrit → increased viscosity → possible ↑ thrombosis risk. Meta-analyses show small but significant increased risk of thromboembolic events in surgical patients (esp. when Hb targets are high). Example: Cochrane Review 2020, Erythropoiesis‐stimulating agents for preoperative anaemia — found decreased transfusion but increased risk of venous thrombosis.
592
Which statement is true regarding Dabigatran and clotting tests? : A) Dabigatran has no effect on PT/INR. B) Dabigatran primarily affects PT/INR, causing prolonged results. C) aPTT is the best test to monitor Dabigatran. D) Dabigatran prolongs aPTT and is best monitored with dilute thrombin time (dTT). E) Dabigatran does not require laboratory monitoring.
Ans: D - Dabigtran prolongs aPTT and is best monitored with dilute thrombin time (dTT) PT/INR: Minimal effect. Not reliable for dabigatran monitoring. So A is broadly true, but incomplete — PT/INR may be slightly prolonged, but not useful clinically. APTT: Prolonged in a dose-dependent but non-linear fashion. A normal APTT → likely minimal dabigatran present, but not quantitative. So C is incorrect — aPTT is not the best monitoring test. Thrombin Time (TT): Extremely sensitive — any dabigatran prolongs it. Normal TT excludes clinically relevant drug effect. Dilute thrombin time (dTT) = best quantitative test in practice. Specialised tests: dTT (Hemoclot), or ecarin clotting time (ECT) are the true quantitative assays. Routine monitoring: Dabigatran does not require routine lab monitoring, but tests are used in emergencies (bleeding, urgent surgery).
593
23.1 One metabolic equivalent (1 MET) is defined as the a. O2 consumption walking 4km/h b. O2 consumption when sitting c. Energy expenditure walking 4km/h d. Energy expenditure when sitting.
b) O2 consumption when sitting One metabolic equivalent (MET) is defined as the amount of oxygen consumed while sitting at rest and is equal to 3.5 ml O2 per kg body weight x min.
594
23.1 A Laser-Flex tube has a double cuff with two separate pilot balloons. The correct colours of the pilot balloons are that a. Blue proximal cuff, clear distal cuff b. Clear proximal cuff, blue distal cuff c. Blue both d. Clear both
b) Clear Proximal, Blue Distal https://www.medtronic.com/content/dam/covidien/library/us/en/product/intubation-products/shiley-laser-oral-nasal-tracheal-tube-information-sheet.pdf
595
23.1 The initial treatment of a trigeminocardiac reflex during skull base surgery should be a. Tell surgeons to stop stimulus b. Atropine c. LA to site
a) Tell the surgeons to stop stimulus https://www.ncbi.nlm.nih.gov/pmc/articles/PMC1821135/ https://jamanetwork.com/journals/jamaotolaryngology/fullarticle/1864754 Careful dissection for prevention and early intervention with stimulus removal and anticholinergic use as needed are paramount to ensure good outcomes N.B Trigeminocardiac reflex refers to the sudden development of bradycardia or even asystole with arterial hypotension from manipulation of any sensory branches of the trigeminal nerve. Although it has only rarely been associated with morbidity and tends to be self-limited with removal of the stimulus, it is an important phenomenon for head and neck surgeons to recognize and respond to
596
23.1 You have diagnosed malignant hyperthermia in a person weighing 80 kg. Australian and New Zealand guidelines recommend an initial dose of dantrolene (Dantrium) of a. 10 vials b. 20 vials c. 30 vials d. 40 vials
a) 10 Dose of Dantrolene = 2.5mg/kg Repeat every 10 minutes to a Maximum dose of 10mg/kg (Total Vials = 35) Each Vial Dantrolene = 20mg 80 x 2.5mg = 200mg Therefore 10 Vials of 20mg Dantrolene Or, TBW(kg)/8 = number of vials required for initial dose repeat Q5-10mins until signs of MH regress (ETCO2 <45/temp <38.5), Dantrium 20mg/vial to be mixed with 60mL of sterile water Ryanodex 250mg/vial to be mixed with 5mL sterile water (50mg/ml) As per MHANZ - each hospital needs at least 24 (20mg) vials of Dantrium or 2 (250mg) vials of Ryanodex - larger or remote hospitals -> at least 36 vials https://malignanthyperthermia.org.au/wp-content/uploads/2018/09/MALIGNANT-HYPERTHERMIA-RESOURCE-KIT-2018-1.pdf"
597
23.1 Rotational thromboelastometry (ROTEM) is performed on a bleeding patient with the following series of graphs produced. The most appropriate therapy to be administered is a. TXA b. Fibrinogen c. Cryo d. FFP
a) TXA Hyperfibrinolysis https://derangedphysiology.com/main/required-reading/haematology-and-oncology/Chapter%201.2.0.1/intepretation-abnormal-rotem-data
598
23.1 In order to provide anaesthesia of the scalp for awake craniotomy, it is necessary to block branches of the a. Greater and lesser occipital and greater auricular nerves b. Trigeminal, greater and lesser occipital nerves c. Trigeminal, greater occipital and greater auricular nerves d. Facial, trigeminal and greater occipital nerves e. Facial, greater and lesser occipital nerves
b) Trigeminal, greater and lesser occipital nerves 2005 blue book article: six nerves need to be blocked bilaterally - supratrochlear - supraorbital - zygomaticotemporal - auriculotemporal - lesser occipital nerve - greater occipital nerve Minor contributions from the greater auricular nerve and third occipital nerve rarely encroach into the surgical field
599
23.1 The parameter that changes most with increasing age in the otherwise normal lung is the a. Closing capacity b. Residual volume c. FRC d. Lung capacity.
a) Closing capacity see graph in Millers
600
23.1 You are called to an airway emergency in the intensive care unit. A 40-year-old woman with morbid obesity and pneumonia had an elective percutaneous tracheostomy inserted eight hours previously. She is sedated, paralysed and ventilated. After being turned for pressure care, she desaturates and there is no clear CO2 trace on capnography. The tracheostomy tube is still in the neck but you are concerned it has been displaced. Your immediate management should be to: a Reintubate from mouth b. Use a fibreoptic scope to assess the position of the tracheostomy c. Place an airway exchange catheter down the stoma d. Pass a gum elastic bougie through tracheostomy e. Needle cricothyroidotomy
a) reintubate from the mouth O2 CISCO O2 - apply 100% oxygen to both the tracheosomy site and the face C - Check the cuff is still up, remove any caps and check CO2 trace is present I - Remove the inner tube ± replace with a new one S - Attempt to pass a fine-bore suction catheter down the tracheostomy C - Take the cuff down O - Consider oral airway The key principles of the algorithm are: 1.Waveform capnography has a prominent role at an early stage in emergency management. 2.Oxygenation of the patient is prioritised. 3.Trials of ventilation via a potentially displaced tracheostomy tube to assess patency are avoided. 4.Suction is only attempted after removing a potentially blocked inner tube. 5.Oxygen is applied to both potential airways. 6.Simple methods to oxygenate and ventilate via the stoma are described. 7.A blocked or displaced tracheostomy tube is removed as soon as this is established and not as a ‘last resort’ BJA: Update on management of tracheostomy https://www.bjaed.org/article/S2058-5349(19)30125-8/fulltext https://www.tracheostomy.org.uk/storage/files/Patent%20Airway%20Algorithm.pdf
601
23.1 In patients without other comorbidities, bariatric weight loss surgery is indicated when the body mass index (kg/m2) is greater than a. 35 b. 40 c. 45 d. 50
a. 35 Major updates (2022) to 1991 National Institutes of Health guidelines for bariatric surgery Metabolic and bariatric surgery (MBS) is recommended for individuals with a body mass index (BMI) 35 kg/m2 , regardless of presence, absence, or severity of co-morbidities. MBS should be considered for individuals with metabolic disease and BMI of 30-34.9 kg/m2 BMI thresholds should be adjusted in the Asian population such that a BMI 25 kg/m2 suggests clinical obesity, and individuals with BMI 27.5 kg/m2 should be offered MBS. Long-term results of MBS consistently demonstrate safety and efficacy. Appropriately selected children and adolescents should be considered for MBS. https://www.soard.org/article/S1550-7289(22)00641-4/fulltext#:~:text=The%201991%20NIH%20Consensus%20Statement,surgery%20that%20is%20applied%20universally.
602
23.1 A patient with long-term severe anorexia nervosa is commenced on a normal diet. Three days later she develops cardiac failure and exhibits a decreased level of consciousness. The most important parameter to assay and normalise is the plasma a. Phosphate b. Potassium c. Magnesium d. Sodium e. Calcium
a) Phosphate hypophosphate: Clinical symptoms range from muscle weakness and paraesthesia to severe cardiac failure, seizures and diaphragmatic paralysis Refeeding malnourished patients with anorexia nervosa can be associated with hypophosphatemia, cardiac arrhythmia and delirium. Phosphorus repletion should be started early with and serum levels maintained above 3 mg/dL weakness and fatigue, in the context of a recent history of starting a regular diet while in a state of chronic malnutrition, are concerning for refeeding syndrome, which typically occurs 2 to 5 days after beginning nutritional repletion. Depleted phosphate stores due to prolonged starvation, hypocalcemia, and hypokalemia can lead to impaired muscle contractility and subsequently weakness, myalgia, and tetany. https://www.ncbi.nlm.nih.gov/pmc/articles/PMC4168120/
603
23.1 A 69-year-old man is dyspnoeic and complains of right shoulder tip pain whilst in the postanaesthesia care unit after a laparoscopic-assisted anterior resection. A focused thoracic ultrasound is performed and an image of the right lung is shown below. This represents
Normal Lung normal in M-mode normal - sand on the beach PTX - statosphere/barcode sign Haemothorax - pleural effusion + echogenic material = haematocrit sign Interstitial oedema - b lines pneumonia - bronchograms - looks like liver https://www.pocus101.com/lung-ultrasound-made-easy-step-by-step-guide/#Lung_Ultrasound_Signs_and_Findings "
604
23.1 A 50-year-old man presents with a subarachnoid haemorrhage. He undergoes cerebral angiography and the frontal view is shown below. His cerebral aneurysm is in the (exact image on exam) a. Anterior choroidal b. Anterior communicating artery c. MCA d. PCA
b) anterior communicating artery https://case.edu/med/neurology/NR/SubarachnoidHemorrhageAComm3.htm https://www.thieme-connect.com/products/ejournals/pdf/10.1055/s-0039-1681979.pdf https://case.edu/med/neurology/NR/NRHome.htm (scroll down to subarachnoid imaging area)
605
23.1 A patient with idiopathic pulmonary hypertension has had a right heart catheter with the following results The transpulmonary gradient is (table of numbers from RHC given, including mPAP 40 and PCWP 13) a. -4mmHg b. 23mmHg c. 27mmHg d. 40mmHg e. 50mmHg
MPAP – PCWP = Transpulmonary gradient 40-13 = 27 27mmHg TPG = mPAP – PCWP
606
23.1 Desufflation after surgical pneumoperitoneum is NOT associated with an increase in a) SVR b) CI c) EF d) preload e) LV work
a) SVR
607
23.1 A woman is having a potentially curative primary breast cancer resection. Compared with a sevoflurane and opioid technique, using a regional anaesthesia-analgesia technique with paravertebral block and a propofol infusion will result in A) decrease cancer recurrance B) decrease chronic pain and recurrence C) decrease incision pain at 6 months D) dec CPSP at 6 months E) dec CPSP at 12 months F) no impact on pain or recurrence
F) no impact conflicting evidence best paper we could find https://pubmed.ncbi.nlm.nih.gov/31645288/ published in the lancet in 2019 and seems tailored to this question. In summary, regional anaesthesia-analgesia by paravertebral blocks and propofol did not reduce breast cancer recurrence after potential curative surgery compared with general anaesthesia with the volatile anaesthetic sevoflurane and opioids for analgesia. The incidence and severity of persistent incisional breast pain was unaffected by anaesthetic technique. Chronic pain did not differ between the study groups at 6 months and 12 months could also be: e) reduced CPSP at 12 months ANZCA pain book https://www.bjaed.org/article/S2058-5349(18)30101-X/fulltext For breast cancer surgery any form of regional anaesthesia (18 RCTs, n=1,297) reduces CPSP 3 to 12 months after surgery compared with systemic analgesia (OR 0.43; 95%CI 0.28 to 0.68) (NNT 7); specifically paravertebral block (PVB) (6 RCTs, n=419) is effective (OR 0.61; 95%CI 0.39 to 0.97) (NNT 11). APMSE 2020: Page Iv: Following breast cancer surgery, paravertebral block (S) (Level I [Cochrane Review]) and lidocaine IV infusions *reduce the incidence of chronic postsurgical pain *(N) (Level I PRISMA]). Page 349: **Paravertebral block for breast cancer surgery** For mastectomy, PVB reduces the risk of CPSP at 12 mth postoperatively (OR 0.43; 95% CI 0.28 to 0.68) (18 RCTs, n=1,297) (Weinstein 2018 Level I (Cochrane), 63 RCTs, n=3,027).
608
23.1 The main advantage of using noradrenaline (norepinephrine) over phenylephrine for the prevention of hypotension as a result of spinal anaesthesia for elective caesarean section is a) Better APGAR b) Better foetal acid-base balance c) Less nausea & vomiting d) Less maternal bradycardia
d) less maternal bradycardia (repeat) "d) less maternal bradycardia (26 vs 42%) - nil pt required anticholinergic so clinical significance unclear No difference in N/V No difference in hypotension No difference in acid base profiles and APGAR at 1min and 5mins https://www.bjanaesthesia.org.uk/article/S0007-0912(20)30442-6/fulltext Norad vs phenyl in spinal LSCS 2020 BJA"
609
23.1 A feature of citrate toxicity following massive blood transfusion is a. Hypotension b. Metabolic acidosis c. Hypokalaemia
Hypotension Citrate is the anticoagulant used in blood products. It is usually rapidly metabolised by the liver. Rapid administration of large quantities of stored blood may cause hypocalcaemia and hypomagnesaemia when citrate binds calcium and magnesium. This can result in myocardial depression or coagulopathy. Patients most at risk are those with liver dysfunction or neonates with immature liver function having rapid large volume transfusion https://litfl.com/citrate-toxicity/ Hypocalcaemia resulting in long QT, reduced inotropy, hypotension systemic hypocoag Metabolic Met alk with HCO3 formation HAGMA with citrate accumulation Hypernatraemia from Na citrate Hypomag due to citrate chelation Hypokalaemia due to low mag and met alk
610
23.1 Features of hypocalcaemia include all of the following EXCEPT a. Polydipsia b. Circumoral tingling c. Long QTc d. Laryngospasm e. Hallucinations
a) polydipsia Hypocalcemia varies from a mild asymptomatic biochemical abnormality to a life-threatening disorder. Acute hypocalcemia can lead to paresthesia, tetany, and seizures (characteristic physical signs may be observed, including Chvostek sign, which is poorly sensitive and specific of hypocalcemia, and Trousseau sign). https://bestpractice.bmj.com/topics/en-us/160 polydipsia (occurs in hypercalcaemia) - stones (renal), (painful) bones, groans (abdo - N/V, constipation, GORD), psychic moans, thrones (polyuria, constipation) Signs of Low Ca CNS - mental status changes - circumoral tingling, tetany, confusion, memory loss, depression, delirium, hallucination, seizures CVS - prolong QTc, arrythmia, hypotension Airway - laryngospasm "
611
23.1 A non-obese adult patient is administered a target-controlled propofol infusion for more than 15 minutes, with a constant target plasma concentration of 4 μg/mL propofol. Compared to the Marsh model, the propofol dose given by the Schnider model will be a: a) Smaller bolus smaller total dose b) Smaller bolus larger total dose c) Larger bolus smaller total dose d) Larger bolus larger total dose e) Smaller bolus same total dose
a) Smaller bolus smaller total dose
612
23.1 You are called to assist in the resuscitation of a 75-year-old patient in the emergency department who is in extremis with severe hypotension and hypoxaemia. The image shown is of a focused transthoracic echocardiogram, parasternal short axis view. The most likely diagnosis is a) Pulmonary embolism b) Anterior MI c) Cardiac tamponade d) Pneumothorax
a) PE D-shaped left ventricle ECHO features of PE - RV dilatation * End-diastolic diameter >30 mm in parastemal view * RV larger than LV in sobcostal or apical view * Small LV cavity size with normal LV systolic function * Septal flattening consistent with RV pressure overload * RV wall hypokinesis: Moderate or severe * McConnell’s sign: Echocardiographic pattern of RV dysfunction consisting of akinesia of the mid free wall but normal motion at the apex"
613
23.1 In subarachnoid block for caesarean section, hyperbaric local anaesthetic compared to regular local anaesthetic has been shown to reduce the a. Decreased risk of total spinal b. Analgesic properties c. Faster onset of anaesthetic d. Faster offset of anaesthetic e. Less chance of inadequate anaesthetic
reduce onset time c) faster onset of anaesthetic https://pubmed.ncbi.nlm.nih.gov/28708665/ agrees with faster onset but for non obstetric surgery UTD hyperbaric bupivacaine because of its rapid onset and the option to modify the spinal level by changing the position of the operating table. Plain bupivacaine (ie, slightly hypobaric, prepared in saline) may also be used for spinal anesthesia for CD. The literature comparing safety and efficacy of hyperbaric with isobaric bupivacaine for CD is inconclusive No difference in AE or inadequate analgesia (i.e. conversion to GA or additional analgesia) https://www.ncbi.nlm.nih.gov/pmc/articles/PMC6457713/ 2016 Cochrane review"
614
23.1 Pulse pressure variation is defined as a. 100x SBP max - SBP min / SBP min b. 100 x PPmax - PPmax / PPmin c. 100x SBP max - SBP min/ SBP mean d. 100 x PPmax - PPmin / PPmean
d) 100 x PPmax - PPmin / PPmean PPV >13% fluid responsive 2011 Anaesthesiology paper: 9-13% is grey zone PPV <9% not fluid responsive https://anesthesia.ucsf.edu/sites/anesthesia.ucsf.edu/files/wysiwyg/Pulse%20Pressure%20Variation.pdf "
615
23.1 The BALANCED Anaesthesia Study compared older patients having deep anaesthesia (bispectral index target of 35) to lighter anaesthesia (bispectral index target of 50). It assessed postoperative mortality, and a substudy assessed postoperative delirium. These showed that, compared to light anaesthesia, deep anaesthesia causes a) Decreased mortality, no change in post op delirium (POD) b) No change mortality, reduced POD c) Decreased mortality, reduced POD d) no change mortality, increased delerium
"Deep anaesthesia increases POD and no change in mortality - Inclusion criteria: age>60, ASA 3/4, >2hr duration of surgery, hospital stay>2days - delirium assessed for 5 days - light anaesthesia prevented 1 in 10 cases of POD https://www.bjanaesthesia.org/article/S0007-0912(21)00493-1/fulltext "
616
23.1 According to National Audit Project (NAP) 5, the incidence of awareness during general anaesthesia for lower segment caesarean section should be quoted as a) 1:700 b) 1:3,000 c) 1:8,000 d) 1:19,000 e) 1:36,000
a) 1:670 (or 1:700) Overall 1:20 000 with NMBD (MC RF) 1: 8000 (136 000 without lol). cardiothoracic surgery 1:8600 GA C/S 1:670 1:60 000 paeds Higher risk: emergencies, cardiac, unexpected difficult airway, NMB, TIVA (two-fold) 2/3 experienced during induction or emergence 1/3 during maintenaince "
617
23.1 A 75-year-old man has this right heart catheter trace as part of his investigation of dyspnoea. His pulmonary capillary wedge pressure is 24 mmHg. The most likely diagnosis is: A. Idiopathic Pulmonary Arterial Hypertension B. Portopulmonary Syndrome C. Left Heart Failure D. Pulmonary Embolism E. Pulmonary Fibrosis
C. Left heart failure causing PulmHTN Normal PAPs/d is 25/7. This would be classed as severe (55) - (if image is correct) PAWP >15 means ‘ post-capillary’ cause or combined pre- and post. This is either group 2 or 5. A PVR might help differentiate. All other options (group 1,3,4 and 5) would likely have a isolated ‘pre-capillary’ PAWP of <15 LITFL and blue book 2015 article
618
23.1 According to the ANZICS Statement on Death and Organ Donation (2021), for the diagnosis of brain death after resuscitation and return of circulation following cardiorespiratory arrest, clinical testing should be delayed for at least a. 12hr b. 24hr c. 36hr d. 48hr e. 72hr
b) 24 hrs
619
23.1 The glossopharyngeal nerve does NOT supply sensory innervation to the a. Anterior third of tongue b. Walls of pharynx c. Motor to stylopharyngeal muscle d. Pharyngeal plexus
a) anterior third of the tongue
620
23.1 The following pressure-volume loop is displayed on your ventilator screen. The shape of this loop indicates a. Over-expansion b. Under-expansion c. Normal ventilation d. PEEP too high e. PEEP too low
a) over-expansion https://www.respiratorytherapyzone.com/ventilator-waveforms/#:~:text=Note%3A%20A%20pressure%2Dvolume%20loop,hand%2C%20indicates%20increased%20lung%20compliance.
621
23.1 A patient has an acute attack of shingles (herpes zoster). The development of post-herpetic neuralgia can best be reduced by the administration of A. Ibuprofen B. Gabapentin C. Aciclovir D. Amitriptyline E. Oxycodone
D. Amitriptyline Amitriptyline (used in low doses for 90 days from onset of the herpes zoster rash) reduces the incidence of postherpetic neuralgia N.B Antiviral agents started within 72 hours of onset of the herpes zoster rash accelerate the resolution of acute pain (U) (Level I) but **do not reduce** the incidence, severity and duration of postherpetic neuralgia UTD Both Gabapentinoids and TCAs are effective at TREATING postherpetic neuralgia. The former have lower risk of discontinuation due to adverse side effects. For moderate or severe pain, use gabapentinoids.
622
23.1 An otherwise healthy child with a history of leukaemia four years ago, now in remission, has an American Society of Anesthesiologists (ASA) classification of at least a. 1 b. 2 c. 3 d. 4 e. 5
ASA 2
623
23.1 The Sequential Organ Failure Assessment (SOFA) score is used in intensive care for the assessment of sepsis. This score does NOT include the a. Bilirubin b. Platelets c. PaO2/FiO2 d. GCS e. Hypoglycaemia
e) hypoglycaemia
624
23.1 Causes of exhaled carbon dioxide detection following oesophageal intubation include all of the following EXCEPT a. Massive bronchopleural fistula. b. Carbonated drink. c. Vigorous bag valve masking previously. d. Previous gastric insufflation with CO2 for endoscopy. e. Tracheoesophageal fistula.
A Massive bronchopleural fistula. Nick Chrimes 2022 - Journal of Anaesthesia ‘Preventing unrecognised oesophageal intubation: a consensus guideline from the Project for Universal Management of Airways and international airway societies’ Causes of exhaled carbon dioxide detection despite oesophageal intubation No alveolar ventilation occurring -Prior ingestion of carbonated beverages or antacids -Gastric insufflation of CO2 for upper gastrointestinal endoscopy -Prolonged ventilation with facemask or poorly positioned supraglottic airway before attempting tracheal intubation -Bystander rescue breaths Some alveolar ventilation potentially occurring -Tracheo-oesophageal fistula with tube tip proximal to fistula -Proximal oesophageal intubation with uncuffed tube in a paediatric patient
625
23.1 Double sequential external defibrillation is performed by applying two shocks from a. Single set of pads, <1 second apart b. Single set of pads, <5 seconds apart c. Two sets of pads, <1 second apart d. Two sets of pads, <5 seconds apart e. Two sets of pads, simultaneously
c. Two sets of pads, <1 second apart For DSED, to avoid possible defibrillator damage caused by shocks applied at the same instant, a short delay (<1 second) between shocks was created by having a single paramedic depress the “shock button” on each defibrillator in rapid sequence (anterior–lateral followed by anterior–posterior) Among patients with refractory ventricular fibrillation, survival to hospital discharge occurred more frequently among those who received DSED or VC defibrillation than among those who received standard defibrillation. https://www.nejm.org/doi/full/10.1056/NEJMoa2207304
626
23.1 Diagnostic criteria for adult systemic inflammatory response syndrome include all of the following EXCEPT a. Leukopenia b. Hypothermia c. Tachycardia d. Tachypnoea e. Hypotension
e. Hypotension https://www.safetyandquality.gov.au/sites/default/files/2022-06/sepsis_clinical_care_standard_2022.pdf | SIRS criteria: 2 or more Temp >38 or <36 HR >90 RR >20 or PaCo2 <32 WBC
627
23.1 Cerebral salt wasting and syndrome of inappropriate antidiuretic hormone secretion (SIADH) have the following common features EXCEPT for a. High urinary concentration b. High urinary osmolality c. Increased extracellular fluid
c. inc extracellular fluid https://derangedphysiology.com/main/required-reading/electrolytes-and-fluids/Chapter%20531/hyponatremia-lazy-mans-classification ECF/fluid status differentiates the two ECF = Plasma volume + ISF; Key feature: CSWS - dehydrated w/ high urine output - ↓plasma volume SIADH - euvolaemic (or hypervolaemic) w/ low urine output ->↑ADH in both (appropriately 2o to hypovolaemia in CSWS, inappropriate in SIADH) ∴ -> hyponatraemia and low uric acid level in both https://www.ncbi.nlm.nih.gov/pmc/articles/PMC2912080/#:~:text=The%20key%20differentiation%20is%20that,CSW%2C%20despite%20correction%20of%20hyponatremia"
628
23.1 This Doppler trace obtained by transoesophageal echocardiography of the descending aorta suggests a. AS b. AR
b. AR https://litfl.com/oesophageal-doppler/
629
23.1 According to Australian and New Zealand Anaesthetic Allergy Group (ANZAAG) anaphylaxis guidelines for adults, cardiopulmonary resuscitation should commence at a systolic blood pressure of less than a. 70 b. 60 c. 50 d. 40
c) 50mmHg Initial Fluid bolus/adrenaline Gr 2: 500mL; 10-20mcg, then 50mcg if no response Gr 3: 1L; 50mcg-100mcg, then 200mcg if no response Gr 4: 2L >3 boluses of adrenaline -> start infusion (can be peripheral) Give 100% FiO2
630
23.1 To assist with guiding intravenous fluid resuscitation in adults with sepsis or septic shock, the 2021 Surviving Sepsis Guidelines suggest using any of the following EXCEPT a. PPV b. Response to straight leg raise c. Response to fluid bolus d. ECHO e. Urine output
E. Urine output For adults with sepsis or septic shock, we suggest using dynamic measures to guide fluid resuscitation over physical examination or static parameters alone. Weak recommendation, very low-quality evidence. Remarks: Dynamic parameters include response to a passive leg raise or a fluid bolus, using stroke volume (SV), stroke volume variation (SVV), pulse pressure variation (PPV), or echocardiography, where available. https://journals.lww.com/ccmjournal/Fulltext/2021/11000/Surviving_Sepsis_Campaign__International.21.aspx
631
23.1 Findings associated with massive pericardial tamponade include a. Electrical alternans b. Exaggerated collapsible IVC on ECHO during respiratory cycle c. Pulses alternans d. Kussmaul breathing
a) electrical alternans Physical findings in Tamponade: - A number of findings may be present on physical examination, depending upon the type and severity of cardiac tamponade - None of the findings alone are highly sensitive or specific for the diagnosis. Beck's triad 1. Low arterial blood pressure 2. Dilated neck veins 3. Muffled heart sounds - Are present in only a minority of cases of acute cardiac tamponade. Diagnosis: Clinical diagnosis is usually suspected based on the history and physical examination findings, which may include: ●Chest pain ●Syncope or presyncope ●Dyspnea and tachypnea ●Hypotension ●Tachycardia ●Peripheral edema ●Elevated jugular venous pressure ●Pulsus paradoxus - most common ECG finding is sinus tachy, electrical alternans in severe"" Pulsus alternans = arterial pulse with alternating strong and weak beats. Indicative of severe LV dysfunction (HF, cardiomyopathy) Kussmaul breathing: deep, laboured breathing in MA (DKA)
632
23.1 A patient will open her eyes in response to voice, speak with inappropriate words and withdraw to a painful stimulus. Her Glasgow Coma Scale score is a. 6 b. 7 c. 8 d. 9 e. 10
e. 10
633
23.1 The nerve labelled with the arrow in the diagram is the (diagram of the brachial plexus shown) a. Musculocutaneous b. Median c. Radial d. Ulnar e. Axillary
a) musculocutaneous RT - DCB; Read That Damn Cadaver Book Roots - Interscalene Trunks - Superior trunk Divisions - Supraclav Cords - Infraclav Branches - Axillary""
634
23.1 Burns sustained from electrocardiography equipment during magnetic resonance imaging (MRI) scanning are minimised by a. Low impedance ECG leads b. Wet skin c. Shaved skin d. Looped leads e. Ensure leads securely attached
e) ensure leads securely attached https://journals.lww.com/nursing/Citation/2006/11000/Cables_and_electrodes_can_burn_patients_during_MRI.12.aspx#:~:text=The%20radiofrequency%20fields%20that%20occur,enough%20to%20require%20plastic%20surgery. https://www.ahajournals.org/doi/10.1161/CIRCULATIONAHA.107.187256#d1e281 bullshit question. the radiographers in MRI had no clue
635
23.1 Despite two separate 300 IU/kg doses of heparin, you have failed to attain your target activated clotting time prior to instituting cardiopulmonary bypass. An appropriate option now would be to give a. More heparin b. FFP c. Dalteparin d. bivalirudin
b. FFP or recombinant ATIII concentrates (better) >600IU/kg heparin = heparin resistance (if cannot achieve ACT >480s) - may be due to ATIII deficiency or ^protein binding of heparin - aquired defiiciency can be due to recent heparin administration Heparin resistance: ACT >480s using 300-400IU/kg; generally up to 600IU/kg acceptable - can be due to AT deficiency (e.g. prior heparin), AT-independent or pseudoresistance"
636
23.1 A patient is suffering an acute myocardial infarction. Australian and New Zealand guidelines recommend the threshold for the use of supplemental oxygen is when the SpO2 falls below a. 88% b. 90% c. 93% d. 97% e. 100%
c) 93% ANZCOR suggests against the routine administration of oxygen in persons with chest pain.13 [2015 COSTR, weak recommendation, very-low certainty evidence] For persons with heart attack, routine use of oxygen is not recommended if the oxygen saturation is >93% [National Heart Foundation of Australia & Cardiac Society of Australia and New Zealand: practice advice]. AHA go with 90%
637
23.1 In a 20-year-old with cystic fibrosis, the most likely finding on pulmonary function tests is a. Mixed obstruction and restrictive pattern b. Restrictive with normal DLCO c. Restrictive with low DLCO d. Obstruction with reduced RV e. Obstructive with reduced FEV1
e. Obstructive w/ reduced FEV1 Mucous narrowing airways = obstructive Parenchymal damage = restrictive Obstructive PFP remains the most common pulmonary function pattern in adult CF and is associated with -decrease FEV1 & FVC/FEV1 For patients with CF, an obstructive pattern is generally seen, with a decrease in forced expiratory volume in 1 s (FEV1), and forced vital capacity (FVC) to FEV1 ratio. https://academic.oup.com/bjaed/article/11/6/204/263786 can have mixed pattern also
638
23.1 Self-report of pain in children is usually possible by the age of a. 2 yo b. 4 yo c. 6 yo d. 8 yo
b) 4yo 4 yo = wong baker faces score 3-18. 8 yo = Visual analogue scale. https://www.rch.org.au/rchcpg/hospital_clinical_guideline_index/Pain_assessment_and_measur ement/ APMSE 5 also
639
23.1 The dose of hydrocortisone that has equivalent glucocorticoid effect to dexamethasone 8 mg is a. 50mg hydrocortisone b. 100mg hydrocortisone c. 150mg hydrocortisone d. 200mg hydrocortisone e. 250mg hydrocortisone
c. 200mg hydrocortisone 200mg Hydrocortisone or 25mg Prednisolone Dex:pred:hydrocort conversion 4:25:100 8:50:200"
640
23.1 In preschool-aged children having tonsillectomy under general anaesthesia, delirium is more likely with the use of a. Inhalational anesthesia b. Remifentanil at end of case c. Dexamethasone d. Intranasal ketamine
a) inhalational anaesthesia https://resources.wfsahq.org/atotw/emergence-delirium-in-pediatric-patients/ occurs in 9-18% paeds - eye and ENT surgery at higher risk - higher incidence in preschool 2-5 years old (male), anxious patients, negative behaviour on induction TIVA better than Sevo in decreasing PoD https://academic.oup.com/bja/article/118/3/335/2999642 2017 review"
641
23.1 According to the Australian and New Zealand Anaesthetic Allergy Group (ANZAAG) guidelines for the investigation of a suspected anaphylactic reaction, serum tryptase should be measured at a. 0, 4, 12 b. 0, 2, 4, 24 c. 0, 1, 4, 24 d. 0, 4 , 6, 24 e. 1, 6, 24
c) 0, 1, 4, 24 Serum tryptase levels are recommended to be collected as soon as possible after the onset of symptoms and then at 1 hour, 4 hours and after 24 hours. https://www.anzca.edu.au/resources/professional-documents/endorsed-guidelines/anaphylaxis-guideline-2022.pdf
642
23.1 To provide anaesthesia to the medial malleolus, the key nerve to block is the a. Saphenous b. Deep peroneal c. Superficial peroneal d. Tibial
a) saphenous To block foot/ankle completely, need saphenous to complement popliteal sciatic nerve block"
643
23.1 The technique of airway pressure release ventilation a. Has a prolonged expiratory time b. Augments cardiac output in hypovolaemic patients c. Results in reduced mean airway pressures d. Augments Cardiac output in patients with LV failure
d. Augments Cardiac output in patients with LV failure Airway pressure release ventilation (APRV) is an open-lung mode of invasive mechanical ventilation mode, in which spontaneous breathing is encouraged. APRV uses longer inspiratory times; this results in increased mean airway pressures, which aim to improve oxygenation. Brief releases at a lower pressure facilitate carbon dioxide clearance. The terminology and methods of initiation, titration, and weaning are distinct from other modes of mechanical ventilation. The use of APRV is increasing in the UK despite a current paucity of high-quality evidence high intrathoracic pressure decreases the transmural left ventricular pressure, reducing the work of contraction and increasing cardiac output. In the context of hypoxaemia, a mode of mechanical ventilation that improves arterial oxygenation will improve myocardial oxygen delivery, myocardial function and cardiac output. As APRV is a spontaneous breathing mode, in addition to the benefits of spontaneous ventilation, reduced doses of sedative drugs can often be used, with subsequent reduction of requirement for vasoactive drugs and improvement in haemodynamic state. Airway pressure release ventilation (APRV) is an open-lung mode of invasive mechanical ventilation mode, in which spontaneous breathing is encouraged. APRV uses longer inspiratory times; this results in increased mean airway pressures, which aim to improve oxygenation https://www.bjaed.org/article/S2058-5349(19)30178-7/fulltext https://derangedphysiology.com/main/required-reading/respiratory-medicine-and-ventilation/Chapter%20518/airway-pressure-release-ventilation-aprv-ards
644
23.1 Application of a pacemaker magnet to a dual-chamber implanted pacemaker would be expected to convert the operating mode to a. AOO b. VOO c. DOO d. AAI
c) DOO The pacing mode will be DOO when the programmed pacing mode is a dual chamber mode, VOO when the programmed pacing mode is a single chamber ventricular mode, and AOO when the programmed pacing mode is a single chamber atrial mode.
645
23.1 In children, severe sleep apnoea is suggested by an apnoea-hypopnoea index greater than a. 10 b. 15 c. 20 d. 30 e. 40
a) 10 Paeds: 1-5 mild, 5-10 mod, 10+ severe (i.e. 1+ = OSA); 1 - 5 - 10 https://www.sleepfoundation.org/sleep-apnea/ahi ADULT (note scale always inclusive of lower number); 5 - 15 - 30 normal <5 mild 5-15 moderate 15-30 severe > 30 Apnoea = breathing stop or reduce to 10% of normal levels for 10 secs Hypopnea = airflow decreases by more than 30% for 10 seconds AHI = total apnoea+hypopnoea / total no. of hours asleep"
646
23.1 In a patient with glucose-6-phosphate dehydrogenase deficiency (G6PD), the intravenous agent that should be avoided is a. Methylene blue b. Indocyanine green (ICG) c. Iodine d. Dextrose
a) methylene blue "a) methylene blue G6PD deficiency most common enzymatic disorder of RBC --> enzyme G6PD generateds NADPH --> protects RBC from oxidative stress. G6PD deficiency -->haemolytic anaemia https://www.uptodate.com/contents/diagnosis-and-management-of-glucose-6-phosphate-dehydrogenase-g6pd-deficiency?search=G6PD%20deficiency&source=search_result&selectedTitle=1~150&usage_type=default&display_rank=1#H5" Drugs to avoid: Antibiotics Sulphonamides (check with your doctor) Co-trimoxazole (Bactrim, Septrin) Dapsone Chloramphenicol Nitrofurantoin Nalidixic acid Antimalarials Chloroquine Hydroxychloroquine Primaquine Quinine Mepacrine Chemicals Moth balls (naphthalene) Methylene blue Foods Fava beans (also called broad beans) Other drugs Sulphasalazine Methyldopa Large doses of vitamin C Hydralazine Procainamide Quinidine Some anti-cancer drugs
647
23.1 A new antiemetic reduces the risk of postoperative vomiting by 20%. In a population with a baseline risk of postoperative vomiting of 10%, the number needed to treat is a. 2 b. 5 c. 10 d. 20 e. 50
(base rate is 10%, experimental group is 8% (20% below 10%) therefore 100/ 2 = 50 or 1 divided by risk reduction population risk = 10/100 patients get PONV population risk + new antiemetic = 8/100 patients get PONV (8/100 as reduction by 20% with new drug) RR= 0.10-0.08=0.02 NNT= 1/RR =1/0.02 =50
648
23.1 The odds ratio is the measure of choice for a a. Case control b. Cohort c. RCT d. Epidemiological study
a) case control https://www.cdc.gov/csels/dsepd/ss1978/lesson3/section5.html
649
23.1 According to the categorisation system used in Australia and New Zealand for prescribing medicines safely in pregnancy, category X denotes drugs which are a. Drugs that absolutely must not be used for pregnancy. (absolute contraindication) b. Untested drugs in pregnancy c. Drugs safe in pregnancy
a. Drugs that absolutely must not be used for pregnancy. (absolute contraindication) https://www.tga.gov.au/australian-categorisation-system-prescribing-medicines-pregnancy
650
23.1 A patient is undergoing a posterior spinal fusion with somatosensory evokedpotential (SSEP) monitoring. Ischaemia is suggested by a. Increased amplitude, increased latency b. Increased amplitude, decreased latency c. Decreased amplitude, increased latency d. Decreased amplitude, decreased latency
c. Decreased amplitude, increased latency SSEP used for spine, intracranial, endovascular, carotid surgeries - stimulate peripheral nerves (ulnar/median/posterior tibial) Brainstem auditory evoked potential - post fossa surgery https://www.bjaed.org/article/S2058-5349(19)30019-8/fulltext 2019 BJA intraop neuromonitoring in paed spinal surgery"
651
The initial management for a seizure during an awake craniotomy is a. Cold saline irrigation b. Midazolam c. Propofol d. Phenytoin
a) Cold Saline Irrigation 1st line: Irrigation of the brain with sterile iced saline. 2nd line:Propofol bolus (10 to 20 mg IV) or midazolam (1 to 2 mg IV) to terminate seizure https://www.ncbi.nlm.nih.gov/books/NBK572053/"
652
23.1 An absolute contraindication to skin prick testing for the diagnosis of allergies is a. Pregnancy b. Severe dermatographia c. Concurrent antihistamine use d. Concurrent beta blocker e. Asthma
b) severe dermatographia ABSOLUTE CONTRAINDICATIONS to skin testing - no healthy skin (at all) - severe dermatographism - hx of severe non-immediate hypersensitivity - erythema multiforme, stevens johnson syndrome, toxic epidermal necrolysis, lucocytoclastic vasculitis, DRESS RELATIVE contraindication: - recent antihistamine use - severe asthma – b-blocker /ACEI (may worsen severe reaction - usually still continued) - should not be carried out on limbs affected by lymphoedema, paralysis, neurogenic abnormalities - pregnancy"
653
A 63-year-old man has undergone a right pneumonectomy for malignancy. Twelve hours postoperatively he suddenly develops profound hypotension and shock. Clinical examination reveals a raised central venous pressure. The most useful IMMEDIATE action would be to a. Turn left lateral b. Re-insert chest drain on operative site c. Tamponade
a) turn left lateral "suspect cardiac herniation - turn pt to non-operative side down and then return to OT ASAP https://www.bjaed.org/article/S2058-5349(19)30078-2/fulltext#secsectitle0135 2019 - mortality >50%; can occur in R - acute hypotension, shock, cyanosis, w/ SVC obstruction (chest pain/dyspnoea) PS: chest drains removed for 1min every hour to assess for haemorrhage (if unclamped for prolonged periods -> risk of acute mediastinal shift into empty hemithorax -> circulatory collapse" UTD: Cardiac herniation is usually seen within three days of surgery, presenting as sudden onset of hypotension and shock, cyanosis, chest pain, and superior vena cava syndrome. The acute event is usually preceded immediately by coughing, moving the patient, vomiting, or extubation. Treatment involves emergent surgery to reposition the heart and close the pericardial defect to prevent recurrence. ?bleeding Rapid filling of the PPS with blood can occur within 24 hours of surgery. This complication is more common after pleuropneumonectomy or pneumonectomy for suppurative lung disease. The clinical presentation may be with hypotension and shock due to the loss of intravascular blood volume. The mainstay of treatment is surgical reexploration and control of bleeding sources.
654
23.1 In cardiac surgery a low-normal central venous pressure and a low blood pressure with a hyperdynamic heart is suggestive of a. Hypovolaemia b. Vasoplegia c. Left ventricular dysfunction
b) vasoplegia Vasoplegia - vasodilatory shock post cardiac bypass - normal or high cardiac output state with low SVR causing organ hypoperfusion - within 24hrs if CI >2.2 AND SVR <800dynes - criteria non specific and found in other diseased states like adrenal insufficiency, sepsis, liver failure - main distintion being aetiology (ie. post bypass - likely vasoplegia, infection - sepsis) - ^ risks of vasoplegia if on ACEI / b-blockers / CCB; also w/ vasodilatory inotropes (e.g. dobumatine, milrinone)"
655
23.1 Expected features of Guillain-Barré syndrome include A. Descending paralysis B. Flaccid paralysis C. Unilateral leg weakness
b) flaccid paralysis Guillain–Barré syndrome (GBS) is an inflammatory disease of the PNS and is the most common cause of acute flaccid paralysis
656
23.1 A 36-year-old woman sustains an injury to her left arm and presents with pain. She informs you that she experiences unpleasant intermittent and spontaneous shooting sensations in her arm. This sensation is a. Dysaesthesia b. Allodynia c. Hyperalgesia d. Hyperaesthesia e. Paraesthesia
a. Dysaesthesia Chronic pain that may involve itchiness, burning, electric shock, or a general tightening in any part of the body. Allodynia Pain from stimuli which are not normally painful. The pain may occur other than in the area stimulated. Hyperalgesia is an abnormally increased sensitivity to pain Hyperesthesia is a condition that involves an abnormal increase in sensitivity to stimuli of the sense https://www.iasp-pain.org/resources/terminology/#:~:text=DYSESTHESIA,sen
657
23.1 In Australia and New Zealand, the proportion of blood donors who are cytomegalovirus (CMV) seropositive is a. 65 to 85 per million b. 650 to 850 per million c. 6.5 to 8.5 per hundred d. 65 to 85 per hundred
d. 65 to 85 per hundred Risk of acquiring CMV through a leucodepleted blood product is estimated at around 1 in 13,575,000. This compares to a community acquired risk where 85% of Australian adults are infected by the age of 40. 85% of australians are CMV positive by the age of 40 https://www.blood.gov.au/system/files/documents/cmv-blood-components.pdf CMV negative blood recommended for: pregnant women. May be considered for: transplant recipeints, chemotherapy, intrauterine RBC transfusion, premature or immunocompromised neonates,.
658
23.1 The sensory supply of the external nose is provided by all of the following nerves EXCEPT the A. Lacrimal B. Supratrochlear C. Infratrochlear D. Infraorbital E. Anterior ethmoidal
Lacrimal
659
23.1 Of the following drugs, the LEAST suitable for managing atrial arrhythmias in a patient with a left ventricular assist device is A. Metoprolol B. Amiodarone C. Digoxin D. Diltiazem
d) diltiazem Nondihydropyridine calcium channel blockers should be used cautiously in patients with HFrEF because of their negative inotropic effects, and the role of these agents in LVAD recipients remains unclear https://www.ahajournals.org/doi/10.1161/CIR.0000000000000673 Should also avoid sotolol Atrial arrythmia mx: - already on anticoagulation of LVAD - rate control: b-blocker (carvedilol, bisoprolol, metoprolol approved for HFrEF) + digoxin ↓hospitalisations -> NON-dihydropyridine CCB usually avoided due to negative inotropy effects (e.g. verapamil, diltiazem) (note amloDIPINE is a dihydropyriDINE) - rhythm control w/ amiodarone, sotalol (caution -ve introopy) - controversial if works. Ventricular arrhythmia: no antiarrhythmic drug better than ICD therapy for survival Amiodarone probably good (but beware SEs) AFlutter: ablation first-line (>95% success rate)"
660
23.1 A level two check of the inhalational anaesthesia delivery device does NOT include checking the A. Accurate delivery of volatile concentration from vaporiser B. Connection of vaporiser and seating C. Secure vaporiser cap D. Adequate filling of vaporizers E. Power to vaporiser
a) Accurate delivery of volatile concentration from vaporiser PS31 Level two check should be performed at the start of each anaesthetic list. 4.2.3.2 Inhalational anaesthesia delivery devices (vapouriser) 4.2.3.2.1 Ensure electricity is connected to vapourisers that require it. 4.2.3.2.2 Check the anaesthetic liquid level is within marked limits. 4.2.3.2.3 Ensure all filling ports are sealed. 4.2.3.2.4 Check correct seating, locking and interlocking of detachable vapourisers or casettes. 4.2.3.2.5 Test for circuit leaks with a cassette installed or for each vapouriser in the “on” and “off” state. 4.2.3.3 Check for machine leaks upstream from the common gas outlet or breathing system, using a protocol appropriate for the anaesthesia delivery system. One: detailed check (by trained personnel) of all systems (new or after service/repair) Two: at start of every anaesthetic list Three: prior to each pt (all anaesthesia personnel should be trained and accredited for two/three)"
661
23.1 A 30-year-old woman has her bipolar disorder well controlled with lithium therapy. The analgesic agent LEAST suitable for her is a. Tramadol b. Diclofenac c. Oxycodone d. Methadone
b) diclofenac LIthium perioperative concerns: - Prolongation of NMB - Reduction in anaesthetic agent requirement - Avoid NSAIDs - No withdrawl symptoms - Discontinue 24hrs before surgery NSAIDs differentially alter lithium concentrations by multiple mechanisms, and one of these is to reduce prostaglandin E2 BJA: perioperative advice for psychotropic drugs
662
23.1 You are planning to extubate a patient following airway surgery. The patient has FAILED the cuff-leak test when a. <110ml leak with cuff deflated b. >110ml leak with cuff deflated c. Audible leak with cuff deflated d. No audible leak with cuff deflated e. No audible leak with cuff pressure <30cm H2O
a. <110ml leak with cuff deflated approach is to use 110 mL or 10% of tidal volume as the cut-off https://litfl.com/cuff-leak-test/ "Normal cuff leak is >110ml (cuff leak volume = between inspiratory TV pre-deflation and average expiratory TV (after deflation) - average three lowest values over next six breathing cycles post-deflation - if <110mL associated with increased post extubation stridor - >110mL difference in exp TV before and after cuff down has NPV 98% for post extubation stridor (essentially rules it out in original study from 1996) - 2009 meta-analyses: absence of leak -> higher risk airway obstruction presence of a leak -> low predictive value; does NOT rule out obstruction absence of a leak should alert the clinician to a higher risk of upper airway obstruction; however, the presence of a leak has a low predictive value and does not rule out the occurrence of upper airway obstruction 2017 BJA postop mx difficult airway We define a ‘failed CLT’ as the RT being unable to identify air leak during auscultation. 2019 BMJ The positive cuff-leak test can, in a high percentage, predict post-extubation airway obstruction. However, due to its low to moderate sensitivity, a negative test cannot exclude potential complications after the patient has been extubated. GE cuff leak "
663
23.1 Under the NEXUS criteria, requirements to clear the cervical spine of trauma patients without radiographic imaging include all of the following EXCEPT A. No distracting injury B. No limitation in neck movement C. No midline tenderness D. No focal neurological deficit E. No altered level of consiousness
b) no limitation in neck movement One of the most commonly used mnemonics is “NSAID” which stands for: N eurological deficit S pinal tenderness A ltered mental status I ntoxication D istracting injury
664
23.1 You are called to recovery to review an 80-year-old woman after neck of femur fracture fixation performed under general anaesthesia with a fascia iliaca block. She has a history of mild dementia. She has become confused and agitated after initially being cooperative and is pain-free. The most appropriate drug therapy to manage her is intravenous a. Clonidine b. dexmedetomidine c. propofol d. midazolam e. haloperidol
e) haloperidol Bluebook - suggest antipsychotics with caution Mx - treat underlying cause - infection, pain, dehydration, metabolic derangement, constipation, urinary retention - antipsychotics (e.g. haloperidol 0.5mg-1 PO/IM/IV, quetiapine 25mg PO STAT = preferred w/ PD or demential w/ Lewy bodies) is first line for agitation but does not alter time course of delirium or modify its prognosis - avoid benzo - may worsen symptoms NOF surgery - 70% risk of post op delirium Post-op (usually days 2-5) - non pharm mx - re-orientation, sleep optimisation, mobilisation, nutrition - prophylactic antipsychotic (risperidone, olanzapine), melatonin"
665
23.1 The neurosurgical registrar has telephoned about a patient with a spinal cord tumour who is on the list for tomorrow. The registrar tells you the patient has Brown-Séquard syndrome (hemisection of the spinal cord). On clinical examination, below the level of the lesion, you would expect to find all EXCEPT ipsilateral A. Hyperreflexia B. Loss of tactile stimulation C. Paralysis D. Loss of pain/temperature E. Loss of vibration/proprioception
d) loss of pain and temperature Brown Sequard - lateral damage to the cord with ipsilateral loss of motor function, proprioception, light touch and contralateral loss of pain and temperature below level of injury
666
23.1 A technique which is NOT effective in providing analgesia for a sternal fracture is a A. Pecs 1 B. Pecs 2 C. Thoracic transversus plane block D. Subpectoral fascial plane block
A. Pecs 1 - between pecs major and pecs minor - blocks lateral and medial pectoral nerves Stenum innervated by interocostal nerves. All 3 options below can be used for sternal fracture PECS 2 - between pecs minor and serratous ant - blocks intercostal brachial, long throacic, intercostal III - VI nerve Subpectoral interfascial plane block - between pec major and interocstal Transverus thoracic plane block = parasternal plane block https://www.asra.com/news-publications/asra-newsletter/newsletter-item/asra-news/2020/05/01/how-i-do-it-transversus-thoracic-plane-and-pecto-intercostal-fascial-block "
667
23.1 A newborn baby is pale, limp, grimacing with stimulation, gasping weakly, and has a pulse rate of 90 beats per minute. This corresponds to an Apgar score of A. 1 B. 2 C. 3 D. 4 E. 5
C. 3 Appearance - pink > peripherial cyanosis > blue/pale Pulse - >100 > (<100) > absent Grimace - cry/active withdrawal > grimace > no response Activity - active motion (flexed arms/legs resisting extnesion) > some flexion > limp Respiration - strong cry/good breathing > irregular/shallow breathing, weak cry > apnoea "
668
23.1 A patient’s glomerular filtration rate is estimated at 35 mL/min/1.73m2. The patient’s chronic kidney disease can be classified as Stage a. 5 b. 4 c. 3a d. 3b e. 2
Category GFR ml/min/1.73 m2 Terms G1 ≥90 Normal or high G2 60-89 Mildly decreased* G3a 45-59 Mildly to moderately decreased G3b 30-44 Moderately to severely decreased G4 15-29 Severely decreased G5 <15 Kidney failure Assign Albuminuria category as follows: Albuminuria categories in CKD Category ACR (mg/g) Terms A1 <30 Normal to mildly increased A2 30-300 Moderately increased* A3 >300 Severely increased** Abbreviations: ACR, albumin-to-creatinine ratio; CKD, chronic kidney disease. *Relative to young adult level. **Including nephrotic syndrome (albumin excretion ACR >2220 mg/g) **Collectively referred to as “CGA Staging” REPEAT
669
23.1 Patients with rheumatoid arthritis and the most common form of atlantoaxial instability have a widened atlantodental interval. This is measured between the A. distance from posterior surface of dens to anterior surface of posterior arch of atlas B. distance from anterior surface of dens to anterior surface of posterior arch of atlas C. distance from posterior surface of dens to anterior surface of anterior arch of atlas D. distance from posterior surface of dens to posterior surface of posterior arch of atlas E. distance from anterior surface of dens to posterior surface of anterior arch of atlas
E. distance from anterior surface of dens to posterior surface of anterior arch of atlas The atlantodental interval is used in the diagnosis of atlanto-occipital dissociation injuries and injuries of the atlas and axis. The anterior atlantodental interval is the horizontal distance between the posterior cortex of the anterior arch of the atlas (C1) and the anterior cortex of the dens in the median (midsagittal) plane Normal values for anterior atlantodental interval are: radiographs: adults: males: <3 mm females: <2.5 mm 1 (although most authors describe <3 mm ref) children: <5 mm ref CT: adults: <2 mm Atlantoaxial subluxation ~25% of patients with severe RA - ~80 % ant subluxation (so atlas (C1) moves forward on axis (C2) - due to destruction of transverse ligament (>3mm distance is signficant) - worsened by neck flexion
670
23.1 Reviewing the below image (ultrasound image shown), in order to safely perform an erector spinae block the probe needs to be moved (exact exam image) A. Move medial B. Move lateral C. Move superior
A. Move medial
671
23.1 Suxamethonium may be safely given to patients with a. Becker muscular dystrophy b. Friedreich’s ataxia c. Guillain-Barre d. Cerebral palsy e. Duchenne muscular dystrophy
d) myasthenia gravis or d) Cerebral palsy ->sux and volatiles are not contraindicated -> presence of extrajunctional receptors may cause hyperkalaemia if responses remembered incorrectly but of this list CP is probably the answer a. Becker muscular dystrophy -> essentially milder Duchenne's (see duchenne response to Sux) b. Cerebral palsy -> Sux and volatiles not contraindicated -> reduced MAC requirement -> increased sensitivity to muscle relaxants c. Guillain Barre -> sux contraindicated due to risk of hyperkalaemia -> increased sensitivity to Non depolarising NB d. Frederich’s ataxia -> sux should be avoided due to risk of hyperkalaemia e. Duchenne muscular dystrophy -> sux and volatiles contraindicated due to rick of hyperkalaemia and rhabdomyolysis In contrast to other neuromuscular disorders, succinylcholine may be used in myasthenia gravis. The required dose may need to be increased by up to two-fold, as those with the disease show a relative resistance to the drug. Sux is not recommended in patients with neuromuscular disease due to: 1. presence of extrajunctional receptors and risk of hyperkalaemia and rhabodmyolysis 2. fasiculations causing temperomandibular muscle spasm preventing intubation REPEAT
672
23.1 A 24-year-old man has been brought into the emergency department with a traumatic fracture of the femur. His observations are: heart rate 90 beats per minute; blood pressure 120/80 mmHg; respiratory rate 25 breaths per minute. A peripheral VENOUS blood gas sample shows a pH of 7.29. The arterial blood pH can be estimated to be A. 7.29 B. 7.32 C. 7.35 D. 7.4
B. 7.32 https://emj.bmj.com/content/18/5/340 The values of pH on arterial and venous samples were highly correlated (r=0.92) with an average difference between the samples of −0.4 units. There was also a high level of agreement between the methods with the 95% limits of agreement being −0.11 to +0.04 units. https://litfl.com/vbg-versus-abg/ VBG vs ABG pH + 0.035 PCO2 - mean difference +6mmHg; good correlation in normocapnoea (unreliable when PaCO2>45mmHg) Correlate well: HCO3-, Base Excess, Lactate - dissociation above 2mmol/L https://litfl.com/vbg-versus-abg/ "
673
23.1 The antiemetic action of aprepitant is via receptors for A. Serotonin B. Neurokinin-A C. Dopamine D. Substance P E. Glycine
D. Substance P Development of aprepitant, the first neurokinin-1 receptor antagonist for the prevention of chemotherapy-induced nausea and vomiting (2011) https://www.ncbi.nlm.nih.gov/pubmed/21434941 Aprepitant acts centrally at NK-1 receptors in vomiting centres within the central nervous system to block their activation by substance P released as an unwanted consequence of chemotherapy. REPEAT
674
23.1 In a 21-year-old man with an isolated acute severe traumatic brain injury, systolic blood pressure should be maintained at a level equal to or greater than a) 90 b) 100 c) 110 d) 120 e) 140
c) 110 Brain trauma foundation Level III recommendation. To decrease mortality and improve outcomes: Maintain SBP at >100mmHg for patients 50 - 69 Maintain SBP at >110 for patients 15 - 49 Maintain SBP at >110 for patients 70 or older
675
23.1 A patient you anaesthetised for a cervical fusion reports rapidly progressing unilateral visual loss commencing two days postoperatively. Fundoscopic examination reveals optic disc oedema. The most likely diagnosis is A. AION B. PION C. CRAO D. Vertebrobasilar stroke E. Retinal detachment
A. AION Answer is more likely ‘A - Anterior Ischaemic Optic Neuropathy, because: 1. Most common 2. One or two days post - up to 12 3. Optic disc oedema (CRAO - fundoscopic appearance is that retina appears pale with cherry red central spot). PION fundoscopy is normal at first but has late developing oedema. It is less common than AION. https://eyewiki.aao.org/Non-Arteritic_Anterior_Ischemic_Optic_Neuropathy_(NAION) Symptoms: The classic description of patients with AION presenting with acute, painless unilateral vision loss that is often described as a blurring or cloudiness of vision, often inferiorly, has been expanded. Although the majority of patients do not have accompanying pain, headache or periocular pain is reported in 8-12% of patients, which can make it difficult to differentiate from optic neuritis post op ischaemic optic neuropathy - most common cause of POVL after nonocular surgery - ^risk with cardiac, spine, orthopaedic, steep trendelenberg positions - anterior ION - more common with cardiac - posterior ION - more common with prone procedures, steep trendelenberg, cardiac - presents with painless b/l vision loss - risk factors for POVL with spine surgery - male, ^BMI, wilson frame, long duration, ^ blood loss - PION more common however only AION has fundoscopic changes -- AION - fundoscopy - swollen disc - can be uni or bilateral -- AION onset usually immediate after awakening but can also have onset a day or so afterwards - sudden unilateral or bilateral, progressive vision loss Central retinal artery occlusion - most common retinal cause of POVL - usually unilateraly and immediately after awakening from anaesthesia - fundoscopy - ischaemic retina + cherry red spot at macula https://www.uptodate.com/contents/postoperative-visual-loss-after-anesthesia-for-nonocular-surgery#H437018973 "
676
23.1 A patient requiring an elective major joint replacement has had a recent stroke. The minimum recommended duration between the stroke and surgery is a) 3 months b) 6 months c) 9 months d) 12 months
a. 3 months is the minimum time period for delay (one could argue that a major joint can wait 9 months but they specified minimum) Elective surgery should preferably be delayed for 9 months after a previous stroke; emergency surgery should not be delayed. - <3 months high risk (68-fold increase) cf. 9 months - ↓stroke/MI/death risk at 9 months
677
23.1 A multitrauma patient is being managed with a resuscitative endovascular balloon occlusion device of the aorta (REBOA) as part of damage control resuscitation. The balloon has been inserted for intractable pelvic bleeding. The most appropriate location for the device placement is between the A. Between artery of adamkiewicz to coeliac artery B. Between coeliac artery to renal artery C. Between lowest renal artery to bifurcation of aorta D. Between coeliac and bifurcation
C. Between lowest renal artery to bifurcation of aorta https://litfl.com/reboa-in-resuscitation/ Anatomy: The aorta is divided into three separate zones for the purposes of REBOA (aortic length varies between individuals) Zone I of the aorta extends from the origin of the left subclavian artery to the coeliac artery (approx 20cm long in a young adult male) Zone II extends from the coeliac artery to the most caudal renal artery (approx 3cm long) Zone III extends distally from the most caudal renal artery to the aortic bifurcation (approx 10cm long) REBOA location based on injury: >suspected or diagnosed intra-abdominal haemorrhage due to blunt trauma or penetrating torso injuries (Zone I REBOA), or >blunt trauma patients with suspected pelvic fracture and isolated pelvic haemorrhage (Zone III REBOA), or >patients with penetrating injury to the pelvic or groin area with uncontrolled haemorrhage from a junctional vascular injury (iliac or common femoral vessels) (Zone III REBOA) Simplistic rendering of aorta. Zone 1 (from left subclavian artery to the upper border of the celiac trunk), Zone 2 (the upper border of the celiac trunk to the lower border of the distal take-off of the renal arteries), and Zone 3 (from the lower border of the lower renal artery to the aortic bifurcation). Zone 1 is occluded in the case of cardiac arrest or life-threatening intra-abdominal hemorrhage; Zone 2 has no current indication; and Zone 3 is occluded in the case of life-threatening pelvic or lower limb haemorrhage7. REBOA Resuscitative Endovascular Balloon Occlusion of the Aorta.
678
23.1 Therapeutic privilege is defined as A. Withholding information to obtain consent B. Getting presents and money for treating someone. C. Not telling pt info because of their religious or cultural beliefs. D. Withholding information to the patient if you think it will cause harm
D. Withholding information to the patient if you think it will cause harm https://www.sciencedirect.com/topics/medicine-and-dentistry/therapeutic-privilege “Therapeutic privilege,” also known as “therapeutic nondisclosure,” is defined as the withholding of relevant health information from the patient if nondisclosure is believed to be in the best interests of the patient (President’s Commission, 1982; Berger, 2005). The two most common justifications for such nondisclosure are that the disclosure would create incapacitating emotional distress and that disclosure would violate a patient’s personal, cultural, or other social requirements (Crawley et al., 2001; Berger, 2005). ANZCA PG 67 - Therapeutic privilege - in an emergency, consent does not need to be obtained for treatment that will save a person's life or prevent sigfnicant harm or distress to the patient. - this applies WHEN patients lack decision-making capacity and their substitute decision maker is unavailable in a reasonable time frame to provide consent. - Advance care directives, where known, can be used to guide treatment."
679
23.1 A central venous catheter is recognised as being inadvertently placed in the common carotid artery five hours after insertion. The most appropriate management is A. Open repair B. Percutaneous repair C. Remove and put pressure on it.
a) Open repair Flow chart from Blue book https://jamanetwork.com/journals/jamasurgery/fullarticle/1741862 - recommended when injury is recognised >4hrs after cannulation or where no endovascular treatment service available Other options - percutaneous closure device, temporary balloon tamponade with concurrent external mannual pressure or external pressure alone (in palpable artery like common carotid) Current ASA guidelines - leave catheter in place (note all adult CVCs are ≥7 Fr) and contact general or vascular surgeon or interventional radiologist. Postpone elective surgery https://www.ncbi.nlm.nih.gov/pmc/articles/PMC9503793/ 2022"
680
23.1 The glucagon-like peptide-1 receptor (GLP-1) agonist semaglutide is associated with A. delayed gastric emptying B. hypoglycaemia C. hyperlactataemia
a) delayed gastric emptying
681
23.1 A five-year-old child weighing 25 kg is to be strictly nil by mouth overnight following a laparotomy. The most appropriate fluid prescription is a) 45ml/hr 0.9% NS 2.5% dextrose b) 65ml/hr 0.9% NS 5% dextrose c) 45ml/hr 0.45% saline with 2.5% dextrose d) 65ml/hr 0.45% saline with 5% dextrose e) 45ml/hr 0.9% NS 5% dextrose
e. 45ml/hr 0.9% NS 5% dextrose Total fluid requirement = maintenaince + replacement of deficit + replacement of ongoing losses - replace deficit over 24-48hrs (first 5% over 24hrs, then rest over next 24hrs). -> deficit (L) = weight change in kg (most accurate) ->Deficit (mL) = weight (kg) x % dehydration x 10 - ongoing losses replaced over 4hr period (or hourly if significant) Maintenance fluid = 4,2,1 rule (4mL/kg/hr for 1st 10kg, 2mL/kg/hr for 2nd 10kg, then 1mL/kg/hr after that; max 100mL/hr) = 65ml/hr - in all unwell children (acute CNS/pulmonary conditions, post op & trauma) - **2/3 maintenance rate due to ^ADH secretion (risk fluid overload/hyponatraemia)**
682
23.1 The following is a chest X-ray from a patient complaining of dyspnoea after thoracic surgery. The diagnosis is (not the image from the exam) A. Dextracardia B. Cardiac hernation C. LLL collapse D. Tension Pneumohorax
B. Cardiac hernation https://www.ahajournals.org/doi/10.1161/CIRCULATIONAHA.109.896829
683
23.1 A 65-year-old man with hypertension, type 2 diabetes and significant obstructive sleep apnoea on CPAP is scheduled for an abdominoperineal resection, with a high dependency unit admission planned postoperatively. He currently takes a calcium channel blocker, a sodium-glucose cotransporter 2 (SGLT2) inhibitor and metformin. ANZCA guidelines recommend withholding SGLT2 inhibitors A. Day of and 2 days prior B. Day of and 3 days prior C. Continue on the day of surgery. D. Stop day of surgery.
a) day of and 2 days prior For surgery/procedures requiring 1 or more days in hospital / colonoscopy requiring bowel prep - omit SGLT2i for at least 3 days (2 days pre-procedure and day of procedure) For day stay procedures (including gastroscopy) that does not require bowel prep - SGLT2i can be stopped just for day of procedure. Limit fasting before/after procedure https://www.diabetessociety.com.au/wp-content/uploads/2023/05/ADS-ADEA-ANZCA-NZSSD_DKA_SGLT2i_Alert_Ver-May-2023.pdf
684
23.1 A nerve that does NOT provide sensory innervation to the shoulder joint is the A. Axillary B. Lateral pectoral C. Subscapular D. Supraclavicular E. Suprascapular
d) Supraclavicular Axillary nerve innervates skin to inferior deltoid (regimental badge)+ motor to terres minor and deltoid. Lateral pectoral nerve innervates the anterosuperior part of the glenohumeral joint. Subscapular nerves - upper subscapular nerve serves the upper portion of the subscapularis muscle; the middle subscapular nerve (thoracodorsal nerve) innervates latissiumus dorsi; lower subscapular nerve innervates subscapularis and terres major. Supraclavicular nerve - sensory only and innervates skin across entire shoulder and trapezius in a ‘cape-like’ fashion - sometimes missed in interscalene block. Suprascapular nerve sensory innervation to glenohumeral joint and acromiovlavicular joint + motor to supraspinatus/infraspinatous (rotator cuff) https://pubmed.ncbi.nlm.nih.gov/32712453/
685
23.1 For a woman who has a history of preeclampsia in a previous pregnancy, the intervention with the best evidence for prevention of preeclampsia during future pregnancies is A. Aspirin 150mg daily B. Magnesium C. Heparin subcut D. Calcium
A. Aspirin 150mg daily (option was definitely 150mg not 100mg) or D. Ca Aspirin should be given at a dose between 75 and 150 mg per day, started preferably before 16 weeks, possibly taken at night, and continued until delivery; https://www.somanz.org/content/uploads/2023/06/SOMANZ_Hypertension_in_Pregnancy_Guideline_2023.pdf Calcium supplementation (1.5g/day) should therefore be offered to women with moderate to high risk of preeclampsia, particularly those with a low dietary calcium intake (247) - 100-150mg /day for moderate to high risk groups ideally before 16weeks gestation to K36 - NNT 61 Calcium 1.2-1.5g/day in high risk women where there is deficient calcium intake (<600mg/day) Mg, Zinc, salt restriction and antioxidants not supported https://www.health.qld.gov.au/__data/assets/pdf_file/0034/139948/g-hdp.pdf "
686
23.1 You are using intraoperative cell salvage during a high-risk caesarean section. The salvaged blood has been washed and reinfused through a leukodepletion filter. This process should remove all of the following EXCEPT A. Vernix B. Alpha fetoprotein C. Foetal RBC D. Amniotic fluid E. Foetal squamous cell
c) Foetal RBC All others removed with leukodepletion filter Leucocyte depletion filters are adhesive filters (removes 98-100% bacteria) - removes plasma phase elements of amniotic fluid, AFP (plasma protein in fetus), vernix and squamous cells, but RBCs still present - can cause bradykinin mediated hypotension - removes most cancer cells but not all (no evidence of increased recurrence of metastatic disease) No absolute contraindications to cell salvage. Relative contraindications - potential contamination of aspirated blood with bowel contents, infection or tumor cells (specific consent for latter).
687
23.1 In patients with primary adrenal insufficiency, a markedly elevated renin is most likely due to A Insufficient corticosteroid replacement B Insufficient fludrocortisone replacement C Excessive corticosteroid replacement D Excessive fludrocortisone replacement
b. Insufficient fludrocortisone replacement In Primary Adrenal Insufficency, cortisol deficiency results in decreased feedback to the HPA axis, leading to increased secretion of ACTH to stimulate the adrenal cortex. Simultaneously, MCs deficiency causes increased release of renin by the juxtaglomerular apparatus of the kidneys.
688
20.2 You are performing a regional block for analgesia following knee surgery. You have an ultrasound probe scanning the anterior mid-thigh. The muscle indicated by the arrow in the ultrasound image below is the A. biceps femoris B. Sartorius C. Gracillis D. Adductor longus E. Adductor magnus
Sartorius
689
23.1 A risk factor for the development of chronic postsurgical pain is having a. Age >65 b. Male c. Pain at site 1 month prior to surgery d. Higher SES
c. Pain at site 1 month prior to surgery Pain itself is a risk factor: the strongest predictors of CPSP are chronic preoperative pain and the severity of acute postoperative pain https://www.ncbi.nlm.nih.gov/pmc/articles/PMC5741327/#:~:text=Pain%20its CPSP - pain develoing or increasing in intesnity after a surgical procedure, in the area of the surgery, persisting beyond the healing process (~3mths) and not better explained by another rcause such as infection, malignancy or pre-exisiting pain condition.
690
23.1 According to the Fourth Consensus Guidelines for the Management of Post-operative Nausea and Vomiting (PONV) published in 2020, multimodal PONV prophylaxis should be implemented in adult patients a. For everyone b. 1 or more RF c. 2 or more RF d. 3 or more RF e. 4 or more RF
b) 1 or more RF Risk factors - female (MC), age<50, post-op opioids, hx PONV, non-smoker recommendation from new consensus guideline - 2 forms of prophylaxis for patients with 1-2 risk factors and 3-4 for more risk factors https://www.ashp.org/-/media/assets/policy-guidelines/docs/endorsed-documents/endorsed-documents-fourth-consensus-guidelines-postop-nausea-vomiting.pdf "
691
23.1 A patient with an acute subarachnoid haemorrhage arrives in the emergency department. Her Glasgow Coma Scale score is 10 and she has no motor deficit. A CT brain shows diffuse subarachnoid haemorrhage with no localised areas of blood greater than 1mm thick, and no intracerebral or intraventricular blood. Her World Federation of Neurosurgical Societies (WFNS) grade of subarachnoid haemorrhage is A. 1 B. 2 C. 3 D. 4 E. 5
D. 4 WFNS (based on GCS) (survival; based on GCS); FND = morbidity I – GCS 15 (70%) II – GCS 13-14 w/o focal neurological deficit (60%) III – GCS 13-14, focal neurological deficit (e.g. hemiparesis, aphasia) (50%) IV – GCS 7-12 (20%) V – GCS 3-6 (10%) * alternatively her Fisher score is: grade 2 (​diffuse thin (<1 mm) SAH, no clots; which estimates an incidence of symptomatic vasospasm of 25%) Note the new modified Fischer scale. G0 No SAH or IVH (0%) G1 Focal or diffuse thin SAH but no IVH (6-24%) G2 Focal or diffuse thin SAH with IVH (15-33%) G3 Thick SAH no IVH (33-35%) G4 Thicc SAH with IVH (34-40%) The main differences between the Fisher scale and modified Fisher scale are: 1) Fisher scale, no SAH is grade 1, but 0 in modified Fisher scale 2) Fisher scale, thin SAH & no IVH is grade 2, but 1 in modified Fisher scale 3) Fisher scale, thick SAH with no IVH is grade 3 and the same 3 in modified Fisher scale 4) Fisher scale, any IVH is grade 4, irrespective of the presence of SAH but in modified Fisher scale it is either 2 if thin or no SAH, or grade 4 if thick SAH REPEAT
692
23.1 ANZCA recommends that after confirmed COVID-19 infection, non-urgent elective major surgery should be delayed for a minimum of A. 4 weeks B. 5 weeks C. 6 weeks D. 7 weeks E. 8 weeks
2-3weeks if asymptomatic PG68(A) If not symptomatic: 2-3 weeks for major surgery. No delay if minor surgery (must be beyond infectious period as per local guidelines) If symptomatic: delay 7 weeks for major surgery clock starts from first symptoms or first positive test For most patients, it is safe to proceed with surgery TWO TO THREE WEEKS post SARS-CoV-2 infection provided no ongoing symptoms are present. For high-risk patients, it is recommended to perform an individualised risk assessment and utilise Shared Decision Making to determine optimal timing of surgery post SARS-CoV-2 infection. Patients who are asymptomatic, have returned back to baseline, are vaccinated, aged <70 years and without comorbidity can proceed with non-urgent elective minor surgery (day case) and endoscopy procedures without delay beyond the infectious period (timeframe as per local guideline and expertise ALL patient with ongoing symptoms, especially those who have not returned to baseline function and those patients with a history of moderate or more severe25 SARS-CoV-2 infection: recommended delay for non-urgent elective surgery is still 7 weeks
693
23.1 A 35-year-old woman is brought to the emergency department following a suspected amitriptyline overdose. She has a Glasgow Coma Scale score of 6 and her blood pressure is 90/46 mmHg. Her electrocardiogram is most likely to show A. AF B. CHB C. Sinus tachy with prolonged QRS D. Sinus brady with prolonged QRS E. VT
c. sinus tachy with prolonged QRS TCA overdose - toxicity develops 30mins post overdose, peaks 2-6hrs post. - 4 receptors antagonsim invovled - central and peripheral Ach receptors, alpha adrenergic receptors, norad and srototnin reuptake, fast sodium channels in myocardial cells - anticholinergic symptoms - agitation, restless, delirium, mydriasis (big pupils), warm skin, tachycardia, ileus, urinary retention (SLUDGE) - CVS toxicity - tachycardia, arrythmia, HTN, Hypotension (due to alpha blockade), broad complex tachy but can also develop bradycardia pre arrest) - CNS toxcicity - delirium, agitation, sedation, seizures, coma (often precedes CVS signs) - metabolic acidosis https://litfl.com/another-tca-overdose/"
694
23.1 Sacubitril use reduces the plasma levels of A. NT proBNP B. Angiotensin II C. BNP D. Neprolysin E. Bradykinin
a) NT ProBNP Sacubitrilat inhibits the enzyme neprilysin, which is responsible for the degradation of atrial and brain natriuretic peptide, two blood pressure–lowering peptides that work mainly by reducing blood volume. In contrast, in comparison with enalapril, patients receiving LCZ696 had consistently lower levels of NTproBNP (reflecting reduced cardiac wall stress) and troponin (reflecting reduced cardiac injury) throughout the trial. ## Footnote https://www.ahajournals.org/doi/10.1161/CIRCULATIONAHA.114.013748?url_ver=Z39.88-2003&rfr_id=ori:rid:crossref.org&rfr_dat=cr_pub%20%200pubmed
695
23.1 A drug that is NOT useful for the treatment of vasoplegic shock is A. Hydroxycobalamin B. Methylene blue C. Dobutamine D. vasopressin E. Dopamine
c. dobutamine - causes dose dependent vasodilation --> hypotension Vasodilatory shock - norad, vasopressin, methylene blue, angiotensin II, vitamin C, hydroxycobalamin (vit B12) (UpToDate) - norad, adrenaline, dopamine, terlipressin, angiotensin II, methylene blue (BJA) https://docs.google.com/document/d/1aIYS372hPVynvKXATrMBakn4T43vi2OoWqW-Vi4cjKw/edit?usp=sharing " ## Footnote UTD
696
23.1 A man has symptomatic carbon monoxide poisoning. His pulse oximetry (SpO2) and arterial blood gas (PaO2) would be expected to show a. Normal SpO2, Normal PaO2 b. Normal SpO2, reduced PaO2 c. Reduced SpO2, normal PaO2 d. Reduced SpO2, reduced PaO2
a. Normal - Normal A normal or high oximetry reading should be disregarded because saturation monitors cannot differentiate between carboxyhaemoglobin and oxyhaemoglobin, owing to their similar absorbances. The blood gas PO2 will also be normal in these cases (despite the presence of tissue hypoxia). SpO2 (pulse ox can't differentiate COHb and OxyHb) -> SpO2 not useful PaO2 (PaO2 reflects dissolved O2 in blood - not affected by CO) - only SaO2 (Hb-bound O2) is reduced (in presence of CO binding) https://www.uptodate.com/contents/carbon-monoxide-poisoning#:~:text=Diagnosis%20–%20The%20diagnosis%20of%20CO,in%20smokers%20confirms%20the%20diagnosis. " ## Footnote file:///Users/newuser/Downloads/BTS%20Guideline%20for%20oxygen%20use%20in%20adults%20in%20healthcare%20and%20emergency%20settings.pdf
697
23.1 A 60-year-old woman presents for thrombectomy with left lower leg ischaemia. She has not received any medications since presentation and takes none at home. The sole abnormality on laboratory testing is an activated partial thromboplastin time (APTT) of 52 seconds. The most likely cause of the raised APTT is a. Lupus anticoagulant b. Erroneous reading c. Cold agglutinins d. Factor VII deficiency e. Haemophilia A
A. Lupus anticoagulant (normal PT, raised APTT) Lupus anticoagulant (more likely to be associated with thrombosis than bleeding) "Lupus anticoagulant (i.e. antiphospholipid syndrome) - cause prolonged APTT, and is associated w/ thrombosis. BJA 2007 - Abs that block phospholipids important for coagulation Haemophilia A (VIII deficiency) and B can cause isolated prolonged APTT, but associated with bleeding (repeat MCQ 2017B – guy with dental bleeding). Cold agglutinins prolongs PT and APTT -> (IgM autoantiboidies against RBC antigens that bind at cold temperature --> haemolytic anaemia) Factor VII deficiency prolongs PTs w/ normal APTT " ## Footnote https://www.uptodate.com/contents/image?imageKey=HEME%2F79969
698
23.1 A diagnosis of metabolic syndrome is NOT supported by A. Impaired glucose tolerance B. High HDL C. Obesity D. High triglycerides E. Hypertension
b. high HDL-C 3 or more of: (5 H's) 1) Heavy: central obesity: waist >94cm men, >80cm women 2) HTN (>140/90) 3) High levels of triglycerides 4) HDL - low levels 5) High blood surgar (impaired fasting glucose or diabetes)" ## Footnote https://www.ahajournals.org/doi/10.1161/CIRCULATIONAHA.105.169405
699
23.1 The nerve most likely to be inadequately anaesthetised with an incomplete interscalene brachial plexus block is the A. Medial brachial cutaneous nerve B. Median… C. Supraclavicular D. Musculocutaneous nerve
a. medial cutanous brachial nerve C8/T1 roots are often missed. Therefore, interscalene blocks tend to fail on the ulnar side of the arm Medial brachial cutaneous nerve (C8-T1, arises from the medial cord of the brachial plexus): upper medial arm ## Footnote NYSORA
700
23.1 A 58-year-old man with alcohol-related cirrhosis is booked to undergo a transjugular intrahepatic portosystemic shunt (TIPS) procedure. The calculation of his MELD-Na score to estimate his mortality risk requires all of the following EXCEPT A. Sodium B. INR C. Cr D. Albumin E. Bilirubin
D. Albumin MELD-Na score components: (BICS) Bilirubin INR Creatinine Sodium (serum) Low serum sodium is an independent predictor of mortality in patients with cirrhosis estimates 90 day survival >15 - listed for deceased donor transplant. TIPS best if MELD <15" ## Footnote https://www.tamingthesru.com/blog/r1-diagnostics/labs-in-hepatic-failure
701
23.1 Following the insertion of a peripherally inserted central catheter (PICC) into the cephalic vein in the upper arm, the patient complains of numbness in their forearm. It is likely that during insertion the operator has injured the A. Median cutaneous antebrachial B. Median antebrachial C. Lateral antebrachial D. Posterior brachial E. Posterior cutaneous nerve (of the forearm)
"d) lateral antebrachila cutaneous N (continuation of musculocutaenous nerve) tracks behind cephalic vein in upper forarm and provides cutaneous innervation to forearm"
702
23.1 Ongoing cerebral seizure activity induced by electroconvulsive therapy should be medically terminated after a) 30s b) 60s c) 90s d) 120s e) 150s
d) 120s Optimal seizure duration somewhere between 10-120seconds. https://academic.oup.com/bjaed/article/10/6/192/299664 Apparently Oxford Handbook says 60 secs (MCQ TL) ""It is recommended that motor and/or EEG seizures lasting more than 120 seconds be terminated pharmacologically by a benzodiazepine (for example, diazepam or midazolam) or anaesthetic agent in consultation with the anaesthetist."" QLD Health ECT guidelines"
703
23.1 Of the following drugs, the LEAST likely to cause pulmonary vasodilation when used at low doses in patients with chronic pulmonary hypertension is a) Vasopressin b) Dobutamine c) Dopamine d) Milrinone
Dopamine - least likely to cause pulmonary vasodilation (all the others do to my knowledge) - From UP TO DATE: > At low doses of 1 to 3 mcg/kg per min, dopamine acts primarily on dopamine-1 receptors to dilate the renal and mesenteric artery beds > At 3 to 10 mcg/kg per min (and perhaps also at lower doses), dopamine also stimulates beta-1 adrenergic receptors and increases cardiac output, predominantly by increasing stroke volume with variable effects on heart rate. > At medium-to-high doses, dopamine also stimulates alpha-adrenergic receptors, although a small study suggested that renal arterial vasodilation and improvement in cardiac output may persist as the dopamine dose is titrated up to 10 mcg/kg per min *clinically, the haemodynamic effects of dopamine demonstrate individual variability Dobutamine (inodilator): - selective β1-agonist that increases cardiac contractility and reduces pulmonary vascular and systemic vascular resistances Vasopressin: - vasopressin may have pulmonary vasodilatory effects in addition to a systemic vasoconstrictive effect Milrinone (inodilator): - the phosphodiesterase-3 inhibitors, milrinone and enxoimone, have positive inotropic effects combined with the capacity to reduce RV afterload (‘inodilators’) without significant chronotropic effect, but they can be associated with significant systemic hypotension ## Footnote https://pubs.asahq.org/anesthesiology/article/121/5/914/13855/VasopressinThe-Perioperative-Gift-that-Keeps-on
704
23.1 According to the Revised Cardiac Risk Index, a 72-year-old male scheduled for a laparoscopic cholecystectomy with a history of hypertension, 20 pack-year history of smoking, type 2 diabetes requiring insulin and a previous stroke has a score of A. 1 B. 2 C. 3 D. 4 E. 5
C. 3 lap chole, insulin, stroke Not originally specified as open verse lap. One of the big critiques of the RCRI. https://www.bjaed.org/article/S2058-5349(18)30128-8/fulltext ## Footnote UTD
705
23.1 Cryoprecipitate contains coagulation factors A. 2, 8, 13, von willebrands B. 1, 7, 13 , von willebrands. C. 1,8, 13, von willebrands. D. 2, 7, 13, von willebrands.
C. Cryoprecipitate contains Factor VIII, XIII, fibrinogen (factor I), fibronectin, vWF Cryo - volume 10-20mL - fibrinogen (i.e. Factor I, 150-250mg) , F VIII, vWF, fibronectin, FXIII -> Cryo -> think VolksWagen (lucky unlucky one) - vWF, fibronectin - eight, thirteen, one). - not used to replace factors as factor concentrates and recombinant products are safer and better FFP - volume 250-300mL - fibrinogen (700-800mg) - all coag factors including II, VII, VIII, IX, X, XI, vWF" ## Footnote https://www.lifeblood.com.au/health-professionals/products/blood-components/cryoprecipitate
706
23.1 Three-factor prothrombin complex concentrate reverses warfarin therapy within A. 5 mins B. 15 mins C. 60 mins D. 120 mins
a) 15 mins 50UI/kg, Prothrombinex-VF is able to completely reverse a supratherapeutic INR within 15 minutes however, vitamin K is also required to sustain the reversal effect as the half-lives of the infused clotting factors are similar to endogenous factors. ## Footnote https://www.mja.com.au/journal/2013/198/4/update-consensus-guidelines-warfarin-reversal#:~:text=Prothrombinex%2DVF%20is%20able%20to,similar%20to%20endogenous%20clotting%20factors.
707
23.1 The difference between a size 5.0 microlaryngeal tube (MLT) and a standard size 5.0 endotracheal tube is that the size 5 MLT A. Smaller cuff B. Longer length C. Larger external diameter
Longer length Different cuff size/ length: The MLT® has a cuff size/ length that would be typical for an adult-sized 'standard' ETT. A 'standard' pediatric 5.0 endotracheal tube has a smaller cuff made for a pediatric-sized trachea (see picture below). Distance of cuff from tube tip: In an MLT® the cuff is further away from the tube tip which is acceptable as the adult trachea is obviously longer than the pediatric one (see picture below). - same diameters and larger cuff size (i.e. 5.0 MLT cuff would be typical for adult-sized standard ETT) - MLT cuff further away from tube tip - size of tube is internal diameter MLT = Massively Long Tube - for vocal cord surgery - beware high AWR -> high airway pressures - gas flow slow in expiration -> may need lower I:E ratio for complete expiration" ## Footnote https://aam.ucsf.edu/microlaryngoscopy-tube-mlt%C2%AE
708
23.1 A third heart sound at the apex may be heard in a) pulmonary stenosis b) pulmonary hypertension c) pericarditis d) pregnancy
d. pregnancy "S3 at apex normal in children, pregnant females, well trained athletes, but disappears before middle age. Can also be systolic heart failure (if re-emerges later in life) - during passive ↑LV filling (when blood strikes compliant LV) 'ventricular gallop' - can be severe MR/TR https://www.healio.com/cardiology/learn-the-heart/cardiology-review/topic-reviews/s3-heart-sound "
709
23.1 Consideration for same-day discharge in an ex-premature infant after orchidopexy for undescended testis would be suitable at a minimum postmenstrual age of A. 44 weeks B. 46 weeks C. 50 weeks D. 54 weeks
d. 54 Ex-preterm infants at risk of post-operative apnoea should not be considered for same day discharge unless they are medically fit and have reached a postmenstrual age of 54 weeks. Term infants should not be considered for same day discharge unless they are medically fit and have reached a postmenstrual age of 46 weeks.d) 54 weeks ## Footnote https://www.anzca.edu.au/getattachment/568bad2d-7517-4eea-9c5d-cb7aa1c60
710
23.1 A feature that is atypical of multiple sclerosis is A. Unilateral visual loss B. Aphasia C. Diplopia D. Lower limb motor E. Some sensory thing
B. Aphasia All can happen in pts with MS but aphasia is less common (more commonly associated with disease of grey matter) - only a handful of case reports in literature https://jamanetwork.com/journals/jamaneurology/fullarticle/777200 " ## Footnote UTD
711
23.1 A patient with severe abdominal trauma develops acute respiratory distress syndrome. A diagnosis of abdominal compartment syndrome is confirmed if the patient also has a sustained intraabdominal pressure greater than A. 10mmHg B. 16mmHg C. 20mmHg D. 24mmHg
c) 20mmHg Intra-abdominal hypertension is defined as a sustained intra-abdominal pressure of >12 mm Hg, and abdominal compartment syndrome occurs at a pressure >20 mm Hg in association with new organ dysfunction. Intra-abdominal hypertension is graded as follows: Grade 1=12–15 mm Hg; Grade 2=16–20 mm Hg; Grade 3=21–25 mm Hg; and Grade 4 >25 mm Hg. ## Footnote https://academic.oup.com/bjaed/article/12/3/110/258792
712
23.1 The tip of an ideally-placed intra-aortic balloon catheter should lie in the A. Distal to aortic root B. Distal to left subclavian artery C. Distal to left carotid D. Distal to renal veins.
B. distal to LSCA The appropriate performance of the IABP is dependent on proper position. Ideally, the tip of the balloon should be positioned 2–3 cm distal to the origin of the left subclavian artery (LSCA) https://radiopaedia.org/articles/intra-aortic-balloon-pump - femoral artery sheath extends to proximal descending aorta ~1cm below subclavian artery -> if left radialpulse lost -> balloon is too high - radio-opaque tip lies in 2nd intercostal space just above left main bronchus -> lower end of balloon cephalad to renal arteries" ## Footnote https://academic.oup.com/bja/article/110/2/316/228037
713
23.1 Tranexamic acid is NOT useful for managing A. Post cardiac bypass B. Neurotrauma C. PPH D. Trauma E. Upper GI bleed
E. Upper GI bleed Incompressible sites, large volume blood loss and mortality risk are a few of the things that made GI bleeds seem like a natural fit for TXA administration. Early research seemed promising, but trials were small. The HALT-IT trial examined over 15,000 patients to see if TXA reduced death [14]. Not only did TXA have no effect on mortality, it increased the risk of seizure and thromboembolic events. Take home: No demonstrated benefit with TXA in GI bleeding ## Footnote https://www.ems1.com/research-reviews/articles/understanding-txa-AFkqRLajUv46X7xV/
714
23.1 A 40-year-old woman is administered a nerve block for extraction of her right lower wisdom tooth. The nerve that should be blocked is the A. Mental B. Lingual C. Inferior alveolar
c) inf alveolar The conventional inferior alveolar nerve block is the most commonly used nerve block technique in dentistry The nerves anesthetized are the inferior alveolar, incisor, mental, and lingual nerves. The mandibular teeth to the midline, the body of the mandible, the lower part of the mandibular ramus, buccal periosteum and mucous membrane to the premolars, anterior 2/3 of the tongue, oral floor, lingual soft tissue, and the periosteum are all anesthetized Mental nerve is terminal branch of inf alveolar and exits mental foramen - innervates skin over lower lip and chin region ## Footnote https://www.ncbi.nlm.nih.gov/pmc/articles/PMC6218392/
715
23.1 An adult patient undergoing surgical aortic valve replacement is in ventricular fibrillation after the removal of the aortic cross clamp and requires internal defibrillation. It has been shown it is safe to deliver a charge of up to: a) 10J b) 20J c) 30J d) 50J e) 100J
"50J UK resus - defib Internal defib requires less energy. Biphasic more effective than monophasic. For biphasic shocks, use 10- 20 J, delivered directly to the myocardium through internal paddles. Monophasic shocks require approximately double these energy levels. Do not exceed 50 J when using internal defibrillation - failure to defibrillate at these energy levels requires myocardial optimisation before defibrillation is attempted again. Energy selection is automatically limited to a range of 2—50 joules when internal paddles are connected. Stryker PDI Make sure the maximum energy available is 50 Joules. Product PDI " ## Footnote https://www.ncbi.nlm.nih.gov/books/NBK499899/
716
23.1 During neonatal resuscitation, the pulse oximeter should be placed on the A. Right hand B. Left hand C. Right foot D. Left foot
Pre-ductal -> right "d) Right hand/wrist (pre-ductal): avoids right to left shunt of ductus arteriosus - reliable 90 secs after birth Post-ductal = either foot (preductal higher immediately after birth) Time after birth (mins) / targets: 1 / 60-70% 2 / 65 - 85% 3 / 70-90% 4 / 75-90% 5 / 80-90% 10 / 85-90%"
717
23.1 The causes of macrocytic anaemia include A. Liver failure B. Renal failure C. Thalassaemia D. Thyrotoxicosis E. Vitamin e deficiency
A A - Alcohol is a common cause of macrocytosis and macrocytic anemia. (UpToDate) B - No - normally nomrocytic chronic disease anaemia C - No - microcytic D - I can't find anything on macrocytosis with thyrotoxicosis, but hypothyroidism definitely does E - Possibly.... https://hemonc.mhmedical.com/content.aspx?bookid=1783§ionid=121720217 Causes of macrocytic anaemia: (lacking vit/B12, Thyroid/BM function, liver from alcohol) Vitamin B12 deficiency, folate deficiency Liver disease (↑cholesterol/phospholipids deposit on RBC -> ↑size), alcoholism Hypothyroidism Myelodysplastic disease Medication - for cancer, seizure, autoimmune disorrder ↑ RBC production to correct anaemia post blood loss "
718
23.1 The function of the (electrical) earth conductor in operating theatre patient monitoring equipment is to A. Prevent microshock B. Prevent electrocution
B - prevention of electrocution. BJA Education
719
23.1 The next patient on your endoscopy list is a 50-year-old woman who has been scheduled for gastroscopy and colonoscopy under sedation, after unsatisfactory proceduralist-supervised midazolam and fentanyl sedation in the past. She states that she has egg anaphylaxis and carries an adrenaline (epinephrine) auto-injector. The most appropriate agent to use for her sedation is A. Propofol B. Ketamine C. Remifentanil D. Sevofluarane
A The situation in adults is straightforward: there is convincing evidence that propofol is safe in patients who are allergic to peanut and/or soy and/or egg. BJA Ed https://academic.oup.com/bja/article/116/1/11/2566111 safe in egg anaphlaxis (and soy/peanuts). Shellfish/contrast allergy no ↑risk to povidone iodine ""Current literature supports the administration of propofol in patients allergic to egg, soy and peanuts. Patients with shellfish allergy or allergy to contrast material have the same risk of allergy to povidone iodine as the general population"". ANZCA 2021 bulletin Risk of anaphylaxis 1:10 000"
720
23.1 During standard diagnostic nocturnal polysomnography for investigation of obstructive sleep apnoea, apnoea is defined as cessation of airflow for A. 10 sec B. 20 sec C. 30 sec D. 10 sec with 3% desat E. 20 sec with 3 % desat
A Apnea is defined as the cessation of airflow for ten or more seconds. Hypopnea is defined as a recognizable, transient reduction, but not a complete cessation of, breathing for ten or more seconds. Hypopnea requires a 4% fall in SpO2 https://www.ncbi.nlm.nih.gov/books/NBK441909/#:~:text=Obstructive%20Sleep%20Apnea%20(OSA)%2C,for%20ten%20or%20more%20seconds.
721
23.1 A healthy woman is admitted to the obstetric unit with threatened preterm labour at 29 weeks gestation. Her blood pressure is 140/80 mmHg. A magnesium sulfate infusion is indicated for the purpose of A. Maternal seizure prevention B. Fetal lung development C. Foetal neuroprotection
C. Foetal neuroprotection (Mg infusion for 4g over 20 mins, then 1g/hr for 24hrs - further 2g over 5 mins if seizure during load) <30 weeks GA = fetal neuroprotection https://www.bjaed.org/article/S2058-5349(20)30114-1/fulltext 2020 BJA on pre-eclampsia https://www.health.qld.gov.au/__data/assets/pdf_file/0034/139948/g-hdp.pdf " https://www.kemh.health.wa.gov.au/~/media/HSPs/NMHS/Hospitals/WNHS/Documents/Clinical-guidelines/Obs-Gyn-Guidelines/Preterm-Labour-Magnesium-Sulphate-for-Neuroprotection-of-the-Fetus.pdf?thn=0#:~:text=MgSO4%20is%20only%20given%20to,4%20hours%20prior%20to%20delivery.
722
23.1 You are asked to review a 5-year-old child weighing 24 kg in the recovery room for acute pain management after a tonsillectomy performed for obstructive sleep apnoea. The most appropriate analgesic regimen would be Painstop formulation (codeine 1mg/ml, paracetamol 24mg/ml). (interestingly composition of painstop not included in the released stem but was on the day of the exam) A Painstop q6h PRN, ibuprofen, tramadol B Painstop q6h, oxycodone PRN C Paracetamol 300mg q6h oxycodone D Paracetamol 300mg QID, ibuprofen 200mg TDS, tramadol 20mg PRN
"b) paracetamol, ibuprofen, tramadol PRN PROSPECT guideline - Paracetamol + NSAIDS (pre op, intraop and postop) - single dose IV dexamethasone (For pain and antiemetic) - note ↑risk of reoperation but not ↑risk of bleeding - opioids for rescue in post op - preop gabapentinoids or intra op (peritonsillar) ketamine (for children) or intraop dexmed when basic analgesia contraindicated - adjuncts - dextramorphan, magnesium, acupuncture, honey - both work https://associationofanaesthetists-publications.onlinelibrary.wiley.com/doi/full/10.1111/anae.15299 " "DO NOT use codeine after andenotonsillectomy due to risk of apnoea/death (ANZCA pain) Note ibuprofen may ↑severity of haemorrhage post tonsillectomy Aspirin/ketorlac ↑risk of reop in adults, but not children Celecoxib optimal (selective) Note giving peritonsillar ketamine/tramadol or parenterally were similar in Pain Book"
723
23.1 The bioavailability of an oral dose of ketamine is approximately A. 10% B. 20% C. 40% D. 70% E. 80%
B. 20% 25% (a few studies have higher ranges but typically around 20-25%) https://doi.org/10.1192/bjp.bp.115.165498 Oral - 20% Subling - 30% IN - 40-50% IM - 93%
724
23.1 A patient presents for a transurethral resection of the prostate (TURP). He had a single drug-eluting coronary stent for angina pectoris inserted six months ago and is taking clopidogrel and aspirin. The most appropriate preoperative management of his medications is to a) Cease aspirin, continue clopidogrel b) Cease aspirin for 10 days, cease clopidogrel for 5 days c) Cease clopidogrel for 5 days, continue aspirin d) Cease clopidogrel for 10 days, continue aspirin e) Continue both aspirin and clopidogrel
C) Cease clopidogrel for 5 days, continue aspirin WFSA update document https://resources.wfsahq.org/wp-content/uploads/uia29-Perioperative-management-of-patients-with-coronary-stents-for-non-cardiac-surgery.pdf "b) cease clopidogrel for 5 days (high risk), continue aspirin 2016 AHA 1) Elective noncardiac surgery should be delayed 30 days after BMS implantation and optimally 6 months after DES implantation - if P2Y12 needs to stop, can consider surgery 3 months after DES if risk of further delay > risk of stent thrombosis -> Do NOT perform surgery <3 months post DES 1st year DES = riskiest; 1% risk after 6 mths of adverse cardiac events 2) If pts on DAPT (post PCI), and P2Y12 needs to stop -> continue with aspirin -> Spanish (European) guidelines say switch clopidogrel only to aspirin 2023 CHEST (see top right) - Elective surgery, DAPT for Stents within last 3-12 months, stop P2Y12 inhibitor (without bridging) "
725
23.1 Of the following, the drug that is LEAST likely to provide effective analgesia following paediatric tonsillectomy is A. Inhalational anesthesia B. Remifentanil at end of case C. Dexamethasone D. Intranasal ketamine or a. Ketamine b. Clonidine c. NSAIDs d. Paracetamol e. Dexamethasone
A. Inhalational anesthesia or b. Clonidine Prospect: two studies focused on tonsillectomy, and those did not show any additional analgesic effect of clonidine when used on top of adequate baseline medication after tonsillectomy. PROSPECT https://associationofanaesthetists-publications.onlinelibrary.wiley.com/doi/10.1111/anae.15299#:~:text=The%20basic%20analgesic%20regimen%20should,analgesic%20and%20anti%2Demetic%20effects.
726
23.1 A 72-year-old woman on aspirin therapy presents to her ophthalmologist for follow up three days after you performed a transconjunctival peribulbar block for cataract surgery on her left eye. She complains of painless periorbital swelling, erythema and mild chemosis which started the day after surgery but is improving. She also had a peribulbar block three weeks ago for surgery on the other eye. The most likely diagnosis is a. Retrobulbar haemorrhage b. Residual swelling from peribulbar block c. Periorbital cellulitis d. Hyalase/hyaluronidase reaction/allergy E. Conjunctivitis
d. Hyalase/hyaluronidase reaction/allergy https://www.ncbi.nlm.nih.gov/pmc/articles/PMC4850816/ " retrobulbar haemorrhage - will have ^IOP and decreased VA https://pubmed.ncbi.nlm.nih.gov/16362314/ 12-72hrs post cataract surgery: - axial proptosis, - periorbital erythema with swelling. Periorbital pain/itch - extraocular muscle (EOM) function restriction (5/5) - conjunctival chemosis (4/5). Retrobulbar haemorrhage: 2-3 hrs severe orbitalpain, periorbital ecchymosis, eyelid hematoma, ophthalmoplegia, proptosis, subconjunctival hemorrhage. Visual loss and RAPD +ve in orbital compartment syndrome Periorbital cellulitis = infection of eyelid and surrounding skin (swelling/pain/erythema)"
727
23.1 This 12 lead ECG shows A. Complete heart block B. Mobitz I C. Mobitz II D. LPFB + RBBB E. LAFB + RBBB
E Can't remember if this was the exact ECG but it had LAD
728
23.1 A 25-year-old woman has critical bleeding following major trauma. Her blood group is unknown. Fresh frozen plasma that she receives should ideally be from A. Any B. A C. B D. AB E. O
D - AB Group AB plasma or group A plasma that is high-titre negative can be given in an emergency when the blood group is unknown. Group AB plasma is universal but in short supply. Our guidelines say type A is appropriate as type AB is very rare. In neonates, infants under 1 use group AB. FFP - volume 250-300mL - fibrinogen (700-800mg) - all coag factors including II, VII, VIII, IX, X, XI, vWF - Deranged: preferably ABO-typed, as donor plasma may contain anti-ABO antibodies. Crossmatch/RhD not necessary"
729
23.1 The success rate of stopping smoking before surgery is NOT improved by a) Bupropion b) Clonidine c) Nortroptyline d) Varencicline e) SSRI
E - SSRIs ANZCA PG12 Background Paper
730
23.1 A woman who is to undergo a caesarean section reports that she is allergic to amoxicillin. The reaction is limited to a rash. For surgical antimicrobial prophylaxis, you should administer A. Cefoxitin B. Cefazolin C. Doxycycline D. Clindamycin
Cefazolin A first-generation cephalosporin is recommended, such as 2g intravenous cefazolin. The dose should be increased to 3g for women weighing over 120kg. Consideration should also be given to a repeat dose if the procedure is prolonged (over 3 hours). * For women with a history of immediate or delayed nonsevere hypersensitivity to penicillins, cefazolin, as above, remains appropriate. * For women with a history of immediate or delayed severe hypersensitivity to penicillins, use Clindamycin 600mg iv plus Gentamicin 2mg/kg iv. * For women colonised with Methicillin-resistant Staphylococcus aureas (MRSA) or at increased risk of being colonised with MRSA, add Vancomycin 15mg/kg iv. * Azithromycin may be considered at caesarean sections performed during labour or at least four hours after rupture of membranes (2). Administration of azithromycin 500mg has been shown to reduce a composite outcome of endometritis, wound infection or other infection (3). However, a strong recommendation in favour of routine use is not yet warranted given the concerns around the external validity of the paper, inducing resistance to azithromycin and possible effects on the establishment of the indigenous microbiome. According to MSH guidelines - alternate therapy If severe hypersensitivity - Teicoplanin 400mg IV (800mg if >80kg) + tobramycin 2mg/kg IV Lincomycin 600mg in practice"
731
23.1 Compared to a continuous epidural infusion, patient controlled epidural analgesia does NOT reduce A. cesarean section rate. B. Instrumental delivery. C. Total dose of local anaesthetic. D. height of block, motor block. E. clinical workload
"a) c/s rate Epidural does not affect c/s rate (with either type of epidural, compared to those without) Assoc/ decrease in instrumental deliveries in nulliparous females with intermittent bolus with no difference in C-section rate Lower concentration LA decreased rate of instrumental delivery (w/ less motor blockade & improved fetal outcomes) with similar levels of analgesia ANZCA blue book 2021 pg 195 PCEA vs continuous epidural infusion: - Decreased motor blockade - decreased total LA consumption - decreased workload - similar obstetric outcomes and analgesia
732
23.1 The use of erythropoietin before major surgery results in a) Less transfusion, same thrombosis b) Less transfusion, more thrombosis c) No change in transfusion or thrombosis d) No change in transfusion, more thrombosis
repeat a) Less transfusion, same thrombosis 2020 Cochrane review: Moderate-quality evidence suggests that preoperative rHuEPO + iron therapy for anaemic adults prior to non-cardiac surgery reduces the need for RBC transfusion and, when given at higher doses, increases the haemoglobin concentration preoperatively. The administration of rHuEPO + iron treatment did not decrease the mean number of units of RBC transfused per patient. There were no important differences in the risk of adverse events or mortality within 30 days, nor in length of hospital stay. Further, well-designed, adequately powered RCTs are required to estimate the impact of this combined treatment more precisely. https://www.cochrane.org/evidence/CD012451_use-erythropoietin-plus-iron-correct-anaemia-surgery-reduce-risk-blood-transfusion
733
23.1 Anaesthesia-induced rhabdomyolysis differs from malignant hyperthermia in that it is NOT a. Reduced Myoglobinaemia b. Less increase in ETCO2 C. Less muscle rigidity
a. Reduced Myoglobinaemia Repeat but its not myoglobinuria it was myoglobinaemia - There is NOT reduced myoglobinuria with AIR compared to MH (both have myoglobinuria) - There IS less increase in ETCO2 - There IS less muscle rigidity
734
23.1 Of the following, the drug which is most effective in the management of severe hyperthermia in serotonergic syndrome is A. Paracetamol B. Diazepam C. Dantrolene D. rocuronium
"d) rocuronium (as severe) - diazepam if mild #Hyperthermia in SS - mostly mediated by muscle hyperactivity - paracetamol, dantrolene ineffective - mild: topical cooling and benzos to ↓muscle activity - severe (>41.1 degrees) -> rhabdo, metabolic acidosis, DIC -> Rx = sedation, NDMB necessary (avoid suxamethonium due to hyperkalaemia) https://www.medsafe.govt.nz/profs/PUArticles/Dec2012Neuroleptic.htm#:~:text=However%2C%20NMS%20is%20characterised%20by,are%20indicative%20of%20serotonin%20syndrome "#Agitation/anxiety -> benzos #Autonomic instability - IV fluids for hypotension (helps with rhabdo as well) +/- direct acting (phenyl/norad/Adr) - HTN/Tachycardia -> esmolol and GTN (short-acting as unpredictable); dexmedetomidine also an option -> avoid hydralazine (inhibits MAO) and indirect (e.g. ephedrine, dopamine) -> unpredictable) Consider cyproheptadine (H1 antagonist) -> helps w/ symptoms and in severe presentations Algorithm on right from BJA 2020 https://www.bjaed.org/article/S2058-5349(19)30153-2/fulltext "
735
23.1 In order to minimise the risk of cardiac arrhythmia, surgical diathermy has been designed to operate with A. High frequency B. High amplitude C. Low frequency D. Low amplitude E. Using EES
A. High frequency
736
23.1 The medication most strongly associated with an acute primary hypotensive reaction following transfusion of blood products is A. Aspirin B. Metoprolol C. Hydralazine D. perindopril
* D. perindopril isolated hypotension is rare - most likely due to excess bradykinin, especially when bradykinin metabolism is inhibited (eg. In patients on ACEi) https://www.lifeblood.com.au/health-professionals/clinical-practice/adverse-events/hypotension " Acute hypotensive transfusion reaction (AHTR) is characterized by the abrupt onset of hypotension immediately after the start of transfusion and usually resolves when transfusion ceases. Recent studies have shown an association with pre-operative treatment with an angiotensin-converting enzyme (ACE) inhibitor https://www.lifeblood.com.au/health-professionals/clinical-practice/adverse-events/hypotension
737
22.1 A 45-year-old man presents with a history of shortness of breath and the following flow-volume loop is obtained. This is most consistent with a) Variable intrathoracic obstruction b) Variable extrathoracic obstruction c) Fixed upper airway obstruction d) Restrictive pattern e) Normal
"c) variable extrathoracic (d made up) Extrathoracic is below (on inspiration) Intrathoracic is above (on expiration) Fixed is both - if inspiration affected -> extrathoracic - if expiration affected -> intrathoracic - if both affected -> large airway obstruction Flow-volume loops "
738
22.1 A 72-year-old female smoker with hypertension presents to the emergency department with a wrist fracture after a fall. She has been increasingly tired and confused over the previous week. Her serum and urine electrolytes are (supplied). The most likely diagnosis is (Low K, low Na, Normal Ur and Cr, Ur sodium <10mmol/L) a. SIADH b. Addison’s c. Diuretic
c. Diuretic chronic frusemide - low Na/K/Cl CSWS - hyponatraemia, hypovolaemia, elevated urinary Na (>40) w/ elevated urine osmolality SIADH - hyponatraemia, euvolaemia/hypervolaemia, elevated urine Na (>20) hypothryoid - hypervolaemia hyponatraemia (high ADH in response to hypothyroidism decreasing CO), high urine sodium adrenal insufficiency - hyponatraemia, hyperkalaemia, metabolic acidosis (H+ retention) (aldosterone usually retains sodium, excretes potassium/H+)"
739
22.1 A 74-year old man complains of chest pain. An electrocardiograph is performed and displayed here. The occluded coronary artery could be the a) RCA or LCx b) RCA c) LAD
RCA or LCx
740
22.1 The recommended filter grade of a needle to be effective in excluding microorganisms is
0.20 um
741
22.1 A patient has severe hypokalaemia and is in cardiac arrest. The Australian Resuscitation Council and the New Zealand Resuscitation Council recommend intravenous potassium should be given as a) 5mmol bolus KCl b) 10mmol bolus KCl c) 5mmol KCl over 5min d) 5mmol KCl over 10min e) 20mmol KCl over 10min
5 mmol 3.6 Potassium Potassium is an electrolyte essential for membrane stability. Low serum potassium, especially in conjunction with digoxin therapy and hypomagnesaemia, may lead to life threatening ventricular arrhythmias. Consider administration for: * Persistent VF due to documented or suspected hypokalaemia. [Class A; Expert consensus opinion] ANZCOR Guideline 11.5 August 2016 Page 9 of 13 Adverse effects: * Inappropriate or excessive use will produce hyperkalaemia with bradycardia, hypotension and possible asystole * Extravasation may lead to tissue necrosis. Dosage: A bolus of 5 mmol of potassium chloride is given intravenously
742
22.1 A 75-year-old man has a loud ejection systolic murmur detected on clinical examination before a joint replacement. A focused transthoracic echocardiogram (TTE) detects a calcified aortic valve with a peak aortic jet velocity of 3 m/s. The peak gradient across the aortic valve is a) 36mmHg b) 44mmHg
"4xv^2 = peak gradient = 4 x 9 = 36mmHg velocity of 3m/s is moderate AS VSD haemodynamics Aortic stenosis classifications (Mild/mod/severe & v severe) Mean P gradients: <20/20-39/40 (& 60) Vmax: 2-3/3-4/>4 (&>5) AVA <1.0 or AVAi <0.6 = severe"
743
422.1 The current ANZCA guidelines for preoperative fasting of adult patients state that studies have shown that it is safe to administer a) unlimited clear fluid 2 hours prior b) 200ml clear fluid 2 hours prior c) 300ml clear fluid 2 hours prior d) 400ml clear fluid 2 hours prior
400mls of clear fluids pre op Safe upper limit - definitely has not not been identified and will vary from patient to patient. Clear fluids Water / CHO rich fluids / pulp free fruit juice / clear cordial / black tea and coffee
744
22.1 A two-year-old boy with a history of respiratory tract infection one week previously has just undergone squint surgery. His airway was managed with a size 4.5 mm cuffed endotracheal tube. The surgery was unremarkable. Twenty minutes after extubation he is awake and appears anxious, with stridor and a visible tracheal tug. His oxygen saturation is 96% on room air. The best initial management of this child is to administer a) Dexamethasone 0.6mg/kg b) Adrenaline nebulised 1:1000 - 0.5mL/kg c) CPAP + T piece d) Drugs for re-intubation
Nebulised Adrenaline 1mg 0.5ml/kg of 1:1000 Adrenaline nebulised up to 5ml once adrenaline given consider dose of Steroid dexamethasone 0.6mg/kf up to 10mg ETT cuffed = age/4 + 3.5 = size 4 (would be appropriate size if uncuffed) Likely stridor secondary to large ETT, 1hr intubation, frequent head manipulation
745
22.1 You place a paravertebral catheter for postoperative analgesia at the level of T5 in an adult patient prior to a thoracotomy. Two minutes following the injection of 0.75% ropivacaine 10 mL, the patient becomes bradycardic, hypotensive and apnoeic. The most likely cause of the complication is a) Subarachnoid injection b) IV injection c) LA toxicity
A. subarachnoid injection due to timeline
746
22.1 A patient is anaesthetised from the awake state to a state of surgical anaesthesia with propofol or a volatile anaesthetic. As the depth of anaesthesia increases, the patient’s electroencephalogram (EEG) will show oscillations that are of
Dominant EEG frequency decreases, and amplitude increases with increasing concentrations of anaesthetic. End result is burst suppression https://academic.oup.com/bja/article/115/suppl_ 1/i27/234261 Figure 1 shows raw EEG waveforms during isoflurane anaesthesia. During light anaesthesia: -amplitude is shallow and frequency is high. When a higher concentration is administered: -amplitude deepens and EEG frequency slows. During deep anaesthesia: - a ‘burst and suppression’ pattern becomes apparent, characterized by extreme activity, represented by high-frequency, large-amplitude waves (bursts), alternating with flat traces (suppression). - This pattern, excluding brain ischaemia or other factors, indicates that anaesthesia is too deep. Beyond this, flat traces become dominant and, eventually waveforms are no longer apparent. During isoflurane, sevoflurane or propofol anaesthesia, this sequence of changes in pattern is almost identical. The major difference in EEG between the volatile agents (isoflurane or sevoflurane) and propofol is apparent in power in the theta range. During propofol anaesthesia, theta power remains low regardless of concentration, but during isoflurane or sevoflurane anaesthesia, it increases at surgical concentrations of anaesthesia.
747
22.1 A 54-year-old woman has a laryngeal mask airway inserted for a surgical procedure. The following day she complains of tongue numbness and abnormal taste over the posterior third of the tongue. The most likely site of the nerve injury is the a) Glossopharyngeal nerve b) Lingual nerve c) Facial nerve d) Vagus nerve
"a) Posterior 1/3 tongue (taste and touch) is glossopharyngeal nerve (Lingual nerve (CN V3 mandibular branch) - sensory anterior 2/3 tongue). *** Lingual nerve most associated with damage due to LMA insertion**
748
22.1 The washing process of modern cell savers for intraoperative blood salvage removes all the following EXCEPT a) Microaggregates of leucocytes b) Platelets c) Clotting factors d) Fetal cells e) Free Hb
Does not remove foetal red cells or vasoactive molecules (eg don’t use in pheochromocytoma surgery).
749
22.1 A patient with a haemopneumothorax has a chest drain in situ, which is attached to a three-bottle underwater seal drain apparatus. The system is attached to wall suction at -80 cmH20. This will cause a) Failure of underwater seal b) Water in suction chamber will enter drainage chamber c) Reexpansion of haemopneumothorax d) Oscillation in tube will diminish e) Inability for stuff to drain into first bottle
B "Swing normally occurs due to cyclical changes in pleural pressure from spont breathing No swing or reduced swing occurs when suction is applied, kinked/dislodged tube or resolution of pneumothorax. Wall suction must have at least -80mmHg of vacuum to operate a suction container at -20cmH2O. (suction inhibits pressure fluctuations in fluid column) Previous MCQ 2016B had the exact same stem but no water in third chamber, which leads to no suction created (as no water level)"
750
22.1 You inadvertently place a 7.5Fr central venous catheter into the carotid artery of a patient undergoing an emergency laparotomy for peritonitis. The best course of management is to a) Leave in, call vascular to repair at end of case b) Heparin, remove, apply pressure
A. Leave in situ and contact vascular surgeons "Algorithm from 2019 Blue book article. If <7Fr & artery not dilated: remove & apply pressure with imaging & monitoring. If>7Fr/dilated w/ sheath: LEAVE needle/sheath/CVC in-situ - If elective: cancel OT & immediate endovasc or open - If emergency OT/haemodynamic instability: continue operation then immediate endovasc or open If no IR or surgeon immediately available then heparin. - BUT don’t give the heparin intra-arterial through the CVL. "
751
22.1 A patient in atrial fibrillation with a CHA2DS2-VASc score of 2 has presented for elective hip surgery. Warfarin had been ceased for four days preoperatively and on the day before surgery the international normalized ratio (INR) was 2.1. The best course of action at this point is to a) Postpone surgery b) Vitamin K 3mg IV c) Prothrombinex 25IU/kg d) Cell saver intraop e) Proceed with surgery
Give 3mg of Vitamin K and re-check on day of surgery proceed if INR <1.5 on DOS
752
22.1 An anaesthetised patient is ventilated and has standard monitoring plus a central venous line. As surgery commences, the line isolation monitor alarms, indicating a potential leakage current of greater than 5 mA from one of the power circuits in use. The most appropriate action is to a) Ignore it b) Disconnect non-essential equipment one by one to identify fault
Line isolation monitor alarms when single fault in system. If the alarm is going off, the last piece of equipment plugged in is usually suspect and should be unplugged.
753
22.1 The dose of hydrocortisone that has equivalent glucocorticoid effect to 8 mg dexamethasone is a) 12mg b) 25mg c) 50mg d) 100mg e) 200mg
200mg Hydrocortisone or 25mg Prednisolone Conversion Prednisone 1mg = Hydrocortisone 4mg = Dexamethasone 0.15mg = Triamcinolone 0.8mg = Methylprednisolone 0.8mg = Betamethasone 0.15mg = (https://litfl.com/corticosteroids-overview/)
754
22.1 In the World Maternal Antifibrinolytic (WOMAN) trial, tranexamic acid administration within three hours of birth reduced the a) Decreased all cause mortality b) Decreased mortality due to bleeding c) Decreased transfusion d) Decreased use of Bakri balloons e) Increased rate of VTE
b) Decreased mortality due to bleeding "TXA in treatment of PPH cf. placebo > 1g TXA over 10mins + second dose after 30mins if ongoing. PPH (>500ml blood loss in 1st 24hrs). LSCS & Vaginal delivery - No difference composite endpoint (all cause death or hysterectomy) Death due to bleeding less in TXA group > absolute risk reduction 0.4% (NNT 267). No difference thromboembolic events (VTE, PE, MI, Stroke). Sub-analysis showed TXA given within 3hrs birth decrease death due to bleeding (>3hrs -> similar rates death)"
755
22.1 Preperitoneal pelvic packing is a surgical treatment of haemorrhage from a/an (From 2017 version) a. Control of venous bleeding associated with unstable pelvic fracture b. Control of arterial bleeding associated with unstable pelvic fracture c. Rupture ectopic d. Iliac artery dissection e. Open prostatectomy
"Control of venous bleeding associated with unstable pelvic fracture - pelvic ring fracture (haemodynamically unstable) - Arterial bleed -> need IR (angiography and embolisation) (incl. w/ haemodynamic instability) - Iliac artery/prostate would need retroperitoneal intervention - PPP alternate lifesaving haemorrhage control as most bleeding venous - if IR not available -> helps ~80% bleeding from presacral venous plexus & bony # sites -> arterial only 10-15% - won't control haemorrhage PPP - 20 mins with experienced surgeons; 8cm midline incision. Directly packs retroperitoneum w/o need for laparotomy"
756
22.1 The gauge pressure on a gas cylinder does NOT necessarily represent the contents remaining if the cylinder is filled with
Nitrous oxide Nitrous oxide boiling point -88.6C, critical temperature +36C -> so is below critical temp at room temp, therefore exists as a vapour in equilibrium with its liquid phase and is dependent upon pressure applied to it. Pressure gauge not informative – will always read ~52 bar (the pressure at which N2O liquefies at 20C). As vapour is drawn off, N2O moves from liquid to vapour phase, maintaining the equilibrium and same vapour pressure within the cylinder. To determine contents: cylinder must be weighed and weight of empty cylinder subtracted, then number of moles of N2O in cylinder calculated using Avogadro’s number.
757
22.1 Maintaining a CO2 pneumoperitoneum at a pressure of 15 mmHg is most likely to lead to a) Lactic acidosis b) Decreased arterial blood pressure c) Decreased heart rate d) Increased CVP e) Increased renal blood flow f) Increased SVR
f) Increased SVR "b) increased SVR IAP<10mmHg - ↑ VR/CO (from splanchnic/GI cirulcation) IAP 10-20mmHg (MC) - ↓VR/CO, ↑ SVR (also ↑catecholamines), <->or ↑BP IAP>20mmHg - ↓↓ VR/CO --> ↓ BP (starts to impede VR seriously) https://academic.oup.com/bjaed/article/4/4/107/308013 2004"
758
22.1 Of the following, the drug most likely to cause pulmonary arterial vasodilation with systemic arterial vasoconstriction when used in low doses is a) Adrenaline b) Noradrenaline c) Vasopressin d) Dopamine e) Dobutamine
"c) vasopressin (pressor of choice in pulmonary HTN) Dopamine/norad/adrenaline cause ↑PVR. Dobutamine ↓SVR EM crit comparison " https://emcrit.org/ibcc/pressors/ - From UP TO DATE: > At low doses of 1 to 3 mcg/kg per min, dopamine acts primarily on dopamine-1 receptors to dilate the renal and mesenteric artery beds > At 3 to 10 mcg/kg per min (and perhaps also at lower doses), dopamine also stimulates beta-1 adrenergic receptors and increases cardiac output, predominantly by increasing stroke volume with variable effects on heart rate. > At medium-to-high doses, dopamine also stimulates alpha-adrenergic receptors, although a small study suggested that renal arterial vasodilation and improvement in cardiac output may persist as the dopamine dose is titrated up to 10 mcg/kg per min *clinically, the haemodynamic effects of dopamine demonstrate individual variability Dobutamine (inodilator): - selective β1-agonist that increases cardiac contractility and reduces pulmonary vascular and systemic vascular resistances Vasopressin: - vasopressin may have pulmonary vasodilatory effects in addition to a systemic vasoconstrictive effect Milrinone (inodilator): - the phosphodiesterase-3 inhibitors, milrinone and enxoimone, have positive inotropic effects combined with the capacity to reduce RV afterload (‘inodilators’) without significant chronotropic effect, but they can be associated with significant systemic hypotension
759
22.1 When fresh frozen plasma is administered to treat hypofibrinogenaemia in a bleeding patient, the volume required to achieve an increase in plasma fibrinogen concentration of one gram per litre is A. 5 ml/kg B. 10 ml/kg C. 20 ml/kg D. 30 ml/kg E. 50 ml/kg
D. 30 ml/kg "c) 30mL/kg To raise fibrinogen by 1g/L, give: - FFP 30mL/kg (i.e. 2.1L for 70kg pt) - Fibrinogen concentrate 3g (each vial 1g -> 3 vials) - Cryoprecipitate (whole blood) 1 unit per 5kg BW (note 1 unit/5-10kg BW increases fibrinogen by 0.5-1g/L); -> typical adult dose is 10 units ~3-4g fibrinogen -> if cryoprecipitate apheresis, 1 unit per 10kg (1 unit per 10-20kg increases fibrinogen by 0.5-1g/L) Cryo values are derived mathematically"
760
22.1 You review a patient before major bowel surgery. Using the American Heart Association/American College of Cardiology consensus guidelines, you assess him as being at intermediate risk of a perioperative adverse cardiac event. When explaining this to the patient, this best translates to a numerical risk in the range of a) 1-5% b) 5-10% c) 10-15% d) 15-20%
B 5-10% https://www.heartfoundation.org.au/for-professionals/guideline-for-managing-cvd
761
22.1 Postdural puncture headache in obstetric anaesthesia is associated with a greater likelihood of all of the following EXCEPT a. Sheehan syndrome b. Depression c. Chronic back pain d. Bacterial meningitis
a) Sheehan syndrome - postpartum ANTERIOR pituitary gland necrosis - usually due to signficant PPH (can be also be antepartum blood loss) - first sign often unable to breastfeed w/ no periods "evidence showed an association between inadvertent dural puncture and/or PDPH with chronic headache, backache, neckache, depression, cranial nerve palsy, SDH, or Cerebral vein sinus thrombosis (level of certainty: moderate)" Consensus guidelines: https://jamanetwork.com/journals/jamanetworkopen/fullarticle/2808365 UTD: ● Infection (eg, meningitis) ●Bleeding, including spinal epidural hematoma ●Intracranial hypotension syndromes (eg, cranial neuropathies, subdural hematoma, cerebral venous thrombosis) ●Cerebral herniation ●Cerebral vasoconstriction and encephalopathy syndromes (uncertain evidence, assoc. PET) ●Pneumocephalus ●Radicular or back pain ●Late onset of epidermoid tumors of the thecal sac ●Chronic back pain, headache and neck pain Has been asked with PRES: Quite a few case reports of PRES and PDPH: proposed mechanism is that development of intracranial hypotension following a cerebrospinal fluid (CSF) leak causes traction on meningeal vessels, which leads to cerebral vasospasm, headache and visual disturbance https://pmc.ncbi.nlm.nih.gov/articles/PMC4461750/#:~:text=The%20pathophysiologic%20process%20underlying%20PRES,illustrative%20diagram%2C%20Figure%202).
762
22.1 A woman with atrial fibrillation has no valvular heart disease. According to AHA guidelines, oral anticoagulants are definitely recommended if her CHA2DS2-VASc score is greater than or equal to a. 2 b. 3 c. 4 d. 5 e. 6
REPC. 3 - if male CHA2DS2-VASc score ≥2 to be recommended chronic OAC (Grade 1A). - if female CHA2DS2-VASc score ≥3 to be recommended chronic OAC (Grade 1A). * non-sex risk factor also holds bearing: - For patients with CHA2DS2-VASc score of 1 in males and 2 in females based on age 65 to 74 years, we recommend chronic OAC (Grade 1A). Up to date: Our approach to deciding whether to prescribe anticoagulant therapy for patients with AF (excluding those with rheumatic mitral stenosis that is severe or clinically significant [mitral valve area ≤1.5 cm2], a bioprosthetic valve [surgical or bioprosthetic] within the first three to six months after implantation, or a mechanical heart valve) is as follows: *For a CHA2DS2-VASc score ≥2 in males or ≥3 in females, we recommend chronic OAC (Grade 1A). *For a CHA2DS2-VASc score of 1 in males and 2 in females: -For patients with CHA2DS2-VASc score of 1 in males and 2 in females based on age 65 to 74 years, we recommend chronic OAC (Grade 1A). Age 65 to 74 years is a stronger risk factor than the other factors conferring one CHA2DS2-VASc score point. -For patients with other risk factors, the decision to anticoagulate is based upon the specific nonsex risk factor and the burden of AF. For patients with very low burden of AF (eg, AF that is well documented as limited to an isolated episode that may have been due to a reversible cause such as recent surgery, heavy alcohol ingestion, or sleep deprivation), it may be reasonable to forgo chronic OAC and institute close surveillance for recurrent AF, although it may not be possible to reliably estimate AF burden from surveying symptoms or infrequent monitoring. The frequency and duration of AF episodes vary widely over time, and episodes are often asymptomatic. *For patients with a CHA2DS2-VASc of 0 in males or 1 in females, we suggest against OAC (Grade 2C). Patient values and preferences may impact the decision. For example, a patient who is particularly stroke averse and is not at increased risk for bleeding may reasonably choose anticoagulation, particularly if the patient is a candidate for treatment with a direct oral anticoagulant (DOAC). 2019 AHA/ACC/HRS Focused Update of the 2014 AHA/ACC/HRS GuidelineEAT
763
22.1 When using cardioversion to revert a patient in atrial fibrillation to sinus rhythm, the direct current shock is synchronised with the ECG to coincide with the a. Start of R wave b. Start of Q wave c. Middle of T wave d. peak of R wave
d) Peak of R wave The appropriate energy level is then selected, and the discharge/shock button is pressed and held. The defibrillator does not release the shock immediately. Instead, it waits for the next R-wave to appear and delivers the shock at the time of the R-wave. This allows the shock to be provided safely away from the T wave, avoiding the R-on-T phenomenon.
764
22.1 A 30-year-old parturient presents in labour. She has a history of Addison’s disease from autoimmune adrenalitis and has been taking prednisolone 6 mg daily for ten years. On presentation the patient is given hydrocortisone 100 mg intravenously. The most appropriate steroid replacement regimen the patient should receive during labour is a. 25mg TDS hydrocortisone b. 8mg/hr hydrocortisone c. 6mg PO prednisone
"c) Bolus 100mg and then 200mg/24hours = 8mg/hr For both primary/secondary adrenal insufficiency or chronic steroid use, labour and vaginal delivery glucocorticoid management is: 1) 100mcg hydrocortisone STAT then 2) 200mcg/24 hours (8mg/hr) or 50mg IM q6h until after delivery 2020 AAGBI Periop steroid guidelines:"
765
22.1 Abnormal Q waves are NOT a feature of the electrocardiogram in A. Digitalis toxicity B. LBBB C. Recent transmural MI D. Wolff-Parkinson-White E. Previous MI
A. Digitalis toxicity Miller’s The ECG made easy http://lifeinthefastlane.com/ecg-library/pmi/ Normal Q waves - Due to depolarisation of the interventricular septum from left to right - Seen in the left-sided leads (I, aVL, V5, V6) Pathological Q waves - > 1 mm depth - > 1 mm (= 40 ms) across Digoxin ECG changes - Therapeutic: prolonged PR interval (AV nodal delay), shortened QTC intervals (rapid ventricular repolarisation), ST depression (↓ slope of phase 3), T wave inversion - Toxic: atrial or ventricular arrhythmias (↑ automaticity), prolonged PR interval → heart block, SA node inhibition → sinus arrest - Atrial tachycardia with block = most common arrhythmia attributed to digoxin toxicity - VF = most frequent cause of death - QRS = normal! Q waves in MI - Occur with transmural infarctions, and are less likely with subendocardial infarctions - Develops days after the onset of AMI, and is usually permanent - Indicates the part of the heart that has been damaged LBBB ECG changes - Wide QRS - Wide QS complex in lead V1 - Wide R wave in lead V6 with slight notching at the peak and TWI - The axis is highly variable: can be normal or deviated to the left or right Wolff-Parkinson-White syndrome - Due to the presence of an accessory bundle between the atrium and ventricle, which has no AV node to delay conduction - Short PR interval - Early slurred upstroke of the QRS complex due to delta wave
766
22.1 The fourth position of the international pacemaker (NBG) code represents the A. Pacing B. Programability C. Sensing D. Anti-dyrhythmic functions E: Inhibition
B. Programability Position 1 - chambers paced (O / A / V /D) Position 2 - chambers sensed ( O / A / V / D) Position 3 - response to sensing ( O / T / I / D ) Position 4 - programabillity / rate modulation ( O / P (simple) / M (multi) / C (communicating) Position 5 - anti-tachycardia function: (O / P / S / D / Multi-site pacing)"
767
22.1 In a 5-year-old child with severe life-threatening anaphylaxis and no intravenous access, the recommended initial dose of intramuscular adrenaline is a. 100mcg b. 150mcg c. 300mcg d. 500mcg e. 600mcg
150mcg IM Then commence adrenaline infusion 0.1mcg/kg/min to 2mcg/kg/min "0 - 6 yo - 150mcg IM 6 - 12 yo - 300mcg IM >12 yo - 500mcg IM Refractory management: Additional IV fluid 20-40ml/kg, Noradrenaline infusion 0.1- 2mcg/kg/min Vasopressin infusion 0.02-0.06 units/kg/hr, glucagon 40mcg/kg IV
768
22.1 A four-year-old boy is in refractory ventricular fibrillation. The recommended dose of amiodarone is
80mg Age + 4 x 2-> 4 + 4 x 2 =16kg 5 x 16mg =80mg
769
22.1 In comparison with fresh frozen plasma, cryoprecipitate contains an increased concentration of factor a. II b. VII c. XI d. XIII
d. XIII Cryo - volume 10-20mL - fibrinogen (i.e. Factor I, 150-250mg), F VIII, vWF, fibronectin, FXIII - not used to replace factors as factor concentrates and recombinant products are safer and better FFP - volume 250-300mL - fibrinogen (700-800mg) - all coag factors including II, VII, VIII, IX, X, XI, vWF"
770
22.1 Jet ventilation for shared airway surgery is traditionally delivered at pressures in atmospheres(atm) of a) 1 ATM b) 2 ATM c) 3 ATM d) 4 ATM"
"BJA 2007 jet ventilation: A typical parameter-set for HFJV via a subglottic catheter is DP, 2 atm; f/150 min; FIO2, 1.0; I-time, 50%. Equipment in Anaesthesia & critical care: Manual jet ventilation: from wall therefore P=4bar initially, Sanders injector P=4bar, ManuJet has pressure regulator therefore P0.5-3.5bar (50-350kpa). High frequency jet ventilation: Dirving pressure adjustable 0.4-3.5bar but usually start at 1.5bar (150kpa)." Also asked as a) 0-1 atm b) 1-4atm c) 4-8 atm B
771
22.1 Following the initial subarachnoid haemorrhage from a ruptured aneurysm, the patient is at greatest risk of rebleeding during the following a. 1-3 days b. 3-5 days c. 5-7 days d. 7-10 days
"a) 1-3days 5-10% within first 72hours (worse w/ large aneurysms & poor grades) Aneurysmal SAH MxhASA (stroke) subarachnoid 2023 guidelines Minimise risk by: - prevent HTN - prevent fluctuations in ICP by avoiding coughing/Valsalvas, effective enalgesia/antiemetics and smooth anaesthesia Caution with EVD (external ventricular drain) which can rapidly reduce ICP and -> rupture aneurysm"
772
22.1 The sensory innervation to the larynx above the vocal cords is provided by the a) External SLN b) Internal SLN c) RLN
b) Internal SLN Recurrent laryngeal nerve = inferior LN Sensation inferior to VC + intrinsic muscles larynx (except cricothyroid) SLN (Internal sensation superior; External tension) Internal branch = sensation superior to VC External branch = cricothyroid (external people tense cricothyroid)"
773
22.1 The oral morphine equivalent of tapentadol 50 mg (immediate release) is
c) 15mg Conversion PO factors: - oxycodone 1.5 - codeine 0.13 - tramadol 0.2 - tapentadol 0.3 - hydromorphine 5 - buprenorphine 40 (sublingual)"
774
22.1 The EXTEM plot from a ROTEM sample is shown. The most appropriate treatment for this bleeding patient is (EXTEM graph with low amplitude and hyperfibrinolysis) a. Platelets b. TXA c. Fibrinogen d. Coagulation factors
b. TXA
775
22.1 A risk factor for the development of torsade de pointes is a. hyperkalaemia b. hypermagnasaemia c. tachycardia d. Female
d. Female Risk factors - QTc prolongation >500msec (or >60msec increase from baseline, drugs prolonging QT (droperidol/methadone, others), hypokalaemia/hypomag/calcaemia (hypo electrolytes prolong QT) - Heart: bradycardia, MI/CCF, diuretics - Surg: Cardiac or craniotomy - Other: elderly, female, drug-drug interaction or hepatic failure Torsades 2010 AHA https://pubmed.ncbi.nlm.nih.gov/24020938/#:~:text=Results%253A%2520Risk%2520factors%2520for%2520drug,QT%2520(QTc)%2520interval%2520prolongation "
776
22.1 In adults the spinal cord usually extends from the brainstem to the level of the inferior margin of the a. T12 b. L1 c. L2 d. L3
b. L1
777
22.1 A 60-year-old woman presents for thrombectomy with left lower leg ischaemia. She has not received any medications since presentation, and takes none at home. The sole abnormality on laboratory testing is an activated partial thromboplastin time (APTT) of 52 seconds. The most likely cause of the raised APTT is a. Lupus anticoagulant b. Erroneous reading c. Cold agglutinins d. Factor VII deficiency e. Haemophilia A
a. Lupus anticoagulant Factor VII -> prolonged PT but not APTT Cold Agglutinins -> prolonged PT and APTT -> "sole abnormality" Haemophilia A -> isolated prolonged APTT -> associated with bleeding and not clotting Lupus Anticoagulation -> increased risk of clotting -> prolonged APTT and normal PT
778
22.1 The manufacturer’s instructions for use of the i-gel supraglottic airway device recommend a minimum patient weight of a. 1 b. 2 c. 3 d. 5 e. 10
b. 2 (size 1)
779
22.1 A derived value from an arterial blood gas sample is "a) PaO2 b) PaCO2 c) pH d) BE"
HCO3- is derived from pCO2 and pH Base excess is derived from pH SaO2 is derived from oxyHb and Hb Source LITFL
780
22.1 The most clinically useful indicator of effective ventilation during neonatal resuscitation is an improvement in a. HR increases b. Grimace c. Resp rate
a. HR increases
781
22.1 In the awake term neonate the systolic arterial blood pressure is normally approximately a. 55mmHg b. 70mmHg c. 80mmHg d. 90mmHg
70mmHg neonate sBP 60-95mmHg; HR 120-170, RR 25-60 - tends to be 5mmHg lower when asleep and higher post feed https://www.rch.org.au/clinicalguide/guideline_index/normal_ranges_for_physiological_variables/
782
22.1 Predictors of successful awake extubation after volatile anaesthesia in infants do NOT include a. Grimace b. RR >16 c. TV >5ml/kg d. Conjugate gaze e. Eye opening
b. RR >16 conjugate gaze facial grimace eye opening purposeful movement tidal volume greater than 5 ml/kg Source: SPANZA 2019 article
783
22.1 A man underwent a heart transplant 12 months ago. A drug or therapy which is likely to result in an exaggerated effect in him is
Adenosine Denervated heart (from UTD) - indirect agents that acts via ANS (eg. Ephedrine) are ineffective - direct agents (eg Phenyl) effective as acting on intrinsic alpha/ beta receptors - vasodilator agents (GTN/hydralazine/propofol) can cause profound hypotension as transplanted heart cannot mount a reflex tachy response - anticholinergics not effective for HR but retain effects in non cardiac tissue - ADENOSINE will have significantly prolonged and profound bradycardic effect on denervated heart"
784
22.1 A 30-year-old woman has had a free flap operation of eight hours duration. She received an intraoperative remifentanil infusion and was given 10 mg morphine 30 minutes before the end of the operation. In recovery her pain score has increased from 6/10 on arrival in recovery to 9/10 in spite of a further 10 mg of intravenous morphine. The most likely diagnosis is a. Acute behavioural change b. OIH c. Inadequate analgesia D. Physical dependence
b. OIH >0.25mcg/kg/min assoc/ with tolerance (higher opioid consumption post op) >0.2mcg/kg/min assoc/ with hyperalgesia (lower pain/pressure/cold threshold) (can be due to high dose infusion or high cumulative dose (ie in this scenario) - concurrent ketamine may prevent this https://associationofanaesthetists-publications.onlinelibrary.wiley.com/doi/10.1111/anae.13602 Common practice: 0.1-0.5mcg/kg/min (manufacturer up to 2mcg/kg/min) - >0.2mc/kg/min unlikely to benefit, but lowers BP -> bolus 1mcg/kg or TCI 12ng/ml attenuates SNS to intubation TCI: 3-7ng/mL usual Treatment options established OIH= - decrease/cease opioid, ketamine, - opioid rotation (e.g. methadone) -opioid sparing (NSAIDS, antidepressants, anticonvulsants), non-pharm (physio, psych, spinal cord stimulators).
785
22.1 Propofol infusion syndrome is characterised by all of the following EXCEPT a. Splenomegaly b. ST elevation c. Hepatomegaly d. Rhabdomyolysis e. Metabolic acidosis
a. Splenomegaly Associated with high doses >4mg/kg/hr and prolonged use (>48hrs) Safe doses of propofol infusion for sedation in ICU are considered to be 1-4mg/kg/hr -> fatal Cases pf PRIS have been reported after infusion doses as low as 1.9-2.6mg/kg/hr Risk factors: i. Young age ii. Critical illness iii. High fat and low Carbohydrate intake iv. Inborn errors of mitochondrial fatty acid oxidation v. Catecholamine infusion/ High catecholamine and glucocorticoid levels vi. Steroid therapy vii. Severe head injuries Characteristics: i. Bradycardia ii. Severe metabolic acidosis iii. Cardiovascular collapse iv. Rhabdomyolysis v. Hyperlipidaemia vi. Renal failure vii. Hepatomegaly Management: - Routine monitoring of CK and triglycerides should be performed for the at risk population ○ Daily CK and triglyceridees after 48hrs of propofol infusion ○ Increasing CK in the absence of other pathology triggers suspiscion of PRIS - Propofol immediately stopped and alternative (midazolam and alfentanil) are used - PRIS is difficult to treat once it occurs - CVS support provided as needed - Renal replacement therapy may be required to treat lactic acidosis, clear propofol and its metabolites from the patient rapidly - Catecholamine resistant shock has been reported - Pacing has been used with limited success ECMO has been reported and successfully used in the CVS support of PRIS
786
22.1 Of the following, the drug with the LEAST effect on serum potassium is a. Calcium gluconate b. NaHCO3 c. Resonium d. Salbutamol e. Frusemide
a. Calcium gluconate calcium has no affect on serum potassium NaHCO3 - decrease serum potassium by alkalinsing systemic blood volume --> intracellular shift of K via H/K exchange"
787
22.1 The risk of a perioperative respiratory adverse event in a child is least likely to be increased by a. Asthma b. Infection 3 weeks ago c. History of eczema d. Passive smoking
B https://www.thelancet.com/journals/lancet/article/PIIS0140673610611932/abstract Prospective cohort study >9000 kids 2010 Perth Findings from this large prospective cohort study show that factors easily obtained at a preanaesthetic assessment, including respiratory symptoms, eczema, or a family history of asthma, rhinitis, eczema, or exposure to tobacco smoke, were associated with an increased risk for the occurrence of perioperative respiratory adverse events. Additionally, an upper respiratory tract infection was associated with an increased risk for perioperative respiratory adverse events only when the symptoms were present or had occurred** within the 2 weeks** before the procedure. https://www.thelancet.com/journals/lancet/article/PIIS0140673610611932/abstract APRICOT study The presence of one of the main risk factors for perioperative respiratory events (asthma, wheezing, upper respiratory tract infection **in last two weeks**, snoring and passive smoking) revealed an increased risk for bronchospasm for tracheal tubes and SGA and stridor for tracheal tubes
788
22.1 The underlying trigger for the development of acute traumatic coagulopathy is a. Acidosis b. Hypothermia c. Endothelial damage from ischaemia d. Dilution of coagulation factors from resuscitation e. Activation of fibrinolysis
Endothelial damage due to ischaemia - occurs after massive trauma when shock, hypoperfusion and vascular damage are present MOA: protein C activation, endothelial glycocalyx disruption, depletion of fibrinogen and PLT dysfunction EXACERBATED by hypothermia and acidaemia LEADS to hyperfibrinolysis, decreased clot strength, autoheparinisation haemodilution and prolonged surgical times --> worse outcomes 2016 BJA - acute traumatic coagulopathy
789
22.1 Differential hypoxia is a syndrome characterised by lower arterial oxygen saturation in the upper body. It is a complication specific to the use of a. VA ECMO b. VV ECMO c. ECCO2 device d. Haemodialysis e. Peritoneal dialysis
A Return of some native cardiac function, but pulmonary gas exchange remains poor. Oxygenated ECMO blood will perfuse lower body, but inadequately oxygenated LV blood perfuses coronary/cerebral circulations Monitor saturations in R arm (or ear lobe) Surrogate monitoring of coronary/cerebral oxygenation (brachiocephalic trunk supplies R arm and carotid originates immediately after coronary arteries)"
790
22.1 Under the NEXUS criteria, requirements to clear the cervical spine of trauma patients without radiographic imaging include all of the following EXCEPT a. No midline tenderness b. No distracting injury c. No altered level of consciousness d. Able to turn head 45 deg e. No focal neurological deficit
d. Able to turn head 45 deg NEXUS criteria: One easy mnemonic for these criteria is NSAID: Neuro Deficit Spinal Tenderness (Midline) Altered Mental Status/Level of Consciousness Intoxication Distracting Injury
791
22.1 A 54-year-old woman had a laryngeal mask airway inserted during anaesthesia. The next day she reports hoarseness. On indirect laryngoscopy the right vocal cord is in a paramedian position and is lower than the left vocal cord. The most likely site of the nerve injury is the right a. SLN b. RLN c. Lingual d. Hypoglossal
RLN - pressure neuropraxia from overinflated LMA SLN - sensory to area above vocal cord (internal branch), external branch- motor to cricothryoid only (adductor) RLN - sensory to area below cords and motor to all musces except cricothryoid posterior cricoarytenoid - abductor https://www.amboss.com/us/knowledge/larynx "
792
22.1 A patient undergoing robotic prostatectomy with volume-controlled ventilation has the following ventilatory measurements. Vt 600mL , PIP 36, Pplat 32, PEEP 8, auto PEEP 4 The static compliance is a. 20ml/cmH2O b. 23ml/cmH2O c. 25ml/cmH2O d. 30ml/cmH2O e. 38ml/cmH2O
D Static compliance = Tidal volume/(Plateau pressure – Total PEEP) = 600/ (32-12) = 600/20 = 30 Total PEEP = intrinsic PEEP (or autoPEEP) + extrinsic PEEP= 8+4
793
22.1 A patient presents for endoscopic retrograde cholangiopancreatography (ERCP) with a history of previous post-ERCP pancreatitis. The management most likely to reduce the likelihood of pancreatitis is a. Gentamicin b. PR indomethacin c. Creon post op d. Preop smoking cessation
Rectal indomethacin APMSE 5th edition 8.6.1.3: Only rectal NSAIDs are effective for reducing post ERCP pancreatitis, particularly indomethacin. Epidural > PCA for severe acute pancreatitis
794
22.1 Idarucizumab is used to reverse life-threatening gastrointestinal bleeding associated with a. Warfarin b. Rivaroxaban c. Dabigatran d. Heparin
c) Dabigatran Idarucizumab (Praxbind) is a monoclonal antibody to dabigatran Dabigatran bleeding may be treated with: - idarucizumab - haemodialysis - TXA will decrease fibrinolysis and has some effect - FFP also has some effect Humanized monoclonal antibody fragment (Fab) indicated in patients treated with dabigatran (Pradaxa) when reversal of the anticoagulant effects are needed for emergency surgery or urgent procedures, or in the event of life-threatening or uncontrolled bleeding - 5 g IV, provided as 2 separate vials each containing 2.5 g/50 mL (see Administration) - Limited data support administration of an additional 5 g Dosage Modifications Renal impairment: Renal impairment did not impact the reversal effect of idarucizumab; no dosage adjustment required Hepatic impairment: Not studied Dosing Considerations This indication is approved under accelerated approval based on a reduction in unbound dabigatran and normalization of coagulation parameters in healthy volunteers; continued approval for this indication may be contingent upon the results of an ongoing cohort case series study
795
22.1 When compared to the interscalene block, the supraclavicular block has the advantage that a. Less PTX b. Less phrenic nerve block
Less phrenic nerve block
796
22.1 A ten-year-old child (weight 30 kg) presents to the emergency department in status epilepticus. He has received one dose of 15 mg midazolam buccally prior to his arrival. According to Advanced Paediatric Life Support Australia (APLS) guidelines the next drug treatment should be intravenous a. IV midazolam b. Phenytoin c. Levetiracetam
a) Midazolam 0.15mg/kg 1st line: Midazolam IV/IO/IM --> 0.15mg/kg 2nd line: Midazolam IV/IO/IM --> 0.15mg/kg 3rd line: Keppra 40mg/kg (max 3g) 4th line: Phenytoin 20mg/kg or phenobarbitone 5th line: Intubation and deep sedation with midazolam, propofol +/- phenobarbitone
797
22.1 In long-term use of nonsteroidal anti-inflammatory drugs, the risk of thromboembolic complications is lowest with a. Ibuprofen b. Celecoxib c. Diclofenac d. Naproxen
D? UTD: In the Coxib and Traditional NSAID Trialists' (CNT) Collaboration analysis, which had a mean duration of follow-up of approximately one year, the risk of cardiovascular disease events was similar for all comparisons with the exception of high-dose naproxen. However, in PRECISION, where the duration of follow-up was nearly three years, no significant difference was found between naproxen and the other agents (ibuprofen and celecoxib). CNT and PRECISION found a similar rate of adverse cardiovascular outcomes between some coxibs and some nonselective NSAIDs. The cardiovascular risk with celecoxib at doses of 200 mg twice daily is similar to nonselective NSAIDs Multiple observational studies have demonstrated consistently higher risk of a cardiovascular event for diclofenac compared with other NSAIDs Naproxen OR 1.00 Ibuprofen OR 1.49 Celecoxib OR 1.30 (and other COX2s) Diclofenac OR 1.63 Indomethacin and Naproxen are more COX1 selective compared to the rest. Thought to be Pro thromboitic effects of COX 2 inhibition" https://pmc.ncbi.nlm.nih.gov/articles/PMC6281031/
798
22.1 A 74-year-old man presents for a femoral popliteal artery bypass procedure for peripheral limb ischaemia. Regarding its role in modifying his perioperative cardiovascular risk, clonidine a. Increased stroke b. No change in complications c. Increased death d. Increased non fatal MI
Increased non fatal MI POISE II * clonidine 200mcg per day - did not reduce the rate of composite outcome of death or nonfatal MI - but it increased the risk of clinically important hypotension and nonfatal cardiac arrest * aspirin initiation or continuation – no significant effect on rate of composite of death or non fatal MI but increased risk of major bleeding
799
22.1 A 45-year-old man presents on the day of surgery for an elective inguinal hernia repair. He is well but is noted to be mildly jaundiced. He takes simvastatin for hyperlipidaemia and has no other medical history. He consumes about three standard drinks of alcohol per day and does not smoke. He briefly experimented with illicit drugs more than ten years ago. His laboratory results show: (supplied) The most likely diagnosis is a. Gilbert’s b. ETOH c. Cirrhosis
Gilberts Isolated elevation in unconj bili - Gilbert (MCC - non-pathological impairment of bilirubin conjugation), haemolysis or megaloblastic anaemia Normal bilirubin in uncomplicated cirrhosise, early liver failure, or early hepatic metastases https://www.rcpa.edu.au/Manuals/RCPA-Manual/Pathology-Tests/B/Bilirubin "
800
22.1 A 50-year-old man is admitted with a stroke and undergoes cerebral angiography. The artery marked by the arrow on the angiogram is the a. Vertebral b. Basilar c. PCA d. PICA e. Anterior cerebral artery
801
22.1 The most common cause of maternal mortality in women with preeclampsia is a. Renal failure b. Hepatic failure c. Intracranial haemorrhage
Intracranial haemorrhage Of all 93 cases of maternal death from pre-eclampsia, 80 (86%) were available for further analysis. Cerebral haemorrhage (36 cases, 45%) was the leading mode of death and, in most cases, was associated with high systolic blood pressure (n = 32, 89%) and low platelet counts (n = 26, 72%). https://obgyn.onlinelibrary.wiley.com/doi/10.1111/j.1471-0528.2009.02382.x C AHA https://www.ahajournals.org/doi/epub/10.1161/HYPERTENSIONAHA.118.11513
802
22.1 A patient with a body mass index 34 kg/m2 with no other disease has an ASA (American Society of Anesthesiologists) Physical Classification of at least a. I b. II c. III d. IV
b. II ASA 1 - normal healthy patient ASA 2 - mild systemic disease (BMI 30-40) ASA 3- severe systemic disease (BMI>/=40 ASA 4 - severe systemic disease that is a constant threat to life (Recent <3mths MI/CVA/TIA/stents, sespsis, shock, ESRD not undergoing regular dialysis) ASA 5 - moribund pt not expected to survive without operation (includes uterine rupture) ASA 6 - brain dead for organ donation"
803
22.1 Ehlers-Danlos Syndrome is associated with each of the following EXCEPT a. Blood vessel fragility b. LA resistance c. Intellectual impairment d. Glaucoma
Intellectual impairment LA is less effective in EDS (case studies) however no mention of increased LA toxicity (hypermobile can have complete LA resistance) EDS definitely assoicated with vessel fragility, glaucoma, MR (mitral prolapse, aortic issues too) https://www.uptodate.com/contents/overview-of-the-management-of-ehlers-danlos-syndromes?search=ehlers%20danlos&source=search_result&selectedTitle=1~150&usage_type=default&display_rank=1#H3552559000 (on right is ZF) https://www.frontiersin.org/journals/psychiatry/articles/10.3389/fpsyt.2021.803898/full "
804
22.1 The effect of a drop in patient core temperature from 37 C to 34 C is to a. Increased k time b. Decreased viscosity c. Decreased platelet function
c. Decreased platelet function
805
22.1 According to the Third International Consensus Definitions for Sepsis and Septic Shock (Sepsis-3), sepsis is defined as a. SIRS criteria b. Life threaning organ dysfunction with vasopressor requirement to maintain MAP >65 and lactate >2 c. Life threatening organ dysfunction caused by a dysregulated host response to infection d. sBP <100, RR>22, altered mentation
Life threatening organ dysfunction caused by a dysregulated host response to infection
806
22.1 According to the 6th National Audit Project, the likelihood that a patient who reports an allergy to penicillin has a true allergy is approximately a. 10% b. 30% c. 50% d. 70% e. 90%
10% "NAP 6: Penicillin allergy MC ~10% of population labelled as allergic. At least 90% could be de-labelled if an adequate description of the original reaction could be obtained or the patient investigated in an allergy clinic (NICE 2014). The distribution of 199 identified culprit agents was antibiotics 47%, neuromuscular blocking agents (NMBA) 33%, chlorhexidine 9%, and Patent Blue dye 4.5%. Non-depolarising NMBAs had similar incidences to each other Onset was rapid for NMBAs and antibiotics but delayed with chlorhexidine and Patent Blue dye."
807
22.1 The calculation of the initial dose of suxamethonium for a morbidly obese patient should be based upon a. IBW b. LBW c. TBW
TBW SOBA guidelines recommends TBW for sux and LMWH LBW (think induction) - propofol induction, thiopentone, non-depolarising NMBD, fentanyl/alfentanil/morphine, paracetamol, LA. - Gentamicin, remifentanil/Schnider TCI IBW: Adr/Norad ABW (think maintenance/emergence) - Propofol infusion, neostigmine (max 5mg), antibiotics (except aminoglycosides) TBW: sux, LMWH (titrate with Xa levels), sugammadex (as per PDI; SOBA lists ABW)"
808
22.1 A 70-year-old man undergoes a stress echocardiogram as part of his preoperative preparation before a total hip replacement. If he has clinically significant coronary artery disease, the earliest indicator during his test is most likely to be a. Angina b. ECG changes c. Hypotension d. RWMA
Start exercise Decreased perfusion resulting in onset of ischemia RWMA--> ECG changes--> angina Echocardiographic images recorded during ischemia show abnormalities of wall motion, thus allowing for the detection of significant coronary artery disease https://www.sciencedirect.com/topics/nursing-and-health-professions/stress-echocardiography
809
22.1 Regarding the Australian and New Zealand categorisation system for prescribing medicines in pregnancy, Category C medicines are ones which a) Drugs which have been taken by a large number of pregnant women and women of childbearing age without any proven increase in the frequency of malformations or other direct or indirect harmful effects on the fetus having been observed. b) Drugs which have caused, are suspected to have caused or may be expected to cause, an increased incidence of human fetal malformations or irreversible damage. These drugs may also have adverse pharmacological effects. c) Drugs which, owing to their pharmacological effects, have caused or may be suspected of causing, harmful effects on the human fetus or neonate without causing malformations. These effects may be reversible. d) Drugs which have such a high risk of causing permanent damage to the fetus that they should not be used in pregnancy or when there is a possibility of pregnancy. e) Drugs which have been taken by only a limited number of pregnant women and women of childbearing age, without an increase in the frequency of malformation or other direct or indirect harmful effects on the human fetus having been observed.
c= Drugs which, owing to their pharmacological effects, have caused or may be suspected of causing, harmful effects on the human fetus or neonate without causing malformations. These effects may be reversible. Cat A: Lots of pregnant ladies, no harm Cat B: Limited pregnant ladies, no harm (B1, 2, 3 -> vary by animal study findings) Cat C: Known or suspected harm, no malformations. May be reversible Cat D: Known or suspected malformations and/or irreversible harm Cat X: High risk permanent damage – should not be used in pregnancy"
810
22.1 An adult male patient has a haemoglobin level of 80 g/L and his blood film shows a reticulocyte count of 10%. These findings are compatible with a. ALL b. Spherocytosis c. Aplastic anaemia d. Pernicious anaemia e. Anaemia of chronic disease
Hereditary spherocytosis. Auto-haemolytic, intraplenic haemolysis. High reticulocyte count (6-20%) (normal range 0.5-2%) All others have low reticulocyte count: Pernicious anaemia (lack B12): a type of megaloblastic anaemia. Macrocytic, normochromic, low reticulocytes, megaloblasts. Aplastic anaemia: loss of precursors. Normocytic, normochromic. Acute leukaemia: primitive undifferentiated cells. Chronic disease: normo- or microcytic (especially if with Fe deficiency).
811
22.1 Once a transfusion of a unit of packed red blood cells is commenced, the transfusion of that unit should be completed within a. 1 hour b. 2 hours c. 4 hours
4 hrs "a) 4hrs Transfusion of each pack should be completed prior to the labelled expiry or within four hours, whichever is sooner. Lifeblood "
812
22.1 The most reliable clinical indicator of opioid-induced ventilatory impairment (OIVI) is decreased a. Sedation b. Respiratory rate
SS /GCS In any patient who is given an opioid, oversedation should be considered to indicate OIVI until proven otherwise, regardless of a patient’s respiratory rate or oxygen saturation levels. "SS 2 = easy to rouse but unable to remain awake (> 10 sec?) - 1 = easy to rouse, 3 = difficult to rouse
813
22.1 A straight laryngoscope blade is likely to be more useful than the Macintosh blade when performing direct laryngoscopy in patients with all of the following EXCEPT a) neonates b) big floppy epiglottis c) macroglossia d) big frontal incisors e) anklyosing spondylitis f) micrognathia
Straight = anterior column issues (+ epiglottis) https://www.anzca.edu.au/getattachment/9ef4cd97-2f02-47fe-a63a-9f74fa7c68ac/PS56BP-Guideline-on-equipment-to-manage-difficult-airways-Background-Paper Straight laryngoscope blades These may be considered for patients with anterior column problems including prominent maxillary incisors, retrognathia, large tongue and large floppy epiglottis 74. The Miller straight blade with its low profile produces a higher pressure on the submandibular tissues with the same force (pressure = force/area), and can be used to lift the epiglottis directly 75 to facilitate intubation. There is evidence to support better success rates with straight blades as a rescue device when the Macintosh blade has failed 76, 77. However, comparative studies of straight blades and videolaryngoscopy are lacking. As the paraglossal technique for straight laryngoscope blades is different from Macintosh blades, training and ongoing volume of practice is recommended for optimal use. It should be recognised that while straight blades provide better laryngoscopic views, the incidence of difficult intubation due to the narrower field of vision is increased 78. * Corazelli, London, McCoy (CLM) laryngoscope blades When “McCoy” laryngoscope blades are in their flexed position, they apply pressure at the base of the tongue lifting the epiglottis anteriorly and are therefore, suitable for posterior column problems (e.g. manual inline stabilisation of head and neck 79, 80) where the mandible and submandibular tissues are normal. However, the effect of this levering action of McCoy blades has not been shown to consistently improve laryngeal view 81, 82. When compared to Glidescope TM videolaryngoscopes, McCoy laryngoscope blades resulted in longer tracheal intubation times in bariatric patients 83. Recommendations concerning Straight and McCoy laryngoscope blades Page 15 PG56(A)BP Difficult airway equipment BP 2021 Advanced equipment, such as videolaryngoscopy and the common availability of flexible bronchoscopes and intubation guides/bougies, may prove to be better alternatives to difficult airway management. While evidence is currently lacking, it is recommended that Straight and McCoy laryngoscope blades are not required in DATs unless operators have been trained in their use and have ongoing volume of practice (Weak recommendation for, level of evidence moderate quality)
814
22.1 Prolonged paralysis associated with mivacurium is most appropriately managed with a. Give FFP b. Give pradolixime c. Ventilate and wait for recovery d. Sugammadex
Ventilate and wait for recovery - FFP: can improve cholinesterase activity, but risk > benefits - neostigmine variable: transient improvement, may increase paralysis - if cholinesterase not readily available, mechanical ventilation recommended until return of spontaneous resp function
815
22.1 The mechanism of action of tranexamic acid is to inhibit the formation of a. Plasminogen b. Plasmin c. Fibrin d. fibrinogen
Plasmin blocks lysine receptor on plasminogen --> inhibiting formation of plasmin TXA"
816
22.1 Local anaesthetics may exacerbate symptoms in patients with a) GBS b) multiple sclerosis c) Motor neuron disease
B; MS "Local anaesthetics may exacerbate symptoms due to the increased sensitivity of demyelinated axons to local anaesthetic toxicity." https://www.bjaed.org/article/S1743-1816%2817%2930244-5/fulltext
817
22.1According to the international consensus statement on uterotonic agents during caesarean section published in 2019, the suggested initial bolus dose of oxytocin to be administered after delivery of the fetus during an elective caesarean section is a. 1 unit b. 3 units c. 5 units d. 10 units
Bolus 1 IU oxytocin; start oxytocin infusion at 2.5–7.5IU.h (0.04–0.125 IU.min) EmLSCS; 3 IU oxytocinover≥30 s; start oxytocininfusion at 7.5–15 IU.h (0.125–0.25 IU.min). https://associationofanaesthetists-publications.onlinelibrary.wiley.com/doi/10.1111/anae.147571 unit RANZCOG still say 5units
818
22.1 A patient with bipolar disorder is on long-term lithium therapy. The medication that should be avoided is a. Parecoxib b. Gabapentin c. Oxycodone d. Paracetamol e. Codeine
a) paracoxib LIthium perioperative concerns: - Prolongation of NMB - Reduction in anaesthetic agent requirement - Avoid NSAIDs which ↑Lithium levels (by ↓renal excretion)" - No withdrawl symptoms NSAIDs differentially alter lithium concentrations by multiple mechanisms, and one of these is to reduce prostaglandin E2 BJA: perioperative advice for psychotropic drugs Lithium - stop on day of (major) surgery; continue if minor - dehydration -> toxicity (> 1.5mmol/L) -> toxicity also with methylene blue, which is a MAO-A inhibitor - small risk of serotonin syndrome (see other list)
819
22.1 A 45-year-old woman is being assessed for liver transplantation. In order to determine the severity of her liver disease the Model for End-stage Liver Disease score is derived using the international normalised ratio, serum bilirubin and a. GGT b. Albumin c. Sodium d. ALT e. Creatinine
MELD --> E creatinine MELD-Na score components: (BICS) Bilirubin INR Creatinine Sodium (serum) estimates survival over next 3 months >15 - listed for deceased donor transplant "
820
22.1 The most common type of perioperative stroke is a. Embolic b. Hypotensive c. Thrombotic
c) Embolic Blue Book 2017 Perioperative Stroke Epidemiology A perioperative stroke is defined as one that occurs either intra-operatively or in the post-operative period within 30 days70. Perioperative strokes are associated with an increased length of stay and a six-fold increased mortality. Any combination of surgery and anaesthesia is associated with an increased risk of stroke irrespective of the type of surgery. This may relate to coagulation changes The most common type of perioperative stroke is ischaemic stroke of embolic origin (heart or aorta). Hypotension is rarely the cause of perioperative stroke. Haemorrhagic stroke is uncommon which probably reflects the fact that severe hypertension during anaesthesia is a rare event, and anticoagulants have typically been withheld. The risk of perioperative stroke varies depending on the type of the surgery and patients’ risk factors. Procedural risk Urgent surgery is associated with an increased risk of stroke when compared to elective surger. Cardiac, vascular and brain surgeries are defined as “high-risk” as these have an increased risk of stroke when compared to other types of surgery. Valvular and aortic repair surgeries have a stroke risk as high as 8 to 10 per cent. Perioperative strokes in non-high-risk surgery are relatively rare and are estimated to have an incidence of about 1/1000 cases80. Patients’ risk factors >Age >history of previous stroke or transient ischaemic attack >renal failure >atrial fibrillation >history of cardiovascular diseases are identified risk factors for perioperative stroke. Atrial fibrillation is associated with a two-fold increase in the risk of death and stroke after carotid endarterectomy.
821
22.1 A risk factor for postoperative nausea and vomiting in adults is age less than a. 20 b. 30 c. 40 d. 50 e. 60
50 4th consensus guidelines for management of PONV risk factors - female, age<50, post-op opioids, hx PONV, non-smoker, high-risk surgery (bariatric, lap chole, gynae) Recommendation from new consensus guideline - 2 forms of prophylaxis for patients with 1-2 RFs and 3-4 for 3+ RFs Paeds: 3+ years of age = RF PONV guidelines Cochrane meta-analysis – NK1 receptor antagonist most effective prevention (aprepitant 40mg PO pre induction).
822
22.1 A patient has a known IgE-mediated allergy to penicillin. The cephalosporin with the lowest risk of allergic cross-reactivity is a. Ceftazidime b. Cefoxitin c. Cephazolin
Cephazolin
823
22.1 A 68-year-old woman presents with a loud systolic murmur in the anaesthesia room before total hip joint arthroplasty. A transthoracic echocardiogram is performed (image provided) and shows a. AS b. LVOT c. MR
MR
824
22.1 A 78-year-old man is undergoing left heart catheter angiography. A graph displaying pressures in the aorta (Ao) and left ventricle (LV) as well as electrocardiography trace over time is demonstrated below. These pressure recordings are characteristic of a. MR b. MS c. AR d. AS e. TR
Aortic stenosis
825
22.1 The abnormality shown in this image (image of shoulder shown) is LEAST likely to be caused by an injury to the a. Accessory nerve N b. Long thoracic N c. Dorsal scapular N d. Suprascapular N
d a. Accessory nerve (Trapezius paralysis, causing lateral winging) b. Long thoracic N- (Serratus anterior paralysis, causing medial winging) c. Dorsal scapular N (Rhomboids paralysis, causing lateral winging) d. Suprascapular nerve (Infra and supraspinatus – doesn’t affect scapula)
826
22.1 The biochemical diagnosis of a growth hormone (GH)-secreting tumour such as in acromegaly is based on oral glucose tolerance test demonstrating a. Elevated GH with IGF-1 non suppression b. Elevated IGF1 with GH suppression c. Elevated IGF1 with GH non suppression d. Elevated GH with IGF 1 suppression e. Elevated GH and IGF1
Elevated IGF1 with GH non suppression Dx of acromegaly is raised IGF1 > age/sex matched controlled AND failure for GH suppression after glucose tolerance test. "
827
22.1 Complex regional pain syndrome is NOT characterised by a. Vasomotor b. Sudomotor c. Pain distal to primary injury – d. Hypoaesthesia e. Edema
Hypoasthesia - Veldman criteria Pain distal to primary injury – Not mentioned specifically in Budapest criteria, but in Veldman Hypoaesthesia = reduced sensation to pain
828
22.1 A 45-year-old woman is reviewed in the preadmission clinic. She is scheduled to undergo a microwave endometrial ablation for menorrhagia in one week’s time. Her preoperative laboratory investigations include the following blood results Hb 80, MCV 105, high MHCH ferritin 120, CRP 120, Plt normal The most appropriate course of action would be to a. Proceed b. Iron IV then proceed c. Transfuse 2 RBC intraop d. Use cell saver intraop e. Defer and refer to haematology for further Ix
e. Defer and refer to haematology for further Ix
829
22.1 The outer diameter of an Aintree Intubation Catheter is a. 4.8mm b. 6.5mm c. 7mm
6.5mm Aintree 4.7mm ID, 6.5mm ED (will accept a 42mm FOB and size 7 ETT) repeat
830
22.1 Extended life plasma is thawed fresh frozen plasma which can be stored at 2 to 6 C for a maximum period of a. 2 days b. 3 days c. 5 days d. 7 days
5 days Previous MCQ2015A – cryoprecipitate once thawed must use within 4 hours. Previous MCQ2015B – FFP must be transfused within 4 hours once thawed, or stored at 2-6 degrees for 5 days.
831
22.1 Created by the Global Initiative for Chronic Obstructive Lung Disease, the alphabetical GOLD groups A to D are tools for the assessment of chronic obstructive pulmonary disease. These classes are based on a. Symptoms and exacerbations b. FEV1 c. FEV1 and exacerbations d. FEV1/FVC and exacerbations e. FEV1 and symptoms
Sx and exacerbations GOLD ABCD assessment tool "Criteria -frequency of exacerbations, symptom burden New classification A B E A - minimal restriction to exercise (nMRC 0-1) and 0-1exacberations not leading to hospitalisation - Rx: bronchodilator (LABA or LAMA) B - nMRC 2+, and 0-1 exaacerbation not leading to hospitalisation - LABA + LAMA E - 2+ moderate exacebations or 1 leading to hospitalisation - LABA + LAMA + ICS (if blood eosiniophil >300) COPD classification"
832
22.1 Red man syndrome as a consequence of vancomycin administration is caused by a. Type II hypersensitivity reaction b. IgE sensitivity c. Vasodilation of vessels d. Mast cell degranulation
Mast cell degranulation - anaphylactic reaction
833
22.1 A 35-year-old patient is undergoing a diagnostic laparoscopy. Three minutes after insufflation of CO2 her oxygen saturation falls to 85%. You note decreased air entry on the left side of her chest. Lung ultrasound on the left reveals lung pulse and no lung sliding. The best first action is to a. Tell surgeon to deflate b. Needle decompression c. Chest drain d. Pigtail drain
Tell surgeon to deflate / remove pneumoperitoneum Options that could cause this is Endobronchial intubation OR atelectasis > if ‘pull ETT back’ is an option then consider it. Lung pulse = USS sign which means parietal layers are still together > so not a pneumothorax. Ddx no lung sliding = PTX (-ve if lung pulse present), atelectasis, prior pneumonectomy, one-lung ventilation on opposite side (intentional or unintentional primary bronchus intubation), large consolidation."
834
22.1 A 26-year-old patient presents with exertional syncope. The most likely diagnosis is a. HOCM b. Long QT syndrome c. CCF d. IHD
HOCM: pathopneumonic A person who has syncope during exertion is more likely to have an obstruction to blood flow (aortic stenosis or hypertrophic cardiomyopathy) or ventricular tachycardia as a cause. On the other hand, syncope after completion of exercise is more likely of reflex origin, such as the common faint. https://www.uptodate.com/contents/syncope-fainting-beyond-the-basics#:~:text=A%20person%20who%20has%20syncope,such%20as%20the%20common%20faint
835
22.1 Bowel preparation prior to elective colorectal surgery is associated with a. No change b. Decreased risk of surgical site infection c. Decreased risk of anastomotic breakdown d. Something about mortality/morbidity
No change in outcomes "2018 NCBI meta-analysis from ZF: At present there is no evidence that bowel preparation makes a difference to clinical outcomes in either colonic or rectal surgery, in terms of anastomotic leak rates, surgical site infection, intra-abdominal collection, mortality, reoperation or hospital length of stay. Given its potential adverse effects and patient dissatisfaction rates, it should not be administered routinely to patients undergoing elective colorectal surgery. Jess/Esmond: SSI, anastomotic leak, postop ileus and hospital LoS all the same"
836
22.1 The part of the lung that is typically divided into apical, anterior and posterior segments is the a. RUL b. RML c. RLL d. LUL e. LLL
RUL "Bronchopulmonary segments: 3/2/5, 4/4 3 RUL: Apical, Posterior, Anterior 2 RML: Lateral, Medial 5 RLL: Superior, Medial, Anterior, Lateral, Posterior 4 LUL: Apicoposterior, Superior, Inferior, Anterior (lingula italicised) 4 LLL: Anteromedial, Lateral, Posterior, Superior RL: A PALM Seed Makes Another Little Plam LL: ASIA ALPS"
837
22.1 The most common cause of bilateral blindness following spinal surgery and anaesthesia is a. Ischaemic optic neuropathy b. Retinal artery occlusion c. Retinal detachment d. Cortical stroke
ION - ^risk with cardiac, spine (MC), orthopaedic, steep trendelenberg - anterior ION - more common with cardiac - posterior ION - more common with prone procedures, steep trendelenberg, cardiac - presents with painless b/l vision loss - risk factors for POVL with spine surgery - male, obese, wilson frame, long duration (>6hrs), ^ blood loss (no clear assoc/ w/ PVD/DM or intraop hypotension) Central retinal artery occlusion - most common retinal cause of POVL - usually unilateral (w/ other signs of ^IOP, opthalmoplegia, ptosis, altered supraorbital sensation); - check head every 30 mins; avoid horseshoe-shaped headrest"
838
22.1 The 2012 Berlin definition of the Acute Respiratory Distress Syndrome (ARDS) defines moderate disease as one with a PaO2 / FiO2 ratio (in mmHg) of
100 < PaO2/FiO2 ≤ 200 with PEEP ≥5 cmH2O https://link.springer.com/article/10.1007/s00134-012-2682-1/tables/3 Berlin criteria: 1. Acute onset hypoxaemia within 7d triggering event. 2. bilateral infiltrates on CXR/imaging 3. Not completely explained by fluid overload or CCF 4. P:F ratio <300 with PEEP 5cmH2O Severity (applicable only if intubated) based on P:F ratio: Mild = 300-200; Moderate = 200-100; Severe <100"
839
22.1 This image is an apical four chamber view obtained by transthoracic echocardiography. The artery that supplies the area indicated by the arrow is the (arrow pointing to apex) a. RCA b. LAD c. CCx
840
22.1 A patient has undergone a multilevel cervical spine fusion and upon emergence from anaesthesia reports complete visual loss. Fundoscopic examination shows a pale optic disc with haemorrhages. This supports a diagnosis of a. CRAO b. AION c. PION
"AION - PION more common however only AION has fundoscopic changes retinal artery occlusion - has fundoscopic changes but unilateral (white with cherry red spot on macula) https://www.uptodate.com/contents/postoperative-visual-loss-after-anesthesia-for-nonocular-surgery#H94404107 "
841
22.1 An asymptomatic 65-year-old male with squamous cell carcinoma of the left lung has been referred for assessment of suitability for lung resection. There is no evidence of spread on computerised tomography scanning. PaCO2, electrocardiogram, full blood count and electrolytes are normal. His **SpO2 on room air is 95%**. His **forced expiratory volume in one second is 2.3 litres (predicted 3.3 litres)** and forced vital capacity is 3.4 litres (predicted 4.4 litres). The most appropriate course of action is to a. Proceed with lobectomy or pneumonectomy b. Proceed with lobectomy only c. DLCO testing d. Lung V/Q scan e. CPET
"C Both ACCP and ESTS guidelines recommend performing DLCO regardless of whether spirometry is abnormal. ESTS guidelines recommend if either FEV1 or DLCO is <80% of predicted value, then recommends stair climbing test as exercise testing, followed by CPET if >4% desaturation UTD says American College of Chest Physicians recommends calculating predicted post-op FEV1 and DLCO if either FEV1 or DLCO is <80% of predicted, this involves either quantitative lung scintigraphy (i.e. V/Q scan) or lung segment counting. BUT the guideline itself seems to recommend calculating predicted post-operative values for all patients, and if predicted values are both >60% then proceed. 30-60% then do low-tech exercise testing (e.g. stair-climb or 6MWT), <30% do CPET"
842
22.1 Findings associated with massive pericardial tamponade include a. Electrical alternans b. Exaggerated collapsible IVC on ECHO during respiratory cycle c. Pulses alternans d. Kussmaul breathing
a. Electrical alternans Beck's Triad - Muffled heart sounds - Engorged veins - Widened pulse pressure (hypotension) IVC shouldn’t collapse in tamponade due to raised ra pressure Electrical alternans is seen in tamponade/pericardial effusion - most common ECG finding is sinus tachy, electrical alternans in severe"" Pulsus alternans = arterial pulse with alternating strong and weak beats. Indicative of severe LV dysfunction (HF, cardiomyopathy) Kussmaul breathing: deep, laboured breathing in MA (DKA)"
843
22.1 The first-line drug recommended by both the Australian Resuscitation Council and the New Zealand Resuscitation Council to treat severe cyanide poisoning is a. Methylene blue b. Hydroxycobalamine c. Sodium thiosulfate
hydroxycobalamin "IV hydroxocobalamin (B12) 5mg with repeat dosing upt to 15mg sodium thiosulfate used in case series also appears affective with no AE https://www.resuscitationskills.com/library/algorithms/all-adult-als-guidelines-june-2017.pdf "
844
22.1 Complications of severe anorexia nervosa (body weight < 40% ideal) include all of the following EXCEPT a. HypoK b. Cl abnormality c. Delayed gastric emptying d. Hypercalcaemia e. Cardiomyopathy
HYPERCa2+ - electrolytes: ALL lowered - arrhythmias: prolonged QT, STD, TwI, SVT - airway issues: delayed gastric emptying + dental carries -> consider all pts unfasted (ETT RSI w/ roc) - cardiomyopathy common; also hypotension AND bradycardia (if sBP<80 or HR <40 -> defer elective surgery) (See summary POM pg 120)"
845
22.1 A patient requires a peripherally inserted central venous catheter. Electrocardiographic (ECG)-aided tip localisation is used to site the tip of the catheter. The initial ECG from the catheter is shown. The ECG when the catheter is placed appropriately will be a) peaked p wave b) negative deflection c) biphasic p wave d) inverted p wave
Peaked p wave, no negative deflection As PICC tip approaches SA node at CAJ, Pwave starts to elevate and reaches max height at the CAJ --> starts to invert post this point https://www.ncbi.nlm.nih.gov/pmc/articles/PMC5995413/#:~:text=As%20the%20PICC%20tip%20approaches%20the%20sinoatrial%20node%20at%20the,the%20ECG%20shows%20maximal%20P. 2018 NHS presentation good progression NB: this won't work in AFib (no P waves)" Maximum P-wave corresponds to placement in the Cavo-atrial Junction (CAJ) Benefits of CAJ placement - furthest distance from "high risk" areas - Largest vein diameter - highest blood flow capacity - minimal risk for catheter migration and looping Too short placement: Increased risk of: - DVT - Phlebitis Too long placement: Increased risk of: - arrhythmias - tricuspid valve dysfunction atrial dysfunction ECG and corresponding anatomy: - Normal P-wave = upper vasculature prior to CAJ - Max P-wav= CAJ - Initial negative P-wave deflection = Right Atrium - Biphasic P-wave = Right Atrium - Inverted P-wave = Right Ventricle
846
22.1 You are asked to review a patient two days after a surgically difficult total knee replacement that was undertaken under tourniquet. The anaesthesia and analgesia technique used was spinal anaesthesia in combination with an ultrasound-guided adductor canal block and high-volume local anaesthetic infiltration by the surgeon. The patient complains of a new onset of leg weakness on the operative side. The nerve LEAST likely to be involved in this weakness is the a. Saphenous b. Femoral c. Sciatic d. Deep peroneal
a. Saphenous sensory only rapid onset more suggestive or direct injury to nerve, later onset suggestive of ischaemia relating to oedema mulscular injury related to tourniquet results in swelling/pain/weakness of affected muscle post tourniquet syndrome - swollen, pale, stiff, weakness but not paralysis L5 radiculopathy would affect knee flexion, but would have presented immediately post op if spinal related common peroneal - most common (significant) injury after TKR - 2018A MCQ
847
A22.1 When using an endotracheal tube in an adult, the highest recommended cuff pressure to avoid mucosal ischaemia is a. 10cmH2O b. 20 c. 30 d. 40 e. 50
c. 30cmH2O Paeds 20cmH20 Cuff pressures greater than 30 cmH2O impede mucosal capillary blood flow. Multiple prior studies have recommended 30 cmH2O as the maximum safe cuff inflation pressure https://www.ncbi.nlm.nih.gov/pmc/articles/PMC5102598/#:~:text=Cuff%20pressures%20greater%20than%2030,maximum%20safe%20cuff%20inflation%20pressure. "
848
E22.1 A drug which does NOT increase the defibrillation threshold in a patient with an implanted cardioverter defibrillator is a. Amiodarone b. Atropine c. B-blocker d. Flecainide e. Sotalol
e. Sotalol Answer could also be c. Beta Blockers (have no effect on threshold) Drugs that INCREASE defibrillation threshold: + Amiodarone (Chronic) + Atropine + lignocaine + Diltiazem + Flecainide + Verapamil + Venlafaxine + Anaesthetic agents. Drugs that DECREASE defibrillation threshold: - Sotalol - Amiodarone (acute) - Nifekalant Drugs with No Change in DFT = B- blocker = Disopyramide = Procainamide = Propafenone https://www.ncbi.nlm.nih.gov/pmc/articles/PMC6304797/
849
22.1 The nerve labelled by the arrow in the diagram (image of brachial plexus given pointing to posterior cord) is the a. Median nerve b. MC nerve c. Radial nerve d. Ulnar nerve
"c) radial nerve Lateral cord - MC Lateral cord + Medial cord - Median Posterior cord - Radial, axillary Medial cord - Ulnar"
850
# A 22.1 A test for a condition which has a prevalence of 1 in 1000 has a sensitivity of 100% and a specificity of 90%. The probability of a patient who receives a positive result actually having the condition is a. 1% b. 10% c. 50% d. 100%
a. 1% i.e. what is the positive predictive value (PPV) for this test PPV= TP/ TP +FP Negative Predictive Value = TN / TN + FN Prevalence of 1/1000 Sensitivity of 100% Specificity of 90% Of patients that are disease positive in population of 1000 TP = 1 FN = 0 -> 100% sensitivity Of patients that are disease negative in population of 1000 FP = 99 TN = 900 -> 90% Specificity PPV= 1/ 1 + 99 = 1/100 =1% NPV= 900/ 900 + 0 = 1/1 = 100%
851
22.1 This posteroanterior chest X-ray shows enlargement of the (everyone seems to be unsure of answer, no image supplied) a. Aorta b. RA c. RV d. LA e. LV
852
22.1Your patient has been administered 50 mL of oral 5-aminolevulinic acid hydrochloride (Gliolan) three hours prior to her scheduled craniotomy for resection of a glioblastoma. Care should be taken perioperatively to avoid the adverse effect of
photosensitivity GLiolan - used for visualisation of glioblastoma during tumor surgery - substance accumulates in tumour cells --> exposed to blue light --> emits red-violet light AE: phototoxicity , hepatotoxicity - raised bili and LFT, seizure, hypotension, pregnancy cat c, nausea, anaemia/thrombocytopenia, thromboembolism contraindicated in prophyria" Gliolan (PI): Aminolevulinic acid hydrochloride (ALA) Natural precurore of haeme, metabolised into fluorescent prophyrins The fluorescence in certain tissue targets for photodynamic diagnosis Increased fluorescent porphyrin formation by malignant glioma tissue (i.e. GBM) After excitation with blue light (λ=400‑410 nm), PPIX is strongly fluorescent (peak at λ=635 nm) and can be visualised after appropriate modifications to a standard neurosurgical microscope. Avoid exposure of eyes and skin to light sources afterwards (photosensivity). Contraindications: - hypersensitivity - porphyria - pregnancy Precautions: - After administration of Gliolan, exposure of eyes and skin to strong light sources (e.g. operating illumination, direct sunlight or brightly focused indoor light) should be avoided for 24 hours. - Co-administration with other potentially phototoxic substances (e.g. tetracyclines, sulfonamides, fluoroquinolones, hypericin extracts) should be avoided - Within 24 hours after administration, other potentially hepatotoxic medicinal products should be avoided. - In patients with pre-existing cardiovascular disease, Gliolan should be used with caution since literature reports have shown decreased systolic and diastolic blood pressures, pulmonary artery systolic and diastolic pressure as well as pulmonary vascular resistance.
853
22.1 Anaesthesia-induced rhabdomyolysis differs from malignant hyperthermia in that it is NOT a. Reduced myoglobinuria b. Less increase in ETCO2 c. Less muscle rigidity
Reduced Myoglobinaemia Repeat but its not myoglobinuria it was myoglobinaemia There is NOT reduced myoglobinuria with AIR compared to MH (both have myoglobinuria) There IS less increase in ETCO2 There IS less muscle rigidity
854
22.1 You are planning to perform a peribulbar block and wish to check the axial length of the eye prior to proceeding. The average axial length of the globe in adults as measured by ultrasound is a. 20mm b. 23mm c. 26mm d. 29mm e. 32mm
B 23mm
855
22.1 A 25-year-old man suffers a 30% total body surface area burn. A physiological change expected within the first 24 hours is a. Increased PVR b. Decreased SVR
increased SVR Ebb - Initial high SVR/PVR low CO low DO2/VO2 Flow – Then (within 24-48hrs -> vasoplegic/hyperdynamic state) high CO, increased DO2/VO2, low SVR https://pubs.asahq.org/anesthesiology/article/129/3/583/22270/Early-Hemodynamic-Management-of-Critically-Ill EMSB handbook CO is reduced after Burn injury 2ry to: - myocardial depressant mediators - decreased blood volume - reduced venous return - increased pulmonary and systemic vascular resistance due to increased levels of catecholamines In the first 24hrs reduced cardiac output persists even after restoration of blood volume Between 24-48hrs post burn a hyperdynamic state develops with reduced peripheral resistance, increased oxygen consumption and increased cardiac outputuestion 6 Discuss the implications of anticoagulation as well as an appropriate anticoagulant management strategy for a 25-year-old with a mechanical aortic valve for the duration of pregnancy, delivery and the postpartum period.
856
22.1 Of the following clinical conditions, difficult intubation is LEAST likely to be associated with a. Apert syndrome b. Hurler c. Pierre Robin d. Down e. Treacher collins
D. Down Syndrome - difficult BMV but usually straightforward laryngocoscopy 2015 BJA managing syndromic airways
857
22.1 Somatosensory evoked potentials (SSEPs) are used to monitor spinal cord function during scoliosis surgery. They are LEAST affected by a. Opioids b. Volatiles c. Muscle relaxant
Muscle relaxants Muscle relaxants don’t affect SSEPs at all. Repeat MCQ 2021A had the same stem, but different choices (propofol, fentanyl, desflurane, midazolam, sevoflurane) which fentanyl would be correct."
858
22.1 Suxamethonium may be safely given to patients with a. Becker muscular dystrophy b. Cerebral palsy c. Guillain Barre d. Frederich’s ataxia e. Duchenne muscular dystrophy
cerebral palsy - CP - sux is not contraindicated, NDMB - are less potent and have shorter duration of action due to upregulation of AchR but usually offset by smaller Vd https://www.bjaed.org/article/S2058-5349(21)00116-5/fulltext Beckers and Duchennes --> AIR GBS and Frederich --> hyperkalaemia"
859
22.1 A 65-year-old man presents to the preadmission clinic two weeks prior to his total knee replacement. His blood results include haemoglobin 100 g/L, ferritin 20 μg/L and normal C-reactive protein. The best course of action is to a. Proceed b. EPO and iron c. Iron tablet and delay 3 months d. Iron transfusion and proceed e. PRBC
Postpone 3 months and give oral iron - target ferritin for major procedures - 100 ferritin <30 = Fe deficiency ferritin <100 in setting of ^ CRP>5 or transferrin sat <20% = Fe deficiency In setting of Fe deficiency, major non urgent surgery should be postponed to allow for tx target Hb to be >130g/L for both sexes daily Fe 40-60mg/day for 2mths, IV Fe if not tolerating oral not responding of if surgery is <6 weeks"
860
22.1 A patient’s glomerular filtration rate is estimated at 35 mL/min/1.73m2. The patient’s chronic kidney disease can be classified as Stage a. 5 b. 4 c. 3a d. 3b e. 2
3b Category GFR ml/min/1.73 m2 Terms G1 ≥90 Normal or high G2 60-89 Mildly decreased* G3a 45-59 Mildly to moderately decreased G3b 30-44 Moderately to severely decreased G4 15-29 Severely decreased G5 <15 Kidney failure
861
22.1 To allow cardiopulmonary bypass in a patient with heparin resistance, fresh frozen plasma may be administered in order to increase the level of
ATIII
862
22.1 The image shows results from noninferiority trials. The trial labelled N is best described as (the confidence interval crosses midline of no effect and margin of non-inferiority) a. Inferior b. Non-inferior c. Inconclusive
Inconclusive "If the confidence interval of this difference is totally above zero, then the experimental group can be considered superior to the control group (Figure A). If the confidence interval is below zero but totally above the non-inferiority limit, then the experimental group can be considered not inferior to the control group (Figure B). On the other hand, if the confidence interval is completely below the non-inferiority limit, the experimental group should be considered inferior to the control group (Figure C). Finally, non-inferiority studies whose 95% confidence interval cross the non-inferiority limit, presenting superior and inferior values (Figure D, and E) are considered inconclusive."
863
22.1 The radial artery pressure trace shown below is from a patient who has an intra-aortic balloon pump in situ. The device has been switched to 1:2 augmentation to assess the timing. The trace shows an augmented beat followed by a nonaugmented beat. With respect to the augmentation, the trace shows a. Early deflation b. Late deflation c. Late inflation d. Early inflation e. No change
C late inflation Inflation of IABP after closure of the aortic valve https://www.bjaed.org/article/S1743-1816%2817%2930329-3/fulltext
864
22.1 A patient is undergoing treatment for a malignant hyperthermia crisis. Active cooling should be ceased when the patient’s core temperature has dropped to a. 35 b. 36 c. 37 d. 38
38
865
22.1A 63-year-old woman is to undergo an elective total hip replacement. Her past medical history includes hypertension, stroke, type 2 diabetes mellitus, chronic atrial fibrillation and chronic renal impairment with an estimated creatinine clearance of 46 mL/min. Her medications include dabigatran 150 mg bd for stroke prevention. Perioperatively, her dabigatran therapy should a. Be withheld 2 days b. Withhold 3 days c. Withhold 5 days d. Withhold 6 days e. Continue
5d ANZCA - CrCl >80 (3D) 80-50 (4D) <50 (5D) ASRA: if no additional RFs for bleeding, and CrCl > 80ml/min -> 72hrs (3 days) 50-79 -> 96hrs (4 days) 30-49 -> 120hrs (5 days) <30 - avoid If unknown -> 5 days Nysora regional guidelines Stanford 2019 neuraxial doc "
866
22.1 A 50-year-old man with carcinoid syndrome having a resection of a peripheral hepatic metastasis develops a sudden fall in BP from 110/70 mmHg to 85/50 mmHg without significant bleeding. The most appropriate management is a. Normal saline bolus b. Octreotide 50mcg bolus c. Metaraminol 0.5mg d. Noradrenaline 5mcg bolus e. Calcium 6.8mmol
b. Octreotide 50mcg bolus Carcinoid crisis - is an exagerrated form of carcinoid syndrome --> flushing, bronchospasm, tachycardia, widely fluctuating BP (high and low) -- most common trigger is anaesthetic, radiological/surgical intervention. Peri-op try to prevent uncontrolled hormone release precipitated by haemodynamic variation, anaesthetic or surgical stimulus using OCTREOTIDE (exerts activity similar to somatostatin) - pre op - octreotide 50mcg/hr for at least 12hrs pre surgery Intraop crisis - octreotide IV 20-50mcg boluses titrated to haemodynamic response. 2nd line - vasopression (avoid NA/Adr due to ANS stimulation) - monitor for bleeding (Rx w/ fluid if so) - if HTN -> labetalol infusion Post-op - HDU for 48hrs " Vasoactive hormone release intra-operatively is best treated with intravenous boluses of 20–50 µg of octreotide, titrated to haemodynamic response. Vasopressin as an alternative vasoconstrictor that may be useful if prolonged vasoconstriction is required; however, the evidence base is small. It must be borne in mind that concomitant fluid losses, especially bleeding, may be responsible for intra-operative instability rather than hormone excess and that fluid resuscitation may be the answer rather than further octreotide therapy https://academic.oup.com/bjaed/article/11/1/9/285683
867
22.1 The nerve(s) that need to be blocked with local anaesthetic to achieve complete anaesthesia for amputation of the fifth toe is/are a. Posterior tibial b. Sural c. Deep and superficial peroneal d. Superficial peroneal and tibial e. Superior peroneal, tibial, sural
d. Superficial peroneal and tibial Sural nerve would also need blocked for skin surface - see anso
868
22.1 A man has symptomatic carbon monoxide poisoning. His pulse oximetry (SpO2) and arterial blood gas (PaO2) would be expected to show a. Normal SpO2, Normal PaO2 b. Normal SpO2, reduced PaO2 c. Reduced SpO2, normal PaO2 d. Reduced SpO2, reduced PaO2
a. Normal SpO2, Normal PaO2 SpO2 (pulse ox can't differentiate COHb and OxyHb), PaO2 (PaO2 reflects dissolved O2 in blood - not affected by CO) - only SaO2 is reduced (in presence of CO binding) https://www.uptodate.com/contents/carbon-monoxide-poisoning#:~:text=Diagnosis%20–%20The%20diagnosis%20of%20CO,in%20smokers%20confirms%20the%20diagnosis." ABG HbCO (elevated levels are significant, but low levels do not rule out exposure) lactate (tissue hypoxia) PaO2 should be normal, SpO2 only accurate if measured (not calculated from PaO2) MetHb (exclude) https://litfl.com/carbon-monoxide-poisoning/
869
22.1 Venous air embolism during frontal craniotomy is most likely to arise from the a. Transverse sinus b. Sigmoid sinus c. Superior sagittal d. Straight
c. Superior sagittal Higest incidence of VAE during sitting craniotomy ~15-76%. 0-12% for craniotomy in other positions Air enters through venous system above level of heart, increased risk with negative pressure ventilation, sudden changes in PEEP Frontal crani - superior sagittal sinus Temporal crani - vein of Labbe Parietal crani - superior sagittal sinus, vein of Trolard Retrosigmoid crani - mastoid emissary vein Occiptal crani - transverse and occipital sinus https://www.ncbi.nlm.nih.gov/pmc/articles/PMC7771396/ " Risk factors for venous air embolism include sitting craniotomy, posterior fossa surgery and procedures near the superior sagittal sinus. In these situations, the surgical site is often above the level of the right atrium and hence venous air entrainment is facilitated, or there is a large risk of venous exposure through which air may be entrained. Depending on the volume of air entrained, reduced end-tidal carbon dioxide, arrhythmias or right heart failure and cardiovascular collapse are all possible. However, changes in clinical parameters often occur late and are nonspecific for small volumes of entrainment. Specific monitoring for detection of venous air embolism includes non-invasive means such as end-tidal nitrogen, precordial Doppler or stethoscope and transcranial Doppler. Invasive methods include transoesophageal echocardiography, oesophageal stethoscope, pulmonary artery catheter and central venous pressure monitoring. https://resources.wfsahq.org/atotw/anaesthesia-for-craniotomy-and-brain-tumour-resection/
870
22.1 St. John’s wort (herbal medicine Hypericum perforatum) will reduce the effects of a. Aspirin b. Clopidogrel c. Warfarin d. Heparin e. NOAC
c. Warfarin St John's wort is an enzyme inducer --> ^metabolism and reduced effects of many meds: Indinavir, cyclosporin, WARFARIN, DIGOXIN, THEOPHYLLINE, HIV protease inhibitors, ANTICONVULSANTS - can ^ serotonin - risk of serotonin syndrome with other SSRI https://www.tga.gov.au/news/safety-alerts/st-johns-wort-important-interactions-between-st-johns-wort-hypericum-perforatum-preparations-and-prescription-medicines " It is a potent inducer of hepatic cytochrome P450 CYP3A4 isoform. Hence, it may significantly increase the metabolism of many concomitantly administered drugs such as alfentanil, midazolam, and lidocaine. It also induces the P450 2C9 isoform that results in the reduction in effect of warfarin and NSAIDs
871
22.1 You are about to anaesthetise a 25-year-old man for an open appendicectomy. He has a history of tricuspid atresia for which he has had a Fontan procedure. An important goal in managing his ventilation under anaesthesia is to ensure a. Long I time, low pressures b. Long I time, PEEP c. Long E time d. Spontaneous ventilation
c. Long E time Spont vent not appropriate for this surgery as will require RSI so spont vent can't be ensured Blue Book 2021 Maintaining pulmonary blood flow and therefore cardiac output in the absence of a sub-pulmonary ventricle is the priority. Therefore, maintenance of adequate oxygen saturations and normocarbia should be ensured, with avoidance of acidosis or excessive positive pressure ventilation that could contribute to an increase in pulmonary vascular resistance. Such strategies include: - limiting peak inspiratory pressure (<20 cm H2O) - using low RR (<20/min) - short inspiratory times - avoiding excessive PEEP Fontan goals (CEACCP 2008): Spont if possible, otherwise low RR//short inspiratory times//low PEEP//TV 5-6ml/kg//preload . If you agree that most likely need relaxant-tube GA and mechanical ventilation for appendicectomy, then shorter inspiratory time is a better answer than spont vent. Short inspiratory time minimizes blood flow disruption to pulmonary vasculature. Long inspiratory time with lower than usual pressures increase mean airway pressure BJA: fontan circulation: For relatively short procedures, Fontan patients are probably better off breathing spontaneously, as long as severe hypercarbia is avoided. For major surgery, or when prolonged anaesthesia is required, control of ventilation and active prevention of atelectasis is usually advisable. Potential disadvantages of mechanical ventilation in Fontan patients relate to the inevitable increase in mean intrathoracic pressure. This causes decreased venous return, decreased pulmonary blood flow, and hence, decreased cardiac output. Low respiratory rates, short inspiratory times, low PEEP, and tidal volumes of 5–6 ml kg−1 usually allow adequate pulmonary blood flow, normocarbia, and a low PVR. Hyperventilation tends to impair pulmonary blood flow, despite the induced respiratory alkalosis, because of the increased mean intrathoracic pressure. https://academic.oup.com/bjaed/article/8/1/26/277637
872
22.1 According to the ‘Fourth Consensus Guidelines for the Management of Postoperative Nausea and Vomiting (PONV)’ published in 2020, multimodal PONV prophylaxis should be implemented in adult patients a. For everyone b. 1 or more RF c. 2 or more RF d. 3 or more RF e. 4 or more RF
b. 1 or more RF In this iteration of the PONV guideline, one of the major changes is that we now recommend the use of multimodal prophylaxis in patients with one or more risk factors. This decision was made due to the concern over inadequate prophylaxis as well as the availability of antiemetic safety data.
873
22.1 When using ROTEM thromboelastometry, the APTEM test is used to assess a. Fibrinolysis b. Platelet function c. Coagulation factors
Fibrinolysis In APTEM, coagulation is also activated as in EXTEM. By the addition of aprotinin or tranexamic acid in the reagent, fibrinolytic processes are inhibited in vitro. The comparison of EXTEM and APTEM allows for a rapid detection of fibrinolysis. Furthermore, APTEM enables the estimation if an antifibrinolytic therapy alone normalises the coagulation or if additional measures have to be taken (e.g. administration of fibrinogen). EXTEM - similar to PT (assess extrinsic pathway) INTEM - similar to APTT (assesses intrinsic pathway) FIBTEM - asesses fibrinogen function APTEM - excludes fibrinolysis - uses aprotinin to inhibit fibrinolytic proteins. Shortened CT and higher MCF in APTEM test compares to EXTEM suggests hyperfibrinolysis is taking place. HEPTEM - assess for heparin effect If HEPTEM CT < INTEM CT - heparin effect present ECATEM - tests for direct thrombin inhibitors"
874
22.1 Of the following, the drug that is LEAST likely to provide effective analgesia following paediatric tonsillectomy is a. Ketamine b. Clonidine c. NSAIDs d. Paracetamol e. Dexamethasone
b. Clonidine PROSPECT 2021 https://associationofanaesthetists-publications.onlinelibrary.wiley.com/doi/full/10.1111/anae.15299 Pre-operative and intra-operative interventions that improved postoperative pain were: - paracetamol; - non-steroidal anti-inflammatory drugs; - intravenous dexamethasone; - ketamine (only assessed in children); - gabapentinoids; - dexmedetomidine; - honey; - acupuncture. Inconsistent evidence was found for: - local anaesthetic infiltration; - antibiotics; - magnesium sulphate. Limited evidence was found for - clonidine. The analgesic regimen for tonsillectomy should include: 1. paracetamol; 2. non-steroidal anti-inflammatory drugs; and 3. intravenous dexamethasone, 4. with opioids as rescue analgesics. Analgesic adjuncts such as: 1. intra-operative and postoperative acupuncture as well as 2. postoperative honey are also recommended. 3. Ketamine (only for children); dexmedetomidine; or gabapentinoids may be considered when some of the first-line analgesics are contra-indicated ?peritonsilar infiltration --> increased risk of upper airway obstruction
875
22.1 You are anaesthetising a patient for implantation of an automated implantable cardioverter defibrillator. The patient is a 48-year-old with dilated cardiomyopathy and pulmonary hypertension. The preoperative echocardiogram report states that the estimated pulmonary artery systolic pressure is 55 mmHg, and that there is mild right ventricular systolic dysfunction. To avoid worsening right ventricular function during induction, it would be best to consider using a. Milrinone b. Dopamine c. Dobutamine d. Adrenaline
c. Dobutamine Dobutamine and milrinone can cause systemic vasodilation leading to reduction in systemic blood pressure and RCA perfusion pressure, Both adrenaline and Dopamine do not cause pulmonary vasodilation and can lead to tachyarhythmias Pulmonary hypertension and its management in patients undergoing non-cardiac surgery https://associationofanaesthetists-publications.onlinelibrary.wiley.com/doi/10.1111/anae.12831 Vasoconstrictors, inotropes and inodilators Maintaining the gradient between aorta and right ventricle is achieved by using sympathomimetic and non-sympathomimetic vasopressors. Noradrenaline and vasopressin improve perfusion of the right coronary artery, reduce the pulmonary/systemic vascular resistance ratio, enhance right ventricular performance and marginally improve cardiac output However, the evidence of their impact on mortality related to right heart failure is weak. Inotropes that enhance right ventricular performance, such as adrenaline, dobutamine and levosimendan are effective in treating right-sided heart failure. The use of inotropes has a modest impact in reducing the overall mortality related to PH, and their wide availability and ease of administration make this group of drugs very attractive for use in the peri-operative setting. Inodilators, such as the phosphodiesterase-3 inhibitors milrinone and enoximone, have been shown to be beneficial when compared with conventional inotropic support only. It appears that the influence of phosphodiesterase-3 inhibitors on reducing pulmonary vascular resistance is more pronounced than the reduction in systemic vascular resistance. However, reduction in systemic vascular resistance can compromise right coronary artery blood flow in patients with severe PH and therefore they should be administered cautiously. Treatment of pulmonary hypertensive crisis: General principles - Avoid hypoxic pulmonary vasoconstriction - Avoid hypercarbia, acidosis and hypothermia - Avoid high airway pressures - Optimise right ventricular preload - Reduce right ventricular afterload - Maintain coronary blood flow - Maintain sinus rhythm - Maintain arterial blood pressure and cardiac output Vasopressors– noradrenaline; vasopressin Inotropes– adrenaline; dobutamine Inodilators– milrinone; enoximone Intravenous vasodilators (caution if low systolic blood pressure) - Milrinone (25–50 μg.kg−1 bolus, followed by 0.5–0.75 μg.kg−1.min−1 continuous infusion) - Prostacyclin (4–10 ng.kg−1.min−1 continuous infusion) - Iloprost (1–3 ng.kg−1.min−1 continuous infusion) - Sildenafil (10 mg bolus three times a day) Selective pulmonary vasodilation - Iloprost (5–10 μg diluted in 10 ml saline, nebulised over 10 min, repeated every 2–4 h) - Prostacyclin (25–50 μg diluted in 50 ml saline, nebulised over 15 min, repeated every hour) - Nitric oxide (5–40 ppm continuously)
876
22.1 Regarding healthcare research, the PICO framework describes a. Forming a research question and literature review b. Framework to conduct systematic review
Forming a research question and literature review SQUIRE - framework for reporting new knowldge and how to improve healthcare RCT - CONSORT Observational studies - STROBE Systematic review - PRISMA Study protocols - SPIRIT Clinical practice guidelines - AGREE Qualitative research - SRQR Research question - PICO"
877
22.1 A 36-year-old man complains of left calf pain for two weeks. His pain is worse on walking but not completely relieved by sitting or lying down. On examination, he has mild weakness of left big toe extension. The most likely finding on MRI would be a. L4/5 central disc bulge with facet joint pathology b. L4/5 disc prolapse with compression of interveterbral foramina pathology c. L5/S1 central disc bulge with facet joint degeneration d. L5/S1 disc prolapse with compression of interveterbral foramina pathology
d. L5/S1 disc prolapse with compression of interveterbral foramina pathology BJA: Chronic BAck Pain https://academic.oup.com/bjaed/article/6/4/152/387156?itm_medium=sidebar&itm_source=trendmd-widget&itm_campaign=BJA_Education&itm_content=BJA_Education_0 Neurological examination may reveal sensory, motor and reflex abnormalities. Nerve root pain can be caused by disc herniation, spinal stenosis and epidural adhesions. The nerve roots leave the spinal canal via the intervertebral foramina. Difficulty with big toe extension - extensor hallucis longus innervated by Deep Peroneal Nerve (L4, L5 nerve roots) Nerve root exit from under the vertebral body so L4 will be L4/5 and L5 will be L5/S1 Unilateral so should be foraminal pathology https://www.orthobullets.com/anatomy/10117/deep-peroneal-nerve "
878
22.1 A normal sized six-year-old girl has a haemoglobin of 70 g/L following surgery. The volume of packed red blood cells that you would plan to infuse to raise her haemoglobin to 80 g/L is a. 80ml b. 100ml c. 120ml d. 180ml e. 200ml
b. 100ml 4mg/kg blood will raise Hb by 10g/L Paediatric weight estimation: RCH: Weight (kg) = (age + 4) x 2 = 20kg Formula for calculating transfusion volume (mL) Children <20 kg: PRBC (mL) = wt (kg) x Hb (g/L) rise (desired Hb – actual Hb) x 0.5 (transfusion factor) Children >20 kg: 1 unit PRBC Example: 6 + 4 x 2 = 20kg 20kg x 10g/l x 0.5 = 100ml
879
22.1 A 57-year-old female smoker presents for a laparotomy with the following pulmonary function tests (normal FEV1 FVC, low RV and FRC only, normal DLCO) They are consistent with a diagnosis of a. Obesity b. PE c. Pulmonary fibrosis d. COPD e. bilateral phrenic nerve injury
a. obesity ? although normally dont have a reduced RV e. bilateral phrenic nerve palsy if FEV1/FVC and misremembered (previous 2015 mcq similar question given FEV1/FVC ratio instead) Phrenic nerve palsy A reduced forced vital capacity (FVC), vital capacity (VC), and total lung capacity (TLC) are typically seen; forced expiratory volume in one second (FEV1)/FVC ratio (greater than 70 percent of predicted) and DLCO are often preserved. (Did the stem have FEV1/FVC ratio rather than above?) Obesity and pulmonary function testing https://www.jacionline.org/article/S0091-6749(05)00164-8/fulltext - Full pulmonary function tests are often necessary to better characterize the spirometric abnormalities seen in the obese patient - The most sensitive indicator of obesity is a low expiratory reserve volume (ERV) and functional residual capacity - Restriction is seen in more severe obesity, with reductions in TLC and FVC. - However, residual volume is often preserved because of the relative high closing volume in relation to ERV.
880
22.1 A 24-year-old man with Wolff-Parkinson-White syndrome is having anaesthesia for a knee arthroscopy. During the procedure he develops the following rhythm. His blood pressure is 100/65mmHg. The most appropriate treatment is a. Adenosine b. Procainamide c. Verapamil
b. Procainamide BJA: Perioperative cardiac arrhythmias https://academic.oup.com/bja/article/93/1/86/265716 - Paroxysmal SVT (PSVT) due to re‐entrant circuits that involve accessory pathways (congenital electrical connections between the atrium and ventricle that bypass the AV node, such as Wolff–Parkinson–White Syndrome) pose caveats in the management of SVT. - It should be noted that patients with accessory pathways, in addition to PSVT, may also develop atrial fibrillation, and in the latter situation are at increased risk for developing ventricular fibrillation (VF) upon exposure to classic AV‐nodal blocking agents (digoxin, calcium channel blockers, beta blockers, adenosine) because these agents reduce the accessory bundle refractory period. - In such cases, i.v. procainamide, which slows conduction over the accessory bundle, is an acceptable option. Flecainide and amiodarone should also be considered, and cardiology consultation may be helpful.2 Overall Haemodynamically unstable - syncrhonised DCCV Haemodynmaically stable SVT with narrow QRS complex - adenosine 6mg or esmolol 0.5mg/kg, metoprolol 1-5mg, diltiazem 0.25mg/kg SVT with broad QRS complex - amiodarone, consider VT Antidromic AVRT - a regular **broad complex** tachcardia (anterograde conduction via accessory pathway and retrograde via AV node) - PROCAINAMIDE Orthodromic AVRT - a regular **narrow complex** tachycardia (anterograde conduction via AV node and retrograde via accessory) - ADENOSINE Irregular broad complex tachcyardia - AF with rapid anterograde conduction via accessory pathway https://academic.oup.com/bjaed/article/15/2/90/248695#2937337 "
881
22.1 The train-of-four (TOF) ratio above which the majority of anaesthetists will NOT be able to visually detect fade on TOF stimulation is a. 0.2 b. 0.4 c. 0.6 d. 0.7 e. 0.9
b. 0.4 BJA: Monitoring of neuromuscular block https://academic.oup.com/bjaed/article/6/1/7/347026 When neuromuscular monitoring is used, visual or tactile evaluation of the degree of neuromuscular block is unreliable. Even experienced anaesthetists are unable to detect fade when the TOF ratio is >0.4. It is now thought that significant residual curarization is still present if the TOF ratio is <0.97 (not 0.7 as previously suggested8). (Double burst up to TOFR >0.6)
882
22.1A high mixed venous oxygen saturation (SvO2) is most likely to be associated with a. COPD b. PE / Tamponade c. Acute MI d. Severe liver failure e. Sepsis
d. Severe liver failure but could also be e. Sepsis High SvO2 due to, ^O2 delivery (hyperbaric oxygen, increased FiO2), decreaed O2 demand (hypothermia, anaesthesia, neuromuscular blockade), High flow states (sepsis, hyperthryoid, severe liver disease), histotoxic hypoxia (CN poisoning) ESLD - usually low SVR, high CI, ^SvO2 Sepsis - can be high or low SvO2 https://litfl.com/mixed-venous-oxygen-saturation-svo2-monitoring/ " LIFTL: INTERPRETATION High SvO2 - increased O2 delivery (increased FiO2, hyperoxia, hyperbaric oxygen) - decreased O2 demand (hypothermia, anaesthesia, neuromuscular blockade) - high flow states: sepsis, hyperthyroidism, severe liver disease Low SvO2 - decreased O2 delivery: 1. decreased Hb (anaemia, haemorrhage, dilution) 2. decreased SaO2 (hypoxaemia) 3. decreased Q (any form of shock, arrhythmia) - increased O2 demand (hyperthermia, shivering, pain, seizures) - Causes of High SvO2 despite evidence of End-organ Hypoxia: 1. microvascular shunting (e.g. sepsis) 2. histotoxic hypoxia (e.g. cyanide poisoning) 3. abnormalities in distribution of blood flow Anesthesia Monitoring Of Mixed Venous Saturation: https://www.ncbi.nlm.nih.gov/books/NBK539835/ In sepsis, ScvO2 less than 70% or SvO2 lower than 65% correlate with poor prognosis.[2] In application, certain studies have shown that maintaining a goal ScvO2 greater than 70% leads to reduced mortality.[11] Therefore, ScvO2 is used to guide treatment algorithms in the Surviving Sepsis Campaign (SSC). Studies have shown that normal to higher levels of mixed venous oxygen saturation in patients with clinically worsening sepsis do not rule out tissue hypoxia due to the inability to utilize O2.[11][7] Therefore, several studies support the conclusion that abnormally low or high ScvO2 correlates with higher mortality in patients with septic shock.
883
22.1 You have anaesthetised a 25-year-old woman for a sleeve gastrectomy. She normally takes the oral contraceptive pill. You used rocuronium and at the end of the case reversed it with 4 mg/kg of sugammadex. Prior to discharge you should advise her to use non-hormonal contraception for the next a. 1 day b. 3 days c. 5 days d. 7 days
d. 7 days A bolus dose of sugammadex is thought to have the following consequences: (i) the equivalent of missing one daily dose of oral contraceptives, and (ii) reduced efficacy of other hormonal contraceptives (e.g. implant, vaginal ring, or intrauterine system) requiring additional non-hormonal contraception be used for 7 days. https://www.bjanaesthesia.org/article/S0007-0912(18)30198-3/fulltext Although I am dubious on this as the amount of hormone packed into a COCP is far in excess of what is required to suppress ovulation. Along with surgical stress and impact on the reproductive cycle its probably BS. Looks like Devoy (and anzca are all over it) https://associationofanaesthetists-publications.onlinelibrary.wiley.com/doi/10.1111/anae.15902 https://oce-ovid-com.ezproxy.anzca.edu.au/article/00001503-202408000-00003/PDF He notes that the effect on the POP might be significant (would need a three day backup)
884
22.1 Moderate obstructive sleep apnoea in children is diagnosed by an apnoea-hypopnoea index of a. 5-10 b. 10-15 c. 15-20 d. 20-25 e. 25-30
a. 5-10 PAED mild >1 - <5 Moderate >/=5 - <10 Severe >/=10 ADULT normal <5 mild >/=5 - < 15 moderate >/=15 - 30 severe >/= 30 Apnoea = breathing stop or reduce to 10% of normal levels for 10seconds Hypopnea = airflow decreases by more than 30% for 10 seconds AHI = total apnoea+hypopnoea / total no. of hours asleep"
885
21.2 A woman experiences a post-partum haemorrhage associated with uterine atony that is unresponsive to oxytocin and ergometrine. The recommended intramuscular dose of carboprost (15-methyl prostaglandin F2 alpha ) to be administered is a) 250mcg IM once b) 250mcg IM q15mins, up to 2mg c) 500mcg IM d) 250mcg IV e) 500mcg IV
b) 250mcg IM q15mins, up to 2mg 15-methyl-PGF2α (carboprost; Prostinfenem) which may be administered in one of two ways: Intra-muscular injection of 0.25mg, in repeated doses as required at intervals of not less than 15 minutes to a maximum total cumulative dose of 2.0mg (ie up to 8 doses) Source RANZCOG PPH Guideline 2021
886
21.2 A 74-year old man in the post-anaesthesia care unit complains of chest pain. An electrocardiogram (ECG) is performed. The occluded coronary artery is the
RCA (Inferior STEMI) - 80% RCA - 18% LCx - 2% rare wrap around LAD Source LITFL "II, III, aVF = inferior = RCA. V1,V2 = anterior = LAD V3,V4=septal = LAD V5,V6, avL, I = lateral = Circumflex V1-V6 + aVL= anteriolateral = LCA. https://derangedphysiology.com/main/required-reading/cardiology/Chapter%201.1.8/ecg-localisation-coronary-artery-territories"
887
21.2 Techniques to improve the speed of onset and spread of a peribulbar block include all of the following EXCEPT a) Honan balloon b) Digital pressure c) Ocular massage d) Hyalase
c) Ocular massage Hyalase Mixing with lignocaine Higher concentration Higher volume Occular pressure (spread and IOP reduction) Source: 2x BJA Ed articles
888
21.2 An adult with renal failure on regular haemodialysis has an ASA (American Society of Anesthesiologists) physical status classification of at least a) 1 b) 2 c) 3 d) 4 e) 5
ASA 3 Source: ASA Classification https://www.asahq.org/standards-and-guidelines/asa-physical-status-classification-system
889
21.2 A derived value from an arterial blood gas sample is a.PO2 b.PCO2 c.PH d.Base Excess
BE and Hco3 are derived
890
21.2 A patient presents with a serum sodium of 110 mmol/L. A feature NOT consistent with a diagnosis of syndrome of inappropriate antiduretic hormone (SIADH) is a) Urine osmolality <100mOsm/kg b) Euvolaemic state c) Urine Na >40 mmol/L d) Increased cortisol
"a. Urine osmol <100 High ADH -> Highly concentrated urine. Cortisol Suppressed ADH release - likely to be low but not necessarily BJA education: Criteria for diagnosing SIADH include: clinical euvolaemia, serum osmolality <275 mOsm/kg urine osmolality >100 mOsm/kg urinary Na >30 mmol/litre normal thyroid/adrenal function, no use of diuretics within a week of testing"
891
21.2 Identified risk factors for opioid-induced ventilatory impairment DO NOT include a) Opiate use preoperatively b) Male gender c) Sleep disordered breathing d) Obesity e) Renal impairment
b) Male gender Patient-related risk factors for OIVI are older age, female gender, sleep disordered breathing (SDB), obesity, renal impairment, pulmonary disease (in particular chronic obstructive pulmonary disease), cardiac disease, diabetes, hypertension, neurologic disease, two or more comorbidities, genetic variations in opioid metabolism, and opioid-tolerant patients. Modifiable risk factors include: * Coadministration of sedatives (e.g. benzodiazepines, gabapentinoids, antipsychotics and sedating antihistamines) * Simultaneous use of multiple opioid agents (this does not include verified doses of opioids taken for management of chronic pain, where the patient has developed a tolerance to and physical dependence on these medications) * Continuous infusions of opioids * Initiation of long-acting opioid preparations (including methadone) * Multiple prescribers * Inadequate nursing assessments or responses * Reliance on unidimensional pain scores alone to assess adequacy of analgesia, and chasing’ pain scores – that is, titrating opioids to pain scores alone to reduce them to a predetermined acceptable number * Using opioids for pain that is not opioid-responsive Source ANSCA PS 41
892
21.2 Risks associated with robot-assisted laparoscopic prostatectomy surgery in comparison with open prostatectomy include all of the following EXCEPT a) CO2 embolism b) cerebral oedema c) corneal burns d) major haemorrhage
d) major haemorrhage - blood loss is significantly less with RALP Up to date: RALP
893
21.2 The most likely complication from ultrasound guided left internal jugular central venous line insertion is a) Arterial puncture b) Thoracic duct injury c) Pneumothorax d) Haematoma
a) Arterial puncture - thoracic duct injury is a risk with left sided IJ CVC insertion, but it is a rarer complication. Complications by site: IJ - arterial puncture (6-9%) > haematoma (<2%) > PTX (<0.2%) Subclavian - arterial puncture (3-5%) > PTX (1.5-3%) > haematoma (2%) > haemothorax (<1%) Femoral - arterial puncture (9-15%) > haematoma (3-4%) ANZCA blue book 2019 pg 77
894
21.2 Regarding healthcare research, the PICO framework describes a) Critical appraisal b) Meta-analysis c) Observational study d) Systematic review
a) Critical appraisal PICO is a mnemonic used to describe the four elements of a good clinical foreground question: P = Population/Patient/Problem - How would I describe the problem or a group of patients similar to mine? I = Intervention - What main intervention, prognostic factor or exposure am I considering? C = Comparison - Is there an alternative to compare with the intervention? O = Outcome - What do I hope to accomplish, measure, improve or affect?
895
21.2 The drug of choice for the treatment of duct dependent congenital heart disease is a) Alprostadil b) Prostacyclin c) Carboprost d) Sildenafil e) NSAID
a) Alprostadil Prostin (PGE1)
896
21.2 A patient has blunt chest trauma. A thoracotomy is indicated if the immediate blood drainage after closed thoracostomy is greater than a) 500mL b) 750mL c) 1L d) 1.2L e) 1.5L
1,500 mL immediately OR 200 mL/hr in the first 2-4 hours
897
21.2 A factor that is NOT used to calculate the Child-Pugh score is a) Albumin b) Bilirubin c) INR d) Creatinine e) Ascites
d) Creatinine Albumin Bilirubin COAG (INR/PT) Ascites Encephalopathy
898
21.2 The relatively slower onset of action of bupivacaine with adrenaline in brachial plexus anaesthesia compared to other local anaesthetics relates to a) lipid solubility b) pKa c) protein binding d) vasoconstriction
b) pKa BJA: Basic pharmacology of local anaesthetics https://www.bjaed.org/article/S2058-5349(19)30152-0/fulltext Local anaesthetic agents are amphipathic molecules. They bind primarily to sodium channels but also to potassium and calcium channels, and G-protein-coupled receptors. Structural modifications alter the physicochemical characteristics of a local anaesthetic. Speed of onset, potency, and duration depend on the pKa, lipid solubility and protein binding, respectively. All local anaesthetic agents carry a risk of toxicity.
899
21.2 You administer a dose of intravenous indocyanine green to facilitate videoangiography during cerebral aneurysm surgery. The changes in pulse oximetry (SpO2) and cerebral oxygen tissue saturation (SctO2) you expect to see on your monitors are a.Decreased SpO2 Increased SctO2 b Increased SpO2 Increased SctO2 c Decreased SpO2 Decreased SctO2 d Increased SpO2 Decreased SctO2
a.Decreased SpO2 Increased SctO2
900
21.2 The CRASH-2 trial showed tranexamic acid administration to trauma victims results in a reduction in a. Decreased mortality b. Increased mortality c. Decreased blood product use d. No change mortality e. Increased bleeding
Death in bleeding trauma patients Early administration of TXA safely reduced the risk of death in bleeding trauma patients and is highly cost-effective. Treatment beyond 3 hours of injury is unlikely to be effective. no decrease in blood product use
901
21.2 An awake patient in the post-anaesthesia care unit complains of breathlessness. The FiO2 is 0.4 via a facemask. An arterial blood gas taken at the time shows PaO2 135 mmHg, PaCO2 48 mmHg, and SpO2 100% The alveolar-arterial gradient (in mmHg) is approximately a) 60 b) 90 c) 120 d) 150
b) 90 PAO2: 0.4 (760 - 47) - 48/0.8 = 285 - 60 = 225mmHg 225 - 135 = 90mmHg.
902
21.2 A 69-year-old woman has a recent onset of dyspnoea and undergoes a right heart catheterisation, with results displayed below. Her pulmonary capillary wedge pressure is 10 mmHg. The most likely diagnosis is a.COPD b.MR C. PE D. AS E. MS
c) PE
903
21.2 A ten-year-old boy (weight 30 kg) has a displaced distal forearm fracture that requires manipulation and application of plaster. The volume of 0.5% lidocaine (lignocaine) that should be used for intravenous regional anaesthesia (Bier block) is
18mL Local anaesthetic for the block: Dilute lidocaine (lignocaine) 1% with an equal quantity of normal saline to make a 0.5% solution Lidocaine (lignocaine) dose: 3 mg/kg (0.6 mL/kg of 0.5%; max 200 mg or 40 mL) Source RCH Melbourne Bier’s block guideline
904
21.2 A five-year-old child weighing 25 kg is to be strictly nil by mouth overnight following a laparotomy. The most appropriate fluid prescription is a. 65ml/hr N Saline b. 45ml/hr N saline w 5% dex c. 45ml/hr N Saline w 2.5% dex d. 65ml/hr .45% saline w 2.5% dex e. 65ml/hr .45% saline w 5% dex
"b) 45ml/hr 0.9% NS 5% dextrose maintenanicne fluid = 4,2,1 rule = 65ml/hr in unwell children (acute CNS/ post op/ trauma/ pulmonary conditions) - 2/3 maintenaince rate due to ^ADH secretion. preferred maintenaince fluid type 0.9% NS + 5% glucose +/- potassium most sick children will retain water and need less than full maintenaince fluid resuscutation fluid: 10-20ml/kg 0.9% NS rehydration: maintenaince + replacement of deficit + replacement of ongoing losses - replace deficit over 24-48hrs https://www.rch.org.au/clinicalguide/guideline_index/intravenous_fluids/ "
905
21.2 Of the following, the lifestyle modification that is least effective in reducing essential hypertension is a) Stopping caffeine b) Low salt diet c) High potassium diet d) Exercise e) Alcohol cessation
A) stopping caffeine as per UTD Eat a well-balanced diet that's low in salt Limit alcohol Enjoy regular physical activity Manage stress Maintain a healthy weight Quit smoking https://www.nps.org.au/assets/86042695e7c1533b-5d322735f00c-a9e13c1e8cdb8709bc57547d423afb379103db7ef4be0ffbd0acf22125a6.pdf
906
21.2 Sensory innervation of the cornea is by the a. Nasocillary b.Optic c.Trigeminal d.Frontal
"a. Nasociliary. It is a branch of the Trigeminal nerve. https://academic.oup.com/bjaed/article/17/7/221/3800526"
907
21.2 A 25-year-old male has continued post operative bleeding after an extraction of an impacted third molar tooth under a general anaesthetic. The patient mentions that his father bruises quite easily. His coagulation screen reveals: (Coagulation tests provided). The most likely diagnosis is His coagulation screen reveals: Prolonged APTT, Normal PT. a) Factor V Leiden b) Haemophilia A c) Haemophilia B d) Von willebrand disease
d) Von willebrand disease - autosomal dominant inheritance - may have normal or prolonged APTT, PT is normal *Haem A: X-linked recessive disorder; would expect prolonged aPTT, and normal PT *Haem B: X-linked recessive disorder; would expect normal aPTT and normal PT Up to date: Inheritance patterns — Most cases of VWD are transmitted as an autosomal dominant trait; this includes types 1 and 2B, and most types 2A and 2M. Baseline hemostasis assessment — Most patients will have a complete blood count (CBC) with platelet count and coagulation studies during the initial evaluation for excessive bleeding or bruising. ●Individuals with VWD generally have a normal CBC and a normal platelet count, with the exception of those with type 2B VWD, most of whom will have mild thrombocytopenia (eg, platelet count 100,000 to 140,000/microL). ●Individuals with VWD may have a normal or prolonged activated partial thromboplastin time (aPTT), depending on the degree of reduction of the factor VIII level. The prothrombin time (PT) is normal in VWD. Up to date: ●Hemophilia A – Inherited deficiency of factor VIII (factor 8 [F8]); an X-linked recessive disorder. ●Hemophilia B – Inherited deficiency of factor IX (factor 9 [F9]); also called Christmas disease; an X-linked recessive disorder. Laboratory findings — Hemophilia is characterized by a prolonged activated partial thromboplastin time (aPTT). However, the aPTT may be normal in individuals with milder factor deficiencies (eg, factor activity level >15 percent), especially in hemophilia B (factor IX deficiency), where even individuals with moderate disease may have a normal aPTT. In some individuals with hemophilia A, factor VIII levels may increase with stress, leading to a normalization of the aPTT or mis-categorization of factor levels and disease severity. In patients with hemophilia, the aPTT corrects in mixing studies, unless an inhibitor is present, which only applies to individuals who have received factor infusions or who have an autoantibody such as a lupus anticoagulant or an acquired factor inhibitor. Mixing studies that do not show correction of a prolonged aPTT suggest an alternative diagnosis such as an acquired factor inhibitor. The platelet count and prothrombin time (PT) are normal in hemophilia. Thrombocytopenia and/or prolonged PT suggest another diagnosis instead of (or in addition to) hemophilia. Measurement of the factor activity level (factor VIII in hemophilia A; factor IX in hemophilia B) shows a reduced level compared with controls (generally <40 percent). One exception is an individual with mild hemophilia A who undergoes testing when stressed or pregnant and has a falsely elevated factor level. If this is suspected, factor activity testing should be repeated under conditions of low stress. The plasma von Willebrand factor antigen (VWF:Ag) is normal in hemophilia. If VWF:Ag is reduced, this suggests the possibility of von Willebrand disease (VWD) rather than (or in addition to) hemophilia. Urinalysis is not done routinely, but if performed it may sometimes (but not always) show microscopic or macroscopic hematuria.
908
21.2 The condition in which volatile anaesthesia is least appropriate is a) Multiple sclerosis b) Myasthenia gravis c) Lambert-Eaton syndrome d) Guillain-Barre syndrome e) Muscular dystrophy
e) Muscular dystrophy - rhabdomyolysis risk if given to patients with Duchenne or Becker's muscular dystrophy - volatiles safe in all above, and also safe in patient's with myotonic dystrophy Malignant hyperthermia - high mortality uncoupling regulation of RyR1 to SR Duschenne muscular dystrophy - fatal rhabdo (hyperkalaemia) - MD: aspiration risk & poor resp function so risk fail extubation, avoid sux & volatiles > rhabdo & hyperkalaemia. Specifically for Myotonic dystrophy avoid triggers of myotonia (sux, neostigmine, hypothermia, diathermy) - MS: avoid pyrexia, GA safe, avoid sux, neuraxial likely safe (and advised for LSCS). - MG: relatively resistant to sux but sens to NDMB, caution with regional or neuraxial that compromises resp muscles. Avoid magnesium, steroid (unless stress dose) & drugs that prolong NMBA if used (lignocaine, aminoglycoside, CaChB). - ELS: sensitive to BOTH NDMB and sux. Same principles as MG. - GB: document neruo exam preop, avoid sux, use low dose roc (sens to NDMB), increase aspiration risk, HD instability (use an artline). "
909
21.2 International guidelines state that patients presenting for major surgery have inadequate or low iron stores if their serum ferritin level is less than a) 20 b) 30 c) 50 d) 100
d. 100 Normal is >30, but for major surgery the cutoff is 100 https://associationofanaesthetists-publications.onlinelibrary.wiley.com/doi/10.1111/anae.13773"
910
21.2 Globe perforation during eye block is more common in myopic eyes because the a. Incidence of staphyloma b. Globe is too short c. Higher rate of increased IOP d. Corneal Thickness is less
Incidence of staphyloma
911
21.2 A drug which is likely to slow the heart rate in a patient with a heart transplant is a. Adenosine b. Metaraminol c. Phenylephrine
Adenosine (effect is exagerated) Denervated heart. Only drugs that act directly on the heart will be effective. Loss of predominant parasympathetic outflow - so SA node rate now 90-100. Preload dependent - frank starling mechanism. alpha and beta receptors remain intact but attenuated response to catechoamines. Dopamine/isoprenaline - effective Norad/adrenaline,dobutamine - exagerrated effect - depends on intrinsic stores of catehcolamines and degree of reinnervation metaraminol - effective but no reflex brady Pheynlephrine - effective ephedrine - less effective glyco/atropine - not effective No autonomic innervation of the heart -> lack of reflex bradycardia. Adenosine - exaggerated bradycardia - receptors present on heart b-blocker - effective - but caution with use as CO dependent on catechoamines digoxin - usually ineffective due to parasympathetic dennervation ANZCA blue book 2019 pg 69"
912
21.2 A patient requiring an elective major joint replacement has had a recent stroke. The minimum recommended duration between the stroke and surgery is a. 3 months b. 6 c. 9 d.12
3 months is the minimum AHA Guidelines. ""we suggest that elective noncardiac surgery be deferred at least 6 months after a prior stroke, and possibly as long as 9 months to reduce the risk of perioperative stroke in patients undergoing noncardiac surgery."" https://www.ahajournals.org/doi/10.1161/CIR.0000000000000968 Consider delaying elective surgical cases for at least 9 months after a prior stroke (Level B-NR, Class IIa). SNACC 2020 https://journals.lww.com/jnsa/Fulltext/2020/07000/Perioperative_Care_of_Patients_at_High_Risk_for.6.aspx https://www.bjaed.org/article/S2058-5349(20)30123-2/fulltext"
913
21.2 High-risk transthoracic echocardiogram findings associated with aortic dissection include all of the following EXCEPT a) RWMA b) Pericardial effusion c) Dilated aortic root d) Aortic regurgitation e) LV hypertrophy
e) LV hypertrophy ECHO FINDINGS intimal flap TYPING (type A): aortic regurgitation (acute dilatation of the aortic root, aortic leaflet prolapse, dissection flap prolapse, pre-existing disease, e.g. bicuspid valve) pericardial effusion and/or tamponade regional wall motion abnormality heralding coronary artery occlusion DOPPLER identifies true and false lumen detect aortic branch occlusion/ dissection (absent flow) Source LITFL
914
21.2 You are involved in the care of a two-year-old child who ingested a button battery within the last 4 hours. You should consider giving A. Milk B. Bicarbonate C. Pantoprazole D. Sucralfate
Honey (or sucralfate) - 10 mL every 10 minutes (maximum 6 times) while awaiting surgical retrieval Source QCH guidelines
915
21.2 Stellate ganglion block is NOT contraindicated in patients with a) Contralateral phrenic nerve palsy b) Glaucoma c) Recent MI d) Arrhythmia
d) Arrhythmia - caution if conduction disease however - used to relieve sympathetically mediated pain (abnormal connections between sympathetic and sensory nervous system) indications : CRPS head/UL, postherpetic neuralgia, CPSP, phantom limb, cluster/vascular headache, orofacial pain Hyperhydrosis Raynaud Scleroderma Meniere syndrome Intractable angina Refractory cardiac arrythmia Contraindication: recent MI, anticoagulation, glaucoma, contralateral nerve palsy, cardaic conduction block, severe emphysema https://www.ncbi.nlm.nih.gov/books/NBK507798/ "
916
21.2 A four-year-old boy with a history of waddling gait, larger than normal calves and frequent falls receives a spontaneously breathing volatile-based anaesthetic with sevoflurane. One hour into the case he develops peaked T waves and then the end-tidal CO2 begins to rise. The most appropriate immediate treatment is to a.stop volatile and cool b.Stop volatile and dantrolene c.Stop volatile and calcium d.Temp to probe to guide management e.Stop volatile
"c.Stop volatile and calcium Duchenne muscular dystrophy -> rhabdomyolysis and hyperkalemia. Calcium for cardiac stabilization The only conditions shown to have a definite linkage with malignant hyperthermia (MH) are King–Denborough syndrome, central core disease, and Evans myopathy.7 Patients with other neuromuscular disorders have shown MH-type symptoms under general anaesthesia, but the link between these symptoms and true MH remains unclear. There is no association between DMD and MH; previously described ‘normothermic MH’ reports were almost certainly rhabdomyolysis https://academic.oup.com/bjaed/article/10/5/143/274799#3357763"
917
21.2 A pregnant woman requires a caesarean section delivery within 30 minutes for fetal distress. Her body mass index (BMI) is 26 kg/m2. She has multiple sclerosis with lesions in her brain and spinal cord and receives monthly injections of the disease-modifying drug ofatumumab. The most appropriate plan for her delivery is a) Spinal b) CSE c) Epidural d) GA
a) Spinal Controversy re spinal and MS - and limited data - current consensus is that spinal is also safe. Epidural more evidence to support that it is safe (PRIMS study) The MAB I think is to signify advanced MS (Really there isn’t heaps of evidence) Source World Fed Anaesthetists https://resources.wfsahq.org/wp-content/uploads/359_english.pdf
918
21.2 You are examining the precordium of a patient in the preadmission clinic and hear a fourth heart sound at the apex. This finding is consistent with a) AR b) Athlete c) Normal d) Hypertension
) Hypertension Talley & O'Connor CVS Exam: S3: Physiological in pregnancy; sign of LV failure; AR & MR S4: Never physiological, most often due to systemic hypertension Atrial gallop - stiff LV - hypertrophy or ischaemic ventricle Source CV phys 4th heart sound is a sign of a stiff ventricle. Needs to depend on effective atrial contraction (not heard in AF or MS/TS). Conditions that --> ventricular hypertrophy can cause 4th heart sound - left heart - HTN, AS, HOCM, previous MI (stiff heart) - right heart - pulmonary HTN, PS https://www.ncbi.nlm.nih.gov/books/NBK344/"
919
21.2 A patient with an acute subarachnoid haemorrhage arrives in the emergency department. Her Glasgow Coma Scale is 10 and she has no motor deficit. A CT brain shows diffuse subarachnoid haemorrhage with no localised areas of blood > 1mm thick, and no intracerebral nor intraventricular blood. Her World Federation of Neurosurgical Societies (WFNS) grade of subarachnoid haemorrhage is a) 1 b) 2 c) 3 d) 4 e) 5
d) 4 - WFNS is 4 * alternatively her Fisher score is: grade 2 (​diffuse thin (<1 mm) SAH, no clots; which estimates an incidence of symptomatic vasospasm of 25%)
920
21.2 Non-anaesthetist practitioners wishing to provide procedural sedation should have training in sedation and/or anaesthesia for a minimum of
Now no time frame
921
21.2 In a patient with tetraplegia who develops autonomic dysreflexia, the expected haemodynamic response is a) hypertension from splanchnic vasoconstriction above the level of the lesion b) hypertension from splanchnic vasoconstriction below the level of the lesion c) hypotension from uncontrolled vagal tone above the level of the lesion d) hypotension from reduced sympathetic tone below the level of the lesion
b) hypertension from splanchnic vasoconstriction below the level of the lesion ADR: - increased SNS below - increased PSNS above Hypertension (>25 mmHg increase) >40 mmHg increase or SBP > 150 is severe
922
21.2 The cardiac axis of this electrocardiogram is a) -30 b) 0 c) 45 d) -90
-30 Left Axis Deviation LITFL
923
21.2 The most reliable clinical indicator of opioid-induced ventilatory impairment (OIVI) is decreased a) level of consciousness b) RR c) SpO2 d) Vt
a) level of consciousness In any patient who is given an opioid, oversedation should be considered to indicate OIVI until proven otherwise, regardless of a patient’s respiratory rate or oxygen saturation levels. Source ANZCA PS 41
924
21.2 A patient presents for endovascular clot retrieval after experiencing a right hemisensory loss and right homonymous hemianopia. The vessel most likely occluded is the left a) ACA b) MCA c) PCA d) AICA e) PICA
Left PCA 70% of stroke in anterior circulation (MCA (90%) > ICA, ACA) PCA stroke - occipital lobe - contralateral homonymous hemianopia , cortical blindness (if bilateral lesions) - medial temporal lobe - deficits in memory, behaviour alteration - thalamic infarct - contralateral sensory loss, aphasia (if dominant side involved), executive dysfunction, memory impairment, decreaed LOC ---- PRESERVED MOTOR ACA stroke - contalateral leg weakness (>arm weakness) and executive dysfunction MCA stroke - contralateral hemiparesis (variable involvement of face/UL/LL) and sensory loss in pattern similar to motor deficit - contralateral homonymous hemianopia - dysarthria - aphasia, aflexia, agraphia, aclaculia, apraxia (if dominant side) - neglet if not dominant side IN SUMMARY - if sensory loss and homonymous hemianopia without motor deficit - PCA https://www.strokenetworkseo.ca/sites/default/files/files/stroke_school_brockville_part_3.pdf"
925
21.2 The function of the bottle labelled 'D' in the diagram below is to protect against the consequences of a.Suction failure b.Excess positive pressure c.Drain kinking d.Excess negative pressure
assuming three chamber system and bottle D is the image on very right --> excess negative pressure In four chamber system extra chamber protects against suction failure https://derangedphysiology.com/main/required-reading/intensive-care-procedures/Chapter-262/underwater-seal-chest-drain-system
926
21.2 A trainee becomes aware that a patient they have just anaesthetised for emergency surgery is breastfeeding and seeks your advice regarding recommencement of breast feeding. You advise that breast feeding is contraindicated because during the admission today the patient received a) Tramadol b) Codeine c) Ketamine d) Midazolam
Codeine Source Appendix ANZCA PG 07 Avoid NSAID in mother of child with duct dependent cardiac lesion. Tramadol has been ok'd Tapentadol - current recommendation is to avoid due to lack of data Buprenorphine - NHS says it's ok https://www.anzca.edu.au/getattachment/d2c8053c-7e76-410e-93ce-3f9a56ffd881/PG07(A)-Guideline-on-pre-anaesthesia-consultation-and-patient-preparation-2017#page="
927
21.2 A patient undergoing robotic prostatectomy with volume-controlled ventilation has the following ventilatory measurements: Pplateau 32 cmH2O. Ppeak 38 cmH2O. PEEP 8 cmH2O. AutoPEEP 4 cmH20. TV 600 ml) The static compliance is "a) 20 b) 23 c) 25 d) 30"
D 600 / (32-12) = 30 https://www.atsjournals.org/doi/full/10.1164/rccm.201102-0226pp shows auto peep and peep are additive
928
21.2 When performing cannulation of the median cubital vein the structure that is LEAST likely to be inadvertently punctured or damaged is the a) Ulnar artery b) Radial nerve c) Median nerve d) Brachial artery e) Ulnar nerve
"e. ulnar nerve next least likley is radial nerve My Brother Throws Rad Parties (cub fossa contents medial to lat) median nerve, brachial artery (branches into radial and ulnar artery), tendon of biceps, radial nerve, posterior interosseous branch of radial N. https://radiopaedia.org/articles/contents-of-the-cubital-fossa-mnemonic#:~:text=A%20useful%20mnemonic%20to%20remember,My%20Brother%20Throws%20Rad%20Parties"repeat
929
21.2 A 25-year-old ASA (American Society of Anesthesiologists) physical staus classification 1 patient develops seizures five minutes after receiving a brachial plexus block with ropivacaine. Of the following, the most suitable initial intravenous treatment is a.Intralipid b.Propofol c.Levetiracetam d.Phenytoin
"b. Propofol. Guidelines recommend Benzodiazepine/Propofol/Barbituates for seizure control. NYSORA/AAGBI 100% O2 + ETT if airway needs to be secured Intralipid for treatment of LAST - iniital bolus 1.5ml/kg over 1 min - start infusion of 15ml/kg/hr immediately after bolus - AFTER 5min can give another bolus (MAX 3 boluses including initial) if CVS not restored and double rate to 30ml/kg/hr - MAX cumulative dose of 12ml/kg https://anaesthetists.org/Portals/0/PDFs/Guidelines%20PDFs/New%20archived/Guideline_management_severe_local_anaesthetic_toxicity_v2_2010_archived.pdf?ver=2023-06-23-134115-697"
930
21.2 Complications of hyperbaric oxygen therapy include all of the following EXCEPT a) Hypoglycaemia b) Cataract c) Worsening CCF d) Seizures e) Reversible hypermetropia
e) Reversible hypermetropia
931
21.2 Analysis of variance (ANOVA) is a statistical test to determine a) comparisons of means between two groups in normally distributed data b) comparisons of means between two groups in non-normally distributed data c) comparisons of means between three groups (unpaired) in normally distributed data d) comparisons of means between three groups (unpaired) in non-normally distributed data
c) comparisons of means between three groups in normally distributed data ANOVA (analysis of variance): comparisons of means between more than two groups or between several measurements in the same group is called analysis of variance and is frequently cited by the acronym ANOVA
932
21.2 The oral morphine equivalent of tapentadol 50 mg (immediate release) is a) 5mg b) 10mg c) 15mg d) 20mg e) 25mg
c) 15mg factor of 0.3 Tapentadol 50 (x0.3)= OME 15 Oxycodone 10 (x1.5) = OME 15 Tramadol 75 (x 0.2) = OME 15 Hydromorphone 3 (x5) = OME 15 Buprenorphine 400 (x0.04) = OME 16 ANZCA opioid calculator
933
21.2 Allergic cross-reactivity between penicillins and cephalosporins is mediated by the a) R1 side chain b) R2 side chain c) Beta lactam ring d) Imidazole group
a) R1 side chain UP TO DATE: - sensitisation to R1 side chain in cephalosporins important in determining cross reactivity with penicillins.
934
21.2 A 25-year-old man suffers a burn involving 30% of his total body surface area. A cardiovascular physiological change expected within the first twenty-four hours is a. Increased CI b. Decreased SVR c. Increased PVR d. Increased hepatic flow e. Increased stroke volume
"c) increased PVR Early CVS changs (max at 24hrs bost burns) - mimics hypovolamic shock - intravascular volume depletion, ^ SVR (by up to 200%), CO halved, ^ciruclationg vasopression - decreased oxygen delivery, ^ PVR - ^ Hct Late CVS changes (hyperdynamic circulation 2-5days post burn) - driven by catecholamine surge - ^ CO proportional to size of burn (part of hypermetabolic response, most commonly seen in patients with>40% burn) - ^HR, decreased SVR http://khcanaesthesia.com/onewebmedia/peri%20operative%20Mx%20BURNS.pdf "
935
21.2 Of the following, the incidence of venous air embolism is considered highest for (list of surgical procedures given) a. LUSCS b. Prostatectomy c. Coronary artery surgery d. Spinal surgery e. Gastric endoscopy
"a. LUSCS - 40% seated craniotomy - 100%, LUSCS - 40%, Hip Arthroplasy - 30%, ACDF - 10% https://academic.oup.com/bjaed/article/2/2/53/306405"
936
21.2 Intraoperative cell salvage is contraindicated in a) LSCS b) Revision of infected THR c) Heparin allergy d) Severe coagulopathy e) Phaeochromocytoma
pheochromatoma ICS contraindications 1) bowel contamination 2) haemoglobinopathies - sickle cell - fragile cells --> significant haemolysis 3) phaeochromcytoma - Vasoactive compounds may remain after washing. 4) temporarily stopped when substance not licensed for IV use is in surgical field - iodine, topical clotting agent, cement. Cancer not a contraindication - leukodepletion filters remove 99.9% of cancer cells from salvaged blood 2017 Blue book - pg 135"
937
21.2 A 76 year old woman who is spontaneously breathing through a tracheostomy tube with an inner cannula becomes acutely breathless. Despite application of high flow oxygen, her respiratory rate is 40 breaths per minute and her SpO2 is 82%. The next most appropriate step in her airway management is to a) Hand ventilate b) Suction down the tracheostomy c) Take down the cuff d) Remove the inner cannula e) Remove the tracheostomy
remove the inner cannula BJA mx (from NAP4) If pt breathing - 1) Apply HF 2) Assess patency of trache - Remove speaking valve/inner cannula - suction - deflate cuff - if no improvement -> remove trache --> apply oxygen to face and stoma --> if patient apnoeic - BVM/SGA/airway adjuncts oral first than trache stoma --> intubate via mouth or stoma https://www.bjaed.org/article/S2058-5349(19)30125-8/fulltext#secsectitle0030"
938
21.2 The anion which contributes the most to the anion gap is a) Albumin b) Chloride c) Phosphate d) Bicarbonate
albumin ALBUMIN AND PHOSPHATE the normal anion gap depends on serum phosphate and serum albumin the normal AG = 0.2 x [albumin] (g/L) + 1.5 x [phosphate] (mmol/L) albumin is the major unmeasured anion and contributes almost the whole of the value of the anion gap. every 1g/L decrease in albumin will decrease anion gap by 0.25 mmoles a normally high anion gap acidosis in a patient with hypoalbuminaemia may appear as a normal anion gap acidosis. this is particularly relevant in ICU patients where lower albumin levels are common Effects of albumin: Anion gap may be underesitmated in hypoalbuminaemia, because if albumin decreased by 1g/L then the anion gap decreases by 0.25 mmol To overcome the effects of the hypoalbuminaemia on the AG, the corrected AG can be used which is AG + (0.25 X (40-albumin) expressed in g/L
939
21.2 Of the following drugs, the least likely to cause pulmonary vasodilation when used at low doses in patients with chronic pulmonary hypertension is a) Dopamine b) Dobutamine c) Vasopressin d) Milrinone
dopamine - least likely to cause pulmonary vasodilation (all the others do to my knowledge) - From UP TO DATE: > At low doses of 1 to 3 mcg/kg per min, dopamine acts primarily on dopamine-1 receptors to dilate the renal and mesenteric artery beds > At 3 to 10 mcg/kg per min (and perhaps also at lower doses), dopamine also stimulates beta-1 adrenergic receptors and increases cardiac output, predominantly by increasing stroke volume with variable effects on heart rate. > At medium-to-high doses, dopamine also stimulates alpha-adrenergic receptors, although a small study suggested that renal arterial vasodilation and improvement in cardiac output may persist as the dopamine dose is titrated up to 10 mcg/kg per min *clinically, the haemodynamic effects of dopamine demonstrate individual variability Dobutamine (inodilator): - selective β1-agonist that increases cardiac contractility and reduces pulmonary vascular and systemic vascular resistances Vasopressin: - vasopressin may have pulmonary vasodilatory effects in addition to a systemic vasoconstrictive effect Milrinone (inodilator): - the phosphodiesterase-3 inhibitors, milrinone and enxoimone, have positive inotropic effects combined with the capacity to reduce RV afterload (‘inodilators’) without significant chronotropic effect, but they can be associated with significant systemic hypotension
940
21.2 A 25-year-old woman is administered two doses of aprepitant for postoperative nausea and vomiting after a sleeve gastrectomy. She normally takes the oral contraceptive pill. You should advise her to use alternative contraception for the next a) 3 days b) 7 days c) 14 days d) 28 days
28 days Aprepitant PI: "Alternative or "back-up" measures of contraception should be used during treatment with this medicine and for one month following the last dose of this medicine." Pharmacokinetics: - aprepitant is a CYP3A4 inhibitor - caution is also advised with warfarin and phenytoin use
941
21.2 A patient who usually takes oral morphine 50 mg bd develops a bowel obstruction and experiences withdrawal symptoms. They may be described as having a) Tolerance b) Physical dependence c) Psychological dependence d) Pseudo-addiction e) Addiction
physical dependance BARASH: Physical dependence is a “physiologic state of adaptation to a specific psychoactive substance characterized by the emergence of a **withdrawal syndrome** during abstinence, which may be relieved in total or in part by re-administration of the substance.” Tolerance - predictable physiological decrease in effect of drug over time (more drug to achieve same effect Abuse - intentional use of opioid for non medical purose, such as euphoria or altering one's state of consciousness Addiction - pattern of continued use with experience of or demonstrated potential for harm. Pain book page 806"
942
21.2 The image below on the left shows a normal central venous pressure (CVP) trace. The CVP trace in the image below on the right is most consistent with a) AF b) MR c) AR d) TR e) Pericardial constriction
TR
943
21.2 A 26-year-old man is brought into the Emergency Department four hours after an accidental chemical exposure during crop spraying. His clinical signs include bradycardia, vomiting, diarrhoea, coughing, miosis and weakness. A drug which is NOT recommended during his resuscitation and treatment is a. Pralidoxime b. Glycopyrrolate c. Benzodiazepine d. Suxamethonium e. Rocuronium
"a. Sux - degraded by plasma cholineserase -- may result in prolonged paralysis Likely organophosphate poisoning. Covalent bonding with inactvation of acetylcholinesterase - cholinergic crisis - Long duration of effect + worsening side effects SLUDGE BBB - salivation, lacrimation, urination, diarrhoea, gastric emesis, bronchorroea, bronchospasm, bradycardia Nicotinic effects --> muscle fasiculations, weakness, parlysis --? similar to depolarising effects of sux Tx - atropine (20mcg/kg boluses) + pralidoxime (30mg IV than 8mg/kg/hr) (treats nicotinic effects) BZD for seizures activated charcoal if within 2hrs https://litfl.com/organophosphate-poisoning/"
944
21.2 A new volatile agent is developed. The property it shares with sevoflurane that will enable it to be used in a sevoflurane vapouriser and deliver an accurate concentration is its a) Blood:gas partition coefficient b) Oil:gas partition coefficient c) Saturated vapour pressure d) Boiling point
same SVP
945
21.2 When performing a brachial plexus block at the level of the axilla, the structure indicated by the arrow is the
946
21.2 The diffusing capacity of the lungs for carbon monoxide (DLCO) is likely to be decreased with a) Sarcoidosis b) Asthma c) Obesity d) Pulmonary haemorrhage
sarcoid Only parenchymal lung disease in the bunch. DLCO usually preserved/high in asthma due to hyperinflation and ^pulmonary capillary blood volume Reduced DLCO with normal spiro - anaemia (mild decrease - pulmonary vascular disease - early ILD - valsalva manouvre Reduced DLCO with restriction on spiro - ILD - pneumonitis Reduced DLCO with obstruction on spiro - sarcoid - emphysema - CF - bronchiolitis – combined pulmonary fibrosis and emphysema - lymphagioleiomyomatosis Other - Carboxyhaemoglobin (COHb) - decreased DLCO - supplemental O2 - decreased DLCO
947
21.2 The use of erythropoietin before major surgery results in a) Less transfusion, same thrombosis b) Less transfusion, more thrombosis c) No change in transfusion or thrombosis d) No change in transfusion, more thrombosis
a) Less transfusion, same thrombosis Recent cochrane review ●A 2019 meta-analysis of randomized trials comparing preoperative administration of EPO versus placebo (32 trials; 4750 patients, mostly orthopedic and cardiac surgery) found reduced blood transfusions in the EPO groups. Decreased blood transfusions were seen in the entire population (RR 0.59, 95% CI 0.47-0.73; 28 trials), as well as the subgroups undergoing cardiac surgery (RR 0.55, 95% CI 0.47-0.73; nine trials) and major orthopedic surgery (RR 0.36, 95% CI 0.28-0.46; five trials). In addition, the EPO group had increased hemoglobin levels. There was no increase in the incidence of thromboembolic events with EPO.
948
21.2 Predictors of successful awake extubation after volatile anaesthesia in infants include a. 2mL/kg tidal volume b. grimacing c. coughing d. RR > 20 e. CO2 > 60
"b) facial grimace 8 features found to be associated with successful awake extubation in children: eye opening, facial grimace, conjugate gaze, purposeful movement, movement other than coughing, end tidal <0.2% for sevo, Vt>5ml/kg, SpO2 >97%, positive laryngeal stimulation test https://pubs.asahq.org/anesthesiology/article/131/4/801/909/Assessment-of-Common-Criteria-for-Awake-Extubation https://www.bjaed.org/article/S2058-5349(21)00133-5/fulltext#:~:text=Eight%20features%20have%20been%20found,for%20desflurane)%2C%20Spo2 """
949
21.2 The maximum warm ischaemia time acceptable for procuring the kidney following donation after circulatory death (DCD) is a) 30 minutes b) 60 minutes c) 90 minutes d) 120 minutes
Warm ischaemia time: - Time from treatment withdrawal to the start of cold perfusion of the donated organs - Significance is the impact on graft function - Most important phase of WIT begins when the systolic BP is < 60mmHg - This includes the waiting period from the absence of circulation to the declaration of death and the time before initiating the flow of cold perfusate through the cannula Maximum WARM Ischaemia time - Heart 30 mins - Liver 30 mins - Pancreas 30 mins - Kidney 60 mins - Lungs 90 mins Maximum COLD Ischaemia time: - Heart = 4 hrs - Lungs = 6-8hrs - Liver/Pancreas = 12hrs (DBD)/6 hrs (DCD) - Kidneys = 18hrs (DBD)/ 12 hrs (DCD)
950
21.2 The risk of postoperative respiratory failure in myasthenia gravis is increased by the administration of a) Teicoplanin b) Flucloxacillin c) Cephazolin d) Gentamicin e) Vancomycin
d) Gentamicin Drugs in the anaesthetic trolley that may unmask or worsen MG: - NMBs - gentamicin - beta blockers (metoprolol) - magnesium Anaesthetic drugs to be cautious with: - dexamethasone - antipsychotics - anticonvulsants - antibiotics (vancomycin, metronidazole)
951
21.2 A patient with known type 3 von Willebrand disease presents with persistent epistaxis. First- line medical therapy should include a) DDAVP b) Prothrombin X c) Factor VIIa d) Factor VIII e) TXA
TXA TXA for all patients with vWD. DDAVP for type 1 (relative deficiency) and 2a (qualitative problem). vWF and FVIII (Biostate) replacement for Type 2b and Type 3 (absolute deficiency). Platelets - second line option if ongoing bleeding https://www.uptodate.com/contents/von-willebrand-disease-vwd-treatment-of-major-bleeding-and-major-surgery#H3081086338 "
952
21.2 ANZCA fasting guidelines classify all of the following as clear fluids EXCEPT a) clear cordial b) black coffee c) strained broth d) pulp free fruit juice
strained broth - high protein content NB orange juice is not considered clear fruit juice ANZCA PS07: "Clear fluids are regarded as water, carbohydrate rich fluids, specifically developed for perioperative use, pulp free fruit juice, clear cordial, black tea and coffee. It excludes fluids containing particulate matter, soluble fibre, milk-based drinks and jelly" NB clear fluids is not the same as clear fluid diet used in GLP1 fasting guidelines
953
21.2 A patient has return of spontaneous circulation (ROSC) but remains unresponsive after cardiac arrest. ANZCOR Guidelines recommend all the following measures EXCEPT a) Aiming SpO2 94% b) Treating hyperglycaemia >10mmol/L c) Normothermia d) Cardiac catherisation e) Amiodarone infusion
outdated question "ANZCOR recommends: - target sBP >100mmHg - target SpO2 94-98% (avoid hypoxia and hyperoxia) - target normocarbia PaCO2 35-40mmHg - Monitor BSL - treat if >10mmol/L. Avoid hypglycaemia - Continue or consider starting an antiarrythmic for prevention of recurrent VF (eg. Lignocaine 2-4mg/min or amiodarone 0.6mg/kg/hr for 12-24hrs) - TTM 32-36deg . avoid hyperthermia - AGAINST routine seizure prophylaxis - should be started after first seizure - if STEMI or LBBB --> immediate PCI - reassessed for resuscitation related injuries - waith 72hrs after ROSC before prognosticating https://www.resus.org.nz/assets/Uploads/ANZCOR-Guideline-11.7-Jan16.pdf "
954
21.2 Your patient has been administered 50 mL of oral 5–aminolevulinic acid hydrochloride (Gliolan) three hours prior to her scheduled craniotomy for resection of a glioblastoma. Care should be taken perioperatively to avoid the adverse effect of a) Acute kidney injury b) Photosensitivity c) Increased ICP d) Hypertension e) Hypokalaemia
photosensitivity Gliolan (PI): - Aminolevulinic acid hydrochloride (ALA) - Natural precurore of haeme, metabolised into fluorescent prophyrins - The fluorescence in certain tissue targets for photodynamic diagnosis - Increased fluorescent porphyrin formation by malignant glioma tissue (i.e. GBM) - After excitation with blue light (λ=400‑410 nm), PPIX is strongly fluorescent (peak at λ=635 nm) and can be visualised after appropriate modifications to a standard neurosurgical microscope. - Avoid exposure of eyes and skin to light sources afterwards (photosensivity). Contraindications: - hypersensitivity - porphyria - pregnancy Precautions: - After administration of Gliolan, exposure of eyes and skin to strong light sources (e.g. operating illumination, direct sunlight or brightly focused indoor light) should be avoided for 24 hours. - Co-administration with other potentially phototoxic substances (e.g. tetracyclines, sulfonamides, fluoroquinolones, hypericin extracts) should be avoided - Within 24 hours after administration, other potentially hepatotoxic medicinal products should be avoided. - In patients with pre-existing cardiovascular disease, Gliolan should be used with caution since literature reports have shown decreased systolic and diastolic blood pressures, pulmonary artery systolic and diastolic pressure as well as pulmonary vascular resistance.
955
21.2 The most common cause of mortality in children with diabetic ketoacidosis is
cerebral oedema "a - Cerebral edema DKA is leading cause of morbidity and mortality in children with diabetes. Paediatric mortality mainly due to development of cerebral odema (60-90% of deaths) initially intracellular shrinkage due to high osmolality in plama from hyperglycaemia -- after treatment with insulin and fluid --> fluid shift back into cell --> cerebral oedema https://www.bjaed.org/article/S1743-1816(17)30291-3/pdf"
956
21.2 An electrocardiogram (ECG) abnormality which is NOT usually associated with severe anorexia nervosa is "a. sinus tachycardia b. wandering atrial pacemakers c. ST depression d. T wave inversion e. Prolonged QT"
"a - tachycarida They are usually bradycardic CVS: hypotension, bradycardia, MV prolapse, impaired myocardial contractility, cardiomyopathy, ^ arrythmia (AV block. ST depression, TWI, QT prolongation) Resp: metabolic alkalosis, decreased lung compliance, aspiration pneumonia, PTX, pneumomediastinum Renal: proteinuria, reduced GFR, hypo - all electrolytes and renal stones GI: dental caries, periodontis, mallory-weiss tears, oesophgeal stricture, gastritis, delayed gastric emptying, risk of refeeding, fatty liver, hepatomegaly, cirrhosis, ^amylase, abnormal LFT, enlarged salivary gland Endocrine: delayed onset puberty, ^ cortisol/ GH, decreased glucose/insulin, impaired thermoregulation Immune: leucopenia, thrombocytopenia, haemolytic anaemia, poor wound healing Haem: bone marrow hypoplasia Neuro: decreased cognitive function, coma EEG abnromalities, seizures, neuropathy, ^pain threshold MSK: myalgia, myopathy, rhabdo, osteopenia, stress fracture https://academic.oup.com/bjaed/article/9/2/61/299563"
957
21.2 You have been asked to provide general anaesthesia for a complex thoracic endovascular aortic aneurysm repair. After the placement of a lumbar drain the recommended safe time before the administration of intravenous heparin is a) 1 hour b) 4 hours c) 6 hours d) 12 hours
1 hour ASRA: 1 hour Although the occurrence of a bloody or difficult neuraxial needle placement may increase risk, there are no data to support mandatory cancellation of a case. Direct communication with the surgeon and a specific risk-benefit decision about proceeding in each case are warranted. Currently, insufficient data and experience are available to determine if the risk of neuraxial haematoma is increased when combining neuraxial techniques with the full anticoagulation of cardiac surgery. We suggest postoperative monitoring of neurologic function and selection of neuraxial solutions that minimise sensory and motor block to facilitate detection of new/progressive neurodeficits. NYSORA: Administration of intravenous heparin intraoperatively should be delayed for at least 1 hour after epidural placement; a delay before administration of subcutaneous heparin is not required. In cases of full heparinization for CPB, additional precautions include delaying surgery for 24 hours in the event of a traumatic tap, tightly controlling the heparin effect and reversal, and removing catheters when normal coagulation is restored.
958
21.2 The image below shows results from non inferiority trials. The trial labelled 'M' is best described as a) Non-inferiority is not demonstrated b) Non-inferiority is demonstrated c) Superiority is demonstrated d) Inferiority is demonstrated
a) Non-inferiority is not demonstrated Possible outcomes in a non-inferiority trial. In A (blue), non-inferiority is demonstrated. In B (green), non-inferiority is not demonstrated, and the trial is inconclusive. In C (red), the new treatment is inferior.
959
21.2 Painless post-operative visual loss with preserved pupillary reflexes is most likely due to a) Retinal detachment b) Anterior ischaemic optic neuropathy c) Corneal abrasion d) Posterior ischaemic optic neuropathy e) Posterior cerebral ischaemia
PCA e) Posterior cerebral ischaemia pupillary light reflex is preserved in cortical blindness Retinal detachment, or AION/PION will lose reflex Corneal abrasion = painful" UTD: Postoperative visual loss after anaesthesia for nonocular surgery Pupillary light reflexes* Unilateral central retinal artery occlusion, ischemic optic neuropathy, and retrobulbar hematoma result in a poor or absent pupillary response to light ("direct" response) with a normal response when light is directed to the other pupil ("indirect" response); this "relative afferent pupillary defect" is revealed when tested with the swinging flashlight maneuver; if these processes are bilateral, there will be poor or absent direct pupillary responses and a relative afferent pupillary defect only if asymmetric. Mid-dilated and nonreactive pupils are consistent with acute angle-closure glaucoma, while sluggish to fixed and dilated pupils are seen with glycine-induced visual loss. Pupillary light reflexes are normal in cases of corneal abrasion, cerebral or cortical visual loss, and in cases of PRES. Examination of pupils is discussed more fully separately.
960
21.2 A 50-year-old man is admitted with a stroke and undergoes cerebral angiography. The artery marked with an ORANGE arrow on the angiogram below is the a) Vertebral b) Basilar c) PICA d) Superior cerebellar e) Anterior cerebral
a) Vertebral orange = vertebral blue = basilar purple = PCA red arrows = AICA yellow = pontine arteries Circle of Willis:
961
21.2 The oculocardiac reflex results in a) Hypertension b) Apnoea c) Junctional rhythm d) Torsades
c) Junctional rhythm Up to date: Anaesthesia for elective eye surgery Oculocardiac reflex manifestations — Manifestations of the oculocardiac reflex commonly occur when pressure is applied to extraocular muscles. These include bradycardia (a decrease of 10 to 20 percent in the basal heart rate), junctional rhythms, hypotension, and, rarely, asystole. This reflex can occur during injection of local anesthesia or during the surgical procedure itself. Management includes stopping the stimulus (eg, release of traction or manipulation of the extraocular muscles). If this is ineffective, an anticholinergic medication (eg, atropine or glycopyrrolate) is administered. The risk of inducing this reflex may be reduced by an effective regional anesthetic block or general anesthesia with adequate depth.
962
21.2 A patient with a history of restless leg syndrome is agitated in the post-anaesthesia care unit. After excluding other causes, the best treatment of the agitation in this patient is a) Pethidine b) Clonidine c) Droperidol d) Haloperidol e) Midazolam
midazolam - Opioids, benzodiazepines and pregabalin may also be used to alleviate symptoms. (blue book 2019) Postoperative agitation due to akathisia may be misinterpreted as delirium. This may be mistakenly treated with haloperidol (a dopamine antagonist), exacerbating the akathisia and agitation45. Benzodiazepines should be used as treatment for akathisia instead7. Perioperative treatment of symptoms If RLS symptoms occur perioperatively, patients should be allowed to walk or move their legs in bed as soon as possible. If prolonged bed rest is required, the frequency of RLS medications may be increased to three times a day. If oral intake is feasible, a patient’s usual oral medication may be given. Levodopa (a dopamine agonist) may be administered by nasogastric tube. Alternatively, parenteral apomorphine or a rotigotine patch may be used. Apomorphine (1 milligram) may be injected subcutaneously on an hourly basis. Nausea is a common side effect so it may need to be given with an antiemetic. Rotigotine patches may be used every 24 hours. Opioids, benzodiazepines and pregabalin may also be used to alleviate symptoms. Patients should be proactively investigated and treated for iron deficiency, targeting ferritin level greater than 300 micrograms/ litre in adults, and 50 micrograms/litre in children.
963
21.2 With regard to the risk of postoperative surgical-site infection, 8 mg dexamethasone administered intraoperatively has a) No increased risk of surgical wound infection b) Increased surgical wound infection in diabetics c) Increased surgical wound infection in non-diabetics d) Decreased surgical wound infection
a) No increased risk of surgical wound infection - Now, the Perioperative Administration of Dexamethasone and Infection Trial (PADDI), led by Professor Tomás Corcoran, Director of Research in the Department of Anaesthesia and Pain Medicine, Royal Perth Hospital has found that administering a low-dose of dexamethasone during anaesthesia for surgical operations does not increase the risk of surgical wound infections. Slight increase in BSLs. NO change in SSI large pragmatic, international, non-inferiority trial - 8880 adult patients elective non cardiac surgery - Dex 8mg vs Placebo - excluded - diabetic pts with HbA1c >9%, procedure associated with primary infection, time critical surgery - primary outcome SSI within 30days post op - non inferiority margin 2% - tertial outcome - BSL (difference between pre-op and max BSL POD2) - 1.2mmol/L higher in Dex compared to Placebo https://www.nejm.org/doi/full/10.1056/NEJMoa2028982"
964
21.2 Intraoperative lung protective ventilation strategies include all of the following EXCEPT "a) Vt 6-8ml/kg b) Patient titrated PEEP c) Recruitment manoeuvre d) I:E ratio 1:3 "
"d - IE ratios - no evidence Consensus recommendations 2019 : - Vt 6-8ml/kg IBW - PEEP at least 5cmH20 and individualised - 30deg headup if possible - FiO2 lowest possible (aim SpO2 >94%) - alveolar recruitment manouvres beneficial - machine better than bag - minimise PEEP lost between transitioning - lowest effective pressure for shortest effective time Hyperoxia - ^ oxidateive stress, peripheral and coronary vascular vasoconstrictuion, decrease CO, ^ resoption atelectasis, ^postop pulmonary complications, masking effect of O2 therapy --> delayed diagnosis of gas-exchange impairment. https://www.bjanaesthesia.org/article/S0007-0912(19)30647-6/fulltext"
965
21.2 A 65 year old woman is dyspnoeic after a total hip replacement. A lung ultrasound is performed in the post-anaesthesia care unit, with a still image shown below. The likely cause of the dyspnoea is "a) Effusion b) PE c) Pneumothorax d) Pneumonia "
"c) pneumthorax in M-mode normal - sand on the beach PTX - statosphere/barcode sign Haemothorax - pleural effusion + echogenic material = haematocrit sign Interstitial oedema - b lines pneumonia - bronchograms - looks like liver https://www.pocus101.com/lung-ultrasound-made-easy-step-by-step-guide/#Lung_Ultrasound_Signs_and_Findings https://www.melbourneus.com/pneumothorax/ "
966
21.2 Local anaesthetic-induced myotoxicity is most likely to be associated with "a) Adductor canal block b) Bier block c) Sciatic nerve block d) Brachial plexus blocks "
"b - Adductor canal. Opthalmic blocks> Addutor canal. Adductor canal specifically for lower limb blocks - Unknown cause Rare complication Myotoxicity after regional anaesthesia defined as: occurance of symptoms related to muscle damage, including muscle paralysis/wekaness, occurence of dipolpia/ptosis/hypertropia and hypotropia after catarcht surgery, enzymatic changes indicateive of muscle damage (such as elevated CK) Myotoxic damage appeared to occur independent of needle size and LA concentration. https://www.bjanaesthesia.org/article/S0007-0912(18)30572-5/pdf"
967
21.2 The abnormality shown in this image is LEAST likely to be caused by an injury to the "a) Suprascapular nerve b) Dorsal scapular nerve c) Long thoracic nerve d) Accessory nerve"
C https://www.orthobullets.com/shoulder-and-elbow/3062/scapular-winging stabilisation of scap by long thoracic, spinal accessory nerve, dorsal scapular nerve
968
21.2 Postdural puncture headache in obstetric anaesthesia is associated with a greater likelihood of all of the following EXCEPT a) Postpartum depression b) Bacterial meningitis c) Chronic back pain d) Cerebral vein thrombosis e) Posterior reversible encephalopathy syndrome (PRES)
No answer provided. ?encephalitis These are all complications of dural puncture. Up to date: Post dural puncture headache
969
21.2 The most common type of perioperative stroke is a) Thrombotic b) Ischaemic c) Hypotension d) Embolic e) Haemorrhagic
embolic
970
21.2 Hepcidin production is inhibited in response to
anaemia
971
21.2 The most common cause of cor pulmonale is
COPD
972
21.2 A risk factor which increases the likelihood of developing local anaesthetic systemic toxicity is a) Hypoxia b) Alkalaemia c) High alpha1-acid glycoprotein d) Hypocarbia e) Increased carnitine levels
hypoxia "a - Hypoxia Factors that ^ free peak plasma concentration ^ LAST - low AAG (neonateds, pregnant) --> ^ free - decreased elimination or ^ suscpetibility (renal/liver/cardiac failure) - acidosis, hypercarbia, hypoxia - carnitine deficiency ^ risk for cardiac toxicity (especially with bupivacaine) https://www.uptodate.com/contents/local-anesthetic-systemic-toxicity?search=local%20anesthetic%20systemic%20toxicity&source=search_result&selectedTitle=1~55&usage_type=default&display_rank=1#H3971070218" NYSORA: LAST There is a greater likelihood for LA systemic toxicity in petite patients (small muscle mass), those at the extremes of age, and patients with preexisting heart disease or carnitine deficiency. Roughly half the cases of LAST are atypical, with no seizures (other CNS symptoms), only CV toxicity or delayed onset. The incidence of toxicity increases with injections near richly vascular areas. It is highest with paravertebral injections, followed by upper and lower extremity PNBs. Prevention of LAST-related morbidity requires optimizing a complete system for regional anesthesia: patient selection, nerve block choice, drug and dose, complete monitoring and use of USGRA when possible, and preparing for LAST by having a kit available and practicing with simulation. Prevention also includes raising awareness and educating our non-anesthesiology colleagues about proper use of LAs and risks, including management of LAST.
973
21.2 The medical laser LEAST likely to cause eye injury is a) CO2 b) Nd:YAG c) Argon d) Green light
CO2 Laser danger is proportional to penetration. Penetration inversely proportional to the laser wavelength. CO2 laser has very little penetration (~ 10micrometres), as it has a wavelength of 10 600nm. Helium-Neon laser also has very little penetration. Nd:YAG is the most powerful, with a penetration of 2-6mm, as it has a wavelength of 1064nm.
974
21.2 The main advantage of using noradrenaline (norepinephrine) over phenylephrine for the prevention of hypotension as a result of spinal anaesthesia for elective caesarean section is a) Better APGAR b) Better foetal acid-base balance c) Less nausea & vomiting d) Less maternal bradycardia
"d) less maternal bradycardia - nil pt required anticholinergic so clinical significance unclear no difference in N/V norad non inferior to phenyl in terms of acid base profiles and APGAR at 1min and 5mins https://www.bjanaesthesia.org.uk/article/S0007-0912(20)30442-6/fulltext https://associationofanaesthetists-publications.onlinelibrary.wiley.com/doi/full/10.1111/anae.14976"
975
21.2 Of the following, the LEAST likely cause of high anion gap metabolic acidosis is a) Pancreatic fistula b) DKA c) Cardiac failure d) Anti-retroviral e) Methanol
pancreatic fistula -> should cause NAGMA HAGMA: Lactate Toxins Ketones Renal failure NAGMA Chloride Addison's, adrenal insuffiency, acetazolamide GI loss (pancreatic fistula) Extra: RTA Anion gap: - Anion Gap = Na+ – (Cl- + HCO3-) - The Anion Gap (AG) is a derived variable primarily used for the evaluation of metabolic acidosis to determine the presence of unmeasured anions - The normal anion gap is assumed to be 12, and the normal HCO3 is assumed to be 24 Delta ratio: - can check delta ratio in the presence of a high anion gap metabolic acidosis (HAGMA) to determine if it is a ‘pure’ HAGMA or if there is coexistant normal anion gap metabolic acidosis (NAGMA) or metabolic alkalosis.
976
21.2 The most common complication of extracorporeal membrane oxygenation (ECMO) in adults is a) Bleeding b) Vascular damage c) Embolism d) Inadvertently decannulate
a) Bleeding ECMO complications: - patient complications: bleeding & coagulopathy most common - mechanical complications: access insufficiency common Blue book 2017 VV ecmo for respiratory support VA ecmo for CVS support Pt complications Bleeding (5-79%) > thrombosis, neurolgical catstrophe, infection (45%), differential hypoxia (VA ecmo) - often seen following return of some native cardiac function --> blood from ECMO circuit being directed into distal aorta preferetially pefuse lower body and blood from LV preferentially perfuse coroary/cerberal circulation --> so if poor pulmonary gas exchange, oxygenation may be inadequate (so need multiple SpO2 monitoring --> Right arm (supplied by brachiocephalic trunk which also supplies carotid) ANZCA blue book 2017 pg 63 https://www.anzca.edu.au/resources/college-publications/australasian-anaesthesia-(the-blue-book)/blue-book-2017-(1)"
977
21.2 The power board on the back of the anaesthesia machine has caught fire during an elective case. This should be extinguished with a) CO2 b) Fire blanket c) Wet chemical powder d) Foam e) Water
a) CO2 "b - CO2 - black ribbon – works by taking away oxygen element of fire triangle - won't cause damage to electrical equipment so best for areas in server/data rooms, electrical machinery, offices C - dry chemical (white ribbon) can also be used - 2 types - ABE and BE (for different categories of fire) https://www.fireextinguisheronline.com.au/blog/post/types-of-fire-extinguisher-in-australia-all-you-need-to-know Fire triad - oxidiser - oxygen or N2O - ignition source - 'spark' - laser, diathermy, electical devices, defib, drills, fibreoptic light, buildup of static/fautly equipment or power sockets - fuel - substance that stores potential energy that may be released as heat energ y - bedding, surgical materials, alcohol prep solutions https://academic.oup.com/bjaed/article/15/2/78/248435 "
978
21.2 The most common presenting rhythm associated with maternal cardiac arrest is a) PEA b) Asystole c) VF d) VT
"a. PEA 50% / Asystole 28% /Unknown 11% / VF 6 % / VT 5% ROSC 74% Survival to discharge 40.7% https://pubmed.ncbi.nlm.nih.gov/30170022/"
979
21.2 The number of segments in the lower lobe of the left lung is a) 3 b) 4 c) 5 d) 10 e) 12
b"4 - Superior / Anteromedial / Lateral / Posterior. A PA LM Seed Makes Another Little Palm (R Side) ASIA ALPS (L side) " Right lung: RUL: APA RML: LM RLL: SMALP Left lung: LUL: ASIA (S&I form the lingular lobe) LLL: ALPS Subsegments (total of 42) Left: 10 + 10 Right: 6 + 4 + 12
980
21.2 Cardiovascular effects of hyperthyroidism include a) Increased DBP b) Narrow pulse pressure c) Reduced diastolic relaxation d) Decreased CO e) Decreased SVR
e) Decreased SVR - increased CO, increased SBP and decreased DBP with widened PP High CO state (+/- failure -- LVEF does not ^ appropriately during exercise suggesting presence of cardiomyopathy) - ^CO state due to ^ peripheral oxygen needs and ^ cardiac contractility - increased HR, contractiliity, sBP (widened pulse pressure), pulmnoary artery pressure, myocardial oxygen https://www.uptodate.com/contents/cardiovascular-effects-of-hyperthyroidism?search=cardiovascular%20effects%20of%20hyperthryod&topicRef=7833&source=see_link in HYPOthryoid - opposite occurs - decreased CO - decreased contractility, HR, diastolic relaxation (so decreased compliance and diastolic filling), peripheral tissue oxygen utilisation - blunted response to catecholamine mediated ^ in inotropy - ^ SVR, ^Qtc" UP TO DATE: Cardiovascular effects of hyperthyroidism: - Thyroid hormone has important effects on cardiac muscle, the peripheral circulation, and the sympathetic nervous system that alter cardiovascular hemodynamics in a predictable way in patients with hyperthyroidism. - The main changes are : ●Increases in heart rate, cardiac contractility, systolic and mean pulmonary artery pressure, cardiac output, diastolic relaxation, and myocardial oxygen consumption ●Reductions in systemic vascular resistance and diastolic pressure
981
21.2 The coagulopathy that can result from intrahepatic cholestasis of pregnancy is due to a) 2/7/9/10 deficiency b) All clotting factors made by the live c) Thrombocytopenia d) Platelet dysfunction e) Fibrinolysis
"a - bile acids needed for absorption of Vit K obstetric cholestasis occurs in late 2nd and early 3rd trimester of pregnancy. Aetiology unclear. - manifests as increased pruritis, increased serum bile acids and LFT, high PT (due to Vit K deficiency) - associated with ^ still birth, RDS, mec, fetal asphyxiation (serum bile acids > 40microm/L - Tx: ursodeoxycholic acid - 300BD up to 300mg TDS (Max dose 21mg/kg/day) -- if refractory - rifampin, cholestyramine, S-adenosyl-L-methonine https://www.ncbi.nlm.nih.gov/books/NBK551503/"
982
21.2 A man who had successful treatment of a germ cell tumour ten years ago presents for laparoscopic appendectomy. Your intraoperative management should consider a) Lung protective ventilation b) Oncoanaesthesia c) Lowest FiO2 possible d) MAP 60
c) Lowest FiO2 possible aim sats 88-92% if hypoxic Bleomycin Bleomycin is a particularly important chemotherapy drug for the anaesthetist to be aware of. Bleomycin is often used to treat germ cell tumours and Hodgkin's disease in a curative setting. The major limitation of bleomycin therapy is the potential for subacute pulmonary damage that can progress to life-threatening pulmonary fibrosis. Pulmonary toxicity occurs in 6–10% patients and can be fatal. Exposure to high-inspired concentration oxygen therapy, even for short periods, as experienced during anaesthesia, is often implicated in causing rapidly progressive pulmonary toxicity in patients previously treated with bleomycin. These claims have been considered controversial by some, but it is the authors' recommendation that any patient previously exposed to bleomycin therapy should be treated as high risk, and summary guidance regarding oxygen therapy is shown:
983
21.2 The muscle or muscle group with the greatest resistance to the action of non-depolarising neuromuscular blocking agents is the a) Adductor pollicis b) Diaphragm c) Orbicularis oculi d) Pharyngeal
b) Diaphragm
984
21.2 A patient presents for a trans-urethral resection of the prostate (TURP). He had a single drug-eluting coronary stent for angina pectoris inserted six months ago and is taking clopidogrel and aspirin. The most appropriate preoperative management of his medications is to a) Cease aspirin, continue clopidogrel b) Cease aspirin for 10 days, cease clopidogrel for 5 days c) Cease clopidogrel for 5 days, continue aspirin d) Cease clopidogrel for 10 days, continue aspirin e) Continue both aspirin and clopidogrel
c) Cease clopidogrel for 5 days, continue aspirin - prostatic surgery, the risk of major bleeding may be greater than the risk of stent thrombosis - For clopidogrel, we stop five days before surgery - Clopidogrel, if stopped, should be restarted with a loading dose of 300 mg as soon as possible after surgery, perhaps later in the day if postoperative bleeding has stopped. Some experts recommend a higher loading dose of 600 mg to decrease time to effectiveness in the higher-risk postoperative setting - suggest that surgery be performed in centers with 24-hour interventional cardiology coverage UP TO DATE: Noncardiac surgery after PCI Nonemergency noncardiac surgery — For patients who have undergone previous stenting with either BMS or DES and who will need cessation of one or both antiplatelet agents, we prefer to defer planned nonemergency, nonurgent noncardiac surgery until at least six months after stent implantation. The risks of noncardiac surgery before six months are increased after both BMS and DES. For patients whose surgery requires cessation of one or both antiplatelet agents and cannot wait six months, and where the risks of delaying surgery outweigh the benefits, our recommended minimal duration of DAPT is four to six weeks, depending on the urgency of surgery and risk of thrombotic complication. This is based in part on evidence suggesting that the increased risk of MI and cardiac death is highest within the first month after stent placement and no clear difference in risk between BMS and DES. Although we prefer to wait at least six weeks when possible, in patients for whom earlier surgery is in their best interest after weighing risks and benefits, we sometimes refer patients as early as four weeks after stent placement. The proinflammatory and prothrombotic risks of surgery may increase the baseline risk of stent thrombosis even in the presence of DAPT and regardless of stent type during this early period after stenting. We believe this risk to be higher prior to the minimum duration of DAPT recommended above, but the final decision to continue or discontinue antiplatelet therapy in the perioperative period should be made only after an informed discussion among the surgeon, managing cardiologist (and other health care providers), and patient has taken place. In many cases, DAPT can be continued in the perioperative period, although for some surgeries, such as neurosurgery, posterior eye surgery, or prostatic surgery, the risk of major bleeding may be greater than the risk of stent thrombosis. In these patients who undergo noncardiac surgery before the recommended minimum duration of DAPT, a platelet P2Y12 receptor blocker should be discontinued for as brief a period as possible. Aspirin should be continued through the perioperative period, since the risk of stent thrombosis is further increased with the cessation of both aspirin and clopidogrel and surgery can usually be safely performed on aspirin. The rationale to continue aspirin comes in part from the POISE-2 trial (PCI subgroup analysis), which is discussed separately. However, as many neurosurgical patients, for whom bleeding might be life threatening or lead to severe adverse outcomes, were not enrolled in POISE-2, the optimal strategy is not known. ●Minor surgical and dental procedures usually do not require cessation of antiplatelet therapy. ●With regard to stopping P2Y12 inhibitor prior to noncardiac surgery, we generally follow recommendations found in the manufacturer's package insert for each drug. - For clopidogrel, we stop five days before surgery; that is, the last dose is taken on the sixth day before surgery. - For prasugrel, we stop seven days before surgery. - For ticagrelor, we stop three to five days before surgery. - Some experts are willing to recommend shorter discontinuation periods for procedures less likely to be associated with major bleeding. ●Clopidogrel, if stopped, should be restarted with a loading dose of 300 mg as soon as possible after surgery, perhaps later in the day if postoperative bleeding has stopped. Some experts recommend a higher loading dose of 600 mg to decrease time to effectiveness in the higher-risk postoperative setting. ●We suggest that surgery be performed in centers with 24-hour interventional cardiology coverage
985
21.2 A ten year old child (weight 30 kg) presents to the emergency department in status epilepticus. He has received one dose of 15 mg midazolam buccally prior to his arrival. According to Advanced Paediatric Life Supprt, Australia (APLS) guidelines the next drug treatment should be intravenous a) Midazolam b) Propofol c) Levetiracetam d) Phenytoin
a) Midazolam 0.15mg/kg 1st line: Midazolam IV/IO/IM --> 0.15mg/kg 2nd line: Midazolam IV/IO/IM --> 0.15mg/kg 3rd line: Keppra 40mg/kg (max 3g) 4th line: Phenytoin 20mg/kg or phenobarbitone 5th line: Intubation and deep sedation with midazolam, propofol +/- phenobarbitone
986
21.2 A peripheral intravenous cannula is being inserted in the forearm of a man having a hemicolectomy. The skin asepsis preparation NOT suitable for this procedure is a) Povidone iodine b) Chlorhexidine 2% c) Alcohol 70% d) Chlorhexidine 0.5% with alcohol e) Tincture of iodine
c) Alcohol 70% - only suitable for short-term cannulation (<24 hours)
987
21.2 In pulmonary function testing the presence of airflow limitation is defined by a post- bronchodilator FEV1/FVC ratio less than a) 0.5 b) 0.6 c) 0.7 d) 0.8
c) 0.7 75% is normal cutoff for DLCO Obstructive disease - FEV1/FVC < 0.7 Mild FEV1 >/=80% Mod 55-80%% Severe 30-50% Very severe < 30% https://www.uptodate.com/contents/image?imageKey=PULM%2F61983"
988
21.2 A 30-year-old man with morbid obesity (body mass index [BMI] 55 kg/m2) presents for middle ear surgery. The most appropriate bolus dose of propofol for induction should be based on a) IBW b) TBW c) ABW d) LBW e) PBW
d) LBW LBW - propofol induction, thieopentone, fentanyl, alfentanil, morphine, non-depolarising NMBD, paracetamol, LA ABW - Propofol maintenaince, neostigmine, sugammadex, antibiotics https://www.sobauk.co.uk/_files/ugd/373d41_eebe369c3c6b4021bff6f3da059aa796.pdf"
989
21.2 A 30 year old athlete undergoing a knee arthroscopy under general anaesthesia becomes tachycardic intraoperatively. A 12-lead electrocardiogram (ECG) is obtained. The most likely diagnosis is a) Atrial fibrillation b) Atrial flutter c) Sinus tachycardia d) WPW
d) WPW Type B pattern LITFL: ECG features of WPW in sinus rhythm -> PR interval < 120ms -> Delta wave: slurring slow rise of initial portion of the QRS -> QRS prolongation > 110ms -> Discordant ST-segment and T-wave changes (i.e. in the opposite direction to the major component of the QRS complex) -> Pseudo-infarction pattern in up to 70% of patients — due to negatively deflected delta waves in inferior/anterior leads (“pseudo-Q waves”), or prominent R waves in V1-3 (mimicking posterior infarction Can be left-sided (Type A) or right-sided (Type B), and ECG features will vary depending on this: Left-sided AP: produces a positive delta wave in all precordial leads, with R/S > 1 in V1. (Dominant R Wave in V1) Sometimes referred to as a type A WPW pattern Right-sided AP: produces a negative delta wave in leads V1 and V2. Sometimes referred to as a type B WPW pattern Tachyarrhythmias in WPW There are only two main forms of tachyarrhythmias that occur in patients with WPW 1. Atrial fibrillation or flutter. -> Due to direct conduction from atria to ventricles via an AP, bypassing the AV node 2. Atrioventricular re-entry tachycardia (AVRT). -> Due to formation of a re-entry circuit involving the AP Breakdown of Type A example: - Sinus rhythm with a very short PR interval (< 120 ms) - Broad QRS complexes with a slurred upstroke to the QRS complex — the delta wave - Dominant R wave in V1 suggests a left-sided AP, and is sometimes referred to as “Type A” WPW - Tall R waves and inverted T waves in V1-3 mimicking right ventricular hypertrophy (RVH) — these changes are due to WPW and do not indicate underlying RVH - Negative delta wave in aVL simulating the Q waves of lateral infarction — this is referred to as the “pseudo-infarction” pattern
990
21.2 A 45-year-old man has the following results on his blood biochemistry testing: The most likely diagnosis is - Bili 30* - AST 1000* - ALT 500* - Albumin 30* *These blood results are not the original stem. The most likely diagnosis is: a) Hepatitis b) Alcoholic liver disease c) Paracetamol toxicity d) Cholecystitis
b - alcoholic liver - albumin would suggest chronic picture ALP > 3 x ALT suggest cholestasis picture ^ALT and ^AST suggest hepatocellular injury - >10x upper limit suggest acute severe insult - hepatitis or hypoxia - mildly elevate suggest infection, alcohol, fatty liver or medication AST high - S = shit faced cholestatic picture = ^ GGT and ^ ALP Elevated AST: ALT = 1 --> associated with ischaemia (CCF, ischaemic necrosis, hepatitis) AST: ALT >2.5 --> alcoholic hepatitis, AST: ALT <1 --> high rise in ALT specific for hepatocellular damage - paracetamol OD with hepatocellular necrosis, viral hipatitis, ischaemic necrosis, toxic hepatitis ^ALP - primarily associated with cholestasis and malignant hepatic inflitration (marker of rapid bone turnover and extensive bone mets) ^GGT - sensitive to alcohol ingetsion, marker of hepatocellular damage but non-specific, sharpest rise associated with biliary and hepatic obstruction https://litfl.com/liver-function-tests/ https://www.racgp.org.au/getattachment/36d1c5e0-9c1d-43fc-a8a0-b323e3ed8fbe/Liver-function-tests.aspx
991
21.2 The Vortex Approach to airway management does all of the following EXCEPT a) At least 1 attempt by the most experienced clinician b) Maximum 3 attempts at each lifeline (unless gamechanger) c) CICO status escalates with unsuccessful best effort at any lifeline d) Trigger for initiating CICO Rescue is SpO2 <90%
d) Trigger for initiating CICO Rescue is SpO2 <90% - According to the Vortex Approach the trigger for initiating CICO Rescue is the inability to confirm adequate alveolar oxygen delivery following best efforts at all three upper airway lifelines. Trigger for Initiating CICO Rescue VORTEX APPROACH The trigger for initiating CICO Rescue is the inability to confirm adequate alveolar oxygen delivery following best efforts at all three upper airway lifelines. Note that this trigger is independent of the oxygen saturations since, even in the unusual situation where the oxygen saturations remain high following best efforts at all three lifelines, the inability to confirm alveolar oxygen delivery means that eventual desaturation is inevitable. Rather than being a deterrent to its performance, recognition of the need for CICO Rescue while the oxygen saturations remain high should be viewed as advantageous – providing increased time to perform this confronting procedure in a more controlled manner, thereby increasing the chance of success. Conversely, a critically low oxygen saturation is not in itself a trigger to initiate CICO Rescue if best efforts at all three lifelines have not yet been completed. While legitimate opportunities to enter the Green Zone in a timely fashion via the familiar upper airway lifelines remain, these should be given priority, as they are more likely to be successful than resorting to an unfamiliar and more traumatic technique. Oxygen saturations are therefore not a relevant consideration in deciding the trigger for CICO Rescue – this is always “the inability to confirm adequate alveolar oxygen delivery following best efforts at all three upper airway lifelines”. They are, however, a relevant consideration in making the context dependent decision of what constitutes a best effort at each lifeline in a particular situation. This is because the oxygen saturations impact on how much time it is reasonable to invest in optimising each of the upper airway lifelines before declaring a best effort. When the oxygen saturations are critically low it might be reasonable to have only one attempt at each lifeline before declaring a best effort, even though this means leaving some potential optimisation interventions untried. This is because the incremental benefit of repeated attempts to optimise a lifeline that has already failed is typically low relative to untried alternative lifelines. Thus the time expended on such low yield interventions cannot be justified when the patient is already critically hypoxaemic and alternatives (including CICO Rescue) with a substantially higher likelihood of success remain.
992
21.2 A structure that is NOT clamped during a Pringle manoeuvre is the a. Hepatic vein b. Hepatic artery c. Portal Vein d. Round ligament e. Bile Duct
"a - Not in the same structures. Bleeding from hepatic vein cannot be controlled using a pringle maouver Pringle manoeuvre = temporary inflow occlusion - Xclam hepatodudenal ligament (hepatic artery, portal vein, common bile duct) -- > Decreased VR and ^SVR --> haemodynamic instability https://www.bjaed.org/article/S2058-5349(22)00076-2/fulltext "
993
21.2 A forest plot is a commonly used tool in meta-analysis. It presents a) A qualitative analysis of pooled data from multiple studies b) A number needed to treat vs number needed to harm c) The non-inferiority of a study d) The pooled data from all of the studies
d) The pooled data from all of the studies Forest plots or blobbograms are used in order to show graphically the studies which have been included in the meta-analysis. They demonstrate the differences between studies and provide an estimate of the overall result. ================== The effect of one study on the overall conclusion Graphically the studies which have been included in a meta-analysis. They demonstrate the differences between studies and provide an estimate of the overall result * the width of the lines represents 95% confidence interval * Squares = point estimate of the difference between study groups. Size of square proportional to weighting of study (main determinant = sample size) * Diamond at bottom = pooled data from all studies * X axis = relative benefit * Y axis = line of no effect "
994
21.2 Of the following, the procedure that is most commonly associated with chronic pain after surgery is a) Amputation b) Mastectomy c) Thoracotomy d) TKR e) Hernia repair
a) Amputation Top 10 Rank order: 1. Amputation 30-85% 2. Thoracotomy 5-67% 3. Mastectomy 11-57% 4. Inguinal hernia repair 0-63% 5. Sternotomy 28-56% 6. Cholecystectomy 3-56% 7. Knee arthroplasty 19-43% 8. Breast Augmentation 13-38% 9. Vasectomy 0-37% 10. Radical prostatectomy 35%
995
21.2 Performing a superficial cervical plexus block will block all of the following nerves EXCEPT the a) Greater occipital b) Greater auricular c) Lesser occipital d) Supraclavicular e) Transverse cervical
a) Greater occipital e - greater occipital nerve SGLT - 1. Supraclavicular Nerve (C3/4) 2. Great Auricular Nerve (C2/3) 3. Lesser Occipital Nerve (C2) 4. Transverse Cervical Nerve (C2/3) - Also Anterior
996
21.2 Suxamethonium causes a sustained contraction of the extraocular muscles for up to a) 2 minutes b) 3 minutes c) 5 minutes d) 10 minutes e) 20 minutes
d) 10 minutes or 20min https://journals.sagepub.com/doi/10.1177/0310057X20937710 states 20min one of those shit questions that depends on your source. Morgan & Mikhail's (chapter 36: anaesthesia for ophthalmic surgery): " Succinylcholine increases IOP by 5-10mmHg for 5-10 minutes". - due to prolonged contracture of the EOM BARASH: Succinylcholine increases IOP 7 to 10 mmHg reaching a peak pressure 1 to 2 minutes after IV administration and returns to the baseline in 5 to 7 minutes. This increase may be attenuated by pretreatment with anesthetics, although none completely eliminates the increase in IOP. In the presence of a lacerated globe, this increase in IOP may increase the extrusion of intraocular contents although greater increases in IOP may occur during crying and coughing. Yao & Artusio's: - also quotes same information: increases IOP 7 to 10mmHg, returning to baseline in 5 - 7 minutes. Stoelting's: Intraoccular pressure peaks at 2-4 minutes after administration and returns to normal by 6 minutes
997
21.2 Findings associated with massive pericardial tamponade include a) Pulsus paradoxus b) Electrical alternans c) Kussmaul sign d) Pericardial rub
b electrical alterans Physical findings in Tamponade: - A number of findings may be present on physical examination, depending upon the type and severity of cardiac tamponade - None of the findings alone are highly sensitive or specific for the diagnosis. Beck's triad 1. Low arterial blood pressure 2. Dilated neck veins 3. Muffled heart sounds - Are present in only a minority of cases of acute cardiac tamponade. Physical findings of sinus tachycardia and the absence of frank hypotension may indicate significant hemodynamic compromise from cardiac tamponade and serve as an indication for immediate pericardiocentesis. In contrast, Kussmaul sign (the absence of an inspiratory decline in jugular venous pressure) is not usually seen in cardiac tamponade. Tachycardia and hypotension - Sinus tachycardia is seen in almost all patients, in an attempt to maintain cardiac output - Hypotension is somewhat more variably present - One exception is when the underlying disease is associated with bradycardia, as with a pericardial effusion and subacute cardiac tamponade associated with hypothyroidism. - Tachycardia also may not be seen in patients with early cardiac tamponade even though they have signs of a hemodynamically significant effusion, such as an elevated jugular venous pressure. Elevated jugular venous pressure - The JVP is almost always elevated in cardiac tamponade and may be associated with venous distension in the forehead and scalp. - CVP wave form: ->x descent is preserved ->y descent is attenuated or absent (due to the limited or absent late diastolic filling of the ventricle) Pulsus paradoxus -defined as: abnormally large decrease in systolic blood pressure (>10 mmHg) on inspiration - common finding in moderate to severe cardiac tamponade and is the direct consequence of ventricular interdependence. - not all patients with cardiac tamponade have pulsus paradoxus (eg, those with chronic hypertension leading to elevated ventricular diastolic pressures or those with a co-existent atrial septal defect). Pericardial rub — A pericardial rub may be heard in patients with cardiac tamponade due to inflammatory pericarditis. Electrocardiography - ECG in cardiac tamponade typically shows sinus tachycardia and may also show low voltage. - If pericarditis is present, the ECG findings typical of that disorder are also seen. - Electrical alternans is characterized by beat-to-beat alterations in the QRS complex and, in some cases, other electrocardiographic waves that reflect the swinging of the heart in the pericardial fluid. - Electrical alternans is relatively specific but not very sensitive for cardiac tamponade; rarely, this phenomenon is seen with very large pericardial effusions alone. Diagnosis: Clinical diagnosis is usually suspected based on the history and physical examination findings, which may include: ●Chest pain ●Syncope or presyncope ●Dyspnea and tachypnea ●Hypotension ●Tachycardia ●Peripheral edema ●Elevated jugular venous pressure ●Pulsus paradoxus Presence of a pericardial effusion on echocardiography with evidence of cardiac chamber collapse, flow variation, or dilation of the inferior vena cava is consistent with, and highly suggestive of, cardiac tamponade. However, the diagnosis of cardiac tamponade can only be confirmed by the hemodynamic and clinical response to pericardial fluid drainage.
998
21.2 A 59-year-old lady presents for elective coronary artery graft surgery. She has a pulmonary artery catheter inserted with the waveforms displayed below. Her cardiac output is 4.5 L/min. Her mean pulmonary artery pressure is 33 mmHg. The most likely explanation for the waveforms seen is that she has
999
21.2 A patient with a history of paroxysmal atrial fibrillation and chronic obstructive airways disease develops a wheeze intraoperatively which resolves with administration of salbutamol via the endotracheal tube. Soon after, he develops rapid atrial fibrillation with a ventricular rate of 120 beats per minute, a BP of 90/60 and an ETCO2 of 40mmHg. His regular medications are inhaled salbutamol, inhaled salmeterol and digoxin 125mcg daily. The next most suitable treatment is a) Amiodarone 150mg over 30minutes, then 1mg/min for 6 hours b) Esmolol 500mcg/kg and infusion c) Direct cardioversion with 50J d) Metoprolol 2.5mg IV up to 3 doses
a) Amiodarone 150mg over 30minutes, then 1mg/min for 6 hours UP TO DATE: Arrhythmias in COPD For patients with atrial fibrillation and COPD, we suggest using verapamil or diltiazem rather than metoprolol in patients who require ventricular rate control (Grade 2C). Metoprolol is reserved for patients who do not respond to the calcium channel blockers and do not have uncontrolled bronchoconstriction. For those with an accessory pathway or heart failure, amiodarone or digoxin may be preferred as outlined in the table (table 3).
1000
21.2 A man with atrial fibrillation has no valvular heart disease. According to joint American Heart Association (AHA), American College of Cardiology (ACC) and Heart Rhythm Society (HRS) guidelines, oral anticoagulants are definitely recommended if his CHA2DS2-VASc score is greater than or equal to a) 1 b) 2 c) 3 d) 4 e) 5
b) 2 - if male CHA2DS2-VASc score ≥2 to be recommended chronic OAC (Grade 1A). - if female CHA2DS2-VASc score ≥3 to be recommended chronic OAC (Grade 1A). * non-sex risk factor also holds bearing: - For patients with CHA2DS2-VASc score of 1 in males and 2 in females based on age 65 to 74 years, we recommend chronic OAC (Grade 1A). Up to date: Our approach to deciding whether to prescribe anticoagulant therapy for patients with AF (excluding those with rheumatic mitral stenosis that is severe or clinically significant [mitral valve area ≤1.5 cm2], a bioprosthetic valve [surgical or bioprosthetic] within the first three to six months after implantation, or a mechanical heart valve) is as follows: *For a CHA2DS2-VASc score ≥2 in males or ≥3 in females, we recommend chronic OAC (Grade 1A). *For a CHA2DS2-VASc score of 1 in males and 2 in females: -For patients with CHA2DS2-VASc score of 1 in males and 2 in females based on age 65 to 74 years, we recommend chronic OAC (Grade 1A). Age 65 to 74 years is a stronger risk factor than the other factors conferring one CHA2DS2-VASc score point. -For patients with other risk factors, the decision to anticoagulate is based upon the specific nonsex risk factor and the burden of AF. For patients with very low burden of AF (eg, AF that is well documented as limited to an isolated episode that may have been due to a reversible cause such as recent surgery, heavy alcohol ingestion, or sleep deprivation), it may be reasonable to forgo chronic OAC and institute close surveillance for recurrent AF, although it may not be possible to reliably estimate AF burden from surveying symptoms or infrequent monitoring. The frequency and duration of AF episodes vary widely over time, and episodes are often asymptomatic. *For patients with a CHA2DS2-VASc of 0 in males or 1 in females, we suggest against OAC (Grade 2C). Patient values and preferences may impact the decision. For example, a patient who is particularly stroke averse and is not at increased risk for bleeding may reasonably choose anticoagulation, particularly if the patient is a candidate for treatment with a direct oral anticoagulant (DOAC). 2019 AHA/ACC/HRS Focused Update of the 2014 AHA/ACC/HRS Guideline
1001
21.2 The advantage of the Mapleson E circuit in paediatric anaesthesia is due to its a) Use with low FGF b) Ability to assess compliance c) Ability to assess tidal volume d) Ability to rapidly change levels of CPAP e) Low resistance
e) Low resistance
1002
21.2 A 50 year old man has the following pulmonary function test result: FEV1 98% predicted FVC 95% predicted DLCO 43% predicted The diagnosis is most consistent with: a) Pulmonary fibrosis b) Pulmonary hypertension c) COPD d) Obesity
b) Pulmonary hypertension Up to date: Overview of pulmonary function testing in adults Diffusing capacity — Measurement of the single-breath diffusing capacity for carbon monoxide (DLCO; also known as transfer factor or TLCO) is quick, safe, and useful in the evaluation of restrictive and obstructive lung disease, as well as pulmonary vascular disease. The technique and interpretation are discussed separately. In the setting of restrictive disease, the diffusing capacity helps distinguish between intrinsic lung disease, in which DLCO is usually reduced, and other causes of restriction, in which DLCO is usually normal. In the setting of obstructive disease, the DLCO helps distinguish between emphysema, in which it is usually reduced, and other causes of chronic airway obstruction, like asthma or chronic bronchitis, where it is usually normal. The DLCO is also used in the assessment of pulmonary vascular disease (eg, thromboembolic disease, pulmonary hypertension), which typically causes a reduction in DLCO in the absence of significant restriction or obstruction
1003
21.2 When performing a paediatric pain assessment, the five elements assessed to obtain the FLACC score are a) face, legs, activity, cry, consolability b) face, legs, arms, cry, consolability c) function, legs, arms, cry, crossed legs d) frown, legs, activity, cry, crossed arms
a) face, legs, activity, cry, consolability
1004
21.2 Local anaesthetic blockade of the sciatic nerve results in loss of function of all of the following EXCEPT a) Weak dorsiflexion b) Dorsal foot sensation loss c) Knee flexion weakness d) Knee extension weakness
"d) Knee extension weakness Femoral Nerve motor function = leg flexion at hip, leg extension at knee. Obturator Nerve motor function = adduction of thigh. Sciatic N - innervates post compartment of thigh and indirectly entiere lower leg and foot (tibial N and common fibular N) " BJA: Perioperative peripheral nerve injuries https://academic.oup.com/bjaed/article/12/1/38/260058 Lower limb peripheral nerve injuries Sciatic nerve injury (L4–S3) Mechanism of injury Stretch, compression, ischaemia, and direct damage are the primary mechanisms. The lithotomy, frog leg, and sitting positions have been implicated in perioperative injury to this nerve (hyperflexion of the hip, abduction, and extension of the leg causes stretching). Regional anaesthetic techniques and hip arthroplasty may also cause injury. A higher incidence is seen in men aged 45–55 yr and in patients suffering with diabetes mellitus. The common peroneal component is usually affected, as this is more superficial compared with the tibial component. Clinical presentation Injury manifests as paralysis of the hamstring muscles and all the muscles below the knee leading to weak knee flexion and foot drop. All sensation below the knee except the medial aspect of the leg and foot is impaired.
1005
21.2 Methylene blue may be used in the treatment of all of the following conditions EXCEPT a) Methemoglobinemia b) Priapism c) Hepatopulmonary syndrome d) G6PD deficiency e) Sepsis
d. G6PD - contraindicated (don't use prilocaine) Indications: methemoglobinemia (symptomatic or asymptomatic with >20% MetHb, or >10% if risk factors such as anaemia or ischemic heart disease); vasoplegic shock post cardiopulmonary bypass; hepatopulmonary syndrome, septic shock. Other uses have included use as an antimalarial agent, anti-cancer treatment, treatment of ifosfamide neurotoxicity, as a dye/stain (e.g. test for aspiration), priapism, CN toxicity Contraindications: G6PD deficiency (lack of NADPH prevents methylene blue from working and may lead to haemolysis); renal impairment; methaemoglobin reductase deficiency; nitrite-induced methaemoglobinaemia due to cyanide poisoning; hypersensitivity ADE: anaphylaxis, trigger serotonin syndrome, intereferes SpO2, non-speicifc symptoms."
1006
21.2 A respiratory effect of high flow nasal oxygen therapy is a) Increased deadspace b) Reduced MV c) Increased work of breathing d) Reduced RR
d) Reduced RR BJA: HFNP oxygen therapy https://www.bjanaesthesia.org/article/S0007-0912(17)53999-9/fulltext - reduced RR - increased MV - reduced WOB, reduced Vd, reduced AWR - provides CPAP 3-7 cmH20 (mouth closed)
1007
21.2 A bleeding patient has ROTEM results including (results displayed) . The most appropriate treatment is a) Cryoprecipitate b) FFP c) Platelets d) TXA e) Protamine
e) Protamine The interpretation of this graph is not especially laborious. The cardinal abnormality is the massively prolonged CT and CF of the INTEM graph, which suggests that something has killed the intrinsic pathway of the clotting cascade. The CT returns to normal in the HEPTEM graph, which is essentially just an INTEM test with adde heparinase. The presence of heparinase seems to have reversed all of the coagulopathy - the CFT, alpha-angle and MCF have all returned to normal. Therefore, this patient has no coagulation problems other than the heparin. https://derangedphysiology.com/main/required-reading/haematology-and-oncology/Chapter 1.2.0.1/intepretation-abnormal-rotem-data
1008
21.2 Cryoprecipitate contains all of the following EXCEPT a) Factor I b) Factor VII c) Factor VIII d) VWF e) Fibronectin
b) Factor VII Redcross: Cryoprecipitate contains most of the following found in fresh frozen plasma: 1. factor VIII 2. fibrinogen 3. factor XIII 4. von Willebrand factor 5. fibronectin Prothrombinex-VF® is a lyophilised concentrate of human coagulation factors it contains: Factors: II IX X small amount of factor VII. Also contains: plasma proteins (human) Antithrombin III (human) Heparin sodium (porcine) Sodium Phosphate Citrate Chloride
1009
21.2 The size 5 i-gel® supraglottic airway is recommended for patients who weigh over a) 50kg b) 60kg c) 70kg d) 80kg e) 90kg
e) 90kg
1010
21.2 A normal 75 kg term parturient may be expected to have a total blood volume of a) 5250mls b) 6000mls c) 6750mls d) 7500mls
d) 7500mls Compared with the blood volume (65 to 70 mL/kg) in nonpregnant women, the blood volume in pregnant women at term is increased to 100 mL/kg
1011
21.2 The nerve labelled by the arrow in the diagram below is the a) Obturator b) Accessory obturator c) Genitofemoral d) Ilioinguinal e) Iliohypogastric
c) Genitofemoral
1012
21.2 The intrinsic muscles of the larynx do NOT include a) Cricothyroid b) Suprahyoid c) Thyroarytenoid d) Transverse arytenoid
b) Suprahyoid Extrinsic Muscles of the larynx: 1. Sternothyroid muscle 2. Thyrohyoid muscle 3. Inferior constrictor of the pahrynx Indirect elevators of the larynx: 1. Mylohyoid 2. Stylohyoid 3. geniohyoid Indirect depressors of the larynx: 1. Sternohyoid 2. Omohyoid Intrinsic Muscles of the larynx: 1. Posterior Cricoarytenoid 2. Lateral Cricoarytenoid 3. Interarytenoid 4. Thyroarytenoid 5. Vocalis 6. Cricothyroid actions of intrinsic laryngeal muscles 1. Abductor of the cords: posterior cricoarytenoids 2. Adductors of the cords: lateral cricoarytenoids, interarytenoids 3. Sphincter to the vestibule: aryepiglottics (interarytenoid), thyroepiglotics 4. Tension regulators of the cords: Cricothyroids (tensors), Thyroarytenoids (relaxors), Vocales (fine adjustment)
1013
21.2 Of the following, the deficit that DOES NOT result from damage to the common peroneal nerve is a) Weak dorsiflexion b) Dorsal foot sensation loss c) Knee flexion weakness d) Knee extension weakness
d) Knee extension weakness - most correct based on answers remembered - this is femoral innervation Superficial peroneal nerve injury (L4–5 S1–2) Mechanism of injury Lithotomy and the lateral position are the common risk factors as the nerve is potentially compressed at the fibular head. Length of time in lithotomy has not been associated with an increased risk of developing a PPNI. Clinical presentation There is loss of dorsiflexion and eversion of the foot (equinovarus deformity). Sensory manifestations are described along the anterolateral border of the leg and the dorsum of the digits except those supplied by saphenous and sural nerves. Orthobullets: Common peroneal nerve - superficial & deep branches Deep peroneal - motor: extensor digitorum longus, extensor hallucis longus (dorsiflexion) - sensory: 1st dorsal webspace Superficial peroneal - motor: peroneus longus and brevis (eversion) - sensory: dorsum foot (except for 1st dorsal webspace & 5th toe) Lower limb peripheral nerve injuries Sciatic nerve injury (L4–S3) Mechanism of injury Stretch, compression, ischaemia, and direct damage are the primary mechanisms. The lithotomy, frog leg, and sitting positions have been implicated in perioperative injury to this nerve (hyperflexion of the hip, abduction, and extension of the leg causes stretching). Regional anaesthetic techniques and hip arthroplasty may also cause injury. A higher incidence is seen in men aged 45–55 yr and in patients suffering with diabetes mellitus. The common peroneal component is usually affected, as this is more superficial compared with the tibial component. Clinical presentation Injury manifests as paralysis of the hamstring muscles and all the muscles below the knee leading to weak knee flexion and foot drop. All sensation below the knee except the medial aspect of the leg and foot is impaired.
1014
21.2 A patient has numbness and weakness in her hand postoperatively. You are trying to distinguish between an ulnar nerve lesion and a C8-T1 radiculopathy. You can diagnose a C8-T1 radiculopathy if she has weakness a) Thumb adduction b) Thumb abduction c) Finger adduction d) Finger abduction
B - weakness in thumb abduction (APB) Muscles weak in C8-T1 radiculopathy but intact in ulnar neuropathy 1. flexor pollicis brevis 2. abductor pollicis brevis 3. opponens pollicis 4. lateral lumbricals AbOF the Law may be useful—the abductor (Ab) and flexor (F) pollicis brevis, opponens pollicis (O), and lateral lumbricals (Law) are “above the law” that intrinsic hand muscles are ulnar-innervated
1015
21.2 The domains described in the Edmonton Frail Scale do NOT include A) Cognition B) Mental illness C) Weight D) Age E) Functional assessment
D) Age Can Grandma Functionally Support Medication Nutrition Mood Continence Self i.e. C (cognition) G (general health) F (functional independence) S (social support) M (medication use) N (nutritional status) M (mood, presence of mental illness) C (continence) S (self reported performance)
1016
21.2 In a patient with anaemia of chronic disease, of the following the most likely to be elevated is a. MCV b. transferrin saturation c. Increased soluble Transferrin Receptor d. Ferritin e. Total iron binding capacity
d. Ferritin ANZCA blue book: ACD caused primarily by inflammation Mechanism: 1. Iron - Inflammation reduces Iron availabilty as a protective mechanism whereby Iron is sequestered and stored in macrophages to limit availability to microbial pathogens - Hepcidin expression is increased, this prevents the release of Iron by reticuloendothelial system resulting in "functional iron deficiency" with reduced tissue availability of iron, despite apparently normal total body iron stores. (hence increased Ferritin) 2. Response to erythropoietin - mechanism not clear suspect blunting of response to erythropoietin 3. Therapeutic agents chemotherapies that impair bone marrow response to erythropoiesis 65% of patients with lung and gynae cancer treated with platinum based drug develop anaemia RCPA advice on interpretation of Soluble Transferrin Receptor: Soluble transferrin receptor levels in plasma are elevated if there is increased iron demand due to Iron deficiency, increased erythropoiesis (eg, Haemolysis) or dyserythropoiesis (eg, Megaloblastic anaemia), regardless of other, coexistent states. Thus, it can be used to demonstrate iron deficiency in patients who also have an acute phase response and it can distinguish Iron deficiency from the Anaemia of chronic disease. Patients with an acute phase response have reduced plasma iron and transferrin with elevation of Ferritin, making these usual indicators unreliable.
1017
21.2 The apical four–chamber view of a transthoracic echocardiogram below shows
Dilated RA and RV
1018
21.2 The equipment shown in the picture below is a
NIM tube: Neural Integrity Monitor Electromyogram Tracheal Tube
1019
21.2 The estimated proportion of human induced climate change attributable to nitrous oxide is a) 0.01 b) 0.06 c) 1 d) >6
d) >6 Medical emissions of N2O account for <4% of all emissions of N2O, the majority originating from microbial action on nitrogenous fertilizers
1020
5. The breast does NOT receive sensory innervation from the "a) Supraclavicular nerve b) Anterior intercostal nerve c) Posterior intercostal nerve d) Pectoral nerve"
"c - posterior intercostal. Superficial breast innervation - Anterior intercostal nerves T3-5 - Anterolateral intercostal nerves T3-6 - Supraclavicular nerves - Intercostobrachial nerve Deep breast innervation (radical mastectomy) - Long thoracic nerve (serratus anterior) - Medial pectoral (pec minor and major) - Lateral pectoral (pec minor and major) - Thoracodorsal (lat dorsi) Anterior and lateral breast - branches of thoracic intercostal nerves T2-6 superior (under clav) - supraclav (C3/4) Axilla - intercostal brachial nerve Ant surface serratus anterior - long throacic N (C5-7) Lat dossi - thoracodorsal N (C6-8) - PURE MOTOR NERVE Pectoral muscles - lateral (C5-7) and medial (C8-T1) pectoral nerves [runs between pec major and pec minor - blocked with PECS1] [PECS2] between pecs minor and serratus ant - blocks lateral cutaneous spinal nerves, long thoracic and possibly intercostal N https://www.researchgate.net/figure/Innervation-of-the-axilla-and-breast-ICBN-indicates-intercostobrachial-nerve-LTN-long_fig2_340867787"
1021
11. Benzatropine ameliorates the side effects of drugs that antagonise "a) Dopamine receptor b) Nicotinic Ach receptor c) Muscarinic Ach receptor d) Serotonin e) Noradrenaline"
"a. Dopamine Benztropine is a centrally acting Anticholinergic / Antihistamine / Dopamine re-uptake inhibitor. Used to improve the side effects of acute dsytonic reactions (1-4mg OD to BD) and Parkinson (up to 6mg daily). LITFL"
1022
21.1 The optimal position, under ultrasound guidance, to place a catheter tip to provide continuous erector spinae plane block for post-thoracotomy analgesia is a. Between the fascial plane of erector spinae and rhomboids b. Posterior to both erector spinae and spinous process c. Anterior to erector spinae and posterior to transverse process 5th rib d. Superficial to the infraspinatus fossa e .Superficial to the lamina
c. Anterior to erector spinae and posterior to transverse process 5th rib Place anterior to transverse process and posterior to erector spine Midpoint between T5-6 (Usual Incision T4-5, ICC T6) Source - Blue book 2019
1023
21.1 A structure that is NOT clamped during a Pringle manoeuvre is the a. Hepatic artery b. hepatic vein c. Portal vein d. Bile duct e. Hepato-duodenal ligament
b. hepatic vein Pringle Manoeuvre = clamping hepatoduodenal ligament (clamps hepatic artery, portal vein, CBD)
1024
21.1 The muscle or muscle group with the greatest sensitivity to the action of non-depolarising neuromuscular blocking agents is/are the a. Abdominal muscles b. Adductor pollicis c. Pharyngeal muscles d. Diaphragm
"c) pharyngeal muscles onset and offset of block is faster in central muscles with good blood supply (eg. diaphgram and larynx) slower onset/offset in peripheral muscle groups (adductor pollicis0 airway/pharynx - quick onset but slow recovery (due to ^sensitivity) Neuromuscular monitoring: visual/tactile evaulation of degree of block is unreliable - unable to detect fade when TOF is>0.4 - unable to detect difference in DBS >0.6 https://academic.oup.com/bjaed/article/6/1/7/347026 "
1025
21.1 The most common cause of mortality in children with diabetic ketoacidosis is a. Cerebral oedema b. Septic shock c. Central pontine myelinolysis
"c- Cerebral edema DKA is leading cause of morbidity and mortality in children with diabetes. Paediatric mortality mainly due to development of cerebral odema (60-90% of deaths) initially intracellular shrinkage due to high osmolality in plama from hyperglycaemia -- after treatment with insulin and fluid --> fluid shift back into cell --> cerebral oedema https://www.bjaed.org/article/S1743-1816(17)30291-3/pdf Low to high: fries High to low: explode
1026
21.1 The intubating dose of atracurium in a patient with post-polio syndrome should be a. 10 % b. 20 c. 50 d. 100 e. 200
"c) reduce by 50% Polio --> widespread neural change - not just destruction of spinal cord anterior horn (motor cells) and changes gets worse as patient ages. Implications for anaesthesia: - VERY sensitive to sedatives - emergence can be prolonged (probably due to central neuronal changes at RAS) - nNMB - greater degree of block for LONGER duration - start with 50% usual dose. - sux - often causes severe generalised muscle pain post op - AVOID if possible - post op pain common - wind up from original disease affecting pain pathways - multimodal analgesia – ANS dysfunctional - IAL - respiratory muscles affected - spiro pre-op. ^risk of post op ventilation if VC<1L or OSA, may be permanent venitlation post-op - bulbar sx due to muscle weakness -- many patients have 1 paralysed cord - ENT FNE prior - positioning, osteopenia, ^risk peripherla nerve damage https://post-polio.org/education/summary-of-anesthesia-issues/ "
1027
21.1 In the morbidly obese the induction dose of propofol should be calculated based on a. Lean body weight b. Total body weight c. Ideal body weight d. Ideal body weight + 70%
Lean Body Weight For infusion: Adjusted body weight NDMB: Lean Body weight Sux: Total body weight Source: SOBA UK
1028
21.1 All of the following conditions are associated with acromegaly EXCEPT a. Myocardial fibrosis b. biventricular enlargement c. Arrhythmia d. Left ventricular enlargement e. AAA
"a) AAA acromegaly - excess GH Airway - ^difficult of intubation due to macgnathia, macroglossia and expansion of upper airway soft tisssues Resp - ^OSA, kyphoscoliosis, proximal myopathy CVS - refractory HTN, LV hypertrophy, IHD, arrythmia, heart block, cardiomyopathy (^deposition of tissue -->fribrosis), bi-ventricular dysfunction CNS - ^ soft tissue --> ^ nerve entrapment syndromes Metabolic - *diabetes and other endocrine https://academic.oup.com/bjaed/article/11/4/133/266875#3195851"e.
1029
21.1 The composition of blood returned to the patient from intraoperative cell salvage shows A. No evidence of haemolysis B. Normal 2,3 DPG C. Nil evidence of bone cement or some embolism type D. Normal levels of coagulation factors
B. Normal 2,3 DPG higher Hct-60% No immunimodulation require reinfusion within 6hrs pause with sement, caution metal fragments
1030
21.1 When performing a brachial plexus block at the level of the axilla, the structure indicated by the arrow is the (ultrasound image shown) a. Musculocutaneous nerve b. Median c. Radial d. Ulnar
Ultrasound view of right axillary brachial plexus AA = axillary artery AV = axillary vein McN = musculocutaneous nerve RN = radial nerve UN = ulnar nerve MN = median nerve CoBM = coracobrachialis muscle CT = conjoint tendon
1031
21.1 Severe obstructive sleep apnoea in a 6-year-old child is confirmed if during polysomnography the apnoea/hypopnea index (AHI) is greater than or equal to A >5 B >10 C >15 D >20 E >30
>10
1032
21.1 Predictors of successful awake extubation after volatile anaesthesia in infants include a. 2mL/kg tidal volume, b. grimacing c. coughing d. RR > 20
b. grimacing 8 features found to be associated with successful awake extubation in children: eye opening, facial grimace, conjugate gaze, purposeful movement, movement other than coughing, end tidal <0.2% for sevo, Vt>5ml/kg, SpO2 >97%, positive laryngeal stimulation test https://www.bjaed.org/article/S2058-5349(21)00133-5/fulltext#:~:text=Eight%20features%20have%20been%20found,for%20desflurane)%2C%20Spo2 """
1033
21.1 Major international guidelines recommend maintaining the core body temperature between 32°C and 36°C in comatose patients after A. SAH B. Stroke C. Cardiac Arrest
"c) cardiac arrest ANZCOR give specific targets for SpO2 (94-98%), Hyperglycaemia (treat>10mmol/L), TTM (32-36oC). They say HD goals are important BUT DO NOT SPECIFY A TARGET. "
1034
21.1 A man presents with a fractured tibia. He has increasing pain in his leg, loss of sensation on the plantar surface of his foot and weakness of toe flexion. This is most consistent with a compartment syndrome of the leg in the A. Anterior B. Lateral C. Superficial Posterior D. Deep posterior
"b) deep posterior compartment Anterior: - deep fibular nerve - foot dorsiflexion and toe extension, sensation between big and second toe Lateral: superficial fibular nerve - foot eversion and sensation over lateraland dorsum of lower leg/foot Deep posterior - tibial nerve - (becomes post.tibial nerve once it passes below the upper level of fibrous arch of soleus muscle) - foot plantar flexion and inversion and toe flexion. Tibial nerve also branches off sural nerve - sensory over lateral foot and malleous Superficial posterior - no nerves"Deep Posterior Compartment Source: UpToDate
1035
21.1 The coagulopathy that can result from intrahepatic cholestasis of pregnancy is due to a. Platelet dysfunction b. All clotting factors made by the liver c. Thrombocytopenia d. 2/7/9/10 e. Fibrinolysis
d. 2/7/9/10 Hypovitaminosis of Vitamin K (Bile required for absorption) Source: BMC Article https://bmcpregnancychildbirth.biomedcentral.com/articles/10.1186/s12884-022-04875-w
1036
21.1 The best patient position to evaluate the gastric contents with ultrasound is a. Right lateral b. Trendelburg c. Supine d. Left lateral e. Reverse trendelenberg
Right lateral Decubitus BJA: ultrasound
1037
21.1 A 50-year-old man is seen prior to his hip revision surgery. His blood results are (FBE and Iron Studies shown). The most likely diagnosis is Hb 110 (130-170 normal range) Ferritin 31 (30-100 range) Transferrin saturation 21% (normal 20-80) CRP 10 (0.1-10 normal)
Anaemia of chronic inflamation with iron deficiciency
1038
21.1 Of the following, allergy based on cross reaction to penicillin sensitivity is most likely with A) Cephazolin B) ceftriaxone C) cefapime D) cefaclor E) cefoxatin
"a) cefaclor 10% reports penicillin allergy, <1% truly allergic 1-2% of confirmed penicillin allergy is allergic to cephalosporin cross-reactivity can be due to b-lactam ring, R1 side chain / thiazolidine ring in penicillin or R1/R2 /dihyrothiaxine ring in cepalosporins. - highest risk is with R1 side chain - same shared R1 - ampicillin, amoxicillin, cefalexin, cefaclor - cefazolin - no shared side chains with penicillin or cephalosporins (but if reaction to the rings, may stil happen https://www.nps.org.au/assets/p192-Devchand-Trubiano.pdf "
1039
21.1 In maternal cardiac arrest the most common arrhythmia is a) PEA b) VT c) VF d) Asystole e) SVT
"d) PEA PEA 50.8% asystole 25.6% shocable 11.7% (VF 6.5%, pulseless VT5.2%) unknown 11.9%"a)
1040
21.1 You are performing a regional block for analgesia following knee surgery. You have an ultrasound probe scanning the anterior mid-thigh. The muscle indicated by the arrow in the ultrasound image below is the
1041
21.1 The recommended antibiotic prophylaxis for insertion of an intrauterine device is a. cephalexin PO b. cefazolin IV c. doxycycline PO d. none
d. none Increase in presence of mycobacterium vaginosis, doxycylcine will kill commensal bacteria Doxycycline is used for copper IUD in the setting of emergency insertion with PID
1042
21.1 The independent predictors for severe bone cement implantation syndrome (BCIS) in cemented hemiarthroplasty for hip fracture do NOT include a. Male b. GA c. severe cardiopulmonary disease d. Diuretic use e. Age
"b) GA BCIS incidence ~20%, severe reaction-->CVS collapse 0.5-1.7% 3 features - hypoxia, hypotension/arrythmia, LOC - time limited phenomena - usually PAP normalises within 24hrs - thought to be shower of emboli clogging up the pulmonary vasculature Grade 1 (moderate) - SpO2<94%, >/=20% drop in BP, no change in LOC Grade 2 (sever) - SpO2<88%, >/=40% drop in BP, unexpected LOC Grade 3 - cardiovascular collapse requiring CPR -- should be treated as RV failure Pt riskfactors: - increasing age - male - significant cardiopulmonary disease - diuretics.warfarin - ASA iii / IV Surgical risk factors: - cemented hemiarthroplasty highest risk - previously un-instrumented femur - more ptential for emoblic material https://resources.wfsahq.org/wp-content/uploads/351_english.pdf"
1043
21.1 The 12 lead ECG shown is most consistent with acute total occlusion of the? (widespread ST depression, seen in leads I, II and V5-6/ ST elevation in V1 and 2) A. Posterior descending B. RCA C. LAD D. OM
LAD LAD LESIONS (STE): V1-2 - septal MI V3-4 anterior MI V5-6, I, avL - lateral MI II, III, aVF, I, aVL, V5-6 +/- V4R - inferior lateral MI - LAD+LCx occlusion in left dominant ciruclation RCA LESIONS (STE) II, III, aVF - inferior MI (reciprocal STD in avL) - RCA lesion distal to RV (58% of MI) II, III, aVF, V1 and V4R - inferior and RV MI (RCA lesion proximal to LV) (40% of Inferior MI) II, III, aVF, V7-9 - inferior posterior MI (STD V1-2) (RCA + LCx occlusion IF V1-V2 STD - need to do posterior ECG to exclude POSTERIOR MI - V7-9 STE (RCA and LCx occlusioN) https://litfl.com/wp-content/uploads/2018/10/ECG-Anatomy-LITFL.jpg "
1044
23. A 45 Year old man has poor oxygenation in the post anaesthesia care unit after a low anterior resection. His chest xray is below. The most likely diagnosis is a. LLL collapse b. Pneumothorax c. L pleural effusion
The lungs are hyperinflated with relatively flat diaphragms - a sign of pulmonary emphysema. There is a dense triangular opacity overlying the cardiac shadow with increased lucency of the left upper zone relative to the right upper zone. This is the "sail sign" of left lower lobe collapse with subsequent left upper lobe hyper-expansion.
1045
According to National Audit Project (NAP) 5, the incidence of awareness during general anaesthesia using a non relaxant technique with a volatile agent is a. 1:700 b. 1:8000 c. 1:10000 d. 1:19000 e. 1:136,000
e. 1:136,000 1/670 E-LSCS 1/8000 with muscle relaxation 1/8600 CTS Overall 1:19000
1046
21.1 The drug which has the LEAST impact on somatosensory evoked potentials (SSEPs) monitored in a 15-year-old patient undergoing scoliosis surgery is A) propofol B) fentanyl C) desflurane D) Midazolam E) sevoflurane
"b - fentanyl ^SSEP amplitude - ketamine, low dose etomidate decrease SSEP - volatiles > N2O, barbituates > propofol Minimal change - opioids, low dose benzo, dexmedetomidine, lidocaine No affect - muscle relxant https://www.uptodate.com/contents/neuromonitoring-in-surgery-and-anesthesia#H3106240"""B) fentanyl Drugs which have the least impact on SSEPs 1. Ketamine 2. Opioids 3. Dexmedetomidine Article in Anaesthesiology https://pubs.asahq.org/anesthesiology/article/99/3/716/40407/Pharmacologic-and-Physiologic-Influences-Affecting
1047
21.1 Toxicity of methylene blue is likely to be seen after single bolus dose (in mg/kg) greater than a. 1mg/kg b. 2mg/kg c. 5mg/kg d. 0.5mg/kg e. 0.1mg/kg
c. 5mg/kg Methylene blue due to its monoamine oxidase(MAO) inhibiting property may precipitate potentially fatal serotonin toxicity at doses >5mg/kg.
1048
21.1 A woman is having a potentially curative primary breast cancer resection. Compared with a sevoflurane and opioid technique, using a regional anaesthesia-analgesia technique with paravertebral block and a propofol infusion will result in a. Decreased cancer recurrence b. Decreased chronic pain and recurrence c. Decreased incision pain at 6 months d. Decreased neuropathic pain at 6 months e. Decreased neuropathic pain at 12 months
e. Decreased neuropathic pain at 12 months ANZCA pain book
1049
21.1 A normal 75 kg term parturient may be expected to have a total blood volume of a. 5250 b. 6000 c. 6750 d. 7500
d. 7500 7.5L (Average increase around 48%) pregant = 100ml/kg , neonate 90ml/kg, adult 70ml/kg , paeds 80ml/kg """
1050
21.1 A patient undergoing robotic prostatectomy with controlled mandatory volume ventilation has the following measurements: plateau pressure 32 cmH2O, PEEP 8 cmH2O, autoPEEP 4 cmH2O, peak pressure 38 cmH2O, tidal volume 600mL The static compliance is 20 ml/cmH20 23 ml/cmH2O 25 ml/cmH20 30 ml/cm H20
25ml/cm H2O The answer is 30ml/cmH20 because total PEEP is 8+4=12 Static lung compliance (Cstat), mL/cm H2O = TV / (Plateau pressure (Pplat) – PEEP)
1051
21.1 A 30-year-old professional athlete who underwent a knee arthroscopy under general anaesthesia becomes tachycardic in the recovery room. His non-invasive systolic blood pressure is 90 mmHg. A 12-lead ECG is obtained. The most appropriate therapy is a. Adenosine 6mg (or 60mg remembered by other cohort) b. valsalva c. 50J d. 200J
d) modified valsalva HD stable: narrow QRS - likely SVT – vagal manouvres, adenosine 6 , 12, 12 Unstable.- HR>150, sBP <90 (in conscious and lower in anaesthetised pt) - synchrnised DCCV 1J/kg and can be increased to 2J/kg "conscious VT or something stupid....
1052
21.1 A patient requiring an elective joint replacement has had a recent stroke. The minimum time to wait after the stroke before proceeding with surgery is a. 3 b. 6 c. 9 d. 12 months
"3 mths AHA Guidelines. ""we suggest that elective noncardiac surgery be deferred at least 6 months after a prior stroke, and possibly as long as 9 months to reduce the risk of perioperative stroke in patients undergoing noncardiac surgery. Alternatively, patients who stand to gain significant improvements in quality of life with elective surgery may consider waiting only 6 months after a prior stroke."" https://www.ahajournals.org/doi/10.1161/CIR.0000000000000968 https://www.bjaed.org/article/S2058-5349(20)30123-2/fulltext"
1053
21.1 The direct physiological effects of electroconvulsive therapy include a) reduced contractility b) initial htn c) initial bradycardia d) initial tachycardia e) reduced ICP
c) initial bradycardia PSNS during seizure 10-15sec - brady/hypotension followed by SNS (5mins) - tachycardia/ hypertension/ dysrhythmia, ^myocardial oxygen requirement seziure --> ^ICP and ^CMRO2 --> ^CBF Other - hypersalivation, ^gastric pressure, ^IOP, incontinence absolute CI - recent MI or CVA, phaeochromocytoma, intracranial mass lesion, intracranial or aortic aneurysm Oxford handbook pg 273-274"
1054
21.1 A man is brought into hospital after a motor vehicle accident 45 minutes ago. His chest x-ray is shown. This is most consistent with a left-sided
?? XR Reviews
1055
21.1 A common electrolyte disturbance following the administration of ferric carboxymaltose is a. hypophosphatemia b. hypocalicaemia c. hypokalaemia d. hypercalicaemia e. hypernatraemia
"a) hypophosphataemia - due to renal wasting of phosphate - usually transient and asymptomatic "osphataemia
1056
21.1 Globe perforation during eye block is more common in myopic eyes because a) Incidence of staphyloma b) Globe is too short c) Higher rate of increased IOP d) Corneal thickness is less
"a) staphyloma BJA - regional anaesthesia for ophthalmic surgery - Myopic eyes with an axial length of > 26mm are at increased risk of perforation with retrobulbar / peripulbar . This risks is increased in by the associated likelyhood of staphylomas (sclera outputting), which are typically posterior or inferior"
1057
21.1 A five-year-old child weighing 25 kg is to be strictly nil by mouth overnight following a laparotomy. The most appropriate fluid prescription is a. 65ml/hr N Saline b. 45ml/hr N saline w 5% dex c. 45ml/hr N Saline w 2.5% dex d. 65ml/hr .45% saline w 2.5% dex e. 65ml/hr .45% saline w 5% dex
b. 45ml/hr N saline w 5% dextrose A guide to paediatric anaesthesia fluid management -421 rule overestimates fluid resus -due to stress response from ADH release -post-op fluid maintenace is 2/3rds calculated -never use hypotonic solution -unlikely to need glucose as not a neonate
1058
21.1 A four-year-old boy with a history of waddling gait, larger than normal calves and frequent falls receives a spontaneously breathing volatile-based anaesthetic with sevoflurane. One hour into the case he develops peaked T waves and then the end-tidal CO2 begins to rise. The most appropriate immediate treatment is to a. Temp probe, and go from there b. Cool + dantrolene c. Stop volatile, cool + dantrolene d. Stop volatile, calcium e. Stop volatile
"c.Stop volatile and calcium Duchenne muscular dystrophy -> rhabdomyolysis and hyperkalemia. Calcium for cardiac stabilization The only conditions shown to have a definite linkage with malignant hyperthermia (MH) are King–Denborough syndrome, central core disease, and Evans myopathy.7 Patients with other neuromuscular disorders have shown MH-type symptoms under general anaesthesia, but the link between these symptoms and true MH remains unclear. There is no association between DMD and MH; previously described ‘normothermic MH’ reports were almost certainly rhabdomyolysis https://academic.oup.com/bjaed/article/10/5/143/274799#3357763"
1059
21.1 The substance that should be avoided in a patient with history of anaphylaxis to MMR vaccine is a. Protamine b. Gelofusine c. Sulphonamides d. Penicilins
"b) gelofusine (succinylated gelatin) 25% of children suffering anaphylaxis to MMR is due to gelatin gelatin also found in Haemaccel and Gelofusine https://associationofanaesthetists-publications.onlinelibrary.wiley.com/doi/full/10.1111/j.1365-2044.2005.04529.x"
1060
21.1 A patient with a history of hereditary angiooedema requires an appendectomy for acute appendicitis. The most effective therapy for the prevention of an acute attack in the perioperative period is a) FFP b) berinert c) Hydrocortisone d) Danazole e) cetirizine
"b) berinert another remembered option had icatibant instead of berinert. ?give FFP in this instance as icatibant wont have time to work Tx of acute flare: – C1 inhibitor concentrate eg Berinert, Cinryze – Recombinant C1 inhbitor (conestat alfa) – bradykinin B2 receptor antagonist (Icatibant – FFP - 2units initially- repeated Q2-4H HAE - causes recurrent episodes of angioedema in the upper respiratory tract , GIT or subcut tissue Due to C1 esterase inhibitor deficiency. Rare autosominal dominat condition 2 types (type1 - reduced, type 2 poorly functional C1 esterase inhibitor) Triggers - infection, stress, menstruation, surgery, dental work, trauma, medicine (COCP and ACEi) or may have no clear trigger Pre-op prevention: 1st line - Danazol 10mg/kg/day for 5-10days before and 2-5days after procedur) (androgen increase C1 esterase inhibitor synthsis) Emergency or high risk procedures - 25u/kg infusion of C1 esterase inhibitor concentrate (Berinert) given 1hr prior to procedure **antihistamines and cortiocsteroids have no role in management of HAE related angiodema. Role of adrenaline not well established https://www.rch.org.au/clinicalguide/guideline_index/C1_Esterase_inhibitor_deficiency/ "
1061
21.1 Sensory innervation of the cornea is by the A. ophthalmic division of the Trigeminal nerve B. Nasocilliary Nerve C. Frontal Nerve D. Oculomotor
"a. Nasociliary. It is a branch of the Trigeminal nerve (V1) https://academic.oup.com/bjaed/article/17/7/221/3800526 V1 (Ophtlamic) divides into Fronal, lacrimal, nasocillary Frontal (largest of V1 branches) branches into supraorbita (innervates upper eyelid and contiva and scalPl and supratrochlear (innervavtes upper eyelid, conjunctiva, forehead) Lacrimal (smallest of V1 branches and receive branch from V2 containing parasympathetic fibres) - lacrimal gland, upper eyelid, conjunctiva Nasocillary (4 branches - ant ethmoid, post ethmoid, infratrochlea, long ciliary nerves) - sensatotion to sinuses, nasal cavity, external nose. Long ciliary - sensory innervation to eye (CORNEA, ciliary bodies, iris) sympathetic fibres to dilator pupillae muscle Occulomtor - CN III - innervates all extraoccular muscles EXCEPT - SO4 and LR6 Optic CN II - sight"
1062
21.1 Local anaesthetic-induced myotoxicity is most likely to be associated with A. Biers B. Interscalene C. Sciatic D. Adductor Canal
"d - Adductor canal. Opthalmic blocks> Addutor canal. Adductor canal specifically for lower limb blocks Rare complication Myotoxicity after regional anaesthesia defined as: occurance of symptoms related to muscle damage, including muscle paralysis/wekaness, occurence of dipolpia/ptosis/hypertropia and hypotropia after catarcht surgery, enzymatic changes indicateive of muscle damage (such as elevated CK) Myotoxic damage appeared to occur independent of needle size and LA concentration. https://www.bjanaesthesia.org/article/S0007-0912(18)30572-5/pdf"""
1063
21.1 The minimum microshock current required to elicit ventricular fibrillation is a) 100microAmp b) 50microAmp c) 100milliAmp d) 50milliAmp
"a) 100microamp Microshock - enters body through internal devices close to heart - 10micramp - unsafe - 100microamp - can induce VF macroshock - current through 2 points of body – 1mA - pain - 10mA - tetany (unsafe) -100mA - VF"
1064
21.1 You give a dose of intravenous indocyanine green to facilitate videoangiography during cerebral aneurysm surgery. The displayed pulse oximetry (SpO2) and cerebral oxygen tissue saturation (SctO2) changes you expect to see are a. Increases NIRS , decreases peripheral b. Decreases NIRS, decreases peripheral c. No change NIRS, decreases peripheral d. Increases NIRS and peripheral e. Decreases NIRS, increases peripheral
a. Increases NIRS , decreases peripheral SctO2 up, SpO2 down. Source: Korean Journal Anaesthesia https://www.researchgate.net/publication/274570990_Effects_of_intravenously_administered_indocyanine_green_on_near-infrared_cerebral_oximetry_and_pulse_oximetry_readings
1065
21.1 Non-anaesthetist practitioners wishing to provide procedural sedation should have training in sedation and/or anaesthesia for a minimum of 6 weeks 3 months 6 months 12 months
no longer has time frame
1066
21.1 Of the following classes of medication for diabetes mellitus, the most likely to cause hypoglycaemia in the fasted patient are the A. Biguanides B. Sulphonylureas C. Acarbose D. SGLT2 inhibitors E. DPP4 inhibitors
"insulin and sulfonylureas (eg. Gliclazide) high risk of hypoglycaemia when fasting (stimulates pancreatic cells to make more insulin) "
1067
21.1 A 25-year-old ASA I patient develops ongoing seizures five minutes after receiving a brachial plexus block with ropivacaine. Of the following, the most suitable initial intravenous treatment is a) Midazolam b) Intralipid c) Propofol d) Levetiracetam e) Phenytoin
Control seizures first a) Midazolam if an option or c) propofol or treat seizures 1st followedLAST - ABCD - Intralipid 1.5mL/kg
1068
21.1 A 50 year old man has the following pulmonary function test result. The most consistent diagnosis is FEV1 - test result - predicted - % predicted 68% FVC - test result - predicted - % predicted 68% DLCO 46% a) Asthma b) Myasthenia Gravis c) Emphysema d) Sarcoidosis e) Pulmonary Hypertension
"d) DLCO low MG won't affect DLCO Pulmonary HTN won't show restrictive pattern Emphsema/asthma - high DLCO Other causes of ^DLCO: asthma, polycythemia, pulmonary haemorrhage, large lung volumes, high altitude, left to right cardiac shunt, exercise prior to test (^CO) Emphsema, ILD, sarcoid --> decreased DLCO "
1069
21.1 The nerve labelled with the arrow in the diagram is the (diagram of a nerve plexus shown)
1070
21.1 You have been asked to anaesthetise a patient with a history of severe depression which has been well controlled on moclobemide. The most appropriate medications in combination with propofol are a) sevoflurane, morphine and phenylephrine b) sevoflurane, fentanyl and metaraminol c) sevoflurane, tramadol and phenylephrine d) sevoflurane, oxycodone and ephedrine
"a) sevo, morph, phenyl moclobemide - MAO-Ai - AVOID indirect acting sympathomimetics (ephedrine, metaraminol -->hypertensive crisis) - AVOID serotonin crisis precipitants (including pethidine) MAO-A - involved in breakdown of norad and serotonin MAO-B- involved in breakdown of tyraime and phenyethyamine https://academic.oup.com/bjaed/article/10/6/177/299579 "
1071
21.1 Infection control management of patients with carbapenemase-producing Enterobacteriaceae (CPE) infection should include all of the following EXCEPT a) isolation b) contact precautions c) droplet precautions d) screening at risk patients with rectal swab and urine mcs
C) droplet "Standard + contact precuations: Standard - hand hygiene, PPE, effective cleaning of all equipment/enivronment Contact: - single room isolation - PPE - glove + gowns - dedicated equipment to patients – enahnced cleaning + disinfection - x2 / day https://www.safetyandquality.gov.au/sites/default/files/2020-09/cpe_for_clinicians_sept_2020.pdf"
1072
21.1 Blocking the sciatic nerve results in loss of function of all of the following EXCEPT "a) Sensation of lateral lower leg b) Sensation of medial lower leg c) Dorsiflexion of ankle d) Plantarflexion of ankle "
b? The sciatic nerve block results in anesthesia of the posterior aspect of the knee, hamstring muscles, and entire lower limb below the knee, both motor and sensory block, with the exception of skin on the medial leg and foot (supplied by the saphenous nerve). The skin of the posterior aspect of the thigh is supplied by the posterior femorocutaneous nerve, which deviates away from in the sciatic nerve proximal to the level of the anterior approach, and is therefore not blocked. NYSORA
1073
21.1 21.2 Benztropine ameliorates the side effects of drugs that antagonize a) Dopamine receptor b) Nicotinic Ach receptor c) Muscarinic Ach receptor d) Serotonin e) Noradrenaline
"c) Dopamine 2 antagonist Indicatoins: Parkinson, drug induced EPSE, acute dystonia MOA: antimuscurinic - reduction of relative excess of cholinergic activity that accompanies dopamine deficienc in PD. partially blocks cholinergic activity in basal ganglia and has been shown to increase availability of dopamine by blocking its reuptake and storage in central sites https://www.sciencedirect.com/topics/pharmacology-toxicology-and-pharmaceutical-science/benzatropine#:~:text=Benzatropine%20partially%20blocks%20cholinergic%20activity,of%20Parkinson%27s%20disease%20and%20dystonia."
1074
21.1 You are anaesthetising a 35-year-old woman undergoing a laparoscopic appendectomy. She uses a levonorgestrel-releasing intrauterine device (Mirena®) for contraception and you have used sugammadex for reversal of neuromuscular blockade at the end of the procedure. Your postoperative advice to her regarding contraception should state that a. Barrier protection for a week b. Barrier protection until the next period. c. The mirena is sufficient d. OCP for a week e. OCP until next period
a. Barrier protection for a week
1075
21.1 You are resuscitating a 60 kg man in cardiac arrest secondary to severe hyperkalaemia. You decide to give intravenous sodium bicarbonate. Australian and New Zealand resuscitation guidelines state the initial dose of 8.4% sodium bicarbonate should be a. 30ml b. 40 ml c. 50 ml d. 60 ml e. 70ml
60 mmol 1mmol/kg 1mmol/kg given over 2-3minutes as guided by ABG 8.4% sodium bicarb 100mmol = 1mmol/ml Routine use not recommended for cardiac arrest Consider if: - hyperkalaemia - tx of documented metabolic acidosis - overdose with TCA - protracted arrest (>15mins) https://www.resus.org.nz/assets/Uploads/ANZCOR-Guideline-11.5-Medications-Aug16.pdf"
1076
21.1 Regarding healthcare research, the SQUIRE guidelines describe a) Standards for RCTs b) Standards for meta-analysis c) Standards for observational studies d) Standards for systematic reviews e) Standards of quality improvement
e) Standards of quality improvement Quality Improvement (Standards for QUality Imporvement and Reporting Excellence) Quality improvement - SQUIRE RCT - CONSORT Observational studies - STROBE Systematic review - PRISMA Study protocols - SPIRIT Clinical practice guidelines - AGREE Qualitative research - SRQR Research question - PICO"
1077
21.1 A 30-year-old woman is administered an anaesthetic for a laparoscopic cholecystectomy for acute cholecystitis. She is breastfeeding her six-week-old infant. During anaesthesia she receives the following drugs: propofol, fentanyl, sevoflurane, rocuronium, oxycodone, parecoxib, ondansetron, sugammadex and cefuroxime. The best advice regarding breastfeeding after anaesthesia is to a) Discard 12 hours post procedure b) discard 24 hours post procedure c) discard 1st feed d) discard first 2 feeds e) discarding not required
e. Disregard not required "Conitnue to breast feed as per usual. Do not need to express and discard. Monitor infant for signs of respiratory depression and drowsiness especially if multiple doses of opioids/bzd AVOID codeine in breastfeeding https://anaesthetists.org/Home/Resources-publications/Guidelines/Anaesthesia-and-sedation-in-breastfeeding-women-2020"
1078
21.1 The most common cause of postoperative visual loss after spinal surgery is a. Central retinal artery occlusion b. Central retinal vein occlusion c. Ischemic optic neuropathy d. Haemorrhage e. corneal abrasion
c. Ischemic optic neuropathy post op ischaemic optic neuropathy - most common cause of POVL after nonocular surgery - ^risk with cardiac, spine, orthopaedic, steep trendelenberg positions - anterior ION - more common with cardiac - posterior ION - more common with prone procedures, steep trendelenberg, cardiac - presents with painless b/l vision loss - risk factors for POVL with spine surgery - male, ^BMI, wilson frame, long duration, ^ blood loss - PION more common however only AION has fundoscopic changes -- AION - fundoscopy - swollen disc - can be uni or bilateral -- AION onset usually immediate after awakening but can also have onset a day or so afterwards - sudden unilateral or bilateral, progressive vision loss Central retinal artery occlusion - most common retinal cause of POVL - usually unilateraly and immediately after awakening from anaesthesia - fundoscopy - ischaemic retina + cherry red spot at macula https://www.uptodate.com/contents/postoperative-visual-loss-after-anesthesia-for-nonocular-surgery#H437018973 """
1079
21.1 A baby is brought to the emergency department three days after a term home birth. It has not been feeding well and has had few wet nappies. The child is grey in appearance and femoral pulses are difficult to palpate. You note an enlarged liver and marked tachycardia. Pulse oximetry reveals saturations of 75% despite oxygen being administered. You suspect a duct-dependent circulation. The best initial management is a) 20ml/kg crystalloid b) Prostaglandin E1 (alprostadil) c) Prostacyclin d) NSAID
Prostaglandin RCH say give 10ml/kg bolus rather than 20ml/kg https://www.safercare.vic.gov.au/best-practice-improvement/clinical-guidance/neonatal/cyanosed-neonate-assessment low threshold to give Most frequent side effects include: fever 12 per cent apnoea 12 per cent flushing 10 per cent hypotension tachycardia. Apnoea rarely occurs at 10 ncg/kg/min and is not an indication to decrease the dose if the infant is responding clinically. Ensure adequate respiratory support. The likelihood of apnoea is very high at a dose of 100 ncg/kg/min and most infants on this dose should have ventilatory support.
1080
21.1 A patient with a history of restless leg syndrome is experiencing significant agitation in the post-anaesthesia care unit. After excluding other precipitating causes, the best treatment of the agitation in this patient is a. Midazolam b. Olanzepine c. Haloperidol d. Clozapine e. Droperidol
midazolam
1081
21.1 During trauma resuscitation in adults, contraindications to blind nasogastric tube insertion include all of the following EXCEPT a) High C-spine injury b) Recent nasal surgery c) Oesophageal fracture d) Base of skull fracture e) oesophageal varices
a) High C-spine injury - at high risk of passive regurgitation and then aspiration due to loss of gag and cough response https://trauma.reach.vic.gov.au/guidelines/spinal-trauma/primary-survey Absolute Contraindications: midface injury, basal skull fracture, recent nasal surgery Relative Contraindications: coagulation abnormality, eosophageal varices or stricture, recent banding of varices, alkaline ingestion https://iem-student.org/nasogastric-tube-placement/"
1082
21.1 Cardiovascular effects of hyperthyroidism include a. Decreased PVR b. Increased SVR c. Decreased diastolic relaxation d. Decreased SVR e. Increased diastolic blood pressure
decreased SVR High CO state (+/- failure -- LVEF does not ^ appropriately during exercise suggesting presence of cardiomyopathy) - ^CO state due to ^ peripheral oxygen needs and ^ cardiac contractility - increased HR, contractiliity, sBP (widened pulse pressure), pulmnoary artery pressure, myocardial oxygen https://www.uptodate.com/contents/cardiovascular-effects-of-hyperthyroidism?search=cardiovascular%20effects%20of%20hyperthryod&topicRef=7833&source=see_link in HYPOthryoid - opposite occurs - decreased CO - decreased contractility, HR, diastolic relaxation (so decreased compliance and diastolic filling), peripheral tissue oxygen utilisation - blunted response to catecholamine mediated ^ in inotropy - ^ SVR, ^Qtc"
1083
21.1 Effective pharmacotherapy options to support smoking cessation in the perioperative period include all of the following EXCEPT a) bupropion b) clonidine c) nortoptyline d) Varenicicline e) fluoxetine
Fluoxetine All other effective NRT, buproprion, nortriptyline, clonidine, nicotine receptor patial agonists (varenicline -(champix)) Individual counselling, group behaviour therapy, rapid smoking aversive therapy https://www.anzca.edu.au/getattachment/a3591188-1d7d-41cf-807a-b3b2f0226109/PS12BP-Guideline-on-smoking-as-related-to-the-perioperative-period-Background-Paper"
1084
21.1 The main advantage of using norepinephrine (noradrenaline) over phenylephrine for the prevention of hypotension as a result of spinal anaesthesia for elective caesarean section is A. Better APGAR B. Better foetal acid/base C. Less nausea/vomiting D. Less maternal bradycardia
less maternal bradycardia b) less maternal bradycardia - nil pt required anticholinergic so clinical significance unclear no difference in N/V norad non inferior to phenyl in terms of acid base profiles and APGAR at 1min and 5mins https://www.bjanaesthesia.org.uk/article/S0007-0912(20)30442-6/fulltext
1085
21.1 The atmospheric lifetime of nitrous oxide (in years) is approximately 1yr 10 yr 50 yrs 100years
100 years Desflurane: 10yrs Sevoflurane 1yr
1086
21.1 The risk of a perioperative respiratory adverse event in a child is least likely to be increased by a) Experience of anaesthetist b) Intubation c) Asthma d) Passive smoke exposure e) Snoring
A. expereince of anaesthetist assuming they are implying that an experienced anaesthetist is operating (as inexperienced anaesthetists operating increase risk PRAE). APRICOT doesnt mention snoring but BJA does https://www.bjanaesthesia.org/article/S0007-0912(24)00497-5/fulltext
1087
21.1 In elderly patients without diabetes mellitus the use of aspirin in primary prevention of disease a. Reduced cardiovascular mortality b. Increased incidence of major bleeding c. Increased cancer related death d. Lower all cause mortality e. Reduced thromboembolic events
increased incidence of major bleeding APREE trial 2018 (NEJM) - low dose aspirin as primary prevention in pts>70 --> ^ risk of major haemorrhage (mostly GI bleed) and DID NOT lower risk of CVS disease compared to placebo. Primary prevention of CVD with aspirin among pts 40-59yo who have a 10% or grater 10yr CVD risk - has a small net benefit. https://jamanetwork.com/journals/jama/fullarticle/2791399"
1088
21.1 You are involved in the care of a two-year-old child who has ingested a button battery in the last four hours. You would consider giving a. milk, b. sodium bicarbonate c. Pantoprazole d. sucrulfate
"d) sucralfate or honey - give within 12hrs of ingestion - don't give honey to <12mth old"""sucrulfate or honey
1089
21.1 The most likely cause of hip adduction in a patient undergoing transurethral resection of a bladder tumour is a) Neuraxial anaesthesia to T8 b) Inadequate depth of anaesthesia c) Lateral bladder wall resection d) Bladder perforation
c) lateral bladder wall resection obturator nerver - responsible for hip adduction - obturator nerve (L2-4) travels alongside the posterolateral bladdder wall before exiting the pelvis - stimulation of obturator nerve during TURBT --> adductor spasm --> ^risk of bladder perf spinal does not prevent unintended stimulation of obturator nerve - need Neuromuscular blocker or obturator nerve block decreased riks with lower diathermy current https://karger.com/cur/article/12/1/1/103204/Avoiding-the-Obturator-Jerk-during-TURBT"
1090
21.1 In critically ill patients undergoing mechanical ventilation, energy dense enteral nutrition (1.5 kcal/mL/kg) compared to routine (1 kcal/mL/kg) enteral feeding provides a) high incidence of VAP b) low AKI c) Lower all cause 90day mortality d) no difference
no difference TARGET trial 2019 energy dense vs routine enteral nutrition in critically ill ventillated Conclusion - no differenc in 90day survival (primary outcome) - ^ GI effects in high caloric group - ^ gastric residual volumes, regugitation, ^use of insulin and prokineitc drugs https://www.thebottomline.org.uk/summaries/target/"
1091
21.1 Chronic recreational use of nitrous oxide may lead to a. Anaemia due to decreased EPO b. Anaemia from glutathione deficiency c. Neurological damage due to methionine deficit d. Pulmonary hypertension
neurological damage due to methionine deficit chronic exposure --> deplete B12 stores through oxidation of cobalt --> inactivation of methionine synthase --> decreuased methionine synthesis --> megaloblastic anaemia, peripheral neuropathy, memory loss Potetntially teratogenic (in Rats) Acutely Resp - ^PVR - avoid in pulmonary HTN - expansion of existing air filled spaces - diffusion hypoxia CNS ^CBF --> ^ICP"
1092
21.1 Risk factors for chronic postsurgical pain do NOT include a. Smoking b. Pre-existing pain c. High level of anxiety d. Young age e. High level of education
high level of education Risk factors for CPSP Demographic: young adults, low level of education, seeking compensation, smokers Psychological: fear, anxiety, depression Pain related: pre-existing pain, stronger post-op intensity and duration Clincal: greater prior disability Surgery: longer operative time, increased complication rate Blue Book 2019 pg 176 "
1093
21.1 A drug which is likely to slow the heart rate in a patient with a heart transplant is a. Adenosine b. Digoxin c. Metaraminol d. Phenylephrine
adenosine Denervated heart. Only drugs that act directly on the heart will be effective. Loss of predominant parasympathetic outflow - so SA node rate now 90-100. Preload dependent - frank starling mechanism. alpha and beta receptors remain intact but attenuated response to catechoamines. Dopamine/isoprenaline - effective Norad/adrenaline,dobutamine - exagerrated effect - depends on intrinsic stores of catehcolamines and degree of reinnervation metaraminol - effective but no reflex brady Pheynlephrine - effective ephedrine - less effective glyco/atropine - not effective No autonomic innervation of the heart -> lack of reflex bradycardia. Adenosine - exaggerated bradycardia - receptors present on heart b-blocker - effective - but caution with use as CO dependent on catechoamines digoxin - usually ineffective due to parasympathetic dennervation ANZCA blue book 2019 pg 69"
1094
21.1 The following is an image from a focussed cardiac ultrasound in a patient with dyspnoea presenting for thoracic surgery. The diagnosis is A. RWMA B. Pericardial effusion C. Dilated aorta D. Aortic regurgitation
1095
21.1 Once a unit of fresh packed red blood cells has been removed from controlled refrigeration the transfusion should be completed within
4 hours RBC out of temperature controlled storage for <30mins can be returned to blood bank. Once RBC out of tempeature controlled storage for 30mins, transfusion of the unit must be completed within 4hrs and NO LONGER than 4.5hrs. Blood components must be transfused using a set that has a standard filter to remove clots and small clumps of debris. Recommended filter pore size is 170-200micron. https://anzsbt.org.au/wp-content/uploads/2018/06/ANZSBT_Guidelines_Administration_Blood_Products_3rdEd_Jan_2018.pdf"
1096
21.1 The abnormality shown in this image is LEAST likely to be caused by an injury to the (image of a patient’s back shown) Supraclavular nerve = sensory only OR suprascpular nerve = also wont cause winging Dorsal scapular nerve = cause Long thoracic nerve = cause Accessory nerve = cause
supraclavicular or suprascap Intrinsic muscles = rotator cuff muscles - supraspinatus, infraspinatus, subscapularis, teres minor Innervated by suprascapula, subscapular and axillary nerves (Branches off C5/C6/C7) Stabilisation scapula and rotational movements - levator sacpuale, trapezius, rhomboid, serratus anterior Innervation - axillary, spinal accessory (inn trapezius), dorsal scapula (inn rhomboid and levator scap), long thoracic (inn. serratus) Damge = winged scapula "
1097
21.1 When commencing treatment of proximal deep vein thrombosis or pulmonary embolus, factor Xa inhibitors (apixaban, rivaroxaban) are preferred to dabigatran or warfarin because they do not require a. No need to dose reduce in pregnancy b. No need to dose reduce in renal failure (yes needed) c. No need to bridge (all of them don’t bridge except consider warfarin) d. No need for monitoring e. once daily dosing
c Rivaroxaban or apixaban are generally favoured over dabigatran or warfarin as they do not require a period of parenteral anticoagulation or routine laboratory monitoring. EXCEPT - if active cancer or pregnancy - LMWH - CKD 4 or 5, extreme body weight (/=120) or antiphospholipid syndrome - LMWH followed by warfarin Initial dose rivaroxaban 15mg BD for 21 days. Maintenaince 20mg OD for up to 6mths Apixaban 10mg BD for 7 days. Maintenaince 5mg BD for up to 6mths Rivaroxaban contraindicated if CrCl <30ml/min and Apixaban CI if CrCl<25ml/min Dabigatran - not on PBS. Also needs parenteral anticoagulant (eg clexane) for the first 5 days before starting dabigatran. Surgically provoked or distal DVT: (low risk recurrence at 12mths) Proximal DVT or PE - at least 3mths anticoag Distal DVT (ie. distal to popliteal vein) - 6weeks to 3mths. If high risk bleeding - surveillance uss x 2 over 2 weeks to monitor extension. If extension - anticoagulate Non surgically provoked (ie travel or COCP) or unprovoked - intermediate risk for recurrence - onggoing low dose apixaban (2.5mg BD) or rivaroxaban (10mg OD) commonly used https://australianprescriber.tg.org.au/articles/venous-thromboembolism-current-management.html"
1098
21.1 A neonate born by emergency caesarean section is limp, pale, has a weak grimace and weak cry, and a heart rate of 60 beats per minute. The Apgar Score is A. 3 B. 4 C. 5 D. 6 E. 7
3 Appearance - pink > peripherial cyanosis > cyanotic Pulse - 100-140 > (<100) > 0 Grimace - cry > grimace > no response Activity - well flexed > some flexion > limp Respiration - strong cry > irregular breathing > apnoea "
1099
21.1 Of the following, the LEAST likely cause of high anion gap metabolic acidosis is a) lactic acidosis b) renal failure c) tuberculosis on isoniazid d) renal tubular acidosis e) salicylate overdose
renal tubular acidosis-> NAGMA
1100
21.1 A patient presents with a serum sodium of 110 mmol/L. A feature NOT consistent with a diagnosis of syndrome of inappropriate antiduretic hormone (SIADH) is a. Urine osmolality <100 b. Euvolemia c. Increased cortisol d. urinary sodium >40
"a. Urine osmol <100 High ADH -> Highly concentrated urine. Cortisol Suppressed ADH release - likely to be low but not necessarily BJA education: Criteria for diagnosing SIADH include: clinical euvolaemia, serum osmolality <275 mOsm/kg urine osmolality >100 mOsm/kg urinary Na >30 mmol/litre normal thyroid/adrenal function, no use of diuretics within a week of testing"
1101
21.1 A patient with C6 tetraplegia is undergoing removal of bladder stones under general anaesthesia. The blood pressure rises to 166/88 mmHg. The appropriate response is to a. Clonidine b. Hydralazine c. Decompress the bladder d. Fentanyl e. Deepen your anaesthetic
"a) empty bladder - suspect autonomic dysreflexia Treatment 1. Declare emergency and make surgical team aware of issues * Sit patient up if possible to reduce pressure to the head 2. Remove stimulus * Stop surgical insult * Check catheter is draining unblocked * May be able to check for constipation but less likely to be possible while on operating table mid surgery * Remove tight clothing 3. Drugs * Vasodilators ○ GTN bolus and subsequent infusion ○ Hydralazine ○ Mg, phentolamine, clonidine * Be careful with betablockers as may cause heart failure due to very high SVR and addition of betablocker may cause loss of contractility * Analgesia (opioids etc.) to reduce afferent nociceptive stimulation * Treat any arrythmias that may occur 4. Prevention of this by spinal anaesthesia * This can be done pre-op and prevents transmission of afferents which cannot then go on to cause ↑SNS outflow Not a treatment as such, more preventative in patients who are high risk"
1102
21.1 A 26-year-old man is brought into the Emergency Department four hours after an accidental chemical exposure during crop spraying. His clinical signs include bradycardia, vomiting, diarrhoea, coughing, miosis and weakness. A drug which is NOT recommended during his resuscitation and treatment is a. Pralidoxime b. Glycopyrrolate c. Benzodiazepine d. Suxamethonium e. Rocuronium
"c. Sux - degraded by plasma cholineserase -- may result in prolonged paralysis Likely organophosphate poisoning. Covalent bonding with inactvation of acetylcholinesterase - cholinergic crisis - Long duration of effect + worsening side effects SLUDGE BBB - salivation, lacrimation, urination, diarrhoea, gastric emesis, bronchorroea, bronchospasm, bradycardia Nicotinic effects --> muscle fasiculations, weakness, parlysis --? similar to depolarising effects of sux Tx - atropine (20mcg/kg boluses) + pralidoxime (30mg IV than 8mg/kg/hr) (treats nicotinic effects) BZD for seizures activated charcoal if within 2hrs https://litfl.com/organophosphate-poisoning/"
1103
21.1 A 30-year-old previously healthy woman is four days post-caesarean section. You are asked to see her to manage her abdominal pain. Over the last two days she has had increasing abdominal pain, increasing abdominal distension, tachycardia and nausea. An abdominal x-ray shows a caecal diameter of 9 cm. After excluding mechanical obstruction, an appropriate management option is a) neostigmine infusion b) morphine PCA c) Naloxone d) Lactulose
"c) neostigmine or fluid Ogilvie syndrome - colonic pseudo-obstruction '3 , 6, 9 ' rule 10% related to O&G cases small bowel >/=3cm, large bowel >/=6cm, caecum >/=9cm caecum >/= 9cm -- ^ risk of perforation tx - first line (if <12cm) - correction of serum electrlytes, fluid resuscitation, avoid/minimize narcotics, avoid anticholinergic, trat infection if present, ambulation, bowel rest, alternating position to promote GI motility, decompression with NG or rectal tube. Avoid osmotic or stimulant laxatives -- can worsen dilation IF not resolved with above - neostigmine is indcated https://www.uptodate.com/contents/approach-to-acute-abdominal-pelvic-pain-in-pregnant-and-postpartum-patients?search=ogilvie&source=search_result&selectedTitle=2~50&usage_type=default&display_rank=2#H39 https://fascrs.org/getattachment/Healthcare-Providers/Education/Clinical-Practice-Guidelines/2021-Colonic-Volvulus-CPG.pdf?lang=en-US"
1104
21.1 The following ECG is consistent with
1105
21.1 A 40-year-old man suffers a hydrofluoric acid burn to 60% of his total body surface area in an industrial accident. An expected electrolyte disturbance is: a. Hypocalcemia b. Hyponatremia c. Hypophosphatemia d. Hypomagnesemia
"hypocalcaemia hypocalcaemia --> tetany hypomagnaesaemia --> QT prolongation HYPERkalaemia acidosis ALL can lead to life threatening arrythmia HF - F- bind directly with calcium and magnesium and disrupts potassium channels --> cell dysfunction and death Tx - ALS. I+V. Cacium Chloride 10% 20mL repeat every 5mins until calcium >1mmol/L Sodium bicarb 100mmol Mag 10mmol https://litfl.com/hydrofluric-acid/ "
1106
21.1 The lung ultrasound finding most consistent with atelectasis is three or more A. B lines B. A lines C. Comet tails D. Z lines E. Lung Pulse
B lines (AKA comet tails) - a lines and z lines both normal - pulse is movement of pleura with cardiac pulsation - also normal A-lines - horizontal lines below the pleura with the same spacing as the distance between the probe and the pleura - indicates air - so it is seen in NORMAL lung and PTX B-lines - (aka comet tails) - artifacts generated by juxtaposition of alveolar air and septal thickening (from fluid or fibrosis) – up to 2 between ribs is normal – 3+ pathological - any disease affecting interstitium - pulmonary oedema (cardiac or ARDS) – B lines occur with interstitial oedema (before alveolar oedema) Atelectasis and consolidation difficult to differentiate on USS – see bronchograms - air bronchograms are white and fluid brochograms are black - atelectasis - no or static air borchograms - large consolidation - appears like liver Z-lines - artifact - looks like b lines but are ill-defined https://www.pocus101.com/lung-ultrasound-made-easy-step-by-step-guide/#Consolidations https://academic.oup.com/bjaed/article/16/2/39/2897763 "
1107
21.1 If group A RhD negative fresh frozen plasma is not available for use in an A RhD positive patient, of the following your next best choice should be a. A + b. B+ c. B-. d. O+ e. O-
"a) A group (or AB) - has no plasma antibodies Plasma compatibility - should be combatible with ABO group of recipient to prevent haemolytic reaction. ANY RhD subtype can be given Pt group: A --> compatible with A, AB plasma B --> compatible with B, AB plasma AB --> compatible with AB plasma O --> compatible with all "
1108
21.1 Perioperative overheating is most likely to cause worsening of symptoms of a) Duchenne Muscular dystrophy b) Myasthenia gravis c) Multiple sclerosis d) Myotonica dystrophia e) Eaton Lambert syndrome
"c) multiple sclerosis - temperature monitoring important. Pyrexia to be avoided and treated aggressively. - demyelinated axons more sensitvie to heat - hypothermia may dlay recovery from anaesthesia OXFORD handbook pg 248"s NB overheating can precipitate myasthenic crisis also
1109
21.1 A transhiatal oesophagectomy is performed via a a) laparotomy + right thoracotomy b) laparotomy + left neck incision c) laparotomy + left neck incision + Right thoractomy d) Laparotomy + left thoractomy
"c) Transhiatal - laparotomy + neck (L) incision Ivor lewis – laparotomy + R thoracotomy McKeown/ tri-incision - laparotomy + R thoracotomy + L cervica Transdiaphgramatic - thoracolaparotomy - incision from thoracotomy site to umbilicus https://academic.oup.com/bjaed/article/17/2/68/2907833l"
1110
21.1 A 69-year-old woman has a recent onset of dyspnoea and undergoes a right heart catheterisation, with results displayed below. Her pulmonary capillary wedge pressure is 10 mmHg. The most likely 21.1 diagnosis is a. Mitral stenosis b. Mitral regurg c. Emphysema d. Pulmonary embolus e. Aortic stenosis
"normal PCWP 4-12mmHg. need other values. Likely either COPD or PE acute suggests PE "
1111
21.1 The modified Aldrete scoring system uses all of the following EXCEPT a) BP b) Pain score c) Resp rate d) sedation level
"e) pain Aldreate scoring system used for PACU discharge criteria - activity, respiration, circulation, consciousness, colour (O2 sat) (Score >= 9 for discharge A- SpO2 > 92% on RA (2pts) B - deep breath/cough (2pts) C - BP within 20% baseline (2pts) D - conscious and fully alert (2pts) move 4 limbs (2pts) "
1112
21.1 A woman with preeclampsia presents with a blood pressure of 150/100 mmHg. An appropriate first line treatment to reduce the blood pressure is a. Labetalol b. Nifedipine c. Magnesium
"1st line - labetolol 2nd line - nifedipine 3rd line - methyldopa NICE guideline if severe sBP>160 - than nifedipine QLD guideline says follow local prefernce/protocol https://www.health.qld.gov.au/__data/assets/pdf_file/0034/139948/g-hdp.pdf?back=%2Fsearch%3Fkeywords%3Dpre%2Beclampsia%2C%2C%2Fcondition%2Fhypertensive-emergency%3Fsearch%3Dpre%2Beclampsia%23view%2F728%2F1410"
1113
21.1 The ANZCA Choosing Wisely recommendations advise avoiding all of the following EXCEPT a) Doing an epidural on a patient who is labouring normally with a normal pregnancy and no comorbidities b) Not giving blood transfusion on a healthy 20yo male with Hb > 70g/L, except when severe and symptomatic c) Not giving an anaesthetic to a high risk patient with severe comorbidities without risk stratifying them and taking an anaesthetic history and assessment d) Avoid routinely performing preoperative blood investigations, chest X-ray or spirometry prior to surgery, but instead order in response to patient factors, symptoms and signs, disease, or planned surgery. e) Avoid ordering cardiac stress testing for asymptomatic patients prior to undergoing low to intermediate risk non-cardiac surgery.
doing an epidural on a patient who is labouring with normal pregnancy and no comorbidities 1. Avoid routinely performing preoperative blood investigations, chest X-ray or spirometry prior to surgery, but instead order in response to patient factors, symptoms and signs, disease, or planned surgery. 2. Avoid ordering cardiac stress testing for asymptomatic patients prior to undergoing low to intermediate risk non-cardiac surgery. 3. Avoid administering packed red blood cells (blood transfusion) to a young healthy patient with a haemoglobin of ≥70g/L who does not have on-going blood loss, unless the patient is symptomatic or hemodynamically unstable. 4. Avoid initiating anaesthesia for patients with limited life expectancy, at high risk of death or severely impaired functional recovery, without discussing expected outcomes and goals of care. 5. Avoid initiating anaesthesia for patients with significant co-morbidities without adequate, timely preoperative assessment and postoperative facilities to meet their needs. 6. Avoid routine prescription of SR opioids for acute pain unless demonstrated need, close follow up & cessation plan. https://www.choosingwisely.org.au/recommendations/anzca
1114
21.1 A 55-year-old man with no past history of ischaemic heart disease is three days post-total hip replacement surgery. He has an episode of chest pain characteristic of angina which began at rest and lasted thirty minutes before resolving fully. There are no ECG changes. Six hours later there is a troponin rise above the 99th percentile upper reference limit. The diagnosis is a. No diagnosis made b. Unstable angina c. STEMI d. NSTEMI e. MINS
NSTEMI MINS includes myocardial infarction and ischemic myocardial injury that do not fulfill the Universal Definition of Myocardial Infarction (myocardial injury with a rise or fall of cTn above the 99th percentile of the upper reference limit and at least 1 of the following: ischemic symptoms, new ischemic electrocardiographic changes, development of new pathological Q waves on ECG, imaging evidence of myocardial ischemia, or angiographic or autopsy evidence of coronary thrombus). https://www.ahajournals.org/doi/10.1161/CIR.0000000000001024 This history meets the diagnosis of type 1 MI and given there are no ST changes is a NSTEMI. https://www.ahajournals.org/doi/10.1161/CIR.0000000000000617 If the patient had a supply/demand mismatch it would be a type 2 MI and be a type 2 NSTEMI
1115
21.1 Consideration for same-day discharge in an ex-premature infant after orchidopexy for undescended testis would be suitable at a minimum postmenstrual age of
"d) 54weeks PMA well children ASA 1 or 2 Term infants >46weeks PMA (so 6 weeks old) Ex Preterm infants >54weeks PMA (they are more at risk of post-op apnoea) When discharged should travel home by car with 2 adults (1 to drive and 1 to watch the child) https://www.anzca.edu.au/getattachment/568bad2d-7517-4eea-9c5d-cb7aa1c60c01/PG29(A)-Guideline-for-the-provision-of-anaesthesia-care-to-children-(PS29)"
1116
21.1 The implemention of comprehensive multidisciplinary geriatric assessments in the peri-operative period has been shown to "a) Reduce mortality b) Reduce AKI c) Reduce periop risk of MACE d) Reduce length of stay e) Increase cancellation for surgery "
who bloody knows recent Meta analysis shows that delerium may be reduced https://journals.plos.org/plosone/article?id=10.1371%2Fjournal.pone.0306308#abstract0 recent systematic review with cochrane 2022: no effect on mortality or LOS, might stop unplanned hospital readmission https://www.cochranelibrary.com/cdsr/doi/10.1002/14651858.CD012705.pub2/full from 2021: probably reduces LOS and mortality https://www.bjaed.org/article/S2058-5349(21)00034-2/fulltext cochrane review from 2018: no evidence of mortality benefit, might influence LOS https://www.cochrane.org/evidence/CD006211_comprehensive-geriatric-assessment-older-adults-admitted-hospital
1117
21.1 The advantage of the Mapleson E circuit in paediatric anaesthesia is due to its A. Can use low gas flows B. Feel compliance C. Assess tidal volume D. Can rapidly change levels of CPAP E. Low resistance
"Maple E Pros: low resistance, valveless, low dead space, light weight, compact, easy to transport/clean/sterilise Cons: require 2-3MV to prevent rebreathe, no bag – no tactile feedback or ability to ventilate or provide CPAP, difficult to scavenge, inefficient"
1118
21.1 A 30-year-old woman, gravida 2, parity 1, undergoes an elective lower segment caesarean section for breech presentation. The international consensus statement on the use of uterotonic agents recommends that the first line uterotonic management is a) 1unit b) 1 unit followed by infusion 2.5-7.5 Units/hr c) 3 units d) 3 units followed by infusion
Bolus 1 IU oxytocin; start oxytocin infusion at 2.5–7.5IU.h1(0.04–0.125 IU.min1) EmLSCS; 3 IU oxytocinover≥30 s; start oxytocininfusion at 7.5–15 IU.h1(0.125–0.25 IU.min1).
1119
21.1 An 84-year-old woman with dementia presents for surgery for a breast lump. She lives in a care facility and is accompanied by the nurse manager from the facility and her son. Neither have a written legal authority to act on her behalf. Regarding consent for her surgery "a) Nurse manager can consent on her behalf b) Son can consent on her behalf c) Nurse manager and son must be in agreeance to consent on her behalf d) If two doctors are in agreeance, they can consent on her behalf. e) Proceed to surgery as it is in the patient's best interests, if the doctor believes that it would have been the patient’s choice had they been competent to do so. "
"a) son The medical treatment decision maker is the first person in the list below who is reasonably available, and willing and able to make the decision: 1) a medical treatment decision maker appointed by the patient 2) a guardian appointed by VCAT to make decisions about medical treatment 3)the first person in the list below who is in a close and continuing relationship with the patient: - the patient's spouse or domestic partner - the patient's primary carer (not a paid service provider) - an adult child of the patient - a parent of the patient - an adult sibling. If there are two or more relatives who are first on this list, it is the eldest person. https://www.publicadvocate.vic.gov.au/your-rights/your-healthcare/appointing-a-medical-treatment-decision-maker "
1120
21.1 The apical four–chamber view of a transthoracic echocardiogram below shows
1121
21.1 A man who had successful treatment of a germ cell tumour 10 years ago presents for laparoscopic appendectomy. Your intraoperative management should consider "a) ETCO2 45 b) RR 20 c) MAP 90 d) SpO2 88–92%"
"Bleomycin - oxygen toxicity -lifelone risk of bleomycin induced lung injury from oxygen - aim O2sats 88-92% if hypoxic - pulmonary fibrosis in lower lobes "
1122
21.1 A 100 kg 32-year-old male presents two hours after suffering a 30% total body surface area electrical burn. He has had no resuscitation fluids. The infusion rate of isotonic crystalloid resuscitation fluid required for this man for the next six hours is a. 500 ml/hr b. 750 ml/hr c. 1000 ml/hr d. 1200 ml/hr
NSW course - give 4ml/kg for electrical burns "Parkland = 4 x TBSA% x weight = 400 x 30 = 12 000mL 50% in first 8hrs so 6L in 6hrs so 1000mL /hr " https://www.vicburns.org.au/severe-burns/early-management-of-severe-burns/fluid-resuscitation/
1123
21.1 Intraoperative lung protective ventilation strategies include all of the following EXCEPT A. Vt 6-8ml/kg B. Patient titrated PEEP C. Recruitment manourve D. I:E ratio 1:3
"d - IE ratios - no evidence Consensus recommendations 2019 : - Vt 6-8ml/kg IBW - PEEP at least 5cmH20 and individualised - 30deg headup if possible - FiO2 lowest possible (aim SpO2 >94%) - alveolar recruitment manouvres beneficial - machine better than bag - minimise PEEP lost between transitioning - lowest effective pressure for shortest effective time Hyperoxia - ^ oxidateive stress, peripheral and coronary vascular vasoconstrictuion, decrease CO, ^ resoption atelectasis, ^postop pulmonary complications, masking effect of O2 therapy --> delayed diagnosis of gas-exchange impairment. https://www.bjanaesthesia.org/article/S0007-0912(19)30647-6/fulltext"
1124
21.1 An ECG abnormality which is NOT usually associated with severe anorexia nervosa is a) QT prolongation b) TWI c) ST depression d) prolonged PR interval e) tachycardia
"a - resting tachycarida They are usually bradycardic CVS: hypotension, bradycardia, MV prolapse, impaired myocardial contractility, cardiomyopathy, ^ arrythmia (AV block. ST depression, TWI, QT prolongation) Resp: metabolic alkalosis, decreased lung compliance, aspiration pneumonia, PTX, pneumomediastinum Renal: proteinuria, reduced GFR, hypo - all electrolytes and renal stones GI: dental caries, periodontis, mallory-weiss tears, oesophgeal stricture, gastritis, delayed gastric emptying, risk of refeeding, fatty liver, hepatomegaly, cirrhosis, ^amylase, abnormal LFT, enlarged salivary gland Endocrine: delayed onset puberty, ^ cortisol/ GH, decreased glucose/insulin, impaired thermoregulation Immune: leucopenia, thrombocytopenia, haemolytic anaemia, poor wound healing Haem: bone marrow hypoplasia Neuro: decreased cognitive function, coma EEG abnromalities, seizures, neuropathy, ^pain threshold MSK: myalgia, myopathy, rhabdo, osteopenia, stress fracture https://academic.oup.com/bjaed/article/9/2/61/299563"
1125
21.1 Of the following, the lifestyle modification that is least effective in reducing essential hypertension is a. Stopping caffeine b. Low sodium diet c. Low potassium diet d. Exercise
"a) low K diet High K diet, etoh reduction, exercise, low Na diet, smoking cessation https://www.nps.org.au/australian-prescriber/articles/lifestyle-management-of-hypertension:"
1126
21.1 A 25-year-old man suffers a 30% total body surface area burn. A cardiovascular physiological change expected within the first 24 hours is a. Decreased PVR b. Increased SVR c. Decreased SVR d. Reduced PA pressure e. Increased hepatic blood flow
"b) increased SVR Early CVS changs (max at 24hrs bost burns) - mimics hypovolamic shock - intravascular volume depletion, ^ SVR (by up to 200%), CO halved, ^ciruclationg vasopression - decreased oxygen delivery, ^ PVR - ^ Hct Late CVS changes (hyperdynamic circulation 2-5days post burn) - driven by catecholamine surge - ^ CO proportional to size of burn (part of hypermetabolic response, most commonly seen in patients with>40% burn) - ^HR, decreased SVR http://khcanaesthesia.com/onewebmedia/peri%20operative%20Mx%20BURNS.pdf "
1127
21.1 Hepcidin production is inhibited in response to a. Anaemia b. Inflammation c. Acute leukemia d. Infection e. Excess iron stores
"d) anaemia Hepcidin - peptide hormone produced in liver. degrades transport protein for iron. Hepcidin REDUCES oral absorption of iron and INHIBIT iron release from cellular storage. Decreases when anaemic - want to absorb more iron. Increased in infection and inflammation (hepcidin is an acute phase reactant --> ^ hepcidin --> decreased transport of iron out of cells --> decrease in serum iron), anaemia of chronic disease cancer deficiency in hepcidin production --> iron overload (hereditary haemachromatosis) https://www.ncbi.nlm.nih.gov/books/NBK538257/#:~:text=Hepcidin%20is%20a%20peptide%20hormone,and%20the%20electron%20transport%20chain. "
1128
21.1 The function of the bottle labelled 'D' in the diagram below is to protect against the consequences of (diagram of chest drain bottles) a. Suction failure b. Excess positive pressure c. Drain kinking d. Excess negative pressure
bottle A = fluid trap or collection bottle, can be independently emptied and allows accurate record of drainage amount - first tube connecting drain to drainage bottles must be wide to decreased resistance - volume capacity of this tube should exceed ½ of patient’s maximum inspiratory volume (otherwise H2O may enter chest) bottle B = underwater seal drain, maintained at a predetermined level whilst still allowing for drainage of pleural fluid (if bubbling continuously -> bronchopleural fistula) - volume of H2O in bottle B should exceed ½ patient’s maximum inspiratory volume to prevent indrawing of air during inspiration bottle C = manometer or pressure-regulating bottle allows suction to be attached and should bubble continuously - The maximum negative pressure (in cm H2O) generated by suction equals to the distance (in cm) the vent tube is below the water line (this can be adjusted) -The negative pressure generated by the vent tube is independent of the amount of pleural drainage that is collected in the trap bottle - If suction is turned off then tubing must be unplugged -> so air can escape into atmosphere
1129
21.1 The domains described in the Edmonton Frail Scale do NOT include a. Cognition b. Mental illness c. Weight d. Age e. Functional assessment
age Domains: 1. Cognition 2. General health status 3. Functional independance 4. social support 5. Medication use 6. Nutrition 7. Mood ?interpreted as mental illness in stem? 8. Continence 9. Functional performance Scoring 0-5= Not frail 6-7= Vulnerable 8-9= Mild Frailty 10-11= Moderate Frailty 12-17= Severe Frailty
1130
21.1 Unsupported ventilation in a non-anaesthetised patient with long-standing tetraplegia is improved when
"a) supine, trendelenbergy, increased chest wall rgidity all improve ventilation in tetraplegic assume C3-5 injury --> diaphragm and accessory muscles involved --> expiration is difficult --> head down allows passive excursion https://www.bjaed.org/article/S2058-5349(17)30152-X/fulltext"
1131
21.1 21.2 The breast does NOT receive sensory innervation from the a. Long thoracic b. Thoracodorsal c. Anterior intercostals d. Posterior intercostals e. Supraclavicular
b. Thoracodorsal Thoracodorsal nerve (C6-C8) is a branch of the posterior cord of the brachial plexus. Its primary function is motor innervation of the latissimus dorsi muscle. Its blockade is relevant in more extensive breast reconstruction procedures. The Pecs I, Pecs II and Serratus Plane blocks are superficial thoracic wall blocks which through blockade of the 1. Pectoral N. 2. Intercostal N. 3. Thoracodorsal N. 3. Long thoracic N. It can be used to provide analgesia for breast surgery and other procedures/surgery involving the anterior chest wall.
1132
21.1 A respiratory effect of high flow nasal oxygen therapy is A. Reduced RR B. Reduced MV C. Increased work of breathing
"a) reduce RR HFNP - reduce RR, increase end expiratory lung volume, PEEP up to 7cmH2) with closed mouth, reduced airway surface dehydration, decrease atelectasis, improve secretion clearance, CO2 washout, reduction in anatomical dead space https://www.bjaed.org/article/S2058-5349(17)30029-X/fulltext"
1133
21.1 A condition or therapy that is NOT a contraindication to hyperbaric oxygen therapy is A. Bleomycin B. Cisplatin C. Preterm neonate D. Cerebral Abscess
D. Cerebral Abscess HBOT Indications: - air or gas embolism - arterial insufficiencies (central retinal artery occlusion, enhancement of healing in wound problems) - Carbon monoxide poisoning - Clostridium myonecrosis (gas gangrene) - Compromised grafts and flaps - Acute traumatic ischaemia - Decompression sickness - Delayed radiation injuries - Sudden sensorineural hearing loss - Intracranial abscess - Necrotising soft tissue infections - Refractory osteomyelitis - Severe Anaemia - Thermal burns Absolute Contraindications to HBOT: - untreated PTx - Premature Infants - Bleomycin - Disulfiram (antabuse) - Cisplatin Relative contraindications: - Pregnancy - Asthma - Thoracic Surgery - Emphysema with CO2 retention - upper respiratory tract infections - History of middle ear surgery or disorder - History of seizures - Fevers - Congenital spherocytosis - Optic neuritis
1134
21.1 In patients without other co-morbidities, bariatric weight loss surgery is indicated when the body mass index (kg/m2) is greater than
" 35 according to new guideline (ANZMOSS 2022) (MBS is recommended for individuals with BMI >35 kg/m2, regardless of presence, absence, or severity of comorbidities and for patients with type 2 diabetes and BMI>30 kg/m2.) https://anzmoss.com.au/ifso-guidelines/ Diabetes Aus guideline 2011 or BMI >35 with co-morbidities secondary to obesity (ie. Poorly controlled diabetes despite lifestyle and optimal medical therapy) BMI 30-35 - can consider bariatric surgery if uncontrolled hyperglycaemia despite optimal medical therapy https://www.diabetesaustralia.com.au/wp-content/uploads/Position-statement-Bariatric-Surgery.pdf "
1135
21.1 The image below shows a normal central venous pressure (CVP) trace on the left. The CVP trace shown on the right is most consistent with a. Tricuspid regurg b. Mitral stenosis c. Mitral regurg d. Pericarditis e. Tamponade
a. Tricuspid regurg Regurgitant CV waves: tricuspid regurgitation In tricuspid regurgitation, the backflow of blood out of the right ventricle obliterates the normal x descent. The c wave becomes accentuated and fuses with the v wave, as both are the results of right ventricular contraction (and the v wave peak pressure is often the same as the right ventricular peak systolic pressure). the reality is that they usually fuse completely to produce huge mutant waves, as seen here: -------------------------------------- "cardiac tamponade - sawtooth W or M pattern with all pressures raised (can't pump out blood so all pressures elevated) - pulsus parodoxus (>10mmHg fall in sBP with inspiration) - tachycardia - low QRS voltage trace - electrical alternans (alternating high and low QRS complexes) - associated with large pericardial effusion to the extent that the pericardial effusion is associated with tamponade https://derangedphysiology.com/main/required-reading/cardiac-arrest-and-resuscitation/Chapter%20221/cardiac-tamponade Other abnormal CVP trace: AF - loss of a waves (a wave = atrial contraction) Retrograde conduction of ventricular deplarisation (VT, junctional rhythm, ventricular pacing)/ Asynchronous atrial activity (reversal of atrial and ventricular pacing wires, complete heart block) - cannon a waves (fusion of a and c waves) - due to atrial contraction ocurring at the same time as ventricular contraction (so atrium contracting against closed TV with force of this contraction being reflected off the valve --> cannon a wave) TR - fused c and v waves - c wave due to tricuspid cusp protruding into RA. with regurg - loss of x decent due to backflow of blood Tricuspid stenosis / PS / Pulmonary HTN or reduced RV compliance (pericardial disease) - prominent a wave (contraction) Pericardial constriction - bifid CVP waveform (steep and aburpt x and y descent), raised CVP. -- different from cardiac tamponade because y-descent usually prolonged https://derangedphysiology.com/main/cicm-primary-exam/required-reading/cardiovascular-system/Chapter%20784/abnormal-central-venous-pressure-waveform-patterns "
1136
21.1 Of the following, the device that delivers the greatest flow when using 'Level 1® Fast Flow Fluid Warmer' rapid fluid infuser system is a (list of intravascular catheters) a. 6.5 Fr sheath b. 8.5 Fr Multilumen line c. 8.5 Fr Swan Ganz Sheath d. Multilumen something 14G cannula (50mm?) e. Peripheral RICC line, 8.5 Fr
e. Peripheral RICC line, 8.5 Fr RICC > 14g cannula > MLC > Swan sheath > 14G cannula with large volume extension > 16g cannula > 18g cannula > 14g cannula with bung > central line so if want quick infusion, don't use central line and don't put on bung"
1137
21.1 The most reliable clinical indicator of opioid-induced ventilatory impairment (OIVI) is decreased a) resp rate b) conscious state c) BP d) heart rate
b) conscious state No mention of BP or HR in ANZCA OIVI monitoring document In many published reports of patient deaths resulting from OIVI, undue reliance has been placed on respiratory rate as a unidimensional measure of OIVI, either without formal assessment of patient sedation, or without recognising the significance of excessive sedation Respiratory rate and oxygen saturation levels are not direct measures of adequacy of ventilation. Sedation scores should be assessed repeatedly at intervals that are appropriate to the route of opioid administration Continuous measurement of a patient’s carbon dioxide concentrations is more likely to identify OIVI than continuous pulse oximetry
1138
21.1 A patient had prolonged surgery with a laryngeal mask airway in situ. The following day he reports a problem with his tongue. You examine him and see the following when he protrudes his tongue (tongue pointing to right) : The most likely cause of the abnormality is a. R hypoglossal nerve injury b. L hypoglossal c. R glossopharyngeal d. L glossopharyngeal
"c) right hypoglossal Deviation to side of LMN lesion as that side has decreased power. Tongue Motor: Vagus (CN10) does palatoglossus; Hypoglossal (CN12) dose all other muscle. Tongue Sensory: Glossopharyngeal (CN9) does taste/sensory posterior 1/3; Lingual (CN5) sensory ant. 2/3; Chordaie tympani (CN7) taste anterior 2/3."
1139
21.1 A 10-year-old boy (weight 30 kg) has a displaced distal forearm fracture that requires manipulation and application of plaster. The volume of 0.5% lidocaine (lignocaine) that should be used for intravenous regional anaesthesia (Bier block) is a. 12 ml b. 18ml c. 30 ml d. 42 ml
b. 18ml 3mg/kg max dose as per RCH guidelines 3mg x 30kg = 90mg 90mg/5mg/ml = 18ml or 0.6ml/kg of 0.5% Lignocaine 0.6ml x 30kg = 18ml
1140
21.1 Local anaesthetic systemic toxicity does NOT manifest as "a) hypoxaemia b) severe agitation c) sinus bradycardia d) VF e) seizures"
a) hypoxaemia After LA administration, any abnormal cardiovascular or neurological symptoms and signs, including isolated cardiac arrest, should raise suspicion of LAST Presenting features of LAST vary widely. Cardiovascular collapse may occur without preceding neurological changes. Clinical features of LAST: CNS - 2 stage process of excitatory phase followed by a depressive phase - early signs: 1. perioral tingling 2. tinnitus 3. slurred speech 4. lightheadedness 5. tremor 6. change in mental state: confusion and agitation - excitatory phase culminates in generalised convulsions -Depressive phase: 1. Coma 2. Respiratory depression CVS - 3 phases: - initial phase: Htn and tachycardia - intermediate phase: myocardial depression and hypotension - terminal phase: peripheral vasodialtion severe hypotension arrhythmias: 1. sinus bradycardia 2. conduction blocks 3. VT 4. Asystole
1141
21.1 A patient has bipolar disorder and is on long term lithium therapy. An analgesic which should be avoided is a. Diclofenac b. Tramadol c. Oxycodone d. Methadone
a. Diclofenac LIthium perioperative concerns: - Prolongation of NMB - Reduction in anaesthetic agent requirement - Avoid NSAIDs - No withdrawl symptoms - Discontinue 24hrs before surgery BJA: perioperative advice for psychotropic drugs
1142
21.1 According to the ANZCA 'Guideline on infection control in anaesthesia', skin preparation prior to central neuraxial blockade should be performed using a. 10% Povidine iodine b. 0.5% Chlorhexidine/ETOH c. 5% Chlorhexidine d. 3% chlorhexidine
b. 0.5% Chlorhexidine/ETOH For skin preparation, 0.5 per cent chlorhexidine in alcohol, where available, is recommended for neuraxial techniques although it should be noted that very small quantities of neuraxial chlorhexidine have been implicated in cases of severe neurotoxicity
1143
21.1 The following muscles of the larynx are all innervated by the recurrent laryngeal nerve, EXCEPT a) Posterior Cricoarytenoid b) Lateral Cricoarytenoid c) Interarytenoid d) Thyroarytenoid e) Vocalis f) Cricothyroid
f)Cricothyroid Nerve supply of larynx: 1. Superior laryngeal nerve: - Cricothyroid muscle - sensory supply to the interior of larynx down to vocal cords 2. internal laryngeal nerve - 3. Recurrent laryngeal nervs - motor supply to the intrinsic muscles of the larynx apart from cricothyroid - sensory supply to laryngeal mucosa inferior to the cords Intrinsic muscles of the larynx a) Posterior Cricoarytenoid - abducts the cords, opens the glottis - only muscle to open glottis b) Lateral Cricoarytenoid - adducts the cords and closes the glottis c) Interarytenoid - only unpaired muscle - closes the glottis - continues upwards to form the aryepiglottic muscle which acts as a weak sphincter d) Thyroarytenoid - relaxes vocal cords e) Vocalis -adjusts tension in the cords f) Cricothyroid - only intrinsic muscle that lies outside the cartilagenous framework - only tensor of the vocal cords actions of intrinsic laryngeal muscles 1. Abductor of the cords: posterior cricoarytenoids 2. Adductors of the cords: lateral cricoarytenoids, interarytenoids 3. Sphincter to the vestibule: aryepiglottics, thyroepiglotics 4. Tension regulators of the cords: Cricothyroids (tensors), Thyroarytenoids (relaxors), Vocales (fine adjustment)
1144
21.1 A patient who usually takes oral morphine 50 mg bd develops a bowel obstruction and experiences withdrawal symptoms. They may be described as having "a) Tolerance b) Physical dependence c) Psychological dependence d) Pseudo-addiction e) Addiction"
"b. physical dependance - Presence of withdrawal symptoms. Tolerance - predictable physiological decrease in effect of drug over time (more drug to achieve same effect Abuse - intentional use of opioid for non medical purose, such as euphoria or altering one's state of consciousness Addiction - pattern of continued use with experience of or demonstrated potential for harm. Pain book page 806"
1145
21.1 The risk of major bleeding in patients taking direct oral anticoagulants (DOACs) is NOT significantly increased by commencing administration of a) Atorvastatin b) Amiodarone c) Digoxin d) Diltiazem e) Fluconazole
1st a) atorvastatin 2nd c) Digoxin All of the DOACs are avid substrates for the excretory P-gp system of the gastrointestinal epithelial cells, and drugs that inhibit or induce the P-gp system may affect plasma DOAC levels Dabigatran and edoxaban are substrates for P-glycoprotein (P-gp) Apixaban and rivaroxaban are metabolised by cytochrome P450 enzyme CYP3A4 and are substrates for P-gp There is study evidence that among patients taking DOACs for non-valvular atrial fibrillation, concurrent use of amiodarone, fluconazole, rifampicin, and phenytoin compared with the use of DOACs alone, was associated with increased risk of major bleeding It is unlikely that clinically significant interactions occur between dabigatran and other drugs that are merely substrates for P-gp-mediated excretion. When dabigatran was coadministered with digoxin neither digoxin nor dabigatran plasma levels were significantly altered Rivaroxaban and apixaban are metabolised to an extent of 40–50 % in the liver to variable degrees by CYP3A4 and may interact with drugs that inhibit this enzyme. The metabolism of Apixaban and rivaroxaban can be decreased when combined with Atorvastatin which is also metabolised by CYP3A4
1146
21.1 The most common cause of cor pulmonale is "a) PE b) COPD c) Idiopathic pulmonary fibrosis d) Congenital heart disease e) Left sided heart failure"
Chronic obstructive pulmonary disease (COPD) is the most common cause of cor pulmonale leads to an increase in RV afterload secondary to changes in pulmonary vascular structure and mechanics, and lung hyperinflation. Patients with COPD who subsequently develop RV dysfunction have an increased risk of admission to hospital and mortality
1147
21.1 The management of a patient who has experienced a cardiac arrest within 10 days of cardiac surgery should NOT routinely include "a) lignocaine b) atropine c) adrenaline d) amiodarone e) re-sternotomy"
b) atropine Priority is to correct reversible caues of arrest followed by immediate chest re-opening if these measures fail - stop sedative infusions if on any - VF coomon 25-50% of cases - bleeding and tampoande also common (non shockable rhythm usually) CALS (cardiac ALS) 1) Ax rhythm 2) Start BLS 3) emergency re-sternotomy (should happen within 5mins to facilitate interncal cardiac massage or defib at 20J) - VF/VT - DC shock - 3 attempts 150J --> amiodarone 300mg --> continue CPR with single DC shock every 2mins until resternotomy - asystole or severe brady - PACE if wires available (DDD 80bpm, max stimulation threshold) --> external pacing if no wires --> CPR until resternotomy - PEA - if paced, turn off pacing to identify underlying rhythm ---> if VF follow VF path otherwise contiue CPR until resternotomy * ATROPINE not recommended ** Adrenaline to be given by senior clinician in small doses (apparently this is going to be someone like us eventually) https://www.bjaed.org/action/showPdf?pii=S2058-5349%2817%2930182-8
1148
21.1 A third heart sound at the apex may be heard with a) pulmonary stenosis b) pulmonary hypertension c) pericarditis d) pregnancy
d) pregnancy A third heart sound reflects rapid left ventricular distention along with an increased atrioventricular flow Heard in Congestive heart failure Associated with Dilated Cardiomyopathy with dilated ventricles Less commonly valvular regurgitation and left to right shunts May be normal physiological finding in patients less than 40yrs old
1149
21.1 A patient presents for endovascular clot retrieval after experiencing a right hemisensory loss and right homonymous hemianopia. The vessel most likely occluded is the left a) MCA b) ACA c) PCA d) AICA e) PICA
"c) PCA left 70% of stroke in anterior circulation (MCA (90%) > ICA, ACA) PCA stroke - occipital lobe - contralateral homonymous hemianopia , cortical blindness (if bilateral lesions) - medial temporal lobe - deficits in memory, behaviour alteration - thalamic infarct - contralateral sensory loss, aphasia (if dominant side involved), executive dysfunction, memory impairment, decreaed LOC ---- PRESERVED MOTOR ACA stroke - contalateral leg weakness (>arm weakness) and executive dysfunction MCA stroke - contralateral hemiparesis (variable involvement of face/UL/LL) and sensory loss in pattern similar to motor deficit - contralateral homonymous hemianopia - dysarthria - aphasia, aflexia, agraphia, aclaculia, apraxia (if dominant side) - neglet if not dominant side IN SUMMARY - if sensory loss and homonymous hemianopia without motor deficit - PCA https://www.strokenetworkseo.ca/sites/default/files/files/stroke_school_brockville_part_3.pdf"
1150
21.1 A 45-year-old man has the following results on his blood biochemistry testing (Liver function tests shown). The most likely diagnosis is a. Cholecystitis b. Metastatic liver disease c. Hepatitis C d. Chronic liver disease e. Paracetamol toxicity
a. Cholecystitis Example and explanation taken from RACGP: The raised AlP relative to Alt suggests cholestasis and the high GGt confirms liver origin. The mild hyperbilirubinaemia confirms the clinical impression of jaundice. Biliary disease is highly likely with gallstones the most likely differential diagnosis. however, this clinical picture may also occur in drug reactions or infiltrative conditions. After a careful history, abdominal ultrasound is the most appropriate next investigation. ------------------------------------------------------------- Not acute hep C - not significant rise, Not Alcoholic Liver disease - AST not >ALT. Paracetamol OD should mainly affect ALT and coags ALP > 3 x ALT suggest cholestasis picture ^ALT and ^AST suggest hepatocellular injury - >10x upper limit suggest acute severe insult - hepatitis or hypoxia - mildly elevate suggest infection, alcohol, fatty liver or medication AST high - S = shit faced cholestatic picture = ^ GGT and ^ ALP Elevated AST: ALT = 1 --> associated with ischaemia (CCF, ischaemic necrosis, hepatitis) AST: ALT >2.5 --> alcoholic hepatitis, AST: ALT <1 --> high rise in ALT specific for hepatocellular damage - paracetamol OD with hepatocellular necrosis, viral hipatitis, ischaemic necrosis, toxic hepatitis ^ALP - primarily associated with cholestasis and malignant hepatic inflitration (marker of rapid bone turnover and extensive bone mets) ^GGT - sensitive to alcohol ingetsion, marker of hepatocellular damage but non-specific, sharpest rise associated with biliary and hepatic obstruction https://litfl.com/liver-function-tests/ https://www.racgp.org.au/getattachment/36d1c5e0-9c1d-43fc-a8a0-b323e3ed8fbe/Liver-function-tests.aspx"
1151
21.1 In cardiac surgery, volatile-based anaesthesia compared to total intravenous anaesthesia
"a) no difference VA vs TIVA for cardiac surgery NEJM 2019 - multicentre single blinded RCT - specific for elective CABG https://sci-hub.hkvisa.net/10.1056/NEJMoa1816476"
1152
21.1 Suxamethonium may be safely given to patients with a) chronic spinal cord injury b) Hypokalaemic periodic paralysis c) muscular dystrophy d) myasthenia gravis e) multiple sclerosis
d) myasthenia gravis In contrast to other neuromuscular disorders, succinylcholine may be used in myasthenia gravis. The required dose may need to be increased by up to two-fold, as those with the disease show a relative resistance to the drug. Sux is not recommended in patients with neuromuscular disease due to: 1. presence of extrajunctional receptors and risk of hyperkalaemia and rhabodmyolysis 2. fasiculations causing temperomandibular muscle spasm preventing intubation MS - if significant decreased mobility --> hyperK Neuromuscular disease (dystrophies) - increased sensitivity to NDMB. ethonium / volatiles or cholinesterase inhibitors can induce mytonia - can induce MH or anaesthsia induced rhabdomyoliysis --> hyperkalaemia --> cardiac arrest GBS - also contraindicated as can cause hyperK HypoPP - sux / anticholinesterases and K causes severe muscle stiffnesss "
1153
21.1 A patient has numbness and weakness in her hand postoperatively. You are trying to distinguish between an ulnar nerve lesion and a C8-T1 radiculopathy. You can diagnose a C8-T1 radiculopathy if she has weakness a) Thumb adduction b) Thumb abduction c) Fingers adduction d) Fingers Abduction e) Little finger flexion or A. Paraethesia of the 5th digit B. Paraesthesia over index finger C. Flexor carpi ulnaris function D. Paraesthesia/sensory loss over medial forearm E. Adductor pollicis function
b) Thumb abduction (flexor pollicis brevis) D. Paraesthesia/sensory loss over medial forearm (medial antebrachial cutaneous) Severing Ulnar nerve alone results in numbness of the 4th (ring) and 5th (little) fingers alone C8 and T1 supply the medial antebrachial cutaneous nerve Muscles weak in C8-T1 radiculopathy but intact in ulnar neuropathy 1. flexor pollicis brevis 2. abductor pollicis brevis 3. opponens pollicis 4. lateral lumbricals AbOF the Law may be useful—the abductor (Ab) and flexor (F) pollicis brevis, opponens pollicis (O), and lateral lumbricals (Law) are “above the law” that intrinsic hand muscles are ulnar-innervated
1154
21.1 The recommended cleaning protocol for a laryngoscope handle which has been used but which has no visible soiling is "a) Cleaning only b) Sterilisation only c) Disinfection only d) Cleaning and sterilisation e) Cleaning and disinfection"
PG 28 4.2.2.2 Laryngoscopes Reusable laryngoscope blades are considered semi-critical medical devices owing to their contact with the mucous membranes of the oropharynx and require sterilisation or high-level disinfection between uses. Reusable laryngoscope handles are non-critical devices and should be cleaned then undergo low-level disinfection, as a minimum, following use.
1155
21.1 Considering emergency front-of-neck airway access, the major blood vessel that is most likely to lie anterior to the trachea above the sternal notch is the a) Brachiocephalic artery b) Brachiocephalic Vein c) Superior thyroid artery d) Inferior thyroid artery e) Carotid artery
a) Brachiocephalic artery Major vessels, most commonly the brachiocephalic artery, traverse the anterior tracheal wall in up to 53% patients at the suprasternal notch
1156
21.1 In the treatment of persistent mucosal bleeding in patients with von Willebrand disease type 3,desmopressin (DDAVP) is a) contraindicated due to risk of thrombocytopenia b) indicated if previous response documented c) indicated to improve plt function d) contraindicated as it won’t work
"D Type 1: -Quantitative defect of VWF Type 2: -Qualitative Defect of VWF -Type 2 subclassification depending on plt binding function, F8 binding capcacity, number of high molecular weight VWF multimers Type 3: - complete absence of VWF Treatment: - do not need blood components to control haemorrhage -F8 plasma concentration >100 for major surgery and >50 for minor surgery -DDAVP approved for use in Type 1, no use in type 3, discuss its use with haematology in type 2 due to its variable effect -DDAVP given atleast 90mins before operation -TXA may be useful -VWF/F8 concentrates indicated in severe cases, type 3 and qualitiative defects in VWF -Plt infusions should be considered in persistent bleeding -Cryo has an unpredictable effect, only used if other treatments have failed
1157
21.1 Of the following, the incidence of venous air embolism is considered highest for a) LUSCS b) Prostatectomy c) Coronary artery surgery d) Spinal surgery e) Gastric endoscopy
a) LUSCS Rates of VAE by surgical procedure: LUSCS: 10%-97% Neurosurgery: Posterior Fossa: 76% Cervical Laminectomy: 7-25% Lateral/Prone Neurosurgery: 15-25 % Total Hip Replacement: 30% Lap Cholecystectomy: 69%
1158
21.1 The equipment shown in the picture is a (airway device shown)
Hunsaker Mon-jet ventilation tube for microlarnygeal surgery Description: -Laser-safe -fluoroplastic -self-centring catheter Uses: -subglottic ventilation during microlaryngeal surgery Components: - proximal end for attaching to jet insufflation system -proximal end allows passage of stylet to aid insertion -Side port at proximal end for monitopring airway pressure and ETCO2 -Outer diameter 4.3mm for maintaining good surgical access -Green basket to keep the centre port at its tip away from tracheal mucosa and avoiding potential damage from jet ventilation
1159
21.1 High-risk transthoracic echocardiogram findings associated with aortic dissection include all of the following EXCEPT a) pericardial effusion b) dilated Ao root c) RV dilatation d) RWMA e) AR
EXCEPT C) RV dilation Echo findings in Aortic Dissection: 1. Intimal flap 2. Type A dissection: - Aortic regurgitation -Acute dilation of aortic root -Aortic leaflet prolapse -Dissection flap prolapse -Pre-existing disease -Pericardial Effusion/Tamponade -RWMA 3. Colour flow doppler -identifies true and false lumen -aortic branch occlusion/dissection RWMAs with possible MI, AR due to involvement of the root pericardial effusion/tamponade severe proximal aortic dilatation intimal flap https://academic.oup.com/ehjcimaging/article/10/1/i31/2465433#41562550"
1160
21.1 A 48 year old male is day two post-laparoscopic high anterior resection. He has used 42 mg of intravenous morphine in the past 24 hours. You wish to start him on oral tapentadol immediate release. The most appropriate equianalgesic dosage would be a. 100 QID b. 50 QID c. 150 QID d. 200 QID
A. 100mg QID 42mg IV Morphine = 126mg Oral Morphine 126/8= 15.75 15.75 x 25 = 393.75 (*400mg/day Tapentadol) Oral Tapentadol 25mg = 8mg Oral Morphine Oral Oxycodone 5mg = 8mg Oral Morphine Oral Tramadol 25mg = Oral Morphine 5mg Oral Hydromorphone 4mg = Oral Morphine 20mg S/L Buprenorphine 200mcg = 8mg Oral Morphine IV Oxycodone 5mg = Oral Morphine 15mg IV Morphine 5mg = Oral Morphine 15mg IV Hydromorphone 1mg = Oral Morphine 15mg
1161
21.1 A patient with a purely metabolic acidosis has a serum bicarbonate of 14 mmol/L and a lactate of 3.8 mmol/L. The expected PaCO2 is a. 24 b. 29 c. 35 d. 40
B. 29 PaCO2= 1.5 x 14 + 8 PaCO2= 21 + 8 PaCO2= 29 Winter’s formula: expected PaCO2 = [1.5 x (serum HCO3)] + [8±2] if PaCO2 lower, there is a concomitant primary respiratory alkalosis if PaCO2 higher, there is a concomitant primary respiratory acidosis
1162
21.1 The part of the lung that is typically divided into superior, medial, anterior, lateral and posterior segments is the A. RLL B. Right upper lobe C. L upper lobe D. R middle lobe E. Lingula
RLL 1.Superior (apical bronchus 6) -> most common site for foreign body or secretions to collect if patient laying flat in bed A PA LM Seed Makes Another Little Palm (R Side) ASIA ALPS (L side) "
1163
Which view is not part of extended eFAST scan? a) pericardial b) thoracic c) perisplenic d) perinephric e) perihepatic
d. perinephric cant see the whole kidney https://www.msdmanuals.com/professional/critical-care-medicine/how-to-do-other-emergency-medicine-procedures/how-to-do-e-fast-examination#Step-by-Step-Description-of-Procedure_v52127123
1164
Performing block of median nerve in cubital fossa. Which US probe to use?a) Curvilinear b) Linear probe 8-12 Hz c) Linear probe 5-10 Hz d) Thinner probe
linear probe 8-12Hz https://www.nysora.com/techniques/upper-extremity/ultrasound-guided-wrist-block/
1165
Phaeochromocytoma - which drug to avoid? a) metoclopramide b) phentolamine c) prazosin? d) propofol e) rocuronium
metoclopramide https://www.researchgate.net/profile/Melvin-Leow/publication/221935481_Accidental_Provocation_of_Pheochromocytoma_-_The_Forgotten_Hazard_of_Metoclopramide/links/0fcfd508ada5acf5e7000000/Accidental-Provocation-of-Pheochromocytoma-The-Forgotten-Hazard-of-Metoclopramide.pdf
1166
Intubate with 1mg/kg rocuronium. Surgery ceases. TOF count 0. PTC 2. What dose sugammadex to give? a) 1mg/kg b) 2mg/kg c) 4mg/kg d) 8mg/kg e) 16mg/kg
4mg/kg https://resources.wfsahq.org/wp-content/uploads/332_english.pdf
1167
Opioid induced ventilatory impairment. Which is NOT a RF? a) female b) sleep disordered breathing c) congestive cardiac failure (or some sort) d) opioid naiive e) long acting opioids?
a. female or d. opioid naivity depends what you reaaaadddd ANZCA document The PRODIGY (Prediction of Opioid-induced respiratory Depression in patients monitored by capnoGraphY) trial studied the occurrence of OIRD in postoperative patients on potent opioids. A risk prediction tool was developed that showed that five independent patient-related variables were associated with a high likelihood of OIRD: **age ≥60 yrs, male sex, opioid naivety, sleep disorders and the presence of chronic heart failure.** https://associationofanaesthetists-publications.onlinelibrary.wiley.com/doi/10.1111/anae.15030
1168
Opioid induced ventilatory impairment. Which is NOT a RF? a) female b) sleep disordered breathing c) congestive cardiac failure (or some sort) d) opioid naiive e) long acting opioids?
d. opioid naivity but mixed answers online I would probably go with anzcas answer https://www.anzca.edu.au/getContentAsset/136f5a83-d1d0-4f34-be72-87b62b721d14/80feb437-d24d-46b8-a858-4a2a28b9b970/PS41(G)-Acute-pain-2023.pdf?language=en ANZCA lists female as RF. No mention of opioid naivity in there. pub 2023 The PRODIGY (Prediction of Opioid-induced respiratory Depression in patients monitored by capnoGraphY) trial studied the occurrence of OIRD in postoperative patients on potent opioids. A risk prediction tool was developed that showed that five independent patient-related variables were associated with a high likelihood of OIRD: **age ≥60 yrs, male sex, opioid naivety, sleep disorders and the presence of chronic heart failure.** Pub 2020 https://associationofanaesthetists-publications.onlinelibrary.wiley.com/doi/10.1111/anae.15030
1169
AFE diagnosis made via: a) clinical diagnosis b) cardiac monitoring of some sort c) inflammatory complement system markers d)Imaging of some sort? Think decreased LV function on echo
a) clinical diagnosis or confirmed on autopsy
1170
Quiescent IBD in pt. Which medication will prompt a flare? a) paracetamol b) ibuprofen c) tramadol d) celecoxib
b) ibuprofen "It is estimated that NSAIDs may cause clinical relapse in ∼20% of patients with quiescent inflammatory bowel disease (IBD).32 Coxibs do not appear to be associated with relapse of IBD, but caution should still be exercised." 2023 BJA NSAIDs
1171
Bronchopleural fistula pt in ICU. Which is the recommended ventilation strategy? - 5 Options were 2 of 3 of TV/RR/PEEP (combos of high/low) - Low TV and low rate - high peep and high rate
b) low tv/rate https://litfl.com/bronchopleural-fistula/ strategy: controlled, assist control, intermittent mandatory lowest possible TV lowest possible PEEP short inspiratory time encourage spontaneous breathing
1172
Re: site of CVL, subclavian lines have lowest complication rate of: a) infection b) pneumothorax c) thrombosis d) arterial puncture e) infection and thrombosis
e. Infection and Thrombosis. https://www.ncbi.nlm.nih.gov/books/NBK557798/
1173
What is the ASA status of a pt with a TIA from 2 years ago who has otherwise been well? a) 1 b) 2 c) 3 d) 4 e) 5
c. 3 https://www.asahq.org/standards-and-practice-parameters/statement-on-asa-physical-status-classification-system
1174
In OT, what does the blue electric socket denote? a)connected to backup power supply b) cardiac protected c) equipotential earthed d) connected to uninterrupted power supply e) connected to standard power point/RCD
d. connected to uninterrupted power supply Electrical circuits connected to the UPS are denoted by a dark blue power socket, and are reserved for essential equipment without adequate battery backup. 2015 BJA environmental emergencies
1175
A 64 year old man presenting for elective surgery is on thyroxine 100 mcg daily. His thyroid function tests are: - TSH <0.05 - Both T4 and T3 within normal limits These results are most consistent with: a) Overtreatment b) Subclinical hyperthyroidism c) ?Sick euthyroid d) Multinodular goitre e) Previous hypophyseal resection
"A) overtreatment and subclinical hyperthyroidism - Overtreatment: ↓TSH (-ve feedback), ↑ T4/T3 - Subclinical hypothyroidism: ↑TSH, normal T4/3 (sufficient thyroid hormones, but not enough to keep TSH levels normal) - Sick euthyroid syndrome, aka non-thyroidal illness syndrome: low T3 (MC observed change), normal T4, low-normal TSH (low if ↓production) - Fanconi anaemia: hypothyroidism (↑TSH), ↓T4 - Previous hypophyseal resection (i.e. pituitary): hypopituitarism -> ↓/normal TSH -> ↓T3/T4 (i.e. secondary hypothyroidism)"Subclinical Hyperthyroidism
1176
What is the concern with EMLA use in preterm babies? "a) methaemoglobinaemia b) increased sensitivity due to liver insufficiency c) increased absorption d) decreased neurotoxicity threshold e) decreased cardiotoxicity threshold "
Methaemoglobinaemia https://www.tga.gov.au/news/safety-updates/risk-overdose-infants-when-using-prilocainelidocaine-cream-emla-and-generics
1177
What volume of air is used for the cuff of classic LMA size 4 if the manometer is unavailable? a) 20mL b) 25mL c) 30mL d) 40mL e) 15mL
c. 30mL The manufacturers recommend inflating the laryngeal mask cuff until the intracuff pressure reaches 60 cmH2O or to inflate with the volume of air not exceeding the maximum recommended volume (size 3, 20 ml; size 4, 30 ml) if a manometer is not available https://pmc.ncbi.nlm.nih.gov/articles/PMC7206679/#:~:text=The%20manufacturers%20recommend%20inflating%20the,available%20%5B7%E2%80%9311%5D.
1178
Brachial plexus picture Thie picture was the standard ones in brain scape flash cardsa) Radial b) msc c) axillary
1179
Anterior ischaemic optic neuropathy. What is characteristic? a) visual inattention b) resolves fully within 24-48hrs c) papillary oedema d) Intact pupil reflex e) painful
Papillary Oedema post op ischaemic optic neuropathy - most common cause of POVL after nonocular surgery - ^risk with cardiac, spine, orthopaedic, steep trendelenberg positions - anterior ION - more common with cardiac - posterior ION - more common with prone procedures, steep trendelenberg, cardiac - presents with painless b/l vision loss - risk factors for POVL with spine surgery - male, ^BMI, wilson frame, long duration, ^ blood loss - PION more common however only AION has fundoscopic changes -- AION - fundoscopy - swollen disc - can be uni or bilateral -- AION onset usually immediate after awakening but can also have onset a day or so afterwards - sudden unilateral or bilateral, progressive vision loss Central retinal artery occlusion - most common retinal cause of POVL - usually unilateraly and immediately after awakening from anaesthesia - fundoscopy - ischaemic retina + cherry red spot at macula https://www.uptodate.com/contents/postoperative-visual-loss-after-anesthesia-for-nonocular-surgery#H437018973 "
1180
What is a risk factor for failed epidural blood patch for postdural puncture headache? a) Using loss of resistance to air b) Original dural puncture >5cm c) Injection of epidural blood patch <48hrs after accidental dural puncture d) Sitting up and performing e) volume 20 mL used
c) Injection of epidural blood patch <48hrs after accidental dural puncture Risk factors identified for failure include a history of migraine headache, accidental dural puncture at higher lumbar levels, and injection of epidural blood patch <48 h after accidental dural puncture. BJA 2022 failed epidural
1181
Which nerve innervates lower third molar tooth? a) Mental b) Inferior alveolar c) Lingual d) superior alveolar nerve
Inferior Alveolar
1182
According to Brain Trauma Foundation guidelines, what is the lower limit that adult GCS can be used? a) 2 y/o b) 4 y/o c) 6 y/o d) 8 y/o e) 10 y/o
c. 6yo GCS can be used >5yrs according to this website https://www.glasgowcomascale.org/faq/#:~:text=The%20scale%20can%20be%20applied,responses%20were%20modified%20as%20below. RCH say that you can use the GCS >4 and pGCS <4
1183
Paeds pt with distended abdomen. What is an indication for urgent transfer to theatre? a) Pneumoperitoneum on CXR b) Positive eFAST scan c) Shocked at scene d) Unresponsive to 20mL/kg blood during transfer
a) Pneumoperitoneum on CXR Indications for laparotomy as per RCH - Haemodynamic instability - despite resuscitation. - Transfusion requirements of more than 40 ml / kg during the period of acute resuscitation - All patients with free intraperitoneal air require a laparotomy. (20ml/kg is an MTP) Activation criteria for code crimson : Persistent haemodynamic instability: * following blunt or penetrating trauma * despite standard trauma care * secondary to ongoing haemorrhage * unresponsive to intravenous fluids and/or blood transfusion. Examples of injuries: * Abdominal trauma with **grossly positive E-FAST** * Uncontrolled maxillo-facial haemorrhage * Severe pelvic disruption * Massive haemothorax * Traumatic amputation * Penetrating trauma to chest or abdomen * * Pericardial tamponade on E-FAST * Penetrating neck wounds with hard signs of vascular injury https://aci.health.nsw.gov.au/__data/assets/pdf_file/0003/382917/ACI-ITIM-Trauma-code-crimson-pathway.pdf https://www.starship.org.nz/guidelines/code-crimson/
1184
This type of tracheal tube is best described as a (picture of airway device shown) (repeat of 20.1) a) Mini tracheostomy tube b) South facing RAE c) Laser tube d) Laryngectomy tube
Rusch Larygoflex Reinforced Laryngectomy tube https://www.teleflexarcatalog.com/anesthesia-respiratory/airway/product/121181080-rusch-laryngoflex-laryngectomy-tube
1185
G6PD - what is the risk with giving methylene blue for shock? a) Haemolytic anaemia b) Serotonin syndrome c) Methaemaglobinaemia
MB can precipitate hemolysis in individuals with G6PD deficiency
1186
This Doppler trace obtained by transoesophageal echocardiography of the descending aorta suggests a. Aortic dissection b. Aortic stenosis c. Aortic regurgitation d. Normal flow e. High flow state 23.1 repeata. Aortic dissection b. Aortic stenosis c. Aortic regurgitation d. Normal flow e. High flow state
Aortic regurg Significant holodiastolic reversal in abdominal aorta is also a specific sign of severe AR https://www.bsecho.org/common/Uploaded%20files/Education/Protocols%20and%20guidelines/Assessment%20of%20aortic%20regurgitation.pdf
1187
ECOG surgery - which affects least? a) dexmedetomidine b) ketamine c) nitrous oxide d) sevoflurane e) midazolam
a. dexmed https://www.sciencedirect.com/science/article/pii/S1743919115003684 Activates: thiopental, etomidate, ketamine, sevo, fentanyls Suppresses: benzos, N2O Variable: propofol may suppress or inhibit, morphine/hydromorphone may affect at high doses Dexmed: no evidence of suppression or activation
1188
What is the lowest figure at which pulse pressure variation suggests fluid responsiveness? a) 8% b) 13% c) 5% d) 20%
13% Pulse pressure (difference between systolic and diastolic pressure) is directly proportional to LV stroke volume and inversely related to arterial compliance. The respiratory changes seen in LV stroke volume determine changes in the peripheral pulse pressure during the respiratory cycle Pulse pressure variation (PPV) can be expressed as a percentage using the equation PPV (%) = (PPmax − PPmin)/PPmean. Measurement of PPV can be used to predict preload non-responders in those with a PPV <13%. Also, high baseline PPV values correlate well with subsequent increase in cardiac index. In addition, the decrease in PPV after fluid therapy correlates well with the resulting increase in cardiac index. As PPV is also subject to arterial compliance, in theory patients with reduced arterial compliance (e.g. elderly patients with peripheral vascular disease), there may be a big change in pulse pressure for only a small change in LV stroke volume. BJA
1189
Which heart murmur sound is HOCM?
Same as aortic stenosis: crescendo decrescendo
1190
What is the mechanism of action of octreotide in Upper GI bleeding? a) reduced splanchnic blood flow b) vasoconstriction c) increases platelet aggregation
a. reduced splanchnic blood flow Octreotide acts on splanchnic blood flow by causing vasoconstriction via inhibition of nitric oxide synthesis and inhibition of glucagon release, both of which cause splanchnic vasodilation The resulting fall in splanchnic blood flow is felt to be responsible for reducing portal pressures and thereby reducing variceal bleeding as a bridge to more definitive therapy.
1191
In neonatal resuscitation, what inspiratory pressure in H2O is recommended for positive pressure ventilation? a) 20 b) 25 c) 30 d) 15
c. 30 Start at peak inspiratory pressure (PIP) of 30 cm H2O for a term neonate (20-25 cm H2O preterm neonate) and positive end expiratory pressure (PEEP) of 5 cm H2O at 40-60 breaths/minute https://www.seslhd.health.nsw.gov.au/sites/default/files/documents/Neoresusdelivery20.pdf
1192
A patient has numbness and weakness in her hand postoperatively. You are trying to distinguish between an ulnar nerve lesion and a C8-T1 radiculopathy. You can diagnose a C8-T1 radiculopathy if she has weakness a) Thumb adduction b) Thumb abduction c) Fingers adduction d) Fingers Abduction e) Little finger flexion
"b) thumb abduction Ulnar nerve orginate from C8/T1 Median nerve originate C5-T1 Ulnar nerve innervates: (essentially all of pinky and also adduct and flex thumb) hand muscles: ADDuctor pollicis, deep head of flexor pollics, Opponens digiti minimi and abductor digiti minii and flexor digitiminimi, 3rd and 4th lumbricals Median nerve innervates: (all of thumb action except for adduction) hand muscles: 1st and 2nd lumbricals, Oppones pollicis, abductor pollicis, flexor pollicis brevis Radial nerve - extensors of hand "
1193
What is an absolute contraindication to cardiopulmonary exercise testing? a) Unstable angina b) Pulmonary hypertension c) HOCM d) left main disease (untreated,BUT it didnt state "critical"
Unstable angina
1194
The Glasgow Blatchford score is used to risk stratify: Repeat a) Pulmonary haemorrhage b) Traumatic intraperitoneal haemorrhage c) PPH d) SAH e) UGI bleed
Upper GI bleed "Glasgow-Blatchford Bleeding Score (GBS) Stratifies upper GI bleeding patients who are ""low-risk"" and candidates for outpatient management."
1195
The manufacturer’s instructions for use of the i-gel supraglottic airway device recommend a minimum patient weight in kg of a) 1 b) 2 c) 3 d) 5 e) 10
2Kgs Neonate/infant/small paed/larg paed/ small-med-large adult 1: 2-5kg 1.5: 5-12kg 2: 10-25kg 2.5: 25-35kg 3: 30-60kg 4: 50-90kg 5: 90+kg "
1196
Pt with history of syncope. CXR with rectangular device near left nipple a) Implantable loop recorder b) Leadless PPM c) DBS
https://radiopaedia.org/cases/implantable-loop-recorder-device was photo
1197
CXR with what seemed like CRT-D (3 leads). Where is the lead? a) RV b) LV c) RA d) Coronary sinus
Coronary Sinus + RA and RV leads + https://www.bjaed.org/article/S2058-5349%2817%2930025-2/fulltext similar to fig
1198
ANOVA is: a) The validity between an expected and observed outcome in a population b) The difference between the means of more than two populations c) The difference between two populations with non-parametric data d) The degree of similarity of the median between two or more populations e) If the variance within a population is likely to be abnormally or normally distributed
b) Comparison between 2 or more means
1199
What are the components of the MIST handover in trauma represents: a. mechanism, investigations, signs, treatment b.mechanism, injury, signs, treatment c. mechanism, injury, symptoms, treatment d. mechanism, investigations, symptoms, treatment
Mechanism, Injury, Signs, Treatment - investigations/symptoms in there as decoys
1200
Which is NOT a risk factor for emergence agitation in paeds? a) Nitrous oxide b) Male c) Autism spectrum disorder d) Volatile use e) Ages 2-5
2018 BJA emergence delirium lists MALE as RF. I think N2O is answer for what is NOT a risk factor. Child "temperament" is risk factor so ASD likely contributes. occurs in 9-18% paeds - eye and ENT surgery at higher risk - higher incidence in preschool 2-5 years old (male), anxious patients, negative behaviour on induction TIVA better than Sevo in decreasing PoD https://academic.oup.com/bja/article/118/3/335/2999642 2017 review" "A slow washout with nitrous oxide after a sevoflurane anaesthetic has also been shown to decrease EA"
1201
Post femoral block, how long should noninvasive monitoring occur for? a) 10 mins b) 15 mins c) 30 mins d) 60 mins
30min as per PS03
1202
Vitamin C in acute pain. Which is true? a) IV does not work b) PO does not work c) dose dependent relationship d) reduced morphine requirements
d) reduced morphine requirements Vitamin C reduces postoperative opioid requirements (N) (Level I [PRISMA] and postoperative pain compared to placebo (N) (Level IV SR [PRISMA]). APMSE
1203
Lateral calf innervation (calf had nerve distributions). What is the lateral innervation (blue colour in image) a) superficial peroneal b) sural c) lateral plantar d) saphenous nerve e) lateral cutaenous nerve
a) probably sural
1204
25 male with tibial shaft fracture who has pain,weakness dorsiflexion, some other symptoms. Which leg compartment affected by compartment syndrome? a) anterior b) medial c) lateral d) superifical posterior e) deep posterior
a) anterior Anterior compartment - dorsiflexion of foot and ankle Lateral compartment.- plantarflexion and eversion of foot Deep posterior compartment - plantarflexion and inversion of foot Superficial posterior compartment - plantarflexion https://www.orthobullets.com/trauma/1001/leg-compartment-syndrome
1205
What type of variable influences dependent and independent variables? A. Mediator B. Confounder C. Moderator D. Instrumental variable E. Collider
Confounder
1206
What is the minimum battery life of an anaesthetic machine? 5min 10 min 30 min 60min 4hrs
30min
1207
What circuit is this a b c d
C
1208
What is the pin index system of medical air? a) 1-5 b) 2-5 c) 3-5 d) 1-6
1,5
1209
The medication most strongly associated with an acute primary hypotensive reaction following transfusion of blood products is a. Aspirin b. Ibuprofen c. Hydralazine d. Metoprolol e. Perindopril
Perindopril isolated hypotension is rare - most likely due to excess bradykinin, especially when bradykinin metabolism is inhibited (eg. In patients on ACEi) https://www.lifeblood.com.au/health-professionals/clinical-practice/adverse-events/hypotension "
1210
When is the risk of delayed cerebral ischaemia post subarachnoid haemorrhage highest? a) <24hrs b) 1-3 days c) 4-10 days d) >14 days
4-10 days DCI - The occurrence of focal neurological impairment … or a decrease of at least 2 points on the Glasgow Coma Scale … This should last for at least 1 hour, is not apparent immediately after aneurysm occlusion, and cannot be attributed to other causes by means of clinical assessment, CT or MRI scanning of the brain, and appropriate laboratory studies. DCI affects approximately 30% of patients who survive the initial hemorrhage. Prophylactic treatment, such as nimodipine, is typically started at admission and continued for 21 days to cover this high-risk period. cause unknown but vasospasm contributes to
1211
Which intervention has best mortality benefit for subarachonid haemorrhage? a) Clipping <24hrs b) Clipping >24hrs c) Coiling <24hrs d) Coiling >24hrs e) Vasopasm management
https://www.ahajournals.org/doi/10.1161/strokeaha.110.602888 Coil within 24hrs Treatment of ruptured aneurysms within 24 hours is associated with improved clinical outcomes compared with treatment at >24 hours. The benefit is more pronounced for coiling than clipping.
1212
Of the following, the congenital condition LEAST commonly associated with obstructive sleep apnoea in children is a) Prada Willi Syndrome b) Duchenne Muscular dystrophy c) Down Syndrome d) Spina bifida e) Tetralogy of Fallot
e. Tetralogy of fallot Occurs with prada willi, DMD, DS https://pmc.ncbi.nlm.nih.gov/articles/PMC4454627/ and with Spina Bifida https://thorax.bmj.com/content/71/Suppl_3/A184.1
1213
The blood product that contains the highest concentration of citrate is a) Plasma b) RBCs c) Platelets d) Cryoprecipitate e) Fibrinogen concentrate f) FFP was an option?
Plasma https://esmed.org/citrate-toxicity-and-hypocalcemia-in-massive-transfusion/#:~:text=Table_title:%20Citrate%20content%20in%20blood%20products%20Table_content:,%7C%20Estimated%20citrate%20content%20(mmol):%201.49%20%7C Highest content Whole blood > FFP whole blood > Platelets > FFP apapharesis > pRBC apapharesis >cryo > pRBC (whole blood) FFP Plasma products and Platelets have higher Citrate than PRBC (as PRBC recons. In SAGM) When donated, whole blood has CPD added (26g/L citrate), plt apheresis has ACD added (22g/L citrate) and Plasma apheresis has straight citrate at 40g/L added Other numbers have found FFP - 20mmol/L Platelets - 15-20mmol/L Plasma - 13-15mmol/L Red cells 5-7.5mm/L Cryo 13-15mmol/L Fib conc - nil
1214
How soon will an activated charcoal filter reduce an anaesthetic machine to less than 5 parts per million? a) 3 mins b) 5 mins c) 10 mins
For patients requiring immediate surgery (e.g. from major trauma admission to the Emergency Department), any anaesthetic workstation can be prepared within 3 min with the use of ACFs. https://associationofanaesthetists-publications.onlinelibrary.wiley.com/doi/10.1111/anae.14407
1215
Crush injury - expected abnormality early: a) hypokalaemia b) hypocalcaemia c) hypophosphataemia d) metabolic alkalosis e) Hypouricemia
b. hypocalcaemia injured muscle --> rhabdo. Rhabdomyolysis can lead to metabolic acidosis, hyperkalemia, hypocalcemia, and disseminated intravascular coagulation. Myoglobin-induced renal failure can be prevented with intravascular fluid expansion, alkalinization of the urine by intravenous administration of bicarbonate, and osmotic diuresis. (ATLS) Hypocalcaemia. https://www.acep.org/imports/clinical-and-practice-management/resources/ems-and-disaster-preparedness/disaster-preparedness-grant-projects/cdc---blast-injury/cdc-blast-injury-fact-sheets/crush-injury-and-crush-syndrome
1216
When will the SaO2 (of ABG) be higher than SpO2 (from pulse oximeter)? a) Sickle cell b) Methylene blue c) CO poisoning d) anaemia e) Polycythaemia
b) methylene blue
1217
Which nerves does first stage of labour transmit through? a) S2-S4 b) T10-L1 c) L1-L2 d) T12-L3
T10-L1
1218
How long to withhold prophylactic clexane prior to epidural catheter removal according to ASRA a) 1hr b) 4hr c) 6hr d) 12hr e) 24hr
d. 12hr https://rapm.bmj.com/content/early/2025/10/16/rapm-2024-105766
1219
Dialysis best at removing: a) warfarin b) rivaroxaban c) dabigatran d) apixaban e) clopidogrel
Dabigatran (50-60% removed in 4hour run). Others have very high protein binding and difficult to dialyse off.
1220
Pt with known WPW. Develops rapid AF. Haemodynamically stable. What's the safest therapy? a) Digoxin b) Verapamil c) Cardioversion d) Metoprolol
https://litfl.com/wolff-parkinson-white-syndrome-ccc/ Likely electricity Acute unstable -> synchronised DC shock stable -> anti-arrhythmics (prolongation of accessory pathway: sotalol, amiodarone, flecanide, procanamide) drugs that shorten refractory period are contraindicated (digoxin) drugs that increase ventricular rate avoid (verapamil and lignocaine) drugs that have no effect on refractory period of accessory pathway are useless (beta-blockers)
1221
Benzatropine ameliorates the side effects of drugs that antagonise a. Dopamine b) serotonin c) nicotine
Dopamine
1222
Pts on SSRI perioperatively may experience all of these except: a) AFib b) bleeding c) mental status changes d) serotonin syndrome e) ventricular arrhythmias
ventricular arrhythmias according to this meta-analysis https://pmc.ncbi.nlm.nih.gov/articles/PMC8990315/#:~:text=A%20total%20of%203%2C396%20studies,that%20still%20needs%20further%20confirmation.
1223
When compared with nerve stimulator guided brachial plexus block, Ultrasound guided brachial plexus block results in a) less neuropraxia b) less risk of systemic toxicity c) reduced time to motor/sensory onset d) less pt satisfcation?
c) reduced time to motor/sensory onset USS: reduced the proportion of participants who required additional analgesia or anaesthesia when compared with electrical stimulation alone reduced the proportion of patients experiencing pain during needle manipulation reduced the time to the onset of sensory block reduced the proportion of patients with accidental vascular puncture https://associationofanaesthetists-publications.onlinelibrary.wiley.com/doi/10.1111/anae.13098
1224
Pulse pressure variation has reliable utility in which condition: a) thoracotomy b) spontaneously breathing c) pulmonary hypertension d) septic shock e) Increased abdominal pressures
c. septic shock Conditions where PPV is less reliable: False +ve - spont breathing - cardiac arrhythmias - increased intra abdominal pressure - RV dysfunction False -ve - Low vT - low lung compliance - very high resp rate https://www.atsjournals.org/doi/10.1164/rccm.201801-0088CI
1225
A 35-year-old patient is undergoing a diagnostic laparoscopy. Three minutes after insufflation of CO2 her oxygen saturation falls to 85%. You note decreased air entry on the left side of her chest. Lung ultrasound on the left reveals lung pulse and no lung sliding. The best first action is to a) Needle decomp mid clav 2nd intercostal b) Finger decomp c) Chest drain insertion d) Withdrraw ETT 1-2cm
d. Withdraw ETT 1-2cm "Anesthesiology 2019 (https://pubs.asahq.org/anesthesiology/article/131/3/666/17826/Lung-Pulse-with-PneumothoraxExamine-the-Thoracic): The lung pulse, is the rhythmic movement of the pleura in synchrony with the cardiac rhythm. Its presence indicates that the parietal and visceral pleura oppose one another; its presence rules out a pneumothorax." Ddx no lung sliding = PTX (-ve if lung pulse present), atelectasis, prior pneumonectomy, one-lung ventilation on opposite side (intentional or unintentional primary bronchus intubation), large consolidation.
1226
IO sample correlates well for: a) Hb b) Potassium c) Platelets d) Chloride? e) WCC
a. Hb IO samples show a good correlation with venous samples for: Hemoglobin / haematocrit Chloride Glucose Urea Creatinine Albumin IO samples poorly correlate with venous samples for: WBCs Platelets Serum CO2 Sodium Potassium Calcium
1227
Trigeminal neuralgia - 1st line management: "a) Tramadol b) Amitriptyline c) Carbamazepine d) NSAIDs e) opioids"
Carbamazepine APMSE: Topiramate is as effective as carbamazepine at 1 mth after treatment commencement and slightly more effective at the 2 mth endpoint in trigeminal neuralgia (RR 1.20; 95%CI 1.04 to 1.39) (Wang 2011 Level I, 6 RCTs, n=354). All included RCTs were of poor methodological quality; this is also an issue for carbamazepine trials, which show probable effectiveness over placebo (Wiffen 2014 Level I [Cochrane], 10 RCTs, n=480). Duloxetine has been shown to have an effect in trigeminal neuralgia https://www.bjanaesthesia.org/article/S0007-0912(19)30430-1/pdf
1228
ECG: what does it show? BBB a) 1st degree AV block b) Mobitz type 1 c) Mobitz type 2 d) Sinus bradycardia e) Complete heart block
2:1 block? (cant say if its mobitz 1 or 2 in 2:1 block...)
1229
Pacemaker code for V in NASPE/BPEG Generic (NBG) Pacemaker Code? a) Rate modulation b) Paced c) Sensed d) Response to sense e) Multi site pacing
Multisite pacing
1230
NOF pt under GA. sBP drops to 75, you have given multiiple bouts of metaraminol with no improvement. ECG rhythm displayed (shows rapid AF, rate ~160). Next management: a) amiodarone 300mg IV b) cardioversion 200J c) adrenalin d) metoprolol
b) cardioversion
1231
ALS in adult patient. VFib -> given 2 shocks, then IV adrenaline, then 1 shock. Next treatment: a) DCCV 200J b) amiodarone 300mg IV c) adrenaline 1mg IV d) lignocaine 100mg IV
Amiodarone
1232
Dosing in anaphylaxis for paediatric patient in mcg/kg for moderate (it specified grade 2) anaphylaxis: a) 1 b) 2 c) 4 d) 10
2mcg/kg
1233
1hr post open cardiac surgery. Pt arrests - they are ventilated. What's the next management? a) Immediate external cardiac massage b) Adrenaline 1mg c) Defibrillate as per cardial ALS d) Aim resternotomy within 30 minutes e) Switch from ventilator to BMV
defibrillate as per ACLS you do also switch them to BMV to confirm can ventilate manually but would not delay defibrillation with 3 stacked shocks firs
1234
For hyperkalaemic treatments, which has the most rapid onset of action? (or peak) a) IV insulin/dextrose b) IV sodium bicarbonate c) Nebulised salbutamol d) Resonium
a) IV insulin/dextrose Calcium (if ecg changes) - onset <3mins, duration - 30mins Insulin/dextrose - onset 15mins, peak 60mins, duration 2-3hrs Renal association Salbutamol - onset 30 mins, peak 120mins duration 2-3hrs Bicarb (in acidosis) - onset 30-60mins, duration 2-3hrs Resonium - onset 60mins (PR) and 4hrs (PO), duration variable (remember via CIS-BR 3-15-30-30/60 min onset; 30 for calcium, 2-3hrs for middle 3)"
1235
Pt has had a miscarriage for emergency suction curettage. INR (or PT) 1.2x normal, aPTT 65 seconds. What test to order next? a) Mixing tests b) Fibrinogen d) Factor 8 test
a) mixing studies When an initial PTT is prolonged, a second PTT test is performed by mixing the person’s plasma with pooled normal plasma (a collection of plasma from a number of normal donors). If the PTT time returns to normal (“corrects”), it suggests a deficiency of one or more of the coagulation factors in the person’s plasma. If the time remains prolonged, then the problem may be due to the presence of an abnormal factor-specific factor inhibitor (autoantibody) or nonspecific inhibitor, such as lupus anticoagulant. https://www.testing.com/tests/partial-thromboplastin-time-ptt-aptt/#:~:text=To%20detect%20nonspecific%20autoantibodies%20(antiphospholipid,be%20used%20for%20this%20purpose.
1236
A 45yo man presents with a hx of SOB and the following flow-volume loop is obtained. This is most consistent with (See far right) a) fixed b) variable intrathoracic c) variable extrathoracic d) early airflow obstruction
c) variable extrathoracic - if inspiration affected -> extrathoracic - if expiration affected -> intrathoracic - if both affected -> large airway obstruction Flow-volume loops "
1237
What is not in beriplex (or prothrombinex 4 factor) a) Factor 7 b) Factor 10 c) Factor 8 d) Protein C e) Factor 9
Factor 8 4 factor Beriplex - 2, 7, 9, 10, protein C and S Excipients Antithrombin III (human), albumin (human), Heparin sodium (porcine), Sodium+ Phosphate+ Citrate+ Chloride+ (Present as sodium citrate, sodium phosphate and sodium chloride)
1238
Differential hypoxia is a syndrome characterised by lower arterial oxygen saturation in the upper body. It is a complication specific to the use of a) VA ECMO b) VV ECMO c) ECCO2 device d) Haemodialysis e) Peritoneal dialysis
VA ECMO Femoral and preserved cardiac function Blood is drained from the inferior vena cava, passes through the oxygenator and is then returned to the descending aorta in a retrograde fashion. In peripheral V-A ECMO any residual native cardiac output passes through the patient’s lungs. If the lungs are badly affected by pathology or mechanical ventilation is inadequate the blood of the residual cardiac output may remain significantly hypoxic as it enters the systemic circulation. Anatomically, this blood is preferentially delivered to the circulation of the heart, head and neck and right arm. Therefore, when there is residual native cardiac output and the lungs are not ventilated normally, potential exists for delivery of hypoxic blood to the coronary, cerebral and right arm circulations. This is termed differential hypoxia or harlequin syndrome. https://ecmo.icu/va-ecmo-differential-hypoxia/
1239
Which von Willebrand Disease type is desmopressin ineffective? a) 1 b) 2a c) 2M d) 2N e) 3
Type 3 always ineffective https://www.rch.org.au/clinicalguide/guideline_index/Von_Willebrand_Disease_vWD/ DDAVP for type 1 (relative deficiency) and 2a (qualitative problem). vWF and FVIII (Biostate) replacement for Type 2b and Type 3 (absolute deficiency). Platelets - second line option if ongoing bleeding https://www.uptodate.com/contents/von-willebrand-disease-vwd-treatment-of-major-bleeding-and-major-surgery#H3081086338 "
1240
Arndt bronchial blocker- which port does the blocker go down? "A B C D E"
c
1241
An electrocardiogram (ECG) abnormality which is NOT usually associated with severe anorexia nervosa is a. Resting tachycardia b. Wandering pacemaker c. ST depression d. TWI e. Prolonged QT
a - resting tachycarida They are usually bradycardic CVS: hypotension, bradycardia, MV prolapse, impaired myocardial contractility, cardiomyopathy, ^ arrythmia (AV block. ST depression, TWI, QT prolongation) Resp: metabolic alkalosis, decreased lung compliance, aspiration pneumonia, PTX, pneumomediastinum Renal: proteinuria, reduced GFR, hypo - all electrolytes and renal stones GI: dental caries, periodontis, mallory-weiss tears, oesophgeal stricture, gastritis, delayed gastric emptying, risk of refeeding, fatty liver, hepatomegaly, cirrhosis, ^amylase, abnormal LFT, enlarged salivary gland Endocrine: delayed onset puberty, ^ cortisol/ GH, decreased glucose/insulin, impaired thermoregulation Immune: leucopenia, thrombocytopenia, haemolytic anaemia, poor wound healing Haem: bone marrow hypoplasia Neuro: decreased cognitive function, coma EEG abnromalities, seizures, neuropathy, ^pain threshold MSK: myalgia, myopathy, rhabdo, osteopenia, stress fracture https://academic.oup.com/bjaed/article/9/2/61/299563"ting tachycardia
1242
Showing a modern chest drain, what do fluctuations in the blue chamber represent? a) Severity of air leak b) Suction c) Intrapleural pressure d) Collection chamber
a) Severity of air leak
1243
Pt with lean body mass 50kg. Given 100mg lignocaine. If assuming max dose lignocaine 4mg/kg and bupivacaine 2mg/kg, how much bupivacaine can safely be given concurrently to this pt? a) 100mg b) 50mg c) 200mg d)
50mg When using both agents together, follow this approach: Calculate the fraction of maximum dose for each drug: Lidocaine fraction = (actual dose used ÷ maximum dose) Bupivacaine fraction = (actual dose used ÷ maximum dose) Add these fractions together: Ensure the total fraction does not exceed 1 (100%) So given lignocaine = 100 ÷ 200 = 0.5 can give 0.5 of bupe dose = 50mg
1244
A patient who is day 3 post laparotomy has used 30 mg oxycodone intravenously via patient controlled analgesia in the last 24 hours. The approximate oral morphine equivalent daily dose is a) 20 b) 30 c) 60 d) 90 e) 120
90mg 30mg oxy IV = 30mg morphine IV 30mg morphine IV = 90mg morphine PO
1245
Which antidiabetic med reduces renal glucose absorption? a) GLP1 agonists b) SGLT2 inhibitors c) sulphynlyrea
SGLT2 inhibitor inhibiting glucose reabsorption within the proximal renal tubules, resulting in glucosuria, modest weight loss, and blood pressure reduction.
1246
The part of the lung that is typically divided into apical, anterior and posterior segments is the a) RUL b) RML c) RLL d) LUL e) LLL
RUL "Bronchopulmonary segments: 3/2/5, 4/4 3 RUL: Apical, Posterior, Anterior 2 RML: Lateral, Medial 5 RLL: Superior, Medial, Anterior, Lateral, Posterior 4 LUL: Apicoposterior, Superior, Inferior, Anterior (lingula italicised) 4 LLL: Anteromedial, Lateral, Posterior, Superior RL: A PALM Seed Makes Another Little Plam LL: ASIA ALPS"
1247
The shoulder joint receives sensory innervation from all of the following nerves EXCEPT the a) Axillary b) Long thoracic c) Lateral pectoral d) Suprascapular e) Subscapular
"b) Long throacic The shoulder receives sensory innervation from the cervical (C3,4) and brachial plexuses (C5,6). Shoulder nerve supply: - Major sensation (motor & sensory) = **suprascapular** nerve (upper trunk of the brachial plexus) and **axillary nerve** (posterior cord of the brachial plexus). - Minor sensation = SLaM: **subscapular, lateral pectoral, musculocutaneous** - Rotator cuffs are supplied by: axillary, suprascapular & subscapular nerves SA-SLaM the scapula (supra and sub)" other option has been supraclav which innervates skin of upper chest/shoulder
1248
SBP target if 80 year old male with TBI a)SBP 90 b) SBP 100 c) SBP 110
110 Brain trauma foundation guidelines: - SBP>100 for ages 50-69, - SBP>110 for ages 15-49 and above 70 years https://emcrit.org/ibcc/tbi/ TBI guideline for everything"
1249
Obesity in pregnancy does not increase risk of - a. antenatal depression, b. cholestasis, c. pre eclampsia d gestational HTN
b. intrahepatic cholestsasis of pregnancy www.ranzcog.edu.au/wp-content/uploads/Management-Obesity-Pregnancy.pdf
1250
A thoracic regional technique that will NOT provide analgesia for sternal fractures is a repeat optionsa. Transversus throacic plane block b. PECS I c. Parasternal intercostal nerve block
PECS 1 - between pecs major and pecs minor - blocks lateral and medial pectoral nerves Stenum innervated by interocostal nerves. All 3 options belwo can be used for sternal fracture PECS 2 - between pecs minor and serratous ant - blocks intercostal brachial, long throacic, intercostal III - VI nerve Subpectoral interfascial plane block - between pec major and interocstal Transverus thoracic plane block = parasternal plane block "
1251
The MELD (Model for End-Stage Liver Disease) score includes all of the following parameters EXCEPT: a) Bilirubin b) INR c) Albumin d) Creatinine e) Sodium
"MELD-Na score components: (BICS) Bilirubin INR Creatinine Sodium (serum) estimates survival over next 3 months >15 - listed for deceased donor transplant "
1252
A 10-year-old child (weight 30 kg) presents to the emergency department in status epilepticus. They have received one dose of 10 mg midazolam buccally prior to arrival to hospital. According to Advanced Paediatric Life Support Australia guidelines the next drug treatment should be intravenous: a) Phenytoin b) Midazolam c) Propofol d) Levetiracetam
1 - Buccal/intranasal Midaz 0.3mg/kg (max 10mg) if no IV access OR IV/IM midazolam 0.15mg/kg (max 10mg) 2 - IV/IO midaz 0.15mg/kg 3 - Levetiracetam 40-60mg/kg (over 5mins; max 4.5g) or phenytoin 20mg/kg (over 20mins) - provided pt NOT taking that med 4 - Give whichever was not given or phenobarbitone 5 - RSI Each step preceded by 5 mins (1 -> 5 mins after seizure onset, 2/3 = after midaz given, 4/5 = after infusion finished"
1253
For a skewed distribution of data the best measure of dispersion of data is the a) range b) mode c) standard deviation d) variance e) Interquartile Range
"IQR For skewed data: dispersion/spread/variability: interquartile range (or other percentile-based ranges). Measure central tendency=median. For normal distributed data: dispersion = standard deviation central tendency = mean. " Measures of central tendency = mean, median, mode
1254
As per 2021 Surviving Sepsis guidelines, when to start IV corticosteroids? a) Wait until synacthen test b) For 1hr if mAP <65 c) norad > 0.1mcg/kg/min for any duration d) norad > 0.25mcg/kg/min for at least 4 hours e) norad > 0.5mcg/kg/min for at least 2 hours
d) norad > 0.25mcg/kg/min for at least 4 hours For adults with septic shock and an ongoing requirement for vasopressor therapy, we suggest using IV corticosteroids. Quality of evidence: Moderate The typical corticosteroid used in adults with septic shock is IV hydrocortisone at a dose of 200 mg/d given as 50 mg intravenously every 6 hours or as a continuous infusion. It is suggested that this is commenced at a dose of norepinephrine or epinephrine ≥ 0.25 mcg/kg/min at least 4 hours after initiation. https://www.sccm.org/clinical-resources/guidelines/guidelines/surviving-sepsis-guidelines-2021
1255
Non-inferior study. Specific study crossed 0 but NOT non-inferior line. What does this result mean? The image to the right was the exact image. It wanted the 3rd from the top (non inferior) a) superior b) non inferior c) nonconclusive d) inferior
Non-inferior
1256
First line treatment of extravasated norad is a) Remove cannula b) Flush cannula c) Cold compress d) SC phentolamine e) heparin
S/C phentolamine https://www.rch.org.au/clinicalguide/guideline_index/Peripheral_extravasation_injuries__Initial_management_and_washout_procedure/
1257
NAP 7 most common cause of arrest intraop??? a) Anaphylaxis b) Cardiac Ischaemia c) Major haemorrhage
c. major haemorrhage The most common causes of perioperative cardiac arrest were major haemorrhage (17%), bradyarrhythmia (9.4%) and cardiac ischaemia (7.3%) but varied by surgical specialty. Anaphylaxis was likely overestimated as a cause of cardiac arrest in our survey of anaesthetists
1258
Predictors of successful awake extubation after volatile anaesthesia in infants include a. 2mL/kg tidal volume b. grimacing c. coughing d. RR > 20 e. CO2 > 60
Grimacing "1) Eye opening 2) Eyes - conjugate gaze 3) Facial grimace 4) Laryngeal stimulation test +ve 5) Low ET anaesthetic concentration <0.2% sevo, <1% des and <0.15% isoflurane 6) Movement (except coughing) 6) Movement - purposeful 7) SpO2 >97% Preop (baseline) target if cyanotic congenital heart disease 8) TV >5mL/kg"
1259
Which drug to avoid in cocaine toxicity? A) Adenosine B) Diazepam C) Metoprolol D) Glyceryl trinitrate E) Verapamil
Metoprolol Results in unopposed alpha stimulation - unopposed vasoconstriction. Worsen HTN, coronary spasm, ischaemia.
1260
You are performing femoral venous cannulation in an obese man under ultrasound guidance. The image quality is suboptimal as the vein is deep. The best way to improve the image quality is to a. Use higher frequency probe b. Use lower frequency probe c. increase the contrast
low frequency probe
1261
Equity, fair access - which ethical principle does this represent? a) autonomy b) beneficence c) justice d) non-malifencence
c. justice “Justice in medical ethics emphasises fair, equitable and appropriate treatment and distribution of healthcare resources, ensuring no unfair disadvantage based on socioeconomic status, location or other factors”
1262
When interpreting an arterial blood gas, a high serum anion gap is consistent with: a) Lithium toxicity b) Salicylate toxiticy c) Hypercholeraemia d) Hypoalbuminaemia e) Hypercalcaemia
"Ans: Salicylate toxicity ^Cl -> NAGMA Low albumin -> Masks HAGMA, (AG reduces by 1 for every drop of albumin from 4o by 4g/L) Litium & ^Ca2+-> Low AG metabolic acidosis (Extra unmeasured cations) Lithium: Low AGMA"24.1
1263
A medication that should be avoided in a patient with thyroid storm is: a) Ibuprofen b) Propranolol c) Potassium Iodide d) PTU: Propylthiouracil
a. ibuprofen "NSAIDS/aspirin should be avoided as it displaces thyroxine from protein and subsequently increases free T3 and T4 levels. Thyroid storm General measures Cooling IVF +/- glucose Paracetamol Propranolol Specific Hydrocortisone 200 mg QID IV PTU after PTU sodium iodide/lugols iodine"
1264
The clinical laser type with the greatest tissue penetration is: a) Argon b) Nd:yag c) Er:yag d) Co2 e) Holmium
"b) Nd:yag Modified Question: this question asks Greatest, old asks least Least = Er:yag (or CO2)? Most = Nd:Yag Er:yag (Erbrium-Yag) used in dermatology which is the least penetrative CO2 laser has very little penetration (~ 10micrometres), as it has a wavelength of 10 600nm. Helium-Neon laser also has very little penetration. Nd:YAG is the most powerful, with a penetration of 2-6mm, as it has a wavelength of 1064nm. Argon penetration of 0.5mm"
1265
Oral naltrexone should be ceased preoperatively for: a) 24 hours b) 48 hours c) 72 hours d) 96 hours
"72 hours ANZCA Blue Book 2023 Oral naltrexone should be stopped at least 24 hours and ideally 72 hours prior to elective surgery. And there is a lack of instruction re Contrave(naltrexone/buproprion for weight loss)- so best to stop 72 hours prior. And limited evidence re low dose naltrexone for chronic pain - so for consistency blue book says 72 hours. Caution increased opioid sensitivity in patients using perioperative naltrexone."
1266
Which is not lost in anterior spinal artery syndrome? a) Pain b) Temperature c) Motor d) Proprioception e) Bladder function
d. proprioception Anterior spinal artery syndrome usually includes tracts in the anterior two-thirds of the spinal cord, which include the CSTs, the spinothalamic tracts, and descending autonomic tracts to the sacral centers for bladder control. CST involvements produce weakness and reflex changes. A spinothalamic tract deficit produces the bilateral loss of pain and temperature sensation. Tactile, position, and vibratory sensation are normal. Urinary incontinence is usually present.
1267
According to the 5th National Audit Project (NAP5), the incidence of awareness during general anaesthesia using a non-relaxant technique is approximately: a. 1:1360 b. 1:13,600 c. 1:136,000 d. 1:1,136,000
"d. 1:136,000 https://www.bjanaesthesia.org/article/S0007-0912%2817%2930746-8/fulltext 1/670 E-LSCS 1/8000 with muscle relaxation 1/8600 CTS 1/8200 Volatile + neuromuscular blocking Overall 1:19000"
1268
A patient for elective general anaesthesia has been noted to be chewing gum in the pre-operative area. The most appropriate course of action is to: a) Delay 1 hour b) Delay 2 hours c) Delay 6 hours d) Discard gum then proceed without delay
"d) Proceed ANZCA PG07 appendix 1 - Chewing gum and boiled sweets should be discarded prior to inducing anaesthesia to avoid them being Inhaled as a foreign body but do not constitute an indication for delaying any procedure unless they have been ingested. Therefore D"
1269
Preoperative predictors of chronic postsurgical pain do NOT include: a) Anxiety b) Depression c) Elderly d) Preop opioids e) preexisting chronic pain
c. elderly "RFs for CPSP: Preop: mod-severe pain >1mth, repeat surgery - young, female, anxiety, opioids (ineffective) Intraop: high-risk surgeries, nerve damage Postop: Acute pain (mod-severe), anxiety/depression"
1270
Which intervention for acute pain does not reduce the risk of persistent postdischarge opioid use? a) Opioid wean preop b) Education/expectation setting preop c) Titrating opioids to pain scores alone d) Avoiding long-acting opioids
Titrate to pain scores alone Should use FAS https://www.anzca.edu.au/getContentAsset/136f5a83-d1d0-4f34-be72-87b62b721d14/80feb437-d24d-46b8-a858-4a2a28b9b970/PS41(G)-Acute-pain-2023.pdf
1271
The analgesic drug with the most favourable Number Needed to Treat (NNT) for neuropathic pain is:?? a) Amitriptyline b) Gabapentin c) Tramadol d) Pregabalin e) Carbamazepine
"REPEAT reconsidered as Amitriptyline a) Amitriptyline By order of favourable NNT: TCAs (amitriptyline) NNT: 3.6, NNH: 9 Strong opioids NNT 4.3 NNH 11.7 Tramadol NNT: 4.7, NNH 12.6 SNRIs (duloxetine and venlafaxine) NNT 6.4, NNH 11.8 Gabapentin NNT: 7.2 NNH 25.6 Pregabalin NNT:7.7, NNH 13.9 ANZCA Pain book Treatment of chronic neuropathic pain after SCI (Guy 2016 GL). These guidelines recommend: First line: pregabalin, gabapentin and amitriptyline; Second line: tramadol and lamotrigine (in incomplete SCI); Third line: Transcranial direct current stimulation (tDCS) alone and combined with visual illusion; Fourth line: TENS, oxycodone and dorsal root entry zone lesions."
1272
A 36-year-old woman sustains an injury to her left arm and presents with pain. She informs you that she experiences unpleasant intermittent and spontaneous shooting sensations in her arm. This sensation is a. Dysaesthesia b. Allodynia c. Hyperalgesia d. Hyperaesthesia e. Paraesthesia
Dysaesthesia Ans = allodynia – normal touch = painful Dysaesthesia = normal touch or even just spontaneous pain. Unpleasant, abnormal sense of touch (e.g. burning, wetness, can be pain) Paraesthesia = abnormal sensation (or loss of sensation) Hyperalgesia = pain out of proportion Hyperaesthesia = stimulus required"
1273
The nerve labelled with an arrow in the diagram below (diagram of lumbar plexus shown) is the This exact image was used
Obturator
1274
14. Patients with rheumatoid arthritis and the most common form of atlantoaxial instability have a widened atlantodental interval. This is measured between the a) distance from posterior margin of dens to anterior surface of posterior arch of atlas b) distance from anterior margin of dens to anterior surface of posterior arch of atlas c) distance from posterior margin of dens to anterior surface of anterior arch of atlas d) distance from posterior margin of dens to posterior surface of posterior arch of atlas e) distance from anterior margin of dense to posterior surface of anterior arch of atlas
e) distance from anterior margin of dense to posterior surface of anterior arch of atlas be aware of wording Normal interval <3mm adult, <5mm child Widening indicates potential instability can also measure PADI (posterior atlantodental interval) or SAC (space available for cord) . Posterior cortex of dens and anterior arch C1. normal is >15mm. Less than this - increased risk of AAI and spinal cord injury Antlantoaxial instability Loss of transverse ligament + erosion of odontoid peg → atlanto-occipital instability in ~25% of patients *Acute subluxation can cause spinal cord compression and/or compression of vertebral arteries Two main categories of cervical spine instability: Atlanto-axial subluxation *Anterior: C1 moves forward on C2 *Posterior: C1 moves backward on C2 *Vertical: odontoid process subluxes through foramen magnum *Lateral/rotatory subluxation: C1/C2 rotation Subaxial subluxation *Occurs less commonly *More likely to involve neurological symptoms
1275
Intravenous dexmedetomidine use does NOT result in a) Hypertension b) Bradycardia c) Decreased urine output d) Decreased opioid consumption e) increased regional nerve block duration
"Decreased urine output (alternative is Residual sedation) - Dexmed can be a diuretic (increase GFR and UO) Loading infusion: Transient HTN (α2B receptors agonism), bradycardia, hypotension Intaop dexmed associated with PACU: ↓ PONV, shivering, cough, emergence agitation, pain scores Decreased BP (hypotension) No change bradycardia and sedation and PACU LOS No change - BSL - bradycardia/sedation/LoS PACU Decreased everything else incl. BP (PONV, shivering, cough, agitation, pain)" "BJA 2020 RCT: 24hrs post-induction dexmed reduces AKI post aortic surgery requiring CPB. No differences in HR/BP/sedation https://www.bjanaesthesia.org.uk/article/S0007-0912(20)30001-5/pdf "
1276
A patient under general anaesthesia monitored with transcranial cerebral oximetry has a decrease in their cerebral oxygen saturation. This is likely to be improved by an increase in all of the following EXCEPT A) Increased MAP B) Increased MV C) Increased anaesthetic depth D) Increased Hb
"Increasing MV -> avoid hypocapnoea is part of algorithm If desat >20% from baseline - check head position - ensure neutral - check ETT ties - exclude venous/arterial obstruction – Optimise O2 delivery - HR/SV/ MAP (vasopressors/ ^FiO2 (treat hypoxia), optimise ventilation (clear CO2), tranfusion if anaemic – Optimise O2 consumption - ensure adequate depth of anaesthesia, avoid hyperthermia, exclude seizures- antiepileptics
1277
Ongoing cerebral seizure activity induced by electroconvulsive therapy should be medically terminated after a. 60 sec b. 90 sec c. 120 sec d. 150 sec
" >120sec Optimal seizure duration somewhere between 10-120seconds. https://academic.oup.com/bjaed/article/10/6/192/299664
1278
ECT does NOT result in: a) initial sympathetic stimulation b) increased ICP c) decrease LV function for 4-6 hrs d) Increased SBP 30-40%
a) initial sympathetic stimulation Beginning with the electrical stimulus, there is an initial parasympathetic discharge lasting 10–15 s. This can result in bradycardia, hypotension, or even asystole. A more prominent sympathetic response follows during which time cardiac arrhythmias occasionally occur. Systolic arterial pressure may increase by 30–40% and heart rate may increase by 20% or more, generally peaking at 3–5 min Left ventricular systolic and diastolic function can remain decreased up to 6 h after ECT. Cerebral oxygen consumption, blood flow, and intracranial pressure all increase https://www.bjaed.org/article/S1743-1816(17)30338-4/fulltext
1279
The Myocardial Injury after Non Cardiac Surgery study showed elevated troponin in the first three post-operative days was strongly associated with "A. 30-day mortality B. 30-day myocardial infarction C. Stroke within 30 days D. Surgical site infection E. 30-day hospital readmission"
A) 30 day mortality MINS study n=15,065 patients. >45 y/o undergoing non cardiac surgery. Had troponins measured for 3 days post op. Elevated trop independently predicted 30 day mortality.
1280
A man with a history of obesity and obstructive sleep apnoea has just had a transsphenoidal pituitary resection. Soon after extubation he is semi-conscious and is making a respiratory effort but has near complete upper airway obstruction with stridor. His arterial oxygen saturation is 93% and starting to fall. Your first actions should be to a) Propofol for LMA + PPV b) Oropharyn with PPV +/- deepen with propofol c) Nasopha with PPV d) Naso with CPAP e) Oropharyngeal CPAP
a) Propofol for LMA + PPV alternative could be e but significance of transphenoid surgery and potential pneumocephalus... Placing cpap on this patient even with an OPA is likely going to increase risk of this. an LMA gives a better seal (and its a glorified OPA anyway). If you're able to stick an OPA in someone you can use an LMA (Answer e suggests the pt is so obtunded that they will tolerate an OPA as no suggestion of deepening with props)
1281
In the thigh, the adductor canal is bordered by all of the following EXCEPT a) Vastus medialis b) Adductor magnus c) Adductor longus d) Adductor brevis e) Sartorius
d. Adductor brevis "Boundaries: - Medial wall - sartorius - Posterior wall - adductor longus, adductor magnus - Anterior - vastus medialis Contents: subsartorial artery/vein, saphenous nerve and nerve to vastus medialis (both branches of femoral nerve)"
1282
Safest approach for peribulbar if short eye length? a) Inferotemporal b) superior temporal c) medial canthal d) lateral canthal e) Other approaches
a. inferotemporal The inferotemporal approach offers more physical space between the globe and the orbital walls, providing safer access away from the extraocular muscles compared with a medial or off-centered (“two thirds/one third”) inferotemporal approach.Citation8
1283
Assuming a blood volume of 80 ml/kg, a massive transfusion child is defined as a three-hour packed red blood cell (PRBC) transfusion volume of a) 20mk/kg b) 40ml/kg c) 60ml/kg d) 80ml/kg
40mL/kg Massive transfusion (prevent hypothermia/acidosis/coagulopathy) Children- (pRBC) transfusion i.e. replacement of: >1 blood volume in 24hours OR >50% TBV in <3-4hours OR >10% TBV over 10 minutes (OR 40mL/kg blood) Adults - replacement of >1 blood volume in 24hours OR >50% blood volume in 4hrs 10mL/kg pRBC increases Hb 20g/L; (cGPT); 1 unit pRBC ~300mL"
1284
The antiemetic that interferes with the effectiveness of oral hormonal contraception is a) Aprepitant b) Ondansetron c) Metoclopramide
Aprepitant barrier contraception for 28 days https://www.merck.com/product/usa/pi_circulars/e/emend/emend_pi.pdf https://www.ncbi.nlm.nih.gov/pmc/articles/PMC5809356/ 2 months in UK (28 days in USA) Works as a centrally acting NK1 receptor antagonist by blocking actions of Substance P - also ↑activity of dexamethasone & ondansetron (in chemo)"
1285
Extraadrenal tumour with raised metanephrines. What management preop? a) Phentolamine b) Metoprolol c) Phenoxybenzamine d) Prazosin
c. Phenoxybenzamine Phentolamine used intraop (short action/reversible cf phenoxybenzamine which is irreversible and has a lasts 3-4 days as need to make new receptors) Preop objectives: (note orthostatic hypotension and ST/T wave changes of Roizen criteria now questionable) 1) BP control (<130/80 seated): α blockade >7days (e.g. doxazosin or phenoxybenzamine, latter stopped 24-48hrs preop due to postop hypotension), +/- CCB (nicardipine SR) 2) HR/arrhythmia control: selective β1 antagonists (metoprolol/atenolol) avoids hypertensive crisis (if β2-vasodilation stopped and unopposed α vasoconstriction) 3) High Na+/fluid intake -> restores blood volume 4) Optimise myocardial function: ECG (ventricular hypertrophy, tachycarrhythmia, myocardial ischaemia). TTE mandatory (majority pts have diastolic dysfunction) Beware HOCM (MCC, due to HTN), and atypical Takutsubo 5) Reverse glucose/electrolyte disturbances (hyperglycaemia, and hypercalcaemia)"
1286
"On a ROTEM, lysis is defined as decrease in clot strength <15% at how many minutes? ""a) 10 min b) 15 min c) 20min d) 30min e) 60min"
e. 60min
1287
What artery are the arrows in this image pointing to? a) Anterior communicating b) Posterior communicating c) Middle cerebral d) basilar e) Vertebral
d. Basilar
1288
Desufflation after surgical pneumoperitoneum is NOT associated with an increase in a) Stroke work index b) Cardiac output c) Systemic vascular resistance d) Venous return e) LV stroke work
Desufflation: wont increase SVR insufflation IAP<10mmHg - ↑ VR/CO (from splanchnic/GI cirulcation) IAP 10-20mmHg (MC) - ↓VR/CO, ↑SVR (also ↑catecholamines), <->or ↑BP IAP>20mmHg - ↓↓ VR/CO --> ↓ BP (starts to impede VR seriously) https://academic.oup.com/bjaed/article/4/4/107/308013 2004 Resp: ↓ FRC, ↑AWR + ↓compliance. Barotrauma risk
1289
How to work out arterial pH from venous pH? a) add 0.03 b) add 0.3 c) subtract 0.03 d) subtract 0.3
a. add 0.03 VBG vs ABG pH + 0.035 PCO2 - mean difference +6mmHg; good correlation in normocapnoea (unreliable when PaCO2>45mmHg) Correlate well: HCO3-, Base Excess, Lactate - dissociation above 2mmol/L https://litfl.com/vbg-versus-abg/ "
1290
Which is not expected with a good workiong intra-aortic balloon pump? a) Decreased renal blood flow b) Decreased Hb c) Decreased cardiac work d) Increased cardiac perfusion e) Increased aortic root diastolic pressure
a. decreased renal blood flow Should enhance CO and increase renal blood flow
1291
Of the following, the drug which is most effective in the management of severe hyperthermia in serotonergic syndrome is a. Dantrolene b. Diazepam c. Paracetamol d. Rocuronium
"d) rocuronium (as severe) - diazepam if mild #Hyperthermia in SS - mostly mediated by muscle hyperactivity - paracetamol, dantrolene ineffective - mild: topical cooling and benzos to ↓muscle activity - severe (>41.1 degrees) -> rhabdo, metabolic acidosis, DIC -> Rx = sedation, NDMB necessary (avoid suxamethonium due to hyperkalaemia) https://www.medsafe.govt.nz/profs/PUArticles/Dec2012Neuroleptic.htm#:~:text=However%2C%20NMS%20is%20characterised%20by,are%20indicative%20of%20serotonin%20syndrome "
1292
In order to minimise the risk of cardiac arrhythmia?? surgical diathermy has been designed to operate with a. High frequency b. High voltage c. Low frequency d. Low voltage e. Equipotential earthing
a high frequency Frequencies above 100 kHz (and specifically in the radiofrequency range of 0.5-3 MHz) avoid causing neuromuscular stimulation and cardiac excitation, unlike lower, mains-level frequencies (50-60 Hz), which can cause ventricular fibrillation.
1293
All patients over 70 years of age having received either spinal or general anaesthesia at Hospital X are reviewed 3 years later to assess cognitive function. The aim of the study is to determine whether exposure to general anaesthesia or spinal anaesthesia impacts cognitive function. This trial design is best described as a a) RCT b) cohort study c) case-control study d) case series e) cross-sectional study
"Cohort "Prospective: - Observational cohort studies: observes exposure, then observes the development of risk. Uses relative risk (i.e. who develops the illness) - Randomised and non-randomised (cohort) interventional controlled trials. RCTs gold standard - only study that can establish casuation by evaluating intervention https://www.bjaed.org/article/S1743-1816(17)30475-4/fulltext#seccestitle70 " Retrospective: - case reports (and case series (a collection of case reports) - cross-sectional studies/surveys: no control group, merely a large series of case reports -> e.g. can determine prevalence of a disease - case-control studies: identified risk factors assoc/ w/ outcomes. -> compare case w/ control to identify RFs or causative agents implicated in aetiology of disease -> Use odds ratios"
1294
Intraoperative lung protective ventilation strategies include all of the following EXCEPT a. Alveolar recruitment manouevres b. Individualised PEEP c. I:E ratio 1:3 d. TV 6-8ml/kg e. Minimising ventilatory driving pressure
"c - IE ratios - no recommendations (lack of evidence for a specific I:E ratio) * The ventilator should initially be set to deliver VT ≤6–8 ml kg–1 PBW and PEEP=5 cm H2O. * Individualised PEEP can prevent progressive alveolar collapse. Recruitment manoeuvres can reverse alveolar collapse, but have limited benefit without sufficient PEEP * An I:E ratio of 1:1, which has been characterised as providing a ‘balanced stress to time product’, was associated with attenuation of lung damage. Evidence for specific I:E ratio lacking -> no recommendation. (^ mean airway P but reduces peak airway P) * high ventilator driving pressure (ΔP=plateau pressure [Pplat]–PEEP) has been recognised as a significant determinant of lung injury and is linked to PPCs"
1295
A test for a condition which has a prevalence of 1 in 1,000 has a sensitivity of 100% and a specificity of 90%. The probability of a patient who receives a positive result actually having the condition is a. 1% b. 10% c. 90% d. 100%
"a) 1% PPV = TP / TP + FP For example For prevalence of 1:1000 the number of TP = 1 False positives = 999 x 10% FP = 99 PPV = 1 / 1+99 PPV = 1% PPV = TP / TP + FP NPV = TN/ (TN + FN) Sensitivity = TP / (TP+FN) Specificity = TN / (TN+FP)"
1296
Your patient underwent a stellate ganglion block two hours ago. Prior to discharge you are asked to review the patient in recovery because of a droopy upper eyelid. The patient would also be expected to have ipsilateral a) Pupillary constriction and reaction to light b) Pupillary constriction and no response to light c) Pupillary dilation and response to light d) Pupillary dilation and no response to light
"a) pupil constriction (horner syndrome) and reaction to light Loss of SNS, so would have relative miosis. Still has PSNS and optic nerve (CNII) intact so intact pupillary light reflex - anhidrosis (decreased sweating), enopthalmos (sunken eyeball), bloodshot conjunctiva, facial flushing on affected side Also possible: VC paralysis, RLN injury, phrenic n injury, brachial plexus injury, pneumothorax, indavertent epidural"
1297
Compared to a normothermic patient, a patient with mild intraoperative hypothermia (35.0 oC) will have: a. More bleeding, normal INR and APTT b. More bleeding, normal INR and raised APTT c. More bleeding, raised INR and normal APTT d. Unchanged bleeding, normal INR and APTT e. Unchanged bleeding, elevated INR and APTT
"a) More bleeding, normal INR and APTT - also more transfusions' - INR and APTT done at room temp Mild hypothermia (<1degC) ^ blood loss by 16% & tranfusion risk by 22% Anaesthesiology 2008 effects mild periop hypothermia"
1298
The first-line drug recommended by both the Australian Resuscitation Council and the New Zealand Resuscitation Council to treat severe cyanide poisoning is a) methylene blue b) hydroxycobalamin c) sodium thiosulphate
Hydroxycobalamin "IV hydroxocobalamin (B12) 5mg with repeat dosing upt to 15mg sodium thiosulfate used in case series also appears affective with no AE https://www.resuscitationskills.com/library/algorithms/all-adult-als-guidelines-june-2017.pdf "
1299
A respiratory effect of high flow nasal oxygen therapy is a. Reduced RR b. Reduced MV c. Increased work of breathing d. Increased Deadspace
"a) reduce RR HFNP - reduce RR, increase end expiratory lung volume, PEEP up to 7cmH2) with closed mouth, reduced airway surface dehydration, decrease atelectasis, improve secretion clearance, CO2 washout, reduction in anatomical dead space https://www.bjaed.org/article/S2058-5349(17)30029-X/fulltext"
1300
Gastric US: Position and orientation (sagittal vs transverse) of probe a) Saggital midclavicular b) saggital midaxillary c) transverse subxiphoid d) saggital subxiphoid
Sagittal, subxiphoid
1301
If group A RhD negative cryo is not available for use in an A RhD positive patient, of the following your next best choice should be a) Group AB Rh+ rhesus b) Group B Rh+ c) Group B Rh d)Group O Rh+ e) Group O Rh-
"a) AB group - has no plasma antibodies Plasma compatibility - should be combatible with ABO group of recipient to prevent haemolytic reaction. ANY RhD subtype can be given Pt group: A --> compatible with A, AB plasma B --> compatible with B, AB plasma AB --> compatible with AB plasma O --> compatible with all " https://www.lifeblood.com.au/health-professionals/products/component-compatibility
1302
Button battery >20mm - timeframe to remove a) within 2hrs b) within 4hrs c) within 24hrs
FB BJA 2hrs if in oesophagus, or symptomatic in stomatch
1303
Organ procurement after circulatory death is generally stood down if the time from cessation of cardiorespiratory support to circulatory death extends beyond a) 60min b) 90min c) 120min
"90min - the lungs take 90 mins ""In Australia it is usual to stand down the DCDD process if the agonal period has exceeded 90 minutes"" https://www.donatelife.gov.au/sites/default/files/2022-01/ota_bestpracticeguidelinedcdd_02.pdf
1304
Breastfeeding pt: advice re: dumping/expressing a) express (to discard) then feed b) feed straight away c) delay 6hrs
"Conitnue to breast feed as per usual. Do not need to express and discard. Monitor infant for signs of respiratory depression and drowsiness especially if multiple doses of opioids/bzd AVOID codeine in breastfeeding https://anaesthetists.org/Home/Resources-publications/Guidelines/Anaesthesia-and-sedation-in-breastfeeding-women-2020"
1305
Brain death testing - what is NOT in the criterion? a) corneal reflex b) oculocephalic reflex c) must warm to >35 degrees degrees d) 2hrs GCS 3 + other criterion
B or D (?D misremembered) b. ocoulocephalic reflex is an inferior test compared to the vestibulo-ocular reflex (tests same nerves) and may exacerbate pre-existing spinal injury pre-conditions for test - temp >35 - normotension - exclusion of sedatieves - absence of electrolyte abnormalities/ Liver faliure - absence of NMBD a minimum 4-hour observation period prior to neurological determination of death using clinical examination alone. Throughout this observation period, all preconditions are met, the patient has a Glasgow Coma Scale of 3, with pupils nonreactive to light, absent cough/tracheal reflex and apparent apnoea on a ventilator. Following an acute hypoxic-ischaemic encephalopathy or hypothermia (<35°C) of duration greater than 6 hours, there should be a waiting period of 24 hours before determination of death using clinical examination alone.
1306
ECG - (may have been complete heart block or 2nd degree AV block type 2; was a regular atrial rate) and asking for the atrial rate a) 60bpm b) 80bpm c) 100bpm d) 120bpm
a. 60
1307
How often do you have to monitor BSL's for a diabetic post-operatively in PACU a) 30 mins b) 1 hourly c) 2 hourly d 4 hourly
b) 1 hourly https://www.diabetessociety.com.au/wp-content/uploads/2023/03/ADS-ANZCA-Perioperative-Diabetes-and-Hyperglycaemia-Guidelines-Adults-November-2022-v2-Final.pdf Continue hourly BGL monitoring until the person leaves the recovery area. If the BGL has been stable (and within target range) while in the recovery area, BGL monitoring can be decreased to 2 hourly if type 1 diabetes, or 2-4 hourly if type 2 diabetes. If BGLs have been unstable or if VRII, hourly monitoring is required.
1308
A patient has a lung ultraosund which shows A lines and lung sliding. Which of the following is most likely a) PTX b) Pleural effusion c) Normal lung d) Pneumonia
"c) Normal Lung Normal lung = A lines (pleura) + batwing appearance + sliding" "A lines horizontal - may be normal or pneumothorax B lines vertical - can be interstitial fluid e.g. pulmonary oedema -> (After Hours, Batman is Vigilant) Pneumothorax features: - abscence of B lines & sliding (on highest point of anterior chest) - absence of lung pulse - presence of lung point"
1309
What is the observed common associated metabolic abnormality with hypercholermia? a) High-anion gap metabolic acidosis b) Normal-anion gap metabolic alkalosis c) High-anion gap metabolic acidosis d) Normal anion gap metabolic acidosis
d) NAGMA non-anion gap metabolic acidosis (NAGMA), often specifically referred to as hyperchloremic metabolic acidosis.
1310
Which of the following is an independent risk factor for increased PPH? a) Platelets 70 b) PT > 1.2 c) fibrinogen <2
c. fibrinogen <2 https://www.bjanaesthesia.org.uk/article/S0007-0912(17)31590-8/pdf platelets < 150 Giga/L (OR 2.98, 95%CI 1.63, 5.46), fibrinogen < 4.5 g/l (OR 1.86, 95%CI 1.21, 2.87) and APTT ratio ≥ 1.1 https://www.sciencedirect.com/science/article/abs/pii/S2468784721001069
1311
During a thyroidectomy, the surgeon is concerned the parathyroid glands have been devascularised. From the time of potenial damage, a serum calcium level should be checked in: a) 6 hours b) 12 hours c) 24 hours d) 36 hours
"a) 6 hrs 6hr and 24hrs hypocalcaemia—ionized calcium <0.9mmol/L, total calcium (corrected for albumin) <2.2mmol/L. Trough level usually occurs at 20hr following parathyroidectomy and typically normalizes by days 2–3."