Urinary Tract Identification Flashcards

(90 cards)

1
Q

Identify the tube G (be specific)

A

Descending limb of loop of henle

How well did you know this?
1
Not at all
2
3
4
5
Perfectly
2
Q

Identify the structure J (be specific)

A

Parietal layer of Bowman’s capsule

How well did you know this?
1
Not at all
2
3
4
5
Perfectly
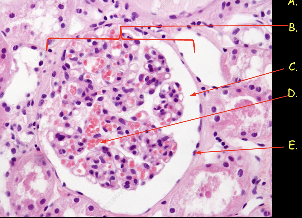
3
Q

Identify the cells B.

A

Macula Densa

How well did you know this?
1
Not at all
2
3
4
5
Perfectly
4
Q

Identify the specific cell type G.

A

podocytes (visceral layer of Bowman’s capsule)

How well did you know this?
1
Not at all
2
3
4
5
Perfectly
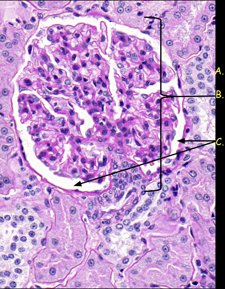
5
Q

Identify the space C.

A

bowman’s capsular space

How well did you know this?
1
Not at all
2
3
4
5
Perfectly
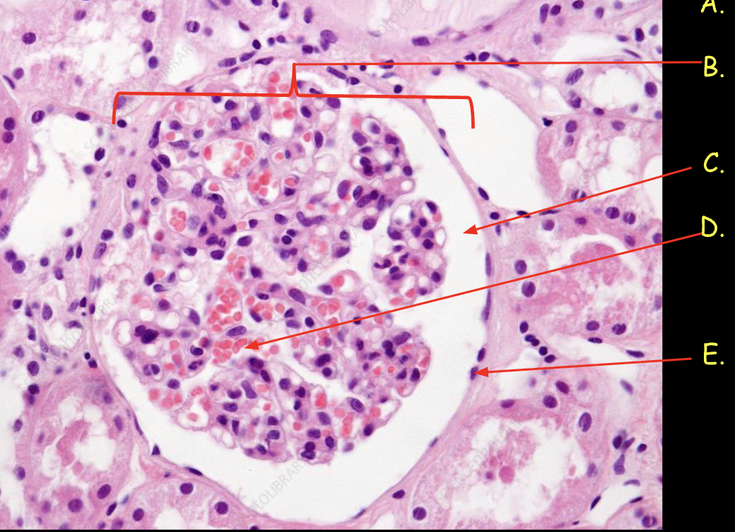
6
Q

Identify the structure B.

A

Renal corpuscle

How well did you know this?
1
Not at all
2
3
4
5
Perfectly
7
Q

Identify the blood vessels A.

A

Peritubular Capillaries

How well did you know this?
1
Not at all
2
3
4
5
Perfectly
8
Q

Identify the space / region D.

A

renal sinus

How well did you know this?
1
Not at all
2
3
4
5
Perfectly
9
Q

Identify the blood vessel J. (be specific)

A

Vasa Recta

How well did you know this?
1
Not at all
2
3
4
5
Perfectly
10
Q

Identify the tube J.

A

Collecting Duct

How well did you know this?
1
Not at all
2
3
4
5
Perfectly
11
Q

Identify the structure B.

A

renal corpuscle

How well did you know this?
1
Not at all
2
3
4
5
Perfectly
12
Q

Identify the structure 2.

A

Parietal layer of Bowman’s capsule

How well did you know this?
1
Not at all
2
3
4
5
Perfectly
13
Q

Identify the structure G.

A

renal pyramid

How well did you know this?
1
Not at all
2
3
4
5
Perfectly
14
Q

Identify the tube (be specific) C.

A

Distal Convoluted Tubule (DCT)

How well did you know this?
1
Not at all
2
3
4
5
Perfectly
15
Q

Identify the tube H.

A

Ureter

How well did you know this?
1
Not at all
2
3
4
5
Perfectly
16
Q

Identify the blood vessels (be specific) H.

A

Peritubular capillaries

How well did you know this?
1
Not at all
2
3
4
5
Perfectly
17
Q

Identify the space I.

A

Bowman’s capsular space

How well did you know this?
1
Not at all
2
3
4
5
Perfectly
18
Q

Identify the blood layer F.

A

Renal Cortex

How well did you know this?
1
Not at all
2
3
4
5
Perfectly
19
Q

Identify the organ.

A

kidney

How well did you know this?
1
Not at all
2
3
4
5
Perfectly
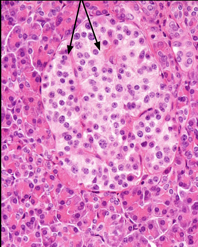
20
Q

Identify the organ and the structure.

A

Pancreas / Pancreatic Islet
(Islet of Langerhans)

How well did you know this?
1
Not at all
2
3
4
5
Perfectly
21
Q

Identify the blood vessel F

A

Efferent Arteriole

How well did you know this?
1
Not at all
2
3
4
5
Perfectly
22
Q

Identify the tube C.

A

Ureter

How well did you know this?
1
Not at all
2
3
4
5
Perfectly
23
Q

Identify the blood vessel 1.

A

Efferent Arteriole

How well did you know this?
1
Not at all
2
3
4
5
Perfectly
24
Q

Identify the blood vessel F.

A

Afferent arteriole

How well did you know this?
1
Not at all
2
3
4
5
Perfectly
25
Identify the region C.
Renal Sinus
26
Identify the structure F.
Renal Pyramid
27
Identify the cells C.
Juxtaglomerular cells (JG cells, granular cells)
28
Identify the cells at 11. Be specific
Macula Densa
29
Identify the tube at I. (be specific)
Collecting Duct
30
Identify the opening E.
hilus
31
Identify the cell type 5.
Podocytes (visceral layer of bowman's capsule)
32
Identify the structure A.
Kidney
33
Identify the tube C.
Collecting Duct
34
Identify the epithelium E.
Parietal layer of bowman's capsule
35
Identify the structure (blood vessels) E.
Glomerulus (glomerular capillaries)
36
Identify the type of nephron I.
Juxtamedullary nephron
37
Identify the apex G.
Renal Papilla
38
Identify the organ and the structure.
Kidney / Renal Corpuscle
39
Identify the tube 4 (beginning)
Proximal Convoluted Tubule (PCT)
40
Identify the tubular structure B.
Nephron (renal tubule)
41
Identify the layer B.
Renal Medulla
42
Identify the blood vessel D.
Efferent Arteriole
43
Identify the type of nephron G.
Cortical Nephron
44
Identify the tiny structure A.
Renal corpuscle
45
Identify the structure C (be specific)
bowman's capsule
46
Identify the tube J. (be specific)
Collecting duct
47
Identify the opening D.
Hilus
48
Identify the layer B.
renal medulla
49
Identify the structure B.
Renal Corpuscle
50
Identify the cells 7 (be specific)
Juxtaglomerular cells (aka JG cells, granular cells)
51
Identify the space C.
bowman's capsular space
52
Identify the blood vessel 8.
Afferent Arteriole
53
The cells at B & C are part of what structure?
Juxtaglomerular apparatus
54
Identify the region D.
Renal Pelvis
55
Identify the structure D (blood vessels)
Glomerulus (glomerular capillaries)
56
Identify the tube E (be specific)
Proximal Convoluted Tubule (PCT)
57
Identify the blood vessels F.
Arcuate Blood Vessels
58
Identify the blood vessel (be specific)
Vasa Recta
59
Identify the tube K. (be specific)
descending limb of loop of Henle
60
Identify the tube (be specific) K.
Proximal convoluted tubule
61
Identify the tube 10.
Distal Convoluted Tubule (DCT)
62
Identify the structure G.
Renal Corpuscle
63
Identify the tube D (be specific)
Proximal Convoluted Tubule (PCT)
64
Identify the structure (blood vessels) H.
Glomerulus (glomerular capillaries)
65
Identify the region E.
Renal Column
66
Identify the space / structure C.
minor calyx
67
Identify the blood vessels D.
Interlobular blood vessels
68
Identify the tube A (be specific).
Distal Convoluted Tubule (DCT)
69
Identify the tube I (be specific).
Ascending limb of loop of henle
70
Identify the structure B.
Renal Corpuscle
71
Identify the blood vessel C.
Afferent Arteriole
72
Identify the blood vessels H.
Arcuate blood vessels
73
Identify the structure 9.
Juxtaglomerular Apparatus
74
Identify the blood vessel A.
afferent arteriole
75
Identify the blood vessel B.
Renal Artery
76
Identify the blood vessel E.
Efferent arteriole
77
Identify the space E.
Major Calyx
78
Identify the layer A.
renal cortex
79
Identify the space 3.
Bowman's capsular space
80
Identify the structure (blood vessels) B.
glomerulus (glomerular capillaries)
81
Identify the space F.
Minor Calyx
82
Identify the tube at H (be specific)
ascending limb of loop of Henle
83
Identify the blood vessel A.
Interlobular Artery
84
Identify the layer A.
Renal Cortex
85
Identify the structure 6 (blood vessels)
Glomerulus (glomerular capillaries)
86
Identify the region H (be specific)
renal column
87
Identify the tube E (be specific)
Distal Convoluted Tubule (DCT)
88
Identify the organ
Kidney
89
Identify the structure D.
Bladder
90
Identify the space / structure F.
major calyx