TTE views Flashcards

(5 cards)

1
Q
A

Parasternal long axis view - 3rd-5th interspace, just to the left of the sternum, probe indicator toward the right shoulder. RV, LV, LA, LVOT with aortic and mitral valves. Turn on doppler to evaluate for aortic regurgitation.

How well did you know this?
1
Not at all
2
3
4
5
Perfectly
2
Q
A

Parasternal short axis view - start with PLAX, rotate probe 90 degrees until probe indicator is pointed at the left shoulder, and fan down and medially. Left and right ventricles, can see anterolateral and posteromedial papillary muscles.

How well did you know this?
1
Not at all
2
3
4
5
Perfectly
3
Q
A

Subcostal long axis view - start 1-2 cm below the xiphoid, shift probe slightly to the right. LV, LA, RV, RA. Can ask patient to take a breath to improve image. Good for exams during cardiac arrest.

How well did you know this?
1
Not at all
2
3
4
5
Perfectly
4
Q
A

Subcostal IVC - start at the SLAX and then put the RA in the middle of the image, and rotate the probe 40-60 degrees clockwise. Can help to evaluate volume status.

How well did you know this?
1
Not at all
2
3
4
5
Perfectly
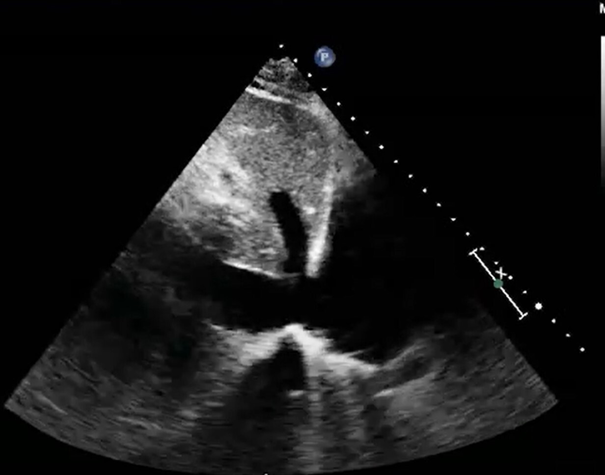
5
Q
A

Apical 4 chamber view - put probe in inframammary crease put probe indicator on the left and angle medially. Possibly best view for evaluating mitral valve function especially with doppler.

How well did you know this?
1
Not at all
2
3
4
5
Perfectly