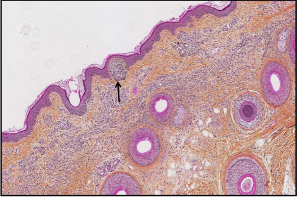
TP2 Dermato Flashcards

(16 cards)

1
Q

wuttt?

A

Naevus

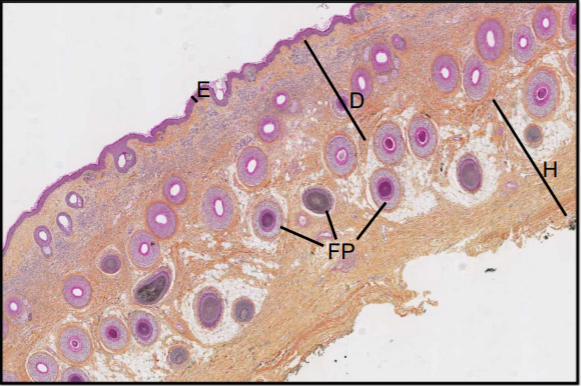
À faible grossissement, il est facile de reconnaître les différentes régions constituantes de la peau , telles; l’épiderme (E), le derme (D) et l’hypoderme (H). On remarque également beaucoup de follicules pileux (FP) coupés transversalement

How well did you know this?
1
Not at all
2
3
4
5
Perfectly
2
Q

what’s this?

A

Naevus

On remarque dans la couche dermique, juste sous la couche épidermique, des amas de cellules (flèche).

How well did you know this?
1
Not at all
2
3
4
5
Perfectly
3
Q

wuuuttt?

A

Naevus

On remarque que les cellules constituant cet amas sont en fait des mélanocytes remplis de granules de mélanine. Ces mélanocytes ont donc migrés de la couche basale de l’épiderme vers le derme.

How well did you know this?
1
Not at all
2
3
4
5
Perfectly
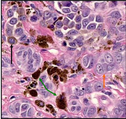
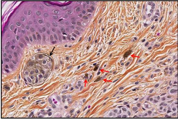
4
Q

wutttt?

A

Naevus

En plus de trouver des amas de mélanocytes (flèche noire) on retrouve également des mélanophages isolés dans la couche dermique (flèches rouges).

How well did you know this?
1
Not at all
2
3
4
5
Perfectly
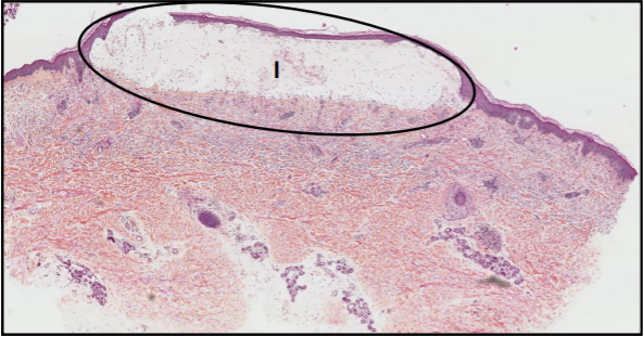
5
Q

crissss?

A

Pemphigoïde bulleuse

La lésion (l) bulleuse sous épidermique est facilement observable dans l’encerclé. Aucune atteinte au niveau du derme. Des deux côtés de la lésion on remarque que la peau est normale.

How well did you know this?
1
Not at all
2
3
4
5
Perfectly
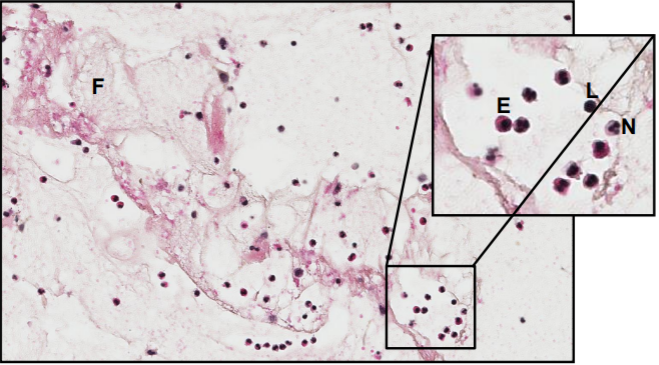
6
Q

pq j’veux me pendre?

A

Pemphigoïde bulleuse

La bulle de la pemphigoïde est sous-épidermique, son contenu est fibrineux (F) et cellulaire, de nombreux éosinophiles (E), lymphocytes (L) et occasionnellement des neutrophiles (N).

How well did you know this?
1
Not at all
2
3
4
5
Perfectly
7
Q

asti?

A

Pemphigoïde bulleuse

L’infiltrat inflammatoire dermique est variable, fait de polynucléaires notamment éosinophiles et de lymphocytes, surtout retrouvé dans le derme papillaire et autour des vaisseaux , tel qu’observé ici.

How well did you know this?
1
Not at all
2
3
4
5
Perfectly
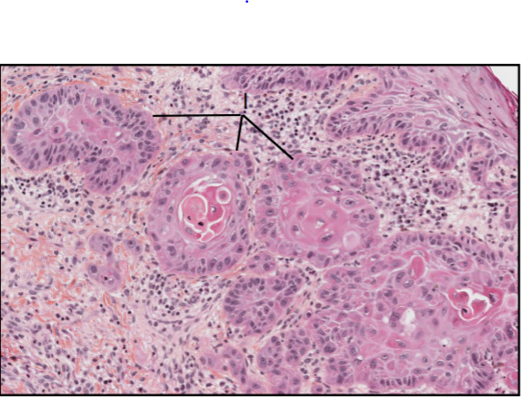
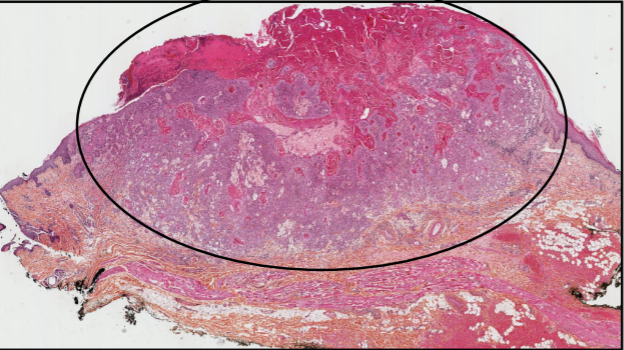
8
Q

criss?

A

Carcinome épidermoïde

La lésion, dans l’encerclé, démontre une atteinte de l’épiderme et également une invasion dermique, des cellules tumorales. On observe une peau normale de chaque côtés de la lésion.

How well did you know this?
1
Not at all
2
3
4
5
Perfectly
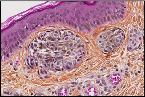
9
Q

yoo

A

Carcinome épidermoïde

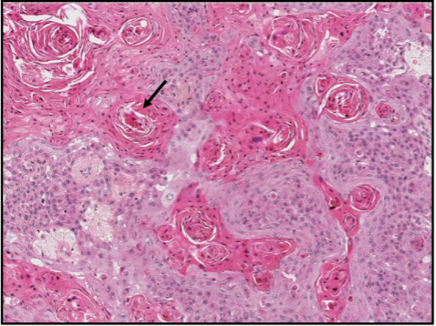
Certaines cellules tumorales peuvent synthétiser de la kératine (maturation cornée) histologiquement, cette kératinisation intéresse soit des cellules isolées soit des cellules regroupées en amas appelés «globes cornés » (flèche).

How well did you know this?
1
Not at all
2
3
4
5
Perfectly
10
Q

sffss

A

Carcinome épidermoïde

À la périphérie des lobules tumoraux (l), les cellules ressemblent à des cellules basales tandis que vers le centre des lobules, elles ressemblent à des cellules de la couche épineuse, avec un large cytoplasme polygonal acidophile.

How well did you know this?
1
Not at all
2
3
4
5
Perfectly
11
Q

nuts

A

Carcinome épidermoïde

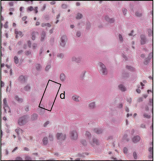
Des ponts d’union sont présents entre les cellules, réunies entre elles par des tono-filaments(Hémidesmosomes, d) ; ces ponts d’union forment histologiquement des sortes d’épines autour des cellules, qui ont donné l’ancienne dénomination de carcinome spino-cellulaire.

How well did you know this?
1
Not at all
2
3
4
5
Perfectly
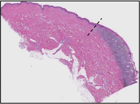
12
Q

asti

A

Mélanome malin

Une ligne pointillée sépare la zone normale de la zone pathologique

How well did you know this?
1
Not at all
2
3
4
5
Perfectly
13
Q

looooo

A

Mélanome malin

On peut observer qu’il ya infiltration épidermique par des mélanocytes tumoraux (flèche).

How well did you know this?
1
Not at all
2
3
4
5
Perfectly
14
Q

dfdfxb

A

Mélanome malin

On peut voir quelques mitoses

How well did you know this?
1
Not at all
2
3
4
5
Perfectly
15
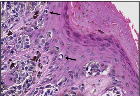
Q

FML

A

Mélanome malin

Flèche orange = cellule néoplasique non-pigmentée Flèche noire = cellule néoplasique pigmentée Flèches vertes = macrophages, facilement repérable à cause de l’abondance des grains de mélanine dans le cytoplasme.

How well did you know this?
1
Not at all
2
3
4
5
Perfectly