Tuberculosis Flashcards

(19 cards)

1
Q

Which mycobacteria cause disease and in who ?

A

Mycobacterium tuberculosis complex cause tuberculosis
-Most commonly M.tb
-M. bovis can jump the species barrier from cattle to human

Non-tuberculous mycobacteria casue disease in the immunocomprimised

How well did you know this?
1
Not at all
2
3
4
5
Perfectly
2
Q

What is M. tuberculosis complex ?

A

M. tb is the main causative organism of TB in humans
-gram-positive bacillus
-acid fast
-slow growing member of genus
-facultative intracellular parasite

Acid fast = waxy coating so prevents acid/alcohol used to was off stain from washing off stain

How well did you know this?
1
Not at all
2
3
4
5
Perfectly
3
Q

How is TB transmitted ?

A

Pathogen transmitted via inhalation of infected aerosolided droplets with the bacteria within, bacteria recahes alveoli
-Increased tranmission in unventilated rooms
-e.g. during speaking, coughing, sneezing, singing

How well did you know this?
1
Not at all
2
3
4
5
Perfectly
4
Q

How does the majority of TB develop ?

A

The majority of TB disease is re-activated disease in individuals previously entering the country with latent TB infection

(Immigrants who are infected come here and then get sick)

How well did you know this?
1
Not at all
2
3
4
5
Perfectly
5
Q

What change is visible on a CXR in active TB ?

A

-Shadows, lesions, consolidation
-Ghon focus in periphery of mid zone of lung - primary site of infection
-Bilateral hilar lymphadenopathy (swollen nodes)
-‘Miliary shadowing’ = miliary TB

How well did you know this?
1
Not at all
2
3
4
5
Perfectly
6
Q

What is Ghon focus ?

A

Primary lung lesion formed after initial infection with M. tuberculosis.

Key features:
-Small area of granulomatous inflammation
-Usually located in the subpleural region of the lower part of the upper lobe or upper part of the lower lobe
-Represents the first site of TB infection in the lung

How well did you know this?
1
Not at all
2
3
4
5
Perfectly
7
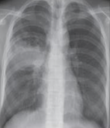
Q

What is this ?

A

Primary TB
-Primary lung lesion (Ghon focus)
-Associated lymph node enlargement

lung focus + lymph nodes = Ghon complex

How well did you know this?
1
Not at all
2
3
4
5
Perfectly
8
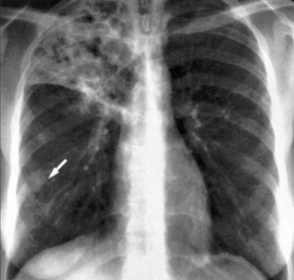
Q

What is this ?

A

Reactivated TB
-cavitation in upper lobe
-cavities caused by immune response (poor immune system dont get this really)

How well did you know this?
1
Not at all
2
3
4
5
Perfectly
9
Q

How does TB progress and whay controls this ?

A
How well did you know this?
1
Not at all
2
3
4
5
Perfectly
10
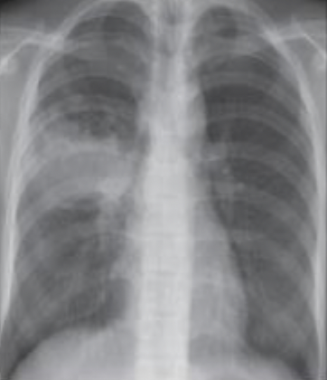
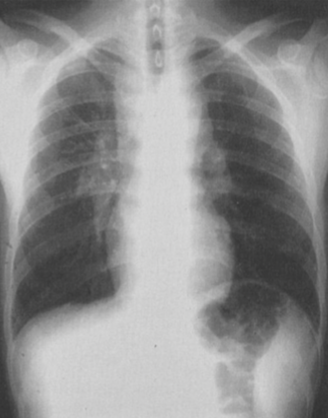
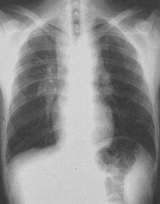
Q

What is this ?

A

Bilateral hilar lymphadenopathy

How well did you know this?
1
Not at all
2
3
4
5
Perfectly
11
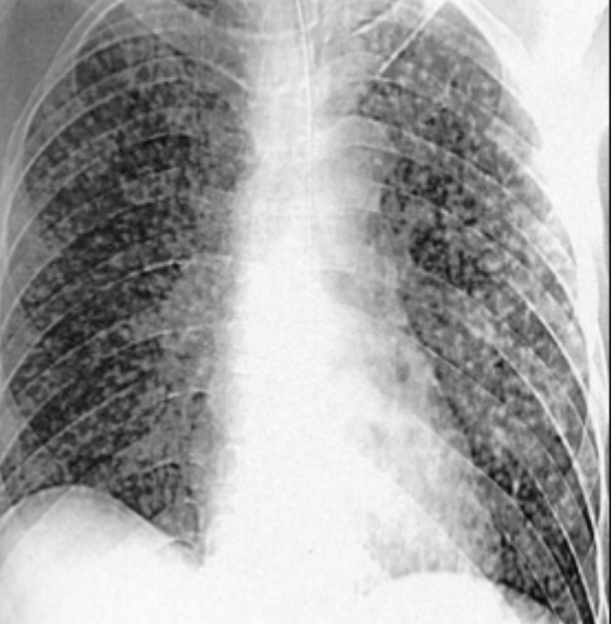
Q

What is this ?

A

Miliary TB
-Lots of little bits of TB in blood showering lung
-Spots also seen in eye and everywhere; probbaly in brain as well

How well did you know this?
1
Not at all
2
3
4
5
Perfectly
12
Q

How are samples used to investigate active TB ?

A

-3 separate sputum samples in pulmonary TB (including one early morning sample)
-Can do broncoscopy and lavage or gastric washings (rarely required)
-Ziehl-Neelson stain; tests for AFB, rapid (24h)
-Histology; granuloma with central caseous necrosis

See bug in microscope and then grow it to confitm identification

Sample e.g. sputum, pus, or a tissue biopsy

How well did you know this?
1
Not at all
2
3
4
5
Perfectly
13
Q

How is active, drug-sensitive TB treated ?

A

4 drugs for 2 months: Rifampicin, Isoniazid, Pyrazinamide, Ethambutol

2 drugs for a further 4 months: Rifampicin, Isoniazid

How well did you know this?
1
Not at all
2
3
4
5
Perfectly
14
Q

How is latent, drug-sensitive TB treated ?

A

2 drugs for 3 months: Rifampicin, Isoniazid

Or 1 drug for 6 months: Isoniazid

How well did you know this?
1
Not at all
2
3
4
5
Perfectly
15
Q

Explain the Pathophysiology of TB

A

1) Pathogen transmitted via aerosol route and reaches alveoli
2) Pathogen phagocytosed in alveoli by macrophage/neutrophil/DC (macrophage is initial intracellular primary niche of MTB) and carried to hilar lymph nodes → immune activation
3) Slow onset of Th1-biased adaptive immunity; MTB-specific CD4+ T cells (also CD8), Th1 produced INF-y
4) This leads to a granulomatous response in the nodes, with caseous necrosis occurring in the granulomas
-Type IV hypersensitivity - granulomas with necrosis
5) The infection is either cleared completely or will become latent (LTBI)
6) In a few cases the infection is overwhelming and spreads throughout the body, setting up many foci of infection (e.g. miliary TB) - extra-pulmonary TB

Takes 8 weeks for immune system to respond to TB as it evades immune sys

How well did you know this?
1
Not at all
2
3
4
5
Perfectly
16
Q

Which immune conditions predispose to TB and which do not ?

A

Predisposing
-Cell-mediated, Th1-biased immunity (CMI) is essential against TB
-Protection relies on cytokines such as IFN-γ and TNF-α
-Defective CMI e.g. children, HIV, IFN-γ receptor polymorphisms, anti–TNF-α therapy

Not predisposing
-Defects in humoral (antibody) immunity
-Antibodies far less important against TB
-e.g., multiple myeloma or common variable immunodeficiency)

17
Q

How is latent TB tested for ?

A

Tuberculin skin test
-Tuberculin, a TB antigen, injected intradermally
-Positive result measured from induration of red spot due to type IV (delayed) hypersensitivity reaction from sensitized T cells
-Read at 48–72 hours
Meaning:
Positive = prior TB exposure (latent infection)
Does NOT distinguish latent vs active TB

18
Q

What can cause false results in Tuberculin skin tests ?

A

BCG vaccination can sometimes cause a false-positive result, and immunocompromised patients may have false-negative results due to impaired cell-mediated immunity.

18
Q

What are pulmomary and extrapulmonary signs and symptoms of TB ?

A

ulmonary features

  • 90% present with pulmonary features only
  • Cough +/- haemoptysis
  • Dyspnoea

Extrapulmonary features (10%)

  • Fever and chills
  • Night sweats
  • Fatigue
  • Loss of appetite
  • Weight loss
  • Erythema nodosum
  • Range of other organ-specific symptoms