VM craniofacial development Flashcards

(41 cards)

1
Q

what process is this?

A

mandibular process

How well did you know this?
1
Not at all
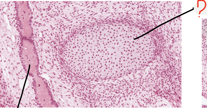
2
3
4
5
Perfectly
2
Q

what process is this?

A

maxillary process

How well did you know this?
1
Not at all
2
3
4
5
Perfectly
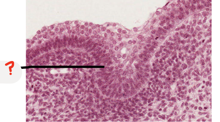
3
Q
A

developing tooth -> dental lamina and tooth germ

How well did you know this?
1
Not at all
2
3
4
5
Perfectly
4
Q
A

meckel’s cartilage

How well did you know this?
1
Not at all
2
3
4
5
Perfectly
5
Q
A

tongue

How well did you know this?
1
Not at all
2
3
4
5
Perfectly
6
Q
A

palatal shelves

How well did you know this?
1
Not at all
2
3
4
5
Perfectly
7
Q
A

maxillary nerve trunk

How well did you know this?
1
Not at all
2
3
4
5
Perfectly
8
Q

what is this and its function?

A

nasal capsule

primitive support

How well did you know this?
1
Not at all
2
3
4
5
Perfectly
9
Q
A

dental lamina

How well did you know this?
1
Not at all
2
3
4
5
Perfectly
10
Q

what is this structure?

A

nerve trunk

no nuclei in axons as they are in cell bodies that are miles away in the trigeminal ganglion, nuclei we do see are supporting cells

How well did you know this?
1
Not at all
2
3
4
5
Perfectly
11
Q

what structures are derived from meckel’s cartilage?

A

Malleus, mandible, sphenomandibular ligament and sphenomalleolar ligament

How well did you know this?
1
Not at all
2
3
4
5
Perfectly
12
Q

what structures are derived from the nasal capsule?

A

Midline nasal septum and ethmoid bones

How well did you know this?
1
Not at all
2
3
4
5
Perfectly
13
Q

predict what age the embryo is, why?

A

Week 7 as palatal shelves down lateral tongue and tongue takes up most of the space
Week 6 is when see the first evidence of tooth development

How well did you know this?
1
Not at all
2
3
4
5
Perfectly
14
Q

compare the histology of the different structures

A
How well did you know this?
1
Not at all
2
3
4
5
Perfectly
15
Q
A

palatal shelves

How well did you know this?
1
Not at all
2
3
4
5
Perfectly
16
Q
A

tongue

How well did you know this?
1
Not at all
2
3
4
5
Perfectly
17
Q
A

meckel’s cartilage

18
Q
A

early tooth development

19
Q
A

maxillary nerve trunk

20
Q
A

nasal capsule

21
Q

what is the line pointing at?

A

bone formation

22
Q

what age is this specimen? why?

A

Week 8, palatal shelves elevated but not fused yet

23
Q

which forms first maxilla or mandible?

24
Q

mandibular process

A

meckel’s cartilage

25
mandibular process
developing mandible
26
what is this structure at the base of the nasal capsule?
developing vomer dark cells are osteoblasts making bone
27
note this
28
what is this?
Nasal capsule is made up of cartilage -> nasal septum is part of it
29
what is this in the maxillary process?
maxillary nerve trunk
30
tooth germ
31
maxillary nerve trunk
32
palatal shelves
33
tooth germ
34
meckel's cartilage
35
developing mandible
36
inferior alveolar nerve
37
this will be the sulcus
38
look at this inferior alveolar nerve next to the developing mandible
39
what are these?
Remnants of nasal capsule
40
Condensed ectomesenchymal cells that will make dentine and pulp
41
Epithelial cells that will form ameloblasts and make enamel