Tissue Slides Flashcards

(9 cards)

1
Q

What is the primary fiber type of this tissue and where is this tissue found in the body?

A

This is dense irregular connective tissue.

Collagen; in the skin as the dermis and in fibrous joint capsules and fibrous coverings of some organs

How well did you know this?
1
Not at all
2
3
4
5
Perfectly
2
Q

What tissue is the layer stained in purple composed of? What tissue is stained in pink?

A

Stratified squamous epithelium; dense irregular connective tissue

How well did you know this?
1
Not at all
2
3
4
5
Perfectly
3
Q

What is this tissue? What types of fibers and cells are found in it?

A

Areolar connective tissue contains all three fibers types (collagen, elastic, and reticular); cells found in it are fibroblasts/fibrocytes, macrophages, adipocytes, and mast cells

How well did you know this?
1
Not at all
2
3
4
5
Perfectly
4
Q

What tissue is this?

A

Elastic connective tissue

How well did you know this?
1
Not at all
2
3
4
5
Perfectly
5
Q

What is this tissue and what cell types and fiber types does it include?

A

Hyaline cartilage, contains chrondroblasts/cytes and collagen fibers

How well did you know this?
1
Not at all
2
3
4
5
Perfectly
6
Q

What is this tissue and where is it found?

A

Elastic cartilage; epiglottis and external ear

How well did you know this?
1
Not at all
2
3
4
5
Perfectly
7
Q

What is this tissue and where is it found?

A

Fibrocartilage, found in intervertebral discs

How well did you know this?
1
Not at all
2
3
4
5
Perfectly
8
Q

What is this tissue and where is it found?

A

Reticular connective tissue, found in the spleen, lymph nodes, and bone marrow

How well did you know this?
1
Not at all
2
3
4
5
Perfectly
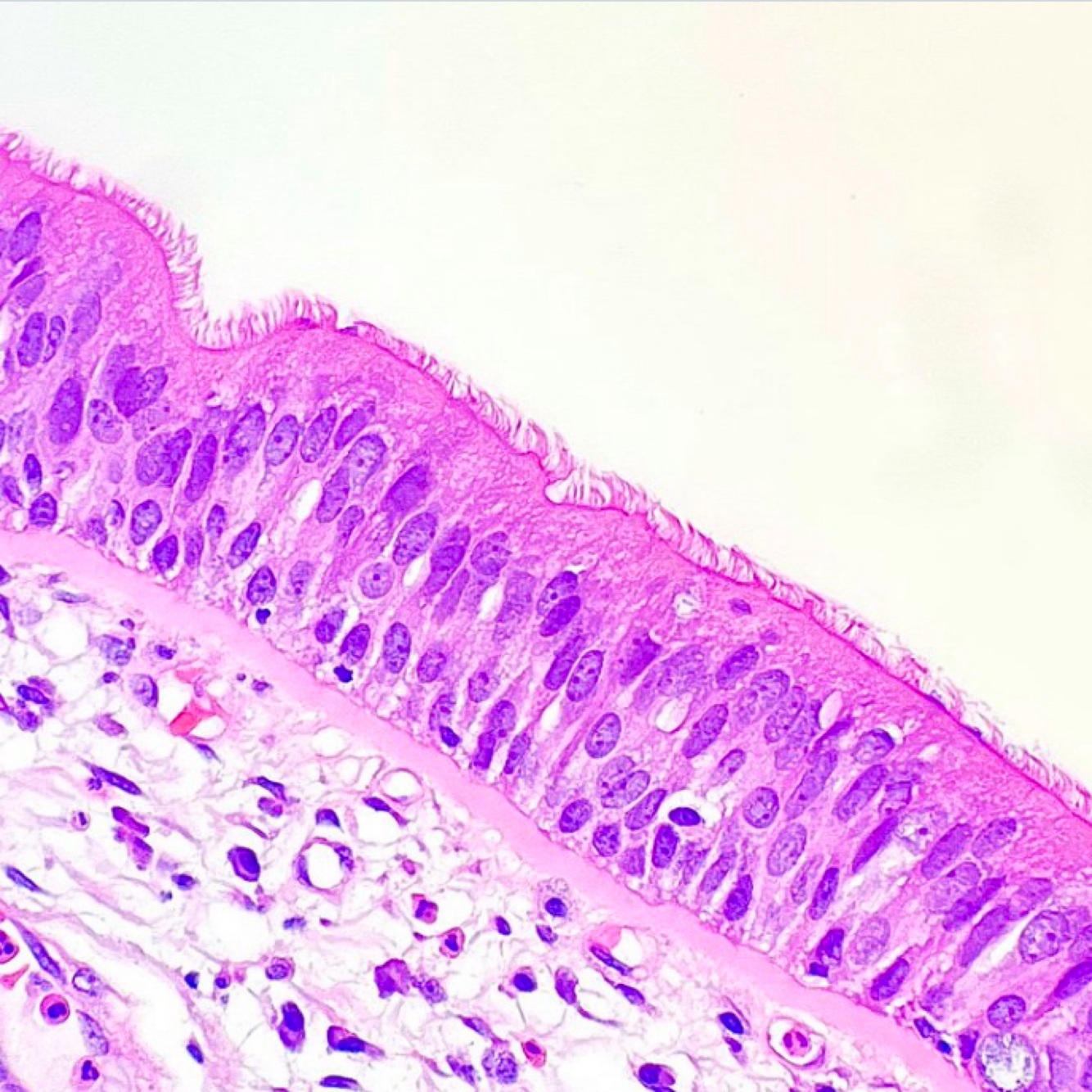
9
Q

What type of epithelial tissue is this and where is it likely to be found?

A

Pseudostratified columnar, found in the upper respiratory tract

How well did you know this?
1
Not at all
2
3
4
5
Perfectly