Ventricular System COPY Flashcards

(143 cards)

1
Q

What is tela choroidae?

A

Penetrating choroidal artery with invaginating pia mater, vascular bundle and efferent choroidal vein

How well did you know this?
1
Not at all
2
3
4
5
Perfectly
2
Q

From what is the choroid plexus formed?

A

Tela choroidae covered by ependymal cells

How well did you know this?
1
Not at all
2
3
4
5
Perfectly
3
Q

How does choroid plexus functionally produce CSF?

A

Ependymal cells lining tela choroidea have active secretory Na pumps

Cl follows the Na passively to maintain electroneutrality.

H2O is pulled with it.

Ependymal cells also possess glucose transporters and can transport glucose from blood but these are less effective, therefore CSF [glucose] < [serum glucose]

How well did you know this?
1
Not at all
2
3
4
5
Perfectly
4
Q

Rough [csf glucose] : [serum glucose]

A

0.66 : 1

How well did you know this?
1
Not at all
2
3
4
5
Perfectly
5
Q

Which substances are transported from csf to the vascular tuft of the tela choroidae?

A

K

How well did you know this?
1
Not at all
2
3
4
5
Perfectly
6
Q

What is the name for the distal dilatation of the spinal canal?

A

Terminal ventricle

How well did you know this?
1
Not at all
2
3
4
5
Perfectly
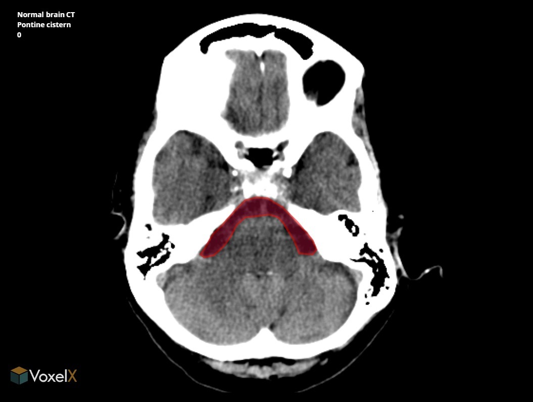
7
Q

What is the name of the dilatated subarachnoid space into which foramen luschke open?

A

(Cerebello)Pontine cistern

How well did you know this?
1
Not at all
2
3
4
5
Perfectly
8
Q

Into which subarachnoid swelling does the foramen Magendie open?

A

Cerebellomedullary cistern (cisterna magna)

How well did you know this?
1
Not at all
2
3
4
5
Perfectly
9
Q

In which portion of the lateral ventricle is the foramen of Monro found?

A

Body of lateral ventricle

How well did you know this?
1
Not at all
2
3
4
5
Perfectly
10
Q

How low does the subarachnoid space extend?

A

S2

How well did you know this?
1
Not at all
2
3
4
5
Perfectly
11
Q

What are the names of the two layers of dura mater?

A

Periosteal layer

Meningeal layer

How well did you know this?
1
Not at all
2
3
4
5
Perfectly
12
Q

What cell type lines dural venous sinsus?

A

Endothelium

How well did you know this?
1
Not at all
2
3
4
5
Perfectly
13
Q

What is an arachnoid granulation

A

Macroscopic view of arachnoid mater projecting into dural venous sinuses as arachnoid villi.

How well did you know this?
1
Not at all
2
3
4
5
Perfectly
14
Q

How does CSF move through arachnoid villi to venous drainage?

A

Via vesicular channels between endothelial cells

How well did you know this?
1
Not at all
2
3
4
5
Perfectly
15
Q

What are the key functions of CSF?

A

Cushion of protection

Buoyancy

Reservoir regulating intracranial contents/pressure

Nourishment

Metabolic waste removal

Hormone transport

How well did you know this?
1
Not at all
2
3
4
5
Perfectly
16
Q

What is the weight of brain when suspended in CSF?

A

50g

How well did you know this?
1
Not at all
2
3
4
5
Perfectly
17
Q

What is the mechanism through which raised ICP causes projectile vomiting?

A

Traction on vagus nerves

How well did you know this?
1
Not at all
2
3
4
5
Perfectly
18
Q

Leptomeninges=

A

Pia and arachnoid mater

How well did you know this?
1
Not at all
2
3
4
5
Perfectly
19
Q

Colour of normal CSF

A

Clear

How well did you know this?
1
Not at all
2
3
4
5
Perfectly
20
Q

Cellular composition of normal CSF

A

Lymphocytes- <5/mm^3

No RBC

No neutrophils

How well did you know this?
1
Not at all
2
3
4
5
Perfectly
21
Q

Glucose in normal CSF

A

[2/3 serum]

As less efficiently transported

How well did you know this?
1
Not at all
2
3
4
5
Perfectly
22
Q

Normal level of protein in CSF

A

<0.4g/L

How well did you know this?
1
Not at all
2
3
4
5
Perfectly
23
Q

Colour of CSF

in pyogenic bacterial meningitis

A

Yellow/turbid

How well did you know this?
1
Not at all
2
3
4
5
Perfectly
24
Q

Colour of CSF

in TB meningitis

A

Turbid +/- fibrin web

How well did you know this?
1
Not at all
2
3
4
5
Perfectly
25
Colour of CSF in viral meningitis
Clear
26
Cell count in Pyogenic bacterial meningitis
High levels of neutrophils Low lymphocytes (acute rather than chronic inflammation)
27
Cell profile in TB meningitis
Low neutrophils (chronic rather than acute inflammation) High lymphocytes
28
Cell profile in viral meningitis
Low neutrophils (chronic rather than acute inflammation) High lymphocytes
29
Glucose level in pyogenic meningitis
[\<50% serum] Bacteria use glucose
30
Glucose level in TB meningitis
[\<50% serum] Bacteria use glucose
31
Glucose level in viral meningitis
[\>50% serum glucose]
32
Protein in pyogenic bacterial meningitis
Increased significantly
33
Protein in TB meningitis
Significantly increased
34
Protein in viral meningitis
\<=1g/L
35
Def: Hydrocephalus
Excessive CSF within cranial cavity
36
Causes of hydrocephalus in simple terms
Excess production Abnormal circulation Impaired drainage
37
Causes of excessive CSF production?
Choroid plexus papilloma
38
Non-communicating hydrocephalus
(Obstructive) CSF from within the ventricular system is not able to communicate with subarachnoid space
39
Communicating hydrocephalus
CSF able to flow from ventricular system to subarachnoid space
40
Queckenstedt's Test
Test for spinal blockage of CSF using lumbar manometer With occlusion of IJV manually, there should be increase in CSF pressure. If there is no increase this indicates blockage of the spinal subarachnoid space Positive if abnormal- i.e. no increase in CSF pressure with IJV occlusion
41
What constitutes blood-CSF barrier?
Tight junctions between choroidal epithelial cells (in contrast to BBB which is due to tight junctions between endothelial cells)
42
Macroscopic appearance of ependyma
The distinctive, shiny white appearance
43
Embryological associations of the CSF ventricles
Lateral-\> telencephalon Third-\> diencephalon Fourth- rhombencephalon
44
What is the embryological precursor to the aqueduct of Sylvius?
The lumen of the mesencephalon
45
Def: Frontal horn
The portion of the lateral ventricle anterior to the foramen of Monro continuous posteriorly with the body of the lateral ventricle.
46
If no choroid plexus is seen on entering the lateral ventricle, what is the likely location of the endoscope?
Anterior horn as there is no choroid plexus
47
Location of the body of the lateral ventricle
Predominantly in the parietal lobe Continuous anteriorly with the frontal horn and posteriorly with the atrium Extends from the foramen of Monro anteriorly to the limit of the septum pellucidum posteriorly
48
What is the limit of the septum pellucidum posteriorly
Where the fornix fuses with the corpus callosum
49
What divides the caudate from the thalamus in the lateral ventricle?
The caudothalamic grooove (striothalamic sulcus) Contains the stria terminalis and thalamostriate vein
50
What is the benefit of identifying the choroid plexus when in the lateral ventricle?
Following it anteriorly will reliably lead to the foramen of Monro
51
Comminucations of the atrium (trigone)
Anterosuperiorly-\> body Anteroinferiorly-\> temporal horn Posteriorly-\> occipital horn
52
Medial wall of the atrium
Superiorly the bulb of the corpus callosum inferiorly the calcar avis (which overlies the calcarine sulcus)
53
Lateral wall of the atrium
Caudate nucleus and the tapetum of the corpus callosum
54
Floor of the atrium
Collateral trigone, which overlies the collateral sulcus
55
Roof of the atrium
Corpus callosum
56
Where is the most voluminous colloid plexus in the brain found?
In the atrium and is referred to as the choroid glomus which may contain benign, incidental choroid cysts and often becomes calcified with age
57
Boundaries of the temporal horn Floor
Made up of the hippocampus medially and the collateral eminence laterally
58
Floor of the third ventricle
Bounder anteriorly by the optic chiasm and posteriorly by the opening of the cerebral aqueduct. From A-\>P: Optic chiasma, infundibulum, tuber cinereum, mamillary bodies, posterior perforated substance and mesencephalon.
59
Recesses of the third ventricle
Chiasmatlc recess into the angle formed by the attachment of the chiasm to the anterior wall Infundibular recess Bulging or rounding out of these recesses is an early indicator of HCP
60
What is the surgically important area of the floor of the third
Between the hypothalamus and the tuber cinereum
61
Roof of the third
Curves from the foramen of Monro to the suprapineal recess Most superior layer of the roof is formed by the fornix, tela choroidea and blood vessels form the inferior layers
62
Tela choroidea
Two thin layers of pia mater sandwiching the medial posterior choroidal arteries and the internal cerebral veins in a space called the velum interpositum
63
Anterior wall of the third
Foramen of Monro superiorly Anterior commissure Lamina terminalis Optic recess Optic chiasm
64
Posterior wall of the third
Suprapineal recess The commissure of the habenula Body of the pineal and its associated recess Posterior commissure and the mesencephalic opening of the aqueduct.
65
Lateral wall of the third
Made up of the thalamus and hypothalamus which are demarcated by the hypothalamic sulcus
66
What is the prevalence of the massa intermedia?
Absent in up to 25%
67
Vertical divisions of the floor of the fourth
Divided into two lateral halves by the median sulcus Sulcus limitans is lateral to median sulcus and the medial eminences run between these
68
Three triangles of the lower part of the fourth
Hypoglossal triangle Vagal triangle Area postrema
69
Location of the vestibular area in the floor of the fourth?
Lateral to medial eminence
70
What demarcates the superior and inferior triangles in the floor of the fourth?
Striae medullares which contains cochlear fibres
71
What makes up the cranial portion of the roof of the fourth?
Superior cerebellar peduncles and their interconnecting superior medullary velum
72
What makes up the caudal roof of the fourth ventricle?
Consists of ependymal and non-neural inferior medullary velum with a layer of tela choroidea
73
Use of anterior transcallosal approach
The anterior portion of the lateral ventricle Access to third ventricle
74
Advantages of the anterior transcallosal approach
Avoids cortical incision Reduces risk of seizures and cortical deficit Feasible even with small or normal ventricles Allows access to both ventricles
75
Disadvantages of anterior transcallosal approach
Potential injury to falcine bridging veins Relatively narrow working corridor Disconnection-type syndromes are extremely rare
76
Beta-transferrin
Transferrin isomer found in CSF and inner ear perilymph Positive in CSF leak (though may also suggest perilymph leak if otorrhoea)
77
Ions in CSF compared to plasma
Same Na, osmolarity Increased Cl Reduced K, Ca, uric acid and glucose
78
Froin's Syndrome
CSF xanthochromia High protein Coagulation (due to presence of fibrinogen) Occurs when CSF loculated, usually in the lumbar thecal sac Can be caused by dural irritation, blockage of CSF flow by tumour or abscess
79
Normal CSF glucose
2/3rds of serum normal CSF glucose levels lie between 2.5 and 4.4 mmol/L
80
CSF specific gravity
1.007
81
CSF pH
7.33-7.35
82
Traumatic tap cell count
700 RBCs per 1 WBC
83
Sites of CSF production
70% choroid plexus 18% ultrafiltrate 12% H2O production from metabolism
84
Control of CSF production
Raphe nuclei send axons (5HT) to the periependymal vessels
85
Factors causing decreased CSF production
Carbonic anhydrase inhibitors Noradrenaline
86
Factors causing increased CSF production
Volatile anaesthetics Increased CO2
87
CSF volume within ventricles
25mL
88
Location of choroid plexus
Roof of fourth Inferior medullary velum and lateral recess to the foramen of Luschka Posterior roof of third Floors of the bodies and roofs of the temporal horns of the lateral ventricles
89
CSF production ml/min
0.3-0.37
90
Normal ICP in adults
5-15mmHg
91
Normal ICP in younger children
3-8mmHg
92
Normal ICP in infants
1.5-6mmHg
93
Constituents of BBB
Capillary endothelial tight junctions Pinocytic activity in endothelial cells Astrocytic foot processes
94
Mechanisms of molecular movement across the BBB
Diffusion Carrier-mediated transport Active transport
95
BBB highly permeable to which substances?
H2O CO2 O2 Lipid-soluble drugs e.g. ETOH, barbiturates, heroin, anaesthetics
96
BBB slightly permeable to which substances
Ions Na, Cl, K
97
BBB Impermeable to which substances?
Plasma proteins Protein bound molecules Large organic molecules L-glucose
98
Def: Circumventricular organ
Midline ventricular system structures of specialised tissues with absent BBB due to fenestrated capillaries
99
Circumventricular organs from rostral-\>caudal
Organum vasculosum (lamina terminalis) Neurohypophysis Median eminence of hypothalamus Subfornical organ Subcommisural organ Pineal gland Area postrema
100
Function: Organum vasculosum
Outlet for hypothalamic peptides Detects peptides, amino acids and proteins in blood
101
Function: Neurohypophysis
Outlet for hypothalamic hormones (vasopressin and oxytoxin)
102
Function: Median eminence of hypothalamus
Release hypothalamic releasing factors
103
Function: Subfornical organ
May be involved in body fluid regulation Located between the foramina of Monro Connected to choroid plexus
104
Function; Pineal gland
Melatonin production Role in circadian rhythm
105
Function: Subcommissural organ
Unknown Only circumventricular organ with intact BBB
106
Function: Area postrema
Chemoreceptor that induces emesis when stimulated by digitalis or apomorphine Floor of fourth ventricle Only paired circumventricular organ
107
Taenia choroidea
2 narrow bands of WM one on either side, which complete the lower part of the roof of the fourth ventricle. Each consists of a vertical and a horizontal part. The vertical part is continuous below the obex with the gracile nucleus, to which it is adherent by its lateral border. The horizontal portion extends transversely across the inferior peduncle, below the striæ medullares, and roofs in the lower and posterior part of the lateral recess Attached by its lower margin to the inferior peduncle, and partly encloses the choroid plexus, which, however, projects beyond it like a cluster of grapes; and hence this part of the tænia has been termed the cornucopia.
108
CSF xanthochromia High protein Coagulation (due to presence of fibrinogen) Occurs when CSF loculated, usually in the lumbar thecal sac Can be caused by dural irritation, blockage of CSF flow by tumour or abscess
Froin's Syndrome
109
Boundaries of the frontal horn of the lateral ventricle Anterior wall
Anterior wall: genu of the corpus callosum
110
Boundaries of the frontal horn of the lateral ventricle Floor
Rostrum of corpus callosum
111
Boundaries of the frontal horn of the lateral ventricle Roof
Genu of corpus callosum
112
Boundaries of the frontal horn of the lateral ventricle Lateral wall
Head of caudate nucleus
113
Boundaries of the frontal horn of the lateral ventricle Medial wall
Septum pellucidum
114
Border of body of lateral ventricle Roof
Body of the corpus callosum
115
Borders of the body of lateral ventricle Medial wall
Continuation of the septum pellucidum in upper part and fornix in the lower
116
Borders of the body of lateral ventricle Floor
Sloping from lateral to medial: Body of caudate Thalamus Choroid plexus Body of fornix
117
Borders of the body of lateral ventricle Lateral wall
Caudate nucleus
118
Boundaries of the temporal horn Roof
Lateral roof formed by tapetum Medial roof is the inferior thalamus, caudate tail and intervening caudothalamic groove
119
Boundaries of the temporal horn Lateral wall
Tapetum
120
Boundaries of the temporal horn Medial
Choroidal fissure
121
Boundaries of the temporal horn Anterior
Amygdaloid nucleus
122
Location of crural cistern
Between uncus and crus cerebri at ventrolateral aspect of midbrain
123
Contents of crural cistern
Anterior choroidal artery Medial posterior choroidal artery Basal vein of Rosenthal
124
Contents of cisterna magna
VA and PICA origin 9/10/11/12 Choroid plexus
125
Prepontine cistern contents
BA AICA origin SCA origin CN6
126
CP cistern contents
5 7/8 AICA Petrosal vein
127
Communication of interpeduncular cistern
With Ambient With PComm cistern Prepontine and cerebellopontine cisterns
128
Division of the interpeduncular cistern
BA bifurcation divides cistern into deep and superficial portions Superficial portion adjoins CN3 and deep communicates with ambient cistersn Deep subdivided by posterior perforated membrane- anterior and posterior areas
129
Contents of interpeduncular cistern
Arteries: BA bifurcation PCA SCA PCA perforators PComm Veins: Basal vein of Rosenthal Nerves: 3
130
Contents of chiasmatic cistern
Anterior aspect of chiasm and optic nerves Hypophyseal stalk ACA origin
131
Contents of carotid cistern
ICA Anterior choroidal PComm
132
Sylvian cistern contents
MCA Middle cerebral veins Fronto-orbital veins Collaterals to vein of Rosenthal
133
Contents of lamina terminalis cistern
ACA (A1 and A2) AComm Heubner's Hypothalamic Fronto-orbital arteries
134
Quadrigeminal cistern contents
Arteries: The third portion of SCA Posterior pericallosal PCA perforators P3 Medial posterior choroidal Veins: VoG
135
Contents of the ambient cistern
Supratentorial portion: Basal vein of Rosenthal PCA Infratentorial portion: SCA 4
136
Anterior border of atrium + occipital horn of lateral ventricle
Crus of fornix medially Pulvinar of thalamus laterally
137
Medial border of atrium + occipital horn of lateral ventricle
Forceps major of corpus callosum superiorly Calcar avis inferiorly
138
Lateral border of atrium + occipital horn of lateral ventricle
Caudate nucleus Fibres of tapetum
139
Inferior border of atrium + occipital horn of lateral ventricle
Collateral trigone
140
Blood supply of choroid plexus in the body of lateral ventricle
From medial posterior choroidal arteries passing forward through velum interpositum
141
4 layers of tissue between body of lateral ventricle and third
fornix, upper layer of tela, velum interpositum (containing medial posterior choroidal arteries, internalcerbral veins), lower layer of tela
142
Which side does Rhoton suggest opening when opening choroidal fissure
Forniceal side- allow thalamus and choroid to on other side to reduce traction on thalamus and risk of thalamic venous infarction
143