Assessing for airway in the primary survey?
check for airway compromise
what manouevres if pt is not breathing / airway obstructed?
Head tilt/ chin lift
Jaw thrust -> esp if potential c spine injury
Nasopharyngeal airway: in conscious pts as does not trigger gag reflex
oropharyngeal airway: prevents tongue from covering epiglottis
emergency airway: needle / surgical cricothyroidotomy
Definitive airway: endotracheal tube, tracheostomy

mx of c-spine stablisation?
maintain in line cervical support to keep neck stable
pt in hard collar + sandbags w tape
Assessment of breathing in primary survey?
SpO2, RR -> START 15L O2 via non rebreather mask
Inspection of chest
tracheal deviation?
Chest expansion
percussion
auscultation
ABG
mx of tension pneumothorax?
insert large bore venflon into 2nd ICS, mid clavicular line
-> chest drain later
mx of open sucking chest wounds?
convert to closed wounds by covering w damp occlusive dressive stuck down on 3 sides

assessment of circulation in primary survey?
two large bore cannulae (14/16G) in each ACF
Take bloods: FBC, U+E, clotting, cross match, VBG
CRP, BP, HR, JVP
Fluid status -> IV fluids
Assess heart sounds
insert catheter -> monitor Urine output
*may need ECG/ cardiac monitor
Hx in Secondary survey?
AMPLE
Allergies
medications
PMH
Last ate/ drink
events
Examination in Secondary survey?
head to toe examination
examine every system
trauma series investigations?
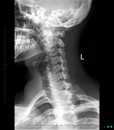
C-Spine: lateral + open mouth peg view
CXR
Pelvis
CT when pt is stable
what to asses in c spine radiograph?

Adequacy: must see C7-T1 junction
Alignment:
ant vertebral bodies
ant vertebral canal
post vertebral canal
tips of spinous processes
Bones: shapes of bodies, laminae, processes
cartilage: Intervertebral discs should be equal height
Soft tissue
Clinical clearance of c-spine injury?
NEXUS criteria:
fully alert and orientated
no head injury
no drugs or alcohol
no neck pain
no abnormal neurology
no distracting injury
Method:
examine for bruising or deformity
palpate for deformity and tenderness
ensure pain-free active movement
If abnormal clinical exam or radiograph for c spine?
CT C-spine
what is neurogenic shock?
disruption of the autonomic pathways within the spinal cord
-> distributive type of shock-> in low BP
causes of neurogenic shock?
cord injury above T5
closed head injuries
spinal anaesthesia
hypoglycaemia
presentation of neurogenic shock?
hypotension
bradycardia
warm extremities
mx of neurogenic shock?
Vasopressors: vasopressin and norad
Atropine: reverse the bradycardia
what is spinal shock?
temporary reduction of or loss of reflexes following a spinal cord injury
loss of sensation accompanied by motor paralysis with initial loss but gradual recovery of reflexes
most commonly due to acute spinal cord transection (loss of reflexes but gradual recovery below level of transection)
presentation of spinal shock?
areflexia
loss of sensation
hypotonic paralysis
bladder retention
mx of massive haemothorax?
cross match 6 units
large bore chest drain
thoracotomy if > 1.5L or > 200ml/ h
features of flail chest?
ant/ lat # of 2 or more adjacent ribs in 2 or more places
flail segment moves paradoxically w respiration
decreased oxygenation -> due to underlying pulmonary contusion, decreased ventilation of affected segment
ix of flail chest?
CXR/ CT chest: pulmonary contusion
serial ABGs
mx of flail chest?
O2
Good Analgesia*: PCA, epidural
positive pressure ventilation
mx of rib #?
good analgesia:
NSAIDS + opioids
intrapleural analgesia
intercostal block