___________ is a decrease or lack of oxygen. There may or may not be a lack of blood circulation.
Hypoxia/anoxia
__________ is a lack of circulation and perfusion. Always leads to hypoxia.
Ischemia
__________ is an obstruction of blood flow, leading to death of tissue.
Infarction
The most sensitive areas of the brain to ischemic neurons (red neurons) are the _________________ and _________________.
Sommer’s sector of hippocampus
Purkinje cells of the cerebellum
(T/F) Laminar necrosis occurs at border-zone areas. These watershed areas are the first to lose perfusion in case of ischemia, and as such are the first to undergo necrosis.
True.
A(n) ___________________ occurs when occlusion of an artery is incomplete and there is recirculation of blood.
Hemorrhagic infarction
Atherosclerosis and thrombosis most often result in (hemorrhagic infarction/ischemic infarction).
Ischemic infarction
Emboli, vasospasms, extrinsic compression, and reperfusion most often result in (hemorrhagic infarction/ischemic infarction).
Hemorrhagic infarction
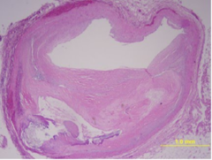
What is shown in the following cross section?

Cross section of atherosclerotic vessel.

What happens to neurons undergoing hypoxia or ischemia for less than 24 hours?
They are red neurons (ischemic neurons).
Tissue undergoing hypoxia or ischemia for more than 24 hours is considered _______________.
Infarcted. The tissue has most likely died.
Infiltration into dead tissue by neutrophils usually occurs in __-__ days following brain infarction.
2 - 7 days
Neutrophils that have entered infarcted tissue are gradually replaced by macrophages over the course of __-__ weeks.
2-3 weeks
_____________ remove dead tissue following a brain infarct.
Macrophages
(T/F) Gliosis following a brain infarction begins and finishes immediately following tissue death.
False. Gliosis occurs gradually over the course of inflammation, neutrophil invasion, and macrophage removal of dead tissue.
Macrophages subside and a cavity is formed, resulting in a cystic space. This process usually occurs around __-__ weeks following a brain infarct.
6-8 weeks
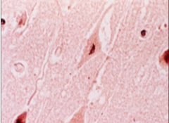
What is shown in the following picture?

Red neurons.

Which area in the following picture is infarcted? Which is not?

Left - Infarcted
Right - Not infarcted

Epidural and subdural hemorrhages are most often caused by (trauma/vascular pathology/both).
Trauma
Intracerebral and subarachnoid hemorrhages are most often caused by (trauma/vascular pathology/both).
Both
The most common cause for an intracerebral hemorrhage is _____________.
Hypertension
The most common two causes for subarachnoid hemorrhages are __________________ and ___________________.
Berry aneurysms and vascular malformations
The most common two causes for cerebral hemorrhages are _________________ and ____________________.
Hypertension and vascular malformations
How does a hemorrhagic infarction compare to a hemorrhage?
Hemorrhagic infarction
Hemorrhage