What is tela choroidae?
Penetrating choroidal artery with invaginating pia mater, vascular bundle and efferent choroidal vein

From what is the choroid plexus formed?
Tela choroidae covered by ependymal cells
How does choroid plexus functionally produce CSF?
Ependymal cells lining tela choroidea have active secretory Na pumps
Cl follows the Na passively to maintain electroneutrality.
H2O is pulled with it.
Ependymal cells also possess glucose transporters and can transport glucose from blood but these are less effective, therefore CSF [glucose] < [serum glucose]
Rough [csf glucose] : [serum glucose]
0.66 : 1
Which substances are transported from csf to the vascular tuft of the tela choroidae?
K
What is the name for the distal dilatation of the spinal canal?
Terminal ventricle
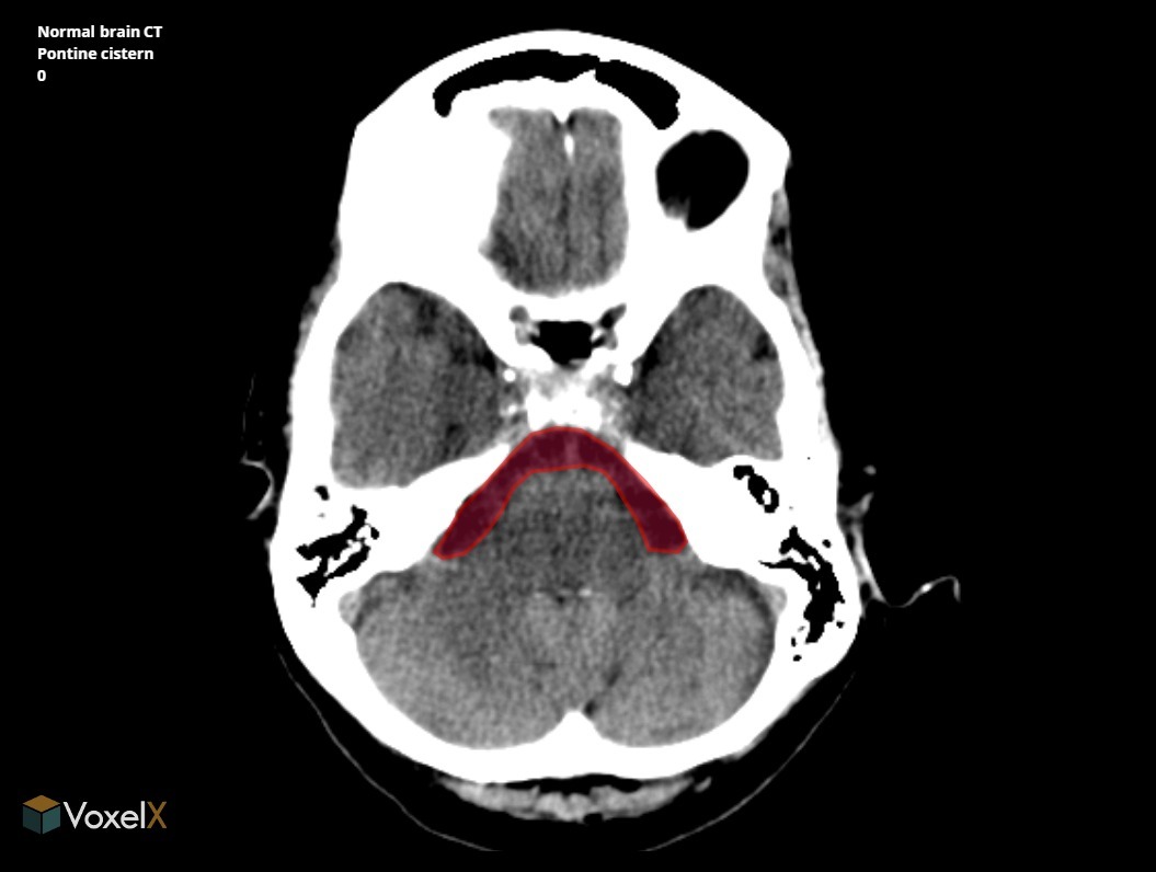
What is the name of the dilatated subarachnoid space into which foramen luschke open?
(Cerebello)Pontine cistern

Into which subarachnoid swelling does the foramen Magendie open?
Cerebellomedullary cistern (cisterna magna)

In which portion of the lateral ventricle is the foramen of Monro found?
Body of lateral ventricle
How low does the subarachnoid space extend?
S2
What are the names of the two layers of dura mater?
Periosteal layer
Meningeal layer
What cell type lines dural venous sinsus?
Endothelium
What is an arachnoid granulation
Macroscopic view of arachnoid mater projecting into dural venous sinuses as arachnoid villi.
How does CSF move through arachnoid villi to venous drainage?
Via vesicular channels between endothelial cells
What are the key functions of CSF?
Cushion of protection
Buoyancy
Reservoir regulating intracranial contents/pressure
Nourishment
Metabolic waste removal
Hormone transport
What is the weight of brain when suspended in CSF?
50g
What is the mechanism through which raised ICP causes projectile vomiting?
Traction on vagus nerves
Leptomeninges=
Pia and arachnoid mater
Colour of normal CSF
Clear
Cellular composition of normal CSF
Lymphocytes- <5/mm^3
No RBC
No neutrophils
Glucose in normal CSF
[2/3 serum]
As less efficiently transported
Normal level of protein in CSF
<0.4g/L
Colour of CSF
in pyogenic bacterial meningitis
Yellow/turbid
Colour of CSF
in TB meningitis
Turbid +/- fibrin web