what happens to the thyroid gland during pregnancy/menstruation
increases in size
what is the thyroid gland innervated by
CNX
what is the average weight of the thyroid gland
20-30g
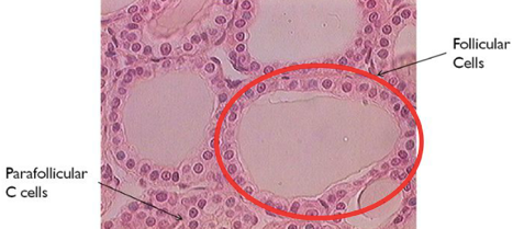
describe a follicle
follicular cells encase the colloid
parafollicular cells are located adjacent to these and lie within the connective tissue

what do follicular cells produce
thyroglobulin
what do parafollicular C cells produce
calcitonin
thyroglobulin
the precursor of T3 and T4
produce by the thyroid follicular cells and stored in the colloid until it is required
describe the synthesis of thyroid hormones
what happens in the follicular cells when thyroid hormones are needed

which thyroid hormone does the thyroid mainly produce
T4
a reservoir for the more active and main thyroid hormone T3, which it becomes by peripheral conversion, mainly in the liver
how are T3 and T4 found in the body
they are hydrophobic/lipophilic so are found bound to plasma proteins:
what state are the thyroid hormones in when they are active
and how does this relate to thyroid function tests
unbound is their active state
therefore, measuring total T3 and T4 gives no reflection of te biologically active molecules
= free T3 and T4 are measured as only free hormone is available to tissues
describe the regulation of thyroid hormones
the hypothalamus secretes TRH, which controls TSH release by the thyrotroph cells in the anterior pituitary gland
both TSH and THR release is inhibited when elevated thyroid hormone levels are detected in the blood and provide negative feedback to hypothalamus and anterior pituitary gland

describe TSH signalling at follicular cells
TSH binds to a G protein coupled receptor on the follicular cells, causing cellular effects through the conversion of ATP to cAMP

what effect can ill health have on hormones
stress inhibits TSH and THR release
low temperatures in babies stimulates TRH release
sensitive to ill health
= thyroid function tests are not reliable in ill health
do thyroid hormone levels vary throughout the day?
yes - they exhibit a Circadian rhythm
higher late at night and lowest in the morning
how do tissues regulate thyroid level
Serum thyroid levels may not necessarily predict tissue thyroid levels under a variety of physiological conditions. Activity of deiodinase enzymes allows specific tissue levels of T4 and T3.
deiodinase enzymes

where are D 1, 2 and 3 usually found
D1 - liver and kidney
D2 - heart and skeletal muscle, CNS, fat, thyroid and pituitary
D3 - foetal tissue and placenta and brain
what are the actions of the deiodinase enzymes

thyroid hormone receptor on tissues
transmembrane receptor
has alpha and ß isoforms, and each of these has several different variants eg TRß1 and TRß2
what would a defect in thyroid hormone receptor on tissues cause
features of hypothyroidism despite the normal production of thyroid hormones
which thyroid hormone receptors are expressed where in the body
can help predict where the symptoms will arise

what is RTHa characterised by
tissue specific hypothyroidism with near normal thyroid function tests
mutation in THRa leads to defective signalling through THRa receptor
