▪ Gross anatomy of auditory and vestibular systems
Utricle, saccule
▪ Mechanisms of sound transmission within the ear
▪ Mechanisms by which vestibular system detects acceleration and orientation
▪ Sensory transduction by hair cells (auditory and vestibular)
▪ Vestibulocochlear nerve (VIII), including testing
▪ Basics of throat anatomy and speech production
▪ Basis of tests to distinguish conductive from sensorineural hearing deficits Identify and explain common deficits
▪ Discuss how sensory deficits can affect learning, social interactions
▪ Discuss how stigma may affect diagnosis and treatment
▪ Communication across a sensory barrier (e.g. people with hearing deficits)
▪ Students should briefly consider (revise) appropriate use of antibiotics
social impact of hearing problems at a young age
▪ Adults may reduce their interactions through lack of feedback from the child
▪ This can then compound problems by delaying/impairing physical and emotional development
▪ Highlights importance of identifying issue early in life
▪ Children may be unlikely to self-advocate, to understand that they have an impairment, or to seek help
▪ Poor language/communication skills can be interpreted as a lack of intelligence
▪ School staff, and parents, may then reduce their expectations of the child, do not expect them to catch up with their peers, and do not imagine possible causes or corrections
Doctors should try to identify underlying causes of impaired language/communication
what does the vestinular system do
whci cells allow it to do these things
The vestibular system detects acceleration (linear/rotational) and gravity, using hair cells
which age group are most prone for ear infections
children
Eustachian / Auditory / Pharyngotympanic Tube
Equalises pressure between atmopshere and middle ear
▪ Opens with yawning/swallowing
▪ Blockage prevents this
▪ Decongestant can help
▪ Descending flight: pinch nose, close mouth, gently try to blow (Valsalva maneouver); forces air to middle ear, equalising pressure
▪ Children have horizontal, narrower tube, reducing drainage and increasing likelihood of infection
how does the vestibular system work?
role of utricle and saccule
Rotational acceleration causes fluid in 3 semicircular ducts to move, which deflects CUPULA, which produces RECEPTOR POTENTIALs in hair cells, which activate vestibular nerve
UTRICLE and SACCULE have hair cells embedded in gel, with calcium carbonate otoconia
Otoliths are weights, which respond to linear acceleration/gravity, and so deflect hair cells
hair cells then activate the vestibular nerve (joins cranial nerve VIII, vestibulocochlear), with vestibular projections going to vestibular nuclei in medulla
hearing can be one of 2 kinds
which 2 tests should you use to distinguish between them
Hearing impairment may be conductive or sensorineural (can distinguish using Rinne [rhymes with ‘dinner’] and Weber tuning fork tests; will be shown in practical), or both (mixed hearing loss)
auditory transduction pathways for conductive and sensorineural conduction pathways
Conduction: Auditory canal → tympanic membrane → ossicles→ cochlea → basilar membrane
Sensorineural: Hair cells → vestibulocochlear nerve → brainstem → auditory cortex
Tympanic membrane detects vibrations in air (within auditory canal) and communicates to ossicular chain in middle ear
what is a grommet
a small tube, inserted into the eardrum and drains fluid discharge from the middle ear to the outer ear- this is a grommet (typically self-extrude within 6 months)
what is the standard therapy for acute otitis media
Amoxicillin
acute otitis media is most likely caused by whichi 2 organisms
chronic otitis media is caused by differnet organisms what are they
Pseudomonas aeruginosa and other Gram-negative non-fermenters
these are not affected by amoxicillin
cholesteatoma
A cholesteatoma is an abnormal, noncancerous skin growth that can develop in the middle section of your ear, behind the eardrum.
It may be a birth defect, but it’s most commonly caused by repeated middle ear infections.
A cholesteatoma often develops as a cyst, or sac, that sheds layers of old skin.
A cholesteatoma is an abnormal destructive soft tissue mass (non-neoplastic keratinous cyst). There is debate about its precise nature, but it is not a tumour (and occurs as a result of chronic inflammation or trauma).
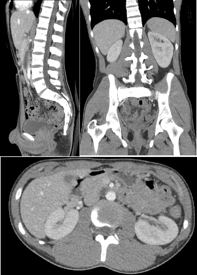
is this a CT or MRI

CT
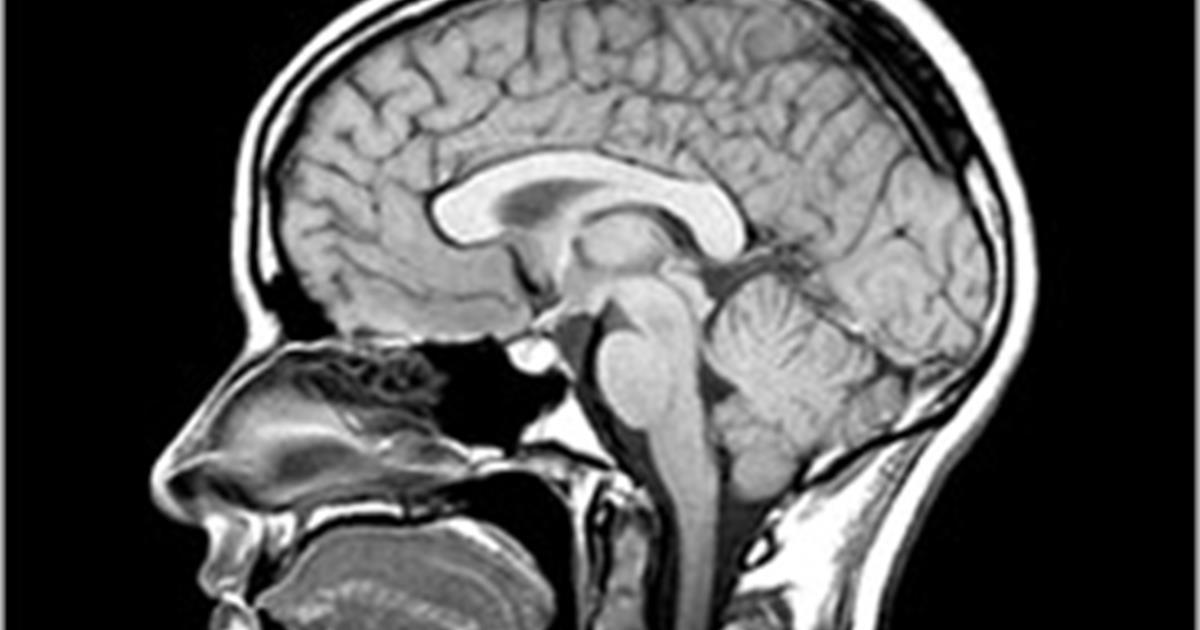
is this a CT or MRI image

How does a hearing aid work?
▪ Does it restore conductive hearing loss or sensorineural? Or Both?
cochlear implants
Cochlear implants can bypass various deficits, including loss of hair cells, and work directly on the cochlear nerve
▪ A microphone device transmits to the implant, which electrically stimulates nerve fibres
▪ It exploits the mapping of sound frequencies along the cochlea
▪ You should consider stigma around hearing aids, for children and adults, with some people being more embarrassed to be seen wearing them, than they are to be seen struggling to follow a conversation
Significance of tegmen thinning
Why could destruction of the tegmen be dangerous?
The tegmen is a thin (vulnerable) bony plate separating middle ear from intracranial space
▪ The cholesteatoma has damaged it, but not (yet) perforated it
▪ Infection could spread intracranially to meninges or brain.
danger of surgery to (parietal bone?)
Acute bacterial infection, if it complicates glue ear, can:
1) Resolve without sequelae
2) Resolve after significant local tissue damage
3) Demonstrate repeated bouts of acute inflammation and damage
4) Lead to chronic inflammation, characterised by a triad of continued tissue damage, continued attempts at tissue repair and continued presence of an inciting agent
You should understand distinction between extradural and intracranial abscess
Extradural: between thick dura mater and bone of the skull vault; on imaging has a biconvex shape
Intracranial: anywhere within the skull vault
This could be epidural, subdural (between the dura and arachnoid mater) or intracerebral
You should consider the pathophysiology of conduction of infection from extra- to intra- dural spaces and the significance of this change
Can happen where infection causesa breach in the dura mater, allowing infection to spread into subdural space
▪ Would be expected to lead to worse prognosis, with higher mortality risk
▪ During surgery, where the Dura is friable (breakable), it may be difficult to assess whether infection has spread further.
No cerebrospinal fluid (CSF) leakage is a good sign that the dura is intact