Volvulus Flashcards

(18 cards)

1
Q

Define volvulus.

A

A volvulus is when a loop of intestine twists around itself and the mesentery that supports it, resulting in a bowel obstruction.

The affected bowel can become ischaemic rapidly leading to bowel necrosis and perforation.

How well did you know this?
1
Not at all
2
3
4
5
Perfectly
2
Q

Where do volvuli occur?

A
  1. Most at the sigmoid colon (80%) → large bowel obstruction
  2. Caecum (~20%) - in most people the caecum is retroperitoneal so not at risk of twisting but in 20% it is not retroperitoneal
  3. Midgut

They can also occur at the stomach, caecum, small intestine and transverse colon, but are much rarer.

How well did you know this?
1
Not at all
2
3
4
5
Perfectly
3
Q

Why is sigmoid volvulus most common?

A

The sigmoid colon has a long mesentery which increases with age making it prone to twisting on its mesenteric base

How well did you know this?
1
Not at all
2
3
4
5
Perfectly
4
Q

What type of colon do you usually get in sigmoid volvulus?

A

acquired or idiopathic megacolon (large, elongated, relatively atonic colon)

How well did you know this?
1
Not at all
2
3
4
5
Perfectly
5
Q

What are some general risk factors for volvulus?

A
  • Age
  • Chronic constipation (e.g. Hirschsprung disease) or laxative use - in the elderly big stool can act like a pivot around which the colon twists
  • Previous abdominal operations - adhesions serve as pivot point
  • Intestinal malformation or excessive exercise (in young patients)
  • Pregnancy - fetus can cause displacement and twisting of the colon
How well did you know this?
1
Not at all
2
3
4
5
Perfectly
6
Q

What are the risk factors for sigmoid volvulus?

A
  • older patients
  • chronic constipation
  • Chagas disease
  • neurological conditions e.g. Parkinson’s disease, Duchenne muscular dystrophy
  • psychiatric conditions e.g. schizophrenia
How well did you know this?
1
Not at all
2
3
4
5
Perfectly
7
Q

What are the risk factors for caecal volvulus?

A
  • all ages
  • adhesions
  • pregnancy
How well did you know this?
1
Not at all
2
3
4
5
Perfectly
8
Q

Which type of volvulus do babies commonly get and why?

A

Midgut volvulus - as a result of abnormal intestinal development in foetus i.e. when in embryonic development the appendix and caecum stay in the RUQ instead of descending → midgut volvulus

How well did you know this?
1
Not at all
2
3
4
5
Perfectly
9
Q

What are the consequences of volvulus?

A
  • Bowel pinched shut → obstruction
  • Mesentery can be twisted and blood supply cut off → infarction → bloating, constipation, severe pain, bloody stool and SEPSIS
How well did you know this?
1
Not at all
2
3
4
5
Perfectly
10
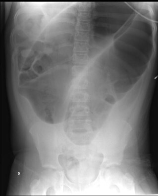
Q

What investigations should you do for volvulus?

A

AXR - usually DIAGNOSTIC - sigmoid looks like COFFEE BEAN in LIF; if the ileocaecal valve is incompetent, the AXR will also show signs of small bowel dilatation. In caecal there will be small bowel dilatation.

How well did you know this?
1
Not at all
2
3
4
5
Perfectly
11
Q

What is the management of obstruction in a patient in A&E?

A

NBM

Analgesia

IV fluids

NG Ryles tube - drip and suck

IV abx

Refer to surgeons +/- request CT

How well did you know this?
1
Not at all
2
3
4
5
Perfectly
12
Q

How is volvulus usually managed?

A

Decompression

  • Sigmoid volvulus → RIGID sigmoidoscopy with rectal tube insertion
  • Caecal volvulus → usually SURGICAL but occasionally colonoscopy can be used

Flatus tube is usually left for 24hrs after decompression but usually unsuccessful and flexible sigmoidoscopy must be inserted

Surgery - for midgut volvulus - within 2 days or immediately is bowel severely twisted/blood supply cut off. Normally involved untwisting of colon and attaching intestine to abdominal wall. In severe cases (e.g. infarction) pieces of intestine should be removed → stoma (loop ileostomy)

How well did you know this?
1
Not at all
2
3
4
5
Perfectly
13
Q

What are the symptoms of volvulus?

A
  • Sudden onset colicky pain in lower abdomen
  • Bloating
  • Failure to pass flatus or stool
  • Constipation
  • Vomiting (late)
  • Fever (late)
How well did you know this?
1
Not at all
2
3
4
5
Perfectly
14
Q

What are the signs of volvulus on examination?

A
  • Tympanic, distended (but usually non-tender) andomen
  • Palpable mass may be present
  • DRE shows only empty rectal ampulla
How well did you know this?
1
Not at all
2
3
4
5
Perfectly
15
Q

What ages are affected by volvulus?

A

Bimodal

10-29yrs

60-79yrs

How well did you know this?
1
Not at all
2
3
4
5
Perfectly
16
Q

What does the 3,6,9 rule refer to in AXR?

A

Small bowel = 3cm diameter

Caecum = 9cm

Colon = 6cm

NB: valvulae conniventes = small bowel

haustral lines = large bowel

17
Q

Summarise the main causes of SBO vs LBO.

A

SBO - adhesions and hernia

LBO - malignancy, diverticular disease, volvulus

18
Q

List the 5 classes of causes of obstruction.

A
  1. Mechanical - partial or complete classified further into… (see below)
  2. Functional - paralytic ileus, CES (cauda equina), pesudo-obstruction e.g. Ogilvie syndrome
  3. Simple - obstructed with adequate blood supply
  4. Strangulated- obstructed without adequate blood supply
  5. Closed-loop - volvulus