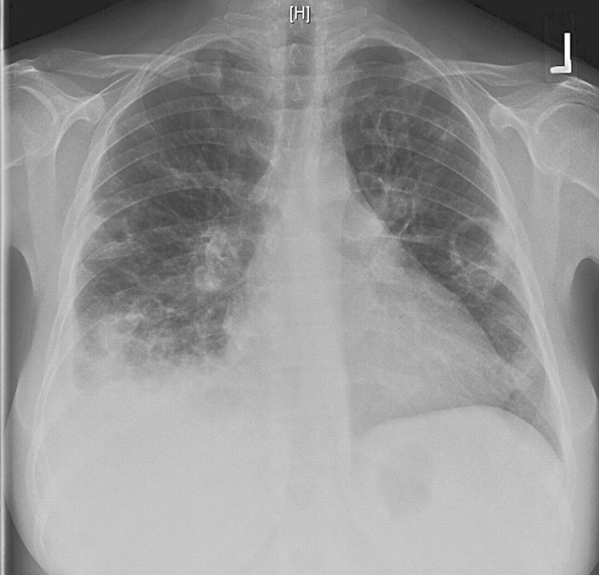
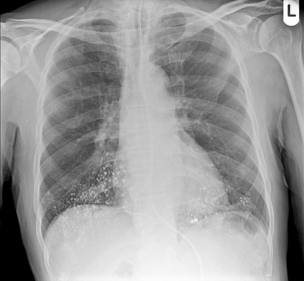
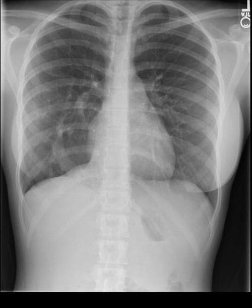
CLINICAL HISTORY:
32yo Female
Dyspnoea
FINDINGS:
Bilateral reticulonodular shadowing with diffuse cystic changes.
Lung volumes are preserved.
No pleural abnormalities demonstrated.
Heart size is normal.
Hila and mediastinal contours are normal.
IMPRESSION:
Lymphangioleiomyomatosis
DIFFERENTIAL DIAGNOSIS:
Langerhans Cell Histiocytosis (Usually has a smoking history and present in an older age group)
Overlapping emphysematous and granulomatous disease
FOLLOW UP:
Correlation with smoking history
HRCT
Respiratory referral
Bronchial biopsy / lavage
Serum ACE to r/o sarcoidosis
Genetic testing for TSC
U/S abdomen for AMLs
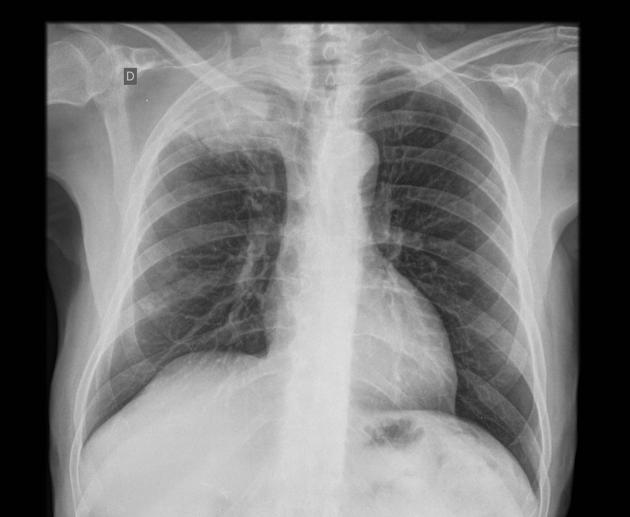
CLINICAL HISTORY:
75yo Male
Right shoulder pain and paraesthesia
FINDINGS:
A large mass is visualised at the right lung apex.
The left lung is clear.
No pleural abnormality is demonstrated.
Skeletal review is unremarkable, no evidence of rib destruction associated with the mass.
Heart size is normal.
IMPRESSION:
Right apical mass in keeping with Pancoast tumour.
BACKGROUND INFORMATION:
Primary bronchogenic malignancy which presents in the lung apex and invades the surrounding soft tissues. This may result in Pancoast syndrome (malignant invasion of the brachial plexus) in roughly 25% of patients.
DIFFERENTIAL DIAGNOSIS:
FOLLOW UP:
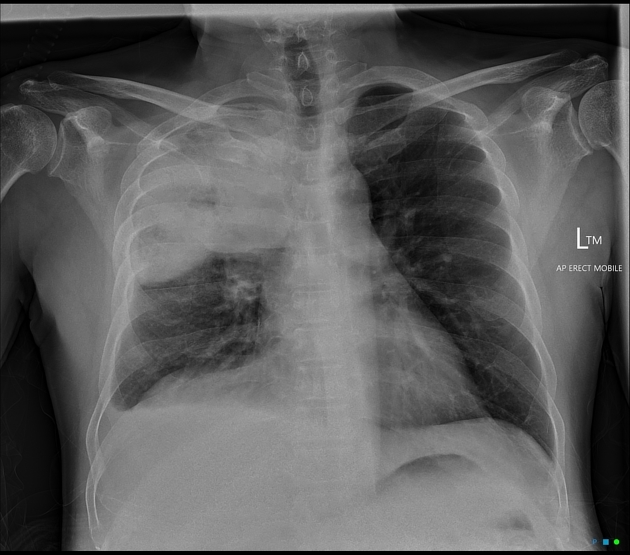
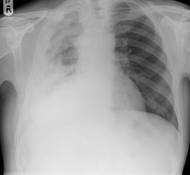
CLINICAL HISTORY:
62yo Male
Pyrexia and cough, ?HAP
FINDINGS:
Extensive airspace shadowing in the right upper lobe with inferior bulging of the transverse fissure. There is evidence of internal cavitation. The left lung is clear.
Small right sided pleural effusion.
Heart size is normal. Normal hilar appearances, no evidence of lymphadenopathy. Mediastinal contours are normal.
IMPRESSION:
Cavitating right upper lobe pneumonia, presence of bulging transverse fissure could suggest Klebsiella as a causative organism.
BACKGROUND INFORMATION:
Klebsiella pneumonia occurs from infection with the klebsiella pneumoniae organism. It is a common gram-negative respiratory infection. If cavitation occurs it happens early in the disease process and progresses quickly. Cavitation is much more common than in pneumococcal infections.
DIFFERENTIAL DIAGNOSIS:
FOLLOW UP:
CLINICAL HISTORY:
New cough, ?NG tube position
FINDINGS:
Multiple dense radiopacities demonstrated in both lung bases suggesting aspiration of barium sulphate, I note that a barium swallow was performed yesterday.
Lungs are otherwise clear, no pleural abnormalities.
NG tube is correctly sited, safe for use.
Heart size is normal, hila and mediastinal contours are normal.
IMPRESSION:
Aspiration of barium sulphate
BACKGROUND:
Some patients may aspirate on barium sulphate during GI radiological investigations. If a patient is pre-determined as an aspiration risk then a non-ionic iodinated contrast study is usually performed.
DIFFERENTIAL DIAGNOSIS:
None
FOLLOW UP:
If new aspiration (as in this scenario) patient would benefit from chest physiotherapy assessment
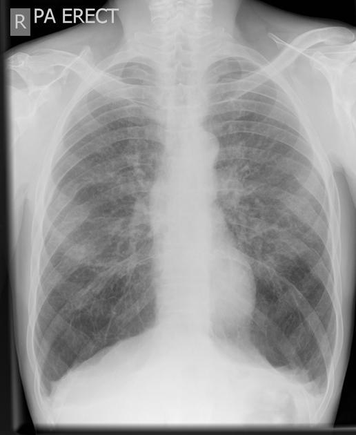
CLINICAL HISTORY:
Worsening SOB
Weight loss
FINDINGS:
Prominent pleural shadowing throughout the right hemithorax. The left lung and pleura are clear.
Heart size is normal, hila and mediastinal contours are normal.
IMPRESSION:
Appearances are concerning for mesothelioma.
BACKGROUND:
Uncommon primary malignacy which is pleural in the vast majority of cases. It has a strong association with occupational asbestos exposure (predominantly crocidolite).
DIFFERENTIAL DIAGNOSIS:
FOLLOW UP:
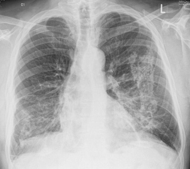
CLINICAL HISTORY:
76yo Male
Longstanding cough
FINDINGS:
Bilateral reticular interstitial shadowing with a lower zone predominance. Large calcified pleural plaque on the left side.
Heart size is normal, hilar and mediastinal contours are normal.
IMPRESSION:
Appearances are in suggestive of asbestosis
BACKGROUND:
Asbestosis represents the formation of interstitial lung disease after exposure to asbestos. Presents with a predominantly male distribution due to historic occupational exposure.
DIFFERENTIAL DIAGNOSIS:
FOLLOW-UP:
CLINICAL HISTORY:
23yo Female
SOBOE
FINDINGS:
Slight right sided volume loss with a tapering vertical curvilinear opacity in the right lung base, running parallel to the heart border.
Chest appearances are otherwise normal.
IMPRESSION:
Appearances are in keeping with scimitar syndrome.
BACKGROUND:
Scimitar syndrome represents a combination of pulmonary hypoplasia and partial anomalous pulmonary venous return. In the vast majority of cases it is right sided. It may be associated with congenital cardiac abnormalities.
DIFFERENTIAL DIAGNOSIS:
FOLLOW UP:
Cardiology referral
Consideration of further imaging with ECHO or CT
CLINICAL HISTORY:
Significant dyspepsia
FINDINGS:
The oesophagus is grossly dilated with an air-fluid level visualised in the upper mediastinum. Gastric band is seen in the left upper quadrant.
Heart size is normal, normal hilar appearances.
Lungs are clear, no pleural abnormalities.
IMPRESSION:
Megaoesophagus, presumably related to the visualised gastric band.
BACKGROUND:
Diffuse dilation of the oesophagus which may be related to dysmotility or an obstructive cause.
DIFFERENTIAL DIAGNOSIS:
FOLLOW UP:
CLINICAL HISTORY:
36yo Male
Longstanding cough, increasing breathlessness.
No history of smoking
FINDINGS:
Lungs are hyperinflated with visible bullae formation in both lower zones suggesting severe emphysematous change. No pleural abnormalities demonstrated.
Heart size is normal. Normal appearances of the right hilum, the left hilum is bulky but unchanged from previous imaging 10 years ago. Mediastinal contours are normal.
IMPRESSION:
Severe emphysematous disease. Considering patient age consideration should be made to alpha-1-antitrypsin deficiency.
BACKGROUND:
Reduced or absent levels of A1AT results in unchecked activity of neutrophil elastase. This causes the elastase in respiratory structures to be degraded, this is typically more severe in the lower zones due to gravitational blood flow. Pathogenesis may also result in cirrhosis.
DIFFERENTIAL DIAGNOSIS:
FOLLOW UP:
CLINICAL HISTORY:
30yo Female
Lethargy
FINDINGS:
Anterior mediastinal mass, distension of both paratracheal lines is suggestive of massive lymphadenopathy.
Heart size is normal, the hila are difficult to assess but appear normal.
Lungs are clear, no pleural abnormalities.
IMPRESSION:
Anterior mediastinal mass suggestive of massive lymphadenopathy.
Consideration should be made to lymphoma but further imaging and laboratory testing is required.
(Hodgkin Lymphoma confirmed on biopsy)
BACKGROUND:
Lymphoma is a primary lymphatic malignancy which can be divided into Hodgkin and non-Hodgkin types. Mediastinal manifestations are common. Mediastinal involvement on initial presentation is more common in the Hodgkin type.
DIFFERENTIAL DIAGNOSIS:
Mediastinal lymphadenopathy:
Anterior mediastinal mass:
FOLLOW UP:
CLINICAL HISTORY:
35yo Male
Chest pain and Dyspnoea
Active IVDU
FINDINGS:
Lungs are slightly underinflated.
Multiple cavitating lesions of varying size distributed throughout both lungs with no apparent zonal predominance.
Small/moderate right sided pleural effusion.
The heart appears borderline enlarged but there is no evidence of heart failure. Both hilar contours appear abnormal but this may be due to superimposed lesions. Mediastinal contours are otherwise normal.
Skeletal review is unremarkable.
IMPRESSION:
Given the clinical context appearances are in keeping with multiple septic pulmonary emboli.
BACKGROUND INFORMATION:
DIFFERENTIAL DIAGNOSIS:
FOLLOW-UP:
CLINICAL HISTORY:
95Yo Female
Pyrexia
FINDINGS:
Consolidation in the left mid/lower zone with effacement of the heart border.
Rounded opacification in the left upper zone containing multiple lucent spheres. Associated deformity of the left upper ribs and left sided volume loss.
Calcific changes over the left mid and lower zone which are presumably pleural in nature.
Granulomata in the right perihilar region in keeping with previous granulomatous disease.
IMPRESSION:
Appearances are in keeping with left sided pulmonary infection, which is probably lingular.
Background left upper zone changes are pathognomonic for plombage, right sided granulomata could suggest previous tuberculous infection.
BACKGROUND:
Plombage was a historical treatment for upper lobe cavitating tuberculosis, prior to the widespread introduction of anti-tuberculous medicines. The inserted material collapsed the adjacent lung, theoretically promoting healing.
DIFFERENTIAL DIAGNOSIS:
FOLLOW UP:
CLINICAL HISTORY:
18Yo Female
Cough with haemoptysis
FINDINGS:
Large well defined mass superimposed over the right hemidiaphragm, with evidence of cavitation.
Several smaller nodules are seen elsewhere in the right lower zone and left mid zone. No pleural abnormality is demonstrated.
Heart size is normal. Hila and mediastinal contours are normal.
IMPRESSION:
Multiple lung nodules, the largest of which shows evidence of cavitation.
Appearances could represent cavitating infection or granulomatosis with polyangiitis. Given the patient’s age malignancy seems unlikely.
BACKGROUND:
DIFFERENTIAL DIAGNOSIS:
FOLLOW-UP:
CLINICAL HISTORY:
New ITU admission, please confirm ET tube position
FINDINGS:
AP portable projection.
Endotracheal tube in situ with the tip suitably located.
Left sided central line in situ with the tip visualised in the region of the superior vena cava.
Nasogastric tube in situ, the tube is seen to lie outside the borders of the trachea and crosses the carina in a safe zone. the tip is not visualised but lies in the left upper quadrant. Safe for use.
Bilateral consolidation with a symmetrical perihilar and lower zone predominance.
Both hemidiaphragms are effaced, this is likely due to consolidation but it is difficult to rule-out co-existing pleural effusions.
Heart size cannot be accurately assessed but appears grossly normal. Hila are difficult to assess due to overlying consolidation, mediastinal contours appear normal.
IMPRESSION:
All implanted lines and tubes are safe for use.
Bilateral symmetrical consolidation with a perihilar and lower zone predominance.
Appearances are in keeping with ARDS but may also represent diffuse pulmonary haemorrhage, pulmonary oedema or infection. Clinical correlation is advised.
BACKGROUND:
Acute respiratory distress syndrome represents an acute lung injury causing alveolar damage. Alveoli become filled with fluid which decreases oxygenation.
DIFFERENTIAL DIAGNOSIS:
FOLLOW-UP:
CLINICAL HISTORY:
46Yo Female
Left sided chest pain
FINDINGS:
Innumerable tiny nodules demonstrated bilaterally and evenly throughout the lungs. High density suggests calcification.
No acute pulmonary pathology is demonstrated. No pleural abnormalities demonstrated.
Heart size is normal. Hila and mediastinal contours are normal.
Skeletal review is unremarkable.
IMPRESSION:
Appearances are consistent with previous varicella pneumonia.
No cause for patient’s symptoms identified.
BACKGROUND:
Varicella pneumonia is a viral lung infection caused by the chickenpox virus (varicella-zoster). Initial infection will present with multiple nodules, these may resolve but in some cases (as here) calcify. Most cases of pneumonia are in immunocompromised adults.
DIFFERENTIAL DIAGNOSIS:
Correlation with previous post-infection imaging should show unchanged appearances.
DDX of dense miliary opacities:
FOLLOW-UP:
CLINICAL HISTORY:
95Yo Female
Right neck of femur fracture. Pre-operative CXR please
FINDINGS:
AP Semi erect projection. Rotation to the left.
A large teardrop shaped radiopacity is demonstrated over the upper aspect of the right hemithorax. The edge appears calcified. It is unclear if the appearances are iatrogenic or pathological.
Small right sided lamellar pleural effusion. Small left pleural effusion.
Heart size cannot be accurately assessed but appears enlarged, bilateral Kerley-B lines suggestive of cardiac failure.
Degenerative appearance of the spine, no acute fractures are demonstrated in the thorax.
IMPRESSION:
Appearances in keeping with cardiac failure.
Large peripherally calcified opacity over the right hemithorax of uncertain aetiology. Clinical correlation is required, is there any history of pleural disease or surgical intervention?
BACKGROUND:
This case demonstrates an oleothorax which is an antiquated treatment for TB. It was not typically performed after the 1950s and is therefore unlikely to be encountered in clinical practice. The inserted oil is typically removed but if left in situ can result in complications after a long period of time. Complications can include superimposed infection and bronchopleural fistula.
DIFFERENTIAL DIAGNOSIS:
In the absence of previous imaging or appropriate clinical history it is difficult to distinguish an oleothorax from pleural pathology:
FOLLOW-UP:
With correction clinical history or previous imaging no follow-up is needed for oleothorax, unless complications are suspected.
CLINICAL HISTORY:
Port-a-cath inserted, ?position
FINDINGS:
Port-a-cath in situ, the tip is demonstrated in the region of the superior vena cava.
Widespread skeletal abnormalities with osteopaenia and expansion deformities of the ribs.
Heart is borderline enlarged. Prominent appearance of hilar vessels, mediastinal contours are otherwise normal.
Lungs are clear, no pleural abnormalities demonstrated.
IMPRESSION:
Port-a-cath is correctly sited and safe for use.
Expansile abnormalies of the ribs, with generalised osteopaenia. Does the patient have an underlying condition to explain this?
BACKGROUND:
This case demonstrates thalassemia, a type of haemoglobinopathy. Inadequate production of globin results in compensatory expansion of red-marrow spaces such as the ribs. Extramedullary haematopoiesis can occur causing lobulated soft tissue lesions on CXR (not present in this case).
DIFFERENTIAL DIAGNOSIS:
FOLLOW-UP:
CLINICAL HISTORY:
40Yo Male
SOB for 3/12, pyrexia and cough
FINDINGS:
Bilateral asymmetrical areas of consolidation throughout both lungs, predominantly in the upper and middle zones.
No pleural abnormality is demonstrated.
Heart size is normal. The left hilum is obscured by consolidation, but the right hilum and mediastinal contours are normal.
IMPRESSION:
Appearances are suggestive of an atypical infection or inflammatory process.
BACKGROUND:
This case demonstrates eosinophilic pneumonia. Eosinophilic pneumonias represent eosinophil rich fluid filling alveolar spaces. The cause may be idiopathic, secondary to drug exposure or fungal/parasitic infection, or as part of a vasculitis (Eosinophilic granulomatosis with polyangiitis). Eosinophilic pneumonia can be further divided:
DIFFERENTIAL DIAGNOSIS:
FOLLOW-UP:
Complex pneumonias may need to assessed with HRCT
Blood tests:
CLINICAL HISTORY:
25Yo Male
Dyspnoea and thoracic pain that worsens with activity
FINDINGS:
Rounded mass superimposed over the left hilum. The mass is continuous with the heart border, and the hilum and descending aorta can be clearly differentiated. Appearances in keeping with an anterior mediastinal mass.
Heart size is normal, right hilum is normal. No evidence of hilar or paratracheal lymphadenopathy.
Lungs are clear, no pleural abnormalities.
IMPRESSION:
Anterior mediastinal mass.
Appearances may represent a thymic tumour or germ cell tumour.
Lymphadenopathy, thyroid tumour and aortic aneurysm are thought less likely, but difficult to exclude entirely.
Further imaging with CT is required.
BACKGROUND:
This case demonstrates a mature cystic teratoma. This is not a diagnosis which can be made on CXR and required a CT and US biopsy. Mediastinal teratomas are a type of germ cell tumour and are the most common extra-gonadal location. They typically present in the 3rd and 4th decades.
DIFFERENTIAL DIAGNOSIS:
FOLLOW-UP:
CLINICAL HISTORY:
25Yo Female
Chest pain and SOB for 2 months
FINDINGS:
Large rounded mass projected over the left mid and lower zones medially. The mass has effaced the descending aorta, but the left hilum and heart border are still visualised. Appearances are in keeping with a posterior mediastinal mass.
Heart size is normal, normal hilar appearances.
Lungs are otherwise clear, no pleural abnormality.
Skeletal review is unremarkable.
IMPRESSION:
Large left sided mass continuous with the posterior mediastinum.
Further imaging is required to investigate.
BACKGROUND:
Schwannomas are a type of benign peripheral nerve sheath tumour. Symptoms typically arise from local mass effect or dysfunction of the associated nerve.
DIFFERENTIAL DIAGNOSIS:
FOLLOW-UP:
CLINICAL HISTORY:
Reduced breath sounds left lung
FINDINGS:
Complete whiteout of the left hemithorax. The right lung appears hyperinflated but clear.
Significant tracheal, mediastinal and diaphragmatic shift into the left hemithorax.
Surgical clips in the hilar region.
Heart size, hila and mediastinal contours cannot be assessed.
IMPRESSION:
Appearances are in keeping with a left pneumonectomy.
BACKGROUND:
DIFFERENTIAL DIAGNOSIS:
FOLLOW-UP:
CLINICAL HISTORY:
Cough, breathless for many years
FINDINGS:
Bilateral reticular interstitial shadowing in both upper zones, with several irregular mass-like structures present. No pleural abnormalities are demonstrated.
Hila are superiorly displaced in keeping with upper lobe volume loss bilaterally. The heart is enlarged, but no evidence of cardiac failure.
IMPRESSION:
Appearances are suggestive of a pneumoconiosis with pulmonary massive fibrosis. However, in the absence of previous imaging malignancy needs to be excluded.
BACKGROUND:
This radiograph demonstrates silicosis. Silicosis can have variable radiographic appearances depending on if it is seen in an acute, classic simple or classic complicated setting. This case is classic complicated silicosis as it also features the mass-like appearances of pulmonary massive fibrosis. PMF represents the coalescence of areas of fibrosis and is a fairly specific complication of pneumoconioses.
DIFFERENTIAL DIAGNOSIS:
Background silicosis appearances have a differential of other pneumoconioses:
Presence of PMF has the same differentials but with the addition of:
FOLLOW-UP:
CLINICAL HISTORY:
25Yo Female
NBO, abdominal pain ?obstruction
FINDINGS:
Normal calibre of small and large bowel, no evidence of obstruction.
A small radiopacity is demonstrated over the left side of the sacrum suggestive of a tooth. This would be in keeping with an ovarian teratoma.
Skeletal review is unremarkable.
IMPRESSION:
No evidence of bowel obstruction.
Incidental finding of probable ovarian teratoma. In the context of abdominal pain an ultrasound is suggested to exclude complications.
BACKGROUND:
Ovarian teratomas (also referred to as dermoid cysts) are the most common ovarian neoplasm. Most are classified as mature, immature teratomas have a higher incidence of malignant transformation. Unless the cells differentiate into a radiopaque structure, i.e teeth as in this case, they will not be visible on AXR unless they grow large enough to cause mass-effect.
DIFFERENTIAL DIAGNOSIS:
FOLLOW-UP:
CLINICAL HISTORY:
70Yo Male
Cough 3 weeks
FINDINGS:
Atelectasis and volume loss in the left upper zone and apex with superior displacement of the left hilum and hemidiaphragm.
Surgical clips at the left hilum. Normal appearances of the right hilum.
Heart size is indeterminate, but no gross enlargement is demonstrated. Calcific changes within the aortic arch, mediastinal contours are normal.
No acute pulmonary pathology is demonstrated, no pleural abnormalities.
IMPRESSION:
Appearances are in keeping with left upper lobectomy.
BACKGROUND:
Lobectomy is the removal of an entire lung lobe and is commonly performed for primary lung malignancy. Volume loss will cause shift of structures such as the diaphragm or hila towards the surgical site. Lobectomy can result in post-surgical complications such as ARDS or haemothorax, these typically occur in the early or mid post-operative period. Broncho-pleural fistula may occur but is less common relative to total pneumonectomy.
DIFFERENTIAL DIAGNOSIS:
FOLLOW-UP: