Surgery Flashcards

(111 cards)

1
Q

What is pyloric stenosis?

A

Hypertrophy & narrowing o the pyloric sphincter

How well did you know this?
1
Not at all
2
3
4
5
Perfectly
2
Q

Describe typical presentation of pyloric stenosis

*Be sure to include blood gas findings

A

Typically presents in first few weeks of life (rarely can present later at up to 4 months) with:

  • Hungry, thin, pale baby that is failing to thrive
  • Projectile vomiting (~30 mins after food)
  • Evidence of dehydration
  • Palpable mass in upper abdo may be present (feels like a large olive)
  • Hypochloraemic hypokalaemic metabolic alkalosis (due to persistent vomiting which results in loss of hypochloric acid)

*Projectile vomiting occurs because after feeding peristalsis starts in stomach. Due to hypertrophied sphincter it is harder to push food through the sphincter out of stomach so peristalsis becomes increasingly powerful eventually resulting in ejection of food into oesophagus, out of mouth and across room.

How well did you know this?
1
Not at all
2
3
4
5
Perfectly
3
Q

How is pyloric stenosis diagnosed?

A

Abdominal ultrasound (visualise hypertrophied, thickened pylorus)

How well did you know this?
1
Not at all
2
3
4
5
Perfectly
4
Q

Discuss the management of pyloric stenosis

A
  • Laparoscopic pyloromyotomy known as Ramstedt’s operation (incision made in smooth muscle of pylorus to widen cana so that food can pass through as normal.)

*Prognosis is excellent following operation

How well did you know this?
1
Not at all
2
3
4
5
Perfectly
5
Q

What is biliary atresia?

A

Congenital condition in which section of or entire biliary tree is narrowed or absent. It can occur before birth due to bile ducts developing abnormally or shortly after birth due to bile ducts becoming inflamed resulting in narrowing or potentially obstruction. In most babies, affects both intrahepatic and extrahepatic ducts. Results in fibrosis in liver and cholestasis and hence impaired excretion of conjugated bilirubin.

How well did you know this?
1
Not at all
2
3
4
5
Perfectly
6
Q

Biliary atresia can be perinatal or postnatal; explain the difference and state when each typically presents

A
  • Perinatal: abnormal development of biliary tree in utero- presents in first 2 weeks of life
  • Post-natal: narrowing and/or complete obstruction of biliary tree due to inflammation- presents in first 2-8 weeks of life
How well did you know this?
1
Not at all
2
3
4
5
Perfectly
7
Q

Biliary atresia can occur in isolation or in association with other conditions; state some conditions

A
  • Polysplenia or asplenia
  • Heart defects
  • Intestinal malrotation
How well did you know this?
1
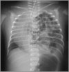
Not at all
2
3
4
5
Perfectly
8
Q

There are 4 types of biliary atresia; describe each

A
  • Type 1: proximal ducts patent but common bile duct is obliterated
  • Type 2a: atresia of common hepatic duct
  • Type 2b: atresia of common hepatic duct, common bile duct & cystic duct
  • Type 3: atresia of left & right ducts to level of porta hepatis (>90% cases)
How well did you know this?
1
Not at all
2
3
4
5
Perfectly
9
Q

Describe typical presentation of biliary atresia (include symptoms & signs)

A

Typically presents in first few weeks of life with:

  • Jaundice (extending beyond physiological 2 weeks in full term and 3 weeks in pre-term)
  • Dark urine
  • Pale stools
  • May be appetite and growth disturbance
  • Hepatomegaly with splenomegaly
  • May have other congenital abnormalities e.g. cardiac defects so may hear murmurs
How well did you know this?
1
Not at all
2
3
4
5
Perfectly
10
Q

What investigations would you do if you suspect biliary atresia?

A
  • Serum bilirubin including differentiation between conjugated and total: total may be normal, conjugated high
  • LFTs: usually raised
  • Coagulation: assess liver function
  • FBC: give overall picture of health of child- not diagnostic
  • Ultrasound biliary tree & liver: may show distension & tract abnormalities
  • Some require percutaneous liver biopsy with intraoperative cholangioscopy

Others:

  • Serum alpha-1 antitrypsin: deficiency can cause neonatal jaundice
  • Sweat chloride test: cystic fibrosis can affect biliary tree
  • Urine sample for test such as urinary bile acids etc..
How well did you know this?
1
Not at all
2
3
4
5
Perfectly
11
Q

Discuss the management of biliary atresia

A
  • Surgical intervention only definitive treatment (other than transplant). Different surgical options dependent on type. One option is Kasai portoenterostomy (attach section of small intestine to opening of liver where bile duct normally attaches)- helps clear jaundice and prolongs survival. Ideally done before 45-60 days of life to prevent damage.
  • Following surgery:
    • Antibiotic prophylaxis for at least 1yr
    • Ursodeoxycholic acid
    • Nutritional support & vitamin supplementation
  • Liver transplant often required to resolve condition
How well did you know this?
1
Not at all
2
3
4
5
Perfectly
12
Q

State some potential complications of the Kasai procedure for biliary atresia

A
  • Cholangitis
  • Ascites
  • Portal hypertension
  • Itching
How well did you know this?
1
Not at all
2
3
4
5
Perfectly
13
Q

State some potential complications of biliary atresia

A
  • Unsuccessful anastomosis formation
  • Progressive liver disease
  • Cirrhosis with eventual hepatocellular carcinoma
How well did you know this?
1
Not at all
2
3
4
5
Perfectly
14
Q

What is Hirschsprung’s disease?

A

Congenital condition where there is absence of parasympathetic ganglion cells in the myenteric plexus (Auerbach’s plexus) in distal bowel and rectum.

Passmed: Hirschsprung’s disease is caused by an aganglionic segment of bowel due to a developmental failure of the parasympathetic Auerbach and Meissner plexuses. Although rare (occurring in 1 in 5,000 births) it is an important differential diagnosis in childhood constipation.

How well did you know this?
1
Not at all
2
3
4
5
Perfectly
15
Q

Explain pathophysiology of Hirschsprung’s disease

A
  • During fetal development parasympathetic ganglion cells start higher in GI tract and gradually migrate down to the distal colon and rectum.
  • In Hirschsprung’s, these parasympathetic ganglion cells do not travel all the way down hence a section of colon and rectum is left without these cells.
  • Parasympathetic ganglion cells form nerve plexuses in bowel:
    • Myenteric plexus: when activated primary causes smooth muscle relaxation stimulates peristalsis hence absence of some of cells that contribute leads to loss of peristalsis in colon
    • Submucosal plexus: absorption, blood flow & secretions
  • Length of colon without innervation varies (if entire colon affected called total colonic aganglionosis).
  • Aganglionic section of colon does not relax/is in a tonic state causing it to become constricted leading to loss of movement of faeces leading to obstruction & distension of bowel proximal to obstruction.
  • Furthermore, faeces in rectum fail to trigger relaxation of internal anal sphincter due to aganglionosis hence get accumulation of faeces which further contributes to obstruction.

*Passmed: parasympathetic neuroblasts fail to migrate from the neural crest to the distal colon → developmental failure of the parasympathetic Auerbach and Meissner plexuses → uncoordinated peristalsis → functional obstruction

How well did you know this?
1
Not at all
2
3
4
5
Perfectly
16
Q

A FH of Hirschsprung’s disease does not increase risk of child having disease; true or false?

A

FALSE; FH greatly increases risk

*NOTE: more common in males

How well did you know this?
1
Not at all
2
3
4
5
Perfectly
17
Q

Hirschsprung’s usually occurs in isolation but it can be associated with certain syndromes; state some

A
  • Down’s syndrome
  • Neurofibromatosis
  • MEN type II
  • Waardenburg syndrome (pale blue eyes, hearing loss, patches of white skin & hair)
How well did you know this?
1
Not at all
2
3
4
5
Perfectly
18
Q

Describe typical presentation of Hirschsprung’s disease

A

Severity of presentation depends on individual & amount of bowel affected. Can present with acute intestinal obstruction (which may lead to Hirschsprung-associated enterocolitis +/- sepsis) shortly after birth or more gradually developing symptoms:

  • Delay in passing meconium (>24hrs)
  • Chronic constipation since birth
  • Abdominal pain
  • Abdominal distension
  • Vomiting (may be bilious)
  • Poor weight gain/failure to thrive
How well did you know this?
1
Not at all
2
3
4
5
Perfectly
19
Q

What investigations are required to diagnose Hirschsprung’s disease? Include first line and then gold standard

A
  • First line = AXR: look for evidence of distended colon as unlikely to be Hirschsprung’s if no distension. May be done to diagnose intestinal obstruction and look for features of Hirschsprung-associated enterocolitis
  • Rectal biopsy used to confirm diagnosis: histology shows absence of ganglionic cells
How well did you know this?
1
Not at all
2
3
4
5
Perfectly
20
Q

Discuss the management of Hirschsprung’s disease; include initial management, definitive management and total colonic aganglionosis specific management

A

Initial Management

  • Bowel irrigation (tube inserted through rectum and put small amounts of saline into bowel, liquid rectal & colonic content expected to drain through lumen of tube)
  • If have enterocolitis would also give IV fluids, IV antibiotics and potentially decompression by colostomy or ileostomy (above transition zone)

Definitive Management

  • Surgical removal of aganglionic section of bowel
  • *Prognosis after surgery is good; most life normal life although can have disturbances in bowel function and be left with some degree of incontinence*

Total colonic aganglionosis specific management

  • Irrigations do not work as difficult to reach small bowel hence hence will require ileostomy (may still require rectal irrigations to prevent enterocolitis)
  • Reversal of ileostomy and removal of aganglionic bowel at later stage
How well did you know this?
1
Not at all
2
3
4
5
Perfectly
21
Q

State some potential complications of Hirschsprung’s disease

A
  • Acute intestinal obstruction
  • Hirschsprung-associated enterocolitis
  • Post-operative constipation
How well did you know this?
1
Not at all
2
3
4
5
Perfectly
22
Q

For Hirschsprung associated enterocolitis, discuss:

  • What it is
  • Presentation
  • Investigations
  • Management
A
  • Stasis of faeces has lead to bacterial overgrowth (particularly C.diff, S.aureus & anaerobes) in colon. Can lead to toxic megacolon & perforation.
  • Presents: fever, vomiting, diarrhoea, abdo distension, abdo tenderness and eventually sepsis if not recognised early enough
  • Investigations: stool culture, AXR
  • Management: IV fluids, IV abx, bowel decompression by colostomy or ileostomy
How well did you know this?
1
Not at all
2
3
4
5
Perfectly
23
Q

Remind yourself of difference between intestinal obstruction & ileus

A
  • Intestinal obstruction is physical obstruction that prevents flow of faeces through intestine
  • Ileus is a failure of normal intestinal motility in the absence of mechanical obstruction.
How well did you know this?
1
Not at all
2
3
4
5
Perfectly
24
Q

State some potential causes of intestinal obstruction in neonates/children

A
  • Meconium ileus
  • Hirschsprung’s disease
  • Intussusception
  • Imperforate anus
  • Malrotation of intestines with volvulus
  • Strangulated hernia
  • Oesophageal atresia
  • Duodenal atresia
How well did you know this?
1
Not at all
2
3
4
5
Perfectly
25
State some causes of ileus in children
* Electrolyte imbalance (mainly hypokalaemia) * Infection gastroenteritis/enterocolitis * Spinal cord injury * Kidney disease * Medications e.g. morphine
26
Describe typical presentation of intestinal obstruction
* Persistent vomiting (may be bilious) * Abdo pain * Abdo distension * Absolute constipation (failure to pass wind or stools) * Abnormal bowel sounds (tinkling at first then absent later)
27
What is the initial investigation for acute intestinal obstruction in children?
**AXR**, may show dilated loops of bowel proximal to obstruction and closed loops distally, absence of air in rectum
28
Discuss the management of acute intestinal obstruction in children
Emergency referral to paediatric surgical unit. Emergency management: * NBM * NG tube to help drain stomach * IV fluids Definitive management depends on underlying cause.
29
State some potential complications of acute intestinal obstruction
* Bowel perforation (peritonitis & sepsis) * Dehydration * Bowel ischaemia * Dehydration * AKI
30
Remind yourself of the pathophysiology of appendicitis
* Luminal obstruction due to: * Faecolith * Lymphoid hyperplasia * Impacted stool * Foreign object * Appendiceal or caecal tumour (rare) * Obstruction causes mucus in appendix to become blocked * Increase in intra-luminal pressure * Results in increased venous pressure * Leads to mucosal oedema * Mucosal oedema impairs arterial supply to appendix * Ischaemia allows bacteria to invade the appendix wall * Immune response to bacteria invading wall causes further swelling further impairing blood supply * If ischaemia untreated then necrosis of wall can occur * Necrosis of wall can laed to perforation
31
What is the peak age of incidence for appendicitis?
10-20yrs
32
Describe typical presentation of appendicitis
Children may not present in classical way so always have suspicion. * Abdominal pain (start central then moves to RIF) * Nausea& vomiting * Anorexia * Fever * Guarding * Tenderness at McBurney's point (⅓ distance from ASIS to umbilicus) * Rovsing's sign (palpation of LIF causes pain in RIF) * Rebound tenderness *(suggest peritonitis)* * Percussion tenderness *(suggest peritonitis)*
33
Discuss how acute appendicitis is diagnosed
* Diagnosis based on **clinical presentation & raised inflammatory markers** (FBC, CRP) * **Ultrasound** can be used in females to exclude ovarian pathology * **CT scan** can be used to confirm If clinical picture suggests acute appendicitis but investigations negative then do a **diagnostic laparoscopy** (can then proceed to appendicectomy if required)
34
State some key differentials to exclude when diagnosing appendicits
* **Ectopic pregnancy** * **Ovarian cysts leading to ruputre** * **Ovarian torsion** * **Meckel's diverticulum** * **Mesenteric adenitis** *(often associated with URTI or tonsillitis)* * **Appendiceal mass** *(omentum surrounds & sticks to inflamed appendix. Treat with abx then do appendicectomy once acute condition resolved)*
35
What scoring system can be used to risk stratify children with acute appendicitis?
Shera score
36
Discuss the management of appendicitis
Emergency admission to surgical team (older children \>10yrs can often be manged by adult general surgeons as long as paediatric department. Younger need paediatric surgeons). * Appendicectomy (laparoscopic preferred as fewer risk & faster recovery)
37
State some potential complications of appendicitis
* Perforation (leading to peritonitis and potentially sepsis) * Appendiceal mass * Pelvic abscess
38
State some potential complications of appendicectomy
* Haemorrhage/bleeding * Infection * Damage to bowel or other nearby organs * Anaesthetic risk * VTE * Scars
39
What is intussusception? Where in bowel most common? What ages is it common between? Which gender more common in?
* Bowel invaginates/telescopes into itself/prolapse of one part of intestine into the lumen of the adjoining distal part * Mostly commonly around ileocaecal region * 6 months - 2yrs * Boys \> girls (2:1)
40
State some conditions associated with intussusception
* Concurrent viral illness * Henoch-Schonlein purpura * Cystic fibrosis * Intestinal polyps * Meckel diverticulum *\*Lead point is often an enlarged lymph node (Peyer's patch) in terminal ileum.*
41
What investigations are required for intussusception?
* **First line= ultrasound: show target like mass** * AXR: if perforation or obstruction suspected- shows meniscus * Contrast enema (x-ray): contraindicated if perforation, peritonitis, shock, unstable
42
Describe typical presentation of intussusception
* Severe, colicky abdo pain * Pale. lethargic, unwell child * Redcurrant jelly stool * RUQ mass on palpation “sausage shaped” * Vomiting * Symptoms & signs of intestinal obstruction
43
Describe what happens to the bowel during intussusception
The invagination/telescoping of bowel into itself thickens the overall size of the bowel (why you feel mass in RUQ) and narrows the lumen (which can lead to obstruction). Also results in bowel wall oedema as it obstructs venous flow.
44
Discuss the management of intussusception
* Non-surgical reduction: * **Insufflation under radiological control** (now widely used first line) * **Contrast enemas** * If above fails or child is clinically unstable **surgical reduction** is required * If have bowel wall **necrosis or perforation** then **surgical resection** required
45
State some potential complications of intussusception
* Obstruction * Gangrenous bowel * Perforation * Death
46
What is volvulus? Volvulus is more common in which area of bowel in younger pts?
* Volvulus is torsion of colon around it's mesenteric axis resulting in closed loop obstruction and compromised blood flow
47
Describe how volvulus presents
* Vomiting (may be green bilious vomiting) * Abdo distension * Abdominal pain * Not have much poo or have absolute constipation * Lack of flatulence * If continues, may develop signs of dehydration
48
What investigation is done do diagnose volvulus?
AXR (coffee bean sign)
49
Discuss the management of volvulus in children
* Initial is same as bowel obstruction: NBM, IV fluids, NG tube * Defintive is emergency surgery (Ladd's procedure). Done laparoscopically or open (dependent on how well child is). Surgeon straightens out twisted bowel and looks for any unhealthy/necrosed areas and removes these if found.
50
State some potential complications of volvulus
* Dehydration * Perforation, peritonitis, sepsis * Ischaemia of bowel
51
What condition is the main risk factor for volvulus in infants/children? What kind of volvulus does it predispose them to?
Intestinal malrotation (predisposes to midgut volvulus)
52
What is intestinal malrotation?
Term used to describe a **spectrum of rotational and fixation disturbances of the intestines** that occurred during **embryological development**
53
Remind yourself of the process of physiological herniation of intestines
* Midgut herniates through umbilicus during week 6 because liver & intestines grow too quickly and abdominal cavity cannot accommodate them * Midgut makes a 270 degree rotation (clockwise when viewed from front, anticlockwise from fetus’ prospective) around the SMA * Midgut returns to abdominal cavity around week 10 * Proximal part of jejunum first to enter and comes to lie on left; later loops setlle more on right * Caecal bud then descends into RIF.
54
Volvulus, as a result of intestinal malrotation, causes acute intestinal obstruction. What pathology in intestinal malrotation can cause partial obstruction leading to more subtle and chronic symptoms?
Ladd's bands= peritoneal bands that extend from the abnormally positioned cecum to peritoneum and liver, crossing the duodenum in their course.
55
At what age, do pts with intestinal malrotation who are going to be symptomatic, present?
Of pts with malrotation who become symptomatic: 50-75% present in first month 90% within first year of life
56
Intestinal malrotation can present with volvulus; however. it may also present with **intermittent or partial volvulu**s (not complete acute intestinal obstruction) or **with obstructing Ladd bands**. State signs and symptoms of the latter presentation
* Not feeding well * Vomiting (this may be green) * Pain or cramps in the tummy. * Not gaining weight/failure to thrive
57
What investigations are used to diagnose intestinal malrotation presenting with volvulus?
* **Upper GI contrast study** (AXR with contrast)
58
Discuss the management of intestinal malrotation… * With volvulus * With intermittent or partial volvulus or obstructing Ladd's bands
* _With volvulus_ (same as volvulus management): NBM, IV fluids, NG tube and then emergency surgery (Ladd procedure) * _With intermittent or partial volvulus or obstructing Ladd's bands_: operation at next feasible opportunity (not emergency)
59
State some causes of peritonitis in children
* Perforation * Intussusception * Malrotation with volvulus * Intestinal obstruction * Appendicitis * Hirschsprung-associated enterocolitis * Crohn's disease fistulas * UC toxic megacolon
60
Remind yourself of symptoms & signs of peritonitis
Alongside signs & symptoms of underlying cause, general signs & symptoms of peritonitis: * Abdo pain * Abdo distention * Fever * Nausea/vomiting * Pain worse on movement * Guarding * Percussion tenderness * Rebound tenderness * Decreased/absent bowel sounds * Tachycardia
61
Summary of some surgical causes of bilious vomiting in neonates
62
Inguinal hernias are a common disorder in children; which gender are they more common in and why?
More common in males as the testes migrate down through inguinal canal. Patent processus vaginalis may be present.
63
Describe typical presentation of inguinal hernia in children
* Bulge in groin and/or scrotum * Bulge is intermittent (occurs when crying, straining but disappears when asleep) * Pain, erythema & persistence suggests it may be strangulated * Could present as acute bowel obstruction (obstructed hernia)
64
State some risk factors for inguinal hernias
* Prematurity * Low birth weight * Urological conditions (e.g. cryptorchidism, hypospadias) * Abdominal wall defects (e.g. omphalocele, gastrochisis)
65
Discuss the management of inguinal hernias in children *(think about how management differs at different ages)*
* **\<1yr: urgent hernia repair** as highest risk of strangulation * **\>1yr: elective surgery repair** as risk of strangulation lower Paediatric inguinal hernias repaired via **herniotomy** (this is usually sufficient & mesh is not required). Performed as a day case (except premature infants & neonates who are kept overnight due to hypoxia risk).
66
For umbilical hernias, discuss: * What they are * How they present * Associations * Management
* Umbilical hernias form when the opening for the umbilical cord does not closely properly so allow the abdominal lining and bowel to bulge out to form a lump. * Lump around umbilicus * Associations: afro-Caribbean, Down's syndrome * Usually no treatment required as ~80% resolve by age of 3-5yrs. Usually, hernias are observed until 4-5 years of age then if persists do herniotomy. If large (\>1.5cm) or symptomatic will do repair at 2-3yrs of age.
67
Femoral hernias are rare in children; true or false?
True
68
What is Meckel's diverticulum? State the rule of 2's (5)
* Congenital diverticulum of small intestine that results from the failure of the vitelline duct to obliterate during the fifth week of fetal development * Rule of 2's: * Occurs in 2% population * Is 2 feet from ileocaecal valve * Is 2 inches long * 2% become symptomatic * Boys 2x more likely to become symptomatic (although the diverticulum itself is equally common in each gender)
69
Only 2% of those with Meckel's diverticulum become symptomatic; state some symptoms
Patients are often asymptomatic. However, this embryological remnant may cause **bleeding, obstruction** (due to omphalomesenteric band, volvulus or intussusception) **inflammation, or perforation** hence may present with: * **Abdominal pain** (mimicking appendicitis) * **Rectal bleeding** (most common cause of painless massive GI bleed in children aged 1-2yrs) * **Symptoms of intestinal obstruction**
70
Discuss the management of Meckel's diverticulum, think about differences in management if child is symptomatic or asymptomatic
* If found incidentally on imaging and asymptomatic: leave * If found incidentally during surgery for other reasons and asymptomatic: remove * If symptomatic, remove
71
How common is cryptorchidism? State some risk factors
* Testes not descended in ~5% * Risk factors: * FH of undescended testes * Low birth weight * Prematurity * Small for gestational age * Maternal smoking
72
How common is cryptorchidism? State some risk factors
* Testes not descended in ~5% * Risk factors: * FH of undescended testes * Low birth weight * Prematurity * Small for gestational age * Maternal smoking
73
Discuss the management of cryptorchidism
* **Watch and wait for first 3-6 months** (as in most cases it will descend) * If they have **not descended by 6 months** refer to paediatric urologist for **orchidopexy between 6 and 12 months of age** *(longer it testes take to descend, less likely it will happen spontaneously)*
74
Why do we need to correct cryptorchidism/what are risks?
* **Reduce risk of infertility** * **Avoid testicular torsion** * **Cosmetic appearance** * **Allows testes to be examined for testicular cancer** *(those who had maldescended testes at increased risk of testicular seminoma even after correction; but correction allows us to examine)*
75
What are retractile testicles
* **Normal variant** in which the testes of boys who have **not reached puberty** m**ove out of the scrotum into the inguinal canal** when **cold or when cremasteric reflex** activated. * Occasionally may fully retract or fail to descend and require orchidopexy
76
What is testicular torsion? What ages is testicular torsion most common between?
* Twisting of the testis causing twisting/torsion of spermatic cord leading to constriction of the vascular supply and time-sensitive ischaemia and/or necrosis of testicular tissue * 10-20yrs (peak 13-15yrs)
77
State symptoms & signs of testicular torsion
* Pain: sudden onset & severe * Pain may be referred to lower abdomen * Nausea & vomiting * Swollen testes * Skin may be erythematous * Testes may be retracted upwards * Cremasteric reflex lost * Elevation of testis does _not_ ease pain (negative Prehn's sign)
78
Discuss the management of testicular torsion
Treatment is with **urgent surgical exploration and surgical correction** *(**spermatic cord is untwisted. The testicle is then attached to the inner wall of the scrotum using sutures).* *\*\*Manual de-torsion may be attempted if surgery is not available within 6 hours or while preparations for surgery are being made. It is a temporising measure. The technique involves rotating the right testicle counter-clockwise and the left testicle clockwise. In other words, the affected testicle is rotated as if opening a book, hence the 'open book' method.*
79
What deformity predisposes to testicular torsion?
**Bell clapper deformity:** [tunica vaginalis](https://radiopaedia.org/articles/tunica-vaginalis-testis?lang=gb) has an abnormally high attachment to the [spermatic cord](https://radiopaedia.org/articles/spermatic-cord?lang=gb), leaving the testis free to rotate. It is best defined as the **complete investment of the** [**testis**](https://radiopaedia.org/articles/testis-1?lang=gb)**,** [**epididymis**](https://radiopaedia.org/articles/epididymis?lang=gb) **and a portion of the spermatic cord by the tunica vaginalis** resulting in **loss of usual posterolateral attachment.** rather than attaching to the posterolateral aspect of the testis
80
What is epididymitis? What are some common causes in children?
* **Inflammation of the epididymis** characterised by **scrotal pain and swelling** of less than 6 weeks' duration. Usually unilateral. * Common causes: * Younger children: UTI * Older children: STI (e.g. gonorrhoea, chlamydia) * Trauma
81
Epididymitis may also occur with orchitis (epididymo-orchitis); what is orchitis?
Inflammation of testis
82
Describe presentation of epididymitis
* Pain in testicle (gradual onset unlike torsion) * Swelling (gradual onset unlike torsion) * Hot, erythematous scrotum * Fever * Feeling of heaviness in the testicles * Discharge * Pain during urination or ejaculation
83
Management of epididymitis depends on cause, discuss management for following causes: * Caused by UTI (e.g. E.coli) * Caused by STI *\*Don't worry if don't know*
* Caused by UTI: levofloxacin * Caused by STI (unknown): single dose of IM ceftriaxone and oral doxcycyline (14 days in adults)
84
What viral infection can cause orchitis in children (in particular post-pubertal males)?
Mumps
85
Hydrocele is a common cause of testicular swelling in children; there are two types of hydrocele- state and describe each
* **Simple hydrocele**: fluid trapped in tunica vaginalis. Common in newborn males. Usually fluid gets reabsorbed over time and hydrocele disappears. * **Communicating hydrocele**: tunica vaginalis is connected with peritoneal cavity via processes vaginalis allowing fluid from peritoneal cavity to enter processes vaginalis cavity; hydrocele can therefore fluctuate in size
86
Describe typical presentation of hydrocele
* **Swelling of testicle: non-tender, soft, smooth** * **May fluctuate in size** if communicating * **Transilluminate with light** *(NOTE: dead bowel will also transilluminate)* * **Can get above it**
87
What imaging is used to confirm hydrocele diagnosis and to help exclude other causes?
Ultrasound testes
88
Discuss the management of: * Simple hydroceles * Communicating hydroceles
* _Simple:_ usually resolve in 2yrs therefore reassure and follow up * _Communicating:_ surgical operation to remove or ligate processus vaginalis
89
What is hypospadias? Hypospadias may be associated with chordee; what is chordee?
* **Urethral meatus is abnormally placed on ventral side (underside) of penis** towards scrotum; in 90% this is further towards bottom of glans but it can be halfway down or at base of shaft * Chordee is when head of penis is bent downwards
90
What is epispadias?
Urethral meatus is displaced on dorsal side (top side) of penis
91
What is epispadias?
Urethral meatus is displaced on dorsal side (top side) of penis
92
Discuss the management of hypospadias
Refer to paediatric urologist & warn parents not to circumcise infant until urologist says this is okay *(as foreskin may be used in corrective procedure)*. * Mild/very distal cases: may not require treatment * Others: surgery at 3-4 months of age Aim of surgery is to correct position of meatus and straighten penis.
93
State some potential complications of hypospadias
* Difficulty directing urination * Cosmetic concerns * Sexual dysfunction * Psychological concerns
94
What is gastroschisis? Discuss the management of gastroschisis
* Congenital defect in which **intestines extend outside of the body/abdominal wall** through a defect in **anterior abdominal wall just lateral to umbilical cord** * Management: * Vaginal delivery may be attempted * Newborns should go straight to theatre ASAP after delivery
95
What is omphalocele/exomphalos? Discuss the management
* Congenital condition in which abdominal contents protrude through the anterior abdominal wall but are covered in an amniotic sac formed by amniotic membrane & peritoneum * Associated with: * Down's syndrome * Beckwith-Wiedemann syndrome * Cardiac malformations * Kidney malformations * Management: * Caesarean section to reduce risk of sac rupture * Staged repair (as primary closure likely to be difficult to due lack of space/high intra-abdominal pressure) *\*NOTE: whilst waiting for infant to grow to point where contents can fit in abdominal cavity, the sac will granulate and epithelialise over time forming a shell. When doing final surgery shell will be removed and abdomen closed.*
96
What is a congenital diaphragmatic hernia? What is the most common type?
**Herniation of abdominal viscera into chest cavity due to incomplete formation of diaphragm**; this can result in **pulmonary hypoplasia and hypertension** which causes **respiratory distress soon after birth.** Most common type is a **left-sided posterolateral Bochdalek hernia (85)%**
97
What would you find on examination of a baby with congenital diaphragmatic hernia?
* Signs respiratory distress * Bowel sounds in chest * Scaphoid abdomen * Displaced heart sounds * Decreased breath sounds on affected side
98
When are congenital diaphragmatic hernias usually detected? What would you see on CXR of baby with congenital diaphragmatic hernia?
* Diagnosed antenatally * See image for CXR
99
Discuss the management of congenital diaphragmatic hernias Discuss the prognosis
* Surgical intervention to close * Only 50% despite intervention
100
What is duodenal atresia? What genetic condition is associated with duodenal atresia?
* Absence of duodenal lumen * Associated with Down's syndrome (⅓ children with duodenal atresia have Down's)
101
When is duodenal atresia usually detected?
Usually detected on antenatal scans (will see double bubble & polyhydramnios)
102
If duodenal atresia is not picked up on antenatal scans, how would it present?
* Bilious vomiting after feeds * Distension of upper abdomen * Absence of bowel movements after first few meconium stools
103
What is seen on AXR of baby with duodenal atresia?
Double bubble
104
Discuss the management of duodenal atresia
Prompt surgical intervention once baby is born; open the blind end of duodenum and connect it to rest of intestine (has good prognosis)
105
What is oesophageal atresia? Describe the 4 different types of oesophageal atresia
* Upper part of oesophagus doesn't connect to lower oesophagus and stomach- usually ends in pouch; hence, food cannot reach stomach _Types_ * **Type A.** The upper and lower segments of the esophagus end in pouches, like dead-end streets that don't connect. [Tracheoesophageal fistula (TEF)](https://www.childrenshospital.org/conditions-and-treatments/conditions/t/tracheoesophageal-fistula) is not present. * **Type B.** The lower segment ends in a blind pouch. TEF is present on the upper segment. This type is very rare. * **Type C.** The upper segment ends in a blind pouch. TEF is present on the lower segment. This is the most common type. * **Type D.** TEF is present on both upper and lower segments. This is the rarest form of EA/TEF.
106
Doctors may suspect oesophageal atresia if ____ is detected on antenatal scans
Polyhydramnios (but this can have lots of causes)
107
Describe presentation of a baby with oesophageal atresia
* Not being able to feed * Frothy white bubbles in baby's mouth * Coughing or choking when feeding * Cyanosis when baby is feeding * Difficulty breathing/respiratory failure * Aspiration leading to pneumonia and it's associated signs (may lead to sepsis)
108
How is oesophageal atresia diagnosed once baby is born?
May insert a feeding tube and do an x-ray to see if it reaches stomach.
109
How is oesophageal atresia diagnosed once baby is born?
May insert a feeding tube and do an x-ray to see if it reaches stomach. *\*Appearance of tube will depend on if tracheo-oesophageal fistula present*
110
Discuss the management of oesophageal atresia
Surgical intervention soon after birth After surgery, your child will be kept in the intensive care unit and placed in an incubator. They may also need: * [antibiotics](https://www.nhs.uk/conditions/antibiotics/) * a machine to help them breathe (ventilator) * a tube into their chest to drain fluids or air that might be trapped * oxygen * pain medicine Your baby will be given nutrition intravenously at first, but you should be able to feed them after a few days using a feeding tube passed into their stomach through their nose.
111
State some potential complications of oesophageal atresia
* Not being able to feed/failure to thrive * Aspiration leading to pneumonia (…sepsis, death) * Respiratory failure