O agente da Toxoplasmose?
# Toxoplasma gondii
Um protozoário parasita intracelular obrigatório.
FORMAS
GENÓTIPOS
O t. gondii possui apenas 3 genótipos (gen I, II, III)
CICLO
Possui ciclo heteroxêmico, pois apresenta parte sexuada e assexuada.
Sexuado:
Assexuado:
Epidemiologia da Toxoplasmose?
MORBIMORTALIDADE
A toxoplasmose pode resultar em significante morbidade ou mortalidade nos seguintes grupos:
Em pctes imunocompetentes pode causar:
Transmissão da toxoplasmose
Humanos e não-felídeos são hospedeiros acidentais e tornam-se infectados primariamente por ingesta de carnes contaminadas (bradizoítos) ou por contaminação de comidas, água, ou solo.
O Cecil diz: “Ingestion of raw or undercooked meat contaminated with tissue cysts is probably one of the major routes of transmission in humans”
Há tbm a transmissão vertica!!!
Mais raramente tbm pode ocorrer contaminação através de:
OBS: Dessa forma, não se transmite diretamente de uma pessoa a outra, com exceção das infecções intrauterinas ou por transplante de órgãos e tecidos.
FATORES DE RISCO
Um estudo apontou que “possuir 3 ou mais gatos em casa” é um fator de risco p/ infecção de T. gondii.
Já o Cecil afirma:
PERÍODO DE INCUBAÇÃO
De 10 a 23 dias, quando a fonte for a ingestão de carne; de 5 a 20 dias, após ingestão de oocistos de fezes de gatos.
Fisiopatologia da toxoplasmose
Após a infecção oral, por carne contendo cistos (bradizoítos) ou alimentos/água contaminados (oocistos contendo esporozoítos), a parede de ambas as formas é rompida pela ação do TGI e essas formas são liberadas e convertidas em TAQUIZOÍTOS (a forma móvel). Esses possuem a capacidade de infectar tecidos por contiguidade ou distantes por via hematogênica.
Indivíduos imunocompetentes irão controlar a infecção aguda pela forma móvel (taquizoítos) e irão induzir à formação de cistos (bradizoítos), numa forma latente de infecção crônica.
Já em indivíduos imunocomprometidos, previamente infectados pelo T. gondii, possuem alto risco de reativação de foco latente sendo sua letalidade próxima dos 100% se não tratada.
Síndromes clínicas da Toxoplasmose:
Temos que lembrar que: a severidade da clínica da toxoplasmose, seja na infecção primária do imunocompetente ou na reativação do imunocomprometido, depende de alguns fatores como:
INFECÇÃO PRIMÁRIA EM INDIVÍDUOS IMUNOCOMPETENTES
A maioria dos pctes são assintomáticos (+/-90%).
A manifestação clássica no pcte imunocompetente é: uma síndrome febril linfadenopática (Síndrome Mono-Like) autolimitada (15-20 dias), sendo a coriorretinite o achado extra-ganglionar mais típico no imunocompetente. Nos exames Laboratoriais podemos encontrar: linfocitose c/ atipia linfocitária no hemograma, alterações leves de enzimas hepáticas.
Segue os sintomas gerais que podem surgir:
Pode ocorrer tbm nos imunocompetentes:
INFECÇÃO CRÔNICA EM IMUNOCOMPETENTE
É assintomática!
No entanto, estudos têm demonstrado relação da infecção crônica c/ distúrbios do comportamento, acidentes de trânsito e esquizofrenia. Um estudo já demonstrou que o parasita faz neuromodulação (via receptores GABA-érgicos) em ratos de forma a favorecerem o ciclo da doença:
Acredita-se que esse parasita possa fazer algo semelhante c/ a mente humana,
REATIVAÇÃO DE INFECÇÃO CRÔNICA EM IMUNOCOMPROMETIDOS
Se não ttada é letal!
“O quadro clínico costuma ser: um pcte HIV+ fazendo neurotóxoplasmose…”
Dr. Thor Dantas
Costuma cursar c/:
TOXOPLASMOSTE CONGÊNITA
NO FETO
NO RECÉM-NASCIDO
NA CRIANÇA
Conduta p/ toxoplasmose na Gestante?
RISCO DE TRANSMISSÃO POR IDADE GESTACIONAL
Há grande risco de transmissão vertical do T. gondii se a mãe for contaminada durante a gestação. A taxa de transmissão vertical em mães que fizeram soroconversão durante a gestação era de 50-60% e caiu p/ 25-30% após a instituição da Espiramicina.
ENTÃO SE A MÃE TIVER SIDO CONTAMINADA ANTES DA GESTAÇÃO ESTÁ TUDO DE BOA?
A transmissão vertical nas grávidas já infectadas antes da gestação é rara… Tem sido reportada em casos de mães imunosuprimidas ou em casos de infecções agudas em até 3 meses antes da gestação.
QUADROS POSSÍVEIS NA GRAVIDEZ
(1) ► Antes da gravidez apresenta IgG+ / IgM-
(2) ► Antes da gravidez apresenta IgG- / IgM-
(3) ► Antes OU no início da gravidez apresenta IgG+ / IgM+
O teste de avidez de IgG mede, em porcentagem, a avidez c/ que o anticorpo se liga ao antígeno… De mandeira didática podemos pensar assim: “quanto mais antigo for o anticorpo, mais maduro e, consequentemente, maior a sua avidez de ligação pelo antígeno específico…”
INVESTIGAÇÃO DIAGNÓSTICA NO FETO
O USG é uma grande arma, tal que achados podem ser muito sugestivos (mas ñ realiza diagnóstico) de toxoplasmose congênita.
O método de escolha p/ o diagnóstico de toxoplasmose congênoita, no período pré-natal, é realizar PCR no líquido aminiótico obtido na 18a semana de gestação.
TTO DA TOXO NA GESTAÇÃO
Teremos duas situações:
(1) ► PCR do líq. amniótico (-)
(2) ► PCR do líq. amniótico (+)

Qual a tríade clássica sugestiva de toxoplasmose?
Essa tríade, clássica, é altamente sugestiva de toxoplasmose e foi, primeiramente, vista em bebês os quais as mães não foram ttadas contra o parasite durante a gestação…
Fonte: Goodman Cecil Medicine 24th ed
Fundoscopia c/ lesões sugestivas de coriorretinite por Toxoplasmose.
Esse pcte vai ter que fazer acompanhamento c/ oftalmologista sempre. Mesmo após resolução da coriorretinite deverá manter vigilância sobre o aumento da lesão c/ um profissional.
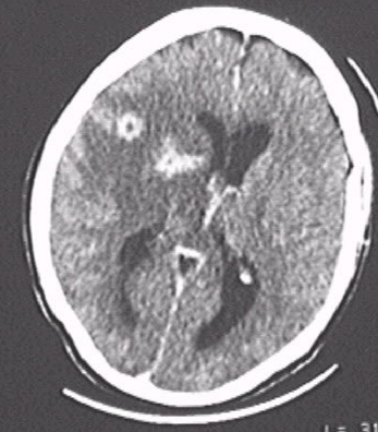
TC de crânio c/ lesão sugestiva de Neurotoxoplasmose.
Diagnóstico
O diag. da infecção por T. gondii pode incluir testes sorológicos, PCR, estudo histológico e citológico de tecidos e fluidos e, mesmo, tentativas de isolar o parasita.
SOROLOGIA
IgG ⇒ Crônica
IgM ⇒ Aguda
Os kits de sorologia p/ toxoplasmose são bons p/ confirmar a ausência do T. gondii e o portador crônico, mas ruim p/ determinar infecções agudas.
Conclusão: 60% dos IgM+ na verdade são infecções crônicas. P/ resolver esse problema temos que fazer o teste de avidade da IgG.
Dica: Quanto maior mais antigo for o anticorpo IgG, mais “maduro”, e maior a sua avidez de ligação…
► IgG c/ alta avidez ⇒ Infecção “aguda” antiga (3-4 meses)
► IgG c/ baixa avidez ⇒ Infecção “aguda” recente (menos de 3 meses).
O DIAG. DEFINITIVO
O diagnóstico definitivo de toxoplasmose (infecção primária, ou mesmo reativação de foco latente) requer a identificação de taquizoítos em tecidos ou fluidos corporais OU a amplificação do DNA do parasita em fluidos corporais (PCR).
OBS MASTER!
INVESTIGAÇÃO DIAGNÓSTICA NO FETO
O USG é uma grande arma em que achados podem ser muito sugestivos (mas ñ realiza diagnóstico) de toxoplasmose congênita.
O método de escolha p/ o diagnóstico de toxoplasmose congênoita, no período pré-natal, é realizar PCR no líquido aminiótico obtido na 18a semana de gestação.
INVESTIGAÇÃO DIAGNÓSTICA NO RECÉM-NASCIDO
Já no RN podemos lançar mão da Sorologia e/ou PCR.
Diagnóstico diferencial p/ toxoplasmose?
Citomegalovírus, malformações congênitas, sífilis, Rubéola, herpes, aids, kernicterus, neurocisticercose, outras doenças febris.
Fonte: Medicina Net
Toxoplasmose = Febre + Gânglios (micropoliadenopatia generalizada) + Linfocitose + Quadro auto-limitado (15-20 dias)
Fonte: Dr. Thor Dantas em aula + Clínica da USP 2016
Tratamento da Toxoplasmose
Drogas de escolha: Sulfadiazina + Pirimetamina + Ácido folínico.
TTO NO IMUNOCOMPETENTE
► Assintomático ou oligosintomático:
► Sintomático prolongados ou graves:
Aqui estão incluídos os casos de visceralização do T. gondii (miocardite, coriorretinite, etc…) e os casos prolongados (aqueles que passam do período do padrão autolimitado 15-20dias).
TTO NO IMUNODEPRIMIDO
Nesse caso, a toxoplasmose cursa com alta letalidade e o tratamento é mandatório e mais longo, durando de 4 a 6 semanas após a resolução dos sinais e sintomas, podendo chegar a meses. Deve ser considerada terapia de manutenção para evitar recorrências até a reconstituição de CD4>200.
Fonte: Prof. Dr. Thor Dantas
► Neurotóxo:
TTO NA GESTANTE
Teremos duas situações:
(1) ► PCR do líq. amniótico (-)
(2) ► PCR do líq. amniótico (+)
Doses:
TTO NA CRIANÇA
O tratamento do recém-nascido tem por objetivo prevenir ou diminuir as sequelas da doença. A terapia com sulfadiazioa, pirimetamina e ácido folinico é indicada por um período de um ano, pois diminui o risco de novas lesões e de alterações neuro-oculares de 50% para 8%.