Week 1 - Tissues Flashcards

(15 cards)

1
Q

Define a tissue
What are tissues made of?

A

Tissues are a group of similar cells that work together to perform a specialized function. They often have the same embryonic origin

tissues are composed of cells and a matrix. The matrix is composed of fibers and a ground substance

epithelial tissue -> matrix -> basement membrane
CT -> matrix -> extensive
Muscle / nervous -> matrix -> minimal

How well did you know this?
1
Not at all
2
3
4
5
Perfectly
2
Q

State 4 classes of Tissue and state function

A
  1. epithelial: Covers and lines surfaces of the body, organs, and cavities, providing protection, absorption, secretion, and sensation.
  2. connective: provides support and structural framework for other tissues and organs.Stores energy (adipose), participates in body defenses(immune cells in connective tissue), transports nutrients (blood), tissue repair (collogen / scare tissue)
  3. Muscular: produces physical force for body movement. Generates heat.
  4. Nervous: Detects and responds to external and internal changes enabling communication and control of bodily functions. Motor output, homeostasis, mental activity, coordinates and controls volunary and involuntary activities.
How well did you know this?
1
Not at all
2
3
4
5
Perfectly
3
Q

State 3 types of junctions

A
  1. Tight Junctions: Forms fluid-tight seal between cells. Formed by transmembrane cell-adhesion proteins. Acts like zip lock bag. Tight junctions are found within the body’s tight epithelia. Prevent digestive juices from leaving digestive tract, bacteria from invading tissue, nutrients from between instead of passing through.
  2. Desmosomes / Hemidesmosomes. Anchor cells to one another or to the basement membrane. Snap on a pair of jeans / velcro. Do not prevent substances from passing between / around them but serve to keep cells from pulling apart. Allow tissues to resist mechanical stress. Found in tissues that experience mechanical stress, such as cardiac muscle, bladder, and epithelia.

hemidesmosome -> epithelial cells to basement membrane

  1. Gap Junctions: Permit electrical and chemical signals to pass between cells. Allow for direct communication. Found in cardiac muscles allow rapid spread of electrical impulse. Smooth muscle to coordinate contractions
How well did you know this?
1
Not at all
2
3
4
5
Perfectly
4
Q

What are the characteristics of Epithelial Cells

A

ACRAP

Avascular
Cellular; continuous sheet of cells; cells touch each other.
Regenerative; have stem cells and are constantly regenerating via mitosis.
Attachments: attache to a basement membrane and to other cells.
Polarity: have an apical (faces organ), basal (faces basement membrane), and lateral (sidewall) surface. Basal surface attaches to basement membrane, lateral contains tight junctions, apical can open to lumen / external environment (if at surface)

How well did you know this?
1
Not at all
2
3
4
5
Perfectly
5
Q

State Five functions of epithelial cells

A

SPEARS
Scretion
Protection
Excretion
Absorption
Regulating transport
Sensory Reception

  1. Protection -> Epithelial tissue provides a protective barrier that covers the external surface of the body and lines internal cavities. It protects underlying tissues from physical injury, pathogens, and dehydration.
  2. secretion -> Specialized epithelial cells produce and secrete substances such as mucus, enzymes, hormones, and sweat
  3. excretion void waste from other tissues (pulmonary epithelia excrete Co2)
  4. absorption -> Specialized epithelial cells have specialized structures (microvilli) that enable them to absorb nutrients, ions, and other molecules from the external environment or body fluids. Essential for nutrient uptake and electrolyte balance.

5 . regulating transport -> Epithelial cells regulate the transport of substances, via variable permeability, across biological barriers. This includes controlling the movement of ions, water, and molecules between different compartments of the body, ensuring proper physiological function and homeostasis.

  1. sensory reception -> Epithelial tissues contain sensory nerve endings that detect changes in the external environment or within the body. Allowing perception of stimuli such as touch, pressure, temperature, and pain.
How well did you know this?
1
Not at all
2
3
4
5
Perfectly
6
Q

State epithelial cell shape

A
  1. squamous cells
  2. cuboidal cells
  3. columnar cells
How well did you know this?
1
Not at all
2
3
4
5
Perfectly
7
Q

State epithelial cell layer shapes

A
  1. simple epithelium -> single layer
  2. stratified epithelium -> multiple layers
  3. Pseudo-stratified columnar epithelium -> look like multiple layes but all cells touch basement membrane.
How well did you know this?
1
Not at all
2
3
4
5
Perfectly
8
Q

Form, Function, Location: transitional epithelium / urothelium.

A
  • shape: When the organ is relaxed, these cells appear cuboidal or columnar. As the organ stretches, the cells become flattened
  • stratified epithelium
  • Maintain protective lining while allowing organs to stretch to hold variable amounts of fluid without rupturing
  • found in the bladder and ureters
  • Apical surface contains umbrella cells (can contain multiple nuclei) can withstand pH of urine
How well did you know this?
1
Not at all
2
3
4
5
Perfectly
9
Q

Function, Location: simple squamous

A
  • diffusion, reduces friction (serous layer)
  • endothelium: epithelium of blood and lymph vessels, and heart.
  • mesothelium: epithelium of serous membranes
  • alveoli
How well did you know this?
1
Not at all
2
3
4
5
Perfectly
10
Q

Function, Location: Stratified squamous

A
  • protection
  • skin (keratinized stratified squamous)
    -mouth, throat, esophagus, rectum, anus, vagina (non keratinized)

has epidermis (top layer) and dermis (mid layer)
MOST ABUNDANT

often deepest layer include cuboidal to columnar cells and include mitotically active stem cells

How well did you know this?
1
Not at all
2
3
4
5
Perfectly
11
Q

Function, Location: simple cuboidal

A
  • secretion
  • absorption
  • protection

Simple cuboidal cells are found in glandular tissues (secretion), kidney tubules (absorption and filtration), outer surface of ovaries (protection), and bronchioles (regulating airway surface liquid composition, secretion of mucus and absorption of fluids)

How well did you know this?
1
Not at all
2
3
4
5
Perfectly
12
Q

Function, Location: simple columnar

A
  1. absorption: non-ciliated simple columnar are the main absorbers in the digestive track. These cells have microvilli in apical surface -> brush border.
  2. transport: ciliated simple columnar transport mucus and trapped particles in the bronchi and the oocyte in the follopian tube. Larger bronchi pseudostratified ciliated columnar -> ciliated simple columnar -> simple cuboidal in the bronchiles
  3. secretion: non-ciliated simple columnar are commoly found in larger glandular tissues and ducts, especially in the digestive tract. These specialized epithelial cells secrete mucus (goblet cells) and digestive enzymes (glandular).

cilia moves mucous and other substances. Microvilli (non-ciliated) increases surface area for absorption

How well did you know this?
1
Not at all
2
3
4
5
Perfectly
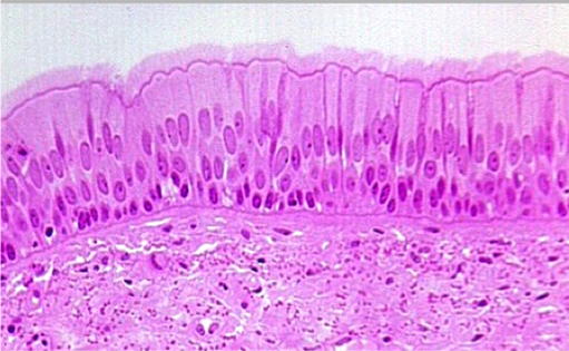
13
Q

Function, Location: pseudostratified ciliated columnar

A

single layer of ciliated cells attached to basement membrane. Appears falsely stratified, nuclei are at different depth.

  • mucus secretion (goblet cells interspersed secrete mucus)
  • cilia movement - move mucus along with trapped particles.
  • protection, protective barrier

Found in
- nasal cavity,
- trachea
- bronchi

there is non-ciliated pseudostratified columnar epithelium in the vasdeference, epididymis, and parts of the urethra have stereocilia (longer / less motile than microvilli)

How well did you know this?
1
Not at all
2
3
4
5
Perfectly
14
Q

mesothelium vs endothelium

A

mesothelium: Lines major body cavities (peritoneum, pleura, and pericardium). Secretes lubricant film.

Endothelium: Lines fully internal pathways, vascular system, blood vessels

How well did you know this?
1
Not at all
2
3
4
5
Perfectly
15
Q

matrix

A

Is composed of fibrous proteins and usually a clear gel known as the ground substance/tissue fluid/extracellular fluid/interstital fluid. It surrounds the cells in a tissue

primarily found in connective tissue. Muscle, nerve, and epithelial (basal lamina) tissue have very little ECM

How well did you know this?
1
Not at all
2
3
4
5
Perfectly