VM Tooth Eruption Flashcards

(72 cards)

1
Q

what stage is this tooth germ?

A

cap stage

How well did you know this?
1
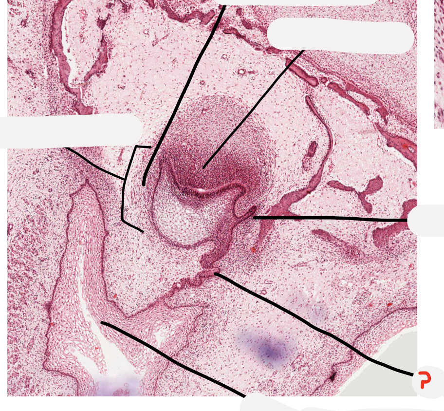
Not at all
2
3
4
5
Perfectly
2
Q
A

dental papilla

How well did you know this?
1
Not at all
2
3
4
5
Perfectly
3
Q
A

dental lamina

How well did you know this?
1
Not at all
2
3
4
5
Perfectly
4
Q
A

enamel organ

How well did you know this?
1
Not at all
2
3
4
5
Perfectly
5
Q

what stage of tooth development is this tooth germ?

A

bud stage

How well did you know this?
1
Not at all
2
3
4
5
Perfectly
6
Q
A

vestibular lamina

How well did you know this?
1
Not at all
2
3
4
5
Perfectly
7
Q
A

dental papilla

How well did you know this?
1
Not at all
2
3
4
5
Perfectly
8
Q

what stage of tooth development is this tooth germ?

A

cap stage

How well did you know this?
1
Not at all
2
3
4
5
Perfectly
9
Q
A

infraorbital nerve

How well did you know this?
1
Not at all
2
3
4
5
Perfectly
10
Q
A

inferior nasal concha

How well did you know this?
1
Not at all
2
3
4
5
Perfectly
11
Q
A

palatal process of developing maxillary bone

How well did you know this?
1
Not at all
2
3
4
5
Perfectly
12
Q
A

alveolus of developing maxillary bone

How well did you know this?
1
Not at all
2
3
4
5
Perfectly
13
Q
A

enamel organ

How well did you know this?
1
Not at all
2
3
4
5
Perfectly
14
Q
A

dental follicle

How well did you know this?
1
Not at all
2
3
4
5
Perfectly
15
Q
A

dental papilla

How well did you know this?
1
Not at all
2
3
4
5
Perfectly
16
Q
A

successional lamina

How well did you know this?
1
Not at all
2
3
4
5
Perfectly
17
Q
A

dental lamina

How well did you know this?
1
Not at all
2
3
4
5
Perfectly
18
Q
A

vestibular lamina

How well did you know this?
1
Not at all
2
3
4
5
Perfectly
19
Q
A

inner enamel epithelium

How well did you know this?
1
Not at all
2
3
4
5
Perfectly
20
Q
A

stratum intermedium

How well did you know this?
1
Not at all
2
3
4
5
Perfectly
21
Q
A

successional lamina

How well did you know this?
1
Not at all
2
3
4
5
Perfectly
22
Q
A

stellate reticulum

How well did you know this?
1
Not at all
2
3
4
5
Perfectly
23
Q
A

outer enamel epithelium

How well did you know this?
1
Not at all
2
3
4
5
Perfectly
24
Q

what stage of tooth development is this tooth germ?

A

crown stage

hard tissue formation

How well did you know this?
1
Not at all
2
3
4
5
Perfectly
25
dental lamina
26
cell rests and nests
27
successional dental lamina
28
inner enamel epithelium
29
stellate reticulum
30
outer enamel epithelium
31
oral epithelium
32
collagen = blue
33
enamel organ = epithelium
34
dental papilla
35
dental follicle
36
alveolar bone
37
what are cell rests and nests?
residual epithelium have the potential to develop into cysts
38
stratum intermedium
39
ameloblasts
40
stellate reticulum
41
alveolar bone
42
dental papilla
43
cervical loop
44
dental follicle
45
enamel organ
46
oral epithelium
47
successional dental lamina
48
alveolar bone
49
what gives the prismatic structure of enamel?
Tomes process and direction of retreat of ameloblasts
50
initial predentine formation
51
maturing inner enamel epithelium
52
mineralised dentine fusion of calcospherites -> fuse globularly
53
Initial enamel formation
54
whats happening here
Outer epithelium folds around capillary beds New blood supply for ameloblasts
55
Stellate reticulum thickness decreases
56
Space between enamel and dentine due to the way the section is prepared as it is a calcified structure, so it is taken off.
57
what is the order of primary tooth development?
abdce
58
alveolar bone
59
successional dental lamina
60
what tooth is this?
6
61
what tooth is this?
e
62
what tooth is this?
D
63
what tooth is this?
c
64
what tooth is this?
B
65
A
66
stratum intermedium
67
dental follicle
68
outer enamel epithelium
69
successional tooth germ
70
enamel
71
ameloblasts - matured inner enamel epithelium
72
stellate reticulum