TEE views Flashcards

(11 cards)

1
Q
A

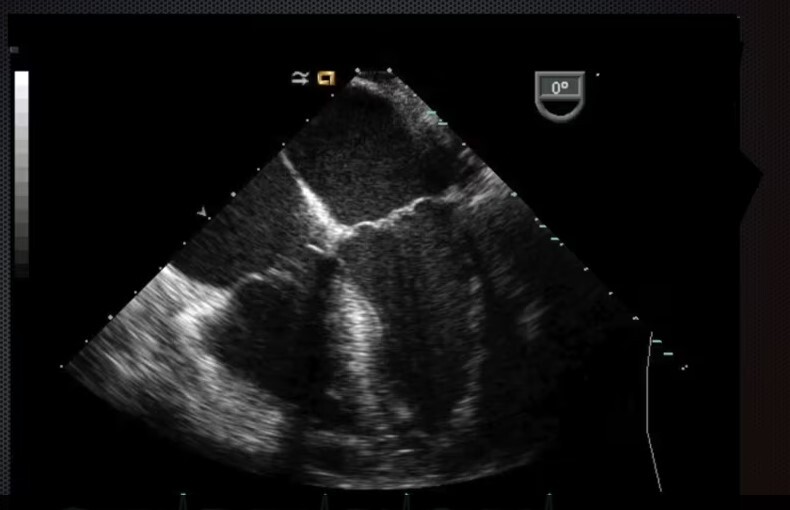
Mid-Esophageal 4 chamber view. Structures: R atrium, R ventricle, L atrium, L ventricle, anterior and posterior mitral leaflets. 30-35 cm into the esophagus. Turn R until you center on mitral valve. Plane to 10-20 degrees.

How well did you know this?
1
Not at all
2
3
4
5
Perfectly
2
Q
A

Mid-Esophageal 2 chamber view. Multiplane to between 80-100 degrees.
Structures: LA, LV, coronary sinus, L atrial appendage

How well did you know this?
1
Not at all
2
3
4
5
Perfectly
3
Q
A

Mid-Esophageal Long Axis View. Multiplane to between 120-140 degrees. Center LVOT. Structures: L atrium, L ventricle, LVOT, aortic valve, R ventricle, posterior & anterior leaflets of mitral valve.

How well did you know this?
1
Not at all
2
3
4
5
Perfectly
4
Q
A

Mid-Esophageal Ascending Aorta Long Axis
Withdraw slightly from MELAX to see the aorta.
Structures: Aorta and R pulmonary artery. Rotate counterclockwise to see pulmonic valve.

How well did you know this?
1
Not at all
2
3
4
5
Perfectly
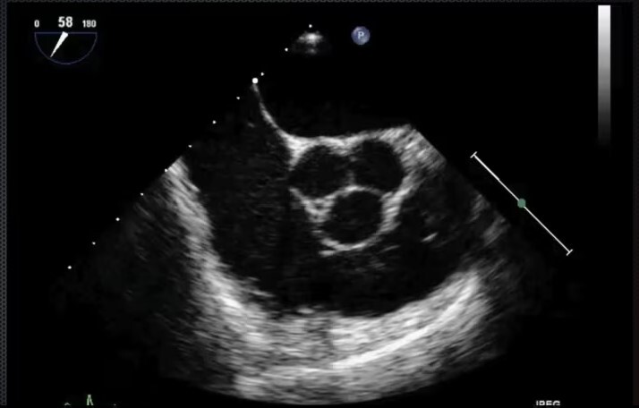
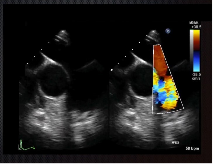
5
Q
A

Mid-Esophageal Ascending Aorta Short Axis view - Aorta, superior vena cava, right pulmonary artery, main pulmonary artery. You find main PA on MEAscAoSAX and then multiplane to 20-40 degrees. Can sometimes see PE, good for pulmonic valve pathology as well.

How well did you know this?
1
Not at all
2
3
4
5
Perfectly
6
Q
A

Mid-Esophageal Aortic Valve Short Axis View - LA, RA, RV, tricuspid valve, pulmonic valve, aortic valve. Advance probe from MEAscAoSAX until you can see it.

How well did you know this?
1
Not at all
2
3
4
5
Perfectly
7
Q
A

Mid-Esophageal RV Inflow-Outflow View - AV, RA, RV, tricuspid valve, pulmonic valve. Advance probe slightly from MEAVSAX and then rotate probe clockwise to center tricuspid valve. Multiplane to between 60-90 degrees. Good for TV pathology, PV pathology, and right heart function.

How well did you know this?
1
Not at all
2
3
4
5
Perfectly
8
Q
A

Mid-Esophageal Bicaval view
- RA, LA, IVC, SVC - Start with ME RV inflow/outflow and multiplane to 90-110 degrees, rotate probe clockwise. Good for looking for thrombus in the IVC/SVC, looking for appropriate pacing wire placement in RA.

How well did you know this?
1
Not at all
2
3
4
5
Perfectly
9
Q
A

Trans-gastric mid-papillary short axis view - start at ME 4CH view at 0 on the multiplane, advance probe to stomach and then anteflex. Manipulate probe depth until you can see posteromedial and anterolateral papillary muscles. See right and left ventricles. Good for regional wall movement abnormalities. Good for volume assessment.

How well did you know this?
1
Not at all
2
3
4
5
Perfectly
10
Q
A

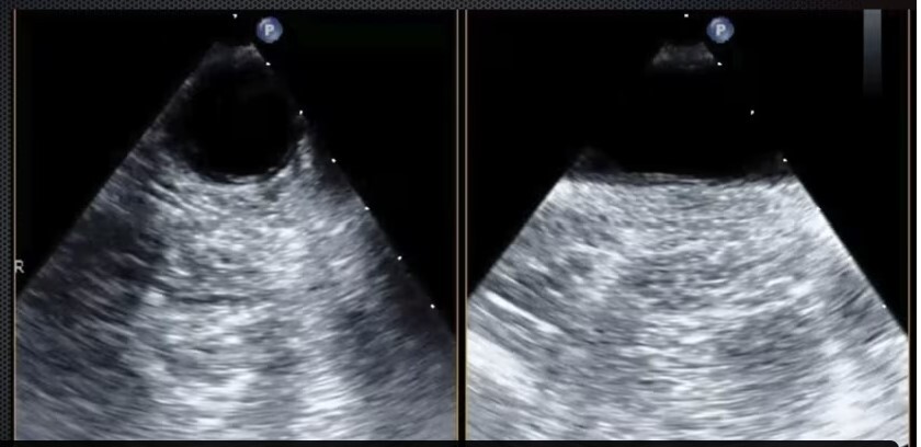
Descending Aortic Short Axis - Start at ME4Ch, rotate counterclockwise until you can see the aorta. Good for descending aortic pathology and balloon pump placement.

How well did you know this?
1
Not at all
2
3
4
5
Perfectly
11
Q
A

Descending Aortic Long Axis View - flip multiplane to 90 degrees from Descending Aortic SAX view. Also good for visualizing descending aorta pathology.

How well did you know this?
1
Not at all
2
3
4
5
Perfectly