TRAUMA permanent Flashcards

(89 cards)

1
Q

concussion

A

injury to the tooth supporting structures without increased mobility or displacement of the tooth, but with pain to percussion

How well did you know this?
1
Not at all
2
3
4
5
Perfectly
2
Q

dx concussion

permanent

A

Not displaced.

Tender to touch or tapping.

No increased mobility

Sensibility
* Usually a positive result.
* important in assessing future risk of healing complications. A lack of response to the test indicates an increased risk of later pulp necrosis.

One periapical radiograph is recommended. Additional radiographs are indicated if signs or symptoms of other potential injuries are present
* No radiographic abnormalities, the tooth is in-situ in its socket

How well did you know this?
1
Not at all
2
3
4
5
Perfectly
3
Q

tx concussion

permanent

A

No need for tx

Monitor pulpal condition for at least 1 year

Pt instructions
* Soft food for 1 week.
* Good healing following an injury to the teeth and oral tissues depends, in part, on good oral hygiene. Brushing with a soft brush and rinsing with chlorhexidine 0.1 % is beneficial to prevent accumulation of plaque and debris.

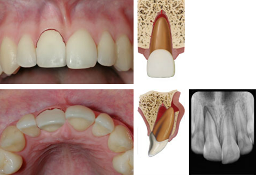
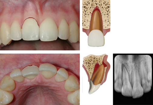
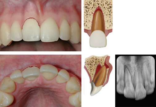
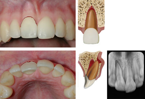
Clinical and radiographic follow up at 4 weeks and 1 year

How well did you know this?
1
Not at all
2
3
4
5
Perfectly
4
Q

subluxation

A

injury to the tooth supporting structures resulting in increased mobility but without displacement of the tooth
bleeding from the gingival sulcus confirms the dx

How well did you know this?
1
Not at all
2
3
4
5
Perfectly
5
Q

dx subluxation

permanent

A

Not displaced

TTP

Inc mobility

Sensibility testing may be negative initially indicating transient pulpal damage. Monitor pulpal response until a definitive pulpal diagnosis can be made.
* There will be a positive sensibility test result in about half the cases.
* The test is important in assessing future risk of healing complications.
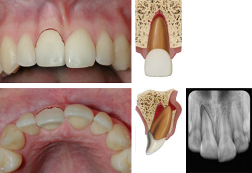
* A lack of response at the initial test indicates an increased risk of later pulp necrosis.

Occlusal, PA and 2 eccentric exposure from diff horizontal angulations
* Usually no radiographic abnormalities

How well did you know this?
1
Not at all
2
3
4
5
Perfectly
6
Q

tx subluxation

A

Clean the area with water spray, saline or chlorhexidine
Suture gingival lacerations if present
A flexible splint to stabilize the tooth for patient comfort can be used for up to 2 weeks (0.4mm wire and composite)

Pt instructions
* Soft food for 1 week.
* Good healing following an injury to the teeth and oral tissues depends, in part, on good oral hygiene. Brushing with a soft brush and rinsing with chlorhexidine 0.1 % is beneficial to prevent accumulation of plaque and debris

Follow up
* Splint removal and radiographic follow up at 2 weeks
* Clinical review: 2 weeks; 12 weeks; 6 months and 1 year

How well did you know this?
1
Not at all
2
3
4
5
Perfectly
7
Q

extrusion

A

partial displacement of the tooth out of the socket

an injury to the tooth characterised by partial or total serparation of the PDL resulting in loosening and displacement of the tooth
the alveolar socket bone is in tact (unlike lat lux)
in addition to axial displacement the tooth will have an element of protrusion or retrusion ususally

How well did you know this?
1
Not at all
2
3
4
5
Perfectly
8
Q

dx extrusion

A

Appears elongated

Excessively mobile

Usually lack of response except for teeth with minor displacements. The test is important in assessing risk of healing complications. A positive result to the initial test indicates a reduced risk of later pulp necrosis.
* In immature, not fully developed teeth, pulpal revascularization usually occurs. In mature teeth pulp revascularization sometimes occurs.

Occlusal, PA and 2 eccentric exposures from different horizontal angulations
Inc PA ligament space

How well did you know this?
1
Not at all
2
3
4
5
Perfectly
9
Q

tx extrusion

A

Apply local anesthesia

The exposed root surface of the displaced tooth is cleansed with saline before repositioning

Reposition the tooth by gently re-inserting it into the tooth socket with axial digital pressure
Stabilize the tooth for 2 weeks using a flexible

If there is breakdown/fracture of the marginal bone, splint the tooth for an additional 4 weeks.

Pt instructions
* Soft food for 1 week.
* Good healing following an injury to the teeth and oral tissues depends, in part, on good oral hygiene. Brushing with a soft brush and rinsing with chlorhexidine 0.1 % is beneficial to prevent accumulation of plaque and debris

Clinical and radiographic follow up
* 2 weeks – splint removal and radiographs
* Then radiographic again – 4 weeks, 8weeks, 12weeks, 6months, 1 year and yearly for at least 5 years
* Monitoring the pulpal condition is essential to diagnose associated root resorption.
* If the pulp becomes necrotic and infected, endodontic treatment appropriate to the tooth’s stage of root development is indicated.

How well did you know this?
1
Not at all
2
3
4
5
Perfectly
10
Q

extrusion follow up

A
  • 2 weeks – splint removal and radiographs
  • Then radiographic again – 4 weeks, 8weeks, 12weeks, 6months, 1 year and yearly for at least 5 years
  • Monitoring the pulpal condition is essential to diagnose associated root resorption.
  • If the pulp becomes necrotic and infected, endodontic treatment appropriate to the tooth’s stage of root development is indicated.
How well did you know this?
1
Not at all
2
3
4
5
Perfectly
11
Q

lateral luxation

A

displacment of the tooth other than axially

accompanied by communication fracture of either the labial or palatal/lingual alveolar bone

partial or total separation PDL

How well did you know this?
1
Not at all
2
3
4
5
Perfectly
12
Q

dx lateral luxation

A

Displaced usually in palatal/lingual or labial direction

High metallic/ankylotic sound

Usually mobile

Sensibility tests will likely give a lack of response except for teeth with minor displacements.
* The test is important in assessing risk of healing complications. A positive result at the initial examination indicates a reduced risk of future pulp necrosis.

Occlusal, PA and 2 eccentric exposures from diff horizontal angulations
* Widened PA ligament space

How well did you know this?
1
Not at all
2
3
4
5
Perfectly
13
Q

tx lateral luxation

permanent

A

Aim: To reposition and splint a displaced tooth to facilitate pulp and periodontal ligament healing.

Rinse the exposed part of the root surface with saline before repositioning.

Apply a local anesthesia.

Reposition the tooth with forceps or with digital pressure to disengage it from its bony lock and gently reposition it into its original location. In case of manual repositioning, palpate the gingiva to feel the apex of the tooth. Use one finger to push downwards over the apical end of the tooth, then use another finger or thumb to push the tooth back into its socket.

Stabilize the tooth for 4 weeks using a flexible splint
* If there is breakdown/fracture of the marginal bone or alveolar socket wall, splint for an additional 4 weeks.

Teeth with incomplete root formation
* Spontaneous revascularization may occur.
* If the pulp becomes necrotic and there are signs of infection related external resorption (inflammatory resorption), root canal treatment should be initiated as soon as possible.

Teeth with complete root formation
* The pulp will likely become necrotic.
* Root canal treatment should be initiated in order to prevent infection related resorption.

How well did you know this?
1
Not at all
2
3
4
5
Perfectly
14
Q

lateral luxation prognosis
permanent teeth with incomplete root formation

A
  • Spontaneous revascularization may occur.
  • If the pulp becomes necrotic and there are signs of infection related external resorption (inflammatory resorption), root canal treatment should be initiated as soon as possible.
How well did you know this?
1
Not at all
2
3
4
5
Perfectly
15
Q

lateral luxation progonsis
permanent teeth with complete root formation

A
  • The pulp will likely become necrotic.
  • Root canal treatment should be initiated in order to prevent infection related resorption.
How well did you know this?
1
Not at all
2
3
4
5
Perfectly
16
Q

follow up permanent teeth lateral luxation

A
  • Clinical and radiographic follow-up after 2 weeks.
  • Clinical and radiographic follow-up and splint removal after 4 weeks.
  • Clinical and radiographic follow-up after 8 weeks, 12 weeks, 6 months, 1 year and yearly for 5 years.
How well did you know this?
1
Not at all
2
3
4
5
Perfectly
17
Q

intrusion

A

Displacement of the tooth into the alveolar bone. This injury is accompanied by comminution or fracture of the alveolar socket.

How well did you know this?
1
Not at all
2
3
4
5
Perfectly
18
Q

dx intrusion

A

Tooth displaced axially into alveolar bone

High metallic/ankylotic sound

Mobile

Negative sensibility tests

Occlusal, PA and 2 eccentric horizontal angulations
* PDL space may be absent from all or part of the root
* ACJ located more apically in the intruded tooth than in adjacent non-injured teeth, at times even apical to marginal bone level

How well did you know this?
1
Not at all
2
3
4
5
Perfectly
19
Q

tx intrusion dependent on
risk

A

root development - immature or mature

tooth intrusion is associated with a potential risk of tooth loss due to progressive root resorption (ankylosis or infection related resorption).

How well did you know this?
1
Not at all
2
3
4
5
Perfectly
20
Q

teeth with immature development
intrusion tx

A

Allow re-eruption without intervention (spontaneous repositioning) for all intruded teeth independant of the degree of intrusion.

If no re-eruption within 4 weeks, initiate orthodontic repositioning.

Monitor pulp condition.
* Spontaneous pulp revascularization may occur. However, if there are signs of infectious pulp necrosis or infection related resorption, root canal treatment is indicated and should be initiated as soon as possible.

How well did you know this?
1
Not at all
2
3
4
5
Perfectly
21
Q

teeth with mature root development
intrusion tx

A

Allow re-eruption without intervention if the tooth is intruded <3 mm.

If no re-eruption within 4 weeks, reposition surgically and splint for 2 weeks or reposition the tooth orthodontically.

If the tooth is intruded 3-7 mm, reposition surgically or orthodontically.

If the tooth is intruded beyond 7 mm, reposition surgically.

Root canal treatment should be initiated within 2 weeks or as soon as the position of the tooth allows in order to prevent infection related resorption.

How well did you know this?
1
Not at all
2
3
4
5
Perfectly
22
Q

avulsion

A

tooth is completely displaced out of its socket. Clinically the socket is found empty or filled with a coagulum.

How well did you know this?
1
Not at all
2
3
4
5
Perfectly
23
Q

dx avulsion

A

Tooth removed from socket

Account for all tooth pieces

If the visual appearance of the injury raises suspicion of a possible intrusion, root fracture, alveolar fracture or jaw fracture an occlusal radiograph should be taken to confirm the diagnosis.

How well did you know this?
1
Not at all
2
3
4
5
Perfectly
24
Q

first aid for avulsed permanent tooth

A

An avulsed permanent tooth is one of the few real emergency situations in dentistry

If a tooth is avulsed, make sure it is a permanent tooth
* primary teeth should not be replanted

Keep the patient calm.

Find the tooth and pick it up by the crown (the white part). Avoid touching the root.

  • If the tooth is dirty, rinse it gently in milk, saline or in the patient’s saliva and encourage the patient/parent to replant the tooth in the original position in the jaw.
    Bite on a handkerchief to hold the replanted tooth in position.

If immediate replantation is not possible, place the tooth in a suitable storage medium available at the emergency site. This should be done quickly to avoid dehydration of the root surface.
* E.g. milk, Hank’s balanced salt solution, saliva (after spitting into a glass for instance) or saline.
* water is a poor medium, it is better than leaving the tooth to air-dry.

Seek emergency dental treatment immediately.

On arrival ask time out of socket – imp for tx

How well did you know this?
1
Not at all
2
3
4
5
Perfectly
25
important considerations for avulsion of permanent teeth management
open V closed apex Extra Alveolar Dry Time (time out of socket)
26
avulsed permanent tooth with open apex replanted prior to pt arrived at dentist tx
leave the tooth in place Apply local anesthesia, if necessary, preferably with no vasoconstrictor. * Clean the area with water spray, saline or chlorhexidine. * Suture gingival laceration, if present. Verify normal position of the replanted tooth both clinically and radiographically. Apply a flexible splint for 2 weeks Administer systemic antibiotics (if tooth avulsed in environment could be contaminated e.g. soil) * Amoxycillin or penicillin is the first choice (for 7 days at the appropriate dose for the patient’s age and weight). Alternative antibiotics should be considered for patients with an allergy to penicillin. * If the avulsed tooth has been in contact with soil and if tetanus coverage is uncertain, contact a physician for a tetanus booster. The goal for replanting still-developing (immature) teeth in children is to allow for possible revascularization of the tooth pulp. If that does not occur, apexification, pulp revitalization/revascularization is recommended.
27
follow up for immature permanent tooth avulsion
For immature teeth, root canal treatment should be avoided unless there is clinical or radiographic evidence of pulp necrosis and infection * potential for spontaneous healing to occur in the form of new connective tissue with a vascular supply - allowing continued root development and maturation Splint removal and clinical and radiographic control after 2 weeks. Clinical and radiographic control after 4 weeks, 2 months, 3 months, 6 months, 1 year and then yearly for at least 5 years.
28
tx for avulsed immature permanent tooth that has been kept in storage medium for less than 60mins (EADT<60)
Clean the root surface and apical foramen with a stream of saline. Place or leave the tooth in a storage medium while taking the history, examining the patient clinically and radiographically and preparing the patient for the replantation. Administer local anesthesia, prefereably without vasoconstrictor. Examine the alveolar socket. If there is a fracture of the socket wall, reposition it with a suitable instrument. Irrigate the socket with saline. Replant the tooth slowly with slight digital pressure. Suture gingival lacerations, especially in the cervical area. Verify normal position of the replanted tooth clinically and radiographically. Apply a flexible splint for up to 2 weeks Administer systemic antibiotics. * Amoxycillin or penicillin is the first choice (for 7 days at the appropriate dose for the patient’s age and weight). Alternative antibiotics should be considered for patients with an allergy to penicillin. * If the avulsed tooth has been in contact with soil and if tetanus coverage is uncertain, contact a physician for a tetanus booster. | PDL viable but compromised
29
what is the goal in replanting a permanent immature tooth
possible revascularization of the tooth pulp. If that does not occur, apexification, pulp revitalization/revascularization is recommended. * risk of infection-related root resorption should be weighed up against the chances of revascularization. * Such resorption is very rapid in children. If revascularization does not occur, root canal treatment may be recommended.
30
tx for permanent avulsed tooth with EADT >60mins
Clean the root surface and apical foramen with a stream of saline. * Place or leave the tooth in a storage medium while taking the history, examining the patient clinically and radiographically and preparing the patient for the replantation. Administer local anesthesia, prefereably without vasoconstrictor. * Examine the alveolar socket. If there is a fracture of the socket wall, reposition it with a suitable instrument. * Irrigate the socket with saline. Replant the tooth slowly with slight digital pressure. Suture gingival lacerations, especially in the cervical area. Verify normal position of the replanted tooth clinically and radiographically. Apply a flexible splint for up to 2 weeks Administer systemic antibiotics. Amoxycillin or penicillin is the first choice (for 7 days at the appropriate dose for the patient’s age and weight). Alternative antibiotics should be considered for patients with an allergy to penicillin. * If the avulsed tooth has been in contact with soil and if tetanus coverage is uncertain, contact a physician for a tetanus booster. | EADT>60 likely non viable PDL cells
31
concern is permanent tooth EADT>60
Delayed replantation has a poor long-term prognosis. * PDL will be necrotic and cannot be expected to heal. The goal in delayed replantation is to restore the tooth to the dentition for esthetic, functional and psychological reasons and to maintain alveolar contour. The possible outcome will be ankylosis related resorption
32
why is replantation always advised for permanent avulsed teeth
keeps other tx options open future - restores aesthetics, function temporarily whilst maintaining alevolar bone contour, width and height advise pt poor long term prognosis * infraoccluded - may need decoronated or XLA varies with pt age, growth etc - unpredictable
33
apical barrier formation in open apex permanent tooth which has pulpal necrosis
Mineral trioxide aggregate 5mm of MTA should be placed at the apical end of the root. * Placement can be aided by use of a microscope. * Placement is carried out using obtura probes, disposable MTA carriers or experimentally using a venflon. Wait at least 24 hours for MTA to harden then obturate with a heated GP system
34
tx mature permanent tooth avulsion replanted prior to attending
Leave the tooth in place. Clean the area with water spray, saline or chlorhexidine. * Administer local anethesia if necessary, preferably with no vasoconstrictor. * If the tooth were replanted in the wrong socket or rotated, reposition the tooth into the proper location up to 48 hours after the traumatic incident. * Suture gingival lacerations, if present. Verify normal position of the replanted tooth both clinically and radiographically. Apply a flexible splint for 2 weeks Administer systemic antibiotics. Amoxycillin or penicillin is the first choice (for 7 days at the appropriate dose for the patient’s age and weight). Alternative antibiotics should be considered for patients with an allergy to penicillin. * If the avulsed tooth has been in contact with soil, and if tetanus coverage is uncertain, refer to physician for a tetanus booster. **Initiate root canal treatment within 2 weeks after replantation and before splint removal**
35
follow up for closed apex avulsed tooth
Root canal treatment within 2 weeks after replantation. Place calcium hydroxide as an intra-canal medicament for up to 1 month followed by root canal filling with an acceptable material. Alternatively an antibiotic-corticosteroid paste may be placed immediately or shortly after replantation and left for at least 2 weeks. Splint removal and clinical and radiographic control after 2 weeks. Clinical and radiographic control after 4 weeks, 2 months, 3 months, 6 months, 1 year and then yearly for at least 5 years
36
tx closed apex avulsed tooth EADT>60mins
clean the root surface and apical forament with saline (agigtate) and leave in storage medium whilst take history and do exam Clean the area with water spray, saline or chlorhexidine. * Administer local anethesia if necessary, preferably with no vasoconstrictor. * irrigate socket with saline * replant tooth slowly with digit pressure * Suture gingival lacerations, if present. Verify normal position of the replanted tooth both clinically and radiographically. Apply a flexible splint for 2 weeks Administer systemic antibiotics. Amoxycillin or penicillin is the first choice (for 7 days at the appropriate dose for the patient’s age and weight). Alternative antibiotics should be considered for patients with an allergy to penicillin. * If the avulsed tooth has been in contact with soil, and if tetanus coverage is uncertain, refer to physician for a tetanus booster. **Initiate root canal treatment within 2 weeks after replantation and before splint removal**
37
best outcome for avulsed tooth when
replanted within 15mins
38
tooth wrongly replanted
reposition within 48hrs
39
1st line antibiotics for avulsed permanent tooth in area of contamination or soft tissue injuries
amoxicillin for 7 days doxycyline if allergic and over 12
40
splinting for avulsed teeth
all for 2weeks with passive flexible wire (up to 0.4mm) | associated alveolar fracture = 4weeks
41
follow up for avulsion
2 weeks - splint removal and radiographs (initiate endo prior if closed apex) then 4weeks, 2 months, 3 months, 6months, yearly for 5 years
42
when to start endo on trauma tooth with open apex
when radiographic or clinical signs of pulp necrosis (not sensibility test alone)
43
infarction
An incomplete fracture (crack) of the enamel without loss of tooth structure.
44
dx infarction
Visible fracture line on surface of tooth Not tender * If TTP – eval for possible luxation or root # Normal mobility Usually positive. The test is important in assesing future risk of healing complications. A lack of response to the test at the initial examination indicates an increased risk of later pulp necrosis A periapical view. No other radiographic view are needed unless other symptoms are present. Appears normal
45
tx and follow up for infarction
In case of marked infractions, etching and sealing with resin to prevent discoloration and bacterial contamination of the infraction lines. Otherwise, no treatment is necessary. Follow-up * No follow-up is needed for infraction injuries unless they are associated with another injury
46
E#
fracture confined to the enamel with loss of tooth structure
47
dx e#
Visible loss of enamel, no visible exposed dentine Not TTP Normal mobility Usually positive. The test may be negative, initially indicating transient pulpal damage. Monitor pulpal response until a definitive pulpal diagnosis can be made. * The test is important in assessing risk of future healing complications. A lack of response at the initial examination indicates an increased risk of later pulp necrosis. A periapical radiograph is recommended. * Enamel loss visible * Additional radiographs are indicated if signs or symptoms of other potential injuries are present. - Angulations for root fractures (PA and occlusal) – luxation or root #
48
tx and follow up for E#
If a tooth fragment is available, it can be bonded to the tooth. Grinding or restoration with composite resin depending on the extent and location of the fracture. Follow-up * Clinical and radiographic follow-up at 6-8 weeks and 1 year
49
ED#
A fracture confined to enamel and dentin with loss of tooth structure, but not involving the pulp
50
ED# dx
Visible loss of enamel and dentine, no visible sign of exposed pulp tissue Not TTP Normal mobility * Usually positive. The test may be negative, initially indicating transient pulpal damage. Monitor pulpal response until a definitive pulpal diagnosis can be made. * The test is important in assessing future risk of healing complications. A lack of response at the initial examination indicates an increased risk of later pulp necrosis. A periapical radiograph is recommended. * Enamel-dentine loss visible * Additional radiographs are indicated if signs or symptoms of other potential injuries are present. If the fragment is missing and there are soft tissue injuries, radiographs of the lip and/or cheek are indicated to search for tooth fragments and/or foreign materials.
51
tx and follow up ED#
Clean the area with water spray or saline Disinfect with sodium hypochlorite or chlorhexidine If a tooth fragment is available and intact, it can be bonded to the tooth. If dry, the fragment should be rehydrated by soaking in water or saline for 20 minutes before bonding. Otherwise, perform a provisional treatment by covering the exposed dentin with glass ionomer or a permanent restoration using a bonding agent and composite resin. If the exposed dentin is within 0.5 mm of the pulp (pink but no bleeding), place a calcium hydroxide (Dycal) lining and cover with RMGI and restore Follow-up * Clinical and radiographic follow-up at 6-8 weeks and 1 year.
52
EDP#
A fracture involving enamel and dentin with loss of tooth structure and exposure of the pulp.
53
dx EDP#
Visible loss of enamel and dentine with exposed pulp tissue Not TTP Normal mobility Usually positive. The test is important in assessing risk of future healing complications. A lack of response at the initial examination indicates an increased risk of later pulp necrosis. A periapical radiograph is recommended. * Loss of tooth substance visible * Additional radiographs are indicated if signs or symptoms of other potential injuries are present. * PA and occlusal - parallax If the fragment is missing and there are soft tissue injuries, radiographs of the lip and/or cheek are indicated to search for tooth fragments and/or foreign materials.
54
when to pulp cap
EDP# with pinprick <2mm exposure and less than 24hrs
55
pulp cap
Apply local anaesthesia Isolate tooth with rubber dam if possible Clean the area with water spray, saline or chlorhexidine Apply pulp capping material (non-setting calcium hydroxide or non-staining calcium silicate cements are suitable materials to be placed on the pulp wound) Seal exposed dentin with glass ionomer cement or composite resin Restore with composite resin follow up - clinical and radiographic at 6-8 weeks, 3 months, 6 months and 1 year.
56
when pulpotomy
EDP# >2mm or exposed more than 24hrs
57
pulpotomy
Apply rubber dam Remove pulp tissue at 2-3mm radius around exposed area Assess bleeding – if not bleeding remove more tissue Gain haemorrhage control using a saline soaked cotton wool ball * Hyperaemia – remove more tissue Once normal bleeding has stopped (bright red not gushing and clots as normal3mins) apply nsCaOH Seal with GI Restore tooth with acid etched composite tip (or composite bandage if not enough time – need to cover all exposed dentine)
58
pulpotomy follow up
clinical and radiographic at 6-8weeks, 3months, 6months and 1 year
59
signs of radiographic of successful pulpotomy
Cont root development Cont thickening of dentine root wall Apical development and no pathology
60
crown root # without pulp involvement
fracture involving enamel, dentin and cementum with loss of tooth structure, but not exposing the pulp.
61
dx crown root # without pulp involvement
Crown fracture extending below gingival margin TTP Mobile coronal fragment Positive apical fragment to sensibility testing PA radiograph, an occlusal radiograph and two additional radiographs taken with different vertical and/or horizontal angulations. * Apical extension of # not visible * CBCT considered for better visualisation of fracture path, its extent and relationship to marginal bone
62
emergency tx of crown root #
temporary stabilization of a loose segment to adjacent teeth can be performed until a definitive treatment plan is made.
63
defintive tx of crown root# with or without pulp involvement dependent on options
pt age, clinical findings and pt level of cooperation * fragament removal only * fragment removal and gingivectomy * orthodotnic extrusion of apical fragment * surgical extrusion * coronectomy * extraction
64
fragment removal only of crown root fracture
Removal of a superficial coronal crown-root fragment and subsequent restoration of exposed dentin above the gingival level.
65
fragement removal and gingivectomy for crown root fracture
Removal of coronal segment with subsequent endodontic treatment and restoration with a post-retained crown. This procedure should be preceded by a gingivectomy, ostectomy with osteoplasty. This treatment option is indicated in crown-root fractures with palatal subgingival extension
66
orthodontic extrusion of apical fragment for crown root fracture
Removal of the coronal segment and orthodontic extrusion of the remaining root followed by restoration. In some cases endodontic treatment and/or peridontal recontouring will be necessary
67
surgical extrusion for crown root fracture
Removal of the mobile fractured fragment with subsequent surgical repositioning of the root in a more coronal position. endo tx for teeth with closed apices after
68
coronectomy for crown root fracture
Implant solution is planned, the root fragment may be left in situ after in order to avoid alveolar bone resorption and thereby maintaining the volume of the alveolar process for later optimal implant installation
69
extraction for crown root fracture
Extraction with immediate or delayed implant-retained crown restoration or a conventional bridge. Extraction is inevitable in crown-root fractures with a severe apical extension, the extreme being a vertical fracture.
70
bonding of coronal fragment crown-root fractures indications adv disadv
superficial fractures relatively easy little evidence currently
71
fragment removal and gingivectomy forcrown-root fractures indications adv disadv
fracture lines that do not compromise aesthetics relatively easy and can be completed soon after injury may migrate labial due to formation of pseudo pocket palatally (fracture line)
72
ortho extrusion of apical fragment crown-root fractures indications adv disadv
all fracture types, assuming reasonable root length stable position of restored tooth, can maximise gingival health technically time consuming procedure with late completion of final tx
73
surgical extrusion of apical fragment crown-root fractures indications adv disadv
all fractures types (excpet when trying to perserve vitality) rapid, stable position of tooth, able to inspect root for other # risk RR adn breakdown periodontium
74
follow up for crown-root fractures
Clinical and radiographic follow-up after 1 week, 6-8 weeks, 3 months, 6 months, 1 year and yearly for at least 5 years.
75
follow up for crown-root fractures
Clinical and radiographic follow-up after 1 week, 6-8 weeks, 3 months, 6 months, 1 year and yearly for at least 5 years.
76
crown root fracture with pulp involvement
fracture involving enamel, dentin, and cementum with loss of tooth structure, and exposure of the pulp
77
dx crown root fracture with pulp involvement
Crown fracture extending below gingival margin TTP Coronal fragment mobile Sensibility testing positive for apical fragment PA radiograph, an occlusal radiograph and two additional radiographs taken with different vertical and/or horizontal angulations. * Apical extension of # not visible * CBCT considered for better visualisation of fracture path, its extent and relationship to marginal bone
78
decoronation for crown root fractures ind adv disadv
Can be used in cases where the root cannot support a post-retained crown restoration. preserves alveolar process postpones difinitive tx (implant)
79
emergency tx for crown root fracture with pulp involvement
As an emergency treatment, a temporary stabilization of a loose segment to adjacent teeth can be performed until a definitive treatment plan is made. In young patients with open apices, it is advantageous to preserve pulp vitality by a partial pulpotomy. Rubber dam isolation is challenging but should be tried. Non-setting calcium hydroxide or non-staining calcium silicate cements are suitable materials to be placed on the pulp wound. In patients with mature root development, removal of the pulp is usually indicated. Cover the exposed dentin with glass ionomer or use a bonding agent and composite resin.
80
root fracture
fracture confined to the root of the tooth involving cementum, dentin and the pulp. Root fractures can be further classified by whether the coronal fragment is displaced (see luxation injuries).
81
root fracture dx
coronal segment may be mobile and in some cases displaced. Transient crown discoloration (red or grey) may occur. Bleeding from the gingival sulcus may be noted. May be TTP May be mobile Sensibility testing may give negative results initially, indicating transient or permanent neural damage. Monitoring the status of the pulp is recommended. * The pulp sensibility test is usually negative for root fractures except for teeth with minor displacements. The test is important in assessing risk of healing complications. A positive sensibility test at the initial examination indicates a significantly reduced risk of later pulp necrosis. Periapical, occlusal and 2 eccentric exposures. * An occlusal exposure is optimal for locating root fractures in the apical and middle third. Bisecting angle exposure or 90 degree angulation exposure is needed to locate the fractures in the cervical third of the root. * In cases where the above radiographs provide insufficient information for treatment planning, CBCT can be considered to determine the location, extent and direction of the fracture. root fracture line is usually visible. The fracture involves the root of the tooth and is in a horizontal or diagonal plane
82
root fracture tx
Rinse exposed root surface with saline before repositioning. If displaced, reposition the coronal segment of the tooth as soon as possible. Check that correct position has been reached radiographically. Stabilize the tooth with a flexible splint for 4 weeks * If the root fracture is near the cervical area of the tooth stabilization is beneficial for a longer period of time (up to 4 months). No endodontic treatment should be started at the emergency visit. * Monitor healing for at least 1 year to determine pulpal status. If pulp necrosis develops, then root canal treatment of the coronal tooth segment to the fracture line is indicated. As root fracture lines are frequently oblique, determination of root canal length may be challenging. An apexification approach may be needed. The apical segment rarely undergoes pathological changes that require treatment.
83
root fracture tx in mature teeth when fracture line extends cervically above alveolar crest
removal of the coronal fragment, followed by root canal treatment and restoration with the post-retained crown will likely be required. Additional procedures such as orthodontic extrusion of the apical segment, crown lengthening surgery, surgical extrusion or even extraction may be required as future treatment options
84
follow up for root fracture
Clinical and radiographic follow-up after 4 weeks, 6-8 weeks, 6 months, 1 year and then yearly for at least 5 years. For teeth with cervical fractures, an additional follow-up and splint removal after 4 months.
85
alveolar fracture
A fracture of the alveolar process; may or may not involve the alveolar socket. Teeth associated with alveolar fractures are characterized by mobility of the alveolar process; several teeth typically will move as a unit when mobility is checked. Occlusal interference is often present.
86
dx alveolar fracture
Displacement of an alveolar segment. An occlusal change due to misalignment of the fractured alveolar segment is often noted. TTP Entire segment mobile and moves as unit Negative to sensibility tests Occlusal, periapical and eccentric exposure. * In cases where the above radiographs provide insufficient information for treatment planning, a panoramic radiograph and/or CBCT can be considered to determine the location, extent and direction of the fracture. * vertical line of the fracture may run along the PDL or in the septum. The horizontal line may be located at any level from the marginal bone to the basal bone. An associated root fracture may be present.
87
tx alveolar fracture
Apply local anesthesia Manual repositioning or repositioning using forceps of the displaced segment Clean the area with water spray, saline or chlorhexidine Suture gingival lacerations if present Apply flexible splint for stabilisation of the segment for 4 weeks Root canal treatment is contraindicated at the emergency visit Monitor pulp condition of all teeth involved to determine if or when endodontic treatment becomes necessary.
88
follow up alevolar fracture
Splint removal and clinical and radiographic follow-up after 4 weeks. Clinical and radiographic follow-up after 6-8 weeks, 4 months, 6 months, 1 year and yearly for 5 years.
89
splinting for avulsed teeth
all for 2weeks with passive flexible wire (up to 0.4mm) | associated alveolar fracture = 4weeks