What are the classic locations for urinary tract stones to occur?
What is the most common type of kidney stone?
Calcium oxalate
What are the different types of stones the can occur in the urinary tract?
What are causes of urinary tract stones?
What are the common causes of hypercalcaemia leading to stone formation?
What are causes of hypercalciuria?
What can cause uric acid stones to form?
How does renal tubular acidosis cause stone formation?
Caused, in part, by the production of a persistently alkaline urine and reduced urinary citrate excretion.
What drugs can cause bladder stones?
How do those with urinary tract calculi present?
Can be asymptomatic:
If someone had an obstruction of the kidney due to stones, where might the pain be?
Felt in the loin, between rib 12 and lateral edge of lumbar muscle
Where might someone experience pain if they had an obstruction caused by a stone of the mid-ureter?
May mimic appendicitis/diverticulitis in terms of location
What features might indicate that a stone is obstructing the lower ureter?
What features might you see in someone who has obstruction of the the bladder/urethra?
What is strangury?
Desire but inability to void
What are people at increased risk of developing if they have urinary stones?
Infection
What is the character of pain experienced in urinary stones?
Colicky pain - tube contracting against obstruction.
Patient is very restless, unable to find comfortable position
What nerve root distribution is implicated in the loin to groin pain experienced in renal colic?
L1 - First lumbar nerve root
What might you find on examination of someone with urinary tract stones?
Usually no tenderness on palpation, however may have:

What investigations would you consider doing in someone with urinary stones?
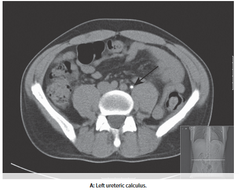
What is a CT-KUB?
CT of kidney, ureter and bladder - best diagnostic test available
What may present similarly to renal stones?
Ruptured AAA
What proportion of stones are visible on X-ray KUB?
80%
Why might you do a urine dipstick?
Check for blood in urine