Tosse Flashcards

(110 cards)

1
Q

Uma mulher de 34 anos apresenta-se com uma tosse seca e irritativa que começou há 5 semanas. Ela relata um episódio de “resfriado forte” com coriza, dor de garganta e febre baixa um pouco antes do início da tosse. Os sintomas da infecção inicial se resolveram, mas a tosse persiste, sendo frequentemente desencadeada por mudanças de temperatura, risadas ou ao falar. O exame físico e a radiografia de tórax são normais. Qual é a etiologia mais provável e a abordagem terapêutica inicial?

A

Diagnóstico: Tosse pós-infecciosa (Hiper-reatividade brônquica viral).

Fisiopatologia / Achados Clássicos: A infecção viral (ex: Rinovírus, Influenza) danifica transitoriamente o epitélio respiratório e aumenta a sensibilidade dos receptores aferentes da tosse. Isso leva a uma hiper-reatividade brônquica, onde estímulos normalmente inócuos (ar frio, alérgenos) desencadeiam broncoespasmo e tosse. A condição é classicamente subaguda (duração de 3 a 8 semanas) e ocorre após uma infecção de vias aéreas superiores recente.

Manejo / Tratamento: A condição é autolimitada. O tratamento é de suporte e focado no alívio sintomático. A primeira linha pode incluir corticosteroides inalatórios (ex: budesonida ou fluticasona) para reduzir a inflamação das vias aéreas. Antitussígenos de ação central (ex: dextrometorfano) ou broncodilatadores (ex: ipratrópio) também podem ser utilizados.

How well did you know this?
1
Not at all
2
3
4
5
Perfectly
2
Q

Um homem de 58 anos, com IMC de 31 kg/m², procura atendimento por tosse crônica seca, há mais de 6 meses. Ele descreve a tosse como pior à noite, especialmente quando se deita, e pela manhã. Relata também rouquidão matinal e uma sensação de “bola na garganta”. Nega tabagismo, febre ou perda de peso. O exame pulmonar é limpo. Qual é o mecanismo fisiopatológico mais provável da tosse deste paciente?

A

Diagnóstico: Doença do Refluxo Gastroesofágico (DRGE) como causa de tosse crônica.

Fisiopatologia / Achados Clássicos: A tosse é causada por dois mecanismos principais: 1) Microaspiração de conteúdo gástrico ácido, que irrita diretamente a laringe e a árvore traqueobrônquica, e 2) Reflexo esôfago-brônquico, onde o ácido no esôfago distal estimula vias aferentes vagais, desencadeando um reflexo de tosse e broncoconstrição. A piora em decúbito e os sintomas laríngeos (rouquidão) são achados clássicos.

Manejo / Tratamento: O manejo inicial envolve um teste terapêutico empírico com Inibidores da Bomba de Prótons (IBPs), como omeprazol ou pantoprazol, em dose elevada por 8-12 semanas. Medidas de estilo de vida são cruciais: perda de peso, elevação da cabeceira da cama e evitar refeições 2-3 horas antes de deitar.

How well did you know this?
1
Not at all
2
3
4
5
Perfectly
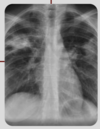
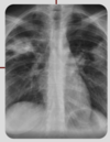
3
Q

Um homem de 48 anos, imigrante recente de uma área endêmica, queixa-se de tosse produtiva há 3 meses, associada a episódios de escarro com raias de sangue (hemoptoicos). Relata também febre vespertina, sudorese noturna e perda de peso não intencional de 7 kg. Ao exame, são audíveis estertores crepitantes em ápice pulmonar direito. A radiografia de tórax revela uma opacidade com cavitação no lobo superior direito. Qual o agente etiológico mais provável e qual o mecanismo de ação do principal fármaco utilizado no seu tratamento?

A

Diagnóstico: Tuberculose (TB) pulmonar ativa.

Fisiopatologia / Achados Clássicos: Infecção pelo Mycobacterium tuberculosis, um bacilo álcool-ácido resistente intracelular obrigatório. A reativação da doença latente é comum. A predileção pelos ápices pulmonares deve-se à maior tensão de oxigênio (O₂), que favorece o crescimento do bacilo aeróbio. A resposta imune celular mediada por macrófagos e linfócitos T leva à formação de granulomas caseosos. A liquefação do material caseoso e a erosão para um brônquio resultam em cavitação, disseminação do bacilo e sintomas como tosse produtiva e hemoptise.

Manejo / Tratamento: O tratamento padrão é o esquema RIPE (Rifampicina, Isoniazida, Pirazinamida, Etambutol). O principal fármaco, a Isoniazida (INH), atua inibindo a síntese do ácido micólico, um componente essencial e exclusivo da parede celular da micobactéria. É mandatório suplementar piridoxina (Vitamina B6) para prevenir a neuropatia periférica, um efeito adverso comum da isoniazida.

How well did you know this?
1
Not at all
2
3
4
5
Perfectly
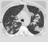
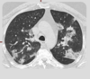
4
Q

Um homem de 65 anos, que trabalhou como jateador de areia por 40 anos, apresenta dispneia progressiva aos esforços e tosse seca crônica. Nega tabagismo. A espirometria revela um padrão restritivo. A tomografia de tórax de alta resolução mostra múltiplos pequenos nódulos centrolobulares e subpleurais, predominantemente nos terços superiores dos pulmões, além de calcificações em “casca de ovo” nos linfonodos hilares. Qual é a condição subjacente e qual o risco infeccioso aumentado nesses pacientes?

A

Diagnóstico: Silicose crônica, uma forma de pneumoconiose.

Fisiopatologia / Achados Clássicos: É uma doença fibrótica pulmonar causada pela inalação crônica de poeira de sílica cristalina. As partículas de sílica são fagocitadas por macrófagos alveolares, ativando o inflamassoma e levando à liberação de citocinas pró-inflamatórias (IL-1β, TNF-α), o que resulta em fibrose progressiva e formação de nódulos silicóticos. A predileção pelos lobos superiores e as calcificações em casca de ovo (eggshell calcifications) dos linfonodos hilares são patognomônicas.

Manejo / Tratamento: O tratamento é de suporte, pois não há cura. A medida mais importante é a cessação da exposição. Pacientes com silicose têm um risco significativamente aumentado de desenvolver tuberculose pulmonar, pois a sílica é tóxica para os macrófagos e prejudica sua capacidade de conter a infecção por M. tuberculosis. Portanto, o rastreamento anual para TB latente é recomendado.

How well did you know this?
1
Not at all
2
3
4
5
Perfectly
5
Q

Uma mulher de 28 anos, com histórico de rinite alérgica, relata tosse seca e chiado no peito que ocorrem principalmente durante a noite ou após corridas no parque. Os sintomas melhoram com o uso de um “spray de alívio” que ela pega emprestado de sua irmã. A espirometria mostra uma relação VEF1/CVF de 68%. Após a administração de um broncodilatador, o VEF1 aumenta em 15%. Qual é o principal mediador inflamatório envolvido na fase tardia da reação que causa seus sintomas?

A

Diagnóstico: Asma.

Fisiopatologia / Achados Clássicos: A asma é uma doença inflamatória crônica das vias aéreas caracterizada por hiper-reatividade brônquica. A exposição a gatilhos (exercício, alérgenos) leva à degranulação de mastócitos (fase imediata, mediada por histamina) e a uma reação de fase tardia (4-6 horas depois), que é orquestrada por citocinas liberadas por células Th2, como IL-4, IL-5 e IL-13. A IL-5 é crucial para o recrutamento e ativação de eosinófilos, que liberam proteínas (ex: proteína básica principal) que causam dano epitelial e sustentam a inflamação e a hiper-reatividade. O diagnóstico é confirmado pela espirometria mostrando obstrução reversível do fluxo aéreo.

Manejo / Tratamento: O tratamento de controle a longo prazo é feito com corticosteroides inalatórios (ex: fluticasona), que atuam inibindo a transcrição de genes de citocinas inflamatórias. Para alívio dos sintomas agudos, são usados agonistas beta-2 de curta ação (SABAs), como o albuterol.

How well did you know this?
1
Not at all
2
3
4
5
Perfectly
6
Q

Um homem de 72 anos, tabagista de longa data (50 maços-ano), apresenta tosse crônica produtiva com escarro claro na maioria dos dias, há mais de dois anos. Ele também relata dispneia progressiva aos esforços. Ao exame físico, o tórax tem diâmetro anteroposterior aumentado (tórax em barril) e a ausculta revela murmúrio vesicular diminuído difusamente. Qual o diagnóstico e qual a alteração histopatológica que explica a obstrução ao fluxo aéreo neste paciente?

A

Diagnóstico: Doença Pulmonar Obstrutiva Crônica (DPOC), subtipo bronquite crônica (clínico) e enfisema (achados de exame físico).

Fisiopatologia / Achados Clássicos: A bronquite crônica é definida clinicamente por tosse produtiva na maioria dos dias por pelo menos 3 meses, em 2 anos consecutivos. Histologicamente, há hipertrofia e hiperplasia das glândulas submucosas na traqueia e nos brônquios, levando à hipersecreção de muco. O Índice de Reid (relação entre a espessura da camada glandular e a espessura da parede brônquica) está aumentado (>0.5). O enfisema, causado pela fumaça do cigarro, envolve a destruição das paredes alveolares por um desequilíbrio entre proteases (elastase) e antiproteases (alfa-1 antitripsina), resultando em perda de retração elástica e aprisionamento aéreo (tórax em barril).

Manejo / Tratamento: A medida mais importante é a cessação do tabagismo. O tratamento farmacológico visa a broncodilatação com agentes anticolinérgicos de longa ação (LAMAs), como o tiotrópio, e/ou agonistas beta-2 de longa ação (LABAs), como o salmeterol. A oxigenoterapia domiciliar é indicada em casos de hipoxemia crônica grave.

How well did you know this?
1
Not at all
2
3
4
5
Perfectly
7
Q

Um homem de 62 anos com histórico de Esclerose Lateral Amiotrófica (ELA) é avaliado por dispneia e tosse fraca. Ele relata dificuldade em “puxar ar fundo” antes de tossir e sentir que não tem força para expectorar secreções. Ao exame, observam-se fasciculações na língua e fraqueza muscular generalizada. A espirometria mostra uma capacidade vital forçada (CVF) significativamente reduzida. Qual fase do mecanismo da tosse está primariamente comprometida e qual a complicação mais temida neste paciente?

A

Diagnóstico: Insuficiência respiratória e tosse ineficaz secundárias à Esclerose Lateral Amiotrófica (ELA).

Fisiopatologia / Achados Clássicos: A ELA causa degeneração dos neurônios motores superiores e inferiores, levando à fraqueza progressiva de múltiplos grupos musculares, incluindo os músculos respiratórios. A Fase 1 (Inspiratória) da tosse é comprometida pela fraqueza do diafragma e dos músculos intercostais externos, impedindo uma inspiração profunda. A Fase 3 (Expiratória) é prejudicada pela fraqueza dos músculos abdominais e intercostais internos, que são essenciais para gerar o fluxo aéreo expiratório forçado. Essa tosse ineficaz impede a limpeza das vias aéreas.

Manejo / Complicação: A complicação mais temida é a pneumonia aspirativa e a insuficiência respiratória por acúmulo de secreções. O manejo inclui suporte ventilatório não invasivo (ex: BiPAP), fisioterapia respiratória e dispositivos de assistência à tosse (ex: “cough assist machine”). Fármacos como o Riluzol podem retardar a progressão da doença

How well did you know this?
1
Not at all
2
3
4
5
Perfectly
8
Q

Um homem de 67 anos, tabagista pesado com diagnóstico de DPOC, relata episódios em que, após um acesso de tosse vigorosa, ele sente o rosto ficar vermelho e inchado, seguido por uma perda súbita de consciência que dura poucos segundos. Ele se recupera completamente de forma espontânea. O exame neurológico e o ecocardiograma são normais. A qual fenômeno a fase compressiva da tosse está diretamente relacionada neste paciente?

A

Diagnóstico: Síncope tussígena (Cough Syncope).

Fisiopatologia / Achados Clássicos: Este é um resultado direto da fisiologia extrema da Fase 2 (Compressiva) da tosse. Paroxismos de tosse, especialmente em pacientes com DPOC, geram pressões intratorácicas extremamente elevadas (podendo exceder 300 mmHg). Esse aumento súbito de pressão:

Diminui drasticamente o retorno venoso ao coração.

Causa uma queda abrupta no débito cardíaco e na pressão arterial sistêmica.

Aumenta a pressão do líquido cefalorraquidiano.
A consequência final é a hipoperfusão cerebral transitória, resultando em síncope.

Manejo / Tratamento: O manejo é focado no controle da causa subjacente da tosse crônica. No caso da DPOC, isso inclui broncodilatadores de longa ação (LAMA/LABA), corticosteroides inalatórios e, crucialmente, a cessação do tabagismo. A supressão da tosse com agentes antitussígenos também pode ser necessária para prevenir os episódios sincopais.

How well did you know this?
1
Not at all
2
3
4
5
Perfectly
9
Q

Um paciente de 75 anos com histórico de acidente vascular cerebral (AVC) em território da artéria cerebral média esquerda apresenta disfagia e tosse frequente durante a alimentação. A tosse parece “molhada” e pouco eficaz. A videofluoroscopia da deglutição confirma a penetração de líquidos na via aérea. Qual componente neurológico da fase compressiva da tosse está provavelmente disfuncional e qual o principal risco associado?

A

Diagnóstico: Disfagia neurogênica com tosse ineficaz e risco de aspiração.

Fisiopatologia / Achados Clássicos: O AVC pode danificar as vias corticais que controlam os músculos bulbares. O fechamento da glote, etapa crucial da Fase 2 (Compressiva), depende da adução adequada das cordas vocais, inervadas pelo nervo vago (NC X), especificamente o nervo laríngeo recorrente. A disfunção neurológica pode levar a um fechamento glótico incompleto ou dessincronizado. Sem um fechamento hermético, é impossível gerar a alta pressão intratorácica necessária para uma tosse explosiva e eficaz na Fase 3 (Expiratória).

Manejo / Tratamento: O principal risco é o desenvolvimento de pneumonia aspirativa, uma causa significativa de morbidade e mortalidade pós-AVC. O manejo inclui fonoterapia para reabilitação da deglutição, modificação da consistência dos alimentos (espessamento de líquidos) e, em casos graves, vias alternativas de alimentação (ex: gastrostomia).

How well did you know this?
1
Not at all
2
3
4
5
Perfectly
10
Q

Um menino de 8 anos é trazido à consulta devido a quedas frequentes e dificuldade para subir escadas. O exame físico revela fraqueza muscular proximal, pseudohipertrofia das panturrilhas e o sinal de Gowers positivo. Sua mãe relata que, durante um resfriado recente, ele teve grande dificuldade para expectorar o catarro. Qual a base molecular da doença deste paciente e como ela afeta a eficácia da tosse?

A

Diagnóstico: Distrofia Muscular de Duchenne (DMD).

Fisiopatologia / Achados Clássicos: A DMD é uma doença genética recessiva ligada ao X, causada por mutações no gene que codifica a proteína distrofina. A ausência de distrofina funcional leva à degeneração e fraqueza muscular progressiva. A eficácia da tosse é comprometida em duas fases:

Fase 1 (Inspiratória): Fraqueza do diafragma limita a profundidade da inspiração.

Fase 3 (Expiratória): Fraqueza severa dos músculos abdominais impede a geração de um fluxo expiratório rápido e vigoroso, essencial para a limpeza mucociliar.

Manejo / Tratamento: O manejo respiratório é um pilar do tratamento. Corticosteroides (prednisona, deflazacort) são o padrão de tratamento para retardar a progressão da fraqueza. Acompanhamento regular com espirometria e avaliação da força da tosse (pico de fluxo da tosse) é essencial. O suporte com ventilação não invasiva e dispositivos de assistência à tosse é necessário à medida que a doença progride.

How well did you know this?
1
Not at all
2
3
4
5
Perfectly
11
Q

Um paciente com dor neuropática crônica, que também sofre de uma tosse seca e refratária devido a uma neuropatia sensorial vagal pós-viral, não obteve alívio com tratamentos convencionais. O médico decide iniciar um tratamento para suprimir o reflexo da tosse. Qual a classe de medicamento que atua centralmente para este fim e qual seu local de ação no sistema nervoso central?

A

Diagnóstico: Tosse refratária necessitando de supressão central.

Fisiopatologia / Achados Clássicos: O reflexo da tosse é coordenado por um “centro da tosse” localizado no tronco encefálico, especificamente na medula (bulbo), recebendo aferências principalmente do nervo vago. Fármacos antitussígenos de ação central atuam suprimindo a atividade neuronal nesta região. Os principais exemplos são os opioides (ex: codeína) e seus análogos (ex: dextrometorfano).

Manejo / Tratamento (Mecanismo de Ação): O Dextrometorfano, um análogo sintético da codeína, é um antitussígeno de ação central comumente usado. Ele atua como um antagonista do receptor NMDA e um agonista do receptor sigma-1 no centro da tosse na medula. Diferente da codeína, ele não possui efeito analgésico ou potencial de dependência significativo em doses terapêuticas, pois tem baixa afinidade pelos receptores opioides µ. Sua ação diminui a sensibilidade do centro da tosse aos estímulos aferentes, reduzindo a frequência e a intensidade da tosse.

How well did you know this?
1
Not at all
2
3
4
5
Perfectly
12
Q

Um paciente relata que a manipulação do seu canal auditivo externo com um cotonete invariavelmente desencadeia um episódio de tosse. Qual é a base neuroanatômica para este fenômeno, conhecido como reflexo de Arnold

A

Conceito: Reflexo orelha-tosse (Reflexo de Arnold).

Mecanismo Fisiológico: A via aferente da tosse é mediada primariamente pelo nervo vago (NC X). O ramo auricular do nervo vago (nervo de Arnold) inerva a pele do canal auditivo externo e da concha. A estimulação mecânica desta área ativa as fibras sensitivas vagais, que enviam o sinal aferente diretamente para o núcleo do trato solitário (NTS) no bulbo, o centro integrador da tosse. O NTS processa este estímulo como se fosse uma irritação das vias aéreas, desencadeando a via eferente da tosse.

Integração: Este é um exemplo clássico de um reflexo somático-visceral, onde um estímulo somático (tátil, na pele) gera uma resposta visceral (tosse).

How well did you know this?
1
Not at all
2
3
4
5
Perfectly
13
Q

Onde está localizado o principal centro integrador do reflexo da tosse no sistema nervoso central e qual a sua função em relação aos estímulos periféricos e corticais?

A

Conceito: Centro da tosse no tronco encefálico.

Mecanismo Fisiológico: O centro integrador primário é o núcleo do trato solitário (NTS), localizado no bulbo (medula oblonga). A função do NTS é ser a “estação central” que recebe e processa todos os sinais aferentes vindos da periferia através do nervo vago. Além disso, o NTS também recebe projeções de centros corticais superiores (córtex cerebral), o que permite o controle voluntário ou comportamental da tosse (supressão ou início voluntário).

Integração: A localização no bulbo coloca o centro da tosse próximo a outros centros vitais de controle respiratório e cardiovascular. Uma lesão no bulbo (ex: AVC de tronco, esclerose múltipla) pode abolir o reflexo protetor da tosse, aumentando drasticamente o risco de pneumonia aspirativa.

How well did you know this?
1
Not at all
2
3
4
5
Perfectly
14
Q

Descreva a via eferente do reflexo da tosse, nomeando os principais nervos envolvidos e os grupos musculares específicos que eles inervam para executar as fases da tosse.

A

Conceito: Via motora (eferente) da tosse.

Mecanismo Fisiológico: Após o processamento no NTS, os sinais são enviados aos núcleos motores no bulbo (núcleo ambíguo e retroambíguo). Estes, por sua vez, disparam os impulsos eferentes através de múltiplos nervos:

Nervo Vago (NC X) (via nervo laríngeo recorrente): Inerva os músculos intrínsecos da laringe para causar o fechamento da glote (fase compressiva).

Nervo Frênico (raízes C3-C5): Inerva o diafragma para a inspiração profunda inicial (fase inspiratória).

Nervos Espinhais (segmentos torácicos e lombares): Inervam os músculos intercostais internos e abdominais (reto abdominal, oblíquos) para a contração forçada que gera a alta pressão intratorácica e a expulsão de ar (fase expiratória).

Integração: Uma lesão medular alta (acima de C3-C5) compromete a função do nervo frênico, paralisando o diafragma e tornando a fase inspiratória da tosse impossível, resultando em tosse completamente ineficaz e insuficiência respiratória.

How well did you know this?
1
Not at all
2
3
4
5
Perfectly
15
Q

A aspiração de conteúdo gástrico ácido é um potente gatilho para a tosse. Explique o caminho neural, desde o estímulo no esôfago até a ativação do centro da tosse.

A

Conceito: Reflexo esôfago-brônquico da tosse.

Mecanismo Fisiológico: O epitélio da porção distal do esôfago e do estômago também contém fibras sensitivas aferentes que viajam pelo nervo vago. Quando o ácido gástrico reflui e irrita essa mucosa, esses quimiorreceptores são ativados. O impulso elétrico viaja pela via aferente vagal até o núcleo do trato solitário (NTS) no bulbo. O NTS interpreta esse sinal como uma ameaça potencial às vias aéreas e desencadeia o arco reflexo completo da tosse como um mecanismo de proteção.

Integração Fisiopatológica: Este é o mecanismo neural que explica por que a Doença do Refluxo Gastroesofágico (DRGE) é uma das três principais causas de tosse crônica. A irritação contínua da via aferente vagal pelo refluxo leva a uma hipersensibilidade do reflexo da tosse.

How well did you know this?
1
Not at all
2
3
4
5
Perfectly
16
Q

Como a fisiologia do arco reflexo da tosse explica a ação de antitussígenos de ação central, como a codeína e o dextrometorfano?

A

Conceito: Supressão farmacológica do centro da tosse.

Mecanismo Farmacológico: Esses fármacos não atuam nas vias aferentes (nos receptores periféricos) nem nas vias eferentes (nos músculos). Sua ação ocorre diretamente na via central do reflexo. Eles atravessam a barreira hematoencefálica e atuam em receptores (opioides, NMDA, sigma-1) no tronco encefálico, principalmente no núcleo do trato solitário (NTS) e áreas adjacentes. Ao se ligarem a esses receptores, eles aumentam o limiar de disparo dos neurônios do centro da tosse, tornando-os menos responsivos aos sinais aferentes que chegam da periferia.

Integração: Isso resulta na diminuição da frequência e da intensidade da tosse, sem corrigir a causa subjacente da irritação. É por isso que são usados para alívio sintomático, especialmente em tosse seca e irritativa sem função produtiva.

How well did you know this?
1
Not at all
2
3
4
5
Perfectly
17
Q

Um paciente com paralisia de corda vocal unilateral devido a uma lesão do nervo laríngeo recorrente esquerdo queixa-se de uma tosse fraca e “soprosa”. Qual fase específica da tosse está comprometida e por que a qualidade da tosse é alterada?

A

Conceito: Disfunção da fase compressiva da tosse.

Mecanismo Fisiopatológico: A fase compressiva (Fase 2) da tosse depende criticamente do fechamento completo e hermético da glote, uma ação realizada pelos músculos intrínsecos da laringe, inervados pelo nervo laríngeo recorrente (um ramo do nervo vago). Com a paralisia de uma corda vocal, o fechamento glótico é incompleto. Isso impede a geração da altíssima pressão intratorácica (que pode chegar a 300 mmHg) necessária para a fase expiratória explosiva.

Integração: Sem a capacidade de pressurizar o tórax, a fase expiratória (Fase 3) se torna ineficaz. O ar escapa por uma glote parcialmente aberta, resultando em um fluxo de ar de baixa velocidade e uma tosse “soprosa”, incapaz de expelir secreções de forma eficiente, aumentando o risco de infecções pulmonares.

How well did you know this?
1
Not at all
2
3
4
5
Perfectly
18
Q

Um paciente com insuficiência cardíaca descompensada desenvolve edema intersticial pulmonar agudo, resultando em tosse. Qual tipo de receptor aferente é primariamente ativado por essa rápida mudança nas propriedades mecânicas do pulmão e quais são suas características principais?

A

Receptor: Receptores de Adaptação Rápida (RARs).

Mecanismo Fisiológico: Os RARs são fibras nervosas mielínicas localizadas no epitélio das vias aéreas. Eles funcionam como mecanorreceptores que respondem a mudanças fásicas (rápidas) na tensão da parede das vias aéreas. O acúmulo súbito de fluido no interstício pulmonar (edema) altera a pressão e distende mecanicamente as vias aéreas, estimulando vigorosamente os RARs e desencadeando o reflexo da tosse.

Integração: Eles são chamados de “adaptação rápida” porque sua taxa de disparo diminui rapidamente se o estímulo for mantido constante. Por isso, são cruciais para detectar eventos agudos como edema, broncoespasmo inicial, inalação de partículas ou colapso dinâmico das vias aéreas.

How well did you know this?
1
Not at all
2
3
4
5
Perfectly
19
Q

Durante uma crise de asma, o broncoespasmo sustentado mantém o diâmetro das vias aéreas reduzido por um período prolongado. Qual receptor, também sensível a estímulos mecânicos, é conhecido por manter uma sinalização contínua em resposta a essa alteração mecânica prolongada?

A

Receptor: Receptores de Adaptação Lenta (SARs).

Mecanismo Fisiológico: Os SARs são fibras nervosas mielínicas que respondem a estímulos mecânicos de forma tônica (sustentada). Eles são primariamente conhecidos por seu papel no reflexo de Hering-Breuer, que limita a insuflação pulmonar. No entanto, eles também são estimulados por alterações mantidas no diâmetro das vias aéreas, como no broncoespasmo persistente, contribuindo para a sensação de dispneia e o estímulo tussígeno crônico em doenças como a asma.

Integração: A principal diferença funcional entre SARs e RARs é a sua resposta ao tempo: RARs disparam para mudanças rápidas, enquanto SARs disparam para o estado mantido de estiramento ou contração.

How well did you know this?
1
Not at all
2
3
4
5
Perfectly
20
Q

A tosse é o efeito adverso mais comum dos Inibidores da ECA (IECAs). Descreva a via fisiopatológica que conecta o mecanismo de ação deste fármaco à estimulação de um tipo específico de fibra aferente nas vias aéreas.

A

Fibra Envolvida: Fibras C.

Mecanismo Fisiopatológico: As Fibras C são fibras nervosas amielínicas que atuam como quimiorreceptores. O mecanismo é o seguinte:

Os IECAs bloqueiam a enzima conversora de angiotensina.

Essa mesma enzima é responsável pela degradação da bradicinina, um peptídeo inflamatório.

O bloqueio da enzima leva ao acúmulo de bradicinina no tecido pulmonar e nas vias aéreas.

A bradicinina é um potente estimulante químico das Fibras C, que então enviam um sinal aferente via nervo vago para o centro da tosse, causando uma tosse seca e irritativa.

Integração: Este é o exemplo de maior rendimento para o USMLE que ilustra a estimulação química das Fibras C.

How well did you know this?
1
Not at all
2
3
4
5
Perfectly
21
Q

A inflamação das vias aéreas, como na bronquite viral, é caracterizada pela liberação de múltiplos mediadores inflamatórios. Qual é o principal tipo de receptor aferente que detecta esse “ambiente químico” inflamatório e qual mediador, além da bradicinina, pode sensibilizar esses receptores?

A

Receptor: Fibras C.

Mecanismo Fisiológico: As Fibras C são os principais sensores do ambiente químico das vias aéreas. Durante a inflamação, as células imunes e epiteliais liberam uma “sopa inflamatória” que inclui substâncias como prostaglandinas (ex: PGE2), ATP e citocinas. A Prostaglandina E2 (PGE2) não apenas estimula diretamente as Fibras C, mas também as sensibiliza, ou seja, reduz seu limiar de ativação.

Integração Fisiopatológica: A sensibilização das Fibras C explica a hiper-reatividade brônquica pós-infecciosa. Vias aéreas sensibilizadas respondem com tosse a estímulos que normalmente seriam inócuos (ex: ar frio, risada), pois as Fibras C agora disparam com muito mais facilidade.

How well did you know this?
1
Not at all
2
3
4
5
Perfectly
22
Q

A capsaicina, o composto ativo das pimentas, é frequentemente usada em laboratório para induzir tosse e medir a sensibilidade do reflexo. Qual receptor molecular específico localizado nas Fibras C é ativado pela capsaicina?

A

Receptor Molecular: Receptor de Potencial Transitório Vaniloide 1 (TRPV1).

Mecanismo Fisiológico: O TRPV1 é um canal iônico não seletivo localizado na membrana das Fibras C. Ele funciona como um polissensor, sendo ativado por múltiplos estímulos nocivos, incluindo:

Estímulos químicos: Capsaicina, ácido.

Estímulos térmicos: Calor (>43°C).

Mediadores inflamatórios: Endocanabinoides, bradicinina (que potencializa a sua ativação).
A ativação do TRPV1 pela capsaicina causa um influxo de cátions (principalmente Ca²⁺ e Na⁺), despolarizando a fibra nervosa e gerando um potencial de ação que é interpretado como um estímulo irritante, resultando em tosse.

Integração: O TRPV1 é um alvo terapêutico promissor para o desenvolvimento de novos fármacos antitussígenos.

How well did you know this?
1
Not at all
2
3
4
5
Perfectly
23
Q

Com base na fisiologia das vias aferentes, proponha um mecanismo que explique a observação clínica de que a tosse crônica é mais prevalente em mulheres do que em homens.

A

Conceito: Hipersensibilidade do reflexo da tosse em mulheres.

Mecanismo Fisiológico Proposto: A evidência sugere que mulheres possuem uma sensibilidade intrinsecamente maior do arco reflexo da tosse. Isso pode ser devido a:

Maior densidade ou expressão de receptores aferentes (RARs, SARs e, especialmente, Fibras C com receptores TRPV1) nas vias aéreas.

Modulação hormonal (ex: estrogênio) que pode aumentar a excitabilidade desses neurônios sensitivos.

Diferenças no processamento central do estímulo tussígeno no núcleo do trato solitário.
O resultado funcional é que um estímulo de menor intensidade (seja mecânico ou químico) é suficiente para ultrapassar o limiar e desencadear o reflexo da tosse em mulheres em comparação com homens.

Integração: Isso explica por que, em condições como DRGE ou tosse induzida por IECA, a incidência e a severidade da tosse são frequentemente maiores no sexo feminino.

How well did you know this?
1
Not at all
2
3
4
5
Perfectly
24
Q

Uma mulher de 58 anos, com três partos vaginais prévios, procura o consultório devido a uma bronquite que já dura duas semanas, com tosse intensa e produtiva. A queixa principal que a fez procurar atendimento, no entanto, é o “vazamento de urina” que ocorre a cada acesso de tosse. Ela nega disúria ou urgência miccional. Qual é o diagnóstico para essa nova queixa e qual o mecanismo fisiopatológico subjacente?

A

Diagnóstico: Incontinência urinária de esforço (Stress Urinary Incontinence).

Fisiopatologia / Achados Clássicos: A tosse violenta causa um aumento súbito e acentuado da pressão intra-abdominal, que é transmitida para a bexiga. Em pacientes com fraqueza da musculatura do assoalho pélvico e do esfíncter uretral (fatores de risco incluem multiparidade, idade, obesidade), essa pressão vesical excede a pressão de fechamento uretral, resultando em perda involuntária de urina. A ausência de contração do detrusor a diferencia da incontinência de urgência.

Manejo / Tratamento: O tratamento inicial foca em controlar a tosse. A longo prazo, a primeira linha de manejo para a incontinência é a fisioterapia do assoalho pélvico (exercícios de Kegel). Opções subsequentes incluem pessários e tratamento cirúrgico (ex: slings uretrais).

How well did you know this?
1
Not at all
2
3
4
5
Perfectly
25
Um homem de 72 anos, magro, com diagnóstico de DPOC e osteoporose secundária ao uso crônico de corticosteroides, apresenta-se no pronto-socorro com dor torácica aguda e localizada no hemitórax direito, que começou subitamente após um forte acesso de tosse. A dor piora drasticamente com a inspiração profunda e à palpação local. A ausculta pulmonar revela murmúrio vesicular diminuído, mas sem outros ruídos. Qual é a complicação mais provável?
Diagnóstico: Fratura de costela por estresse (ou patológica). Fisiopatologia / Achados Clássicos: A tosse vigorosa exerce duas forças sobre a caixa torácica: (1) a contração violenta dos músculos intercostais e abdominais e (2) a altíssima pressão intratorácica. Em um osso enfraquecido pela osteoporose, essa tensão repetitiva pode levar a uma fratura por estresse. As costelas mais afetadas são tipicamente da 5ª à 9ª. A dor é classicamente pleurítica (piora com a inspiração) e localizada, sendo reproduzível à palpação do arco costal fraturado. Manejo / Tratamento: O pilar do tratamento é o controle adequado da dor (com AINEs ou opioides, se necessário) para permitir que o paciente respire fundo e continue a tossir de forma eficaz. A analgesia inadequada leva à hipoventilação, que pode resultar em complicações como atelectasia e pneumonia.
26
Um homem de 45 anos, com tosse crônica associada a refluxo gastroesofágico, queixa-se de cefaleia intensa. Ele descreve a dor como bilateral, de início súbito e explosivo, durando menos de um minuto e ocorrendo exclusivamente durante os episódios de tosse. O exame neurológico é normal. Qual o diagnóstico e qual condição estrutural grave deve ser descartada com exames de imagem?
Diagnóstico: Cefaleia primária da tosse. Fisiopatologia / Achados Clássicos: A tosse aumenta abruptamente a pressão intratorácica e intra-abdominal, o que impede o retorno venoso e eleva a pressão intracraniana (PIC) transitoriamente. Essa distensão súbita das estruturas sensíveis à dor (meninges, vasos) desencadeia a cefaleia. Embora geralmente benigna (primária), a cefaleia induzida pela tosse pode ser um sintoma secundário de uma patologia de fossa posterior. Manejo / Integração: É mandatório realizar uma neuroimagem (preferencialmente Ressonância Magnética de crânio) para descartar causas secundárias, principalmente uma malformação de Chiari tipo I. No caso da cefaleia primária, o tratamento é feito com indometacina.
27
Uma cantora profissional de 28 anos desenvolveu uma tosse seca e persistente após uma infecção viral há 3 semanas. Ela agora se queixa de rouquidão progressiva, cansaço vocal e uma qualidade de voz "soprosa". A laringoscopia revela edema e eritema difuso das pregas vocais. Qual o mecanismo da lesão laríngea?
Diagnóstico: Laringite traumática secundária à tosse crônica. Fisiopatologia / Achados Clássicos: A fase expiratória da tosse é um evento mecânico violento. Cada tosse força o fechamento abrupto e a subsequente abertura explosiva das pregas vocais sob alta pressão. A repetição constante desse trauma mecânico leva à inflamação (edema, eritema), podendo causar hemorragias na prega vocal, pólipos ou nódulos. Essa alteração na estrutura e na capacidade vibratória das pregas vocais resulta na rouquidão (disfonia). Manejo / Tratamento: O tratamento mais importante é o repouso vocal para permitir a cicatrização das pregas vocais e o manejo agressivo da causa subjacente da tosse para cessar o trauma repetitivo. Hidratação e fonoterapia também são componentes importantes.
28
Um paciente com pneumonia comunitária está tossindo vigorosamente há vários dias. Ele se queixa de dor musculoesquelética severa na região da parede torácica inferior e no abdômen superior, que piora com a tosse e com a movimentação do tronco. A palpação dos músculos reto abdominais e intercostais desencadeia a dor. Exames para descartar embolia pulmonar e infarto do miocárdio são negativos. Qual a causa mais provável da dor?
Diagnóstico: Dor da parede torácica/abdominal por estresse muscular. Fisiopatologia / Achados Clássicos: A tosse é um exercício expiratório forçado que depende da contração repetitiva e extenuante dos músculos expiratórios, principalmente o reto abdominal, os oblíquos e os intercostais internos. A sobrecarga desses músculos leva a dor muscular de início tardio (DOMS), estiramentos ou até microlesões, resultando em dor e sensibilidade. A característica chave que diferencia de uma dor visceral é a reprodutibilidade da dor à palpação direta da musculatura envolvida. Manejo / Tratamento: O tratamento é de suporte, com analgésicos (AINEs), aplicação de calor local e, o mais importante, tratar a pneumonia para resolver o estímulo da tosse. É um diagnóstico de exclusão importante para dor torácica.
29
Um homem de 68 anos, tabagista, apresenta-se com início súbito há 3 dias de tosse produtiva com expectoração purulenta e raias de sangue, associada a febre alta (39.2°C) e calafrios. Ele relata dor torácica pleurítica à direita. Ao exame, encontra-se taquipneico e a ausculta revela estertores crepitantes e sopro tubário em base pulmonar direita. A duração do quadro é inferior a uma semana. Qual o diagnóstico mais provável,
Diagnóstico: Pneumonia Comunitária (PAC). Fisiopatologia / Achados Clássicos: A tosse é classificada como aguda (< 3 semanas). A presença de febre alta, sintomas constitucionais (calafrios) e achados focais no exame pulmonar (estertores, sopro tubário) são altamente sugestivos de uma infecção do parênquima pulmonar. O agente etiológico mais comum para PAC é o Streptococcus pneumoniae, um diplococo Gram-positivo encapsulado. A expectoração "ferruginosa" (com sangue) é um achado clássico. Manejo / Tratamento: O manejo requer antibioticoterapia empírica imediata após a coleta de culturas, se indicado. Para um paciente ambulatorial, amoxicilina ou doxiciclina são opções de primeira linha. Para pacientes internados (não-UTI), a terapia combinada com um beta-lactâmico (ex: ceftriaxona) mais um macrolídeo (ex: azitromicina) é o padrão.
30
Uma mulher de 25 anos relata o início de uma tosse seca e irritativa há 5 semanas. Ela teve um episódio de coriza, mialgia e odinofagia há cerca de 6 semanas, que se resolveu completamente, mas a tosse permaneceu. Atualmente, ela está afebril e seu exame físico e radiografia de tórax são normais. Como essa tosse é classificada quanto à duração e qual é a etiologia mais provável?
Diagnóstico: Tosse pós-infecciosa (Hiper-reatividade brônquica pós-viral). Fisiopatologia / Achados Clássicos: A tosse é classificada como subaguda (duração de 3 a 8 semanas). O quadro é classicamente precedido por sintomas de infecção viral recente e o paciente encontra-se afebril no momento da avaliação. A infecção viral causa uma inflamação transitória e dano ao epitélio respiratório, expondo receptores da tosse e levando a um estado de hiper-reatividade brônquica, onde estímulos não-nocivos (ar frio, risada) podem desencadear a tosse. Manejo / Tratamento: A abordagem principal é a tranquilização do paciente, pois a condição é autolimitada. O tratamento é sintomático. Podem ser utilizados antitussígenos de primeira geração (com ação anti-histamínica), broncodilatadores anticolinérgicos (ex: brometo de ipratrópio) ou um curso de corticosteroides inalatórios para reduzir a inflamação e a hiper-reatividade das vias aéreas.
31
Um homem de 52 anos apresenta-se com uma tosse seca que o incomoda há mais de 4 meses. Ele nega febre, calafrios ou qualquer quadro viral recente. A tosse piora à noite e após refeições mais pesadas. Ele também relata uma sensação de queimação retroesternal ocasional e necessidade frequente de "limpar a garganta". O exame pulmonar é normal. Qual a classificação da tosse e qual a principal suspeita diagnóstica a ser investigada?
Diagnóstico: Tosse crônica, provavelmente secundária à Doença do Refluxo Gastroesofágico (DRGE). Fisiopatologia / Achados Clássicos: A tosse é classificada como crônica (> 8 semanas). A ausência de febre ou sintomas infecciosos agudos direciona o diferencial para as causas mais comuns de tosse crônica em adultos não tabagistas: DRGE, asma e síndrome da tosse das vias aéreas superiores. A piora com o decúbito e após as refeições, junto com a pirose, são altamente sugestivos de refluxo. O mecanismo da tosse envolve a microaspiração de conteúdo ácido e o reflexo esôfago-brônquico mediado pelo nervo vago. Manejo / Tratamento: O manejo inicial geralmente consiste em um teste terapêutico empírico com um Inibidor da Bomba de Prótons (IBP), como o omeprazol, em dose alta por 8 a 12 semanas, associado a modificações no estilo de vida (perda de peso, elevação da cabeceira, evitar gatilhos alimentares).
32
Um jovem de 19 anos, recruta militar, desenvolve um quadro agudo de febre alta, faringite exsudativa, tosse e sintomas oculares, incluindo hiperemia conjuntival bilateral e lacrimejamento. Vários colegas no mesmo alojamento apresentam sintomas semelhantes. Como a tosse é classificada e qual o agente etiológico mais provável para essa constelação de sintomas?
Diagnóstico: Faringoconjuntivite febril causada por Adenovírus. Fisiopatologia / Achados Clássicos: A tosse é aguda (< 3 semanas). A tríade de febre, faringite e conjuntivite é a apresentação clássica da infecção por Adenovírus, um vírus de DNA não envelopado. É conhecido por causar surtos em ambientes de confinamento, como quartéis militares e acampamentos. A presença dos sintomas de infecção viral, especialmente os achados oculares, é a principal pista para o diagnóstico. Manejo / Tratamento: O tratamento é de suporte, incluindo hidratação, analgésicos e antitérmicos. A infecção é geralmente autolimitada em pacientes imunocompetentes. A prevenção em populações de risco (militares) pode ser feita com uma vacina oral viva para os sorotipos 4 e 7.
33
Um homem de 65 anos, em quimioterapia para câncer de cólon, liga para o serviço de emergência com queixa de início súbito, há 30 minutos, de tosse seca, dor torácica pleurítica intensa à direita e dispneia. Ao exame, ele está ansioso, taquicárdico (115 bpm), taquipneico (28 irpm) e com SatO₂ de 90% em ar ambiente. A ausculta pulmonar é limpa. Qual é a causa potencialmente fatal mais provável para esta tosse aguda e qual o próximo passo na investigação diagnóstica?
Diagnóstico: Tromboembolismo Pulmonar (TEP). Fisiopatologia / Achados Clássicos: A tosse, neste contexto, é um sintoma secundário à irritação pleural e ao infarto pulmonar. A malignidade e a quimioterapia são fortes fatores de risco para trombose venosa profunda (TVP) devido a um estado de hipercoagulabilidade (Tríade de Virchow). A apresentação clássica de TEP é a tríade de início súbito de dispneia, dor torácica pleurítica e taquipneia. A tosse pode ser seca ou com hemoptise. A dissociação entre a hipoxemia e a ausculta pulmonar normal é uma pista importante. Manejo / Tratamento: Este é um quadro emergencial. O próximo passo, em um paciente hemodinamicamente estável, é confirmar o diagnóstico com uma Angiotomografia computadorizada de tórax com contraste (Angio-TC). O tratamento é iniciado imediatamente com anticoagulação, tipicamente com heparina de baixo peso molecular (ex: enoxaparina) enquanto se aguarda a confirmação diagnóstica.
34
Uma jovem de 22 anos com diagnóstico de fibrose cística apresenta-se com piora de sua tosse crônica. Ela relata um aumento significativo no volume da expectoração, que é espessa, purulenta e de coloração esverdeada. Além disso, refere febre e dispneia aos esforços. A ausculta revela estertores grossos e roncos bibasais. A espirometria mostra uma queda de 15% no seu VEF1 basal. Qual o diagnóstico da condição de base que explica sua tosse produtiva crônica e qual o patógeno mais provavelmente associado a essa exacerbação?
Diagnóstico: Exacerbação infecciosa de Bronquiectasias em paciente com Fibrose Cística. Fisiopatologia / Achados Clássicos: A Fibrose Cística é causada por uma mutação no gene CFTR, levando a secreções exócrinas espessas. No pulmão, isso obstrui as vias aéreas e prejudica o clearance mucociliar, levando a um ciclo vicioso de infecção e inflamação que causa dilatação permanente e irreversível dos brônquios (bronquiectasias). A pista diagnóstica é a tosse produtiva crônica com grandes volumes de escarro purulento. O patógeno mais comumente associado a exacerbações e colonização crônica em adultos com fibrose cística é o Pseudomonas aeruginosa, um bacilo Gram-negativo. Manejo / Tratamento: O tratamento da exacerbação requer antibioticoterapia agressiva direcionada contra a Pseudomonas, geralmente com dois agentes de classes diferentes (ex: piperacilina-tazobactam mais um aminoglicosídeo como a tobramicina). Fisioterapia torácica (drenagem postural) é crucial.
35
Um homem de 55 anos, etilista crônico com má higiene oral, é trazido ao hospital com febre há duas semanas e tosse produtiva. A pista diagnóstica crucial é o relato de uma expectoração de odor fétido. A radiografia de tórax revela uma cavidade com nível hidroaéreo no segmento posterior do lobo superior direito. Qual o diagnóstico e quais os microrganismos mais prováveis?
Diagnóstico: Abscesso pulmonar. Fisiopatologia / Achados Clássicos: O abscesso pulmonar é uma área de necrose e supuração do parênquima pulmonar. A principal causa é a aspiração de conteúdo da orofaringe, comum em pacientes com nível de consciência rebaixado (ex: alcoolismo, convulsões). A localização nos segmentos posteriores dos lobos superiores ou segmentos superiores dos lobos inferiores (zonas dependentes da gravidade em decúbito) é clássica. O escarro fétido (pútrido) é patognomônico de infecção por bactérias anaeróbicas da flora oral (ex: Peptostreptococcus, Prevotella, Bacteroides, Fusobacterium). Manejo / Tratamento: O tratamento de escolha é a antibioticoterapia prolongada (4-6 semanas). A clindamicina é o agente clássico devido à sua excelente cobertura contra anaeróbios. Alternativas incluem um beta-lactâmico com inibidor da beta-lactamase (ex: amoxicilina-clavulanato).
36
Um menino de 7 anos, com calendário vacinal incompleto, é avaliado por um quadro de tosse há 3 semanas. A mãe descreve a tosse como paroxística e incontrolável, seguida por uma inspiração forçada e ruidosa. Frequentemente, os episódios de tosse terminam em vômito. Entre as crises, a criança parece bem. O hemograma revela uma leucocitose acentuada com linfocitose predominante. Qual o aspecto especial da tosse que define o diagnóstico e qual o agente etiológico?
Diagnóstico: Coqueluche (Pertussis). Fisiopatologia / Achados Clássicos: O agente etiológico é a Bordetella pertussis, um cocobacilo Gram-negativo. A toxina pertússis causa a linfocitose ao impedir a migração dos linfócitos para os tecidos linfoides. As toxinas também paralisam os cílios do epitélio respiratório, levando ao acúmulo de muco e à tosse característica. O aspecto especial é a tosse paroxística seguida pelo guicho inspiratório ("whooping cough") e êmese pós-tussígena. A doença evolui em fases: catarral (semelhante a um resfriado), paroxística (tosse clássica) e convalescente. Manejo / Tratamento: O diagnóstico é confirmado com PCR de swab de nasofaringe. O tratamento de escolha, que reduz a transmissibilidade e pode encurtar a doença se iniciado precocemente, é feito com macrolídeos (ex: azitromicina).
37
Um homem de 67 anos, tabagista (60 maços-ano), procura atendimento por uma tosse seca que mudou de característica nas últimas semanas, tornando-se mais frequente e persistente. Relata também hemoptise em pequena quantidade, perda de peso não intencional de 8 kg e fadiga. Esta apresentação em um paciente de alto risco representa qual causa potencialmente fatal de tosse?
Diagnóstico: Câncer de Pulmão (Neoplasia Brônquica). Fisiopatologia / Achados Clássicos: A tosse é o sintoma mais comum do câncer de pulmão, causada pela irritação, obstrução ou invasão brônquica pelo tumor. Em um tabagista de longa data, qualquer mudança no padrão da tosse crônica ("tosse de fumante") ou o surgimento de uma tosse nova é um sinal de alarme ("red flag") para malignidade. Hemoptise, perda de peso e rouquidão (por invasão do nervo laríngeo recorrente) são outras pistas importantes que apontam para uma causa potencialmente fatal. Manejo / Tratamento: A investigação inicial é feita com uma radiografia de tórax, seguida por Tomografia Computadorizada (TC) de tórax para melhor caracterização da lesão. O diagnóstico definitivo requer biópsia (via broncoscopia ou percutânea). O tratamento depende do tipo histológico e do estadiamento, podendo envolver cirurgia, quimioterapia, radioterapia e imunoterapia.
38
Um homem de 75 anos, residente de uma instituição de longa permanência, é trazido ao pronto-socorro com história de 2 dias de tosse produtiva com expectoração amarelada, febre (38.9°C) e calafrios intensos. Ele está confuso e desorientado, uma mudança aguda em seu estado mental basal. Ao exame, está taquipneico (30 irpm), hipoxêmico (SatO₂ 89%) e a ausculta do tórax revela estertores crepitantes e sopro brônquico no lobo inferior esquerdo. A percussão sobre essa área é maciça, indicando consolidação
Diagnóstico: Pneumonia Comunitária (ou Adquirida no Hospital, dependendo do tempo de internação). Fisiopatologia / Achados Clássicos: A pneumonia é uma infecção do parênquima pulmonar (alvéolos). O agente infeccioso (ex: S. pneumoniae) desencadeia uma resposta inflamatória intensa, com exsudato de neutrófilos, eritrócitos e fibrina preenchendo os espaços aéreos, o que leva à consolidação pulmonar. Isso explica os achados de estertores crepitantes (abertura de alvéolos cheios de líquido) e sopro brônquico/tubário (o som da traqueia é transmitido de forma mais nítida através do pulmão consolidado). Os calafrios são causados pela liberação de citocinas pirogênicas (IL-1, TNF-α) na corrente sanguínea. Manejo / Tratamento: Este paciente apresenta critérios de gravidade (hipoxemia, confusão mental - CURB-65) e requer internação hospitalar. O manejo inclui oxigenoterapia, coleta de hemoculturas e cultura de escarro, e início imediato de antibioticoterapia intravenosa de amplo espectro, como ceftriaxona associada a azitromicina ou uma fluoroquinolona respiratória (ex: levofloxacino).
39
Uma mulher de 34 anos apresenta-se com tosse que piora à noite, há 10 dias. O quadro iniciou-se como um resfriado comum, mas nos últimos 4 dias os sintomas pioraram. Ela relata febre (38.2°C), cefaleia frontal intensa que piora ao inclinar a cabeça para frente, sensação de pressão na face e obstrução nasal com secreção purulenta. A tosse é desencadeada principalmente por uma sensação de gotejamento na parte de trás da garganta.
Diagnóstico: Sinusite bacteriana aguda. Fisiopatologia / Achados Clássicos: A sinusite aguda geralmente ocorre como uma complicação de uma infecção viral das vias aéreas superiores. O edema da mucosa obstrui os óstios de drenagem dos seios paranasais, levando à estase de muco e superinfecção bacteriana (agentes comuns: S. pneumoniae, H. influenzae). A inflamação e o acúmulo de secreção purulenta nos seios (maxilar, frontal) causam a cefaleia e a pressão facial. A tosse é predominantemente causada pelo gotejamento pós-nasal, onde a secreção inflamatória irrita os receptores da tosse na laringofaringe, sendo classicamente pior em decúbito. Manejo / Tratamento: O diagnóstico é clínico. Os "sinais de alerta" para etiologia bacteriana incluem persistência dos sintomas por >10 dias, piora dos sintomas após uma melhora inicial ("dupla piora") ou sintomas graves no início (febre alta, dor facial intensa). O tratamento de primeira linha é amoxicilina-clavulanato.
40
Um homem de 28 anos, previamente hígido, procura atendimento em pleno inverno com queixa de início abrupto, há 48 horas, de febre alta (39.5°C), prostração intensa, calafrios e tosse seca e dolorosa. A pista diagnóstica principal é a queixa de mialgia difusa e severa, a ponto de sentir "dor no corpo todo, até nos cabelos". Ele também refere cefaleia e dor de garganta. Ao exame, está com aparência toxemiada, febril e com a orofaringe hiperemiada, mas a ausculta pulmonar está limpa.
Diagnóstico: Gripe (Influenza). Fisiopatologia / Achados Clássicos: A gripe é causada pelo vírus Influenza (um Ortomixovírus de RNA). O que a diferencia de um resfriado comum é a intensidade dos sintomas sistêmicos. A replicação viral desencadeia uma resposta imune robusta com altos níveis de citocinas circulantes (ex: interferon, TNF-α), que são responsáveis pelos sintomas constitucionais marcantes: febre alta, mialgia intensa e prostração. A tosse é decorrente da traqueíte induzida pelo vírus. Manejo / Tratamento: Para a maioria dos pacientes, o tratamento é de suporte (hidratação, antitérmicos). Em pacientes com fatores de risco para complicações ou com doença grave, ou se o diagnóstico for feito dentro de 48 horas do início dos sintomas, o tratamento antiviral com inibidores da neuraminidase (ex: oseltamivir) pode ser considerado para reduzir a duração e a gravidade dos sintomas.
41
Uma jovem de 18 anos procura atendimento com queixa de tosse seca e irritativa há 4 dias. O quadro é acompanhado por febre (38.5°C), calafrios e uma dor de garganta excruciante (odinofagia) que dificulta a deglutição. Ao exame, observam-se hiperemia e exsudato amigdaliano bilateral, além de linfadenopatia cervical anterior dolorosa. Ela nega coriza ou espirros.
Diagnóstico: Faringite Aguda (provavelmente bacteriana, por Estreptococo do Grupo A). Fisiopatologia / Achados Clássicos: A faringite é a inflamação da faringe e estruturas adjacentes. Embora a maioria dos casos seja viral, a constelação de febre, exsudato amigdaliano, linfonodos cervicais anteriores dolorosos e ausência de tosse/sintomas virais típicos (critérios de Centor) aumenta a probabilidade de infecção por Streptococcus pyogenes (Estreptococo beta-hemolítico do Grupo A). A tosse, quando presente, é geralmente reacional à irritação e ao gotejamento pós-nasal, e não um sintoma primário. A odinofagia é o sintoma cardinal. Manejo / Tratamento: A abordagem inicial é estratificar o risco com os critérios de Centor. Se a suspeita for moderada a alta, realiza-se um teste rápido de antígeno para estreptococo (RADT). Se positivo, o tratamento é iniciado. Se negativo, mas a suspeita permanece alta, uma cultura de orofaringe pode ser realizada. O tratamento de escolha para a faringite estreptocócica é penicilina ou amoxicilina por 10 dias, cujo principal objetivo é a prevenção de complicações não supurativas, como a febre reumática aguda.
42
Um homem de 40 anos apresenta-se com tosse seca, "metálica" e irritativa há 3 dias, associada a uma febre baixa (37.9°C). O sintoma que mais o incomoda, no entanto, é a perda quase completa da voz (rouquidão / afonia) que se instalou progressivamente. Ele relata um quadro de coriza e mal-estar um dia antes do início da rouquidão. A orofaringe está levemente hiperemiada, mas sem exsudatos.
Diagnóstico: Laringite Aguda. Fisiopatologia / Achados Clássicos: A laringite aguda é a inflamação da laringe, predominantemente das pregas vocais. Em adultos, a causa é esmagadoramente viral (ex: Rinovírus, Influenza, Parainfluenza), geralmente ocorrendo no contexto de uma infecção de via aérea superior. A inflamação interfere na vibração normal das pregas vocais, resultando no sintoma principal: rouquidão (disfonia). A tosse é seca e irritativa devido à inflamação local dos receptores da tosse na laringe. Manejo / Tratamento: O diagnóstico é clínico e a condição é autolimitada. O manejo é inteiramente de suporte, focado em: Repouso vocal absoluto: a medida mais importante. Sussurrar pode ser mais traumático do que falar baixo. Hidratação e umidificação do ar. Analgesia se houver dor. Antibióticos não estão indicados, pois a etiologia é quase sempre viral. A rouquidão geralmente se resolve em 1 a 2 semanas.
43
Uma mulher de 68 anos, em tratamento para hipertensão e insuficiência cardíaca com fração de ejeção reduzida, queixa-se de uma tosse seca, persistente e irritativa que começou há 2 meses. A tosse piora à noite, não tem expectoração e não é acompanhada por febre, dispneia ou sintomas nasais. Ela iniciou uma nova medicação para o coração há cerca de 3 meses. A ausculta pulmonar e a radiografia de tórax são normais. Qual é a causa mais provável da tosse?
Diagnóstico: Tosse induzida por Inibidor da Enzima Conversora de Angiotensina (IECA). Fisiopatologia / Achados Clássicos: Os IECAs (ex: lisinopril, enalapril) são medicações de primeira linha na ICFER. Eles inibem a ECA, que, além de sua função no sistema renina-angiotensina-aldosterona, também degrada a bradicinina. O acúmulo de bradicinina nas vias aéreas estimula quimicamente as Fibras C aferentes, desencadeando um reflexo de tosse. A tosse é classicamente seca, não produtiva, persistente e ocorre em um paciente afebril. Manejo / Tratamento: O tratamento consiste na suspensão do IECA. A medicação deve ser substituída por um Bloqueador do Receptor da Angiotensina II (BRA), como a valsartana ou losartana, que não interfere no metabolismo da bradicinina. A tosse geralmente resolve em 1 a 4 semanas após a troca.
44
Um estudante de 20 anos queixa-se de tosse seca e irritativa há uma semana. Ele nega febre, calafrios ou mialgia. Seus sintomas principais são nasais: coriza hialina, espirros e obstrução nasal. A tosse parece piorar quando ele se deita e ele sente uma constante necessidade de "pigarrear" por conta de uma sensação de algo escorrendo na garganta. A orofaringe mostra um aspecto de "paralelepípedo" na parede posterior.
Diagnóstico: Resfriado Comum (IVAS viral) causando Síndrome da Tosse das Vias Aéreas Superiores (STVAS). Fisiopatologia / Achados Clássicos: Causado mais comumente pelo Rinovírus, o resfriado comum é uma infecção branda, geralmente afebril, confinada às vias aéreas superiores. A tosse não vem do pulmão, mas sim do gotejamento pós-nasal. As secreções inflamatórias do nariz e seios paranasais escorrem pela faringe, irritando mecanicamente os receptores da tosse. O aspecto de paralelepípedo (cobblestone appearance) na faringe é causado pela hiperplasia do tecido linfoide em resposta à irritação crônica. Manejo / Tratamento: O tratamento é sintomático, com analgésicos, descongestionantes nasais e/ou anti-histamínicos de primeira geração (que têm efeito anticolinérgico e diminuem a secreção). Lavagem nasal com solução salina também é eficaz. Antibióticos são inúteis.
45
Uma mulher de 72 anos com histórico de infarto do miocárdio e hipertensão arterial é acordada à noite com uma tosse súbita, dispneia intensa e sensação de afogamento. Ela está afebril. Ao sentar-se na cama, sente um leve alívio. A tosse produz uma expectoração espumosa e de coloração rosada. Ao exame, está pálida, sudoreica, com ingurgitamento jugular e a ausculta pulmonar revela estertores crepitantes que sobem a partir de ambas as bases.
Diagnóstico: Insuficiência Cardíaca Aguda Descompensada (ICAD) com Edema Agudo de Pulmão. Fisiopatologia / Achados Clássicos: Este é um exemplo de tosse cardíaca. A falha do ventrículo esquerdo em bombear o sangue para frente causa um aumento retrógrado da pressão no átrio esquerdo e nos capilares pulmonares. Quando a pressão hidrostática capilar pulmonar excede a pressão oncótica, o plasma extravasa para o interstício e os alvéolos. Esse fluido (edema) estimula os receptores de estiramento pulmonar (RARs), causando a tosse e a dispneia (ortopneia, dispneia paroxística noturna). A expectoração espumosa e rosada (hemácias + plasma) é patognomônica. Manejo / Tratamento: Emergência médica. O tratamento visa reduzir a pré-carga e a pós-carga. Medidas incluem oxigênio, vasodilatadores (Nitroglicerina) e diuréticos de alça (Furosemida). Ventilação não invasiva com pressão positiva (CPAP/BiPAP) é frequentemente necessária.
46
Um universitário de 19 anos apresenta-se com uma história de 2 dias de febre alta (39.1°C), calafrios e dor de garganta intensa (odinofagia) que o impede de se alimentar. Ele nega tosse ou coriza. Ao exame, sua orofaringe revela amígdalas edemaciadas com exsudato purulento e petéquias no palato mole. São palpáveis linfonodos cervicais anteriores dolorosos.
Diagnóstico: Faringite Aguda Exsudativa, com alta probabilidade de etiologia por Streptococcus pyogenes (Grupo A). Fisiopatologia / Achados Clássicos: A presença de febre alta, exsudato amigdaliano, linfonodos cervicais anteriores sensíveis e, crucialmente, a ausência de sintomas virais clássicos (tosse, coriza) são as pistas que apontam fortemente para uma etiologia bacteriana (Critérios de Centor). A infecção por S. pyogenes induz uma resposta inflamatória local e sistêmica intensa, explicando a febre elevada e os achados exsudativos. Manejo / Tratamento: Diante da alta suspeita clínica, a confirmação com um teste rápido de antígeno ou cultura de orofaringe é indicada. O tratamento de escolha é com Penicilina ou Amoxicilina por 10 dias. O objetivo principal do tratamento não é apenas aliviar os sintomas, mas prevenir complicações não supurativas graves, como a Febre Reumática Aguda e a Glomerulonefrite Pós-Estreptocócica.
47
Uma mulher de 30 anos queixa-se de dor de garganta e tosse irritativa há 3 dias. Ela está afebril (temperatura de 37.1°C) e relata também coriza hialina e espirros. A odinofagia é leve a moderada, descrita mais como um "arranhado". O exame revela uma orofaringe difusamente hiperemiada, mas sem exsudatos ou petéquias. Os linfonodos cervicais não são proeminentes ou dolorosos.
Diagnóstico: Faringite Aguda Viral (no contexto de uma Infecção de Vias Aéreas Superiores). Fisiopatologia / Achados Clássicos: A ausência de febre significativa e a presença de sintomas catarrais proeminentes (coriza, espirros, tosse) são as características que indicam uma etiologia viral (ex: Rinovírus, Coronavírus). A inflamação é mais difusa e menos intensa, resultando em hiperemia sem exsudação purulenta. A odinofagia é geralmente menos severa. Manejo / Tratamento: O manejo é puramente de suporte e sintomático. Recomenda-se hidratação, analgésicos/AINEs e pastilhas ou sprays anestésicos para a garganta. Antibióticos são completamente inúteis e seu uso deve ser evitado para não promover resistência bacteriana.
48
Um homem de 50 anos apresenta-se com início abrupto há 24 horas de febre (39.0°C), mialgia severa e prostração. Hoje, ele desenvolveu uma rouquidão acentuada e uma tosse seca, "metálica" e dolorosa. Ele sente dor ao falar e a voz está quase inaudível. Ao exame, está com aparência toxemiada e a ausculta pulmonar está limpa.
Diagnóstico: Laringotraqueíte Aguda, muito provavelmente secundária à infecção pelo Vírus Influenza. Fisiopatologia / Achados Clássicos: Enquanto a maioria das laringites é branda, uma apresentação com febre alta e sintomas sistêmicos intensos (mialgia, prostração) deve levantar a suspeita de um patógeno mais virulento, como o Influenza. O vírus causa uma inflamação necrosante do epitélio respiratório que pode se estender da traqueia à laringe, causando edema significativo das pregas vocais e resultando em rouquidão e tosse. Manejo / Tratamento: O tratamento primário é de suporte. No entanto, por se tratar de um quadro de Influenza diagnosticado no início (< 48h), o tratamento com um inibidor da neuraminidase, como o oseltamivir, pode ser iniciado para reduzir a duração e a gravidade dos sintomas e diminuir o risco de complicações, como pneumonia secundária.
49
Uma professora de 35 anos queixa-se de rouquidão que progrediu para afonia (perda da voz) em 2 dias. Ela teve um leve quadro de coriza na semana anterior, mas está afebril e nega dor corporal ou mal-estar significativo. Sua principal queixa é a incapacidade de dar aulas. A tosse é seca e pouco frequente.
Diagnóstico: Laringite Aguda Viral (típica). Fisiopatologia / Achados Clássicos: Esta é a apresentação mais comum de laringite em adultos. É tipicamente causada por vírus de IVAS menos virulentos (ex: Rinovírus, Parainfluenza). A inflamação é predominantemente localizada nas pregas vocais, causando edema que impede sua vibração normal. A ausência de febre e de sintomas sistêmicos indica que a resposta inflamatória é contida e não generalizada. Manejo / Tratamento: O manejo é focado em medidas que reduzam o trauma local e permitam a cicatrização. A medida mais crucial é o repouso vocal absoluto (evitar falar e, especialmente, sussurrar). Outras medidas incluem hidratação, umidificação do ar e evitar irritantes (fumaça). A condição é autolimitada e se resolve em 7 a 10 dias. Antibióticos não têm qualquer papel.
50
Um homem de 30 anos, sem comorbidades, procura atendimento por uma tosse seca e persistente que já dura seis semanas. Ele relata que, há cerca de sete semanas, teve um quadro de coriza, dor de garganta e febre baixa, que se resolveu em poucos dias, mas a tosse permaneceu. A tosse é frequentemente desencadeada por mudanças de temperatura, risadas ou ao falar ao telefone. Ele está afebril, e o exame físico e a radiografia de tórax são completamente normais.
Diagnóstico: Tosse pós-infecciosa. Fisiopatologia / Achados Clássicos: Esta é a causa mais comum de tosse subaguda. A infecção viral inicial (ex: Rinovírus, Influenza) causa dano e inflamação no epitélio respiratório. Isso leva a uma hiper-reatividade brônquica transitória, onde os receptores da tosse (especialmente Fibras C e RARs) se tornam hipersensíveis. Como resultado, estímulos normalmente inócuos (ar frio, ar seco, vocalização) são suficientes para desencadear um reflexo de tosse vigoroso. A presença de uma infecção viral recente é a pista diagnóstica chave. Manejo / Tratamento: A abordagem principal é a tranquilização do paciente, explicando a natureza autolimitada da condição. O tratamento é sintomático e visa quebrar o ciclo da tosse. As opções incluem: Corticosteroides inalatórios (ex: budesonida) para reduzir a inflamação e a hiper-reatividade. Broncodilatadores, como o brometo de ipratrópio, que podem ajudar a reduzir o broncoespasmo induzido pela tosse. Antitussígenos de ação central (ex: dextrometorfano) podem ser usados, embora com eficácia variável.
51
Uma adolescente de 15 anos, cuja última dose da vacina tríplice bacteriana (DTP) foi na infância, é trazida pela mãe devido a uma tosse severa há quatro semanas. Não houve um quadro viral claro no início. A mãe descreve a tosse em "ataques" ou paroxismos incontroláveis, onde a filha tosse repetidamente até ficar sem ar, seguindo-se uma inspiração profunda e ruidosa. Frequentemente, esses episódios terminam em vômito. Entre os ataques, a adolescente parece relativamente bem. O hemograma revela leucocitose com linfocitose acentuada.
Diagnóstico: Coqueluche (Pertussis). Fisiopatologia / Achados Clássicos: Causada pela bactéria Gram-negativa Bordetella pertussis. A doença tem uma fase catarral inicial (1-2 semanas) que pode ser confundida com um resfriado leve, seguida pela fase paroxística (2-6 semanas) com a tosse clássica. A toxina pertússis causa a linfocitose por inibir a quimiotaxia dos linfócitos, impedindo sua saída da corrente sanguínea. A toxina traqueal citotóxica paralisa e destrói os cílios do epitélio respiratório, causando acúmulo de muco e a tosse violenta. As pistas são: ausência de IVAS recente clara, tosse paroxística, guicho inspiratório e êmese pós-tussígena. Manejo / Tratamento: O diagnóstico é confirmado por PCR de swab de nasofaringe. O tratamento de escolha é um macrolídeo (ex: azitromicina) por 5 dias. O tratamento erradica a bactéria e diminui a transmissibilidade, mas pode não alterar significativamente o curso clínico se iniciado tardiamente na fase paroxística. É crucial tratar também os contatos próximos.
52
Um homem de 28 anos, que retornou há um mês de uma viagem missionária a uma área rural do Sudeste Asiático, apresenta-se com tosse seca, dispneia leve e sibilância há três semanas. Ele nega sintomas de infecção viral prévia e está afebril. A radiografia de tórax revela opacidades pulmonares periféricas e migratórias. O exame laboratorial mais notável é um hemograma completo que mostra uma eosinofilia periférica de 25%.
Diagnóstico: Síndrome de Löffler (Pneumonia Eosinofílica Simples). Fisiopatologia / Achados Clássicos: A Síndrome de Löffler é uma resposta imune pulmonar caracterizada por infiltrados pulmonares transitórios e eosinofilia periférica. A causa mais comum é a fase de migração pulmonar de larvas de parasitas helmínticos, classicamente o Ascaris lumbricoides. Após a ingestão dos ovos, as larvas eclodem no intestino, penetram na parede intestinal, entram na circulação, chegam aos pulmões, rompem os capilares para os alvéolos, ascendem pela árvore brônquica e são deglutidas para amadurecer no intestino. A passagem das larvas pelos pulmões desencadeia uma resposta imune mediada por células Th2 e IL-5, que recruta os eosinófilos, causando os sintomas respiratórios. Manejo / Tratamento: A síndrome é geralmente benigna e autolimitada, resolvendo-se em menos de um mês. O tratamento é direcionado à erradicação do parasita subjacente. Para ascaridíase, o tratamento de escolha é um anti-helmíntico como o albendazol ou mebendazol.
53
Um homem de 45 anos, imigrante de uma área endêmica, apresenta-se com uma tosse produtiva há 4 meses, que por vezes contém raias de sangue. Ele relata febre vespertina, sudorese noturna e uma perda de peso não intencional de 10 kg. Ao exame, está emagrecido e a ausculta pulmonar revela estertores em ápice direito. A radiografia de tórax mostra uma opacidade com cavitação no lobo superior direito.
Diagnóstico: Tuberculose (TB) pulmonar pós-primária (reativação). Fisiopatologia / Achados Clássicos: Causada pelo Mycobacterium tuberculosis, um bacilo álcool-ácido resistente. A reativação ocorre em 10% dos infectados, tipicamente em estados de imunossupressão. A predileção pelos ápices pulmonares deve-se à alta tensão de oxigênio, que favorece o crescimento do bacilo aeróbio. A resposta imune mediada por células T forma granulomas caseosos que podem sofrer necrose e liquefação, levando à formação de cavidades e disseminação do bacilo. A tríade de febre, sudorese noturna e perda de peso é clássica. Manejo / Tratamento: O diagnóstico é confirmado pela baciloscopia ou cultura do escarro (padrão-ouro). O tratamento é o esquema multidrogas RIPE (Rifampicina, Isoniazida, Pirazinamida, Etambutol).
54
Uma mulher de 68 anos com histórico de bronquiectasias apresenta uma piora insidiosa de sua tosse produtiva ao longo do último ano, associada a fadiga, mal-estar e febre baixa. Ela nega sudorese noturna significativa ou hemoptise. Várias baciloscopias de escarro para TB foram negativas. A TC de tórax mostra as bronquiectasias de base e múltiplos nódulos centrolobulares com padrão de "árvore em brotamento" (tree-in-bud).
Diagnóstico: Doença pulmonar por Micobactéria Não Tuberculosa (NTM), mais comumente pelo Complexo Mycobacterium avium (MAC). Fisiopatologia / Achados Clássicos: As NTM são micobactérias ambientais que causam doença pulmonar principalmente em indivíduos com doença pulmonar estrutural pré-existente (ex: DPOC, bronquiectasias, fibrose cística). A infecção é indolente e os sintomas são menos exuberantes que os da TB. O MAC é o agente mais comum, causando a forma nodular-bronquiectásica, especialmente em mulheres idosas (síndrome de Lady Windermere). Manejo / Tratamento: O diagnóstico requer critérios clínicos, radiológicos e microbiológicos (culturas positivas). O tratamento é prolongado (12-18 meses) e utiliza um regime de múltiplas drogas, classicamente um macrolídeo (azitromicina) + etambutol + uma rifamicina (rifabutina).
55
Um homem de 55 anos, etilista crônico com má higiene oral, apresenta tosse produtiva, febre baixa e perda de peso há 3 meses. Ele também relata uma área endurecida e dolorosa na parede torácica direita que evoluiu para um trato sinusal com drenagem de secreção purulenta. A análise da secreção revela a presença de grânulos amarelados, macroscópicos ("grânulos de enxofre").
Diagnóstico: Actinomicose torácica. Fisiopatologia / Achados Clássicos: Causada pelo Actinomyces israelii, uma bactéria Gram-positiva, anaeróbia e filamentosa que faz parte da flora oral normal. A doença ocorre após aspiração de secreções orais. A infecção é caracterizada pela formação de abscessos, fibrose intensa e a tendência a invadir tecidos através de planos anatômicos, formando tratos sinusais. Os "grânulos de enxofre" são, na verdade, colônias bacterianas emaranhadas. Manejo / Tratamento: O diagnóstico é feito pela visualização dos filamentos Gram-positivos e cultura em anaerobiose. O tratamento de escolha é a penicilina G em altas doses por um período prolongado (vários meses).
56
Um agricultor de 50 anos, residente no interior de Minas Gerais, Brasil, apresenta tosse produtiva, dispneia, febre e emagrecimento há 6 meses. Ele também se queixa de úlceras dolorosas na boca e nos lábios que dificultam a alimentação. Ao exame, observam-se lesões ulceradas com fundo granuloso na mucosa oral e linfadenopatia cervical.
Diagnóstico: Paracoccidioidomicose (PCM). Fisiopatologia / Achados Clássicos: Infecção causada pelo fungo dimórfico Paracoccidioides brasiliensis, endêmico na América Latina (especialmente no Brasil). A infecção ocorre por inalação de conídios. A forma crônica do adulto afeta primariamente os pulmões e pode se disseminar. O envolvimento da mucosa orofaríngea (estomatite moriforme) é um achado altamente característico. O exame microscópico do escarro ou biópsia revela grandes leveduras com múltiplos brotamentos, a clássica imagem de "roda de leme" ou "orelhas do Mickey Mouse". Manejo / Tratamento: Para formas leves a moderadas, o itraconazol é a droga de escolha. Para casos graves ou disseminados, a anfotericina B é utilizada.
57
Um paciente de 38 anos com diagnóstico de AIDS e contagem de CD4 de 45 células/mm³ apresenta-se com tosse produtiva, dispneia e febre há várias semanas. Nos últimos dias, ele desenvolveu uma cefaleia intensa, confusão mental e rigidez de nuca. O exame de fundo de olho mostra papiledema.
Diagnóstico: Criptococose disseminada, com pneumonia e meningoencefalite. Fisiopatologia / Achados Clássicos: Causada pela levedura encapsulada Cryptococcus neoformans (ou gattii), encontrada em solo e excrementos de pombos. A infecção primária é pulmonar, após inalação. Em pacientes severamente imunocomprometidos (CD4 < 100), o fungo dissemina-se hematogenicamente, com um tropismo acentuado pelo sistema nervoso central (SNC), causando a meningoencefalite, que é a principal causa de mortalidade. Manejo / Tratamento: O diagnóstico é feito pela detecção do antígeno criptocócico (CrAg) no soro ou LCR e/ou visualização da levedura encapsulada com tinta da China (nanquim). O tratamento da neurocriptococose é dividido em fases: indução com anfotericina B e flucitosina, seguida por consolidação e manutenção com fluconazol.
58
Um homem de 62 anos com histórico de tuberculose tratada há 20 anos (que deixou uma cavidade apical residual no pulmão direito) apresenta tosse produtiva crônica, perda de peso, febre baixa e episódios recorrentes de hemoptise. Uma radiografia de tórax mostra uma massa intracavitária móvel, com um "sinal do crescente aéreo". A sorologia para IgG anti-Aspergillus é fortemente positiva.
Diagnóstico: Aspergilose Pulmonar Crônica (APC), com a presença de um aspergiloma (bola fúngica). Fisiopatologia / Achados Clássicos: O Aspergillus fumigatus, um fungo onipresente, coloniza cavidades pulmonares pré-existentes. O aspergiloma é um emaranhado de hifas fúngicas, muco e debris celulares dentro da cavidade. A APC é um processo mais complexo, onde o fungo causa uma inflamação crônica local, levando a sintomas sistêmicos (febre, perda de peso) e fibrose progressiva. A hemoptise, por vezes maciça, ocorre pela erosão de vasos sanguíneos na parede da cavidade. Manejo / Tratamento: Para aspergilomas assintomáticos, a observação é uma opção. Se houver hemoptise significativa, a ressecção cirúrgica ou embolização da artéria brônquica pode ser necessária. Para a APC, o tratamento de base é a terapia antifúngica de longo prazo com azólicos (ex: voriconazol, itraconazol).
59
Um paciente de 55 anos, receptor de transplante renal em uso de tacrolimo e prednisona, desenvolve uma tosse produtiva com expectoração espessa, febre e dor torácica pleurítica ao longo de 2 meses. A TC de tórax revela múltiplos nódulos pulmonares, alguns com cavitação. Nas últimas semanas, ele também desenvolveu uma lesão cutânea pustular no braço e uma cefaleia persistente. A RM de crânio mostra múltiplos abscessos cerebrais.
Diagnóstico: Nocardiose disseminada (pulmonar, cutânea e cerebral). Fisiopatologia / Achados Clássicos: Causada pela Nocardia spp., uma bactéria Gram-positiva, filamentosa e fracamente álcool-ácido resistente. A infecção ocorre por inalação de solo contaminado. É uma infecção oportunista clássica em pacientes imunocomprometidos (especialmente com defeitos na imunidade celular). Tem uma forte tendência à formação de abscessos e à disseminação hematogênica para o cérebro e a pele. Manejo / Tratamento: O diagnóstico é feito pela coloração de Gram e Ziehl-Neelsen modificado e cultura. O tratamento de escolha é a antibioticoterapia prolongada (6-12 meses) com sulfametoxazol-trimetoprima (TMP-SMX).
60
Um homem de 60 anos com DPOC, residente no vale do rio Ohio (EUA), apresenta um quadro de 3 meses de tosse produtiva, dispneia progressiva, fadiga, febre e perda de peso. A história revela que ele gosta de explorar cavernas (espeleologia). A radiografia de tórax mostra infiltrados fibrocavitários nos lobos superiores, muito semelhantes à TB de reativação. A biópsia transbrônquica revela a presença de pequenas leveduras ovais no interior de macrófagos.
Diagnóstico: Histoplasmose pulmonar crônica cavitária. Fisiopatologia / Achados Clássicos: Causada pelo fungo dimórfico Histoplasma capsulatum, endêmico nos vales dos rios Ohio e Mississippi. A infecção ocorre pela inalação de microconídios de solo contaminado com excrementos de pássaros ou morcegos. A forma pulmonar crônica ocorre tipicamente em pacientes com doença pulmonar estrutural prévia (ex: enfisema), mimetizando a TB. O achado patognomônico é a visualização de leveduras intracelulares nos macrófagos. Manejo / Tratamento: O diagnóstico é feito por cultura, sorologia ou detecção de antígeno. O tratamento para a forma crônica é feito com itraconazol por pelo menos 1 ano. Casos graves podem requerer anfotericina B.
61
Uma mulher de 58 anos, não tabagista, apresenta uma tosse produtiva diária há mais de 10 anos. Ela relata um volume significativo de expectoração purulenta (cerca de meia xícara por dia), que piora ao deitar e pela manhã. Teve uma pneumonia grave na infância que exigiu hospitalização prolongada. Está afebril e em bom estado geral, mas relata infecções respiratórias de repetição. A ausculta revela estertores grossos persistentes nas bases pulmonares.
Diagnóstico: Bronquiectasias (não relacionadas à Fibrose Cística). Fisiopatologia / Achados Clássicos: As bronquiectasias são uma dilatação permanente e irreversível dos brônquios, resultante de um ciclo vicioso de infecção e inflamação que destrói os componentes elásticos e musculares da parede brônquica. Causas comuns incluem infecções prévias graves (pneumonia necrosante, tuberculose), discinesia ciliar ou deficiências de imunoglobulinas. A dilatação prejudica o clearance mucociliar, levando ao acúmulo de secreções e infecções recorrentes. A produção crônica de grande volume de escarro purulento é o sintoma cardinal. O diagnóstico é confirmado pela TC de tórax de alta resolução, que mostra o "sinal do anel de sinete". Manejo / Tratamento: A base do tratamento é a higiene brônquica, com fisioterapia respiratória diária (drenagem postural, dispositivos de pressão expiratória positiva) para limpar as secreções. Antibióticos são usados apenas durante as exacerbações agudas.
62
Um homem de 67 anos, tabagista (55 maços-ano), queixa-se de uma tosse produtiva matinal com expectoração mucoide, presente na maioria dos dias há vários anos. Ele está afebril, mas relata dispneia progressiva ao caminhar. A espirometria mostra uma relação VEF1/CVF de 0.65.
Diagnóstico: Doença Pulmonar Obstrutiva Crônica (DPOC) - fenótipo Bronquite Crônica. Fisiopatologia / Achados Clássicos: A irritação crônica pela fumaça do cigarro causa hiperplasia e hipertrofia das glândulas submucosas brônquicas, levando à hipersecreção crônica de muco e à tosse produtiva. A ausência de febre é a regra, exceto durante exacerbações infecciosas. Manejo / Tratamento: O pilar é a cessação do tabagismo. O tratamento farmacológico se baseia em broncodilatadores de longa ação (LAMA e/ou LABA).
63
Um jovem de 19 anos apresenta uma tosse produtiva crônica e persistente desde a infância, com expectoração espessa e de difícil expectoração. Ele está afebril. Relata também múltiplas pneumonias de repetição, esteatorreia e dificuldade em ganhar peso. Ao exame, apresenta baqueteamento digital e a ausculta pulmonar revela estertores grossos e roncos difusos. Uma cultura de escarro prévia isolou Pseudomonas aeruginosa mucoide.
Diagnóstico: Fibrose Cística (FC). Fisiopatologia / Achados Clássicos: É uma doença autossômica recessiva causada por uma mutação no gene CFTR, que codifica um canal de cloreto. O transporte iônico defeituoso resulta em secreções exócrinas espessas e viscosas em múltiplos órgãos. No pulmão, isso leva à obstrução das vias aéreas, um ciclo vicioso de infecção/inflamação, e o desenvolvimento de bronquiectasias. Pistas clássicas incluem insuficiência pancreática exócrina (esteatorreia, má absorção), infertilidade masculina (ausência congênita do ducto deferente) e colonização pulmonar crônica por patógenos típicos como S. aureus e P. aeruginosa. Manejo / Tratamento: O tratamento é multidisciplinar e complexo, envolvendo higiene brônquica (fisioterapia torácica), dornase alfa (para clivar o DNA no escarro e diminuí-lo), antibióticos inalatórios (ex: tobramicina) e, mais recentemente, moduladores do CFTR (ex: ivacaftor, elexacaftor).
64
Um homem de 25 anos é avaliado por tosse produtiva crônica e sinusite crônica desde a infância. Ele também relata múltiplos episódios de otite média na infância e foi diagnosticado com infertilidade. Está afebril. Durante o exame físico, você nota que o ictus cordis é palpável no hemitórax direito. Uma radiografia de tórax confirma dextrocardia.
Diagnóstico: Discinesia Ciliar Primária (DCP), apresentando-se como Síndrome de Kartagener. Fisiopatologia / Achados Clássicos: É uma doença autossômica recessiva rara caracterizada por um defeito na estrutura e/ou função dos cílios. O defeito mais comum é a ausência dos braços de dineína nos microtúbulos ciliares, tornando-os imóveis ou ineficazes. Isso resulta em um clearance mucociliar deficiente em todo o trato respiratório, levando a sinusite crônica, otite média e bronquiectasias. A imotilidade dos flagelos dos espermatozoides causa infertilidade. A Síndrome de Kartagener é uma tríade clássica que ocorre em ~50% dos pacientes com DCP, composta por: 1) Situs inversus (incluindo dextrocardia), 2) Bronquiectasias e 3) Sinusite crônica. Manejo / Tratamento: Não há cura. O manejo é semelhante ao das bronquiectasias por outras causas, focado na higiene brônquica para facilitar a remoção de secreções e no tratamento agressivo das infecções.
65
Uma mulher de 65 anos, não fumante, tem uma tosse produtiva diária há muitos anos, com expectoração purulenta que ela precisa "limpar" todas as manhãs. Ela está afebril e seu estado geral é bom. Ela se recorda de ter tido uma "pneumonia muito grave" aos 20 anos, que a deixou internada por um mês. Desde então, tem infecções respiratórias frequentes. A TC de tórax de alta resolução mostra dilatação brônquica com espessamento da parede, caracterizando o "sinal do anel de sinete".
Diagnóstico: Bronquiectasias pós-infecciosas. Fisiopatologia / Achados Clássicos: As bronquiectasias são a dilatação anormal e permanente das vias aéreas. Uma causa comum em adultos (não relacionada a FC ou DCP) é uma lesão pulmonar grave prévia. Uma pneumonia necrosante (causada por S. aureus, Klebsiella) ou uma infecção prévia por tuberculose pode destruir a matriz elástica e muscular da parede brônquica, levando à sua dilatação irreversível. O resultado é um clearance mucociliar prejudicado, estase de secreções e um ciclo vicioso de infecção e inflamação crônicas, que perpetua a tosse produtiva. Manejo / Tratamento: O pilar do tratamento é a fisioterapia respiratória para higiene brônquica. Antibióticos (muitas vezes guiados por cultura de escarro) são reservados para exacerbações infecciosas agudas, que se manifestam por aumento do volume e/ou purulência do escarro e piora da dispneia. Macrolídeos em baixa dose (ex: azitromicina) podem ser usados por seu efeito anti-inflamatório.
66
Um homem de 68 anos, ex-tabagista, apresenta-se com uma tosse seca e dispneia insidiosa e progressiva há cerca de 2 anos. Ao exame físico, o achado mais proeminente são estertores crepitantes finos em velcro nas bases pulmonares bilateralmente. Suas unhas apresentam baqueteamento digital. A tomografia de tórax de alta resolução (TCAR) revela um padrão de faveolamento (honeycombing), bronquiectasias de tração e opacidades reticulares com distribuição basal e subpleural
Diagnóstico: Fibrose Pulmonar Idiopática (FPI). Fisiopatologia / Achados Clássicos: A FPI é uma DPI fibrótica crônica e progressiva de causa desconhecida, que ocorre tipicamente em homens mais velhos, ex-fumantes. O padrão histológico e radiológico é o de Pneumonia Intersticial Usual (PIU). A principal característica é a cicatrização (fibrose) que destrói a arquitetura pulmonar normal, levando a uma doença restritiva. Os estertores em velcro (semelhantes a abrir um velcro) são altamente sugestivos. O padrão de PIU na TCAR (faveolamento basal e subpleural) é virtualmente diagnóstico em um contexto clínico apropriado. Manejo / Tratamento: O tratamento visa retardar a progressão da fibrose. Os medicamentos de escolha são os agentes antifibróticos, como a pirfenidona e o nintedanibe. O transplante pulmonar é a única terapia curativa.
67
Uma mulher de 45 anos com diagnóstico de esclerodermia (esclerose sistêmica) queixa-se de tosse seca e dispneia aos esforços há vários meses. Ela está afebril. A ausculta pulmonar revela estertores crepitantes finos nas bases. A TCAR mostra opacidades em vidro fosco e reticulação com distribuição basal e subpleural, mas com mínimo ou nenhum faveolamento.
Diagnóstico: Pneumonia Intersticial Não Específica (PINE), secundária a uma doença do tecido conjuntivo. Fisiopatologia / Achados Clássicos: A PINE é a segunda DPI idiopática mais comum, mas é a manifestação pulmonar mais frequente das doenças do tecido conjuntivo, como esclerodermia, polimiosite e artrite reumatoide. Diferente da PIU, a PINE é caracterizada histologicamente por inflamação e/ou fibrose que são "temporalmente homogêneas" (todas as lesões parecem ter a mesma idade). O achado radiológico chave é o vidro fosco com predomínio basal, e a ausência ou escassez de faveolamento é um fator que a diferencia da FPI/PIU. Manejo / Tratamento: O prognóstico da PINE é significativamente melhor que o da FPI. Como está frequentemente associada a uma causa autoimune, o tratamento geralmente envolve imunossupressão, tipicamente com corticosteroides e/ou micofenolato de mofetila.
68
Uma mulher afro-americana de 35 anos apresenta tosse seca e dispneia progressiva há alguns meses. Relata também fadiga, artralgia e o aparecimento de lesões cutâneas nodulares e eritematosas nas canelas. A radiografia de tórax revela linfonodomegalia hilar bilateral e simétrica. Os exames laboratoriais mostram hipercalcemia e níveis elevados da enzima conversora de angiotensina (ECA).
Diagnóstico: Sarcoidose. Fisiopatologia / Achados Clássicos: É uma doença granulomatosa multissistêmica de etiologia desconhecida. A marca registrada é a presença de granulomas não caseosos nos tecidos afetados. A apresentação pulmonar mais comum (Estágio I) é a linfonodomegalia hilar bilateral. A hipercalcemia ocorre porque os macrófagos ativados dentro dos granulomas expressam a enzima 1-alfa-hidroxilase, levando à produção descontrolada de vitamina D ativa. Manejo / Tratamento: O diagnóstico é confirmado por biópsia mostrando granulomas não caseosos. Muitos pacientes não necessitam de tratamento. Para aqueles com doença progressiva ou envolvimento de órgãos-alvo, os corticosteroides sistêmicos são a primeira linha.
69
Um homem de 55 anos, criador de pombos, desenvolve tosse seca, dispneia e febre baixa recorrentes, poucas horas após limpar o viveiro de suas aves. Os sintomas melhoram nos fins de semana, quando ele viaja. A ausculta pulmonar revela estertores crepitantes inspiratórios finos. A TCAR mostra nódulos centrolobulares mal definidos e áreas de vidro fosco, predominantemente nos terços superiores e médios dos pulmões.
Diagnóstico: Pneumonia por Hipersensibilidade (PH), subaguda (Pulmão do Criador de Pássaros). Fisiopatologia / Achados Clássicos: A PH é uma reação imune pulmonar à inalação de um antígeno orgânico (neste caso, proteínas das aves). É uma reação de hipersensibilidade mista (tipos III e IV). A apresentação subaguda é episódica e temporalmente relacionada à exposição. As pistas diagnósticas são a história de exposição ocupacional/ambiental, a melhora com o afastamento do antígeno e o padrão radiológico com predomínio em campos pulmonares superiores/médios e nódulos centrolobulares. Manejo / Tratamento: A medida mais importante é a identificação e o afastamento completo do antígeno desencadeante. Em casos agudos ou subagudos com inflamação significativa, um curso de corticosteroides sistêmicos pode ser necessário.
70
Um paciente de 60 anos apresenta um quadro subagudo de tosse seca, dispneia e sintomas semelhantes aos da gripe há 2 meses, que não melhoraram com múltiplos cursos de antibióticos. A TCAR revela consolidações parenquimatosas bilaterais e periféricas, com broncogramas aéreos, e algumas opacidades em vidro fosco. Uma biópsia transbrônquica mostra a presença de pólipos de tecido de granulação (corpos de Masson) preenchendo os alvéolos e bronquíolos.
Diagnóstico: Pneumonia em Organização (PO) (anteriormente chamada de BOOP - Bronquiolite Obliterante com Pneumonia em Organização). Fisiopatologia / Achados Clássicos: A PO é um padrão de resposta do pulmão a uma lesão. Pode ser idiopática (criptogênica - POC) ou secundária a infecções, drogas ou doenças do colágeno. O achado histopatológico característico são os "corpos de Masson", que são brotos de tecido conjuntivo frouxo que preenchem os espaços aéreos distais. A apresentação como uma "pneumonia que não melhora com antibióticos" e as consolidações migratórias e periféricas na TCAR são as pistas clássicas. Manejo / Tratamento: A Pneumonia em Organização é tipicamente muito responsiva a corticosteroides sistêmicos, com melhora clínica e radiológica rápida após o início do tratamento.
71
Uma mulher de 32 anos, não fumante, apresenta-se com dispneia progressiva aos esforços e tosse seca. Ela tem um histórico de dois episódios de pneumotórax espontâneo. A TCAR de tórax revela a presença de múltiplos cistos de paredes finas, redondos e bem definidos, distribuídos difusamente por todo o parênquima pulmonar.
Diagnóstico: Linfangioleiomiomatose (LAM). Fisiopatologia / Achados Clássicos: A LAM é uma doença rara, multissistêmica e de baixo grau de malignidade que afeta quase exclusivamente mulheres em idade fértil. É causada pela proliferação de células musculares lisas atípicas ("células LAM") que levam à formação de cistos pulmonares. A ruptura desses cistos causa pneumotórax recorrente. A LAM pode estar associada ao complexo da Esclerose Tuberosa. As pistas são a demografia (mulher jovem), pneumotórax espontâneo e o padrão cístico difuso na TCAR. Manejo / Tratamento: O tratamento visa retardar a progressão da doença. A terapia de escolha é com inibidores da mTOR, como o sirolimo, que inibem a proliferação das células LAM.
72
Um homem de 75 anos, que trabalhou por 40 anos em um estaleiro naval fazendo isolamento de tubulações, apresenta tosse seca e dispneia progressiva aos esforços. A ausculta revela estertores crepitantes finos em ambas as bases pulmonares. A espirometria mostra um padrão restritivo. A TC de tórax de alta resolução revela espessamento septal, opacidades reticulares com predomínio nos lobos inferiores e, o mais notável, a presença de múltiplas placas pleurais calcificadas no diafragma e na pleura parietal.
Diagnóstico: Asbestose (Exposição ao Asbesto/Amianto). Fisiopatologia / Achados Clássicos: A inalação de fibras de asbesto leva à fibrose pulmonar intersticial. As fibras são transportadas para a periferia do pulmão, explicando o predomínio da fibrose nos lobos inferiores e na região subpleural. As placas pleurais, especialmente se calcificadas, são a marca registrada da exposição ao asbesto (embora não indiquem a presença de fibrose pulmonar por si sós). A biópsia pulmonar revelaria os corpos de asbesto (fibras de amianto revestidas por ferro e proteína). Integração: A exposição ao asbesto é o principal fator de risco para o desenvolvimento de mesotelioma maligno da pleura. Adicionalmente, o asbesto e o tabagismo têm um efeito sinérgico no aumento do risco de carcinoma broncogênico.
73
Um homem de 60 anos, que trabalhou por 35 anos como operador de jato de areia e em mineração de granito, queixa-se de tosse seca e dispneia crônica. A radiografia de tórax mostra múltiplos pequenos nódulos (<1 cm) disseminados, com uma clara predominância nos lobos pulmonares superiores. A tomografia computadorizada também evidencia linfonodos hilares com calcificação em "casca de ovo" (eggshell calcification).
Diagnóstico: Silicose Crônica (Exposição à Sílica). Fisiopatologia / Achados Clássicos: É uma doença fibrótica pulmonar causada pela inalação crônica de poeira de sílica cristalina. As partículas de sílica são fagocitadas por macrófagos alveolares, desencadeando uma resposta inflamatória que leva à formação de nódulos fibróticos. A predileção pelos lobos superiores é um achado característico. A calcificação em casca de ovo dos linfonodos hilares, embora não seja comum, é patognomônica da silicose. Integração: A sílica é tóxica para os macrófagos, prejudicando sua capacidade de conter infecções intracelulares. Por isso, pacientes com silicose têm um risco significativamente aumentado de desenvolver tuberculose pulmonar, sendo necessário o rastreamento periódico.
74
Um soldador de 58 anos, assintomático do ponto de vista respiratório, realiza uma radiografia de tórax como parte de uma avaliação pré-operatória de rotina. O exame revela a presença de inúmeros pequenos nódulos metálicos, densos e bem definidos, difusamente distribuídos pelos pulmões. Ele nega tosse, dispneia ou qualquer outra queixa. As provas de função pulmonar são completamente normais.
Diagnóstico: Siderose do Soldador (Exposição ao Ferro). Fisiopatologia / Achados Clássicos: A siderose é uma pneumoconiose causada pela inalação de partículas de óxido de ferro, comum em soldadores, trabalhadores de minas de ferro e polidores de metais. O ferro é radiopaco, explicando os achados radiográficos proeminentes. Crucialmente, a siderose "pura" (não contaminada com sílica) é considerada uma pneumoconiose benigna. O pó de ferro é inerte e não causa inflamação ou fibrose significativas. Integração: A principal característica da siderose é a dissociação clínico-radiológica: um exame de imagem dramaticamente alterado na presença de um paciente assintomático e com função pulmonar normal. A condição geralmente não progride e pode até regredir radiologicamente após a cessação da exposição.
75
Um homem de 42 anos, usuário de drogas intravenosas por muitos anos, apresenta tosse seca e dispneia progressiva. A tomografia de tórax de alta resolução mostra um padrão misto de opacidades em vidro fosco e múltiplos nódulos centrolobulares bem definidos. Uma biópsia pulmonar é realizada e o exame com luz polarizada revela a presença de partículas birrefringentes em forma de agulha ou placa dentro de granulomas de corpo estranho.
Diagnóstico: Talcose Pulmonar (Exposição ao Talco). Fisiopatologia / Achados Clássicos: A exposição ao talco pode ser inalatória (mineração) ou, como neste caso de alto rendimento para o USMLE, intravascular. O talco é usado como material de enchimento em muitos comprimidos (ex: metilfenidato, metadona). Quando os usuários trituram e injetam esses comprimidos, as partículas de talco insolúveis embolizam para a microcirculação pulmonar, desencadeando uma reação granulomatosa de corpo estranho e fibrose progressiva, que pode levar à hipertensão pulmonar. Integração: A biópsia com análise por luz polarizada é fundamental para o diagnóstico, pois as partículas de silicato de magnésio (talco) são fortemente birrefringentes. A história de uso de drogas intravenosas em um paciente com doença pulmonar intersticial inexplicada deve sempre levantar a suspeita de talcose.
76
Uma mulher de 28 anos apresenta uma tosse seca e persistente há 4 meses. Ela relata que a tosse piora à noite, às vezes a acordando, e é frequentemente desencadeada por ar frio ou durante exercícios físicos. Ocasionalmente, ela sente um chiado no peito junto com a tosse. Ela tem um histórico pessoal de rinite alérgica desde a adolescência. A ausculta pulmonar durante a consulta é normal. A espirometria revela um VEF1/CVF de 72%, que aumenta para 85% (um aumento de 18% no VEF1) após a administração de um broncodilatador.
Diagnóstico: Asma variante tosse. Fisiopatologia / Achados Clássicos: Esta é uma forma de asma onde a tosse é o sintoma predominante ou único, em vez da dispneia e sibilância clássicas. O mecanismo subjacente é o mesmo: inflamação crônica das vias aéreas (com predomínio de eosinófilos e células Th2) e hiper-reatividade brônquica. Os gatilhos (exercício, alérgenos, ar frio) causam broncoespasmo, que se manifesta como tosse. A presença de sibilância ocasional, a variabilidade dos sintomas e a história de atopia são pistas importantes. O diagnóstico é confirmado pela espirometria mostrando obstrução reversível do fluxo aéreo. Manejo / Tratamento: O tratamento é idêntico ao da asma clássica. A terapia de controle de primeira linha é um corticosteroide inalatório (CI), como a fluticasona ou a budesonida, para tratar a inflamação subjacente. Um agonista beta-2 de curta ação (SABA), como o albuterol, é usado para alívio dos sintomas.
77
Um homem de 54 anos, com IMC de 32 kg/m², queixa-se de tosse seca e crônica, principalmente após as refeições e ao se deitar. Ele também relata uma pirose retroesternal frequente, regurgitação de conteúdo ácido e rouquidão matinal. Ele nega sintomas nasais ou chiado no peito. O exame físico é normal.
Diagnóstico: Tosse crônica secundária à Doença do Refluxo Gastroesofágico (DRGE). Fisiopatologia / Achados Clássicos: A tosse na DRGE é multifatorial, causada pela irritação direta da laringe por microaspiração de conteúdo gástrico e, principalmente, pelo reflexo esôfago-brônquico, uma via neural mediada pelo nervo vago onde o ácido no esôfago distal desencadeia um reflexo de tosse. As pistas clássicas são os sintomas de refluxo (pirose, regurgitação), a piora em decúbito ou pós-prandial, e sintomas laríngeos (rouquidão, pigarro). Manejo / Tratamento: A abordagem inicial é um teste terapêutico empírico com um Inibidor da Bomba de Prótons (IBP), como omeprazol ou pantoprazol, em dose dobrada por 8-12 semanas. Medidas de estilo de vida são essenciais: perda de peso, elevação da cabeceira da cama, e evitar gatilhos dietéticos e refeições tardias.
78
Um homem de 38 anos apresenta tosse seca e irritativa há mais de 3 meses. A tosse é notavelmente pior à noite e pela manhã. Ele relata coriza persistente, congestão nasal e uma sensação constante de "gotejamento na garganta" que o leva a pigarrear frequentemente. Ao exame, a mucosa nasal está pálida e edemaciada, e a parede posterior da orofaringe tem um aspecto de "paralelepípedo" (cobblestone).
Diagnóstico: Síndrome da Tosse das Vias Aéreas Superiores (STVAS), secundária à Rinite Crônica ou Sinusite Crônica. Fisiopatologia / Achados Clássicos: A STVAS (anteriormente chamada de gotejamento pós-nasal) é uma das causas mais comuns de tosse crônica. A tosse não se origina nos pulmões, mas é causada pela estimulação mecânica e química dos receptores da tosse na hipofaringe e laringe pelas secreções inflamatórias que gotejam do nariz e dos seios paranasais. As pistas são os sintomas nasais (coriza, congestão), a sensação de gotejamento, a necessidade de pigarrear e a piora em decúbito. Manejo / Tratamento: O tratamento visa a condição nasal subjacente. A primeira linha geralmente envolve um corticosteroide intranasal (ex: mometasona, fluticasona) combinado com um anti-histamínico oral de primeira geração (que possui efeito secativo) à noite.
79
Um paciente de 40 anos, com histórico de asma, apresenta um quadro subagudo de tosse seca, dispneia e febre baixa há algumas semanas. A radiografia de tórax revela infiltrados pulmonares periféricos bilaterais, descritos como o "negativo fotográfico" do edema pulmonar. O hemograma mostra uma hipereosinofilia periférica acentuada (30% de eosinófilos).
Diagnóstico: Pneumonia Eosinofílica Crônica. Fisiopatologia / Achados Clássicos: Este é um grupo de doenças caracterizadas pelo acúmulo de eosinófilos no interstício e espaços alveolares. A forma crônica idiopática está fortemente associada a pacientes com asma e atopia. A patogênese envolve uma resposta imune Th2 desregulada com produção excessiva de IL-5, a principal citocina para recrutamento e ativação de eosinófilos. A combinação de sintomas respiratórios, hipereosinofilia periférica e os infiltrados periféricos na radiografia ("céu reverso" ou "negativo do edema pulmonar") é clássica. Manejo / Tratamento: A doença é caracterizada por uma resposta dramática e rápida aos corticosteroides sistêmicos (ex: prednisona), que é tanto terapêutica quanto diagnóstica.
80
Uma mulher de 70 anos em tratamento para hipertensão arterial desenvolve uma tosse seca e irritativa, sem expectoração, febre ou dispneia. A tosse é persistente e frequentemente descrita como uma "sensação de coceira na garganta". O quadro iniciou-se alguns meses após o ajuste de sua medicação. Seu cardiologista havia trocado a losartana por outra medicação devido a um controle pressórico inadequado. O exame físico e a radiografia de tórax são normais.
Diagnóstico: Tosse crônica induzida por Inibidor da Enzima Conversora de Angiotensina (IECA). Fisiopatologia / Achados Clássicos: Este cenário ilustra uma causa medicamentosa clássica de tosse crônica. Os IECAs (ex: captopril, lisinopril, enalapril) inibem a degradação da bradicinina, cujo acúmulo nas vias aéreas estimula as fibras C e causa a tosse. A pista crucial é a relação temporal entre o início de uma nova droga e o surgimento da tosse. A troca de um BRA (losartana) por um IECA é um cenário comum. Manejo / Tratamento: A única solução eficaz é a suspensão do IECA e a substituição por um anti-hipertensivo de outra classe, tipicamente retornando a um Bloqueador do Receptor da Angiotensina II (BRA).
81
Um homem de 65 anos, tabagista há 45 anos, relata uma tosse crônica que é marcadamente pior nos primeiros 30 minutos após acordar. Ele descreve a tosse como um "ritual matinal" para "limpar o peito", sendo altamente produtiva com expectoração espessa e amarelada. Ao longo do dia, a tosse diminui de intensidade. Ele está afebril e nega sintomas noturnos significativos.
Diagnóstico: Tosse matinal associada a Tabagismo, no contexto de Bronquite Crônica (DPOC). Fisiopatologia / Achados Clássicos: A exposição crônica à fumaça do cigarro causa hiperplasia das glândulas mucosas e paralisia ciliar. Durante a noite, na posição supina, a função ciliar diminuída permite que uma grande quantidade de muco se acumule nas vias aéreas. Ao acordar e assumir a posição vertical, a gravidade e os primeiros movimentos respiratórios mobilizam esse "pool" de secreções, desencadeando um reflexo de tosse vigoroso e produtivo para a limpeza das vias aéreas. Integração: A tosse produtiva matinal é a marca registrada da bronquite crônica. É fundamental questionar sobre dispneia aos esforços, que indicaria a progressão da obstrução do fluxo aéreo (DPOC).
82
Uma mulher de 25 anos com histórico de rinite alérgica sazonal queixa-se de uma tosse seca e irritativa que é mais intensa logo ao acordar. Ela acorda com o nariz congestionado e uma sensação de "pigarro" constante, que melhora após assoar o nariz e tomar um banho quente. A tosse diminui ao longo do dia, mas pode reaparecer se ela se expõe a poeira ou pólen.
Diagnóstico: Tosse matinal associada a Rinite Alérgica, causando Síndrome da Tosse das Vias Aéreas Superiores (STVAS). Fisiopatologia / Achados Clássicos: Durante a noite, na posição supina, as secreções inflamatórias produzidas na mucosa nasal e sinusal (gotejamento pós-nasal) escorrem passivamente e se acumulam na faringe e laringe. Ao acordar, a tentativa de limpar essa secreção acumulada desencadeia a tosse. A congestão nasal também pode levar à respiração oral durante a noite, ressecando a faringe e piorando a irritação. Integração: A chave aqui é a associação com outros sintomas de rinite (congestão, coriza) e a melhora dos sintomas após a limpeza nasal matinal.
83
Um homem de 48 anos, com sobrepeso, relata uma tosse seca e crônica que ocorre quase exclusivamente à noite, começando 1 a 2 horas após ele se deitar. A tosse por vezes o acorda com uma sensação de queimação na garganta e gosto ácido na boca. Ele nega dispneia ou sintomas nasais. O uso de dois travesseiros para dormir parece aliviar parcialmente os sintomas.
Diagnóstico: Tosse noturna secundária à Doença do Refluxo Gastroesofágico (DRGE). Fisiopatologia / Achados Clássicos: A posição supina elimina o efeito da gravidade, facilitando o refluxo do conteúdo gástrico para o esôfago e a laringofaringe. Isso desencadeia a tosse por dois mecanismos principais: (1) microaspiração de ácido, causando irritação química direta das vias aéreas, e (2) um reflexo esôfago-brônquico mediado pelo nervo vago. A piora em decúbito é a pista diagnóstica fundamental. Integração: A tosse pode ser o único sintoma da DRGE ("refluxo silencioso"). A resposta a um teste terapêutico com um Inibidor da Bomba de Prótons (IBP) pode ajudar a confirmar o diagnóstico.
84
Uma mulher de 72 anos com histórico de hipertensão e infarto do miocárdio prévio queixa-se de uma tosse seca e irritativa que a acorda no meio da noite, cerca de 3 horas após o início do sono. Ela acorda com uma sensação de "falta de ar" e precisa sentar-se na beira da cama ou ir até a janela para "pegar um ar", com a tosse e a dispneia melhorando após alguns minutos na posição vertical.
Diagnóstico: Tosse noturna como um equivalente de Dispneia Paroxística Noturna (DPN), secundária à Insuficiência Cardíaca (IC). Fisiopatologia / Achados Clássicos: Na posição supina, ocorre uma redistribuição do fluido dos membros inferiores e do compartimento esplâncnico para a circulação central, aumentando o retorno venoso para um coração já insuficiente. Isso eleva a pressão capilar pulmonar, levando ao edema intersticial. O edema estimula os receptores J (justacapilares), desencadeando o reflexo da tosse e a sensação de dispneia. A melhora ao sentar-se (ortopneia) ocorre porque a gravidade ajuda a redistribuir o fluido de volta para as porções inferiores do corpo. Integração: Esta "asma cardíaca" é um sintoma clássico de descompensação da IC esquerda. Deve-se procurar por outros sinais, como edema de membros inferiores, estase jugular e estertores crepitantes nas bases pulmonares.
85
Um homem de 40 anos com história de sinusite crônica relata uma tosse seca que se inicia invariavelmente 15 a 20 minutos após ele se deitar para dormir. Ele não tosse durante o dia. Sente uma constante necessidade de pigarrear para "limpar a garganta". A esposa se queixa de que ele "ronca e funga" muito durante a noite.
Diagnóstico: Tosse noturna devido ao Gotejamento Nasal Posterior, no contexto da Síndrome da Tosse das Vias Aéreas Superiores (STVAS). Fisiopatologia / Achados Clássicos: Este é o exemplo mais direto do efeito postural no gotejamento pós-nasal. Durante o dia, na posição vertical, as secreções nasais são inconscientemente deglutidas. Ao deitar, o fluxo de muco é redirecionado para a parede posterior da faringe, onde ele se acumula e irrita diretamente os receptores da tosse na laringe, desencadeando a tosse. A latência curta entre deitar e o início da tosse é muito característica. Integração: O tratamento é direcionado à causa nasal, geralmente com corticosteroides intranasais e, se necessário, lavagem nasal salina para remover as secreções antes de dormir.
86
Um homem de 78 anos queixa-se de tosse e engasgos que ocorrem invariavelmente durante a alimentação, especialmente com líquidos. Ele também relata disfagia para sólidos e líquidos, halitose e a regurgitação de partículas de alimentos não digeridos horas após ter comido. Ao exame, nota-se uma massa palpável na região cervical esquerda.
Diagnóstico: Divertículo de Zenker (Divertículo Faringoesofágico). Fisiopatologia / Achados Clássicos: O divertículo de Zenker é um pseudodivertículo (herniação apenas da mucosa e submucosa) que ocorre na parede posterior da hipofaringe, em uma área de fraqueza muscular chamada Triângulo de Killian. A disfunção do músculo cricofaríngeo leva ao aumento da pressão intraluminal, causando a herniação. Alimentos e líquidos ficam aprisionados na bolsa do divertículo, e a tentativa de deglutir mais alimentos pode causar o transbordamento do conteúdo para a via aérea, resultando em tosse e aspiração durante a alimentação. A regurgitação de comida não digerida e a halitose são sintomas clássicos. Manejo / Tratamento: O diagnóstico é confirmado com um esofagograma com bário, que irá delinear a bolsa do divertículo. O tratamento é cirúrgico ou endoscópico (miotomia do cricofaríngeo com ou sem diverticulectomia) para aliviar a obstrução e remover a bolsa. O principal risco da condição não tratada é a pneumonia aspirativa.
87
Um homem de 66 anos, tabagista inveterado (70 maços-ano), apresenta uma tosse crônica que, nos últimos 2 meses, adquiriu uma qualidade rouca e "metálica". Ele também relata uma perda de peso de 9 kg e hemoptise ocasional. Ao exame, sua voz é claramente bitonal. Uma radiografia de tórax revela uma massa no hilo pulmonar esquerdo, com linfonodomegalia mediastinal.
Diagnóstico: Carcinoma Broncogênico (Câncer de Pulmão) com paralisia de prega vocal. Fisiopatologia / Achados Clássicos: A tosse rouca neste contexto é um sinal ominoso. Tumores localizados no mediastino ou no hilo pulmonar (especialmente no lado esquerdo, perto do arco aórtico) podem invadir ou comprimir o nervo laríngeo recorrente, um ramo do nervo vago que inerva a maioria dos músculos intrínsecos da laringe. A paralisia de uma prega vocal impede seu fechamento completo, resultando em uma voz soprosa e rouca. A combinação de tabagismo pesado, perda de peso e rouquidão de início recente é altamente sugestiva de malignidade. Integração: A paralisia do nervo laríngeo recorrente esquerdo por um tumor pulmonar é conhecida como Síndrome de Ortner. O manejo requer estadiamento completo da doença (TC, PET-CT) e biópsia para confirmação histológica, o que guiará o tratamento (cirurgia, quimio e/ou radioterapia).
88
Uma jovem de 16 anos, que não recebeu reforços vacinais desde a infância, é levada ao consultório por uma tosse severa há 4 semanas. A mãe descreve os episódios como "ataques de tosse" incontroláveis (tosse quintosa), onde a filha tosse repetidamente até ficar vermelha e sem ar, sendo o acesso frequentemente seguido por vômito. Entre os episódios, ela parece bem. O hemograma mostra uma leucocitose de 22.000 com 75% de linfócitos.
Diagnóstico: Coqueluche (Pertussis). Fisiopatologia / Achados Clássicos: Causada pela bactéria Bordetella pertussis. A doença evolui em fases, e a fase paroxística (que dura de 2 a 6 semanas) é caracterizada pela tosse quintosa. As toxinas bacterianas paralisam os cílios respiratórios e causam inflamação local, levando ao acúmulo de muco espesso que é difícil de expectorar, resultando nos paroxismos. O esforço extremo da tosse pode levar à êmese pós-tussígena, hemorragias subconjuntivais e petéquias na face. A linfocitose absoluta é uma marca laboratorial clássica da doença. Manejo / Tratamento: O diagnóstico é confirmado por PCR de swab de nasofaringe. O tratamento com macrolídeos (ex: azitromicina) é indicado para erradicar a bactéria, reduzir a transmissão e, se iniciado precocemente, pode atenuar a gravidade da doença. A imunidade conferida tanto pela vacina quanto pela doença não é permanente, explicando a ocorrência em adolescentes e adultos.
89
Um menino de 8 anos com histórico de dermatite atópica é trazido ao pronto-socorro com tosse seca e dificuldade para respirar. O quadro iniciou-se após ele brincar em um campo recém-cortado. A tosse é persistente e, ao final de cada expiração, é possível ouvir um som agudo, musical e contínuo. Ao exame, ele está com a musculatura acessória em uso, o tempo expiratório está prolongado e a ausculta pulmonar revela sibilos difusos bilateralmente.
iagnóstico: Crise de Asma (Exacerbação). Fisiopatologia / Achados Clássicos: O sibilo é um som adventício de alta frequência, predominantemente expiratório, gerado pela passagem de ar através de vias aéreas inferiores (intratorácicas) estreitadas. Na asma, a exposição a um gatilho (neste caso, alérgenos como pólen) leva à degranulação de mastócitos, liberando mediadores como a histamina. Isso causa: Broncoespasmo (contração do músculo liso brônquico). Edema da mucosa. Hipersecreção de muco. Essa tríade reduz o calibre dos brônquios e bronquíolos, causando a obstrução do fluxo aéreo e o som sibilante. A tosse é um sintoma cardinal do broncoespasmo. Manejo / Tratamento: Esta é uma condição que requer tratamento imediato para reverter a obstrução. O pilar do manejo na crise aguda é a administração de broncodilatadores de curta ação (SABAs), como o albuterol (salbutamol), via nebulização ou inalador dosimetrado com espaçador. Corticosteroides sistêmicos (prednisona oral ou metilprednisolona IV) são essenciais para tratar a inflamação subjacente e prevenir recaídas. Oxigênio suplementar é administrado para manter a SatO₂ > 92%.
90
Uma menina de 2 anos, previamente hígida, é trazida às pressas para a emergência após um episódio de início súbito de engasgo, tosse violenta e cianose enquanto comia amendoim. Agora, ela está consciente, mas com desconforto respiratório. A tosse é "metálica" e a cada inspiração ouve-se um som agudo, de alta frequência e monofônico, audível mesmo sem estetoscópio.
Diagnóstico: Obstrução de Via Aérea Superior por Aspiração de Corpo Estranho. Fisiopatologia / Achados Clássicos: O estridor é um som de alta frequência, predominantemente inspiratório, gerado pela passagem turbulenta de ar através de uma via aérea superior parcialmente obstruída (extrathorácica), como a laringe ou a traqueia. Diferente do sibilo, o estridor indica um ponto de obstrução fixo e mais calibroso. A aspiração de um corpo estranho para a laringe ou traqueia é uma emergência pediátrica. O início súbito dos sintomas (asfixia, tosse) em uma criança previamente saudável, especialmente no contexto de alimentação ou brincadeira com objetos pequenos, é a história clássica. Manejo / Tratamento: O manejo depende do grau de obstrução. Se a criança ainda consegue tossir e ventilar (obstrução parcial), ela deve ser encorajada a tossir e transportada para o hospital. Se houver sinais de obstrução grave (tosse ineficaz, cianose, perda de consciência), manobras de desobstrução (tapas nas costas e compressões torácicas/abdominais) devem ser iniciadas. O tratamento definitivo para remoção do corpo estranho é a broncoscopia rígida sob anestesia geral no centro cirúrgico.
91
Uma mulher de 68 anos, com histórico de câncer de mama em tratamento com quimioterapia, é levada ao pronto-socorro com início súbito, há uma hora, de dor torácica pleurítica, dispneia intensa e tosse seca. Ao exame, está ansiosa, taquicárdica (120 bpm), taquipneica (30 irpm) e hipoxêmica (SatO₂ 88% em ar ambiente). A ausculta pulmonar é limpa e o exame dos membros inferiores revela edema assimétrico com empastamento da panturrilha direita.
Diagnóstico: Tromboembolismo Pulmonar (TEP) maciço ou submaciço. Fisiopatologia / Achados Clássicos: É uma obstrução da artéria pulmonar ou de seus ramos por um êmbolo, mais comumente um trombo originado de uma Trombose Venosa Profunda (TVP) dos membros inferiores. Fatores de risco (Tríade de Virchow) incluem malignidade, cirurgia recente e imobilidade. O quadro agudo de dispneia súbita, dor pleurítica e taquicardia/hipoxemia desproporcional aos achados da ausculta pulmonar é a apresentação clássica. Manejo / Tratamento: Emergência médica. O manejo imediato inclui estabilização hemodinâmica e oxigenoterapia. A anticoagulação plena com heparina deve ser iniciada imediatamente com base na alta suspeita clínica. O diagnóstico é confirmado com Angiotomografia de tórax. Em pacientes com instabilidade hemodinâmica (TEP maciço), a trombólise sistêmica (ex: alteplase) ou a embolectomia por cateter/cirúrgica está indicada.
92
Um menino de 3 anos, que estava brincando no chão enquanto comia amendoim, apresenta um episódio súbito de engasgo, tosse violenta e cianose. Após o acesso inicial, ele parece melhorar, mas permanece com uma tosse "metálica" e um chiado localizado. Ao exame, a ausculta pulmonar revela uma diminuição localizada do murmúrio vesicular e sibilos unilaterais no hemitórax direito.
Diagnóstico: Aspiração de Corpo Estranho. Fisiopatologia / Achados Clássicos: A aspiração de objetos para a via aérea é uma emergência, especialmente em crianças. Devido à anatomia brônquica (o brônquio principal direito é mais vertical e calibroso), a maioria dos corpos estranhos se aloja no lado direito. Após o episódio agudo de asfixia, pode haver uma fase assintomática antes do desenvolvimento de complicações. Achados clássicos de obstrução brônquica incluem sibilo unilateral e hipoventilação localizada. Uma radiografia de tórax pode mostrar hiperinsuflação unilateral ou atelectasia. Manejo / Tratamento: Se houver obstrução completa, manobras de desobstrução são necessárias. Em um paciente estável com suspeita de aspiração, o procedimento de escolha para diagnóstico e tratamento é a broncoscopia rígida no centro cirúrgico para a remoção do objeto.
93
Um homem de 45 anos, previamente hígido, desenvolve um quadro gripal que evolui em menos de uma semana para uma insuficiência respiratória grave. Ele apresenta tosse seca, dispneia rapidamente progressiva e cianose. Na admissão hospitalar, está com SatO₂ de 80% mesmo com oxigênio em alto fluxo. A TC de tórax mostra opacidades em vidro fosco e consolidações difusas e bilaterais, um padrão indistinguível da Síndrome do Desconforto Respiratório Agudo (SDRA). Todas as culturas e sorologias para patógenos infecciosos são negativas.
Diagnóstico: Pneumonia Intersticial Aguda (PIA) ou Síndrome de Hamman-Rich. Fisiopatologia / Achados Clássicos: A PIA é uma forma rara, idiopática e fulminante de doença pulmonar intersticial. É considerada a contraparte idiopática da SDRA. A patologia é o dano alveolar difuso (DAD), o mesmo encontrado na SDRA, mas sem um fator de risco identificável (como sepse, trauma ou aspiração). A apresentação é de uma SDRA de início rápido em um paciente previamente saudável. Manejo / Tratamento: A mortalidade é altíssima (>50%). O manejo é de suporte, idêntico ao da SDRA, em uma Unidade de Terapia Intensiva. Isso inclui ventilação mecânica protetora (baixo volume corrente), manejo de fluidos conservador e tratamento de complicações. O papel dos corticosteroides é controverso.
94
Um jovem de 22 anos com diagnóstico de Doença Falciforme (Anemia Falciforme) é admitido com uma crise álgica em membros e tórax. No segundo dia de internação, ele desenvolve febre (39°C), tosse, piora da dor torácica e aumento do trabalho respiratório. A SatO₂ cai para 91%. A radiografia de tórax, que era limpa na admissão, agora mostra um novo infiltrado/consolidação no lobo inferior direito.
Diagnóstico: Síndrome Torácica Aguda (STA). Fisiopatologia / Achados Clássicos: A STA é uma das principais causas de morte em pacientes com doença falciforme. A fisiopatologia é complexa e envolve vaso-oclusão pela hemácia afoiçada na microcirculação pulmonar, frequentemente precipitada por infecção, embolia gordurosa (da necrose da medula óssea) ou hipoventilação (por dor torácica). Isso leva a um ciclo de inflamação, hipoxemia e mais afoiçamento. A definição requer um novo infiltrado radiológico associado a sintomas como febre, tosse ou dor torácica. Manejo / Tratamento: É uma emergência médica. O manejo inclui oxigenoterapia, antibioticoterapia de amplo espectro (para cobrir patógenos típicos e atípicos), analgesia adequada e transfusão de concentrado de hemácias (simples ou de troca) para diminuir a porcentagem de hemoglobina S circulante.
95
Uma mulher de 35 anos apresenta-se com um quadro de 3 dias de tosse, dispneia e hemoptise franca. Ela está pálida e fadigada. Exames laboratoriais de entrada revelam uma queda aguda no nível de hemoglobina (de 13 g/dL para 8.5 g/dL) e um sedimento urinário mostrando hematúria com cilindros hemáticos. A radiografia de tórax mostra infiltrados alveolares difusos e bilaterais.
Diagnóstico: Síndrome Pulmão-Rim, provavelmente por uma vasculite de pequenos vasos ANCA-associada (ex: Granulomatose com Poliangiite - GPA) ou doença anti-membrana basal glomerular (Síndrome de Goodpasture). Fisiopatologia / Achados Clássicos: A hemorragia alveolar difusa é causada pela ruptura da membrana alvéolo-capilar devido a uma capilarite pulmonar. Isso leva à tríade clássica de hemoptise, infiltrados pulmonares difusos e anemia aguda. Quando associada a uma glomerulonefrite rapidamente progressiva (hematúria, insuficiência renal aguda), constitui a Síndrome Pulmão-Rim. Manejo / Tratamento: Emergência com alta mortalidade. O manejo requer suporte respiratório (ventilação mecânica, se necessário) e tratamento agressivo da causa subjacente. Isso geralmente envolve pulsoterapia com altas doses de corticosteroides (metilprednisolona), associada a outros imunossupressores como ciclofosfamida ou rituximabe, e plasmaférese (especialmente na Síndrome de Goodpasture para remover os anticorpos circulantes).
96
Uma mulher de 75 anos com histórico de infarto do miocárdio é acordada no meio da noite por uma crise súbita de tosse seca, dispneia extrema e uma sensação de "afogamento". Ela está sentada na cama, ansiosa, sudoreica e usando a musculatura acessória para respirar. A tosse produz uma expectoração espumosa e rosada. Ao exame, apresenta taquicardia, SatO₂ de 85%, ingurgitamento jugular e a ausculta pulmonar revela estertores crepitantes subindo bilateralmente a partir das bases.
Diagnóstico: Edema Agudo de Pulmão secundário à Falência de Ventrículo Esquerdo (Insuficiência Cardíaca Aguda Descompensada). Fisiopatologia / Achados Clássicos: A falha do ventrículo esquerdo em ejetar o sangue adequadamente causa um rápido aumento retrógrado da pressão hidrostática nos capilares pulmonares. Isso força o extravasamento de plasma (e algumas hemácias) para o interstício e alvéolos, causando edema. A tosse é um reflexo à inundação alveolar (estimulando os receptores J), e a expectoração rosada é patognomônica. A ortopneia e a dispneia paroxística noturna são sintomas clássicos. Manejo / Tratamento: Emergência médica. O tratamento visa reduzir a pré-carga e a pós-carga. O mnemônico "LMNOP" pode ser útil: Lasix (Furosemida), Morfina, Nitratos (Nitroglicerina), Oxigênio, Posição (sentado). A ventilação não invasiva com pressão positiva (CPAP) é fundamental para diminuir o trabalho respiratório e redistribuir o fluido alveolar.
97
Um jovem de 20 anos, conhecido asmático, é trazido à emergência com tosse incessante, dispneia severa e chiado audível à distância. Ele está agitado, incapaz de completar frases, e usando vigorosamente a musculatura acessória. Ao exame, está taquicárdico (140 bpm), taquipneico (35 irpm) e a oximetria mostra SatO₂ de 90%. Durante a avaliação, ele se torna sonolento e a ausculta, que antes revelava sibilos difusos, agora mostra um "tórax silencioso".
Diagnóstico: Estado de Mal Asmático (Status Asthmaticus) com insuficiência respiratória iminente. Fisiopatologia / Achados Clássicos: Esta é a forma mais grave de exacerbação da asma, refratária ao tratamento inicial com broncodilatadores. A inflamação e o broncoespasmo são tão intensos que o fluxo de ar se torna mínimo. O "tórax silencioso" é um sinal de péssimo prognóstico: indica que a obstrução é tão severa que quase não há passagem de ar para gerar o som dos sibilos. A sonolência e a confusão mental são sinais de hipercapnia e falência respiratória. Manejo / Tratamento: Ação imediata é necessária. O tratamento inclui SABA (albuterol) + anticolinérgico (ipratrópio) em nebulização contínua, corticosteroides sistêmicos IV (metilprednisolona) e sulfato de magnésio IV. A piora clínica e o tórax silencioso são indicações claras para intubação orotraqueal e ventilação mecânica.
98
Um trabalhador de uma indústria de plásticos é resgatado de uma área onde houve um incêndio. Ele está consciente, mas com tosse violenta, rouquidão e dispneia. Suas vias aéreas estão cobertas por fuligem e ele expele um escarro carbonáceo. Ao exame, está taquipneico, com estridor inspiratório e sibilos. Apesar de uma SatO₂ de 99% no oxímetro de pulso, ele está confuso e com a pele vermelho-cereja.
Diagnóstico: Lesão Inalatória de Vias Aéreas com suspeita de Intoxicação por Monóxido de Carbono (CO) e Cianeto. Fisiopatologia / Achados Clássicos: A inalação de fumaça causa dois tipos de lesão: (1) Térmica, que afeta principalmente as vias aéreas superiores, causando edema e obstrução (estridor, rouquidão), e (2) Química, onde partículas e gases tóxicos (ex: aldeídos) lesam o epitélio brônquico e os alvéolos. Produtos da combustão de plásticos e têxteis, como CO e cianeto, são asfixiantes sistêmicos. O CO se liga avidamente à hemoglobina (formando carboxi-hemoglobina), e o cianeto inibe a respiração celular. O oxímetro de pulso é falsamente normal na intoxicação por CO. A pele vermelho-cereja é um sinal clássico, porém tardio. Manejo / Tratamento: A prioridade é garantir a permeabilidade da via aérea, com intubação precoce se houver sinais de obstrução. Administrar oxigênio a 100% para deslocar o CO da hemoglobina. Se houver suspeita de intoxicação por cianeto, administrar o antídoto (hidroxocobalamina).
99
Um homem de 70 anos, hipertenso e tabagista de longa data, apresenta uma tosse seca, persistente e com qualidade "metálica" ou "latente" há vários meses. Ele também relata rouquidão progressiva e disfagia para sólidos. Em um episódio de tosse mais forte, sentiu uma dor lancinante e súbita no peito, que irradia para o dorso. Ao chegar na emergência, está pálido, sudoreico e hipotenso (PA 80/50 mmHg).
Diagnóstico: Ruptura ou dissecção de Aneurisma de Aorta Torácica. Fisiopatologia / Achados Clássicos: Um aneurisma de aorta torácica pode crescer de forma indolente, causando sintomas por compressão de estruturas adjacentes. A tosse "latente" e a rouquidão são causadas pela compressão do nervo laríngeo recorrente esquerdo. A disfagia ocorre por compressão do esôfago. A dor torácica súbita e lancinante, irradiada para o dorso, associada a hipotensão e choque, é a apresentação clássica da ruptura ou dissecção aórtica, um evento catastrófico com altíssima mortalidade. Manejo / Tratamento: Emergência cirúrgica máxima. O manejo imediato visa a estabilização hemodinâmica com reposição volêmica e vasopressores, e o controle da frequência cardíaca e pressão arterial (em caso de dissecção) com betabloqueadores. O diagnóstico é confirmado com uma Angiotomografia de tórax. O tratamento definitivo é a reparação cirúrgica ou endovascular de emergência.
100
Uma mulher de 82 anos, diabética, é trazida de uma casa de repouso com história de 3 dias de tosse produtiva com expectoração purulenta, febre e prostração. Nas últimas 12 horas, tornou-se confusa e letárgica. Ao exame, está febril (39,8°C), hipotensa (PA 85/55 mmHg), taquicárdica (130 bpm) e taquipneica (32 irpm). Os exames laboratoriais revelam uma leucocitose de 22.000 células/mm³ com desvio à esquerda e lactato de 4,5 mmol/L.
Diagnóstico: Sepse (provavelmente Choque Séptico) com foco pulmonar (Pneumonia). Fisiopatologia / Achados Clássicos: Neste caso, a tosse é o sintoma do foco infeccioso primário (pneumonia). A condição que ameaça a vida é a resposta sistêmica desregulada do hospedeiro à infecção (sepse). A liberação maciça de citocinas leva à vasodilatação sistêmica, má distribuição do fluxo sanguíneo, dano endotelial e disfunção de múltiplos órgãos, manifestada por hipotensão, taquicardia, alteração do nível de consciência e hiperlactatemia (sinal de hipoperfusão tecidual). A leucocitose extrema reflete a intensa resposta inflamatória. Manejo / Tratamento: O tratamento segue os protocolos da "Surviving Sepsis Campaign". A "Hora de Ouro" inclui: coleta de culturas (hemoculturas), administração de antibióticos de amplo espectro de forma empírica e imediata, ressuscitação volêmica agressiva com cristaloides (30 mL/kg), e uso de vasopressores (norepinefrina) se a hipotensão persistir.
101
Um homem de 48 anos, com histórico de etilismo, é encontrado desacordado e com vestígios de vômito em suas roupas. Ele é trazido ao pronto-socorro, onde, ao recuperar a consciência, desenvolve um quadro de início súbito de tosse intensa, taquipneia e dispneia. Ao exame, está afebril, com SatO₂ de 88% em ar ambiente e a ausculta pulmonar revela estertores crepitantes e sibilos difusos, predominantemente em lobo inferior direito. A radiografia de tórax mostra um infiltrado localizado nesta região.
Diagnóstico: Pneumonite química por aspiração de conteúdo gástrico (Síndrome de Mendelson). Fisiopatologia / Achados Clássicos: Esta não é uma infecção (pneumonia aspirativa), mas sim uma lesão inflamatória aguda. O ácido gástrico (tipicamente com pH < 2.5) causa uma agressão química direta ao epitélio alveolar e ao endotélio capilar. Isso desencadeia uma resposta inflamatória maciça, com influxo de neutrófilos e liberação de citocinas, resultando em edema pulmonar não cardiogênico. O quadro é de início súbito (dentro de 1-2 horas após a aspiração) e o paciente está inicialmente afebril. O rebaixamento do nível de consciência (por álcool, anestesia, convulsão) é o principal fator de risco. Manejo / Tratamento: O manejo é de suporte. A prioridade é a oxigenoterapia para corrigir a hipoxemia. Aspiração das vias aéreas superiores e broncodilatadores (se houver broncoespasmo) podem ser necessários. Antibióticos não são indicados inicialmente, pois o processo é inflamatório. Eles são reservados se houver desenvolvimento posterior de uma pneumonia bacteriana secundária (febre, leucocitose após 48-72h). O quadro pode progredir para Síndrome do Desconforto Respiratório Agudo (SDRA).
102
Uma mulher de 35 anos é trazida à emergência com tosse seca incessante, dispneia e sensação de queimação no peito. Os sintomas começaram de forma abrupta há uma hora, enquanto ela limpava um banheiro pequeno e sem ventilação, onde misturou água sanitária (hipoclorito de sódio) com um produto à base de amônia. Ao exame, está taquipneica, com sibilos expiratórios e estertores finos difusos. A SatO₂ é de 91%. A radiografia de tórax mostra infiltrados alveolares difusos e bilaterais
Diagnóstico: Pneumonite química secundária à inalação de gás tóxico (cloramina). Fisiopatologia / Achados Clássicos: A mistura de hipoclorito de sódio com amônia produz gás cloramina, um composto químico altamente irritante. A inalação de gases, fumaças ou vapores tóxicos causa lesão direta das vias aéreas e do parênquima pulmonar. A lesão química resulta em inflamação aguda, broncoespasmo, perda da integridade da barreira alvéolo-capilar e edema pulmonar não cardiogênico. O início dos sintomas é súbito e diretamente ligado à exposição. O achado de infiltrados difusos na radiografia é típico de lesão inalatória generalizada. Manejo / Tratamento: A primeira e mais importante medida é remover o paciente da exposição. O tratamento é de suporte, com oxigênio suplementar (muitas vezes em alto fluxo), broncodilatadores para o broncoespasmo e monitoramento rigoroso para a evolução para SDRA. O uso de corticosteroides é controverso, mas pode ser considerado em casos de inflamação severa.
103
Um menino de 10 anos, residente em uma área rural com saneamento básico precário, é levado à consulta com uma tosse seca, sibilância e febre baixa há uma semana. Ele nega sintomas de resfriado. Ao exame, a ausculta pulmonar revela sibilos esparsos. Uma radiografia de tórax mostra opacidades algodonosas em ambos os campos pulmonares. Um hemograma revela eosinofilia periférica de 18%. Uma nova radiografia, 3 dias depois, mostra que as opacidades anteriores se resolveram, mas novas surgiram em outras localizações.
Diagnóstico: Síndrome de Löffler, provavelmente causada pela migração larval de Ascaris lumbricoides ou ancilostomídeos (Ancylostoma duodenale, Necator americanus). Fisiopatologia / Achados Clássicos: A síndrome é uma pneumonia eosinofílica transitória. Ocorre quando as larvas dos helmintos, após eclodirem no intestino, penetram na parede intestinal, entram na circulação e chegam aos pulmões. Lá, elas rompem os capilares para os alvéolos (o que pode causar hemoptise), desencadeando uma forte resposta imune Th2 com recrutamento de eosinófilos. Isso causa os sintomas respiratórios. Os achados cardinais são: Infiltrados pulmonares migratórios: a característica mais específica. Eosinofilia periférica acentuada. Sintomas respiratórios como tosse, dispneia e sibilância. Manejo / Integração: A fase pulmonar é geralmente autolimitada. O diagnóstico definitivo do agente é feito posteriormente, pelo exame de fezes (ovos e parasitas) que só se torna positivo após as larvas serem deglutidas, amadurecerem no intestino e começarem a postura de ovos (semanas depois). O tratamento é com anti-helmínticos como albendazol ou mebendazol. A presença de anemia ferropriva concomitante sugere fortemente os ancilostomídeos.
104
Um paciente de 55 anos, agricultor do norte do Brasil, com diagnóstico de artrite reumatoide, inicia tratamento com altas doses de prednisona. Duas semanas depois, ele desenvolve um quadro grave de tosse, dispneia, hemoptise e dor abdominal difusa. O hemograma mostra eosinofilia e a radiografia revela infiltrados pulmonares difusos. Larvas são encontradas no exame de escarro.
Diagnóstico: Síndrome de Hiperinfecção por Strongyloides stercoralis. Fisiopatologia / Achados Clássicos: Strongyloides é único entre os helmintos por sua capacidade de autoinfecção, onde as larvas podem amadurecer, penetrar na mucosa do cólon ou na pele perianal e reiniciar o ciclo sem sair do hospedeiro. Em estados de imunossupressão (especialmente com corticosteroides), este ciclo se acelera maciçamente, levando à síndrome de hiperinfecção. Uma enorme carga de larvas migra para os pulmões, causando hemorragia alveolar e SDRA, e pode levar bactérias intestinais para a corrente sanguínea, causando sepse por Gram-negativos. Manejo / Integração: Esta é uma emergência médica com alta mortalidade. É crucial pensar em estrongiloidíase antes de iniciar imunossupressão em pacientes de áreas endêmicas. O tratamento de escolha é a ivermectina. Diferencial com Toxocara canis (Toxocaríase): A toxocaríase (visceral larva migrans) também causa eosinofilia e sintomas pulmonares, mas é classicamente vista em crianças pequenas com pica (geofagia) e história de contato com filhotes de cães. A tríade clássica da toxocaríase é febre, hepatomegalia marcante e eosinofilia extrema. As larvas não amadurecem em humanos, ficando presas nos tecidos (fígado, pulmão, olhos).
105
Um grupo de turistas de 25 anos desenvolve um quadro de febre alta (39°C), cefaleia, mialgia e tosse seca, cerca de 10 dias após retornarem de uma excursão de espeleologia (exploração de cavernas) no Vale do Ribeira, em São Paulo. Vários membros do grupo estão com sintomas semelhantes. A radiografia de tórax de um dos pacientes mostra múltiplos pequenos nódulos difusos e linfonodomegalia hilar bilateral.
Diagnóstico: Histoplasmose Pulmonar Aguda. Fisiopatologia / Achados Clássicos: A histoplasmose é causada pelo fungo dimórfico Histoplasma capsulatum, que prolifera em solos ricos em excrementos de morcegos e pássaros. A infecção aguda sintomática ocorre após a inalação de um alto inóculo de microconídios. No pulmão, eles se convertem em leveduras, que são fagocitadas por macrófagos. A apresentação clínica se assemelha a uma pneumonia atípica ou gripe. O desenvolvimento de sintomas em um grupo de pessoas após uma exposição comum ("surto") é uma pista epidemiológica clássica. A linfonodomegalia hilar/mediastinal é um achado radiológico muito comum. Manejo / Tratamento: Na maioria dos pacientes imunocompetentes, a histoplasmose aguda é autolimitada e o tratamento é de suporte (analgésicos, antitérmicos). Para doença moderada a grave, com hipoxemia ou sintomas prolongados, o tratamento de escolha é o itraconazol oral. Em casos de insuficiência respiratória grave, a anfotericina B é indicada.
106
Um homem de 65 anos, tabagista com DPOC, residente em uma área rural, é investigado por uma tosse produtiva crônica, perda de peso e fadiga há vários meses. A radiografia de tórax revela lesões fibrocavitárias nos ápices pulmonares, um quadro muito semelhante à tuberculose de reativação. Em outra parte do pulmão, é visível um nódulo pulmonar solitário, denso e calcificado, com calcificação central ("sinal do alvo").
Diagnóstico: Histoplasmose Pulmonar Crônica Cavitária com um histoplasmoma (sequela de infecção prévia). Fisiopatologia / Achados Clássicos: Forma Crônica Cavitária: Ocorre tipicamente em pacientes com doença pulmonar estrutural prévia (ex: DPOC), onde o fungo coloniza espaços aéreos anormais (bolhas enfisematosas) e causa uma inflamação crônica, fibrose e necrose, mimetizando a TB. Histoplasmoma (Sequela): O "sinal do alvo" representa um granuloma de histoplasmose curado. Após uma infecção primária (muitas vezes assintomática), o granuloma caseoso se encapsula e calcifica ao longo do tempo. É um achado incidental benigno que indica infecção prévia. Manejo / Tratamento: A forma crônica cavitária requer tratamento antifúngico de longo prazo (pelo menos 1 ano) com itraconazol para prevenir a progressão da destruição pulmonar. O histoplasmoma (nódulo calcificado) é uma cicatriz e não requer tratamento, apenas reconhecimento para evitar investigações invasivas desnecessárias para câncer.
107
Um menino de 2 anos é trazido ao pediatra por tosse produtiva crônica e dificuldade para ganhar peso. A mãe relata que ele tem um apetite voraz, mas suas fezes são consistentemente volumosas, gordurosas e com odor fétido (esteatorreia). Ele já foi hospitalizado duas vezes por pneumonia. Ao exame, notam-se estertores crepitantes bibasais e baqueteamento digital incipiente. Uma radiografia de tórax mostra espessamento brônquico, hiperinsuflação e opacidades nos lobos superiores.
Um menino de 2 anos é trazido ao pediatra por tosse produtiva crônica e dificuldade para ganhar peso. A mãe relata que ele tem um apetite voraz, mas suas fezes são consistentemente volumosas, gordurosas e com odor fétido (esteatorreia). Ele já foi hospitalizado duas vezes por pneumonia. Ao exame, notam-se estertores crepitantes bibasais e baqueteamento digital incipiente. Uma radiografia de tórax mostra espessamento brônquico, hiperinsuflação e opacidades nos lobos superiores. Resposta Diagnóstico: Fibrose Cística (FC). Fisiopatologia / Achados Clássicos: A FC é uma doença autossômica recessiva causada por mutações no gene CFTR, que codifica um canal de cloreto. A disfunção desse canal resulta em secreções exócrinas espessas e viscosas em múltiplos sistemas. Pulmão: O muco espesso obstrui as vias aéreas, prejudica o clearance mucociliar e leva a um ciclo de infecção (S. aureus, P. aeruginosa) e inflamação, resultando em bronquiectasias (dilatações brônquicas permanentes), classicamente com predomínio nos lobos superiores. Pâncreas: A obstrução dos ductos pancreáticos causa insuficiência pancreática exócrina, levando à má absorção de gorduras (esteatorreia) e vitaminas lipossolúveis (A, D, E, K), resultando em desnutrição e falha no ganho de peso, apesar do bom apetite. Glândulas Sudoríparas: A reabsorção defeituosa de cloreto leva a um aumento da concentração de cloreto de sódio no suor, que é a base do diagnóstico. Outros: Infertilidade masculina (ausência congênita bilateral do ducto deferente), sinusopatia crônica. Manejo / Tratamento: O diagnóstico é confirmado pelo teste do cloreto no suor (iontoforese por pilocarpina) ou por teste genético. O manejo é multidisciplinar e visa: Suporte Pulmonar: Fisioterapia respiratória (higiene brônquica), uso de mucolíticos como a dornase alfa, e antibioticoterapia agressiva para exacerbações. Suporte Nutricional: Reposição de enzimas pancreáticas a cada refeição, dieta hipercalórica e suplementação de vitaminas lipossolúveis. Terapia-Alvo: Uso de moduladores do CFTR (ex: elexacaftor/tezacaftor/ivacaftor) para pacientes com mutações específicas, que corrigem o defeito básico da proteína.
108
Um homem de 58 anos, não tabagista, é avaliado por uma tosse seca e dispneia progressiva nos últimos 8 meses. Ele se aposentou há um ano e, desde então, dedica-se ao seu hobby de criar pombos-correio. Ele relata episódios recorrentes de febre baixa e mal-estar que ele atribui a "princípios de gripe", notando que se sente melhor quando viaja para visitar seus netos por uma semana. Ao exame, a ausculta pulmonar revela estertores crepitantes finos inspiratórios ("em velcro") bibasais. A TC de tórax de alta resolução mostra opacidades em vidro fosco, micronódulos centrolobulares mal definidos e áreas de aprisionamento aéreo em mosaico, com predomínio nos campos pulmonares médios e superiores.
Diagnóstico: Pneumonia por Hipersensibilidade (PH) crônica, especificamente "Pulmão do Criador de Pássaros". Fisiopatologia / Achados Clássicos: A PH (ou alveolite alérgica) é uma doença pulmonar intersticial causada por uma reação imunológica à inalação de antígenos orgânicos, neste caso, proteínas presentes nas fezes e secreções das aves. É uma reação de hipersensibilidade mista (tipo III - imunocomplexos; e tipo IV - celular tardia). As pistas diagnósticas cardinais são: História de exposição antigênica consistente: A conexão com o hobby de criar pombos é a chave. Padrão temporal: A melhora dos sintomas com o afastamento da exposição (durante as viagens) é altamente sugestiva. Paciente não tabagista: O tabagismo parece ter um efeito imunossupressor local, sendo um fator protetor relativo para o desenvolvimento de PH. Achados na TCAR: A tríade de vidro fosco, nódulos centrolobulares e aprisionamento aéreo é clássica da PH não fibrótica. O predomínio nos lobos superiores/médios ajuda a diferenciar de outras DPIs como a FPI. Manejo / Tratamento: O pilar fundamental do tratamento é a identificação e o afastamento completo e permanente do antígeno causal. Sem isso, a doença inevitavelmente progride para fibrose pulmonar irreversível. Para controlar a inflamação ativa, o tratamento de primeira linha são os corticosteroides sistêmicos (prednisona). Em casos de doença fibrótica crônica, o micofenolato de mofetila pode ser usado como poupador de corticoide, e antifibróticos podem ser considerados.
109
Um homem de 62 anos, que trabalhou por mais de 30 anos em uma pedreira cortando granito, é avaliado por dispneia aos esforços e tosse seca, de instalação lenta e progressiva ao longo de uma década. Ele nega febre ou perda de peso. Ao exame físico, a ausculta pulmonar revela estertores crepitantes finos bibasais. Notavelmente, o exame de suas mãos e unhas não revela baqueteamento digital. A tomografia de tórax mostra múltiplos pequenos nódulos, com distribuição predominante nos lobos superiores, e a presença de linfonodos hilares com calcificações periféricas em "casca de ovo"
Diagnóstico: Silicose crônica. Fsiopatologia / Achados Clássicos: A silicose é uma doença pulmonar fibrótica causada pela inalação crônica de poeira de sílica cristalina. As partículas são fagocitadas por macrófagos alveolares, que liberam mediadores inflamatórios e fibrogênicos, levando à formação de nódulos silicóticos característicos. As pistas diagnósticas cardinais são: História de exposição ocupacional de longa data: Mineração, jateamento de areia, corte de pedras (granito, ardósia), fabricação de vidro e cerâmica. Padrão radiológico: A predominância de nódulos nos lobos superiores é a marca da doença. A calcificação em "casca de ovo" (eggshell calcification) dos linfonodos hilares, embora não sempre presente, é patognomônica. Com a progressão, os nódulos podem coalescer, formando grandes massas de fibrose (fibrose maciça progressiva). Achado negativo importante: A ausência de baqueteamento digital é uma característica que ajuda a diferenciar a silicose de outras doenças pulmonares fibróticas, como a FPI ou a asbestose. Manejo / Integração: Não há tratamento curativo para a silicose. O manejo é de suporte e focado na prevenção de complicações. A medida mais importante é a cessação da exposição. A silicose tem uma associação de altíssimo rendimento para o USMLE: a sílica é tóxica para os macrófagos, prejudicando a imunidade celular e aumentando drasticamente o risco de infecção por Tuberculose (TB). Portanto, o rastreamento periódico para TB latente e ativa é mandatório para todos os pacientes com silicose.
110