Ventricular Septal Defect Flashcards

(57 cards)

1
Q

What is the most common Congenital Heart Defect?

A

Ventricular Septal Defect (VSD)

How well did you know this?
1
Not at all
2
3
4
5
Perfectly
2
Q

What is VSD?

A

Congenital hole in septum between ventricles

How well did you know this?
1
Not at all
2
3
4
5
Perfectly
3
Q

What direction is the shunt in VSD? Why?

A
  • L –> R
  • Because pressure in L ventricle > R ventricle
How well did you know this?
1
Not at all
2
3
4
5
Perfectly
4
Q

What are the different types of VSD? (3 things)

A
  1. Very small VSD (aka Restrictive VSD)
  2. Moderate sized VSD
  3. Large VSD
How well did you know this?
1
Not at all
2
3
4
5
Perfectly
5
Q

What happens in a Very small VSD (aka Restrictive VSD)?

A

Blood flow thru VSD so minimal so no significant increase in pulm blood flow

How well did you know this?
1
Not at all
2
3
4
5
Perfectly
6
Q

What happens in a Moderate sized VSD?

A

Blood flow thru VSD great enough to cause increase in pulm blood flow

How well did you know this?
1
Not at all
2
3
4
5
Perfectly
7
Q

What part of heart contraction is the Shunt in VSD happening in?

A

Systole

How well did you know this?
1
Not at all
2
3
4
5
Perfectly
8
Q

What is the pathophysiological steps of Moderate sized VSDs complications? (6 steps)

A
  1. L-R Shunt in systole
  2. Extra blood pumped directly into pulm circulation
  3. So no initial effect on R ventricle
  4. L heart receiving greater volume of blood
  5. L Atrium + Ventricle dilation
  6. Risk of CHF + Arrhythmias + Pulm HTN
How well did you know this?
1
Not at all
2
3
4
5
Perfectly
9
Q

What can the Pulm HTN from VSD lead to in the heart?

A

R ventricle wall hypertrophy as pumping against high pulm pressure

How well did you know this?
1
Not at all
2
3
4
5
Perfectly
10
Q

What is the pathophysiology of Large VSDs complications? (2 steps)

A
  1. Significant amount of blood passing thru L-R shunt
  2. HF + Severe Pulm HTN
How well did you know this?
1
Not at all
2
3
4
5
Perfectly
11
Q

When will you see signs of HF in a Large VSD?

A

After first wks of life

How well did you know this?
1
Not at all
2
3
4
5
Perfectly
12
Q

How do you get CF of HF from VSD? (3 steps)

A
  1. Initially high pulm artery pressure drops
  2. More blood allowed thru L-R shunt –> lungs
  3. Pulmonary Plethora + Cardiomegaly
How well did you know this?
1
Not at all
2
3
4
5
Perfectly
13
Q

How do you get CF of HF from VSD? (3 steps)

A
  1. Initially high pulm artery pressure drops
  2. More blood allowed thru L-R shunt –> lungs
  3. Pulmonary Plethora + Cardiomegaly
Pulm plethora
How well did you know this?
1
Not at all
2
3
4
5
Perfectly
14
Q

What is Pulm Plethora?

A

Appearance of increased pulm perfusion on CXR

How well did you know this?
1
Not at all
2
3
4
5
Perfectly
15
Q

What are the RF for VSD? (6 things)

A
  1. Maternal DM
  2. Maternal rubella (during preg)
  3. Alcohol (–> Foetal alcohol syndrome)
  4. Maternal Phenylketonuria (during preg)
  5. FHx of VSD
  6. Chromosomal abn
How well did you know this?
1
Not at all
2
3
4
5
Perfectly
16
Q

What are the CF of Very Small VSD (aka Restrictive VSD)?

A

Asymptomatic (or mild symptoms)

How well did you know this?
1
Not at all
2
3
4
5
Perfectly
17
Q

When would you even see a Very Small VSD pt?

A

When infant brought to med attention bc systolic murmur detected during routine exam

How well did you know this?
1
Not at all
2
3
4
5
Perfectly
18
Q

What are the CF of Moderate Sized VSD? (3 things)

A
  1. Sweating
  2. Fatigue
  3. Tachypnoea
How well did you know this?
1
Not at all
2
3
4
5
Perfectly
19
Q

When are CF of Moderate Sized VSD especially notable?

A

During feeding

How well did you know this?
1
Not at all
2
3
4
5
Perfectly
20
Q

What age do CF of Moderate Sized VSD appear?

A

2-3 months

How well did you know this?
1
Not at all
2
3
4
5
Perfectly
21
Q

Why do CF of Moderate Sized VSD only appear after 2-3 months?

A

Bc pulm vasc resistance decreases –> increase in L-R shunting

How well did you know this?
1
Not at all
2
3
4
5
Perfectly
22
Q

What are the CF of Large VSDs? (8 things)

A
  1. CHF symptoms
  2. SOB
  3. Feeding problems
  4. Dev issues (aka weight + height)
  5. Freq chest inf
  6. Clubbing
  7. Cyanosis (if Eisenmenger Syndrome develops)
  8. Haemoptysis (severe)
How well did you know this?
1
Not at all
2
3
4
5
Perfectly
23
Q

What murmurs might you hear in VSD? (2 things)

A
  1. Systolic murmur
  2. Diastolic murmur
24
Q

When do Systolic murmurs of VSD occur?

A

Between S1 + S2

25
Where are the Systolic murmurs of VSD heard best?
Lower L sternal border
26
What is the Quality of the Systolic murmur in VSD?
Uniform high pitched
27
Why might you get a Diastolic murmur in VSD?
Increased blood flow thru Mitral valve --> Relative mitral stenosis
28
Where is the Diastolic murmur in VSD best heard?
Apex
29
When do Diastolic murmurs in VSD occur?
Early to mid-diastole
30
What are some differentials that present similarly to VSD? (6 things)
1. Mitral regurg 1. Tricuspid regurg 1. ASD 1. Patent ductus arteriosus 1. Pulmonary stenosis 2. Tetralogy of Fallot
31
How do you differentiate between VSD and Mitral regurg?
Echo
32
How do you differentiate between VSD and Tetralogy of Fallot?
CF of ToF more severe
33
What investigations can you do for sus VSD? (2 things)
1. ECG 1. Bloods
34
What will a ECG show in VSD?
Left or Bilateral Ventricular Hypertrophy
35
What bloods should you do for sus VSD? (3 things)
1. Septic screen (to rule out non-cardiac causes of collapse / deterioration) 1. Kidney function (before starting tx) 1. Microarray (if chromosomal abn sus)
36
What imaging can you do for sus VSD? (4 things)
1. CXR 1. Echo 1. Cardiac CT angiography 1. MRI
37
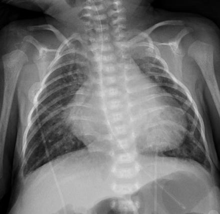
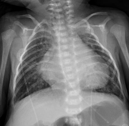
What might you see on a CXR in VSD? (4 things)
1. Cardiomegaly 1. Pulm oedema 1. Pleural effusion 1. Pulm HTN
38
What is the GOLD standard imaging for confirming VSD Dx?
Echo
39
What will the Echo tell you about the VSD? (4 things)
1. Size 1. Location 1. Severity 1. Relation to nearby valves
40
What is an invasive investigation technique for VSD?
Cardiac catheterisation
41
What is the benefits of Cardiac catheterisation in CHDs (VSD)? (4 things)
1. Dx 1. Tx 1. Determine relative pressures + Pulm vasc resistance 1. Determine significance of shunt
42
What does the Mx of VSD depend on?
Size of VSD
43
What are the Mx options for asymptomatic small VSD?
Maintain good hygiene (to reduce risk of inf endocarditis)
44
What are the M EDICAL Mx options for VSD? (4 things)
1. Increased Calories 1. Diuretics 1. ACEi (2nd stage meds after diuretics) 1. Digoxin
45
Why is Increased Calories needed for VSD babies?
Because CHF from VSD will cause them poor feeding
46
How do Diuretics work to manage VSD? (2 steps)
1. Reduces fluid in pulm + systemic circulation 1. Relieves pulm congestion
47
What should you add to minimise Potassium loss with diuretics for VSD?
Spironolactone
48
How do ACEi work to manage VSD? (4 steps)
1. Reduce systemic arterial pressures (afterload reduction) 1. Allow more blood flow thru Aortic valve 1. Less blood flow thru VSD 1. Reduced L-R shunt
49
When you add ACEi to VSD Mx, what other meds should you stop and why?
* Stop Spironolactone * Bc ACEi increase K levels
50
How does Digoxin work to manage VSD? (4 things)
1. Tx CHF 1. Increases heart muscle strength 1. Helps maintain normal heart rhythm 1. Removes excess water from body
51
When is Digoxin indicated in VSD?
Diuretics not adeq relieving CF
52
Do most UK centres use Digoxin in VSD? Why?
No, data on efficacy is controversial
53
When is Surgery indicated for VSD?
@ Qp/Qs = 2+ (pulm-to-systemic blood flow ratio)
54
What are the Surgical Mx options for VSD? (3 things)
1. Surgical repair (open heart surgery) 1. Catheter procedure 1. Hybrid approach
55
What is the Catheter procedure for VSD Mx? (2 steps)
1. Catheter inserted thru femoral artery 1. Mesh device put in to close hole
56
What is the Hybrid approach procedure for VSD Mx? (2 steps)
1. Surgeon creates small access thru LV 1. Interventional cardiologist puts in mesh device
57
What are the Long term Mx options for VSD? (2 things)
1. Maintain good dental hygiene 1. Avoid non-medical procedures (piercing / tattoos) (to reduce inf endocarditis risk)