X-Rays (Exam I) Flashcards

(53 cards)

1
Q

Would bones be more present with overexposure or underexposure?

A

overexposure

How well did you know this?
1
Not at all
2
3
4
5
Perfectly
2
Q

What type of body habitus results in underexposed x-rays?

A

Obesity

How well did you know this?
1
Not at all
2
3
4
5
Perfectly
3
Q

With overexposure, a chest x-ray will appear too ______.

A

dark

How well did you know this?
1
Not at all
2
3
4
5
Perfectly
4
Q

With underexposure, a chest x-ray will appear too ____.

A

bright

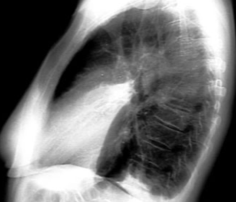
How well did you know this?
1
Not at all
2
3
4
5
Perfectly
5
Q

What mnemonic should guide x-ray assessment?

A

Are There Many Lung Lesions?

Abdomen
Thorax
Mediastinum
Lung
Laterality

How well did you know this?
1
Not at all
2
3
4
5
Perfectly
6
Q

What structures make of the pulmonary Hila?

A

Pulmonary arteries & veins

How well did you know this?
1
Not at all
2
3
4
5
Perfectly
7
Q

Abnormalities in lung fields are marked by excessive _______ and ________.

A

radiolucency and radiopacity

How well did you know this?
1
Not at all
2
3
4
5
Perfectly
8
Q

What is the systematic order of approach for chest x-ray assessment?

A
  1. Bony framework
  2. Soft tissues
  3. Lung fields and Hila
  4. Diaphragm and pleural spaces
  5. Mediastinum & heart
  6. Abdomen and neck
How well did you know this?
1
Not at all
2
3
4
5
Perfectly
9
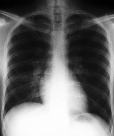
Q

What structure is indicated by 1 on the figure below?

A

Superior Vena Cava

How well did you know this?
1
Not at all
2
3
4
5
Perfectly
10
Q

What structure is indicated by 2 on the figure below?

A

Inferior Vena Cava

How well did you know this?
1
Not at all
2
3
4
5
Perfectly
11
Q

What structure is indicated by 3 on the figure below?

A

Right atrium

How well did you know this?
1
Not at all
2
3
4
5
Perfectly
12
Q

What structure is indicated by 4 on the figure below?

A

Right ventricle

How well did you know this?
1
Not at all
2
3
4
5
Perfectly
13
Q

What structure is indicated by 5 on the figure below?

A

Left ventricle

How well did you know this?
1
Not at all
2
3
4
5
Perfectly
14
Q

What structure is indicated by 6 on the figure below?

A

Ascending Aorta and Aortic Arch

How well did you know this?
1
Not at all
2
3
4
5
Perfectly
15
Q

What structure is indicated by 7 on the figure below?

A

Pulmonary vasculature

How well did you know this?
1
Not at all
2
3
4
5
Perfectly
16
Q

What would the results be for a poor inspiration on a chest x-ray?

A
  • High diaphragm
  • Crowding of lung markings
How well did you know this?
1
Not at all
2
3
4
5
Perfectly
17
Q

What describes the anatomical position of the right upper lobe (RUL) ?

A
  • Upper ⅓ of right lung
  • Posteriorly, adjacent to first 3 - 5 ribs
  • Anteriorly, reaches as far down as 4th rib
How well did you know this?
1
Not at all
2
3
4
5
Perfectly
18
Q

What lobe of the right lung is located primarily posteriorly?

A

Right Lower Lobe (RLL)

How well did you know this?
1
Not at all
2
3
4
5
Perfectly
19
Q

Which of the right lung lobes is typically smallest and triangular in shape?

A

Right Middle Lobe (RML)

How well did you know this?
1
Not at all
2
3
4
5
Perfectly
20
Q

How high up posteriorly will the RLL extend?

A

T6

How well did you know this?
1
Not at all
2
3
4
5
Perfectly
21
Q

Which right lung fissure is oriented obliquely?

A

Major Fissure

How well did you know this?
1
Not at all
2
3
4
5
Perfectly
22
Q

The minor fissue separates which right lung lobes?

A

The RUL and RML

23
Q

What is the silhouette sign?

A

Lung lesion that obscurs normal anatomy (in this case the aortic arch).

24
Q

What is consolidation?

A

Inflammatory exudate of WBC, plasma, bacteria, and debris.

RML consolidation pictured.

25
Is there loss of lung volume noted with consolidations?
No
26
What are examples of localized lung liquid densities?
- Infiltrate - Consolidation - Cavitation - Mass - Congestion - Atelectasis
27
What are examples of generalized lung liquid densities?
- Diffuse alveolar - Diffuse interstitial - Mixed - Vascular
28
What are some disease states consistent with increased air density?
- Emphysema - Bulla - Localized airway obstruction - Diffuse airway obstruction
29
What signs are seen in an atelectatic lung space?
- Density corresponding to segment or lobe
30
What disorder is likely from the radiograph below?
Gohn's Complex. Lesion of calcified infection with associated lymph node involvement. Usually results from tuberculosis.
31
What disorder is likely from the radiograph below?
Anterior Medistinal Mass
32
What is the likely pathology based on the x-ray below?
RUL Pneumonia
33
What is the likely pathology based on the x-ray below?
Right Pleural Effusion
34
What lung lobe is affected by the effusion noted in the image below?
Trick Question. Costophrenic angle still visible. This is likely a RLL pneumonia, not an effusion.
35
What is the likely pathology based on the x-ray below?
Free air under the diaphragm
36
What is the likely pathology based on the x-ray below?
LUL mass
37
What is the likely pathology based on the x-ray below?
Metastatic Cancer
38
What is the likely pathology based on the x-ray below?
Pulmonary Metastasis Hematogenous
39
What is the likely pathology based on the x-ray below?
Pneumomediastinum
40
What is the likely pathology based on the x-ray below?
Pneumothorax
41
What is the likely pathology based on the x-ray below?
Subcutaneous Air
42
What is the likely pathology based on the x-ray below?
Deep Sulcus Sign indicative of pneumothorax
43
How can one differentiate if a swallowed coin is in the trachea or the esophagus?
If the coin sits flat then its likely to be in the esophagus.
44
What is the likely pathology based on the x-ray below?
Post-operative pneumonectomy
45
What is the likely pathology based on the x-ray below?
Pulmonary Edema
46
What is the likely pathology based on the x-ray below?
Transverse Aortic Arch aneurysm
47
What is the likely pathology based on the x-ray below?
Cardiomegaly
48
What is the likely pathology based on the x-ray below?
Aortic Dissection
49
What is the likely pathology based on the x-ray below?
Chiladiti Sign indicative of interposition of bowel inbetween liver and the diaphragm. Not good. Especially after bowel surgery.
50
What is the likely pathology based on the x-ray below?
Mediastinal air secondary to esophageal rupture
51
What is the likely pathology based on the x-ray below?
Bilateral Hilar Adenopathy
52
What is the likely pathology based on the x-ray below?
LUL Atelectasis
53
What is the likely pathology based on the x-ray below?
Bilateral "cotton-ball" appearance is likely for TB