Test 1: Chest X-Rays (Andy's Cards) Flashcards

(127 cards)

1
Q

In the U.S., CXR is routinely obtained for hospitalized adults. In other countries, due to cost, providers rely on physical examination. What are the inherent limitations to this?

A
  • Identifying lesions in the mediastinum, interstitium, and in the center of the lung.
How well did you know this?
1
Not at all
2
3
4
5
Perfectly
2
Q

What pathologies can be present even with a normal chest x-ray?

A
  • Interstitial, airway, and pulmonary vascular disease can not be recognized with CXR (i.e.: asthmatics).
How well did you know this?
1
Not at all
2
3
4
5
Perfectly
3
Q

Overexposure will cause a film to be too _______.

What structures are well seen in these conditions?

What structures can not be seen?

A
  • Dark
  • Bony structures can be well seen (thoracic spine, mediastinal structures, retrocardiac areas)
  • Small nodules and fine lung structures will be difficult to see.
How well did you know this?
1
Not at all
2
3
4
5
Perfectly
4
Q

Underexposure will cause a film to be too _______.

What structures are well seen in these conditions?

A
  • Bright/White
  • Small pulmonary blood vessels will appear prominent and may lead you to think that there are generalized infiltrates when none is really present.
How well did you know this?
1
Not at all
2
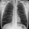
3
4
5
Perfectly
5
Q

How does breast tissue or an overly obese patient affect the X-ray image?

A

Breast tissue and large amounts of fat tissue can absorb X-ray beams which causes underexposure of the tissue in the path.

How well did you know this?
1
Not at all
2
3
4
5
Perfectly
6
Q

How are chest X-rays on ambulatory patients routinely done?

A
  • Patient’s chest up and against the firm holder.
  • The X-ray passes from the back and exits in front to the chest.
  • This is called a PA projection (posterior to anterior).
How well did you know this?
1
Not at all
2
3
4
5
Perfectly
7
Q

If the patient is lying down, what will be the orientation of the X-ray projection?

A
  • AP Projection (anterior to posterior)
How well did you know this?
1
Not at all
2
3
4
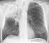
5
Perfectly
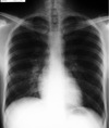
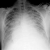
8
Q

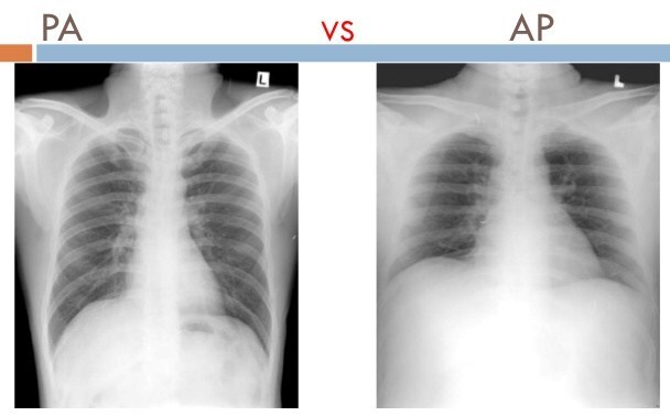
For interpretative purposes, what is the main difference between an AP and PA projection?

A
  • The heart will be magnified on an AP projection.
  • This is the because the projection of the heart is farther from the film and the X-ray beam diverges as it goes farther from the X-ray tube.
How well did you know this?
1
Not at all
2
3
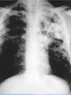
4
5
Perfectly
9
Q

Why do X-ray techs tell patients to take a deep breath and hold it before they shoot the X-ray?

A
  • Inspiration allows for the spreading of the pulmonary vessels and clearer visualization
How well did you know this?
1
Not at all
2
3
4
5
Perfectly
10
Q

What are two reasons why upright film is preferred over supine film?

A
  • Patients can have a greater inspiration.
  • Better visualization of pleural effusion since it will run into the normally deep costophrenic angle.
How well did you know this?
1
Not at all
2
3
4
5
Perfectly
11
Q

When standing, most adults can take an inspiration that brings the domes of the hemidiaphragm to which rib number?

A
  • Rib 10
How well did you know this?
1
Not at all
2
3
4
5
Perfectly
12
Q

When seated, most adults can take an inspiration that brings the domes of the hemidiaphragm to which rib number?

A
  • Anywhere from Rib 8 to Rib 10
How well did you know this?
1
Not at all
2
3
4
5
Perfectly
13
Q

If the lungs are hypoinflated, the radiography will show the diaphragm at which rib?

A
  • Rib 7
How well did you know this?
1
Not at all
2
3
4
5
Perfectly
14
Q

When doing a quick scan at a CXR, we start at the area of least importance to most importance. What will this order be?

A
  • Abdomen (first)
  • Thorax
  • Mediastinum
  • Individual Lungs
  • Bilateral Lung (last)
How well did you know this?
1
Not at all
2
3
4
5
Perfectly
15
Q

Pattern of how you will scan the abdomen of a CXR?

A
How well did you know this?
1
Not at all
2
3
4
5
Perfectly
16
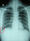
Q

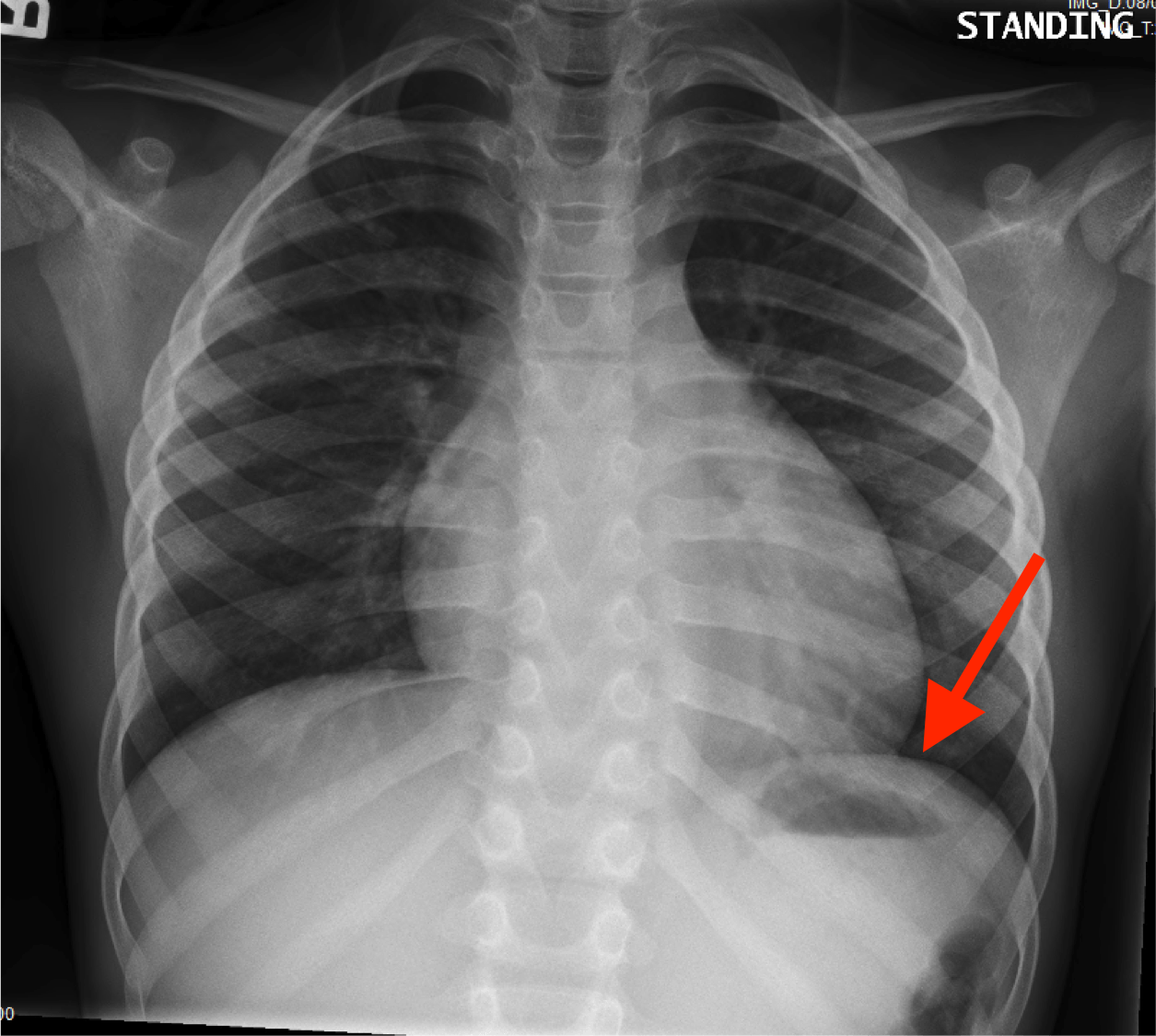
What is the red arrow indicating?
Is this a normal finding on a CXR?

A
  • Gastric bubble
  • This is a normal finding on a CXR

Free air: Instead of the air being contained inside the stomach to the unitlateral side of the diaphgram, air will be displaced bilaterally on both sides of the diaphragm.

How well did you know this?
1
Not at all
2
3
4
5
Perfectly
17
Q

Pattern of how you will scan the thorax of a CXR?

A
How well did you know this?
1
Not at all
2
3
4
5
Perfectly
18
Q

What are you scanning for when looking at the thorax of a CXR?

A
  • Bony Structures
  • Rib
  • Clavicles
  • Scapula
  • Continuity and Malformation (Fractures)
How well did you know this?
1
Not at all
2
3
4
5
Perfectly
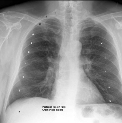
19
Q

Which type of rib fracture is harder to detect on a CXR (Posterior or Anterior Ribs)?

A
  • Posterior Rib fractures are harder to detect.
How well did you know this?
1
Not at all
2
3
4
5
Perfectly
20
Q

The pattern of how you will scan the mediastinum and heart of a CXR.

A
How well did you know this?
1
Not at all
2
3
4
5
Perfectly
21
Q

What three structures in the mediastinum should be centrally located during a routine CXR?

A
  • Heart
  • Sternum
  • Trachea
How well did you know this?
1
Not at all
2
3
4
5
Perfectly
22
Q

Generally, the heart should be no larger than _______ of the chest diameter.

A
  • one-third
How well did you know this?
1
Not at all
2
3
4
5
Perfectly
23
Q

The pattern of how you will scan each lung on a CXR.

A
How well did you know this?
1
Not at all
2
3
4
5
Perfectly
24
Q

What is the systematic approach (detail) for viewing a CXR?

A
  • Bony Fragments/ Framework
  • Soft Tissues
  • Lung Fields and Hila
  • Diaphragm and Pleural Space
  • Mediastinum and Heart
  • Abdomen and Neck
How well did you know this?
1
Not at all
2
3
4
5
Perfectly
25
What are bony fragments that can be viewed on a CXR?
* Ribs - start at sternum and trace posteriorly * Sternum - look for continuity * Spine - best view on lateral image * Shoulder girdle - look for displacement * Clavicles - look for symmetry
26
What soft tissues are inspected on a CXR?
* Breast tissue - breast tissue can hide diaphragmatic problems, fluid accumulation, free air * Soft Tissue in the supraclavicular area * Axillae * Tissue along the breast
27
What can be viewed in the Hilum on a CXR?
* Pulmonary arteries * Pulmonary veins
28
What is another name for the hilum?
* Lung Root
29
What should be seen in the lungs of a healthy adult's CXR?
* Normal Lung markings * Linear and fine nodular shadows of pulmonary vessels * Abnormalities in the lung field are marked by excessive radiolucency, excessive radiopacity, or opacified areas.
30
What percent of the lung field and hila will be obscured by the tissue?
* 40%
31
What kind of shape should the diaphragm form on a normal CXR?
* Dome-shape * Costophrenic angle (red circle)
32
True or False: Normal pleural is not visible in a healthy person's CXR.
* True * You should not be able to see the pleural in a normal CXR. * The only time you should see the pleural is when air is trapping between the chest wall or the mediastinum and lungs.
33
On a Posterior-Anterior CXR, the normal right heart and mediastinal border are made up of four structures. Name them from the bottom to the top.
* Inferior Vena Cava (bottom) * Right Atrium * Ascending Aorta * Superior Vena Cava (top)
34
On a Posterior-Anterior CXR, the normal left heart and mediastinal border comprise five structures. Name them from the bottom to the top.
* Left Ventricle (bottom) * Left Atrium * Pulmonary Artery * Aortic Arch * Subclavian Artery/Vein (top)
35
What side is the gastric bubble usually on?
* Left side (unilateral)
36
What is assessed on the neck for a CXR?
* Soft tissue mass * Air trapping (air bronchogram)
37
Can you tell the content of a fluid by looking at a X-ray?
* No * You can tell that the substance is a fluid, but not what it is made up of (blood, mucous, pulmonary edema).
38
Describe the appearance of the following on a CXR: Air Water Bone Tissue
* Air tends to be black * Water is solid white * Bone is translucent white * Tissue is even more solid white than fluid.
39
What factors can result in a poor quality x-ray film?
* Poor inspiration (poor visibility/ high diaphragms) * Over or under-penetration (can exaggerate important findings) * Rotation (obscure CXR view) * Forgetting the path of the X-ray beam
40
On a properly penetrated posterior-anterior CXR, one can just make out the __________ overlying the image of the heart.
* thoracic vertebrae
41
How will you check if the patient is not rotated on CXR?
* Check proper orientation by noting equal distance from vertebral spines to medial ends of the clavicle
42
How many lobes are there on the right lung?
* 3 lobes on the right lung
43
How many lobes are there on the left lung?
* 2 lobes on the left lung
44
What type of CXR projection/orientation will have extensive lung overlap?
* Posterior-anterior X-ray projection will show the lower lobes extending high over the lung field.
45
How much of the right lung does the RUL occupy?
* one-third
46
Posteriorly, the RUL is adjacent to the first _____ to _____ ribs.
* 3 to 5 ribs
47
Anteriorly, the RUL extends down as far as the _______anterior right rib.
* 4th anterior right rib
48
What is the smallest lobe of the right lung? What kind of shape does it look like in a lateral CXR?
* The right middle lobe is the smallest lobe * Triangular shape with narrowest end near the hilum
49
What is the largest lobe of the right lung?
* RLL * RLL is also the most common place pt will develop pneumonia. * RLL will also be harder to see in patients with poor inspiration.
50
Posteriorly, the RLL extends as far superiorly as high as the ______ vertebral body and extends inferiorly to the diaphragm.
* 6th thoracic
51
How many fissures separate the lobes of the right lung?
* Two fissures * Minor Fissure - separates RUL and RML * Major Fissure - separates the RUL/RML from the RLL
52
Which lobe covers most of the anterior portion of the left lung?
* LUL
53
Which lobe covers most of the posterior portion of the left lung?
* LLL
54
What lobe in the lungs in most prone to pneumonia development?
RLL
55
What separates the LUL and LLL?
* Major Fissure
56
Label 1
* Aortic Arch
57
Label 2
* Pulmonary Trunk
58
Label 3
* Left atrial appendage
59
Label 4
* Left Ventricle
60
Label 5
* Right Ventricle
61
Label 6
* Superior Vena Cava
62
Label 7
* Right hemidiaphragm
63
Label 8
* Left hemidiaphragm
64
Label 9
* Horizontal fissure
65
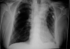
Label 1
* Oblique Fissure
66
Label 2
* Horizontal Fissure
67
Label 3
* Thoracic spine/ Retrocardial space
68
Label 4
* Retrosternal space
69
What will cause a Silhouette Sign on a CXR?
* Lungs making contact with the heart or any structure (tumor, mass, lesion) that may obscure the border of a CXR.
70
Visualization of air in the intrapulmonary bronchi on a CXR is called a ________ sign.
* Bronchogram * Bronchogram sign indicates an abnormal lung (consolidation). * With consolidation, pulmonary vessels are no longer visualized b/c they are surrounded by other soft tissue density material.
71
1/3rd of the heart sides on ______ side 2/3rd of the heart sides on the ______ side.
* right side * left side
72
Lung injury or pathological states can be either a ________ or _______ process.
* generalized * localized
73
What can cause generalized liquid density in a lung?
* Diffused alveolar * Diffused interstitial * Mixed/Vascular
74
What can cause localized liquid density in a lung?
* Infiltrate * Consolidation * Cavitation * Mass * Congestion * Atelectasis
75
What can cause increased air density in the lungs?
* Localized airway obstruction * Diffuse airway obstruction * Emphysema * Bulla
76
What is consolidation on a CXR?
* Alveolar space filled with inflammatory exudate (bacteria and WBC). * With consolidation, architecture remains the same and the airway is patent
77
What is obstructive atelectasis on a CXR?
* No ventilation to the lobe beyond the obstruction (ie: mucous plug, right main stem intubation)
78
What are the stages of evaluating a CXR abnormality?
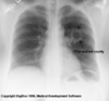
* ID the abnormal shadows * Anatomically localize lesion * ID pathological process * ID etiology * Confirm clinical suspicion (contrast, CT, MRI)
79
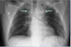
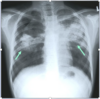
What are the two arrows pointing at? What does the "^" indicate?
* ETT * Central Line
80
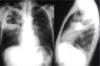
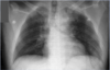
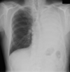
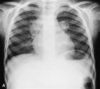
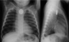
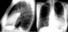
What does this CXR show?
* Right mainstem intubation
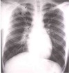
81
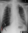
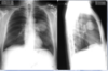
Is this a proper placement of a central line?
* No, the tip (smaller red arrow) is within the right ventricle. Pt will probably experience PVCs. * The catheter tip should lie between the most proximal venous valves of the subclavian or jugular veins and the right atrium.
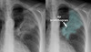
82
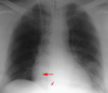
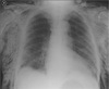
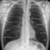
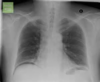
What is this CXR showing?
* Right pleural effusion * Notice the loss of the costophrenic angle
83
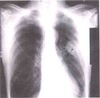
What is this CXR showing?
* RML pneumonia * You can rule out RLL pneumonia because there is no accumulation at the base of the lung. * A lateral CXR will have the best view for confirmation.
84
What is this CXR showing?
* RUL pneumonia
85
What is this CXR showing?
* RLL pneumonia
86
What is this CXR showing?
* Free air under the diaphragm
87
What are the four arrows pointing at?
* Cavitary Infiltrate
88
A lesion seen in the lung that is caused by tuberculosis.
* Ghon's Complex * The lesions consist of a calcified focus of infection and an associated lymph node. * Very hard to detect.
89
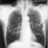
What are the arrows pointing to in this CXR?
* Anterior Mediastinal Mass * Need lateral CXR to confirm. It's hard to see the mass in AP view.
90
What are the arrows pointing to in this CXR?
* LUL Mass
91
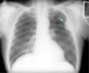
What is this CXR showing?
* Pulmonary Metastasis (Cancer) * The white circular object on the patient's right lung is a medication port.
92
What are the two arrows on this CXR indicating?
* Pneumomediastinum * There should never be that much air between the heart and lungs. * This can be caused by airway trauma, tracheal or esophageal rupture
93
What is this CXR showing?
* Left Pneumothorax * Notice the air trapping on the patient's left lung
94
What is this CXR showing?
* Subcutaneous Emphysema * Notice the intermittent areas of radiolucency, often representing a fluffy appearance on the exterior borders of the thorax.
95
What is the red arrow indicating?
* Deep Sulcus Sign * This is an indirect indicator of a pneumothorax.
96
If a child swallows a large coin, is it more likely to go down the esophagus or trachea?
* Esophagus
97
What is this CXR showing?
* Pulmonary Fibrosis
98
What is this CXR showing?
* Diffused Pulmonary Edema
99
What is the classic sign on a CXR of pulmonary edema secondary to CHF?
* Bat Wing Pattern * Enlarged Heart
100
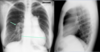
What is this CXR showing?
* Post-op Left Pneumonectomy * There is no left lung
101
What is this CXR showing?
* Transverse Aortic Arch Aneurysm
102
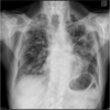
What is this CXR showing?
* Cardiomegaly
103
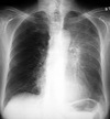
What is this CXR showing?
* Aortic Dissection * Notice the wide mediastinum and deviation of the heat to the patient's left side
104
What sign is present when a large loop of the intestine gets shoved between the diaphragm and the liver?
* Chilaiditi Sign
105
What is this CXR showing?
* Esophageal Rupture (Boerhaave's Syndrome) * Notice small bilateral lung field and infiltrates * Wide mediastinum pattern * Air visible on bilateral sides of the heart
106
What is hilar adenopathy?
* Hilar adenopathy is the enlargement of lymph nodes in the hilum. * It can be caused by conditions such as tuberculosis, sarcoidosis, drug reactions, infections, or cancer.
107
What is this CXR showing?
* Bilateral Hilar Adenopathy
108
Case Study: 35 y/o male with dyspnea, unplanned weight loss over 3 months.
* Pulmonary lesion on patient's left lung * Thin-walled cavity is noted in the left midlung. Most likely cancerous. * This finding is most typical of squamous cell carcinoma (SCC).
109
Case Study: 65y/o with a month worth of dyspnea, occasional productive cough, and fever
* LUL Atelectasis: Loss of heart borders/silhouetting. * Notice over inflation on unaffected lung * Inflammatory process or pneumonia in the LUL
110
Case Study: 30yo female with 1 week of fever and cough
* Right Middle Lobe Pneumonia * Left Upper Lobe Pneumonia
111
Case Study: 28y/o inmate for CT-guided drainage
* Cavitation: cystic changes in the area of consolidation due to the bacterial destruction of lung tissue. * Pleural Effusion in RML * Notice air-fluid level.
112
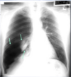
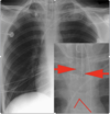
What are the two arrows indicating in this CXR?
* Tuberculosis (stretched out cotton ball appearance)
113
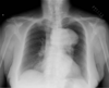
What is this CXR showing?
* COPD: increase in heart diameter, flattening of the diaphragm, and increase in the size of the retrosternal air space. * In addition, the upper lobes will become hyperlucent due to the destruction of the lung tissue.
114
What is this CXR showing?
* Pseudotumor: fluid has filled the minor fissure creating a density that resembles a tumor (arrow). Recall that fluid and soft tissue are indistinguishable on plain film. * Further analysis, however, reveals a classic pleural effusion in the right pleura. * Note the right lateral gutter is blunted and the right diaphram is obscurred.
115
What is this CXR showing?
* Pneumonia: a large pneumonia consolidation in the right lower lobe. * Knowledge of lobar and segmental anatomy is important in identifying the location of the infection.
116
What is this CXR showing?
* Pulmonary Edema secondary to CHF * A great deal of accentuated interstitial markings, curly lines, and an enlarged heart. * Normally indistinct upper lobe vessels are prominent but are also masked by interstitial edema.
117
What is the CXR showing?
* Chest wall lesion: arising off the chest wall and not the lung
118
What is the CXR showing?
* Pleural effusion: Note loss of left hemidiaphragm. * Fluid drained via thoracentesis
119
What is the CXR showing?
* Lung Mass
120
What is the CXR showing?
* Small Pneumothorax: LUL * Notice that thin white line, that is the lung being shoved down by the pneumothorax
121
What is the CXR showing?
* Right Middle Lobe Pneumothorax: complete lobar collapse and deep sulcus
122
What is the CXR showing?
* Metastatic Lung Cancer: Multiple nodules seen
123
What is the CXR showing?
* RUL pulmonary nodule
124
What is the CXR showing?
* TB
125
What is the CXR showing?
* Perihilar mass * Hodgkin’s disease
126
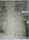
What is the CXR showing?
* Widened Mediastinum * Aortic Dissection
127
What is the CXR showing?
* Pulmonary artery stenosis with cardiomegaly likely secondary to stenosis.