TP3 Inflammation Flashcards

(28 cards)

1
Q
A

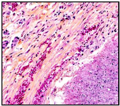
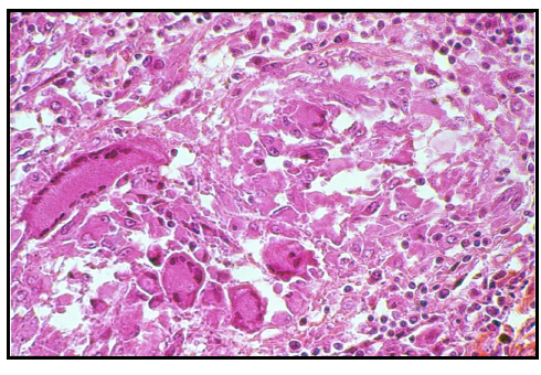
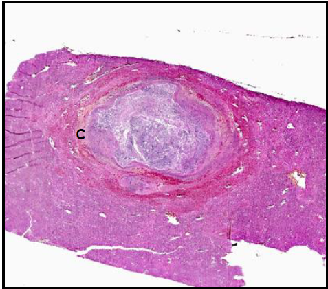
Abcès mycotique du foie

Le centre de l’abcès est constitué
de matériel nécrotique et est
entouré par une couche
périphérique de tissu fibreux
formant une sorte de capsule (C).

How well did you know this?
1
Not at all
2
3
4
5
Perfectly
2
Q
A

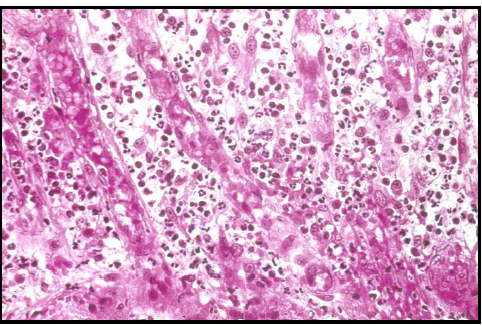
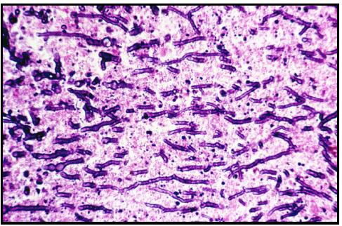
Abcès mycotique du foie

Il s’agit d’un fort grossissement de l’agent causal, le champignon
candida albicans, qui se présente
ici sous la forme de structures
tubulaires à disposition parallèle
et d’un matériel nécrosé,
granuleux, acidophile contenant
des débris nucléaires.

How well did you know this?
1
Not at all
2
3
4
5
Perfectly
3
Q
A

Abcès mycotique du foie

On retrouve des petits vaisseaux sanguins
dans la capsule. Les fibres de collagène
sont jaunes.

How well did you know this?
1
Not at all
2
3
4
5
Perfectly
4
Q
A

Tuberculose pulmonaire

À faible grossissement, on note que le tissu pulmonaire est parsemé de petits nodules, les granulomes

How well did you know this?
1
Not at all
2
3
4
5
Perfectly
5
Q
A

Tuberculose pulmonaire

Cette photo montre un
granulome “jeune” constitué de
macrophages, appelés cellules
épithélioïdes. Celles ci sont
entourées d’une couronne de
petits lymphocytes.

C’est un granulome non
nécrosant.

How well did you know this?
1
Not at all
2
3
4
5
Perfectly
6
Q
A

Tuberculose pulmonaire

Dans ce granulome, les
macrophages ont fusionné et
formé des cellules géantes
multinucléées.

Il n’y a pas de nécrose caséeuse
dans ce granulome.

How well did you know this?
1
Not at all
2
3
4
5
Perfectly
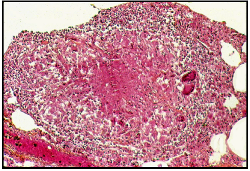
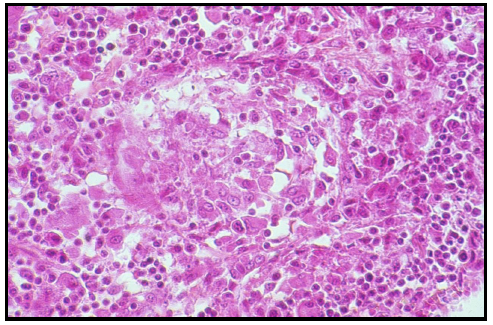
7
Q
A

Tuberculose pulmonaire

Il s’agit ici d’un granulome
immun nécrosant, car son
centre renferme un matériel
nécrotique, qui résulte de la
nécrose des cellules géantes et
du tissus sous jacent.

C’est la nécrose caséeuse.

How well did you know this?
1
Not at all
2
3
4
5
Perfectly
8
Q
A

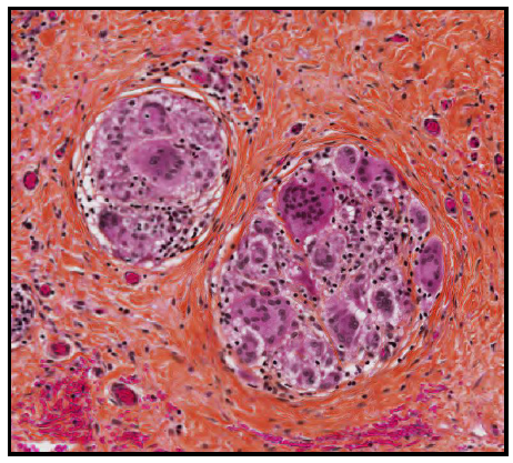
Tuberculose ganglionnaire

On remarque la présence de petits nodules
ou granulomes, qui occupent
presqu’entièrement le ganglion. On
distingue à peine la présence de follicules.
Le parenchyme du ganglion présente
beaucoup de nécrose et on ne distingue plus
ses subdivisions tels; le cortex et la médulla.

How well did you know this?
1
Not at all
2
3
4
5
Perfectly
9
Q
A

Tuberculose ganglionnaire

Voici un granulome “jeune”
constitué de macrophages ou
cellules épithélioïdes, celles ci
sont entourées d’une couronne
de petits lymphocytes. C’est un
granulome non nécrosant.

How well did you know this?
1
Not at all
2
3
4
5
Perfectly
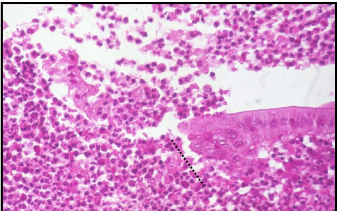
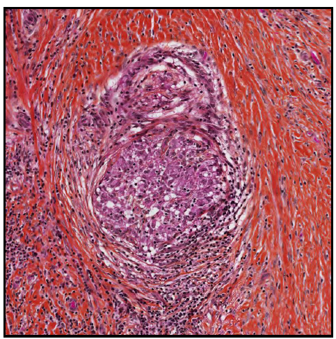
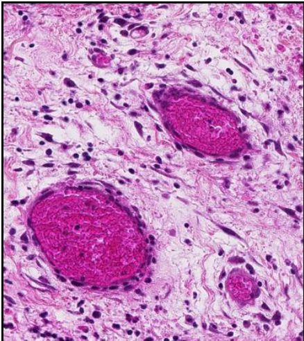
10
Q
A

Tuberculose ganglionnaire

Nous observons ici, un granulome
nécrosant, son centre renferme un
matériel amorphe acellulaire et
fortement éosinophile, qui résulte
de la nécrose des cellules géantes et
du tissus sous jacent.

C’est de la nécrose caséeuse.

How well did you know this?
1
Not at all
2
3
4
5
Perfectly
11
Q
A

Tuberculose ganglionnaire

Dans ces granulomes, les
macrophages ont fusionné et formé
des cellules géantes plurinucléées.
Nous n’observons pas de nécrose
caséeuse dans ces granulomes.

How well did you know this?
1
Not at all
2
3
4
5
Perfectly
12
Q
A

Tissu de granulation

Aux deux extrémités du spécimen (traits pointillés), on peut
reconnaître la structure normale de la peau.

How well did you know this?
1
Not at all
2
3
4
5
Perfectly
13
Q
A

Tissu de granulation

La couche alternative est la
plus superficielle; elle est
formée par de la fibrine
(flèche) et des polynucléaires
dont plusieurs ont des noyaux
pycnotiques.
Notez aussi la présence de
vaisseaux sanguins congestifs
plus en profondeur, dans la
couche exsudative
superficielle.

How well did you know this?
1
Not at all
2
3
4
5
Perfectly
14
Q
A

Tissu de granulation

1) La seconde couche, dite
exsudative contient de
nombreux vaisseaux congestifs.

2) Le tissu interstitiel montre de
l’oedème et un infiltrat
inflammatoire riche en
polynucléaires mais contenant
aussi une petite quantité de
cellules mononucléées et
quelques fibroblastes.

How well did you know this?
1
Not at all
2
3
4
5
Perfectly
15
Q
A

Tissu de granulation

Au niveau de la couche
exsudativo productive, on note la
présence de vaisseaux hyper
perméables avec oedème
interstitiel mais le tissu
interstitiel contient aussi un
infiltrat de cellules mononucléées
(monocytes, macrophages,
plasmocytes et lymphocytes) et
un bon nombre de fibroblastes.

How well did you know this?
1
Not at all
2
3
4
5
Perfectly
16
Q
A

Tissu de granulation

La couche la plus profonde est la
couche cicatricielle, caractérisée
ici par la prédominance de
collagène alors que les
fibroblastes sont en nombre
décroissant.

17
Q
A

Appendicite

On trouve une section transversale et longitudinale d’un appendice montrant
une inflammation aigüe.

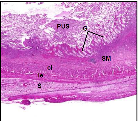
18
Q
A

Appendicite

On observe la lumière de
l’appendice remplie de
polynucléaires neutrophiles
nécrotiques, le pus. Par endroits,
il y a des vestiges de glandes (G).

SM = sous-muqueuse
S = séreuse
La musculeuse se divise en
circulaire interne (ci) et
longitudinale externe (le).
19
Q
A

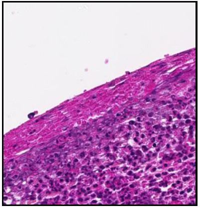
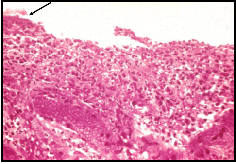
Appendicite

Ce plus fort grossissement
illustre bien la perte de
continuité de l’épithélium de
surface (ulcération) et l’exsudat
purulent dans la lumière
appendiculaire et dans sa
muqueuse ulcérée.

20
Q
A

Appendicite

Au niveau de la séreuse et de la sous
muqueuse, on observe des
changements vasculaires : dilatation
avec lumière vasculaire remplie de
globules rouges (congestion); infiltrat
de neutrophiles dans le tissu
extravasculaire.

21
Q
A

Appendicite

La paroi des vaisseaux sanguins se
tapissent de leucocytes (flèches) ou ce
que l’on appelle la margination.

22
Q
A

Appendicite

Une couche de fibrine tapisse la séreuse.

23
Q
A

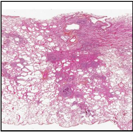
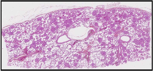
Bronchopneumonie

On reconnaît le poumon avec ses
alvéoles.

24
Q
A

Bronchopneumonie

Le parenchyme pulmonaire de cette
coupe histologique montre des foyers
lésionnels où les bronchioles sont
oblitérées par du pus, c’est à dire des
amas de leucocytes neutrophiles en
grande partie dégénérés. La muqueuse
de cette bronchiole est ulcérée et
parfois même complètement détruite
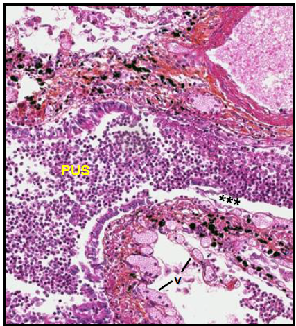
(***). Les amas noirâtres
correspondent à des macrophages
remplis de particules de charbon.

v = vaisseaux congestifs

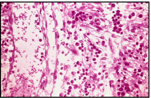
25
Bronchopneumonie Certaines alvéoles contiennent un liquide rosé, qui correspond à de l'oedème (exsudat séreux). Enfin les vaisseaux sanguins (v) sont dilatés et congestifs.
26
Bronchopneumonie Certains alvéoles contiennent du pus
27
Bronchopneumonie On identifie facilement les capillaires dans les cloisons inter-alvéolaires.
28