Talalgias ⭐️ Flashcards

(19 cards)

1
Q

Fractura del tendón de aquiles “Weekend warrior”

Mecanismo de la lesión

A

Dorsiflexión del pie + extensión de la rodilla

How well did you know this?
1
Not at all
2
3
4
5
Perfectly
2
Q

Fractura del tendón de aquiles “Weekend warrior”

¿Qué predispone a una ruptura tendinosa?

A
  • Estreoides anabólicos
  • Edad (degeneración 30-40a)
How well did you know this?
1
Not at all
2
3
4
5
Perfectly
3
Q

Fractura del tendón de aquiles “Weekend warrior”

Exploración física

A
  • Signo de Thompson
  • Defecto palpable “hachazo”
How well did you know this?
1
Not at all
2
3
4
5
Perfectly
4
Q

Fractura del tendón de aquiles “Weekend warrior”

Tx conservador

A
  • Inmovilización en equino
  • 8 semanas

Se acerca el tendón y se forma tejido cicatrizal

How well did you know this?
1
Not at all
2
3
4
5
Perfectly
5
Q

Enfermedad de Sever

¿Qué es la enfermedad de Sever?

A

Apofisitis del calcáneo (niños activos 10–15 años)

How well did you know this?
1
Not at all
2
3
4
5
Perfectly
6
Q

Enfermedad de Sever

¿Qué la causa?

A

Tracción repetitiva del tendón de Aquiles sobre la epífisis post. del calcáneo

How well did you know this?
1
Not at all
2
3
4
5
Perfectly
7
Q

Enfermedad de Sever

¿Tratamiento?

A
  • Reposo 15 días
  • Fisioterapia y estiramientos
  • Evitar calzado plano y caminar descalzo
How well did you know this?
1
Not at all
2
3
4
5
Perfectly
8
Q

Fascitis plantar

¿Qué es la fascitis plantar?

A

Inflamación de la aponeurosis plantar en su inserción calcánea

How well did you know this?
1
Not at all
2
3
4
5
Perfectly
9
Q

Fascitis plantar

¿Qué síntomas produce?

A

Dolor punzante al apoyar el talón, peor por la mañana o tras reposo

How well did you know this?
1
Not at all
2
3
4
5
Perfectly
10
Q

Fascitis plantar

¿Factores de riesgo?

A
  • Pie plano
  • Pie cavo
  • Sobrepeso
  • Bipedestación prolongada
How well did you know this?
1
Not at all
2
3
4
5
Perfectly
11
Q

Fascitis plantar

¿Qué complicación se observa en fases crónicas?

A

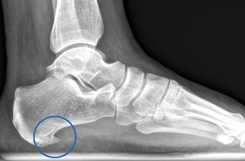
Espolón calcáneo

Consecuencia de la inflamación crónica de la fascia plantar

How well did you know this?
1
Not at all
2
3
4
5
Perfectly
12
Q

Fascitis plantar

Dx

A
  • Dolor a la palpación
  • Estiramiento pasivo de los dedos
  • Dorsiflexión ↓
How well did you know this?
1
Not at all
2
3
4
5
Perfectly
13
Q

Fascitis plantar

¿Tratamiento conservador?

A
  • Cambios de calzado
  • ↓ de peso
  • Taloneras de gel
  • Ejercicios con rodillo

Casos refractarios: infiltracion con esteroide (⚠️ rotura de fascia)

How well did you know this?
1
Not at all
2
3
4
5
Perfectly
14
Q

Fascitis plantar

¿Tratamiento quirúrgico?

A

Desinserción parcial de la aponeurosis plantar

How well did you know this?
1
Not at all
2
3
4
5
Perfectly
15
Q

Enfermedad de Haglund

¿Qué es la enfermedad de Haglund?

A

Exostosis en la inserción del tendón de Aquiles (“Sever del adulto”)

How well did you know this?
1
Not at all
2
3
4
5
Perfectly
16
Q

Enfermedad de Haglund

¿Síntomas?

A

Dolor posterior, sensibilidad al zapato

17
Q

Enfermedad de Haglund

¿Tratamiento?

A
  • Cambio de calzado
  • Cirugía (tenodesis)
18
Q

Tendinitis aquilea

¿Qué es la tendinitis aquilea?

A

Degeneración del tendón de Aquiles por microtraumas repetitivos

19
Q

Tendinitis aquilea

¿Tratamiento?

A

AINES, fisioterapia y taloneras