Trauma Abdominal Flashcards

(45 cards)

1
Q

Trauma abdominal contuso

  • Conduta e locais mais atingidos
A
  1. Descartar peritonite
  2. Peritonite descartada. avaliar hemodinâmica
  3. Instabilidade+politrauma: fazer FAST ou LPD se positivos, LAPAROTOMIA
  4. Estável: ir direto para TC

Locais mais afetados

  • Mnemônico: FOLGADO+FIBRA+FEBAÇO
  • Armas de Fogo: delgado
  • Arma branca: fígado
  • Fechado: baço
How well did you know this?
1
Not at all
2
3
4
5
Perfectly
2
Q

Lesão renal

Quadro clínico e conduta

A
  • Maioria causada por trauma abdominal fechado
  • Dor em hipocôndrio e fossa ilíaca
  • Hematúria (principal achado)

Se estávelFazer TC, conduta expectante
Se instável➜ cirúrgica se hematoma pulsátil ou em expansão

How well did you know this?
1
Not at all
2
3
4
5
Perfectly
3
Q

Hematúria e uretrorragia

Diferenciar

A
  • Uretrorragia: sangue sai esponateamente pelo meato uretral, geralmente associado ao trauma pélvico e uretral
  • Hematúria: sangue notado no momento da sondagem vesical
How well did you know this?
1
Not at all
2
3
4
5
Perfectly
4
Q

Fratura da pelve

Conduta

A
  • Sempre colocar a cinta na altura dos trocanters
  • A arteriografia é feita após detectar blush na TC(escape de contraste) para iniciar embolização se necessário
  • Há indicação de laparascopia diagnóstico nesses casos
How well did you know this?
1
Not at all
2
3
4
5
Perfectly
5
Q

Trauma pelve peritoneal complexo

8Ds

A
How well did you know this?
1
Not at all
2
3
4
5
Perfectly
6
Q

Trauma abdominal com liquido livre na cavidade mas sem lesão de visceras

Conduta

A
  • Laparoscopia (ou laparatomia)
  • Rafia da lesão + colocação de SVD por 10 dias
liquido no abdome
How well did you know this?
1
Not at all
2
3
4
5
Perfectly
7
Q

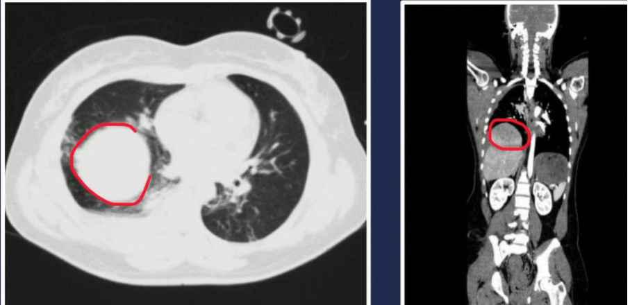
Hérnia diafragmática traumática

Definição e conduta

imagem 1
A
  • Hérnia diafragmática provocada por traumas, como uma lesão abdominal fechada
  • Se na direita, há poucas chances de estruturas abdominais herniarem devido ao fígado tamponar
  • Todavia, em casos muito extremos (imagem 1), mesmo que se na direita, deve-se fazer laparatomia
How well did you know this?
1
Not at all
2
3
4
5
Perfectly
8
Q

Trauma penetrante de flanco ou dorso

  • Faz exploração digital ou Fast?
  • O que solicitar?
A
  • NÃO FAZER EXPLORAÇÃO DIGITAL
  • Solicitar FAST (apenas se penetrante)
  • Solicitar tomografia de abdome e pelve com triplo contraste
  • Resto está no quadro
How well did you know this?
1
Not at all
2
3
4
5
Perfectly
9
Q

Trauma abdominal anterior por arma de fogo

  • Conduta se estável
  • Critérios para cirurgia
A

Se estável:

  • Fazer exploração digital
  • Fazer FAST
  • Fazer TC de abdome

PS: EM OBESOS, EXPLORAÇÃO DIGITAL É INÚTIL, FAZER TC DIRETO

Critérios para cirurgia

  • Ver abaixo
How well did you know this?
1
Not at all
2
3
4
5
Perfectly
10
Q

Lesão esplênica

  • Conduta (Estável X Instável)
  • Graus de lesão esplênica
A

Se estável

  • TC de abdomen
  • Verificar critérios para tratamento não operatório (imagem 2)
  • Angioembolização com arteriografia e observação em UTI

Se instável + E-Fast positivo(não preenche critérios abaixo)

  • Laparatomia exploradora
How well did you know this?
1
Not at all
2
3
4
5
Perfectly
11
Q

Lesão hepática

Graus

A
How well did you know this?
1
Not at all
2
3
4
5
Perfectly
12
Q

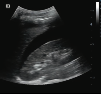
Liquido livre

Aspecto no USG?

A

Imagem anecoica que contorna orgãos, dando aspecto de semilua

How well did you know this?
1
Not at all
2
3
4
5
Perfectly
13
Q

Trauma abdominal

Ferimento por arma de fogo
Ferimento por arma branca
Trauma contuso

Principais orgãos afetados

A
How well did you know this?
1
Not at all
2
3
4
5
Perfectly
14
Q

Trauma abdominal fechado

  • Conduta (estável e instável)
  • Quando solicitar laparoscopia?
A

Se estável, solicitar TC
Se detectar lesão em orgão sólido (como o fígado), o tratamento será conservador se:

  • Lesões grau IV/tipos 2-3 (lesões de baixo grau)
  • Estabilidade hemodinâmica e sem peritonite

Caso contrário, fazer laparatomia

  • Se blush na TC, fazer arteriografia

Solicitar Laparoscopia quando:

  • Suspeito de lesão em viscera oca ou mesentério, onde a TC não é um bom exame para identificar estar lesões
  • Esse tipo de lesão está associado a palpação ou sinal de cinto de segurança ou liquido livre em mais de um quadrante
How well did you know this?
1
Not at all
2
3
4
5
Perfectly
15
Q

Qual o sinal clínico na imagem e o que ele implica?

  • Provoca lesão em quais orgãos?
  • Nome da lesão vertebral provocada por ele?
A
  • Sinal do cinto de segurança
  • Infere lesão em delgado e mesentério
  • Fratura de Chance:: A fratura de Chance é uma fratura transversa das vertebras torácicas ou lombares, resultante da hiperflexão da coluna
How well did you know this?
1
Not at all
2
3
4
5
Perfectly
16
Q

Trauma abdominal

Lesão por arma branca

Indicaçõe s de laparatomia

A
How well did you know this?
1
Not at all
2
3
4
5
Perfectly
17
Q

Trauma abdominal

Lesão por arma branca

Conduta

A
  • Lembrar que em paciente obeso devemos fazer laparoscopia
How well did you know this?
1
Not at all
2
3
4
5
Perfectly
18
Q

Limites da transição toraco-abdominal

A
How well did you know this?
1
Not at all
2
3
4
5
Perfectly
19
Q

Ferimento na junção toracoabdominal

Conduta

20
Q

FAF (Ferimento por Arma de Fogo)

  • Conduta

Conduta

A
  • Laparatomia na maioria das vezes
21
Q

O que se observa na imagem?

  • Quais as estruturas comprometidas?
  • É grave?
  • Qual a conduta?
A

Trauma de pelve em livro aberto

  • Ruptura do plexo venoso posterior e ramos arteriais da ilíaca interna
  • HEMORRAGIA PODE SER FATAL
  • Seguir fluxograma de trauma pélvico
22
Q

Trauma pélvico

  • Pode sondar?
23
Q

Trauma pélvico

Conduta

24
Q

Lesões gástricas traumáticas

Característica de que tipo de lesão?

A
  • Lesão penetrante
  • Raro na contusão abdominal
25
# Trauma Contuso lESÃO PANCREÁTICA * Está associada a que lesões? * Tem necessidade de cirurgia?
* Geralmente ocorre **associada** com lesão em outros orgãos. como duodeno, rins e baço * RARAMENTE É ISOLADA! * Como ele é **orgão retroperitoneal, raramente causa peritonite** e necessidade de cirurgia no trauma
26
Classificação de LESÃO DUOEDENAL | Descreva
27
Quando suspeitar de lesão no duodeno?
* **Trauma contuso**+**Amilase elevada** * Isso ocorre devido a proximidade do duodeno com o pâncreas
28
Sinais de Cullen e Gray Turner | Definição e o que indicam?
* Pancreatite aguda ou necrosante
29
lAPAROTOMIA * Principais indicações
30
USG FAST * Quais são suas janelas? * Considerações da janela suprapúbica
* Abaixo estão todas as janelas, com imagens de líquido livre dentro delas * Quando há líquido livre na janela suprapúbica em mulheres, há formação do **sinal do laço** logo abaixo da bexiga, que é apenas o útero separando o líquido em 2 cavidades, com ele no centro
31
Trauma abdominal **TOMOGRAFIA** * Contraindicações * Vantagens * Desvantagens
32
FAB DORSO * ÁREAS AFETADAS * É NECESSÁRIO EXPLORAÇÃO DIGITAL?
* **NUNCA FAZER EXPLORAÇÃO DIGITAL** * **ZONA 1 e 3:** estruturas vasculares * **ZONA 2:** rins e adrenais
33
FAB DORSO * CODUTA DE ACORDO COM ÁREA AFETADA
A exploração referida na imagem abaixo é cirurgica, e não digital * **Zona 1 e 3:** cirurgia * **Zona 2:** tratamento conservador se estável
34
Trauma Pélvico * Afeta artérias ou veias?
Afeta sistema venoso principalmente
35
Trauma Pélvico * Que fratura é essa abaixo? * Que estruturas adjacentes ela compromete? * É grave?
**FRATURA DE COMPRESSÃO LATERAL (FECHADA)** * Provoca lesões em **bexiga e/ou uretra** * Raramente fatais
36
Fratura de Pelve * O que se observa na imagem? * Quais estrutras são prejudicadas? * É grave?
**CISALHAMENTO VERTICAL** * Deslocamento da sacro-ilíaca provoca ruptura da ilíaca * HEMORRAGIA MACIÇA
37
Tríade letal do trauma * Qual é?
**CHÁ** * Coagulopatia * Hipotermia * Acidose metabólica
38
Controle de danos * Quando fazer? * Como fazer
Fazer em todo paciente com sintomas da tríade letal (**CHÁ**) * Coagulopatia * Hipotermia * Acidose metabólica Principal objetivo é prevenir a tríade letal e estabilizar o doente * Cirurgião deve limitar-se a contenção dos extravazamentos intestinais com reparo rápido e ressecçao com grampeamento, sem reconstrução imediata * Abdome deve ser mantido em **peritoneostomia (curativo de Barker)**
39
Paciente pós trauma contuso (fechado) estável com hematúria e imagem abaixo * Conduta?
* Trata-se de um hematoma subcapsular renal, ou seja lesão de viscera sólida * Todavia, mesmo com isso, estando o paciente estável, a conduta é sempre conservadora com vigilância criteriosa * Caso haja piora persistente, pode se fazer arteriografia com embolização se blush na fase aguda do trauma ou sangramento tardio * Se paciente instável, provavelmente vai apresentar **hematoma pulsátil ou em expansão**, logo, fazer cirurgia
40
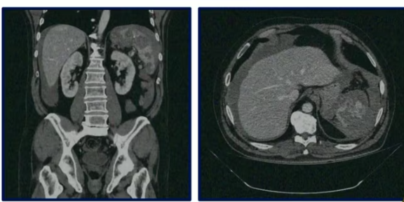
TC ABDOMINAL E PELVICO TRIFÁSICO * Fases * O que é avaliado em cada uma delas
Sempre soliticar após trauma abdominal **1 fase (sem contraste)** * Avaliar se há sangramento ativo * O sangue é hiperatenuante (branco) (presente na imagem) **2 fase (arterial)** * Aorta e outras artérias ficam brancas * Verificar se não há extravazamento de sangue! (não está presente na imagem acima) * Cortex fica branco, mas a medula continua cinza **3 fase (portal)** * Rim e veias inteiramente contrastadas (brancas) * Se alguma área estiver preta, indica lesão vascular **4 fase (extretora)** * Contraste nos calices * Verificar se há extravasamento de contraste
41
Trauma * Quando solicitar transfusão maciça
* Pelo menos 2 pontos
42
Shock Index * Como calcular?
(FC/PAS): normal entre **0,5-0,7**
43
Se paciente estável após trauma fechado abdominal, mas com liquido livre abdominal+ausência de lesão que justifique, qual a conduta
Laparatomia
44
Trauma abdominal vascular * Zonas * Quando operar? * Manobras
45
Área de Ziddler * Limitações
*Linhas verticais:* * Linha paraesternal direita + linha axilar média esquerda *Linhas horizontais* * Fúrcula esternal+ rebordo costal da décima costela